
Гипоэхогенное образование в молочной железе
Грудь женщины состоит из молочной железы и жировой клетчатки. Если она здорова, вся ее структура будет однородной. В некоторых случаях на УЗИ отмечаются некие черные пятна. Их называют гипоэхогенными образованиями. Многих пугает такое явление. Но важно знать, что это не симптом болезни и не заболевание, а лишь описание картины, которую видит перед собой врач. Для более точной постановки диагноза пациентку отправляют на дополнительное обследование.
Особенности гипоэхогенных уплотнений
Гипоэхогенное образование – это участок ткани, обладающий относительно низкой плотностью по сравнению с остальной тканью груди. Такое патологическое явление достаточно распространенно среди представительниц слабого пола. Чаще всего диагностируется к 45 годам. Но если у женщины не выявлялось патологии до наступления менопаузы, после она уже вряд ли возникнет.
О чем свидетельствует патологическое образование?
Когда доктор сообщает женщине о возникшем в ее груди гипоэхогенном уплотнении, она зачастую начинает паниковать, подразумевая под этим названием рак молочной железы. Но это не совсем так. Причин возникновения такого образование не мало. Выделяют следующие:
- Обыкновенная киста. Новообразование гипоэхогенного характера, имеющее четкую форму.
- Атипичная киста. Гипоэхогенное уплотнение в молочной железе с точными контурами. Обладает множеством кальцинатов, увеличивающих свое количество с прогрессированием заболевания, и толстую капсулу.
- Железистая карцинома. Представляет собой неоднородную структуру с акустической тенью. Не имеет четкого контура.
- Фиброаденома. Очаговое гипоэхогенное уплотнение с четкой формой. В редких случаях схоже с онкологией при ограниченном расположении.
- Аденоз. Новообразование с размытыми границами, не имеющее определенной формы.
- Фиброзно-кистозная мастопатия. Множественное однородное уплотнение гипоэхогенного характера. Обладает гормональной этиологией.
- Опухоль доброкачественная. Аваскулярное гипоэхогенное образование без сосудистой сетки.
Важно помнить, что гипоэхогенность присутствует и у структур молочной железы (молочные протоки, сосуды).
Симптоматика патологического явления
Первым признаком наличия такого образования является затемненная его структура в отношении другой ткани молочной железы. Здесь и движение ультразвуковых волн замедляется. Это характерно больше для полостей с жидкостью, которые потом диагностируются как кисты с жидким содержимым.
Сразу диагностировать кисту врачи не могут. Для этого необходим ряд других исследований, сдача лабораторных анализов. Ведь УЗИ только предположительно показывает наличие образования. В результате уплотнение округлой формы способно оказаться как кистой, так и галактоцеле, опухолью или эхинококковым поражением. При смытых границах образования может выявиться раковая опухоль или фиброаденома.
Причин, вызывающих формирование гипоэхогенных новообразований в молочной железе, множество. Условно их подразделяют на такие группы:
- половая принадлежность (женщины подвержены заболеванию в 100 раз больше, чем представители сильного пола);
- возраст (опухоли возникают в среднем и пожилом возрасте);
- генетическая предрасположенность (если близкие родственники сталкивались с подобной проблемой, человек попадает в зону риска);
- масса тела (женщины крупного телосложения болеют чаще худых);
- сбой метаболического процесса (замедление или нарушение обменного процесса влечет развитие болезней груди);
- репродуктивные нарушения (если женщина не рожала, у нее было раннее половое развитие, шансы формирования уплотнения значительно возрастают);
- внутренние факторы (заболевания молочной железы развиваются в результате злоупотребления спиртными напитками, постоянных стрессов, нервных перенапряжений);
- внешние факторы (негативно воздействует на грудь плохая экология, травмы, радиационное излучение, переохлаждение организма).
Исходя из перечня причин, из-за которых возникают заболевания молочной железы, можно сделать вывод: изменив свой образ жизни можно уберечь здоровье.
Особенности проведения ультразвукового исследования
Перед проведением УЗИ особой подготовки не нужно. Достаточно провести гигиеническую процедуру груди и подмышечных впадин. Для получения более точных данных манипуляцию назначают на первую половину менструального цикла. Длительность обследования не более 15 минут.
