
Как выглядит на узи желтое тело
Желтое тело представляет собой железу внутренней секреции, которая проявляется только в определенный период менструального цикла. Стоит отметить, что его можно наблюдать только в репродуктивном возрасте, когда женщина имеет возможность родить ребенка.
Данное тело называется желтым, так как внутри себя оно имеет содержимое такого же цвета. Оно образуется вследствие выхода яйцеклетки из яичника и выделяет важный гормон – прогестерон. Именно он создает благоприятную среду для зачатия ребенка.
В случае если в этот период женская и мужская клетки не слились, то данная железа начинает исчезать через несколько дней. Она превращается в практически белое вещество или рубец на этом месте в яичнике, и через короткое время также исходит на нет.
Процесс образования
Как правило, желтое тело образуется во время второй фазы менструального цикла. Его основная функция – выпустить созревшую яйцеклетку. Это происходит в процессе созревания главного фолликула. Перед тем как переместиться в маточную трубу для дальнейшего зачатия со сперматозоидом, она попадает в брюшную полость.
После того как фолликул лопается, из него выходит яйцеклетка, начинается процесс формирования желтого тела. Если же это не происходит, то функция данной железы начинает угасать.
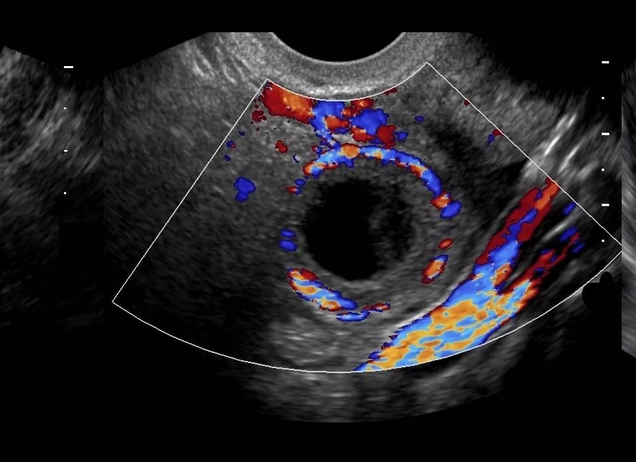
Что представляет собой желтое тело на УЗИ
Желтое тело на узи выглядит как мягкий мешочек (на фото оно именно такое), которое располагается рядом с яичником. Если же во время ультразвукового исследования оно не наблюдается, то это первый признак заболевания эндокринной или репродуктивной системы. Также причиной его отсутствия может быть простая задержка менструации.
Для того чтобы произошло оплодотворение, и хорошо развивался плод, необходимо, чтобы данная железа была размером около 18 миллиметров. В случае если на ультразвуковом исследовании выяснилось, что она более 22 миллиметров, а также отсутствие овуляции и рост фолликулы, то в данном случае дело имеют с фолликулярной кистой.
Данный недуг может пройти сам по себе. Для этого необходимо подождать 2-4 циклов менструации. Очень часто этот нарост рассасывается именно в период менструации.
Как правило, данная железа имеет четыре стадии существования:
1. Пролиферация – начальный процесс зарождения железы. Он заключается в увеличении зернистых клеток фолликула. 2. Васкуляризация – процесс перевоплощения желтых зернистых клеток в лютеиновые. 3. Период рассвета. Данные клетки превращаются в складки, которые способствуют уменьшению размеров данной железы.
4. Полное исчезновение железы.
Если же фото УЗИ показало, что оно превышает 30 миллиметров, и женщина не может забеременеть, то принято считать, что у пациентки киста желтого тела.
Размеры железы на УЗИ
• Если же размер железы 18-22 миллиметров, то это первый признак того, что у женщины нет проблем с оплодотворением, и это самый подходящий момент зачать ребенка, так как именно сейчас наступила фаза овуляции. • Размеры этой железы на УЗИ от 21 до 30 миллиметров во время беременности говорит о том, что в данном случае нет никаких проблем с плодом, и беременность протекает хорошо. Но если же женщина не беременна, это называется фолликулярной кистой. • В случае выявления на УЗИ данной железы округлой формы размером более 40 миллиметров, мы имеем дело с кистой.
При беременности данную железу можно обнаружить до 14 недели, после этого периода, когда начинает формироваться плацента, его функция угасает.
Обнаружение кисты желтого тела во время УЗИ
Иногда, когда происходит формирование плаценты, желтое тело продолжает расти. В данном случае оно превращается в кисту. Данный нарост может даже превышать 40 миллиметров.
Такая киста никак не влияет на развитие плода и протекание беременности, но если она вырастает более допустимой нормы, может произойти ее сдавливание, а в дальнейшем – и ее разрыв.
