
Эпителий плоский в моче у ребенка
При сдаче анализов мочи у ребенка врач может выявить в ней эпителии. Что собой представляют такие клетки, какую опасность они несут для ребенка, а также иные моменты сдачи анализа читайте в данной статье.
Наличие плоского эпителия в моче у ребенка
Для каждого родителя здоровье их малыша важно. Поэтому, когда появляются у грудничка или более старших детей какие-то неприятные симптомы, то они спешат посетить врача, который и может диагностировать наличие определенного заболевания у детей или его отсутствие. При этом врач проводит разные исследования, в том числе и тестирование мочи малыша на выявление тех или иных бактерий или микроорганизмов, которые могут негативно отразиться на здоровье ребенка. При проведении анализа мочи малыша врач может выявить в ней плоский эпителий. Что это значит, и какую это опасность представляет для ребенка, а также какая норма плоского эпителия должна быть в моче у ребенка?
Определение количества плоских эпителий в моче малыша производится при помощи клинического анализа сбора. Это дает возможность не только выявить общее количество плоских эпителий в моче ребенка, но также определить их тип и увидеть отличия от нормы.
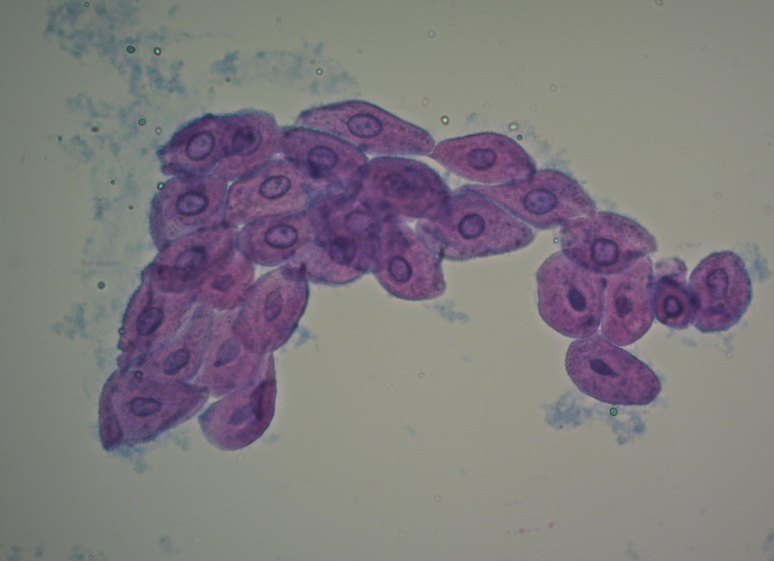
Известно на данный момент три типа этих клеток:
- Плоские.
- Почечные.
- Переходные.
Часто при диагностировании специалист может выявить в моче у детей именно плоский эпителий, реже – переходной. Особо отмечается, что в урине новорожденного можно при тестировании выявить большое количество разных типов эпителий. Это могут быть как плоские, так и переходные. Их норма в моче у таких детей может быть разная. Такая ситуация обычно не должна вызывать беспокойства у врача или родителей, так как ситуация считается нормой именно для детей. Мочеполовая система детей всё время развивается, а потому в ней происходят разные процессы в момент роста детей. Такая ситуация не должна вызывать беспокойства на протяжении 2-3 недель после рождения. Далее, когда норма таких клеток не уменьшится, то тут стоит доктору уже провести более детальное обследование детей.
Появление эпителий в моче и правильность сбора материала
В мочу малыша клетки эпителии могут попасть из мочевика, так как именно там клетки могут постоянно отслаиваться от поверхности органа. Для детей считается нормой, когда в их урине при диагностировании специалист выявит не более трех клеток на миллилитр мочи. Также иногда такая норма может быть увеличена. Это происходит по разным причинам. Наиболее распространенными являются такие:
- Воспаление путей для выведения мочи. Также у ребенка может развиться и цистит.
- Воспалительные процессы в половых органах (тут также может присутствовать и неправильный сбор материала).
- Врожденные заболевания почек.
- Нарушенное снабжение кровью органов малого таза.
- Прием лекарство на протяжении длительного времени.
- Процесс гниения в организме.
Также наличие таких телец в материале у малыша может быть вызван неправильным сбором, так как эпителии могут попасть в жидкость и из половых органов малыша. Чтобы тестирование было правильным и точным, перед сбором материала стоит произвести гигиенические процедуры, а именно потребуется тщательно промыть промежность теплой водой с использованием мыла. Далее ее надо сполоснуть и протереть. Собирать мочу надо в вымытую емкость. Такую можно также и купить в аптеке. Для сбора пригодится только средняя моча, то есть первую и последнюю струю нужно спустить в унитаз. После сбора урины доставить ее в лабораторию для исследования надо на протяжении 1-2 часов.
Рекомендации для родителей маленьких детей
Врачи отмечают, что часто некоторые болезни органов малого таза могут протекать без ярко выраженных симптомов, а потому родители могут даже не догадываться, что в организме их малыша протекают какие-то воспалительные или иные негативные процессы. Когда при тестировании в моче ребенка будет обнаружено большое количество эпителий, то следует при этом обратить внимание на состояние малыша. У него во время этого может быть повышенная температура, болеть живот или спина, он будет чувствовать вялость и слабость в организме. При появлении таких симптомов важно незамедлительно посетить доктора и не откладывать это.
Кроме плоского типа эпителий в моче у малыша могут быть обнаружены и переходные клетки. Он обычно располагается в организме в мочевике или в путях, по которым моча выводится с организма. Также в моче ребенка может быть обнаружен и почечный эпителий.
Тут стоит помнить, что когда такие клетки есть в материале в небольших количествах, особенно у самых маленьких детей, то, когда состояние малыша нормальное и нет выраженных симптомов, это не должно вызывать беспокойства. Но когда количество эпителия высокое, а также проявляется определенная симптоматика, то это должно стать поводом для того, чтобы посетить врача.
