Исследование кишечника с помощью мрт

Исследование кишечника с помощью мрт[Исследование кишечника с помощью мрт]

МРТ кишечника, плюсы и минусы метода

При заболеваниях пищеварительного тракта наряду с УЗИ, КТ, колоноскопией и другими методами исследования широко используется МРТ кишечника. Данный способ имеет массу преимуществ, но есть у него и определенные недостатки.

Общая характеристика метода

МРТ – это один из самых эффективных методов в современной диагностической медицине. Он основан на воздействии магнитного излучения, которое, проникая в тело пациента, вызывает резонанс на клеточном уровне. Атомы водорода реагируют на лучи определенным образом, что фиксируется специальным аппаратом и превращается в изображение. Последнее выводится на экран монитора компьютера, и врач может получить полную картину о состоянии того или иного органа.

МРТ кишечника, как и другие виды данного метода исследования, обеспечивает объемное изображение. Однако в отличие от магнитно-резонансной томографии большинства органов имеет определенную сложность. Она обуславливается особенностями строения кишечника, петли которого переплетаются, накладываются друг на друга. Картинка на экране томографа получается из-за этого достаточно непонятной. Идентифицировать те или иные показатели специалисту бывает сложно.

Когда применяется МРТ кишечного отдела?

В ходе обследования кишечника редко ограничиваются МРТ. Как правило, результаты магнитно-резонансной томографии дополняются итогами других способов диагностики. В большинстве случаев МРТ проводится после колоноскопии, чтобы дополнить сведения, полученные с ее помощью.

Это метод, предусматривающий использование зонда, является травмоопасным. Поэтому если результаты не дали полной информации, повторно данное обследование не назначается. Тогда приходит на помощь МРТ.

Магнитно-резонансная томография также незаменима при наличии у пациента в кишечнике кровоточащих язв и некоторых других патологических образований. В таких случаях травмировать орган ни в коем случае нельзя, и данный метод является абсолютно безопасной и безболезненной процедурой.

Чаще всего проводится МРТ тонкого кишечника. Это объясняется тем, что добраться к данному отделу при помощи зонда или эндоскопа крайне проблематично. Магнитно-резонансная томография же позволяет это сделать легко. Однако нередки случаи ее применения и при изучении состояния толстого кишечника.

Например, в ситуациях, когда на его внутренней поверхности имеются уже упомянутые выше язвы. Также широко применяется МРТ толстого кишечника после хирургических операций в данном отделе. Обследование помогает оценить результаты радикального лечения, получить информацию об общем состоянии органа, динамике его восстановления.

МРТ кишечника с контрастом

Особым видом рассматриваемого метода диагностики является контрастная томография (другое ее название – гидро-МРТ). От стандартной процедуры она отличается тем, что в организм больного вводится специальное подкрашивающее вещество, которое затем аккумулируется в стенках кишечника. Это позволяет сделать картинку более яркой и информативной.

В отличие от магнитно-резонансной томографии с контрастом, применяемой при изучении других органов, гидро-МРТ кишечника предполагает прием пациентом орально большого количества жидкости с растворенным в ней подкрашивающим веществом. Хотя в некоторых случаях его, как и обычно, вводят в кровь внутривенно.

Нередко практикуется и двойное контрастирование, при котором вещество поступает в кровоток и непосредственно в пищеварительный тракт орально вместе с жидкостью. Попадание ее в кишечник при МРТ с контрастом – обязательное условие. Жидкость растягивает стенки кишок, разглаживает их, что позволяет получить более четкую картинку.

Что можно увидеть при помощи МРТ?

МРТ кишечника, несмотря на определенные недостатки, остается одним из самых информативных методов исследования. С его помощью реально выявить следующие патологии и состояния:

  • новообразования в кишечнике доброкачественного и злокачественного характера;
  • метастазы рака, поразившего другие органы;
  • наличие посторонних предметов в кишечнике;
  • кишечную непроходимость;
  • воспалительные процессы в исследуемом органе;
  • сосудистые патологии (тромбозы, закупорку);
  • наличие спаек в кишечнике;
  • внутренние кровотечения;
  • врожденные или приобретенные аномалии строения органа.

Картинка, полученная в результате МРТ, дает главную информацию о состоянии кишечника. Однако поставить точный диагноз только на ее основе нельзя. Как правило, требуются дополнительные методы исследования.

Преимущества метода

Можно выделить несколько преимуществ МРТ кишечника перед другими способами диагностики заболеваний данного органа. Среди них:

  • безболезненность;
  • безопасность;
  • неинвазивность (не требуется хирургическое проникновение);
  • высокая информативность;
  • минимум противопоказаний.

Магнитно-резонансная томография, как метод, просто незаменима в онкологии. Ни один другой способ не позволяет обнаруживать рак на различных стадиях так успешно, как этот. Однако что касается кишечника, то здесь все несколько иначе. Информативность в плане выявления рака гораздо ниже. Увидеть опухоль, только-только зарождающуюся в кишечнике, практически невозможно. Хотя бывают и исключения – все зависит от локализации новообразования.

