
О чём говорит анализ мочи. Микроскопия осадка мочи
Микроскопия компонентов мочи проводится в осадке, образующемся после центрифугирования 10 мл мочи. Осадок состоит из твердых частиц, суспендированных в моче: клеток, цилиндров, образованных белком (с включениями или без них), кристаллов или аморфных отложений химических веществ.
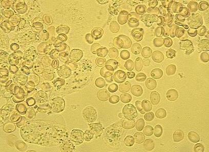
Эритроциты в моче
Эритроциты (форменные элементы крови) попадают в мочу из крови. Физиологическая эритроцитурия составляет до 2 эритроцитов/мкл мочи. Она не влияет на цвет мочи. При исследовании необходимо исключить загрязнение мочи кровью в результате менструаций! Гематурия (появление эритроцитов, других форменных элементов, а также гемоглобина и др. компонентов крови в моче) может быть обусловлена кровотечением в любой точке мочевой системы. Основная причина увеличения содержания эритроцитов в моче — почечные или урологические заболевания и геморрагические диатезы.
Норма: отсутствуют; при микроскопии — до 2 в поле зрения
Эритроциты в моче — превышение нормы:
- камни мочевыводящих путей;
- опухоли мочеполовой системы;
- гломерулонефрит;
- пиелонефрит;
- геморрагические диатезы (при непереносимости антикоагулянтной терапии, гемофилиях, нарушении свертывания, тромбоцитопениях, тромбоцитопатиях);
- инфекции мочевого тракта (цистит, урогенитальный туберкулез);
- травма почек;
- артериальная гипертензия с вовлечением почечных сосудов;
- системная красная волчанка (люпус-нефрит);
- отравления производными бензола, анилина, змеиным ядом, ядовитыми грибами;
- неадекватная терапия антикоагулянтами.
Лейкоциты в моче
Повышенное количество лейкоцитов в моче (лейкоцитурия) — симптом воспаления почек и/или нижних отделов мочевого тракта. При хроническом воспалении лейкоцитурия более надежный тест, чем бактериурия, которая часто не определяется. При очень большом количестве лейкоцитов гной в моче определяется макроскопически — это так называемая пиурия. Наличие лейкоцитов в моче может быть обусловлено примесью к моче выделений из наружных половых органов при вульвовагините, недостаточно тщательном туалете наружных половых органов при сборе мочи для анализа.
Норма: отсутствуют; при микроскопии:
мужчины — 0 — 3 в поле зрения женщины, дети < 14 лет — 0 — 5 в поле зрения
Повышение лейкоцитов в моче наблюдается почти при всех заболеваниях почек и мочеполовой системы:
- острый и хронический пиелонефрит, гломерулонефрит;
- цистит, уретрит, простатит;
- камни в мочеточнике;
- тубулоинтерстициальный нефрит;
- люпус-нефрит;
- отторжение почечного трансплантата.
Эпителиальные клетки в моче
Клетки эпителия почти постоянно присутствуют в осадке мочи. Эпителиальные клетки, происходящие из разных отделов мочеполовой системы, различаются (обычно выделяют плоский, переходный и почечный эпителий).
Клетки плоского эпителия, характерного для нижних отделов мочеполовой системы, встречаются в моче у здоровых людей, и их присутствие обычно имеет небольшое диагностическое значение. Количество плоского эпителия в моче повышается при инфекции мочевыводящих путей.
Повышенное количество клеток переходного эпителия может наблюдаться при циститах, пиелонефрите, почечнокаменной болезни.
Присутствие в моче почечного эпителия свидетельствует о поражении паренхимы почек (наблюдается при гломерулонефритах, пиелонефритах, некоторых инфекционных заболеваниях, интоксикациях, расстройствах кровообращения). Наличие клеток почечного эпителия в количестве более 15 в поле зрения через 3 дня после пересадки является ранним признаком угрозы отторжения аллотрансплантата.
Норма: отсутствуют;
при микроскопии: клетки плоского эпителия:
- женщины – единичные в поле зрения
- мужчины – единичные в препарате
другие эпителиальные клетки — отсутствуют
Обнаружение клеток почечного эпителия:
- пиелонефрит;
- интоксикация, прием салицилатов, кортизола, фенацетина, препаратов висмута, отравление солями тяжелых металлов, этиленгилколем);
- тубулярный некроз;
- отторжение почечного трансплантата;
- нефросклероз.
Цилиндры в моче
Цилиндры — элементы осадка цилиндрической формы (своеобразные слепки почечных канальцев), состоящие из белка или клеток, могут также содержать различные включения (гемоглобин, билирубин, пигменты, сульфаниламиды). По составу и внешнему виду различают несколько видов цилиндров (гиалиновые, зернистые, эритроцитарные, восковидные и др.).
В норме клетки почечного эпителия секретируют так называемый белок Тамм-Хорсфалля (в плазме крови отсутствует), который и является основой гиалиновых цилиндров. Гиалиновые цилиндры могут встречаться в моче при всех заболеваниях почек. Иногда гиалиновые цилиндры могут обнаруживаться у здоровых людей. Как патологический симптом, они приобретают значение при постоянном обнаружении и в значительном количестве, особенно при наложении на них эритроцитов и почечного эпителия.
Зернистые цилиндры образуются в результате разрушения клеток канальцевого эпителия. Их обнаружение у пациента в состоянии покоя и без лихорадки свидетельствует о почечной патологии.
Восковидные цилиндры образуются из уплотненных гиалиновых и зернистых цилиндров в канальцах с широким просветом. Встречаются они при тяжелых заболеваниях почек с преимущественным поражением и перерождением эпителия канальцев, чаще при хронических, чем при острых процессах.
Эритроцитарные цилиндры образуются при наслоении на гиалиновые цилиндры эритроцитов, лейкоцитарные — лейкоцитов. Наличие эритроцитарных цилиндров подтверждает почечное происхождение гематурии.
Эпителиальные цилиндры (редко) образуются при отслойке канальцевого эпителия. Встречаются при тяжелых дегенеративных изменениях канальцев в начале острого диффузного гломерулонефрита, хроническом гломерулонефрите. Их наличие в анализе мочи через несколько дней после операции — признак отторжения пересаженной почки.
Пигментные (гемоглобиновые) цилиндры образуются при включении в состав цилиндра пигментов, и наблюдается при миоглобинурии и гемоглобинурии.
Цилиндроиды – длинные образования, состоящие из слизи. Единичные цилиндроиды встречаются в моче при норме. Значительное их количество бывает при воспалительных процессах слизистой оболочки мочевых путей. Часто они наблюдаются при стихании нефритического процесса.
Норма: гиалиновые цилиндры – единичные, остальные — отсутствуют
Гиалиновые цилиндры в моче:
- почечная патология (острый и хронический гломерулонефрит, пиелонефрит, почечнокаменная болезнь, туберкулез почек, опухоли);
- застойная сердечная недостаточность;
- гипертермические состояния;
- тяжелая физическая нагрузка,
- повышенное артериальное давление;
- прием диуретиков.
Зернистые цилиндры (неспецифический патологический симптом):
- гломерулонефорит, пиелонефрит;
- диабетическая нефропатия;
- вирусные инфекции;
- отравление свинцом;
- лихорадка.
Восковидные цилиндры:
- хроническая почечная недостаточность;
- амилоидоз почек;
- нефротический синдром.
Эритроцитарные цилиндры (гематурия почечного происхождения):
- острый гломерулонефрит;
- инфаркт почки;
- тромбоз почечных вен;
- злокачественная гипертензия.
Лейкоцитарные цилиндры (лейкоцитурия почечного происхождения):
- пиелонефрит;
- люпус-нефрит при системной красной волчанке.
Эпителиальные цилиндры (наиболее редко встречающиеся):
- острый канальцевый некроз;
- вирусная инфекция (например, цитомегаловирусная);
- отравление солями тяжелых металлов, этиленгликолем;
- передозировка салицилатов;
- амилоидоз;
- реакция отторжения почечного трансплантата.
Бактерии в моче
Выделение бактерий с мочой имеет существенное диагностическое значение. Бактерии сохраняются в моче не более чем 1-2 суток после начала антибиотикотерапии. Предпочтительна для исследования первая утренняя порция мочи. Определить вид бактерий и оценить уровень бактериурии, а также выявить чувствительность микроорганизмов к антибиотикам можно с помощью бактериологического посева мочи.
Норма: отрицательно
Бактерии в моче:
- инфекции органов мочевыделительной системы пиелонефрит, уретрит, цистит).
Дрожжевые грибки
- кандидамикоз, возникающий чаще всего в результате нерациональной антибиотикотерапии.
Референсные значения: отрицательно
Неорганический осадок мочи (кристаллы), соли в моче
Моча — это раствор различных солей, которые могут при стоянии мочи выпадать в осадок (образовывать кристаллы). Образованию кристаллов способствует низкая температура. Наличие тех или иных кристаллов солей в мочевом осадке указывает на изменение реакции в кислую или щелочную сторону. Избыточное содержание солей в моче способствует образованию конкрементов и развитию мочекаменной болезни. В тоже время диагностическое значение присутствия в моче кристаллов солей обычно невелико. К образованию кристаллов ведут повышенные дозы ампициллина, сульфаниламидов.
Мочевая кислота в физиологических условиях встречается при большой концентрации мочи, после обильной мясной пищи, после обильного потоотделения.
