
Показания к проведению УЗИ надпочечников
Надпочечники являются железами внутренней секреции, вырабатывающими ряд гормонов (адреналин, норадреналин, кортизол, альдостерон и половые). Здоровье этих органов обуславливает общее самочувствие человека, а патологии могут свидетельствовать о серьезных проблемах. Любые изменения в строении и функционировании этих желез могут быть как причиной, так и следствием системных недугов. Заболевания надпочечников возникают довольно часто, при этом пациентам приходится пройти долгий путь обследований. Среди всех видов исследовательских процедур УЗИ надпочечников занимает достойное место как доступный и безопасный метод.
Для чего делают УЗИ надпочечников и противопоказания
Ультразвуковое исследование надпочечников делается для подтверждения или исключения заболеваний эндокринных органов. Заподозрить наличие патологии надпочечников можно в следующих случаях.
- Ожирение (при резком наборе веса без объективных причин).
- Кризовое течение артериальной гипертензии, не поддающееся коррекции.
- Головные боли диффузного характера, которые не ликвидируются после приема анальгетиков.
- Бесплодие у женщин.
- Травматические повреждения органов брюшной полости.
- Мышечная слабость в конечностях.
- Подозрение на объемный процесс в ткани надпочечников.
Описываемая процедура призвана обнаруживать на ранних стадиях такие болезни, как гиперплазия, гематомы, кисты, воспаления и так далее.
Детские надпочечники в полной мере визуализируются на УЗИ не ранее пятилетнего возраста.
Абсолютных противопоказаний для сканирования надпочечников не существует, поскольку по данным Всемирной Организации Здравоохранения не зарегистрировано вредного воздействия на организм человека. Из относительных противопоказаний следует выделить несколько ограничивающих моментов – беременность, нарушение целостности кожных покровов в месте установки датчика и выраженное ожирение.
Как подготовиться к УЗИ надпочечников
Первым этапом подготовки к обследованию является консультация с врачом-эндокринологом. На основании первичного осмотра и результатов анализа крови на гормоны специалист ставит предварительный диагноз, который в ходе УЗИ подтверждается или опровергается.
Для того, чтобы повысить информативность диагностики, необходимо придерживаться рекомендаций относительно поведения накануне обследования. Подготовка к процедуре сканирования надпочечников ультразвуком включает следующие этапы.
- Загодя необходимо исключить из продуктов питания блюда, способствующие образованию газов. Это – молочные продукты, копчености и жирные полуфабрикаты, капуста, хлеб и мучные изделия, а также горох, фасоль, бобы и чечевица. В неограниченном количестве можно употреблять нежирные твердые сыры, отварные говядину, курятину, рыбу, овсяную и кукурузную каши. Диету рекомендуется соблюдать в течение 3 дней до процедуры. Для обследования пациент должен быть голодным, только в очень редких случаях разрешается легкий перекус.
- Для улучшения визуализации таких труднодоступных объектов исследования рекомендуется употребление Эспумизана в день перед исследованием и утром накануне процедуры. Даже минимальное количество газа способно свести на нет все усилия по подготовке. Симетикон поможет убрать все пузырьки и пену в кишечнике.
- Следует очистить кишечник от содержимого с помощью слабительных препаратов или очистительной клизмы. Манипуляции производятся вечером и утром перед исследованием.
- Специалисты советуют в течение трех дней контролировать количество выпитой жидкости. Суточный объем должен быть не менее двух литров.
Особенности исследования
Надпочечники требуют особенно тщательного проведения ультразвукового исследования. Причина кроется в том, что при отсутствии патологических процессов в веществе этих желез на экране их можно вообще не увидеть. Зная анатомическое строение почек и забрюшинного пространства, специалист ультразвуковой диагностики сможет точно провести осмотр места локализации желез, а при наличии воспалительного процесса любой этиологии произведет все необходимые диагностические манипуляции и замеры. Патологические процессы способствуют качественной визуализации этих органов. Как правило, начинают осмотр справа налево, так как правая железа визуализируется намного чаще, чем левая.
