
Киста в головном мозге — опасный диагноз
Киста в головном мозге – довольно опасный диагноз. При его установлении необходимо соблюдать все предписания врача. Только в этом случае можно избежать опасных последствий этого заболевания. Что такое киста головного мозга? В общих чертах она представляет собой пузырь, который наполнен жидкостью. Он может находиться в любом месте черепной коробки. Чем опасна киста головного мозга? Какие способы ее лечения существуют? Ответы на эти вопросы приведены ниже.
Симптомы заболевания
Симптомы кисты головного мозга проявляются не всегда. В некоторых случаях это заболевание протекает абсолютно бессимптомно. Это бывает, когда кисты имеют небольшой размер. Большие новообразования сдавливают оболочки головного мозга. Следствием такого воздействия являются следующие симптомы кисты головного мозга:
- сильные головные боли;
- ухудшение зрения и слуха;
- нарушения координации движений и сна;
- гипо- или гипертонус мышц;
- шум и пульсация в голове;
- потеря сознания, эпилептические судороги, дрожание (тремор) конечностей;
- у детей наблюдаются срыгивания, рвота;
- происходит набухание и заметная пульсация в области родничка.
Клиническая картина заболевания зависит от того, в каком месте локализована киста. На появление определенных симптомов оказывает влияние давление кисты на отдельные участки мозга.
Киста в головном мозге
Причины появления кисты в головном мозге
Это заболевание может возникнуть из-за целого ряда разнообразных причин. К ним относятся:
- паразитарная этиология;
- врожденные аномалии, возникшие при внутриутробном формировании мозга;
- дегенеративные, дистрофические изменения в головном мозге, когда ткани мозга замещаются кистой;
- травмы мозга;
- нарушение кровообращения.
Разновидности кист головного мозга
Различают несколько видов кист мозга. Наиболее часто встречаются следующие:
1. Киста шишковидной железы головного мозга. Чаще всего ее обнаруживают случайно при прохождении томографии на МРТ по другим причинам. Пинеальную кисту головного мозга в этой железе может спровоцировать нарушение оттока мелатонина, наличие эхинококка. После закупорки выводящего протока в кисте накапливается секрет, клетки железы. При этом образуется выстилающая ткань, которая при дальнейшем поступлении гормона способствует ее росту. Проникновение в шишковидную железу эхинококка также способствует формированию кисты. Это заболевание сопровождается такими симптомами: головной болью, двоением в глазах, невозможностью закатить глаза вверх, сложностями при ходьбе.
Киста шишковидной железы
Бессимптомная шишковидная киста головного мозга, которой не сопутствует опухоль и когда она обнаруженная случайно, не приносит неприятностей. Не смотря на это, врачи рекомендуют проходить ежегодное обследование у врача-нейрохирурга, который будет отслеживать динамику ее развития. Шишковидная киста, в отношении которой было применено медикаментозное лечение, никуда не пропадет, но при этом будут устранены причины ее возникновения. При частых болях и подозрении на рост этого новообразования его необходимо удалить при помощи оперативного вмешательства.
2. Арахноидальная киста головного мозга развивается на арахноидальной оболочке головного мозга. Она наполнена спинномозговой жидкостью. Арахноидальная кистанаиболее часто встречается у мальчиков и подростков. К ее образованию чаще всего приводят полученные травмы. Если давление в арахноидальной кисте превысит внутричерепное, то оно сдавит кору мозга и будет вызвать болевые ощущения. Медики выделяют еще ретроцеребеллярную арахноидальную кисту головного мозга. Она напоминает пузырь с жидкостью. Это образование является доброкачественным, но если киста образована ликвором, то она формируется на отмерших участках серого вещества. Эта киста часто являетсяпоследствием энцефалита или инсульта, а также недостаточного мозгового кровообращения. Чаще всего такое заболевание протекает бессимптомно. Ретроцеребеллярная киста часто приводит к разрушению мозга, поэтому она всегда требует лечения.
Лечение арахноидальной кисты головного мозга – оперативное (хирургическое). Удаляют разорвавшиеся кисты, сопровождаемые скоплением жидкости. Чаще всего такие новообразования вызывают приступы эпилепсии. На сегодняшний день оперативное вмешательство производят 3 способами:
- проведение эндоскопической операции;
- использование микрохирургии;
- шунтирование.
3. Пинеальная киста головного мозга образуется в эпифизе. Чаще всего она имеет маленький размер. Она вызывает нарушение обменных процессов. При ней нарушаются функции зрения и координации. Она может стать причиной гидроцефалии и энецефалита.
4. Дермоидная киста появляется в период внутриутробного развития. В ее полости можно обнаружить волосы и жир. Она быстро растет в детские годы, нередко сдавливая различные структуры. Чаще всего ее удаляют хирургическим путем.
Дермоидная киста
Другие виды кист мозга
Также часто встречаются и такие виды кист:
- Киста эпифиза головного мозга, симптомами которой являются сильные головные боли, сонливость, дезориентация, раздвоение в глазах. Также она затрудняет процесс ходьбы. На начальной стадии болезни применяют медикаментозное лечение. Запущенную кисту, увеличивающуюся в размерах, удаляют хирургическим путем.