Норма: отсутствуют
Мочевая кислота и ее соли (ураты):
- высококонцентрированная моча;
- кислая реакция мочи (после физической нагрузки, мясной диете, лихорадке, лейкозах);
- мочекислый диатез, подагра;
- хроническая почечная недостаточность;
- острый и хронический нефрит;
- обезвоживание (рвота, понос);
- у новорожденных.
Кристаллы гиппуровой кислоты:
- употребление в пищу плодов, содержащих бензойную кислоту (черника, брусника);
- диабет;
- болезни печени;
- гнилостные процессы в кишечнике.
Аммиак-магнезии фосфаты, аморфные фосфаты:
- щелочная реакция мочи у здоровых;
- рвота, промывание желудка;
- цистит;
- синдром Фанкони, гиперпаратиреоз.
Оксалат кальция (оксалурия встречается при любой реакции мочи):
- употребление в пищу продуктов, богатых щавелевой кислотой (шпинат, щавель, томаты, спаржа, ревень);
- пиелонефрит;
- сахарный диабет;
- отравление этиленгликолем.
Лейцин и тирозин:
- выраженное расстройство обмена веществ;
- отравление фосфором;
- деструктивные заболевания печени;
- пернициозная анемия;
- лейкоз.
Цистин:
- врожденное нарушение цистинового обмена – цистиноз.
Жир и жирные кислоты:
- дегенеративные изменения эпителия почечных канальцев;
- употребление в пищу большого количества рыбьего жира.
Холестерин:
- хилурия;
- жировое перерождение почек;
- эхинококкоз почек;
- цистит;
- холестериновые камни.
Билирубин:
- гепатиты;
- рак печени;
- инфекционные заболевания;
- отравление фосфором.
Гематоидин:
- хронические кровотечения на протяжении мочевыводящего тракта, особенно если кровь где-либо застаивается.
Слизь в моче
Слизь выделяется эпителием слизистых оболочек. В норме присутствует в моче в незначительном количестве. При воспалительных процессах содержание слизи в моче повышается. Увеличенное количество слизи в моче может говорить о нарушении правил правильной подготовки к взятию пробы мочи.
Норма: незначительное количество.
Микроскопия мочи
При диагностировании патологических состояний различного рода обязательно назначается общий анализ мочи. Микроскопия осадка мочи — это часть общеклинического обследования. Суть данного анализа заключается в подсчете и оценке качества элементов мочевого осадка, с целью выявления или опровержения большинстве патологических состояний.
Общие сведения об исследовании
Правильно собранный и вовремя доставленный (время доставки 1—2 часа) в лабораторию материал влияет на корректную расшифровку анализа. Для проведения анализа нужна утренняя разовая порция мочи, сохраняемая в стерильном контейнере для анализов. Обязательно перед началом сбора анализа нужно выполнить интимную гигиену.
Анализ показатель при подозрениях на такие патологические состояния:
- гематурия (подсчет эритроцитов);
- пиурия (подсчет лейкоцитов);
- цилиндрурия (подсчет цилиндров);
- бактериурия (количество бактерий)
- гемоглобинурия. Оценивается и наличие солевых кристаллов, эпителиальных клеток, слизи, простейших.
Исследование дает возможность оценить функцию почек и мочевыводящих путей, а также выявить нарушения в работе внутренних органов.
Процедура исследования состоит из следующих этапов:
- С помощью пипетки со дна емкости набирают 10 мл мочи (простоявшей 1—2 часа).
- Набранный материал центрифугируется при 1500 об./мин. продолжительностью 5—7 мин.
- Состав одной капли осадка анализируют, используя малое и большое увеличение. Полученные данные помогут при диагностировании заболеваний, определении проходящего воспалительного или инфекционного процесса, изменении в обмене веществ.
Вернуться к оглавлению
Расшифровка результатов анализа осадка: норма
Важно учитывать, что на результат анализа микроскопии осадка мочи могут повлиять некоторые внешние факторы, такие как:
- чрезмерные физические нагрузки;
- прием лекарственных препаратов (мочегонных или антибиотиков);
- нарушение правил сбора и сдачи урины;
- диета.
Элементы, которые присутствуют в осадке принято классифицировать, как организованные, имеющие органическое происхождение, и неорганизованные — неорганический осадок. Для всех выявленных элементов мочевого осадка существуют определенные нормы, превышение которых свидетельствуют о различных патологических состояниях.
Вернуться к оглавлению
Гемоглобин
Наличие гемоглобина в моче говорит о тяжелых инфекционных заболеваниях.
Наличие гемоглобина в осадке мочи считается отклонением, так как считается признаком распада эритроцитов. Зачастую вызывается различными заболеваниями — гриппом, пневмонией, остропротекающей инфекцией. Но и внешние причины, также могут спровоцировать его возникновение в урине, например, переохлаждение, травмы, отравления. При этом моча приобретает красно-бурый оттенок, могут появиться болезненные ощущения в поясничном отделе. Очень часто моча, насыщенная гемоглобином, свидетельствует о неудачном переливании крови, когда кровь донора несовместима с кровью принимаемого пациента.
Вернуться к оглавлению
Эритроциты в осадке мочи
Эритроциты в урине бывают неизменные и выщелоченные. Их отличие состоит в содержании гемоглобина, выщелоченные его не содержат. Выщелоченные присутствующие в микроскопируемом материале указывают на нарушения в работе почек, неизмененные — на нарушения работы мочевыводящих путей. Нормальный показатель эритроцитов для женского пола — 3, для мужского пола — 1. При других показателях отмечается гематурия. Выделяют микрогематурию (окрас урины не изменяется) и макрогематурию (моча изменяет цвет из-за присутствия эритроцитов). Не стоит проводить микроскопическое исследование осадка мочи во время критических дней, так как кровь может попасть в образец с мочой. К причинам появлению гематурии относят:
- патологии и травмы почек;
- диатезы;
- наличие камней в почках;
- опухоли мочевой системы;
- инфекции мочевых путей;
- отравления различного рода.
Вернуться к оглавлению
Лейкоциты в осадке мочи
Большое количество лейкоцитов вызывает помутнение мочи.
Граничными значениями лейкоцитов в урине являются показатели для женщин 0—5, для мужчин — 0—3. Если значения повышены, значит, с мочой выделяется гной (пиурия или лейкоцитурия). Пиурия всегда свидетельствует о воспалительном очаге. Для определения приблизительной локализации проходящего воспаления назначают стаканные пробы мочи, а именно трехстаканную пробу. Концентрация лейкоцитов в первом стакане урины — это начальная пиурия, она свидетельствует об уретрите или простатите. Конечная пиурия определяется присутствием лейкоцитов в третьем стакане и предполагает цистит. Избыток лейкоцитов в трех стаканах — недуги почек и мочевого пузыря.
Вернуться к оглавлению
Эпителий в осадке урины
Эпителиоциты (клетки эпителиальные) обнаруживаются в урине достаточно часто, их присутствие в единичных значениях считается нормой. Классифицируются эпителиоциты по природе происхождения. Большое значение имеет выявленный в осадке почечный эпителий, так как этот вид эпителия переходит из почечных канальцев. Этот факт свидетельствует о серьезном поражении почек. Повышение допустимых значений плоского эпителия зачастую свидетельствует о неправильном сборе анализа или остром воспалительном процессе в органах мочевыводящей системы. Осадок мочи, содержащий полиморфный эпителий в значениях выше допустимых несет информацию о заболеваниях мочевыводящих путей (онкологии, цистите, камнях, интоксикациях).
Вернуться к оглавлению
Цилиндры в микроскопируемом анализе осадка мочи
Гиалиновые цилиндры могут встречаться в моче при всех заболеваниях почек.
В микроскопируемом образце в пределах нормы могут присутствовать в единичном количестве только гиалиновые цилиндры. Причинами их появления могут послужить физические нагрузки. Наличие всех остальных видов в норме не допускается, в обратном случае фиксируется цилиндрурия. Причинам ее появления являются:
- различные болезни почек;
- недостаток кровообращения;
- различного рода лихорадки;
- инфекции и отравления.
Вернуться к оглавлению
Неорганизованный осадок
Содержание солей в моче не должно превышать 20—40 мг. При нарушениях работы мочевой системы, в частности, рН мочи (в норме она слабокислая) соли в урине могут накапливаться. Кислотность (реакция) мочи определяется по некоторым показателям. Реакция рН ниже 5,5 делает урину кислой, в ней образуются соли уратов. Мочекислый аммоний, трипельфосфаты, аморфные фосфаты появляются в щелочной моче, где pH выше 7,0. Оксалаты имеют свойство появляться и в кислой, и в щелочной урине (pH 5,5—6,0). Фосфаты, оксалаты, ураты — распространенные соли, которые часто можно обнаружить в урине. Каждые из них в значениях отличимых от нормы сигнализируют о разных заболеваниях.
Вернуться к оглавлению
Другие параметры исследования
В нормальном состоянии бактерии в моче отсутствуют.
Анализ под микроскопом включает и нахождение слизи и бактерий. Сигналом наличия воспаления считается повышение объема слизи. В составе мочи бактерии должны отсутствовать. С помощью микроскопии, возможно, только установить факт обнаружения бактерий, для определения вида, назначают бактериологический посев. Более чем одна бактерия, найденная при микрокопировании, оценивается как бактериурия. Причинам возникновения бактериурии являются инфекционные заболевания органов мочевыделительной системы. Дрожжевые грибы и простейшие в норме отсутствуют.
