Индекс эванса что это

Индекс эванса что это[Индекс эванса что это]

Гидроцефалия атрофическая

Гидроцефалия атрофическая (ГА) — запущенный травмой пассивный процесс замещения уменьшающегося в объеме вещества мозга ЦСЖ. Гидроцефалия атрофическая характеризуется одновременным и обычно симметричным увеличением размеров желудочков мозга, конвекситальных субарахноидальных пространств, а также базальных цистерн при отсутствии перивентрикулярного отека. В основе ГА лежит обусловленный первичным повреждением мозга диффузный атрофический процесс (демиелинизация), приводящий к уменьшению объема мозгового вещества как серого, так и белого, что вызывает расширение желудочков мозга и субарахноидальных пространств с заполнением их ЦСЖ.

Первые признаки ГА могут обнаруживаться уже спустя 2-4нед. после ЧМТ. В дальнейшем этот процесс либо останавливается, либо прогрессирует на протяжении длительного времени. Различают гидроцефалию атрофическую легкой, средней и тяжелой степени. ГА легкой степени характеризуется умеренной атрофией мозга, проявляющейся незначительным расширением желудочковой системы (церебро-вентрикулярный индекс — ЦВИ Эванса — от 16,0 до 18,0), расширением субарахноидальных щелей и борозд на 1-2мм. ГА средней степени отличается значительным расширением желудочковой системы (ЦВИ от 18,1 до 20,0), расширением субарахноидальных борозд и щелей на 3-4мм, возможным распространенным умеренным снижением плотности мозговой ткани (на 2-4Н). ГА тяжелой степени характеризуется грубым расширением желудочковой системы (ЦВИ свыше 20,0), расширением субарахноидальных борозд и щелей свыше 4мм, генерализованным снижением плотности мозговой ткани на 5Н и более. Следует отметить, что между морфологической выраженностью ГА и ее клиническими проявлениями часто нет параллелизма. Симптоматика ГА характеризуется нарастающим оскудением психической деятельности вплоть до деменции. Неврологически в далеко зашедших стадиях ГА доминирует двухсторонняя подкорковая симптоматика, включая псевдобульбарные парезы.

Диагноз уточняют с помощью КТ и МРТ. Сочетание одновременного и симметричного увеличения желудочков мозга и субарахноидальных пространств как по конвекситальной поверхности, так и межполушарных и боковых щелей, а также отсутствие перивентрикулярного отека однозначно свидетельствуют в пользу именно ГА. При гидроцефалии атрофической обычно хирургическое лечение не показано, используют препараты, улучшающие трофику и кровоснабжение мозговой ткани (ноотропы, вазотропы, витамины, особенно витамин Е, анаболические и другие симптоматические препараты).

Прогноз при далеко зашедшей стадии ГА неблагоприятен. В начальных стадиях ГА часто удается добиться достаточной и устойчивой компенсации состояния больного. У детей даже при выраженной гидроцефалии атрофической, в том числе после диффузного аксонального повреждения, при адекватной стимуляции регенеративно-репаративных процессов нередко удается добиться увеличения объема мозга с заметным вытеснением, по данным КТ, ЦСЖ из субарахноидального пространства, при одновременном улучшении психических и неврологических функций.

Индекс эванса норма у взрослых — Лечение гипертонии

Многие годы безуспешно боретесь с ГИПЕРТОНИЕЙ?

Глава Института: «Вы будете поражены, насколько просто можно вылечить гипертонию принимая каждый день…

Читать далее »

УЗИ сердца – один из наиболее информативных методов диагностики, который дает возможность «увидеть» анатомические особенности сердечной мышцы, патологии клапанного аппарата, изменения в расположенных рядом структурах: мышцах, сосудах. Визуализируя сердце при помощи ультразвука, врач так же дает оценку функциональным параметрам.

Когда необходимо сделать УЗИ сердца?

Клиника многих заболеваний (ЖКТ, нервной системы, органов дыхания) схожа с таковой при кардиологических патологиях. Чтобы правильно поставить диагноз, необходимо сделать УЗИ сердца в случае, когда имеют место перечисленные ниже симптомы:

НАШИ ЧИТАТЕЛИ РЕКОМЕНДУЮТ!

