
Что такое МРТ головного мозга с контрастированием
25.09.2018
Магнитно-резонансная томография – это медицинский метод диагностики внутренних органов, в результате которого получаются трехмерные послойные изображения мозга. В основе МРТ – воздействие магнитного поля на протоны водорода, которые под внешним влиянием способны изменять свою конфигурацию. Эту смену регистрируют датчики томографа. Информация отправляется в компьютер, обрабатывается и выводится на монитор. Врач видит изображение мозга на экране, а пациенту выдаются снимки на цифровом носителе.
Магнитно-резонансная томография назначается для диагностики патологий мозга: инсульт, опухоль и киста, нейроинфекции, дегенеративные заболевания, повышенное внутричерепное давление или нарушения симметрии желудочков.
Вспомогательный метод для магнитно-резонансной томографии – контрастное МРТ. Контрастное вещество – это препарат, который вводится в сосудистый кровоток. Он обеспечивает более четкую детализацию картины, благодаря чему трудно исследуемые участки мозга становятся доступными. Контрастные вещества обладают парамагнитными свойствами, которые изменяют электромагнитные показатели тканей. Чаще всего МРТ с контрастным усилением используется в диагностике сосудистых нарушений головного мозга.
Особенность использования контраста
В основе всякого контрастного вещества для магнитно-резонансной томографии – гадолиний – парамагнетик, намагничивающийся под воздействием магнитного поля. Особенность контрастного вещества на основе гадолиния заключается в том, что оно накапливается в областях повышенного кровоснабжения, например, в опухоли или артериовенозной мальформации.
Магнитно-резонансная томография головного мозга с контрастированием используется в двух подвидах исследования:
- Ангиографическая томография. Назначается при диагностике патологий сосудистой системы мозга. Как правило, контраст вводится капельным путем и медленно.
- Перфузионная томография. Сильные стороны МР-перфузии в диагностике острых сосудистых катастроф и опухолей. Контраст вводится болюсно – в сосудистое русло попадает большое количество препарата за одно введение.
Частота проведения МРТ мозга с контрастом зависит от таких факторов:
- то, как пациент перенес препарат;
- наличие побочных эффектов;
-
самочувствие во время введения вещества;
- показаний и общего состояния человека.
Если взрослый и относительно здоровый исследуемый хорошо перенес контрастирование, процедуру можно проводить с частотой раз в неделю. Если возникли побочные эффекты, или пациент жаловался на неприятные ощущения, которые остались после процедуры, контраст вводят по серьезным показаниям, например, при частых обмороках.
Вредно или нет: само по себе контрастное вещество не вредно. Оно обрабатывается печенью и выводится почками с мочой в течение суток, не оставляя после себя следа в организме и не накапливаясь. Вред наносится не контрастом, а побочными эффектами.
Показания к проведению с контрастом
МРТ мозга с контрастированием назначается в таких случаях:
- Признаки некоторых дегенеративных заболеваний центральной нервной системы, например, рассеянного склероза: нарушение внимания, памяти, рассеянность.
- Подозрение на злокачественные и доброкачественные новообразования: распирающая головная боль, хроническая усталость, тошнота и рвота, слуховые или зрительные галлюцинации. Выявление внутричерепных метастазов.
- Подозрение на аденому гипофиза. МРТ головного мозга гипофиза с контрастированием делается потому, что на томографии без контраста опухоль железы не выявляется.
- Частые обморочные состояния, не имеющие очевидной причины. Нарушение сознания.
- Комплекс эмоциональных нарушений: лабильность настроения, раздражительность.
- Вегетативные проявления: гипергидроз, дрожание конечностей, одышка, сердцебиение, головокружение, шум в ушах, снижение аппетита, запор и пронос.
Что показывает исследование
МРТ головного мозга с контрастным веществом может показать такие патологии:
- Выпячивание части стенки артерии, очень редко – вены, из-за чего сосуд в области выпячивания расширяется в два раза.
- Расслоение стенок сосудов.
- Врожденные сосудистые дефекты.
- Воспаление стенок сосудов: флебит, артериит.
- Атеросклероз сосудов головного мозга.
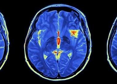
Магнитная томография с контрастом также показывает кровоснабжение опухоли. Накопление контраста при МРТ говорит о злокачественности новообразования.
