
Как часто можно делать флюорографию легких?
Флюорография — один из распространенных медицинских методов диагностики заболеваний грудной клетки. Несмотря на радиоактивное облучение, дозировка при исследовании сведена к минимуму и не представляет особой угрозы для жизни. Доза радиации, которую мы получаем от Солнца за год, в 50—60 раз превышает показатели одной профилактической процедуры. Флюорография позволяет выявить множество заболеваний грудной клетки и своевременно пройти лечение.
Что такое флюорография?
Преимущество этого обследования в том, что оно позволяет выявить болезнь на ранних стадиях ее развития. ФЛГ легких проводят не только при обнаружении пневмонии. Флюорография способна показать расстройство других внутренних органов. Во время исследования нередко врач замечает проблемы опорно-двигательной или сердечно-сосудистой системы, заболевание грудных желез, изменение пищеварительного тракта, увеличение лимфатических узлов и многое другое.
После диагностики по наличию темных пятен на снимке доктор определяет возможные очаги заболевания и назначает необходимое лечение. Затемнения не всегда свидетельствуют о какой-либо патологии — они могут оказаться следствием болезней, перенесенных пациентом ранее.
Принцип любого флюорографического исследования — ионизирующее излучение. Его доза при обследовании составляет всего 0,04 м3в. Именно столько мы получаем в обычной жизни в течение двух недель
Как часто можно делать флюорографию?
По закону проходить рентгенологическое обследование работающий человек обязан каждый год. Существуют определенные категории профессий, которым необходимо проходить флюорографию чаще:
Читайте также: Чем лечить горло ребенку 3 лет?
Как и любая другая процедура, флюорография имеет свои противопоказания:
- беременные и кормящие мамы допускаются к ней при крайней необходимости;
- процедура предназначена только для взрослых, подросткам до четырнадцати лет по закону запрещено проходить обследование (процедура считается вредной для ребенка);
- больные в тяжелом состоянии (онкология, бронхиальная астма, диабет или иные заболевания на поздней стадии) не допускаются.
Существуют два вида флюорографии: пленочная и цифровая. Флюорография разных частей тела характеризуется различными дозами излучения.
| Виды флюорографии | Части тела | Доза излучения |
| Пленочная | Грудная клетка | 0,5 мЗв |
| Таз и бедро | 2,5 мЗв | |
| Цифровая | Грудная клетка | 0,05 мЗв |
| Таз и бедро | 0,3мЗв |
Рентгеновский снимок и флюорографическая диагностика — это не одно и то же. Принцип действия — ионизирующее излучение, но доза отличается. На рентгене она ниже 0,3 мЗв, при ФЛГ 0,5 мЗв. Рентген четче отображает структуры обследуемой части тела.
Несмотря на то что мнения исследователей о вреде ионизированного излучения на данный момент очень расходятся, сама процедура не является опасной для человека. Годовая рекомендуемая норма по получению радиационного излучения — 1 мЗв. В среднем, при флюорографии грудной клетки человек получает 0,05 мЗв. По сравнению с допустимой дозой, это число в 20 раз меньше. Поэтому мнение о том, что проведение обследования раз в год приведет к образованию раковых клеток, ошибочно. Флюорография — полезная процедура без вреда для здоровья.
Источник
Можно ли часто делать флюорографию при воспалении легких — Лечение простудных заболеваний
- беременные и кормящие мамы допускаются к ней при крайней необходимости;
- процедура предназначена только для взрослых, подросткам до четырнадцати лет по закону запрещено проходить обследование (процедура считается вредной для ребенка);
- больные в тяжелом состоянии (онкология, бронхиальная астма, диабет или иные заболевания на поздней стадии) не допускаются.
Использованные источники: 03-med.info
Покажет ли флюорография пневмонию?
Введение
Нередко пациенты говорят: «Назначьте самое лучшее, самое дорогостоящее обследование: для здоровья мне ничего не жалко!» И не секрет, что врачи, бывает, назначают «самое лучшее» вместо копеечного анализа в ближайшей поликлинике: сегодня только младенец не знает о комиссионных от диагностических центров.
Поэтому каждому из нас не помешает в общих чертах понимать, какая диагностика нужна при наиболее распространенных или, наоборот, семейных хронических заболеваниях: это позволит не «напрашиваться» на лишние (и не всегда безвредные!) обследования.
Отличаются они, в основном, только способом получения изображения и количеством «просвечиваний» организма за одну процедуру – а значит, и дозой облучения пациента.
Далее мы обсудим, можно ли при подозрении на пневмонию ограничиться низкодозной цифровой флюорографией, и укажем случаи, когда необходимы более точные рентгеновские исследования с большей лучевой нагрузкой.
Виды флюорографии. Отличия от других методов
Рентгеновская технологии визуализации внутренней структуры организма построена на том, что ткани, в зависимости от плотности, с разной интенсивностью поглощают лучи. Поэтому на «картинке» (негативе) самые плотные области должны быть белыми, пустое пространство – черным, а органы и мягкие ткани – серыми различных оттенков. Вопрос лишь в том, как эту картинку зафиксировать.
Флюорография (ФЛГ) – это метод диагностики, при котором рентгеновское изображение получают на специальном светящемся экране, а после просто фотографируют на пленку (обычно небольшого размера) или цифровым способом. Чаще всего ФЛГ применяют для выявления патологии лёгких.
Классический «рентген» (т.е. рентгенография) подразумевает фиксацию результата сразу на пленку, в отношении 1:1. Правда, существует и современный, «цифровой» вариант этого исследования – с помощью CR-оцифровщика с настраиваемыми параметрами визуализации. Отметим, что чувствительность рентгеновской пленки выше, чем флуоресцентного экрана, поэтому пациент на рентгене облучается немного меньше, чем во время флюорографии (см. таблицу).
Табл.1. Примерные дозы облучения при рентгенологических исследованиях лёгких (мЗв = миллизиверт)
Рентгеноскопия – это просто «рентгеновское кино», просмотр изображения в реальном времени. Массово это исследование давно не применяют, так как из-за непрерывного облучения пациент получает слишком большую дозу.
Компьютерная томография (КТ) – метод современный, очень информативный, но небезвредный и дорогостоящий. Он заключается в одновременной обработке множества «послойных» рентгеновских изображений: для получения объемной картины они просто «надеваются» на каркас с помощью специального ПО.
