
После МРТ болит голова
МРТ – это один из самых информативных методов современной диагностики, который при грамотном проведении позволяет своевременно определить обширные и незначительные повреждения головного мозга, нарушения функциональности. Эта процедура основана на умеренном воздействии радиоволн, что на фоне вредного излучения является более щадящим и безопасным для здоровья вариантом. Конечный результат – визуализация очага патологии, правильная диагностика и назначение адекватной схемы лечения строго по показаниям. Но что делать, если после МРТ болит голова?
Болит голова после МРТ
Клиническая картина
Иногда после проведения этой процедуры у отдельных пациентов возникают интенсивные головные боли, которые не исчезают даже при употреблении сильнодействующего спазмолитика. Действие медицинских препаратов кратковременное, а общее состояние клинического больного резко ухудшается. В отдельных случаях после МРТ острый болевой синдром заменяет следующая симптоматика:
- приступы тошноты, головокружение;
- обморочное состояние;
- рвотный рефлекс;
- нарушение чувствительности;
- резкий спад работоспособности.
В данном случае речь идет о побочных явлениях, которые носят временный, но ярко выраженный характер, вызывают опасения за собственное здоровье. Прежде чем приступать к интенсивному лечению, важно выяснить, почему болит голова, и беспокоят другие тревожные симптомы, снижая качество жизни.
Этиология патологического процесса
Несмотря на то, что сама процедура исследования состояния головного мозга является абсолютно безвредной, проводить ее разрешается далеко не всем пациентам. Среди противопоказаний выделяют следующие особенности организма:
- период беременности;
- заболевания сердечно-сосудистой системы острой и хронической формы;
- нарушенная проницаемость капилляров и сосудов;
- наличие татуировок на теле;
- нарушение целостности кожных покровов;
- повышенная чувствительность организма;
- присутствие брекетов на металлической основе.
Процедура МРТ способна вызвать резкий спад работоспособности
Если такие ограничения в жизни клинического больного отсутствуют, самое время переходить к проведению МРТ. Сама процедура длится порядком 20 минут, но после завершения способна вызвать резкий спад работоспособности, неожиданной обморок и даже частичное помутнение рассудка.
Объясняются такие аномалии индивидуальной чувствительностью организма, поэтому встречаются на практике в единичных клинических картинах. Несмотря на то, что такое недомогание после МРТ является кратковременным, не стоит игнорировать тревожные сигналы собственного организма. О симптомах важно сообщить лечащему врачу, записаться на прием на внеплановую консультацию.
Причиной почему после проведения процедуры болит голова, является слабость сердечно-сосудистой системы. Возможно, пациент сам не догадывается о проблемах с сердцем, поэтому острый болевой синдром после МРТ для него становится самой большой неожиданностью. Объясняется это просто: при воздействии радиоволн на слабые сосудистые стенки повышается вибрация последних, в результате чего нарушается системный кровоток. Кровь отклоняется от привычного курса, сталкивается с «препятствием» на своем пути, отчего нарушается внутричерепное давление, напоминает о себе острый приступ мигрени.
Такое недомогание чаще всего преобладает у пациентов с сердечной недостаточностью, о существовании которой они только догадываются. Как известно, этот диагноз прогрессирует в хронической форме со слабовыраженной симптоматикой. Аналогичная проблема возникает при ишемии сердца и атеросклерозе, когда нарушена проницаемость сосудистых стенок.
Методы борьбы
Если после МРТ беспокоит приступ головной боли, врач рекомендует постельный режим, покой и обильное питье. Чаще всего это травяные отвары, лечебные очаги, снимающие спазмы сосудов, облегчающие общее самочувствие. Прием спазмолитиков показан только по рекомендации специалиста, поскольку подобные медицинские препараты также имеют массу противопоказаний и побочных явлений.
Если после МРТ беспокоит приступ головной боли, врач рекомендует постельный режим и покой
После выполнения МРТ рекомендуется расслабиться, избегать усиленных физических и умственных нагрузок, исключить лишние эмоции и повышенную раздражительность. Врачи рекомендуют занять горизонтальное положение, почитать либо выполнить расслабляющий массаж головы. В идеале состояние нормализуется через 15 – 20 минут, иначе требуется помощь специалиста с последующим назначением сильнодействующих анаболиков.
Существует ошибочное мнение, что МРТ становится причиной злокачественных новообразований в головном мозгу, поскольку воздействует доза радиации. На самом деле это безобидный метод клинического обследования, которые исключает подобные последствия для органического ресурса. Если присутствуют головные боли, это может быть признак другого заболевания, но никак не осложнение проведенной МРТ.
На заметку
Если у пациента продолжает болеть голова даже после приема сильных спазмолитиков, врачи назначают проведение МРТ для установки окончательного диагноза с определением патогенных факторов заболевания.