Как подготовиться к обследованию
На процедуру следует явиться в просторной одежде без металлических вставок. Украшения можно оставить дома – на время процедуры их все равно придется снять. Перед сканированием лучше очистить кишечник и мочевой пузырь естественным путем. Можно ли есть: за два часа перед процедурой не рекомендуется употреблять пищу и пить много воды.
Прежде, чем начнется процедура, пациент отвечает на ряд вопросов, где он указывает наличие металлических и электронных приборов в своем теле. Импланты, искусственные водители ритма – это абсолютное противопоказание к сканированию.
Как делают процедуру:
- Пациент готовится: переодевается, выслушивает инструкцию лаборанта и укладывается на столик.
- Медсестра подсоединяет к вене катетер, через который вводится препарат с гадолинием. Когда вещество попадает в кровь, пациенты часто ощущают покалывание в теле, особенно затылке, потепление руки и жжение. Это стандартные реакции, которых не следует пугаться.
- Столик заезжает в туннель томографа. Начинается сканирование, которое длится от 30 до 60 минут. В это время нельзя двигаться, в противном случае конечная картина исказится.
- После исследования столик выдвигается. Снимается катетер, пациент переодевается и освобождается. Через несколько дней результат выдается на носителе или высылается на почту.
Во время сканирования томограф издает стук, поэтому пациенту выдают беруши или наушники.
Контрастное вещество для МРТ вызывает определенные риски. Хотя большинство пациентов нормально переносит процедуру контрастирования, у некоторых возникают побочные эффекты от легкой до тяжелой степени. Основная группа побочных явлений – аллергическая реакция. Поэтому, прежде чем приступать к процедуре, сообщите врачу обо всех имеющихся ваших аллергиях.
Самые распространенные легкие реакции организма на введение контраста:
- Субъективное ощущение тепла по телу.
- Привкус металла во рту.
- Образование на коже зудящих волдырей, которые похожи на ожег, крапивница. Обычно проходит самостоятельно.
- Выход контрастного препарата за пределы сосудистых стенок, попадание вещества в мягкие ткани. Это проявляется припухлостью, зудом, появлением розовых пятен.
Реакции средней тяжести:
- Ощущение нехватки воздуха. Частота возникновения – 1 случай на 5000 процедур. Симптом сопровождается отеком лица и одышкой.
- Снижение суточного объема мочи, о чем следует сообщить врачу.
Тяжелые реакции:
- Анафилактический шок. Это аллергия немедленного типа, которая развивается спустя 2-3 минуты после введения. Состояние характеризуется резкой болью, отеком, припухлостью лица, зудом кожи и быстрым падением артериального давления. При тяжелом течении отекает гортань и бронхи, затрудняется дыхание. Может привести к смерти.
Смерть от аллергии на контрастное вещество встречается у одного пациента на 100 тысяч процедур. Это при условии, что у исследуемого есть предрасположенность к аллергическим реакциям на контрастирование.
Противопоказания к проведению МРТ с контрастом
Процедуру нельзя проводить при таких ситуациях:
- Пациент страдает гемолитической анемией и другими заболеваниями крови.
- Есть индивидуальная непереносимость гадолиния или его производных.
- Хроническая и острая почечная недостаточность.
- Беременность, так как контраст проникает в кровоток плода, что может негативно сказаться на его развитии.
МРТ с контрастом и без
Альтернатива контрасту – магнитно-резонансная томография без введения контрастного препарата. Разница в том, что МРТ без контраста хуже выделят патологический очаг мозга, область хуже выделяется на фоне соседних тканей. Из-за этого затрудняется постановка диагноза и может быть назначено неправильное лечение.
МРТ головного мозга с контрастом, что это такое, томография сосудов
Магнитно-резонансная томография — один из наиболее информативных и точных методов инструментальной диагностики головного мозга. Он производится при помощи современного медицинского оборудования. Хорошие результаты дает МРТ головного мозга с контрастированием. Его назначают в том случае, когда стандартные методы диагностики не дают объективной оценки состояния организма человека.
Что представляет собой МРТ с контрастированием: общая информация
МРТ позволяет получить серию высококачественных снимков тканей различных органов. Оно может осуществляться с использованием контрастирующего вещества и без него. В первом случае диагностика дает более точные и детальные результаты.
Что значит «МРТ головного мозга с контрастом»? Чаще всего данная процедура требуется для уточнения сомнительного диагноза или обнаружения злокачественных новообразований на ранней стадии их развития. Она подразумевает ввод в организм пациента специального вещества.
