Что такое флюорография легких

Что такое флюорография легких[Что такое флюорография легких]

Флюорография легких

Флюорография легких – исследование органов грудной клетки с помощью рентгеновских лучей, проникающих через легочную ткань и переносящих на пленку посредством флюоресцирующих микроскопических частиц рисунок легких.

Проводят подобное исследование лицам, достигшим 18 лет. Периодичность его проведения – не чаще 1 раза в год. Это правило касается только проведения флюорографии здоровых легких, когда дообследование не требуется.

Считается, что флюорография легких – не достаточно информативное обследование, но полученные с ее помощью данные позволяют выявить изменения в строении легочной ткани и стать поводом для дальнейшего более подробного обследования.

Органы грудной клетки по-разному поглощают излучение, поэтому снимок выглядит неоднородным. Сердце, бронхи и бронхиолы выглядят светлыми пятнами, если легкие здоровые, флюорография отобразит легочную ткань однородной и равномерной. А вот если в легких воспаление, на флюорографии, в зависимости от характера изменений воспаленной ткани, будут видны либо затемнения – плотность легочной ткани повышена, либо будут замечены высветленные участки – воздушность ткани достаточно высока.

Флюорография легких курильщика

Установлено, что изменения в легких и дыхательных путях незаметно происходят даже после первой выкуренной сигареты. Поэтому курильщикам – людям, находящимся в зоне повышенного риска по части легочных заболеваний, настоятельно рекомендуется проходить флюорографию легких ежегодно.

Не всегда флюорография легких курильщика сможет показать развитие патологического процесса на ранней его стадии – в большинстве случаев он начинается не с легких, а с бронхиального дерева, но, тем не менее, подобное исследование позволяет выявить опухоли и уплотнения в легочной ткани, появившуюся в полостях легких жидкость, утолщение стенок бронхов.

Переоценить важность прохождения такого обследования курильщиком сложно: своевременно обнаруженное с помощью флюорографии воспаление легких, дает возможность назначить как можно раньше необходимое лечение и избежать серьезных последствий.

Читайте также:

8 факторов, вредящих здоровью легких

Правда и мифы о туберкулезе

5 мифов о рентгенологических исследованиях

Расшифровка флюорограммы после прохождения флюорографии легких

Результаты флюорографии готовят обычно несколько дней, после этого полученную флюорограмму рассматривает рентгенолог и в том случае если была проведена флюорография здоровых легких, на дальнейшее обследование пациента не отправляют. В противном случае, если рентгенолог обнаружил изменения легочной ткани, человека могут отправить для уточнения диагноза на рентгенографию или в противотуберкулезный диспансер.

К снимку, полученному после флюорографии легких, прилагается заключение рентгенолога, в котором могут значиться такие формулировки:

