
Каким аппаратом кт более информативное обследование легких. Что эффективнее: КТ или рентген легких? Что можно увидеть на послойных снимках КТ.
Рентгеновские методики лабораторных исследований постоянно совершенствуются, и теперь на смену флюорографии пришла компьютерная томография легких. Кроме того, данный способ позволяет более детально рассмотреть органы грудной полости и осуществить диагностику различных заболеваний на самых ранних стадиях.
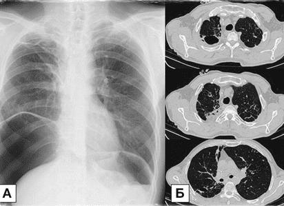
Что показывает томография легких?
Рассматриваемая технология исследований представляет собой спиральное сканирование легких узким пучком рентгеновского излучения. В итоге получается послойное изображение органов с детальной компьютерной реконструкцией (минимальная толщина среза составляет 0,5 мм).
Есть ли какие-либо начальные признаки? Может ли человек заподозрить это заболевание и пойти к специалисту, пока не стало слишком поздно? Это другая проблема с раком легких. Типичные признаки появляются на более позднем этапе. Самым распространенным признаком является кашель, смешанный с мокротой, иногда с кровью.
Обратиться к врачам с подозрением на пневмонию. И даже они лечатся от пневмонии. Но когда болезнь не реагирует и происходят изменения, становится ясно, что это не просто пневмония. Рак легких начинается с пневмонии? Нет, не обязательно. Другие симптомы — боль, сбор жидкости вокруг легкого — они появляются позже. Иногда, как ранний признак может произойти и одышка. В общем, признаки развиваются постепенно и связаны либо с развитием опухоли, которая прижимает соседние органы, либо ведет к кашлю.
При выполнении томографии отчетливо видны:
- трахея;
- сегменты и доли обоих легких;
- лимфатические узлы внутри грудной клетки;
- бронхи;
- легочные сосуды;
- верхняя полая вена;
- аорта;
- легочная артерия.
Как правило, компьютерную томографию назначают для уточнения следующих диагнозов:
Кроме того, он может захватывать сосуды в сундуке, что вызывает отек в верхней части шеи. Всегда лучше иметь один ум и не отвергать вариант рака. Нет ничего лучше, чем исключить его, но всякий раз, когда появляются такие нехарактерные признаки, которые иногда не имеют объяснений, следует проверить худший вариант. Да, у пациента пневмония, мы ее исцелили, и есть проблема. Боже, давайте не будем правы, но вы должны обратить внимание, вы должны проверить. Некоторое время назад у меня был пациент — человек с жидкостью вокруг легкого в течение месяца, пока мы наконец не обнаружили, что на самом деле был рак легких.
- хроническая эмболия;
- эмфизема легких;
- внутригрудная аденопатия;
- цирроз легких;
- диффузные патологии;
- нарушения в функционировании органов следствие особенностей профессиональной деятельности, например, вдыхания мелкодисперсных частиц асбеста, кремния или кварца.
Также компьютерная томография легких помогает выявить рак на ранней стадии, распространенность и размер опухоли, наличие метастазов и их обширность, состояние близлежащих лимфатических узлов. Диагностика обеспечивает скрининг даже новообразований совсем небольшого размера, до 1 см в диаметре.
Вот почему коллеги не могли излечить его — они берут жидкость, она снова собралась. Однако, оказывается, в Болгарии важно, когда вы болеете. С одной стороны, эти ограничения не позволяют некоторым людям получить необходимую диагностику. С другой стороны, как ни печально, кажется, что люди подозрительно относятся к врачам и не доверяют им. Но люди стали несколько нетерпеливыми. Не говоря уже о другом аспекте — идет к человеку, готовому пройти профилактическое обследование, но у врача нет такой возможности в данный момент, он называет его во второй раз, и он, потому что он работает, говорит: почему эти врачи не обращают внимания на эту профилактику.
Стоит заметить, что данное рентгенологическое исследование имеет много преимуществ по сравнению с другими методологиями:
- очень высокое качество получаемой картинки;
- выявление минимальных патологических изменений в легких, которые невозможно обнаружить посредством стандартных способ исследования;
- максимальная информативность построенных изображений благодаря применению трехмерной технологии послойного наложения срезов;
- подробная и детальная реконструкция сосудов в любой заданной плоскости без потери качества картинки;
- высокая скорость сканирования;
- возможность дополнительного применения контрастной жидкости (автоматический шприц) при необходимости исследования сосудов.
Как делают компьютерную томографию легких?
Описываемая процедура выполняется с помощью специального аппарата. Он представляет собой цилиндрическую камеру, в которую помещается стол (кровать).
Лекарство от рака легких, доктор Чапкунов? Да, он вылечен, хотя главная проблема остается ранним диагнозом. Поскольку на данный момент у нас есть основания утверждать, что с появлением новых методов лечения существует большая надежда на то, что мы можем начать выбирать индивидуальное лечение для каждого пациента. Таким образом, мы действительно добьемся лечения болезни, возможно, не излечим — вы пьете лекарство, и у вас ничего нет. Но, по крайней мере, вы все время пить свои лекарства отсюда и прекращать развитие опухоли.
У нас есть такая надежда. «И это основано на новых методах лечения?» Может быть, лучше и понятнее. И теперь самое время попытаться найти маркеры, найти, что показать нам, какая опухоль будет чувствительной. Чтобы достичь более индивидуального лечения опухоли, буквально ищет индивидуальное лечение для каждого пациента. Это направление современных научных исследований в этой области. Что касается установленного стандарта, когда речь идет о опухоли, которая ограничена легким, без распространения на лимфатические узлы и другие органы, то оперативное лечение является методом выбора, и это действительно дает возможность лечения. «Всегда есть операция?» Есть ли противопоказания в некоторых случаях? — Не всегда можно получить хирургическое вмешательство.
Пациенту необходимо снять всю одежду до пояса, а также любые украшения, металлические заколки, пирсинг. Затем человек ложится на стол и помещается в томографическую камеру, где на область грудной клетки воздействует узкий пучок рентгеновского излучения. Все получаемые высококачественные изображения выводятся на монитор компьютера в кабинете радиолога, где врач сохраняет снимки, записывает видео с процессом проведения процедуры и делает описание. При необходимости с ним можно связаться по селектору.
Есть пациенты, у которых опухоль доказана, поскольку операция, помимо лечения, может быть частью диагноза. Отдельно это может быть частью так называемого. Паллиативное лечение, т.е. а не для лечения болезни, но для облегчения симптомов. Это очень типично для пациентов, которые накопили жидкость вокруг легкого. Лечение имеет универсальный принцип, их лечат сложным образом — т.е. хирургическая, лучевая терапия, химиотерапия и, в отношении легких, так называемые Целевая терапия.