Вернуться к оглавлению
Количественные методы исследования осадка мочи
Методы количественного исследования осадка урины применяются после отрицания патологий, вызванных лейкоцитурией и эритроцитурией. Их использование дает более точные данные об элементах мочевого осадка, помогает диагностировать скрытую пиурию. Суть метода состоит в подсчете количества элементов мочевого осадка в определенном объеме урины, с фиксированием определенного времени (минут, часов). К количественным исследованиям относят и методы Каковского-Аддиса, Нечипоренко и Амбурже.
Общий анализ мочи с микроскопией осадка
Общий анализ мочи — рутинный метод исследования, применяющийся в диагностике и контроле течения ряда заболеваний, а также скрининговых обследованиях. Анализ мочи является одним из самых эффективных методов диагностики отклонений в работе почек.
Общий анализ мочи включает оценку физико-химических характеристик мочи и микроскопию осадка. Общий анализ мочи больным с заболеваниями почек и мочевыделительной системы выполняют многократно в динамике для оценки состояния и контроля терапии. Здоровым людям рекомендуется выполнять этот анализ 1 — 2 раза в год.
Не стоит недооценивать его значение для определения других патологий в организме современного человека. Это и заболевания и воспалительные процессы мочевыводящих путей (исследование на слабокислую, нейтральную или щелочную реакцию), мочеполовой системы (повышенный уровень лейкоцитов), мочекаменной болезни (появление эритроцитов в пробе), сахарный диабет (наличие в моче глюкозы), застойные процессы (наличие слизи) и многое другое.
Не вызывает сомнений то, что столь серьезный вид исследований анализа мочи необходимо проводить с максимальной точностью, на современном оборудовании и на правильно подготовленном материале.
Определяются общие свойства мочи: (цвет, прозрачность, удельный вес, рН, белок, глюкоза, билирубин, уробилиноген, кетоновые тела, нитриты, гемоглобин);
Микроскопия мочевого осадка: (эпителий, эритроциты, лейкоциты, цилиндры, бактерии, соли).
Правила сбора мочи
Майонезные баночки для анализа мочи и прочая «классическая» тара поликлиник и народного фольклора безвозвратно уходят в прошлое. Для сбора материала стоит использовать специальные стерильные контейнеры и консерванты. Таким образом, сводится к минимуму шансы попадания в пробу посторонних веществ, а также значительно увеличивается приемлемый для качественного проведения анализа мочи, срок транспортировки пробы от пациента до диагностического оборудования.
Далее – подготовка к проведению сбора материала. Правила личной гигиены в этот момент становятся не просто желательными, но обязательными: в мочу не должны попасть, ни пот, ни выделения сальных желез. Антибактериальное мыло в данном случае использовать не рекомендуется. Моча без примесей – результат исследования без ошибок. Необходимо упомянуть и о другом виде примесей, способных исказить результаты проведенного анализа мочи: пище и лекарствах. Накануне вечером не стоит употреблять в пищу свеклу, морковку и прочие природные красители. Помните, что один из основных параметров исследования – цвет мочи. И, если уж он отличается от нормы, которой считается желтый цвет и его оттенки, то пусть он даст информацию не только о том, чем вы поужинали.
Отметим, что нарушение нормы присутствия пигментов может сделать цвет мочи совершенно неожиданным — синим, коричневым, красным, даже зелёным.
Темный цвет мочи может свидетельствовать о нарушениях в работе печени, в частности при заболевании гепатитом. Печень перестает разрушать один из ферментов, который, вступая в реакцию с воздухом, и дает такое изменение цвета.
Если моча покраснела, скорее всего, в ней присутствует кровь. Если напоминает разбавленное водой молоко – в ней переизбыток жира. Сероватый оттенок придает содержащийся в ней гной. Зеленый или синий цвет – один из признаков процессов гниения в кишечнике. Пенистой моча бывает только у мужчин. Ничего страшного нет: это происходит тогда, когда в нее попадает сперма. А, например, поллюции или переизбыток спермы никто еще контролировать не научился.
Лекарства. Даже безобидный аспирин в больших дозах может выкрасить мочу в розовый цвет. Особенно же нежелателен прием накануне сдачи анализа мочи антибактериальных лекарственных препаратов и уросептиков. Необходимо проконсультироваться с врачом по поводу паузы в их применении. За исключением случаев, когда основным предметом исследования является как раз концентрация лекарств в моче.
Алкоголь очень сильно искажает результаты анализа мочи.
Постарайтесь накануне анализа мочи пить не больше, и не меньше жидкости, чем обычно.
За 12 часов до взятия анализа половой жизнью не жить.
Отметим также, что нежелательно сдавать анализ мочи в период менструации и в течение недели после таких процедур, как цистоскопия.
Помните, что основную роль в постановке диагноза (например, «воспалительный процесс в мочеполовой системе») играет не само наличие/отсутствие бактерий в моче, а их повышенное количество: характерный рост по сравнению с нормой (2 тысячи бактерий в 1 мл) составляет 50 раз (до 100 тысяч бактерий в 1 мл мочи).
Анализ мочи назначают при:
— заболеваниях мочевыделительной системы; — скрининговых обследованиях при профосмотрах; — для оценки течения заболевания, контроля над развитием осложнений и эффективности проводимого лечения.
— Лицам, перенёсшим стрептококковую инфекцию (ангина, скарлатина) рекомендуется сдать анализ мочи через 1 — 2 недели после выздоровления. Здоровым людям мы рекомендуем сдавать анализ мочи 1-2 раза в год. Помните, лечение всегда дороже профилактики.
Сбор мочи для общего анализа подготовка.
Перед сбором мочи обязательны гигиенические процедуры, чтобы в мочу не попали бактерии сальных и потовых желез.
Собирают строго утреннюю порцию мочи, выделенную сразу же после сна, желательно среднюю порцию. Интервал между сбором мочи и доставкой материала в лабораторию должен быть как можно меньше.
Для сбора мочи используется специальный набор (стерильный контейнер и пробирка с консервантом), который вместе с инструкцией по сбору необходимо заранее приобрести в любом медицинском офисе ИНВИТРО под залоговую стоимость.
Моча в пробирке с консервантом принимается в течение всего дня (по графику сдачи анализов из крови).
Показания
- Заболевания мочевыделительной системы.
- Скрининговое обследование при профосмотрах.
- Оценка течения заболевания, контроль развития осложнений и эффективности проводимого лечения.
- Лицам, перенёсшим стрептококковую инфекцию (ангина, скарлатина) рекомендуется сдать анализ мочи через 1 — 2 недели после выздоровления.
Расшифровка результатов общего анализа мочи
Цвет мочи.
В норме пигмент мочи урохром придаёт моче жёлтую окраску различных оттенков в зависимости от степени насыщения им мочи. Иногда может изменяться только цвет осадка: например, при избытке уратов осадок имеет коричневатый цвет, мочевой кислоты — жёлтый, фосфатов — белесоватый.
Повышение интенсивности окраски — следствие потерь жидкостей организмом: отёки, рвота, понос. Изменение цвета мочи может быть результатом выделения красящих соединений, образующихся в ходе органических изменений или под воздействием компонентов рациона питания, принимавшихся лекарств, контрастных средств.
| Цвет мочи | Состояние | Красящие вещества |
| Соломенно-жёлтый | Отёки, ожоги, рвота, понос, застойные отёки при сердечной недостаточности | — |
| Темно-жёлтый | Отёки, ожоги, рвота, понос, застойные отёки при сердечной недостаточности | Большая концентрация урохромов |
| Бледный, водянистый, бесцветный | Несахарный диабет, сниженная концентрационная функция почек, приём диуретиков, гипергидратация | Низкая концентрация урохромов |
| Желто-оранжевый | Приём витаминов группы, фурагина | — |
| Красноватый, розовый | Употребление в пищу яркоокрашенных фруктов и овощей, например, свеклы, моркови, черники; лекарств — антипирина, аспирина | — |
| Красный | Почечная колика, инфаркт почки | Наличие эритроцитов в моче — свежая гематурия, присутствие гемоглобина, порфирина, миоглобина |
| Цвет «мясных помоев» | Острый гломерулонефрит | Гематурия (изменённая кровь) |
| Тёмно-бурый | Гемолитическая анемия | Уробилинурия |
| Красно-коричневый | Приём метронидазола, сульфаниламидов, препаратов на основе толокнянки. Отравление фенолами | — |
| Чёрный | Болезнь Маркиафава-Микелли (пароксизмальная ночная гемоглобинурия) Алкаптонурия. Меланома | Гемоглобинурия Гомогентизиновая кислота
Меланин (меланурия) |
| Цвет пива (жёлто-бурый) | Паренхиматозная желтуха (вирусный гепатит) | Билирубинурия, уробилиногенурия |
| Зеленовато-жёлтый | Механическая (обтурационная) желтуха — желчнокаменная болезнь, рак головки поджелудочной железы | Билирубинурия |
| Белесоватый | Наличие фосфатов или липидов в моче | — |
| Молочный | Лимфостаз почек, инфекция мочевыводящих путей | Хилурия, пиурия |
Референсные значения: полная. Помутнение мочи может быть результатом наличия в моче эритроцитов, лейкоцитов, эпителия, бактерий, жировых капель, выпадения в осадок солей (уратов, фосфатов, оксалатов) и зависит от концентрации солей, рН и температуры хранения мочи (низкая температура способствует выпадению солей в осадок). При длительном стоянии моча может стать мутной в результате размножения бактерий. В норме небольшая мутность может быть обусловлена эпителием и слизью.