В некоторых случаях доктор при проведении тестирования сбора у детей в моче может обнаружить и другие элементы, что должно стать поводом для беспокойства. Среди таких элементов можно отметить соли. Они появляются в организме, когда там нарушен процесс переваривания пищи. Мочевая кислота может появиться после употребления мясного блюда, помидор, апельсина, винограда и прочих продуктов.
Такие соли у детей не должны быть в моче в большом количестве. Когда их количество будет повышено, то тут стоит тоже сразу обращаться к доктору, который произведет дополнительное обследование, поставит правильный диагноз и начнет своевременно лечение.
Анализы мочи стоит сдавать только в лаборатории, где и производится их расшифровка опытными специалистами. Только соблюдение правил сбора и сдачи материала, а также опыт врача помогут правильно поставить диагноз, выяснить, какие органы не работают или плохо работают, а также назначить определенный медикаменты и процедуры для лечения и устранения неприятных симптомов.
(1 оценок, среднее: 5,00 из 5) Загрузка…
Эпителий плоский в моче у ребенка: норма, правильный сбор, профилактика
Обязанность ответственных родителей – обеспечить рост и развитие своего ребенка. Здоровье детей является определяющим фактором при воспитании и гарантии нормального развития. Родители маленьких детей часто обращаются к педиатру, может быть, даже излишне перестраховываясь. При обращении к врачу практически всегда назначается общий анализ мочи ребенка. Этот анализ довольно прост и позволяет быстро выявить качественные и количественные отклонения от нормы, что немаловажно при постановке диагноза и анализе общего состояния организма. И очень часто анализ показывает наличие плоского эпителия в моче ребенка, особенно мальчиков. Это вызывает беспокойство родителей, но всегда ли это патология?
Эпителий в моче – что это?
Эпителиальные клетки это клетки поверхностных тканей, которые выстилают все поверхности нашего тела, в том числе сосуды и проводящие пути мочеполовой системы.
В общем анализе мочи могут встречаться следующие виды эпителиальных клеток:
- однослойный плоский эпителий нижних отделов уретры и мочевого пузыря;
- кубические клетки переходного эпителия лоханок почек и проводящих путей до верхних отделов уретры;
- клетки почечного эпителия, выстилающие нефроновые канальцы почек.
Присутствие клеток почечного эпителия при общих нормальных показаниях (отсутствие белка, клеток крови) считают вариантом нормы. Для других видов эпителиальных клеток их количество должно быть минимально, но присутствуют они практически всегда.
Плоский эпителий в норме
Физиологическая норма для любого показателя это количественные показатели, наблюдаемые лаборантом в окуляр микроскопа и которые вписываются в физиологические интервалы. Для клеток эпителия нижних отделов уретры для мальчиков это до 3-5 единиц, для девочек – единицы или же отсутствие. Такие различия связаны с анатомическими различиями в строении мочеполовой системы. Если количество клеток плоского эпителия в моче выше нормы, первоначально считается, что анализы не чисты и назначается повторный сбор мочи. При повторном анализе, если показатели снова не соответствуют норме, стоит уделить этому большее внимание.
Важно! В моче у новорожденных присутствие всех видов эпителия (плоский, кубический и почечный) считается нормой. Это первый этап адаптации выделительной системы младенца к жизни вне утробы матери.
Заболевание или нет
Сразу оговоримся. Диагноз может поставить только специалист с учетом всех качественных и количественных показателей анализа не только мочи, но и крови, с учетом общего обследования пациента. Врач обратит внимание на сопутствующие признаки, а именно повышенная температура, боли в области почек или мочевыводящих путей и многие другие диагностические признаки.
Важно! Правильный сбор материала для анализа – первый этап успешной диагностики.
Повышенные показатели плоского эпителия могут говорить о следующем:
- наличие повреждений проводящих путей теми же кристаллами солей в моче;
- механические повреждения уретры;
- воспаления моче-проводящих путей и мочевого пузыря, возникающие в результате заражения вирусными, бактериальными или грибковыми заболеваниями;
- заболевания, связанные с функционированием нефронов, как структурной единицы выделительной системы почек;
- повышение количества эпителия может быть вызвано приемом некоторых лекарственных препаратов (препаратов от кашля, например);
- воспалительные процессы в простате, что не так часто встречается у мальчиков;
- общая интоксикация организма при различных отравлениях;
- неправильный сбор материала для анализа.
Читайте также: Причины плохого анализа мочи у ребенка
В любом случае для правильной диагностики состояния ребенка врач кроме тщательного осмотра пациента назначит дополнительный уточняющий спектр анализов.
Важно! Все показатели анализов рассматриваются в совокупности и ни один не может быть выделен главным. Профессионал заставит родителей сделать повторные или уточняющие исследования и только после этого можно говорить о постановке диагноза и вариантов отслеживания динамики изменения показателей.
Главный этап – правильный сбор
Казалось бы, чего же проще, чем собрать мочу для анализа. Но каждая мамочка знает, как иногда не просто осуществить это действие.
Правильной подготовкой и сбором анализа для исследования будет:
- Провести тщательную гигиену наружных половых органов. В равной мере касается и мальчиков и девочек, для исключения попадания в анализ эпителия наружных половых органов.
- Сбор анализов проводится в стерильную емкость. В аптечных пунктах предложат приобрести не стерильные контейнеры для данного вида анализов. Перед сбором мочи, емкость необходимо простерилизовать обдав кипятком.
- Наиболее подходящей и информативной является утренняя (первая) средняя часть урины.
Если материал для анализа собран правильно, стерильно закрыт и доставлен в лабораторию, результаты исследования можно считать достоверными.
Как предотвратить
Стопроцентная истина – лучше не болеть, чем успешно лечиться. Когда болеют дети, особенно маленькие, для родителей это очень тяжелое испытание. Несколько советов, как уберечь мочеполовую систему своего ребенка.
