Эпителий переходный в моче что это значит

Эпителий переходный в моче что это значит[Эпителий переходный в моче что это значит]

Клетки переходного эпителия в моче

Как правило, чтобы получить информацию о наличии или отсутствии какого—либо заболевания, врач в первую очередь просит пациента сдать мочу на лабораторный анализ. Где главной особенностью будет переходный эпителий в моче. Это первое на что может обратить свое внимание доктор при изучении полученного результата.

Конечно, в составе мочи также есть и иные не менее важные элементы которые могут указывать на наличие заболеваний. Но это пока не так важно необходимо выяснить вследствие каких причин в моче определяются клетки эпителия.

Это частицы, выстилающие поверхность всех внутренних органов и систем организма человека. В принципе, их небольшое число всегда присутствует в составе урины здоровых людей, что вовсе не свидетельствует о наличии у них патологических явлений. За исключением случаев, когда показатель эпителия в моче высокий.

Норма эпителия в моче

Уретрит – это воспалительный процесс в зоне мочеиспускательного канала. Именно такое заболевание зачастую может сигнализировать о причине резкого изменения показателей эпителиальных клеток в составе урины. Чтобы это определить в первую очередь врач соотносит норму показателей, которые при здоровом организме должны быть следующими:

  • Если женщина не имеет каких—либо патологий мочеполового характера, то норма эпителия для нее составляет не более 10 единиц. Для беременных этот показатель может уменьшиться до 5 единиц.
  • Среди мужского населения, по сравнению с женским организмом эпителий в их анализе мочи должен равняется не более трем единицам. Если этот показатель выше, значит, можно говорить о наличие у них патологического процесса. Такое часто случается в послеоперационные моменты или при применении медикаментов.
  • У новорожденных детей значение клеток эпителия равняется 10 единицам, далее по мере развития и роста младенца его становиться меньше. То есть норма эпителия снижается до 0–3 единиц. Что характеризуется наличием стрессовой ситуации у ребенка после рождения не связанное с заболеваниями.

Как видно, из вышеперечисленного норма показателей зависит не только от пола человека, но и от его возраста. Это, главное, на что обращает внимание врач прежде, чем поставить определенный диагноз.

Причины эпителиального осадка

Как правило, все внутренние органы человека имеют слизистую ткань, состоящую из эпителия. Отсюда следует что незначительное количество эпителия всегда присутствует в составе мочи.  Явная причина постоянное взаимодействия урины с тканями органов при выходе из организма по мочевыводящим каналам.

Когда численность, эпителия превышающая 10 единиц, может свидетельствовать о наличие у больного воспаления в области мочеполовых органов. Что, кстати, не всегда указывает на болезненное состояние, иногда такое случается на фоне приема лекарственных средств. Все будет зависеть от вида выявленного эпителия в моче.

Классификация

При разборе анализов в результате могут присутствовать следующие виды клеток эпителия.

Плоские

По виду такие клетки не имеют цвета, напоминают форму круга. В моче могут быть определены в виде пласта или встретиться в единичном варианте. В моче женского организма они присутствуют всегда, попадая туда непосредственно через влагалище или мочеиспускательный канал. У мужчин эпителий в моче появляется из нижнего отдела уретры. Где любая патология может быть определена по факту увеличения количества эпителия в урине. Такой феномен встречается чаще по сравнению с нижеописанными.

Переходные

По внешней структуре их форма непостоянна. Переходной эпителий имеет желтоватый оттенок. Такого характера эпителиальные клетки расположены на поверхности слизистых почечных лоханок, мочеточников или верхних отделов уретры. Зачастую врач обнаруживает повышение переходного эпителия при болезни пиелонефритом, циститом или песка в почках. Что также указывать на начальный этап формирования полипов, гепатита, почечного камня.

Почечные

Повышение в моче таких эпителиальных клеток может свидетельствовать о патологиях паренхимы почек. К примеру, человек может быть болен мочеполовыми инфекциями, гломерулонефритом, пиелонефритом или иными патологиями подобного характера. Обычно все эти заболевания протекают совместно с признаками гипертермии.

Методы диагностирования

Есть много случаев, когда анализ, оказывается, ошибочным. К примеру, такая вероятность повышается если накануне пациент непредусмотрительно отнесся к сбору урины. Допустим, моча была собрана в не стерильную тару, забыл подмыться.

Что для сбора и правильного результата анализа урины относятся к главным условиям. То же касается и утреннего сбора, то есть урину необходимо подготавливать не с вечера, а именно с самого утра сразу после пробуждения. Собрав именно среднюю порцию урины, пропустив первую и последнюю. Что в итоге и будет считаться наиболее информативной позволяющей установить верный диагноз.

Далее, если врач подтвердит наличие эпителия в анализах, то после этого больному также потребуется пройти более подробную диагностику. А именно:

  • Ультразвуковое сканирование органов системы мочевыделения.
  • Сдача крови на биохимический анализ.
  • Иные исследования общего характера.

Помимо, определившегося эпителия в урине больного также могут одолевать и другие не менее приятные симптомы. Например, у него начнут наблюдаться проблемы с процессом мочеиспускания. О чем могут свидетельствовать воспаления слизистой мочевого пузыря или болезни простаты у мужчин.

Повод сходить на прием

Эпителий, выпавший в осадке анализа, может различаться по трем типам. Отчего и будет зависеть окончательный диагноз:

  • К первому типу относится плоский эпителий. Часто указывающий на такие болезни, как острое либо хроническое воспаление простаты у мужчин. Включая инфицирование органов мочевыделения, или почечных воспалений независимо от пола.
  • Второй тип — переходный эпителий. Зачастую его следы в урине обнаруживаются при почечных полипах, опухоли или камнях. Включая вирусный гепатит или иные болезни подобного характера.
  • Эпителий почечного характера — это третий тип. В моче содержится по причине развивающегося воспалительного процесса, инфекций. Часто может протекать одновременно с симптомами повышенной температуры тела. Основная причина его такова, отравление после приема медикаментов, попадания, в организм химических веществ вызвавшие у человека признаки интоксикации.

Иногда, такое может случиться у больного вследствие проделанной операции по трансплантации почки, когда организм начинает отторгать новый орган.

Что необходимо сделать

Если начали беспокоить проблемы с мочеиспусканием, боль в пояснице, животе или паховой области медлить не стоит, нужно срочно показаться врачу. Рассказать ему о своем самочувствии, это позволит определить наиболее подходящее лечение и даст возможность установить конкретную причину недуга.

Для чего больному потребуется пройти ряд необходимых диагностических процедур и дождаться результата анализов. Далее, если предположения о наличие болезни окажутся положительными только в этом случае, врач начинает подыскивать наиболее подходящие пути решения имеющихся недомоганий.

Важность такого подхода заключается именно в своевременности. Самостоятельные меры здесь неуместны, такое отношение к своему здоровью может довести человека до крайне опасного состояния. Что касается абсолютно любого заболевания.

Поэтому также стоит вести себя предусмотрительно если помимо плохого самочувствия вдруг цвет мочи также показался вам очень подозрительным. К примеру, состав ее стал более мутным, со специфическим запахом. Такие сигналы могут свидетельствовать о наличие серьезных болезней. С чем медлить не нужно, будет лучше если сразу обратиться за помощью к своему лечащему врачу.

Переходный эпителий в моче что это значит

Эпителий — верхний клеточный слой внутренних органов. Согласно исследованию многочисленных проведённых анализов, эпителий всегда присутствует в моче, что обуславливается прохождением жидкости через пути мочевыведения, где происходит её взаимодействие с клеточным слоем. Разницу составляет лишь уровень содержания эпителиальных клеток и его типа. Так, в случае их превышения значения в 10 клеток, стоит подозревать развитие патологий воспалительного характера, происходящих в мочеполовой системе. Однако иногда повышенный уровень эпителиальных клеток может быть не связаны с процессами воспаления, а являться результатом приёма антибиотиков или других медикаментозных препаратов. Соответственно типу эпителия устанавливается характер присутствующей патологии.

Виды эпителия

Различают три эпителиальных вида:

1. Плоский

Плоский эпителий в моче — это нормальное явление для женщин и детей, однако его выявление в большом количестве — свидетельствует о развитии болезни, вызванной инфекционным возбудителем. Соответственно возрастным характеристикам и разделению по половому признаку существуют следующие нормы эпителия:

  • у мужского населения эпителиальные клетки способны стать частью мочи только посредством попадания в нее из канала мочеиспускания, что предполагает наличие патологии при их выявлении, поскольку у мужчин данный показатель в норме отсутствует;
  • у женщин и девочек источниками эпителия в моче выступают канал мочеиспускания и влагалище, что устанавливает норму в максимальные 10 клеток;
  • у новорожденных, не достигших 2-х недельного возраста, эпителиальный уровень в моче должен составлять 0-10 клеток.

Иногда повышенные показатели эпителиальных клеток являются результатом неправильного сбора мочи:

  • не соблюдение правил личной гигиены перед сдачей анализа;
  • сбор первой порции мочи вместо средней.

2. Переходный

При его повышенном обнаружении имеют место быть заболевания, связанные с почками. Нормальные показатели должны приравниваться к единичным значениям, поскольку попадание переходного эпителия в мочу происходит за счёт выделения жидкости, а также взаимодействия с частями мочевыделительной системы, которые покрыты эпителием переходного типа. Нормы данного показателя одинаковы для всех, не зависимо от пола и возраста. Его максимальное содержание должно составлять 3 клетки. В редких случаях завышенные значения переходного эпителия в анализе становятся результатом других влияний, не имеющих отношение к воспалительным заболеваниям. К примеру, массаж простаты может спровоцировать повышение переходных эпителиальных клеток.