Процедура позволяет исследовать все области и отделы мозга и выявить:
- Очаги различных заболеваний в головной мозге.
- Патологические процессы даже на ранних стадиях их развития.
- Аномалии различной этиологии.
- Доброкачественные и злокачественные новообразования, их форму, границы, оболочки и размеры.
- Метастазы, — как единичные, так и множественные.
Процедура является полностью безболезненной и не вызывает у пациента практически никаких неприятных ощущений. Главная сложность — отсутствие движения во время проведения диагностических исследований. Если этого не соблюдать, снимки могут получиться с искажениями, в результате поставить точный диагноз будет достаточно трудно.
Во время процедуры пациент может ощущать в теле легкие покалывания и тепло. Хотя в большинстве случаев люди физически не ощущают ничего.
Для диагностики травм и опухолей могут быть использованы томографы различной мощности. Для исследования головного мозга рекомендованы аппараты мощностью 1–1,5 Тл. Оборудование с меньшими показателями может выдать снимки низкого качества.
Скорость сканирования МРТ достаточно большая. Она составляет несколько снимков в секунду.
Продолжительность сканирования в среднем составляет 30 минут. Однако в некоторых случаях процедура может составлять порядка 60 минут.
Подготовка к МРТ
МРТ головного мозга с контрастом требует предварительной подготовки. Она заключается в следующем:
- За 2 часа до процедуры пациент полностью воздерживается от воды и пищи.
- Перед диагностикой нужно снять с себя полностью все металлические предметы, которые могут негативно повлиять на качество снимков и результаты исследований.
- Для прохождения процедуры пациенту следует переодеться в просторную и удобную одежду. В ее состав не должны входить вещества и материалы, способные негативно повлиять на результат исследований.
- В помещение, где проводится резонансная томография головного мозга, запрещено проносить мобильные телефоны и другую технику, негативно влияющую на работу медицинского оборудования.
- Немаловажным моментом является психологическая подготовка пациента к процедуре. Дело в том, что во время диагностики ему придется провести без движения как минимум полчаса в замкнутом и достаточно тесном пространстве, а это может стать серьезным испытанием для неподготовленного человека. Главное — понимать, что процедура проводится под наблюдением врача и весь процесс находится под контролем.
- Перед самой процедурой пациенту выдают специальные наушники, так как во время диагностики томограф выдает различные шумы и звуки, которые могут быть неприятны человеку.
При назначении на МРТ с усилением пациенту следует иметь при себе:
- Направление врача.
- Амбулаторную карту.
- Предыдущие результаты диагностических исследований.
В чем заключается процедура?
Процедура МРТ с контрастированием включает в себя следующие этапы:
- После подготовки пациента к процедуре проводится обычное МРТ головного мозга без контраста. Это позволит сравнить полученные в дальнейшем результаты и получить в итоге полную клиническую картину.
- Врач вводит пациенту внутривенно контрастирующее вещество. Несмотря на то что препарат является нетоксичным и в своем составе не содержит йода, человеку все равно необходимо прислушиваться к реакции организма и своему состоянию после введения вещества.
- Если пациент не чувствует тошноты, головокружения и других побочных эффектов, проводится МРТ. Во время проведения процедуры параллельно процессу сканирования по внутривенному катетеру в организм пациента вводится небольшими дозами свежее контрастирующее вещество.
Результат
В результате диагностических исследований создается трехмерная модель кровотока в обследуемом участке головного мозга. С помощью МРТ с контрастным усилением также можно получить детальную проекцию сосудов головного мозга и прилегающих к ним тканей. Благодаря этому можно получить точную информацию, которая потребуется для постановки точного диагноза и выбор правильного лечения.
Полученные в результате магнитно-резонансной томографии снимки подлежат дальнейшей расшифровке опытным врачом. После этого пациенту выдается на руки заключение. В случае обнаружения каких-либо патологий или заболеваний пациента направляют на лечение к определенному специалисту. Например, при обнаружении злокачественного новообразования лечение осуществляется у квалифицированного онколога.
Показания
МРТ головного мозга с контрастом, в отличие от обычной процедуры магниторезонансной томографии, назначается исключительно по направлению врача. Дело в том, что во время диагностики в организм пациента вводят специальное вещество, с помощью которого будут проводиться дальнейшие исследования. Реакция на него у пациента может быть различной, поэтому процедуру проводят под наблюдением квалифицированного анестезиолога.