Хирург, клинический онколог, радиотерапевт — обсуждает порядок применения комплексного лечения. Например, есть пациенты с ранними симптомами, которые можно оперировать, но для сопровождающих болезней этого не может быть — хирургия представляет собой высокий риск в такой ситуации. Есть ли какие-либо попытки в Болгарии выявить рак легких? — В Болгарии пока нет скрининга. В некоторых странах она принимается и устанавливается, но еще не в нашей стране. Таковы указания, данные Американской ассоциацией, которая рекомендует так называемые Низкодозной компьютерной томографии у пациентов в возрасте от 55 до 74 лет.
Вредна ли томография легких?
Никаких неприятных ощущений во время и после процедуры пациент не испытывает. Более того, рассмотренный метод исследования характеризуется очень низкой лучевой нагрузкой, особенно по сравнению с флюорографией. Это связано с тем, что изображение получается путем мультиспиральной компьютерной реконструкции в трехмерной плоскости, а для просвечивания используется узкий пучок частиц.
И кто курят или отказываются от сигарет за последние 15 лет, т.е. имеют историю курящих и едят ящик ежедневно более 30 лет. Существует даже термин — так называемый 30 лет назад. Это опасная группа, потому что было обнаружено, что даже если вы бросили курить, ваш риск выше, чем у тех, кто никогда не курил.
Да, он уменьшается с годами после того, как вы отказались от них, но вряд ли когда-либо сравните риск некурящего. Рак легких — это злокачественность, которая является наиболее распространенной причиной неопластической смерти у мужчин. Заболевание происходит в возрасте от 55 до 60 лет, но есть случаи, диагностированные до 40 лет.
Таким образом, томография легких не наносит никакого вреда и позволяет быстро и точно выявить любые отклонения состояния органов от нормальных показателей.
Компьютерная томография легких — это исследование посредством воздействия на ткани рентгеновского излучения с последующей компьютерной обработкой для получения послойного изображения этой области организма человека.
Как и во всех злокачественных новообразованиях, особая причина злокачественной клеточной дегенерации не установлена. Предполагается, что предрасполагающее действие имеет ряд канцерогенных веществ. В 85% случаев ингаляция сигаретного дыма вызывает развитие бронхиальной карциномы. Риск увеличивается за счет увеличения продолжительности и количества копченых сигарет. Потенциальный риск наблюдается при сочетании курения с воздействием профессиональных канцерогенов. Считается, что даже пассивное курение повышает риск злокачественности.
Что показывает КТ легких? Полученные томограммы достаточно хорошо визуализируют бронхи, доли и сегменты легких, трахею, . Снимки отображают состояние аорты, легочной артерии, сердца, верхней полой вены; можно отличить крупные туберкулезные очаги от опухолей, обнаружить бронхоплевральный свищ или эмфизему, отличить их от абсцесса. В случае обнаружения опухолей можно установить их природу, локализацию и размеры, распространение на другие органы.
Известно несколько групп канцерогенных химикатов. Другие факторы риска включают генетическую предрасположенность и наличие легочных рубцов. Согласно локализации, рак легких подразделяется на. Согласно гистологическому строению, легочный тракт делится на два основных типа.
Малоклеточная карцинома — она преимущественно центральная и имеет худший прогноз. Часто клетки в микроскопическом исследовании напоминают «ядра овса» и могут выделять гормоны. Плоскоклеточная карцинома — главным образом с центральной локализацией; Аденокарцинома — часто с периферической локализацией и является наиболее распространенной формой некурящей карциномы; Бронхо-альвеолярная карцинома — альвеолярная клеточная карцинома, которая также является аденокарциномой; Крупноклеточный рак легкого.
- В 80% случаев опухоль уже метастазируется при диагностике.
- Не-мелкоклеточная карцинома.
- В свою очередь, может быть несколько вариантов.
Считается, что при наличии предрасположенности действие канцерогенов приводит к появлению опухоли.
По сравнению с традиционным рентгеном доза лучевой нагрузки в томографии легких незначительна, а значит и менее опасна для здоровья человека. Этот диагностический метод также выполняется безболезненно для больного, в силу его неинвазивности, и широко распространен в медицине.
Отличное качество получаемых снимков, на которых видны даже небольшие изменения легких, отличает этот метод от . Снимки легких, сосудов и разрешают точно оценить общее состояние структур и возможные патологии. Сегодня это один из эффективнейших методов для обследования легких, который позволяет получить наиболее точные данные и выполняется в течение всего нескольких минут.
Происходят следующие процессы: метаплазия бронхиального цилиндрического эпителия в сплюснутой клетке, последующая эпителиальная дисплазия и развитие карциномы. Благодаря этим «шагам» развивается плоскоклеточная карцинома, которая является наиболее распространенной и наиболее часто ассоциируется с курением.
Метастазирует в региональных лимфатических узлах. Отдаленные метастазы часто присутствуют в диагностике мелкоклеточной карциномы. Частые локализации — это печень, скелет, надпочечники, мозг. На ранней стадии жалобы отсутствуют, или они плохо выражены и нехарактерны. Обычно наблюдаются кашель, одышка, боль в груди. Может также быть сгусток крови, но чаще это позднее проявление болезни. Повышенное внимание требует появления астмы или хронического бронхита в позднем возрасте и кратковременной лечению, устойчивой к простуде, рецидивирующей пневмонии.
Показания для назначения КТ
Этот метод применяют обычно после рентгена легких при обнаружении или подозрении на наличие патологии. Используется томография для более тщательного изучения состояния бронхов, лимфоузлов средостения и подмышечных областей, костных структур. Незаменима КТ при исследовании рака легких и метастаз. Помогает в выявлении любых патологий средостения и эмфиземы. Томографию могут назначить, когда у врачей появляются сомнения относительно здорового состояния органов грудной полости.
Поздними проявлениями заболевания являются хриплый голос, особенно плевральный выпот. В редкой опухоли Панкоаста, которая поражает легочные пики и захватывает стенку грудной клетки, поврежден участок шеи симпатического и нервного корешков. Это приводит к разрушению кости первого ребра и первым грудным позвонкам, боли в руке, триоду Клода-Бернара-Хорнера — одностороннему, на веку. Бронхо-альвеолярная карцинома часто путается с хронической пневмонией и проявляется в сухом, раздражающем кашле с упражнением на слизистую воду и имеет плохой прогноз, поскольку он обусловлен диффузной диффузией.
Мультиспиральная КТ проводится для выявления нарушений целостности сосудов бронхов, лёгочной артерии или аорты.
