
Мр ангиография что это такое
Из этой статьи вы узнаете: что такое МРА (магниторезонансная ангиография), чем она отличается от других подобных исследований. Алгоритм проведения процедуры, когда ее назначают, и что она может показать.
Оглавление:
С помощью магниторезонансной ангиографии диагностируют сосудистые патологии, в процессе процедуры применяют магниторезонансный томограф. Под влиянием радиочастотного импульса и магнитного поля прибора изменяется магнитное поле атомов водорода в жидкостях, в данном случае в крови, так как она обладает другой химической структурой в сравнении с неподвижными тканями (костной, мышечной). Эти кратковременные изменения энергии фиксируются в виде изображений.
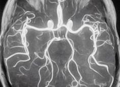
Пример магниторезонансной ангиограммы
Прибор регистрирует информацию о скорости движения крови в сосудах. На участках, где имеется нехарактерное сужение или расширение, скорость кровотока замедляется или ускоряется, обозначая расположение патологии.
Таким образом, благодаря разным видам МР ангиографии (фазово-контрастной, времяпролетной, 4Д) получают двухмерные или трехмерные изображения не самих сосудов, а циркулирующей по ним крови.
Это один из наиболее информативных методов диагностики сосудистых патологий, который позволяет выделять венозный и артериальный кровоток, оценивать его скорость и с точностью определять наличие и локализацию:
- Стеноза (сужения).
- Окклюзий (закупорки просвета).
- Аневризмы (расширения, опасности разрыва).
- Атеросклероза (холестериновых бляшек).
- Васкулита (воспаления).
- Расслоения сосудистых стенок.
В отличие от классической ангиографии для проведения процедуры магниторезонансной ангиографии в сосудистое русло не вводят катетер, не используют радиоактивные контрастные вещества и рентгеновское облучение, поэтому ее считают наиболее безопасной. Иногда для того, чтобы получить более четкое изображение, могут применять вещества, содержащие гадолиний (особый химический элемент), это обосновано его выраженными магнитными свойствами.
Чаще МР ангиография назначается для диагностики сосудистых патологий и нарушений кровообращения головного мозга, сердца, шеи, реже – для оценки состояния сосудистого русла других частей тела (печени, почек, конечностей). На сегодняшний день это единственный способ оценить состояние сосудистого русла в режиме реального времени.
На процедуру может направить врач-ангиохирург, флеболог, нейрохирург или невропатолог, но проводит ее врач-ангиографист, радиолог или рентгенолог.
Показания к проведению процедуры
Показаниями к назначению процедуры являются:
- ишемический или геморрагический инсульт;
- ишемия, дисциркуляторная энцефалопатия и дистония (нарушение кровоснабжения) сосудов головного мозга;
- склероз (хрупкость) сосудов на фоне эндокринологических заболеваний (сахарный диабет);
- гематомы, кисты, опухоли головного мозга;
- тромбоз сосудов головного мозга, позвоночника;
- врожденные или приобретенные аномалии развития и положения сосудов;
- черепно-мозговые и другие травмы;
- стеноз почечных артерий;
- нарушения слуха, зрения, речи, головные боли, внезапные и частые потери сознания, шум в ушах;
- нарушения поведения и трудности в выполнении бытовых навыков без видимых причин;
- мышечная слабость, покалывание и онемение конечностей;
- эпилептоидные приступы, нарушение координации движений.
МР ангиографию назначают, чтобы поставить или уточнить диагноз, оценить состояние пациента после лечения или операции на сосудах сердца, головного мозга, шеи, реже – других частей тела.
При дисциркуляторной энцефалопатии на некоторых участках мозга происходит гипоксия. МРА позволяет выявить эти участки
Что покажет ангиография
Магниторезонансная ангиография незаменима для диагностики функциональных изменений сосудистого русла:
- врожденных пороков сердца;
- стенозов (сужение просвета) и тромбозов сосудов;
- аневризмы (растяжение стенок) аорты и расслоения аневризмы;
- атеросклеротических образований;
- васкулитов (воспаление стенок сосудов).
В процессе исследования специалист получает абсолютно достоверное и детализированное изображение сосудов: нормальные артерии и вены имеют ровный и четкий контур, без петель и резких загибов, утолщений по ходу уменьшения просвета (сосудистые «ветки»).
Таким образом, имея дело с патологией, специалист может точно установить любую, даже самую мелкую аномалию и причину нарушения кровоснабжения органа. Например, по итогам МРА диагностируют очаги ишемии в результате черепно-мозговой травмы или инсульта, рассеянные склеротические изменения сосудов головного мозга, различные гематомы, кисты, опухоли и т. д.
Подготовка к процедуре
Перед назначением процедуры пациенту вручают анкету, которую он должен заполнить, указав наличие имплантов, протезов, водителя ритма, внутриматочной спирали и других инородных предметов в теле. Часть из них является абсолютным противопоказанием для проведения МРА, другая часть может исказить показания прибора.
Обязательно надо проинформировать лечащего врача о наличии аллергической реакции на лекарственные средства и боязни находиться в замкнутом пространстве.
Других этапов подготовки не предусмотрено: не требуется голодание или отмена регулярно принимаемых лекарств.
Как проходит исследование
Аппарат-томограф для проведения магниторезонансной ангиографии – это горизонтальная камера в виде тубуса, в которую пациента помещают лежа, на специальном выдвижном столе.
Стенки устройства снабжены мощным магнитом и аппаратурой, с их помощью прибор генерирует магнитное поле и радиочастоты и фиксирует результат обследования, передавая сигналы на основной компьютер, установленный в смежной комнате.
Процедура может занимать от 30 до 90 минут, обычно исследование производят в несколько этапов (от 2 до 6), в результате каждого на главный компьютер отправляется серия показаний.
Во время проведения процедуры нужно лежать абсолютно неподвижно, и это одна из основных сложностей для пациента.
В остальном метод безболезненный, иногда на коже ощущается легкое покалывание или тепло от воздействия радиоволн или электромагнитного импульса:
- Перед процедурой необходимо избавиться от металлических предметов (серег, часов, колец). Железных деталей не должно быть и на одежде – они могут искажать магнитное поле во время исследования.
- Одежда – свободная, не стесняющая движений и не мешающая лежать.
- Пациента укладывают на диагностический стол, конечности и голову фиксируют ремнями.
- При необходимости вводить контрастное вещество пациенту ставят капельницу, прокалывая вену на одной из рук.
- Стол задвигают внутрь аппарата, пациент может услышать начало работы катушек радиочастотных импульсов (характерное пощелкивание, постукивание).
- По окончании работы стол выдвигают из аппарата.
Процедуру производят амбулаторно, поэтому восстановительный период не нужен. Исключение составляют случаи, когда требуется успокоительное: большинство томографов в нашей стране – закрытые устройства, без каких-либо окошек по бокам, пациент находится в темноте. При наличии психических отклонений или нервных расстройств это может спровоцировать приступ паники, поэтому МРА производят под наркозом.
За компьютером сидит врач, который производит исследование (ангиографист, рентгенолог, радиолог). На расшифровку и интерпретацию результатов требуется от 10 до 30 минут, заключение выдают на руки пациенту сразу же после проведения процедуры. Выводы, назначение и рекомендации по результатам исследования делает специалист, который направил на МР ангиографию.
Ангиография сосудов: показания, процесс обследования и особенности процедуры
В 1986 году Рентген открыл новый вид излучения, и уже в этот же год талантливым ученым удалось сделать рентгеноконтрастными сосуды различных органов трупа. Однако ограниченные технические возможности в течение некоторого времени препятствовали развитию ангиографии сосудов.
В настоящее время ангиография сосудов – это достаточно новый, но интенсивно развивающийся высокотехнологический метод диагностики разнообразных заболеваний сосудов и органов человека.
На стандартных рентгеновских снимках невозможно увидеть ни артерии, ни вены, ни лимфатические сосуды, ни тем более капилляры поскольку они поглощают излучение, так же, как и окружающие их мягкие ткани. Поэтому для того, чтобы можно было рассмотреть сосуды и оценить их состояние, применяются специальные методы ангиографии с введением особых рентгеноконтрастных препаратов.
Методика этого уникального теста заключается в следующем: в сосудистое русло вводится рентгеноконтрастное вещество и в это же момент выполняется несколько рентгенологических снимков.
Применение ангиографии сосудов
Ангиография сосудов широко применяется для определения разнообразных патологий сосудов, таких как стеноз (сужение) сосуда, аневризма (расширение) сосуда и прочее, а также для выявления патологических состояний сердца, диагностики функции почек, для выявления пороков развития и повреждения различных органов, для диагностики опухолей, кист и многих других патологических состояний.
Представленный вид исследования может визуализировать сосуды любых размеров (от аорты до мельчайших капилляров) и все системы и органы человеческого организма. Кроме этого, ангиография сосудов зачастую применяется перед осуществлением хирургических вмешательств для предоперационной подготовки и диагностики.
Показания и противопоказания к обследованию
Существует достаточно большой перечень заболеваний и патологических состояний, при которых доктора рекомендуют выполнение такой диагностической манипуляции как ангиография сосудов.
Ниже перечислены лишь немногие и самые значимые из них:
- Атеросклерозсосудов головы и коронарных артерий;
- Тромбоз глубоких и поверхностных сосудов верхних и нижних конечностей;
- Тромбоэмболия легочной артерии;
- Диагностика патологии сетчатки глаза;
- Выявление сосудистых опухолей и кист;
- Оценка состояния функции почек;
- В качестве предоперационной диагностики, а также это метод контроля выполненной хирургической манипуляции на сердце или головном мозге;
- и многое другое…
Однако, несмотря на достаточную безопасность и малую травматичность этой процедуры, существует ряд состояний, при которых данное вмешательство противопоказано:
- Декомпенсированная сердечная, печеночная и почечная недостаточность;
- Определенные психические недуги;
- Аллергические реакции на йод и его производные, а также на другие вещества применяемые для контрастирования сосудов;
- Заболевания, связанные с нарушением работы свертывающей системы крови;
- Беременность и период лактации.