После инсульта также показана такая диагностика, поскольку определяет степень поражения головного мозга, размеры очагов некроза, участки нарушенного кровообращения. Это информативный метод, который определяет дальнейший период реабилитации и его характерные особенности.
После перенесенных черепно-мозговых травм МРТ также является эффективным способом, позволяющим определить скрытую угрозу для здоровья. Например, можно диагностировать внутреннее кровотечение, тромбоз и прочие патологии.
Эта процедура участвует в комплексной диагностике таких опасных диагнозов, как болезнь Паркинсона, рассеянный склероз, гидроцефалия, болезнь Альцгеймера, синдром Гентингтона, энцефалит, менингит, обширные патологии гипофиза.
Именно МРТ позволяет визуализировать злокачественные опухоли мозга, другие новообразования неизвестной этиологии. Уместно такое обследование и при нервных расстройствах, дезориентации в пространстве, нарушенном сознании.
Поверхностное самолечение исключено, МРТ проводится только по показаниям лечащего врача и никак иначе
Проводить процедуру разрешается только в лабораторных условиях, при этом дополнительно требуется убедиться, что отсутствуют противопоказания и любые металлические предметы на теле. Также важно проявить осторожность к татуировкам, нарушенной целостности кожных покровов. Если беспокоят систематические приступы мигрени, не исключено, что это аномальное состояние усилится после проведения МРТ.
Если головные боли являются временным явлением, прогрессируют только после процедуры, то это всего лишь побочный эффект, который не нуждается в медикаментозной коррекции. Поверхностное самолечение исключено, МРТ проводится только по показаниям лечащего врача и никак иначе.
Головная боль после мрт головного мозга — Боль в голове
Если болит голова после МРТ
Почему болит голова или плохо после магнитно-резонансной томографии? Возможные причины и методы лечения данного недуга. Советы и рекомендации специалистов, врачей, пациентов. Читайте на нашем сайте.
Томография – информативный, эффективный и безопасный метод исследования заболеваний и патологий в современной медицине. Метод активно используется для диагностики болезней практически всех органов и систем организма человека, в том числе и головного мозга. Резонансный томограф создает магнитный луч, который не оказывает никакого вредного влияния на пациента, а сама процедура МРТ безболезненна и не требует восстановления после ее окончания. В результате диагностики получается подробный многослойный снимок, с помощью которого легко выявляются ранние стадии самых разных заболеваний, патологи, изменений, последствий травм.
Но случается, что пациент жалуется на то, что у него после МРТ болит голова. Может ли томография оказывать такое воздействие, от которого может заболеть голова – часто интересуются пациенты у специалистов.
Действительно, порой головная боль после обследования не проходит даже при приеме спазмолитических препаратов. Кроме этого, возможно появление и другой симптоматики:
- тошнота и головокружение
- состояние обморока
- рвота
- изменения чувствительности работоспособности.
Пациент чувствует себя плохо после МРТ, волнуется за свое здоровье, поскольку побочные эффекты хоть и кратковременные, но ярко выраженные.
Дело в том, что, несмотря на абсолютную безопасность и безболезненность процедуры томографии, все же существует ряд противопоказаний, которые могут давать такие состояния во время диагностики.
К ним относятся:
- беременность пациентки;
- сердечно-сосудистые заболевания различной формы;
- татуировки на теле;
- высокая чувствительность организма к магнитным полям;
- травмы и повреждения кожи;
- плохая проницаемость сосудов и капилляров.
Диагностика длится не более часа. Но снижение работоспособности и обморок после нее – тревожные симптомы, которые говорят об индивидуальной непереносимости и чувствительности организма и требуют обязательной врачебной консультации для выявления причин такого недомогания.
Объяснить головную боль после МРТ просто: воздействие магнитного поля нарушает кровоток при слабых стенках сосудов, повышая внутричерепное давление и вызывая головную боль. В этом случае необходимо медицинское обследование на предмет сердечной недостаточности пациента, поскольку это заболевание имеет хроническую форму с невыраженной симптоматикой. Такие же проблемы будут возникать при атеросклерозах, ишемиях сердца, нарушениях проницаемости сосудов.
Помощь при возникновении побочных эффектов
Что делать, если после МРТ пациент почувствовал себя плохо? Может помочь обильное питье травяных чаев, снимающих спазмы сосудов, постельный режим. Прием обезболивающих препаратов возможен только по назначению врача. Следует также снизить все физические, умственные нагрузки, исключить волнение, излишние эмоции, раздражение. Обычно состояние стабилизируется в течение 20 минут.
Следует обратить внимание на то, что головные боли после МРТ требуют дополнительной диагностики, так как скрывают за собой серьезное заболевание.
Использованные источники: rentgen.online
ВАС МОЖЕТ ЗАИНТЕРЕСОВАТЬ : Головные боли пр беременности Чай от головной боли при беременности Зеленый чай от головной боли при беременности Головная боль усталость при беременности
Какое МРТ делать при головной боли и что она покажет?