Томография легких проводится для диагностики следующих состояний:
- при развитии воспалительных процессов в плевральной области, в особенности, если наблюдается скопление жидкости
- при изменении структуры ткани и сегментов лёгких, причины которых неясны
- при патологиях сердечной сумки
- при туберкулёзе и контроле лечения этого заболевания
- при обнаружении увеличения грудных лимфоузлов
- при болях в груди, рёбрах, в области бронхов
- подозрения на любые новообразования в плевре или области бронхов
- опухоли или фистулы
- для изучения причин нарушений в функциях вилочковой железы
- в случае установления бронхоэктатического заболевания
- иногда назначают в случае попадания инородных предметов в дыхательные пути
- вследствие травм грудной области тела
- пневмония верхних дыхательных путей — КТ выполняется, если рентген не выдал нужных результатов и у пациента наблюдаются симптомы характерные для пневмонии: повышение температуры, кашель, одышка, — а обычные методы обследования не могут выявить изменения
- в случае несоответствия результатов рентгена и клинической картины, при выявлении на рентгеновском снимке очагов затемнений в легких.
Они обладают способностью выделять биологически активные вещества и гормоны. Из-за этого широко распространена мелкоклеточная карцинома. Паранеопластические синдромы и эндокринопатии. В исследовании переосмысления картина внешнего вида опухоли может варьироваться в зависимости от локализации, формы, этапов.
Лабораторные данные обычно не показывают отклонений. Опухолевые маркеры могут быть исследованы, но они не адаптированы как тест на поиск, а для терапевтического наблюдения. Анамнестические данные часто нехарактерны. Руководящим методом для определения местонахождения процесса является рентгенография грудной клетки. Нет формы легочной тени, за которой рак легкого не может быть скрыт. Поэтому компьютерная осевая томография всегда должна выполняться. Диагноз подтверждается бронхоскопией и гистологическим исследованием.
КТ легких с контрастом
Компьютерная томография с контрастированием — это исследование с применением рентгеновского излучения и специальных контрастирующих препаратов путем ввода их в сосудистое русло для получения эффекта усиления от обратного сигнала, получаемого от артерий или вен. Такое обследование называется ангиографией. Но в этом случае используется компьютерная обработка рентгеновского излучения, в отличие от обычной ангиографии. Поэтому метод получил название КТ-ангиографии.
Если опухоль не может быть взята при бронхоскопическом обследовании, проводится диагноз. Необходимо проводить диагностические тесты для выявления возможных отдаленных метастазов — трафик мозга, УЗИ или КТ брюшной полости, сцинтиграфии костей. Гистологическое определение опухоли, а также определение распространения процесса посредством исследований визуализации являются определяющими факторами предстоящих терапевтических вмешательств.
Как симптомы и рентген грудной клетки напоминает ряд заболеваний легких, пневмонии, острых и хронических бронхитах, эмфиземе легких, ХОБЛ, астма, инфекции верхних дыхательных путей, метастазов в легких из другого первичного сайта и тому подобное. Лечебные простуды в возрасте 40 лет налагают все необходимые диагностические процедуры для исключения карциномы легких. Любой кашель, который, несмотря на лечение, длится более 4 недель, должен быть уточнен.
КТ ангиография — это обследование легких с введением контраста, связанное с кровеносными сосудами и состоянием кровотока.
Показания для КТ с контрастированием:
Спиральная КТ
Это современный способ высокоскоростного сканирования, которое выполняется рентгеновской трубкой, вращающейся по спирали вокруг стола аппарата томографа. Сканирование длиться меньше минуты и выдает в результате изображения в виде трехмерной послойной проекции. Спиральная томография назначается для диагностирования следующих заболеваний:
- опухоли разного характера (доброкачественные, злокачественные), метастазы воспаления в легких
- туберкулез
- травмы
- патологии сосудов
- образования плотных узелков или гранулем.
Процедура томографии
Разберем, как делают КТ легких и бронхов, как часто можно ее делать, как подготовится к процедуре и каким пациентам обследование будет противопоказано.
Подготовка к томографии легких. Больному нужно убрать перед процедурой все предметы, содержащие металл: украшения, часы, карточки, телефон. Также нужно рассказать специалистам о всех заболеваниях, которые были и наблюдаются в настоящее время у больного, о пройденных ранее КТ и других методах диагностики. Прохождение КТ легких с контрастом требует соблюдения диеты перед обследованием. Прием пищи нужно прекратить за 6-7 часов до процедуры. Обследование проводится натощак, чтобы не появилось чувство тошноты.
Процедура. Само обследование длится недолго — несколько минут. Когда есть показания для КТ с контрастированием, то процедура продлиться дольше. Перед процедурой пациенту нужно будет снять одежду с металлическими вставками. Одежду надевать лучше свободную и не стесняющую движения. В некоторых клиниках предлагают одноразовую одежду. После этого, больного попросят лечь на специальный передвижной стол, который перемещается в цилиндр томографа. На время процедуры сканирования медицинские специалисты выходят из кабинета, так как небольшая доза облучения может распространиться за пределы тоннеля аппарата. Общение с больным осуществляется специалистами по переговорному устройству.
В течение всего сканирования больному нельзя двигаться, иначе снимки получаться нечеткими. Обследование не причиняет больному дискомфорта и боли. Во время работы аппарат больной может слышать шум и лёгкий треск томографа.
В случае введения контрастирующего препарата у некоторых больных могут проявиться такие побочные эффекты, как например, жар, тепло в месте введения венозного катетера, головная боль, тошнота, металлический привкус во рту. Если подобные или иные неприятные ощущения появились, незамедлительно сообщите об этом специалисту, выполняющему процедуру.
Как часто можно делать томографию легких? Исследование назначают по необходимости. Обследование можно проходить два раза в году. В этом случае норма лучевой нагрузки не превышается. При медицинских показаниях в необходимым случаях врачами КТ может назначаться чаще и индивидуально для каждого пациента. Необоснованное назначение КТ без особой необходимости не допускается. В крайних случаях врачи решают, какой метод применить и как часто можно делать КТ.
Результаты и расшифровка КТ легких. По итогам обследования КТ специалисты серию снимков-изображений всех сегментов лёгких в определенных срезах и плоскостях. Специалисты производят оценку каждого снимка, рассматривают на плотность лёгочных сегментов, наличие в тканях саркоидных гранулём. Томография с контрастированием позволяет найти и определить границы раковых опухолей. Как правило, участок, на котором находится такая опухоль, не принимает участия в процессе дыхания и в нём может быть нарушение кровообращения.
Примерно через два часа после обследования пациенту выдадут заключение и снимки на руки. На месте снимки расшифровывает врач-рентгенолог. С этим заключением и снимками пациенту нужно отправиться к врачу, который назначил обследование для дальнейшего лечения. В сложных случаях или неясных результатов, больному могут назначить другие дополнительные методы для диагностики.
