
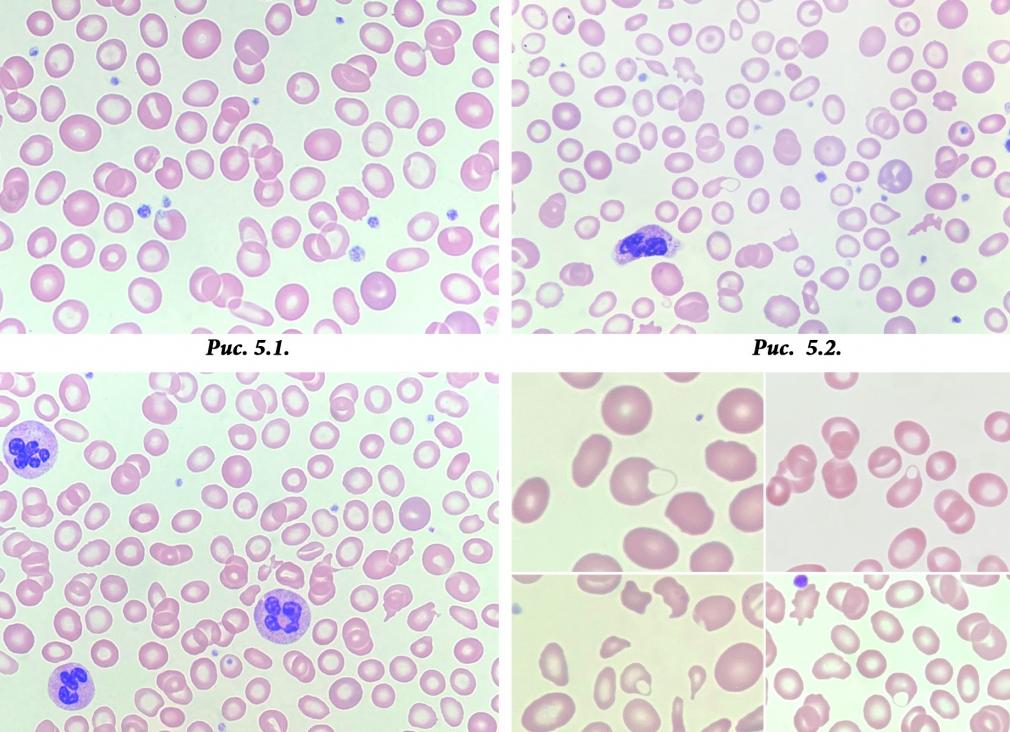
Говорим о гипохромии эритроцитов
Гипохромная анемия – это общий термин для нескольких форм малокровия, при которых недостаток гемоглобина вызывает снижение цветового показателя. На степень насыщенности эритроцита гемоглобином указывает степень его окраски. Здоровая красная клетка характерна равномерным розовым окрасом, с небольшим просветлением в центре. При снижении уровня гемоглобина он бледнеет, а светлая площадь в центре становится более обширной, что характеризуется как гипохромия.
Что такое гипохромия
Гипохромией называют состояние, характерное сниженным количеством гемоглобина в красных клетках крови.
Диагноз заболевания устанавливают выяснением уровня гемоглобина и изучением цветового показателя, который отображает количество гемоглобина в эритроците. Его норма составляет от 0,85 до 1,05, а гипохромия начинается при падении ниже 0,85. Дополнительно диагноз подтверждают при изменениях формы и размеров клеток, которые имеют вид колец с темными краями и светлой внутренней частью.
Гипохромные анемии подразделяются на следующие виды:
- Железораспределительная. Возникает при нарушении механизма изъятия железа из депо на фоне туберкулеза, эндокарита, гнойных воспалительных и других инфекционных болезней.
- Железонасыщенная. Возникает при достаточных запасах железа, которое не используется для синтеза гемоглобина. Это наблюдается при накоплении Fe после разрушения эритроцитов, интоксикаций различными ядами или соединениями тяжелых металлов, после приема некоторых препаратов. К данному виду анемии относится и микроцитоз.
- Железодефицитная. Выявляется наиболее часто, и возникает при нехватке железа после кровотечений, нарушений усвоения пищи или механизма всасывания, особенно при высокой потребности в микроэлементе или нехватке железа в продуктах питания.
- Смешанная, при которой сочетаются несколько факторов, имеющих или не имеющих взаимных связей. Такими сочетаниями могут быть инфекционное заболевание у вегетарианца, беременность и недостаток питания, проведение оперативного вмешательства в ЖКТ и анемия.
В процессе описания анализа крови при обнаружении гипохромии обязательно указывают одну из трех ее степеней:
- Первая. Характеризуется четко заметной под микроскопом светлой зоны по центру эритроцита, которая визуально более широкая в сравнении с нормально окрашенным.
- Вторая. Окрас заметен только на периферии эритроцита.
- Третья. Когда окрашивание осталось только в оболочке эритроцита.
Любая степень гипохромной анемии классифицируется по уровню содержания в крови гемоглобина. Так, первой степени соответствует 90 г/л, второй – 90-70 г/л, падение меньше 70 г/л означает наступление тяжелой, или третьей степени.
Симптомы
Точно определить наличие гипохромии по внешним признакам невозможно, но любое анемическое состояние характеризуется сходными симптомами (включая микроцитоз), при появлении которых необходимо обратиться к терапевту или гематологу, которые назначат сдачу крови и другие необходимые обследования.
Такими симптомами являются следующие:
- Головокружение, ощущение слабости, обморок и мелькание мушек перед глазами.
- Быстро наступающая усталость, отсутствие возможности длительное время заниматься физическим или интеллектуальным трудом.
- Бледность кожных покровов, синий оттенок под глазами (анемичный вид).
- Повышенная раздражительность и беспричинная плаксивость у женщин.
- Периодические приступы сердцебиения и тахикардия в состоянии покоя.
- Одышка.
Косвенно наличие у человека анемии можно проверить реакцией организма на прием железосодержащих препаратов. При анемии, вызванной нехваткой железа, такие люди ощущают улучшение самочувствия. Но при железонасыщенном и железораспределительном малокровии прием подобных лекарств эффекта не приносят.
Необходимые исследования после появления симптомов
Для уточнения диагноза гипохромии, врач назначает проведение лабораторных анализов, где исследуют размер, форму и число эритроцитов, кол-во гемоглобина в крови и ЦП.
Так, на заболевание гипохромией указывают следующие лабораторные показатели:
- Выявление заболевания в общем анализе крови.
- Цветовой показатель опустился ниже 0,85.
- Сыворотка крови содержит недостаточное количество сывороточного железа.
Читайте так же: Что такое цветной показатель крови?
Причины
Самые распространенные причины развития гипохромии следующие:
- Значительные кровотечения (при операциях, родах или травмах).
- После внутренних кровоизлияний, которые не обязательно сопряжены с существенными кровопотерями. Заболевание способно развиваться после незначительных, но постоянных кровотечений.
- Неправильное питание, при котором ограничено поступление продуктов, богатых железом: мяса, чернослива, яблок, кураги.
- Период беременности, при котором железа требуется значительно больше в сравнении с нормой для взрослого человека.
- Болезни ЖКТ, при которых нарушается усвоение железа, и в организме образуется его нехватка даже при достаточном поступлении с пищей.
- Частая сдача крови при донорстве.
- Врожденная детская гипохромия (микроцитоз) и другие наследственные патологии, характерные блокированием синтеза гемоглобина.
- Гельминтоз.
Лечение
Гипохромия эритроцитов лечится устранением причины патологии одновременно с симптоматической терапией, а также нормализацией обмена железа в организме.
Так, в зависимости от вида малокровия, терапевтические меры будут следующие:
Железодефицитная анемия лечится устранением причин, вызывающих потерю железа, и его восполнение до необходимого уровня, при этом применение препаратов сочетается с другими видами воздействия:
- Организация сбалансированного питания;
- При наличии острого кровотечения его останавливают при помощи препаратов, повышающих свертываемость крови;
- При хроническом кровотечении в органах пищеварения проводят дополнительные обследования и лечение обнаруженного источника: варикоза вен пищевода и желудка, эрозий или осложнений после операции;
- При тяжелом течении болезни производят введение эритроцитарной массы и препаратов железа.
Железодефицитная и железораспределительная анемия лечатся устранением сопутствующих заболеваний, которые привели к болезни, а также приемом витаминных комплексов или витамина В6.
Лечение талассемии (генетически обусловленный микроцитоз) серьезной ремиссии не дает, но заметно улучшает качество жизни пациента. Железосодержащие препараты в данном случае противопоказаны, так как микроцитоз характеризуется избытком железа в организме.
Если при лечении гипохромии происходит значительное увеличение размеров селезенки, а к симптомам анемии добавляются лейкопения и тромбоцитопения, проводят спленэктомию.