Методика и предварительная подготовка
Ангиография сосудов является инвазивной процедурой, которая требует врачебного контроля за состоянием пациента до и после диагностической манипуляции. Из-за этих особенностей, как правило, требуется госпитализация больного в стационар и проведение определенного клинического набора лабораторных исследований: общий анализ крови, мочи, биохимический анализ крови, определение группы крови и резус фактора и ряда других тестов по показаниям. Человеку рекомендуется прекратить принимать ряд препаратов, которые влияют на свертывающую систему крови (например, аспирин) за несколько дней до осуществления процедуры.
Современное отделение ангиографии
Перед процедуров ангиографии врач осматривает больного и получает согласие на проведение манипуляции.
Пациенту рекомендуется воздержаться от приема пищи за 6-8 часов до начала диагностической процедуры. Если в предполагаемом месте введения иглы растут волосы, то их сбривают, после чего принимают гигиенический душ.
Сама процедура проводится с применением местных анестетиков, также человеку накануне старта теста обычно назначают седативные (успокоительные) препараты.
Сама методика ангиографического исследования представляет собой введение в сосудистое русло ренгеноконтрастного препарата и выполнение нескольких рентгеновских снимков. В зависимости от патологии и целей процедуры место введения контрастного препарата может различаться.
Перед тем, как провести ангиографию, каждому пациенту делают пробу на аллергическую реакцию к препаратам, используемым при контрастировании. Для этого некоторое количество вещества вводят подкожно и наблюдают за реакцией организма. В случае появления побочных эффектов (сыпь, тошнота, зуд и прочих) ангиографическое исследование отменяется. Тогда вместо него выполняют МР-ангиографию (магнитно-резонансная ангиография), для которой применение контрастных веществ не является обязательным.
После предварительной обработки растворами антисептиков по местным обезболиванием выполняют небольшой разрез кожи и находят необходимую артерию. Выполняют ее прокол специальной иглой и через эту иглу вводят металлический проводник до нужного уровня. По этому проводнику до заданной точки вводят специальный катетер, и проводник вместе с иглой удаляют. Все манипуляции, происходящие внутри сосуда, происходят строго под контролем рентгенотелевидения. Через катетер вводят в сосуд рентгеноконтрастное вещество и в этот же момент проводят серию рентгеновских снимков, при необходимости изменяя положение пациента.
После окончания процедуры катетер удаляют, а на область прокола накладывают очень тугую стерильную повязку. Введенное в сосуд вещество покидает организм через почки в течение суток. А сама процедура продолжается около 40 минут.
Видео: анимация процесса ангиографии
Состояние пациента после процедуры и возможные осложнения
Больному в течение суток показан постельный режим. За самочувствием пациента следит лечащий доктор, который выполняет измерение температуры тела и осмотр области инвазивного вмешательства. На другой день повязку снимают и при удовлетворительном состоянии человека и отсутствии кроизлияния в районе прокола его отпускают домой.
Для абсолютного большинства людей ангиографическое исследование не несет никакого риска. По имеющимся данным, угроза осложнений при осуществлении ангиографии не превышает 5% и может состоять из следующих моментов:
- Аллергические реакции на контрастное вещество, антисептик или анестезию, которые используются при проведении процедуры;
- Кровоизлияния или кровотечение из места прокола сосуда;
- В редких случаях при наличии тяжелых сопутствующих заболеваний может развиться такая серьезная патология как инфаркт миокарда, острая почечная недостаточность и др.
Особенности ангиографии различных органов
Ангиография сосудов головного мозга
На сегодняшний день ангиография сосудов головного мозга — самый распространенный метод для диагностики нарушений кровообращения головного мозга особенно в диагностически запутанных случаях, а также перед осуществлением нейрохирургических операций.
Внешний вид сосудистого рисунка поможет диагностировать многие патологические процессы, включая опухоли, микроинсульты, кисты и другие. Существует ряд патологических состояний, при которых может потребоваться назначение церебральной ангиографии:
- Упорная длительная головная боль, не купирующаяся обычными препаратами;
- Тошнота и головокружение;
- Регулярные кратковременные потери сознания;
- Перед проведением нейрохирургических операций на мозге.
Ангиография сердца
Показанием для ангиографии сосудов сердца (коронарографии) являются нижеперечисленные заболевания:
- Инфаркт миокарда в анамнезе;
- Прогрессирующая стенокардия;
- Нарушения сердечного ритма;
- Стенокардия, при которой прием нескольких препаратов не дает желаемого эффекта и другие состояния.
Ангиография нижних конечностей
Почти у каждого третьего человека в возрасте старше 65 лет имеется заболевание артерий или вен нижних конечностей. Также усугубляют данную патологию курение и сахарный диабет в анамнезе. Основной признак недугов артерий нижних конечностей — это болезненность в ногах при длительной ходьбе, возникающая в разных местах, что зависит от уровня поражения сосудов.
Итак, в каких случаях проводится ангиография сосудов нижних конечностей:
Ангиография глазного дна
Для выполнения ангиографии глазного дна не требуется назначение специальной подготовки, как при других видах ангиографии. Применение ангиографии глазного дна позволяет выявить на ранних стадиях такие неприятные заболевания как макулярная дегенерация сетчатки, диабетическая ретинопатия и многие другие.
Отдельные методы и виды исследования сосудов
КТ-ангиография
Компьютерная томография (КТ) – метод диагностики, который, используя рентгеновское излученение, позволяет получить срезы-изображения всех органов и систем. Полученная информация обрабатывается на компьютере и воссоздается объемная трехмерная картина наблюдаемой части тела.
При КТ-ангиографии рентгеноконтрастное вещество вводится в сосуд во время проведения КТ-исследования, как правило, внутривенно в подкожную вену предплечья.
Таким образом, при этом способе обследования не требуется госпитализация пациента в стационар и предварительное обезболивание.
МР-ангиография
Уже упоминавшаяся выше магнитно-резонансная ангиография (т.н.з. МР или МРТ-ангиография) — это такой метод исследования, в основе которого используются электромагнитные волны и магнитные поля. Особенную ценность этот метод представляет для диагностики заболевания сосудов шеи и головного мозга.
МР-ангиография может выполняться в нескольких вариантах — с введением или без введения контрастного вещества. Учитывая эту особенность, данная процедура может выполняться амбулаторно и у больных с аллергией на контрастные препараты.
Однако эта процедура по времени более продолжительна и также имеет ряд определенных противопоказаний (клаустрофобия, беременность, психические расстройства, наличие металлических протезов в организме и т.д.)
Флуоресцентная ангиография
Флуоресцентная ангиография применяется для офтальмологической диагностики и основана на введении в вену пациента особого вещества (флуоресцин) с последующей съемкой сосудов глазного дна. Флуоресцин вводят в локтевую вену человека, и по кровотоку он поступает в сосуды глаза. После этого в обследуемый глаз направляют пучок света указанной длины волны, и тогда это вещество начинает светиться.
Метод дает ценную информацию о конфигурации сосудов глазного дна, патологическом изменении кровотока, а также применяется перед началом офтальмологических операций.
Флуоресцентная ангиография сетчатки глаза
Стоимость и эффективность ангиограммы
Стоимость осуществления ангиографического исследования зависит метода ее проведения и упирается в специализированное оборудование, необходимое для его проведения. Средняя цена на данные услуги в Москве и различных регионах России выглядит следующим образом:
- Коронарография: 13,5-14 тысяч рублей;
- Ангиография сосудов головного мозга:тысяч рублей;
- Ангиография артерий верхних конечностей:тысяч рублей;
- Ангиография почечных артерий:тысяч рублей;
- Ангиография нижних конечностей:тысяч рублей;
На сегодняшний день методы ангиографиии являются «золотым стандартом » в диагностике недугов системы кровообращения. В абсолютном большинстве случаев исследование с помощью ангиографии дает достоверные и точные результаты, и отзывы больных и врачей только подтверждают это. Эти методы позволяют не только диагностировать заболевание и выбрать необходимую тактику лечения, но также дают возможность проконтролировать выполненные хирургические вмешательства на сосудах.
Магнитно-резонансная томография сосудов
Что такое МР-ангиография (МРТ ангиография)?
Магнитно-резонансная ангиография сосудов (МР-ангиография или МРТ ангиография) — метод исследования, основанный на использовании магнитного поля и электромагнитных волн. МР-ангиография позволяет получить двух- и трёхмерные изображения сосудов исследуемой области. С помощью МР-ангиографии возможно исследовать сосуды любой локализации, но особенно ценную информацию эта методика даёт при исследовании сосудов головного мозга и шеи. МР-ангиография может выполняться в двух вариантах — с использованием или без использования контрастного вещества. В первом случае исследование является неинвазивным (нетравматичным), во втором — малоинвазивным (малотравматичным). Благодаря этой особенности МР-ангиография может выполняться в амбулаторном порядке, т.е. без госпитализации пациента в стационар.
В каких случаях может применяться МР-ангиография сосудов?
Врач может рекомендовать проведение МР-ангиографии как диагностической процедуры при следующих заболеваниях и состояниях:
- Облитерирующий атеросклероз и эндартериит сосудов нижних конечностей (сужение и закупорка артерий нижних конечностей)
- Атеросклероз брахиоцефальных артерий (сужение и закупорка сонных, позвоночных и подключичных артерий, брахиоцефального ствола)
- Заболевания, поражающие артерии внутренних органов, в том числе почек и кишечника.
- Аневризма — патологическое расширение сосуда, например, брюшного отдела аорты
- Расслоение (диссекция) аорты
- Артериальный тромбоз и эмболия — острое нарушение проходимости артерий, в результате их внезапной закупорки тромбами
- Синдром экстравазальной компрессии (внешнего сдавления) сосуда
- Контроль выполненного оперативного вмешательства
Какие преимущества имеются у МР-ангиографии по сравнению с другими методами исследования сосудов?
Одним из преимуществ МР-ангиографии по сравнению с Рентгеноконтрастной или КТ ангиографией является отсутствие воздействия рентгеновского излучения на организм пациента. Другим достоинством процедуры является возможность исследования сосудов без использования контрастного вещества.
Какие существуют ограничения и противопоказания для проведения МР-ангиографии?