Для лечения гипертонии наши читатели успешно используют ReCardio. Видя, такую популярность этого средства мы решили предложить его и вашему вниманию. Подробнее здесь…

  • тошнота, сопровождающаяся скачками АД;
  • постоянно возникающие головные боли; • головокружения вплоть до потери сознания;
  • слабость;
  • непроходящий кашель;
  • одышка;
  • отеки (ног, туловища);
  • сердечные аритмии;
  • сердцебиение или чувство замирания сердечной мышцы;
  • боли разной локализации: в верхней половине живота, в правом подреберье, в груди, под лопаткой слева, за грудиной;
  • увеличенная печень;
  • холодные конечности;
  • бледная, с синюшным оттенком, кожа;
  • гипертермия на фоне одышки, грудной боли и цианоза, а так же появления данной симптоматики после приема спиртных напитков;
  • при аускультации прослушиваются шумы.

Именно такое исследование позволяет подтвердить или исключить поражение сердца.

Существует ряд заболеваний, при которых «страдает» сердце. К ним относятся:

  • склеродермия;
  • стенокардия;
  • ревматизм;
  • миокардиодистрофия;
  • врожденные аномалии и приобретенные пороки;
  • системные патологии (красная волчанка и т.д.);
  • инфаркт миокарда в анамнезе;
  • аритмии;
  • аневризма сосудов;
  • опухолевые образования;
  • артериальная гипертензия (включая гипертоническую болезнь);
  • сердечные шумы невыясненной этиологии.

При наличии этих патологий ультразвуковое исследование дает возможность своевременно заметить появление каких-либо отклонений (как анатомических, так и функциональных), и принять адекватные меры.

УЗИ сердца проводится в случаях, когда необходимо установить причину появления изменений на ЭКГ, тип сердечной недостаточности, а так же для оценки функционального состояния органа у спортсменов и у людей, перенесших операцию на сердце.

Процедура безопасная, выполняется пациентам любого возраста. Направления не требуется. Если врач рекомендует ее провести, где сделать УЗИ сердца – решать должен сам пациент, исходя из своих материальных возможностей. Стоимость УЗИ сердца варьирует от 1200 до 4500 рублей (в зависимости от уровня медицинского учреждения, квалификации специалиста и объема необходимого обследования).

Когда нужно сделать УЗИ ребенку

УЗИ сердца ребенку необходимо сделать в случае, когда имеют место следующие нарушения:

  • беспричинная потеря сознания;
  • отклонения в кардиограмме;
  • наличие в сердце шумов;
  • частые простуды;
  • наследственная отягощенность (у близких родственников имели место сердечные патологии);
  • малыш с трудом сосет бутылочку (или грудь);
  • ребенок говорит о неприятных и болезненных ощущениях в области груди;
  • у малыша (даже в состоянии покоя) цвет кожи вокруг рта, а так же на ручках и ножках, изменяется;
  • при небольших физических нагрузках ребенок сильно потеет, быстро устает.

Если родители хотят знать, здорово ли сердце их малыша, необходимо обследовать орган. Где можно сделать УЗИ сердца, расскажет врач. Информация о том, сколько стоит УЗИ сердца, уточняется по телефону у медрегистратора или на сайте медицинского учреждения. Цены на эту услугу колеблются в пределах 1200-2500 рублей.

УЗИ у плода

Для ранней диагностики заболеваний сердечнососудистой системы, уже на ранних этапах эмбрионального развития проводится УЗИ сердца плода.

На первое ультразвуковое исследование женщина приходит при сроке 6-8 недель. Фиксируя показания УЗИ сердца плода при беременности на этом этапе, врач обращает внимание на частоту сердечных сокращений. В норме данный показатель находится в пределах 110-130 уд/мин. Если ЧСС выше указанных цифр, это говорит о недостаточном поступлении к органам и тканям зародыша кислорода. При низких показателях ЧСС возможны какие-то патологии со стороны сердечной мышцы.

На ранних сроках по УЗИ сердца плода можно узнать, скольких малышей вынашивает женщина.

Когда будущая мама приходит на УЗИ сердца на более поздних сроках беременности, врач оценивает не только число сердечных сокращений в минуту, но и правильность развития органа, наличие (или отсутствие) пороков.

На 20-й неделе сердечные камеры и их структуры хорошо визуализируются. И увидеть какие-либо отклонения для опытного специалиста не представляет труда. В случае выявления у будущего малыша сердечной патологии, к лечению можно приступить сразу, после его рождения.

Какую информацию дает ультразвуковое исследование?