Кому показан данный метод диагностики

Подытоживая все выше сказанное, можно составить список дисфункций, при которых пациентам назначается МРТ кишечника. Это:

  • подозрение на злокачественные новообразования в органе;
  • полипы;
  • спайки;
  • инородные предметы в кишечнике;
  • воспалительные процессы в органе, выявленные в процессе УЗИ;
  • непроходимость кишечника, вызванная различными причинами.

К симптомам, которые часто становятся показаниями для проведения магнитно-резонансной томографии, относятся:

  • болезненные ощущения в животе (особенно если они возникают после приема пищи);
  • метеоризм;
  • длительные запоры;
  • непрекращающаяся диарея;
  • тошнота;
  • рвота;
  • постоянно донимающая изжога;
  • примеси крови в каловых массах.

Поскольку перечисленные признаки могут сигнализировать и о заболеваниях желудка, зачастую проводится комплексное обследование. Делается МРТ этого органа плюс кишечника. Как правило, врачи не ограничиваются магнитно-резонансной томографией.

Многих пациентов интересует, можно ли делать МРТ, если необходимость в этом отсутствует. Скорее всего, врач не даст направления, но провести процедуру можно и по собственной инициативе.

Впрочем, это вряд ли целесообразно, поскольку выявить заболевания кишечника на ранних стадиях (а тем более предпосылки к их возникновению) почти нереально. Получается, что в качестве профилактики томографию в данном случае использовать нельзя.

Противопоказания

Несмотря на высокую безопасность, метод МРТ кишечника все же имеет определенные противопоказания. Среди них:

  • наличие любых предметов из металла в теле пациента (протезы, осколки и т.д.);
  • вживленные электронные стимуляторы (сердца, мозговой деятельности и т.д.), работа которых может нарушиться под действием магнитного излучения;
  • проведенная ранее пациенту операция по стентированию сосудов сердца.

Огромную сложность вызывает проведение МРТ пациентам с ожирением, поскольку стандартные томографы не рассчитаны на массу более 120 килограмм. Также проблематично обследовать больных, страдающих клаустрофобией. Они не могут находиться в аппарате закрытого типа, а открытые являются более редкими и имеются не в каждой клинике.

Врачи стараются избежать магнитно-резонансной томографии, если женщина ожидает ребенка и срок беременности не превышает 12 недель. Маленьким детям тоже обычно не назначают такую диагностику, и одна из причин – их неспособность долгое время сохранять неподвижность.

Этот же фактор затрудняет проведение МРТ кишечника пациентам с некоторыми нервными или психическими расстройствами, когда человек не может спокойно лежать. Если без томографии не обойтись, данным категориям больных предварительно вводится общий наркоз.

Список противопоказаний при проведении гидро-МРТ немного шире. Процедура не проводится, если у пациента имеются проблемы с почками, печенью или есть аллергия на красящее вещество. Также прямым противопоказанием к ней являются беременность и ранний детский возраст.

Подготовка к процедуре

Подготовка к МРТ кишечника требует особого внимания со стороны пациента. От качества ее проведения зависят результаты. Если кишечник будет полным, изображение получится искаженным, поэтому орган необходимо максимально освободить и стабилизировать его работу.

С этой целью еще за несколько дней до процедуры из рациона исключают все продукты, способные вызвать метеоризм или застойные явления в кишечнике:

  • капусту;
  • бобы;
  • газированную воду;
  • сладкое (особенно сдобная выпечка);
  • жирное;
  • свежий хлеб;
  • молоко;
  • фрукты;
  • овощи;
  • алкоголь.

Примерно за сутки до МРТ необходимо сделать очищающую клизму. Позже проводить данную процедуру нецелесообразно, поскольку следует дать время каловым массам выйти из организма. Чтобы исключить метеоризм, рекомендуется принять сорбенты (например, активированный уголь).

Людям, склонным к запорам, помимо клизмы показаны ветрогонные препараты. Минут за 30 до обследования нужно принять «Но-шпу» или другое средство аналогичного действия, чтобы исключить спазмы во время процедуры. Последний прием пищи перед исследованием должен быть не позже чем за пять-шесть часов. Когда проводится МРТ кишечника, подготовка также включает избавление от металлических предметов, имеющихся на теле:

  • серьги;
  • пирсинг;
  • кольца;
  • цепочки;
  • браслеты;
  • часы;
  • различные заколки.

Данное требование касается всех видов магнитно-резонансной томографии.

Особенности проведения обследования

Процедура МРТ кишечника достаточно проста. Подготовленный пациент укладывается на специальный передвижной стол, фиксируются конечности и голова для обеспечения неподвижности. Далее вкатывается этот стол в томограф и располагается таким образом, чтобы нижняя часть живота человека находилась под кольцевой частью приспособления.

Пациенту выдаются наушники или беруши, избавляющие от неприятного шума, который издает томограф во время работы. Лежать нужно спокойно и молча. Говорить разрешается только в том случае, когда приходится отвечать на вопросы диагноста. Общение между обследуемым и специалистом происходит при помощи специального микрофона и наушников.