В первую очередь на состояние выделительной системы будет влиять ее нагрузка. Следите за рационом ребенка, чтоб не перегружать почки излишне мочегонными продуктами (например, отвар шиповника или арбузы). Все хорошо в меру.
Следите за температурным режимом мочеполовой системы. Переохлаждение, как и перегрев, не могут быть одинаково хороши для развивающегося организма.
Укрепляйте общий иммунитет ребенка, занимайтесь физкультурными упражнениями.
Читайте также: Наличие ацетона в анализе мочи ребенка
Обратите внимание на наследственные патологии в данной системе в роду родителей ребенка. Наследственные заболевания могут быть причиной завышенных показаний плоского эпителия в анализах (от анатомических особенностей строения органов до наследственных заболеваний почек).
Важно! В период появления первых месячных у девочек в их анализах может появиться повышение данного показателя.
При повышенных показателях плоского эпителия в моче ребенка не стоит слишком рано паниковать. В первую очередь, при норме по другим показателям, стоит предположить ошибки в сборе и транспортировке материала для анализа. Если показатели повторяются и при повторном исследовании, скорее всего в наличии инфекция органов выделительной системы, которая может быть выявлена дополнительным спектром анализов. Не стоит родителям играть в доктора со здоровьем своих детей. Ищите доктора, который вызывает доверие и имеет хорошие отзывы. Люди в белых халатах не враги, сами сто раз перепроверят данные. Поверьте, не зря на доктора учат столько лет!
Эпителий плоский в моче у ребенка
Здоровье маленького человека, как в физическом так и психологическом плане, считается для его родителей главным в жизни.
Именно поэтому, различного рода смены в самочувствии малыша, это серьезная причина для переживаний его родителей и обращение к специалисту узкого профиля.
Врач обязательно должен назначить лабораторные исследования, такие как общий анализ крови и общий анализ мочи. Результаты будут рассматриваться при более детальном осмотре малыша.
Различного рода показатели, которые находятся в отклонении от нормы, а в особенности, где есть запись — плоский, цилиндрический, кубический эпителий содержащийся в большом количестве, повергает родителей в шок и вызывает приступы панического страха.
Провоцирующие факторы
Множество различного рода недугов, имеющих инфекционный и неинфекционный характер, провоцируют отслойку плоского эпителия со стенок мочевыделительного тракта.
Такими факторами являются:
- Болезни воспалительного характера, возникающие в фильтрационных органах, а также болезни мочевыводящих путей, циститы, уретриты и некоторые другие.
- Нефропатия дисметаболического характера — при этом виде недуга, клетки плоского эпителия начинают отшелушиваться при начале самопроизвольного отхождения молей и песка из почечных структур. Этот вид патологического состояния вызывает дискомфорт во время акта мочеиспускания.
- Застойные явления в мочевом пузыре и мочевыводящих каналах, по причине некоторых стрессовых ситуаций, перенесенных ребенком, а также при самовольном удержании мочи ребенком, нарушение нейрорегуляции мочевого пузыря.
- Патология пузырно-мочеточникового рефлюкса, характеризуется возвратом мочи из мочевого пузыря обратно в почки.
- Прием медикаментозных средств на протяжении длительного периода, которые впоследствии вызвали откладывание солей и перерождение в спазм мочевыделительного тракта — непосредственно этими лекарственными препаратами считают: антибиотики, препараты сульфаниламидного ряда, лекарства разжижающие мокроту, препараты комбинированного состава против кашля.
- Воспаления в половой системе — воспаление яичек, воспаление слизистой оболочки влагалища, воспаления внешних половых органов у девочек, воспаления придатком семенников.
- В результате забора анализа мочи путем катетеризации и травмировании уретры.
- Отравления общего характера, инфекционные болезни, гнойничковые процессы в организме ребенка.
- Нарушение сбора урины и нарушение ее перевозки.
Что делать при появлении плоского эпителия в моче
Болезни мочевыделительной системы имеют свойство скрываться в течении длительного периода, симптоматика может отсутствовать или же слабо проявляться. Кроме того, они могут маскироваться под другие виды недуги, такие как вирусные инфекции, воспаление аппендикса, воспаление легких, и некоторые другие.
Помимо появления плоского эпителия в моче, проявлением патологических процессов в почках, могут быть слабость у ребенка, неестественная вялость, бледность кожных покровов, повышение температуры тела, боли в голове, частые головокружения, тошнота, отсутствие желания кушать.
Развитию недуга могут способствовать некоторые факторы:
- Наследственная предрасположенность. При наличии непосредственно патологий почек у родителей или же родственников, появляется большая вероятность появления заболевания у ребенка до 75%.
- Тяжелое течение беременности, отягощенное поздними токсикозами, поражением паренхимы почек различной этиологии, недостаточность плаценты.
- Роды с патологией — признаки удушья, недоношенность младенца, пороки развития врожденного характера.
- Перенесенная маленьким ребенком инфекция — рожа, скарлатина, ангина, стрептодермия, тонзиллит.
- Инфекционные заболевания других органов и систем.
Нужно посетить специалиста и посоветоваться по поводу дальнейшего метода терапевтических мероприятий.
В случае появления плоского эпителия в моче у ребенка, могут появляться идругие виды проявлений клинической картины:
- боли приступообразного характера в области поясницы;
- нарушение акта мочеиспускания;
- вялое состояние;
- повышение температуры тела;
- срыгивания у малышей.
Что же такое эпителий
Присутствие эпителия в моче у малыша это один из составляющих урины.
А вот признаки патологического состояния зависят от типовой принадлежности клеток — плоский, почечный, переходный, а также количество содержащиеся его в урине.