Врач может назначить МРТ головного мозга с контрастированием в следующих случаях:
- Для подтверждения наличия в организме аденомы гипофиза.
- Выявления всех метастаз, образовавшихся в результате развития злокачественной опухоли.
- При инсульте тяжелой формы.
- Для уточнения природы опухолей, образовавшихся в различных отделах головного мозга.
- При заболеваниях иммунной системы (например, при рассеянном склерозе).
- При травме головы.
- При наличии инфекционных заболеваний (например, менингите).
- При генетических нарушениях (нейрофиброматозе).
- При нейродегенеративных заболеваниях ЦНС.
- При патологиях в работе кровеносных сосудов.
- Для подтверждения диагноза болезни Альцгеймера.
- При подозрении на стеноз и тромбоз сосудов.
МРТ сосудов головного мозга могут назначить при следующих симптомах:
- Частых головокружениях.
- Тошноте и рвоте, которые носят регулярный характер.
- Ухудшении функций зрения и слуха.
- Нарушении координации движений.
- Ухудшении памяти и мозговой активности.
- Спутанности сознания.
Нередко МРТ с контрастом назначают после оперативного вмешательства. Данная процедура позволяет оценить успешность проведенной операции.
Своевременно проведенное МРТ головы может выявить заболевания на ранней стадии, поставить верный диагноз, подобрать правильное лечение, которое способно не только облегчить симптомы, но и избавить от причины возникшего недуга.
Противопоказания
Томография с контрастом обладает рядом абсолютных противопоказаний. Данная процедура не проводится в следующих случаях:
- При наличии в организме пациента кардиостимулятора или других электронных устройств. Дело в том, что они способны блокировать работу томографа и искажать результаты диагностических исследований.
- Наличие в организме металлических имплантатов, которые, как и в предыдущем случае, негативно влияют на качество снимков и результаты диагностики.
- Нарушение нормальных функций почек (почечная недостаточность).
- Беременность до 14 недель и период лактации.
- Недавно проведенная процедура пересадки печени.
- Наличие у пациента аллергии на компоненты контрастирующего вещества.
Однако в некоторых случаях врач все-таки может назначить процедуру диагностики. Чаще всего такое решение он принимает при угрозе жизни пациента, когда провести диагностические исследования жизненно необходимо.
Кроме того, существует ряд относительных ограничений к проведению процедуры МРТ. К ним относят:
- Клаустрофобию.
- Психические расстройства.
- Вес пациента, превышающий 120 кг (в силу конструкции аппарата человек с большой массой просто не поместится внутри него).
- Наличие на теле пациента татуировок, в состав красящего вещества которых входят металлические элементы. В данном случае во время процедуры пациент может получить ожог.
Дополнительным противопоказанием к проведению томографии является наличие в организме пациента кохлеарного имплантата (протез внутреннего уха). Дело в том, что в состав данного устройства входят металлические компоненты, способные оказывать негативное воздействие на нормальную работу томографа и качество полученных в ходе диагностики снимков.
Побочные эффекты
Как правило, пациент во время процедуры не ощущает каких-либо неприятных ощущений или дискомфорта. МРТ проходит зачастую без побочных эффектов. Иногда у человека при введении контрастирующего вещества может возникнуть легкое головокружение, которое быстро проходит.
В некоторых случаях у пациента может возникать аллергия на контрастное вещество. К счастью, это происходит редко, поэтому процедуру диагностики могут назначить даже маленьким детям в возрасте до трех лет.
Общие сведения о контрастном веществе
Контрастное вещество требуется в случаях, когда необходимо получить на снимках четкую структуру отделов головного мозга. Чаще всего МРТ головного мозга с контрастным веществом назначается для выявления наличия в отделах мозга доброкачественных или злокачественных новообразований. Оно позволяет выявить их границы, размеры и структуру. Кроме того, контраст показывает сам очаг новообразования и место его локализации.
В качестве контрастного вещества для МРТ головного мозга чаще всего используют препараты, приготовленные на основе солей гадолиния. Они малотоксичны и лишь в редких случаях вызывают какие-либо побочные эффекты.
Сколько требуется вещества для контрастирования? Необходимое количество данного вещества определяет врач исходя из массы тела пациента. При этом нужная область контрастируется без вреда для здоровья.