3. Почечный

В норме должно наблюдаться его отсутствие. Для младенцев, не достигших месячного возраста, допускаются показатели в рамках 1-10 клеток. Если почечный эпителий содержит моча взрослого человека, то это явный признак поражения паренхимы почек. Его местоположением выступают почечные канальцы.

Причины эпителия в моче

Как уже было сказано выше, факторами, провоцирующими высокие показатели эпителия в моче, выступают патологические процессы в организме, в роли которых чаще всего выступают:

Цистит

Одна из наиболее распространённых причин резкого увеличения эпителия. Поскольку при данном заболевании развивается воспалительный процесс, моча изобилует клетками, которые покрывают слизистую оболочку пузыря. В результате происходит обильное клеточное отслоение, что приводит к повышенному уровню эпителия в моче.

Женщин цистит поражает чаще чем мужчин, что обуславливается особенностями анатомического строения организма. «Внешними» признаками заболевания являются:

  • болезненные проявления и чувство жжения в процессе опорожнения мочевого пузыря;
  • частое посещение туалета, при котором наблюдаются скудные мочевыделения.

Также могут наблюдаться примеси крови в моче и острый болевой синдром в нижней части брюшной полости.

Как правило, цистит требует медикаментозного лечения. Однако иногда симптоматика проходит самостоятельно, а показатели эпителиальных клеток в моче у женщин приходят в норму.

Нефропатия

В частности, имеется в виду IgA-нефропатия, при которой почки начинают накапливать в большом количестве антитела, именуемые иммуноглобулином А (IgA). Как результат — сильный процесс местного воспаления, провоцирующий нарушение почечных функций. К одним из таких нарушений относится плохая фильтрация жидкости, которая проходит через почки, что способствует увеличению эпителиальных клеток.

Заболевание характеризуется пассивным течением. Оно может не проявлять себя годами. Патология не поддается лечению, однако возможен прием медикаментов, замедляющих её развитие. На более поздних стадиях IgA-нефропатия проявляется обилием в моче:

  • белка;
  • эпителия;
  • эритроцитов.

Указанные параметры являются свидетельством явной дисфункции почек.

Расшифровка анализа мочи

Нормальный уровень плоских эпителиальных клеток:

  • мужчины — отсутствует;
  • женщины и девочки — 0-10;
  • новорожденные первых двух недель жизни — 0-10.

Нормальный уровень переходных эпителиальных клеток: для всех полов и возрастов — 2-3. Нормальный уровень почечных эпителиальных клеток:

  • мужчины и женщины — отсутствует;
  • дети до месяца — 0-10.

Эпителий и период беременности

Беременность — не только приятный, но и волнительный период, когда женский организм становится наиболее подверженным различным заболеваниям. По данной причине будущие мамы в период беременности часто сдают общий анализ мочи, при исследовании которого особое внимание уделяется наличию эпителию:

  1. Плоский. При беременности допускается его содержание до 5 клеток.
  2. Переходный. Также допустимо наличие в количестве одной клетки.
  3. Почечный. В период беременности не должен присутствовать.

Эпителий в моче плоского типа при беременности может быть признаком возможных процессов воспаления, развивающихся в мочевыводящих путях.

Эпителий и дети

У ребенка эпителий в моче не всегда является патологией. Нормы и отклонения результатов анализа определяются типом клеток, а также уровнем их содержания в моче:

Норма:

  • незначительный уровень плоского эпителия в моче у ребёнка считается нормальным, поскольку происходит их постоянное отшелушивание со слизистых оболочек и попадание в урину;
  • также может наличествовать переходный тип клеток, которым покрытычасти мочевыделительной системы.

Патология:

Плоский

Резкое повышение данного показателя в анализе мочи у ребёнка может указывать на:

  • процессы воспаления в нижних отделах мочеиспускательного канала, свидетельствующих об уретрите, или в мочевом пузыре при цистите;
  • воспаление половых органов;
  • отсутствие или недостаточное соблюдение правил общей гигиены или сбора мочи.
Переходный

Увеличение представленного типа эпителиальных клеток у ребенка также может указывать на развитие заболеваний, описанных выше, или быть связан с мочекаменной болезнью.

Почечный

Наличие у ребёнка почечного эпителия является крайне нежелательным и говорит о серьёзных почечных патологиях:

  • гидронефрозе;
  • пиелите;
  • туберкулезе почек.

Помимо этого, наличие почечного эпителия может свидетельствовать о почечных болезнях врождённого характера.

Также, причинами возникновения заболеваний, сопровождающихся повышением уровня эпителиальных клеток в анализе мочи у ребёнка, являются:

  • наследственность;
  • тяжёлое течение беременности;
  • сложные роды, характеризовавшиеся недошенностью или врождёнными пороками развития;
  • перенесенные ребёнком или мамой в период беременности инфекции стафилококками стрептококками;
  • серьёзные заболевания других органов и систем инфекционного происхождения.

my-pochki.ru

Разновидности эпителия

Первичным методом, чтобы выяснить причины наличия характерной симптоматики, является общий анализ мочи. Исследование достаточно информативное и показательное для последующей постановки диагноза, связанного с воспалительными или инфекционными процессами, проходящими в организме человека.

Существуют клетки, которые находятся как на поверхности тела человека, так и на слизистых оболочках, они называются эпителием. При детальном анализе осадка урины их можно обнаружить только при возникновении патологических изменений во внутренних органах, когда клетки начинают отслаиваться.

От того, какой вид клеток эпителия был обнаружен при анализе, зависит ход дальнейшего лечения:

  1. Плоский эпителий в большом количестве указывает на развитие инфекции выделительной системы, так как клетки попадают в мочу из мочеиспускательного канала. У мужской половины в норме такой эпителий должен отсутствовать, у женщин – может быть в минимальном количестве, с учетом попадания его из влагалища.
  2. Переходные клетки покрывают лоханочную область почек, органы мочеполовой системы и проток предстательной железы. У человека со здоровыми органами анализ мочи может показать незначительное содержание переходного эпителия. Наличие данных клеток с тенденцией на увеличение говорит о развитии цистита, пиелонефрита или мочекаменной болезни.
  3. Почечный эпителий, обнаруженный при анализе, указывает на патологии в работе паренхимы почки. Наличие до 10 клеток в поле зрения под микроскопом – это норма, завышение этих показателей указывает на аномальные процессы и заболевания органов (пиелонефрит, гломерулонефрит, нарушения кровообращения).

Причины повышенных показателей

Наиболее распространенные причины, из-за которых показатели почечного эпителия повышаются — аномальные процессы в тканях или сосудах:

  1. Цистит – воспалительный процесс мочевого пузыря, происходит массовое отслоение эпителия. Этому заболеванию более всего подвержены женщины, по причине физиологических особенностей строения уретры. Без адекватного и своевременного лечения цистит переходит в почки и провоцирует пиелонефрит.
  2. Пиелонефрит – инфекционная патология почечных лоханок, которая может быть осложнена гидронефрозом (расширением лоханочной области) и застоем мочи.
  3. Мочекаменная болезнь – образование конкрементов на любом отрезке мочевыделительной системы. Отхождение камней, песка или солей повреждает стенки органов и вызывает избыточное отслоение эпителия.
  4. Гломерулонефрит – нарушения функциональности почечных клубочков, вызывает стойкое АД.

Любая интоксикация организма ядами или передозировка лекарственными препаратами вызывает повышенную работу почек и, как следствие, наличие эпителия в моче.

Сбор мочи

Процедура по сбору мочи должна проходить по не сложным правилам, чтобы показатели анализа оказались максимально верными:

  • подготовительный этап по сбору мочи обязует пациента провести гигиенические процедуры половых органов. Такие манипуляции связаны с предупреждением попадания выделений или других загрязнений;
  • моча должна быть собрана в утренний период до приема пищи и питья;
  • емкость для анализа — сухая и максимально стерильная;
  • идеальным вариантом будет забор средней мочи;
  • в лабораторию емкость с анализами доставляется не позднее 3-х часового периода после сбора. Хранение допустимо в прохладном помещении, где отсутствуют прямые солнечные лучи.

Наличие почечного эпителия не может быть основанием для постановки основного диагноза. Только дополнительные обследования (УЗИ, КТ, МРТ) с обнаруженными патологиями становятся решающими факторами.

Дети и беременность

Обнаружение при беременности почечного эпителия может указывать на различные патологии мочевыделительной системы. Врач назначает дополнительные анализы по показаниям или проводит щадящую процедуру по устранению недуга.

Послеродовой период характеризуется осмотром новорожденного и сбором анализов для определения состояния внутренних органов. До 14-ти недельного возраста допустимо присутствие эпителия, так как организм младенца адаптируется к новым условиям существования вне утробы матери.

У ребенка старшего периода содержание эпителия в моче разнятся со взрослыми параметрами:

  • плоский эпителий – не более 5-ти клеток;
  • переходные – до 3-х штук;
  • почечные клетки должны отсутствовать при анализе.

При обнаружении данных клеток врач делает вывод о возможном развитии патологических процессов, но также может назначить анализ повторно для полной уверенности наличия аномалий.

Самыми распространенными причинами обнаружения почечного эпителия у детей являются:

  • воспалительные процессы мочевых путей нижнего порядка;
  • инфицирование почечной паренхимы или лоханочной области;
  • отложение солей и последующее их отхождение.

Незначительное содержание эпителия в анализах мочи ребенка никогда не остается без внимания медицинских сотрудников. Назначаются повторные и дополнительные исследования с целью исключения патологии.

Существуют факторы риска, обуславливающие такие показатели в анализах:

  • наследственность – наличие в анамнезе родственников с почечными болезнями;
  • токсикозы на поздних сроках беременности;
  • роды раньше предусмотренного срока;
  • родовая деятельность, сопровождающаяся различными осложнениями;
  • врожденные аномалии;
  • инфекционные процессы при беременности у матери или у ребенка после рождения.