Табл.2. Допустимые и естественные средние (за год на 1 человека) дозы облучения
Теперь поговорим об особенностях двух видов флюорографии.
Пленочная ФЛГ – хоть и дешевый, но, к сожалению, недостаточно надежный метод: около 15% проявленных пленок четкой картинки не показывают. Принимая во внимание еще и двукратное (по сравнению с рентгеном) облучение, ВОЗ не рекомендует эту технологию к использованию. Зато цифровая ФЛГ лишена этих недостатков, имеет большую разрешающую способность и дает возможность изменения настроек уже полученного изображения.
Не секрет, что во многих забытых Богом уголках постсоветского пространства все еще стоят аппараты для пленочной ФЛГ, и быстрой замены им не предвидится… Тем не менее, будем с оптимизмом смотреть в будущее и обсуждать далее возможности цифровой флюорографии.
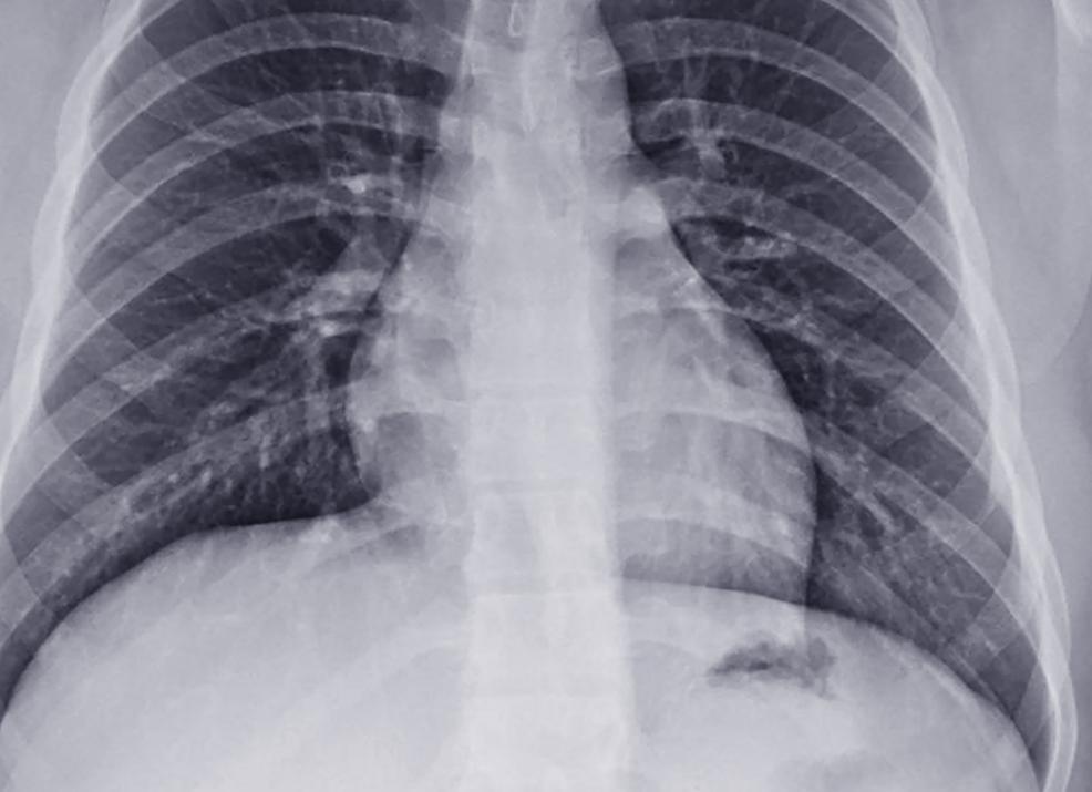
Расшифровка результата ФЛГ: видна ли пневмония?
Так можно ли определить пневмонию по результатам флюорографии грудной клетки? – Да, можно увидеть изменения в лёгких, но главной задачей будет выяснить, чем они вызваны: туберкулезом, онкологией, пневмонией или другими заболеваниями.
Итак, основные рентгенологические симптомы пневмонии:
- очаги воспаления легочных тканей;
- сегментарные (долевые) уплотнения;
- усиление сосудистого рисунка;
- жидкость в плевральной полости;
- расширение и уплотнение «корней» легкого;
- увеличение лимфоузлов;
- фиброз – но это, скорее, показатель ранее перенесенной пневмонии, в результате чего участок легочной ткани замещен тканью соединительной.
В большинстве случаев на ФЛГ наблюдается сразу несколько
симптомов: оценивать их нужно в комплексе, принимая во внимание интенсивность и возможные причинно-следственные связи – тут опыт врача незаменим. Мы лишь вкратце опишем отдельные диагностические нюансы.
Если выявлены очаги воспаления, нужно обратить внимание на их
- размер и количество,
- локализацию,
- контуры (четкие или изрезанные).
При пневмонии видны множественные (не единичные, по крайней мере) инфильтраты в нижних долях легких – чаще всего только с одной стороны, справа. При туберкулезе же процесс обычно двухсторонний, плотные очаги могут располагаться как в нижней, так и в верхней части лёгких. Четкость границы очага позволяет исключить онкологию: дело в том, что контур раковой опухоли обычно нечеткий, «лучистый», несимметричный и изменчивый.
Впервые выявленные сегментарные уплотнения в легких чаще всего говорят о т.н. крупозном воспалении – опаснейшей пневмонии, сопровождающейся интоксикацией организма, затруднением дыхания и сердечно-сосудистой недостаточностью.
Изменение лёгочного рисунка – симптом сам по себе не информативный: он свидетельствует об интенсивном кровоснабжении участка и возникает при любых воспалениях тканей.
Жидкость в плевральной полости может скапливаться как при развитии пневмонии (например, застойной), так и при нарушениях водно-электролитного обмена (их может спровоцировать целый ряд болезней и травм). Для постановки диагноза нужны дополнительные обследования организма.
«Корни» легких (иногда их называют «ворота») – это бронхи, вены, артерии и лимфатическая система. Расширенными они могут быть из-за отека бронхов или сосудов, что, наряду с увеличением лимфоузлов, может говорить о пневмонии или об остром бронхите. Дополнительную информацию даст прослушивание легких (аускультация).
Какое воспаление легких без рентгена установить нельзя?
ФЛГ нечетко показывает тонкие элементы (например, стенки небольшой полости, уровень жидкости и т.д.), а также инфильтраты малого размера (до 0,5 см в диаметре). Таким образом, можно пропустить любое воспаление, протекающее с небольшими изменениями в тканях:
- Мелкоочаговую пневмонию.