Противопоказания
Запрещено проводить КТ беременным женщинам. В случаях, когда больные имеют заболевания щитовидной железы, почечную недостаточность, бронхиальную астму, патологию сердца, страдают миеломной болезнью, сахарным диабетом, при наличии аллергии на йод. Последнее немаловажно, так как контрастирующие препараты имеют в своей основе йод. Кормящим мамам необходимо отказаться от грудного вскармливания на два дня после исследования для исключения негативного воздействия на ребенка.
Ограничениями также может стать пройденное до этого рентгенологическое обследование с барием или прием висмут-содержащих препаратов за несколько дней до процедуры КТ. Барий и висмут — это рентгенопозитивные препараты, которые могут повлечь некоторые проблемы в расшифровке полученных изображений.
Наличие водителя ритма, дефибриллятора, нейростимуляторов и других устройств в теле больного препятствует прохождению КТ, так как во время сканирования возможно нарушение работы томографа.
Если пациент страдает клаустофобией или у него есть психические заболевания, которые мешают сохранять неподвижность во время сканирования, то таким пациентам могут дать седативные препараты.
Что лучше: КТ или МРТ
Ответить, что лучше — МРТ или КТ легких однозначно нельзя, так как у этих методов разные цели при исследовании органов. В основе принципа действия МРТ лежит ядерно-магнитный резонанс атомов водорода, поэтому МР-томограф хорошо видит ткани, насыщенные атомами водорода.
КТ отлично подходит для изучения костных структур. Конечно, МРТ безопаснее для человека, так как основано на действии магнитного поля и не подвергает организм радиационному облучению. Томография легких не предусматривает обследование костных структур, структура легких состоит из воздушных и водных тканей. Границы четко различимы по плотности, и поэтому их можно увидеть и на компьютерной томографии.
КТ легких: что показывает и как проводят
КТ грудной клетки является самым информативным методом диагностики бронхолегочных заболеваний. Послойное сканирование органов выявляет малейшие отклонения в них. Такой возможностью не обладают ни рентген, ни, тем более, флюорография. Так что показывает КТ легких, и в каких случаях назначают процедуру?
Определение КТ
Компьютерная томография легких – это современный метод диагностики, позволяющий визуализировать самые малейшие отклонения в легких и бронхах. В его основе лежит рентгенологическое исследование, в процессе которого создаются поперечные снимки всех отделов органа.
Легкие исследуются под разными углами, что позволяет выявить патологические изменения, которые плохо видны или совсем незаметны на обычном рентгене. В некоторых случаях пациентам назначают КТ с введением контрастного вещества, что значительно улучшает видимость положения легких.
Показания к томографии, ее преимущества
Важно отметить, что компьютерная томография легких – это не произвольная процедура, и не может проводиться при любом удобном случае. Несмотря на безопасные для человека дозы облучения, они в 500 раз превышают уровень облучения при обычном рентгене. КТ нельзя проводить чаще двух раз в год.
Показаниями к томографии являются:
- подозрение на злокачественные опухолевые образования;
- определение места локации воспалительного очага;
- в случае проникновения инородного тела в органы дыхания;
- паразитарные поражения тканей;
- травмы грудной клетки;
- увеличение лимфатических узлов грудного отдела;
- выраженные патологии сердца;
- необходимость выявления метастатического поражения;
- плеврит и пневмония;
- подозрение на саркоидоз или туберкулез;
- структурные изменения легких;
- увеличение объема плевральной жидкости, особенно без обнаружения предрасполагающих факторов.
Как работает КТ
Преимущества томографии заключаются в следующем:
- максимально точная диагностика заболеваний и исчерпывающая информация об органах;
- непродолжительность процедуры;
- быстрое получение результатов;
- возможность дифференциальной диагностики между доброкачественным и злокачественным поражением органов грудной клетки;
- простота проведения и отсутствие каких-либо неприятных ощущений в ходе процедуры;
- возможность отслеживать динамику легких при лечении злокачественного процесса.
Подготовка к томографии, ее проведение
Перед проведением КТ легких подготовка не требуется. В отдельных случаях могут быть назначены анализы с целью выявления противопоказаний. Непосредственно перед процедурой пациент должен снять с себя все металлические вещи.
Если томография проводится с контрастом, то пациента предупреждают о том, что за 6-7 часов до процедуры нужно отказаться от еды. В обязательном порядке пациент дожжен сообщить врачу о наличии хронических заболеваний и индивидуальной реакции организма на определенные вещества, если таковые имеются.
Компьютерная томография легких без контраста проводится следующим образом:
- пациент помещается на кушетку аппарата лицом вверх;
- кушетка заезжает в томографический туннель;
- идет активация рентгеновских лучей, которые направляются в грудную клетку;
- происходит послойная фиксация сегментов мягких тканей; снимки сразу же передаются на монитор специалиста.
В процессе исследования нельзя двигаться и разговаривать, иначе снимки будут недостаточно информативными.
КТ легких занимает несколько минут, и уже через короткое время пациенты могут получить результаты обследования.
КТ с контрастом проводится тем же способом, единственное отличие, – это введение контрастного вещества перед процедурой. Это обеспечивает особую четкость органов на снимках.
Компьютерная томография должна назначаться врачом
Какие патологии показывает КТ
Исследование легких таким способом позволяет увидеть следующие отклонения:
- бронхоплевральный свищ;
- скопившуюся жидкость в легких (плевральный выпот);
- нарушения структуры аорты;
- туберкулезные очаги;
- злокачественные и доброкачественные новообразования;
- метастазы в легких.
Компьютерная томография с максимальной точностью выявляет патологии кровеносной системы и легочных сосудов, а также злокачественные образования на ранних стадиях, которые очень часто не обнаруживаются при обычном рентгенологическом исследовании. Выявление патологий на данных этапах является залогом успешного лечения.
На снимках КТ легких патологические очаги в органах четко видны, что дает возможность поставить диагноз практически со стопроцентной точностью.
Противопоказания к процедуре
Томография легких не проводится при крайне тяжелых состояниях пациента, болезни Паркинсона и в период беременности. С осторожностью исследование назначают пациентам с психическими проблемами. Если КТ легких проходит кормящая женщина, она должна воздержаться от лактации в течение суток после процедуры.
Противопоказания проведения КТ
При назначении КТ детям, врач должен тщательно изучить все «за» и «против». Дело в том, что несформировавшийся детский организм интенсивнее впитывает рентгеновские лучи. Они могут нарушить обменные процессы организма, что в дальнейшем приведет к развитию заболеваний различной этиологии, в том числе и раковых опухолей.