Данные факторы только предполагают возможное заболевание почек и предусматривают строгий контроль над состоянием и динамикой развития мочевыделительной системы.

Диагностирование

Клетки почечного эпителия, обнаруженные при анализе, только намекают на будущий диагноз. Если к этому присоединяется нижеследующая симптоматика, то врач оперирует уже более точными показателями для назначения курса лечения:

  • мочеиспускание затруднено и сопровождается резями и болевыми ощущениями;
  • болевой синдром в пояснице;
  • общая усталость, наличие температуры, чувство тошноты;
  • отечные реакции век;
  • гипертензия.

Совокупность всех показателей дает основание предполагать почечную патологию, поэтому назначается ультразвуковое исследование, которое является совершенно безопасным и не менее информативным. При отсутствии однозначного диагноза назначаются дополнительные исследования, чтобы понять, как лечить пациента:

  • клинический анализ крови;
  • компьютерная томография;
  • магнитно-резонансная томография;
  • цистоскопия.

Тактика лечения определяется в зависимости от степени нарушения функциональности почек и других органов системы, а также от непосредственно поставленного диагноза. Анализ мочи с наличием клеток почечного эпителия, при первичном диагнозе играет немаловажную роль, так как именно с этого начинается путь к последующему лечению.

beregipochki.ru

Виды эпителия

Во всех отделах мочевыделительной системы эпителиальный слой различен и клетки, его выстилающие, имеют неодинаковую структуру. Различают эпителий:

  • Плоский – это округлые бесцветные клетки больших размеров, имеющие ядро. Незначительное количество его в урине детей и женщин соответствует норме. Если эпителий плоский в моче повышен, то это расценивается как наличие в организме инфекции. Наличие клеток плоского эпителия в моче у мужчин свидетельствует о патологическом процессе в организме, в норме их быть не должно. В урину девочек и женщин клетки попадают из влагалища и мочеиспускательного канала. Их количество не должно превышать десяти. В противном случае это отклонение от нормы. У новорожденных детей и малышей до двухнедельного возраста допустимо наличие клеток плоского эпителия в моче до десяти.
  • Переходный, клетки которого имеют одно или несколько ядер. Форма цилиндрическая или округлая. Этим видом эпителиальной ткани выстланы: верхний отдел мочеиспускательного канала, мочеточник, лоханки почек. В норме должно содержатся максимум три клетки у мужчин, женщин и детей. Повышается этот вид эпителия при болезнях почек (мочекаменная болезнь, цистит, пиелонефрит). Исключают наличие полипов, гепатит. В некоторых случаях повышению клеток может способствовать массаж предстательной железы.
  • Почечный. Этого вида не должно наблюдаться в моче. Допускается небольшое значение клеток (до 10) у малышей до месячного возраста. Наличие почечного эпителия – патология паренхимы почек.

Увеличение того или иного вида эпителия является важным диагностическим моментом. Наличие воспаления в органах малого таза, нарушение кровоснабжения и другие состояния оказывают влияние и на эпителиальный слой слизистых оболочек мочевыводящих путей. При этом происходит сильное отторжение клеток, которые и оседают в моче. В клинико-диагностической лаборатории определяют вид эпителия. Полученные данные оказывают помощь при постановке диагноза. У мужчин плоский эпителий в моче, что это значит? А означает это наличие воспаления в мочеполовой системе и требует незамедлительного лечения.

Как правильно сдать анализ?

Существуют определенные рекомендации, касающиеся сдачи анализа мочи:

  • за сутки до сбора мочи исключить продукты, которые окрашивают мочу (свекла, морковь, цитрусовые). Ограничить пряности, соль. По возможности не принимать мочегонные и витаминные препараты, а также лекарственные средства, содержащие нитрофурановые соединения из-за интенсивного окрашивания урины в насыщенный желтый цвет;
  • произвести гигиену наружных половых органов;
  • собрать около 100 мл утренней мочи (среднюю порцию) в чистую стеклянную или пластмассовую тару;
  • доставить емкость с уриной в клиническую лабораторию лечебного учреждения в ближайшее время. Возможно временное хранение в условиях холодильника, но не больше двух часов, чтобы результаты анализа не были искажены;
  • во время менструации сдача анализа не рекомендуется, в противном случае следует использовать специальный гигиенический тампон.

Несоблюдение этих правил может показать недостоверный результат, в том числе и наличие эпителиальных тканей в урине.

Расшифровка общего анализа мочи

Одним из важных показателей является наличие в урине эпителиальной ткани. Нормой является:

  • Клетки плоского эпителия у самых маленьких детей от рождения до двухнедельного возраста, девочки, женщины от 0 до 10. У мужчин – отсутствуют.
  • Переходный. Для любого пола и возраста от 2 до 3.
  • Почечный. У новорожденных детей и до достижения ими месяца от 0 до 10. У мужчин и женщин эти клетки не должны присутствовать.

Диагностика заболеваний основывается на том, какие из вышеперечисленных клеток были обнаружены в урине.

Плоский эпителий в моче. Норма у женщин превышена: причины

Эпителиальные клетки выстилают уретру, мочевой пузырь, наружные половые органы, поэтому, отслаиваясь, попадают в урину. Максимально допустимое количество – это десять клеток у женщин. При атрофии эпителиального слоя, длительном приеме андрогенных препаратов, в старческом возрасте клетки эпителия отсутствуют.

В случае ослабленного иммунитета или расстройства менструального цикла по результатам лабораторных исследований нередко выявляют 3 и более клеток плоского эпителия.

Если выявлен плоский эпителий в моче и норма у женщин превышена, то это свидетельствует о наличии воспалительных процессов в женском организме.

Болезни

Цистит поражает в основном женское население ввиду особого строения мочеполовых органов. При воспалительном процессе слизистой оболочки уринозного пузыря клетки интенсивно отслаиваются и попадают в мочу, таким образом, патологические процессы в организме человека способствуют появлению эпителия плоского в большом количестве в моче.

Симптомы заболевания:

  • частые позывы к мочеиспусканию, при этом количество выделяемой мочи минимальное;
  • урина мутного цвета;
  • неприятные ощущения в процессе мочевыделения: запах, жжение и боль;
  • сильные острые боли внизу живота;
  • возможно наличие крови в урине.

При выявлении цистита врач назначает лекарственную терапию. После лечения выписывается направление на повторный анализ мочи. Эпителий плоский после проведения эффективной терапии приходит в норму.

IgA-нефропатия, или болезнь Берже – это патология, при которой иммуноглобулин A накапливается в почках и приводит к нарушению их нормальной функции из-за развития воспалительного процесса. Развивается болезнь очень медленно, годами. Проявления заболевания на начальных стадиях незаметны. Диагностируют его при обнаружении значительного числа белка, эритроцитов и клеток эпителия.

Эпителиальные клетки у детей

У маленького ребенка обнаружили плоский эпителий в моче, что это значит? На самом деле поводов для беспокойства нет. Наличие их в урине новорожденного — это норма. В течение первых месяцев жизни малыша идет адаптация мочевыводящей системы, и через некоторый период уровень клеток эпителия уменьшается вплоть до их полного отсутствия.

При выявлении в анализе эпителиальных клеток после исполнения ребенку года можно предположить воспаление в организме. Доктором-нефрологом назначается повторный анализ урины и другие необходимые обследования для постановки точного диагноза и назначения лекарственной терапии.

Эпителий плоский в моче при беременности

Организм женщины в период беременности подвержен различным инфекциям и болезням. С целью контроля за здоровьем будущих мамочек им на протяжении всего периода беременности назначают необходимые виды лабораторных исследований, в том числе и анализ мочи. Анализируя результаты, обращают внимание на содержание эпителия, так как его наличие в моче беременных женщин может служить сигналом о воспалительном процессе в мочевыводящей системе. Почечного эпителия не должно быть в урине будущих мам. Переходного – допустимо в количестве не более одной клетки, а плоского – допускается не больше пяти штук.

Что делать при повышенном эпителии в моче?

Завышено количество плоского эпителия в моче. Норма у женщин колеблется от 0 до 10 клеток, их превышение предполагает воспалительный процесс. Женщине рекомендуется обратиться к урологу или гинекологу. Обычно назначают дополнительные виды обследований: ультразвуковая диагностика органов малого таза, мазок гинекологический.

В заключение следует отметить, что обнаружение или отсутствие клеток эпителия при исследованиях мочи является одним из факторов, помогающих оценить состояние человека. Женскому населению рекомендуется следить за своим здоровьем и немедленно обращаться к доктору при обнаружении плоского эпителия в моче. Норма у женщин не должна быть превышена.

fb.ru

Нормальные показатели

В силу современных сантехнических коммуникаций человек не обращает внимания на цвет мочи.

При походе в туалет можно распознать только запах, который может быть резким, кислым или же веять каким-то химическими веществами.

Именно поэтому специалисты рекомендуют хотя бы раз в месяц собирать мочу в банку, чтобы посмотреть на ее цвет и проверить на наличие осадка.

Если вы заметили у себя что-то из представленных выше показателей, значит, следует обратиться к специалисту для проведения общих лабораторных анализов.

Если рассматривать результаты, то увеличенное количество эпителия в моче должны насторожить специалиста.

О чем говорят эпителиальные клетки в осадке?

Эпителием называют верхний слой клеток внутренних органов.

В случае с разбором показателей проведенных анализов эпителий всегда присутствует в моче, поскольку жидкость проходит через мочевыводящие каналы, а значит, взаимодействует с поверхностным слоем клеток.

Вопрос заключается только в их количестве. Если эпителиальных клеток в поле видимости больше 10, скорее всего, у пациента имеются воспалительные заболевания мочеполовой системы.