Есть случаи, когда УЗИ показывает кисту такого типа, даже когда нет беременности. Она образовывается также из этой железы на месте лопнувшего фолликула, когда его рост превышает допустимых норм. Очень часто данный недуг в такой ситуации совершенно не беспокоит женщину. Порой она даже не догадывается о существовании кисты.
Таким образом, ультразвуковое обследование органов женского малого таза очень важно. А при помощи желтого тела можно оценить репродуктивную функцию организма пациентки (возможно ли зачатие или нет, как протекает беременность в первом триместре, а также есть ли угроза прерывания беременности).
Что такое желтое тело и как оно выглядит на узи?
Наверное, каждая женщина хотя бы раз в жизни проходила УЗИ на желтое тело яичника. Оно и не удивительно, ведь эта на первый взгляд малозначимая железа играет очень важную роль в женском организме.
Что такое желтое тело яичника и для чего оно нужно?
В момент овуляции в яичнике происходит разрыв доминантного фолликула, из которого впоследствии выходит яйцеклетка. Из остатков того самого фолликула и образуется временная эндокринная железа внутренней секреции — так называемое желтое тело или лютеиновая железа. Этот орган вырабатывает гормон прогестерон, необходимый для протекания нормальной беременности. Если оплодотворения не происходит, желтое тело погибает на 12-14 сутки менструального цикла. Когда же настал беременности лютеиновая железа активно функционирует вплоть до образования плаценты.
Как выглядит лютеиновая железа на ультразвуковом исследовании?
Лютеиновая железа (желтое тело) — динамический орган, который меняется в зависимости от фазы менструального цикла. Она начинает активно расти после наступления овуляции и полностью инволюционирует, если беременность не наступила. Лютеиновая железа функционирует в период репродуктивного возраста. При трансвагинальном исследовании в течение 3-8 дней она определяется в области одного яичника и представляет собой небольшой мешочек с неровными краями и различной эхогенности. Как было сказано ранее, она определяется после наступления овуляции и во время беременности до 7-8 недель.
Если желтое тело в левом яичнике при беременности, как и в правом, отсутствует, это говорит о серьезной патологии, которая грозит преждевременным прерыванием беременности, то есть выкидышем.
Нормальная железа проходит в своем развитии 4 стадии:
Нормальные размеры желтого тела:
- от 17 до 23 мм — это здоровое желтое тело, которое готово к оплодотворению — такой размер характерен для фазы овуляции;
- от 20 до 30 мм при беременности — физиологическое течение беременности;
- от 24 до 30 мм при отсутствии беременности — фолликулярная киста желтого тела;
- от 30 и больше — киста желтого тела.
Когда показано УЗИ:
- при планировании беременности, для оценки овуляторной функции организма;
- при задержке менструальных выделений (исследование на предмет обнаружения фолликулярной кисты или беременности);
- при проблемах с зачатием;
- в начале беременности для оценки состояния органа;
- при подозрении на кисту желтого тела;
- динамическое наблюдение за лютеиновой кистой.
Подготовка к процедуре и доступ при УЗИ
Особой подготовки данное исследование не требует. За день до УЗИ следует отказаться от газообразующих продуктов (молоко, черный хлеб, яйца, чеснок, кукуруза, бананы и так далее) и принять 2 капсулы Эспумизана на ночь. В зависимости от доступа нужен или спорожнену мочевой пузырь, или полный.
На сегодняшний день принято выделять следующие виды доступов:
Патология лютеиновой тела при УЗИ
Кисты желтого тела
Функциональные кисты. Наиболее часто патология встречается среди женщин детородного возраста и возникает вследствие воспалительных процессов в паренхиме яичника или гормональные сбои. Может возникнуть непосредственно на месте желтого тела (тогда речь идет о лютеиновой кисте) или на месте лопнувшего доминантного фолликула — фолликулярной кисте.
Такие кисты чаще не имеют клинических проявлений и временем определяются случайно при очередном исследовании. Экстренного лечения не требуют. При таком диагнозе часто применяется выжидательная тактика. Если фолликулярная киста не исчезла за 2-4 менструальных цикла, то такая киста называется лютеиновой.
Среди лютеиновой кисты (или кист желтого тела) можно выделить:
В группе риска развития таких кист находятся:
- женщины, которые закончили свой репродуктивный период;
- женщины, у которых произошла ранняя менопауза;
- женщины, в анамнезе которых есть воспалительные или гормонозависимые заболевания яичников;
- родили женщины старше 40 лет;
- женщины с 3 и более количеством родов;
- при наличии более двух абортов в анамнезе;
- женщины, у которых наблюдаются незначительные кровотечения в постменопаузальном периоде;
- женщины с отягощенным наследственным гинекологическим анамнезом.
Недостаточность лютеиновой тела
Около 29% женщин детородного возраста имеют такие проблемы. При данной патологии происходит уменьшенное количество выработки гормона прогестерона, что, в свою очередь, влияет на менструальный цикл и на течение беременности.
