
Как делают МРТ почки? МРТ почек и мочевыводящих путей: особенности проведения диагностики
МРТ почек представляет собой высокоточную процедуру, с помощью которой проводится диагностика органов брюшной полости, позволяющая установить правильный диагноз, а также определяющая патогенез развивающейся патологии. Такой метод основан на использовании магнитного поля, в результате чего эта процедура является безболезненной и безопасной. Назначают его при подозрениях на различные заболевания почек и мочеполовой системы. Так каким образом проводится МРТ почек, что показывает такое исследование? Попытаемся разобраться в этом.
Что такое МРТ?
Магнитно-резонансная томография, являющаяся максимально информативной, обеспечивает объемное изображение высокого качества, благодаря чему ставится точный диагноз. Для осуществления МРТ почек и мочевыводящих путей имеется минимум противопоказаний. Процедура безопасна, и к ней не обязательно специально готовиться, как, например, к УЗИ. Также МРТ почек хорошо переносится пациентами из-за того, что при ее применении не используется ионизирующее излучение.
Такая процедура проводится двумя способами:
- с контрастом — в этом случае вводят внутривенно раствор с содержанием йода, повышающего информативность исследования;
- без контраста – применяют, когда существует аллергия на раствор.
Показания к назначению
МРТ почки назначается при необходимости установления диагноза, а также для оценки состояния пациента перед назначением терапии.
Существуют следующие показания для проведения такого исследования:
- хронические боли в поясничном отделе, отдающие в таз, бока и имеющие неопределенную этиологию;
- сильная отечность лица и конечностей;
- плохой результат анализов мочи;
- беспричинные озноб и лихорадка;
- кровяные выделения в моче;
- слабость, утомляемость и недомогание на фоне колик в пояснице;
- болезненность мочеиспускания или нарушение этого процесса.
Что позволяет увидеть МРТ?
Многих пациентов интересует при назначении МРТ почек: что показывает это исследование в процессе диагностики? Благодаря воздействию на организм магнитного поля, можно обследовать многие полые органы, которые располагаются в поясничном отделе.
Таким образом, магнитно-резонансная томография позволяет увидеть:
- в каком состоянии находятся почки: наличие камней, песка, их выделительная способность;
- структуру органа: его размеры, морфологические особенности тканей, патологические процессы в отделах;
- состояние кровеносных сосудов, а также проходимость мочевыводящей системы;
- воспалительные или дегенеративные процессы в мочевом пузыре;
- наличие доброкачественных и злокачественных опухолей, а также метастазов;
- бактериальные инфекции мочевого пузыря и других органов.
Преимущества и недостатки МРТ
Такое исследование органов брюшной полости имеет следующие достоинства: безопасность, безболезненность, максимальная информативность, возможность выявить большое количество заболеваний на начальных этапах развития. Такой высокой точностью установления диагноза не обладает рентген и другие современные методы исследования.
МРТ почки не наносит какого-либо вреда здоровью пациента и не вызывает осложнений. Однако существуют определенные ограничения для прохождения такой процедуры. К ним относятся:
- почечная недостаточность;
- аллергическая реакция на вводимый контраст;
- наличие в теле больного металлических имплантатов, кардиостимуляторов, осколков, скоб;
- психические заболевания, клаустрофобия;
- беременность, в особенности первый триместр;
- чрезмерный вес больного (больше 120 кг);
- если процедуру проходит кормящая мама, то после этого нельзя кормить ребенка молоком в течение двух дней.
При наличии таких состояний пациент должен известить своего лечащего врача и проводящих процедуру специалистов.
Особенности проведения исследования
Перед прохождением обследования не нужно как-то специально готовиться. Можно принимать пищу, жидкость, различные лекарства. Единственное исключение – это проведение МРТ почек с контрастом. В этом случае нельзя употреблять сильнодействующие препараты.
Перед исследованием пациент должен избавиться от всех металлических предметов (кольца, часы, сережки и т. д.). Затем он ложится на мобильную кушетку, и его фиксируют ремнями. Во время такой процедуры больной обязан находиться в неподвижном состоянии. Благодаря этому получают изображение высокого качества.