Несмотря на ряд достоинств, Магнитно-резонансная ангиография обладает некоторыми противопоказаниями, такими как:
- клаустрофобия
- психические расстройства с невозможностью длительного нахождения в положении лёжа в покое
- беременность
- наличие металлических протезов (имплантатов) в теле пациента (например, искусственных клапанов сердца, суставов, кардиостимуляторов)
- проведение искусственной вентиляции лёгких
Существенным недостатком исследования является его большая продолжительность, составляющая от 40 до 90 минут.
Как следует готовиться к МР-ангиографии?
Никакой специальной подготовки к процедуре не требуется. Последний приём пищи до проведения исследования рекомендуется осуществлять не позднее, чем за 4-6 часов.
Как проводится МР-ангиография?
МР-ангиография выполняется на специально аппарате — магнитно-резонансном томографе. Перед входом в помещение, где находится томограф, пациенту необходимо снять с себя все ювелирные украшения и любые металлические объекты, если таковые имеются. После этого пациент ложится на выдвижной стол, находящийся рядом с туннелевидным модулем томографа. В течение процедуры сканирования производятся медленные движения стола с пациентом относительно томографа. Исследователь находится в смежной комнате, где располагается пульт управления, и общается с пациентом по громкой связи. В течение процедуры пациенту рекомендуется лежать неподвижно, что очень важно для получения информативных снимков. Во время исследования врач может попросить пациента задержать дыхание насекунд. МР-ангиографию возможно выполнить в двух режимах — с использованием контрастного вещества, «прокрашивающего» сосуды, или без него. В случае, если предполагается введение контраста, непосредственно перед исследованием в одну из вен предплечья устанавливается периферический венозный катетер. Введённое в сосуд контрастное вещество в последующем выводится из организма через почки. Длительность исследования в среднем составляет 60 минут.
Опасно ли электромагнитное поле, используемое при МР-ангиографии?
Электромагнитное поле, используемое при МРТ ангиографии абсолютно безвредно для взрослого человека.
Какие возможны осложнения при МР-ангиографии?
В крайне редких случаях возможны аллергические реакции на контрастное вещество, вводимое во время процедуры в виде зуда, появления кожной сыпи или затруднённого дыхания. Также возможно развитие клаустрофобии у лиц, предрасположенных к этому состоянию.
Как вести себя после исследования?
После успешно проведённой МР-ангиографии удаляется периферический венозный катетер (если он был установлен), после чего пациент может вернуться к своему привычному ритму активности. Если диагностика проводилась с использованием контрастного вещества, в день исследования рекомендуется употреблять большое количество жидкости с тем, чтобы ускорить процесс выведения контраста из организма.
Запишитесь на прием
Сосудистый центр им. Т.Топпера оказывает квалифицированную помощь по всем видам заболеваний сосудов.
Для того, чтобы попасть на прием к сосудистому хирургу или пройти обследование просто позвоните по телефону и согласуйте удобное для вас время.
Как подготовиться к операции
Вам предстоит оперативное лечение в нашем Центре. Подготовка к хирургическому вмешательству заключается в выполнении комплекса предоперационного обследования. По указанным ниже ссылкам Вы можете ознакомиться с перечнем необходимых исследований.
Что показывает МР ангиография сосудов головного мозга и шеи?
МР ангиография — это особая методика диагностики, которая позволяет получить точную информацию о состоянии кровеносных сосудов. Для этого применяются специальное контрастное вещество и магнитно-резонансная томография одновременно. Именно таким методом можно изучить состояние кровеносной системы в головном мозге. Этот способ позволяет визуализировать все сосуды, причем, делается сразу 3 проекции. Благодаря такой точности можно определить наличие заболевания еще на самых ранних стадиях. В таком случае лечение будет успешным.
1 Показания к назначению
Когда происходят аномальные процессы в организме человека, то всегда проявляются симптомы, которые свидетельствуют о том, что у человека ухудшается здоровье. Причин у таких изменений может быть несколько. В таких случаях назначается МР ангиография сосудов головного мозга.
Показаниями к проведению процедуры являются следующие симптомы:
- Головная боль и головокружение, которые постоянно не проходят. От них не выходит избавиться ни с помощью таблеток, ни другими методами.
- Шум в ушах.
- Постоянная тошнота и рвотные приступы при отсутствии явных причин.
- Травмы головы.
- Сахарный диабет.
- Подозрения на опухоли.
- Болезни сердца и кровеносной системы.
- Полная или частичная потеря слуха или зрения.
Благодаря МР ангиографии можно визуализировать аневризмы, что не всегда можно сделать с помощью томографии. То же касается и расширения или сужения просвета кровеносных сосудов, соустья, расслоения, мальформации и прочих патологий.
Ангиография применяется в таких отраслях медицины:
- Онкология. Методика помогает визуализировать различные опухоли, образования и метастазы.
- Флебология. Можно определить места, где сосуд закупорен или сужается, развиваются различные патологии, тромбы, врожденные или приобретенные изменения, атеросклероз.
- Сосудистая хирургия. Ангиография применяется при хирургическом вмешательстве в сосуды, для того чтобы точно определить место дислокации и различные нарушения.
- Неврология. Дает возможность визуализировать гематомы, аневризмы, опухоли в головном мозге, применяется при кровотечениях и инсульте геморрагического типа.
- Пульмонология. Требуется для диагностики различных патологий в легких, а также чтобы найти источник кровотечения.
Ангиография может быть как обшей, так и выборочной. При общей исследуются все сосуды. При выборочной — только кровеносная система отдельных частей тела. Отдельные сосуды в таком случае контрастируются.
Как правило, МРТ ангиография назначается в тех случаях, когда есть подозрения на:
- поражения артерий почек;
- аневризмы;
- повреждения аорты;
- пороки вен и артерий;
- наличие сгустков крови в протоке артерии легких (что называется тромбоэмболией);
- тромбоз глубоких вен (процедура поможет определить еще и характер изменений).
Ангиография сосудов шеи и головного мозга проводится при наличии следующих показаний:
- аневризмы;
- опухоли в головном мозге;
- ангиомы;
- инфаркт;
- инсульт геморрагического типа;
- мальформация сосудов;
- гематомы;
- травмы.
Показаниями для проведения процедуры на сосудах нижних конечностях являются:
- атеросклероз;
- эндартериит облитирующего типа;
- тромбоз;
- тромбофлебит;
- тромбоэмболия;
- различные повреждения кровеносных сосудов из-за травм;
- аневризмы расслаивающегося типа;
- контролирование хирургического вмешательства.
Ангиография коронарных сосудов назначается при:
- инфаркте;
- ишемическом сердечном заболевании;
- атеросклерозе на таких сосудах;
- патологии кровеносных сосудов, что является врожденным изменением.
2 Подготовка к процедуре
Магнитно-резонансная ангиография сосудов является методикой, которая применяется как для взрослых пациентов, так и для детей. Детям такая процедура назначается не менее часто, чем взрослым. Они намного легче переносят такое обследование. Это объясняется тем, что кровеносные сосуды более эластичны. Но ребенку придется сделать общий наркоз, чтобы провести такую процедуру.
Чтобы избежать негативных последствий, требуется рассказать доктору о любых заболеваниях хронического типа, а также предоставить список, где перечислены все препараты, которые принимает человек на данный момент. Иногда некоторые медикаменты отменяются перед процедурой. Также нужно рассказать о любых аллергиях, в том числе и на обезболивающие средства, йод, транквилизаторы и т.д.
Беременная женщина обязательно должна указать на свое состояние, так как для малыша рентген-излучение считается небезопасным. Именно в таких случаях и предпочтительна МРТ ангиография сосудов головного мозга или других частей тела.
За пару недель до проведения процедуры нужно полностью отказаться от спиртных напитков. За неделю до процедуры нужно перестать принимать препараты, предназначенные для разжижения крови.
За 5 суток до процедуры следует сделать все анализы, которые назначил доктор, выполнить обследования (УЗИ, электрокардиограмма), обязателен анализ крови (биохимический и общий). Еще нужно знать группу крови и резус-фактор, сделать анализ крови на гепатит С, В, ВИЧ, провести коагулограмму.
За пару дней до назначенной процедуры требуется сделать анализ на вещество контрастирующего типа, которое будет использоваться.
Если появилась аллергическая реакция, то исследование не будут проводить.
За день до обследования рекомендуется очистить кишечник. Для этого нужно сделать клизму или воспользоваться свечкой глицеринового типа. В месте, где будет производиться прокол, нужно заранее вывести волосы.
В день, когда будет осуществляться процедура, рекомендуется отказаться от воды и пищи. Когда вводится контрастное вещество, некоторые люди испытывают тошноту, так что не исключается и рвотный приступ. Перед процедурой нужно опустошить мочевой пузырь. Для людей, которые страдают от хронических болезней, врач может назначать индивидуальную подготовку.
3 В чем заключается методика?
Процедура только немного отличается от МРТ головного мозга. Суть ее заключается в том, что передаются данные. Сначала с помощью томографа передаются сигналы в головной мозг, а потом от него к оборудованию. После этого все данные выводятся в виде снимка. Дальше нужна расшифровка. Контрастное вещество позволяет сделать трехмерное изображение, так что будут видны все проблемы циркуляции крови.
Сначала пациент ложится на специальную камеру, которая потом закрывается. Ему вводят контрастное вещество. После этого в камере нужно будет находиться примерно полчаса и при этом не двигаться. Если у пациента есть различные проблемы, возникают клаустрофобия или другие нервные патологии, то ему делают общий наркоз.
Отличие МР ангиографии от МРТ заключается в том, что применяются специальные программы на компьютере. Их работа настроена только на кровеносные сосуды. Когда процедура заканчивается, то нужно подождать, пока кончится действие общего наркоза. Результаты исследования можно получить уже сразу, что является еще одним преимуществом такой процедуры. Обычно необходимо подождать от 15 минут до 1 часа. Больной получает диск с результатами, снимки и выписку доктора. Дальше уже врач будет тщательно рассматривать все изображения.
В некоторых случаях проводить такую процедуру запрещается. К противопоказаниям относятся:
- Заболевания инфекционного или воспалительного характера.