- Киста сплетений сосудов – это доброкачественное новообразование, которое проявляется на отдельных стадиях развития плода в утробе матери. Такая киста головного мозга у ребенка чаще всего рассасывается самостоятельно. В некоторых случаях киста головного мозга у новорожденного возникает в результате осложнений при беременности и во время родов. К ней может привести и инфекционное заражение плода. В редких случаях это образование приводит к патологическим изменениям других систем организма. Врожденная киста головного мозга определяется с помощью процедуры, называемой нейросографией. Она абсолютно безвредна для здоровья ребенка. Диагностику такой кисты у взрослых людей производят с помощью исследования ультразвуком.
- Псевдокиста головного мозга у новорожденных встречается у 1% недоношенных детей. Ее выявляют при проведении УЗИ в первые 24 часа жизни ребенка. Данная киста головного мозга у плода возникает в результате кровоизлияния зародышевой матрицы. Она может быть односторонней или двусторонней. Псевдокисты являются наиболее безопасным для здоровья последствием родов. Они не требуют специального лечения. Как правило, уже к первому году жизни ребенка они полностью рассасываются.
- Ликворная киста головного мозга — новообразование, возникшее между мозговыми оболочками. Ее образованию способствуют воспалительные процессы (менингит, инсульт), травмы и хирургическое вмешательство. Она диагностируется во взрослом возрасте, поскольку на ранних стадиях ее признаки практически не выражены. Симптомы ликворной кисты: тошнота, рвота, психические расстройства, нарушение координации, судороги, паралич конечностей.
- Субэпендимальная киста возникает у новорожденных после нарушения кровообращения головного мозга или при гипоксии (недостаточного снабжения мозга кислородом). Это заболевание требует врачебного контроля.
- Порэнцефалическая киста головного мозга – образование, возникающеев его тканях вследствие расплавления пораженной области. Она приводит к весьма серьезным последствиям таким, как гидроцефалия и шизэнцефалия.
- Лакунарная киста образовывается в области варолиевого моста, в мозжечке, подкорковых узлах, зрительных буграх. Чаще всего она возникает в результате возрастных изменений и атеросклероза.
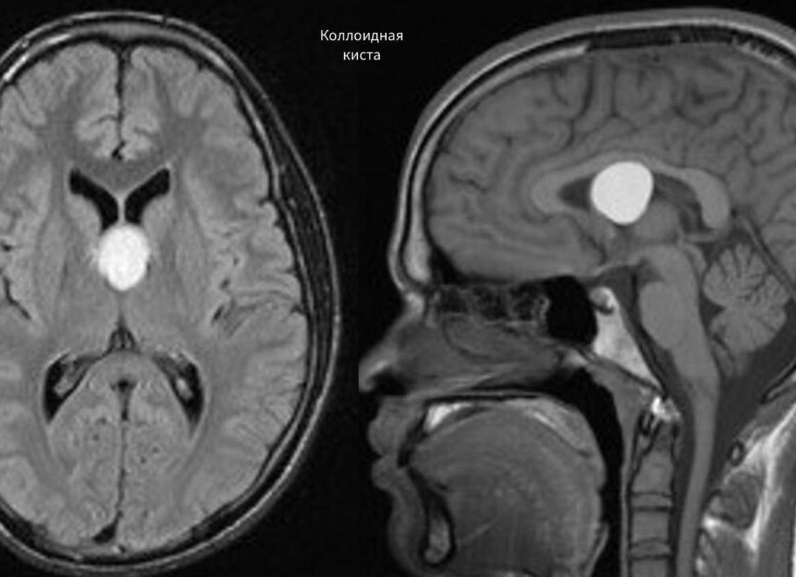
- Коллоидальная киста имеет врожденное происхождение. Она появляется в результате эмбиогенеза. Она может быть у человека всю жизнь, но при этом не доставляет ему никаких проблем. Есть мнение, что она носит наследственный характер. Эта киста блокирует поток жидкости. Она часто сопровождается головной болью, эпилептическими припадками, слабостью в ногах и высоким внутричерепным давлением. Наиболее ярко симптомы этого заболевания проявляются в зрелом возрасте. Иногда это заболевание является причиной возникновения гидроцефалии, мозговой грыжи. В редких случаях она приводит к летальному исходу.
Коллоидальная киста
Кисты разных отделов головного мозга
В некоторых случаях медики диагностируют следующие заболевания:
- Киста гипофиза головного мозга – доброкачественное образование. Оно появляется, в основном у людей в возрасте 30-40 лет. Практически не бывает кисты гипофиза у детей и подростков. Это заболевание опасно тем, что новообразование затрагивает центральную нервную систему. Чаще всего такую кисту удаляют хирургическим путем.
- Киста мозжечка головного мозга может возникнуть по ряду причин. Чаще всего ее лечение направлено на рассасывание спаек. Если киста образовалась в результате аутоиммунных процессов или инфекции, понадобится противовоспалительная терапия. Хирургическое вмешательство производят при наличии признаков кровоизлияния, судорог, нарушении координации движения. В большинстве случаев это заболевание полностью излечивается.
Диагностика и лечение
Диагностику кист головного мозга производят с помощью УЗИ, компьютерной и магнитно-резонансной томографии. В ходе исследования определяют месторасположение и размеры данного новообразования. При этом врач может поставить, например, такой диагноз: «ликворная киста височной доли головного мозга» или «арахноидальная киста левого полушария головного мозга». Чтобы не спутать это образование с опухолью в нее вводят контрастное вещество. Опухоли накапливают его, а кисты – нет.
Поскольку последствия кисты головного мозга бывают самыми разными, необходимо вовремя не только выявлять, но и предотвращать появление новых образований. С помощью проведения различных обследований устанавливаются причины, повлекшие за собой образование кисты.