  • Корни расширены, уплотнены. Корни легких формируют лимфатические узлы и сосуды, легочная вена и артерия, главный бронх, бронхиальные артерии. Уплотнение в этой области при общем удовлетворительном состоянии здоровья указывает на бронхит, воспаление легких и другие воспалительные, возможно хронические процессы.
  • Корни тяжисты. Чаще всего такое заключение после проведенной флюорографии легких указывает на бронхит или другой острый/хронический процесс. Такое изменение легочной ткани часто обнаруживают на флюорографии легких курильщика.
  • Усиление сосудистого (легочного) рисунка. Легочный рисунок образуют тени вен и артерий легких и если кровоснабжение из-за воспаления усилено, а это может и бронхит, и начальная стадия рака, и воспаление легких, на флюорографии заметно, что сосудистый рисунок слишком выделяется. Кроме этого, выявленное на флюорографии легких усиление рисунка может указывать и на проблемы сердечнососудистой системы.
  • Фиброзная ткань. Обнаруженная соединительная ткань в легких говорит о том, что ранее человек перенес заболевание легких. Это могла быть травма, инфекция или операция. Несмотря на то, что подобное заключение указывает на потерю части легочной ткани, такой результат часто дает флюорография здоровых легких.
  • Очаговые тени. Так называют затемнения области легких на флюорограмме размером до 1 см. Если очаги обнаружены в нижних и средних отделах легких, это может быть пневмония. На сильное воспаление указывает такая формулировка в заключении флюорографии легких: «неровные края», « слияние теней», «усиление сосудистого рисунка». Если же очаги больше ровные и плотные, значит, воспалительный процесс идет на спад. Если очаги обнаружены в верхних отделах легких, это может указывать на туберкулез.
  • Кальцинаты. Так называют округлые по форме тени, напоминающие по плотности костную ткань. Опасности подобные явления не представляют, а лишь говорят о том, что у пациента был контакт с больным пневмонией, туберкулезом, зараженным паразитами и т.д., но организм не дал развиться инфекции, а изолировал бактерии-возбудители под отложениями солей кальция.
  • Плевроапикальные наслоения, спайки. Обнаруженные на флюорографии легких структуры из соединительной ткани – спайки, в большинстве случаев также не требуют лечения, а лишь указывают на воспаление в плевре в прошлом. Иногда спайки вызывают болезненные ощущения, в этом случае следует обратиться за медицинской помощью. Плевроапикальными наслоениями называют утолщения верхушек легких, и они также указывают на то, что человек перенес воспаление, затронувшее плевру (чаще всего это туберкулез).
  • Синус запаян или свободен. Плевральные синусы – это образованные плевральными складками полости. Если легкие здоровые, флюорография покажет, что синусы свободны. Но иногда наблюдаются скопление жидкости (в этом случае требуется лечение) или запаянные спайки.
  • Изменения диафрагмы. Такое заключение после флюорографии легких дают в том случае, если у человека обнаружена аномалия диафрагмы, которая могла развиться из-за плохой наследственности, ожирения, деформации спайками, после перенесенных плеврита, болезней печени, пищевода, кишечника или желудка. В этом случае обычно назначают дополнительное обследование.
  • Тень средостения смещена или расширена. Средостением называют пространство между легкими и органы в нем находящиеся — это аорта, пищевод, сердце, трахея, лимфатические сосуды, узлы, железа вилочковая. Расширение тени средостения наблюдается из-за увеличения сердца, гипертонии, сердечной недостаточности, миокардита. Смещение средостения может указывать на неравномерное скопление воздуха или жидкости в плевре, большие новообразования в легких. Подобное заключение флюорографии легких указывает на то, что необходимо немедленно пройти дообследование и лечение.

Нашли ошибку в тексте? Выделите ее и нажмите Ctrl + Enter.

Поделиться:

Знаете ли вы, что:

Согласно исследованиям, женщины, выпивающие несколько стаканов пива или вина в неделю, имеют повышенный риск заболеть раком груди.

Каждый человек имеет не только уникальные отпечатки пальцев, но и языка.

Упав с осла, вы с большей вероятностью свернете себе шею, чем упав с лошади. Только не пытайтесь опровергнуть это утверждение.

Препарат от кашля «Терпинкод» является одним из лидеров продаж, совсем не из-за своих лечебных свойств.

В стремлении вытащить больного, доктора часто перегибают палку. Так, например, некий Чарльз Йенсен в период с 1954 по 1994 гг. пережил более 900 операций по удалению новообразований.

Самая высокая температура тела была зафиксирована у Уилли Джонса (США), который поступил в больницу с температурой 46,5°C.

Для того чтобы сказать даже самые короткие и простые слова, мы задействуем 72 мышцы.

Существуют очень любопытные медицинские синдромы, например, навязчивое заглатывание предметов. В желудке одной пациентки, страдающей от этой мании, было обнаружено 2500 инородных предметов.

Если улыбаться всего два раза в день – можно понизить кровяное давление и снизить риск возникновения инфарктов и инсультов.

Когда влюбленные целуются, каждый из них теряет 6,4 ккалорий в минуту, но при этом они обмениваются почти 300 видами различных бактерий.

Желудок человека неплохо справляется с посторонними предметами и без врачебного вмешательства. Известно, что желудочный сок способен растворять даже монеты.

По статистике, по понедельникам риск получения травм спины увеличивается на 25%, а риск сердечного приступа – на 33%. Будьте осторожны.

Общеизвестный препарат «Виагра» изначально разрабатывался для лечения артериальной гипертонии.

Люди, которые привыкли регулярно завтракать, гораздо реже страдают ожирением.

При регулярном посещении солярия шанс заболеть раком кожи увеличивается на 60%.