Опасности заболевания
Своевременная диагностика гипохромии и лечение позволяют полностью излечить заболевание (исключение – врожденный микроцитоз), но отсутствие терапии приводит к следующим негативным последствиям:
- Ослабление иммунитета.
- Развитие кардиомиопатии – работа сердечной мышцы с удвоенной силой при нехватке кислорода, что ведет к сердечной недостаточности.
- Отрицательное влияние на нервную систему.
- Увеличение печени.
- Хроническое малокровие.
Читайте так же: Все, что необходимо знать про гемолиз эритроцитов
Профилактика
Главная профилактическая мера по недопущению развития гипохромии – сбалансированная диета, включающая продукты с достаточным содержанием железа: почки и говяжья печень, яйца, зелень, гранат, свекла, курага, хурма. Также периодически необходимо проводить обследования для контроля количества гемоглобина и других показателей крови. Женщинам на профилактику гипохромной анемии следует особенное внимание, так как они теряют значительное количество крови при менструации.
Гипохромия – это патология, характеризующаяся пониженным содержанием гемоглобина в эритроцитах.
Она может развиваться при недостатке поступления или нарушениях процесса усвоения железа в организме. При появлении характерных симптомов необходимо пройти обследование для выявления причины заболевания, так как на основании характерных признаков поставить точный диагноз невозможно. При отсутствии генетической предрасположенности к гипохромии (врожденный микроцитоз), ее появление возможно предотвратить при помощи профилактических мер.
Поделиться:
Нет комментариев
Гипохромия эритроцитов
Окраска эритроцитов зависит от того, насколько они насыщены гемоглобином. В норме они равномерно окрашены в розовый цвет средней интенсивности, при этом в центре немного светлее. При недостаточной концентрации гемоглобина цвет красных кровяных телец становится бледным, а зона просветления в середине клетки увеличивается. Это состояние называется «гипохромия эритроцитов». Такие клетки обнаруживают во время анализа крови. Они выглядят, как кольца с более темным ободком по краю и со светлым участком посередине.
Степени гипохромии
В бланке с результатами анализов обычно указывают степень гипохромии. Всего выделяют три:
- I степень — зона просветления в центре эритроцита четкая и имеет большую площадь, чем нормальная клетка;
- II степень — окрашена в розовый цвет только периферическая часть клетки;
- III степень — окраска имеется только у мембраны, из-за чего красная клетка крови выглядит как кольцо.
Почему возникает
Причины гипохромии могут быть разными, и чаще всего они обусловлены такими заболеваниями:
- железодефицитная анемия;
- талассемия;
- гемолитическая анемия;
- свинцовая интоксикация;
- другие врожденные анемии, обусловленные нарушением синтеза глобина.
Анемии, при которых в крови обнаруживаются гипохромные эритроциты, называют гипохромными. Кроме этого, необходима оценка цветового показателя крови. В этом случае ЦП бывает сниженным и составляет менее 0,85, в то время как норма его — 0,85-1,05. Гипохромия, как правило, сочетается с микроцитозом — уменьшением объема красных клеток, из-за чего снижается содержание гемоглобина.
Гипохромные анемии
Для их диагностики проводят общий анализ крови, при котором уделяют внимание таким показателям:
- гематокритное число;
- гемоглобин;
- цветовой показатель;
- изменение окраски эритроцитов (гипохромия);
- изменение размера красных клеток (микроцитоз).
По уровню гемоглобина оценивают степень тяжести анемии. Выделяют три степени:
- 1-я степень — содержание гемоглобина превышает 90 г/литр крови;
- 2-я степень — от 70 до 90 г/литр;
- 3-я степень — уровень не выше 70 г/литр.
Причины развития гипохромных анемий могут быть разными, и в первую очередь это зависит от вида. Выделяют четыре вида:
- железодефицитную;
- железоненасыщенную (она же сидероахрестическая);
- железоперераспределительную;
- смешанную.
Железодефицитная
Это самый распространенный вид гипохромных анемий, связанных с недостатком железа. Диагностируется по следующим признакам:
- гипохромии эритроцитов;
- низкому уровню железа в сыворотке крови;
- пониженному цветовому показателю;
- положительному эффекту от лечения железосодержащими препаратами.
Причины такой анемии разные. Они могут быть следующими:
- хронические длительные кровотечения, особенно внутренние (из ЖКТ, маточные);
- нарушение всасывания железа после хирургического вмешательства на органах пищеварительного тракта;
- употребление пищи с низким содержанием железа;
- недостаток железа во время беременности и кормления грудью при его повышенных потребностях.
Железоненасыщенная
При такой анемии содержание железа в сыворотке крови находится в норме, но нарушено его всасывание. Критерии, на которых основана диагностика, следующие:
Рекомендуем прочитать:Причины железодефицитной анемии
- сниженный ЦП;
- гипохромные эритроциты;
- нормальное содержание в сыворотке железа;
- отсутствие эффекта от приема железосодержащих препаратов.
Среди причин сидероахрестической анемии следует назвать:
- хронические интоксикации промышленными химикатами и ядами;
- прием некоторых лекарственных средств.
Железоперераспределительная
Развивается при накоплении большого объема железа во время распада красных кровяных телец. Довольно часто возникает при туберкулезе, гнойных инфекциях, эндокардите. Определяется в анализе крови по следующим признакам:
- наличию гипохромных эритроцитов;
- пониженному уровню гемоглобина;
- нормальному или повышенному уровню сывороточного железа;
- отсутствию положительной динамики после приема препаратов железа.
Опасна ли гипохромная анемия
Считается, что сама по себе анемия не угрожает жизни, однако при отсутствии лечения могут развиться осложнения, что чаще встречается у людей пожилого возраста. Как правило, это различные заболевания. При недостатке кислорода могут возникнуть опасные для жизни ситуации. Особенно это касается детей и беременных, когда кислородное голодание угрожает плоду. Анемия может привести к преждевременным родам, недостатку веса, отставанию ребенка в развитии.
При железодефицитной анемии нужно включать в меню больше белковых продуктов животного происхождения
У взрослых людей может появиться следующая симптоматика:
- увеличение селезенки и печени;
- отеки;
- онемение рук и ног;
- нарушение сердечной деятельности.
При своевременном обращении к врачу и ранней диагностике лечение проходит успешно, хотя и требует длительного лечения. В этом случае обычно анемия бывает нетяжелой.
Более серьезного внимания заслуживают запущенные формы.
Лечение зависит от вида патологии и причин развития:
- При дефиците железа назначают соответствующие препараты и специальное питание, в котором преобладают продукты с высоким содержанием железа. Могут выписывать препараты в таблетках или внутривенные. В тяжелых случаях может понадобиться переливание эритроцитарной массы. При дефиците железа лечение может длиться около полугода. Именно столько времени необходимо для восполнения его запасов и создания депо.
- При железонасыщенной обычно назначают витамины группы В.
- Железоперераспределительная анемия лечится витаминными комплексами, препаратов железа не требуется.
- Если анемия вызвана заболеванием, необходимо его устранить.
- Если причиной стало кровотечение, могут потребоваться как консервативные, так и хирургические методы для его остановки.
- Анемия при беременности лечится, как правило, с помощью препаратов железа.
В заключение
Гипохромия красных клеток крови связана с анемиями. Такие состояния требуют обязательного лечения, поскольку запущенные формы могут быть опасны для здоровья. Кроме того, при анемиях снижается качество жизни. Человека преследуют такие симптомы, как головокружение, постоянная слабость, мушки перед глазами, одышка, сердцебиение, ухудшение работоспособности, как физической, так и умственной.
Эритроциты гипохромные
Окраска эритроцитов зависит от того, насколько они насыщены гемоглобином. В норме они равномерно окрашены в розовый цвет средней интенсивности, при этом в центре немного светлее. При недостаточной концентрации гемоглобина цвет красных кровяных телец становится бледным, а зона просветления в середине клетки увеличивается.
Оглавление:
Это состояние называется «гипохромия эритроцитов». Такие клетки обнаруживают во время анализа крови. Они выглядят, как кольца с более темным ободком по краю и со светлым участком посередине.
Степени гипохромии
- I степень — зона просветления в центре эритроцита четкая и имеет большую площадь, чем нормальная клетка;
- II степень — окрашена в розовый цвет только периферическая часть клетки;
- III степень — окраска имеется только у мембраны, из-за чего красная клетка крови выглядит как кольцо.
Почему возникает
- железодефицитная анемия;
- талассемия;
- гемолитическая анемия;
- свинцовая интоксикация;
- другие врожденные анемии, обусловленные нарушением синтеза глобина.
Гипохромные анемии
- гематокритное число;
- гемоглобин;
- цветовой показатель;
- изменение окраски эритроцитов (гипохромия);
- изменение размера красных клеток (микроцитоз).