Относительная плотность (удельный вес) мочи
Относительная плотность (удельный вес) мочи зависит от количества выделенных органических соединений (мочевины, мочевой кислоты, солей) и электролитов — Cl, Na и К, а также от количества выделяемой воды. Чем выше диурез, тем меньше относительная плотность мочи. Наличие белка и особенно глюкозы вызывает повышение удельного веса мочи. Снижение концентрационной функции почек при почечной недостаточности приводит к снижению удельного веса (гипостенурия). Полная потеря концентрационной функции приводит к выравниванию осмотического давления плазмы и мочи, это состояние называется изостенурией. Референсные значения (по всем возрастам): 1003 — 1035 г/л.
Повышение относительной плотности (гиперстенурия):
- глюкоза в моче при неконтролируемом сахарном диабете;
- белок в моче (протеинурия) при гломерулонефрите, нефротическом синдроме;
- лекарства и (или) их метаболиты в моче;
- внутривенное вливание маннитола, декстрана или рентгеноконтрастных средств;
- малое употребление жидкости;
- большие потери жидкости (рвота, понос);
- токсикоз беременных;
- олигурия.
Снижение относительной плотности:
- несахарный диабет (нефрогенный, центральный или идиопатический);
- хроническая почечная недостаточность;
- острое поражение почечных канальцев;
- полиурия (в результате приёма мочегонных, обильного питья).
рН мочи.
Свежая моча здоровых людей может иметь разную реакцию (рН от 4,5 до 8), обычно реакция мочи слабокислая (рН между 5 и 6). Колебания рН мочи обусловлены составом питания: мясная диета обуславливает кислую реакцию мочи, преобладание растительной и молочной пищи ведет к защелачиванию мочи. Изменения рН мочи соответствует рН крови; при ацидозах моча имеет кислую реакцию, при алкалозах — щёлочную. Иногда происходит расхождение этих показателей. При хронических поражениях канальцев почек (тубулопатиях) в крови наблюдается гиперхлорный ацидоз, а реакция мочи щёлочная, что связано с нарушением синтеза кислоты и аммиака в связи с поражением канальцев. Бактериальное разложение мочевины в мочеточниках или хранение мочи при комнатной температуре приводят к защелачиванию мочи. Реакция мочи влияет на характер солеобразования при мочекаменной болезни: при рН ниже 5,5 чаще образуются мочекислые, при рН от 5,5 до 6,0 — оксалатные, при рН выше 7,0 — фосфатные камни.
Референсные значения:
- 0 — 1 мес. — 5,0 — 7,0;
- 1 мес. — 120 лет — 4,5 — 8,0
Повышение:
- метаболический и дыхательный алкалоз;
- хроническая почечная недостаточность;
- почечный канальцевый ацидоз (тип I и II);
- гиперкалиемия;
- первичная и вторичная гиперфункция паращитовидной железы;
- ингибиторы углеродной ангидразы;
- диета с большим содержанием фруктов и овощей;
- длительная рвота;
- инфекции мочевыделительной системы, вызванные микроорганизмами, расщепляющими мочевину;
- введение некоторых лекарственных препаратов (адреналина, никотинамида, бикарбонатов);
- новообразования органов мочеполовой системы.
Снижение:
- метаболический и дыхательный ацидоз;
- гипокалиемия;
- обезвоживание;
- голодание;
- сахарный диабет;
- туберкулёз;
- лихорадка;
- выраженная диарея;
- приём лекарственных препаратов: аскорбиновой кислоты, кортикотропина, метионина;
- диета с высоким содержанием мясного белка, клюквы.
Белок в моче (протеинурия).
Белок в моче — один из наиболее диагностически важных лабораторных признаков патологии почек. Небольшое количество белка в моче (физиологическая протеинурия) может быть и у здоровых людей, но выделение белка с мочой не превышает в норме 0,080 г/сут в покое и 0,250 г/сут при интенсивных физических нагрузках, после долгой ходьбы (маршевая протеинурия). Белок в моче может также обнаруживаться у здоровых людей при сильных эмоциональных переживаниях, переохлаждении. У подростков встречается ортостатическая протеинурия (в вертикальном положении тела). Через мембрану почечных клубочков в норме большая часть белков не проходит, что объясняется большим размером белковых молекул, а также их зарядом и строением. При минимальных повреждениях в клубочках почек наблюдается прежде всего потеря низкомолекулярных белков (преимущественно альбумина), поэтому при большой потере белка часто развивается гипоальбуминемия. При более выраженных патологических изменениях в мочу попадают и более крупные белковые молекулы. Эпителий канальцев почек физиологически секретирует некоторое количество белка (белок Тамм-Хорсфалля). Часть белков мочи может поступать из мочеполового тракта (мочеточник, мочевой пузырь, мочеиспускательный канал) — содержание этих белков в моче резко повышается при инфекциях, воспалении или опухолях мочеполового тракта. Протеинурия (появление в моче белка в повышенном количестве) может быть преренальной (связанной с усиленным распадом тканей или появлением в плазме патологических белков), ренальной (обусловленной патологией почек) и постренальной (связанной с патологией мочевыводящих путей). Появление в моче белка является частым неспецифическим симптомом патологии почек. При ренальной протеинурии белок обнаруживается как в дневной, так и ночной моче. По механизмам возникновения ренальной протеинурии различают клубочковую и канальцевую протеинурию. Клубочковая протеинурия связана с патологическим изменением барьерной функции мембран почечных клубочков. Массивная потеря белка с мочой (> 3 г/л) всегда связана с клубочковой протеинурией. Канальцевая протеинурия обусловлена нарушением реабсорбции белка при патологии проксимальных канальцев.
Референсные значения: < 0,140 г/л.
Наличие белка в моче (протеинурия):
- нефротический синдром;
- диабетическая нефропатия;
- гломерулонефрит;
- нефросклероз;
- нарушенная абсорбция в почечных канальцах (синдром Фанкони, отравление тяжёлыми металлами, саркоидоз, серповидноклеточная патология);
- миеломная болезнь (белок Бенс-Джонса в моче) и другие парапротеинемии;
- нарушение почечной гемодинамики при сердечной недостаточности, лихорадке;
- злокачественные опухоли мочевых путей;
- цистит, уретрит и другие инфекции мочевыводящих путей.
Глюкоза в моче.
Глюкоза в моче в норме отсутствует или обнаруживается в минимальных количествах, до 0,8 ммоль/л, т. к. у здоровых людей вся глюкоза крови после фильтрации через мембрану почечных клубочков полностью всасывается обратно в канальцах. При концентрации глюкозы в крови более 10 ммоль/л — превышении почечного порога (максимальной способности почек к обратному всасыванию глюкозы) или при снижении почечного порога (поражение почечных канальцев) глюкоза появляется в моче — наблюдается глюкозурия. Обнаружение глюкозы в моче имеет значение для диагностики сахарного диабета, а также мониторинга (и самоконтроля) антидиабетической терапии.
Обратите внимание: наиболее точным является метод исследования общего анализа мочи с помощью диагностических полосок Multistix (+ микроскопия осадка). Считывание результата производится автоматически с помощью анализатора (ошибки визуального определения исключаются). Принцип метода определения глюкозы на них глюкозооксидазный. Шаг тест-полоски для анализа мочи на глюкозу следующий: сначала идёт «отрицат» результат, следующий шаг — это «5.5» (следы). Если истинное значение глюкозы находится между этими значениями, то ввиду такого шага тест-полоски, аппарат выдаёт его как минимальное положительное значение — 5.5.
Поскольку в последнее время участились вопросы врачей и пациентов по поводу данного порогового значения концентрации глюкозы, то в лаборатории принято решение при получении такого результата выдавать не цифру, а писать «следы». При таком ответе по глюкозе в моче мы рекомендуем дополнительные исследования, в частности — это определение глюкозы крови натощак, исследование суточной экскреции мочи (метод гексокиназный), или, при назначении врача, — проведение глюкозотолерантного теста.
Референсные значения: 0 — 1,6.
«СМ.КОММ.»:
- < 1,7 — отрицат;
- 1,7 — 2,8 — следы;
- > 2,8 — значимое повышение концентрации глюкозы в моче.
Повышение уровня (глюкозурия):
- сахарный диабет;
- острый панкреатит;
- гипертиреоидизм;
- почечный диабет;
- стероидный диабет (приём анаболиков у диабетиков);
- отравление морфином, стрихнином, фосфором;
- демпинг-синдром;
- синдром Кушинга;
- инфаркт миокарда;
- феохромоцитома;
- большая травма;
- ожоги;
- тубулоинтерстициальные поражения почек;
- беременность;
- приём большого количества углеводов.
Билирубин в моче.
Билирубин — основной конечный метаболит порфиринов, выделяемый из организма. В крови свободный (неконъюгированный) билирубин в плазме транспортируется альбумином, в этом виде он не фильтруется в почечных клубочках. В печени билирубин соединяется с глюкуроновой кислотой (образуется конъюгированная, растворимая в воде форма билирубина) и в этом виде он выделяется с желчью в желудочно-кишечный тракт. При повышении в крови концентрации конъюгированного билирубина, он начинает выделяться почками и обнаруживаться в моче. Моча здоровых людей содержит минимальные, неопределяемые количества билирубина. Билирубинурия наблюдается главным образом при поражении паренхимы печени или механическом затруднении оттока желчи. При гемолитической желтухе реакция мочи на билирубин бывает отрицательна.