Причины недостаточности желтого тела:
В результате такой патологии происходят постоянные нарушения менструального цикла и проблемы с зачатием и вынашиванием плода. Недостаток гормона прогестерона затрудняет прикрепление оплодотворенной яйцеклетки к эндометрию матки и дальнейшее ее развитие. Желтое тело на УЗИ выглядит уменьшенным в размере, по сравнению с нормальной железой. Возможно отсутствие желтого тела или даже доминантного фолликула.
Апоплексия кисты желтого тела
Угрожающее состояние, что сопровождается сильными болями и интоксикацийним синдромом. Часто возникает при сильной физической нагрузке или при половом акте. Если такую кисту наблюдать в динамике, то на ультразвуковом исследовании будет уменьшение в объеме образования и наличие свободной жидкости в полости малого таза. С помощью пункции свода малого таза можно определить характер содержимого. Такое состояние, независимо от объема кисты, требует неотложного хирургического вмешательства.
Перекрут ножки яичника вместе с кистой
Довольно редкая патология. Возникает при размере кисты больше 5 см и частой физической нагрузке или определенном положении тела. При этом происходит полный или частичный перекрут ножки яичника. При УЗИ выявляется незначительно увеличенный в объеме яичник и большого размера киста. При доплеровском исследовании полностью или частично отсутствует кровоток. Это тоже ургентная патология и требует экстренного вмешательства хирургов.
Важно помнить: заключение врача функциональной диагностики — это не диагноз. Для проведения дальнейших исследований и назначения адекватного лечения необходимо обратиться к врачу.
Фото УЗИ желтого тела
желтое тело на узи фото желтое тело на узи фото киста желтого тела фото узи киста желтого тела фото узи киста желтого тела фото узи желтое тело на узи фото
Узи фото кисты желтого тела — У истоков здоровья
Выйдя из яичника, яйцеклетка проходит в маточную трубу, где происходит ее встреча со сперматозоидом.
На основании анализов, анамнеза и жалоб пациентки, выясняются причины воспалительного процесса или гормонального сбоя у женщины.
Желтое тело на УЗИ выглядит как неоднородный мешочек в области яичника. В зависимости от его размеров врач может сделать вывод о наступившей беременности или о появлении патологий в репродуктивных органах.
Важно! С помощью УЗИ яичника можно диагностировать такое заболевание, как киста желтого тела или лютеиновая киста.
2. Васкуляризация – процесс перевоплощения желтых зернистых клеток в лютеиновые.
В этом случае для исследования используют ультразвуковой вагинальный датчик. Устройство помещают в презерватив и вводят внутрь влагалища.
Индивидуально подобранная гормональная терапия способна помочь и в этом случае.
В некоторых случаях для получения достоверного результата работу яичников, состояние фолликулов и саму железу исследуют не один, а несколько раз на протяжении одного цикла.
Желтое тело в яичнике: что это такое на УЗИ матки? Размеры во время беременности у женщины.
Если же киста сопровождается нагноением, перекручиванием и другими осложнениями, не исчезает спустя три месяца после появления, это значит, что потребуется ее хирургическое удаление.
Разрыв кисты яичника сопровождается сильным болевым синдромом и кровотечением в брюшную полость. При этом у женщины наблюдается клинический случай острого живота:
Киста в яичнике по симптомам схожа с признаками беременности: происходит задержка месячных, возникают болезненные ощущения внизу живота.
Киста ЖТ у беременной женщины не несет угрозы выкидыша и обычно рассасывается к 20-й неделе.
Киста находится на поверхности яичника, и прикрепляется к нему с помощью ножки. Если произойдет поворот кисты вокруг своей оси, ножка скручивается, нарушая кровоток и тогда у женщины возникает очень острая симптоматика — сильные боли внизу живота, отдающие в ногу, поясницу, возможна тошнота и рвота. Если перекрут произошел от кисты желтого тела в правом яичнике, то и боль отдает в правую ногу, если в левом- то в левую. Иногда симптомы нарастают постепенно, не резко ( при небольшом перекруте, градусов на 60 – 90). Поэтому женщине с кистой яичника, следует при возникновении любого недомогания, обращаться к гинекологу.
Так же, как и УЗИ женских органов. — двумя способами: через живот и трансвагинально.
Обычно болезненных ощущений при этом женщина не испытывает. Чтобы получить достоверный результат, процедуру рекомендуется делать на 13 – 15 день от начала цикла.
Исследования, проводимые с помощью ультразвукового аппарата, сегодня являются самыми качественными и точными. С их помощью можно получать данные о различных заболеваниях на самых ранних стадиях, а также предотвращать их. Для сферы гинекологии УЗИ просто незаменимо. Одно из таких исследований проводится и относительно желтого тела. Что это и как расшифровать полученные данные?