Процедура МРТ абсолютно безболезненна. Помимо шума томографа неприятных ощущений – никаких. Длится она примерно от сорока минут до часа в зависимости от сложности. Результаты обычно готовы в тот же день спустя короткое время. Их расшифровкой занимается лечащий врач.

МРТ, КТ или колоноскопия?

Перед пациентом, которому показано обследование, часто стоит выбор: МРТ кишечника или колоноскопия? Следует отметить, что второй метод при изучении состояния кишечника является основным, поскольку способен дать максимально полную информацию.

Колоноскопия предусматривает введение в кишку зонда со специальной микрокамерой, которая передает «увиденную» картинку на монитор. При ее проведении есть возможность тщательно рассмотреть буквально каждый миллиметр органа даже в самых потайных его уголках, что и обеспечивает практически стопроцентную эффективность.

Однако есть у колоноскопии и недостатки. Во-первых, это больно. Иногда неприятные ощущения настолько выражены, что их трудно терпеть. Во-вторых, зондом можно повредить слизистую, то есть метод является травмоопасным. В-третьих, не всегда реально протолкнуть прибор в нижние отделы кишечника. По этим причинам нередко колоноскопия заменяется менее информативной МРТ.

Есть и еще один способ диагностики, используемый при обследовании кишечника. Это компьютерная томография. По информативности и особенностям проведения она схожа с МРТ, но является менее безопасной, поскольку основана на воздействии радиоактивного излучения. Доза полученной радиации небольшая, но все же по возможности КТ врачи стараются избегать. Список противопоказаний к проведению такой томографии несколько шире.

Где сделать МРТ и сколько это стоит?

МРТ кишечника делается как в государственных клиниках, так и в частных. В последних процедура может оказаться немного дороже, но зато там меньше очередь и более комфортные условия. Данный метод исследования является распространенным. Томографы есть в любой более-менее крупной клинике.

Стоимость магнитно-резонансной томографии кишечника начинается примерно от трех с половиной тысяч рублей. Она может доходить до 5-7 тысяч. Здесь все зависит от сложности поставленной цели и применения контраста.

МРТ при обследовании кишечника используется достаточно широко, хоть и не является основным методом. Среди достоинств обследования – высокая информативность, безопасность, отсутствие болевых ощущений. Поэтому во многих случаях предпочтение врачи отдают именно ему.

Диагностика кишечника методом МРТ с контрастом и без контраста. МРТ диагностика рака кишечника

МРТ диагностика кишечника – неинвазивная процедура исследования, которая применяется с целью диагностирования кишечных заболеваний. Магнитно-резонансная томография сканирует внутренние органы с помощью воздействия магнитных полей, в результате чего на экране появляется трехмерное изображение исследуемых органов и тканей. Методика диагностики полностью безопасна, так как в ходе функционирования МР-томографа не происходит облучения, в отличие от компьютерной томографии.

Магнитно-резонансная томография признана самым высокоинформативным диагностическим методом, с помощью которого можно выявить наличие злокачественного новообразования даже в самом начале его развития. Однако МРТ бывает не достаточно: зачастую врач сначала назначает колоноскопию (инвазивный способ исследования с применением эндоскопа). Данный процесс объясняется тем, что не всегда строение кишечного тракта допускает полную визуализацию на экране томографа – иногда петли наслоены друг на друга, что частично закрывает доступ к кишечнику. Для такого случая предусмотрено МРТ кишечника с введением контрастного вещества. Чаще применяется двойное контрастирование, благодаря которому кишечник расширяется, и возникает возможность детально рассмотреть клиническую картину.

Показания

В стандартных случаях, при обращении пациента с жалобами на боли и дискомфорт в животе, нарушение пищеварительного процесса и нерегулярность стула, назначается колоноскопия. Но если эндоскопический способ диагностики пациенту противопоказан, тогда МРТ при заболеваниях кишечника остается единственным безопасным методом.

МРТ кишечника назначается в следующих случаях:

  • при врожденных аномалиях;
  • при воспалительных процессах;
  • при инфекционных заболеваниях;
  • при непроходимости кишечника;
  • при каменных конкрементах;
  • при доброкачественных и злокачественных образованиях

Подготовка и проведение

Диагностика МРТ кишечника не требует специфической подготовки. Главным условием является опорожненный кишечник и отсутствие вздутия живота, иначе результат исследования может оказаться малоинформативным.

Обязательные рекомендации перед проведением обследования МРТ кишечника:

  • соблюдать диету на протяжении нескольких дней (исключить употребление жирных и жареных блюд, алкоголя и газообразующих продуктов);
  • следить за регулярностью стула (при запорах принимать слабительное средство);
  • оставить перед кабинетом металлические предметы и другие вещи, имеющие способность к намагничиванию;
  • последний прием пищи перед процедурой – за 5-6 часов

Как проводят МРТ кишечника?

