Что такое киста головного мозга

Что такое киста головного мозга[Что такое киста головного мозга]

Киста головного мозга: осложнения и лечение

Кистой головного мозга называется объемное образование, располагающееся внутри черепа. По своей сути оно является полостью, внутри которой содержится жидкость. Очень часто такой патологический процесс имеет бессимптомное течение. Однако он может стать причиной многих серьезных нарушений, а в тяжелых случаях даже приводит к летальному исходу.

Киста головного мозга может диагностироваться абсолютно в любой возрастной группе. Какой-либо зависимости от пола также не прослеживается. В классификацию данной болезни включены две ее основные формы: врожденная и приобретенная. Интересным моментом является то, что врожденная форма этой патологии чаще всего дает о себе знать только в возрасте от тридцати до пятидесяти лет. Однако бывают и исключения.

Врожденная киста головного мозга формируется непосредственно во время внутриутробного развития плода. Она разделяется на коллоидную и дермоидную формы. Коллоидная форма подразумевает под собой образование полости, внутри которой содержится желатинообразная субстанция. Такой дефект приводит к блокировке оттока жидкости из головного мозга с последующим нарастанием признаков гидроцефалии. Дермоидная форма устанавливается в том случае, если в сформировавшейся полости содержаться частицы эктодермы, волосяные фолликулы, а также сальные железы.

Приобретенная киста головного мозга развивается после рождения в результате воздействия на организм различных провоцирующих факторов. Она разделяется на посттравматическую, постинсультную, постинфекционную и эхинококковую формы.

Если более подробно поговорить о причинах возникновения данной болезни, то врожденная разновидность формируется вследствие воздействия на организм беременной женщины неблагоприятных факторов. К таким факторам относятся перенесенные инфекционные заболевания, употребление алкоголя, никотина и наркотических веществ, а также некоторые виды хронических патологий. Свою роль также могут сыграть резус-конфликт, фетоплацентарная недостаточность и прием лекарственных препаратов, обладающих тератогенным эффектом.

Что касается приобретенной разновидности кисты головного мозга, то она может быть следствием перенесенных черепно-мозговых травм, а также воспалительных заболеваний со стороны головного мозга, например, менингита. Большое значение имеет острое нарушение мозгового кровообращения, которое называется инсультом. Эхинококки, локализующиеся в головном мозге, также могут выступать в качестве провоцирующего фактора. В редких случаях этот патологический процесс формируется как осложнение перенесенного оперативного вмешательства на головном мозге.

Помимо этого, киста головного мозга бывает арахноидальной и внутримозговой. Арахноидальный вариант подразумевает под собой образование полости в мозговых оболочках. При внутримозговом варианте новообразование локализуется непосредственно внутри головного мозга.

Симптомы кисты головного мозга

Как мы ранее говорили, очень часто киста головного мозга длительное время не дает никакой клинической картины. Симптомы появляются только тогда, когда полость достигла значительных размеров. Основным признаком данного патологического процесса является выраженная головная боль. Она присутствует практически постоянно и может иметь различную степень интенсивности. Кроме этого, больной человек нередко предъявляет жалобы на периодически возникающую тошноту, которая никак не связана с приемом пищи.

Отмечаются такие симптомы, как снижение работоспособности и ухудшение общего состояния, чувство давления на глаза. В некоторых случаях возникают приступы головокружения и нарушения сознания. Больной человек может обращать внимание на то, что у него ухудшилась зрительная функция или слух. Расстройства со стороны зрительной функции могут проявляться не только снижением остроты зрения, но и различными зрительными галлюцинациями, сужением полей зрения и так далее. В том случае, если внутричерепное давление продолжает нарастать, возникают приступы повторяющейся рвоты.

Довольно часто первым симптомом данного заболевания является эпилептический приступ. В дальнейшем такие приступы повторяются и становятся все более продолжительными. Как правило, характерно присоединение очаговых проявлений, которые напрямую зависят от локализации новообразования. Очаговые проявления могут быть представлены нарушением двигательной или чувствительной функции, угнетением координации движений, глазодвигательными расстройствами, изменением речи и так далее.