Нормальное содержание элементов в моче ребенка
Непосредственно плоский эпителий находится в отделах нижних частей мочевыделительного тракта, а именно в мочевыделительном канале и мочевом пузыре. Соответственно, присутствие плоского эпителия в анализе мочи ребенка в допускаемом нормами количестве, является физиологическим состоянием. Наличие его в моче означает, что отшелушились клетки слизистых оболочек и попали в порцию выделяемой ребенком урины.
Кроме того, нормальным считается присутствие нескольких клеток переходного (кубического или цилиндрического) вид эпителия. Это вид клеток находится в лоханках почечных структур, мочеточников и мочевого пузыря. А также находится в верхних отделах уретры.
Состояния патологического характера
Наличие в анализе мочи патологического количества плоского или кубического эпителия, напрямую указывает на то, что в мочевыделительной системе ребенка начался процесс характерный для воспаления:
- Огромное количество клеток плоского эпителия — показывает, что процессы воспалительного характера развиваются непосредственно в нижних отделах мочевыделительной системы — уретре и мочевом пузыре. Кроме того, возможно воспаление в половых органах, что является прямым нарушением правил личной гигиены, а также неправильный сбор мочи.
- Большое количество плоского и цилиндрического эпителия, указывает на возникновение инфекционно-воспалительного недуга, локализующегося в верхних отделах мочевыделительного тракта, пузыре, мочеточниках и лоханках почек. Такое возможно при пиелонефрите и образовании конкрементов в почках.
- Появление любого вида эпителия, который выстилает органы мочевыделительной системы, является плохим признаком, и указывает на проявления патологических процессов в почках — воспаление канальцев почечных единиц, туберкулез почек, тубулярный некроз, а также врожденные патологии почек, не обнаруженные ранее.
Помимо присутствия большого количества почечного эпителия в анализе урины, при прогрессивных патологических состояний в почках отмечают отклонения:
Клиническая картина:
- болезненные ощущения и жжение во время акта мочеиспускания;
- задержки при желании мочеиспускания;
- невозможность удерживать урину;
- отечность периферийных органов;
- быстрая утомляемость;
- боли в голове;
- порции мочи небольшие и прерывистые;
- болезненные ощущения в пояснице.
Показатели, которые могут измениться при возникновении патологий:
- эритроцитоз;
- присутствие слизи в моче;
- лейкоцитоз;
- бактериурия;
- соли различного состава — оксалаты, ураты, фосфаты.
Общие изменения в анализах крови, а также при лабораторных исследованиях и методах диагностики, которые включают в себя ультразвуковое исследование почек, компьютерно резонансную томографию, КТ, цистоскопию и экскреторную урографию, обнаруживают патологические изменения в системе мочевыделительного тракта.
Лечение заболеваний
После того, как врач назначает пересдачу анализа, и он является положительным, специалист назначает специфические методы лечения. Первым делом необходимо удалить очаг бактериального воспалительного процесса, для этого назначают проведение антибиотикотерапии.
Наиболее распространенными являются медикаментозные препараты — Клавуланат и Амоксициллин.
При переходе заболевания в стадию воспаления почек, назначают другие виды антибиотиков — Цефотаксим и Цефепим. Помимо этого, курс терапии включает в себя назначение противовоспалительных препаратов, который снимают зуд и отечности. Чаще всего детям назначают Канефрон и Фурагин.
Необходимо соблюдение диетического питания, которое исключает содержание соленой пищи, белковой пищи, и включает в себя большое количество жидкости.
Но стоит помнить, что проводить лечение малыша, можно только под строгим наблюдением специалиста. В дальнейшем это поможет сохранить ребенку здоровье и предотвратить переход заболевания в стадию хронического вида недуга.
Эпителий плоский в моче норма у детей
Проведение лабораторного анализа мочи – стандартная процедура, назначаемая педиатром. Направление выдается не только при наличии жалоб на плохое самочувствие, но и с целью проверить здоровье малыша, и подтвердить отсутствие патологий и воспалительных процессов.
Как правильно собирать у детей общий анализ мочи, можно ли самостоятельно расшифровать результаты, а также каковы могут быть причины плохих анализов — вот вопросы, которые интересуют каждого родителя. И мы на них ответим.
к оглавлению ↑
Подготовка, как правильно сдавать
Объективность полученного результата в первую очередь зависит от правильно проведенного сбора мочи.
Постарайтесь не давать ребенку ярко окрашенных овощей и фруктов (цитрусы, морковь, свекла) в течение дня перед сбором, так как цвет мочи может измениться, что затруднит работу лаборанта.
Очень важно соблюдать стерильность, поэтому ни в коем случае не стоит делать следующее:
До мочеиспускания не следует надевать на малыша подгузник, чтобы не сместить устройство. После аккуратно слить мочу в стерильный контейнер с герметичной крышкой.
Как и сколько надо собрать для сдачи
Итак, как правильно сдать общий анализ мочи ребенку? Общие правила:
В случае длительного хранения (более 3-х часов) изменяются химические свойства мочи, что исказит результаты анализа. А сколько нужно миллилитров мочи для общего анализа у ребенка?
Узнайте на нашем сайте о симптомах и лечении обструктивного бронхита у детей – расскажем, как быстро распознать опасное заболевание!
В нашем следующем материале вы узнаете о методах лечения туберкулеза у детей, и существуют ли меры профилактики.
В этой статье предлагаем ознакомиться с дыхательной гимнастикой при астме, разработанной специально для детей.