Нейрохирургия в Израиле
В Израиле проводятся все виды открытых малоинвазивных операций на головном мозге. Это краниотомия (трепанация черепа), а также эндоскопические операции при аденомах гипофиза и опухолях головного мозга, выполняемые через ноздрю (transnasal approach), шунтирование и т.п.
Если раньше аневризмы головного мозга лечили с помощью краниотомии, то сейчас в Израиле 98% операций при этом заболевании проводятся малоинвазивными эндоваскулярными методами – с помощью катетеризации. Израильские нейрохирурги осуществляют также операции на спинном мозге и позвоночнике (например, при грыжах межпозвоночного диска, стенозе спинномозгового канала и т.п.). В Израиле выполняют инновационные малоинвазивные операции для лечения эпилепсии и болезни Паркинсона. Здесь проводится также лечение черепно-мозговых травм и послеоперационная реабилитация.
Ведущий израильский нейрохиурург Цви Рам
В израильских клиниках при всех операциях на головном мозге используется компьютерная навигация с применением компьютерной или магнитно-резонансной томографии. Что касается эндоваскулярных операций, то с помощью современных средств визуализации можно получить как двухмерное, так и 3Dизображение, позволяющее производить нейрохирургические манипуляции внутри кровеносного сосуда.
Получить подробности о проведении нейрохирургических операций в Израиле.
Лечение кисты в головном мозге подбирается в зависимости от причин заболевания. Как правило, не динамичная (не развивающаяся) киста не требует какого-либо лечения. Если же она начинает увеличиваться в размерах, могут быть применены такие виды терапии:
- Консервативная, которая заключается в применении различных медикаментозных препаратов, устраняющих причины возникновения кисты. Среди них могут быть иммуномодулирующие, антибактериальные, противовирусные лекарственные средства, а также препараты, рассасывающие спайки и восстанавливающие кровоснабжение.
- Оперативное (хирургическое) вмешательство подразумевает полное удаление кисты. В этом случае требуется трепанация черепа, шунтирование и эндоскопия кисты.
(20 оценок, среднее: 4,20 из 5) Загрузка…
Киста головного мозга: виды, симптомы, причины и последствия
Многих интересует, что такое киста. Это оболочковая структура в организме с жидким или желеобразным веществом, состав которой зависит от тканей, где она сформировалась.
Киста головного мозга — это не злокачественное образование в виде капсулы с полостью, заполненной ликвором (спинномозговой жидкостью), развивающееся в разных отделах мозга.
Наблюдается у новорожденных и малышей, молодых и пожилых людей обоих полов. Что же делать, если обнаруживается подобное образование?
Замершие (не растущие) структуры малых размеров не обнаруживают себя какими-либо проявлениями и обычно протекают без осложнений. Однако, патология опасна, поскольку при разрастании киста может быть источником тяжелых последствий. Значит, отношение к болезни и способы лечения определяются ее динамикой.
При первичном (врожденном) характере кисты головного мозга проявления наблюдают в раннем детстве, при вторичном (приобретенном) – у пациентов разного возраста.
Причины
Врожденные кисты мозга появляются на 4 – 8 неделе развития эмбриона или во второй половине беременности. Специалисты считают причинами появления кисты головного мозга у новорожденных патологические состояния при вынашивании плода, включая:
- прием лекарств;
- радиационное излучение;
- отравление природными ядами, промышленными токсинами;
- курение, употребление алкоголя;
- дефекты эмбрионального развития;
- ишемия (нарушение кровоснабжения) мозговой ткани плода в результате недостаточности плацентарного кровотока;
- последствий асфиксии (удушья) младенца в родах.
Вторичные кисты головного мозга у взрослых развиваются как следствие:
- воспалений мозговых оболочек, включая арахноидит, менингит, энцефалопатии;
- атрофии структур мозга;
- ишемии (недостаточность кровоснабжения) и гипоксии (кислородный дефицит в тканях) после инсульта;
- болезни Марфана (наследственная патология);
- травмирования черепной коробки и мозга (переломы костей, ушибы, сотрясения), при которых возникает посттравматическая киста (из-за сгустков крови, вызывающих воспаление оболочек);
- врожденного отсутствия нервного узла между полушариями (мозолистого тела);
- оперативных вмешательств на головном мозге (неважно в какое полушарие);
- кровоизлияний в толщу серого вещества, паутинную и мягкую оболочку, между ними (субарахноидальное).
Виды и особенности кистозных структур
По виду ткани, в которой она возникла, кисту в голове относят к одному из двух типов:
- Арахноидальная киста головного мозга. Развивается в поверхностных оболочках — твердой паутинной и мягкой (или между ними). Если она не растет и не влияет на состояние человека, обходятся без активной терапии.
- Ретроцеребеллярная киста (внутримозговая). Развивается непосредственно в толще тканей и между полушариями — в местах некрозов (омертвения клеток), возникших из-за ишемии. Отличается от арахноидальной более частыми случаями разрастания и высокой вероятностью полного разрушения клеток серого вещества.
Особенности арахноидальных образований
Киста в головном мозге арахноидального типа «созревает» при расслоении оболочки, где возникает капсула, заполняемая спинномозговой жидкостью. Если капсула увеличивается, она сдавливает смежные области, препятствуя их правильной работе.
Лакунарная киста головного мозга этого типа образуется в лакунах (впадинах) между оболочками.
