Флюорография сердца с контрастированием пищевода

Флюорография сердца с контрастированием пищевода[Флюорография сердца с контрастированием пищевода]

Одно из основных обследований при подозрении на любые отклонения — рентген сердца

Рентгенограмма сердца помогает определить его расположение в грудной клетке, конфигурацию и размеры, а также найти изменения в аорте, легочных сосудах. Для точного выявления отклонений от нормы используют три проекции (иногда и четыре), а также заполнение пищевода барием для контрастирования границ. Метод считается доступным и относительно безопасным при использовании его не более 2 раз в год.

Что показывает рентген сердца

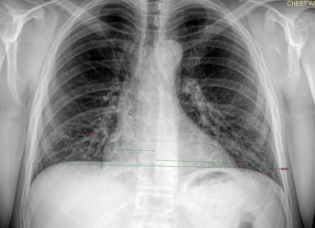
При рентгенологическом исследовании органов грудной клетки можно определить тень сердца, она напоминает овал, косо расположенный в левой половине. При плотном телосложении она стремится к горизонтальной линии, а у худощавых людей занимает более вертикальную позицию. Ближе к голове расположены магистральные сосуды. Между ними и овалом создаются углубления, которые образуют талию.

Рентген сердца (контуры сердца и сосудов)

Мышечный слой сердца содержит плотную тень, она однородна по структуре, а очертания четкие и ровные, они имеют дугообразную форму. Каждая дуга – это отображение камеры сердца. Если ее часть становится прямой, то это является признаком патологии миокарда.

Помимо тени сердца, на рентгенограмме могут быть видны:

  • участки кальцификации сосудов, клапанов;
  • увеличение размеров или аномалии строения аорты, легочной артерии;
  • проявления сердечной недостаточности в виде изменения легочного рисунка;
  • расположение диафрагмы.

При наличии перикардита можно определить его в виде расширения околосердечной сумки.

Рекомендуем прочитать статью о коронарографии сосудов сердца. Из нее вы узнаете о показаниях и противопоказаниях к коронарографии сердца, а также о подготовке, рекомендациях и возможных негативных последствиях данной процедуры.

А здесь подробнее о скопление жидкости невоспалительного характера или гидроперикардите.

Зачем нужна рентгенография

Исследование сердца при помощи рентгеновских лучей проводится при помощи двух методов – рентгенография (получение снимков) и рентгеноскопия (врач видит работу сердца в режиме реального времени). Также диагностика предусматривает несколько проекций и контрастирование пищевода барием.

К заболеваниям, при которых могут назначить рентген сердца, относятся:

В трех проекциях

Прямая проекция предусматривает исследование при расположении пациента лицом к экрану. Она нужна для определения патологии в таких отделах:

  • аорта в восходящей части;
  • левый желудочек;
  • граница между предсердиями;
  • оба угла между диафрагмой и сердечной тенью;
  • пульмональная артерия.

В правой косой позиции больной становится правым плечом вперед под углом 45 градусов к экрану. Рентгеновская трубка всегда расположена позади пациента. Это положение помогает исследовать:

  • пространство позади грудины;
  • конус, образованный артериями;
  • контуры всех частей сердца;
  • легочные поля.

Для левой косой позиции пациента просят повернуться левым плечом по направлению к экрану под таким же углом, как и в правой косой. В ней возможно хорошо рассмотреть все части аорты и заднюю стенку левого желудочка, визуализируются и все остальные отделы, трахея.

С контрастированием пищевода

Пищевод расположен позади сердца. Если происходит увеличение какой-либо камеры, то он оттесняется по направлению к позвоночнику по дугам разного радиуса. Для диагностики изменений проводится измерение этой дуги.

Рентгенография сердца с контрастированием пищевода в косой проекции (А – норма, В – митральный порок с преобладанием стеноза, С – митральный порок с преобладанием недостаточности)

Если происходит смещение по дуге малого радиуса в правой косой позиции, то это признак сужения митрального отверстия. При преобладании недостаточности клапанов пищевод отклоняется по дуге с большим радиусом. Также этот метод помогает установить правое расположение дуги аорты, аномальное ответвление от нее сосудов, расширение легочного ствола.