- Плеврит с небольшим кол-вом жидкости в плевральном кармане.
- Группу атипичных пневмоний с запаздывающими рентгенологическими симптомами.
О третьем типе воспалений стоит поговорить отдельно. Наиболее «активные» его представители – пневмоцистная и микоплазменная пневмонии (их возбудители – микроорганизмы микоплазма и пневмоциста). В
озникают такие воспаления легких, в основном, у лиц с ослабленным иммунитетом. Пневмоцистная пневмония может сопутствовать ВИЧ-инфекции; иногда ею болеют дети, родившиеся раньше срока. Микоплазменная встречается и того чаще: в любых учебных заведениях, от садика до университета. ФЛГ в этих случаях покажет только усиление легочного рисунка, а другие рентгенологические симптомы проявятся не раньше чем через неделю от начала болезни.
Так что же делать, если клинические симптомы воспаления лёгких налицо, а ФЛГ его не показывает? Расспрашивать, выведывать, узнавать! Важно все: условия жизни, место работы или учебы, наличие вредных привычек, список хронических заболеваний и т.д.
При обоснованных подозрениях на иммунодефицит и пневмоцистную пневмонию выбирают между КТ (компьютерной томографией) и рентгенографией – выбирают, конечно же, согласно принципу «польза больше, чем потенциальный вред».
В остальных случаях диагноз может подтвердиться на повторной ФЛГ или рентгенографии (на фоне симптоматической терапии): если болезнь будет развиваться, рентгенологические проявления станут более явными. К примеру, очаги пневмонии начнут сливаться в более крупные образования либо мелких инфильтратов станет больше.
Вывод:
Итак, начальные сведения о рентгенологических обследованиях вы получили. В случае болезни это поможет вам разобраться в назначениях врача и задать ему все необходимые вопросы. Но ни в коем случае не пытайтесь самостоятельно анализировать результаты ФЛГ и принимать решения на этом основании!
Помните, что для постановки диагноза необходимы не только специальные знания, но и опыт работы, чтобы проверить их на практике!
Использованные источники: pnevmoniya.com
Показывает ли флюорография наличие пневмонии?
Флюорография, или ФЛГ, представляет собой быстрый и удобный способ диагностики различных заболеваний легких. Показывает ли флюорография пневмонию? За счет того, что в данном методе используются рентгеновские лучи, которые проходят через тело человека и фиксируют особенности тканей, он может легко показать воспалительный процесс в виде затемнений на снимке.
Данное исследование является относительно безопасным и не наносит значительного вреда организму. Поэтому даже здоровому человеку необходимо проходить его один раз в год. Рекомендуется это делать тем людям, которые попадают в группу риска: студентам, преподавателям и представителям профессий, которые предполагают постоянное общение с большим количеством людей. Делается это с целью выявления патологий и распространенных инфекционных заболеваний органов дыхания и для предотвращения массовых эпидемий.
Что такое флюорография?
ФЛГ — это метод диагностики нижних дыхательных путей, который заключается в фиксировании изображения органов дыхания человека, через которые проходят рентген-лучи. Из-за того, что ткани органов имеют различные особенности поглощения этих лучшей, на снимке они будут отличаться оттенком. Сердце и бронхи будут светлыми. Легочная ткань должна быть равномерной. Если видны заметные затемнения, можно уверенно говорить о воспалении.
Также в качестве диагностического метода при пневмонии используется рентгенография грудной клетки. Этот способ имеет сходства с флюорографией, однако есть между ними и различия, о которых важно знать, прибегая к одному из них. ФЛГ представляет собой профилактический метод, который помогает выявить различные заболевания бронхов и легких на ранних стадиях. Он используется массово и предполагает систематическое проведение. Однако это исследование не дает возможности поставить точный окончательный диагноз.
Рентген выступает в качестве диагностического метода и используется в случае выявления заболевания или подозрения на него. Рентгеновский снимок является более четким и позволяет даже невооруженным глазом лучше увидеть затемнения и патологические процессы. Поэтому обычно это исследование назначается в качестве вторичного для подтверждения или уточнения диагноза. Также рентген проводят после прохождения курса лечения для определения эффективности терапии и качества ее результатов.
Несмотря на более высокое качество рентгеновских снимков по сравнению с ФЛГ, последний метод также имеет свои плюсы. Основной из них заключается в том, что метод является относительно безопасным для организма человека. Так как при проведении флюорографии рентгеновские лучи задевают только легкие и бронхи, не происходит никаких негативных влияний на другие органы. Кроме того, флюорографическое исследование является более дешевым и быстрым в проведении. Поэтому именно его используют для массовой профилактики населения.
Что показывает рентген?
Снимок ФЛГ является достаточно информативным и может показать не только воспалительные процессы, но и другие патологии органов дыхательной системы.
Флюорография дает возможность выявить такие изменения:
- возникновение фиброза;
- изменение легочного рисунка;
- образование кальцинатов;
- образование петрификатов;
- увеличение лимфатических узлов на корнях легких.
Для того чтобы на снимке определить наличие пневмонии, врач обращает внимание на уплотненные очаги среди инфильтрации и очаги за тенью сердца. Увидев такие признаки, больному назначают дальнейшее обследование, включающее сдачу анализов и прохождение рентгенографии грудной клетки.
Важно понимать, что флюорография не выявляет четкой картины состояния легких. Поэтому иногда выявить некоторые формы пневмонии с помощью ФЛГ невозможно. В этом случае необходимо обращать внимание на присутствие симптомов у больного. Если они указывают на наличие воспалительного процесса, то даже в случае чистой флюорографии больного отправляют на рентген грудной клетки. Лучше всего на снимке ФЛГ распознается инфекционное воспаление легких. Он позволяет врачу четко увидеть признаки и локализацию затемнений легочной ткани.
Среди тех форм воспаления легких, которые дают минимальные изменения на снимках, выделяют так называемые атипичные пневмонии. Их возбудителями являются хламидии, микоплазмы пневмонии и пневмоцисты. В этих случаях клиническая картина заболевания значительно опережает рентгенологическую, то есть дает возможность выявить патологию на снимке только спустя неделю после начала развития болезни.
Если у больного присутствует одна из этих форм пневмонии, то на снимке ФЛГ будет видно только изменение легочного рисунка и перибронхиальную инфильтрацию. Заметных очагов воспалительных процессов при этом не наблюдается. Такая ситуация всегда нуждается в проведении дополнительных исследований.