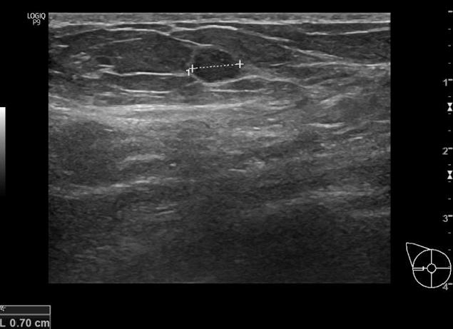
Гипоэхогенное образование на мониторе ультразвукового аппарата выглядит как затемненное пятно. Его форма различна, зависит от типа уплотнения. Контур может быть смыт или четко виден.
Подобная патология в большинстве случаев выявляется случайно, при плановых профилактических осмотрах. Показания к проведению процедуры:
- вынашивание ребенка;
- диагностика заболеваний: мастит, мастопатия, лактостаз, увеличенные лимфатические узлы, выявление кисты;
- дополнительное обследование для постановки диагноза.
Возможные осложнения подобных новообразований
Последствия гипоэхогенных образований могут быть самыми различными и зависят от его структуры. Самое опасное осложнение – это малигнизация, то есть перерастание в злокачественную опухоль. Например, бывают случаи перерождения фиброаденомы в саркому.
Мастопатия фиброзно-кистозного вида способна перерасти в рак. Но в большинстве случаев, когда причина развития патологии не ясна или установлена ошибочно, она рецидивирует. Это происходит, даже не смотря на проведение терапии.
Любое гипоэхогенное новообразование способно развить нежелательные последствия, если не проводить его лечение. В обратном случае женщина может полностью выздороветь.
Выявление отклонений в груди
При выявлении на ультразвуковом исследовании гипоэхогенного образования в молочной железе, доктор в обязательном порядке назначает пациентке рад дополнительных диагностических методик. Они включают в себя такие манипуляции:
- Общий анализ крови. Он показывает наличие анемии и воспалительного процесса.
- Исследование крови на гормоны и на онкомаркер СА-15-3.
- Маммографию. Обследование показывает грудь в разных проекциях, позволяя рассмотреть уплотнение со всех сторон.
- Пункционную биопсию ткани новообразования.
- КТ или МРТ.
- Маммосцинтиграфию.
Дополнительно назначается проведение дифференциальной диагностики. Она проводится между различными видами уплотнений. Самыми распространенными считаются опухоли злокачественного и доброкачественного характера, кисты.
Лечение гипоэхогенного новообразования
Полноценное лечение назначается после проведения комплексного обследования пациента и постановки диагноза. Медикаментозная терапия проводится при обнаружении кистозных или доброкачественных образований. В состав лечения входят препараты растительного происхождения, противовоспалительные лекарства и гормональные средства. К первой группе относят Индинол (устраняет фиброзно-кистозные образования) и Фитолон (применяют при всех видах опухолей грудной железы).
Из гормональных лекарств самым часто назначаемым является Эстрожель (эстрогенное средство), Утрожестан (гестаген), Дуфастон (гестаген). Ибупрофен и Вобэмзин – препараты, назначающиеся в случае развития воспалительного процесса. Последний часто выписывают при развитии мастопатии.
Все лекарственные препараты должны назначаться доктором после проведения полного обследования, и изучения полученных результатов, постановки диагноза.
Самые полезные витамины – это фрукты и овощи, то есть натуральные. Для насыщения организма витамином группы А можно есть персики, морковь, крыжовник, а еще помидоры и абрикос. Микроэлемент усиливает рост клеток, помогает печени работать правильно и облегчает продукцию гормонов. Витамин С способствует нормализации окислительно-восстановительных реакций, выводит из организма токсины, и улучшает функцию энергосбережения. Аскорбиновая кислота содержится практически во всех растительных продуктах.
Токоферолом (витамин Е) богаты яйца, молоко, растительное масло. Его особенностью является устранение отклонений в выработке протеинов. Выполняет защитную функцию: оберегает клетки от воздействия свободных радикалов.
Когда в молочной железе женщины обнаружили гипоэхогенное образование, рекомендуется употреблять по 100 миллилитров свежевыжатого сока из фруктов или овощей ежедневно. Перед сном же советуют пить стакан компота из сухофруктов или молочной продукции.
Физиотерапия
Для того чтобы начать применять физиотерапевтические методы, необходимо дождаться точной постановки диагноза. Ведь при определенных видах новообразований подобное лечение противопоказано. Например, при онкологии или при большой возможности перерастания опухоли в злокачественную, физиотерапевтический метод становится катализатором для начала процесса озлокачествления.
Поэтому очень опасно предпринимать такого рода действия до выяснения природы образования.