По медицинской статистике, подобные образования у женщин находят гораздо реже, чем у пациентов-мужчин.
Симптомы кисты головного мозга
Ярко выраженные неврологические симптомы кисты головного мозга присутствуют только у 20 пациентов из 100.
Если образование маленькое и не динамичное (не увеличивающееся), то не представляет опасности. Однако, его разрастание приводит к сдавливанию смежных областей и нарушению многих функций, а разрыв капсулы угрожает жизни пациента.
Комплекс проявляемых симптомов определяется тем, в каком месте размещается киста мозга, и ее размерами. Каждая область мозга управляет определенными функциями. При сдавливании этой зоны возникает ишемия – состояние, когда мозгу из-за недостаточности кровоснабжения не хватает кислорода и питания, вследствие чего происходит потеря работоспособности данного участка или его отмирание.
Общие характерные признаки при кисте мозга:
- головные боли распирающего характера, особенно сильные в утренние часы;
- тошнота и приступы рвоты, после которых больному не становится легче;
- сонливость в дневное время и бессонница ночью;
- ухудшение равновесия, координирования движений, слуховых и зрительных функций;
- повышение давления внутричерепного и артериального;
- ощущение онемения в конечностях и на участках тела, куда проецируется киста (например, затылок);
- неврологические расстройства, агрессивность, подавленность;
- изменения в психике, частичная амнезия;
- эпилептические приступы с судорогами, утратой сознания и неконтролируемым мочеотделением;
- усиление боли в голове при движениях и поворотах;
- зрительные и слуховые галлюцинации;
- выпирание черепных костей в зоне проекции кисты головы у взрослого, выбухание и выраженная пульсация родничка у грудных детей.
Читайте также: Симптомы и методы лечения ангиомы головного мозга
Очаговые симптомы
Кроме этих признаков, сдавливание кистой близких участков провоцирует появление «очаговых» симптомов, означающее нарушение работы определенной зоны.
При локализации арахноидальной кисты в этом отделе наблюдают:
- снижение уровня интеллекта;
- изменения в характере;
- проявления детского поведения (болтливость, речь и шутки, свойственные ребенку);
- речевые расстройства по типу моторной афазии: невнятность при произношении;
- непроизвольное вытягивание губ, как у сосущего младенца, или при их контакте с любым объектом;
- неуверенность походки, раскачивания и частые падения на спину;
- невозможность точно контролировать движения рук, пальцев (неспособность точно поставить предмет, поднести ложку или чашку ко рту).
- расстройства в координации (размашистость, неточность движений);
- неустойчивость при хождении, отклонения в бок, падения;
- слабость в мышцах (гипотония);
- горизонтальный нистагм — непроизвольные ритмичные перемещения глазных яблок («бегающие» глаза).
- проявления сенсорной афазии (непонимание родной речи, которая кажется иностранной);
- потеря полей зрения (отсутствие визуального восприятия в части зрительного поля);
- судороги конечностей и крупных мышц туловища;
- ощущение шума в ухе слева без нарушения слуха;
- снижение слуха;
- рвотные позывы;
- потеря координации, равновесия;
- чувство онемения в разных областях тела, параличи односторонние, частичные;
- галлюцинации, обморочные состояния, психические отклонения.
- расстройство перемещения глаз (неспособность отвести их в сторону);
- отклонение центральной оси одного или двух глазных яблок — косоглазие;
- зрительные расстройства (потеря отдельных полей зрения, слепота одного или обоих глаз).
- Зоны, ответственные за движения конечностей.
Отмечается выраженная мышечная слабость, онемение или параличи.
Проявляются боли вдоль ствола позвоночника, наблюдается схожесть с признаками грыжи межпозвонкового диска.
- Поясничный и крестцовый отдел спинномозгового канала (периневральная киста).
- боли в зоне поясницы, крестца, в ногах при движении и в покое с отдачей в живот, ягодицы;
- парестезии в ногах (онемение, ощущение мурашек); мышечная слабость;
- нарушения работы мочевыделительных органов и кишечника (расстройство дефекации и мочеиспускания).
Дифференциальная диагностика проводится с кишечной коликой, аппендицитом, аднекситом, остеохондрозом.
- увеличение внутричерепного давления;
- выбухание костей черепа;
- приступы по типу эпилептических;
- гидроцефалия (водянка головного мозга) по причине сдавливания желудочков, зрительные расстройства.
Без лечения кисты в данной области мозга могут наблюдаться: развитие слабоумия, расстройства речи, слуха, зрения, памяти.
- Поверхность полушарий (конвекситальная).
- головокружение и головные боли;
- приступы тошноты, рвоты;
- звон в ушах, галлюцинации.
Ретроцеребеллярные полостные структуры
Кисты мозга церебрального типа появляются в толще мозга — в очагах гибели клеток (некрозов). При этом спинномозговая жидкость заменяет погибшие ткани серого вещества. Основное отличие ретроцеребеллярной кисты от арахноидальной в том, что она неожиданно и быстро прогрессирует, угрожая здоровью. Хирургическая операция позволит сохранить жизнь пациента.
Причинами развития церебральной кисты считают разрушительные процессы, приводящие к некротическим изменениям в тканях.
При инсульте возникает кровоизлияние, вызывающее гибель нервных клеток и формирование постинсультных полостей, заполненных ликвором. Ишемия участков головного мозга приводит к гибели клеток и появлению постишемической кисты.