Родителям на заметку: что нужно знать о гриппе и ОРВИ

Известно, что дети болеют в 5-10 раз чаще, чем взрослые. Поэтому опытным родителям знакомы симптомы и даже методы лечения большинства детских недомоганий. Но да…

Что показывает флюорография лёгких: болезни, расшифровка

Каждый человек сталкивается с необходимостью прохождения флюорографии.

Что же из себя представляет процедура, называемая флюорографией, и для чего она нужна? Это исследование грудной клетки, проводимое с использованием рентгеновских лучей. Делается оно для выявления заболеваний органов дыхания.

Причины проведения флюорографии могут быть разными – от регулярного обязательного снимка до назначения врача при подозрении на заболевание дыхательных путей и органов, с ними связанных.

Основания для проведения флюорографии

В основном регулярная флюорография грудной клетки проводится ежегодно для любого взрослого человека старше 15 лет, но есть определённые категории пациентов, которым снимок необходимо делать каждые 6 месяцев. К ним относятся:

  • пациенты, у которых диагностирован рак лёгких;
  • больные туберкулёзом и люди при подозрении на заболевание;
  • человек, перенёсший бронхит или воспаление лёгких;
  • курильщики, имеющие большой стаж;
  • люди с хроническими заболеваниями (язвы желудочно-кишечного тракта, ВИЧ, астма).

До возраста 15 лет диагностику туберкулёза проводят реакцией Манту, а патологии дыхательных путей – с помощью рентгеновских снимков.

Для проведения флюорографии особой подготовки не требуется, необходимо снять с себя украшения, крестик, металлические пуговицы и другие предметы, которые могут повлиять на точность исследования, и снять всю одежду до уровня пояса. А во время выполнения снимка необходимо выполнять указания врача (не двигаться и не дышать во время процедуры).

Противопоказанием к осуществлению флюорографии является беременность в 26 недель и меньше (в связи с последующими возможными патологиями у ребёнка).

Исключение составляет экстренная диагностика органов дыхания, которая является жизненно важной для здоровья женщины. В этом случае живот закрывается защитным свинцовым фартуком.

Хотя кормящим женщинам исследование не противопоказано, но в период грудного вскармливания нужны серьёзные причины для назначения обследования. А в некоторых медучреждениях могут вообще отказать в проведении флюорографии мамам с детьми до 6 месяцев.

О чём рассказывает снимок

Процедура является абсолютно безболезненной и достаточно быстро выполняется. Флюорография лёгких показывает наличие заболеваний. Заключение о состоянии органов дыхания может делать только врач-специалист, он внимательно проверяет снимок, но даже плохо знакомый с медициной человек может увидеть, что, если снимок лёгких однороден и нет затемнений, то всё должно быть в норме. Иногда полученный снимок может дополняться следующими формулировками:

  • «расширены и уплотнены корни». Симптом, который означает бронхит, воспаление лёгких, других воспалительных процессов, иногда хронических;
  • «усилен сосудистый рисунок». Повышенный кровообмен может появиться из-за воспаления, который может быть вызван пневмонией, бронхитом, раком в начальной стадии;
  • «наличие фиброзных тканей». Присутствие этого симптома указывает на перенесение человеком заболеваний лёгких. Чаще всего данное проявление присутствует у людей, которые имеют здоровые лёгкие;
  • «наличие кальцинатов». Кальцинаты – участки на снимке, выглядящие как костная ткань. Их наличие свидетельствует о том, что на их месте присутствовало воспаление. Эти образования изолируют инфекцию от организма;
  • «изменение местонахождения и формы средостения». Средостение – это место между лёгкими. В этом месте находится сердце, трахея, лимфоузлы и другие органы. Изменение тени средостения указывает на патологии или говорит об увеличении сердечного объёма.

Затемнение в форме пятна может указывать на рак, а увеличение купола диафрагмы говорит о необходимости дальнейших исследований.

Иногда результаты флюорографии показывают возрастные изменения.

Также если снимок является чистым, ничего не может показать, а жалобы у пациента есть, то это тоже может свидетельствовать о патологии, и врач назначит анализ состава крови и другие исследования.

Какие болезни лёгких удаётся выявить с помощью флюорографии

Процедура помогает определить болезни лёгких. К ним относятся:

  1. Рак.
  2. Туберкулёз.
  3. Бронхит.
  4. Фиброз.
  5. Инородные тела.