Обычно это делают сразу после прекращения менструального кровотечения и далее на 15-16 и 22-23 день. УЗИ яичников проводят методом трансабдоминального или трансвагинального исследования.
В здоровом женском организме желтое тело появляется в яичнике при овуляции и самоликвидируется с периодичностью, предусмотренной природой.
Женщинам с малыми размерами кисты желтого тела или кистой, протекающей бессимптомно, показано трех месячное наблюдение у гинеколога, УЗИ контроль. Процесс рассасывания происходит более быстро, если использовать следующие виды консервативной терапии:
Своевременное и регулярное исследование органов малого таза, в частности желтого тела, может помочь обнаружить образовавшуюся кисту своевременно и наблюдать за ее ростом. Кроме того, данные полученные на основании развития этой железы помогают правильно оценить репродуктивные возможности женщины, а также установить отклонения или патологии о время протекания беременности. Размеры желтого тела могут быть первым сигналом для диагностирования заболевания, которое пока не обнаруживается аппаратом УЗИ.
К функциональным кистам яичников в медицине принято относить 2 вида образований — киста желтого тела и фолликулярная киста. Это самые распространенные опухолевидные образования, составляющие 30% от числа всех доброкачественных новообразований в яичниках женщины. Причем, киста желтого тела яичника как правого, так и левого встречается реже, чем фолликулярные — всего 5% от всех не злокачественных опухолей яичника.
До сих пор точные причины возникновения кисты желтого тела не известны. Но то, что это непосредственно связано с функционированием и индивидуальными особенностями яичников, бесспорно. Возможные причины появления кисты желтого тела правого или левого яичника следующие:
Скорее всего, это произошло в результате заболевания эндокринной системы или репродуктивных органов.
В организме женщины детородного возраста этот процесс протекает каждый месяц.
Оперативное лечение кисты желтого тела начинается спустя три месяца после ее появления. Поскольку к этому времени она должна подвергнуться регрессии или хотя бы значительно сократиться в размерах. Если этого не происходит, то прибегают к ее оперативному лечению, это необходимо, поскольку:
Гормональная терапия назначается только при отсутствии каких-бы то ни было осложнений (нагноение кисты), в этих случаях лечение кисты желтого тела только одно – лапароскопия кисты яичника .
- Заболевания щитовидной железы
- Ощущение распирания, тяжести, дискомфорта внизу живота со стороны развития новообразования.
- при бесплодии
- при лечении бесплодия.
- Из-за возможного перекрута или разрыва яичника — очень грозных осложнений кисты.
- раздражение брюшины – при пальпации резкая болезненность
- Чрезмерные физические нагрузки
- 20-30 mm – норма для беременности
- более 30 mm в «интересный период» также говорит о кисте. Это никак не влияет на ее ход, даже если такое образование не регрессирует после 16 гестационной недели.
- Применение препаратов для экстренной контрацепции (Постинор, Эскапел )
- Исключены грязевые процедуры, водорослевые и прочие обертывания, они оказывают и опасное прогревающее, и сдавливающее действие.
- положительный френикус-симптом – болезненность при пальпации надключичной области с пораженной стороны).
- 21-30 мм – этот орган говорит о том, что все процессы развития наступившей беременности находятся в норме. Плод развивается нормально;
- Никакой герудотерапии
- 23-30 mm – отсутствие овуляции вследствие фолликулярной кисты
- Искусственное прерывание беременности — аборты (последствия ), являются мощным фактором гормонального сбоя и причиной возникновения кисты желтого тела или фолликулярной кисты.
- напряжение живота, задержка стула
- 18-22 mm во второй фазе цикла – готовность к зачатию
- интоксикация
- Болезненность в области придатков матки справа или слева
- Вредные условия на производстве
- Прием средств для стимуляции овуляции, когда перед процедурой ЭКО (негативные последствия ЭКО ) или при бесплодии назначают Кломифен (Клостилбегит).
- трансабдоминально (через живот), тогда необходимо наполнить мочевой пузырь: за час до процедуры выпить около полулитра воды без газа или чая без сахара
- трансвагинально (влагалищным датчиком): в качестве подготовки нужно опорожнить мочевой пузырь.
- если наблюдается их рост, женщине предлагают их оперативное (лапароскопическое) удаление
- если есть подозрение на лютеиновую кисту
- Раннее начало менструаций
- Кисты желтого тела, по причине неравномерного отторжения эндометрия, могут быть факторами риска по возникновению маточных кровотечений.
- если беременность наступила, а есть лютеиновая киста, определяют уровень прогестерона в крови и назначают заместительную терапию «Дуфастоном» или «Утрожестаном».
- Длительные, постоянные стрессы, психические нагрузки
- рвота
- если киста остается такой же, наблюдение продолжают
- если тест положительный, плод определяется, а лютеиновой железы нет – угроза выкидыша. Для спасения плода нужно проводить заместительную терапию препаратами прогестерона («Утрожестан», «Дуфастон»).