Если у больного образовалась постишемическая лакунарная киста, чтобы не допустить углубления процессов разрушения мозга, необходимо безотлагательное выявление причины отмирания клеток и грамотный подбор схемы лечения.
Локализация и особенности
Церебральные образования также подразделяют в соответствии с областью их формирования:
- Лакунарная киста. Формируется в области варолиевого моста, подкорковых узлах, зрительных буграх вследствие атеросклеротических возрастных изменений. Признаки варьируются в зависимости от локализации.
- Врожденная киста прозрачной перегородки головного мозга возникает между передней долей и мозолистым телом и не нарушает работу мозга, но вторичная нуждается в постоянном отслеживании, поскольку может увеличиваться.
- Пинеальная (или киста шишковидной железы). Нарушает процессы обмена, двигательные и зрительные функции (двоение в глазах), вызывает сонливость, потерю ориентации, боли в голове, гидроцефалию, энцефалит.
- Эпидермоидная или дермоидная. Созревает в центральной части мозга в первые недели развития эмбриона, отличается активным ростом, и по этой причине требует незамедлительного хирургического удаления.
- Киста сосудистых узлов (сплетений). Выявляется у новорожденных и при нормальном течении рассасывается без лечения до 2 лет. При ее росте у детей или взрослых вероятно развитие тяжелых осложнений.
- Субэпендимальная киста. Вырастает в мозговых желудочках. Это тяжелая форма, требующая постоянного наблюдения за ребенком. Формируется из-за расстройства кровообращения, приводя к серьезной ишемии, некрозу, задержке в развитии.
- Порэнцефалическая киста. Развивается в любой области толщи левого и правого полушарий на месте погибшей от ишемии ткани. Крупные структуры приводят к умственной отсталости, гидроцефалии, эпилепсии, шизэнцефалии, зрительным расстройствам, слепоте, нарушению подвижности, параличам, ранней смерти.
- Киста гипоталамуса и таламуса вызывает: расстройства обмена веществ, утрату чувства голода, жажды и насыщения, потерю кожной и тканевой чувствительности, вкусовых ощущений, онемение, расстройства зрения и слуха.
- Коллоидальная киста. Врожденное образование малого размера, появляющееся в третьем желудочке мозга, чаще всего безопасно. Но если растет, то вызывает боли в голове, проявления эпилепсии, повышение внутричерепного давления, гипотонию (слабость) мышц ног, мозговые грыжи, водянку (гидроцефалию).
- Киста мозжечка и гипофиза.
Читайте также: Киста мозжечка головного мозга
Характеризуется: развитием судорожного синдрома, расстройством вестибулярного аппарата, внутричерепной пульсацией. Опасность — в высоком риске быстрого увеличения без определенных причин. В этих случаях образование немедленно удаляют.
При интраселлярной кисте гипофиза, расположенной в области костной ямки турецкого седла (intra – внутри, sella turcica — турецкое седло), могут наблюдаться дополнительные симптомы, особенно у женщин репродуктивного возраста.
Признаки интраселлярных полостных аномалий появляются, когда они вырастают более 1 сантиметра или когда проявляются нарушения выработки важнейших гормонов (у пяти человек из ста с подобной аномалией).
К ним относят:
- сильные головные боли, постоянные и не меняющие интенсивность при нагрузке или изменении положения тела;
- ухудшение зрительных функций от начального сужения бокового зрения до слепоты, что обусловлено близостью гипофиза и зрительных нервов;
- снижение гипофизом выработки гормонов, что провоцирует развитие гипотиреоза, несахарного диабета, нарушений в сексуально-репродуктивной области. При этом у части больных возникают дополнительные симптомы:
- жажда, сухость кожи;
- частые позывы на мочеиспускание;
- сонливость, усталость, пониженное давление, редкий пульс;
- отсутствие менструаций у женщин, бесплодие;
- половая слабость у мужчин.
Очень редко подобные полостные формы вызывают избыточную секрецию гормонов, приводя к тиреотоксикозу, болезни Кушинга, акромегалии.
У детей при развитии интраселлярной кисты и ее росте могут возникнуть эндокринные расстройства в форме задержки физического и полового развития.
Последствия
Многим необходимо четкое понимание того, чем опасна киста головного мозга. Краткое объяснение звучит так: она опасна тем, что в любой момент может начать расти, нарушая работу соседних отделов мозга, вызывая ишемию тканей и распространение очагов некроза. В результате, если вовремя ее не выявить и не начать терапию, то последствия кисты головного мозга могут быть следующими:
- психические расстройства;
- эпилепсия;
- параличи;
- слепота, глухота, расстройство речи и двигательных функций;
- слабоумие и распад личности.
А как же спорт?
Поклонников физической культуры интересует, а можно ли заниматься спортом с кистой головного мозга. Все зависит от причины кисты головного мозга. Так, в случае, если были постинсультные кисты, требуется обязательная консультация невропатолога по поводу спортивных занятий.
Если же серьезных отклонений не наблюдается, киста в голове не растет, врачи разрешают бег, плавание, теннис и другие виды спорта, где нет высоких нагрузок, риска падений и сотрясений головы. Поэтому, чтобы не допустить появление посттравматической кисты головного мозга, исключаются подъем тяжестей, верховая езда, прыжки, экстремальные спортивные развлечения.
И обязательно: контрольное МРТ мозга для отслеживания «поведения» кисты и обследование у невропатолога (нейрохирурга) через 4 – 6 – 12 месяцев.