Однако бывают случаи, когда завышенный показатель не указывает на развитие воспалительного процесса.

К причинам подобного проявления в большинстве ситуаций относят применение антибиотиков и других лекарственных препаратов.

Следует отметить, что именно в соответствии с видом эпителия врач сможет установить характер имеющегося заболевания.

Разновидности эпителиальных клеток

В анализе мочи зачастую указывают вид эпителиальных клеток, которые были обнаружены в больших количествах.

Выделяют всего три разновидности, каждый из которых имеет свой показатель нормы, отличающийся от пола и возраста человека.

Итак, в моче может быть эпителий трех видов:

  1. Плоский – большое количество эпителиальных клеток указывает на наличие инфицированного заболевания. В зависимости от пола и возраста плоский эпителий имеет нормы: у мужчин этот вид клеток может попасть в мочу только из нижней трети мочеиспускательного канала, этот факт говорит о патологии (в норме плоского эпителия в моче мужчин быть не должно); у младенцев в первые 2 недели жизни норма плоского эпителия заключена в рамки 0-10 клеток; у женщин и девочек эпителий попадает в мочу из мочеиспускательного канала и влагалища, что утверждает норму в максимум 10 клеток.
  2. Переходный – его нахождение в моче должно быть единичным, поскольку он попадает посредством выделения жидкости и взаимодействия с лоханками почек, мочеточниками, мочевым пузырем и мочеиспускательным каналом. По факту переходный эпителий и выстилает перечисленные части мочевыводящей системы. Если эти клетки находятся в моче в больших количествах, значит, у человека имеются заболевания почек. Нормы переходного эпителия не имеют подразделений в соответствии с возрастом и полом. Максимальное количество для здорового человека – это не более 3 клеток в моче.
  3. Почечный – в моче здорового человека обнаруживаться не должен вовсе. Допускается наличие представленного вида эпителиальных клеток для детей возрастом до 1 месяца в количестве от 1 до 10 штук. Выявление почечных клеток в моче человека указывает на поражение паренхимы почек.

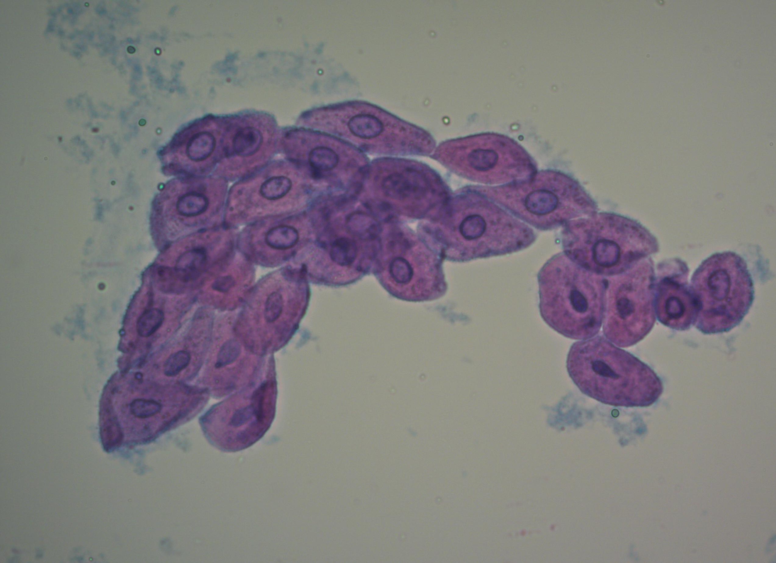
Так выглядит переходной эпителий:

Отклонения от норм не всегда говорит о развитии патологии. Следует разобрать подробнее вопрос, когда «бить тревогу» после изучения результатов проведенных лабораторных анализов.

Следует прояснить причины нормального появления эпителия в моче и признаки, указывающие на наличие заболеваний.

Панические настроения прочь!

Безопасное проявление эпителия может быть только в случаях с разновидностями плоского или переходного типа.

Эпителий в моче, в зависимости от своего вида, может быть нормальным явлением в таких случаях:

  1. Плоский выстилает влагалище и матку представительниц прекрасного пола, поэтому вполне нормально, если в моче женщины обнаружились представленные виды клеток, но не превышая нормы.
  2. Переходный может оказаться в моче в силу длительного приема антибиотиков и других лекарственных препаратов. Также не следует поддаваться панике, если вы только что перенесли наркоз.
  3. Почечного эпителия не должно быть вовсе. При его выявлении посредством проведенных лабораторных анализов специалист обязательно назначит комплекс обследований для диагностирования заболеваний почек.

Повод обратиться в медицинское учреждение

В зависимости от типа эпителия, выпавшего в осадок, специалисты делают предположение о возможных заболеваниях.

Тип первый — плоский

Плоский эпителий указывает на наличие таких заболеваний:

  • инфекции мочевыводящих путей;
  • воспаление в почках;
  • острое или хроническое воспаление простаты.

Тип второй — переходной

Переходный эпителий попадает в мочу при таких заболеваниях, как:

  • различные нарушения работы внутренних органов мочеполовой системы – это образование камней, полипы или злокачественные опухоли;
  • разнообразные сбои в работе почек, которые могут быть вызваны самыми различными причинами и проявлениями;
  • при наличии гепатита, в том числе и вирусного.

Тип третий — почечный

Почечный эпителий содержится в моче в случаях:

  • воспаления почек;
  • вследствие инфицирования организма, что практически всегда влечет повышение температуры тела;
  • при тяжелой интоксикации организма вследствие потребления лекарственных средств сверх положенной дозы или попаданием химических веществ.

Почечный эпителий также может попасть в мочу только что прооперированного человека, если происходит отторжение трансплантационной почки.

О характере заболеваний в зависимости от разновидности эпителиальных клеток уже оговорено много. Теперь следует привести особенности нахождения эпителия в зависимости от полового признака и возрастной категории людей.

К нормам у женщин — более лояльный подход

Моча женщин существенно отличается от мочи сильной половины человечества. Так, что для мужчины признак заболевания, то для женщин норма.

Речь идет о плоском эпителии, который попадает в мочу женщин из половых органов, и это зачастую является нормой.

К особенностям проявления представленного вида эпителиальных клеток необходимо отнести значительное снижение показателей в период беременности.

Плоский эпителий в моче при беременности в норме не превышает 5 клеток.

Мужчинам нужно быть настороже

Наличие эпителиальных клеток в моче у мужчин говорит только о наличии какого-либо заболевания, характер которого выясняется посредством установки вида эпителия.

Исключением могут стать только перенесенные операции или применение не усваиваемых лекарственных препаратов.

У малышей свои нормы

Особенности проявления эпителиальных клеток относят только к новорожденным малышам.

Наличие описываемых веществ в моче у малыша не говорит о возникновении и развитии какого-либо опасного заболевания.

В первый месяц рождения их мочевыводящая система адаптируется к «новой жизни» вне утробы матери.

Это вызывает своеобразный стресс и требует времени.

Чем это неприятно

Зачастую об опасности выявления эпителиальных клеток в моче у человека говорит врач уролог или же терапевт, если проходило общее обследование у специалистов.

Они отправляют пациента, показатели эпителия которого свыше нормы, для дальнейшего обследования с целью выявить причину подобных неприятностей.

Здесь будут назначены общий и биохимический анализ крови, а также УЗИ почек и мочевыводящей системы в частности.

Как правило, если эпителиальные ткани выходят за пределы нормальных показателей, человек уже чувствует боли и неприятный дискомфорт во время мочеиспускания. В особенности это касается заболеваний мочевого пузыря или развития простатита у мужчин.

Что предпринять?

При первых же проявлениях дискомфорта во время мочеиспускания или болей в пояснице, животе и боку, следует немедленно обратиться к врачу.

После прохождения всех обследований и проведения анализов можно диагностировать заболевание и назначать лечение. Разумеется, составлять схему лечения и назначать применение препаратов будет только специалист.

Важно вовремя начать лечение, чтобы своевременно устранить неприятные симптомы, остановить и вылечить диагностированное заболевание.

Если вы почувствовали недомогание, боли в паховой области, пояснице или боку, попробуйте собрать мочу в банку. Наверняка, вы самостоятельно увидите характерные изменения – отсутствие прозрачности и резкий запах.

Обращайтесь к специалистам незамедлительно, дабы не навредить себе еще больше.

1pochki.ru

Эпителий переходный почечный в моче что это значит

Главная » Почки » Эпителий переходный почечный в моче что это значит

Моча человека может «рассказать» о наличии возникших и развивающихся заболеваний.

Так, измененный цвет или неприятный запах мочи должен насторожить и поспособствовать срочному обращению к специалисту.

Посредством проведенных лабораторных анализов можно выяснить характер проявившегося недуга. Одним из факторов, который указывает на наличие болезни, является эпителий в моче.

Превышение нормы указывает на серьезные проблемы, которые требуют немедленного устранения.

Нормальные показатели

Согласно утвержденным данным, норма эпителий в моче составляет не более 10 в поле зрения. Превышающий показатель говорит о наличии у человека определенного рода проблем.

Разновидности эпителиальных клеток

  1. Плоский – большое количество эпителиальных клеток указывает на наличие инфицированного заболевания. В зависимости от пола и возраста плоский эпителий имеет нормы: у мужчин этот вид клеток может попасть в мочу только из нижней трети мочеиспускательного канала, этот факт говорит о патологии (в норме плоского эпителия в моче мужчин быть не должно); у младенцев в первые 2 недели жизни норма плоского эпителия заключена в рамки 0-10 клеток; у женщин и девочек эпителий попадает в мочу из мочеиспускательного канала и влагалища, что утверждает норму в максимум 10 клеток.