Больного погружают в капсулу томографа и воздействуют на организм магнитным полем. Он может надеть специальные наушники, потому что аппарат довольно громко шумит. Томограф имеет микрофон, с помощью которого происходит общение больного с врачом. Данные выводятся на компьютер в трехмерном изображении. Длится МРТ почки не больше 30 минут. Снимки и их расшифровку обычно получают в этот же день.
Проведение МРТ брюшной полости с контрастом
Такое исследование назначают, если имеется подозрение на существование опухоли. В этом случае вводят внутривенно особое вещество, которое, проходя по сосудам, начинает их окрашивать, накапливаясь в органах и тканях. Качество снимков зависит от того, насколько в нужной области активен кровоток. Количество контраста назначают, ориентируясь на вес больного. Это вещество удаляется из организма вместе с мочой в течение суток.
Благодаря такому исследованию можно увидеть полые кисты и плотные объемные образования. Кроме того, по снимкам оценивают находящуюся в кисте жидкость и диагностируют воспаление и кровотечение. Такая процедура противопоказана при беременности.
Многих интересует вопрос о том, если назначили МРТ почек, где сделать такое исследование. Пройти обследование можно в диагностических МРТ-центрах, которых становится все больше благодаря популярности и высокой точности процедуры.
Вывод
Таким образом, если врач назначил проведение МРТ почки, не стоит опасаться такого исследования, так как оно абсолютно безопасно. Но существуют и определенные ограничения для его прохождения, и врач должен предупредить об этом пациента.
МРТ диагностика почек: быстрая и безболезненная
МРТ почек – это современный способ обследования, для проведения которого используется томограф. Метод популярен высокой точностью диагностирования организма человека. С помощью магнитно-резонансной терапии можно отследить возможные патологии почек и мочевыводящей системы.
Изображение аппарата для проведения данного обследования
Томография почек и мочевыводящих путей имеет высокоинформативную характеристику. Исследования не причиняют боли, не нарушают работу тканей и органов.
Почки – жизненно важный парный орган человеческого организма, который отвечает за выведение и фильтрацию жидкости, очищение крови. Надпочечники создают гормоны для осуществления процесса органики – минералокортикоиды, адреналин, глюкокортикоиды. Любые нарушения в работе почек и надпочечников приводят к серьезным сбоям в организме.
Проявления отклонений могут быть различными и требуют современного и своевременного установления их причин. В настоящее время магнитно-резонансная терапия стала одним из самых популярных методов медицинского обследования, с помощью которого можно выявить минимальные отклонения в строении и работе органов.
Показания
Назначение магнитно-резонансной томографии происходит только в случае подозрений серьезных нарушений работоспособности органа. К показаниям на обследование относятся следующие клинические ситуации:
| Тип МРТ | Причины обследования |
| Без контраста | В послеоперационный период для установки эффективности оперативного вмешательства.
При наличии злокачественной артериальной гипертензии, для выявления признаков поражения почечной системы. Длительные болевые ощущения в области спины, поясницы, боках, причину которых установить не удается. Развитие онкологии и ее разновидностей в почечной системе. Невозможность проведения урографии с контрастным веществом из-за наличия ряда противопоказаний. Патологические состояния эндокринной системы. |
| С контрастом | Показания к проведению контрастного МРТ такие же, как и для безконтрастного, за исключением наличия индивидуальной непереносимости вводимого препарата. |
Чаще всего обследование томографом назначается при подозрении на развитие опухоли в почке (злокачественной или доброкачественной). По итогам можно определить локализацию процесса, наличие или отсутствие метастазирования, тип и размер опухоли. Исходя из полученных данных, принимается решение о целесообразности оперативного вмешательства.
Какие могут быть противопоказания
Метод обследования с помощью магнитно-резонансной томографии считается безопасным. Тем не менее имеет ряд противопоказаний:
- Масса тела свыше 150 кг. Это обосновано тем, что излишки жировой ткани препятствуют качественному обследованию. Иногда возможны ситуации, в которых пациента невозможно правильно расположить на ложе томографа.