При МРТ кишечника без контрастирования пациент сразу ложится на специализированный стол, платформа которого задвигается внутрь томографа. Принцип магнитно-резонансной терапии требует полной неподвижности больного во время исследования, так как посторонние движения увеличивают вероятность постановки ошибочного диагноза. Для этого предусматривается фиксация конечностей с помощью специальных ремней. Пациент перемещается в кольцо аппаратуры таким образом, чтобы сканер находился над исследуемым органом. Таким образом, когда магнитное поле приходит в действие, сканируется эпигастральная зона, а также вся брюшная полость. Снимки производятся во время задержки дыхания. Длительность всей процедуры составляет от 40 до 60 минут.

Мрт кишечника с контрастом

Процедура МРТ кишечника с применением контрастирования начинается с введения контрастного вещества внутривенным путем. Одна дозировка контраста может вводиться единовременно или же путем капельницы с заданной скоростью (нужный вариант определяет специалист). Если же применяется гидро МРТ с двойным контрастированием, то больной предварительно употребляет внутрь обильное количество жидкости. МРТ с контрастом повышает точность исследования на 15-20%, однако введение вещества в некоторых случаях противопоказано (нарушение функций органов, беременность, непереносимость препарата и т.д.). В остальном техника процедуры совпадает со стандартной диагностикой магнитно-резонансной томографии.

Противопоказания

Магнитно-резонансная томография является одним из самых безопасных методов обследования, так как не приносит пациенту вреда, и никак не сказывается на здоровье в будущем. Но данная процедура все же имеет ряд противопоказаний:

  • инородные металлические и электронные предметы в теле исследуемого;
  • осколочные ранения в прошлом (осколки в теле);
  • беременность в периоде первого триместра;
  • аллергическая реакция на контрастное вещество (при контрастировании);
  • почечная недостаточность (нужно индивидуально обговаривать с урологом);
  • детский возраст пациента;
  • клаустрофобия больного (не является абсолютным противопоказанием)

Преимущества

Методика магнитно-резонансного исследования имеет множество преимуществ перед остальными диагностическими процедурами:

  • полная безопасность проведения;
  • отсутствие риска осложнений;
  • неинвазивный способ манипуляции;
  • высокая информативность;
  • безболезненность и отсутствие дискомфорта;
  • повышение вероятности дальнейшего лечения без операции;
  • допускается к проведению при невозможности обследования альтернативными методами

Что показывает МРТ кишечника?

Диагностика кишечника методом МРТ визуализирует:

  • аномалии в строении (врожденные и приобретенные);
  • состояние кишечника;
  • воспалительные процессы;
  • полипы;
  • дивертикулы;
  • неспецифический язвенный колит;
  • новообразования любой этиологии;
  • стадию рака и метастазирование (даже в труднодоступных местах);
  • динамику послеоперационных изменений;
  • инородные тела в полости кишечника
  • патологии органов брюшной полости (расположенных рядом с кишечником)

Особенно ценной является МРТ диагностика рака кишечника. Магнитно-резонансная томография при правильном строении кишечного тракта позволяет вычислить злокачественную опухоль на ранней стадии. На изображении злокачественные участки ткани окрашены в темный цвет. Согласно исследованиям, МРТ визуализирует даже стенозирующую опухоль, сквозь которую не проходит ультразвуковой датчик. Таким образом, методика позволяет своевременно вычислить аномальные явления и увеличивает шансы на полное выздоровление пациента. МР-томография является особенно результативной в исследовании рецидивирующих  раковых опухолей. Постоперационный контроль с применением УЗИ и КТ нередко приводит к ошибке: образовавшаяся новая опухоль воспринимается за рубец на месте удаления прежней опухоли. В отличие от альтернативных процедур исследования, МРТ получает четкие сигналы, которые абсолютно различают опухоль и рубцовую ткань.

Стоит отметить, что диагностированию рака на ранней стадии может помешать специфическое строение кишечника (петли наслоены друг на друга и закрывают некоторые участки). В таком случае рекомендуется к проведению колоноскопия или комплексное обследование, в котором применяются все возможные методы. В исследовании более поздних стадий, начиная со средней, магнитно-резонансная томография незаменима.

Обследование кишечника. МРТ кишечника или колоноскопия — что лучше?

Для того чтобы разобраться в преимуществах и правильном выборе методов исследований, необходимо сперва понять, как проводится диагностика и обследование кишечника. Существует несколько методов, каждый из которых имеет свои преимущества и назначение. Ректоскопия или рентген, КТ или ирригоскопия, МРТ кишечника или колоноскопия — что лучше?

Методы исследования

Современные методы исследования позволяют точно определить причину болей в кишечнике, тем самым обеспечить лечащего врача достаточной информацией для того, чтобы назначить корректное лечение. Лечащим врачом назначается исследование кишечника. Колоноскопия или МРТ кишечника – это одни из наиболее популярных методов. Но сегодня в распоряжении врача и пациента имеются такие исследования кишечника:

  • УЗИ и МРТ.
  • Ирригоскопия.
  • Ректороманоскопия, инвагинация.
  • Ректоскопия.
  • Колоноскопия и эндоскопия.
  • Компьютерная томография.
  • Виртуальная колоноскопия.
  • Рентген.