Исследование позволяет установить ранние стадии туберкулёза, которые очень сложно обнаружить с помощью фонендоскопа.

Существуют особые коды флюорографии, расшифровать которые может только специалист.

Также с помощью флюорографии можно обнаружить болезни сердца. Методов диагностики патологий этого органа существует множество, но иногда именно данная процедура выявляет проблемы с сердцем. Следует знать, что небольшой сдвиг органа в сторону допускается у пациентов с чрезмерным весом и нарушением не является.

Флюорография не относится напрямую к методам исследования в кардиологии, и при обнаружении неполадок во время проведения процедуры врач назначит дополнительные исследования.

Хотя обнаружить туберкулёз в массовом виде сложно, потому что большинство людей, проходящих обследование, не контактируют с носителями туберкулёза (переселенцы, лица, неимеющие постоянного места жительства, люди, освободившиеся из мест заключения).

Стоит сказать также о том, что ни один онколог не сможет по снимку выявить рак на ранних стадиях. На флюорограмма не видно такого точного изображения, чтобы на ней обнаружить микроскопические изменения тканей органов.

Степень влияния облучения на человека

Говорить о том, что процедура совсем не оказывает действие на организм, нельзя.

Уровень полученного излучения намного ниже потенциально опасного для здоровья и жизни людей. Человек, находящийся в самолёте, получает дозу излучения выше, чем при флюорографии.

Большое значение имеет современность аппарата, с помощью которого проводится исследование. Цифровые установки нового поколения оказывают воздействия на организм намного меньше, чем оборудование старого образца. По последним данным, точность флюорографии, выполненной на новейших аппаратах, выше на 15%.

Также большим удобством является то, что результаты процедуры можно хранить в течение длительного времени. К тому же использование цифровых аппаратов помогает снизить себестоимость исследования и во много раз увеличить пропускную способность кабинета, в котором проводится исследование.

Проводит процедуру врач-рентгенолог. Он выполняет полный цикл диагностики: от снимка на рентгеновской плёнке до проверки и расшифровки результатов и постановки диагноза. В помещении, где находятся рентгеновские установки и флюорографическая установка, соблюдаются особые меры безопасности. Врач и лаборант должны использовать средства защиты и вносить данные о полученных дозах излучения в таблицу отдельного журнала. Посторонние лица в кабинет не допускаются. А исследование проводится только одного человека.

При традиционном проведении процедуры есть существенный недостаток — низкая информативность снимка, а также высокая вероятность брака. Утверждение о том, что флюорография вредная для здоровья, является спорным. По этому поводу мнения врачей диаметрально противоположны. Во многих странах традиционный плёночный снимок уже давно не применяется.

В соответствии с действующим законодательством, человек имеет право отказаться от проведения данной процедуры. Для этого он должен написать заявление на имя руководителя учреждения здравоохранения, указав причину отказа.

Каждый для себя решает сам, необходимо ли проходить данную процедуру или нет. Но стоит всегда помнить о том, что лучшее лечение заболевания — это его профилактика.

Плохая флюорография – повод для немедленного визита к врачу.

Берегите своё здоровье и здоровье своих близких.

Разница между рентгеном и флюорографией лёгких

Многие люди часто задаются вопросом: чем отличается рентген от флюорографии? Одни считают, что это одно и тоже, другие полагают, что используется различное излучение, а третьи и вовсе предполагают, что это два кардинально разных метода исследования грудной клетки. Итак, чтобы не вводить никого в заблуждение, давайте подробно разберём, какие же существуют отличия флюорографии от рентгена.