- Наличие кардиостимулятора, протеза, имплантата, содержащего металлические части. В случае игнорирования предупреждения возможны сдвиги имплантатов и появления внутренних кровотечений.
- Тяжелые аномалии почек, надпочечников. Фактор относится к относительным противопоказаниям, так как действителен только при необходимости применения контрастного вещества. Возможность проведения такого типа обследования зависит от общей клинической картины заболевания, и решение принимается непосредственно лечащим врачом.
- Первый триместр беременности. В целом проведение МРТ не противопоказано в более поздние сроки гестационного периода.
- Наличие эпилепсии, клаустрофобии и психических заболеваний. В случае крайней необходимости возможно применение наркоза на время нахождения в томографе.
При обнаружении какого-либо противопоказания специалист решает вопрос о проведении обследования другим методом.
Как подготовиться к магнитно-резонансной терапии
Особой подготовки не требуется. Необходимо только соблюдать рекомендации специалиста, чтобы процедура показала точные результаты. Подготовка к томографии почек ограничивается следующими требованиями:
Сохранять неподвижность от начала процедуры до ее окончания. На томографе предусмотрены крепежные ремни, предназначенные для фиксации пациента.
Заранее перед входом в кабинет магнитно-резонансной терапии снять с себя все имеющиеся металлические предметы (украшения, аксессуары, телефон, ключи), убрать кредитные карты и гаджеты.
Полностью исключить употребление алкогольных продуктов за день до терапии. Отказаться от приема слишком жирной пищи.
Иногда возможно назначение более основательной подготовки, об этом предупредит лечащий врач. Необходимо придерживаться всех предписанных правил, чтобы избежать искаженных результатов и последующего повтора процедуры.
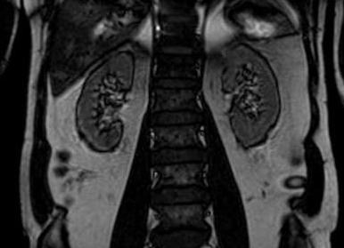
Снимки, полученные в ходе исследования
Какие патологии можно выявить
Использование МРТ возможно при любых патологиях почек и мочевыводящей системы. В том числе при опухолевидных процессах надпочечников. Воспалительные заболевания, обнаруженные во время лабораторных исследований почек, также являются показанием к обследованию.
Что показывает процедура?
Магниторезонансная томография выявляет следующие заболевания:
- Аномальные характеристики развития органов мочевыводящей системы.
- Различного рода воспаления с прогрессирующим инфицированием путей и протоков системы.
- Наличие туберкулеза почек и всей мочевыводящей системы.
- Некроз тканей органа, неправильное кроветворение.
- Последствия травм и операций в области мочеточников, почек и других близлежащих органов.
- Нарушения в состоянии сосудов почечной системы.
- Гидронефроз.
- Присутствие паразитов в почках и признаки их поражения.
- Возможные опухоли.
В перечень не входит диагностика мочекаменной болезни, так как в данном случае МРТ обладает низкой информативностью. Для выявления посторонних объектов в органе необходимо, чтобы они содержали жидкость. Камни являются безжидкостной консистенцией, поэтому для их изучения подойдут такие способы, как компьютерная томография (КТ) и рентген-обследование.
Стоит отметить, что контрастирование способно помочь определить злокачественность или доброкачественность опухолевого процесса.
Новообразования могут быть следующих типов:
- Нейробластомы – опухоли в области надпочечников. Имеют злокачественный характер.
- Кортикостеромы – провоцируют чрезмерное образование гормона эстрогена.
- Доброкачественные аденомы. Приводят нарушению обмена липидов, развитию синдрома Иценко-Кушинга и расстройствам психического равновесия.
- Андростеромы. Провоцируют чрезмерное образование гормона андрогена.
- Альдостеромы. Вызывают сильнейшие расстройства работы почек и мочевыводящей системы. Приводят к опасному повышению кровяного давления.
