
КТ молочных желез: что показывает, противопоказания, ход выполнения, возможные осложнения, плюсы и минусы
Компьютерная томография молочных желез проводится для уточнения диагноза, поставленного по результатам УЗИ, маммографии или МРТ. Ее применяют с целью исследования уплотнений в женской груди для назначения лечения, контроля заболевания и подготовки к операции. Это один из самых точный методов определения рака груди.
Описание
Компьютерная томография — это обследование тканей с помощью рентгеновского излучения с участием мощной анализирующей программы. В результате диагностики пациент получает распечатанные на принтере или размещенные на CD-диске изображения обследуемого органа с заключением и рекомендациями специалиста, проводящего процедуру.
Роль рентгеновских лучей
Применять рентгенологические лучи в обследовании мягких тканей начали давно. Этот спектр излучения используют, например, при маммографии. Эффективность такого обследования объясняется изменением скорости движения рентгеновского луча через ткани с разной плотностью.
Другими словами, через однородную ткань рентгеновские лучи всегда проходят с неизменной скоростью. Встречая на своем пути более плотное скопление клеток, поток замедляется. Благодаря этому отчетливо визуализируются различные уплотнения, что очень важно при обследовании молочных желез.
Особенность
Изобретение компьютерного томографа сделало возможным получение послойного изображения исследуемых органов в различных проекциях. Это значит, что стало доступным детальное изучение состояния тканей, не всегда доступных для изучения с помощью других методик.
Послойные срезы образуются благодаря тому, что трубка, испускающая рентгеновские лучи, двигается по спирали вокруг тела пациента. Прикрепленный рядом датчик поэтапно фиксирует изображение и передает его на обработку компьютеру. Специальная программа собирает набор таких снимков в единое целое, формируя трехмерное изображение.
Разновидности диагностических аппаратов
Определенную роль в качестве обследования играет тип томографа. От этого зависит стоимость процедуры, детальность результата и доза облучения, которую получит пациент. Аппараты для проведения компьютерной томографии бывают трех видов:
- Классический.
- Спиральный.
- Мультиспиральный.
Обследование на мультиспиральном компьютерном томографе дает самые точные результаты. При этом происходит самое низкое облучение тканей за счет ускорения процесса.
Играет роль и количество срезов, которое способна осуществить используемая модель томографа. Чем их больше, тем быстрее производится обследование, и пациент меньше облучается, а также получается изображение самого высокого разрешения.
Самая распространенная 64-срезовая модель аппарата. Новейшие разработки привели к созданию 320-срезового томографа, доступного пока в строго ограниченном количестве клиник мира.
Показания к обследованию
КТ молочных желез никогда не назначают для плановой проверки состояния тканей женской груди. С этой целью применяют УЗИ, маммографию и МРТ.
Только в случаях определения патологий в мягких тканях по результатам этих методов диагностики назначают компьютерную томографию. Она дает дополнительную информацию о характере новообразования.
Показания к обследованию путем КТ следующие:
- Определение разновидности новообразований.
- Травма молочной железы.
- Подготовка к операции по удалению опухоли.
- Контроль после операции или в процессе лечения.
- Обнаружение метастазов злокачественной опухоли.
Компьютерная томография обязательно проводится перед операцией по удалению раковой опухоли из груди.
Обследование позволяет определить, прежде всего, возможно ли хирургическое вмешательство вообще и с сохранением органа в частности.
По результатам обследования проясняется, какой объем и особенности будет иметь операция, определятся связанные с ее проведением риски.
Что показывает обследование
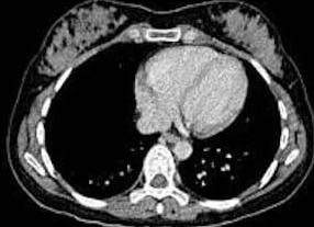
С помощью КП молочных желез специалист получает объемное изображение всех тканей обследуемой области. Видна структура железистой ткани, лимфоузлов, сосудов и молочных протоков. КТ молочных желез показывает также состояние костей и хрящей.