- 1-я степень — содержание гемоглобина превышает 90 г/литр крови;
- 2-я степень — от 70 до 90 г/литр;
- 3-я степень — уровень не выше 70 г/литр.
- железодефицитную;
- железоненасыщенную (она же сидероахрестическая);
- железоперераспределительную;
- смешанную.
Железодефицитная
- гипохромии эритроцитов;
- низкому уровню железа в сыворотке крови;
- пониженному цветовому показателю;
- положительному эффекту от лечения железосодержащими препаратами.
- хронические длительные кровотечения, особенно внутренние (из ЖКТ, маточные);
- нарушение всасывания железа после хирургического вмешательства на органах пищеварительного тракта;
- употребление пищи с низким содержанием железа;
- недостаток железа во время беременности и кормления грудью при его повышенных потребностях.
Железоненасыщенная
- сниженный ЦП;
- гипохромные эритроциты;
- нормальное содержание в сыворотке железа;
- отсутствие эффекта от приема железосодержащих препаратов.
- хронические интоксикации промышленными химикатами и ядами;
- прием некоторых лекарственных средств.
Железоперераспределительная
- наличию гипохромных эритроцитов;
- пониженному уровню гемоглобина;
- нормальному или повышенному уровню сывороточного железа;
- отсутствию положительной динамики после приема препаратов железа.
Опасна ли гипохромная анемия
При железодефицитной анемии нужно включать в меню больше белковых продуктов животного происхождения
- увеличение селезенки и печени;
- отеки;
- онемение рук и ног;
- нарушение сердечной деятельности.
- При дефиците железа назначают соответствующие препараты и специальное питание, в котором преобладают продукты с высоким содержанием железа. Могут выписывать препараты в таблетках или внутривенные. В тяжелых случаях может понадобиться переливание эритроцитарной массы. При дефиците железа лечение может длиться около полугода. Именно столько времени необходимо для восполнения его запасов и создания депо.
- При железонасыщенной обычно назначают витамины группы В.
- Железоперераспределительная анемия лечится витаминными комплексами, препаратов железа не требуется.
- Если анемия вызвана заболеванием, необходимо его устранить.
- Если причиной стало кровотечение, могут потребоваться как консервативные, так и хирургические методы для его остановки.
- Анемия при беременности лечится, как правило, с помощью препаратов железа.
В заключение
Что такое гипохромия в анализе крови, диагностика и лечение
Гипохромия в общем анализе крови указывает на проблемы с гемоглобином. У этой патологии существуют и другие названия – гипохромия эритроцитов или же гипохромная анемия. Все эти названия относятся к нескольким видам анемий, причем каждая из них требует специальной диагностики и лечения.
Напомним, что анемия в любом варианте, особенно при длительном воздействии на организм приводит к кислородному голоданию клеток, что не может не отразиться на их состоянии. Особенно это касается клеток головного мозга. В запущенных вариантах возможно развитие инсульта с переходом в состояние “овощ” с последующей терминальной стадией. Чаще всего такой сценарий касается женского организма.
Что такое гипохромия
Указанное состояние называется так, потому что только благодаря нормальному содержанию гемоглобина, а соответственно, и железа, здоровые эритроциты обладают красным цветом. А при таком синдроме, как гипохромия эритроцитов, их окраска теряется.
Помимо того, что для гипохромной анемии характерен дефицит гемоглобина в красных кровяных тельцах, также присущи следующие признаки:
- Изменение формы эритроцитов.
- Потеря цвета эритроцитами – эритроцит становится двухцветным, с темным красным наружным кольцом и обесцвеченной серединой.
- Приобретение эритроцитами аномальной формы.
При исследовании общего анализа крови на уровень гипохромии всегда необходимо обращать внимание на цветовой показатель, который непосредственно характеризует уровень гемоглобина в эритроцитах. Эти два показателя всегда должны проверяться вместе для точной постановки диагноза. Важным диагностическим признаком считается снижение цветового показателя ниже 0,8.
Причины возникновения
Общим признаком для всех гипохромных анемий является снижение уровня гемоглобина в эритроцитах.
Ведущими причинами возникновения такой патологии считаются:
- Низкий уровень железа в организме.
- Хроническая свинцовая интоксикация.
- Недостаточность витамина В6.
- Воспалительные процессы в организме (больше характерно для хронических болезней, например, гепатиты, поражения кишечника).
- Наследственность.
- Менструации.
- Обширные потери крови после травм и хирургических операций.
- Хронические внутренние кровотечения.
- Несбалансированное питание, бедное содержанием белков.
- Беременность.
- Заболевания крови.
- Глистные инвазии.
- Аутоиммунные заболевания.
- Длительное донорство.
Выделяют такое понятие, как «псевдопотеря крови». Такое явление появляется при кистозной трансформации яичников и доброкачественных новообразованиях в матке. При этом образовавшиеся полости наполняются кровью, которая застаивается. В ней гемоглобин распадается на различные соединения и со временем исчезает.
Классификация гипохромии (гипохромной анемии)
- Железодефицитная – она же микроцитарная. Является самой частой. Характерна для детей и молодых женщин. Возникает при беременности, кормлении грудью, кровотечениях, плохом всасывании и недостатке железа, длительных поносах, высокой потребности в железе, ограниченном питании (отсутствие или малое содержание мясных продуктов).
По этиологическому фактору возникновения все гипохромные анемии подразделяются на следующие:
- Врожденная патология – связаны с заболеваниями кроветворной системы.
- Приобретенная – проявляется вследствие массы причин, влияющих на состав и параметры крови.
По степени выраженности заболевание делится на:
- Первая степень – при микроскопическом исследовании определяется характерная зона более светлого цвет, которая не присуща здоровому эритроциту.
- Вторая степень – эритроциты окрашены в периферической части.
- Третья степень – окраска эритроцитов определяется только в оболочке.
Несмотря на общность итоговой основной причины – низкий показатель содержания гемоглобина, для каждого вида присуща своя определенная симптоматика.
Симптомы
Для всех перечисленных видов гипохромных анемий присущи определенные симптомы:
- Общая слабость.
- Повышенная утомляемость.
- Головные боли.
- Головокружения.
- Понижение трудоспособности.
- Бледность кожных покровов.
- Тахикардия.
- Нервозность, раздражительность.
- Одышка.
- Мелькание «мушек» перед глазами.
Специфическим симптомом является его отсутствие на ранних стадиях. Пациенты не чувствуют первоначальных изменений в своем состоянии. Даже когда начинают проявляться первые общие признаки, это отождествляется с высоким ритмом жизни, усталость, стрессами. На самом деле, по данным гематологов, это в большинстве случаев уже первые признаки заболевания.
В первую очередь такие триггеры зависимы от стадии болезни:
- Первая степень – симптоматика практически отсутствует. Периодически возникают жалобы на слабость, общую усталость. Показатель гемоглобина при этом от 90 г/л и выше.
В таких ситуациях на первое место выступает тщательная диагностика. Только сознательность пациента и грамотность врача позволят своевременно определить причины ухудшения состояния.
Диагностика
При подозрении на гипохромную анемию врач обязан провести тщательную диагностику больного. Основные критерии, которые должны быть проверены немедленно, это:
- Проведение общего анализа крови.
- Количество эритроцитов в периферической крови.
- Эритроцитарные индексы.
- Концентрация гемоглобина.
- Цветовой показатель.
- Тщательный сбор анамнеза.
- Осмотр кожных покровов, особенно в области суставов.
Акцентировать внимание нужно на то, что при каждом виде гипохромной анемии присущи свои определенные диагностические признаки:
- Железодефицитная – определяется гипохромия эритроцитов, цветовой показатель ниже 0,8, эритроциты обретают форму колец, концентрация железа снижена.
С целью исключения многих опасных заболеваний проводится дополнительное исследование, которое включает в себя:
- Эндоскопическое исследование желудочно-кишечного тракта.
- Анализ кала на скрытую кровь.
- Колоноскопия (исследование слизистой оболочки толстого кишечника).
- Общий анализ мочи.
- Анализ мочи на специфические маркеры в зависимости от показаний.
- Ультразвуковое исследование почек и мочевыделительной системы.
- Пункция костного мозга.
Помимо всех указанных гипохромных анемий, существует определенное патологическое состояние, возникающее у детей, которое отличается от патологического состояния взрослых требует назначения препаратов железа.
Гипохромия у ребенка
Такое состояние может развиться уже во внутриутробном периоде, а также после
Гипохромная анемия у детей бывает нескольких типов:
- Латентная форма – основным признаком является недостаток железа, но без наличия анемии. Возникает редко.
Часто привлекают внимание симптомы, которые развиваются уже на конечных стадиях анемии. Поэтому родителям маленьких детей нужно обращать внимание на следующие признаки:
- Нарушенный сон.
- Плохой аппетит.