Своевременно проведенная МРТ почки позволит избежать негативных последствий и принять решение об эффективном удалении опухоли.
Томография с контрастным препаратом
Контрастирование применяется внутривенно. Повышает информативность обследования на 20%. Рекомендуется при наличии онкологического процесса. МРТ почек с контрастом выявляет проблемные очаги новообразования от 3 мм.
Процедура проводится с помощью следующих препаратов: примовист, омнискан, магневист и т.д. Контраст состоит из серебристого металла – солей гадолиния. Состав популярен низким уровнем токсичности и высокой скоростью распада и вывода из организма.
Использование контраста показано в случае необходимости уточнения клинической картины при сосудистых заболеваниях. Метод позволяет более точно определить степень поражения артерий, своевременно назначить необходимую медикаментозную терапию.
Единственным минусом в контрастировании является наличие аллергических реакций у некоторых пациентов. Поэтому проведение такого обследования становится невозможным при индивидуальной непереносимости препарата для контрастирования. В такой ситуации специалист вынужден подбирать другой тип обследования без применения солей гадолиния.
Алгоритм проведения магнитно-резонансной томографии
Процедура проводится в специально оборудованном помещении, в котором находится томограф. Перед началом томографии специалист проговаривает пациенту необходимые правила поведения, технику безопасности. Нужно подписать согласие на проведение данного типа обследования.
Длительность процедуры составляет примерно 30 минут и включает в себя следующие этапы:
- Принятие лежачего положения на выдвигаемом столе томографа. Необходимо лежать ровно и неподвижно. В противном случае снимки получатся смазанными, по ним невозможно будет продиагностировать заболевание.
- Применение наушников. Используются для приглушения шума работы аппарата.
- Помещение оснащено микрофоном, поэтому при возникновении дискомфорта, непреодолимого страха и любых других неприятных ощущений можно обратиться к персоналу за помощью.
По окончании обследования снимок выдается в течение двух часов (в зависимости от устава клиники).
Схема расположения пациента в процессе обследования
Что говорят пациенты
Лариса, 42 года: “Все началось с того, что у меня дико разболелась поясница. И температура ни с того ни с сего повысилась. Я давай в Интернете лазить, диагноз искать. Чего я только не нашла у себя! И рак, и киста, и хпн… Решила я проконсультироваться с врачом. Приятный толковый мужчина. Отправил меня делать анализ мочи. Разница моих результатов с нормой была огромной. Пошла на узи. Вопросы у врача по моему диагнозу еще оставались. Поэтому решилась на МРТ. Результат – вовремя обнаруженная ангиомиолипома!”
Андрей, 31 год: “Мой отзыв будет краток: МРТ – хорошая вещь. Беспокоил мочевой пузырь, боли в боках были. Не буду рассказывать своих злоключений, но лишь благодаря этому обследованию был установлен верный диагноз. Еще и фото с процедуры на память есть. А сколько она стоит, поверьте, не так важно, когда речь идет о спасении своего здоровья”.
Заключение
Появление МР-обследования значительно снизило вероятность постановки неверного диагноза. Стало намного проще и качественней определять степень онкологии, ее тип и локализацию. Магнитно-резонансная томография имеет большое количество плюсов. В том числе высокая степень безопасности при проведении манипуляции, использование контрастного вещества не приносит вреда организму.
Среди минусов томографии почек можно отметить невозможность распознать образование почечных камней и достаточно высокую цену проведения обследования. Стоимость обследования в мегаполисах, например, Москве и Санкт-Петербурге, варьируется в разных клиниках от двух до десяти тысяч рублей. Стоимость МРТ брюшной полости и забрюшинного пространства – от пяти до пятнадцати тысяч.
Для диагностики кальцинированных отложений в мочевыводящей системе потребуется применение УЗ-диагностики или компьютерной томографии.
МРТ почек: что показывает и сколько стоит?