Поэтому важно понимать, что компьютерная томография должна назначаться только при серьезных показаниях. В противном случае риск для здоровья не оправдан.
Расшифровка полученных результатов
Снимок КТ при воспалениях легких
Расшифровкой снимков занимается врач-рентгенолог. Результаты передаются лечащему врачу или же отдаются непосредственно пациенту, который затем передает их в руки врача. В государственных поликлиниках, как правило, результаты готовы в течение суток, некоторые частные учреждения отдают результаты в течение 20-30 минут.
Важность томографии заключается в том, что с ее помощью можно выявить туберкулез или злокачественные образования на самых ранних стадиях, что значительно повышает шансы на выздоровление. Но не стоит забывать, что само по себе КТ легких увеличивает риск этих самых образований в будущем. Поэтому проводить процедуру нужно только при четких подозрениях на развитие патологического процесса. Также не стоит забывать, что в год разрешено не более двух КТ.
Видео: Компьютерная томография (КТ) грудной клетки
Компьютерная томография легких — МРТ-Рентген
В современной медицине все большую популярность занимает компьютерная томография. Данный метод рентгенодиагностики широко применяется для выявления заболеваний любой части организма человека, в том числе и органов грудной полости.
Компьютерная томография легких основана на получении множества снимков органов грудной полости за счет воздействия на тело пациента рентгеновских лучей и их отражения тканями различной плотности.
Компьютерная томография легких
В результате исследования врач получает снимок с изображениями исследуемого органа на различных уровнях (срезы). Изображений на снимке получается столько, сколько нужно для оценки размеров и структуры патологического очага.
Когда назначается томография легких?
КТ грудной клетки можно делать больным с целью выявления:
- новообразований, воспалительных процессов, деструкций и других изменений легких и плевры;
- аномалий крупных сосудов и сердца, нарушение их целостности, а также наличие в них атеросклеротических бляшек;
- травматических повреждений органов и костей грудной клетки, а также диафрагмы;
- патологических изменений в пищеводе.
КТ часто делают с целью контроля результатов проведенного оперативного вмешательства либо курса лучевой терапии. Этот метод рентгено-диагностики показывает патологии, которые невозможно выявить при классическом рентгене.
Как подготовиться к КТ грудной клетки?
Специальной подготовки к проведению компьютерной томографии легких и бронхов не требуется. Однако в случае применения диагностики с контрастом не рекомендуется принимать пищу за 6-8 часов до процедуры. Одежда, в которой больной планирует проводить исследование, должна быть легкой и не ограничивающей движения (руки во время КТ грудной полости нужно будет вытянуть вверх либо сложить за голову, как показано на фото).
Как проводится КТ грудной клетки
Особенности КТ легких
Обследование бронхов и легких сделать можно в таких режимах:
- легочной – можно применять для детального изучения долей, перегородок, щелей, сосудов и бронхов;
- средостенный – можно использовать для исследования артерий, трахеи, сердца, аорты, верхней полой вены, лимфатических узлов.
Довольно часто пациенты боятся, что томография легких приводит к облучению организма. Однако стоит понимать, что доза облучения при этом небольшая (при обычном рентгене применяется большая доза). Доза облучения будет минимальной в случае соблюдения пациентом всех рекомендаций врача.
В ряде случаев требуется проведение томографии с контрастом. Контрастирование, как правило, показывает патологические изменения стенок сосудов и наличие в них тромбов, бляшек. Данная рентгено-диагностика с контрастом должна назначаться только в случае необходимости. Профилактическое проведение томографии с контрастом недопустимо.
Особенности КТ легких
Особенности современных методов КТ
Спиральная томография позволяет диагностировать опухолевые образования на ранних этапах формирования, травматические и воспалительные изменения, врожденные аномалии легких, бронхов и средостения, сосудистые патологии. Исследование проводится посредством трубки, вращающейся по спирали вокруг стола (по продольной оси), который плавно движется вперед. Проведение спиральной томографии сводит к минимуму дозу радиации, действующей на организм, и длительность всей процедуры.
Мультиспиральная компьютерная томография является более совершенным вариантом данного метода рентгенологической диагностики. Аппарат разработан так, что подробный снимок получается всего за одно вращение, за счет расположенных в приборе по окружности рентгеновских датчиков. Этот вид КТ позволяет сделать исследование быстро и качественно, а отсутствие шума при работе аппарата сводит к минимуму нервное напряжение пациента. Доза облучения при таком выполнении процедуры исследования также снижается.
Мультиспиральная томография, как и спиральная, высокоинформативная при обследовании бронхов, сосудов, сердца, а также кишечника.
Расшифровка результатов
Как правило, расшифровку результатов делает врач-рентгенолог. Он дает больному заключение, в котором описаны выявленные при томографии КТ признаки заболеваний органов грудной клетки. Кроме самого описания изменений, выявленных при исследовании, пациент может получить на руки снимок с наиболее информативными изображениями срезов органов грудной полости.
Сколько и какие срезы органа будет на снимке, выбирает врач. На основании расшифровки исследования, лечащий врач ставит окончательный диагноз и назначает необходимый комплекс лечения. Грамотная расшифровка – это залог успешной диагностики и лечения таких патологий легких, как пневмония, туберкулез, саркоидоз, рак.
На основании расшифровки исследования, лечащий врач ставит окончательный диагноз и назначает лечение
Можно ли применять томографию легких у детей?
В ряде случаев возникает необходимость проведения исследования у ребенка. При КТ, как и при других видах рентгено-диагностики, на организм действует определенная доза облучения. Наиболее предпочтительна для детского организма является мультиспиральная томография. Данный вид исследования проводиться очень быстро, а доза облучения при этом минимальная. Применяется и спиральная томография. Однако, несмотря на некоторое негативное воздействие на организм ребенка, родителям стоит понимать, что своевременная диагностика заболевания является залогом быстрого восстановления здоровья.
КТ либо МРТ?
Для исследования системы органов дыхания все же предпочтительнее выполнять КТ, чем МРТ. Это связано с такими фактами:
- МРТ плохо показывает бронхи и легкие;
- МРТ дает нечеткое изображение органов, которые постоянно находятся в движении (даже задержка дыхания не может обеспечить полную неподвижность органов);
- МРТ является менее информативным при онкологических патологиях, нежели томография легких.
МРТ имеет ряд противопоказаний, которые исключают проведение исследование. В этом случае также отдается преимущество КТ, несмотря на то, что на организм при этом действует некоторая доза радиации.
Компьютерная томография органов дыхания. Компьютерная томография легких и бронхов.
Компьютерная томография (КТ) легких относится к информативным инструментальным методам исследования. Оно проводится с помощью специального технического оборудования — томографа. Используя этот прибор, можно получить высокоточные и достоверные снимки легких и органов средостения.