    На фото в моче плоский эпителий

  2. Переходный – его нахождение в моче должно быть единичным, поскольку он попадает посредством выделения жидкости и взаимодействия с лоханками почек, мочеточниками, мочевым пузырем и мочеиспускательным каналом. По факту переходный эпителий и выстилает перечисленные части мочевыводящей системы. Если эти клетки находятся в моче в больших количествах, значит, у человека имеются заболевания почек. Нормы переходного эпителия не имеют подразделений в соответствии с возрастом и полом. Максимальное количество для здорового человека – это не более 3 клеток в моче.
  3. Почечный – в моче здорового человека обнаруживаться не должен вовсе. Допускается наличие представленного вида эпителиальных клеток для детей возрастом до 1 месяца в количестве от 1 до 10 штук. Выявление почечных клеток в моче человека указывает на поражение паренхимы почек.

Важно!

Для лечения почечных заболеваний наши читатели успешно используют метод Галины Савиной.

Читать далее >>>

Панические настроения прочь!

  1. Плоский выстилает влагалище и матку представительниц прекрасного пола, поэтому вполне нормально, если в моче женщины обнаружились представленные виды клеток, но не превышая нормы.
  2. Переходный может оказаться в моче в силу длительного приема антибиотиков и других лекарственных препаратов. Также не следует поддаваться панике, если вы только что перенесли наркоз.
  3. Почечного эпителия не должно быть вовсе. При его выявлении посредством проведенных лабораторных анализов специалист обязательно назначит комплекс обследований для диагностирования заболеваний почек.

Повод обратиться в медицинское учреждение

Тип первый — плоский
  • инфекции мочевыводящих путей;
  • воспаление в почках;
  • острое или хроническое воспаление простаты.
Тип второй — переходной
  • различные нарушения работы внутренних органов мочеполовой системы – это образование камней, полипы или злокачественные опухоли;
  • разнообразные сбои в работе почек, которые могут быть вызваны самыми различными причинами и проявлениями;
  • при наличии гепатита, в том числе и вирусного.
Тип третий — почечный
  • воспаления почек;
  • вследствие инфицирования организма, что практически всегда влечет повышение температуры тела;
  • при тяжелой интоксикации организма вследствие потребления лекарственных средств сверх положенной дозы или попаданием химических веществ.

К нормам у женщин — более лояльный подход

Мужчинам нужно быть настороже

Наши читатели рекомендуют! Для профилактики заболеваний и лечения почек и мочевыделительной системы наши читатели советуют Монастырский чай отца Георгия. Он состоит из 16 самых полезных лекарственных трав, которые обладают крайне высокой эффективностью в очищении почек, в лечении почечных болезней, заболеваний мочевыводящих путей, а также при очищении организма в целом. Мнение врачей… »

В норме у мужчины могут выявить только переходный эпителий и то не более 3 штук.

Чем это неприятно

Что предпринять?

Что значит плоский, переходный, почечный эпителий в моче у ребенка, женщин и мужчин

По моче можно многое понять о состоянии здоровья пациента. Если она меняет цвет, приобретает непонятный осадок или неприятный запах, то нужно обязательно пройти обследование и сдать лабораторные анализы.

Эпителий в моче — что это значит?

В моче могут обнаружиться различные вещества и химические соединения вроде белков и креатинина, эритроцитов и билирубина, лейкоцитов или солей, бактерий либо грибов и пр. Может выявиться в ходе лабораторных исследований и присутствие эпителия. Обычно он обнаруживается в количестве, не превышающем десятка единиц и только определенные эпителиальные разновидности вроде переходного или плоского. При повышении подобных параметров можно говорить о функциональных аномалиях мочевого пузыря либо почек.

Эпителиальный слой выстилает мочеполовые, пищеварительные и дыхательные слизистые. Именно из этих клеток состоят железистые структуры. Поэтому подобные клетки в незначительных количествах всегда присутствуют в мочевом осадке, особенно у женщин, что обуславливается анатомическими особенностями.

Эпителиальный слой выстилает предстательные протоки и почечные лоханки, мочеточники и уретру, мочепузырные структуры

Если в урине обнаружилось незначительное число эпителиальных клеточных структур, то в лечении они не нуждаются. Обычно подобное может случиться, если нарушаются правила забора биоматериала. Поэтому врачи предупреждают, что перед сбором мочи нужно подмыться и собирать в емкость утреннюю порцию урины только в чистую и сухую емкость.

Эпителий в моче

Виды

Существует несколько типовых разновидностей эпителия, который может обнаружиться в урине:

    • Плоский. Самая распространенная форма, клетки крупные, плоские, округлой формы, на вид бесцветные. В урине могут обнаружиться в виде пластов либо в форме единичных структур. Такие клетки всегда есть в женской моче, куда они попадают из мочеиспускательного канала или влагалища. У мужчин такой эпителий проникает в урину из нижних отделов уретры. Если содержание плоского эпителия в урине превышено, то это часто свидетельствует о развитии инфекционных поражений мочевыводящих структур.

Плоский эпителий в моче

    • Переходный эпителий. Его клеточные структуры бывают различных форм и параметров, отличаются желтоватым цветом. Подобный эпителий покрывает поверхность почечных лоханок и мочеточников, верхних отделов уретры. При повышении таких эпителиальных клеток говорят о развитии пиелонефрита или цистита, а также мочекаменной патологии. Также переходный эпителий в урине может указывать на развитие полипов, гепатита или камнеобразование.

Переходный эпителий в моче

  • При обнаружении в урине у любого пациента почечных эпителиальных клеток обычно диагностируют паренхиматозные почечные патологии. Кроме того, почечный тип эпителия указывает на инфекционные процессы в почках и мочеполовой системе, гломерулонефрит либо пиелонефрит и прочие патологии. Обычно такой эпителий в урине сопровождается гипертермическими признаками.

В зависимости от типа обнаруженных эпителиальных клеточных структур и определяется диагностическая направленность.

В целом наличие плоского эпителия в урине у женщин считается нормой, а вот у беременных этот показатель падает примерно до 5 единиц. У мужчин же подобная находка в моче зачастую свидетельствует о патологии. Также плоский эпителий может обнаружиться в урине у мужчин при приеме медикаментов, отличающихся плохой усваиваемостью, либо после операции. У детей безопасным проявлением наличие эпителия считается лишь в период новорожденности. В первые недели жизни происходит адаптация и перестройка мочевыводящей системы. В более старшем возрасте стоит подозревать патологию.

Методы диагностики

Чтобы обнаружить в составе урины эпителиальные клетки, достаточно сдать анализ мочи. Собирать ее необходимо в стерильную емкость, чтобы исключить искажение результатов анализов. Предварительно нужно подмыть гениталии, затем некоторое количество утренней порции опорожнить в унитаз, среднюю часть набрать в емкость, а последнюю порцию снова в унитаз. Именно средняя часть первой утренней мочи считается самой информативной.

Обычно после обнаружения эпителия в большом количестве, помимо лабораторных анализов урины, пациентам назначается ультразвуковая диагностика почечных структур и системы мочевыведения, биохимия крови и общее исследование.

Обычно превышение эпителиального компонента в моче сопровождается массой неприятных симптомов вроде дискомфортного мочеиспускания, болезненных ощущений, мочепузырных патологий либо воспаления простаты.

Норма

Специалисты для такого показателя, как эпителий, определили варианты нормы, а превышение этих показателей говорит о развитии патологии, чаще уретрита:

  • Для женщин считается нормальным содержание в урине до 10 единиц эпителия, а для беременных и того меньше – около пяти.
  • Что касается сильного пола, то для них вариантом эпителиальной нормы в моче считается наличие не больше 3 единиц.
  • Норма для новорожденного ребенка составляет порядка десятка эпителиальных клеток, но на втором месяце жизни они начинают снижаться, составляя в норме уже 0-3 единицы.

Как видно, для каждой категории пациентов определяются свои стандартные нормы, что весьма важно при диагностике.

Если же при исследовании урины обнаружились эпителиальные показатели повышены, то у пациента, вероятнее всего, развивается какая-либо патология, на которую обычно указывается степень превышения нормы и тип присутствующего в урине эпителия.

  • К примеру, у женщин незначительное превышение нормы эпителия может наблюдаться даже при отсутствии каких-либо мочеполовых и мочевыводящих патологий. Подобные клетки проникают в мочу из уретры. Если же показатели эпителия у женщин значительно превышают норму, то можно говорить о развитии цистита, который сопровождается болезненной симптоматикой, нарушением мочеиспускания, его частыми позывами, гематурией и пр. Обычно моча при этом становится мутной и неприятно пахнущей. Подобная симптоматика часто указывает на уретрит, молочницу либо половые инфекции.
  • У мужчин в норме клетки плоского эпителия в моче не должны присутствовать в урине (не больше трех). Если же они обнаруживаются в больших количествах, то доктор может предположить наличие мочеполовых инфекций и воспалительных заболеваний вроде цистита либо гломерулонефрита и пр.
  • У одномесячных детей нормальным считается показатель в 0-10 клеток, если происходит его резкое повышение, то это может указывать на воспаления в половых органах, пиелит или нефросклероза и пр. В целом любое повышение эпителия в урине детей можно расценивать, как патологию. Но подобные клетки помимо болезни, сопровождаются характерным перечнем симптомов вроде болей, температуры либо мочеиспускательных проблем.

Важным моментом является своевременное обращение к специалисту, ведь запущенные патологии лечению поддаются гораздо сложнее. В индивидуальном порядке пациенту назначается должное лечение. Эпителий встречается у всех пациентов, однако его уровень должен быть минимальным.