Головные боли при кисте головного мозга
Киста в голове человека – довольно известная патология, при определенных обстоятельствах, угрожающая здоровью и жизни, так как зачастую проходит бессимптомно. Лишь изредка пациент испытывает слабую ноющую боль и некое давление. Так что такое киста головного мозга, в чем особенности данного заболевания и его лечения, давайте разбираться.
Киста в мозгу – это доброкачественное, похожее на пузырь, новообразование, накапливающее жидкость. Оно бывает врожденным и приобретенным. Место расположения кисты может быть самым разным, независимо от возраста и социального положения больного.
Выявить кисту в головном мозге на начальном этапе довольно сложно. Однако при малейших подозрениях или случайном обнаружении, нужно обязательно обратиться к соответствующему специалисту. Именно он определит, насколько она опасна для вашей жизнедеятельности и назначит лечение. Выполняя все предписания врача, вы убережете себя от тяжелых последствий.
Существуют многие причины, влияющие на образование кисты в голове у взрослого, если только патология не врожденная. Вот наиболее распространенные причины:
- всевозможные травмы головы, начиная от обычного ушиба и заканчивая сотрясением и гематомами;
- наличие паразитов;
- тяжелые заболевания, типа менингита и энцефалита;
- изменение мозговой ткани на кистообразную;
- а также плохое кровообращение.
Увеличению кисты головного мозга у взрослого способствуют:
- продолжительные воспалительные процессы;
- появление новых очагов поражения;
- последствия инсульта, сотрясения мозга или же нарушения кровообращения, генетические отклонения, атеросклероз и прочее;
- некроз определенных участков мозга.
Чем опасна киста мозга
Вот почему важно выявить заболевание и его причины на начальном этапе. Более того, в этом случае легко избавиться от кисты мозга. Лечение на данном этапе предусматривает лишь прием медикаментозных препаратов, способных рассасывать небольшие кистообразные опухоли без всяких осложнений.
К сожалению, большие образования требуют хирургического вмешательства, поскольку они крайне плохо воздействуют на мозг.
Признаки заболевания
Как и любая другая опухоль, киста на голове, имея определенные размеры, сопровождается некими симптомами:
- головная ноющая боль;
- приглушение слуха и зрения;
- мучительная бессонница;
- плохое передвижение;
- частичное онемение рук или ног;
- излишняя нервозность;
- гипотонус или гипертонус мышц;
- тошнота, рвота, после которых не становится легче;
- пульсация в голове у взрослых или родничка у новорожденного ребенка.
Различность симптомов и лечения мозговой кисты зависит от того, где она находится и на что пагубно воздействует.
Полное отсутствие данных признаков и хорошее самочувствие человека с кистой требует лишь своевременного посещения доктора для контрольных осмотров.
Разновидности кисты
Для того, чтобы знать как лечить и что делать, если у вас обнаружили этот аномальный вид, нужно определить тип кисты, понять что это такое. На сегодняшний день в медицинской литературе приводится огромное количество их разновидностей.
Рассмотрим основные и наиболее распространенные:
- арахноидальная – другими словами, поверхностная, находится между слоями мозговой оболочки. В основном диагностируется у мальчиков-подростков и у детей. Если киста у женщин — это крайне редкое явление. Киста арахноидальная при больших размерах давит на кору мозга, при этом человек испытывает галлюцинации, ему время от времени сводит судорогами ноги.
- Ретроцеребеллярная — в основном локализуется в самой мозговой ткани. Возникает у детей из-за омертвления клеток серого вещества. Процесс может развиться после перенесенного инсульта или операции на головном мозге, серьезной травмы головы или же сильнейшего воспаления. Также нуждается в незамедлительном лечении.
- Субарахноидальная киста – врожденная патология, которую медики «находят» в основном во время магниторезонансной томографии. На наличие кистозного образования также могут указывать непроизвольные судороги и пульсация в голове.
- Шишковидная опухоль у детей располагается в месте, где соединяются оба полушария головного мозга и нарушает функциональность эндокринной системы.
- Пинеальная – встречается очень редко, нарушает метаболизм и зрение. Может также привести к энцефалиту и гидроцефалии.
- Киста эпифиза головного мозга – характеризуется незначительной болью в голове, двоением в глазах и нарушениями походки. Диагностируется у 4% пациентов, проходящих томографическое исследование. У детей встречается редко.
На начальном этапе поддается лечению таблетками, в запущенных случаях – удаляется хирургами. Если же киста этого рода не увеличивается и не беспокоит пациента, то вероятнее всего, она также спокойно будет себя вести и далее.
- Киста сосудистых сплетений – внутриутробная патология, со временем рассасывается сама собой. В иных случаях – требует лечения, потому что оказывает плохое воздействие на иные системы детского организма. Обнаруживается врачами при нейросонографии у младенцев и УЗИ у взрослых.
- Субэпендимальная опухоль также патология малышей. Развивается из-за плохого кровообращения и нехватки кислорода, требует контроля.
- Ликворная киста головного мозга – новообразование, находящееся в соединенных оболочках мозга. Этому способствуют: перенесенный инсульт, хирургическое вмешательство или же воспалительные процессы мозга. Обнаруживается у взрослых, на ранних стадиях ее просто не видно. Патология сопровождается плохим самочувствием, дезориентацией, судорогами, нервозностью и незначительным параличом ног и рук.
- Лакунарная киста в головном мозге характерна для людей в возрасте, потому как считается, что возникает она вследствие атеросклероза или возрастных изменений у стариков.