- 18-22 мм – этот размер желтого тела говорит о наступлении овуляции. Организм работает нормально, репродуктивные способности в норме, прогестерон активно вырабатывается;
- Инфекции передающиеся половым путем, и как следствие, частые сальпингиты, сальпингоофориты, оофориты
- Такой вид кисты чаще всего не малигнизируются, то есть не озлблокачивается, но бывают исключения.
- Увлечение женщиной различными диетами для похудения, монодиетами, недостаточный или избыточный вес
- Физиотерапии с прогревом
- 30-40 mm –при отсутствии оплодотворения это говорит о жидкостном образовании в яичнике
- для диагностики кисты;
- для обнаружения многоплодной беременности – в этом случае желтых тела будет два и больше;
- при задержке менструации, это – нехороший признак, говорящий о заболевании или эндокринной системы, или патологии репродуктивных органов
- Киста желтого тела может спровоцировать задержку месячных, нарушать менструальный цикл, а также привести к затяжной менструации, что объясняется неравномерным отторжением эндометрия.
Ультразвуковое исследование позволяет сделать выводы о размере железы. Этот параметр напрямую влияет на успешное протекание беременности.
Это происходит при кистозном процессе. Кисту на УЗИ видно – она выглядит, как наросты на ЖТ, наполненные жидкостью.
Как появляется желтое тело? При овуляции, после того как главный фолликул созреет и разорвется, на месте разрыва образуется рубец. Впоследствии из него формируется желтое тело.
Во время трансабдоминального исследования для исключения возможности ошибки нужно, чтобы мочевой пузырь был полным. Во время процедуры датчиком проводят по кожному покрову в районе живота и лобка.
Если на УЗИ размеры железы достигают 21-30 мм, а беременность не наступила, то врач может поставить диагноз «киста желтого тела». Она образовывается на месте лопнувшего фолликула все из того же желтого органа, который не исчез в отсутствие наступления оплодотворения. Развитие кисты может не беспокоить большинство женщин и не иметь никаких симптомов. Но угрозу представляет тот факт, что когда киста вырастет и превысит допустимые нормы, она может лопнуть. Именно поэтому очень важно регулярно проводить УЗИ органов малого таза. Таким образом, врач может своевременно заметить развитие заболевания и контролировать этот процесс. Бывает и так, что образовавшаяся киста исчезает с наступлением месячных. Тогда ее называют ложной.
Падение артериального давления является признаком геморрагического шока, то есть массивного внутрибрюшного кровотечения.
Чтобы обнаружить желтое тело, достаточно сделать УЗИ яичников. Обследование с помощью ультразвука дает возможность увидеть эту железу и сделать выводы о нормальности или ненормальности ее развития.
Чтобы поставить более точный диагноз, нужно принять во внимание размеры матки и наличие или отсутствие плода в полости.
• Если же размер железы 18-22 миллиметров, то это первый признак того, что у женщины нет проблем с оплодотворением, и это самый подходящий момент зачать ребенка, так как именно сейчас наступила фаза овуляции.
Можно ли считать желтое тело однозначным признаком беременности? Ответ на этот вопрос — нет. Если в результате УЗИ яичников будет видно одно или два желтых тела, можно говорить лишь о произошедшей овуляции и возможности зачатия.
В этом случае женщина не сможет забеременеть или произойдет замирание плода в утробе, также существует угроза выкидыша в первые три месяца беременности.
Симптомов при образовании такой кисты, как правило, нет, ее называют временной, поскольку при очередном менструальном цикле она должна сократиться в диаметре, потерять форму и в течение следующих 2 циклов исчезнуть совсем. Киста желтого тела имеет размеры не более 6 — 8 сантиметров, особо не беспокоит женщину, однако, в течение этого времени женщина должна находится под наблюдением у гинеколога. В редких случаях, обычно при сопутствующих воспалительных процессах в органах малого таза, у женщины с кистой желтого тела левого или правого яичника могут наблюдаться следующие признаки:
УЗИ желтого тела помогает обнаружить ряд заболеваний и процессов в органах репродукции.
Лечение кисты желтого тела
Если желтое тело имеет диаметр меньше 10 миллиметров или больше 30 миллиметров, это говорит о присутствии патологии в организме.
Если же после овуляции наступила беременность, железа будет находиться в яичнике и вырабатывать гормон до 10 – 16 недели развития эмбриона, а затем исчезнет, и ее функции возьмет на себя достаточно развившаяся к тому времени плацента.
Многие специалисты считают, что появление такой кисты вызвано нарушением баланса гормонов гипофиза, которые контролируют работу яичников и нарушением кровообращения в тканях яичника. Обо всех видах кист яичника можно узнать из нашей статьи Киста яичника симптомы и лечение.