Болезни почек встречаются у каждого третьего человека. Для успешного излечения очень важно установить точный диагноз и назначить корректную терапию. Одним из наиболее точных диагностических методов является МРТ почек и мочевыводящих путей.
Что оно показывает и как подготовиться? С помощью МРТ врач получает достоверные сведения об анатомии органов, размерах, структуре, наличии опухолей и воспалительного процесса. Этот метод считается самым точным, почти на 100% исключает возможность ошибки.
Что такое МРТ?
Магнитно-резонансная томография (МРТ) — это метод диагностики, основанный на действии рентгеновского луча.
Во время исследования на атомы водорода в почках воздействуют с помощью электромагнитных волн, находящихся в поле постоянного высокого напряжения. Доктор получает послойные снимки исследуемых органов. Таким образом выявляются малейшие отклонения в работе почек.
С помощью МРТ выявляют следующие параметры органов:
- размер почек, величину коркового и мозгового слоя;
- структуру почки;
- состояние лоханок;
- состояние сосудистой системы органов;
- наличие опухоли, кисты, камней;
- состояние мочевыводящих путей;
- сохраненность функций почек.
Что показывает КТ надпочечников читайте в нашей статье.
Особую ценность представляет метод для диагностики лимфомы и рака почки.
Лимфома — это доброкачественное образование, которое на снимках МРТ выглядит как округлые поражения органа с гипоэхогенностью. При злокачественных процессах в почках удается обнаружить не только само образование, но и поражения лимфоузлов, а также небольшие метастазы (до 3мм).
Раковая опухоль на снимках выглядит как интенсивное образование инфильтративного характера, неоднородной структуры с отсутствием четких контуров. Исследование проводят двумя способами: с контрастом и без.
МРТ с контрастированием используется для дифференциальной диагностики опухолей. Также применяют при бактериальных воспалениях и патологиях в мочевыводящих путях, для оценки функционирования почек.
МРТ с контрастом является достоверным методом для оценки качества лечения опухолей, так как позволяет оценить реакцию опухоли на проведение терапии. Для контраста используют препараты Омнискан и Магневист. Они обладают наименьшей токсичностью и хорошей растворимостью.
Противопоказаниями для МРТ с контрастированием являются:
- аллергия на медицинские препараты;
- гемолитическая анемия;
- беременность;
- осколочные ранения;
- почечная недостаточность, так как контраст выводится почками, а сильно пораженные органы не справляются с этой задачей.
МРТ без применения контраста является более безопасным, не причиняет вреда пациенту. Его назначают для оценки состояния почек и мочевыводящих путей.
к содержанию ↑
Достоинства и недостатки
Метод МРТ является точным и безопасным исследованием и имеет следующие преимущества:
- возможность проведения, когда есть противопоказания к другим исследованиям;
- минимальная возможность ошибки, так как данные обрабатываются компьютером;
- на результаты не влияют вес пациента, пульс, дыхание;
- возможность проведения маленьким детям;
- отсутствие болевых и других неприятных ощущений;
- отсутствие вредного воздействия рентгеновских лучей.
К недостаткам метода можно отнести длительность процедуры (примерно 30-40 минут). Людям, страдающим клаустрофобией, метод противопоказан. Пациент не должен двигаться на протяжение всей процедуры, иначе картина будет смазанной. Также процедуру нельзя проводить людям с кардиостимуляторами и металлическими имплантами.
МРТ отличается от УЗИ тем, что МРТ устанавливает диагноз, а УЗИ проводится тогда, когда диагноз уже установлен, но требуется подтверждение.
Серьезным минусом МРТ является его высокая стоимость (от 2000 рублей) и возможность проведения не во всех больницах. В то время как аппараты УЗИ имеются в каждой клинике.
к содержанию ↑
Показания к исследованию
МРТ почек — это не рядовое исследование, для его проведения имеются определенные показания:
- подозрения на опухоли почек;
- сильные отеки без видимых причин;
- плохой анализ мочи;
- боли в спине в комплексе с повышенной температурой;
- оценка проводимой терапии опухолевых заболеваний почек.