Референсные значения: отрицательно.
Обнаружение билирубина в моче:
- механическая желтуха;
- вирусный гепатит;
- цирроз печени;
- метастазы новообразований в печень.
Уробилиноген в моче.
Уробилиноген и стеркобилиноген образуются в кишечнике из выделившегося с желчью билирубина. Уробилиноген реабсорбируется в толстой кишке и через систему воротной вены снова поступает в печень, а затем вновь вместе с желчью выводится. Небольшая часть этой фракции поступает в периферический кровоток и выводится с мочой. В норме в моче здорового человека уробилиноген определяется в следовых количествах — выделение его с мочой за сутки не превышает 10 мкмоль (6 мг). При стоянии мочи уробилиноген переходит в уробилин. Референсные значения: 0 — 17.
Повышенное выделение уробилиногена с мочой:
- повышение катаболизма гемоглобина: гемолитическая анемия, внутрисосудистый гемолиз (переливание несовместимой крови, инфекции, сепсис), пернициозная анемия, полицитемия, рассасывание массивных гематом;
- увеличение образования уробилиногена в желудочно-кишечном тракте: энтероколит, илеит, обструкция кишечника, увеличение образования и реабсорбции уробилиногена при инфекции билиарной системы (холангиты);
- повышение уробилиногена при нарушении функции печени: вирусный гепатит (исключая тяжелые формы);
- хронический гепатит и цирроз печени;
- токсическое поражение: алкогольное, органическими соединениями, токсинами при инфекциях, сепсисе;
- вторичная печёночная недостаточность: после инфаркта миокарда, сердечная и циркуляторная недостаточность, опухоли печени;
- повышение уробилиногена при шунтировании печени: цирроз печени с портальной гипертензией, тромбоз, обструкция почечной вены.
Кетоновые тела в моче (кетонурия).
Кетоновые тела (ацетон, ацетоуксусная и бета-оксимасляная кислоты) образуются в результате усиленного катаболизма жирных кислот. Определение кетоновых тел важно в распознавании метаболической декомпенсации при сахарном диабете. Инсулинзависимый ювенильный диабет часто впервые диагностируется по появлению кетоновых тел в моче. При неадекватной терапии инсулином кетоацидоз прогрессирует. Возникающие при этом гипергликемия и гиперосмолярность приводят к дегидратации, нарушению баланса электролитов, кетоацидозу. Эти изменения вызывают нарушения функции ЦНС и ведут к гипергликемической коме.
Референсные значения: 0 — 0,4.
«СМ.КОММ.»
- < 0,5 — отрицат;
- 0,5 — 0,9 — следы;
- > 0,9 — положит.
Обнаружение кетоновых тел в моче (кетонурия):
- сахарный диабет (декомпенсированный — диабетический кетоацидоз);
- прекоматозное состояние, церебральная (гипергликемическая) кома;
- длительное голодание (полный отказ от пищи или диета, направленная на снижение массы тела);
- тяжёлая лихорадка;
- алкогольная интоксикация;
- гиперинсулинизм;
- гиперкатехоламинемия;
- отравление изопропранололом;
- эклампсия;
- гликогенозы I,II,IV типов;
- недостаток углеводов в рационе.
Нитриты в моче.
Нитриты в нормальной моче отсутствуют. В моче они образуются из нитратов пищевого происхождения под влиянием бактерий, если моча не менее 4 ч находилась в мочевом пузыре. Обнаружение нитритов в моче (положительный результат теста) говорит об инфицировании мочевого тракта. Однако отрицательный результат не всегда исключает бактериурию. Инфицирование мочевого тракта варьирует в разных популяциях, зависит от возраста и пола.
Повышенному риску асимптоматических инфекций мочевого тракта и хронического пиелонефрита при прочих равных условиях больше подвержены: девушки и женщины; пожилые люди (старше 70 лет); мужчины с аденомой простаты; больные диабетом; больные подагрой; больные после урологических операций или инструментальных процедур на мочевом тракте.
Гемоглобин в моче.
Гемоглобин в нормальной моче отсутствует. Положительный результат теста отражает присутствие свободного гемоглобина или миоглобина в моче. Это результат внутрисосудистого, внутрипочечного, мочевого гемолиза эритроцитов с выходом гемоглобина, или повреждения и некроза мышц, сопровождающегося повышением уровня миоглобина в плазме. Отличить гемоглобинурию от миоглобинурии достаточно сложно, иногда миоглобинурию принимают за гемоглобинурию. Референсные значения: отрицательно.
Наличие гемоглобина в моче:
- тяжёлая гемолитическая анемия;
- тяжёлые отравления, например, сульфаниламидами, фенолом, анилином. ядовитыми грибами;
- сепсис;
- ожоги.
Наличие миоглобина в моче:
- повреждения мышц;
- тяжёлая физическая нагрузка, включая спортивные тренировки;
- инфаркт миокарда;
- прогрессирующие миопатии;
- рабдомиолиз.
Микроскопия осадка мочи.
Эритроциты в моче.
Эритроциты (форменные элементы крови) попадают в мочу из крови. Физиологическая эритроцитурия составляет до 2 эритроцитов/мкл мочи. Она не влияет на цвет мочи. При исследовании необходимо исключить загрязнение мочи кровью в результате менструаций! Гематурия (появление эритроцитов, других форменных элементов, а также гемоглобина и др. компонентов крови в моче) может быть обусловлена кровотечением в любой точке мочевой системы. Основная причина увеличения содержания эритроцитов в моче — почечные или урологические заболевания и геморрагические диатезы.
Референсные значения: < 2 в поле зрения.
Эритроциты в моче — превышение референсных значений:
- камни мочевыводящих путей;
- опухоли мочеполовой системы;
- гломерулонефрит;
- пиелонефрит;
- геморрагические диатезы (при непереносимости антикоагулянтной терапии, гемофилиях, нарушении свёртывания, тромбоцитопениях, тромбоцитопатиях);
- инфекции мочевого тракта (цистит, урогенитальный туберкулёз);
- травма почек;
- артериальная гипертензия с вовлечением почечных сосудов;
- системная красная волчанка (люпус-нефрит);
- отравления производными бензола, анилина, змеиным ядом, ядовитыми грибами;
- неадекватная терапия антикоагулянтами.
Лейкоциты в моче.
- мужчины: < 3 в поле зрения;
- женщины, дети < 14 лет: < 5 в поле зрения.
- острый и хронический пиелонефрит, гломерулонефрит;
- цистит, уретрит, простатит;
- камни в мочеточнике;
- тубулоинтерстициальный нефрит;
- люпус-нефрит;
- отторжение почечного трансплантата.
Эпителиальные клетки в моче.
Клетки эпителия почти постоянно присутствуют в осадке мочи. Эпителиальные клетки, происходящие из разных отделов мочеполовой системы, различаются (обычно выделяют плоский, переходный и почечный эпителий). Клетки плоского эпителия, характерного для нижних отделов мочеполовой системы, встречаются в моче у здоровых людей и их присутствие обычно имеет небольшое диагностическое значение. Количество плоского эпителия в моче повышается при инфекции мочевыводящих путей. Повышенное количество клеток переходного эпителия может наблюдаться при циститах, пиелонефрите, почечнокаменной болезни. Присутствие в моче почечного эпителия свидетельствует о поражении паренхимы почек (наблюдается при гломерулонефритах, пиелонефритах, некоторых инфекционных заболеваниях, интоксикациях, расстройствах кровообращения). Наличие клеток почечного эпителия в количестве более 15 в поле зрения через 3 дня после пересадки является ранним признаком угрозы отторжения аллотрансплантата.
- клетки плоского эпителия: женщины — < 5 в поле зрения;
- мужчины — < 3 в поле зрения;
- клетки переходного эпителия — < 1;
- клетки почечного эпителия — отсутствует.
- пиелонефрит;
- интоксикация (приём салицилатов, кортизона, фенацетина, препаратов висмута, отравление солями тяжёлых металлов, этиленгилколем);
- тубулярный некроз;
- отторжение почечного трансплантата;
- нефросклероз.
Цилиндры в моче.
Цилиндры — элементы осадка цилиндрической формы (своеобразные слепки почечных канальцев), состоящие из белка или клеток, могут также содержать различные включения (гемоглобин, билирубин, пигменты, сульфаниламиды). По составу и внешнему виду различают несколько видов цилиндров (гиалиновые, зернистые, эритроцитарные, восковидные и др.). В норме клетки почечного эпителия секретируют так называемый белок Тамм-Хорсфалля (в плазме крови отсутствует), который и является основой гиалиновых цилиндров. Иногда гиалиновые цилиндры могут обнаруживаться у здоровых людей.
Зернистые цилиндры образуются в результате разрушения клеток канальцевого эпителия. Их обнаружение у пациента в состоянии покоя и без лихорадки свидетельствует о почечной патологии. Восковидные цилиндры образуются из уплотнённых гиалиновых и зернистых цилиндров. Эритроцитарные цилиндры образуются при наслоении на гиалиновые цилиндры эритроцитов, лейкоцитарные — лейкоцитов. Эпителиальные цилиндры (редко) имеют происхождение из клеток почечных канальцев. Их наличие в анализе мочи через несколько дней после операции — признак отторжения пересаженной почки. Пигментные цилиндры образуются при включении в состав цилиндра пигментов и наблюдается при миоглобинурии и гемоглобинурии.