За фолликулярной и лютеиновой кистами проводят наблюдение в течение нескольких циклов:
Из статьи вы узнаете, почему врач вообще выдал вам направление на УЗИ, как его проводят и каких результатов можно ждать после этого исследования.
УЗИ матки и придатков, при котором будет также исследоваться все структуры, имеющиеся в яичнике, может проводиться:
Желтое тело образуется только в одном, доминантом яичнике, на месте лопнувшего фолликула, из которого произошел выход созревшей яйцеклетки.
Этот орган в процессе своего развития может свидетельствовать о разных стадиях готовности организма женщин к зачатию или же об условиях и стадиях развития беременности:
Посетив диагностический кабинет, вы получили заключение, что желтое тело на УЗИ имеет увеличенный или уменьшенный размер или его вообще не обнаружили?
Если прогестерона не хватает, эндометрий формируется неактивно и образует недостаточно толстый слой, в котором эмбрион не может закрепиться.
Если менструация задерживается, а железы на яичниках не видно, можно делать предварительные выводы об отсутствии овуляции.
Желтое тело – это особая железа внутренней секреции, которая присутствует в женском организме непостоянно. Это отдельный своеобразный орган, который формируется в определенный день менструального цикла, когда яйцеклетка вышла из яичника. Этот процесс присутствует в организме женщин исключительно репродуктивного возраста. То есть у тех, которые готовы к зачатию и рождению ребенка. Почему этот орган называют желтым? Он выглядит как небольшой шар, внутри которого находится жидкость желтого цвета. Отсюда и соответствующее название. На нем лежит ответственная миссия. Этот орган вырабатывает важный для наступления беременности гормон – прогестерон. Если же зачатия не произошло, то орган постепенно исчезает и уже через пару дней не визуализируется даже на УЗИ. Он превращается в субстанцию белого цвета или же выглядит как рубец на теле яичника. Через некоторое время и такие признаки присутствия желтого тела со временем исчезают, до его нового образования. В период оплодотворения железа продолжает присутствовать существовать и исполнять свои обязанности, вырабатывая прогестерон.
Однако в некоторых случаях железа не исчезает в конце цикла, а развивается и вырабатывает прогестерон постоянно.
В этом случае назначается дополнительно компьютерная диагностика. Индивидуально подобранная гормональная терапия способна помочь увеличить содержания гормона в организме беременной до нужного уровня.
Очень яркие симптомы начинают появляться только тогда, когда развиваются осложнения кисты желтого тела яичника:
Размеры железы на УЗИ
Что показывает УЗИ желтого тела?
• В случае выявления на УЗИ данной железы округлой формы размером более 40 миллиметров, мы имеем дело с кистой.
Существует и такое объяснение роста заболеваемости кистозными новообразованиями — многие ученые считают, что в последние десятилетия пренебрежение к детородной функции является причиной повышенного кистообразования у женщин. В течение многих веков женщины рожали по 5-8 раз за свою жизнь, то есть и менструации было в 5-8 раз меньше, следовательно и разрывов оболочек яичника было меньше, всего 35-40 менструаций. Современная женщина рожает 1-2 детей и менструаций становится в 10 раз больше, а именно 300 — 400. Ученые считают, что для женского организма и для яичников в частности — это стресс, который они не выдерживают.
Киста — это полость, которая наполнена жидкостью, она образуется из яичниковой ткани, в том месте, где осталось желтое тела, нерегрессировавшее к концу менструального цикла. Обычно такие кисты появляются у девушек в период полового созревания и у женщин с уже установившимся циклом, то есть в детородном возрасте. Их появление связано с воспалительными заболеваниями придатков или гормонального сбоя у женщины.
Киста не требует оперативного вмешательства, но женщина должна наблюдаться у врачей и пройти медикаментозное лечение.
Диагностика кисты яичника
Лечение кисты желтого тела правого и левого яичника: симптомы, причины
Если обнаружена киста ЖТ, то нужно иметь в виду, что есть большая вероятность того, что она рассосется вместе с железой во время менструации.
Какой результат можно получить в результате УЗИ?
Что такое желтое тело?
• Размеры этой железы на УЗИ от 21 до 30 миллиметров во время беременности говорит о том, что в данном случае нет никаких проблем с плодом, и беременность протекает хорошо. Но если же женщина не беременна, это называется фолликулярной кистой.
В конечном итоге это приводит к самопроизвольному прерыванию беременности — выкидышу.
Чересчур большой диаметр желтого тела указывает на гормональный дисбаланс, который может заметно сказываться на жизненном тонусе пациентки и спровоцировать появление различных болезненных симптомов.
Чтобы эмбрион смог успешно закрепиться в матке, нужен слой эндометрия определенной толщины. Он может образоваться, только если гормональная железа достигнет диаметра 18 миллиметров.