Противопоказания к обследованию

Диагностика при помощи рентгеновских лучей противопоказана беременным женщинам. До широкого внедрения в кардиологическую практику УЗИ пациенткам предлагалось закрыть живот свинцовым фартуком.

В настоящее время такое обследование считается слишком большой угрозой для формирования органов у плода, поэтому его не назначают, заменяя альтернативными методами.

Противопоказано исследование таким пациентам:

  • при наличии злокачественных опухолей;
  • после лучевой терапии;
  • в тяжелом состоянии;
  • в возрасте до 14 лет (без крайней необходимости).

При лактации рентген сердца может быть проведен, так как это не оказывает влияния на состав грудного молока и не вредит здоровью ребенка.

Подготовка к проведению

Часто рентгеновское исследование проводится по экстренным показаниям именно потому, что к нему не требуется подготовка. Никаких ограничений режима, питания или физической активности не проводится. Непосредственно перед диагностикой нужно снять металлические предметы с тела и одежду до пояса. Длинные волосы необходимо убрать под заколку.

Как делают рентгенографию

Длительность процедуры составляет несколько минут. Пациент заходит в специальную камеру и становится лицом к экрану. Руки нужно согнуть в локтях и поднять вверх так, чтобы они не заслоняли грудную клетку. Если нужно контрастирование, то предварительно больной выпивает бариевую взвесь. Затем проводится быстрое фиксирование данных на снимках, а обследуемого просят поворачиваться под разными углами к экрану и задерживать дыхание по команде.

Рентгенография

При проведении исследования нет неприятных или болезненных ощущений. По окончанию полученные снимки обрабатывают, проявляют и высушивают, после чего врач-рентгенолог описывает выявленные изменения.

О чем расскажут результаты

По совокупности признаков изменений формы, расположения, размеров можно судить о наличии заболеваний или аномалий строения сердца.

Тень сердца

В норме сердце занимает передненижнюю часть левой половины грудной клетки. При движениях тела оно может сместиться на 1 — 2 см. На рентгеновском снимке можно обнаружить такие варианты сердечной тени:

  • расположение справа;
  • сдвиг из-за выпота в плевральную полость;
  • смещение грыжей диафрагмы или опухолью;
  • перемещение при сморщивании легкого.

Конфигурация сердца при пороках

В зависимости от поражения клапанного аппарата различают конфигурации сердца:

Конфигурации сердца Описание
Митральная Дуги легочной артерии длинные, талия сглажена, правый угол между предсердием и сосудами смещен вверх, дуговой радиус левого желудочка увеличен. Бывает при врожденных и приобретенных аномалиях строения митрального клапана, сужении пульмонального ствола.
Аортальная Выражена талия, большой левый желудочек, аорта шире нормы. Бывает при болезни Фалло, стенозе аорты, намокании створок аортального клапана, гипертонии.
Шаровидная или трапециевидная Правопредсердная и левожелудочковая дуги увеличены, талия определяется, очертания сглажены. Бывает при дистрофии и воспалении миокарда, расширении камер при кардиомиопатии, нарушении строения перегородки, выпоте в околосердечную сумку.

Увеличение органа

При расширении полостей сердца, крупных сосудов возникает увеличение размеров сердца. В зависимости от локализации таких патологических изменений можно заподозрить заболевания:

  • Левое предсердие – отклоняется пищевод кзади в боковой, увеличивается ушко, есть добавочная дуга внизу по правой границе. Признак митральных пороков.
  • Левый желудочек – закруглена верхушка, позже увеличивается дуга. Встречается при клапанной недостаточности в левой половине сердца, артериальной гипертонии, кардиомиопатии.
  • Дуга аорты – расширена первая дуга по правому контуру. Бывает при гипертонии, открытом Боталловом протоке, аортальной недостаточности, аневризме.
  • Правое предсердие – косвенные признаки увеличения дуги, расширения полой вены. Указывает на пороки трикуспидального клапана, легочную гипертензию.
  • Правый желудочек – удлинен и расширен легочной ствол, верхушка круглая и направлена кверху (форма деревянного башмака), поперечник сердца увеличен, загрудинное пространство не определяется. Возникает при врожденных аномалиях перегородки, правых клапанов, легочном сердце.