- Порэнцефалическая может развиться после перенесенных инфекционных недугов. Давя на мозг, способствует появлению более тяжелых заболеваний, например, шизэнцефалии.
- Эхинококковая киста – очень редко возникает в головном мозгу человека, чаще такие кисты обнаруживаются в печени и легких. Это аномальное образование, которое возникает в результате заражения человека цепнем эхинококка. После заражения его личинки с током крови переносятся в органы и уже там превращаются в кисты, — пузыри с жидкостью, что служит личинкам защитной средой.
Главное быть внимательными
Что такое киста, какие симптомы и лечение у детей мы выяснили. Поскольку этой аномалии подвержены все возрастные группы людей, важно быть внимательными к себе и своему здоровью. Ведь вовремя начатое лечение способно избавить вас от самых нежелательных осложнений, повторного развития болезни и, конечно же, неприятных процедур. Обследуйтесь хотя бы раз в год и живите спокойно!
Причины, симптомы и лечение кисты головного мозга
31.05.2018 Долгое время болезнь способна не проявляться выраженной симптоматикой или проходить полностью бессимптомно
Кистой головного мозга называется — доброкачественная опухоль, как и Порэнцефалическая киста. Имеет шаровидную полость, внутри которой находится жидкость(Ликвор). Несмотря на доброкачественную природу, это опасное образование, его необходимо своевременно выявить и принять необходимые меры.
Локализация
Располагаться киста способна во всех отделах головного мозга. Эта опухоль статистически часто располагается в сеточной оболочке, покрывающей кору полушарий, потому что ее слои являются очень нежной и подверженной изменениям структурой. Кора полушарий более всего страдает при воспалениях и травмах головы. Поэтому после получения сильной травмы головного мозга желательно проверять на наличие образования или гематомы. Называется это образование посттравматическим и подобная киста может рассосаться сама, без хирургии.
Размеры
Размер кисты разнообразен, их увеличение воздействует на самочувствие пациента. Обычно опухоль занимает малый размер, не провоцирует зарождения симптомов и не искажает нормальную работу организма. Те, что больше величиной, давят на стенки и оболочки мозга и могут стать основанием изменения состояния и проявления некоторых симптомов.
Признаки
От локализации ее размера зависит проявление симптомов:
- Паралич конечностей, полный или частичный;
- Изменение тонуса в мышцах на гипертрофированное или гипортрофированное;
- Изменения психического состояния и расстройства психического здоровья;
- изменение координации;
- Головная боль, которую невозможно купировать медикаментозно;
- Нарушения сна;
- Появление в ушах несуществующего писка или шума;
- Изменение сознания, его потеря или появление неконтролируемых действий;
- Судороги;
- Ощущение пульсации или сдавливания внутри головы;
- Постоянная тошнота и проявления рвоты, которые не доставляют даже временного облегчения и не купируются медикаментами;
- Потеря чувствительности кожи;
- Неконтролируемые движения конечностями.
Те образования что больше величиной, давят на стенки и оболочки мозга и могут стать основанием изменения состояния и проявления некоторых симптомов.
Важно! Проявление одного или нескольких признаков еще не говорит о том, что опухоль есть. Проявляющиеся признаки могут указать на месторасположения образования, ведь любой участок мозга несет ответственность за локальные навыки или части тела. Симптомы проявляют себя в соответствии с тем, на какую часть мозга давит опухоль.
Если образование находится в районе зоны, отвечающей за двигательные функции, то проблемы могут начаться с движениями, может нарушиться координация или измениться походка. Область, отвечающая за глотательную функцию, спровоцирует нарушение этой способности, а нахождение кисты в районе мозжечка спровоцирует нарушение зрения, равновесия или расстройства речи, изменить почерк или привычные жесты.
Разновидности
По причинам возникновения киста головного мозга бывает — первичная и вторичная:
Первичная (врожденная)
Причин, провоцирующих заболевание множество. Образуется у плода еще до рождения в следствие: — приема матерью лекарственных препаратов, токсических веществ, или получения радиации. Врожденная киста способна образоваться в результате любого отрицательного действия на организм матери во время беременности.
- Антибактериальная терапия беременной способна привести к появлению образования у плода;
- А так же, как и прием наркотических или алкогольных веществ;
- Аномалии развития могут быть и при никотиновой зависимости у матери;
- Гипоксия плода, особенно длительная;
- И резус-конфликт с матерью также являются причинами развития заболевания.
Проявлениями у новорожденных может быть, рвота и громкий плач малыша.
Вторичная(приобретённая)
Появляется в результате перенесенных заболеваний или травм. А также может быть осложнением после хирургического вмешательства.Приобретенная киста головного мозга может появиться у новорожденного из-за ошибки в родах и получения черепно-мозговой травмы, родовой травмы или асфиксии. В любой возрастной категории может появиться доброкачественная опухоль, если человек переболел воспалительным заболеванием — менингитом, энцефалитом, абсцессом головного мозга или арахноидитом. Острые нарушения кровообращения являются причиной для постинсультной или постишемической опухоли.
Внимание! Если опухоль не изменяет свой размер в течение долгого времени, никаким образом не проявляет себя и не мешает нормальному функционированию организма человека, ее не удаляют, пациент ограничиваются только наблюдением. Любое увеличение опухоли, особенно резкое, вызывает серьезные опасения и часто требует срочного медицинского вмешательства.