Магнитно-резонансная томография, наряду с компьютерной томографией (КТ), является одним из ведущих методов диагностики. Благодаря МРТ головного мозга с контрастным веществом многим пациентам удалось узнать о наличии опухоли на ранней стадии развития и вовремя начать лечение.
Для чего и как проводят томографическое обследование головного мозга с контрастированием
Магнитно-резонансная томография – один из самых точных методов диагностики патологических состояний головного мозга. Лучше него может быть только МРТ головного мозга с применением контраста. Выясним, что это такое, и в чем разница между обычной МРТ и методикой с контрастным усилением?
Показания для применения контрастного усиления
Для проведения МРТ головного мозга с применением контрастного вещества определены следующие показания:
- Эпилепсия;
- Патологии сосудов головы;
- Черепно-мозговая травма;
- Рассеянный склероз;
- Нарушения речи и слуха;
- Болезни мозга воспалительного характера;
- Подозрение на злокачественные новообразования;
- Проверка наличия метастазов;
- Оценка состояния головного мозга после перенесенной операции;
- Процедура проводится также, если другие методы диагностики не смогли помочь в постановке диагноза.
В результате диагностического исследования можно устанавливать степень тяжести заболеваний нервной системы (болезни Альцгеймера, болезни Паркинсона и других). Благодаря МРТ головного мозга с контрастированием можно также выявить воспалительные процессы (энцефалит, миелит, арахноидит). Обследование позволяет диагностировать патологии кровеносных сосудов в мозге (аневризмы, атеросклероз, стеноз, мальформации и прочие).
Основное назначение МРТ с контрастированием – это выявление новообразований и установление их типа (доброкачественная или злокачественная опухоль). Они отчетливо выделяются на общем фоне снимков головного мозга благодаря накоплению в них контрастного вещества. На томографах, поддерживающих свервысокопольный режим, можно диагностировать наличие опухолей от 1 мм в диаметре.
Какие препараты используются и как их вводят
Для проведения МРТ с контрастированием используют препараты на основе гадолиния – химического элемента из группы металлов, относящегося к парамагнетикам. Он активно откликается на воздействие магнитного поля, а потому позволяет сделать четкие снимки структуры мозга.
Пациенту назначают один из следующих контрастирующих препаратов:
- Дотарем;
- Гадовист;
- Омнискан;
- Магневист.
Красящее вещество вводится в вену. Врач радиолог в зависимости от показаний к исследованию выбирает один из двух возможных способов его введения. В первом случае препарат вводится с помощью шприца однократно непосредственно перед процедурой. Во втором случае пациенту ставят инъектор, который автоматически рассчитывает дозировку и скорость подачи вещества в вену. При этом сканирование органов производится одновременно с введением контраста.
Как подготовиться к томографии мозга с контрастом
Особой подготовки для проведения данной процедуры не требуется. Рекомендации стандартны:
- Желательно прийти в свободной одежде без металлической фурнитуры (чтобы не переодеваться в диагностическом кабинете в больничную рубаху);
- Заранее нужно снять все украшения и съемные протезы из металла;
- При волнении желательно выпить успокаивающее средство, но не алкоголь;
- На МРТ нужно явиться с результатами предыдущих обследований (если такие были) и с медицинской картой.
Последний совет – лучше ничего не есть перед использованием контрастирующего вещества. Дело в том, что в единичных случаях после МРТ с применением контраста у пациента развивается тошнота и рвота. Но если вы хорошо переносите все лекарственные препараты, этой рекомендацией можно пренебречь.
Методика проведения процедуры
МРТ с контрастированием проводится так же, как и МРТ головного мозга без использования контраста. Единственная разница заключается в том, что пациенту перед процедурой дополнительно вводят красящий препарат.
Проведение МРТ поэтапно:
- Пациент убирает все металлические предметы, при необходимости переодевается в больничную одежду и ложится на стол.
- Ему вводят контраст или устанавливают инъектор. При клаустрофобии или, если пациенту менее 7 лет, дополнительно вводят седативный препарат.
- После введения контраста голову фиксируют для предотвращения движения ее во время сканирования и стол задвигается в тоннель.
- Томограф выполняет сканирование мозга и стол выдвигается. После этого пациент может покинуть диагностический кабинет, но иногда он остается на несколько часов в клинике под наблюдением врача.
Время проведения МРТ с контрастированием – от 30 до 50 минут, что в два раза дольше по сравнению с обычной процедурой.