- Психические проблемы.
- Сердечная недостаточность. В ходе исследования кровеносное давление может и повышаться, и понижаться.
- Почечная недостаточность. Контрастное вещество иногда вызывает раздражение почек.
- Печеночная недостаточность декомпенсированного типа. Контрастное вещество может даже спровоцировать печеночную кому.
- Проблемы свертываемости крови.
- Тромбофлебит.
- Аллергия на йод и содержащие его препараты. У пациента может даже появиться отек Квинке и другие неприятные и опасные симптомы.
- Беременность.
4 Общее заключение
Больше всего кислорода и других полезных веществ, необходимых для жизнедеятельности, потребляет человеческий мозг. Благодаря этому организм может полноценно функционировать. Если возникают проблемы с транспортировкой этих веществ, то развиваются серьезные патологии, которые сложно вылечить.
Для предотвращения этого нужно проводить диагностику на ранних стадиях развития болезни. В этом поможет ангиография сосудов шеи и головного мозга. Это информативный, безопасный и эффективный метод, в котором не применяется лучевое облучение, а узнать диагноз можно за короткий срок. Кроме того, такая методика применяется не только для определения причин нарушения кровоснабжения и проблем сосудов головного мозга и шеи, но и используется в ходе лечения, чтобы отследить все изменения и результативность терапии.
- Вас мучают эпизодические или регулярные приступы головной боли
- Давит голову и глаза или «бьет кувалдой» по затылку или стучит в висках
- Иногда при головной боли вас тошнит и кружится голова?
- Все начинает бесить, работать становится невозможно!
- Выплескиваете свою раздражительность на близких и коллег?
Прекратите это терпеть, вам нельзя больше ждать, затягивая с лечением. Прочитайте, что советует Елена Малышева и узнайте как избавиться от этих проблем.
Что показывает МР ангиография сосудов головного мозга
Эффективным аппаратным методом осмотра и оценки замкнутого сосудистого русла считается ангиография головного мозга. Она дает возможность обнаружить расширение или патологическое сужение даже самых маленьких сосудов, определить место локализации новообразований, тромбов, кровоизлияний и других нарушений, которые нельзя обнаружить иными способами. Кроме этого процедуру делают в виде подготовительных мероприятий перед операцией на головном мозге. Такая диагностика проводится при терапии огнестрельных и глубоких ножевых ранений.
Суть обследования
Данный вид диагностики заключается в рентгенологическом обследовании головы, сердца, брюшной полости, шейного отдела, конечностей, грудной клетки. При этом визуализируется венозная, артериальная, а также капиллярная система, по которой осуществляется непрерывный ток крови.
Ангиография артерий головного мозга проводится после контрастирования сонной артерии, активно снабжающей кровью головной мозг. Для этого парентерально вводят препараты, содержащие частицы йода:
Все они относительно безопасны, водорастворимы, и редко вызывают побочные реакции. Тяжело подобные препараты переносят люди с нарушенной работой почек, так как значительно возрастает риск анафилактического шока, вызванного аллергической реакцией на йод.
Виды ангиографии
Есть несколько популярных видов данной диагностики. Они различаются в зависимости:
- От способа контрастирования:
- Пункционная, при которой рентгеноконтраст напрямую вводится в исследуемый сосуд.
- Катетеризационная ангиография головного мозга, предусматривает подачу контраста через катетер.
- От зоны, подверженной контрастированию:
- Общая ангиография, когда сосуды головного или спинного мозга мелкие и более крупные исследуют подачей контраста посредством катетера, проведенного к части аорты.
- Селективная (избирательная) проводится введением рентгеноконтраста в кровеносные сосуды пункционным или катетерным способом.
- Суперселективная, при которой исследуются мельчайшие сосуды кровяного русла.
Когда назначается
Ангиография сосудистых заболеваний головного или спинного мозга проводится при подозрении на их наличие, а также при развитии других болезней, связанных с патологическим состоянием мозговых тканей.
- Атеросклероз, при котором сосуды сужаются из-за скопления холестериновых бляшек на сосудистых стенках. Вовремя обнаружив патологию, можно избежать серьезных последствий заболевания.
- Аневризма.
- Артериовенозные мальформации.
- Тромбообразование.
- Ангиография головного мозга показана при сильных приступах головной боли, когда неинвазивные методы диагностики не выявляют истинную причину расстройства.
- Систематическое кружение головы, приводящее к потере координации движений.
- Тошнота, сопровождающаяся головокружениями и головными болями. Особенно опасными считаются утренние приступы.
- Судорожные припадки, вызванные эпилепсией или острой черепно-мозговой травмой.
- Неоднократная потеря сознания без видимых причин.
- Возможное развитие онкозаболевания. Получив модель опухоли в 3D формате, нейрохирург перед проведением операции может заранее проанализировать свои действия, что сократит время проведения вмешательства, и увеличит шансы на успех.
- Хроническое высокое внутричерепное давление.
- Постоянно ощущаемый гул, скрежет, звон в ушах.
- Внутричерепное кровоизлияние.
- Очаговые неврологические симптомы.
- Мозговая недостаточность.
- Внутричерепные гематомы.
Кто направляет
Назначить процедуру может:
- Нейрохирург, занимающийся оперативным устранением патологических нарушений нервной системы.
- Невролог, специализирующийся на центральной нервной системе. Он занимается симптомами нервных заболеваний, их терапией и профилактикой.
- Ангиохирург, амбулаторный диагностик, рассказывающий, как нужно готовиться к обследованию, и как избежать негативных реакций.
- Флеболог, специалист, занимающийся терапией и профилактикой заболеваний вен, вызванных нарушением тока крови.
- Радиолог, изучающий воздействие ионизирующего облучения и патологий, которые связанны с влиянием этих излучений на человека.
Подготовительные меры
Прежде чем начать процедуру, пациенту объясняют, что такое ангиография сосудов головного мозга и как к ней подготовиться. Обязательно проводится тест на восприимчивость к йоду. 2 мл йодсодержащего вещества вводят внутривенно и наблюдают за самочувствием человека.
обследование с использованием контраста не делают. В качестве альтернативы назначают МР-ангиографию, где обязательного введения контрастных веществ не требуется.
Перед манипуляцией пациенту нужно пройти ряд лабораторных обследований:
- Общие анализы крови и мочи.
- УЗИ почек.
- Электрокардиограмма.
- Посещение анестезиолога.
Заранее устанавливают резус-фактор и группу крови больного на случай возникновения сильного кровотечения в ходе обследования.
Ангиография головного мозга не требует отмены ранее назначенной медикаментозной терапии. Исключаются только средства, работающие на разжижение крови в целях предупреждения кровотечений. За 8-10 часов до процедуры пациент воздерживается от пищи. За 4 часа до обследования запрещается пить воду. Перед ангиографией снимаются металлические предметы, способные исказить снимки. При сильном волнении пациенту могут поставить успокоительный укол.
Классическая ангиография
Данное исследование широко использовалось до появления КТ и МРТ. Метод дает возможность выявить аневризмы, опухоли, слипание или сужение сосудов, петлеобразование, место и характер закупорки. При наличии более современных методов классическая (церебральная) ангиография сосудов головного и спинного мозга применяется реже.
Процесс начинается с местного обезболивания и пункционного введения в наружную сонную артерию около 10 мг разогретого до нормальной температуры тела контраста. Затем делают снимки с перерывом в пару секунд. Это позволяет в четкой последовательности оценить ток крови, визуализировать тип и месторасположение патологии, если таковая имеется.
Ангиография головного мозга не проводится в случае:
- Непереносимости частиц йода.
- Психических расстройств.
- Выраженного атеросклероза.
- Артериальной гипертензии.
- Тромбофлебита.
- Острых воспалений.
- Инфекционных заболеваний.
- Почечной недостаточности.
- Коматозного состояния.
Противопоказана процедура детям и беременным женщинам.
КТ-ангиография сосудов
Подготовительный процесс схож с обычной ангиографией. Пациенту поле успешно пройденного тестирования на восприимчивость к йоду внутривенно вводится контраст. Затем последовательно выполняются рентгеновские снимки. Полученные изображения мозга преобразуются в 3D модели с ясно виднеющимися кровеносными сосудами.
К плюсам данного обследования относят:
- Отсутствие хирургического вмешательства, которое в виде пункции проводится при простой ангиографии.
- Пониженная доза излучений не оказывает негативного влияния на организм.
- Высокоинформативный компьютерный метод существенно превышает обычную ангиографию.
КТ ангиография головного мозга назначается при стенозе, аневризме, патологиях развития сосудов, тромбозе. В прогрессивных клиниках предоставляют услуги СКТ-ангиографии с использованием более совершенных компьютерных томографов.
КТ-ангиография противопоказана при:
- Непереносимости частиц йода.
- Острой почечной недостаточности.
- Миеломе.
- Аритмии.
- Тахикардии.
- Беременности на любых сроках и грудном вскармливании.
- Расстройствах эндокринной системы
- Сахарном диабете.
- Коматозном состоянии.
МР-ангиография
Работа магниторезонансного томографа основана не на рентгеновских излучениях, а на магнитном поле. МРТ ангиография сосудов головного мозга, в зависимости от цели исследования, успешно проводится как с контрастным препаратом, так и без него.
Диагностику рекомендуют пройти при:
- Врожденных дефектах сердца.
- Расслоениях аневризмы.
- Артериите.
Особенной подготовки МР-ангиография не требует. Соблюдать диету и разгрузочные дни, ограничивать прием назначенных ранее лекарств не нужно.
Обследование не делается при:
- Клаустрофобии.
- Наличии имплантатов (кардиостимуляторов, нервных стимуляторов, протезов сердечных клапанов и пр.).
- Расстройствах психики.
- Ожирении (при весе пациента более 180 кг рекомендуется использовать томографы, рассчитанные на 400 кг).
- Сердечной недостаточности.
- Беременности.
Главным недостатком такого обследования считают длительность процедуры, которая в среднем занимает не менее 40 минут. Пациент неподвижно должен лежать в камере томографа. Если вследствие определенных заболеваний сохранить неподвижность не представляется возможным, диагностику проводят под наркозом.