Чаще всего мы не обращаем внимания на головные боли, не придаем значения частоте их возникновения. Каждый раз мы принимаем таблетки, не задумываясь, что это всего лишь способ на время снять дискомфортные болезненные ощущения. Головная боль — это такой же признак проблем со здоровьем, как жар при простуде или боль в животе при заболеваниях ЖКТ.
Процедура МРТ при головных болях
У головных болей может быть разная природа и разные причины. И для того чтобы получить ответ на вопрос пациента: «Почему у меня болит голова?», — доктор должен дать направление на диагностику и назначить обследования.
В качестве основного метода диагностики используются МРТ и КТ:
- МРТ (магнитно-резонансная томография) — это процедура, которая дает полное представление о состоянии исследуемой части тела пациента, а также о наличии или отсутствии того или иного заболевания. При МРТ четкие снимки получаются за счет обследования организма человека посредством воздействия магнитного поля.
- КТ (компьютерная томография) — это метод диагностики, который также дает четкое изображение обследуемой области, но посредством воздействия на нее рентгеновских лучей, направляемых под разными углами.
Зачем делать МРТ головы при головных болях?
МР-томография диагностирует: наличие или отсутствие опухолей головного мозга, нарушений мозгового кровообращения, поражений сосудов (например, аневризмы), последствий ряда заболеваний и инсульта. Обследование дает информацию о наличии или отсутствии серьезных болезней, признаком которых являются хронические или периодические головные боли.
Если у вас болит голова, то врач даст направление на МРТ или КТ. Данные обследования позволяют получить подробную информацию о патологиях, если они есть, но не всегда дают информацию о причинах возникновения болей в голове. При необходимости специалист должен провести более подробное обследование пациента.
Диагностика мигрени при помощи МРТ
Сильные и продолжительные головные боли с одной стороны головы (реже — с обеих), которые сопровождаются такими симптомами, как раздражение, плохое самочувствие, тошнота, рвота и прочее, могут указывать на мигрень или на заболевания головного мозга, которые имеют схожую симптоматику.
МРТ при мигрени назначают для выявления патологий сосудов головы, структурных изменений головного мозга, органических поражений тяжелых форм и прочих патологий.
Что покажет МРТ при мигрени? Приступ мигрени выражается в расширении сосудов в мозге, после чего случается резкий (и болезненный для человека) спазм. МР-томограф фиксирует нарушения кровотока (при приступах) и отражает ишемические очаги, появляющиеся в большом количестве.
Какую МРТ нужно делать при головной боли?
Обследование должно быть максимально полным, чтобы врач мог составить оптимальный план по решению проблемы и выяснить, почему у пациента болит голова. Одно из первых и основных исследований — это МРТ головного мозга.
Если оно не дает необходимой картины по проблеме, то может быть назначена , а также: МРТ шейного отдела позвоночника
- ультразвуковое дуплексное сканирование сосудов шеи ;
- суточное мониторирование артериального давления и ЭКГ ;
- анализы крови и мочи.
Какую МРТ или другой метод диагностики потребуется сделать при головных болях, определяет врач после сбора анамнеза и первичного осмотра пациента.
Определяемые типы головной боли
Головная боль бывает разной и возникает при разных обстоятельствах, а также характеризуется различной симптоматикой.
Синусная боль
Данный тип боли появляется по причине воспаления в носовых пазухах, для которого характерны насморк и заложенность носа, отек слизистой. При этом начинает болеть лоб и вся зона вокруг носа. Синусная боль исчезает, когда проходит причина ее возникновения — воспаление.
При нарушении кровообращения в мозгу
Нарушение мозгового кровообращения может носить острый или хронический характер и сопровождаться головными болями. При разной клинической картине это может быть острая боль в голове и глазных яблоках или боль вместе с головокружением, тошнотой, плохим сном и т.д.
После поражения мозговых тканей
Данный тип головной боли возникает после травм (при травмах поверхностных тканей), кислородного голодания тканей, при скоплении жидкости в тканях и пр. Мягкие ткани головного мозга имеют большое количество нервных окончаний. Болезненность часто возникает на поверхности головы и может носить неврологический характер.
При остеохондрозе шеи
При остеохондрозе головная боль появляется в шее и в затылке, а потом переходит в одну из половин головы. Боль может различаться по интенсивности и носить разный характер, а также сопровождаться головокружением и тошнотой.
Как проводится МРТ головного мозга?
Для проведения процедуры пациент ложится на стол-транспортер, который заезжает в томограф — сканирующее устройство. На время обследования пациент остается в трубе и должен сохранять неподвижность, чтобы картина получилась четкой. Процедура может занимать разное время — от 15 минут.