Что показывает ОАМ
Проводя ОАМ, оценивают следующие показатели:
Нормальные показатели до года и старше
Нормы показателей клинического общего анализа мочи у детей и расшифровка результатов представлены в следующей таблице:
| Показатель | Норма | |||
| Новорожденные | 2-3 года | 4-12 лет | Старше 12 лет | |
| Цвет | Может быть практически бесцветной или светло-лимонного цвета. | От соломенно-желтого до янтарно-желтого цвета | ||
| Прозрачность | Полная (отсутствует мутность или осадок) | |||
| Запах | Не резкий | |||
| Относительная плотность, г/л | 1001-1018 | 1010-1016 | 1012-1025 | 1010-1025 |
| рН | 4,5-8,0 | |||
| Содержание белка, г/л | В норме допускает содержание до 5 г/л. Особенно в период начала ходьбы. В медицине это носит термин «ортостатическая протеинурия» | Отсутствие или следовое количество не превышающее 0,033 г/л | ||
| Содержание сахара, ммоль/л | Повышенное содержание сахара не является патологией | Не более 0,8 | ||
| Билирубин | Отсутствует | |||
| Кетоновые тела | Не найдены | |||
| Эритроциты | До 7-ми штук в поле зрения | Не более 2-3 штук | ||
| Лейкоциты | Для мальчиков норма – 5-7 штук в поле зрения, для девочек – 7-10 штук. | |||
| Цилиндры | Отсутствуют | |||
| Плоский и переходный эпителии | Допускаются единичные клетки в поле зрения | |||
| Почечный эпителий | отсутствует | |||
| Содержание солей | Допускается небольшое количество уратов и оксалатов (до 1,3 мг). Другие соли отсутствуют. | |||
| Бактерии | Отсутствуют |
Диагностика возможных нарушений
Что показывает ОАМ у детей?
Отклонения от нормы, как правило, связаны с наличием различного рода заболеваний.
Все показатели можно классифицировать на следующие основные группы:
Цвет, прозрачность и запах
Моча может поменять цвет из-за употребления ярко окрашенных продуктов питания. Но также изменение цвета может свидетельствовать о наличии различных заболеваний или нарушений жизнедеятельности организма:
Снижение прозрачности может быть связано с наличием лимфостаза в почках (нарушение оттока лимфы), амилоидоза (появление в тканях нерастворимого белкового комплекса амилоида), дисметаболическая нефропатия (нарушение обменных процессов).
Отклонения физических свойств
Плотность мочи повышается при обезвоживании и отравлении. Также она увеличена при сахарном диабете и нарушении концентрационной функции почек.
Но причина может быть и более безобидной, например, чрезмерное присутствие в рационе ребенка мясной пищи.
Заниженный показатель может возникнуть из-за обильного питья, употребления большого количества овощей и фруктов. Но низкая плотность также может быть связана с пиелонефритом (воспаление почек) или несахарным мочеизнурением (нарушение работы эндокринной системы).
Показатель кислотности (рН) в норме может быть в диапазоне от слабокислой до нейтральной и слабощелочной. Повышенная кислотность (ниже 4,5) может проявляться при сахарном диабете, почечной недостаточности.
А также при употреблении большого количества жирной и белковой пищи.
Биохимические данные
В медицине обнаружение белка в моче носит термин «протеинурия». Наблюдается при инфекционно-воспалительных заболеваниях почек (гломерулонефрит, амилоидоз, нефротический синдром, склероз почек). А также о лихорадочном состоянии.
Увеличенное содержание сахара может быть связано с питанием, если ребенок есть много сладкого и мучного. Но также может быть показателем сахарного диабета, острого панкреатита, нефротического синдрома.
Микроскопические показания
В данном случае для анализа используют осадок, поэтому результаты приводятся в единицах в поле зрения.
Повышение количества найденных эритроцитов наблюдается при травмах почек, гломерулонефрите, цистите, уретрите.
Увеличенное число лейкоцитов говорит о наличие инфекционно-воспалительного процесса в организме.
Незначительное количество плоского эпителия, который покрывает нижнее отделы мочевыводящих путей, не является патологией.
Обнаружение в большом количестве переходного эпителия связно с воспалением мочеточников, лоханок почек или мочевого пузыря.
Тревожным сигналом является обнаружение в моче почечного эпителия. Это свидетельствует о патологии паренхимы почек.
Об эффективном лечении цистита у детей и препаратах, назначаемых при этом заболевании, узнайте на страницах нашего сайта.
Все о диагностике гастрита у ребенка, как выявить коварное заболевание на ранних сроках, читайте вот здесь.
А какие антибиотики считаются самыми эффективными при кишечной инфекции у детей? Подробности ищите в этом материале: https://malutka.pro/bolezni/zhkt/kishechnyie-infektsii.html.
Когда необходима консультация врача
В домашних условиях оценить качество мочи ребенка можно только по показателям цвета, прозрачности и запаха. Спровоцировать внешние отклонения могут продукты питания.
Если ребенок не жалуется на слабость и плохое самочувствие, то проанализируйте, что он ел последние 2-3 суток, возможно, причина в этом.
Об основных показателях общего анализа мочи у ребенка расскажет доктор Комаровский в следующем видео-ролике:
Теперь вы осведомлены об основных показателях, которые определяются при общем анализе мочи и, получив на руки результат, можете самостоятельно сравнить его с принятыми нормами. Но при обнаружении отклонения не пугайте себя заранее страшными диагнозами. Обратитесь к лечащему врачу для постановки диагноза, назначению дополнительных анализов или необходимого лечения.
malutka.pro
Разбираемся в вопросе
Эпителий в моче у ребенка является одним из показателей общего анализа мочи.
Признаки нормы и патологии зависят от типа клеток (плоский, переходный или почечный эпителий) и его количества в моче.
Норма
Плоский эпителий выстилает нижние отделы мочевыделительной системы: уретру и мочевой пузырь. Поэтому плоский эпителий в моче ребенка в небольшом количестве присутствует почти всегда, что связано с отшелушиванием клеток со слизистых и попаданием их в урину.
Также нормой считается наличие единичных клеток переходного (кубического или цилиндрического) эпителия, который выстилает лоханки почек, мочеточники, мочевой пузырь и верхние отделы уретры.