Несмотря на то, что метод считается безопасным, существуют некоторые противопоказания к его назначению:
- клаустрофобия;
- наличие кардиостимулятора;
- металлические импланты;
- сильно тяжелое состояние больного;
- серьезные психические заболевания, особенно в стадии обострения.
Во время беременности МРТ проводят при наличии серьезных показаний, лечащий врач должен оценить потенциальный риск для женщины и ребенка и принять решение о проведении исследования.
к содержанию ↑
Подготовка и последовательность действий
Для проведения исследования не требуется специальной подготовки.
Пациент может принимать пищу и воду в обычном режиме. Лучше, если пациент наденет одежду из натуральных тканей. Перед исследованием необходимо снять все металлические предметы: украшения, часы, ремень. В кабинет нельзя брать мобильный телефон и банковские карты.
Если планируется МРТ с контрастом, то вещество вводят в вену пациента за несколько минут до исследования. Затем больной ложится на стол, который помещается в камеру. Внутри камеры есть кнопка для связи с доктором, ее пациент может нажать, если вдруг плохо себя почувствует.
Процедуру делают примерно 30-35 минут. Во время исследования человек будет слышать шум, производимый аппаратом, можно надеть специальные наушники, чтобы снизить уровень шумов. После окончания процедуры пациент может идти домой.
На обработку результатов уходит примерно 2 часа, снимок с описанием выдается человеку на руки.
Как проходит сцинтиграфия почек узнайте здесь.
На сегодняшний день МРТ почек является наиболее безопасным и наиболее точным методом диагностики. Он позволяет выявить опухоль на ранней стадии, обнаружить нарушение функций органов, оценить эффективность проводимой терапии.
Процесс диагностики почек методом МРТ смотрите в видео:
Что показывает МРТ почек и мочевыводящих путей
МРТ почек (магнитно-резонансная томография) является одним из лучших диагностических методов, которые сейчас может предложить медицина. Преимущество данного метода исследования в том, что пациенту не требуется проводить особую подготовку. Томограф производит магнитное поле и радиоволны, которые являются безопасными для пациента. Протоны в ядрах атомов водорода под действием томографа временно смещаются, а затем возвращаются в исходную позицию. Энергия, которая вырабатывается в процессе движения, улавливается специальными сенсорами. Далее происходит обработка полученных данных с помощью компьютерной программы и трансляция уже расшифрованной информации на монитор. В результате врач видит трехмерное изображение органа, которое можно рассмотреть послойно. Несмотря на большое количество преимуществ, вместо МРТ может быть рекомендована компьютерная томография (КТ).
Виды МРТ и показания к данной процедуре
Существует 2 вида магнитно-резонансного исследования:
- стандартное;
- с дополнительным использованием контрастного вещества.
Томография с введением в организм контрастного вещества дает возможность более детально изучить строение органа и выявить наличие патологических процессов. Кроме того, с помощью контраста можно увидеть кровоток, понять, как кровоснабжаются почки, и обнаружить места непроходимости или сужения сосудов. С помощью контраста можно разглядеть опухоли и определить их точный размер.
МРТ почек и мочевыводящих путей может быть назначена пациенту при следующих обстоятельствах:
- наличие болевого синдрома в области поясницы;
- нарушение выделительной функции почек;
- мониторинг процесса лечения заболеваний мочевыделительной системы;
- наличие противопоказаний к другим способам аппаратного исследования.
Подготовка к проведению магнитно-резонансного исследования
Если МТР проводится без использования контрастного вещества, то особая подготовка не требуется. Пациента не ограничивают в питании. Ему разрешается пить воду и не прерывать курс приема лекарств.
Когда назначается МРТ почек с контрастом, предварительно нужно сделать тот пробный анализ, что показывает наличие или отсутствие аллергической реакции на используемый препарат. В случае возникновения аллергии на один препарат человеку может быть рекомендовано другое средство или предложен иной способ исследования.