Возможные осложнения
Пациент, которому назначили данное обследование, должен знать, как проводится ангиография сосудов головного мозга, что это такое, и с какими сложностями можно столкнуться.
К нежелательным проявлениям относятся:
- Экстравазация (случайное лекарственное растекание). Происходит, когда йодсодержащее вещество попадает в ткани, расположенные около поврежденного сосуда. Это бывает при проколе венозной стенки или при ее разрыве в результате давления, создаваемого при введении препарата.
Если введено до 10 мл средства, то последствий не возникает. В случае попадания большего количества, не исключено развитие воспалительного процесса кожных покровов вплоть до отмирания тканей.
Отмечается жжение, краснота, отечность в районе введения йодпрепарата. Наблюдается одышка, вялость, потливость. Понижается кровяное давление. Помещения, где делается ангиография артерий головного мозга, снабжены лекарственными средствами для оказания экстренной помощи на случай развития анафилактического шока.
Расшифровка результатов
Каждый вид сосудов дает специфическую картину изображений, которые оценивает специалист. Нормой считаются ровные очертания и равномерное сужение просветов. Рентгенологическое излучение неодинаково проходит в организм, зависимо от плотности структур и тканей. На снимках плотность отображается в таких оттенках:
- Костные ткани на изображении белые.
- Сосуды и ликвор – черные.
- Мозговое вещество окрашено в серый цвет.
Невзирая на имеющиеся недостатки, ангиография головного мозга считается наиболее эффективным методом диагностики. Подавляющее количество пациентов по окончании обследования хорошо себя чувствуют. После суточного стационарного наблюдения их отпускают домой. Лишь в 5% случаев отмечаются осложнения.
Как проводится МР ангиография?
Общее понятие МР ангиографии или что такое МРТ диагностика сосудов?
МР-ангиография (МРА) — это способ получения детального изображения кровеносных сосудов различного размера и диаметра, основанный на действии магнитного резонанса. Обследование осуществляется на аппаратах-томографах, где напряжённость магнитного поля от 0,5 Тесла и выше.
Такой современный метод диагностирования позволяет оценить анатомические особенности сосудов и функциональные возможности кровотока. Метод МРА дает возможность получать четкое изображения сосудов без применения дополнительных рентгеноконтрастных средств, хотя, иногда, чтобы получить максимально четкое изображение, чаще всего при опухолевом процессе, используются специальные контрастные вещества на основе гадолиния.
Анатомические особенности сосудистой системы
Сосудисто-сердечная система человека состоит из сердца и многочисленных сосудистых протоков, по которым осуществляется движение крови и лимфы: вены, артерии, капилляры, лимфатические сосуды. Правильный подход в лечении всех сосудистых патологий заключается в грамотном и высококачественном диагностировании.
Разновидности МР-ангиографии
Учитывая тот факт, что сосудами пронизаны абсолютно все части человеческого тела, в зависимости от зоны осмотра выделяют некоторые виды МРТ сосудов:
- Ангиографическое исследование артерий головного мозга.
- Ангиография артерий области шеи.
- Ангиографическое обследование вен головного мозга
- Ангиография нижних конечностей
- Ангиография печеночной артерии
- Аортоартериография, коронарография
- Ангиография с целью уточнения локализации новообразования
- Ангиография различных внутренних органов: печени, поджелудочной железы, селезенки, кишечника и пр.
Как проходит МР ангиография?
Такой метод диагностирования не требует специальной подготовки, а в процессе осмотра пациент не испытывает болезненных ощущений. По приходу в клинику, непосредственно перед процедурой, пациент подготавливается в кабинете — переодевается в удобную одежду и снимает с тела все металлические детали, украшения.
Проходит в комнату, где стоит томограф. Аппарат-томограф для проведения МР-ангиографии представляет собой горизонтальную камеру в виде цилиндра, в которую пациент помещается лежа, на специальный выдвижной стол. Размещается больной на горизонтальной поверхности, с дополнительной фиксацией конечностей и головы, чтобы соблюдать неподвижное положение тела во время процедуры. Сканирование выполняют магнитно-резонансным томографом, где стенки устройства снабжены мощным магнитом и специальной аппаратурой, благодаря им прибор генерирует магнитное поле и радиочастоты, фиксируя результат исследования. Во время работы аппарат может издавать громкие стучащие звуки, которые вызывают дискомфорт у больного, поэтому пациенту предлагают надеть наушники. Доктор находится в соседнем кабинете, с больным поддерживает связь по громкоговорителю и наблюдает через специальное смотровое окно. Полученные изображения сосудистых структур фиксируются на экране монитора перед доктором-рентгенологом, которые он в дальнейшем расшифровывает и делает заключение.
Как делают МРТ с контрастом?
Такой метод диагностики требует соблюдения определенного режима перед обследованием и некой подготовки. С учетом предстоящего введения контрастного вещества, пациенту, которому предстоит диагностика, необходимо органичить себя в принятии пищи в день диагностирования, осмотр проводят натощак.
Данное обследование ничем не отличается от классического метода, разница в том, что перед началом процедуры обследуемому устанавливают капельницу и вводят внутривенно контрастное вещество на основе гадолиния, а незадолго до исследования делают аллергопробу на переносимость этого вещества.
Если сканирование проводят людям с психическими расстройтвами больным с нарушением координации движений, страдающим от клаустрофобии, то перед началом процедуры может потребоваться дополнительное введение седативных, анестезирующих веществ для соблюдения спокойствия и неподвижности во время процедуры.
Сколько по времени длится МРТ сосудов?
В зависимости от области магнитно-резонансного сканирования, т.е. МРТ сосудов всего организма или МРТ сосудов определенного органа, время диагностирования может составлять от 30 до 90 минут. Также, магнитно-резонансную ангиографию могут выполнять в несколько этапов — 2-6, после каждого из них выводят изображение на экран.
Если проведение исследования требует дополнительного введения «красящего вещества», то время диагностики продлевается наминут.
По окончанию процедуры время на восстановления не требуется, сканирование закончено и пациент может сразу же вставать со стола. Исключения составляют случаи, когда пациенту перед началом процедуры вводили седативные или анестезирующие средства.
Самый заключительный этап — это расшифровка полученных результатов, которую проводит врач-рентгенолог и вмешательство больного при этом не требуется. Как правило, результат можно получить спустя 2-24 часов.
Где в СПб и Москве пройти МР-ангиографию?
Данный вид обследования можно пройти во многих клиниках города и области, как частных, так и государственных. В частных клиниках исследование проводится на коммерческой основе, поэтому пациент может сам сделать выбор такого лечебного учреждения. Следует обращать внимание на характеристики аппарата, где оптимальными считаются томографы с мощностью от 1,5 Тесла и выше. Как правило, на процедуру записываются заранее, что позволяет пациенту уточнить все интересующие его моменты о том, как проводится МРТ сосудов.
Государственные лечебные учреждения позволяют пройти осмотр на бюджетной основе, т.к. МРТ входит в полис обязательного медицинского страхования РФ. Для бесплатного диагностирования, врач выдает пациенту направление в лечебное учреждение, закрепленное за ним по месту жительства, после получения специальной квоты на данного пациента. Будьте готовы, что время ожидания может составлять от 2х недель и более.
Мр ангиография что это такое
Оглавление:
- Стеноза (сужения).
- Окклюзий (закупорки просвета).
- Аневризмы (расширения, опасности разрыва).
- Атеросклероза (холестериновых бляшек).
- Васкулита (воспаления).
- Расслоения сосудистых стенок.
Показания к проведению процедуры
- ишемический или геморрагический инсульт;
- ишемия, дисциркуляторная энцефалопатия и дистония (нарушение кровоснабжения) сосудов головного мозга;
- склероз (хрупкость) сосудов на фоне эндокринологических заболеваний (сахарный диабет);
- гематомы, кисты, опухоли головного мозга;
- тромбоз сосудов головного мозга, позвоночника;
- врожденные или приобретенные аномалии развития и положения сосудов;
- черепно-мозговые и другие травмы;
- стеноз почечных артерий;
- нарушения слуха, зрения, речи, головные боли, внезапные и частые потери сознания, шум в ушах;
- нарушения поведения и трудности в выполнении бытовых навыков без видимых причин;
- мышечная слабость, покалывание и онемение конечностей;
- эпилептоидные приступы, нарушение координации движений.
Что покажет ангиография
- врожденных пороков сердца;
- стенозов (сужение просвета) и тромбозов сосудов;
- аневризмы (растяжение стенок) аорты и расслоения аневризмы;
- атеросклеротических образований;
- васкулитов (воспаление стенок сосудов).
Подготовка к процедуре
Как проходит исследование
- Перед процедурой необходимо избавиться от металлических предметов (серег, часов, колец). Железных деталей не должно быть и на одежде – они могут искажать магнитное поле во время исследования.
- Одежда – свободная, не стесняющая движений и не мешающая лежать.
- Пациента укладывают на диагностический стол, конечности и голову фиксируют ремнями.
- При необходимости вводить контрастное вещество пациенту ставят капельницу, прокалывая вену на одной из рук.
- Стол задвигают внутрь аппарата, пациент может услышать начало работы катушек радиочастотных импульсов (характерное пощелкивание, постукивание).
- По окончании работы стол выдвигают из аппарата.
Противопоказания
При относительных противопоказаниях риск для здоровья и обоснованность проведения процедуры оценивает лечащий врач.
Возможные осложнения в результате процедуры
Процедура обследования абсолютно безболезненная и не доставляет пациенту неудобств, кроме вынужденного неподвижного лежания в темноте в течение продолжительного времени.
Побочные эффекты и осложнения отсутствуют; даже при использовании веществ с содержанием гадолиния риск развития аллергической реакции – минимальный. Поэтому магниторезонансная ангиография – единственный метод, который можно назначать пациентам с аллергией на контрастные препараты йода.
Из-за отсутствия рентгенологической нагрузки диагностику можно проводить повторно без вреда для здоровья.
Перед инъекцией контрастного вещества в вену иногда вводят солевой раствор, который может вызвать реакцию у пациентов на диализе или с почечной недостаточностью. Поэтому направляемые на обследование предварительно заполняют специальный опросник или анкету, куда вносят все сопутствующие заболевания.