Особой подготовки к не требуется, но необходимо предупредить врача, если у вас клаустрофобия (это может послужить противопоказанием к проведению процедуры). Если во время МРТ вы почувствуете недомогание, то об этом можно будет незамедлительно сообщить специалисту, проводящему процедуру МРТ головы.
Головные боли после МРТ: что делать?
На сегодняшний день МРТ считается одной из самых безопасных диагностических методик, но в некоторых случаях пациенты жалуются на возникновение сильной боли в затылке или макушке. Иногда человека тошнит, кружится голова.
Данная симптоматика возникает в силу индивидуальных особенностей организма и повышенной чувствительности к воздействиям подобного рода. Обычно симптомы носят временный характер и проходят в течение суток. При необходимости врач может дать рекомендации для того, чтобы снять симптомы.
Использованные источники: dcenergo.ru
ВАС МОЖЕТ ЗАИНТЕРЕСОВАТЬ : Головная боль жар при беременности Головная боль при беременности 31 нед Распирающая головная боль при беременности Приступ головной боли при беременности
Можно ли делать МРТ при головных болях?
Магнитно-резонансная томография (МРТ) считается эффективным методом диагностики заболеваний, при котором подробно составляется картина внутреннего состояния организма. Основные преимущества технологии: безопасность, высокий уровень четкости визуализации внутренних органов и тканей, неинвазивность.
МРТ может выявить много в вашей голове
Выделяют 2 группы факторов, вызывающих головные боли: функциональные и органические. Именно органические патологии головного мозга можно определить, если делать МРТ:
- Новообразования.
- Гайморит и другие воспаления придаточных пазух носа.
- Поражения сосудов.
- Гидроцефалия.
- Воспалительные процессы головного мозга.
- Кровоизлияния.
- Какие-либо врожденные патологии структуры мозга.
МРТ при головных болях назначают также в случае подозрения на нарушение кровотока в мозге. Тогда исследование проводится в ангиорежиме: нужно поймать момент приступа, что позволит выявить нарушения и интенсивность кровообращения в головном мозге.
Специалисты при применении такой техники способны обнаружить «синдром шейной артерии», который часто становится причиной головных болей пульсирующего характера. Это происходит из-за передавливания шейной артерии при движениях головы и шеи. Обычно причиной считается перенесенная травма.
Показания для проведения МРТ:
- черепно-мозговые травмы;
- угроза инфаркта;
- острые нарушения кровотока;
- восстановительный период после операции;
- локализация головных болей в одном полушарии.
Как именно работает томограф, и что он позволяет увидеть
Чтобы определить диагноз, необходимо сделать и изучить магнитно-резонансный снимок. Результат, сделанный на томографе, в сочетании с данными ангиографического исследования позволяют оценить состояние кровообращения в сосудах и артериях. Мигрень на снимках чаще выглядит в виде множественных очагов нарушенного кровотока, так как патология характеризуется расширением сосудов перед приступом и резким спазмом в момент приступа.
Наиболее полным обследованием считается МРТ в сочетании с ангиографией сосудов головы и шеи. Только за счет проведения комплексной процедуры специалисты устанавливают состояние тканей, структур, поражений, нарушений, новообразований в головном мозге. Достаточно часто ангиографию заменяют дуплексным исследованием или ультразвуковым методом.
Стандартная процедура заключается в исследовании 3 основных зон: мозга, его сосудов и шейного отдела позвоночника.
При необходимости можно провести венографию сосудов, которая исключает или подтверждает наличие тромбоза и других патологий вен. Нужно ли проводить данную процедуру, решает лечащий врач в зависимости от симптоматики и причин.
Что делать, если после МРТ заболела голова
Несмотря на безопасность исследования для здоровья, многие пациенты испытывают головные боли после МРТ, легкое недомогание, головокружение и тошноту. Причем очаг располагается в затылочной части головы. Это временный дискомфорт, связанный с повышенной чувствительностью к воздействию кратковременных, но сильных электромагнитных излучений. Уже через сутки неприятные ощущения проходят сами, но можно принять и обезболивающее.
Если неприятные ощущения все же остались, необходимо обязательно сообщить об этом наблюдающему врачу. После процедуры рекомендуется сократить количество выпиваемой жидкости, исключить физические и умственные нагрузки, соблюдать постельный режим.
Использованные источники: golovushka.ru
ВАС МОЖЕТ ЗАИНТЕРЕСОВАТЬ : Головная боль жар при беременности Головная боль при беременности 31 нед Www головные боли при беременности ru
После МРТ у пациента начинает болеть голова: что это означает
Магниторезонансной томографией пользуются для того, чтобы осуществить диагностику на предмет наличия патологических отклонений и возникновения новообразований. Процедура исследования основывается на формировании радиоволн и магнитного поля, что позволяет исследовать любой внутренний орган в трехмерной графике. В конечном результате пациент получает правильное определение диагноза, а также назначение адекватной схемы лечения. Изредка у пациентов может наблюдаться такое явление, как болит голова после МРТ. Что это означает, и почему может болеть голова, выясним далее.