Референсные значения: отсутствуют.
- почечная патология (острый и хронический гломерулонефрит, пиелонефрит, почечнокаменная болезнь, туберкулез почек, опухоли);
- застойная сердечная недостаточность;
- гипертермические состояния;
- тяжёлая физическая нагрузка,
- повышенное артериальное давление;
- приём диуретиков.
- гломерулонефорит, пиелонефрит;
- диабетическая нефропатия;
- вирусные инфекции;
- отравление свинцом;
- лихорадка.
- хроническая почечная недостаточность;
- амилоидоз почек;
- нефротический синдром.
- острый гломерулонефрит;
- инфаркт почки;
- тромбоз почечных вен;
- злокачественная гипертензия.
- пиелонефрит;
- люпус-нефрит при системной красной волчанке.
- острый канальцевый некроз;
- вирусная инфекция (например, цитомегаловирусная);
- отравление солями тяжёлых металлов, этиленгликолем;
- передозировка салицилатов;
- амилоидоз;
- реакция отторжения почечного трансплантата.
Бактерии в моче
Выделение бактерий с мочой имеет существенное диагностическое значение. Бактерии сохраняются в моче не более, чем 1 — 2 суток после начала антибиотикотерапии. Предпочтительна для исследования первая утренняя порция мочи. Определить вид бактерий и оценить уровень бактериурии, а также выявить чувствительность микроорганизмов к антибиотикам можно с помощью бактериологического посева мочи.
Бактерии в моче: инфекции органов мочевыделительной системы (пиелонефрит, уретрит, цистит).
Дрожжевые грибки. Обнаружение дрожжей рода Кандида свидетельствует о кандидамикозе, возникающего чаще всего в результате нерациональной антибиотикотерапии.
Неорганический осадок мочи (кристаллы), соли в моче.
Моча — это раствор различных солей, которые могут при стоянии мочи выпадать в осадок (образовывать кристаллы). Образованию кристаллов способствует низкая температура. Наличие тех или иных кристаллов солей в мочевом осадке указывает на изменение реакции в кислую или щелочную сторону. Избыточное содержание солей в моче способствует образованию конкрементов и развитию мочекаменной болезни. В то же время диагностическое значение присутствия в моче кристаллов солей обычно невелико. К образованию кристаллов ведут повышенные дозы ампициллина, сульфаниламидов.
Референсные значения отсутствуют.
- высококонцентрированная моча;
- кислая реакция мочи (после физической нагрузки, мясной диете, лихорадке, лейкозах);
- мочекислый диатез, подагра;
- хроническая почечная недостаточность;
- острый и хронический нефрит;
- обезвоживание (рвота, понос);
- у новорожденных.
Трипельфосфаты, аморфные фосфаты:
- щелочная реакция мочи у здоровых;
- рвота, промывание желудка;
- цистит;
- синдром Фанкони, гиперпаратиреоз.
- употребление в пищу продуктов, богатых щавелевой кислотой (шпинат, щавель, томаты, спаржа, реввень);
- пиелонефрит;
- сахарный диабет;
- отравление этиленгликолем.
Слизь в моче.
Референсные значения: незначительное количество.
Эритроциты микроскопия в моче повышены
Главная » Эритроциты » Эритроциты микроскопия в моче повышены
- камни мочевыводящих путей;
- опухоли мочеполовой системы;
- гломерулонефрит;
- пиелонефрит;
- геморрагические диатезы (при непереносимости антикоагулянтной терапии, гемофилиях, нарушении свертывания, тромбоцитопениях, тромбоцитопатиях);
- инфекции мочевого тракта (цистит, урогенитальный туберкулез);
- травма почек;
- артериальная гипертензия с вовлечением почечных сосудов;
- системная красная волчанка (люпус-нефрит);
- отравления производными бензола, анилина, змеиным ядом, ядовитыми грибами;
- неадекватная терапия антикоагулянтами.
- острый и хронический пиелонефрит, гломерулонефрит;
- цистит, уретрит, простатит;
- камни в мочеточнике;
- тубулоинтерстициальный нефрит;
- люпус-нефрит;
- отторжение почечного трансплантата.
- женщины – единичные в поле зрения
- мужчины – единичные в препарате
- пиелонефрит;
- интоксикация, прием салицилатов, кортизола, фенацетина, препаратов висмута, отравление солями тяжелых металлов, этиленгилколем);
- тубулярный некроз;
- отторжение почечного трансплантата;
- нефросклероз.
- почечная патология (острый и хронический гломерулонефрит, пиелонефрит, почечнокаменная болезнь, туберкулез почек, опухоли);
- застойная сердечная недостаточность;
- гипертермические состояния;
- тяжелая физическая нагрузка,
- повышенное артериальное давление;
- прием диуретиков.
- гломерулонефорит, пиелонефрит;
- диабетическая нефропатия;
- вирусные инфекции;
- отравление свинцом;
- лихорадка.
- хроническая почечная недостаточность;
- амилоидоз почек;
- нефротический синдром.
- острый гломерулонефрит;
- инфаркт почки;
- тромбоз почечных вен;
- злокачественная гипертензия.
- пиелонефрит;
- люпус-нефрит при системной красной волчанке.
- острый канальцевый некроз;
- вирусная инфекция (например, цитомегаловирусная);
- отравление солями тяжелых металлов, этиленгликолем;
- передозировка салицилатов;
- амилоидоз;
- реакция отторжения почечного трансплантата.
- инфекции органов мочевыделительной системы пиелонефрит, уретрит, цистит).
- кандидамикоз, возникающий чаще всего в результате нерациональной антибиотикотерапии.
- высококонцентрированная моча;
- кислая реакция мочи (после физической нагрузки, мясной диете, лихорадке, лейкозах);
- мочекислый диатез, подагра;
- хроническая почечная недостаточность;
- острый и хронический нефрит;
- обезвоживание (рвота, понос);
- у новорожденных.
- употребление в пищу плодов, содержащих бензойную кислоту (черника, брусника);
- диабет;
- болезни печени;
- гнилостные процессы в кишечнике.
- щелочная реакция мочи у здоровых;
- рвота, промывание желудка;
- цистит;
- синдром Фанкони, гиперпаратиреоз.
- употребление в пищу продуктов, богатых щавелевой кислотой (шпинат, щавель, томаты, спаржа, ревень);
- пиелонефрит;
- сахарный диабет;
- отравление этиленгликолем.
- выраженное расстройство обмена веществ;
- отравление фосфором;
- деструктивные заболевания печени;
- пернициозная анемия;
- лейкоз.
- врожденное нарушение цистинового обмена – цистиноз.
- дегенеративные изменения эпителия почечных канальцев;
- употребление в пищу большого количества рыбьего жира.
- хилурия;
- жировое перерождение почек;
- эхинококкоз почек;
- цистит;
- холестериновые камни.
- гепатиты;
- рак печени;
- инфекционные заболевания;
- отравление фосфором.
- хронические кровотечения на протяжении мочевыводящего тракта, особенно если кровь где-либо застаивается.
formulazdorovya.com
Микроскопия мочи
Общие сведения об исследовании
- гематурия (подсчет эритроцитов);
- пиурия (подсчет лейкоцитов);
- цилиндрурия (подсчет цилиндров);
- бактериурия (количество бактерий)
- гемоглобинурия. Оценивается и наличие солевых кристаллов, эпителиальных клеток, слизи, простейших.
Исследование дает возможность оценить функцию почек и мочевыводящих путей, а также выявить нарушения в работе внутренних органов.
- С помощью пипетки со дна емкости набирают 10 мл мочи (простоявшей 1—2 часа).
- Набранный материал центрифугируется при 1500 об./мин. продолжительностью 5—7 мин.
- Состав одной капли осадка анализируют, используя малое и большое увеличение. Полученные данные помогут при диагностировании заболеваний, определении проходящего воспалительного или инфекционного процесса, изменении в обмене веществ.
Вернуться к оглавлению
Расшифровка результатов анализа осадка: норма
- чрезмерные физические нагрузки;
- прием лекарственных препаратов (мочегонных или антибиотиков);
- нарушение правил сбора и сдачи урины;
- диета.
Вернуться к оглавлению
Гемоглобин
Наличие гемоглобина в моче говорит о тяжелых инфекционных заболеваниях. Вернуться к оглавлению
Эритроциты в осадке мочи
- патологии и травмы почек;
- диатезы;
- наличие камней в почках;
- опухоли мочевой системы;
- инфекции мочевых путей;
- отравления различного рода.
Вернуться к оглавлению
Лейкоциты в осадке мочи
Большое количество лейкоцитов вызывает помутнение мочи. Вернуться к оглавлению
Эпителий в осадке урины
Вернуться к оглавлению
Цилиндры в микроскопируемом анализе осадка мочи
Гиалиновые цилиндры могут встречаться в моче при всех заболеваниях почек.
- различные болезни почек;
- недостаток кровообращения;
- различного рода лихорадки;
- инфекции и отравления.
Вернуться к оглавлению
Неорганизованный осадок
Вернуться к оглавлению
Другие параметры исследования
В нормальном состоянии бактерии в моче отсутствуют. Вернуться к оглавлению
Количественные методы исследования осадка мочи
etopochki.ru
Микроскопия мочи
Эффективным методом диагностики, наблюдения за ходом заболевания является микроскопия мочи. Общий анализ мочи проводится также в случае скрининговых обследований. При клиническом анализе мочи оценивается физико-химические показатели урины и микроскопия осадка мочи.