В процессе проведения процедуры МРА:
- воздействие магнитного поля и радиочастот может вызвать у пациента различные ощущения – тепло, покалывание, которые быстро и бесследно проходят;
- у легковозбудимых или нервных пациентов может появиться дискомфорт от звуков работы аппарата, поэтому перед началом исследования врач предлагает использовать ушные беруши;
- у пациентов с выраженной клаустрофобией или другими психическими отклонениями замкнутое пространство и темнота способны вызвать неконтролируемые приступы паники. В таком случае используют седативные средства, легкий общий наркоз;
- пациенты с массой тела больше 100 килограмм могут просто не поместиться в аппарат, так как он рассчитан на определенные нагрузки.
После процедуры может появиться небольшой дискомфорт, вызванный длительным лежанием в неподвижном положении. Восстановительный период требуется только тем пациентам, которые проходили магниторезонансную ангиографию под общим наркозом.
Лечение сердца и сосудов © 2016 | Карта сайта | Контакты | Политика по персональным данным | Пользовательское соглашение | При цитировании документа ссылка на сайт с указанием источника обязательна.
Источник: https://okardio.com/diagnostika/mra-484.html
Как проводится МР ангиография?
Общее понятие МР ангиографии или что такое МРТ диагностика сосудов?
Анатомические особенности сосудистой системы
Разновидности МР-ангиографии
- Ангиографическое исследование артерий головного мозга.
- Ангиография артерий области шеи.
- Ангиографическое обследование вен головного мозга
- Ангиография нижних конечностей
- Ангиография печеночной артерии
- Аортоартериография, коронарография
- Ангиография с целью уточнения локализации новообразования
- Ангиография различных внутренних органов: печени, поджелудочной железы, селезенки, кишечника и пр.
Как проходит МР ангиография?
Как делают МРТ с контрастом?
Сколько по времени длится МРТ сосудов?
Где в СПб и Москве пройти МР-ангиографию?
или КТ обследование
Все права защищены © МРТ и КТ сосудов, 2018
Источник: https://mrt-kt-sosudov.ru/article/kak-provoditsya-mr-angiografiya
Что показывает МР ангиография сосудов головного мозга и шеи?
1 Показания к назначению
- Головная боль и головокружение, которые постоянно не проходят. От них не выходит избавиться ни с помощью таблеток, ни другими методами.
- Шум в ушах.
- Постоянная тошнота и рвотные приступы при отсутствии явных причин.
- Травмы головы.
- Сахарный диабет.
- Подозрения на опухоли.
- Болезни сердца и кровеносной системы.
- Полная или частичная потеря слуха или зрения.
- Онкология. Методика помогает визуализировать различные опухоли, образования и метастазы.
- Флебология. Можно определить места, где сосуд закупорен или сужается, развиваются различные патологии, тромбы, врожденные или приобретенные изменения, атеросклероз.
- Сосудистая хирургия. Ангиография применяется при хирургическом вмешательстве в сосуды, для того чтобы точно определить место дислокации и различные нарушения.
- Неврология. Дает возможность визуализировать гематомы, аневризмы, опухоли в головном мозге, применяется при кровотечениях и инсульте геморрагического типа.
- Пульмонология. Требуется для диагностики различных патологий в легких, а также чтобы найти источник кровотечения.
- поражения артерий почек;
- аневризмы;
- повреждения аорты;
- пороки вен и артерий;
- наличие сгустков крови в протоке артерии легких (что называется тромбоэмболией);
- тромбоз глубоких вен (процедура поможет определить еще и характер изменений).
- аневризмы;
- опухоли в головном мозге;
- ангиомы;
- инфаркт;
- инсульт геморрагического типа;
- мальформация сосудов;
- гематомы;
- травмы.
- атеросклероз;
- эндартериит облитирующего типа;
- тромбоз;
- тромбофлебит;
- тромбоэмболия;
- различные повреждения кровеносных сосудов из-за травм;
- аневризмы расслаивающегося типа;
- контролирование хирургического вмешательства.
- инфаркте;
- ишемическом сердечном заболевании;
- атеросклерозе на таких сосудах;
- патологии кровеносных сосудов, что является врожденным изменением.
2 Подготовка к процедуре
3 В чем заключается методика?
- Заболевания инфекционного или воспалительного характера.
- Психические проблемы.
- Сердечная недостаточность. В ходе исследования кровеносное давление может и повышаться, и понижаться.
- Почечная недостаточность. Контрастное вещество иногда вызывает раздражение почек.
- Печеночная недостаточность декомпенсированного типа. Контрастное вещество может даже спровоцировать печеночную кому.
- Проблемы свертываемости крови.
- Тромбофлебит.
- Аллергия на йод и содержащие его препараты. У пациента может даже появиться отек Квинке и другие неприятные и опасные симптомы.
- Беременность.
4 Общее заключение
- Вас мучают эпизодические или регулярные приступы головной боли
- Давит голову и глаза или «бьет кувалдой» по затылку или стучит в висках
- Иногда при головной боли вас тошнит и кружится голова?
- Все начинает бесить, работать становится невозможно!
- Выплескиваете свою раздражительность на близких и коллег?
Источник: https://saymigren.net/preparaty/diagnostic/mr-angiografiya.html
Магнитно-резонансная томография сосудов
Что такое МР-ангиография (МРТ ангиография)?
В каких случаях может применяться МР-ангиография сосудов?
- Облитерирующий атеросклероз и эндартериит сосудов нижних конечностей (сужение и закупорка артерий нижних конечностей)
- Атеросклероз брахиоцефальных артерий (сужение и закупорка сонных, позвоночных и подключичных артерий, брахиоцефального ствола)
- Заболевания, поражающие артерии внутренних органов, в том числе почек и кишечника.
- Аневризма — патологическое расширение сосуда, например, брюшного отдела аорты
- Расслоение (диссекция) аорты
- Артериальный тромбоз и эмболия — острое нарушение проходимости артерий, в результате их внезапной закупорки тромбами
- Синдром экстравазальной компрессии (внешнего сдавления) сосуда
- Контроль выполненного оперативного вмешательства
Какие преимущества имеются у МР-ангиографии по сравнению с другими методами исследования сосудов?
Какие существуют ограничения и противопоказания для проведения МР-ангиографии?
- клаустрофобия
- психические расстройства с невозможностью длительного нахождения в положении лёжа в покое
- беременность
- наличие металлических протезов (имплантатов) в теле пациента (например, искусственных клапанов сердца, суставов, кардиостимуляторов)
- проведение искусственной вентиляции лёгких
Как следует готовиться к МР-ангиографии?
Как проводится МР-ангиография?
Опасно ли электромагнитное поле, используемое при МР-ангиографии?
Какие возможны осложнения при МР-ангиографии?
Как вести себя после исследования?
Запишитесь на прием
Как подготовиться к операции
Источник: https://top122.ru/methods/mr_angiografiya/
Ангиография сосудов: показания, процесс обследования и особенности процедуры
Применение ангиографии сосудов
Показания и противопоказания к обследованию
- Атеросклерозсосудов головы и коронарных артерий;
- Тромбоз глубоких и поверхностных сосудов верхних и нижних конечностей;
- Тромбоэмболия легочной артерии;
- Диагностика патологии сетчатки глаза;
- Выявление сосудистых опухолей и кист;
- Оценка состояния функции почек;
- В качестве предоперационной диагностики, а также это метод контроля выполненной хирургической манипуляции на сердце или головном мозге;
- и многое другое…
- Декомпенсированная сердечная, печеночная и почечная недостаточность;
- Определенные психические недуги;
- Аллергические реакции на йод и его производные, а также на другие вещества применяемые для контрастирования сосудов;
- Заболевания, связанные с нарушением работы свертывающей системы крови;
- Беременность и период лактации.
Методика и предварительная подготовка
Видео: анимация процесса ангиографии
Состояние пациента после процедуры и возможные осложнения
- Аллергические реакции на контрастное вещество, антисептик или анестезию, которые используются при проведении процедуры;
- Кровоизлияния или кровотечение из места прокола сосуда;
- В редких случаях при наличии тяжелых сопутствующих заболеваний может развиться такая серьезная патология как инфаркт миокарда, острая почечная недостаточность и др.
Особенности ангиографии различных органов
Ангиография сосудов головного мозга
- Упорная длительная головная боль, не купирующаяся обычными препаратами;
- Тошнота и головокружение;
- Регулярные кратковременные потери сознания;
- Перед проведением нейрохирургических операций на мозге.
Ангиография сердца
- Инфаркт миокарда в анамнезе;
- Прогрессирующая стенокардия;
- Нарушения сердечного ритма;
- Стенокардия, при которой прием нескольких препаратов не дает желаемого эффекта и другие состояния.
Ангиография нижних конечностей
Ангиография глазного дна
Отдельные методы и виды исследования сосудов
КТ-ангиография
МР-ангиография
Флуоресцентная ангиография
Стоимость и эффективность ангиограммы
- Коронарография: 13,5-14 тысяч рублей;
- Ангиография сосудов головного мозга:тысяч рублей;
- Ангиография артерий верхних конечностей:тысяч рублей;
- Ангиография почечных артерий:тысяч рублей;
- Ангиография нижних конечностей:тысяч рублей;
Источник: https://sosudinfo.ru/arterii-i-veny/angiografiya-sosudov/
Что показывает МР ангиография сосудов головного мозга
Суть обследования
Все они относительно безопасны, водорастворимы, и редко вызывают побочные реакции. Тяжело подобные препараты переносят люди с нарушенной работой почек, так как значительно возрастает риск анафилактического шока, вызванного аллергической реакцией на йод.
Виды ангиографии
- От способа контрастирования:
- Пункционная, при которой рентгеноконтраст напрямую вводится в исследуемый сосуд.
- Катетеризационная ангиография головного мозга, предусматривает подачу контраста через катетер.
- От зоны, подверженной контрастированию:
- Общая ангиография, когда сосуды головного или спинного мозга мелкие и более крупные исследуют подачей контраста посредством катетера, проведенного к части аорты.