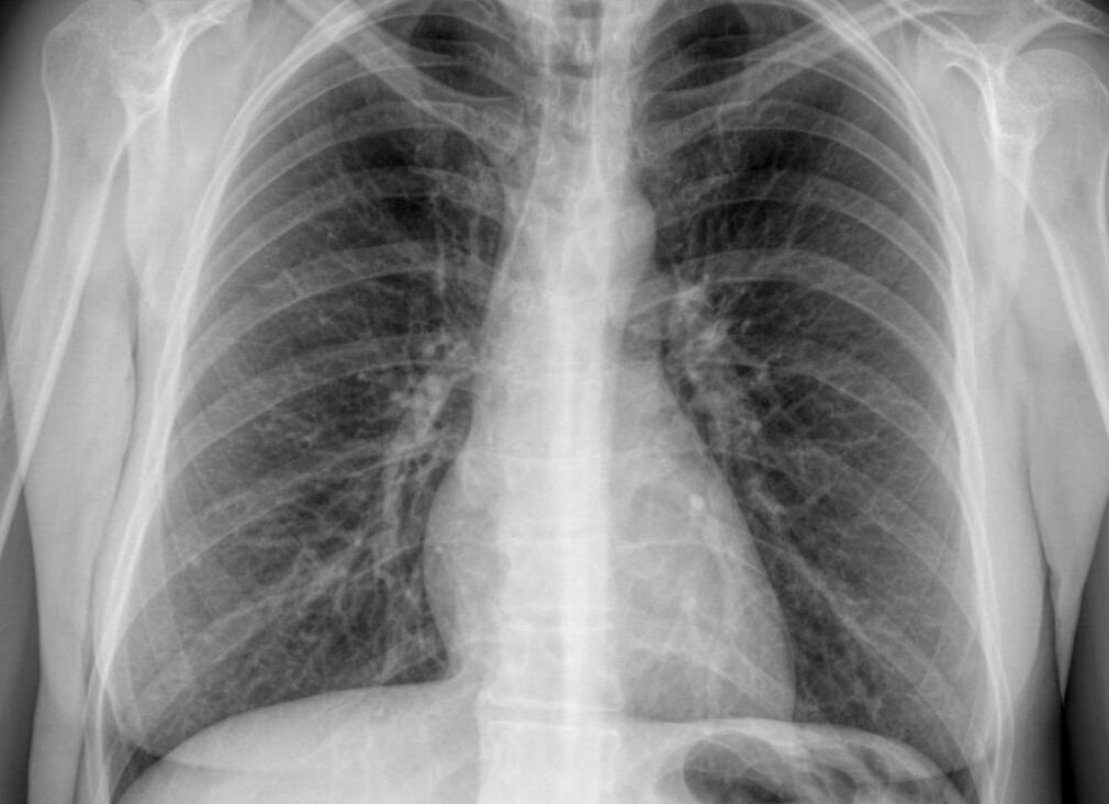
Снимок флюорографии лёгких.

Для начала нужно понять, что есть флюорография. Если говорить простым языком, то тут используется метод фотографии. Радиоактивные лучи, проходя сквозь грудную клетку, преобразуются и изменяют свою длину, благодаря чему они становятся видимыми и фокусируются на специальную плёнку.

В результате получается изображение, дающее общее представление о состоянии жизненно важных органов, находящихся за грудной клеткой, таких как сердце и лёгкие. Тем не менее при серьёзных отклонениях можно выявить патологии вилочковой железы и бронхов. Что касается проведения данной процедуры для других органов, то методика практически не используется.

В последнее время всё чаще можно сделать флюорограмму на оборудовании с цифровой съёмкой. Результат в таком случае будет более достоверным, а доза облучения совсем небольшой. Но сегодня далеко не все современные клиники смогли позволить себе перейти на новой уровень флюорографии.

Рентген лёгких при туберкулёзе.

В России на законодательном уровне введено ежегодное обследование с целью выявления туберкулёза. Используя данный метод, можно выявить опасные зоны, подозрение на воспаление лёгких или новообразования в них. Чтобы увидеть более четкую картину и подтвердить или опровергнуть предположительный диагноз при плохих результатах скрининга, человека обычно отправляют на рентген. Тут то и возникает вопрос: что лучше – флюорография или рентген лёгких.

Просвечивание тела с помощью рентгеновских лучей является более точным и надёжным способом узнать о здоровье лёгких и сердца. Степень облучения при проведении скрининга в два раза меньше, чем при флюорограмме. В результате получаем снимок в натуральную величину, который даёт полную картину, в отличие от флюорограммы.

В чём разница рентгена и флюорографии, почему при множестве плюсов на законодательном уровне закреплено ежегодное прохождение второго метода, а не первого? Всё достаточно просто – основное отличие рентгена лёгких и флюорографии – это цена.

Один рентгеновский снимок и шесть результатов флюорографии будут стоить одинаково.