Как проявляются головные боли после МРТ
Изредка пациенты жалуются на интенсивные головные боли после МРТ, которые не исчезают даже после принятия обезболивающих и спазмолитических препаратов. Кроме того, что у пациента возникают головные боли, а также ухудшается самочувствие, следует также отметить следующую симптоматику:
- головокружение и приступы тошноты и рвоты;
- нарушение чувствительности;
- обморочное состояние;
- упадок сил;
- признаки общего недомогания организма.
Вышеописанное состояние пациента случается зачастую после проведения процедуры МРТ головного мозга. Это свидетельствует, прежде всего, о возникновении побочной симптоматики, которая может носить как временный, так и постоянный характер. Если у пациента заболела голова после проведения диагностики МРТ головного мозга, то об этом следует сообщить специалисту-диагносту. Прежде чем приступать к процедуре лечения, необходимо изначально выяснить причины плохого самочувствия пациента.
Важно знать! Пациент должен обратиться в стационар, если после магниторезонансной томографии у него болит голова, а боль не проходит даже после приема лекарственных препаратов.
Почему может возникнуть последствие в виде болевого синдрома
Несмотря на то, что магнитное воздействие на организм человека не представляет опасности, и является абсолютно безвредным, но важно знать, что проводить МРТ можно далеко не всем пациентам. Существует ряд противопоказаний, на основании которых категорически запрещается проводить безопасное и безвредное диагностическое исследование МРТ. К таковым противопоказаниям относятся:
- Первый триместр беременности. Во втором и третьем триместре проводить исследование не только можно, но и нужно при наличии показаний. Первые 12 недель проводить МРТ не желательно по той простой причине, что у будущего малыша формируются важные органы и системы.
- Наличие признаков недомоганий сердечно сосудистой системы.
- Нарушение целостности кожных покровов.
- Наличие в организме металлических коронок, пластин, кардиостимуляторов и слуховых аппаратов.
- Присутствие татуировок на теле.
Противопоказано также проводить исследование МРТ, если у пациента имеются признаки психических расстройств. Такая методика может негативно повлиять на самочувствие пациента, а признаком таких осложнений и является возникновение головных болей.
Важно знать! Процедура исследования длится от 20 минут до 2 часов, что зависит от исследуемой части тела или органа. Исследование головного мозга обычно не превышает 20-30 минут.
При резонансном воздействии после проведения процедуры МРТ головного мозга боли встречаются в единичных случаях у пациентов. Если все же у пациента возникает головная боль, пусть даже и кратковременная, он в обязательном порядке должен сообщить об этом врачу. Одной из существенных причин возникновения боли после проведения МРТ головного мозга, является ослабленная сердечно-сосудистая система.
Специалисты объясняют процесс возникновения головных болей тем, что радиоволны влияют негативно на слабые стенки сосудов, в результате чего в них возникает вибрация. При вибрации происходит нарушение нормального кровотока, что способствует отклонению крови от привычного курса. Отклонение крови способствует нарушению внутричерепного давления, после чего и возникают симптомы мигрени или головной боли.
Было установлено, что чаще всего на мигрени страдают пациенты, у которых имеются признаки сердечной недостаточности. Зачастую пациенты попросту даже не догадываются об этом, но данные патологии проявляются при проведении процедуры МРТ.
Можно ли избежать возникновения головных болей при МРТ
В сравнении с компьютерной томографией, МРТ является наиболее безвредным и максимально информативным. Но, как и после компьютерной, так и после МРТ у пациента могут возникнуть приступы головных болей. Если пациента почувствовала, что после диагностики у нее болела голова, то ей непременно нужно сообщить об этом специалисту. Врач первым делом посоветует полный покой, отдых, постельный режим и обильное питье. Таким пациентам противопоказано добираться самостоятельно домой, поэтому необходимо вызвать родственников. Принимать спазмолитические и обезболивающие препараты можно только тогда, когда разрешит врач.
Избежать возникновения головных болей невозможно, особенно если у пациента ослаблена сосудистая система. Головная боль наблюдается даже у тех пациентов, для которых процедура исследования проводилась под наркозом. Чтобы ускорить исчезновение мигрени, врачи рекомендуют расслабиться, не нагружать организм физическими и умственными упражнениями, а также исключить различные виды эмоциональных расстройств.
Важно знать! Если головная боль на протяжении суток не проходит, то об этом нужно сообщить специалисту.
Если головные боли не проходят
При продолжительных головных болях врачом может быть принято решение о проведении повторного исследования, чтобы выявить точные причины и поставить окончательный диагноз. МРТ назначается и после инсульта, так как данный вид исследования позволяет определить поражения мозговых клеток, выявить размеры очагов некроза, а также диагностировать наличие признаков нарушения кровообращения.