- Селективная (избирательная) проводится введением рентгеноконтраста в кровеносные сосуды пункционным или катетерным способом.
- Суперселективная, при которой исследуются мельчайшие сосуды кровяного русла.
- Атеросклероз, при котором сосуды сужаются из-за скопления холестериновых бляшек на сосудистых стенках. Вовремя обнаружив патологию, можно избежать серьезных последствий заболевания.
- Аневризма.
- Артериовенозные мальформации.
- Тромбообразование.
- Ангиография головного мозга показана при сильных приступах головной боли, когда неинвазивные методы диагностики не выявляют истинную причину расстройства.
- Систематическое кружение головы, приводящее к потере координации движений.
- Тошнота, сопровождающаяся головокружениями и головными болями. Особенно опасными считаются утренние приступы.
- Судорожные припадки, вызванные эпилепсией или острой черепно-мозговой травмой.
- Неоднократная потеря сознания без видимых причин.
- Возможное развитие онкозаболевания. Получив модель опухоли в 3D формате, нейрохирург перед проведением операции может заранее проанализировать свои действия, что сократит время проведения вмешательства, и увеличит шансы на успех.
- Хроническое высокое внутричерепное давление.
- Постоянно ощущаемый гул, скрежет, звон в ушах.
- Внутричерепное кровоизлияние.
- Очаговые неврологические симптомы.
- Мозговая недостаточность.
- Внутричерепные гематомы.
Кто направляет
- Нейрохирург, занимающийся оперативным устранением патологических нарушений нервной системы.
- Невролог, специализирующийся на центральной нервной системе. Он занимается симптомами нервных заболеваний, их терапией и профилактикой.
- Ангиохирург, амбулаторный диагностик, рассказывающий, как нужно готовиться к обследованию, и как избежать негативных реакций.
- Флеболог, специалист, занимающийся терапией и профилактикой заболеваний вен, вызванных нарушением тока крови.
- Радиолог, изучающий воздействие ионизирующего облучения и патологий, которые связанны с влиянием этих излучений на человека.
Подготовительные меры
обследование с использованием контраста не делают. В качестве альтернативы назначают МР-ангиографию, где обязательного введения контрастных веществ не требуется.
- Общие анализы крови и мочи.
- УЗИ почек.
- Электрокардиограмма.
- Посещение анестезиолога.
Классическая ангиография
- Непереносимости частиц йода.
- Психических расстройств.
- Выраженного атеросклероза.
- Артериальной гипертензии.
- Тромбофлебита.
- Острых воспалений.
- Инфекционных заболеваний.
- Почечной недостаточности.
- Коматозного состояния.
КТ-ангиография сосудов
- Отсутствие хирургического вмешательства, которое в виде пункции проводится при простой ангиографии.
- Пониженная доза излучений не оказывает негативного влияния на организм.
- Высокоинформативный компьютерный метод существенно превышает обычную ангиографию.
- Непереносимости частиц йода.
- Острой почечной недостаточности.
- Миеломе.
- Аритмии.
- Тахикардии.
- Беременности на любых сроках и грудном вскармливании.
- Расстройствах эндокринной системы
- Сахарном диабете.
- Коматозном состоянии.
МР-ангиография
- Врожденных дефектах сердца.
- Расслоениях аневризмы.
- Артериите.
- Клаустрофобии.
- Наличии имплантатов (кардиостимуляторов, нервных стимуляторов, протезов сердечных клапанов и пр.).
- Расстройствах психики.
- Ожирении (при весе пациента более 180 кг рекомендуется использовать томографы, рассчитанные на 400 кг).
- Сердечной недостаточности.
- Беременности.
Возможные осложнения
- Экстравазация (случайное лекарственное растекание). Происходит, когда йодсодержащее вещество попадает в ткани, расположенные около поврежденного сосуда. Это бывает при проколе венозной стенки или при ее разрыве в результате давления, создаваемого при введении препарата.
- Непереносимость йода – самое серьезное осложнение. Современные рентгеноконтрастные препараты относительно безопасны, что намного уменьшило частоту неприятных случаев. Зачастую аллергия проявляется неожиданно.
- Острая почечная недостаточность. Развивается из-за того, что контраст выводится почками, т. е. естественным путем. Если функционирование почечной системы нарушено, большое количество йодсодержащих веществ может вызывать ишемию коркового вещества почек, и привести к обострению имеющихся заболеваний. Поэтому перед процедурой с использованием контраста обязательно проверяют работу выделительной системы.
Расшифровка результатов
- Костные ткани на изображении белые.
- Сосуды и ликвор – черные.
- Мозговое вещество окрашено в серый цвет.
Рейтинг:голосов
Вся информация на сайте предоставляется исключительно в ознакомительных целях и не может заменить консультацию лечащего врача.
Мр ангиография что это такое — Все про гипертонию
- Головокружение;
- Головная боль;
- Тошнота;
- Потеря сознания;
- Боли в области шеи.
Многие годы безуспешно боретесь с ГИПЕРТОНИЕЙ?
Глава Института: «Вы будете поражены, насколько просто можно вылечить гипертонию принимая каждый день…
Читать далее »
Ангиография применяется для диагностики сосудистых патологий мозга и так же позволяет обнаружить аномалии в строении сосудов и их развития, их извитость, сужение просвета, закупорку, различные аневризмы. Кроме этого, данная процедура помогает обнаруживать области турецкого седла и опухоли полушарий.
Для профилактики заболеваний и лечения проявлений варикоза на ногах наши читатели советуют спрей «NOVARIKOZ», который наполнен растительными экстрактами и маслами, поэтому не может нанести вреда здоровью и практически не имеет противопоказаний Мнение врачей…
Описание процедуры
Процедура церебральной ангиографии начинается с катетеризации или пункции выбранной артерии, применяют пункцию позвоночной или сонной артерии. Для исследования всех сосудов в головном мозге делают пункцию аорты, альтернативой которой является катетеризация, при которой пунктируют периферическую артерию, после чего сквозь нее подводят катетер в устье позвоночной или сонной артерии.
НАШИ ЧИТАТЕЛИ РЕКОМЕНДУЮТ!
Для лечения гипертонии наши читатели успешно используют ReCardio. Видя, такую популярность этого средства мы решили предложить его и вашему вниманию. Подробнее здесь…
Следующая стадия — это введение рентгенконтрастного вещества, слабо пропускающего рентгеновские лучи. После производят рентген-съемку головы в передне-задней и боковой проекции. Снимки немедленно проявляют и оценивают, при надобности проводят дополнительное введение контраста и осуществляют новую серию снимков. Вслед за прохождением контрастного вещества по тканям опять производят серию снимков для проведение исследования оттока венозной крови. Потом пункционную иглу или катетер удаляют.
Во многих случаях ангиография сосудов головного мозга проводится в ходе одного часа. Вслед за обследованием пациент должен находиться под наблюдением врача в течение шести-восьми часов.
Врач периодически будет проверять пульс на периферических артериях и осматривать место пункции, это нужно для своевременной диагностики вероятных осложнений, а так же их лечения. Пациенту рекомендуется обильно пить для того, что бы быстрее вывести контрастный препарат из организма.
Что такое кардиосклероз атеросклероз аорты коронарных артерий?
Вылечить атеросклероз любого типа вполне возможно. Для этого лишь следует придерживаться здорового образа жизни и употреблять все необходимые лекарственные средства.
Очень опасным типом недуга является атеросклероз аорты и коронарных артерий. Болезнь чревата инфарктом миокарда, сердечной недостаточностью, ишемической болезнью сердца.
Стабилизировать коронарное кровообращение можно путем адекватной консервативной терапии. Если бляшка поддается кальцинозу или вызывает тромбоз, то показано оперативное вмешательство.
Патогенез и причины недуга
Что такое атеросклероз аорты и коронарных артерий? Чтобы разобраться с этим вопросом, вспомним школьный курс анатомии. Аорта представляет собой большой кровеносный сосуд, который берет свое начало в левом сердечном желудочке.
Аорта разделяется на два сосуда. Верхнее ответвление в медицине называют грудной аортой, а нижнее – брюшной аортой. Коронарные артерии представляют собой кровеносное русло, которое отвечает за кровоснабжение сердца и верхнего ответвления коронарной артерии.
С этим разобрались. Теперь вспомним понятие атеросклероз. Под данным термином скрывается недуг, при котором с внутренней стороны артерий и сосудов откладываются жировые бляшки, состоящие из липопротеидов низкой плотности и эфиров.
На первоначальных этапах атеросклероз вообще никак себя не проявляет. Изначально с внутренней стороны сосуда или артерии образовывается маленькое жировое пятно, которое вызывает воспалительный процесс. Нарушение липидного обмена приводит к топу, что липидное пятно постепенно увеличивается в размере.
На терминальной стадии атеросклероза липидная бляшка поддается кальцинозу, то есть в ней постепенно скапливаются соли кальция. Бляшка становится более плотной, увеличивается в размере, и еще больше сужает просвет сосудов. В результате нарушается кровообращение в области створки клапанов, пучков миокарда и желудочков.
Почему развивается атеросклероз аорты сосудов головного мозга и сердца? Точные причины недуга неизвестны. Но медики утверждают, что есть ряд предрасполагающих факторов к развитию недуга.
Рассмотрим их:
- Подагра.
- Ишемическая болезнь сердца, гипертония, другие патологии ССС.
- Сахарный диабет. Атеросклеротические бляшки могут быть следствием как инсулинозависимой, так и инсулиннезависимой формы недуга.
- Употребление большого количества жиров животного происхождения. Также негативно влияет на липидный обмен непомерное употребление сладостей.
- Гипотиреоз и другие болезни щитовидной железы.
- Стрессы, депрессии.
- Предрасположенность (генетическая).
- Принадлежность к мужскому полу.
- Период климакса.
- Ожирение.
- Пагубные привычки. Крайне негативно влияют на работу сердечно-сосудистой системы алкоголизм, наркомания и курение.
- Малоподвижный образ жизни (гиподинамия).
- Пожилой возраст.
Стоит отметить, что недуг мультифакторный, то есть он развивается при наличии более чем 2-3 предрасполагающих факторов.