Перед самой процедурой нужно снять с себя все украшения. В предметах одежды тоже не должно быть металла. Также нужно оставить в палате телефон, ключи, банковскую карту и прочие предметы, которые могут повлиять на магнитное поле томографа. Если есть слуховой аппарат, его тоже потребуется снять на время обследования. Предпочтение лучше отдавать одежде из натуральных тканей.
Многие ошибочно считают, что наличие татуировок может повлиять на результаты томографии, но это не так. Современные татуировки выполняются красками, которые не содержат металлов. Но если по данному поводу возникли сомнения, рекомендуется рассказать об этом своему врачу.
Если пациенту было показано МРТ-обследование, перед процедурой врач должен провести инструктаж и рассказать, как будет происходить процесс диагностики. Дело в том, что томограф представляет собой капсулу, в которую будет помещаться пациент. Людям, которые боятся замкнутого пространства, возможно, будет сложно пройти такое обследование, так как во время него нужно не шевелиться. Магнитно-резонансный томограф во время своей работы издает громкий звук. Если заранее не предупредить исследуемого, неожиданный громкий звук может вызвать панику.
Завершающим подготовку этапом будет подписание документов о согласии пациента на проведение МРТ обследования и, если требуется, введения контрастного вещества.
Ход выполнения процедуры обследования
Процедура проводится в специальной комнате. Пациента укладывают на стол, который заезжает в камеру томографа до тех пор, пока область почек не будет находиться внутри нее. Чаще всего используются широкие, но короткие томографы, которые не подразумевают полного погружения пациента в капсулу, что может упростить процедуру исследования для людей с клаустрофобией.
Все, что потребуется от пациента в дальнейшем, — лежать спокойно и дышать ровно. Для того чтобы снизить шумовой эффект, создаваемый томографом, исследуемому могут быть предложены наушники или другие средства защиты слуха.
В камере томографа присутствует микрофон и динамик, которые обеспечивают связь между пациентом и врачом.
Если исследование почек и мочевыводящих путей проводится с использованием контрастного вещества, то изначально выполняется серия снимков без его введения.
После введения контраста может возникнуть небольшое и кратковременное головокружение. Через 5-10 минут кровать вместе с пациентом соединяется с цилиндром аппарата, и начинается сканирование. Во многих клиниках во время проведения магнитно-резонансной томографии разрешается присутствие кого-то из близких пациента.
Продолжительность диагностики может занимать от 10 до 30 минут.
На снимках, что показывает МРТ почек, врач сразу может зафиксировать патологию. Но, как правило, получить результаты обследования с их расшифровкой можно через 2 часа.
МРТ не всегда является заключающим этапом в процессе диагностики. Все будет зависеть от того, какая обнаружена патология. К примеру, при наличии опухолевых новообразований может потребоваться биопсия.
Томография безопасна при условии, что были соблюдены все правила ее проведения. Как и многие другие процедуры, МРТ почек имеет ряд противопоказаний. Запрет на проведение МРТ может быть по таким причинам:
- Первый триместр беременности. По индивидуальным показаниям женщине может быть запрещена томография на всем сроке вынашивания малыша.
- Запрет на процедуру МРТ с применением контраста, если ранее проводилось уже такое исследование и еще не прошло 24 часа.
- Обезвоживание организма. Считается относительно условным противопоказанием. После того как водный баланс в организме будет восстановлен, МРТ разрешено.
- Наличие имплантатов. Если у человека установлен кардиостимулятор, находится вживленный металлический материал в тело (зубные протезы, пластина и пр.), процедура исследования считается небезопасной.
Список противопоказаний может быть расширенным, все будет зависеть от индивидуальных особенностей пациента.
При наличии у пациента выраженного болевого синдрома процедуру МРТ почек и всей мочевыводящей системы откладывают до улучшения состояния больного. Если исследование не терпит отлагательств, исследуемому могут вводить седативные препараты. Когда назначают МРТ почек маленьким детям, процедура также может быть выполнена с применением седативных средств (иногда делают кратковременный наркоз).
Несоблюдение одного из условий проведения магнитно-резонансной томографии может исказить результаты обследования.