Способы проведения
Для проведения процедуры сканирования надпочечников врач может просить принять различные положения тела в пространстве: либо лежа на спине, либо на животе, либо на боку, а есть еще вариант обследования в положении стоя. Такие телодвижения способствуют лучшей визуализации таких маленьких, но очень важных органов. Иногда для улучшения осмотра пациенту говорят глубоко вдохнуть. Следуя инструкциям врача, можно получить достоверный результат состояния желез.
Перед началом сканирования на поверхность кожи наносится специальный гель, врач перемещает по этой зоне датчик и изучает информацию, поступающую на монитор. Правильное расположение правого надпочечника – в области, ограниченной правыми почкой, долей печени и нижней полой веной, левого – в области левого подреберья (лучше виден в положении лежа на боку).
Сложности
Сложность проведения ультразвукового сканирования надпочечниковой ткани состоит в различных препятствиях на пути сонографических волн. Недостаточная подготовка к процедуре, высокая степень ожирения и детский возраст до пяти лет способны привести к невозможности проведения исследования.
Любое препятствие не позволяет произвести квалифицированную диагностику патологического процесса в надпочечниках. У малышей увидеть надпочечники на УЗИ возможно примерно со второго года жизни, но для полноценного сканирования лучше дождаться возраста пяти лет. Тогда полностью сформированные органы станут видны.
Как делают УЗИ надпочечников у женщин
Ультразвуковое исследование женских надпочечников не отличается от методик, применяемых для мужчин. Важно помнить, что любое проявление эндокринных нарушений следует воспринимать как руководство к действию. Женщина не должна спокойно относиться к набору веса, появлению усов и огрубению голоса. Чем раньше произойдет установление причин, которые вызвали подобную симптоматику, тем эффективнее окажется терапия и благоприятнее прогноз.
Что показывает ультразвуковое исследование
При УЗИ надпочечников можно определить размеры органов, их структуру и наличие каких-либо образований. Следует помнить, что левый надпочечник визуализируется очень редко, причем шанс возрастает, если подкожная жировая клетчатка у пациента будет стремиться к нулевым значениям.
Правый надпочечник доступен к осмотру практически в 100% случаев. Но даже если в заключении специалиста не будет никаких слов, описывающих надпочечники, расстраиваться не стоит. Это значит, что патологические изменения в данных железах внутренней секреции отсутствуют.
В результате сканирования можно выявить гипоплазию или гиперплазию железистой ткани. Для гипоплазии характерно уменьшение размеров, а при гиперплазии происходит увеличение этого показателя. Может меняться соотношение коркового и мозгового веществ.
Из патологических образований стоит отметить наличие опухолей и кист. Опухолевые процессы делятся на доброкачественные и злокачественные. При развитии опухоли в каком-либо слое коркового или в мозговом веществах развивается симптоматика, характерная для избытка именно этих гормонов. Как злокачественные, так и доброкачественные опухоли могут иметь различную морфологическую структуру, по-разному проявляться клинически. Стандартные признаки представляют собой адреналиновые кризы, выражающиеся в повышении артериального давления, тахикардии, мышечном треморе, болях в груди и животе, тревоге, появлении страха смерти, усиленном мочеотделении. Следует знать, что новообразования, размеры которого не достигли 2 см, плохо визуализируются. В то же время, если диаметр опухоли превышает 4-5 см, она способна сдавливать расположенные рядом органы и мешать их нормальному функционированию. Согласно с медицинской статистикой, размер новообразования прямо пропорционален риску его трансформации в злокачественное. Направление лечения в обоих случаях – только оперативное.
Нормы, размеры и патологии у детей
При проведении УЗИ-диагностики надпочечников ребенку в процессе анализа данных обследования производится оценка размеров и структуры органов. В нормальном состоянии параметры детских желез таковы: длинник составляет 10-12 мм, а поперечник равен 5-9 мм. При рождении и до 5 лет происходят рост и формирование надпочечников как элементов эндокринной системы, поэтому для диагностики отклонений следует дождаться соответствующего возраста. В период пубертата наблюдается рост размеров всех желез, так как формирующемуся организму требуется большее количество гормональных веществ.