В перерасчёте на душу населения разница выходит существенная. Но для здорового человека полученное излучение раз в год от флюорографии вреда не несёт, при этом в случае подозрения на какое-либо заболевание пациента обязательно направят на рентген.

Дозы излучения

Говоря о том, в чём разница флюорографии и рентгена лёгких, обязательно всплывает вопрос о дозах излучения. Что касается плёночных аппаратов, то их излучение намного мощнее цифровых, но и оно не выходит за допустимые нормы и не способно нанести вред здоровью (если, конечно, соблюдать правила и не проводить исследования чаще положенного).

Дозы облучения при рентгене и флюорографии.

Цифровой рентген и флюорограмму можно проводить гораздо чаще без вреда для здоровья. Но всё-таки рентгеновские лучи – это не совсем то, что полезно для организма, поэтому относиться к данной процедуре стоит со всей серьёзностью. Планируя беременность, лучше всего заранее сделать флюорографию, чтобы во время вынашивания вам не пришлось подвергать будущего ребёнка облучению. При острой необходимости беременной лучше провести рентген.

При цифровом методе обследований доза излучения практически одинаковая как для флюорограммы, так и для рентгена, но если говорить точно, то в первом случае организму наноситься больше вреда (0,5 мЗв по сравнению с 0,26 мЗв). Дозы при цифровой флюорографии и рентгенографии составляют 0,05 и 0,03 мЗв соответственно.

Чем отличается флюорография от рентгена лёгких с точки зрения результативности? Флюорография в данном случае – это поверхностное общее исследование, по снимку которого можно говорить о возможной патологии или в запущенных случаях течения заболевания о конкретной патологии. Рентген – это более глубокое и качественное обследование, которое покажет заболевание на ранней стадии его развития, что существенно облегчит лечение болезни.

Флюорографии достаточно для профилактики и слежения за состоянием здоровья, а рентген чаще применяется для глубокой диагностики (когда уже имеются к этому показания).

Оставьте свой комментарий

Рентген или флюрография легких — что лучше?

Для каждого взрослого человека флюорография легких является обязательной для прохождения раз в год.

Этот диагностический метод позволяет убедиться в том, что ткани и слизистые оболочки органов дыхания находятся в порядке, и в них не развивается воспалительный процесс.

Помимо обязательного обследования, существует еще ряд показаний, при которых врач может назначить флюорографию в качестве дополнительного метода диагностики.

Главное – проконтролировать, чтобы у человека не было противопоказаний для проведения процедуры.

Кроме того, не рекомендуется делать это слишком часто, потому что облучение организма не благоприятно сказывается на состоянии внутренних органов, а также тканей.

Показания для проведения ФГ

Флюорография выявляет различные изменения в состоянии легких и бронхов на разных стадиях их развития.

Поэтому врачи используют эту процедуру для подтверждения клиники того или иного заболевания.

Показания к обследованию могут послужить:

  1. Необходимость в прохождении профилактического осмотра, который требуется раз в год.
  2. Срочная служба.
  3. Медосмотр в учебных заведениях и на работе.
  4. Подозрение на фиброз.
  5. Возрастные изменения в тканях бронхов и лёгких.
  6. Подозрение на развитие воспалительного процесса в лёгочных тканях.
  7. После тесного контакта с человеком, который болеет туберкулёзом.
  8. Подозрение на рак лёгких.
  9. Проявление признаков ВИЧ-инфекции.
  10. Лёгкие курильщика требуют более тщательного медицинского контроля.
  11. Часто для проверки состояния здоровья людей, которые проживают с беременными женщинами или младенцами.

Что такое флюорография лёгких?

Флюорографией называется диагностический метод, который показывает изменения в состоянии грудной клетки.

Она заключается в рентгенологическом исследовании, во время которого фотографируется орган дыхания.

Видимое изображение выводится на специальный флюоресцентный экран после того, как рентгеновские лучи пройдут сквозь человеческое тело и при этом будут неравномерно поглощены внутренними органами, а также различными тканями.

При проведении процедуры врачу удается получить изображение грудной клетки уменьшенных размеров, которое позволит подтвердить или опровергнуть симптомы патологии.

Кроме того, можно сделать крупнокадровый снимок, который по диагностическим возможностям практически ничем не отличается от рентгенографии.

Флюорографию назначают, чтобы проверить грудную клетку, костную систему верхней части тела, а также молочные железы.