- Бледность.
- Высокая подверженность респираторным инфекциям.
- Ангулярный стоматит (заеды).
- Задержка физического, умственного, психического развития.
Лечение
Такие состояния требуют тщательности и кропотливости, так как лечение гипохромной анемии является длительным процессом.
Основная цель лечения – это устранение основной причины заболевания. Выбор терапевтической тактики зависит от типа анемии:
- Железодефицитная анемия – в первую очередь требует восполнения нехватки желез и поступления в организм витамина В12. В дополнение к этому необходимо добавление в рацион пищи, богатой железом – печень, фисташки, свекла, яблоки, гранат. Лечение и диета длительные.
В случае тяжелых поражений целесообразно введение эритроцитарной массы и лечение только в условиях стационара.
Что такое гипохромия эритроцитов, виды гипохромных анемий
Содержание
Гипохромия эритроцитов – это заболевание, связанное с изменением цветного показателя кровяных телец. Их окраска зависит от уровня гемоглобина. Нормой считается равномерная розовая окраска, причем центр немного светлее. Если в крови недостаточно гемоглобина, эритроцит становится намного светлее, а центральная часть увеличивается. Обнаружить данную патологию можно после сдачи крови.
Возникновение гипохромии эритроцитов и степени данной патологии
Если выявлено наличие такого заболевания, то в результатах анализов указывается степень патологии.
- Первая степень – площадь просветления эритроцита намного больше, нежели в обычной клетке.
- Вторая степень – светло-розовый оттенок наблюдается лишь на периферии клетки.
- Третья степень – из всей клетки, окрашенной частью является только мембрана, поэтому под микроскопом разглядываются кольца.
Причины возникновения гипохромии различны.
Чаще всего она появляется в следствии:
- железодефицитной анемии;
- анемии Кули;
- гемолитической анемии;
- отравление свинцом;
- некоторые другие формы анемий.
При гипохромной анемии сразу же оценивается показатель цвета крови. Практически во всех случаях он снижается и не доходит даже до 0,85 единиц, тогда как норма колеблется от 0,85 до 1,05. Гипохромии сопутствует еще одна патология – микроцитоз. При этом кровяные клетки сильно уменьшаются, что влияет на гемоглобин.
Виды гипохромных анемий
При общем анализе крови, рассматриваются следующие показатели:
- объем эритроцитов;
- уровень гемоглобина;
- окраска кровяных телец;
- структурное изменение оттенка;
- структура изменения форм.
Гемоглобин показывает, насколько тяжело протекает анемия.
Насчитывают три степени:
- Показатель гемоглобина немного больше 90 единиц;
- Отметка уровня гемоглобина падает и находится в пределахединиц.
- Значение данного показателя немного превышает отметку в 70 единиц.
Гипохромные анемии делятся на три вида:
Первый вид встречается намного чаще остальных. По названию можно сразу понять, что пациент нуждается в железе.
Ее диагностируют по таким признакам:
- наличие в крови гипохромных кровяных телец;
- показатель железа намного ниже нормы;
- сниженный цветовой показатель;
- при приеме препаратов железа, ситуация налаживается.
К причинам возникновения железодефицитной анемии можно отнести:
- продолжительные кровоизлияния (сильная менструация, повреждения желудочно-кишечного тракта);
- плохое усвоение железа после операций, связанных с пищеварительной системой;
- потребление пищи, в которой практически отсутствует железо;
- период беременности.
Железоненасыщенная анемия – это состояние, когда железо в норме, но оно не может усваиваться в организме.
Факторы, определяющие данный диагноз:
- цветовой показатель красных клеток крови снижен;
- кровяные тельца находятся в гипохромном состоянии;
- железо в норме;
- назначение железосодержащих препаратов не дает никаких результатов.
Железоперераспределительная анемия характеризуется скоплением железа в период распада эритроцитов. Очень часто она развивается при инфекционных патологиях, воспалении внутренней мембраны сердечной мышцы или инфекционных гнойниках.
К признакам относят:
- присутствие в крови гипохромных эритроцитов;
- низкий показатель гемоглобина;
- показатель железа может быть как выше оптимального, так и в норме;
- прием препаратов железа не дает положительной динамики.
Последствия гипохромной анемии
Анемия не может угрожать жизни, но только в том случае, если ее вовремя начать лечить. Особенно это касается пожилых людей. На фоне анемии могут возникнуть различные осложнения. Вот они могут стать очень опасны и для здоровья, и для жизни.
При анемии не хватает кислорода. Когда ткани лишены этого важного компонента, возникает опасность для пациента. Вот почему активный контроль анализов крови ведется в детском возрасте, а также при беременности.
Отсутствие лечения анемии у девушек в положении отрицательно влияет на плод и может привести:
- к преждевременным схваткам и родам;
- к рождению малыша с очень маленьким весом;
- к умственной отсталости ребенка.
Для старших пациентов, страдающих анемией, характерны такие симптомы:
- спленомегалия;
- гепатомегалия;
- сильные отеки;
- покалывание конечностей;
- сбои в работе сердечно-сосудистой системы.
Каким будет лечение, зависит от причины возникновения анемии. Если в крови недостаточно железа, врач назначает курс железосодержащих препаратов, составляет определенную диету. При неэффективности таблеток, прописываются внутривенные инъекции. Критические ситуации требуют пересадку эритроцитарной массы. Продолжительность лечения может доходить до шести месяцев. Этот период не стоит прерывать.
Что означает гипохромия в общем анализе крови
Увидев в результатах анализов незнакомое слово, можно впасть в панику и вообразить себе самые разные проблемы со здоровьем. Ненужного волнения легко избежать, если спокойно разобраться со значением специфического медицинского термина. Узнайте, что скрывается за непонятным словом «гипохромия» и в каких случаях лабораторные анализы могут указывать на такой диагноз.
Что такое гипохромия
Гипохромия – это анемия, вызванная низким содержанием гемоглобина в клетках крови, которые ответственны за транспортировку кислорода, – эритроцитах. Существуют и другие названия этого явления: гипохромная анемия и гипохромазия. Все эти понятия представляют собой общие названия для любых разновидностей анемии, характеризующихся пониженным гемоглобином.
Причинами гипохромной анемии могут быть: дефицит железа, хроническое отравление свинцом, недостаток витамина B6, различные воспалительные процессы, некоторые наследственные болезни (сидеробластная анемия, талассемия).
Для всех форм гипохромии характерны такие симптомы, как общая слабость и снижение трудоспособности, головокружение, бледность кожи, учащенное сердцебиение, одышка, мушки перед глазами, раздражительность.
Как определяется
Патологию можно диагностировать только путем лабораторных анализов. Гипохромию выявляют по результатам обычного клинического анализа, при котором кровь берут из пальца.
При диагностике учитывается как общий уровень гемоглобина, так и цветовой показатель анализа крови, который отражает уровень гемоглобина, содержащегося в красных кровяных тельцах. В норме он имеет значение от 0,85 до 1,05. При гипохромии цветовой показатель становится ниже 0,8, а эритроциты приобретают слабую окраску: центральная часть клеток светлая, а по краям наблюдается темная окантовка.
Степень тяжести гипохромной анемии определяется по уровню гемоглобина. При первой степени гипохромии он составляет не меньше 90 г/л (грамм на литр), при второй – от 70 до 90 г/л, а при третьей – менее 70 г/л.
Виды гипохромных анемий
Существуют следующие типы гипохромной анемии:
- железодефицитная;
- железонасыщенная (сидероахрестическая);
- железоперераспределительная.
Самой распространенной разновидностью гипохромии является железодефицитная анемия. Она развивается, когда расход железа превышает его поступление в организм. Чаще всего такое отклонение возникает при несбалансированном питании или длительных кровотечениях. У женщин железодефицитные состояния нередко развиваются при беременности и лактации. Эту форму анемии выявляют по таким лабораторным показателям, как низкий уровень железа в крови, цветовой показатель ниже 0,8 и характерная бледная окраска эритроцитов.
Железонасыщенная анемия характеризуется нормальным содержанием железа в крови, но при этой патологии нарушается его всасывание, что и приводит к снижению гемоглобина. Обычно она возникает при хроническом отравлении химикатами или сильнодействующими лекарственными препаратами. Железонасыщенную анемию диагностируют по низкому цветовому показателю и слабо окрашенным эритроцитам при нормальном уровне железа.
Причиной снижения гемоглобина при железоперераспределительной анемии является ускоренный распад эритроцитов. Этот тип гипохромии может наблюдаться при туберкулезе, эндокардите (воспалении внутренней оболочки сердца), острых инфекционных процессах. Его определяют по сниженному уровню гемоглобина в сочетании с гипохромией эритроцитов и нормальным показателем содержания железа в крови.