Народные средства
Бабушкины рецепты тоже способны усугубить ситуацию, если начинать лечения без точного диагноза. Если диагностировали гипоэхогенное образование, вредно париться в сауне, бане, ставить горячие компрессы, а еще намазывать пораженную зону греющими мазями, использовать ванночки и примочки на спирту.
Безопаснее всего для здоровья будет дождаться результатов обследования, узнать диагноз, и после совместно с доктором составить возможное лечение с помощью средств народного производства. Существует несколько вариантов народной терапии, способных помочь при болезни груди:
- Перед сном приложите лист мать-и-мачехи или лопуха к месту поражения. Утром, после пробуждения, протрите молочную железу влажной салфеткой, и нанесите небольшое количество репейного масла.
- Приготовьте смесь из меда, корня лопуха и касторового масло. Из полученного средства сделайте компресс и оставьте на всю ночь. Для этого же используют натертую мякоть тыквы.
- Еще одним вариантом компресса на ночь служит капустный лист. На него наносится немного сливочного масла и посыпается солью. После можно прикладывать к больному месту.
Бабушкины рецепты включают в себя и различные отвары, настои из лекарственных трав. Являются достаточно эффективными при соблюдении дозировки.
Гомеопатическая терапия
Препараты гомеопатии применяются как вспомогательные лекарства. Не могут заменить все лечение груди. Циклодинон принимается каждый день по одной пилюле на протяжении трех месяцев. Мастодинон пьют два раза в день по таблетки в течение 12 недель. Мастопол употребляют за 30 минут до приема пищи три раза в сутки по одной пилюле. Курс лечения составляет два месяца. Мастиол-Эдас 127 – это капли. Их в количестве 5 штук разводят в ложке воды, и принимают такую дозу три раза в день. В некоторых случаях доктор назначает другую схему терапии.
Особенностью гомеопатических препаратов является отсутствие побочных эффектов. В редких ситуациях может наблюдаться аллергия на компоненты лекарства.
Хирургическое лечение
Операция проводится в случае, когда диагностировали онкологическую опухоль. Здесь доктора решают, нужно ли дополнительно проводить облучение и химеотерапию. Но комплексное лечение позволяет вылечить человека настолько, насколько это вообще возможно. Поэтому злокачественные образования лечат именно по такому принципу.
Доброкачественные опухоли, которые не вылечились медикаментозно, удаляются самостоятельным оперативным методом.
Существуют противопоказания к проведению хирургического вмешательства: наличие болезней сердечной мышцы и сосудов, преклонный возраст, рак на запущенной стадии с массой метастаз.
Профилактические мероприятия
Для здоровья молочной железы очень важен здоровый образ жизни. Нужно заниматься спортом, полноценно отдыхать, правильно питаться, и ограждать свою психику от нервных перенапряжений, стрессов. Бюстгальтер для груди не должен давить. Лучше всего, если он будет просторным, но хорошо поддерживать.
Способствует развитию различных патологий молочной железы вредные привычки, такие, как курение, злоупотребление спиртными напитками. Негативно воздействует на здоровье груди работа на вредном производстве, радиация и проживание вблизи автострад.
Не пренебрегайте профилактическими визитами к гинекологу, маммологу. Своевременно выявленная патология лечится быстрее и эффективнее.
Если у женщины выявили гипоэхогенное образование, говорить о наличии злокачественной патологии рано. Стоит пройти дополнительные диагностические процедуры для постановления диагноза. Подобная картина на УЗИ может сигнализировать и о других, но не менее опасных для здоровья, болезнях. Важно следовать всем рекомендациям лечащего врача, и исход будет положительным. Ведь образование может оказаться всего лишь кистой, которая рассасывается после проведения несложного лечения, не оставляя за собой и следа.
Гипоэхогенные образования в молочной железе на УЗИ: на что указывают
Женская грудь состоит из жировой и железистой тканей. В норме у них однородная структура. Участки имеют повышенную или пониженную плотность. В последнем варианте это гипоэхогенные образования в молочной железе. На изображении во время УЗИ такие места высвечиваются темными пятнами. Код по МБК-10 – R92.
Гипоэхогенное образование в молочной железе на УЗИ
Термин «гипоэхогенное образование» не означает конкретную патологию. Темные области, которые видны на УЗИ, указывают на разницу плотность тканей в определенных участках. Здоровые ткани обозначаются серым цветом, а с низкой плотностью могут быть затемненные или черные. Это говорит о патологическом процессе, протекающем в груди.