Таким образом, желтое тело на УЗИ может быть как признаком того, что ваш организм готовится к беременности, так и (при задержке месячных) косвенно о ней свидетельствовать. По его размерам судят о выполняемой функции, но для назначения терапии все же необходимо сдать анализ на уровень прогестерона в крови.
Если оплодотворение состоялось, яйцеклетка перемещается в полость матки, где будут проходить все этапы ее дальнейшего преобразования.
С развитием беременности количество прогестерона в организме женщины возрастает. Роль прогестерона — стимулировать развитие внутренний маточной оболочки, которая называется эндометрий.
С появлением желтого тела начинается важнейший процесс — выработка гормона прогестерона, гормона беременности, без которого невозможно выносить ребенка.
Каковы нормальные размеры лютеиновой железы
Если показано хирургическое вмешательство, женщине не стоит затягивать с этим. При своевременном проведении операции, фолликулярный аппарат яичника травмируется минимально, больше шансов, что операция будет щадящей по отношению к здоровым тканям яичника. Не стоит ждать пока киста воспалится или произойдет ее разрыв или пекрут. Плановое хирургическое вмешательство при кисте желтого тела, как правило, ограничивается лапароскопическим вылущиванием кисты, а также ее ушиванием или резекцией яичника. В крайнем случае, когда возникает осложнения в виде некротических изменений яичника или кровотечения, в экстренном порядке производится лапаротомия с удалением яичника.
Она образуется на поверхности одного из яичников — левого или правого. Свое необычное название она получила из-за яркого желтого цвета.
Чаще всего при возникновении такой лютеиновой кисты женщина не ощущает никаких симптомов, только иногда возможны незначительные боли внизу живота, сбой менструального цикла. Чтобы установить такой диагноз бывает достаточно осмотра гинекологом и УЗИ, дополнительными методами диагностики являются допплерография и лапароскопия. Подобный вид кисты может самостоятельно рассосаться в течение двух -трех менструальных циклов. Только если возникают осложнения или киста не регрессирует, показано удаление или резекция яичника.
И при перекруте, и при разрыве яичника следует незамедлительно вызвать «Скорую помощь», эти ситуации требуют срочного хирургического вмешательства, поскольку угрожают жизни женщины.
Причины кисты желтого тела — почему она возникает?
Например, два и более желтых тела в яичниках говорят о том, что вероятна многоплодная беременность.
Процесс образования
Если после овуляции оплодотворение не произошло и наступили месячные, желтое тело сначала превратится в светлый рубец, а после и вовсе пропадет.
Если же происходит зачатие, лютеиновая железа продолжает существовать до того, как полностью сформируется плацента, которая берет на себя ее функции по производству прогестерона – гормона беременности.
Гинекологический осмотр. при пальпации справа или слева от матки определяется эластичное, подвижное безболезненное или слегка чувствительное образование округлой формы.
Кроме этого, назначается витаминотерапия, женщинам с избыточным весом рекомендуют лечебную физкультуру и диету. Во время консервативного лечения женщине следует избегать любых физических нагрузок, ограничить половую активность, а также не допустимо тепловое воздействие в области низа живота, это может вызвать рост или разрыв кисты желтого тела:
Если плод в матке присутствует, но железы врачи не увидели, тогда можно говорить о высокой вероятности выкидыша.
Также наследственность считается не последним фактором в развитии новообразований яичников у женщин, особенно злокачественных.
Подготовка к процедуре
Ультразвуковое исследование яичников может дать женщине надежду или повод для беспокойства, в зависимости от того, что увидели врачи на экране монитора.
Если есть задержка месячных, но при ультразвуковом исследовании не видно плода, а только желтое тело, — это говорит о беременности.
Не маловажную роль в образовании функциональных кист играют следующие неблагоприятные факторы:
1. Пролиферация – начальный процесс зарождения железы. Он заключается в увеличении зернистых клеток фолликула.
Присутствие этой железы на яичнике свидетельствует о том, что яйцеклетка в фолликуле созрела и вышла, а произошло ли после этого оплодотворение — неизвестно.
Величина железы в пределах 10 – 30 миллиметров также позволяет надеяться на то, что ЖТ способно успешно выполнять свои функции.
Важно! Если менструация задерживается, а желтого тела на УЗИ не обнаружено, не стоит делать скоропалительных выводов о начавшемся заболевании. Возможна простая задержка менструации, вызванная незначительными факторами.
Оптимальным временем для проведения исследования яичников является 7 – 10 день после начала менструации.
Киста желтого тела
Желтое тело на УЗИ – временная железа в яичнике, обнаружение которой на УЗИ свидетельствует о том, что в этом цикле у женщины была овуляция. Также она существует до 12-16 недель беременности, способствуя поддержанию ее нормального течения. При этом размеры желтого тела должны соответствовать периоду цикла женщины (существуют определенные нормы).