Выявленная по результатам общего анализа крови гипохромия не является самостоятельным заболеванием. Она лишь указывает на патологические процессы в организме, первопричиной которых могут быть разные нарушения или заболевания. Для выяснения причин отклонений и постановки точного диагноза врач назначит дополнительные обследования.
Говорим о гипохромии эритроцитов
Что такое гипохромия
- Железораспределительная. Возникает при нарушении механизма изъятия железа из депо на фоне туберкулеза, эндокарита, гнойных воспалительных и других инфекционных болезней.
- Железонасыщенная. Возникает при достаточных запасах железа, которое не используется для синтеза гемоглобина. Это наблюдается при накоплении Fe после разрушения эритроцитов, интоксикаций различными ядами или соединениями тяжелых металлов, после приема некоторых препаратов. К данному виду анемии относится и микроцитоз.
- Железодефицитная. Выявляется наиболее часто, и возникает при нехватке железа после кровотечений, нарушений усвоения пищи или механизма всасывания, особенно при высокой потребности в микроэлементе или нехватке железа в продуктах питания.
- Смешанная, при которой сочетаются несколько факторов, имеющих или не имеющих взаимных связей. Такими сочетаниями могут быть инфекционное заболевание у вегетарианца, беременность и недостаток питания, проведение оперативного вмешательства в ЖКТ и анемия.
- Первая. Характеризуется четко заметной под микроскопом светлой зоны по центру эритроцита, которая визуально более широкая в сравнении с нормально окрашенным.
- Вторая. Окрас заметен только на периферии эритроцита.
- Третья. Когда окрашивание осталось только в оболочке эритроцита.
Любая степень гипохромной анемии классифицируется по уровню содержания в крови гемоглобина. Так, первой степени соответствует 90 г/л, второй –г/л, падение меньше 70 г/л означает наступление тяжелой, или третьей степени.
Симптомы
- Головокружение, ощущение слабости, обморок и мелькание мушек перед глазами.
- Быстро наступающая усталость, отсутствие возможности длительное время заниматься физическим или интеллектуальным трудом.
- Бледность кожных покровов, синий оттенок под глазами (анемичный вид).
- Повышенная раздражительность и беспричинная плаксивость у женщин.
- Периодические приступы сердцебиения и тахикардия в состоянии покоя.
- Одышка.
Необходимые исследования после появления симптомов
- Выявление заболевания в общем анализе крови.
- Цветовой показатель опустился ниже 0,85.
- Сыворотка крови содержит недостаточное количество сывороточного железа.
Причины
- Значительные кровотечения (при операциях, родах или травмах).
- После внутренних кровоизлияний, которые не обязательно сопряжены с существенными кровопотерями. Заболевание способно развиваться после незначительных, но постоянных кровотечений.
- Неправильное питание, при котором ограничено поступление продуктов, богатых железом: мяса, чернослива, яблок, кураги.
- Период беременности, при котором железа требуется значительно больше в сравнении с нормой для взрослого человека.
- Болезни ЖКТ, при которых нарушается усвоение железа, и в организме образуется его нехватка даже при достаточном поступлении с пищей.
- Частая сдача крови при донорстве.
- Врожденная детская гипохромия (микроцитоз) и другие наследственные патологии, характерные блокированием синтеза гемоглобина.
- Гельминтоз.
Лечение
- Организация сбалансированного питания;
- При наличии острого кровотечения его останавливают при помощи препаратов, повышающих свертываемость крови;
- При хроническом кровотечении в органах пищеварения проводят дополнительные обследования и лечение обнаруженного источника: варикоза вен пищевода и желудка, эрозий или осложнений после операции;
- При тяжелом течении болезни производят введение эритроцитарной массы и препаратов железа.
Опасности заболевания
- Ослабление иммунитета.
- Развитие кардиомиопатии – работа сердечной мышцы с удвоенной силой при нехватке кислорода, что ведет к сердечной недостаточности.
- Отрицательное влияние на нервную систему.
- Увеличение печени.
- Хроническое малокровие.
Профилактика
Гипохромия – это патология, характеризующаяся пониженным содержанием гемоглобина в эритроцитах.
Гипохромная анемия в анализе крови
Гипохромия, или гипохромная анемия — заболевание, а точнее ряд заболеваний, при которых эритроциты содержат малое количество гемоглобина. Но ошибочно думать, что данное состояние возникает только лишь из-за плохого питания, в котором недостает железа: случается, что нарушается всасываемость этого элемента, которого в организме в избытке. Поэтому, обнаружив в анализах сниженные показатели, не следует «налегать» на традиционное и народное лечение: вначале нужно посетить врача, чтобы найти причину и разобраться с возникшим состоянием правильно и без последствий.
Особенности заболевания
Снижение в крови человека важнейшего показателя — гемоглобина, отвечающего за перенос кислорода в ткани и выполнение окислительно-восстановительных реакций — называется анемией. Это состояние приводит к нарушению работы функционально полноценных эритроцитов, или красных клеток крови, поскольку гемоглобин находится внутри этих клеток. Чтобы гемоглобин в достаточном количестве производился в организме, необходимо соблюдение ряда условий:
- Присутствие нормального объема железа в еде.
- Оптимальное всасывание железа в желудке и кишечнике.
- Наличие белковой пищи в рационе (речь идет о животном белке).
- Достаточное поступление витамина В12, фолиевой кислоты.
- Отсутствие болезней системы крови.
Норма гемоглобина для женщин —г/л, для мужчин —г/л, для беременных — от 110 г/л. Когда у ребенка или взрослого в организме нарушается тот или иной процесс, касающийся поступления или всасывания железа, белка или витаминов, развивается патология — анемия. Гипохромия крови (гипохромазия, гипохромная анемия) — объединенное наименование форм анемии, при которых вследствие уменьшения гемоглобина в эритроцитах падает цветовой показатель крови, составляя менее 0,8. Гипохромия в общем анализе также проявляется снижением содержания гемоглобина в эритроците до 30 пг/л и менее, средней концентрации гемоглобина в эритроците — ниже 330 г/л.
Диагноз гипохромной, а также ее «популярной» разновидности — железодефицитной анемии — может быть поставлен на основании результатов анализа крови. Кроме стандартной расшифровки анализа по основным показателям (клеткам крови) важно оценить размер и форму эритроцитов. Они могут менять диаметр (микроцитоз или макроцитоз), обретать другую форму (пойкилоцитоз). Обычно при гипохромной анемии эритроциты становятся внешне похожими на темное кольцо со светлым центром. Данное явление тоже может стать определяющим для установления правильного диагноза. И все-таки важно и количественное определение основных показателей — гемоглобина, гематокрита, цветового показателя.
Классификация гипохромии включает несколько ее видов:
- Железодефицитная анемия. Данное состояние наиболее распространено, может наблюдаться даже у грудничка. Основные причины — хроническая кровопотеря, нарушение поступления или всасывания железа, беременность. Кроме гипохромии эритроцитов заболевание характеризуется снижением железа в сыворотке крови, падением цветового показателя, достижением положительных результатов от приема препаратов железа. В зависимости от размера эритроцитов данная анемия может быть нормоцитарной, микроцитарной, макроцитарной.
- Перераспределительная анемия. Это заболевание связано с избытком железа в сочетании с гемолизом (распадом) эритроцитов. Причины — гнойные инфекции, туберкулез и прочие воспалительные заболевания. В анализах выявляются нормальный уровень железа, гипохромия, сниженный гемоглобин, нарушение формы эритроцитов и их размера. Терапия препаратами железа неэффективна.
- Железонасыщенная, или сидероахреастическая анемия. Связана с нарушением всасывания железа в кровь при его достаточном поступлении в организм. В итоге гемоглобин синтезируется в сниженном объеме. Данная патология присуща отравлениям и интоксикациям, а также различным заболеваниям, сопровождающимся синдромом мальабсорбции. Характеристики такой анемии — снижение цветового показателя, гипохромия, норма железа в сыворотке, отсутствие эффекта от лечения препаратами железа.
- Смешанная анемия. Может сочетать в себе различные признаки анемии, но всегда сопровождается гипохромией и снижением цветового показателя.
Даже незначительная, умеренная анемия может быть опасной для человека, ведь без лечения быстро она станет выраженной. У грудничка и малыша до года она становится причиной отставания в росте, развитии, у беременной женщины приводит к дефициту веса плода и ребенка при родах. У взрослого человека гипохромия сильно нарушает работоспособность, приводит к слабости, отекам, сбоям в работе сердца и других органов, что не может не сказаться на качестве жизни и риске развития разнообразных болезней.