Таким образом, дать однозначный ответ на вопрос, покажет ли флюорография воспаление легких, нельзя. Все зависит от формы протекания заболевания, его очага и индивидуальных особенностей организма. Кроме того, очень много зависит от профессионализма врача, который оценивает снимок.
В любом случае проходить флюорографию нужно. И делать это следует не только после возникновения симптомов пневмонии, но и в качестве профилактической меры. Это поможет уберечься от множества распространенных инфекционных заболеваний и предотвратить заражение других людей.
Использованные источники: pneumon.ru
Как часто можно делать флюорографию при воспалении легких — Лечение простудных заболеваний
Покажет ли флюорография пневмонию?
Введение
Виды флюорографии. Отличия от других методов
Расшифровка результата ФЛГ: видна ли пневмония?
- очаги воспаления легочных тканей;
- сегментарные (долевые) уплотнения;
- усиление сосудистого рисунка;
- жидкость в плевральной полости;
- расширение и уплотнение «корней» легкого;
- увеличение лимфоузлов;
- фиброз – но это, скорее, показатель ранее перенесенной пневмонии, в результате чего участок легочной ткани замещен тканью соединительной.
- размер и количество,
- локализацию,
- контуры (четкие или изрезанные).
Какое воспаление легких без рентгена установить нельзя?
- Мелкоочаговую пневмонию.
- Плеврит с небольшим кол-вом жидкости в плевральном кармане.
- Группу атипичных пневмоний с запаздывающими рентгенологическими симптомами.
Сколько раз в год и как часто можно делать рентген легких
Рентген легких можно делать настолько часто, насколько его назначает врач. Рентгеновское обследование сопровождается лучевой нагрузкой на организм человека. Опасность радиации подтверждена клиническими исследованиями.
Существует различные эффекты от влияния хронических и острых доз. При выполнении рентгеновского обследования формируется облучение низкими дозировками. При частом и длительном действии на организм, оно приводит к генетическим мутациям клеток.
Острая лучевая реакция сопровождается быстрой гибелью органов и тканей. Врачи понимают разницу между пользой и вредом рентгенографии, поэтому назначают рентген легких только по показаниям.
Минздрав четко регулирует вопросы радиационной безопасности персонала и пациентов.
Рентген легких – как часто можно делать
Как часто можно делать рентген легких? Ответ на вопрос является индивидуальным. Он зависит от назначения и особенностей здоровья пациента. Медицинское облучения отличает от фона планеты, хотя бы тем, что оно является ионизирующим. Особенностью луча является то, что она разрушается через 5 минут после экспозиции рентгеновской трубкой.
Оцениваем, как часто делать рентгенографию легких:
Назначение исследования – диагностические или лечебное; Уровень облучения человека при предыдущей рентгенографии (изучаем индивидуальный радиационный паспорт пациента);
Оцениваем пользу и вред от исследования.
Объясним читателям, что такое диагностический, профилактический и лечебный рентген легких.
Что такое профилактическая рентгенография (флюорография)
Профилактическая рентгенография (флюорография) применяется для дифференцировки между нормой и патологией. Ее можно делать только один раз в год. Ребенку до 18 лет флюорографию делать нельзя по приказу МинЗдрава в целях предотвращения негативного влияния рентгеновского обследования на размножающиеся клетки.
В народе процедура называется «флюшкой». При цифровом исследовании человек получает минимальное количество лучевой нагрузки – около 0,015 мЗв
Что такое диагностический рентген
Диагностический рентген назначается столько раз, сколько нужно врачу для установки диагноза патологии легких и оценки динамики лечения. Объяснить такой подход можно лишь тем, что вред от не выявленного заболевания (пневмония, рак, туберкулез) смертелен, а вредность облучения минимальна (0,42 мЗв при снимках в прямой и боковой проекциях).
Лечебный рентген лёгких – что это такое
Лечебный рентген лёгких используется онкологами для лучевой терапии заболевания. С его помощью уничтожаются патологические клетки. Такой вид рентгенодиагностики можно делать настолько часто, сколько нужно для борьбы с опухолями. Даже ребенку выполняется лечебное обследование, так как рак – жизне угрожающая патология.
Сколько раз за год делают рентгенографию легких
Рассказывая, сколько раз за год делают рентгенографию легких, напомним читателям, что профилактическое обследование легких нужно выполнять 1 раз за 12 месяцев. При этом суммарная доза облучения человека не должна превышать 1 мЗв.
Детям до 18 лет делают диагностический рентгеновский снимок при подозрении на заболевание, но флюорография противопоказана.
У некоторых врачей существует мнение, что ренгенодиагностика показана пациенту столько раз, сколько на снимке обнаруживается патология. Такое мнение не рационально, так как большая часть заболеваний органов грудной клетки определяется другими менее опасными методами – выслушивание, ультразвуковое обследование, лабораторный анализ крови из пальца или вены.
Выполнять большое количество раз рентгенографию при динамическом улучшении состояния пациента не рационально. Такое облучение является абсолютно лишним. Другое дело, когда подозрение на рак лёгких.
Делать снимки нужно при подозрении на болезнь и при отсутствии динамики от лечения патологии.
Как часто делать флюорографию
Делать флюорографию можно делать в год сколько? Столько, как скажет врач? Нет. Профилактическое рентген обследование выполняется только один в год. При выявлении на цифровом фото патологических симптомов выполняется диагностическая рентгенография в прямой и боковой проекциях. Она обладает высоким разрешением и позволяет увидеть тени более 5 мм диаметром. Такие образования появляются в легких при следующих заболеваниях:
— Инфильтративный туберкулез; — Пневмония; — Раковая опухоль;
— Формирующийся абсцесс или киста.
Отправляют пациента на рентгенографию лёгких даже тогда, когда результаты обследования вызывают сомнения.
Делают флюорографию согласно постановлению Министерства Здравоохранения – 1 раз за год. Более частые исследования не являются рациональными. Они приведут лишь к ненужному облучению пациента.
Основные преимущества рентгена перед «флюшкой»:
Флюорография имеет низкое разрешение и точность; Метод не позволяет сформировать представление о состоянии мелких образований легочной ткани и сердца.