Техника процедуры предполагает послойное просвечивание грудной клетки с помощью дозированного ионизированного излучения, а совмещение рентгеновского исследования с методом компьютерного моделирования делает возможным тщательное изучение органов грудной полости в различных проекциях и своевременное выявление имеющейся патологии.
Это безболезненный метод, который хорошо переносится большинством пациентов. В некоторых случаях исследование проводится с введением контрастных йодосодержащих препаратов.
По времени процедура занимает не более 30 минут, само сканирование проводится мгновенно, за секунды, а вот обработка результатов на компьютере требует времени.
Показания к проведению компьютерной томографии легких
КТ легких проводится:
- для уточнения диагноза при обнаружении сомнительной патологии в ходе рентгенологического исследования: очагов воспаления, подозрении на пневмонию , туберкулез , абсцесс , пневмоторакс или эмфизему легких ;
- при упорных болях в грудной клетке, надсадном кашле, длительной одышке и лихорадке;
- при опухолевых процессах, для обнаружения распространения метастазов;
- для оценки прогресса в лечении онкологических заболеваний, при курсовом лечении химиотерапией;
- при наличии травм грудной клетки;
- при подозрении на нарушение целостности центральных сосудов: легочной артерии или аорты.
Подготовка и проведение исследования
Особой подготовки к КТ легких не требуется, но если назначено обследование с контрастным веществом, врачи рекомендуют за 8 часов до процедуры отказаться от приема пищи, чтобы избежать появления возможных диспепсических расстройств: тошноты и рвоты .
В кабинете томографии пациентам предлагают постелить чистую простынь и лечь на мобильный стол, который можно вращать в различных направлениях. В зависимости от целей исследования, его можно проводить как в положении лежа на спине, так и в положении лежа на животе.
Существует два режима КТ, непосредственно легочный, когда исследуется сам орган и прилежащие к нему бронхи, и режим изучения органов средостения, для изучения состояния и структуры трахеи, лимфатических и кровеносных сосудов.
Что можно увидеть на послойных снимках КТ
Данная методика позволяет диагностировать опухолевые процессы и их распространение в органах, патологию лимфатической системы — увеличение и изменение плотности узлов, воспалительные процессы в легочной и плевральной тканях, обструкцию и сужение бронхов, легочной артерии, верхней полой вены, аорты.
Кроме того, на снимках КТ прекрасно видно рубцы от перенесенной пневмонии или туберкулеза, тромбы в крупных сосудах, жидкость в плевральных полостях, врожденные аномалии в строении органов. У пациентов, занятых на вредных производствах, часто обнаруживаются профессиональные болезни легких, такие как силикоз, асбестоз и другие.
В органах средостения при обследовании могут быть диагностированы: загрудинный зоб, воспаления и дивертикулы перикарда, гнойные воспаления тканей грудной полости, сердечные болезни различной этиологии, аневризмы аорты , опухоли и расширение пищевода.
Преимущества компьютерной томографии при исследовании легких
- Использование малых доз ионизирующего излучения.
- Доступность исследования для людей с имплантатами в области средостения (проведение рентгена и МРТ в таких случаях затруднены).
- В отличие от рентгенограммы методика позволяет хорошо визуализировать вблизи лежащие органы (сердце, пищевод, сосуды, трахею).
- Данная техника позволяет делать качественные снимки самих легких, при МРТ они не достигают должной четкости.
- КТ занимает немного времени, и это делает возможным ее применение в случаях необходимости экстренного обследования, помогает вовремя распознать тревожную патологию и спасти жизнь пациентам.
Противопоказания и ограничения к проведению КТ легких
Компьютерная томография проводится детям и беременным женщинам только в случаях крайней необходимости, когда речь идет о серьезной угрозе жизни и здоровью пациентов. С осторожностью применяются контрастные вещества при обследовании людей, страдающих аллергическими реакциями, следует предупредить об этом и лечащего врача и диагноста, осуществляющего КТ. После проведения обследования с йодосодержащими препаратами кормящим женщинам не рекомендуется давать грудь детям в течение суток.
Компьютерная томография легких противопоказана людям с заболеваниями щитовидной железы и тяжелыми формами сахарного диабета, при миелоидной болезни, лейкозах и лимфогранулематозах, при длительно текущих почечных и печеночных патологиях.
Широко известно, что МРТ является качественным способом обследования состояния пациента. Легкие необходимы организму для того, чтобы обеспечивать качественный газообмен между человеческим телом и окружающей средой. Если начинается какое-то заболевание, именно МРТ становится максимально информативным, рациональным и быстрым способом обследования. Врач с его помощью во всех подробностях видит, что творится с легочной тканью, средостением, мягкими тканями.
Методика осуществляется с помощью улавливания радиоволн, получаемых во время колебаний атомов водорода под воздействием магнитного поля. Кроме того, МРТ легких способно подробно показать любые анатомические изменения не только в легочной ткани, но и в тканях спинного и головного мозга.
Что оно показывает, если полученных сведений оказывается мало? Специалист может провести обследование сразу в двух проекциях (спереди и сбоку). Особенно популярна эта методика в тех случаях, когда нельзя подвергать пациента любому облучению, особенно если это касается многократного обследования, беременных женщин или детей.
МРТ легких ценится специалистами как максимально информативный способ обследования, но что это такое? Оно отображает структурные клеточные изменения, передает патологические образования в легких в виде разнообразных затемнений, дает срезы органов в различных плоскостях (это фронтальная, сагиттальная и прочие). Довольно часто его назначают, если врач подозревает у пациента развитие туберкулеза.
МРТ легких при теберкулезе
Для обследования такого больного применяются специальные контрастные вещества (обычно это магневист, отличающийся плотностью, нужной для диагностики, и хорошей переносимостью пациентами; другие контрастные составы переносятся хуже), призванные диагностировать патологические изменения в тканях, например, гнойный плеврит, каверны, абсцесс. Одним из вариантов обследования легких является МР-ангиография, призванная изучать сосуды.
Методика МРТ работает следующим образом: она выявляет патологические инфильтраты, четко определяет границы и форму воспалений, а также злокачественных образований, степень их проникновения в соседние органы с сосудами, передает все эти сведения в виде трехмерных снимков. При помощи таких данных специалисты моделируют развивающуюся в легких пациента патологию, диагностируют изменения в ткани.
Кроме того, измерение радиоволн в непрерывном магнитном поле дает возможность выявить не только очаговые заболевания, но и состояние плевральной полости, а также лимфатических узлов. Таким образом, обследование предоставляет точную информацию о сосудах, жидкостях, любых новообразованиях, лимфоидной ткани, состоянии соседних органов и тканей.