Это может быть липома, киста или злокачественная опухоль. Доброкачественные новообразования также имеют гипоэхогенный тип. Для постановки точного диагноза только УЗИ недостаточно, требуется дополнительная диагностика. Однако гипоэхогенность не всегда указывает на болезнь.
Особенности гипоэхогенного образования
Участки тканей с низкой плотностью – распространенное явление среди женщин после 40-ка летнего рубежа. Если до менопаузы не было обнаружено никаких заболеваний груди, то риск появления патологий потом ничтожен. Часто всего гипоэхогенные области указывают на раковые разновидности. Структура тканей может разниться и быть обусловлена многими факторами – фиброзом, омертвлением участков, кальцинатами и т.д.
О каких болезнях говорит это образование?
Участки с пониженной плотностью могут указывать на наличие обыкновенной кисты, которая имеет четкие очертания. Также во время УЗИ выявляются:
- Железистая карцинома, имеющая неоднородную структуру и акустическую тень. У образования нет четких границ.
- Атипичная киста отличается точно очерченными контурами, с толстой капсулой и множеством кальцинатов, количество которых увеличивается с прогрессированием болезни.
- При аденозе границы образования размыты, оно не имеет четкой формы.
- Фиброаденома выявляется в виде небольших очагов. Образование четкой формы и похоже на раковое с медленным ростом.
- Доброкачественная опухоль видна как аваскулярное образование без сетки сосудов.
- Абсцессы.
- Мастопатия фиброзно-кистозная выявляется как множественные гипоэхогенные уплотнения, имеющие гормональную этиологию.
Также УЗИ позволяет выявить изменения в лимфоузлах. При гипоэхогенном аваскулярном образовании молочной железы наблюдается сложная структура с сосудистыми и жидкостными элементами разных размеров. Отражение областей с низкой плотностью на экране видно плохо. Это может указывать на наличие кисты и опухолей. На УЗИ просматриваются следующие разновидности раковых новообразований:
- Опухоли со звездчатым рисунком относятся к скиррозному типу. В центре новообразования находится от одного до нескольких участков с фиброзной тканью. По периферии – эпителий из опухолевых клеток. На УЗИ может быть диагностирован протоковый инфильтративный вид онкологии.
- Гипоэхогенные участки характерны для коллоидных и медуллярных злокачественных опухолей. Последний может иметь круглую форму или в виде долек с четким разграничением и капсулами внутри. При росте новообразования на мертвых участках эхогенность отсутствует.
- Коллоидная опухоль отличается медленным ростом с большой выработкой слизистого секрета.
- Редко, но обнаруживается внутриполостной рак. Такое гипоэхогенное образование характеризуется утолщенными стенками. Разрастание наблюдается преимущественно у пожилых женщин. Такую опухоль легко спутать с доброкачественной.
Анэхогенные области могут говорить об активном росте злокачественного новообразования. Такая разновидность рака после менопаузы диагностируется редко. Так как гипоэхогенность имеется у сосудов и протоков, то это позволяет увидеть и их деформации.
Если в груди имеются метастазы, то структура тканей будет неоднородной, с четкими контурами и округлой формы. Злокачественные участки нередко расположены прямо под кожей.
Эхогенность доброкачественных опухолей
Среди доброкачественных новообразований чаще всего диагностируется фиброаденома, формирующаяся вследствие неправильного развития молочных желез. Размеры опухоли различны, иногда множественны. На изображении такие области имеют четкие и ровные границы. Когда фиброаденома сдавливается датчиком, то опухоль смещается в рядом находящиеся ткани.
Если новообразование менее 1 см в диаметре, то оно будет правильной структуры и формы. Гипоэхогенный ободок виден на больших опухолях. Иногда можно разглядеть микрокальцинаты. Образование более 6 см имеет акустическую тень. Гипоэхогенную фиброаденому определить трудно, если в груди переизбыток жировой ткани.
Филлоидное новообразование встречается редко. Может перерасти в саркому. Доброкачественность с помощью УЗИ не определяется. Изображение гипоэхогенной липомы однородно. Иногда виден ободок. Из-за большого количества жировой ткани липома с трудом определяется на УЗИ.
Особенности проведения ультразвукового исследования
Обследование не требует специальной подготовки. Для манипуляции выбирается первая половина менструального цикла. Это дает более точные данные. Длительность обследования – не более четверти часа.
Гипоэхогенные образования на мониторе видны отчетливо, но контуры могут быть смазаны. Чаще области с пониженной плотностью обнаруживаются при плановых осмотрах.