Каждый из этих методов направлен на исследование различных отделов кишечника либо охватывает всю протяженность кишечника и пищеварительного тракта, но наиболее часто используемыми и эффективными методами являются колоноскопия, магнитно-резонансная томография, КТ, виртуальная колоноскопия. Какое из этих исследований и почему может быть предпочтительнее, определяет лечащий врач.

МРТ желудка и кишечника. Томография в диагностике

МРТ кишечника позволяет получить трехмерное изображение кишечника. Это исследование проводится при пустом кишечнике, поэтому перед процедурой делают очистительную клизму. Такой вид исследований назначается довольно редко, поскольку кишечник располагается в несколько слоев, состоит из многих изгибов, что значительно осложняет его исследование при помощи этого метода. Тем не менее этот метод довольно популярен, поскольку не требует какой-то особой подготовки, быстр в неотложных ситуациях и является оптимальным вариантом экстренного обследования.

Показания к МРТ

Диагностировать заболевания кишечника довольно непросто, поскольку он имеет несколько отделов и визуальное обследование затруднено. С помощью МРТ выявляют доброкачественные и злокачественные опухоли на любом этапе их развития, язвы, кровотечения, врождённые аномалии, заворот кишок и камни, непроходимость. Для выявления таких нарушений и заболеваний наиболее эффективно проявляет себя именно метод МРТ.

Компьютерная томография

Исследование при помощи компьютерной томографии кишечника человека производится наряду с применением МРТ. Компьютерная томография дает возможность осмотреть кишечник послойно, делая фиксированные снимки. Такие снимки помогают рассмотреть кишечник во всех слоях и отведениях, перпендикулярно телу, тогда как МРТ не всегда дает точное отображение в рассмотрении средних слоев. Но чтобы понять, что лучше — КТ кишечника или колоноскопия, необходимо подробнее рассмотреть все методы.

Колоноскопия

Метод колоноскопии также часто применяется в исследовании и диагностировании заболеваний кишечника. Для этого применяется эндоскопическое оборудование, с помощью которого обследуют отделы толстого и тонкого кишечника ПЗС или оптоволоконной камерой. Такая камера прикреплена на конце гибкой трубки, которая вводится через задний проход. Этот метод исследования проводят после очистительной клизмы. Метод колоноскопии помогает врачу визуально обследовать кишечник, оценить состояние слизистых, наличия эрозий и поражений.

Показания к назначению колоноскопии

Колоноскопия назначается при подозрении или наличии опухолевых образований, геморроя, сужения кишечного просвета, выпадения кишки, наличия язв и полипов, при проктите. С помощью того, что на экран передается реальное цветное изображение, поступающее с камеры, можно оценить состояние слизистой оболочки и наличие его повреждений и поражений в конкретном месте. Также с помощью этого метода прижигают язвы и удаляют полипы из тканей кишечника.

Для ответа на вопрос: «МРТ кишечника или колоноскопия, что лучше?», стоит рассмотреть еще один инновационный метод – виртуальная колоноскопия.

Виртуальная колоноскопия

На сегодняшний день это наиболее прогрессивный метод обследования, поскольку совмещает возможности компьютерной томографии и МРТ, создавая при этом трехмерную проекцию кишечника, которая очень подробна и удобна для врача при изучении и обследовании кишечника. Совмещая в себе лучшие современные технологии исследований, виртуальная колоноскопия избавляет пациентов от прохождения нескольких разных обследований.

Плюсы, недостатки и риски разных методов исследований

МРТ кишечника или колоноскопия, что лучше? Нижеприведенная таблица поможет понять это в сравнении.

Метод исследования Плюсы Недостатки и риски
МРТ
  1. Показывает степень пристеночного и трансмурального поражения.
  2. Определяет поражения и опухоли в стенках и снаружи кишечника, а также свищи.
  1. Низкая точность изображения воспалительных процессов.
  2. Может быть пропущен воспалительный процесс, особенно на слизистых.
Компьютерная томография
  1. Отображает полипы и другие поражения слизистых.
  2. Хороший альтернативный метод, при невозможности проведения обычной колоноскопии.
  3. Эффективен при сужении кишки или наличия крупных опухолей.
  4. Может диагностировать аномалии вне стенок и внутренней поверхности кишечника.
  5. Определяет злокачественные образования на ранних стадиях и брюшные аневризмы аорты.
  1. Есть риск небольшого радиационного облучения.
  2. Невозможно при беременности.
  3. Не доступно людям с избыточным весом.
  4. Не проводится при острых болях и воспалительных процессах.
Колоноскопия
  1. Позволяет более точно и подробно рассматривать внутренние поверхности и слизистые.
  2. Дает возможность подробно рассмотреть воспалительные процессы на слизистой, их поражения, которые не определяются при методах МРТ и КТ.
  3. Позволяет удалять полипы и прижигать язвы во время обследования.