Что влияет на получение результата
Результат лабораторного исследования не будет достоверным:
- При нарушении инструкции по сдаче материала (погрешности в гигиенических процедурах, забор материала при менструации).
- Если моча хранится несколько часов, прежде чем попасть в лабораторию.
- Наличие избыточного количества жидкости, поступившей в организм перед сдачей анализа, несоблюдение диетических требований.
- Если накануне выполнялись парентеральные введения солевых, глюкозных растворов, контрастных веществ.
- Наличие сильных физических нагрузок, нервных расстройств.
- У беременных.
- Если уретра травмирована катетером или при мазке из уретры.
- Если произошло загрязнение материала геморроидальной кровью.
- При приеме лекарств, изменяющих отдельные показатели.
Сбор урины
Подготовке к сбору материала для анализа мочи предшествует проведение интимной гигиены, чтобы предотвратить попадание бактерий. Берется утренняя урина, полученная после просыпания. Промежуток времени, отведенный для доставки материала в лабораторию, минимально сокращают. Собирают урину в стерильный контейнер, а потом помещается в пробирку с консервантом.
От чистоты мочи зависит точность исследования
Физические показатели урины
Микроскопическое исследование физических показателей урины включает: цвет, прозрачность, запах, плотность мочи.
Цвет
Урина содержит пигменты, придающие ей желтую окраску, отличающуюся по степени насыщенности. Цвет могут изменить:
- заболевания;
- пищевые продукты;
- медицинские препараты.
Заболевания, сопровождающиеся желтухой, придают моче темный оттенок желтого цвета. При попадании крови проявляется красноватый оттенок. Если в питании присутствует чрезмерное количество моркови, урина приобретет оранжевый цвет, свеклы — красноватый.
Прозрачность и запах
В норме урина прозрачна, после отстаивания становится мутной: соли выпадают в осадок. Усиление запаха происходит при доступе к моче воздуха. При сахарном диабете чувствуется фруктовый оттенок. Из продуктов питания изменяют запах: лук, чеснок, хрен. Медицинские препараты обладают этой же способностью.
Плотность
В разное время суток плотность мочи неодинаковая. При фильтрации крови почки выделяют первичную урину. Когда происходит обратное всасывание отделяемого, она снова попадает в кровоток. Образуется вторичная моча с более высокой концентрацией.
Химическое исследование
pH – это соотношение ионов водорода и гидроксид-ионов. Если их количества равны, это нейтральный раствор. В случае дисбаланса раствор будет кислым или щелочным. Нормальная урина характеризуется слабокислой реакцией. Сдвиги реакции мочи в одну или другую сторону опасны образованием камней.
Сдвиг в кислую сторону происходит:
- если употребляется избыточное количество белка;
- при явлениях лихорадки;
- если организм подвергается сильной нагрузке;
- при всякого видах голоданиях;
- если организм поражен диабетом.
В щелочную сторону:
- при отказе от белков животного происхождения;
- при частых рвотах;
- при патологии мочевыводящей системы.
При нормальных показателях белок в моче отсутствует, вернее, находится в таком количестве, что обнаружить его можно, применяя особые методы исследования, что практически нецелесообразно.
Белок в моче свидетельствует о присутствии заболевания
Для установления наличия белка, мочу необходимо смешать с нужным реактивом. Присутствие белка определяют по наличию реакции: если реакция произошла – белок присутствует в моче. Присутствие белка в моче получило название протеинурия.
Возникновение функциональной протеинурии происходит в следующих случаях:
- если организм подвергается физическим нагрузкам;
- в случае нервных расстройств;
- при преобладании белковой пищи;
- при лихорадочных явлениях.
Глюкоза
В норме глюкозы в урине не должно быть. Иногда микроскопический анализ отмечает кратковременное появление при лечении глюкозой или другом усиленном поглощении сахара организмом. Чаще всего глюкоза обнаруживается при сахарном диабете.
Присутствие глюкозы в моче получило название глюкозурия. Существуют методы обнаружения глюкозурии. С этой целью применяют тест-системы – полоски для нанесения капелек мочи для наблюдения за изменением цвета. Сопоставляя изменения со шкалой оценки, можно дать заключение о количестве глюкозы в моче.
Кетоновые тела
Обнаружение кетоновых тел в моче считается отклонением от нормы, причиной такого явления служат нарушения в обмене жиров и углеводов. Если организму приходится получать энергию из жировых запасов, при расщеплении жира образуются кетоновые тела, которые выходят с организма вместе с мочой. В данном случае имеет место кетонурия.
Кетоновые тела в моче свидетельствуют о нарушении обмена углеводов и жиров
Возникновению кетонурии способствуют:
- сильные физические нагрузки;
- нервные расстройства;
- болезни, сопровождающиеся лихорадкой;
- диета, исключающая углеводы;
- повторяющаяся рвота.
Определяется кетонурия при помощи тест-полоски с нанесенными каплями мочи подобно выявлению глюкозурии.
Билирубин, уробилин, желчные кислоты при нормальных показателях не должны присутствовать в моче. Если они появились, значит, в крови уровень билирубина повышенный. При этом место имеет появление связанного билирубина, что характерно для гепатита и механической желтухи.
Для получения осадков урины необходимо около 2 часов. Элементы, находящиеся в осадке, разделяют на организованные и неорганизованные. Первые имеют органическое происхождение, вторые – неорганическое. При микроскопии мочи существуют допустимые нормы присутствия элементов мочевого осадка. Если эти показатели превышены, можно предположить развитие различных патологий.
Гемоглобин
При исследовании мочи гемоглобин обнаруживается в урине при тяжелых инфекциях организма. Гемоглобин появляется в моче при распаде эритроцитов. Причинами такого состояния нередко являются болезни, вызванные различными инфекциями.
Гемоглобин в моче — что это значит?
Спровоцировать появление гемоглобина в моче могут:
- повторные переохлаждения;
- физические нагрузки;
- сильные отравления;
- физические нагрузки.
В таких случаях урина изменяет цвет, становится красно-бурой, в области поясницы ощущается боль. Нередко моча насыщается гемоглобином при неудачных переливаниях крови. Это происходит при несовместимости крови донора и принимающего пациента.
Эритроциты
Существует 2 вида эритроцитов, присутствующих в моче: неизмененные и выщелоченные. В последних не содержится гемоглобин. Выщелоченные эритроциты свидетельствуют о патологиях почек, неизмененные – о нарушениях в мочевыводящей системе.
Норма эритроцитов для женщины – 3, для мужчины – 1. Если показатели отличаются, имеет место гематурия, которая бывает двух видов: микрогематурия, при которой цвет мочи остается без изменений, и макрогематурия (окрас мочи изменяется по причине присутствия эритроцитов).
Гематурия (повышенное присутствие эритроцитов) появляется в следующих случаях:
- при патологиях и травмах почек;
- при различных формах диатезов;
- если в почках присутствуют камни;
- при онкологических заболеваниях органов мочевой системы;
- при попадании в организм отравляющих веществ.
Лейкоциты
Множество лейкоцитов в урине приводит к ее помутнению. Для женщин нормальными показателями лейкоцитов в урине считают 0–5, для мужчин – 0–3. Повышения показателей свидетельствует о присутствии в урине гноя, что сигнализирует о существовании воспалительных процессов.
Лейкоциты – клетки иммунной системы человека
Чтобы определить, где находится воспалительный очаг, проводится стаканная проба урины, в данном случае — трехстаканная. Первый стакан содержит образцы начальной пиурии, свидетельствующей о наличии уретрита, простатита. Количество лейкоцитов в 3 стакане определяет конечную пиурию, что нередко указывает на заболевание циститом.
Превышение нормы лейкоцитов в трех стаканах свидетельствует о болезнях мочевыводящей системы.
Присутствие в моче считается нормой. Повышение допустимого значения плоского эпителия подтверждает тяжелые воспалительные патологии. Полиморфный эпителий выше нормы возникает при онкологических заболеваниях, наличии камней, поражениях разного рода интоксикациями.
Цилиндры
Обнаруживаются при разных болезнях почек. Присутствие гиалиновых цилиндров допускается только в единичном количестве, так как причинами появления бывают физические нагрузки. Другие виды цилиндров в норме должны отсутствовать. Их присутствие в урине называется цилиндрурия.
Причинами возникновения цилиндрурии выступают:
- болезни почек;
- патологии кровообращения;
- заболевания, сопровождающиеся лихорадкой;
- попадание в организм различных инфекций.
Неорганизованный осадок
Содержащиеся в урине соли не должны превысить 30–40 мг. Если работа мочевой системы нарушена, то соли накапливаются. При кислой моче, в ее составе появляются соли уратов. Щелочная моча будет накапливать мочекислый аммоний, аморфные фосфаты. Оксалаты присутствуют в обоих видах мочи.
Бактерии в моче
В норме бактерии в урине не присутствуют. Клинический анализ позволяет установить факт присутствия бактерий. Чтобы определить их вид, проводят бактериологический посев. Если обнаруживаются единичные бактерии, ставится диагноз: бактериурия. Вызывают ее инфекции мочевыделительной системы.