Показания и противопоказания к процедуре
УЗИ молочных желез делается в период беременности и грудного вскармливания. Процедура также показана при:
- жалобах на болезненность или уплотнения в груди;
- патологиях молочной железы;
- воспалительных процессах в груди;
- единовременном склерозировании сразу нескольких кистозных образований;
- узловой мастопатии, имеющей нетипичные проявления;
- оценки силиконовых имплантатов;
- аксиллярных лимфоузлах;
- для диагностики размеров кистозных образований;
- обнаружении во время маммографии или пальпации уплотнений.
УЗИ проводится при подозрении на онкологию. Профилактическую диагностику необходимо проходить ежегодно женщинам младше 30 лет, после – дважды. На УЗИ направляются женщины с утолщением или огрубением кожи в области груди, изменением сосков или выделений из них. Процедура также показана мужчинам при наличии гинекомастии. Заболевание встречается у 40 процентов молодых и 60-ти – пожилых.
Противопоказания
УЗИ не имеет противопоказаний. Метод безопасен для здоровья. Сканирование может применяться для разных возрастных категорий. Не запрещено проводить УЗИ и для детей.
Как подготовиться к УЗИ
Специальной подготовки обследование не требует. За несколько дней до сканирования отменяются все гормональные препараты. Непосредственно в день обследования достаточно вымыть грудь и подмышки. Если УЗИ проводится для беременной, то женщина должна отказаться от сцеживания молока. Также нельзя надавливать на больную грудь.
Отличие УЗИ от других методов
Однако есть и несколько минусов. С помощью сканирования невозможно определить характер новообразования. Часто опухоль сливается с тканями, что затрудняет диагностику. Зато ультразвук с допплеровским картированием помогает оценить сосуды и их состояние, скорость кровопотока. Другие похожие методики имеют ряд противопоказаний и не настолько безопасны для здоровья.
Полезное видео
Как отличаются опухоли рассказывает врач в этом видео.
Расшифровка результатов
Ультразвуковое исследование длится не более четверти часа. Одновременно может быть проведена допплерография, с помощью которой изучается характер кровотока. Результаты могут быть отданы больному сразу или заносятся в медицинскую карту. В некоторых случаях для получения более точных сведений анализируется клеточно-тканная структура. Это может охарактеризовать природу новообразования.
На расшифровку влияют возраст, плотность тканей и гормональные изменения. В норме на изображении видны эхогенные равномерные области. Толщина кожи должна быть приблизительно два сантиметра.
Отличие патологии от нормы
Если в области ареолы кожный покров утолщается, то жировые дольки видны как эллипсоидные, многогранные низкоэхогенные. В маммарной области наблюдаются паренхиматозные структуры и соединительная ткань.
Диффузная мастопатия проявляется в виде небольших уплотнений, равномерно распределенных по железе. Если одновременно имеется фиброзный компонент, то на изображении и в соединительной ткани появляются плотные участки.
Киста видна на мониторе как круглое темное образование, заполненное жидкостью. Раковые опухоли сопровождаются деформацией молочных желез с появлением отчетливых уплотнений. Визуальные проявления зависят от стадии онкологического заболевания и его характера.
Что делать после обследования?
Если во время обследования обнаружены отклонения (затемнения или черные зоны), то пациент направляется на дополнительное обследование. Может быть назначено МРТ, маммография, КТ, рентгенография. При необходимости берется материал для биопсии и кровь на общий анализ. Может потребоваться медикаментозное лечение или хирургическая операция.
Для предотвращения гипоэхогенного образования в груди необходимо вести активный образ жизни, не злоупотреблять спиртным, отказаться от курения. Немаловажную роль для здоровья играет и рацион питания. УЗИ помогает обнаружить гипоэхогенные области и их разрастание.
Гипоэхогенное образование в молочной железе: что это такое, причины, симптомы, лечение
Железистая и жировая ткань являются основными составляющими женской груди. У здоровой женщины их состояние будет однородным. Но бывает, что в структуре молочной железы появляется новообразование, которое может начать развиваться в виде патологии. Обнаружить его можно сделав ультразвуковое исследование, проанализировав результаты которого, врач выдаст заключение.
Гипоэхогенное образование
Этот термин не является определением конкретной болезни, а говорит о том, что в определенном органе имеется участок со сниженной или увеличенной плотностью. У каждого органа этот показатель свой.
Если при осмотре молочной железы с помощью ультразвуковой диагностики были выявлены участки, которые на общем фоне отличаются по цвету – имеют черный оттенок (здоровые участки обладают светло-серым цветом), то это значит, что обнаружено гипоэхогенное образование. Это свидетельствует о том, что начался патологический процесс, к лечению которого необходимо срочно приступить.