  1. Возможно повреждение кишечника.
  2. Существует вероятность вызвать приступ аппендицита.
  3. Риски, возникающие при применении анестезии.
  4. Понижение давления.
  5. Возможность вызова кровотечений.
  6. Возможно общее обезвоживание организма.
  7. Возникновение воспалительных процессов в кишках и диареи.
  8. Занесение инфекции в кишки.
Виртуальная колоноскопия
  1. Наиболее четкие и детализированные изображения.
  2. Выявляет и показывает сужения из-за воспалительных процессов или новообразований.
  3. Наиболее точная и удобная трехмерная модель внутренних органов.
  1. Риск получения радиационного облучения.
  2. Как и во время обычной колоноскопии, используются трубки для расширения кишечника и наполнение газом или жидкостью.
  3. Не позволяет выявлять раковые полипы, размером менее 10 миллиметров.
  4. Не позволяет удалять полипы или брать образцы тканей.

МРТ кишечника или колоноскопия. Что лучше?

МРТ и КТ являются довольно точными неинвазивными и легкими способами визуализации при исследовании различных отделов кишечника. Однако для его проведения необходимо достаточно сильное вздутие кишечника, которое достигается путем наполнения его водой либо приемом пероральных контрастных веществ. Оба этих метода дают хорошее представление о состоянии кишечника вне внутренней поверхности. Часто результаты исследований МРТ являются направлением на проведение колоноскопии, с целью более детального изучения изменений слизистой оболочки кишечника. МРТ и КТ являются диагностическими методами и не позволяют изучать внутренние слизистые оболочки, а также не являются лечебными процедурами и не могут предоставить возможности удаления полипов или взятия образцов тканей кишечника.

Колоноскопия снижает процент заболеваемости раком толстой и левой части толстой кишки, однако является довольно опасным методом с множественными побочными эффектами, но при этом помогает детально исследовать внутреннюю поверхность кишок. Совершенно точно определяет их состояние, наличие воспалительных процессов, полипов, которые не могут определяться при других видах исследований. Позволяет не только диагностировать, но и удалять полипы, предотвращая их перерождение в раковые опухоли. Прижигание язвенных образований и взятие образцов слизистых кишечника для дальнейшего анализа – это еще одно из преимуществ метода колоноскопии.

Виртуальная колоноскопия или МРТ кишечника являются диагностическими исследованиями. Но виртуальная колоноскопия отличается более полным и точным изображением. Совмещает в себе преимущества как МРТ, так и компьютерной томографии. Это наиболее современный метод исследования кишечника, диагностирования заболеваний и поражений. Однако так же, как и эти методы, не позволяет производить физических вмешательств.

На вопрос о том, что лучше, КТ кишечника или колоноскопия, медики считают, что второй метод, безусловно, более информативен. И позволяет более широким спектром определять болезни, изучая необходимые отделы и изгибы и даже удалять некоторые заболевания еще во время обследования, однако такое преимущество колоноскопии перед МРТ и КТ выявляется только при наличии заболеваний, которые находятся на внутренних стенках кишечника и визуально определяются. В случае когда заболевание или нарушение находятся внутри стенок и визуально не определяются либо находятся вне внутренней части кишечника, тогда явным преимуществом пользуются методы исследования, такие как МРТ, компьютерная томография или виртуальная колоноскопия.

Делают ли МРТ кишечника и прямой кишки и как проходит процедура

Заболевания, связанные с пищеварительной системой организма, невероятно разнообразны, поэтому даже опытным специалистам далеко не всегда удаётся сразу поставить диагноз и начать лечение. Во многих ситуациях недуги поражают и кишечник, диагностика в котором ещё более сложна по причине соответствующих анатомических особенностей. Магнитно-резонансная томография – это метод, открывающий специалистам многие возможности по исследованию человеческого организма, поэтому и в подобных случаев можно часто услышать вопрос о том, делают ли МРТ кишечника и прямой кишки. На самом деле, сделать такую процедуру можно, да и такие технологии действительно позволяют “заглянуть” в эту часть организма, но данная процедура имеет и свои нюансы

Показания к проведению процедуры

Рассмотрим и список основных показаний, при которых специалисты назначают МРТ кишечника (МРТ желудка специалисты назначают в немного других ситуациях, они сегодня рассмотрены не будут):

  1. Наличие подозрений на опухоли крупных размеров. Также томографию бывает нужно сделать для более подробного изучения новообразований, обнаруженных ранее.
  2. Наличие рисков, связанных с появлением опасных метастаз прямо в узлах лимфатической системы, а также в некоторых других участках организма.
  3. Попадание в область желудка и кишечника каких-либо инородных предметов, представляющих опасность.
  4. Отсутствие возможности обследования кишечника с использованием других способов, ведь, несмотря на эффективность, безопасность и точность МРТ, процедура имеет существенный недостаток – большую стоимость.

Стоит отметить, что на этом список показаний не заканчивается, так как процедура иногда может назначаться и при других разнообразных диагнозах, например, при наличии доброкачественных опухолей. Дело в том, что магнитно-резонансная томография отлично выявляет такие новообразования ещё до появления симптомов.