Исследование раковой опухоли
Для исследования злокачественного уплотнения в груди компьютерная томография незаменима. С ее помощью уточняется размер, локализация опухоли, а также ее прорастание в соседние ткани. Результаты с повышенной детализацией приносит обследование под названием ПЭТ КТ.
На прогрессирующей стадии онкологического заболевания проводят более широкое обследование пациента для определения метастазов (проникновения раковых клеток в соседние органы). Дополнительно просвечивается головной мозг и брюшная полость.
Противопоказания к КТ
Внедрение в сферу диагностирования томографов нового поколения привело к снижению дозы радиации, получаемой пациентом в процессе обследования. Теперь этот метод обследования молочных желез при отсутствии злоупотребления считается относительно безопасным для человека.
Однако из-за применения рентгеновских лучей и конструктивных особенностей аппарата у обследования есть ряд противопоказаний:
- беременность и лактация;
- возраст до 14 лет;
- клаустрофобия;
- психические отклонения;
- болезнь Паркинсона;
- вес тела свыше 120 кг;
- крайне тяжелое состояние пациента.
Женщинам в период вынашивания или кормления ребенка, а также детям до 14 лет компьютерная томография производится только в случаях возникновения угрозы жизни.
Большинство аппаратов для компьютерной томографии не рассчитаны на вес пациента, превышающий 120 кг. Редкие модели выдерживают до 150 кг, потому на их поиск понадобится много времени.
Страдающим клаустрофобией и другими психическими отклонениями проведение томографии иногда возможно. Таким больным дают седативные препараты перед началом процедуры обследования. Внутри аппарата есть громкоговоритель, с помощью которого врач дат указания пациенту. В критической ситуации больной может вызвать медперсонал с помощью кнопки, расположенной возле него.
Подготовка к процедуре
КТ молочных желез планируют на определенный период менструального цикла — с 5 по 10 день. Именно в эти дни возможно получить самое точное изображение органа на томографе. Специальной подготовки проводить не нужно, однако есть несколько рекомендаций:
- Прекратить употребление пищи за 12 часов до начала обследования.
- Принять успокаивающее средство (если необходимо) заранее.
- Снять все металлические украшения и одежду с металлизированными деталями.
- Рассказать рентгенологу о наличии инородных тел в организме (пластины, кардиостимуляторы, шунты и др.)
В некоторых клиниках предусмотрено переодевание пациента в специальный халат или больничную рубашку. Дополнительные рекомендации дает врач.
Ход проведения
Зайдя в кабинет, где будет проводиться обследование, пациент увидит большой цилиндрический аппарат, расположенный горизонтально. Внутри него встроена система излучения рентгеновских лучей и датчики приема сигнала.
Для диагностирования пациент ложится на выдвижной стол аппарата спиной вниз. После этого рентгенолог с помощью электрического привода задвигает стол внутрь томографа. Человек оказывается внутри большого цилиндра. Иногда у людей в таком положении начинается паника. Для таких ситуаций возле него есть кнопка для вызова персонала.
Врач для избегания облучения уходит в соседний кабинет, из которого управляет ситуацией. Пациент во время обследования лежит неподвижно, а врач разговаривает с ним через громкоговоритель. Поступающая с томографа информация записывается на жесткий диск компьютера.
Нахождение внутри аппарата продолжается всего несколько минут. Больше времени уходит на подготовку к процедуре, описание результатов и рекомендаций.
Расшифровка результатов
Сразу после окончания диагностической процедуры врач-рентгенолог приступает к расшифровке результатов. Он детально изучает послойные снимки молочных желез пациентки, рассматривая их в различной проекции и приближая необходимые зоны.
На изучение материала у врача иногда уходит до двух часов. В итоге он выдает пациенту заключение с расшифровкой результатов обследования. Далее женщина отправляется к лечащему врачу для получения назначения.