Противопоказания
Противопоказания стандартны. МРТ головного мозга нельзя делать:
- В случае наличия кардиостимулятора, электронных устройств в среднем ухе или кровоостанавливающих клипс в области исследования;
- При беременности, если срок меньше 12 недель;
- При протезах и инородных телах, если они включают в свой состав металлы из группы ферромагнетиков;
- При клаустрофобии и других нарушениях психики, мешающих лежать во время исследования неподвижно (относительное противопоказание).
Следует учитывать, что МРТ с введением контраста может стать причиной аллергической реакции. Поэтому такой метод не может проводиться для людей с повышенной чувствительностью к препаратам, содержащим гадолиний.
Вредно ли это для здоровья
Обычно, пациенты чувствуют себя одинаково хорошо, как после МРТ головного мозга без применения контрастирования, так и с его использованием. Но у 1 человека из 1000 все же наблюдается развитие побочных эффектов. Они связаны с особенностями организма пациента: индивидуальная непереносимость контрастирующего препарата – редкий случай.
Среди возможных последствий введения контрастирующего средства – головня боль и головокружение, сыпь на коже. Иногда возможны тошнота и рвота. Побочные действия быстро прекращаются, так как препарат выводится из организма в течение нескольких часов.
МРТ головного мозга с контрастированием настолько точно, что показывает различные патологии, даже когда обычная томография тканей мозга выдает результаты в пределах нормы. Поэтому данный метод диагностики обнаруживает опухоли на ранней стадии развития. Он также с большой точностью позволяет оценить характер поражения мозга и степень тяжести выявленных заболеваний. Этим высокая стоимость процедуры полностью оправдывается.
МРТ головного мозга с контрастом
Применение метода магнитно-резонансной томографии (МРТ) для диагностирования патологических процессов головного мозга уже давно стало незаменимым. Ее высокая информативность обеспечивает быстрое установление достоверного диагноза. А в тех немногих случаях, когда проводимая по стандартному способу процедура не дает необходимого результата, назначается МРТ головного мозга с контрастированием.
Что такое исследование с контрастом?
В определенных ситуациях, при необходимости получить максимальную точность производимого диагностирования для проведения МРТ головы и шейного отдела рекомендовано применение контрастного усиления. Также данный метод используется для выявления возможных мельчайших изменений структуры тканей головы или шеи, что становится очень важным для определения заболеваний на начальных стадиях развития.
В большинстве случаев для создания контрастного эффекта применяются парамагнитные химические препараты, такие как Омнискан, Гадовист, Магневист, Томовист. Они в разы повышают информативность обследования за счет изменения изображения тканей по отношению друг к другу.
Эти препараты имеют свойство избирательно накапливаться в тканях организма, подверженным патологическим изменениям. Тогда как в здоровых тканях контрастное вещество почти не концентрируется, что дает возможность тщательного изучения патологических процессов.
Спектр возможностей МРТ головы с контрастом
Данное обследование позволяет диагностировать практически любые изменения в структурах головного мозга. Процедуру сканирования можно проводить как с использованием контрастного вещества, так и без него – это зависит от преследуемых целей.
МРТ – не инвазивный метод обследования, который не требует какого-либо травматического воздействия на организм человека, например, иглами или хирургическим инструментарием. Такой способ просто находка для гиперчувствительных к болевым ощущениям пациентов. Магнитно-резонансная томография головного мозга усиленная контрастным веществом обеспечивает почти стопроцентную безошибочность обследования, а также позволяет расширить сферу применения способа.
Этот метод с большой вероятностью покажет:
- патологические очаги в головном мозге;
- нарушения функций и структуры сосудов мозга;
- заболевания, обусловленные различными причинами;
- новообразования и их детальные характеристики, размеры и границы;
- наличие метастатических очагов.
Видимость новообразования на МРТ с контрастированием — более информативный способ диагностики
Благодаря МРТ с контрастом, удается получить наиболее точные данные о состоянии и костей черепа и мягких тканей головы. Поэтому данный способ является одним из часто используемых в диагностике многих заболеваний.
Даже при учете высокой информативности обычного магнитно-резонансного сканирования, при котором в большинстве случаев ткани отлично визуализируются, бывают исключения, когда требуется контрастное усиление. С его помощью удается добиться максимального эффекта при диагностике и дифференциации следующих патологий:
- травм головного мозга;
- злокачественных и доброкачественных новообразований;
- генетических аномалий (нейрофиброматоз);
- инфекционных и воспалительных очагов;
- болезней иммунной системы (рассеянный склероз);
- нейродегенеративных нарушений ЦНС.