Основной причиной направления на МРТ кишечника является выявление онкологических заболеваний.

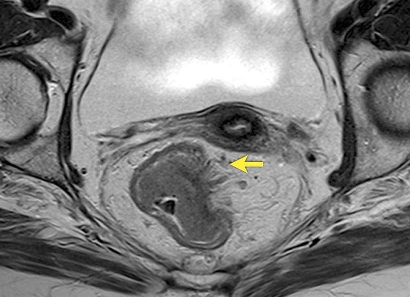
Особенности МРТ прямой кишки

Так как в вопросе, поставленном в начале данного материала, фигурировала именно прямая кишка, а не только кишечник в целом, стоит рассмотреть некоторые особенности, связанные с проведением процедуры конкретно в этом отделе. Делать МРТ кишечника такого рода обязательно нужно при наличии даже минимальных подозрений на рак, поразивший прямую кишку. Как можно догадаться, первичная диагностика такого недуга происходит с использованием других обследований и методов, но только резонансной томографии магнитного типа по силам выявить проблему настолько точно, что выводы о необходимости операции, о степени поражения и о многом другом, будут очевидны для врачей. Томография прямой кишки также используется для тщательного контроля за всеми наблюдающимися последствиями хирургических вмешательств, а также химиотерапии и прочих способов лечения. Вот важные особенности МРТ прямой кишки

  1. Осуществление визуализации всей опухоли, а также чётких границ. Удаётся установить и тяжесть проникновения опухоли в стенку кишечника.
  2. Возможность оценки бокового роста любого новообразования.
  3. Определение соотношения опухоли с областью расположения сфинктера, а также тазовым дном.
  4. Определение состояния мускул, относящихся к тазовому дну.
  5. Выявление всех лимфатических узлов в этой области, а также изучение их состояния.
  6. Наблюдение за динамикой развития любой опухоли, а также за процессом выздоровления пациента. Осуществляется контроль успешности хирургических операций, а также лучевого воздействия или курса химиотерапии.

Противопоказания

У данной процедуры есть и свои противопоказания, про наличие которых тоже нельзя забывать, вот их список:

  1. Неоспоримый запрет к проведению такого исследования накладывается на людей, в организме которых присутствую металлические медицинские приспособления, например, имплантаты, то же самое можно сказать и про несъёмный пирсинг. Стоит упомянуть, что под запрет попадают не только металлические изделия, но и электронные, например, кардиостимулятор во время МРТ начнёт работать неправильно, что приведёт к серьёзной опасности для здоровья пациента.
  2. Противопоказанием является и беременность на её ранних сроках, что же касается более поздних периодов вынашивания, то МРТ разрешено, но только если не используется контрастное вещество.
  3. Малый возраст. Данное правило варьируется в зависимости от особенностей конкретного ребёнка, ведь некоторые могут спокойно лежать долгое время практически без движений, а другие не слушаются даже родителей и не могут усидеть на месте даже чуть-чуть.

Обратите внимание! На этом список противопоказаний обычного МРТ кишечника заканчивается, но если вам необходима процедура с контрастом, то появятся и ещё некоторые условия. Подобная процедура будет запрещена, если вы страдаете от почечной или же от печёночной недостаточности, так как можно очень серьёзно навредить здоровью в таком случае. Непереносимость каких-либо компонентов контрастного вещества также станет причиной отказа от его применения!

Кишечник входит в число органов, исследование которых достаточно трудное.

Преимущества МРТ

Вы можете задать вопрос о том, почему именно МРТ? Дело в том, что цена данного обследования очень высока, поэтому далеко не каждый человек может легко расстаться с такой суммой даже в том случае, если она поможет ему решить проблемы, связанные со здоровьем. Многие специалисты отмечают полную безопасность и неинвазивность метода, а также простота процесса подготовки, который будет разобран немного позже. Стоит отметить и отсутствие каких-либо неприятных ощущений или даже болей.

Единственная сложность для некоторых пациентов будет заключаться в том, что важно лежать на протяжении всей процедуры строго неподвижно, особенно если она проводилась с контрастом. Дело в том, что в таких ситуациях длительность процесса значительно увеличивается. Но результат точно оправдает себя, так как МРТ – это именно та процедура, которая способна выявить даже мельчайшие патологические процессы, а также подробно изучить опухоли и прочее.

В некоторых ситуациях метод позволяет получить сведения даже о природе всех происходящих процессов, например, при наличии метастаз или непроходимости кишечника. То же самое можно сказать и про грыжи, спайки, аневризмы и структурные изменения различного характера. Что же касается ситуаций, связанных с инородным предметом, то в некоторых ситуациях без МРТ определить то, как он попал внутрь, невозможно.

Аппараты для проведения постоянно совершенствуется, что обеспечивает точность в процессе выявления тех или иных проблем, работа специалиста значительно облегчается, а шанс возникновения ошибок стремится к нулю.

Обследование кишки проводится после предварительной подготовки желудочно-кишечного тракта.