Когда эпителий в моче ребенка свидетельствует о патологии
Резкое повышение показателей наличия плоского или переходного эпителия («эпителий в большом количестве») указывает на наличие воспалительного процесса мочевыделительной системы:
- значительное повышение количества только клеток плоского эпителия указывает на воспалительные процессы в нижних отделах мочеиспускательного канала (уретрите) и мочевом пузыре (цистите), а также воспаление половой сферы, недостаточную гигиену половых органов или несоблюдение правил сбора мочи;
- повышение в порции мочи клеток плоского и/или переходного эпителия может свидетельствовать об инфекционно-воспалительных заболеваниях верхних отделов уретры (уретрит), мочевого пузыря (цистит), мочеточников и лоханок почек (пиелонефрит, мочекаменная болезнь);
- наличие любого количества почечного эпителия считается неблагоприятным признаком и указывает на развитие патологии почек: гломерулонефрита, пиелонефрита, гидронефроза, пиелита, других опасных заболеваний (нефросклероза, тубулярного некроза, туберкулеза почек) и врожденную патологию почек и мочевыводящих путей.
Также, кроме резкого повышения наличия эпителия в моче, при развитии и прогрессировании патологии мочевыделительной системы отмечаются:
- клинические проявления заболевания: боли при мочеиспускании, задержка мочеиспусканий или недержание мочи, отеки, выраженная слабость, головная боль, мочеиспускание малыми порциями мочи, боль в пояснице, которая облегчается при принятии коленно-локтевого положения;
- резкое повышение в анализе мочи других показателей: белок, эритроциты, слизь, лейкоциты, соли, бактерии;
- изменения в анализах крови;
- патологические изменения в органах системы мочевыведения при инструментальных исследованиях (УЗИ, КТ, МРТ, цистоскопии, экскреторной урографии).
Заболевания и патологические состояния, при которых отмечается резкое повышение показателей с наличием эпителия в моче:
- инфекционно-воспалительные заболевания почек (переходный и почечный эпителий), мочеточников, мочевого пузыря, верхних отделов уретры (переходный эпителий и резкое повышение плоского эпителия) и мочеиспускательного канала (единичные элементы переходного эпителия и значительное повышение плоского эпителия в анализе мочи);
- дисметаболическая нефропатия (отшелушивание клеток плоского и переходного эпителия при самопроизвольном отхождении солей и песка, которые вызывают значительное раздражение мочеиспускательного канала ребенка);
- длительный застой мочи в мочевом пузыре и мочеточниках при неврогенном мочевом пузыре, стрессах, самопроизвольном удержании мочи ребенком;
- пузырно-мочеточниковый рефлюкс (врожденный или приобретенный) — обратный заброс мочи из мочевого пузыря в почки;
- длительный приём некоторых лекарственных препаратов, вызывающих отложение солей и переходящий в спазм мочевыводящего тракта (антибиотики, сульфаниламидные препараты, муколитики, комбинированные противокашлевые препараты);
- воспаление половой сферы (орхит, вагинит, вульвит, везикулит, эпидидимит);
- забор мочи катетером (в анализе мочи могут присутствовать клетки переходного эпителия);
- интоксикации различного генеза: отравления, инфекционные заболевания, распространенные гнойные процессы;
- нарушения кровообращения;
- неправильный сбор мочи и нарушения при ее транспортировке.
Рекомендации родителям
Заболевания мочевыделительной системы достаточно коварны и в течение длительного времени могут протекать бессимптомно или иметь признаки других заболеваний (вирусная инфекция, аппендицит, пневмония, ВСД), особенно у детей. Первыми проявлениями патологии почек или мочевыводящих путей, помимо наличия эпителия в моче ребенка, являются – стойкая слабость, вялость, бледность, повышение температуры тела, головная боль, головокружения, тошнота, стойкое снижение аппетита, срыгивания и беспокойство у грудничков.
Важными аспектами считаются предрасполагающие факторы, которые могут спровоцировать развитие заболеваний.
- Отягощенная наследственность. При наличии почечной патологии у родителей или близких родственников повышается вероятность развития заболеваний мочевыделительной системы до 74%.
- Осложненное течение беременности: нефропатия, токсикозы (гестозы) первой и второй половины беременности, плацентарная недостаточность.
- Патологические роды (острая асфиксия), недоношенность, врожденные пороки развития.
- Перенесенная ребенком стафилококковая и стрептококковая инфекция: скарлатина, рожа, ангина, фурункулез, стрептодермия, хронический тонзиллит.
- Тяжелые инфекционно-воспалительные заболевания других органов и систем.
Необходимо незамедлительно проконсультироваться со специалистом (участковым педиатром, нефрологом или урологом), если на фоне обнаружения эпителия в моче ребенка появились любые клинические проявления заболеваний мочевыводящих путей:
- боли в животе и/или в поясничной области;
- нарушения мочеиспускания;
- вялость;
- повышение температуры, особенно при отсутствии других катаральных проявлений (насморка, кашля);
- беспокойство, срыгивания у младенцев.
Автор: Cазонова Ольга Ивановна, педиатр
mama66.ru
Разновидности эпителия мочевых путей
Для понимания причин появления, значения для диагностики различных видов эпителия в моче у ребенка нужно знать происхождение эпителиальных клеток.
Виды эпителия мочевого осадка:
- плоский – покрывает внутреннюю поверхность мочеиспускательного канала, а также наружных и внутренних половых губ, влагалища у девочек;
- переходный – выстилает мочевой пузырь, слизистую оболочку мочеточников, лоханок почек, а также протока простаты у мальчиков;
- почечным эпителием изнутри покрыты канальцы почек.
В зависимости от состояния мочевых и половых органов мочевой осадок может меняться.
Значение для диагностики
Существует норма для содержания эпителия в моче ребенка: плоский эпителий присутствует в незначительном количестве (до 5 клеток), переходный – не более 2-3 клеток в поле зрения, а почечного быть не должно. Исключение составляет моча новорожденного. Здесь могут присутствовать все виды эпителия. Это связано с адаптацией организма младенца в послеродовой период к изменившимся условиям жизни, активизации работы почек, мочевыделительной системы. Через 14 дней после рождения почечный эпителий в моче должен отсутствовать.