Как проявляется атеросклероз аорты и коронарных артерий?
Атеросклеротические поражения коронарных артерий и аорты протекают бессимптомно на 1 стадии. Недуг может лишь изредка вызывать приступообразные боли в области грудной клетки.
Со временем болезнь приводит к появлению стенокардии напряжения. У пациента возникают резкие жгучие боли в области грудной клетки. Болевой синдром иррадирует в шейный отдел позвоночника.
Также при поражении аорты и коронарных артерий у пациента возникают:
- Скачки артериального давления. Нередко показатели АД превышают отметку в 140/90 мм.рт.ст. на фоне атеросклероза вполне может развиться гипертоническая болезнь.
- Одышка.
- Повышенная потливость.
- Если поражается брюшная часть аорты, у пациента возникает запор, диарея, абдоминальные боли после приема пищи, тошнота или рвота.
- Если поражается аорта мозга, снижается память, возникают головные боли, головокружение, снижается память и умственная работоспособность.
- Нарушения сна.
- Шум в ушах, снижение остроты слуха.
Симптомы становятся более ярко выраженными, когда атеросклеротические бляшки поддаются кальцинозу.
Диагностика атеросклероза коронарных артерий и аорты
При появлении первых симптомов атеросклероза следует немедленно обратиться к кардиологу. Изначально проводится физикальный осмотр и устный опрос для уточнения жалоб.
В обязательном порядке следует сдать биохимический анализ крови. Анализ покажет уровень триглицеридов, липопротеинов низкой и высокой плотности, общего холестерина. Какие показатели являются нормальными показано в таблице.
Также диагностика атеросклероза дополняется такими исследованиями:
- Общий анализ крови и мочи.
- Коронарография.
- Аортография.
- Ангиография.
- ЭКГ.
- УЗИ.
- МРТ.
На основании полученных данных ставится окончательный диагноз, и подбирается тактика лечения.
Лечение атеросклероза
При атеросклерозе аорты и коронарных артерий лечение может проводиться хирургическим или консервативным путем. Оперативное вмешательство показано при развитии кальциноза или тромбоза. Также хирургические манипуляции показаны при угрозе жизни и высокой вероятности развития инфаркта миокарда.
Самыми используемыми методиками являются аортокоронарное шунтирование и стентирование. Также в последнее время широко применяются эндоваскулярные и лазерные методы.
В подавляющем большинстве случаев атеросклероз лечат консервативно. Терапия предусматривает соблюдения ряда рекомендаций. Пациенту следует:
- Принимать медикаменты, которые нормализуют липидный обмен и предотвратят образование тромбов. Следует принимать статины, фибраты, секвестры желчных кислот, никотиновую кислоту, поливитаминные комплексы, антикоагулянты. Во вспомогательных целях применяются биодобавки и растительные настойки (боярышник, пустырник, валериана).
- При церебральных нарушениях использовать церебпротекторы (Пирацетам, Цераксон, Семакс, Актовегин, Пикамилон).
- Воздерживаться от употребления жирной и сладкой пищи. Диету при атеросклерозе следует соблюдать пожизненно. Обязательно нужно потреблять ненасыщенные жиры, так как они повышают уровень липопротеидов высокой плотности (полезного холестерина). Лучшими источниками жиров являются грецкие орехи, фисташки, оливковое и льняное масло.
- Больше двигаться, заниматься спортом.
- При повышенном артериальном давлении принимать гипотонические средства. Допускается применение диуретиков, ингибиторов АПФ, сартанов, бета-адреноблокаторов, блокаторов кальциевых каналов.
- Вести здоровый образ жизни. Кардиологи настаивают, что пациент не должен употреблять алкоголь или курить, иначе эффекта от лечебных мероприятий не будет.
Еще нужно регулярно проходить профилактическую диагностику. Она позволит отслеживать динамику болезни, и при необходимости вносить коррективы.
Осложнения и профилактика
Несвоевременное лечение атеросклероза коронарных артерий и аорты может вызвать множество осложнений. Недуг чреват такими осложнениями, как кардиосклероз, аортальный стеноз, аневризма аорты, тромбоз, инфаркт миокарда.
Также нельзя исключить возможность появления таких последствий, как ишемический или геморрагический инсульт, ишемическая болезнь сердца, гипертония, сердечная или почечная недостаточность. При поражении брюшной части аорты может развиться аневризма и некроз.
Профилактика атеросклероза:
- Соблюдение правил здорового питания.
- Отслеживание уровня ИМТ. При ожирении следует предпринимать соответствующие меры – заниматься спортом, соблюдать низкоуглеводную диету.
- Своевременное лечение болезней ССС, эндокринных патологий, сахарного диабета.
- Ведение активного и здорового образа жизни.
- Периодические обследования у врачей.
Кстати, при развитии атеросклероза аорты и коронарных артерий пациенту может быть присвоена инвалидность.
Обычно льготы дают больным, которые перенесли инсульт или инфаркт миокарда, и потеряли работоспособность.
ЗАДАТЬ ВОПРОС ДОКТОРУ
как к вам обращаться?:
Email (не публикуется)
Тема вопроса:
Вопрос:
Последние вопросы специалистам:
- Помогают ли капельницы при гипертонии?
- Если принимать элеутерококк, это понижает или повышает давление?
- Можно ли голоданием лечить гипертонию?
- Какое давление нужно сбивать у человека?
Мр ангиография — что это за «фрукт»
Здоровье человека постоянно подвержено воздействую со стороны различных заболеваний. Болезни сердца, мозга и кровеносной системы не являются исключением. Для того чтобы правильно диагностировать вышеуказанные заболевания, а также выбрать метод лечения и создана магнитно — резонансная ангиография (или МР ангиография).
Этот вид диагностики представляет собой исследование кровеносных сосудов, которое позволяет получать изображение органов и тканей организма.
Это важно! Этот метод диагностики заболеваний осуществляется без воздействия на организм рентгеновских лучей.
В процессе проведения ангиографии пациент находится в специальном магнитном поле, где он подвергается облучению радиоволнами. В результате этого облучения, в магнитном поле высвобождается электромагнитная энергия, которая поступает на компьютер и фиксируется им.
Это важно! Беспокоиться не стоит, ведь получаемое облучение от электромагнитного поля не оказывает поражающего воздействия на организм человека.
Показания и противопоказания к применению
Магнитно — резонансная ангиография применяется при наличии определенных заболеваний.
К ним относятся:
- аневризма (или расширение стенки аорты), а также ситуация, когда происходит ее расширение — расслоение (диссекция);
- врожденный порок сердца;
- сужение просвета сосудов (например, стеноз почки);
- васкулит (воспалительный процесс, происходящий в стенках сосудов);
- атеросклеротическое поражение артерий;
- заболевания сонных артерий, т. е. когда происходит их сужение.
Как и любое медицинское исследование, МРТ ангиография имеет противопоказания, к которым можно отнести:
- Ожирение (когда все тела, превышает 100 кг);
- Наличие в организме различных имплантированных устройств (например, искусственный выделитель ритма или сердечный клапан, зубной протез и многое другое);
- Клаустрофобия (характеризуется как боязнь человека находится в замкнутом пространстве), а также иное болезненное состояние, при котором больной не сможет спокойно лежать в закрытом помещении;
- Беременность женщины (в особенности, в течение I триместра).
Проведение диагностики
Прежде всего, аппарат для проведения указанного исследования представляет собой, окруженную магнитом, трубу. Специалист помещает больного на специальное поле (стол), облучаемое электромагнитными волнами (называемое магнитно — резонансной камерой). После этого, на компьютер выводится информация об электромагнитной энергии, полученной в ходе проведения ангиографии. Полученная информация необходима для того, чтобы увидеть состояние тканей и органов человека в разной плоскости, а также с разных позиций.
Выведение информации происходит следующим образом: в момент облучения радиоволнами частицы атомов выбивают в тканях человека протоны, которые и производят сигналы, принимаемые специальным аппаратом. Впоследствии, эти сигналы и подвергаются обработке на компьютере.
В результате обработки, на экране появляется четкое изображение, которое позволяет более детально рассмотреть кровеносные сосуды. Изображение может быть как двух — , так и трехмерным.
Полное исследование состоит из нескольких сеансов (от 2 до 6). Каждый сеанс может занять не более 60 минут. Время проведения исследования зависит о его типа. В тоже время, при прохождении одного из сеансов пациенту внутривенно вводится контраст. Именно благодаря этому веществу, сосуды становятся более контрастнее.
Преимущества метода
Организм человека склонен реагировать на различное чужеродное вмешательство. И не важно, в каких целях оно осуществляется. Это касается и описываемого в статье исследования.
К преимуществу мр ангиографии относят:
- В процессе исследования, врачи получают изображение кровеносных сосудов, которое отвечает высоким требованиям четкости и детальности;
- Процедура абсолютно безболезненна;
- При проведении диагностики не использую катетер, что является одним из главных преимуществ. Ведь при катетеризации могут наступить осложнения в виде повреждения артерии;
- Для проведения этого вида диагностики затрачивается меньшее количество времени, чем при иных видах ангиографии;
- Сравнительно низкая стоимость (по сравнению с иными видами этого исследования);
- Полная безопасность от воздействия электромагнитных лучей;
- МРА позволяет спланировать необходимое лечение определенного заболевания;
- Отсутствует рентгенологическое облучение.
Имея столько преимуществ, рассматриваемый вид ангиографии имеет и некоторые минусы.
Например, если пациент забыл указать о том, что он имеет в организме встроенный имплант, который не был предварительно выявлен. Такое устройство, в большинстве случаев, подвергается изменению (т. е. повреждается). Кроме того, наличие импланта может стать помехой к получению четкого и достоверного изображения.
Людям, страдающим клаустрофобией желательно не проходить МРА. Связано это с тем, что электромагнитное излучение способно привести к различным нежелательным ситуациям, требующим в последующем принятие различных успокоительных препаратов и нахождение в стационаре под наблюдением.
В редких случаях, могут отмечаться аллергические реакции на вводимый в организм человека контраст.
Оцените статью: (Пока нет голосов) Loading …