Плюсы
Компьютерная томография в обследовании молочных желез применяется реже, чем другие методы диагностики. Однако в некоторых случаях этот вид обследования становится незаменимым. Специалисты указывают на такие преимущества методики:
- Точная визуализация уплотнений, находящихся в глубине молочной железы.
- Детальное отображение распространения опухоли в соседние ткани.
- Окончательное определение злокачественности новообразования.
- Высокая информативность при обследовании плотной молочной железы.
Все эти детали важны перед хирургическим вмешательством, а также для грамотного подбора стратегии лечения. КТ нередко становится последней точкой в постановке диагноза. Она дает более полную картину, чем маммография и МРТ, если молочные железы женщины содержат большое количество железистой ткани.
Минусы
Рассматриваемый метод диагностики обладает двумя существенными недостатками: высокая цена и облучение радиацией. Эти два фактора объясняют, почему КП применяют гораздо реже других методик.
Кроме того, в ряде случаев МРТ, УЗИ или маммография могут оказаться более информативными. Ввиду этого выбор метода обследования всегда остается за врачом, а не пациентом.
Вред рентгеновских лучей
Рентгеновское облучение однозначно вредит здоровью. Особенно восприимчивы к нему дети, развивающиеся в утробе и с 1 до 14 лет. Такой группе больных, а также сильно ослабленным пациентам врач назначает КТ только в том случае, если опасность развития патологии в молочной железе превышает вредное воздействие радиации. Взрослым и крепким пациентам компьютерную томографию назначают не чаще 1 раза в год.
Альтернативные методы
Для обследования молочных желез применяются различные методики. В каждом отдельно случае врач подбирает оптимальный вариант диагностики. Если картина до конца не проясняется, назначается другой метод. Данные сопоставляются, и получается наиболее точный результат.
Это традиционный метод обследования здоровья женской груди. В этом случае также применяется рентгеновское излучение, но его доза в десятки раз меньше, чем при компьютерной томографии.
Диагностика незаменима для женщин с большим количеством жировых клеток в груди. Она превосходит КТ по эффективности в обнаружении кальцинатов, считающиеся предвестниками рака. Однако обнаружение непальпируемых опухолей при высокой плотности тканей для этого метода диагностики затруднительно.
УЗИ
Исследование молочных желез посредством ультразвука помогает обнаружить все непальпируемые образования, кроме самых мелких (до 1 мм). На мониторе не отражаются кальцинаты. УЗИ подходит молодым пациенткам, у которых объем железистых тканей превышает объем жировых.
УЗИ часто совмещают с маммографией для получения целостной картины. Лишь в редких случаях этого оказывается недостаточно.
МРТ
Обследование посредством магнитных волн проводится с введением контрастного вещества на основе металла гадолиния. Волновое воздействие приводит в движение ядра атомов.
Аппарат улавливает эти колебания и подает изображение на обработку специальной программы. В результате получается трехмерное изображение исследуемой области.
Притягивая к себе гадолиний, опухоли в груди становятся легко распознаваемые на снимках. Однако при обследовании плотной железистой ткани с помощью МРТ часто происходит неточная диагностика.
Когда контрастное вещество распределяется неравномерно, места скопления вещества будут отображаться на снимке как диффузный процесс, а неокрашенные участки не проявят имеющиеся проблемы.
ПЭТ КТ
Это высокочувствительный метод определения динамики развития раковых опухолей, признанный во всем мире. Он заключается в проведении стандартной компьютерной томографии после введения радиохимпрепарата. Одна разновидность создана на основе глюкозы, другая — на основе гормона эстрадиола.
Распределяясь по телу, радиохимпрепарат будет активно поглощаться раковой опухолью. Из-за этого она окрасится в яркий цвет и станет доступным объектом для изучения.