Нормы и отклонения у взрослых
Надпочечники – это железы, расположенные над верхним полюсом почек. Размеры здоровых надпочечников у взрослых отличаются между собой. Так, для правого характерны размеры длинника 10-15 мм, поперечника – до 16 мм. Размеры левой железы в длину составляют 15-25 мм, в ширину – 8-15 мм. Таким образом выглядят здоровые органы внутренней секреции. Нормы размеров органа у мужчин и женщин незначительно различаются.
Нормой является не только то, что левая и правая части органа обладают разными размерами, но и отсутствие визуализации левого надпочечника. Такое наблюдается примерно у половины пациентов. Хуже, если замеры свидетельствуют об увеличении исследуемого объекта, что говорит о его гиперплазии, развитии воспалительного процесса, формировании опухолей или кист.
Отклонения размеров в ту или иную сторону приводят к изменению гормонального фона и развитию характерной симптоматики. Оценка заключения УЗИ производится специалистом лишь после всестороннего исследования, включающего в себя обязательный анализ уровня гормонов в крови.
Чем заменяют УЗИ надпочечников
Если особенности пациента таковы, что проведение УЗИ становится невозможным, то на помощь приходят методы магнитно-резонансной диагностики или компьютерной томографии. Эти формы обследований позволяют получить серию снимков надпочечников. Специфичность методик способствует выявлению малейших отклонений в структуре этих желез.
Для оценки кровоснабжения надпочечников и степени насыщения их контрастом используется метод селективной ангиографии. Контрастное вещество направляется непосредственно в надпочечниковую артерию, что приводит к окрашиванию ткани органа. На основании показателей равномерности накопления контраста делают заключение о патологических процессах.
Как делают УЗИ надпочечников
Визуализация надпочечных желез показана в процессе лечения больным с установленными заболеваниями или для их обнаружения:
- поликистозные изменения в яичниках;
- синдром Иценко-Кушинга;
- аденома надпочечников;
- альдостерома;
- саркома;
- феохромоцитома;
- метастазы опухолей;
- травматические повреждения;
- кровоизлияние в надпочечник.
Подготовка к проведению:
- на 2-3 дня нужно отказаться от молока черного хлеба, капусты бобовых, жирных продуктов, мяса и сладостей;
- при склонности к запору необходимо применение слабительных (Форлакс, Гутталакс);
- за день до обследования можно есть до 19 часов, ужин должен быть легким, затем разрешается только чистая питьевая вода.
Абсолютных противопоказаний к диагностике нет, но при выраженном ожирении ее назначение не имеет смысла, так как даже на аппарате экспертного класса и при высокой квалификации врача их увидеть скорее всего не удастся. Также обычно вызывает затруднение проведения этой процедуры у пациентов, которые перенесли в прошлом операции на органах брюшной полости.
Во время ультразвукового сканирования дети обычно находятся на спине или на боку. После нанесения геля датчиком проводится исследование области поясницы и боковых частей живота. Ребенка просят глубоко вдохнуть и подводят сканер под место проекции надпочечных желез. Младенцам чаще обследуют надпочечники со спины, когда их держат на руках родители. При этом здоровые железы практически не отличаются от окружающей ткани, их можно увидеть только после двух лет.
У взрослых легче найти правый надпочечник. Пациент находится на левом боку, вдыхает и задерживает дыхание, а сканер двигается по нижним межреберным промежуткам. Затем больного просят встать и продвигают датчик по направлению к печени со сторон живота, спины.
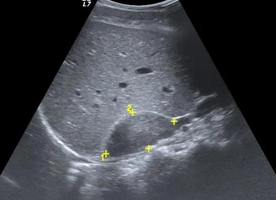
Что видно на УЗИ надпочечников
Для исследования левого также применяется последовательное сканирование лежа на животе, спине, боку и стоя. Его особенно трудно увидеть при наличии выраженной жировой прослойки на спине.
Характеристики здоровых органов:
- размер правого 1,5х1,3х2 см, левого 2х1,5х1 см, возможны колебания на 0,4 см в обе стороны;
- однородная структура;
- нет четко выраженной капсулы;
- ткань по эхогенности менее плотная, чем почечная;
- локализация – верхний почечный плюс, немного смещены кпереди, напоминают шапочку;
- правый имеет форму треугольника, а левый – полумесяца.
