Мрт околоносовых пазух

Магнитно-резонансная томография (МРТ) придаточных пазух носа
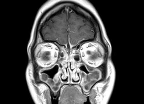
Придаточные пазухи носа выступают своеобразным фильтром для защиты человеческого организма от инфекций, пыли и других внешних факторов. Орган подвержен множеству заболеваний – от врожденных дефектов до кист или полипов. Для быстрой и эффективной диагностики врачи назначают магнитно-резонансную томографию. Чем хорошо метод, в каких именно случаях назначают МРТ и чего ждать от процедуры?