На полученном изображении будет отчетливо видна не только анатомическая структура опухоли, но и проходящие в ней метаболические процессы. Это поможет лечащему врачу подобрать эффективную стратегию лечения. Для более точных результатов при раке груди назначают гистологию и биопсию.
КТ молочных желез показывает точное расположение, размер и разрастание опухолей груди. Она назначается для обнаружения и лечения рака груди. Существенный недостаток этого метода диагностики — мощное рентгеновское излучение. Ввиду этого его применяют редко, опираясь больше на данные маммографии, УЗИ или МРТ.
Когда необходимо выполнять КТ молочной железы?
Онкологические процессы в тканях молочной железы широко распространены, поэтому их профилактическое обследование входит в план ежегодной диспансеризации женщин старше сорока лет. Для скрининговой диагностики патологии используют УЗИ и маммографию, которые позволяют выявить до девяноста процентов заболеваний. КТ (компьютерная томография) молочной железы является дополнительным методом обследования, но в некоторых случаях без него невозможно установить точный диагноз.
КТ применяется для диагностики заболеваний многих органов и систем уже на протяжении тридцати лет. Исследование проводится с помощью специального аппарата – компьютерного томографа. В основе метода лежит рентгеновский луч, который пронизывая исследуемый орган по спирали, выполняет последовательные сканы с частотой в несколько миллиметров. Результат фиксируется на рентгеновской пленке, в виде поперечных срезов (томограмм).
Как проводят исследование?
Исследование выполняется неинвазивным методом, как обычный рентгеновский снимок. Пациентка находится в горизонтальном положении на спине, руки необходимо поднять и расположить за головой. Компьютерный томограф имеет кольцевидную установку (гентри), на внутренней поверхности которой находится рентгеновская трубка и датчики, регистрирующие информацию.
Гентри вращается вокруг стола на котором находится пациентка и испускает веерообразный рентгеновский луч, датчики регистрирует информацию, передавая ее на компьютерный анализатор. В зависимости от поколения компьютерного томографа процедура может занимать от пяти до пятнадцати минут.
КТ при маммопатии проводится с применением контрастных веществ на основе йода. Контраст вводят внутривенно перед исследованием или, если необходимо, небольшими дозами в течение процедуры. Контрастное вещество вводит медсестра, а также может использоваться специальный прибор для автоматического введения во время исследования – инжектор.
Какая патология молочной железы требует выполнения компьютерной томографии?
Для начальной диагностики заболеваний молочной железы КТ не используется, для этого есть рутинные методы — УЗИ и маммография. Однако УЗИ не всегда информативно при высоком содержании жировой ткани в молочной железе, а маммография, напротив, технически трудновыполнима при маленьком размере желез. В таком случае применяют компьютерную и магнитно-резонансную томографию.
Используют компьютерную и магнитно-резонансную томографию и для диагностики опухолей, которые не попадают в зону видимости при маммографии, например, из-за расположения у основания органа, близко к грудной клетке. Информативно исследование и при инфильтративных формах рака, когда опухоль диффузно поражает весь орган.
Если для диагностики самой опухоли, применение КТ считается нецелесообразным, то для того, чтобы оценить стадию онкологического процесса, компьютерная и магнитно-резонансная томография остаются незаменимыми методами.
Стадии рака молочной железы
Их используют для оценки распространенности опухоли на окружающие ткани (грудную клетку, регионарные лимфатические узлы), а также для выявления метастазов в другие органы: легкие, средостение, печень. Это необходимо, чтобы правильно определить тактику лечения, поскольку при значительном распространении рака за пределы органа, хирургическое лечение не показано.
Позволяет компьютерная томография оценить и качество оперативного вмешательства: радикальность операции, отсутствие гематом и абсцессов в области оперативного лечения.
Используют КТ, так же как и магнитно-резонансную томографию, для оценки эффективности химио- и лучевой терапии.