Прибегая к данному методу диагностики, пациента интересует вопрос: что показывает УЗИ сердца. Первое, на что обращает внимание врач – морфологические параметры. К ним относят: размер органа и его параметры, объем и толщину стенок его камер, состояние клапанного аппарата, сосудов, присутствие рубцовых изменений или тромбов (при наличии таковых). Так же оценивается функциональная активность сердца: частота сокращений, ритмичность работы и т.д. дается оценка состоянию перикарда и миокарда.

По окончании УЗИ врач заполняет протокол обследования с (расшифровкой УЗИ сердца и заключением). В протоколе напротив каждого параметра указаны показатели нормы УЗИ сердца, с которыми и сравнивают данные обследуемого.

Показатели нормы для левого желудочка

Нормальные показатели УЗИ сердца могут разниться, в зависимости от пола пациента.

Масса миокарда – 95-141г (для женщин), 135-182г (для мужчин).

Индекс массы для миокарда (ИММЛЖ) – 71-89г/м2 (для женщин), 71-94г/м2 (для мужчин).

Конечный диастолический размер – от 4,6 до 5,7см.

Конечно-систолический размер – от 3,1 до 4,3см.

Толщина стенки вне сокращения сердца (в фазу диастолы) – около 1,1см. Если этот показатель увеличен, это обозначается термином «гипертрофия». Такое изменение чаще всего связано с повышенной нагрузкой на сердечную мышцу.

Фракция выброса составляет 55-60%. Показывает, сколько крови (в объеме) выбрасывает в момент очередного сокращения сердце (по отношению к общему количеству крови в органе). Низкие цифры данного показателя указывают на сердечную недостаточность. Ударный объем (60-100мл) – столько крови в норме выбрасывает ЛЖ в момент систолы.

Показатели нормы для правого желудочка

Индекс размера ПЖ – от 0,75 до 1,25см/м2.

Толщина стенки ПЖ – 4-5мм.

Размер в покое (диастолический) – от 0,95 до 2,05см.

Показатели нормы для межжелудочковой перегородки

Толщина в диастолу находится в пределах 0,75 – 1,1см.

Показатель экскурсии (или отклонение в обе стороны при сокращении) колеблется от 0,5 до 0,95см. При сердечных пороках существенно увеличивается.

Показатели нормы для правого предсердия

Основной параметр для данной камеры – КДО (конечный диастолический объем). Пределы его нормы достаточно широки – от 20 до 100мл.

Показатели нормы для левого предсердия

Индекс размера ЛП – от 1,45 до 2,90см/м2.

Размер – от 1,85 до 3,30см.

Отклонения в работе клапанов (1-3 степени)

Недостаточность – патологическое состояние, при котором створки клапана не способны полностью смыкаться. Это приводит к частичному возврату крови в обратном направлении, что снижает эффективность функционирования сердечной мышцы.

Стеноз – состояние, противоположное недостаточности. Характеризуется сужением отверстия определенного клапана сердца, что создает препятствие для прохождения крови из камеры в камеру или сосудистое русло. Как результат – развивается гипертрофия стенки.

Относительная недостаточность – клапан в норме, но имеют место патологические изменения сердечных камер, в которые через него проходит кровь.

Норма при УЗИ для перикарда

Околосердечная сумка чаще всего подвергается воспалительному процессу (перикардиту). В результате в ее полости скапливается жидкость, на стенках образуются спайки. В норме объем экссудата не превышает 30мл. При его повышении оказывается дополнительное давление на орган, что значительно затрудняет его функционирование.

Еще один показатель – толщина аорты, которая в норме составляет 2, 1-4.1см.

Если при обследовании обнаружены небольшие отклонения от нормальных параметров УЗИ сердца, не стоит ставить себе самостоятельно диагноз. Необходимо проконсультироваться с врачом. Пол, возраст, сопутствующие болезни – то, что может повлиять на конечный результат. Расшифровкой нормы УЗИ сердца, а так же имеющих место несоответствий, может заниматься только квалифицированный специалист кардиолог.

Как проводится ультразвуковое исследование

Особая подготовка к УЗИ сердца не требуется. Все, что необходимо от пациента для получения максимально объективных результатов: успокоится и ровно дышать. Непосредственно перед обследованием не стоит физически перенапрягаться, пить кофеин содержащие напитки, принимать лекарственные препараты (успокоительные и т.д.).