Эхосканирование существенно уступает томографии в плане обнаружения мелких образований – опухолей, кист и гематомы. Частота их диагностики находится на уровне 75%. Чаще всего их можно заподозрить по косвенным признакам:
- изменение размера, формы;
- увеличение интенсивности кровоснабжения (по данным допплерографии);
- деформация почки;
Результаты УЗИ не подходят для отличия доброкачественного новообразования от злокачественного или метастазирования из других органов.
При анализе полученных данных учитывают характерные признаки разных видов опухоли:
- кортикостерома – круглая опухоль с нечеткой оболочкой, сниженной плотностью;
- феохромоцитома – расположена в мозговом веществе, при размере более 8-10 мм обнаруживают в 100 процентах случаев;
- раковая опухоль – распространяется на почки, селезенку или печень в зависимости от правостороннего или левостороннего процесса.
Доброкачественные опухоли обычно небольшие, симптомы отсутствуют или слабо выражены, часто их находят случайно. Раковые образования могут достигать более 1 кг веса и гигантских размеров. Они бывают первичными или метастатическими из других органов.
При первичном гиперальдостеронизме может быть выявлена альдостерома (примерно у 75% пациентов) и разрастание надпочечниковой ткани (гиперплазия).
Читайте подробнее в нашей статье об УЗИ надпочечников.
Когда назначают УЗИ надпочечников
Врач может направить пациента на обследование при таких жалобах:
- постоянная слабость;
- отсутствие интереса к окружающему, апатия;
- высыпания, упорная угревая сыпь;
- потемнение кожи;
- появление растяжек фиолетового цвета;
- ожирение;
- мышечная слабость, приступы судорожных подергиваний;
- артериальная гипертензия со злокачественным течением, слабой реакцией на гипотензивную терапию, кризовым повышением давления;
- избыточный рост волос на теле у женщин;
- бесплодие;
- мастопатия у женщин, гинекомастия (увеличение молочных желез) у мужчин;
- нарушения менструальной функции – отсутствие месячных или обильные кровотечения;
- приступы дрожания мышц тела, повышения давления, учащения пульса, необъяснимой тревоги и страха смерти, боли в области сердца и живота;
- повышенная жажда и обильное мочеиспускание.
Рекомендуем прочитать статью о болезнях надпочечников. Из нее вы узнаете о том, какие могут быть болезни надпочечников, их гиперфункции и гипофункции, причинах болезней надпочечников, а также о симптомах у детей, женщин и мужчин.
А здесь подробнее о гиперплазии надпочечников.
Подготовка к проведению
УЗИ относится к доступному и безопасному методу обследования, но размер и расположение надпочечных желез делает их трудно достижимыми для эхолокации. Особые проблемы возникают при ожирении и скоплении газов в кишечнике.
Существенно повлиять на вес тела в период подготовки не удается, но улучшить видимость путем уменьшения газообразования возможно. Для этого на 2-3 дня нужно отказаться от молока черного хлеба, капусты бобовых, жирных продуктов, мяса и сладостей. К числу разрешенных относятся овощи в отварном виде, каши, подсушенный белый хлеб, творог, кефир. При склонности к запору необходимо применение слабительных (Форлакс, Гутталакс).
За день до обследования можно есть до 19 часов, ужин должен быть легким, затем разрешается только чистая питьевая вода.
Противопоказания
Абсолютных противопоказаний к диагностике нет, но при выраженном ожирении ее назначение не имеет смысла, так как даже на аппарате экспертного класса и при высокой квалификации врача их увидеть скорее всего не удастся. Также обычно вызывает затруднение проведения этой процедуры у пациентов, которые перенесли в прошлом операции на органах брюшной полости, так как спаечная болезнь нарушает свободное прохождение ультразвука.
Следует учесть, что полученные данные нужно будет уточнять при помощи томографии, так как УЗИ способно обнаруживать только крупные образования. Поэтому наиболее тончим методом диагностики является ангиография с КТ или МРТ контролем. Так можно найти опухоли размером в 3-4 мм и ориентировочно определить доброкачественность опухоли, срочность проведения операции, необходимость химиотерапии или облучения после нее.