Кроме диагностики онкологических процессов, КТ может быть выбрана врачом для обследования ткани железы при других патологических процессах:
- травмы: оценить наличие гематом, разрывов, ушибов органа;
- воспалительные процессы: абсцессы, флегмоны и инфильтраты;
- в пластической хирургии: для оценки состояния имплантов, а также для диагностики осложнений после операции.
Противопоказания к компьютерной томографии
КТ противопоказана на любой стадии беременности и может быть использована для обследования беременной женщины только по жизненным показаниям даже, несмотря на то, что современные томографы обладают минимальной лучевой нагрузкой. В случае необходимости обследования беременной женщины, выбирают магнитно-резонансный томограф, он безопасен для беременных.
Нежелательно проведение КТ (особенно с контрастом) и во время кормления грудью. Если исследование крайне необходимо, женщине рекомендуют отказаться от кормления на несколько дней после процедуры.
Компьютерная томография имеет свои противопоказания
Для контрастных исследований также противопоказанием является аллергия на йод и другие составляющие контрастных препаратов, нарушение функции почек, заболевания щитовидной железы, тяжелый сахарный диабет.
Технически невозможно выполнить КТ пациенту со значительным ожирением. В данном случае ограничивает применение аппарата размер внутреннего диаметра гентри, пациентка не только должна поместиться в аппарат, но и находиться в нем в свободном положении.
В отличие от магнитно-резонансного томографа, компьютерный может быть использован при выраженной клаустрофобии и наличии несъемных металлических конструкций снаружи тела, а также имплантов и электронных устройств внутри тела женщины.
Преимущества применения КТ или МРТ в детской практике – вопрос дискутабельный, поскольку КТ предполагает лучевую нагрузку, а МРТ у маленьких детей требует применения наркоза и длится значительно дольше. Выбирая между этими двумя методами для обследования ребенка, стоит помнить, что лучевая нагрузка при использовании современного компьютерного томографа незначительная, сравнимая с обычным рентгеном и не навредит ребенку при разовом использовании.
Как подготовиться к томографии?
КТ молочных желез с контрастированием проводится на голодный желудок
Так как обследование молочной железы с помощью КТ проводится с контрастом, перед исследованием необходимо воздержаться от еды на пять часов. На теле и одежде не должно быть металлических элементов – они видны на пленке, затемняя участки органа, что затруднит диагностику.
Если для диагностики заболеваний молочной железы уже выполнены другие исследования, результаты необходимо взять с собой. Другой подготовки исследование не требует.
КТ молочных желез
Компьютерная томография (КТ) молочных желез – метод компьютерной рентген-диагностики, позволяющий получать послойное сканирование тканей молочных желез. Во время выполнения компьютерной томографии пациентка лежит на горизонтальной плоскости в цилиндрической камере с рентгеновским излучателем и датчиком. Изображение каждого среза передается в компьютер, где обрабатывается и суммируется с другими данными. КТ молочных желез дополняет обзорную маммографию и используется для уточнения распространенности и операбельности опухолевого процесса, заинтересованности лимфоузлов, прорастания опухоли в грудную стенку.
Впервые КТ стала выполняться в 60-х годах XX века, когда американский ученый Кормак разработал алгоритмы томографического восстановления, а английский физик Хаунсфилд, используя данную информацию, сконструировал первый томограф. В 1979 году создатели удостоились Нобелевской премии. За прошедший период времени методика шагнула далеко вперед. Сегодня исследование успешно применяется в разных отраслях медицины. В ходе работы устройство излучает рентгеновские лучи, которые проходят через тело пациентки, сканированные данные передаются на компьютер. Там они обрабатываются, происходит формирование изображений молочных желез в разных проекциях. Во время исследования диагност может менять толщину среза вплоть до 1 мм. Это позволяет выявлять даже незначительные изменения, фиксировать начальные стадии развития опухолей и определять мелкие метастазы.