Новообразование может представлять собой кисту или липому, но также не стоит исключать вероятность формирования рака! Гипоэхогенное образование – что это такое? Доброкачественная опухоль в этом случае и будет представлять собой образование гипоэхогенного типа. Опытный врач должен обязательно направить пациентку на тщательную диагностику, чтобы поставить верный диагноз.
Многих современных женщин интересуют актуальные вопросы: что такое гипоэхогенное образование, и по каким признаком его можно диагностировать? В большинстве случаев доброкачественная опухоль не проявляет себя какими-то конкретными симптомами и может быть случайно диагностирована.
Маммологи рекомендуют женщинам с наступлением половой зрелости минимум раз в полгода проводить обследование молочных желез, чтобы вовремя диагностировать появление проблемы и начать лечение на ранних стадиях развития. Очень редко у женщины может появляться жжение или ноющая боль в районе груди. Также будет не лишним самостоятельное обследование груди в домашних условиях с помощью пальпации.
Современная женщина не только должна знать ответ на вопрос: гипоэхогенная структура – что это, но и обязана разбираться в причинах ее формирования. Это поможет предупредить возникновение новообразования.
Большинство женщин, которые впервые слышат от врача о наличии определенного образования в структуре молочных желез, нередко начинают паниковать, потому что думают, что так проявляется рак груди. Необходимо понимать, что гипоэхогенность – это не приговор.
Причины
Существует большое количество причин возникновения образования и среди них нередко встречается увеличение количества жидкости в груди.
Врач может назначить УЗИ грудных желез в следующих случаях:
- первая или поздняя беременность, а также прерывание;
- лактостаз или мастит, отказ от грудного кормления;
- частые нарушения менструального цикла, а также раннее начало цикла у девочек до 12 лет или наступление климакса;
- ожирение;
- сахарный диабет;
- нарушения эндокринной структуры;
- психоэмоциональные расстройства;
- прием гормональных препаратов, включая средства контрацепции;
- переход мастопатии по наследству.
Ориентируясь на предоставленный список, можно определить возможность развития гипоэхогенного образования. Рекомендуется вести здоровый образ жизни, чтобы снизить риск вероятности возникновения аваскулярного образования в молочной железе и других проблем.
Анэхогенное образование
Если разобрать термин по частям, то:
- «ан» — не, «эхо» — звук, «ген» — формирование; дословно получается «не отражающее звук» (ультразвуковые колебания);
- «образование» — это какое-либо появление отклонения от нормы в определенном органе.
Новый для себя термин женщина может услышать по время проведения ультразвуковой диагностики молочных желез. Анэхогенность в большинстве случаев характерна при кисте, то есть при полом образовании, когда в тканях скапливается чрезмерное количество жидкости.
Анэхогенное образование в молочной железе – это структурный элемент, не пророщенный сосудистой сеткой, таким образом, вероятность злокачественности этой кисты сведена к нулю. В большинстве случаев раковые опухоли в груди состоят из большого количества сосудов, которые снабжают опухоль кровью для ее роста.
Гипоэхогенное образование в молочной железе и другие виды проблем с грудью женщины – актуальный вопрос, к решению которого необходимо подходить комплексно и с обязательным привлечением специалиста.
Симптомы
Если анэхогенное или гипоэхогенное образование в груди является незначительным, то оно может протекать безболезненно, и женщина не будет даже о нем знать. Выявить его можно с помощью УЗИ. Выраженные болезненные ощущения проявляются в том случае, если кисты значительно увеличены и, по мере их роста, эти места можно определить прощупыванием.
Наибольший болевой синдром ощущаются в начале менструального цикла. Необходимо обратить внимание на выделения из сосков. Также, если кожа над уплотнением покраснела, зона груди стала чрезмерно горячей, лимфатические узлы набухли, и повысилась общая температура тела (при таких симптомах измерение в сгибе локтевого сустава будет более точным), необходимо срочно обратиться к специалистам.
Причины, которые могут способствовать образованию кист в груди:
- стрессовые ситуации и частые психические нагрузки;
- злоупотребление ультрафиолетом (чрезмерное пребывания в солярии или под солнцем);
- длительные тепловые процедуры (бани, горячие ванны, долгое пребывание возле тепловых аппаратов и прочее);
- гормональные сбои в результате беременности, климакса, заболевания эндокринных систем и прочее.