Какой рентген лучше
Существует 2 разновидности флюшки. Они зависят от используемого оборудования и технологии. Советское оборудование позволяло изучать состояние органов грудной клетки с помощью флюоресцентного экрана. Регистрация снимка производилась на небольшую пленку, что позволяло экономить финансовые средства. Соответственно, врачам-рентгенологам приходилось лишь мечтать о качестве рентгеновского обследования. Следовательно, специалисты пытались делать, как можно больше диагностических рентгенограмм при выявлении сомнительных теней на фото. При этом доза лучевой нагрузки была высокой – 0,5 мЗв.
С появлением цифровых технологий люди стали получать минимальную радиацию (0,015 мЗв). Качество снимка значительно увеличилось. С помощью программных приложений можно делать дополнительную обработку изображений: увеличивать, менять тон, разрешение и цвет снимка. Какие противопоказания к рентгенографии органов грудной клетки
Противопоказания к рентгенографии органов грудной клетки существует. Нельзя забывать о влиянии рентгеновских лучей на генетический аппарат. Мутации приводит к развитию раковых образований.
Любой рентген должен быть оправдан, поэтому не советуем самостоятельно назначать обследование. Очень часто пациенты просят сделать снимок, так как у них болит рука или нога. В такой ситуации выполнять рентгенодиагностику, так как оно не покажет, скорее всего, патологических изменений. Риск от облучения при такой процедуре больше пользы!
Абсолютные противопоказания к рентгенодиагностике лёгких:
Использованные источники: mrt-uzi.com
Сколько раз в год можно делать флюорографию
У большинства взрослого населения вопрос о том, как часто можно делать флюорографию, возникает из-за того, что обследование предполагает некоторую дозу облучения. Закон «Об основах охраны здоровья граждан в Российской Федерации» предписывает всем работающим гражданам проходить ФЛГ в целях профилактики, но не все хотят облучаться, находясь в полном здравии.
В то же время, люди с хроническими патологиями легких вынуждены контролировать заболевание, но боятся, что проходят флюорографию слишком часто. Поэтому необходимо знать некоторые аспекты проведения данной процедуры, ее необходимости, и влияния на организм.
Флюорография как рентгенологическое обследование
Во время прохождения ФЛГ, через человеческое тело пропускаются рентгеновские лучи в количестве 0,05 миллизиверт. Это мизерная доза с допустимой нормой облучения, которая может помочь спасти здоровье. При помощи флюорографического обследования грудной клетки медицинские специалисты диагностируют:
- тяжелое инфекционное заболевание легких (туберкулез);
- воспаление легочной ткани (пневмония);
- рак легких;
- воспаление плевральных листков легких (плеврит);
- патологии сердечно-сосудистой системы.
К достоинствам процедуры можно отнести ее невысокую стоимость, а во многих районных поликлиниках это делают бесплатно. Кроме этого данные долго хранятся на цифровых носителях, необходимы небольшие временные затраты. Исследование длится три минуты, а расшифровка показателей производится не более, чем 24 часа. Иногда, очень актуально знать через сколько времени будет готов результат. К преимуществам также относятся отсутствие болезненных ощущений, высокая точность показателей, отсутствие необходимости в предварительной подготовке пациента.
Частота обследования
По закону РФ работающему населению нужно делать флюорографию один раз в год. По результатам обследования выдается справка, которую требуют при трудоустройстве, при поступлении на учебу, перед стационарным лечением, и у призывников. Результаты флюорографии легких действительны в течение 12 месяцев. Поэтому, если нет специальных показаний к обследованию, не нужно часто проходить процедуру.
Для здорового человека достаточно одного раза в год. Чтобы избежать несвоевременного получения порции рентгеновских лучей, важно точно знать срок годности ФЛГ. Другой вопрос о том, насколько часто можно делать флюорографию возникает, если человек обращается к врачу с жалобами на плохое самочувствие или имел контакт с больным туберкулезом. В этом случае снимки делают чаще, что помогает выявить заболевание.
Существует отдельная категория граждан, которые обязаны проходить флюорограмму в более интенсивном временном режиме. Это является оправданной профилактической мерой, поскольку вероятность инфицирования или приобретения легочных заболеваний у данной группы людей более высокая.
- медицинский персонал родильных домов. Новорожденные дети и беременные женщины нуждаются в усиленной защите;
- медики, работающие с тубинфицированными пациентами. Риск заразиться у данной категории более высок;
- рабочий персонал горнодобывающих предприятий. В данной отрасли большой процент онкологических заболеваний легких;
- рабочие вредного производства (асбест, резина) и сталевары, которые также, чаще других подвержены раку легких.
В отношении этих людей действуют другие правила о том, сколько раз в год можно делать флюорографию.
Когда проводить исследование нельзя?
ФЛГ не используется для диагностики женщинам в период вынашивания ребенка. Почему это так важно? Потому что рентгеновские лучи могут стать причиной развития патологий у будущего малыша. При лактации данная процедура не рекомендована. В случае крайней необходимости, между моментом облучения и кормлением должно пройти не менее 6 часов. Молоко в этот период следует сцеживать. Нельзя делать процедуру больным в тяжелом состоянии. Если нет возможности отложить процесс, лучше воспользоваться МРТ.
- флюорограмма делалась более, чем 2 раза в год. Дозу рентгеновских лучей рекомендуется заменить магнитно-резонансной томографией.
- имеются хронические болезни дыхательной системы. В остром периоде бронхиальной астмы и дыхательной недостаточности необходимо дождаться периода ремиссии, поскольку человеку сложно задержать дыхание, что будет значительно осложнять обследование.
Ежегодный рентгенологический контроль – не только профилактика заболеваний у себя. В случаях, когда человек прошел процедуру, и диагноз инфекции легких подтвердился, есть шанс уберечь близких людей, если они еще не сделали ФЛГ.
Использованные источники: diametod.ru
Сколько раз в год можно делать флюорографию
Вопрос, как часто можно проводить флюорографию волнует многих людей. В народе распространено мнение, что эта процедура опасная для здоровья, так как организм подвергается облучению. Медики заверяют, что такая процедура безопасна и флюорографию можно делать раз в год, а по показаниям врача и чаще. При этом стоит учитывать, что к такому методу обследования есть ряд противопоказаний. Нельзя проводить флюорографию детям до 15 лет, беременным и онкобольным. В некоторых случаях обследование проводится даже при наличии противопоказаний, если польза от процедуры выше, чем возможный вред.