КТ молочных желез дает максимально точную клиническую информацию о состоянии здоровья пациентки. В связи с этим она представляет особую ценность при диагностике патологий груди. Назначается процедура преимущественно маммологами, онкологами при подозрении на развитие рака молочной железы. Исследование не используется рутинно в профилактических целях. Сравнительно с УЗИ и маммографией компьютерная томография является более информативной. С ее помощью удается визуализировать не только мягкие ткани, но и подлежащие структуры (мышцы, хрящи, кости). Также в ходе обследования диагност обращает внимание на состояние лимфоузлов для выявления метастазов. Кроме того, под контролем КТ специалист может провести некоторые дополнительные манипуляции, в частности, изъять материал для биопсии при обнаружении новообразований.
Показания
Компьютерная томография груди используется в качестве дополнительного метода диагностики, когда иные исследования, в частности, УЗИ и маммография, оказались неинформативными. Показанием к данной манипуляции может послужить наличие жалоб на боль, выделения из сосков, деформацию молочной железы невыясненной этиологии. Применяя КТ, удается выявить опухоль, установить уровень ее злокачественности, диагностировать пороки развития молочных желез. Данная методика назначается и при необходимости определения операбельности новообразования, с целью выявления метастазов. Также специалисты используют КТ молочных желез для контроля эффективности проведенного лечения после химиотерапии и лучевой терапии. Иногда манипуляция рекомендуется для оценки состояния тканей после оперативного вмешательства для предупреждения возможных рецидивов рака молочной железы. Помимо диагностики новообразований томография может назначаться для выявления ушибов, гематом, инфильтратов, абсцессов, флегмон молочных желез.
Противопоказания
Абсолютным противопоказанием к КТ молочных желез является период беременности. Это связано с негативным воздействием рентгеновского излучения на плод и возможными нарушениями внутриутробного развития. Нельзя проводить исследование и детям до 12 лет, до указанного возраста процедура может быть использована только при наличии жизнеугрожающих состояний. Методику не применяют при массе тела пациентки, превышающей грузоподъемность КТ-аппарата. Данный метод диагностики с осторожностью назначается при наличии множественной миеломы. Исследование с контрастом не выполняется при тяжелых патологиях почек, в случае аллергии на компоненты препарата. Женщинам в период лактации процедура может осуществляться только при условии переведения малыша на искусственное вскармливание сроком на 2 суток.
Подготовка к КТ
Исследование не требует особой подготовки. Если манипуляция осуществляется с применением контрастного вещества, следует воздержаться от приема пищи в течение 5-6 часов до начала процедуры. Перед КТ молочных желез необходимо снять все металлические аксессуары, так как они могут заслонять исследуемую область. Банковские карты, ключи, мобильный телефон и прочие предметы следует оставить в кабинете диагноста. Кроме того, перед процедурой пациентка должна надеть белье из хлопка или специальный стерильный халат, который выдается непосредственно перед осуществлением сканирования.
Методика проведения
Больная размещается на специальном выдвижном столе, после чего перемещается внутрь томографа. Важно занять удобное положение, чтобы исключить любые движения во время проведения исследования, так как это может стать причиной искажения изображений. Персонал уходит в соседний кабинет. После этого специалист включает прибор и приступает непосредственно к обследованию. Наблюдение за состоянием пациентки и ходом манипуляции осуществляется через окно, соединяющее оба помещения. Также в томографе присутствует устройство для двухсторонней связи. Некоторые модели оснащены кнопкой экстренного вызова. Во время КТ молочных желез рентгеновские лучи падают на исследуемую зону под разными углами, полученные данные обрабатываются компьютером и отображаются на экране монитора, таким образом, формируются многочисленные сканы.