Ранее выявление патологических изменений даст возможность вовремя назначить соответствующее лечение и добиться высоких результатов, что обеспечит пациенту здоровое полноценное существование.
Известно несколько неизлечимых заболеваний, при которых без регулярного МРТ головы с контрастом не обойтись. Наиболее распространенными недугами такого плана являются болезни Альцгеймера и Паркинсона.
Болезнь Альцгеймера
Заболевание характеризуется постепенным снижением памяти и умственных способностей, нарушением речи, способности к логическому мышлению. В результате таких изменений больной начинает испытывать беспокойство и становится подвержен депрессивным расстройствам. Заболевание необратимо, так как в его основе лежит постепенное разрушение нервных клеток, обусловленное различными причинами – генетическими, травмами, онкологическими и другими.
Самым оптимальным вариантом, который можно сделать в такой ситуации – это приостановить развитие заболевания. А для назначения наиболее эффективного лечения, требуется проводить периодически МРТ головного мозга с контрастированием.
Обследование при болезни Альцгеймера рекомендуют проводить каждые полгода-год
Проведя данную процедуру и имея на руках полную информацию о нейродегенеративных изменениях, больному будет предоставлена консультация соответствующих специалистов. Они назначат курс терапии, основываясь на полученных результатах, которая замедлит развитие заболевания.
Болезнь Паркинсона
При этом недуге у пациента нарушается координация движений, и может доходить до полной потери контроля собственного тела. Относительно медленное протекание болезни выражено постепенно прогрессирующей симптоматикой – от полного отсутствия проявлений до полной обездвиженности человека.
Вовремя проведенное тщательное обследование, которое обеспечит контрастирование, позволит обнаружить болезнь и назначить терапию, гарантирующую облегчение пациенту. И благодаря этому больной сможет сохранить бытовую и профессиональную активность.
Заболевания, не поддающиеся диагностике без усиления
Кроме двух вышеперечисленных болезней, изменения при которых выявить сложно без контрастирования, есть и другие патологии, нуждающиеся в приеме контрастных препаратов. Контраст показан:
- при подозрении на наличие сужения (стеноза) или тромбоза сосудов;
- часто беспокоящих головных болей невыясненных причин, мигреней;
- при новообразованиях гипофиза (аденом).
Аденома гипофиза видна только в условии контрастирования
Когда делают МРТ головы с применением усиления, доступно выявить микроскопические опухоли (микроаденомы), неподвластные для диагностики другими способами. Благодаря контрасту точность, информативность и надежность процедуры увеличивается в несколько раз.
Контрастирование при обследовании сосудов головного мозга
Широкие возможности электромагнитных волн распространяются не только на костные и мягкие ткани черепной коробки. При помощи МРТ сосудов головного мозга (ангиографии), сделанного на контрасте, можно получить полную информацию об их состоянии и качестве функционирования. Контраст позволяет выявить инсульты, микрокровоизлияния, отследить причины ВСД (вегетососудистой дистонии), повышенного внутричерепного давления, а также очаги атеросклероза (поражения артериальных стенок).
Зачастую для получения большего диапазона данных, параллельно с ангиографией назначается и МРТ мягких тканей шеи с контрастом, что позволяет врачу получить более полную картину состояния органов.
Учитывая, что МРТ головного мозга с контрастом обеспечивает детальное исследование участков тканей, и способствует вынесению заключительного диагноза, его назначают:
МРТ головы под наркозом
- Для более тщательного изучения патологического сегмента органа, найденного при МРТ без контраста.
- При подозрении на инфекционные, воспалительные или онкологические процессы – контрастное вещество активно накапливается в пораженных очагах.
- Для выявления новообразований в головном мозгу, большинство из которых отлично контрастируются, что позволяет отчетливо видеть границы опухоли, обеспечивая подготовку к оперативному вмешательству.
- Для выяснения качества структуры опухоли, чтобы МРТ показало степень ее злокачественности.
- При необходимости оценить активность протекания рассеянного склероза и выбрать правильную тактику лечения заболевания.
Также МРТ головного мозга с контрастом показывает наличие мелких метастазов, так как применяемый препарат повышает более чем в 2 раза вероятность их обнаружения при обследовании. Поэтому онкологическим больным зачастую назначается процедура с использованием контрастного вещества.