Увеличение количества плоского и переходного эпителия в моче у ребенка, а также появление клеток почечного указывает на патологию мочевой, половой сферы.
Большое количество плоского эпителия в моче у ребенка наблюдается при:
- уретритах (воспалении мочеиспускательного канала);
- воспалении (после переохлаждения) половых органов: развития орхита, везикулита, эпидидимита у мальчиков, вульвита – у девочек;
- недостаточной личной гигиене;
- нарушении правил сбора анализа мочи.
Для получения качественных результатов обследования необходимо четко соблюдать условия взятия мочи для анализа.
Если на фоне увеличенного количества плоского эпителия повышается выделение клеток переходного, то это свидетельствует о распространении (вверх) по мочевым путям воспалительного процесса.
Наиболее частые причины:
- заболевания нижних мочевых путей (уретриты, циститы);
- воспаление слизистой мочеточников, почечных лоханок (пиелиты, пиелонефриты), в том числе как осложнение мочекаменной болезни;
- отхождение солевых отложений (песка из почек) с повреждением слизистой мочевых путей.
При взятии мочи у ребенка с помощью катетера вероятность повышенного количества переходного эпителия возрастает.
Основные причины выделения почечного эпителия:
- гломерулонефрит (повреждение клубочков почки) любого происхождения, при распространении процесса на область канальцев;
- пиелонефрит (поражение почечных канальцев);
- гидронефроз (с перекрытием оттока мочи, повреждением почки);
- туберкулез почки;
- врожденные аномалии строения почек, мочевых путей с повреждением клубочкового аппарата почки;
- тубулярный некроз (омертвление части почечной ткани).
Причинами тубулярного некроза могут быть травмы, оперативные вмешательства, распространенные гнойные процессы (сепсис), переливание крови, несовместимой с организмом ребенка, резкое снижение артериального (и внутрипочечного) давления. Это крайне опасное состояние, оно значит, что необходимо непросто срочное вмешательство врачей, а даже реанимационные мероприятия.
Наличие в моче ребенка всех трех видов эпителия в большом количестве свидетельствует о распространенности поражения, вовлечения в процесс как мочевыводящих путей, так и почек.
Необходимо исключить:
- неврогенный мочевой пузырь (самопроизвольное удержание от мочеиспускания, приводящее к застою мочи в мочевом пузыре), возникает при сильных стрессах у ребенка;
- пузырно-мочеточниковый рефлюкс (заброс из мочевого пузыря в мочеточники, почки) как врожденного, так и приобретенного характера;
- прием медикаментов, способствующих отложению солей (сульфаниламиды, муколитики, мочегонные);
- интоксикация вследствие тяжелых инфекционных заболеваний, отравлений, гнойных процессов.
Предрасполагающие факторы
В отношении детей необходимо знать обстоятельства, наличие которых увеличивает вероятность развития заболеваний, приводящих к изменениям мочевого осадка.
Наиболее значимы:
- семейный характер патологии (наличие заболевания почек у родителей, братьев, сестер);
- развитие при беременности матери ранних и, особенно, поздних токсикозов, недостаточности плацентарного барьера;
- недоношенность;
- осложнения при родах (асфиксия, то есть резкий недостаток кислорода у ребенка);
- врожденные изменения структуры почек и строения мочевых органов;
- осложнения инфекций (скарлатины, стафилококковой и стрептококковой природы);
- длительные воспалительные, гнойные заболевания (хроническая ангина, фурункулез, рожистое поражение).
При наличии предрасполагающих факторов необходимо не только наблюдать за состоянием ребенка, но и проводить периодическое исследование мочи для своевременного выявления патологии. Нужно помнить, что на первых этапах большинства заболеваний почек и мочевой системы явные признаки болезни отсутствуют, и выявить патологию можно только при лабораторных исследованиях.
Что необходимо предпринять
Наиболее опасны симптомы:
- боли, рези или затруднения при мочеиспускании;
- недержание мочи;
- неприятные ощущения в поясничной области;
- слабость, вялость, потеря аппетита, нарушения сна ребенка;
- необъяснимые срыгивания у новорожденных;
- повышенные значения температуры тела, особенно если плохо корректируются приемом жаропонижающих средств;
- появление отеков, а также скачков артериального давления.
При обследовании в такой ситуации возможно появление в анализе мочи большого количества эритроцитов и лейкоцитов, белка, слизи, солей, бактерий. При исследовании крови также выявляются признаки воспалительной (СОЭ, лейкоцитоз, палочкоядерный сдвиг) и невоспалительной (анемии) патологии.
Для подтверждения диагноза используются дополнительные методы:
- исследование мочи по Зимницкому, Нечипоренко, трехстаканная проба;
- ультразвуковое исследование ткани почки, мочеточников;
- магнтитно-резонансная и компьютерная томография;
- цистоскопия (эндоскопическое исследование мочевого пузыря).
Эти методы выявляют локализацию уровня поражения и помогают сориентироваться с выбором тактики лечения.
Таким образом, эпителиальные клетки присутствуют как в моче здорового ребенка, так и при различных патологиях. Наблюдение и плановые исследования позволяют вовремя диагностировать изменения и оказать необходимую медицинскую помощь.
2pochki.com
Разновидности эпителия
Первичным методом, чтобы выяснить причины наличия характерной симптоматики, является общий анализ мочи. Исследование достаточно информативное и показательное для последующей постановки диагноза, связанного с воспалительными или инфекционными процессами, проходящими в организме человека.
Существуют клетки, которые находятся как на поверхности тела человека, так и на слизистых оболочках, они называются эпителием. При детальном анализе осадка урины их можно обнаружить только при возникновении патологических изменений во внутренних органах, когда клетки начинают отслаиваться.