Удобство метода заключается в том, что это безопасно, быстро, без инвазивного воздействия на организм и не требуется предварительная подготовка.

К тому же, существуют не только стационарные, но и мобильные аппараты, которые можно транспортировать без особых усилий.

Результат обследования проявляется на материале, который проходит цифровую обработку. Благодаря новейшим цифровым технологиям, специалисты выполняют упрощённую работу со снимками.

Также современное оборудование способствует снижению лучевой нагрузки на организм и позволяет рассмотреть пятно в области грудной клетки, имеющее даже незначительные размеры.

Для получения цифровых фотографий места обследования можно использовать две распространенные методики проведения цифровой флюорографии.

Первый вариант имеет схожесть с обычной фотографией: на флюоресцентном экране на снимках нарушения выглядят как тень, однако рентген-плёнка заменена на специальную ПЗС-матрицу.

Другой способ подразумевает послойное поперечное сканирование грудной клетки с помощью веерообразного пучка рентгеновского света.

При этом происходит детектирование линейным детектором излучения, которое уже прошло сквозь тело.

Внимание! Снимки, сделанные по второй методике, могут показывать более обширную картину, а доза излучения получается на порядок меньше. Но у данного способа есть значительный недостаток, который заключается в том, что на получение фотографии органов дыхательной системы требуется большее времени.

Подготовка к проведению процедуры

Грудная клетка часто обследуется с помощью флюорографии, потому процедура характеризуется высокой информативностью, а также имеет целый ряд преимуществ по сравнению с другими аналогичными методами диагностики (например, КТ или МРТ): исследование безболезненное, неинвазивное и имеет доступную цену.

Внимание! Перед прохождением флюорографии человеку не требуется проводить какую-либо специальную подготовку.

Однако есть одна рекомендация для курильщиков: лучше воздерживаться от курения в течение нескольких часов перед процедурой. Также врачи советуют кушать на завтрак лёгкую пищу.

Этот метод обследования состоит из нескольких последовательных этапов:

  • человек заходит в специальную комнату, где должен полностью оголить верхнюю часть тела и снять украшения;
  • нужно подойти к аппарату, а затем стать на приступок, чтобы врач мог скорректировать позу человека для получения полной картины;
  • следует на несколько секунд задержать дыхание, потому что фото должно быть сделано на максимальном вдохе, чтобы было видно дыхательное дерево, включая бронхи и лёгкие;
  • включается аппарат;
  • процедура завершена.

В отдельных случаях врач может выдать защитный фартук для обеспечения дополнительной защиты для облучения.

Обычно расшифровка полученных результатов исследования выполняется на следующий день.

Ограничения для проведения

При флюорографии полностью обследуется грудная клетка, и врач может выявить изменение в состоянии дыхательного дерева. Однако есть люди, для которых эта процедура не рекомендована:

  1. Возраст младше 15-ти лет.
  2. Ослабленный организм.
  3. Беременность.
  4. Кормление ребёнка грудным молоком.
  5. Проблемы с дыханием, при которых человек не может задержать его на полном вдохе, чтобы клиническая картина получилась точной.

Чем вредна ФГ?

Флюорографию вредно проводить часто, ведь многим людям еще из школьного курса физики известно, что во время проведения процедуры человеческое тело подвергается радиационному облучению, которое является губительным для внутренних органов и тканей.

В случае превышения оптимальной дозы рентгеновских лучей происходит необратимое изменение крови, а также развитие онкологии.

Однако разовая процедура не способна нанести ощутимого вреда, потому что за несколько секунд облучение не превышает 0-61,5 мЗв в зависимости от качества медицинского оборудования.

Примерно такое же количество радиации человек получает в течение одного месяца привычного образа жизни.

Не следует беспокоиться о проявлении симптомов ухудшения состояния здоровья, ведь максимально допустимая доза радиационного облучения для взрослого человека достигает 150 мЗв в год.

Поэтому только при значительном превышении этих показателей можно волноваться о возможном развитии опасных изменений в организме, в том числе и образовании злокачественной опухоли лёгких либо молочной железы.

Таким образом, если проходить флюорографию раз или два в год, то это не отразится на здоровье.

Но имеется одно важное исключение: от рентгеновского излучения значительный вред могут испытать маленькие дети, беременные женщины и плод, женщины в период лактации.