На МРТ направляют в следующих случаях:
- Если пациенту ставят плеврит.
- Если врач диагностирует увеличение внутригрудных узлов у больного.
- В тех случаях, когда возникают подозрения на наличие патологий в сосудах легких.
- Если имеются объемные новообразования в средостении.
- Когда развиваются опухоли плевры.
- В тех случаях, когда пациенту предстоит операция на грудной клетке.
- Для контроля за состоянием больного, динамикой улучшений после оперативного вмешательства.
Необходимо отметить, что МРТ легких и бронхов в силах не только обрисовать проникновение уже имеющихся опухолей в соседние органы, магистральные сосуды, но и четко разграничить и отличить опухолевые процессы от любых воспалительных поражений легочной ткани (иных проблем с легкими). Именно это достоинство дает обследованию широкие перспективы в будущем.
Почему так предпочтительна МРТ?
МРТ представляет собой крайне ценное обследование еще и потому, что оно очень точно выявляет разнообразные новообразования. А ведь именно своевременное выявление служит лучшей гарантией при лечении рака. С внедрением МРТ выявление рака легких стало намного проще и эффективнее. Врач, осматривая больного, изучает трехмерные снимки легких, видит величину опухолей, их форму, точное местоположение. Это очень важно для выбора наиболее эффективного лечения, а также прогнозов состояния человека. Чем точнее будет диагностика на ранней стадии, тем больше у пациента останется шансов на исцеление.
Не менее важно как можно более раннее обнаружение и для туберкулеза легких, тем более что эта болезнь стала одной из наиболее распространенных проблем дыхательной системы, которая приводит к летальному исходу. Чем раньше будет проведено исследование и выявлена болезнь, тем более успешным окажется лечение. Обнаружение туберкулеза на поздних стадиях не оставляет больному практически никаких надежд на выздоровление и нормальную жизнь.
Что предпочтительнее: МРТ или КТ легких?
Выясняя, что лучше применять, МРТ или КТ легких, нужно иметь в виду следующее: прежде всего нужно отметить, что КТ и МРТ легких и бронхов зиждутся на совершенно различных физических параметрах и явлениях. Аппаратура устроена по-разному, использует разные данные.
- КТ представляет собой рентгеновские лучи, цель которых – предоставить максимум информации о физическом состоянии исследуемых веществ. ее чаще применяют при поражении грудной клетки, таза, живота или основания черепа.
- МРТ основано на действии стабильных, пульсирующих магнитных полей, радиочастотном излучении, что предоставляют сведения о том, как распределяются протоны (то есть атомы водорода). Таким образом, это исследование выдает сведения не о физическом, а о химическом построении и состоянии тканей. Именно потому лучше различаются мягкие ткани, а вот костные структуры резонанса совсем не дают.
Если врач решает использовать КТ, то он будет видеть сами ткани, получит возможность изучить их рентгеновскую плотность, меняющуюся по мере развития болезни. Если же задействуется МРТ, специалист вынужден оценивать получаемые изображения только визуальным способом. Частенько эти методики равноценны и взаимозаменяемы, или могут использоваться параллельно. Но есть ряд случаев, когда более предпочтительна одна или другая.
МРТ предпочтительнее в следующих случаях:
- Когда у пациента наличествует непереносимость контрастного состава, используемого при рентгене. При КТ его применение необходимо.
- Если у больного диагностируют опухоли мозга, инсульты, воспалительные процессы в мозговой ткани или рассеянный склероз.
- Когда приходится обследовать любые поражения позвоночника, заболевания спинного мозга. Как правило, КТ в этих случаях просто бессильна.
- Чаще всего эта диагностика применяется у молодых и пожилых пациентов.
- Если необходимо изучить внутричерепные нервы, а также гипофиз с содержимым орбиты.
- МРТ гораздо лучше и информативнее обследует мышечные ткани, связки, суставные поверхности.
- При помощи контрастного состава (чаще всего это гадолиний) врач может выяснить стадию раковой опухоли.
Кроме того, МРТ абсолютна безвредна и может проводиться несколько раз подряд, так как не оказывает никакого пагубного влияния на организм человека.
Однако необходимо помнить, что применение этой диагностики затруднено или вовсе невозможно для лиц с осколками металла и имплантами в теле, вживленными механизмами, слуховыми аппаратами, водителями ритма, металлическими несъемными протезами, коронками, хирургическими скобами, кава-фильтрами, а также татуировками (если в краске присутствует металл), пирсингом и другими металлическими украшениями.
Нельзя проводить эту диагностику людям в тяжелом состоянии, которые постоянно находятся на аппаратах жизнеобеспечения, пациентам с клаустрофобией, а также неадекватным поведением и различными психическими отклонениями.
Что касается КТ и того, что она показывает, то томография легких предпочтительнее и гораздо информативнее в следующих случаях:
Наука непрерывно совершенствует и улучшает методы обследования. МРТ легких и бронхов на данный момент способно выявить многие заболевания на ранних стадиях, обеспечить полное исцеление человека.
При этом данная методика является безболезненной, абсолютно безопасной и максимально информативной. Правда, во многих случаях его можно заменить компьютерной томографией, а в некоторых придется прибегать только к КТ. Впрочем, есть и свои особенности.
Так, к примеру, томография необходима для обследования пациентов с кистозным фиброзом, но именно МРТ используют для повторных их изучений, так как информация получается гораздо более полной. У КТ пространственное разрешение намного лучше, однако при обследовании бронхов именно МРТ предпочтительнее, если нужно оценить вентиляцию легких и правильность их работы.
Компьютерная томография легких — это послойное рентгеновское отображение структур и органов грудной клетки. Обычная рентгенография представляет собой снимок исследуемого органа целиком или его части. Вследствие наложения одного слоя ткани на другой (суперпозиции), небольшие патологические образования на таком снимке могут быть плохо видны или же совсем не визуализироваться. Для устранения подобных помех сегодня во всём мире используется метод спиральной томографии, он даёт возможность получения отдельного изображения поперечных слоёв органа.
Что представляет собой компьютерная томография?
Легкого, как и представляет собой рентгенологическое исследование, при котором с помощью компьютерного изображения создаются поперечные снимки всего органа. Изображения выдаёт кольцевидный рентгеновский аппарат, который делает снимки лёгкого под разными углами. Основным преимуществом компьютерной томографии перед обычным рентгеновским исследованием является её высокая чувствительность к обнаружению лёгочной патологии. В некоторых случаях сканирование проводится параллельно с введением контрастного вещества (внутривенно), это помогает увидеть положение лёгких гораздо лучше.