Рентгенограмма сердца при увеличении левого предсердия. Митральная конфигурация сердца. Прямая проекция. Увеличены дуги левого предсердия (стрелка) и легочной артерии (короткая стрелка). Справа на фоне тени правого предсердия видна тень края левого предсердия.

Возможные осложнения после

Рентгеновское излучение относится к ионизирующему, оно в больших дозах повреждает ДНК, выбывает сбои в обмене веществ, иммунной защите организма, выработке гормонов, разрушает ткани и нарушает работу внутренних органов. Его опасность возрастает по мере увеличения дозы облучения. К диагностическим обследованиям, в том числе и рентгенографии сердца, это не имеет прямого отношения, если не превысить рекомендованную безопасную дозу.

За год можно без последствий для организма получить 1 мЗв (один милизиверт). За одну процедуру рентгенографии чаще всего облучение составляет 0,3 мЗв. Поэтому максимальное число раз прохождения рентгена за год составляет 3. Для того чтобы оставить возможность исследования по экстренным показаниям, врачи в плановом порядке не назначают рентген-диагностику больше 2 раз.

Рекомендуем прочитать статью об опасном сочетанном пороке сердца. Из нее вы узнаете о видах сочетанного порока сердца, комбинированном пороке, а также о симптомах, диагностике и лечении сочетанного порока сердца.

А здесь подробнее о пороках трикуспидального клапана.

Рентгенография сердца проводится для определения его размеров, положения, конфигурации. Такая диагностика показана при пороках сердца, подозрении на объемные процессы в грудной клетке, перикардит, гипертонию. К противопоказаниям относится беременность, детский возраст, наличие тяжелой патологии. Для повышения информативности используется исследование в трех проекциях и дополнительное контрастирование пищевода.

Полезное видео

Смотрите на видео о том, как работает Рентген:

Рентгенография сердца

Суть метода: технически не отличается от других видов рентгенологического исследования органов грудной клетки. Позволяет оценить расположение сердца, его размеры. Как диагностический метод рентгенограмма сердца редко используется самостоятельно, всегда дополняется другими методами исследования и в первую очередь рентгенографией сердца с контрастированием пищевода. Здесь надо сказать, что лучевые исследования сердца подразделяются на исследования инвазивные и неинвазивные – т. е. связанные или не связанные с введением специальных препаратов в сосуды пациента.

К неинвазивным методам исследования сердца относятся: рентгенография и рентгеноскопия; ультразвуковые исследования; компьютерная томография; магнитно-резонансная томография; сцинтиграфия и эмиссионная томография (одно– и двухфотонная).

Инвазивными методами исследования сердца являются: искусственное контрастирование сердца венозным путем (введением рентгенконтрастного препарата в вену) – ангиокардиография; искусственное контрастирование левых полостей сердца артериальным путем (введением рентгеноконтрастного препарата в артерию) – вентрикулография, коронарных артерий – коронарография и аорты – аортография.

Рентгенография сердца с контрастированием пищевода является неинвазивным методом исследования сердца, в основе которого лежит наполнение пищевода контрастным веществом для улучшения визуализации контуров сердца (главным образом левого предсердия). Для этого пациенту предлагают выпить примерно чайную ложку бариевой взвеси – рентгенконтрастного вещества, которое на снимке четче обрисовывает границу между пищеводом и левым предсердием.

Показания к исследованию: заболевания сердца и сердечно-сосудистой системы, сопровождающиеся кардиомегалией – увеличением сердца.

Противопоказания, последствия и осложнения: рентгенография органов грудной клетки, в том числе и сердца, обычно противопоказана в I триместре беременности. При необходимости ее проведения во время экспонирования живот и область малого таза пациентки должны быть защищены свинцовым экраном или фартуком. Других противопоказаний не имеется. Однако исследование сопровождается определенной лучевой нагрузкой, поэтому не рекомендуется проходить обзорную рентгенографию сердца часто в течение короткого промежутка времени.

Подготовка к исследованию: не требуется.