Адренокортикальная аденома надпочечника
Как делают ребенку
Особенности у женщин и мужчин
У взрослых легче найти правый надпочечник. Его обнаруживают в условном треугольнике, стороны которого образованы печеночной долей, почечным верхним полюсом и стенкой нижней полой вены. Пациент в это время находится на левом боку, вдыхает и задерживает дыхание, а сканер двигается по нижним межреберным промежуткам. Затем больного просят встать и продвигают датчик по направлению к печени со сторон живота, а также со спины.
Размер и другие характеристики органа в норме
У здорового человека ткань надпочечников при эхолокации отражает такие же сигналы, как и окружающая почки жировая клетчатка, поэтому она практически сливается с нею. Характеристики здоровых органов:
- размер правого 1,5х1,3х2 см, левого 2х1,5х1 см, возможны колебания на 0,4 см в обе стороны;
- однородная структура;
- нет четко выраженной капсулы;
- ткань по эхогенности менее плотная, чем почечная;
- локализация – верхний почечный плюс, немного смещены кпереди, напоминают шапочку;
- правый имеет форму треугольника, а левый – полумесяца.
Смотрите на видео об УЗИ надпочечников:
Образование в надпочечниках
- изменение размера, формы;
- увеличение интенсивности кровоснабжения (по данным допплерографии);
- деформация почки;
Результаты УЗИ не подходят для отличия доброкачественного новообразования от злокачественного или метастазирования из других органов.
- кортикостерома – круглая опухоль с нечеткой оболочкой, сниженной плотностью по сравнению с соседними неповрежденными тканями;
- феохромоцитома – расположена в мозговом веществе, при размере более 8-10 мм обнаруживают в 100 процентах случаев;
- раковая опухоль – распространяется на почки, селезенку или печень в зависимости от правостороннего или левостороннего процесса. Исследование этого взаимоотношения важно при выборе тактике оперативного вмешательства.
Полученные данные обычно нуждаются в уточнении. Для этого назначают анализы крови (биохимия и гормональный фон), компьютерную и магнитно-резонансную томографию, биопсию (взятие образца ткани), ангиографию. Следует учитывать, что помимо гормонально активных опухолей, УЗИ помогает обнаружить и инциденталомы, которое не способны к синтезу гормонов.
Рекомендуем прочитать статью об УЗИ поджелудочной железы. Из нее вы узнаете о показаниях к назначению УЗИ поджелудочной железы, как подготовиться к диагностике, что покажет УЗИ поджелудочной при диабете.
А здесь подробнее о гормоне норадреналин.
Какие проблемы надпочечников выявит УЗИ?
Надпочечниками называются парные органы эндокринной системы, которые прилегают к почкам и выполняют важные функции в организме человека. Без них невозможно выделение кортикостероидных гормонов.
В случае нарушения функций данного органа организму гораздо сложнее адаптироваться к ситуациям, которые сопровождаются сильным стрессом.
Для выявления заболеваний надпочечников чаще всего проводится специальное УЗИ – один из наиболее распространенных методов обследования, дающий максимально точный результат.
Что такое УЗИ надпочечников?
УЗИ надпочечников – процедура, которая проводится для оценки размеров, а также исследования внутренней структуры этих эндокринных внутренних органов.
С помощью данной процедуры врачи могут увидеть и оценить:
- Месторасположение надпочечников относительно почек;
- Четкость контуров этих эндокринных органов;
- Размеры надпочечников для их сравнения с нормой;
- Однородность внутренней структуры надпочечников;
- Образование гиперплазии;
- Наличие гематом;
- Протекание различных воспалительных процессов;
- Наличие и состояние кисты;
- Наличие доброкачественных и злокачественных опухолевых образований.