Компьютерная томография выполняется в двух режимах
Компьютерная томография легкого выполняется в лёгочном режиме и в режиме органов средостения. В первом случае на снимках можно чётко отследить распределение межсегментарных перегородок и щелей между долями, состояние всех бронхов и практически всех лёгочных сосудов. При исследовании в режиме средостения можно рассмотреть трахею, обе части аорты, сердце и его камеры, ствол и ветви лёгочной артерии, внутригрудные лимфатические узлы. Компьютерная томография легкого не требует от пациента ничего особенного, разве что находиться несколько минут в горизонтальном положении и по просьбе врача на некоторое время задержать дыхание.
В каких случаях показана КТ лёгких?
Компьютерная томография легкого отчётливо показывает бронхи, трахею, лёгочные сосуды, грудные сегменты и доли лёгкого. Она позволяет диагностировать поражение мягких тканей органа, а также состояние крупных кровеносных сосудов — лёгочной артерии и аорты. Компьютерная томография лёгкого показана при следующих состояниях или при подозрении на них:
- новообразования в лёгком и плевральной полости, наличие инородных тел.
- Патология вилочковой железы, наличие жидкости в плевральной полости, воспаление грудных лимфатических узлов, изменение перикарда, заболевания рёбер и грудины.
- Изменение структуры лёгочной ткани.
Компьютерная томография легкого помогает выявить такие заболевания:
- Пневмонию, туберкулёз, плеврит.
- или метастазы в лёгких из других органов.
- Наличие плеврального выпота.
- Аневризму аорты и лёгочную эмболию.
- Эмфизему.
- Патологию средостения.
КТ легкого — безопасная процедура
Уникальность исследования заключается в том, что доза его излучения ничтожно мала, поэтому она с трудом различается счётчиками. Этот факт позволяет применять исследование у детей грудного возраста, причём время процедуры может составлять от одной до семи минут. При этом томография легкого ребёнку может проводиться во время сна и рядом с ним в это время может находиться мама или другой близкий человек. Наличие металлических протезов, кардиостимуляторов и других имплантатов противопоказанием к проведению томографии не являются. Данная методика не причиняет особых неудобств и пациентам с клаустрофобией, так как занимает совсем немного времени.
Томография легкого — это современное исследование, которое позволяет провести раннюю диагностику заболеваний и при этом сохранить пациенту здоровье, а в некоторых случаях — жизнь.
Что показывает томография легких?
- трахея;
- сегменты и доли обоих легких;
- лимфатические узлы внутри грудной клетки;
- бронхи;
- легочные сосуды;
- верхняя полая вена;
- аорта;
- легочная артерия.
- хроническая эмболия;
- эмфизема легких;
- внутригрудная аденопатия;
- цирроз легких;
- диффузные патологии;
- нарушения в функционировании органов следствие особенностей профессиональной деятельности, например, вдыхания мелкодисперсных частиц асбеста, кремния или кварца.
- очень высокое качество получаемой картинки;
- выявление минимальных патологических изменений в легких, которые невозможно обнаружить посредством стандартных способ исследования;
- максимальная информативность построенных изображений благодаря применению трехмерной технологии послойного наложения срезов;
- подробная и детальная реконструкция сосудов в любой заданной плоскости без потери качества картинки;
- высокая скорость сканирования;
- возможность дополнительного применения контрастной жидкости (автоматический шприц) при необходимости исследования сосудов.
Как делают компьютерную томографию легких?
Вредна ли томография легких?
КТ легких давно стала одним из самых популярных исследований. Все благодаря ее точности и безболезненности. Томография позволяет определять разные заболевания. Притом делает это даже на самых ранних стадиях, когда большинство альтернативных способов обследования организма оказываются бессильными.
Когда делают КТ легких?
Это рентгенологическое исследование. Но в отличие от традиционного рентгена, компьютерная томография не так вредна. Назначают ее, как правило, для того, чтобы уточнить, действительно ли в легких и органах средостения произошли какие-либо изменения. То есть, проводиться процедура должна после рентгенографии или флюорографии и только в том случае, если результаты исследований вызывают подозрения.
Обычно на КТ направляют при:
- наличии в бронхах инородных тел;
- подозрении на наличие добро- или злокачественных опухолей;
- болезнях грудины;
- нарушениях в околосердечной сумке;
- бронхоэктатических заболеваниях;
- подозрениях на объемное образование средостения;
- изменении структуры легких;
- воспалительных процессах в лимфоузлах в груди;
- патологиях вилочковой железы.
Что показывает КТ легких?
Компьютерная томография назначается для выявления таких заболеваний легких, как хроническая эмболия или туберкулез. Кроме того, исследование определяет наличие в органе опухолей и воспалительных процессов. Нередко его назначают пациентам с подозрениями на профзаболевания, вызванные вдыханием химических частичек.
В расшифровке КТ легких содержится информация о состоянии легочных тканей, плевры, бронхов, трахеи, легочной артерии, верхней полой вены, грудной аорты. Если была обнаружена опухоль, в заключении должно присутствовать полное описание ее и ее распространения.
КТ легких с контрастом
Эту процедуру принято называть ангиографией. Выполняется она в основном только в тех случаях, когда подтверждается наличие новообразования. Исследование с контрастным веществом дает еще более точные данные, касающиеся не только опухоли, но и состояния сосудов.
КТ с контрастом определяет:
- наличие ;
- аневризмы;
- тромбоэмболию легочной артерии;
- пневмонию;
- места в сосудах с нарушенной проходимостью;
- карциному бронхов.
При пневмонии на КТ в легких видны очаги воспаления. Томография для диагностики недуга применяется далеко не всегда. Ее назначают в тех случаях, когда обычное рентгенологическое исследование нужных результатов не показало.
Как делают КТ легких?
Для процедуры используется специальный аппарат, внешне напоминающий достаточно крупный квадратный туннель. Внутри к нему прикреплен подвижный стол. Устройство подключено к компьютеру и контролируется с его помощью.
Принцип КТ основывается на том, что разные ткани в теле человека пропускают рентгеновские лучи неодинаково. Те, что плотнее, рассеивают свет, менее плотные – поглощают его. Во время каждого из процессов происходят импульсы. Приборы фиксируют их, а после обрабатывают и выводят в виде многослойного изображения на экран.
Как часто можно делать КТ легких?
Поскольку процедура напрямую связана с рентгеновским излучением, слишком часто проводить ее нельзя. Перед исследованием врач должен подробно изучить карту пациента и выяснить полученную им лучевую нагрузку.
Делать компьютерную томографию, даже если лимит облучения превышен, нужно только в том случае, когда она реально может спасти жизнь, и ни один из альтернативных диагностических методов при этом неэффективен.
Вариантом выхода из ситуации может также быть спиральная КТ, которая существенно снижает дозу получаемого облучения.