Методика количественного исследования урины
При использовании данных методов получают более точные сведения относительно элементов, входящих в мочевой осадок, оказывается помощь в диагностировании скрытой пиурии. Методика количественного исследования с микроскопией дает возможность подсчитать количество элементов в определенное время в конкретном объеме.
Следует отметить, что у детей при наличии показаний исследуются образцы мочи так же, как и у взрослых. Расшифровка результатов проводится с учетом возрастных норм. Часто для проведения исследования мочевого осадка используют методику Нечипоренко, при которой ручная цифровая обработка заменяется быстрым и точным подсчетом по заданному алгоритму выполнения.
Методика Нечипоренко – эффективный способ исследования мочи
Последовательность проведения микроскопии урины по Нечипоренко:
- Подготовленную урину переносят в центрифужную пробирку.
- Урина центрифужно обрабатывается со скоростью 1500-2000 оборотов в минуту в продолжение четверти часа.
- Урину отделяют от осадка так, чтобы в пробирке осталось 1 мл осадочной урины.
- Берется слайд-планшет, и его камеру заполняют каплей урины с осадком.
- Слайд-планшет размещается на столике микроскопа, и при его помощи подсчитывается количество форменных элементов.
- Используя специальную формулу, устанавливают их количество в 1 мл урины.
После получения результатов для диагностического вывода используют атлас микроскопии мочевого осадка.
2pochki.com
Общий анализ мочи
Осадок мочи делят на организованный (элементы органического происхождения — эритроциты, лейкоциты, эпителиальные клетки и цилиндры) и неорганизованный (элементы неорганического происхождения — кристаллические и аморфные соли).
Гемоглобин в моче
В норме гемоглобин в общем анализе мочи отсутствует.
Гемоглобинурия обусловлена внутрисосудистым гемолизом. Клинически гемоглобинурия проявляется выделением мочи чёрного цвета, дизурией, нередко болями в пояснице. В отличие от гематурии при гемоглобинурии эритроциты в осадке мочи отсутствуют, а в сыворотке крови повышен уровень непрямого билирубина.
Эритроциты в моче (гематурия, кровь в моче)
За сутки с мочой выделяется 2 млн. эритроцитов, что при исследовании осадка мочи составляет в норме 0-3 эритроцита в поле зрения для женщин, и 0-1 эритроцит в поле зрения для мужчин. Всё, что выше — это гематурия.
Выделяют макрогематурию (когда изменён цвет мочи) и микрогематурию (когда цвет мочи не изменён, а эритроциты обнаруживаются только при микроскопии).
Расшифровка анализа
В мочевом осадке эритроциты могут быть неизменённые (содержащие гемоглобин) и изменённые (лишённые гемоглобина, выщелоченные). Свежие неизменённые эритроциты характерны для поражения мочевыводящих путей (цистит, уретрит, прохождение камня).
Появление в моче выщелоченных эритроцитов имеет большое диагностическое значение, т.к. они чаще всего имеют почечное происхождение и встречаются при гломерулонефритах, туберкулёзе и других заболеваниях почек.
Тройной тест
Для определения источника гематурии применяют тройной тест (трёхстаканная проба или проба трёх сосудов): пациент собирает мочу последовательно в три сосуда. При кровотечении из уретры гематурия бывает наибольшей в первой порции (неизменённые эритроциты), из мочевого пузыря — в последней порции (неизменённые эритроциты), при других источниках кровотечения эритроциты распределяются равномерно по всех трёх порциях (выщелоченные эритроциты).
Лейкоциты в моче
Лейкоциты в моче здорового человека содержатся в небольшом количестве. Норма для мужчин 0–3, для женщин и детей 0–6 лейкоцитов в поле зрения.
Расшифровка анализа
1. Инфекционная лейкоцитурия
Увеличение числа лейкоцитов в моче (лейкоцитурия, пиурия) в сочетании с бактериурией и обязательно при наличии каких-либо симптомов (например, учащенное болезненное мочеиспускание, или повышение температуры тела, или болевые ощущения в поясничной области) свидетельствует о воспалении инфекционной природы в почках или мочевыводящих путях.
Для установления источника лейкоцитурии применяется тройной тест (трёхстаканная проба или проба трёх сосудов): преобладание лейкоцитов в первой порции указывает на уретрит или простатит, в третьей — на цистит, равномерное распределение лейкоцитов во всех порциях с большой вероятностью может свидетельствовать о поражении почек.
Лечебная тактика. Препарат выбора для лечения — фторхинолоны (например, ципрофлоксацин по 500 мг 2 раза в день). Острый цистит у взрослых небеременных женщин — курс лечения 3 дня; острый уретрит у мужчин — 7 суток, острый пиелонефрит — длительность терапии не менее 14 дней.
2. Стерильная лейкоцитурия
Это наличие лейкоцитов в общем анализе мочи при отсутствии бактериурии и дизурии. Например, при обострении хронического гломерулонефрита в осадке мочи нередко обнаруживаются до 30-40 в поле зрения лейкоцитов. Другие причины стерильной лейкоцитурии: загрязнения при сборе мочи, состояние после лечение антибиотиками, опухоли мочевого пузыря, туберкулёз почек, интерстициальный анальгетический нефрит.
Лечебная тактика. Антимикробная терапия не проводится.
3. Уретральный синдром
Это учащенное, болезненное мочеиспускание и наличие лейкоцитов в общем анализе мочи в отсутствие бактериурии. Встречается преимущественно у женщин. В 30-40% случаев у женщин с подобными симптомами не удаётся выявить бактериурию. Причины отрицательного результата в том, что истинными возбудителями данного состояния, как правило, являются анаэробные бактерии, уреаплазма, хламидии, гонококк, вирусы. А все они требуют посева на специальные среды.
Лечебная тактика. Если возбудитель не выявлен предлагается доксициклин по 100 мг 2 раза в день в течение 7 дней или азитромицин 1 г однократно.
Эпителиальные клетки в моче
В мочевом осадке практически всегда встречаются клетки эпителия. В норме в общем анализе мочи не больше 10 эпителиальных клеток в поле зрения.
Расшифровка анализа
Эпителиальные клетки имеют различное происхождение.
- Клетки плоского эпителия попадают в мочу из влагалища, уретры и особого диагностического значения не имеют.
- Клетки переходного эпителия выстилают слизистую оболочку мочевого пузыря, мочеточников, лоханок, крупных протоков предстательной железы. Появление в моче большого количества клеток этого эпителия может наблюдаться при воспалении этих органов, при мочекаменной болезни и новообразованиях мочевыводящих путей.
- Клетки почечного эпителия выявляются при поражениях паренхимы почек, интоксикациях, лихорадочных, инфекционных заболеваниях, расстройствах кровообращения.
Цилиндры в моче
В норме в общем анализе мочи цилиндры отсутствуют.
Цилиндр — это белок, свернувшийся в просвете почечных канальцев и включающий в состав своего матрикса любое содержимое просвета канальцев. Цилиндры принимают форму самих канальцев (слепок цилиндрической формы).
Хотя в моче здорового человека за сутки могут быть обнаружены единичные цилиндры в поле зрения микроскопа. Такое небольшое количество не выявляется в разовых порциях. Поэтому в норме в общем анализе мочи цилиндры отсутствуют.
Расшифровка анализа
Цилиндрурия является симптомом поражения почек, поэтому она всегда сопровождается присутствием белка и почечного эпителия в моче. Вид цилиндров особого диагностического значения не имеет.
Неорганизованный осадок
Неорганизованный осадок мочи состоит из солей, выпавших в осадок в виде кристаллов и аморфных масс. Характер солей зависит от рН мочи и других свойств. Например, при кислой реакции мочи обнаруживаются мочевая кислота, ураты, оксалаты. При щелочной реакции мочи — кальций, фосфаты.
Расшифровка анализа
Особого диагностического значения неорганизованный осадок не имеет. Косвенно можно судить о склонности к мочекаменной болезни.
Количественные методы исследования осадка мочи
Количественные методы определения осадка мочи позволяют с большей точностью определить характер мочевого осадка, что позволяет выявить скрытые формы заболевания. В клинической практике распространение получила проба Нечипоренко — определение форменных элементов (лейкоцитов, эритроцитов, цилиндров) в 1 мл мочи, взятом в середине акта мочеиспускания из утренней порции.
Нормальные значения: лейкоцитов до 2000 в 1 мл, эритроцитов до 1000 в 1 мл, цилиндры отсутствуют или обнаруживаются в количестве не более 20 в 1 мл.
Перед началом анализа обязательно определяют рН мочи. При наличии щелочной реакции проба может быть недостоверной (происходит частичный распад клеточных элементов). Преимущество метода Нечипоренко перед другими тестами (Аддиса-Каковского, Амбюрже) состоит в том, что берётся малое количество свежевыпущенной мочи, время не регламентировано.
• Нормы общего анализа мочи. Сбор проб и подготовка к общему анализу мочи.
• Исследование физических свойств мочи (цвет, прозрачность, реакция, удельный вес)
• Химическое исследование мочи (белок, глюкоза, кетоновые тела, желчные пигменты)
• Микроскопия осадка мочи (гемоглобин, эритроциты, лейкоциты, тройной тест, эпителий, цилиндры, проба Нечипоренко)
• Бактериурия. Бессимптомная бактериурия. Грибы.
Дата создания файла: 07.02.2004Документ изменён: 10.05.2006
Copyright © Ванюков Д.А.
www.spruce.ru