Причины гипохромной анемии
Существует три основных пути развития данной патологии. Первый — слишком низкое поступление железа с пищей, второй — интенсивные потери железа или усиленный расход элемента, третий — неправильное всасывание железа в тонком кишечнике. Только проведенная диагностика под контролем врача поможет разобраться в причинах болезни и изыскать пути разрешения проблемы. Непосредственные ситуации и заболевания, при которых возможно развитие гипохромии, такие:
- сниженное потребление пищи, богатой железом, авитаминозы (по витаминам группы В), скудное питание, дефицит животной пищи в рационе;
- хронические кровотечения — носовые, кровоточивость десен, маточные кровотечения, регулярные затяжные менструации, кровопотери из толстого и тонкого кишечника;
- острое массивное кровотечение (анемия легкой степени может развиваться даже при небольшой острой кровопотере или при сдаче донорской крови для переливания);
- заболевания желудка и кишечника, которые не дают железу усваиваться — синдром мальабсорбции, целиакия, болезнь Крона, энтерит, гельминтозы, острые и хронические кишечные инфекции, хронический атрофический гастрит, дисбиоз кишечника, синдром раздраженного кишечника;
- беременность, лактация, период полового созревания;
- хроническое отравление вредными веществами при работе на соответствующем производстве, чаще, тяжелыми металлами;
- нарушение производства и утилизации порфиринов;
- проведенные на органах ЖКТ операции (особенно при резекции части кишки или желудка), а также другие тяжелые оперативные вмешательства;
- затяжные тяжелые стрессы;
- злокачественные патологии крови;
- раковые опухоли, особенно, с локализацией в ЖКТ и органах брюшной полости;
- длительно текущее инфекционное заболевание, а также пиелонефрит, пневмония, туберкулез.
У детей может развиваться гипохромная микроцитарная анемия, что чаще случается из-за снижения содержания железа в депо — в специальных резервах в организме. Кроме того, гипохромия может возникать и при серьезных аутоиммунных заболеваниях, которые приводят к формированию особых иммунных комплексов с включением в них эритроцитов и к выработке антител против собственных эритроцитов. На фоне аутоиммунных анемий возникает гипохромия, а чаще это происходит у людей с такими патологиями, как системная красная волчанка, гломерулонефрит, ревматоидный артрит, системные васкулиты.
Симптомы заболевания
Выраженность проявлений гипохромной анемии во многом зависит от степени тяжести болезни. При легкой анемии симптоматика может быть вообще незаметной, только присутствует более сильная утомляемость, чем обычно, некоторое снижение работоспособности человека. У малышей уже на этой стадии может наблюдаться незначительная бледность кожи, прохладность пальцев рук и ног.
По мере прогрессирования болезни появляются следующие симптомы:
- головокружения;
- слабость;
- головные боли;
- раздражительность;
- сонливость;
- одышка;
- учащение сердцебиения;
- сильная неестественная бледность кожи;
- побледнение слизистых оболочек;
- ярко-красный, болезненный, как бы полированный язык;
- снижение давления — гипотония. Также ознакомьтесь с таблетками от давления для беременных
Уже на данной стадии следует провести анализ крови, чтобы уточнить, нет ли в нем дефицита эритроцитов и гемоглобина.
Более детальные исследования покажут присутствие гипохромии, против которой применяют различные виды терапии. Но при отсутствии помощи больному в виде необходимых препаратов и правильной диеты симптоматика может усугубляться. Появляются обмороки, серьезные нарушения работоспособности. У многих больных возникает длительный субфебрилитет без видимых причин.
Падение гемоглобина неизбежно вызывает изменения со стороны волос и ногтей. Волосы сильно выпадают, а ногтевые пластины становятся ломкими, истончаются, расщепляются и ломаются, на них появляется характерная исчерченность. Становится пересушенной кожа — она шелушится, вызывает дискомфорт при касании, порой зудит, в углах рта появляются болезненные трещины — заеды. Если гипохромия существует длительно, могут меняться пищевые пристрастия человека, которому хочется кушать совсем не пригодную для этого пищу, например, мел, уголь и т.д. На данной стадии диагностика еще более важна, ведь причин гипохромии множество, а их последствия могут быть весьма разнообразными.
Способы диагностики
Как уже было сказано, основной метод выявления патологии — общий анализ крови. В нем следует оценить гемоглобин, количество эритроцитов, цветовой показатель. Легкая степень анемии ставится при гемоглобине ниже 90 г/л, средняя степень —г/л, тяжелая — менее 70 г/л. Гипохромия устанавливается, если норма цветового показателя (0,85-1,15) занижена. Кроме того, измеряются средний размер, объем эритроцита, количество предшественников эритроцитов (ретикулоцитов). Последний показатель поможет установить эффективность работы костного мозга.
Также критерием диагностики является обретение эритроцитами характерной формы и вида — темный окрас клетки со светлым пятном в центре. Для оценки степени реагирования организма на препараты железа (железодефицитная или железонасыщенная анемия) проводится проба с Десфералем. Обязательно делают и биохимические исследования крови, среди которых самый важный анализ — определение концентрации сывороточного железа (норма —мкмоль/л) и общая железосвязывающая способность сыворотки (норма 42,3-66,7 мкмоль/л).
Дифференциальная диагностика проводится между различными видами анемии, которые следует отличать от гипохромии (гемолитическая анемия, аутоиммунная анемия и т.д.). Далее выявляют причину заболевания, для чего следует опросить больного на счет особенностей питания, образа жизни, выяснить факт наличия беременности, хронических патологий. Для уточнения причины и назначения правильного лечения, которое может быть даже оперативным, могут быть рекомендованы различные методы диагностики (по показаниям):
- Фиброгастродуоденоскопия желудка, двенадцатиперстной кишки.
- Пальцевое исследование прямой кишки или ректоскопия.
- Фиброколоноскопия.
- Ирригоскопия.
- УЗИ матки и яичников.
- Осмотр у гинеколога.
- УЗИ, КТ, МРТ внутренних органов.
Методы лечения
Средства лечения гипохромии могут быть различными, но начать применять их следует как можно раньше, пока не развились осложнения анемии. Обычно терапия бывает довольно длительной, не менее 2-3 месяцев, но при запущенной степени болезни она может быть еще более долгой и сложной. Одной лишь диетой избавиться от проблемы не получится, применение лекарств обязательно, так как усвоение железа из продуктов недостаточное. Из специальных препаратов этот элемент всасывается намного быстрее, эффективнее.
Чтобы избавится от анемии, необходимо начать с устранения ее причины. Обязательно корректируется основное заболевание — инфекционная патология, гинекологические проблемы и т.д. Лечение железодефицитной гипохромной анемии может включать такие методы и средства:
- Остановка кровотечения путем приема Викасола, препаратов витамина К, а, при необходимости, оперативным путем.
- Проведение операций, облучения, химиотерапии при наличии опухолей ЖКТ или другой локализации.
- Прием железосодержащих препаратов для восполнения его в организме, а также отложения в депо (запасы). Обычно лекарства дают в виде таблеток, но при тяжелой стадии болезни вводят их внутривенно. Преимущественно, назначаются лекарства Ферретаб, Сорбифер дурулес, Тотема, Фенюльс. Во многих из них есть дополнительно аскорбиновая кислота, с которой железо усваивается намного лучше.
- Гемотрансфузии — вливание в кровь больного эритроцитарной массы, полученной из крови донора. Этот метод применяется лишь в исключительных случаях и никак не влияет на причину болезни, поэтому не дает долгосрочного эффекта.
- Прием витамина В6 и его препаратов. Применяется при железонасыщенной и перераспределительной анемии, помогает усвоиться излишку железа в организме. При таких типах анемии наиболее важно лечить основные заболевания, которые становятся причиной гипохромии.
У детей и при беременности чаще всего лечение гипохромии включает прием препаратов железа, а также потребление витаминно-минеральных комплексов вкупе с нормализацией диеты. Во время лечения нужно регулярно проводить анализы крови, чтобы оценивать результативность терапии и, при необходимости, добавлять к ней прочие лекарства.
Народные средства и питание
Питание поможет насытить организм необходимым количеством белка, витаминов группы В, а также железом. Лучше всего железо усваивается из мяса (говядины) и печени, а из растительной пищи оно всасывается намного хуже. Тем не менее, исключать растительную еду нельзя, ее тоже должно быть достаточно в рационе для обеспечения больного всеми необходимыми витаминами. Очень полезна при гипохромии такая пища:
Народные рецепты от анемии могут быть такими (курсы терапии — не менее месяца):
- Столовую ложку цветков клевера залить 250 мл кипятка, варить 10 минут, дать остыть. Пить по 2 ложки отвара 5 раз в сутки.
- Смешать поровну траву крапивы, траву тысячелистника, плоды шиповника, плоды рябины. Столовую ложку сбора залить стаканом воды, оставить на час, пить по 100 мл трижды в день. Применять при гипохромии, которая вызвана кровотечениями.
- Отжать сок из свеклы, моркови, черной редьки, соединить их поровну. Перелить соки в глиняную посуду, томить соки в духовке 1 час. Пить томленый напиток по 2 ложки трижды в день до еды.