Как отображаются на УЗИ
Благодаря методу УЗИ, можно диагностировать состояние молочных желез. Если во время такой процедуры было выявлено гипоэхогенное образование, то это значит, что на снимке эта область будет показана более темным участком на светло-сером фоне. Скорость движения ультразвука на месте такого образования будет медленнее, чем в любом другом пространстве.
Анэхогенное образование на экране аппарата УЗИ будет изображаться в виде овальной или округлой формы. Внешние и внутренние границы будут строго ограничены, проявление эхосигналов не допускается. Размер колеблется от пары миллиметров до 6-8 см. Если рядом находятся несколько таких элементом, то возможно их слияние.
Возможные заболевания
Присутствие гипоэхогенности может свидетельствовать о наличие следующих заболеваний:
- киста;
- аденоз;
- карцинома;
- фиброаденома;
- опухоль, в том числе, раковая;
- фиброзно-кистозная мастопатия.
Для установления конкретного диагноза одного результата УЗИ будет недостаточно. Высококвалифицированный врач должен обязательно направить пациентку на дополнительное обследование – на пункцию молочной железы, биопсию.
При анэхогенном образовании чаще всего подразумевается киста, а в период лактации – галактоцеле. При осложнениях появляется воспаление, нагноение, инфекции. Это образование в молочной железе склонно к озлокачествлению, то есть к перерождению в фиброзно-кистозную мастопатию.
Факторы риска
Чтобы свести к минимуму возникновение таких образований, необходимо знать основные факторы, которые могут их вызвать:
- изменения и нарушения гормонального фона;
- ношение неправильно подобранного и неудобного бюстгальтера;
- злоупотребление кофе, крепким чаем и темными сортами шоколада;
- стрессовые ситуации;
- вредные привычки;
- лишний вес;
- травмы груди;
- длительное использование контрацептивных средств.
Ведение здорового образа жизни и регулярное обследование – это самый лучший способ предотвратить развитие различных заболеваний молочных желез.
Об образованиях в молочных железах в нашем видео расскажет врач-маммолог.
Что такое гипоэхогенное образование молочной железы
Во время ультразвукового обследования женщинам иногда приходится слышать от доктора такой термин, как гипоэхогенное образование молочной железы. Что же это может означать?
Главными составляющими женской груди являются два вида тканей ―железистая и жировая. При нормальном состоянии здоровья они имеют абсолютно однородную структуру.
Однако, в некоторых случаях появляются участки, отличающиеся повышенной или сниженной плотностью. Подобные образования называются гипоэхогенными.
Во время проведения УЗИ они на общем фоне отличаются по оттенку ― здоровые участки обозначаются светло-серым цветом, а гипоэхогенные являются более темными. Для максимально точной диагностики такого состояния, опытный доктор должен провести тщательное обследование.
Причины
Выделяют несколько факторов, провоцирующих возникновение гипоэхогенных образований в структуре молочных желез. К наиболее распространенным из них относятся:
- увеличение количества жидкости в грудных железах;
- первая или поздняя беременность;
- прерывание беременности;
- отказ от естественного грудного вскармливания;
- мастит или лактостаз;
- нарушения менструального цикла;
- начало первой менструации до 12-летнего возраста;
- наступление климакса;
- сахарный диабет;
- частые психоэмоциональные расстройства;
- эндокринные нарушения;
- ожирение;
- мастопатия, носящая наследственный характер;
- неконтролированный прием оральных контрацептивов и других лекарственных препаратов с содержанием гормонов.
Зная об основных причинах, женщина может скорректировать свой образ жизни так, чтобы предотвратить возникновение гипоэхогенных образований в грудных железах.
Обнаружение подобных образований может свидетельствовать о развитии:
- фиброзно-кистозной мастопатии;
- доброкачественной опухоли;
- обыкновенной или атипичной кисты;
- фиброаденомы;
- аденоза;
- железистой карциномы.
Гипоэхогенное образование, имеющее округлую форму, в результате может оказаться кистой, галактоцеле или эхинококковым поражением. Если его границы являются нечеткими, возможно, это фиброаденома, либо злокачественное новообразование.
Факторы риска
Существует несколько видов факторов, которые могут способствовать возникновению гипоэхогенных образований в структуре молочных желез:
- пожилой, а иногда, и средний возраст;
- наличие избыточного веса;
- наследственность;
- слишком раннее половое развитие;
- замедление или нарушение процесса обмена веществ;
- длительное пребывание в неблагоприятных экологических условиях;
- радиоактивное облучение;
- частые стрессовые ситуации;
- сильные переохлаждения;
- травмы грудной клетки.