Подробно узнать, как делают УЗИ сердца можно в интернете. На сайтах многих медицинских центров, наряду с описанием самой процедуры, ценой на УЗИ сердца, представлены наглядные материалы в виде фотографий и видео УЗИ сердца.

Перед обследованием сердца пациент раздевается до пояса и ложится на кушетку. Все украшения с обнаженной зоны (цепочки и т.п.) необходимо снять. Процедура неинвазивная. Вначале обследуемый ложится на спину, затем – на правый бок. Область грудной клетки обрабатывают гелем. После, перемещая датчик по поверхности кожи в области проекции органа, исследуют сердце. Вся процедура занимает не более 20 минут. На мониторе отображается сердце и прилегающие структуры, что становится возможным благодаря свойству ультразвука. Он отражается от ткани, и, в зависимости от их плотности, дает соответствующую картинку.

УЗИ сердца позволяет диагностировать патологии, которые еще не начали проявляться симптоматически.

Способ диагностики гидроцефалии головного мозга

Изобретение относится к медицине и может быть использовано в педиатрии.

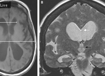
Известно, что выраженность гидроцефалии может быть определена методом ультразвуковой нейросонографии. Измерение желудочковой системы проводят как в коронарных, так и парасагиттальных плоскостях сканирования. В коронарных плоскостях исследования вентрикулометрию проводят в сечении на уровне отверстий Монро и III желудочка. По этой методике измеряются поперечный размер передних рогов, косой размер переднего рога с каждой стороны, поперечный размер III желудочка. В норме у доношенных новорожденных косой размер переднего рога не более 2 мм. Недоношенные новорожденные обычно имеют более широкую ликворную систему с косым размером около 4 мм. Помимо оценки абсолютных размеров желудочковой системы в практической работе используется вычисление относительных показателей в виде желудочково-полушарного индекса Эванса, который представляет собой отношение расстояния между наиболее отдаленными точками передних рогов боковых желудочков к наибольшему внутреннему диаметру черепа (Ватолин К.В. Ультразвуковая диагностика заболеваний головного мозга у детей. Москва: «Видар», — 1995. — 117 с.).

Недостатком методики является ее невысокая достоверность, субъективизм и невозможность использования при деформациях ликворной системы. Достоверность в оценке вентрикуломегалии индекса Эванса составляет лишь 0,423, а вентрикуло-мозгового коэффициента 0,891. При применении объемных методов диагностики (МРТ, магнито-резонансной миело- и цистернографии, КТ и КТ-волюметрии) может быть достигнута значительно большая информативность. (Matsumae M., Kikinis R., Morocz I., Lorenzo AV.: Intracranial compartment volumes in patients with enlarged ventricles assessed by magnetic resonance-based image processing, ecord 6 of 7 — MEDLINE (R) 1996 1SSN: 0022-3085 J-Neurosurg. — 1996. — V 84(6). — P.972-981).

Метод КТ-морфометрии использован Савченко А.Ю. для клинико-рентгенологической оценки степени энцефалопатии при глиоме головного мозга. При исключении продолженного роста опухоли нарастание ЛКИ рассматривалось как прогрессирование энцефалопатии. (Клинико-рентгенологическая диагностика энцефалопатии при глиоме: Метод. Рекомендации / Ю.Н.Савченко, А.Ю.Савченко, В.В.Семченко, А.В.Бахарев. — Омск: Омич, — 1994. — 13 с.).

Известна методика количественной оценки церебральных изменений методом компьютерной морфометрии. Ликворо-краниальный коэффициент (ЛКК) в контрольной группе у лиц от 18 до 39 лет определен как 2,1±0,1 (исследовано 130 пациентов от 18 до 71). Измерения ЛКК не проводилось у детей, а средний возраст пациентов в основной группе из 159 больных составил 56,3±0,5 лет (Бахарев А.В., Новиков В.П., Дударев В.Е., Игнатьев Ю.Т. Количественная оценка атрофии головного мозга по данным КТ у больных атеросклеротической энцефалопатией // Вестник рентгенологии и радиологии. М.: Медицина, 5-6, — 1990. — с.35). Методика измерения ликворо-краниального индекса наиболее точно отражает основные внутричерепные взаимоотношения и состояние ликворных пространств.

Недостаток: мало используется в педиатрической практике.