- Принимать каждый день по 2 стакана смеси из соков граната, яблока, моркови, в которые добавлена ложка меда.
- Соединить по 200 г какао-порошка, топленого свиного сала, сливочного масла, меда. Растопить все ингредиенты, кроме меда, на огне, хорошо смешать, остудить, вбить в средство мед. Употреблять по чайной ложке трижды в день во время трапезы.
Чего нельзя делать
При гипохромной анемии, как и при других разновидностях болезни, не следует употреблять большое количество продуктов, богатых кальцием. Он не дает железу полноценно усваиваться в крови. Молочные продукты не стоит потреблять вместе с мясом, железосодержащими фруктами, лучше есть их отдельно и не злоупотреблять ими. Нельзя запивать таблетки с железом чаем, кофе и иными напитками, кроме воды: они не дают препарату всасываться в полной мере. От жареных, слишком жирных блюд в диете лучше отказаться, предпочтя правильное, здоровое питание.
Профилактика патологии
Для профилактики гипохромной анемии важно не допускать хронических кровопотерь, вовремя лечить все инфекционные болезни, правильно и полноценно питаться, при необходимости, пить витамины и минералы в комплексах, а также препараты железа. Важно также регулярно проходить обследования у врача и сдавать кровь на анализ, чтобы вовремя выявить анемию и вылечить ее без последствий.
Гипохромия эритроцитов в общем анализе крови: гипохромная анемия у ребенка
Гипохромия (гипохромная анемия, гипохромазия) – это физиологический недуг, возникновение которого связанно с недостатком железа в организме. Термин «гипохромия» имеет греческое происхождение: υπο (гипо) – «под», «внизу», «сниженный» и χρώμα (хрома) – «цвет», «окраска». Если переводить дословно на русский язык, получим слово «малоцветие». При неправильном переводе используют слово «малокровие». Гипохромия в общем анализе крови – один из показателей общего анализа крови, с его помощью оценивают уровень содержания гемоглобина в крови.
Общий анализ крови и лабораторная практика
Современная клиническая медицина имеет мощные средства исследования для изучения тканей человеческого организма, позволяющие точно определить количество гемоглобина в крови – белка, содержащего железо. Такие возможности исключают необходимость определения содержания железа «на глазок», посредством оценки его цветовой гаммы и других сенситивных параметров. Тем не менее, современное оборудование доступно далеко не во всех уголках нашего большого мира, что сохраняет актуальность традиционных методов исследования.
Цветовой показатель крови
Гипохромия – устаревший, но актуальный термин. Его использование в нынешних лабораторных реалиях – дань традиции. В те времена, когда медицинские лаборатории не имели возможности подробного биохимического исследования эритроцитов, основным способом получения информации о состоянии красных клеток крови был микроскоп. Лаборант визуально изучал эритроциты, оценивая их цвет, объем, форму, размер. Цвет эритроцитов служил обоснованием содержания количества железа в организме – если яркий и насыщенный, то был смысл говорить о гиперхромии (гиперхромазии); если бледный и невыразительный – о гипохромии (гипохромазии); среднее значение – нормохромия (нормохромазия).
Гемоглобин сосредоточен в центре эритроцита – в его ядре. Красный цвет гемоглобину придает железо, которое он присоединяет к себе в ходе различных биохимических реакций. На рисунке хорошо видно, что при гипохромии центр эритроцита прозрачный – это означает, что гемоглобин по какой-то причине не смог присоединить к себе достаточное для окраса ядра количество железа.
Внимание! Цветовой показатель крови имеет числовые параметры: нормохромия – 0,8-1,15 г/л; гипохромия – ниже 0,8 г/л; гиперхромия – выше 1,15 г/л.
Расшифровка результатов показателей гипохромии в общем анализе крови для различных групп населения
Форма и размер эритроцитов в общем анализе крови
В полном диагнозе анемии, помимо цвета, важное значение имеет размер и форма эритроцита. В зависимости от размера в медицинской практике выделяют 5 типов эритроцитов:
- шизоциты – 2-3 мм (кусочки зрелых эритроцитов);
- микроциты – 5-6 мм (недоразвитые эритроциты);
- нормоциты – 7-8 мм (здоровые, нормальные эритроциты);
- макроциты – 8-12 мм (крупные эритроциты);
- мегалоциты – больше 12 мм (патологически крупные эритроциты).
Если в крови наблюдается большое количество эритроцитов небольшого размера и объема, ставится диагноз «микроцитоз», если много больших эритроцитов – макроцитоз, если в крови преобладают нормоциты – нормоцитоз.
Форма эритроцитов бывает нормальной – дискоциты – и патологической. В патологической форме выделяют следующие разновидности:
- сфероциты и микросфероциты – сферическая форма;
- элиптоциты (овалоциты) – овальная форма;
- кодоциты – плоские эритроциты, окраска которых напоминает мишень;
- эхиноциты – эритроциты с шипами, как у морского ежа;
- акантоциты – эритроциты имеют угловатые отростки, напоминающие шпоры;
- дрепаноциты – серповидные эритроциты;
- дакриоциты – форма в виде слезы.
Внимание! Форма эритроцитов тесно связана с многими патологиями крови, например, с таким наследственным заболеванием, как талассемия.
Анемии и их виды
Образование гемоглобина напрямую зависит от количества железа в крови. Причины микроцитоза – плохое питание, недостаток железа в пище. Недоразвитые эритроциты-микроциты образуются без гемоглобинового ядра, именно для них наиболее характерно явление гипохромии. Поэтому в медицинской практике принято отождествлять гипохромию с микроцитарной гипохромной анемией. Если врач говорит о том, что у пациента гипохромия – это означает в 9 случаях из 10, что он имеет в виду микроцитарную железодефицитную анемию.
Для нормоцитов и макроцитов явление анемии менее характерно, но имеет место в медицине – это нормоцитарная и макроцитарная анемии. Для нормоцитарной и макроцитарной анемий гипохромия менее вероятна, чем гиперхромия, особенно это относится к макроцитарной форме анемии. Тем не менее, гипохромия эритроцитов возможна в обеих случаях. Такая патология связана с редкими аномалиями, не позволяющими гемоглобину присоединять железо – гемоглобин есть, железо в организме тоже есть, а присоединения атомов железа к полипептидной цепи гемоглобина нет.
Гипохромная микроцитарная железодефицитная анемия – причины возникновения, симптомы, лечение и предупреждение
Учитывая распространенность такого вида недуга, рассмотрим его более подробно. Еще одна причина остановиться на этом виде анемии связана с простотой его лечения, чего не скажешь про редкие разновидности данного заболевания.
Причины возникновения
- Механическая потеря крови – кровопотери травматического, физиологического (менструация), патологического (желудочно-кишечные и маточные кровотечения) характера.
- При внутренних воспалительных процессах различной этиологии свойства тканей организма изменяются и усвояемость железа становится проблемой.
- Различные новообразования – как злокачественные, так и доброкачественные – имеют свойство влиять на метаболизм человека. Внутри опухолей клетки изменяются, что ведет к возникновению железодефицитной анемии.
- Плохое питание – недостаток железа и витаминов В 6 и В 12 в рационе станет причиной возникновения железодефицитной анемии.
Внимание! Особо уязвимая часть населения для гипохромной микроцитарной железодефицитной анемии – растущее поколение и женщины во время беременности. Недостаток железа в крови у ребенка обусловлен быстрым ростом детского организма. Дефицит железа у беременных вызван расходами ресурсов женщины из-за увеличения плода.
Симптомы
- «Внезапная» слабость, которая быстро появляется и быстро исчезает.
- Любые физические нагрузки приводят к быстрой утомляемости, рассеиванию внимания, одышке.
- Усиленное сердцебиение – организм вынужден усилить ток крови, чтобы компенсировать недостаток кислорода.
- Появление в поле зрения «мушек» – многочисленных темных точек.
Профилактика и лечение
Микроцитарную гипохромную железодефицитную анемию легко предупредить, внеся определенные поправки в рацион – в нем должны быть мясо (говядина и телятина лучше всего), хлеб (витамины группы В), печенка (лучше телячья, но полезна любая), яблоки твердых сортов. Для маленьких детей есть смысл использовать специальные питательные смеси, богатые железом, например, яблочное пюре. Лечат этот недуг специальными препаратами железа.
В лечении и профилактике других видов анемии должна присутствовать умеренная политика самолечения, однако, предпочтительнее, когда самолечение отсутствует вовсе. Гипохромная анемия – коварный недуг, не всегда причиной ее возникновения бывает дефицит железа. В некоторых случаях препараты железа могут быть опасны для здоровья – из-за незначительного приема лекарства может случиться обморок, резко участиться пульс. Поэтому лечение болезни нужно осуществлять строго в соответствии с рекомендациями врача-терапевта.