Вредна ли флюорография
Конечно, флюорография лёгких — это далеко не безопасная процедура, так как для обследования грудной клетки используется рентгеновское облучение. Однако нельзя забывать о том, что дозы радиации могут быть разными, одни из них губительно действуют на организм человека, а другие не несут никакого вреда.
Безопасной для человека дозой радиации считается 5 мЗв в год. Для сравнения, при проведении обследования при помощи рентгена одна доза составляет 0,03-0,08 мЗв. Такие показатели могут отличаться в зависимости от вида обследования и современности оборудования, которое используется.
В настоящее время обследовать грудную клетку на предмет патологий можно с применением минимальной дозы облучения. Современные флюорографические аппараты излучают всего 0,002 мЗв. Это значение приближено к природному радиоактивному излучению, которое оказывает влияние на человека каждый день.
Даже показатель в 0,08 мЗв очень далёк от значения, при котором здоровью может быть нанесён непоправимый ущерб. Во многих случаях люди сами настраиваются на негативные мысли перед подобным обследованием и тем самым плохо влияют на своё здоровье.
Выявлено, что люди, которые совершают длительные перелёты на самолётах, получают дозу облучения в 0,03-0,05 мЗв. Это соответствует облучению во время флюорографии. Что интересно, самолёты не считаются источником радиации.
Сколько раз в год можно делать флюорографию лёгких
Флюорография не более опасная, чем загар в солярии. В обоих случаях важно соблюдать дозу облучения. И если без загара в солярии вполне можно обойтись, то проходить флюорографию следует раз в год, чтобы своевременно выявить опасные патологии.
По утверждённому закону делать флюорографию необходимо раз в год. Но если в семье кто-то болеет туберкулёзом, то такое обследование делают два раза за год. В итоге такой вид исследования грудной клетки помогает выявить различные патологии на ранних стадиях и своевременно начать их лечение.
Опасность облучения малыми дозами радиации не такая большая, как опасность отказа от своевременной диагностики опасных болезней.
Почему нельзя часто делать флюорографию
Человек постоянно подвергается облучению. За год общая доза получаемой радиации составляет 2-3 мЗв. Этот показатель складывается из действия солнечных лучей, природных и искусственных радионуклидов. Для взрослых допустимо проводить флюорографию 2 раза в год, детям, возрастом старше 15 лет обследование разрешено делать только раз за год.
Стоит учитывать, что современные цифровые аппараты дают минимальную дозу радиации, а вот плёночные аппараты, которые есть в некоторых поликлиниках, дают дозу радиации в 0,8 мзВ.
После проведения флюорографического обследования врач пишет на справке, какую дозу облучения получил человек. Все показатели за год суммируются, и при назначении следующего обследования врач смотрит предыдущее.
Если человек будет часто делать флюорографию, то радиация будет накапливаться в организме. Это может привести к необратимым последствиям.
Что выявляет ФЛГ
Флюорография нужна для выявления опасных патологий грудной клетки. Во время процедуры через тело человека пропускается минимальная доза рентгеновских лучей. С помощью такого вида обследования могут быть диагностированы следующие патологии:
- Туберкулёз.
- Воспаление лёгких.
- Онкологические патологи и лёгких.
- Плеврит.
- Заболевания сердечно-сосудистой системы.
По снимкам врач ставит диагноз и назначает лечение. Если у человека туберкулёз, то такой вид исследования позволяет своевременно изолировать его и предотвратить заражение окружающих.
Флюорография делается по времени совсем недолго. Приём одного пациента не превышает 5 минут.
Достоинства и недостатки обследования
ФЛГ имеет ряд преимуществ и недостатков. Положительные стороны такого вида исследования грудной клетки можно выделить так:
- Низкая стоимость. Во многих районных поликлиниках провести ФЛГ можно совершенно бесплатно.
- При использовании цифровых аппаратов вред от процедуры минимальный.
- Процедура проходит очень быстро. На обследование человека уходит около 2 минут. С учётом раздевания и одевания тратится приблизительно 5 минут.
- Процедура совершенно безболезненная. Перед ней не нужно принимать какие-то препараты или проводить дополнительные манипуляции. Неприятным может быть только прижатие голым торсом к металлической пластине.
- ФЛГ помогает выявить многие опасные заболевания на ранней стадии. Именно поэтому так важно проходить эту процедуру раз в год.
Недостатков у этого метода исследования немного. Прежде всего, к недостатку можно отнести радиационное облучение, но оно ничтожно мало, поэтому вреда для здоровья не будет. Ещё одним недостатком является невозможность точного диагностирования болезни. То есть на снимке можно увидеть патологический очаг, но для постановки диагноза необходимо дополнительное обследование.
ФЛГ не назначается тяжелобольным людям, которые не могут на некоторое время задержать дыхание.
Как снизить вред излучения
Вред от ФЛГ можно несколько уменьшить, если после процедуры принять 3-4 таблетки активированного угля. Их расталкивают, смешивают со стаканом воды и выпивают. При необходимости можно повторно выпить такую взвесь через 2-3 часа. Данный метод уменьшения вредного действия радиации знают все, кто так или иначе связан с облучением.
Снизить воздействие радиации могут также продукты питания, которые богатые клетчаткой. Сюда относится овсянка, рис, отруби и орешки. Полезно кушать мёд, молочные продукты, растительное масло и виноград. Чтобы минимизировать вред от ФЛГ, можно в небольшом количестве выпить кагор.
Стоит помнить, что такой алкоголь, как водка или коньяк, выведению радиации не способствуют. Помочь может только хорошее вино.
Кому нужно проходить ФЛГ чаще
Часто проходить флюорографию нельзя, но в некоторых случаях эта процедура необходима 2 раза в год. Это касается таких категорий людей:
- Тех, у кого кто-то из домочадцев и коллег болеет туберкулёзом.
- Некоторых медработников, особенно тех, кто работает в тубдиспансерах или родильных домах.
- Тех, кто имеет тяжёлые хронические заболевания – ВИЧ, гепатит, диабет или бронхиальную астму.
При продолжительном кашле неясной этиологии врач тоже может назначить внеплановое обследование.
Обычно ФЛГ делают всего раз в год, только в редких случаях такое обследование проводят каждые полгода. При прохождении цифровой флюорографии опасность для здоровья минимальная.