Что такое желтое тело
Лютеиновая железа визуализируется на мониторе ультразвукового сканера в виде округлого мешочка в яичнике, который имеет неоднородную структуру. Если его не видно:
Это маленький эндокринный орган, формирующийся при каждом овуляторном цикле у женщины и отмирающий при наступлении менструации.
Если киста желтого тела обнаружена у женщины при беременности, то это не является угрозой ни для плода, ни для женщины, в большинстве случаев она не влияет на беременность, следует наблюдать за ней с помощью УЗИ. В случае, если ее размер станет больше 5 см и со временем не уменьшается, врачи рассмотрят вопрос о хирургическом вмешательстве во избежании осложнений. Но, как правило, киста желтого тела яичника к 18-20 неделе беременности, должна самостоятельно ликвидироваться, в это время функции желтого тела по продуцированию гормонов полностью переходят на сформировавшуюся плаценту. Даже в случаях, когда у женщины была киста желтого тела и беременность наступила на ее фоне, она должна полностью рассосаться к 20 неделе.
Разрыв кисты яичника
Киста желтого тела при беременности
Также этот диагноз – киста желтого тела, – актуален и в том случае, когда орган не исчезает при наступлении сроков формирования плаценты. Для нормального протекания беременности киста не представляет угрозы. Конечно, ее придется наблюдать более часто, так как в том случае, если она вырастает более допустимой нормы, то может произойти ее сдавливание. В результате этого киста может лопнуть, а в брюшной полоти будет накапливаться жидкость. Это станет показанием для проведения срочного оперативного вмешательства. Но такой исход возможен крайне редко, так как яичники не проявляют обычной активности. А, значит, и рост образовавшейся на одном из них кисты будет достаточно медленным.
В лютеиновую фазу менструального цикла в организме женщины появляется железа, единственная функция которой состоит в выработке особого гормона — прогестерона.
И назначается соответствующая противовоспалительная терапия, подбираются гормональные контрацептивы, а также назначают рассасывающую бальнеотерапию — орошения, ванны с лечебными травами, а также лазеротерапию. электрофорез. магнитолазерную терапию (исключены любые тепловые физиопроцедуры).
Когда и как обнаруживается желтое тело на УЗИ? Появление желтого тела происходит во второй половине менструального цикла – это норма. Процесс запускается после того, как до конца развитый фолликул лопается, а из него в организм поступает сформированная и созревшая для оплодотворения яйцеклетка. Эта важная железа отвечает за сохранность и функционирование яйцеклетки до того момента, когда она переместится из брюшной полости в маточную трубу для оплодотворения. Именно в этот момент на УЗИ можно определить наличие этой железы. УЗИ четко показывает, как выглядит эта железа и где она расположена. Это небольшой мягкий мешочек, который расположен возле одного из яичников. Если цикл менструации не имеет сбоев, то железа образуется практически в одно и то же время. Если на УЗИ видно ее отсутствие, то можно говорить о наличии заболеваний или патологий в эндокринной или репродуктивной системе. Если цикл не стабилен, то отсутствие желтого тела может являться следствием простой задержки в наступлении месячных.
Если желтое тело на УЗИ не обнаружено, это означает, что у женщины в этом цикле овуляции вообще не было, что полностью исключает возможность зачатия.
Еще одной теорией является то, что склонность к образованию некоторых кист закладывается в организме женщины еще до ее рождения, то есть внутриутробно, и тогда она появляется у девушки в период полового созревания, или при наступлении благоприятных для этого факторов — гормональный сбой, воспаления женских половых органов.
Как выглядит на узи желтое тело
Хорошо сформированные одно-два желтых тела и отсутствие менструации позволяет сделать вывод, что женщина, возможно, беременна.
Опытный врач без труда может обнаружить на фото отсутствие железы или недостаточный диаметр желтого тела.
К факторам риска образования лютеиновой кисты относятся:
Содержание:
По размерам косвенно судят о достаточности гормональной функции этого органа:
Если обследование выполняется вагинальным датчиком, то нужно будет раздеться ниже пояса, снять нижнее белье и лечь на спину, согнув ноги в коленях. Тонкий датчик в презервативе будет введен во влагалище, что болезненных ощущений доставить не должно.
В пользу вероятного зачатия может свидетельствовать тот факт, что к концу менструального цикла ЖТ не уменьшилось в размерах.
Ультразвуковое исследование, проводимое трансабдоминально, проводится в положении женщины лежа на спине, датчиком будут водить по нижним отделам живота и возле лобка.
3. Период рассвета. Данные клетки превращаются в складки, которые способствуют уменьшению размеров данной железы.
Как проводится исследование
5 главных вопросов о желтом теле на УЗИ
Обнаружение кисты желтого тела во время УЗИ
Categories: Распространенные болезни