Расшифровка результатов исследования должна проводиться квалифицированным рентгенологом, окончательное заключение на основании всех данных о состоянии пациента выносится врачом-клиницистом, направлявшим больного на исследование, – терапевтом, хирургом, кардиологом.

Следующая глава

Рентгенография сердца с контрастированным пищеводом

Рентгенография сердца с контрастированием пищевода – это одна из разновидностей рентгенологического исследования сердца, в основе которой лежит наполнение пищевода контрастным веществом для улучшения визуализации контуров сердца (главным образом левого предсердия). Изображение на полученной рентгенограмме – это отображение исходного пучка излучения, которое изменило свою интенсивность при прохождении анатомических структур грудной полости.

В рентгеновском излучении сердце формирует однородную тень. Это связано с тем, что образующие его структуры (миокард, клапаны, кровь, сосуды) очень близки по плотности. В тех местах, где ткани сердца граничат с легочной тканью, формируются контуры, на основании данных о величине которых формируется представление о состоянии мышечного «мотора».

Рентгенография сердца выполняется стандартно в прямой, боковой и косых проекциях. Контрастирование пищевода необходимо для лучшей визуализации задних отелов органа, так как он очень плотно к ним прилегает.

Для получения правой боковой проекции сердца, на которой лучше всего визуализируется пищевод и задние отделы сердца (главным образом левое предсердие) пациента нужно разместить таким образом, чтобы правая половина тела образовала с экраном угол в 45 градусов.

Особой подготовки для проведения рентгенографии сердца не требуется. Прежде всего, необходимо снять все металлические предметы (украшения, серьги, цепочки, заколки и резинки), а также элементы одежды (молнии, замки, ремни) и заколоть волосы. Иначе на итоговом снимке они могут наложиться на область исследования, что приведет к потере информативности снимка.

Перед самой процедурой, для создания контрастной тени пищевода пациенту предлагают выпить бариевую «кашу». Она представляет собой смесь сульфата бария и воды. После завершения процедуры рентгенографии данное вещество полностью элиминируется (удаляется) из кишечника человека.

Противопоказанием для исследования служит беременность на любом сроке за исключением тех случаев, когда потенциальная польза для матери превышает риск появления осложнений для будущего ребенка.

Следует еще отметить, что ввиду того, что сердце постоянно сокращается, то получить четкое несмазанное изображение очень трудно. Для минимализации этого эффекта рентгенологии используют короткую выдержку или проводят рентгеноскопию – запись работы сердца в движении.

Открытая медицинская библиотека

Статьи и лекции по медицине ✚ Библиотека студента-медика ✚ Болезни и способы их лечения.

Проводится с целью диагностики заболеваний органов сер­дечно-сосудистой системы. Динамическое наблюдение за со­стоянием сердечно-сосудистой системы после операции на сердце и сосудах. Пациент проглатывает небольшое количество рентгеноконтрастного вещества пищевод (контрастируется) и по смещению пищевода судят об увеличении левого предсердия.

Выяснить аллергологический анамнез, так как исследование проводится с контрастным вещество.

Рентгеноскопия и рентгенография пищевода, желудка и двенадцатиперстной кишки

Это исследование проводится с применением рентгеноконтрастных веществ — сульфата бария. Пациенту дают выпить ба­риевую взвесь и следят за ее прохождением на экране, оценивая рельеф слизистой оболочки и функциональное состояние пище­вода, желудка, его моторную функцию. Дает возможность обна­ружить и уточнить локализацию язвы, опухоли, дивертикулы пищевода, определить форму, величину, подвижность желудка и 12-перстной кишки.

При исследовании с контрастным веществом (барий для рентгенологических исследований) выяснить аллергологиче­ский анамнез, способность проглотить контраст. За 2-3 дня предупредить пациента͵ чтобы исключил из рациона питания газообразующие продукты (бобовые, чёрный хлеб, молоко, овощи, фрукты), в случае метеоризма у пациента рекомендуется приём активированного угля, настоя ромашки. Последний при­ем пищи накануне в 18 часов. Исследование проводится утром натощак; предупредить пациента͵ чтобы не курил, не пил, не принимал лекарства, снять съемные протезы. Снять металличе­ские цепочки.


Смотрите также

Комментарии 0