Использованные источники: pulmono.ru
Что такое флюорография и как часто можно делать
Флюорография (ФЛГ) — это метод диагностики заболеваний, который в России и странах СНГ ежегодно проводится в качестве профилактического обследования органов грудной клетки. Прохождение процедуры позволяет выявить наличие патологий на стадии, когда отсутствует клиническая симптоматика. Поэтому проведение флюорографии — один из самых важных регулярных анализов, дающих возможность проверить состояние дыхательной и сердечнососудистой системы. Понимание того, когда назначают ФЛГ, что это такое в медицине и как проводится, позволит оценить важность исследования и правильно к нему подготовиться.
Что показывает флюорография?
Флюорография показывает изменения в области грудной клетки, свидетельствующие о наличии заболеваний легких, сосудов или сердца. Рентгенологический метод обследования достаточно информативен. По статистике информация, которую позволяет получить флюорограф, каждый год на начальных стадиях помогает назначить своевременное лечение при раковых опухолях у 3% пациентов, туберкулезе у 13%, обструкциях при бронхите у 50% людей. Однако иногда, чтобы понять, какая болезнь поразила легкое, требуется уточнение с помощью дополнительных обследований.
Результатом флюорографии является получение снимка, на котором видны легочные ткани, кости, сердце, сосуды. Из-за того, что они имеют разную плотность, рентгеновский луч, проходящий сквозь органы, дает изображение, позволяющее увидеть патологические структурные патологии, скопления жидкостей, уплотнения. Во время мелкокадрового обследования специалист получает картинку в размере 35 на 35 или 25 на 25 миллиметров. Для более полного осмотра и обнаружения заболеваний органов грудной клетки используется крупнокадровый снимок – квадрат со стороной семь или 10 сантиметров.
Какие болезни выявляет
Данные флюорограммы служат основанием для постановки различных диагнозов. Большое значение имеет прохождение флюорографии у больных туберкулезом, начало которого протекает бессимптомно. Ранняя диагностика этой болезни помогает получить медицинскую помощь своевременно и минимизировать риск развития осложнений, летального исхода. Флюорография дает возможность выявить и другие заболевания:
- Воспалительные заболевания (воспаление легких – пневмония, бронхит, плеврит) и их очаги;
- Фиброз (уплотнение ткани соединительного типа);
- Обструкции в бронхах;
- Наличие инородных предметов в дыхательных путях;
- Патологические полости – абсцессы, кисты;
- Газ в полостных участках;
- Наслоение плевры ее сращение;
- Грыжа, купола диафрагмы;
- Скелетно-мышечные отклонения;
- Сердечнососудистое заболевание.
Кроме того, на флюорографии видно, если человек подвержен курению. От здорового легкого органы дыхания курильщика отличаются увеличением ширины легочных стенок, тяжистыми корнями. Так выглядят снимки людей, имеющих большой стаж. Это необязательно говорит об опасных патологиях.
Виды флюорографии
Видов рентгенологического обследования с помощью флюорографа существует 3 – пленочная, цифровая флюорография, сканирование в цифровом виде. Разделение методик напрямую связано с оборудованием, которое применяется в медицинской практике для проведения процедуры. Чем качественнее аппарат, тем выше эффективность и точность диагностического мероприятия. Описание современных методов флюорографии:
- Пленочная. Отличается низким качеством изображения. Пленочный аппарат работает по принципу записи фото на пленку, на специальном экране располагающуюся за спиной человека, через которого происходит излучение. Главное достоинство такого оборудования – его дешевизна, что позволяет использовать такие флюорографические станции почти во всех клиниках.
- Цифровая. Представляет собой аппарат, оснащенный специальной матричной системой, которая используется в современном оборудовании для съемки фото и видео. Обладает малым количеством излучения, изображение после процедуры получается значительно более качественным по сравнению с пленочной флюорографией легких. В случае регистрации данных о состоянии легких на цифровой аппарат, картинка остается в компьютере и может быть распечатана или отправлена по почте. Этот метод обеспечивает более длительное хранение результатов.
- Сканирование. Этот способ позволяет минимизировать облучение, однако малодозовое применение рентгеновских лучей имеет существенный недостаток – не очень точное изображение.
Показания для назначения флюрографического обследования
Делать флюорографию рекомендуется каждому человеку раз в год. Ежегодное массовое обследование проводится с профилактической целью, ведь его применение помогает выявлению болезней, угрожающих жизни человека. При желании человек подписывает письменный отказ от флюорографии легких, даже в том случае, когда исследование назначается врачом, однако это может нести серьезные риски для здоровья. Показания, при которых следует пройти процедуру:
- Появление одышки, кашля и других признаков проблем с дыхательной системой неспецифического характера;
- Подозрение на туберкулез, рак легких и другие заболевания органов средостения;
- Лучевая, цитостатическая терапия;
- Заболевания легких в прошлом;
- Сахарный диабет;
- Язва желудка;
- Патологии мочеполовой системы;
- Диагностированный ВИЧ.
В группе риска для респираторных болезней находятся люди, которым требуется работать с лицами без постоянного места жительства, в социальных учреждениях помощи детям и подросткам, санаториях. Поэтому флюорография — обязательное ежегодные обследование органов дыхания. Также необходимым является применять процедуру тем, кто трудится в обычных школах, детских садах, спортивных учреждениях.
Как проводится флюорография
Обследование легких производится в специальных флюорографических кабинетах, которые располагаются в поликлиниках, диагностических центрах, санаториях и частных медучреждениях. По времени флюорография длится несколько минут, снимок делается в одной или в 2-х проекциях (редко – в 3). Диагностика не требует специальной подготовки, поэтому все, что нужно пациенту – зайти в кабинет и выполнять указания врача.
Методика выполнения процедуры:
- Пациент раздевается по пояс, снимает с себя все металлические предметы, так как они помешают сделать четкий снимок.
- Грудь прислоняется к экрану флюорографа.
- Подбородок располагается на подставке.
- В таком положении нужно вдохнуть и задержать дыхание на несколько секунд.
- За это время врач, находящийся в другой комнате, делает снимок.
Расшифровка результатов + таблица
При расшифровке результатов флюорографии легких используются специальные коды, когда снимок готов. Каждая цифра соответствует определенной патологии. Если флюорография в пределах нормы, для описания этого также используется цифровое значение. Врач указывает месторасположение выявленного очага заболевания легких. Чтобы узнать диагноз, необходимо получить расшифровку с трактовкой кодовых данных, справку и заключение врача.
Смотрите таблицу с описанием некоторых заболеваний, на которые может указать процедура.