Если головные боли не проходят, то не следует их скрывать, тем более пытаясь избавиться от них с помощью обезболивающих препаратов. Головные боли могут быть причиной злокачественных новообразований и патологий в головном мозгу, поэтому не следует скрывать болевые синдромы, которые тревожат пациента еще до проведения исследований.
Подводя итог, стоит отметить, что кратковременные головные боли после МРТ являются нормой, хотя встречаются крайне редко. Такие боли обычно проходят самостоятельно через некоторое время. Если возникает потребность приема спазмолитиков, то предварительно проконсультируйтесь со специалистом.
Использованные источники: proskopiyu.ru
Почему болит голова после процедуры МРТ
МРТ процедура
Одним из популярных и результативных видов обследования человеческого организма, является МРТ. С его помощью врачи имеют возможность точно определять наличие и степень повреждения головного мозга. Это уникальная, инновационная методика, основанная на изучении тканей с использованием радиоволн. И несмотря на безболезненность процедуры, многие пациенты после МРТ утверждают, что страдают от головной боли.
О методике
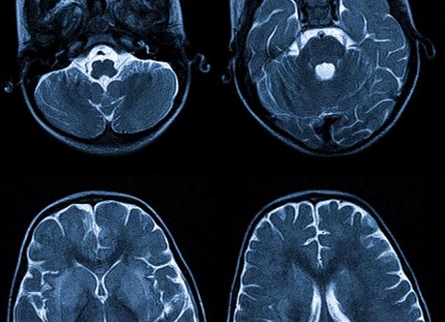
МРТ головного мозга представляет собой инновационный вид обследования, в ходе которого получают снимки тканей и органов в разных ракурсах.
Снимки МРТ
Изучая полученные данные, врач может выявить наличие:
- Патологических воспалительных процессов.
- Негативных изменений в тканях.
- Развитие опухолей.
Процедура осуществляется с помощью электромагнитного воздействия на органы, которое абсолютно безвредно для человека. МРТ назначается для обследования детей и беременных женщин. Единственный дискомфорт, возможный в процессе томогарфии – ощущение небольшого тепла в точках попадания импульсов. Ни каких болевых ощущений после обследования быть не может.
О противопоказаниях
Подготовка к процедуре
Чтобы магнитно-резонансное обследование прошло нормально, важно соблюдать рекомендации медиков.
Несмотря на безопасность процедуры, существуют противопоказания, не позволяющие проводить данный вид исследований.
- При наличии у пациента кардиостимуляторов, протезирующих элементов и прочих металлических конструкциях, размещенных в теле, МРТ проводить нельзя.
- Если у человека обострение текущего заболевания либо ухудшение общего состояния до критического, процедуру не проводят.
- Делать томографию в первом триместре беременности запрещается.
- При наличии у пациента боязни замкнутого пространства, МРТ также не назначают.
Если не соблюдены данные рекомендации, пациент может ощущать, что после МРТ болит голова.
В каких случаях возникает головная боль?
Головная боль
Если после МРТ головного мозга болит голова, возможно это индивидуальная реакция организма на контрастное вещество, вводимое в начале процедуры. Контраст необходимо для усиления картинки. Благодаря этому веществу, врачи точно определяют наличие малейших негативных изменений в тканях головного мозга. Контраст может вызывать головные боли, тошноту, аллергическую реакцию.
Учитывая, что МРТ назначается для выявления патологических процессов в головном мозге, ухудшение общего состояния и возникновение головных болей, может быть вызвано обострением основной болезни. Многие пациенты задаются вопросом: для чего сделать МРТ, когда болит голова?
Медики утверждают, что благодаря данному исследованию можно выявить:
- Причины возникновения частой головной боли, головокружения.
- Потери сознания.
- Причины нарушения в кровообращении головного мозга.
- Выявление последствий черепно-мозговых травм.
Анализ МРТ
Каждое из этих состояний может вызвать неприятные, болевые ощущения в головном мозге. И если прошло МРТ нормально, а голова болит, вероятней всего произошло обострение патологического состояния пациента.
В норме после процедуры магнитно-резонансной томографии, голова болеть не может. Более того, это один из наиболее безопасных видов исследования человека, которое позволяет быстро и точно выявить причину болезненных ощущений. Проводя МРТ диагностику, врачи имеют возможность поставить точный диагноз и назначить эффективное лечение.
Подводя итог
В случае необходимо определить почему часто болит и кружится голова, врачи назначают пациенту МРТ. Благодаря безболезненности процедуры, данный вид обследования подходит почти каждому человеку. Существуют исключения и противопоказания, о которых медик предупредит пациента. Но в большинстве случаев МРТ – лучший метод точно и быстро выявить причину плохого самочувствия.