Гипохромия эритроцитов
Гипохромия эритроцитов (син. гипохромная анемия) — изменение насыщенности красных кровяных телец гемоглобином, на фоне чего меняется их окрас (клетки становятся бледно-розовыми), а центральная площадь — более обширной. Подобное отклонение может возникнуть у каждого человека, вне зависимости от таких параметров, как возраст и пол.
Спровоцировать анизоцитоз может большое количество предрасполагающих факторов, причем далеко не всегда имеющих патологическую основу. Это означает, что проблема может возникнуть у совершенно здорового человека.
Симптоматика гипохромии неспецифична, более того, недомогание может остаться незамеченным, поскольку на первый план выходят признаки основной болезни. Основными проявлениями выступают головокружения и бледность кожи, постоянная слабость и сонливость, частая смена настроения.
Главное диагностическое мероприятие — общеклинический анализ крови. Для поиска того или иного провокатора применяют дополнительные лабораторно-инструментальные обследования.
Гипохромные эритроциты устраняются при помощи консервативных методов терапии, среди которых народные средства, соблюдение щадящего рациона и пероральный прием медикаментов. В полной мере избавиться от проблемы невозможно без ликвидации первоисточника.
В здоровом организме цветовое значение красных кровяных телец варьируется от 0,85 до 1,05. Когда допустимые показатели отклоняются от нормы в меньшую сторону, целесообразно говорить про гипохромию. Проблема очень часто сочетается с такими нарушениями, как анизоцитоз (изменение размеров клеток выше или ниже допустимых значений) или пойкилоцитоз (неправильная форма красных кровяных телец).
На сегодняшний день главными причинами такого отклонения выступают:
- дефицит железа в организме;
- усиленный расход подобного микроэлемента;
- неправильный процесс всасывания железа кишечником.
Что касается предрасполагающих факторов, они делятся на 2 большие категории — патологические и физиологические. Первая группа провокаторов:
- обильная кровопотеря;
- хронические кровотечения, в том числе носовые и маточные, кровоизлияния из десен и органов пищеварительной системы;
- болезнь Крона;
- энтерит;
- целиакия;
- гастрит;
- гельминтоз;
- кишечные инфекции;
- синдром раздраженного кишечника;
- неспецифический язвенный колит;
- злокачественные заболевания крови;
- онкологические новообразования — самыми опасными считаются те опухоли, очаг которых находится в ЖКТ;
- тяжелое отравление химикатами и ядовитыми веществами;
- пиелонефрит;
- туберкулез;
- инфекционные болезни в хронической форме;
- воспаление легких;
- любые аутоиммунные процессы.
Менее безобидные источники формирования гипохромных эритроцитов:
- частое донорство — более 4 раз в год;
- перенесенные ранее хирургические вмешательства;
- бесконтрольный прием некоторых групп лекарственных препаратов;
- гормональный дисбаланс;
- протекание менструации у женщин;
- период вынашивания ребенка;
- грудное вскармливание;
- длительный отказ от еды или соблюдение чрезмерно строгих диет;
- нерациональное питание;
- влияние стресса на протяжении длительного времени.
В основную группу риска входят лица от 15 до 50 лет. Гипохромия красных кровяных телец чаще диагностируется у представительниц женского пола, чем у мужчин.
Дегенеративно измененные и нормальные эритроциты
Гипохромия эритроцитов может протекать в нескольких формах:
- железодефицитная анемия — считается наиболее распространенным вариантом и характеризуется абсолютным уменьшением железа;
- сидеробластная анемия — содержание основного микроэлемента находится в пределах нормы, однако он не принимает участия в синтезе железосодержащего белка;
- железоперераспределительная анемия — выявляется переизбыток железа, но это сопровождается распадом эритроцитов;
- смешанная анемия.
Существует несколько степеней тяжести течения проблемы, которые определяются уровнем гемоглобина. Гипохромия бывает:
- легкая — уровень основного компонента эритроцитов выше 90 г/л;
- умеренная — концентрация варьируется от 70 до 90 г/л;
- тяжелая — параметры не достигают 70 г/л.
Гипохромия эритроцитов имеет несколько характерных внешних проявлений. Проблема заключается в том, что все признаки неспецифичны и не могут с точностью указывать на наличие этого расстройства. Симптомы часто остаются незамеченными из-за высокой интенсивности симптоматики базового заболевания.
Основные симптомы:
- головные боли и головокружения;
- слабость и быстрая утомляемость;
- постоянная сонливость;
- учащение сердцебиения и одышка;
- раздражительность и эмоциональная неустойчивость;
- похолодание кончиков пальцев рук и ног;
- чрезмерная бледность кожных покровов и слизистых оболочек;
- деформация ногтевых пластин;
- болезненность и ярко-красный оттенок языка;
- повышенное выпадение волос;
- сухость и шелушение кожи;
- незначительное возрастание температурных показателей;
- колебания АД;
- изменение пищевых пристрастий или полное отвращение к пище;
- онемение верхних и нижних конечностей;
- гепатоспленомегалия;
- появление «мурашек» перед глазами;
- проблемы с концентрацией внимания.
Клиника характерна как для взрослых, так и для детей.
Видоизмененные эритроциты можно обнаружить только после того, как гематолог расшифрует результаты общеклинического анализа крови. Забор биологического материала проводят из пальца. Среди критериев, на которые обращают пристальное внимание, выделяются:
- цветовой показатель красных кровяных телец;
- уровень железосодержащего белка;
- количество эритроцитов;
- анизоцитоз;
- пойкилоцитоз.
Изменения формы эритроцитов
Полученная информация не сможет указать на первопричину, поэтому необходим комплексный подход к изучению состояния организма. В первую очередь клиницист должен лично выполнить несколько манипуляций:
- изучить историю болезни — это поможет выяснить, какое именно заболевание послужило основой нарушения;
- собрать и проанализировать жизненный анамнез — для подтверждения или опровержения влияния физиологических источников;
- тщательный физикальный осмотр;
- оценка состояния кожи и слизистых оболочек, волос и ногтевых пластин;
- измерение показателей кровяного тонуса, сердечного ритма и температуры;
- детальный опрос пациента — для составления полной картины касательно симптомокомплекса.
В дополнение понадобятся специфические лабораторные тесты, инструментальные процедуры и консультации специалистов из других сфер медицины. Программа диагностирования составляется в личном порядке.
Для избавления от расстройства следует ликвидировать первопричину. Пациентам будет назначена индивидуальная тактика терапии:
- остановка кровотечения консервативными или хирургическими методиками;
- прием внутрь железосодержащих лекарств и витаминных комплексов;
- гемотрансфузия — вливание в кровь больного донорской эритроцитарной массы;
- удаление злокачественных образований путем проведения операции, радиотерапии или химиотерапии;
- соблюдение щадящего рациона;
- физиотерапевтические процедуры;
- применение народных средств медицины — допустимо только после предварительной консультации с лечащим врачом.
Людям с такой проблемой показано обогащение меню продуктами, в состав которых входит железо. Это означает, что в перечень разрешенных ингредиентов входят:
- красные сорта мяса;
- субпродукты;
- морская капуста и морепродукты;
- яблоки;
- гранаты;
- орехи;
- сухофрукты;
- яичные желтки;
- зелень;
- свекла;
- черная смородина;
- малина;
- клубника;
- киви;
- земляника;
- цитрусовые.
Курс лечения нетрадиционными методами не должен продолжаться менее 1 месяца. Предполагается приготовление в домашних условиях целебных настоев на основе таких составляющих:
- клевер;
- крапива;
- шиповник;
- тысячелистник;
- ягоды и листья рябины.
Пациентам будут полезны соки из:
- моркови;
- черной редьки;
- граната;
- яблока.
Гипохромия эритроцитов при полном отказе от квалифицированной помощи чревата такими последствиями:
- ослабление иммунной системы, на фоне чего человек будет подвержен простудным, вирусным и воспалительным заболеваниям;
- кардиомиопатия;
- сердечная недостаточность;
- гепатомегалия;
- хроническое малокровие;
- дисфункция ЦНС.
Для профилактики расстройства людям нужно лишь соблюдать несколько несложных рекомендаций:
- правильно и сбалансировано питаться;
- полностью отказаться от вредных привычек;
- избегать кровопотерь;
- при необходимости пить препараты железа и витаминно-минеральные комплексы;
- своевременно лечить любые патологии, которые могут вызвать изменения в эритроцитах;
- отсутствие стрессовых ситуаций;
- несколько раз в год проходить полное лабораторное и инструментальное обследование в клинике.
Исход диктуется главным этиологическим фактором, но часто носит благоприятный характер. Не стоит забывать, что при отсутствии терапии усугубляется базовая проблема — это может привести к развитию осложнений того или иного заболевания.