Эти люди ощущают ухудшение в самочувствии даже из-за воздействия радиации в небольших количествах, значительно ниже установленной нормы.

Внимание! При определении уровня возможного риска нужно принимать во внимание качество используемой техники для флюорографии. Новые установки позволяют получить точную картину грудной клетки и уменьшить уровень облучения организма в процессе проведения процедуры.

Что показывает снимок?

Многие люди уверены, что на флюорографическом снимке врач может только оценить состояние сердца, а также лёгких.

Однако это совершенно не так, потому что на полученном фото опытный пульмонолог увидит полноценную картину всей грудной клетки, своевременно выявит незначительные нарушение внутренних органов.

На пленке отображаются тени лёгких, сердца и перикарда, позвоночника. К

роме того, на расширенной фотографии видны крупные бронхи, трахея, верхняя часть пищевода, а также диафрагма.

Важно! Самую информативную картину врач наблюдает только касательно сердца и легких.

При исследовании снимка пульмонолог сможет без дополнительных обследований определить очаги патологических изменений:

  1. Поражение тканей органов дыхания.
  2. Размеры сердца, а также перикарда.
  3. Наличие подозрительных образований либо специфических затемнений.

Флюорография представляет собой быструю скрининговую методику диагностики внутренних органов в области грудной клетки.

С её помощью пульмонологи имеют возможность выявить патологию либо подтвердить отсутствие очагов заболевания.

Благодаря этому обследованию, точные прогнозы делаются на начальной стадии болезни, поэтому удается своевременно внести изменения в дальнейшие наблюдения за состоянием организма человека и разработать правильный курс терапии.

Что означает затемнение в лёгких?

При прохождении рентгеновских лучей через грудную клетку на получившейся фотографии может быть заметно затемнение.

Образовавшиеся тени в определенных местах означают, что эти участки тела являются очагами воспаления.

По форме пятен более тёмного цвета врачи могут определить наличие доброкачественной или злокачественной опухоли, метастазы, поразившие бронхи, лёгкие и другие ткани, различные изменения в слизистых оболочках и тканях органов дыхания.

Показывает ли флюорография рак лёгких?

Эта диагностическая процедура предназначена для тщательного исследования грудной клетки.

Использование современного оборудования может позволять выявить злокачественные опухоли, поразившие лёгкие или грудную железу.

На снимке тёмное пятно на воспаленном участке проявляется на ранних стадиях развития рака, когда выраженные симптомы ещё не заметны и диагностика является затруднительной.

В чем разница между ФГ и рентгенографией?

Флюорография – метод диагностики, цена на который более привлекательна, чем обследования рентгеном.

В последнем случае используется более качественный и дорогостоящий материал, а для флюорографии лёгких и плёнка дешевле, и требуется её гораздо меньше.

Внимание! Рентген должен проводиться с помощью специального оборудования с разными функциями для обработки фото в несколько последовательных стадий.

Флюорографию могут проходить и абсолютно здоровые люди в рамках профосмотра. А вот рентген назначается пульмонологом в том случае, когда ему требуется более информативный снимок для уточнения болезни и наблюдения за особенностями её протекания.

Видео: Рентгенография легких и флюорография

Елена Малышева в популярной и понятной форме, объясняет разницу — чем отличается флюорография от рентгена

Кроме того, эта диагностическая процедура проводится и при необходимости контроля динамики развития патологии и воспалительных процессов.

Противопоказания для проведения ФГ

Флюорографию не делают в следующих случаях:

  • детский возраст: пациентам не должно быть меньше 15-ти лет;
  • развитие дыхательной недостаточности в тяжёлой форме;
  • пациент не в состоянии находиться в вертикальном положении;
  • беременность вне зависимости от триместра;
  • период лактации у женщин.

В последних двух случаях рекомендуется рентгенография, потому что её вредное облучение не настолько сильное, как при флюорографии, а картина получается более широкой.

Чтобы контролировать здоровье органов дыхательной системы, можно проходить флюорографию, которая поможет своевременно выявить воспаление, а также метастазы.

Этот метод диагностики назначается взрослым людям, не имеющим противопоказаний.

Для расшифровки получаемых снимков грудной клетки используются специальные коды, помогающие определить заболевание бронхов либо лёгких.


Смотрите также