Осложнения кисты головного мозга

Данный патологический процесс может стать причиной стойких нарушений со стороны двигательной, слуховой или зрительной функции. Нередко он приводит к развитию гидроцефалии или к сдавлению головного мозга. Большой процент больных, столкнувшихся с этой патологией, в дальнейшем отмечают у себя повторяющиеся эпилептические признаки. В тяжелых случаях и при отсутствии необходимого лечения такое заболевание может приводить к летальному исходу.

Диагностика и лечение болезни

Во внутриутробном периоде данная болезнь диагностируется посредством ультразвуковой диагностики. В дальнейшем возможно применение компьютерной томографии или магнитно-резонансной томографии. Дополнительно необходимо назначить консультации отоларинголога и офтальмолога.

Основным методом лечения этого патологического процесса является хирургическое вмешательство. Однако в том случае, если новообразование имеет небольшие размеры и не увеличивается, применяется наблюдательная тактика. При этом необходимо регулярно проходить компьютерную томографию или магнитно-резонасную томография для контроля.

Методы профилактики

Принципы профилактики сводятся к ограничению вредных воздействий на организм во время беременности, избеганию черепно-мозговых травм и своевременному лечению возникающих воспалительных процессов в оболочках или веществе головного мозга.

Киста головного мозга

Киста головного мозга – это довольно опасный диагноз. Определить ее наличие можно при помощи магнитно-резонансной или компьютерной томографии. Кистой называют пузырь, наполненный жидкостью, он может находиться в любой зоне черепной коробки, вызывая у пациента определенные жалобы, однако встречается и бессимптомное течение болезни. Если врач поставил такой диагноз, то необходимо выполнять все его рекомендации, а в случае необходимости согласиться на оперативное вмешательство.

Основные причины появления кисты

Выделяют ряд причин появления этого образования:

  1. Врожденные аномалии (связаны с нарушением внутриутробного формирования мозга).
  2. Паразитарная этиология.
  3. Травмы головного мозга (ушибы, переломы, гематомы).
  4. Дистрофические и дегенеративные изменения в мозге, в случае которых происходит замещение мозговой ткани на кисту.
  5. Острое нарушение кровообращения в мозге.

Виды кист мозга

  1. Арахноидальная киста головного мозга. Находится в арахноидальной оболочке и наполнена спинномозговой жидкостью. Подобные кисты чаще всего встречаются у подростков и детей мужского пола. К их образованию, как правило, приводят травмы и воспаления.
  2. Коллоидальная киста. Это образование появляется как результат эмбриогенеза. Такая киста может не тревожить человека на протяжении всей жизни, однако иногда она блокирует ток ликвора. Поэтому возможно возникновение гидроцефалии, мозговых грыж, а иногда это даже приводит к внезапной смерти.
  3. Дермоидная (эпидермоидная) киста. Этот вид кисты появляется в самом начале внутриутробного развития плода, потому в ее полости можно обнаружить различные виды тканей – жир, волосы и т.д. Дермоидная киста может быстро начать расти в детские годы и приводит к сдавливанию структур, поэтому ее необходимо удалять путем хирургического вмешательства.
  4. Пинеальная киста. Ее образование происходит в эпифизе, она имеет небольшую полость. Такая киста может вызвать нарушения зрения, обменных процессов, координации. Кроме того, она нередко становится причиной развития энцефалита и гидроцефалии.

Симптомы

Киста головного мозга может быть маленькой или большой. Кисты небольшого размера в большинстве случаев никак себя не проявляют. Большие образования могут сдавливать оболочки мозга, в результате чего появляются следующие неврологические симптомы:

  • головные боли;
  • нарушения слуха или зрения;
  • нарушения сна;
  • нарушение координации движений;
  • гипер- или гипотонус одной мышцы либо группы мышц;
  • шум в голове;
  • судороги, потери сознания;
  • ощущение пульсации в голове;
  • тремор конечностей;
  • у детей встречаются срыгивания, рвота, набухание и пульсация родничка.

Выраженность клинической картины зависит от места локализации кисты. На появление тех или иных симптомов оказывает влияние тот факт, на какой участок мозга киста оказывает давление.

Определить наличие кисты головного мозга, выяснить ее размеры и расположение можно при помощи магнитно-резонансной либо компьютерной томографии. Чтобы отличить ее от опухоли, необходимо провести исследование, которое заключается во внутривенном введении контрастного вещества. Опухоль склонна к накоплению контраста, тогда как киста – нет.