Вконтакте
Одноклассники
Мой мир
Может от мрт голова болеть
Врач в больнице сказал мне и моему сыну, что МРТ головы в 10 раз вреднее рентгена и делать его лучше не надо в юном возрасте (сыну 5 лет). Что-то я в толк не возьму как МРТ связан с рентгеном? Или магнитное поле там настолько сильное? Насколько большой вред нанесет эта процедура моему ребенку?
Добрый день. Процедура МРТ (магнитно-резонансной томографии) выполняется по строгим показаниям, поэтому лечащий врач без крайней необходимости ее не назначит. МРТ головы проводится при подозрении на новообразования, аневризмы и другие сосудистые патологии головного мозга, аномалии развития, а также для исключения демиелинизирующих и воспалительных заболеваний (рассеянный склероз, менингит, энцефалит и др.). При травмах обычно рекомендована КТ.
Это связано с тем, что на МРТ-снимках лучше визуализируются мягкотканые структуры и сосуды, а на снимках КТ, наоборот, костные элементы.
Магнитно-резонансная томография основана на применении магнитного поля и движении в нем протонов (ионов водорода). Данный метод не связан с лучевой нагрузкой и не несет в себе никакой радиации. Вместе с тем, врач-диагност может получить очень тонкие срезы, позволяющие обнаружить даже небольшие органические изменения в мягких тканях и головном мозге.
Среди абсолютных противопоказаний к проведению МРТ можно отметить:
- Наличие металлических пластин, кардиостимуляторов, протезов в организме пациента;
- Острый период психических заболеваний с высокой вероятностью навредить себе во время исследования;
- Непереносимость контрастных веществ.
Детям МРТ может выполняться под наркозом, основная причина тому – невозможность для ребенка длительно находиться в положении лежа без малейшего движения. Вред от наркоза больше, чем от самого исследования. Поэтому магнитно-резонансная томография детям рекомендуется только тогда, когда без данной процедуры обойтись уже нельзя.
Вам все еще кажется, что победить головную боль тяжело?
- Вас мучают эпизодические или регулярные приступы головной боли
- Давит голову и глаза или бьет кувалдой по затылку или стучит в висках
- Иногда при головной боли вас тошнит и кружится голова?
- Все начинает бесить, работать становится невозможно!
- Выплескиваете свою раздражительность на близких и коллег?
Прекратите это терпеть, вам нельзя больше ждать, затягивая с лечением. Прочитайте, что советует Елена Малышева и узнайте как избавиться от этих проблем.
Томография КТ и МРТ при мигрени
головные боли Мигрень – это функциональное расстройство, связанное с нарушением строения и функциональности сосудов (тонуса) головы. Следовательно, нельзя отнести такие нарушения к отдельному виду болезней, скорее речь идет о пограничном состоянии, связанном с нарушениями основных функций.
- Содержимое:
- Диагностика головы при мигрени
- Что показывает снимок на томографии
- Что лучше, МРТ или КТ
КТ и МРТ при мигрени назначают для того чтобы исключить патологии, которые имеют схожую клиническую картину и могут угрожать жизнедеятельности и здоровью человека.
Диагностика головы при мигрени
Обычно обратиться к врачу за помощь побуждают приступы головной боли, которые не снимаются обычными анальгетиками. После обследования пациент отправляется на консультацию к неврологу.
Диагностика мигрени на МРТ назначается во всех случаях обращения к врачу. Обследование позволяет выявить факторы, провоцирующие приступы боли и назначить наиболее эффективное лечение.
Так как не во всех случаях обычная томография позволяет выявить причины нарушений, рекомендовано проведение КТ и МРТ в ангиорежиме, при головных болях и подозрении на неврологическое расстройство. Результаты исследований позволяют исключить смежные заболевания и установить класс и направленность патологии.
Болевые ощущения при мигрени принято различать на следующие виды:
- С аурой и без неё.
- Базилярную мигрень.
- Ретинальные вестибулярные расстройства.
- Мигренеподобные болевые ощущения.
Буквально несколько десятилетий назад считалось, что болевые ощущения могут распространяться исключительно в одной половине головы. МРТ головного мозга при мигрени показывает, что существуют аномалии, при которых процесс распространяется на всю голову.
Что показывает снимок, сделанный на томографии?
- снимок мозга Магнитно-резонансная томография — мигрень видно по наличию очагов множественного ишемического генеза, белого вещества лобной доли. Во время ослабления приступа наблюдаются изменения кровотока. Признаки мигрени на магнитно-резонансном томографе связаны с этиологией неврологического нарушения. Непосредственно перед приступом сосуды головы расширяются и затем резко сужаются. Такие изменения можно легко обнаружить, проведя диагностику во время обострения и сразу после него.
- Компьютерная томография при мигрени показывает в основном причины возникновения неврологических нарушений. Часто, КТ исследование помогает выявить наличие опухолевого образования, кисты, аневризмы, которые создают повышенное внутричерепное давление и вызывают сильнейший приступ боли.