Оцените статью: (Пока оценок нет)

gidmed.com

Эпителий в моче

Исследование мочи способно предоставить для диагностики заболеваний максимум информации. Наряду с определением кислотности, удельного веса или прозрачности, проводится изучение и осадка, образующегося через 1-2 часа отстаивания порции мочи. Лаборанты разделяют структурные составляющие осадка на две группы: организованную и неорганизованную. К неорганизованным компонентам относятся элементы неорганической природы (минеральные соли в кристаллической или аморфной форме), к организованным – различные клеточные элементы: лейкоциты, эритроциты, цилиндры, эпителий).

Какие виды эпителия могут быть обнаружены в моче

Любой полостной внутренний орган, кожные покровы и слизистые оболочки, внутренние поверхности кровеносных сосудов и различных каналов обладают наружным слоем, который состоит из эпителиальных клеток. Не исключение и все отделы мочевыделительной системы. Чашечно-лоханочные структуры, мочеточники, мочевой пузырь, мочеиспускательный канал – все эти органы имеют определенный тип клеток эпителия.

Как и во всех тканях организма, в эпителиальном слое мочевых путей постоянно происходят процессы регенерации. Старые клетки, выполнившие свои функции, отмирают и заменяются молодыми элементами. Отторгаясь от стенок, они попадают в просвет каналов и постоянно продвигаются по ним вместе с током урины. В итоге все клетки, подлежащие удалению, оказываются в мочевом пузыре и во время акта мочеиспускания выбрасываются наружу.

Каждый мочевыделительный орган имеет свой тип эпителиальных клеток

Поэтому эпителий в моче всегда должен присутствовать как показатель нормальной (физиологической) регенерации мочевыводящих путей, что и обнаруживает анализ мочи каждого исследуемого человека. У одних пациентов эпительные клетки могут быть в количестве 2-3 штук в поле зрения, у других – несколько больше. По общепринятым лабораторным критериям норма эпителия в моче составляет до 10 клеток.

Поверхность всех отделов мочевыделительной системы выстлана неоднородным эпителием. Его функции и назначение несколько различны, в зависимости от локализации, чем и определяются различия в строении эпителиальных клеток. Поэтому в анализе урины могут обнаруживаться клетки с неодинаковой структурой, что может означать их различное происхождение. В результате в мочевом осадке при микроскопии можно определить следующие типы эпителия:

  • почечный;
  • переходный;
  • плоский.

Превышение их общего количества или какого-либо отдельного вида имеет определенную диагностическую ценность, поэтому во многих случаях эпителий в моче служит дополнительным доказательством различных заболеваний.

Развитие воспалительного процесса в мочевыводящих отделах, воздействие токсинов или нарушения кровоснабжения всегда сказываются на состоянии слизистых оболочек, а значит, и на состоянии эпителиального слоя. При всех этих состояниях происходит поражение и массовое отторжение клеток, которые в большом количестве оказываются в просвете каналов и удаляются с мочой. Их изучение под микроскопом позволяет уточнить особенности строения каждой клетки и констатировать ее принадлежность к определенному типу эпителия. Эти данные – незаменимая информация при диагностике почечных патологий.

Почечный тип эпителия в моче считается нормой только для новорожденных малышей

Почечный эпителий – что это значит

Клетки почечного эпителия в моче не должны быть обнаружены, их появление всегда свидетельствует о серьезной патологии почек. Такой тип строения имеет поверхностный слой слизистой оболочки, выстилающей почечные канальцы, по которым начинает свое движение первичная урина. Наличие почечного эпителия в моче в любом количестве считается нормальным только у новорожденных младенцев в первые 24 часа их жизни. Его присутствие говорит о временном мочекислом диатезе, который развивается в результате влияния гормонов матери на детский организм. Как только эти эстрогены выводятся из организма малыша, так прекращается и выделение клеток почечного эпителия.

При микроскопии можно отметить характерные особенности этих клеток. Они имеют полигональную или округлую форму, зернистую цитоплазму и крупное ядро в виде пузырька. Размер немного превышает лейкоциты.

При исследовании мочи здоровых людей других возрастов данные клетки отсутствуют, но существуют патологии, которые сопровождаются поражением паренхимы и канальцев почек. В этих случаях обнаружение почечного эпителия становится признаком серьезного заболевания, причем чем их больше в поле зрения под микроскопом, тем сильнее поражена паренхима и тяжелее течение болезни, что в дальнейшем определяет прогноз заболевания. Как правило, большое содержание этих клеточных форм в урине наблюдается при следующих заболеваниях:

  • воспалительные патологии (пиелонефрит, гломерулонефрит);
  • мочекаменная болезнь;
  • гемодинамические нарушения в почках (например, при сахарном диабете);
  • отторжение пересаженной почки.

Камни в почках могут вызвать появление почечного эпителия в урине

О чем свидетельствует наличие переходного эпителия в анализе мочи

Следующий тип эпителиальных клеток в моче – переходный, который расположен в нижних отделах мочевыводящего тракта. Другое его название – уротелий, и состоит он из 5-8 клеточных рядов. Ими выстланы почечные лоханки, мочеточники, мочевой пузырь, начальный отрезок мочеиспускательного канала. Такое же строение имеет и верхний слой слизистой оболочки протоков предстательной железы. При нормальном состоянии этих отделов слущивание и отторжение старых клеток происходит постоянно, но в небольших количествах. Поэтому нормальным является обнаружение единичных клеток переходного эпителия в моче, от 1 до 3 в каждом поле зрения. При этом суммарное количество всех типов эпителия не должно превышать 10.

При микроскопии эти морфологические составляющие также имеют свои черты, но в целом они полиморфны. Их форма может быть грушевидной или округлой, могут отмечаться характерные «хвостики», размер небольшой, ядра крупные.

Уротелий состоит из нескольких рядов клеток

Если в анализе мочи уровень переходного эпителиального типа повышен, то можно думать о различных патологиях мочевыводящих путей, встречающихся как у взрослых, так и у детей. Это инфекционные заболевания, злокачественные и доброкачественные новообразования, мочекаменная болезнь, поражение предстательной железы. Но переходный эпителий мочевого пузыря и других отрезков мочевыводящего тракта может иметь транзиторный, или преходящий, характер. Например, при длительном назначении некоторых лекарственных средств (антибиотиков, в частности) или сразу после перенесенного наркоза.

В каких случаях обнаруживается плоский эпителий в моче

Анализ мочи на микрофлору

Этот тип клеток характерен для конечного отрезка мочеиспускательного канала. У мужчин клетки плоского эпителия в моче, как правило, не обнаруживаются, если сбор урины выполнен правильно и для анализа представлена средняя порция. При этом единичные клетки должны вывестись с начальной порцией мочи. У женщин эпителиальные клетки плоского типа присутствуют как в мочеиспускательном канале, так и в слизистой оболочке наружных половых органов и влагалища. Поэтому плоский эпителий в моче у девочек и женщин есть всегда, но в небольших количествах.

Эти клетки обладают большими размерами, полигональной формой и маленькими ядрами. Они не имеют особого значения в диагностике, но их повышенное количество в анализе мочи может свидетельствовать о том, что порция мочи была собрана не совсем правильно. Поэтому правила сбора урины должны соблюдаться неукоснительно, только в этом случае полученные результаты будут играть диагностическую роль.

Общий анализ мочи может быть назначен как для уточнения характера заболевания, так и для проведения планового или диспансерного обследования. В большинстве случаев человек знает об этом заранее и может приложить все усилия, чтобы образец мочи был собран по всем правилам. Так, за один день до сбора урины желательно соблюдать меры, которые помогут сохранить естественный цвет и кислотность мочи. Для этого важно отказаться от пищевых продуктов, способных окрасить жидкость в другой цвет: черника, свекла, морковь, цитрусовые.

Необходимо ограничить соль, пряности, исключить временно витамины, нитрофурановые средства (окрашивают мочу в интенсивно-желтый цвет), мочегонные препараты. Чрезмерная физическая нагрузка накануне сбора мочи может вызвать превышение уровня белковых комплексов в анализе.

Плоскоклеточный эпителий под микроскопом выглядит определенным образом

Утром в день исследования необходимо выполнить следующие действия:

  • не принимать пищу до сбора мочи;
  • промыть наружные половые органы теплой водой с мылом;
  • сбор производится после пробуждения; если это невозможно, то через 2-3 часа после самого первого утреннего мочеиспускания;
  • собирается средняя порция урины в специальный стерильный контейнер или вымытую баночку, при этом начальная и заключительная порции пропускаются в унитаз;
  • емкость закрывается и доставляется в лабораторию утром в день сбора.

Кроме того, необходимо помнить, что женщинам нежелательно собирать мочу во время месячных. Если этого не избежать, то нужно воспользоваться гигиеническим тампоном. После цистоскопии анализ мочи можно осуществлять только через неделю. В некоторых случаях для диагностики требуется собирать не среднюю порцию, а все количество утренней мочи, об этом должен предупредить доктор. Урину важно собирать сразу в емкость, в которой она будет транспортироваться для исследования, отливать ее из горшка или судна не допускается. Желательно доставлять мочу в лабораторию сразу после сбора, но разрешается и кратковременное хранение емкости в холодильнике, не более 2 часов. При более длительной задержке моча теряет свои физические свойства, в ней начинается размножение микроорганизмов.

При соблюдении этих несложных рекомендаций все показатели, в том числе и эпителий в моче, будут наиболее достоверными. В клинической практике, если содержание каких-либо компонентов мочевого осадка высокое, то общий анализ мочи повторяется. Если и в повторных результатах будет слишком много эпителия, лейкоцитов, эритроцитов или белка, то осуществляются дополнительные анализы по другим методикам.