Симптомы
В большинстве случаев наличие гипоэхогенного образования никоим образом не проявляется, поэтому может быть выявлено только в процессе обследования. Иногда может возникать ноющая боль, а также ощущение жжения в области груди.
Обнаруженное во время УЗИ такое образование представляет собой зону с пониженной акустической активностью.
Гипоэхогенное образование на УЗИ
Ее главными отличительными признаками являются более:
- затемненный оттенок структуры тканей по сравнению с соседствующей областью;
- медленное продвижение ультразвуковых волн.
Для определения точного диагноза требуется проведение дополнительного обследования.
Осложнения и последствия
Возможные осложнения и неблагоприятные последствия полностью зависят от характерных особенностей структуры обнаруженного гипоэхогенного образования. Согласно медицинской статистики, малигнизация опухоли, то есть приобретение злокачественного характера, происходит не чаще, чем один раз из ста пятидесяти.
Осложнения рака груди
При запущенной фиброзно-кистозной мастопатии также возможны осложнения в виде опухоли. Чтобы не допустить такого перерождения, необходимо своевременно и грамотно лечить любые патологии.
Диагностика
При выявлении эхогенных образований доктор назначает дальнейшую диагностику состояния молочных желез. Основными процедурами являются:
- общий анализ крови, который определяет наличие анемии и воспалительных процессов;
- анализ крови на уровень гормонов;
- анализ крови на онкомаркер CA-15-3;
- маммография;
- маммосцинтиграфия;
- магнитно-резонансная или компьютерная томография;
- биопсия клеток тканей гипоэхогенного образования.
Кроме того, проводится дифференциальная диагностика между различными видами образований.
Лечение
Выбор методов лечения основывается на характере обнаруженного гипоэхогенного образования.
В большинстве случаев, новообразование является доброкачественным, поэтому женщине назначается медикаментозная терапия с использованием следующих видов лекарственных препаратов:
- имеющих растительную основу (Фитонол, Индинол);
- гормональных (Эстрожель, Утрожестан, Дуфастон);
- противовоспалительных (Вобэнзим, Ибупрофен).
Благоприятное воздействие оказывают витамины:
- ретинол (витамин А) ― активизирует клеточный рост, облегчает печеночную функцию и стимулирует выработку гормонов;
- аскорбиновая кислота (витамин С) ― выводит токсические вещества, стимулирует обеспечение организма энергией и усиливает важные окислительно-восстановительные реакции;
- токоферол (витамин Е) ― способствует нормализации выработки протеинов и защищает клетки от опасных свободных радикалов.
В качестве дополнения к основному лечению могут быть назначены гомеопатические препараты ― Мастодинон, Мастопол, Мастиол-Эдас и Циклодинон.
Если новообразование абсолютно не поддается медикаментозному методу лечения либо является злокачественным, проводится хирургическая операция по его удалению. Однако этот способ имеет ряд противопоказаний ― в частности, преклонный возраст и сердечно-сосудистые заболевания в стадии декомпенсации.
Профилактика
В качестве профилактики патологий молочных желез рекомендуется вести здоровый образ жизни:
- как можно чаще и дольше находиться в движении;
- составить правильный и сбалансированный рацион питания;
- обеспечивать полноценный отдых;
- не допускать серьезных травм;
- избегать стрессовых ситуаций;
- избавиться от всех вредных привычек (курения, злоупотребления спиртным);
- не работать на вредных производственных предприятиях;
- не проводить много времени в опасных радиоактивных местностях и поблизости автострад;
- не принимать оральные контрацептивные препараты в течение слишком длительного времени ― значительно изменяя гормональный фон, они могут стать причиной развития патологий в грудных железах.
Обнаружение гипоэхогенного образования далеко не всегда свидетельствует о злокачественной опухоли. После комплексных диагностических процедур доктор определяет точный характер патологии и назначает эффективный курс лечения. Наиболее часто такие образования в результате дополнительных обследований оказываются обычными кистами, которые легко поддаются терапии и бесследно рассасываются.
Термин «гипоэхогенное образование» не должен становиться причиной для паники, ведь окончательный диагноз определяется только в результате полного обследования. Чаще всего такое образование оказывается обыкновенной кистой, которая очень просто лечится.
Но в любом случае, в целях профилактики, необходимо вести здоровый образ жизни и не злоупотреблять гормональными контрацептивами.
Поделиться:
Нет комментариев