Использованные источники: wjone.ru
Как часто можно делать флюорографию: сколько раз в год, срок действия
Флюорографический снимок грудной клетки должны делать все взрослые люди. Это обследование носит профилактический характер, чтобы своевременно диагностировать заболевания дыхательной системы, особенно те, которые носят инфекционный характер. Поскольку взрослые люди ходят на работу, то для них такое обследование проводится обязательно.
Обычно периодичность прохождения флюорографии составляет 1 раз в год. Это означает, что чаще ее делать нет необходимости. Однако некоторые профессии требуют, чтобы флюорография делалась 2 раза в год.
Поскольку такая процедура связана с облучением, у пациентов возникает вопрос, можно ли так делать, и не возникнут ли у них проблемы со здоровьем по этой причине.
Поэтому стоит разобраться со следующими нюансами:
- Как часто можно делать флюорографию?
- Сколько действительна флюорография?
- Как влияет флюорография на человеческий организм?
Когда нужно проводить процедуру?
Проходить флюорографию легких нужно для своевременной диагностики инфекционных заболеваний. Поскольку инфекции легче всего распространяются в местах, где собирается большое количество людей, то у всех, кому приходится бывать в таких местах, должны быть актуальные результаты такого обследования. Это является гарантией того, что человек не станет причиной возникновения эпидемии.
Поэтому флюорография нужна в следующих случаях:
- при трудоустройстве;
- при поступлении на лечение (как стационарное, так и амбулаторное);
- при отправлении на воинскую службу;
- при обнаружении инфекционных заболеваний у родственников;
- при подозрении на развитие инфекционного заболевания у самого пациента.
Однако это не означает, что при каждом таком случае нужно делать флюорографию (например, человек может начать поиски новой работы через месяц после прохождения обследования). Есть определенный срок действия флюорографии, в течение которого человеку разрешается посещать любые общественные места.
Необходимо точно знать срок годности флюорографии, чтобы не навредить себе и окружающим. Как только он истекает, следует сразу сделать повторное обследование. Обычно такой срок составляет 1 год, что значит, что лишь по истечении 12 месяцев флюорография перестает действовать.
Существуют также определенные законодательные правила в отношении данной процедуры. Они регулируют срок действия флюорографии. Согласно им, разрешенный срок составляет тоже 1 год. После получения результатов исследования у пациента в медицинской карте выставляется дата обследования.
Это означает, что проблемы в данной сфере не обнаружены. Данную отметку при необходимости переносят в санитарную книжку или на справку прохождении медицинской комиссии, благодаря чему человек может устроиться на работу без повторного анализа. Однако спустя 365 дней следует повторить диагностику. В отношении этих правил действуют те же исключения.
Если человек занят на вредном производстве, работает в медицине, имеются подозрения на возникновение у него инфекционного заболевания, то стоит обследоваться раньше срока.
Это может относиться и к тем, кому пришлось побывать в регионе с неблагоприятной обстановкой (некоторые на лето ездят к родственникам, не учитывая при этом экологические показатели). Также обследование раньше срока иногда проходят сами пациенты. Зная о том, что срок действия заканчивается, они предпочитают посетить специалиста раньше, просто потому, что так удобнее. Такие действия не запрещены.
Кому нужно проходить обследование чаще?
У многих появляется недоумение, почему в некоторых случаях требуют повторного анализа раньше срока. Это действительно случается. Особенно это касается людей, которые заняты в тех областях, где требуется постоянное взаимодействие с большим числом людей, а также существует повышенный риск возникновения заболеваний легких. В отношении их не действуют общие правила относительно того, сколько раз в год можно делать флюорографию. Для них предполагается обследование дважды в год.
Это касается следующих категорий людей:
- врачи, работающие в родильных домах (они взаимодействуют с самыми уязвимыми представителями населения);
- работники туберкулезных диспансеров (у них высокий риск инфицирования);
- сотрудники горнодобывающей промышленности, а также те, кто занят производством стали, резины, асбеста (у них намного чаще развиваются онкологические заболевания);
- родственники и друзья людей с диагнозом туберкулез.
Во всех этих случаях не стоит размышлять о том, как часто нужно проводить данное обследование, поскольку его применение дважды в году оправдано.
Кроме этого, на флюорографию могут направить независимо от того, когда она выполнялась, если имеются подозрения на серьезную болезнь дыхательных путей. Это поможет своевременно обнаружить проблему.
Противопоказания
Насколько часто допустимо облучение в течение года, не могут точно ответить даже врачи. Желательно, чтобы оно не превышало двух раз. Это позволит не навредить организму и достичь целей исследования. Однако в некоторых случаях это количество может быть увеличено.
Но для этого требуются веские основания, поскольку специалисты хорошо понимают, что флюорография – это не тот метод диагностики, которым можно пользоваться как можно чаще. Больше положенных двух раз ФЛГ может быть назначена лишь после того, как оценены риски, а также при отсутствии противопоказаний. Одним из них является возраст пациента. Для детей меньше 16 лет это исследование не используется вовсе.
Среди других противопоказаний называют:
- беременность;
- период грудного вскармливания;
- тяжелое состояние пациента.
Учитывая эти ограничения, врачи могут назначить другие методы диагностики, которые воздействуют на организм более щадящим образом.
Возможные негативные последствия
Обычно интерес к тому, как часто надо делать флюорографию, вызван опасениями перед возможными неблагоприятными последствиями. Данное исследование подразумевает облучение грудной клетки рентген-лучами, что нельзя считать полезным. Именно из-за таких опасений многие пациенты избегают диагностических процедур такого типа, и у них есть основания для этого.
Если облучению подвергаться слишком часто, могут пострадать все органы и системы организма, поскольку воздействие радиации губительно. От чрезмерного радиоактивного воздействия страдают сердце, печень, легкие, сосуды, мозг, кожа и пр. При повышенном воздействии радиации увеличивается риск возникновения опухолей.
Тем не менее, все эти последствия вероятны лишь при частом проведении флюорографии. Если ее делают только два раза в год, никакой опасности нет. Гораздо большему облучению человек подвергается в процессе жизнедеятельности, используя технические приспособления.
Современные технологии проведения процедуры позволяют минимизировать воздействие лучей. А польза такого обследования очевидна. Пройдя обязательную диагностику, можно быть уверенными в нормальном состоянии организма и не подвергать риску близких людей. Благодаря флюорографии удается выявить серьезные заболевания на раннем этапе, что делает лечение более эффективным.