2pochki.com

Эпителий в моче

Норма для современного человека контролировать свои функциональные показатели. Нам много раз приходится сталкиваться со сдачей разнообразных меданализов, начиная с обыкновенных общих и заканчивая дорогостоящими узконаправленными исследованиями. Мы все посещаем лаборатории или пользуемся разнообразными экспресс-методами диагностики. Самые разумные люди проверяют свое здоровье систематически, дабы проверить и исключить возможность развития заболеваний. Такой подход к состоянию здоровья помогает избежать множества неприятностей, бороться с недугами до их превращения в запущенные или до переростания во что-то более страшное.

По простоте, цене и информативности на сегодня лидирующим можно назвать анализ мочи. Результаты такой диагностики помогают провести оценку работы почек, позволяют узнать о состоянии всего организма. Современные лаборатории, по необходимости, могут провести много разных анализов:

  • Общий клинический анализ мочи. Создан для изучения органолептических (количество, цвет, запах…), физико-химических (плотность и кислотность), биохимических (белок, глюкоза, креатинин…), микроскопических (эпителий, эритроциты, лекоциты…) и микробиологических (бактерии) параметров.
  • Анализ мочи по Нечипоренко. Чаще всего назначают для проверки параметров, результат которых повышен в общем, и постановка окончательного диагноза затруднительна. Помогает выявить пиелонефрит, цистит и другие недуги, которые сопровождаются попаданием крови в мочу.
  • Анализ по Зимницкому. Необходим для фиксирования суточного диуреза (объем мочи выведенный за конкретный промежуток времени).
  • Анализ по Сулковичу. Очень распространен в педиатрии для выявления количества Са у ребенка. Если уровень кальция в детском организме повышен, значит происходит избыточное получение витамина D.
  • Бактериологический посев. Производится для высеивания бактерий из заданного образца.

В урине можно найти такие соединения, вещества и организмы как:

  • белки. Встречается только при заболеваниях мочеполовой системы. Очень опасен белок для женщин в период беременности на любом триместре.
  • глюкоза. В наличии у людей, страдающих сахарным диабетом, или при некоторых почечных заболеваниях (например, амилоидоз и нефрит).
  • креатинин. У мужчин норма 74 — 110, норма у женщин – 44 — 80, младенец – 18 – 35, дети до четырнадцати – 27 — 62. Нарушение норм (повышенный или пониженный креатинин) указывает на сбои функционирования почек.
  • кетоны (ацетон, ацетоуксусная и оксимаслянная кислоты). Кетоны  получаются, если процесс расщепления белков и жиров происходит неполный. Наличие кетонов указывает на несоблюдение сбалансированности рациона, бывают предвестниками сахарного диабета, интоксикации организма или даже о рака желудка.
  • билирубин. Должен отсутствовать. Присутствие билирубина извещает о печеночных недугах (гепатит, цирроз) или поражении желчевыводящих путей.
  • уробилиноген. Его наличие свидетельствует о дисфункции кишечника, некоторых инфекциях, сепсисе, тяжелых поражениях печени.
  • эритроциты. У мужчин может выявляться одна единица и до трех единиц норма у женщин. Повышенный показатель предвещает гломерулонефрит, инфаркт почки, мочекаменную болезнь, рак органов мочеполовой системы.
  • лейкоциты. У мужчин обнаруживаются до трех единиц, у женщин – до шести единиц. Повышенный лейкоцитоз информирует о прохождении воспалительных процессов,  о серьезных недугах мочеполовых органов (пиелонефрит, простатит, цистит, рак).
  • гемоглобин. Должен отсутствовать. Предупреждает о гемолитической болезни, малярии, инфаркте миокарда, интоксикации некоторыми веществами.
  • цилиндры. Единичное обнаружение считается в порядке нормы. В случае превышения количества, то по виду цилиндра  (гиалиновый зернистый восковидный эритроцитарный и эпителиальный) судят о множестве разных отклонений.
  • эпителий. Обнаруживается не больше десяти единиц, правда такая норма принята только для некоторых видов эпителия (например, плоский или переходный). Если этот параметр выше, то это аномалии функционирования почек и  мочевого пузыря.
  • соли. Разные виды наличествующих солей (оксалаты, ураты, фосфаты) способствуют появлению разнообразных аномалий и нарушений.
  • бактерии. Высеиваются при наличии инфекций, провоцирующих простатит, цистит, пиелонефрит.
  • грибы. Присутствуют при разных инфекциях, долгом применении антибиотиков или при иммунодефицитных состояниях.
  • амилаза. Норма до 17 единиц для мужчин и женщин. Отклонения свидетельствуют о панкреатите.

Это основные параметры, изучаемые в процессе проведения исследования урины. Со многими параметрами мы сталикавемся постоянно, с некоторыми очень редко. Об одном из редких явлений – эпителии в моче расскажем подробней.

Эпителии в моче

Все знают о строении, функциях и местах расположения эпителиального слоя. Он бывает однослойным (плоским, кубическим призматическим) и многослойным (ороговевающим и неороговевающим) и переходным Клетки эпителия, покрывающие мочеполовую систему человека, со временем могут отслаиваться. Такой процесс способствует его попаданию в осадок мочи. Микроскопические исследования выявляют три вида клеток: плоские, переходные и почечные.

Что значит присутствие плоского эпителия?

Обнаружение небольшого количества плоских клеток не вызывает опасений, особенно часто такое встречается в материале, взятом у женщин и связано с анатомическими особенностями.

Если этот фактор повышен, значит есть воспалительные процессы (простатит, цистит, уретрит) или гинекологические недуги.

Что значит нахождение переходных клеток?

Такие клетки покрывают мочевой пузырь, уретру, мочеточники, лоханки почек и протоки предстательной железы. Небольшое число таких эпителий не требует никаких лечебных действий. Если же переходный эпителий повышен, значит, человек столкнулся с признаками цистита, мочекаменного недуга, а может даже онкологическим заболеванием.

Часто встречается, что в образцах здоровых людей обнаруживают плоский и/или переходный эпителий. Такое явление связано с неправильным забором мочи. Чтобы ваш анализ дал правильный результат нужно соблюдать правила его получения. Урину собирают по утрам, сделав все гигиенические процедуры. Емкость для сбора нужна чистая, лучше стерильная.

Что значит  почечный эпителий?

Такими клетками покрыты почечные канальца в паренхиме. Если в исследовании происходит выявление таких клеток, то это однозначное отклонение. Исключением будет анализ ребенка в первые дни жизни, ведь организм новорожденного выводит оставшиеся гормоны матери. В остальных случаях появление этих эпителий в моче означает протекание воспалительных процессов (пиелонефрит, гломерулонефрит) или даже тяжелых поражений (ишемическое поражение почки при сахарном диабете).

Что значит выявление эпителий у ребенка?

У ребенка в норме будет не больше чем три эпителии в моче, причем как плоских клеток, так и переходных (кубических или цилиндрических). Повышенный показатель в разных комбинациях указывает на разные болезни.

  1. Повышен только плоский эпителий, значит может присутствовать уретрит, цистит и воспаления половых органов.
  2. Увеличение переходного эпителия при нормальном или повышенном плоском эпителии происходит при инфекции или воспалении (цистит, пиелонефрит, мочекаменная болезнь).

Обнаружение почечных эпителий в моче ребенка выявляет аномалии работы почек (пиелонефрит, нефросклероз, туберкулез почек, врожденные патологии) или мочевыводящих путей.

Такие заболевания кроме эпителий в моче имеют богатую симптоматику (боли при мочеиспускании, задержка или недержанием мочи, отеки, нарушением других параметров в исследованиях урины и крови.

Также клетки определяются при:

  • застое урины во время стресса или самопроизвольном удержании;
  • пузырно-мочеточниковом рефлюксе (выброс мочи из мочевого пузыря обратно в почки);
  •  отложении солей;
  • интоксикации организма;
  • использовании катетера при получении материала;
  • проблемах с кровообращенем;
  • неправильном сборе урины;
  • нарушении правил транспортировки материалов.

Здравомыслящие родители должны знать и учитывать факторы, которые стают первопричиной таких заболеваний. Это:

  1. Наследственная предрасположенность. Повышенный риск появления отклонений возможен, если в семье тоже есть такие недуги.
  2. Патологии при протекании беременности.
  3. Недоношенность.
  4. Отклонения в родах (асфиксия).
  5. Врожденные пороки развития.
  6. Стафилококковые и стрептококковые инфекции (ангина, фурункулез, хронический тонзиллит).
  7. Другие перенесенные инфекции.

Если есть такие факторы, то необходима консультация профильного специалиста (нефролог, уролог) и, желательно, систематический мониторинг состояния здоровья ребенка.

www.mymocha.ru

Переходный эпителий в моче что это значит

Эпителий в моче — что это значит?

Виды

Плоский. Самая распространенная форма, клетки крупные, плоские, округлой формы, на вид бесцветные. В урине могут обнаружиться в виде пластов либо в форме единичных структур. Такие клетки всегда есть в женской моче, куда они попадают из мочеиспускательного канала или влагалища. У мужчин такой эпителий проникает в урину из нижних отделов уретры. Если содержание плоского эпителия в урине превышено, то это часто свидетельствует о развитии инфекционных поражений мочевыводящих структур. Плоский эпителий в мочеПереходный эпителий. Его клеточные структуры бывают различных форм и параметров, отличаются желтоватым цветом. Подобный эпителий покрывает поверхность почечных лоханок и мочеточников, верхних отделов уретры. При повышении таких эпителиальных клеток говорят о развитии пиелонефрита или цистита, а также мочекаменной патологии. Также переходный эпителий в урине может указывать на развитие полипов, гепатита или камнеобразование.

Переходный эпителий в мочеПри обнаружении в урине у любого пациента почечных эпителиальных клеток обычно диагностируют паренхиматозные почечные патологии. Кроме того, почечный тип эпителия указывает на инфекционные процессы в почках и мочеполовой системе, гломерулонефрит либо пиелонефрит и прочие патологии. Обычно такой эпителий в урине сопровождается гипертермическими признаками.