Длительность исследования обычно не превышает 30 минут. При обширных поражениях и обследовании соседних структур на предмет наличия метастазов продолжительность процедуры увеличивается. Во время сканирования пациентка не ощущает какого-либо дискомфорта. Результаты компьютерной томографии в виде цифровых изображений сохраняются в компьютере и могут быть записаны на компакт-диск или иное устройство. Полученные данные могут использоваться как для установления диагноза, так и для оценки эффективности лечения. При расшифровке результатов обращают внимание на присутствие новообразований, их характер, размер, наличие метастазов и степень их распространенности. Также диагност может выявить гнойные очаги, дегенеративные изменения и т. д. Результаты исследования влияют на окончательный диагноз и учитываются при определении лечебной тактики.
Стоимость КТ молочных желез в Москве
Стоимость исследования может различаться в зависимости от клиники. Государственные медицинские учреждения обычно предлагают более доступную цену процедуры по сравнению с частными центрами, однако далеко не все муниципальные больницы располагают современными томографами. Также на стоимость компьютерной томографии в Москве влияет время проведения манипуляции. Некоторые клиники предлагают сканирование ночью по сниженным ценам. Если в ходе исследования проводится биопсия патологических очагов, то цены на КТ молочных желез в Москве существенно повышаются по сравнению со стандартной диагностической процедурой.
Источник
КТ молочных желез: показания и противопоказания
КТ молочных желез в настоящее время считается наиболее информативным и достоверным вариантом диагностики. Данный метод обследования успел зарекомендовать себя с положительной стороны среди всех доступных способов, помогающих врачу поставить точный диагноз. Возможность увеличения на снимке интересующей зоны, способность детального ее рассмотрения и выполнения необходимых замеров — эти факторы позволяют досконально изучить интересующий орган.
КТ молочных желез представляет собой лучевой метод обследования. Он отличается большей достоверностью по сравнению с обычной маммографией, поскольку позволяет изучить ткани молочной железы послойно. Однако с помощью компьютерной томографии нельзя увидеть новообразования, размер которых составляет менее 1 см в диаметре.
Пациентке КТ назначается только после того, как маммография показала подозрительную опухоль. Данный метод диагностики не позволяет рассмотреть глубоко расположенную под несколькими слоями тканей аномалию. Однако маммография намного дешевле обходится по медицинской страховке. Компьютерная томография получила меньшую распространенность из-за высокой стоимости и серьезной лучевой нагрузки.
Благодаря сканированию КТ можно узнать характер опухоли, прорастает ли она в грудину. Эти факторы являются определяющими при выборе лечения. Компьютерная томография молочной железы необходима для визуализации пункции. Во время этой процедуры врач выполняет забор материала иглой для последующего изучения в лабораторных условиях.
При диагностике используется радиоактивное изучение. Проходить процедуру не рекомендуется очень часто. КТ не относится к категории скрининговых методов исследования, что нельзя сказать об МРТ. Однако она позволяет оценить состояние лимфоузлов молочной железы. По результатам диагностики оценивают область поражения, определяют дальнейшую тактику терапии и оценивают ее динамику.
Когда назначается КТ?
К помощи компьютерной томографии приходится прибегать, если врач не уверен в этиологии новообразования. Когда УЗИ или рентгенологическое исследование не показывают наличие аномалий в области груди, КТ становится дополнительным вариантом диагностики. Она назначается после фактического выявления опухоли с целью подтверждения/опровержения онкологического заболевания. Если недуг активно развивается и дает метастазы, пациентке назначается КТ мозга, грудной клетки (легких) и брюшной полости.
Основные задачи КТ
КТ не относится к категории скрининговых методов исследования.
Главная цель проведения компьютерной томографии после подтверждения рака груди — уточнение предварительного диагноза. Также исследование назначается для изучения характера и объема повреждения, особенностей недуга. Использование КТ при ежегодных профилактических осмотрах недопустимо. Данное рентгенологическое исследование может усугубить состояние здоровья, спровоцировать трансформацию доброкачественного образования в злокачественное.