От того, какой вид клеток эпителия был обнаружен при анализе, зависит ход дальнейшего лечения:
- Плоский эпителий в большом количестве указывает на развитие инфекции выделительной системы, так как клетки попадают в мочу из мочеиспускательного канала. У мужской половины в норме такой эпителий должен отсутствовать, у женщин – может быть в минимальном количестве, с учетом попадания его из влагалища.
- Переходные клетки покрывают лоханочную область почек, органы мочеполовой системы и проток предстательной железы. У человека со здоровыми органами анализ мочи может показать незначительное содержание переходного эпителия. Наличие данных клеток с тенденцией на увеличение говорит о развитии цистита, пиелонефрита или мочекаменной болезни.
- Почечный эпителий, обнаруженный при анализе, указывает на патологии в работе паренхимы почки. Наличие до 10 клеток в поле зрения под микроскопом – это норма, завышение этих показателей указывает на аномальные процессы и заболевания органов (пиелонефрит, гломерулонефрит, нарушения кровообращения).
Причины повышенных показателей
Наиболее распространенные причины, из-за которых показатели почечного эпителия повышаются — аномальные процессы в тканях или сосудах:
- Цистит – воспалительный процесс мочевого пузыря, происходит массовое отслоение эпителия. Этому заболеванию более всего подвержены женщины, по причине физиологических особенностей строения уретры. Без адекватного и своевременного лечения цистит переходит в почки и провоцирует пиелонефрит.
- Пиелонефрит – инфекционная патология почечных лоханок, которая может быть осложнена гидронефрозом (расширением лоханочной области) и застоем мочи.
- Мочекаменная болезнь – образование конкрементов на любом отрезке мочевыделительной системы. Отхождение камней, песка или солей повреждает стенки органов и вызывает избыточное отслоение эпителия.
- Гломерулонефрит – нарушения функциональности почечных клубочков, вызывает стойкое АД.
Любая интоксикация организма ядами или передозировка лекарственными препаратами вызывает повышенную работу почек и, как следствие, наличие эпителия в моче.
Сбор мочи
Процедура по сбору мочи должна проходить по не сложным правилам, чтобы показатели анализа оказались максимально верными:
- подготовительный этап по сбору мочи обязует пациента провести гигиенические процедуры половых органов. Такие манипуляции связаны с предупреждением попадания выделений или других загрязнений;
- моча должна быть собрана в утренний период до приема пищи и питья;
- емкость для анализа — сухая и максимально стерильная;
- идеальным вариантом будет забор средней мочи;
- в лабораторию емкость с анализами доставляется не позднее 3-х часового периода после сбора. Хранение допустимо в прохладном помещении, где отсутствуют прямые солнечные лучи.
Наличие почечного эпителия не может быть основанием для постановки основного диагноза. Только дополнительные обследования (УЗИ, КТ, МРТ) с обнаруженными патологиями становятся решающими факторами.
Дети и беременность
Обнаружение при беременности почечного эпителия может указывать на различные патологии мочевыделительной системы. Врач назначает дополнительные анализы по показаниям или проводит щадящую процедуру по устранению недуга.
Послеродовой период характеризуется осмотром новорожденного и сбором анализов для определения состояния внутренних органов. До 14-ти недельного возраста допустимо присутствие эпителия, так как организм младенца адаптируется к новым условиям существования вне утробы матери.
У ребенка старшего периода содержание эпителия в моче разнятся со взрослыми параметрами:
- плоский эпителий – не более 5-ти клеток;
- переходные – до 3-х штук;
- почечные клетки должны отсутствовать при анализе.
При обнаружении данных клеток врач делает вывод о возможном развитии патологических процессов, но также может назначить анализ повторно для полной уверенности наличия аномалий.
Самыми распространенными причинами обнаружения почечного эпителия у детей являются:
- воспалительные процессы мочевых путей нижнего порядка;
- инфицирование почечной паренхимы или лоханочной области;
- отложение солей и последующее их отхождение.
Незначительное содержание эпителия в анализах мочи ребенка никогда не остается без внимания медицинских сотрудников. Назначаются повторные и дополнительные исследования с целью исключения патологии.
Существуют факторы риска, обуславливающие такие показатели в анализах:
- наследственность – наличие в анамнезе родственников с почечными болезнями;
- токсикозы на поздних сроках беременности;
- роды раньше предусмотренного срока;
- родовая деятельность, сопровождающаяся различными осложнениями;
- врожденные аномалии;
- инфекционные процессы при беременности у матери или у ребенка после рождения.
Данные факторы только предполагают возможное заболевание почек и предусматривают строгий контроль над состоянием и динамикой развития мочевыделительной системы.
Диагностирование
Клетки почечного эпителия, обнаруженные при анализе, только намекают на будущий диагноз. Если к этому присоединяется нижеследующая симптоматика, то врач оперирует уже более точными показателями для назначения курса лечения:
- мочеиспускание затруднено и сопровождается резями и болевыми ощущениями;
- болевой синдром в пояснице;
- общая усталость, наличие температуры, чувство тошноты;
- отечные реакции век;
- гипертензия.
Совокупность всех показателей дает основание предполагать почечную патологию, поэтому назначается ультразвуковое исследование, которое является совершенно безопасным и не менее информативным. При отсутствии однозначного диагноза назначаются дополнительные исследования, чтобы понять, как лечить пациента:
- клинический анализ крови;
- компьютерная томография;
- магнитно-резонансная томография;
- цистоскопия.
Тактика лечения определяется в зависимости от степени нарушения функциональности почек и других органов системы, а также от непосредственно поставленного диагноза. Анализ мочи с наличием клеток почечного эпителия, при первичном диагнозе играет немаловажную роль, так как именно с этого начинается путь к последующему лечению.
beregipochki.ru