При частой головной боли нужно сделать исследование головы с помощью компьютерной и магнитно-резонансной томографии. Исследования помогут исключить наличие аневризмы и онкологического новообразования, а также других неврологических расстройств.
Что лучше, МРТ или КТ в обследование мигрени
Решение о том, что делать КТ или МРТ решает невролог после получения общей картины о состоянии пациента и сбора анамнеза. Врач также определяет, каким образом необходимо проводить процедуры: режим диагностики, использование контраста и т.д.
Как правило, нужно делать магнитно-резонансную томографию мозга головы в следующих случаях:
- Острые нарушения кровообращения.
- Черепно-мозговые травмы.
- Частые головные боли в одном полушарии. Один и самых характерных симптомов нарушений.
- Послеоперационное восстановление.
- Угроза инфаркта мозга.
При МРТ можно определить мигрень по нарушениям в структуре сосудов мозга.
При компьютерной томографии головного мозга, можно выявить мигрень по наличию патологических изменений в структуре. Опухоли и новообразования могут вызвать сильный болевой синдром. КТ может оказать помощь в тех случаях, где МРТ не выявило никаких изменений.
После сбора анамнеза лечащий врач определит, какой вид диагностики при головных болях будет необходим: компьютерная томография или МРТ. Ни один из этих способов обследования не является лучше или хуже, каждый служит своей цели и помогает исключить второстепенные причины вызывающие приступы головной боли.
Головные боли после МРТ: причины и методы лечения
Возможны ли головные боли после МРТ? Эта проблема беспокоит многих пациентов, поскольку в Интернете можно встретить немало высказываний о головной боли после МРТ. Чтобы объективно ответить на этот вопрос, уделим внимание принципам, на которых базируется эта методика.
Технология МР-сканирования:
Магнитно-резонансная томография или МРТ представляет собой неинвазивное исследование органов и тканей, основанное на явлении ядерного магнитного резонанса. Во время диагностики пациент ложится на подвижную кушетку, его помещают в туннельную трубу томографа, где он находится в состоянии неподвижности. Во время МРТ и после пациент не должен испытывать боли любого характера.
После магнитно-резонансной томографии диагност получает серию пошаговых срезов с изображением зоны интереса. На основании снимков можно оценить состояние органов, выявить патологические изменения в тканях, воспалительные и опухолевидные процессы.
Могут ли электромагнитные волны, испускаемые томографом, стать причиной боли в голове после МРТ? Доказательств этому нет, поскольку построение изображения выполняется благодаря электромагнитному воздействию, которое безвредно для организма.
МРТ считается одним из наиболее безопасных методов инструментальной диагностики, пригодным для обследования детей и беременных, боли после процедуры исключены. Любой дискомфорт при сканировании отсутствует, возможны лишь ощущения тепла в той области, куда направлены электромагнитные импульсы.
Противопоказания к МРТ
Для исключения негативных последствий, одним из которых может быть боль после МРТ, врач обязан выявить у пациента возможные противопоказания к исследованию:
- наличие кардиостимуляторов, протезов и других металлических элементов;
- тяжелое состояние по основному или сопутствующему заболеванию;
- первый триместр беременности;
- необходимость в физиологическом мониторинге;
- боязнь замкнутых пространств (клаустрофобия).
Большинство побочных эффектов связано с внутривенным введением контраста — возможна небольшая боль или тошнота. Контрастное усиление может привести к появлению реакций в виде крапивницы, стеснения дыхания, поэтому врач предварительно выясняет, нет ли у пациента аллергии на контраст.
Когда после МРТ возникают боли?
Большинство отзывов, в которых есть жалобы на головные боли после МРТ, исходят от пациентов, выполнявших обследование головного мозга. Почему после МРТ возникают боли? Для выяснения причин неприятных ощущений сначала рассмотрим, какие существуют показания к процедуре:
- жалобы на частую головную боль, головокружение, дезориентацию;
- резкое ухудшение или полная потеря зрения;
- нарушение мозгового кровообращения;
- диагностика опухолевых поражений, дегенеративных и воспалительных изменений в мозге;
- черепно-мозговая травма;
- оценка результатов хирургического вмешательства.
Истинная причина боли после МРТ — это отнюдь не процедура, а тот патологический процесс, который развивается в организме человека.
Диагностические возможности томографии велики, и с помощью этого метода часто выявляют болезнь на ранней стадии, что значительно облегчает ее дальнейшее лечение.
Если имеют место боли после МРТ, то перепутаны причина и следствие: МР-диагностика только помогает поставить точный диагноз, определить, чем вызваны боль, ухудшение зрения и другие тревожные симптомы.
Источники: https://saymigren.net/expert-answers/vredno-li-mrt-golovy.html, https://infomrt.ru/155-mrt-pri-migreni.html, https://testpuls.ru/blog/mrt/golovnyje-boli-posle-mrt-prichiny-i-metody-lechenija
Комментариев пока нет!