к содержанию ↑
Показания к проведению процедуры
Исследование таких органов эндокринной системы, как надпочечники, с помощью УЗИ необходимо проводить в том случае, если у человека проявляются следующие признаки развития заболеваний:
- Изменения цвета поверхности кожных покровов или появления пигментных пятен на разных участках тела;
- Постоянная слабость;
- Достаточно быстрая усталость;
- Резкое увеличение веса тела без каких-либо на то причин;
- На коже появляются заметные растяжки;
- Артериальная гипертензия;
- Нарушение менструального цикла;
- Появление избыточного оволосения у женщин;
- У мужчин проявляется нарушение потенции;
- Развитие гипертонической болезни;
- Для выявления причин резкого ожирения;
- Для определения причин бесплодия;
- При подозрении на появление опухолевых образований данного органа;
- Выраженная гипофункция надпочечника;
- Проявление гиперфункции.
к содержанию ↑
Как подготовиться?
Одной из важных особенностей УЗИ надпочечников является то, что иногда очень сложно рассмотреть структуру органа.
Качество и точность обследования зависит от того, насколько правильной будет подготовка к прохождению процедуры.
Понятно, что человек не сможет непосредственно перед УЗИ снизить свой вес, однако ему вполне под силу будет уменьшить количество газов, накапливающихся в кишечнике.
Чтобы процедура прошла максимально эффективно, следует выполнить следующие правила подготовки, одинаковые для женщин и мужчин:
- В течение пары дней перед ней рекомендуется соблюдать соответствующую диету, предусматривающую полное исключение из рациона продуктов животного происхождения;
- Следует отказаться от сладостей, жирных и жареных блюд;
- Процедуру нужно проходить на голодный желудок (последний прием пищи должен быть не позже 19 часов вечера);
- Не рекомендуется делать клизму, ведь она не поможет облегчить процедуру и избавиться от газов в кишечнике;
- В некоторых случаях врачи советуют принять накануне слабительное.
Как подготовиться к УЗИ мочевого пузыря читайте в нашей статье.
к содержанию ↑
Как делают?
Процедура проведения обследования надпочечников с помощью УЗИ практически ничем не отличается от обычного ультразвукового исследования.
Тем не менее, данный орган является труднодоступным, поэтому специалист может не один раз попросить пациента сменить положение в течение сеанса, т.к. они почти не визуализируются.
Так, например, для максимально полного осмотра левого надпочечника человеку необходимо находиться в положении либо сидя, либо стоя, чтобы сканер смог исследовать его спину. А вот продольное обследование, как правило, проводится, когда человек лежит на правом боку.
В месте проекции надпочечников поверхность кожи, как и корпус ультразвукового датчика, смазываются специальным гелем. Исследование начинается с правой почки, затем датчик переводится на нижнюю полую вену и правую часть печени.
Результаты обследования заносятся в специальный протокол. Это позволяет контролировать изменение состояния надпочечников.
На УЗИ размеры надпочечников могут отличаться от стандартных показателей, а также иметь разные параметры относительно друг друга. Максимальный размер здорового органа составляет около 2-2,5 см.
Если он превышен более чем в два раза, требуется проведение дополнительного обследования.
УЗИ надпочечников – это важный этап проведения полного обследования этих органов эндокринной системы. Благодаря ультразвуку можно оценить их состояние и выявить развитие заболеваний на разных стадиях.
Практическое руководство по проведению УЗИ надпочечников смотрите в видео-ролике:
Ультразвуковое исследование надпочечников
Надпочечники — эндокринные железы, которые вырабатывают гормоны. УЗИ надпочечников делается для диагностики заболеваний, патологий или отклонений, показывает отклонения в размерах и размещении органов. В норме парный орган плохо визуализируется. Если есть показания к обследованию, требуется подготовка пациента к процедуре. Данные УЗИ дают возможность назначить дальнейшее лечение.
При появлении болевых симптомов в брюшной полости может назначаться обследование надпочечников на УЗИ.
Показания
Врачи назначают УЗИ почек и надпочечников, если замечают определенный ряд симптомов, такие как быстрая усталость, боли в животе, резкие покалываний в брюшной полости. Размеры надпочечников на УЗИ помогут определиться с назначениями к лечению. Терапия будет зависеть от стадии и сложности заболевания. Для процедуры нужны определенные показатели и важные причины, например:
- бесплодие;
- ожирение;
- нарушение функций надпочечников;
- кисты;
- слабость в мышцах;
- гиперплазия;
- гематомы;
- артериальная гипертензия.