Известна методика компьютерно-томографической морфометрии, основанная на количественном определении объемов тканей по заданным денситометрическим интервалам, выражающимся в единицах Хаунсфилда, использованная для определения количества ликвора в полости черепа посредством определения ликворо-краниального индекса. В ходе КТ-исследования для коррекции изображения объекта на экране используются регуляторы яркости и контрастности — так называемые ширина и уровень окна, которые позволяют раздельно изучать кости черепа, мозговое вещество и мягкие покровы головы, резко отличающиеся по коэффициенту абсорбции. Для уточнения размеров и характера очагов поражения и отека мозга проводится томоденситометрия (послойное измерение плотности вещества мозга). Используют систему отсчета, предложенную фирмой «Ohio-Nuclear», в которой приняты единицы Hounsfield — ед. Н, в которой оценка колебаний коэффициента адсорбции (КА) принята ±1000 ед. Н. В нормальных условиях коэффициент абсорбции (КА) различных тканей головного мозга неодинаков и на КТ отражается в виде 8 уровней интенсивности серого изображения.

Определяют ликворо-краниальный индекс, который представляет процентное отношение объема ликворных пространств к объему полости черепа. Исследование выполнено на КТ-установке СТ-9000 HP фирмы «General Electric» с матрицей 320×320 пикселов, стандартная разрешающая способность составляет 0,8 мм. Ликворо-краниальный индекс измерен по программе «Volume», в которой режим «Blink» позволяет определить значения коэффициентов ослабления единичных пикселов (микроучастков исследуемого объекта 1 мм × 1 мм × 10 мм при шаге сканирования 10 мм), а суммирующая программа «Hystogram» представляет денситометрическую характеристику исследуемого объекта (плотность ликвора равна 0-16 Н, плотность неизменного вещества мозга 30-60 Н) (Савченко А.Ю. Глиомы головного мозга: эпидемиология, диагностика, дифференцированное лечение и реабилитация. Омск: издание Омской государственной медицинской академии, — 1997. — 312 с.).

Задачей изобретения является улучшение диагностики гидроцефалии у детей.

Поставленная задача решается тем, что в способе диагностики гидроцефалии головного мозга, включающем компъютерно-томографическую морфометрию головного мозга и измерение объема тканей мозга и ликворных пространств, при значении объема ликворных пространств от 3,8 до 10% от объема краниальной полости определяют легкую степень гидроцефалии; от 10,1% до 30% — среднюю степень гидроцефалии, более 30% — тяжелую степень гидроцефалии.

Способ поясняется чертежами.

Фиг.1 Ребенку М. 6 месяцев выполнено вентрикулоперитонеальное шунтирование по поводу прогрессирующей внутренней гидроцефалии. До операции при КТ определена тяжелая степень гидроцефалии (ЛКИ = 51,5%).

Фиг.2 Спустя 6 месяцев после шунтирующей операции при контрольной КТ диагностирован полный регресс проявлений гидроцефалии, нормализация внутричерепных взаимоотношений (ЛКИ = 3,5%).

Фиг.3 Демонстрирует симметричное расширение ликворной системы. Отмечена корреляция между данными нейросонографии и КТ-морфометрии, соответствующими гидроцефалии легкой степени (ЛКИ = 7,6%).

Фиг.4 Демонстрирует деформацию и асимметрию ликворной системы после вентрикуло-перитонеального шунтирования гидроцефалии. По данным НСГ индекс Эванса = 0,47, что соответствует гидроцефалии легкой степени. Однако КТ морфометрия позволяет оценить вентрикуломегалию как более значимую (ЛКИ = 19,9%) — гидроцефалию средней степени.

Фиг.5 Демонстрирует грубый порок развития головного мозга, порэнцефалическую гидроцефалию с грубым поражением затылочных долей, однако передние отделы мозга изменены в меньшей степени. Индекс Эванса, измеренный по стандартной методике, равен 0,5, что соответствует легкой степени гидроцефалии. КТ-морфометрические измерения (ЛКИ = 43,5%) демонстрируют гидроцефалию тяжелой степени.

Способ диагностики осуществляют следующим образом:

В компьютер томографа вносят паспортные данные пациента, вносят параметры сканирования: область исследования — голова; размер поля сканирования — поле 25 см; время сканирования — 5 сек; толщина среза — 10 мм; шаг сканирования — 10 мм; величина тока — 200-250 миллиампер.