Методы диагностики

Норма

Для женщин считается нормальным содержание в урине до 10 единиц эпителия, а для беременных и того меньше – около пяти. Что касается сильного пола, то для них вариантом эпителиальной нормы в моче считается наличие не больше 3 единиц. Норма для новорожденного ребенка составляет порядка десятка эпителиальных клеток, но на втором месяце жизни они начинают снижаться, составляя в норме уже 0-3 единицы.

К примеру, у женщин незначительное превышение нормы эпителия может наблюдаться даже при отсутствии каких-либо мочеполовых и мочевыводящих патологий. Подобные клетки проникают в мочу из уретры. Если же показатели эпителия у женщин значительно превышают норму, то можно говорить о развитии цистита, который сопровождается болезненной симптоматикой, нарушением мочеиспускания, его частыми позывами, гематурией и пр. Обычно моча при этом становится мутной и неприятно пахнущей. Подобная симптоматика часто указывает на уретрит, молочницу либо половые инфекции. У мужчин в норме клетки плоского эпителия в моче не должны присутствовать в урине (не больше трех). Если же они обнаруживаются в больших количествах, то доктор может предположить наличие мочеполовых инфекций и воспалительных заболеваний вроде цистита либо гломерулонефрита и пр. У одномесячных детей нормальным считается показатель в 0-10 клеток, если происходит его резкое повышение, то это может указывать на воспаления в половых органах, пиелит или нефросклероза и пр. В целом любое повышение эпителия в урине детей можно расценивать, как патологию. Но подобные клетки помимо болезни, сопровождаются характерным перечнем симптомов вроде болей, температуры либо мочеиспускательных проблем.

Анализы мочи – это обязательная процедура для того, чтобы выяснить общее состояние организма и наличие каких-либо заболеваний. Один из показателей данного анализа – эпителий.

Он является клеточным слоем, выстилающим кожные поверхности, слизистые внутренних органов и систем. Эпителий имеет свои характерные особенности и строение.

В моче у каждого человека присутствуют данные клетки, они попадают в нее через уретру. Резкое увеличение данного показателя может стать сигналом о присутствии в организме какой-либо инфекции. Сам по себе данный элемент практически не несет никакой информации, но в совокупности с другими показателями, он может стать сигналом о воспалительных процессах, которые протекают в организме. Что это значит мы рассмотрим чуть ниже.

Классификация

Помимо количества, в рамках общего анализа мочи определяется и тип эпителия, который выделяется вместе с мочой. В этой биологической жидкости при микроскопии можно обнаружить три типа эпителиальных клеток.

Плоский эпителий – выстилает уретру – их количество повышается при воспалении мочеиспускательного канала (уретрит). Переходный эпителий – покрывает главным образом стенки мочевого пузыря, а также мочеточников, протоков предстательной железы, почечных лоханок. Также, как и клетки плоского эпителия, данный тип форменных элементов встречается в анализе мочи в единичном количестве. Резкое увеличение количества этого типа эпителия говорит о цистите, пиелонефрите, простатите, мочекаменной болезни. Помимо заболеваний, на количество этих клеток в моче могут влиять некоторые другие факторы. Почечный эпителий – выстилает канальцы почек – в моче здорового человека обнаруживаться не должен вовсе. Допускается наличие представленного вида эпителиальных клеток для детей возрастом до 1 месяца в количестве от 1 до 10 штук. Выявление почечных клеток в моче человека указывает на поражение паренхимы почек.).

Определение эпителиальных клеток в моче требует от лаборанта особой точности – ведь даже если количество на первый взгляд нормально, необходимо правильно определить тип клеток – от этого зависит диагноз и оценка тяжести состояния человека.

Норма эпителия в моче

У женщин и мужчин эпителиальные клетки всегда встречаются в анализе. Попадают они туда, слущиваясь со слизистой оболочки мочевыводящих путей. В зависимости от происхождения выделяют переходный vtc (мочевой пузырь), плоский (нижние отделы мочевыводящих путей) и почечный (почки) эпителий. Увеличение эпителиальных клеток в мочевом осадке говорит о воспалительных заболеваниях и отравлениях солями тяжелых металлов.

Норма эпителия в моче:

у детей 0-1/ Negative; у мужчин и женщин 0-1-2-3 в поле зрения.

От количества найденного в моче эпителия зависит, есть ли патология в организме. Показатель не более 3 единиц означает, что человек полностью здоров. Если клеток эпителия больше, то предварительно диагностируется воспаление мочеиспускательного канала, что довольно часто наблюдается у мужчин.

Вызывается болезнь вирусами и бактериями. У женщин такое количество эпителиальных клеток не всегда означает наличие болезни. Часто проводят повторный анализ: может быть так, что пациентка неправильно сделала забор мочи.

Как правильно сдать анализ?

Нередко клетки плоского эпителия выявляются в урине в результате неправильной подготовки к сдаче анализа.

Передать емкость с мочой в лабораторию нужно в течение 1-2 часов после мочеиспускания. При менструации лучше воздержаться от сдачи анализа. Сбор мочи проводится только в чистую (желательно стерилизованную) емкость, достаточное количество мочи – 100 мл.

Основное правило, которого нужно придерживаться, – проведение гигиенических процедур наружных половых органов до сбора мочи.

Причины повышенного плоского эпителия в моче

Если обнаружены клетки плоского эпителия в моче выше нормы, это значит наличие воспалительного процесса. Вот заболевания, которые диагностируют у взрослых, если анализ указывает на высокие показатели:

Нефропатия лекарственного характера. Структурные и функциональные изменения почек, развивающиеся на фоне фармакологической терапии. Нефропатия (заболевание почек, при котором нарушено их функционирование) дисметаболического характера. Заболевание, связанное со структурными и функциональными нарушениями почек, развивающиеся на фоне нарушения обмена веществ, сопровождающегося кристаллурией. Цистит — воспаление мочевого пузыря, вызванное мочевой инфекцией. Другие уретриты различной этиологии, например, простатит (у мужчин).

Если повышено значение у женщин, то это не всегда означает наличие серьезного заболевания (одного из вышеперечисленных), в то время как для мужчины это является тревожным сигналом для его здоровья.

Почечный эпителий в моче: причины

Если найдена увеличенная концентрация почечного эпителия в моче, то этот факт идентифицирует о происходящих заболеваниях почек в организме, например, о поражении паренхимы почек, потому как почечный эпителий образовывает поверхность канальцев у почек. Причиной воспалений является интоксикация, инфекции, пиелонефриты, сбой кровообращения, гломерулонефриты.

Если у пациента была произведена трансплантация почки, а через три дня результат анализа показывает наличие почечной разновидности, и его содержание 15 и выше в поле зрения, то этот факт говорит о возможности отторжения аллотрансплантата.

Переходный эпителий в моче: причины

Переходный эпителий выстилает лоханки почек, мочеточники, мочевой пузырь, крупные протоки предстательной железы и верхний отдел мочеиспускательного канала. Клетки переходного эпителия в моче здоровых встречаются людей в единичном количестве.

Увеличение количества клеток переходного эпителия может наблюдаться при цистите, пиелонефрите, почечнокаменной болезни. Нормы переходного эпителия не имеют подразделений в соответствии с возрастом и полом. Максимальное количество для здорового человека – это не более 3 клеток в моче.

Норма эпителия в моче

ВАЖНО ЗНАТЬ!

НЕПРИЯТНЫЙ ЗАПАХ МОЧИ или НЕОБЫЧНЫЙ ЕЁ ЦВЕТ в 90% случаев — признак наличия в организме опасных ПАРАЗИТОВ. В своей программе Елена Малышева рассказала как спастись от этих тварей и защитить свою семью. >>>

Если женщина не имеет каких—либо патологий мочеполового характера, то норма эпителия для нее составляет не более 10 единиц. Для беременных этот показатель может уменьшиться до 5 единиц. Среди мужского населения, по сравнению с женским организмом эпителий в их анализе мочи должен равняется не более трем единицам. Если этот показатель выше, значит, можно говорить о наличие у них патологического процесса. Такое часто случается в послеоперационные моменты или при применении медикаментов. У новорожденных детей значение клеток эпителия равняется 10 единицам, далее по мере развития и роста младенца его становиться меньше. То есть норма эпителия снижается до 0–3 единиц. Что характеризуется наличием стрессовой ситуации у ребенка после рождения не связанное с заболеваниями.

Причины эпителиального осадка

Классификация

ПАРАЗИТЫ, которыми заражены 7 из 10 россиян, главный виновник резкого запаха мочи, выделений и болезней почек. Узнайте, что советует в передаче «Жить Здорово» Елена Малышева… >>>

Методы диагностирования

Ультразвуковое сканирование органов системы мочевыделения. Сдача крови на биохимический анализ. Иные исследования общего характера.

Повод сходить на прием

К первому типу относится плоский эпителий. Часто указывающий на такие болезни, как острое либо хроническое воспаление простаты у мужчин. Включая инфицирование органов мочевыделения, или почечных воспалений независимо от пола.

Второй тип — переходный эпителий. Зачастую его следы в урине обнаруживаются при почечных полипах, опухоли или камнях. Включая вирусный гепатит или иные болезни подобного характера. Эпителий почечного характера — это третий тип. В моче содержится по причине развивающегося воспалительного процесса, инфекций. Часто может протекать одновременно с симптомами повышенной температуры тела. Основная причина его такова, отравление после приема медикаментов, попадания, в организм химических веществ вызвавшие у человека признаки интоксикации.

Что необходимо сделать

ПРОБЛЕМЫ С МОЧОЙ?

Похожие публикации


Смотрите также