Подготовка к процедуре

Процесс подготовки нужно знать каждому человеку, который собирается сделать МРТ кишечника, так как именно грамотно выполненный процесс подготовки позволит добиться хорошего результата. Важно, чтобы перед началом исследования кишечник был полностью пустым, а для этого важно осуществить переход на специальную редуцированную диету примерно за 3 дня до МРТ, вот её основные моменты, которые важно учитывать:

  1. Обязательно исключите из своего рациона продукты, которые могут вызвать метеоризм или вздутие. Сюда можно отнести бобовые, а также все блюда, в процессе приготовления которых они используются. Также нельзя есть свежий хлеб или выпечку, капусту, любые овощи или даже фрукты, отличающиеся большим содержанием таких веществ, как сахар и клетчатка.
  2. Категорически запрещено и употребление алкоголя.
  3. Важно также подготавливаться и в последний день, а именно – важно прочистить в это время кишечник, используйте для этого слабительные средства и поставьте клизму. Пациенты, испытывающие некоторые проблемы с процессом пищеварения, должны обязательно прибегнуть к обоим этим способом, остальным же людям можно воспользоваться чем-то одним, но только в том случае, если они полностью уверены в своём организме. Это также должно быть сделано и утром перед самим визитом!
  4. Если наблюдается брожение в кишечнике или даже вздутие (речь идёт о животе), а также повышенное газообразование, то специалисты рекомендуют использовать некоторые сорбенты. Чаще всего применяется активированный уголь и препараты, которые позволяют справиться с проявлениями метеоризма.
  5. Последнее употребление пищи должно осуществляться не менее, чем за 8 часов до начала самой процедуры, причём пища в последние сутки обязательно должна быть максимально лёгкой, а также быстровыводимой из организма.

Обратите внимание! Медицинский персонал часто предлагает пациентам принять препараты-спазмолитики, самым известным из которых считается Но-Шпа, она позволит избежать чрезмерной перистальтики, проявляющейся прямо в возбуждённом кишечнике. Отметим и то, что такие препараты могут снять спазмирование!

В диагностике аппендицита МРТ является лидером.

Проведение процедуры

Когда процесс подготовки будет полностью выполнен, врач скажет пациенту снять все украшения из металла, важно также одеться удобно, чтобы дискомфорта не возникала, так как важно лежать неподвижно. Не стоит брать с собой мобильный телефон, а также часы и прочую электронику.

При проведении процедуры с использованием контрастирующего вещества важно выпить его до начала диагностики, если же оно должно вводиться вам внутривенно (при магнитно-резонансной томографии кишечника такой способ почти не применяется), то введение будет происходить уже после того, как вы разместитесь на специальном столе. Если же была назначена процедура гидроМРТ, то пациенту требуется перед самым её проведением выпить пол-литра чистой воды. В ней важно развести сорбитол и маннитол.

Как уже было сказано ранее, чёткости снимков можно добиться только в том случае, если больной будет лежать полностью неподвижно. По этой причине в большинстве ситуаций его привязывают к столу, при помощи специальных устройств, а для их закрепления служат ремни и валики. Что же касается самого процесса проведения процедуры, то он не вызовет дискомфорта, если внимательно слушать специалиста, выполняя всё то, что он скажет. Расслабьтесь и ведите себя спокой, а когда будут делаться сами снимки (специалист сообщит вам об этом по громкой связи) вы должны будете на некоторое время задержать дыхание.

Расшифровка

Немного затронем и процесс расшифровки полученных результатов. Когда снимки попадают к специалисту, то он начинает с проверки правильности расположения основных частей кишечника, в первую очередь это его петли. Также он обращает внимание на наличие или отсутствие спаек или грыж, а также непроходимостей, воспалительных процессов, метастазов или даже опухолей. При проведении магнитно-резонансной томографии здоровому человеку врач не определит какие-либо отклонения, связанные с состоянием кишечника или с его строением. То же самое можно сказать и про ближайшие органы, прилегающие к нему.

Вот список основных болезней, а также состояний, которые врач может выявить при помощи МРТ кишечника:

  • новообразования различного характера, причём сюда относятся и злокачественные опухоли, а также их метастазы, распространяющиеся даже на соседние органы;
  • непроходимость, которая отличается своей природой возникновения;
  • наличие и расположение инородных тел, попавших в кишечник;
  • появление кровотечений;
  • участки, на которых начались различные воспалительные процессы, например, сюда можно отнести болезнь Крона;
  • закупорка сосудов;
  • аневризмы;
  • спаечные процессы;
  • тромбоз.

Важно понимать, что в некоторых ситуациях магнитно-резонансная томография может дать специалисту только общее представление, несмотря на чёткость снимков и эффективность самого метод, так как в особых случаях может потребоваться и диагностика другого плана. При подозрении на некоторые заболевания или при наличии спорных состояний специалисты прибегают к другим исследованиям, например, берут различные анализы.

Обследование прямой кишки и кишечника с помощью МРТ и как его делают Ссылка на основную публикацию


Смотрите также