Учитывая основные задачи КТ, можно перечислить показания к проведению такого типа диагностики:
- планирование оперативного вмешательства;
- уточнение локализации опухоли;
- проведение биопсии;
- исследование лимфоузлов вблизи локализации новообразования;
- отслеживание динамики проводимой терапии.
На основании полученной информации врач подбирает лечение или изменяет его.
Возможные противопоказания
Любое диагностическое обследование, в том числе и КТ молочной железы, нельзя проводить без назначения врача. При многократном повторении процедуры увеличивается вероятность возникновения злокачественного процесса. Компьютерная томография противопоказана женщинам в положении, поскольку облучение организма может негативно отразиться на развитии плода. Для маленьких пациентов прохождение КТ разрешается только в крайних случаях, когда имеется потенциальная опасность для здоровья.
Специфической подготовки перед КТ молочной железы не требуется. Однако придерживаться определенных рекомендаций все же необходимо:
- Во многих медицинских учреждениях пациентку просят надеть стерильный халат вместо собственной одежды. Такая мера предосторожности позволяет избежать сбоев в работе аппаратуры. За дверью кабинета следует оставить мобильный телефон, украшения и другие металлические предметы.
- В зависимости от особенностей диагностики врач должен заблаговременно предупредить о корректировке рациона. Иногда в течение 12 часов до даты предполагаемой процедуры требуется соблюдать голодную диету.
- При использовании контрастного вещества специалист обязательно изучает анамнез пациентки. Если есть склонность к аллергическим реакциям, бронхиальная астма или тяжелые заболевания почек, обследование нужно отменить. Применяемое контрастное вещество может негативно сказаться на самочувствии человека.
- Если пациентка сильно нервничает или у нее случаются приступы клаустрофобии, врач дает успокоительное.
- Необходимо заблаговременно предупредить доктора о наличии инородных аппаратов в теле. К их числу следует отнести импланты, кардиостимуляторы, металлические пластины и шунты, нейростимуляторы.
После всех подготовительных процедур можно приступать к проведению КТ.
Ход процедуры
Во время диагностики пациентку укладывают на кушетку, которая затем плавно входит в кольцо томографа. Он состоит из рентгенологического излучателя, направляющего лучи под разными углами. Также у томографа имеется специальный датчик. Он отвечает за фиксацию силы каждого луча, который проходит через обследуемую область. Все сигналы принимает и анализируют компьютер. Аппарат сопоставляет несколько снимков, накладывает друг на друга. Результаты диагностики выводятся на экран. Они представляют двухмерные изображения послойных срезов молочных желез.
Длительность процедуры КТ занимает не более 30 минут. Все это время пациентка должна лежать неподвижно. Изменение позы может исказить снимки и результат самого обследования. В итоге врач поставит неверный диагноз. Рентгенолог и медперсонал во время обследования находятся в отдельном помещении во избежание дополнительного облучения. Они могут разговаривать с женщиной по двухсторонней аудиосвязи.
Полученные снимки КТ хранятся на носителях. Впоследствии к ним можно неоднократно обращаться, чтобы уточнить данные перед лечением или оценить его динамику. Компьютерная томография — это достаточно информативная диагностика срезов молочных желез, которая позволяет зафиксировать все имеющиеся патологические очаги.
ОФЭКТ молочных желез
Максимально точный результат диагностики предоставляет гибридная технология диагностики — ОФЭКТ. Однофотонная эмиссионная компьютерная томография позволяет достоверно определить наличие опухолевого образования в области молочных желез, стадию патологического процесса и его выраженность. Благодаря такому обследования врач может подобрать для пациентки эффективную терапию.
Основное преимущество данной методики — точность в определении локализации РФП. Продолжительность процедуры составляет не более 25 минут. Эта гибридная технология применяется для выявления опухолей, а также подходит для визуализации новообразований в формате 3D. Однофотонный эмиссионный томограф позволяет обнаружить как злокачественные, так и доброкачественные формы рака.
Читайте также: Для чего проводится КТ грудной клетки и что показывает?