К распространенным причинам назначения УЗИ относятся различного рода травмы брюшной полости. В такие случаи процедура обязательна, так как нужно убедиться в сохранности органов. Когда человек испытывает дискомфорт в области надпочечников, исследование ультразвуком может показать наличие доброкачественных или злокачественных органов. Следует сделать УЗИ и для профилактики таких заболеваний.
Вернуться к оглавлению
Подготовка
УЗИ проводится натощак — в день процедуры нельзя употреблять пищу.
За неделю до УЗИ надпочечников нужно перейти на здоровый рацион питания.
Подготовиться к УЗИ следует тщательно, для получения должных результатов. Важно соблюдать ряд правил. За неделю до процедуры следует переключиться на рациональный режим дня и правильное питание. Нужно поддерживаться диеты, которую индивидуально каждому может назначить врач. В основном рекомендуют отказаться от жирной, соленой и сильно острой пищи. Лучше питаться кашами разных сортов, нежирными супами и отварным мясом в небольшом количестве. Из напитков требуется полное ограничение алкоголя, и употребление чаев, обычной фильтрованной воды. Подготовиться следует и ЖКТ. Перед тем как делают УЗИ, следует принять слабительное и сделать клизму. Это позволит избавиться от газов в кишечнике, а врачу удастся четко увидеть картинку. Подготовка к УЗИ надпочечников — важная часть, от которой зависит достоверность результата.
Вернуться к оглавлению
Как проводится исследования?
Сначала пациент должен лечь на кушетку. Позу выбирает врач. Она зависит непосредственно от расположения надпочечников и других органов относительно них. Для правильной визуализации на кожу наносится специальный гель. На экране аппарата УЗИ парные органы будет видно плохо, поэтому важно, что на изображение не влияло скопление газов. Их наличие зависит от того, насколько качественно проведена предварительная подготовка к исследованию.
Надпочечники не визуализируются в 10% случаев, а левый и вовсе виден всего лишь на 50%. Пугаться данным не следует, это нормально. Начало УЗИ надпочечников проходит с проявления правой почки. Она образует своеобразный треугольник, в который входит часть печени и нижней полой вены с участком мочевого пузыря. Врачи рассматривают орган, когда пациент лежит на левом боку. Визуализация намного лучше, чем в других позах. Чтобы увидеть левый орган, стоит лечь на правый бок.
Вернуться к оглавлению
Расшифровка
Нормальные результаты должны показать, что органы почти не видно. По структуре здоровые органы должны быть гомогенные. По форме похожи на треугольник или полулунная форма, что визуализируется на картинке в виде маленьких просветов. Это будет означать, что железы в своем нормальном состоянии. У детей еще сложнее определить и увидеть этот парный орган. Если обнаруживают проблемы, то начинают лечение гормонами. Изредка врачи назначают оперативное лечение, при нахождении опухолей или кисты. Опухоли обычно проявляются в виде аденомы и саркомы.
Медики рекомендуют проходить ультразвуковые исследования раз в год для профилактики.
Вернуться к оглавлению
Размеры надпочечников на УЗИ
Расшифровка УЗИ надпочечников зависит от их размеров. У ребенка или у взрослого данные будут разные. Размеры парных органов описаны в таблице:
| Показатель | Величина, см | |
| Толщина | От 1,1 до 1,6 | |
| Длина | Справа | От 1,8 до 2,8 |
| Слева | От 1,6 до 2,5 |
Отклонения в размере надпочечников, видимые на УЗИ, позволяют диагностировать некоторые патологии.
Ультразвуковое исследование может опередить гиперплазию. Патология образуется возле забрюшинного пространства. Она образуется при внутриутробном развитии. Причиной появления болезни может служить токсикоз у беременных. Признаки проявляются у женщин и мужчин в раннем возрасте. Злокачественные и доброкачественные опухоли покажет УЗИ. Надпочечники должны быть не сильно видны, но и не скрываться полностью за другими органами. Это может быть признаками развития патологий. Бывают случаи, что ультразвуковое исследование патологий не определяет. В такие случаи может понадобиться обширная диагностика, в которую, безусловно, будет входить анализ результатов УЗИ надпочечников.