Такое исследование является незаменимым при проведении контрольного обследования после проведения операции, когда необходимо оценить результаты удаления опухоли и отследить рецидив (повторное возникновение).
Подготовка к процедуре
Для того чтобы пройти данное обследование нет необходимости совершать заранее какие-либо действия – не нужно соблюдать диету и отказываться от привычного образа жизни. Самое важное, и единственное, из чего в принципе и состоит подготовка к МРТ головного мозга с усилением – это пройти тест на возможную реакцию контрастного препарата.
Если же у пациента есть заболевания, которые могут препятствовать прохождению процедуры, то обязательно сообщить об этом врачу. Женщины должны заранее подготовиться и полностью исключить наличие беременности – оптимальный вариант прохождение теста. Также нужно сообщить об установленной внутриматочной спирали.
При беременности МРТ с контрастом не проводится
Помешать сканированию может что угодно, например, зубной протез или неснятый пирсинг, поэтому предварительно стоит внимательно проверить свое тело на наличие украшений или предметов, выполненных из металла.
Проведение обследования
Само сканирование ничем не отличается от многих других процедур, основанных на принципах компьютерной диагностики. Пациент не почувствует никаких неприятных ощущений, есть небольшая вероятность, что после введения контраста может быть незначительный дискомфорт, который, как правило, проходит довольно быстро.
Перед началом исследования пациента предупреждают о необходимости снять часы, очки и все украшения, а также если есть, то слуховой аппарат или съемные зубные протезы. Вводится контрастный препарат. Больного укладывают на кушетку аппарата и при необходимости фиксируют специальными ремнями для полной неподвижности.
Затем кушетка задвигается в тоннель аппарата и начинается сканирование. Процедура длится приблизительно час–полтора и пациент при этом не испытывает никаких болезненных ощущений. Вся информация, считанная при сканировании, передается на экран монитора и сразу же готова к интерпретации. После окончания процедуры пациент некоторое время ожидает расшифровки данных и потом может заниматься своими делами – на его состояние МРТ не повлияет.
Иногда, если пациенту сложно долго находиться в неподвижном состоянии, назначается разовый прием седативных препаратов, тогда ему не следует после диагностики садиться за руль и лучше прийти на процедуру с кем-нибудь из близких людей.
Противопоказания для введения контрастного вещества
Препараты, используемые для усиления информативности при МРТ, благодаря своей низкой токсичности и отсутствию аллергенного влияния, подходят практически все пациентам, но все же бывают редкие исключения. Незначительные проявления аллергической реакции легко купируются при введении необходимых препаратов.
Как осложнение, которое может произойти при инъекциях высоких доз контрастных веществ, может развиться нефрогенный системный фиброз. Такая патология опасна для пациентов с нарушениями функции почек, поэтому перед процедурой рекомендовано пройти их обследование. Если придерживаться всех рекомендаций, то МРТ с контрастом обеспечит получение точнейшей информации без каких-либо побочных негативных эффектов, о чем свидетельствуют многочисленные отзывы прошедших обследование.
Кормящим матерям рекомендуется воздержаться от кормления на протяжении 1–2 суток после диагностирования с контрастированием, чтобы препарат успел вывестись из организма естественным путем
Отзывы
Ирина, 43 года: Назначили обследование головы из-за частых мучительных болей, цена, конечно немалая – вместе с препаратом (Омниксан) мне обошлось в районе 5 000 рублей. Перед началом медсестра уточнила, есть ли на теле или в теле металлические предметы, я ответила отрицательно, и меня повели к кушетке. Во время процедуры было шумно и это было единственное, что мне не понравилось – все остальное было нормально и негативных ощущений не было.
Михаил, 38 лет: Делал МРТ головы в частной клинике, поэтому сервис был на высоте – объяснили, что и как нужно сделать и предложили лечь на кушетку. Одели на голову приспособление в виде шлема и, судя по громкому звуку, запустили прибор. От шума было немного не по себе, но в целом ничего страшного, хотя и лежать неподвижно было непросто.
Владимир, 56 лет: Прохожу сканирование уже не первый раз, в связи с рассеянным склерозом, в этот раз пришлось делать с контрастом. Незадолго до обследования провели тест на аллергические реакции, проверили результат и через некоторое время пригласили на процедуру. Все, как обычно, шум, фиксация головы и шеи и жутко отлежанные части тела из-за долгой обездвиженности. Но это все можно пережить для получения нужных результатов.