Классификация кист головного мозга.
Кисту мозга различают в зависимости от места локализации:
- Арахноидальная ликворная— которая образуется в полости между оболочками защищающими мозг от внешних факторов. В большинстве случаев заболевание протекает без симптомов, пока не разрастется до критических размеров.
- Церебральная — внутримозговая развивающуюся внутри тканей головного мозга. На месте гибели клеток мозга появляется киста.Коллоидальная — образуется в 3 мозговом желудочке, не считается раковым заболеванием, но может прогрессировать и расти. Главная опасность наличия такой опухоли в голове заключается в том, что растущая киста может перекрыть доступ к путям ликвора и спровоцировать гидроцефальный синдром.
- Киста шишковидной железы — опухоль, которая образуется между полушариями в полости их соединения. Это заболевание появляется обычно в случаях, когда происходит закупорка протока, по которому должен уходить мелатонин. Такая внутримозговая киста нарушает работу эндокринной системы организма. На первом этапе этого заболевания применяются медикаментозные методы лечения кисты.
- Интраселлярная киста в редких случаях перерождается в злокачественную опухоль или становится причиной появления у пациента инвалидности. Поэтому за ней нужно следить с особенным вниманием.Если появились изменения в состоянии, то нужно обратиться к терапевту. Он подскажет, к какому врачу идти дальше за уточненным диагнозом, где проводить диагностику и с каких анализов лучше начать. В случае, если поставлен диагноз, то некоторое время наблюдают за поведением кисты. В это время соблюдается диета и меры профилактики — нельзя выполнять сложную или тяжелую физическую работу, находиться в стрессовых ситуациях или заниматься любыми видами спорта.
Хирургическое лечение кисты
Лучшим выходом является прибегнуть к наблюдению и, при необходимости, хирургическому вмешательству. В абсолютном большинстве случаев проведенная операция не имеет никаких негативных последствий и на четвертые сутки после операции пациент может отправляться домой. Своевременное и современное лечение таких заболеваний предотвращает повторное их появление.
В случаях, когда киста мешает нормальной жизни, увеличивается в размерах или вызывает неконтролируемые состояния организма, назначается операция по удалению:
- Эндоскопия. Проводится не для всех видов кисты, с помощью прокола убирается образование, травматизм обычно небольшой.
- Мозговое шунтирование. Проводится с помощью дренажной трубки, с ее помощью жидкость или ликвор из кисты убирается, а сама она постепенно зарастает.
- Трепанация. Наиболее эффективная операция, позволяющая полностью удалить образование, грозит травматизмом мозга. Проводится эпидуральная анестезия.
О лечении кисты
Часть кистозных образований в мозгу не требуют лечения, только наблюдение один раз в 6 месяцев. Ярко выраженная неврология развивается только в 20% случаев. Но игнорировать это предписание врачей нельзя, следует регулярно наблюдать за кистой и контролировать, чтобы не было изменений. Важно найти возможные причины образования кисты и купировать их, устранив или снизив влияние причины. Чаще всего требуется лечить не кисту, а заболевание, спровоцировавшее ее появление. Лечение инфекционной причины, аутоиммунного процесса и нарушения мозгового кровообращения различно. Как справляться с каждым из них — расскажет лечащий врач.
Киста у беременной
Если у беременной выявили наличие доброкачественной опухоли, то начинается процесс пристального наблюдения за ней. Часто беременность кисту усугубляет и подпитывает, изменения в организме женщины заставляют ее расти в размерах. Несмотря на это, операция по ее хирургическому удалению проводится только в случае, если есть риск гибели матери и ребенка. В остальных случаях операцию стараются отсрочить до момента родов. Беременная обязательно должна наблюдаться у врача и неукоснительно проходить все нужные обследования. Если киста влияет на какие-либо функции организма или сильно ухудшает здоровье, то операция может быть проведена в срочном порядке.
Вероятность инвалидности
Дают ли инвалидность при кисте — дают, но при соблюдении некоторых условий. Сам факт наличия такого образования не влечет за собой получение инвалидности. В качестве основания для получения инвалидности должно значиться не заболевание, а приобретение больным стойких и выраженных нарушений функций организма. При этом они не должны поддаваться оперативному или иному виду лечения.
Последствия
Последствия отказа от лечения кисты в голове могут быть непредсказуемыми также как и лечение народными средствами гарантированно не принесет положительного эффекта. Так можно только потерять время и усугубить ситуацию. В случае отказа от лечения постепенно начнут проявляться такие последствия, как постоянная головная боль, нарушения речи, слуха или зрения. Могут проявить себя психические расстройства, которые будут со временем только ухудшаться.
Будет снижаться чувствительность и со временем пациент не сможет поднять ложку или ощутить кипяток. Двигательная система будет работать все хуже, появятся судороги и припадки. Все признаки кисты могут со временем проявить себя. Наиболее негативным следствием отказа от лечения является летальный исход в результате разрыва кисты или полной закупорки питающих мозг сосудов.
Появление кисты в головном мозге не является смертельным заболеванием, если его лечить и наблюдать за ним. Не стоит обращаться к народным средствам или гомеопатам, лечение должно быть медицинским и назначено врачом. Нужно выполнить все предписания, анализы и исследования, а затем и операцию. Практически все обращения с таким заболеванием успешно излечиваются, если их не запускать до неоперабельного состояния и не отказываться от операции.
Причины, симптомы и лечение кисты головного мозга Ссылка на основную публикацию