Пациента укладывают на стол аппарата и вводят в апертуру гентри, производится позиционирование (центрация по орбито-меатальной линии). Проводят сканирование согласно параметрам. Эвакуируют пациента по окончанию исследования. Обрабатывают данные по программе «Volume» с фиксацией результата на твердой копии.

Детям с гидроцефалией исследование проводят на КТ-установке СТ-9000 HP фирмы «General Electric», с матрицей 320×320 пикселов, стандартная разрешающая способность составляет 0,8 мм. Ликворо-краниальный индекс измеряют по программе «Volume», в которой режим «Blink» позволяет определить значения коэффициентов ослабления единичных пикселов (микроучастков исследуемого объекта 1 мм × 1 мм × 10 мм при шаге сканирования 10 мм), а суммирующая программа «Hystogram» представляет денситометричеекую характеристику исследуемого объекта (плотность ликвора равна 0-16 Н, плотность неизменного вещества мозга 30-60 Н).

Пример 1.

Проведено изучение объема ликворных пространств методом КТ-морфометрии у 55 практически здоровых детей групп 1, 2, 3 и 53 детей с гидроцефалией, которые вошли в группы 4, 5 и 6.

В группу 1 вошло 20 детей с низкими параметрами физического развития головы (согласно центильных таблиц). Объем краниальной полости изменялся от 909 до 1309 см3, объем цереброспинальной жидкости — от 8 до 17 см3, ликворо-краниальный индекс колебался от 0,9 до 2,1% и в среднем составил 1,65±0,46%.

В группу 2 вошло 27 детей со средними параметрами физического развития окружности головы. Объем краниальной полости изменялся от 1011 до 1305 см3, объем ликвора от 12 до 41 мл. Ликворо-краниальный индекс варьировал от 1,3 до 2,9% и в среднем равнялся 2,1±0,8%. В группу 3 вошли 8 детей с высокими параметрами физического развития окружности головы. Объем краниальной полости составлял от 1074 до 1550 см3, объем ликвора от 29 до 50 см3. Ликворо-краниальный индекс колебался от 2,5 до 3,8% и в среднем равнялся 3,05±0,55%. Таким образом, за возрастную норму могут быть приняты значения ЛКИ от 1,2 до 3,8%.

Гидроцефалия может быть определена как состояние краниоцеребральной диспропорции с высоким ликворо-краниальным индексом.

В группу 4 вошли 12 детей с гидроцефалией легкой степени. Объем краниальной полости у них колебался от 910 до 1577 см3, объем ликвора — от 50 до 152 см3. Ликворо-крадиальный индекс колебался от 3,8 до 9,7% и в среднем равнялся 6,3±2,1%.

В группу 5 объединены 24 детей с гидроцефалией средней тяжести. Окружность головы, как правило, соответствовала высоким параметрам развития и превосходила их. Объем краниальной полости колебался от 787 до 1434 см3, объем ликвора — от 96 до 364 см3. Ликворо-краниальный индекс варьировал от 12,2 до 25,4%, в среднем составлял 17,2±5,2%.

В группу 6 вошли 17 детей с гидроцефалией тяжелой степени. Окружность головы значительно превышала возрастную норму. Объем краниальной полости колебался от 720 2586 см3, объем ликвора — от 391 до 1375 см3. Ликворо-краниальный индекс изменялся от 30 до 53,2%, в среднем равнялся 38,3±8,3%.

Пример 2.

Демонстрирует возможность КТ морфометрии в оценке истинного объема ликворных пространств. Проведена корреляция между данными нейросонографии и КТ-морфометрии у 53 детей с проявлениями гидроцефалии.

Клинико-рентгенологическая классификация степени гидроцефалии в зависимости от истинного объема ликворной системы в соотношении с результатами нейросонографии
Гидроцефалия Индекс Эванса Клинические проявления ЛКИ
Легкая степень 0,31-0,5 Как правило, отсутствуют 3,8-10%
Средняя степень 0,51-0,74 Выраженные клинические проявления 10,1-30%
Тяжелая степень больше 0,75 Декомпенсация заболевания больше 30%

Способ диагностики гидроцефалии, включающий компьютерно-томографическую морфометрию головного мозга, измерение объема тканей мозга и ликворных пространств, отличающийся тем, что при значении объема ликворных пространств от 3,8 до 10% от объема краниальной полости определяют легкую степень гидроцефалии, от 10,1 до 30% — среднюю степень, более 30% от объема краниальной полости — тяжелую степень гидроцефалии.


Смотрите также