Чтобы предотвратить появление новых кист и увеличение имеющихся, нужно в первую очередь определить причину их возникновения. Для этого врач назначает всевозможные обследования, которые дают возможность установить причины инфекций, нарушения кровообращения, аутоиммунных заболеваний. К таким обследованиям относят следующие:

  1. Доплеровское исследование сосудов. Данная процедура проводится для обнаружения сужения сосудов, поставляющих в мозг артериальную кровь. В силу недостатка кровоснабжения возникают очаги гибели мозгового вещества, что, в свою очередь, приводит к образованию кист.
  2. Исследования сердца. Проводят с целью выявления сердечной недостаточности и нарушения ритма.
  3. Анализ крови на свертываемость и уровень холестерина. Увеличение свертываемости, а также повышение содержания холестерина приводят к закупорке сосудов, вследствие чего тоже может появиться киста головного мозга.
  4. Мониторинг артериального давления. Данное исследование дает возможность записать артериальное давление в течение суток на карту памяти. Если время от времени у пациента наблюдаются подъемы давления, это может стать причиной инсультов и образования послеинсультных кист.
  5. Анализ крови на аутоиммунные заболевания и инфекции. Данное исследование выполняют в случае подозрения на рассеянный склероз, нейроинфекции, арахноидит.

Лечение кисты головного мозга

Лечение кисты выбирают в зависимости от причины ее образования. Нединамичная киста головного мозга не требует лечения. Если же обнаружено динамичное образование, лечение может быть следующим:

  1. Консервативное лечение. Оно предполагает использование медикаментозных препаратов, действие которых направление на устранение причины появления кисты. Могут применяться лекарства, восстанавливающие кровоснабжение, рассасывающие спайки. Также иногда используются антибактериальные, иммуномодулирующие, противовирусные препараты – необходимость в них возникает в случае инфекций и аутоиммунных болезней.
  2. Радикальное лечение. Оно подразумевает удаление кисты путем хирургического вмешательства. Для этого используется трепанация черепа, эндоскопия, шунтирование кисты. Однако в последнем случае возрастает угроза развития инфекции при длительном нахождении шунта в черепной коробке.

Последствия заболевания

Если своевременно не поставить верный диагноз и не подобрать лечение, киста головного мозга может привести к достаточно серьезным последствиям. К ним относятся следующие:

  1. Нарушение координации движений и двигательной функции.
  2. Нарушения зрения и слуха.
  3. Гидроцефалия, которая подразумевает избыточное скопление цереброспинальной жидкости в желудочках мозга.
  4. Энцефалит – относится к классу заболеваний, которые характеризуются воспалительными процессами в головном мозге.
  5. Внезапная смерть.

Киста мозга у новорожденных

Кисты сосудистых сплетений в некоторых случаях выявляются у плода в утробе матери. В этом случае не стоит преждевременно беспокоиться, ведь они могут исчезнуть самостоятельно. На более позднем этапе киста головного мозга у новорожденных может появиться вследствие поражения плода инфекцией или осложненным протеканием беременности и родов. Нередко к появлению кисты приводит вирус герпеса.

Развитие субэпендимальной кисты является более серьезной патологией. Она появляется в результате недостаточного кровообращения в районе желудочков головного мозга. Ткани отмирают, а на их месте появляется полость.

Еще одна патология – арахноидальная киста, которая имеет разные формы и размеры. Кроме того, у новорожденных киста головного мозга нередко образуется как следствие менингита или других воспалительных процессов, кроме того, это происходит вследствие травм или кровоизлияний. Чаще всего она не внедряется в желудочки головного мозга. Но необходимо принимать во внимание, что киста может получить дальнейшее развитие и через время начнет сдавливать близлежащие участки мозга.

Диагностика

Чтобы диагностировать кисту у детей до года, достаточно ультразвукового исследования. Это довольно благоприятное время для такой процедуры, поскольку родничок еще не закрылся. Чаще всего такое УЗИ назначают недоношенным детям. Кроме того, нейросонографию нужно проводить в случае неблагополучного течения беременности и родов, которые сопровождала гипоксия плода.

Лечение

В том случае, если была выявлена киста сосудистого сплетения, то беспокоиться не стоит, ведь подобные образования проходят сами собой. Их наличие не отражается на развитии мозга малыша. При этом очень важно выявить инфекцию, которая послужила причиной развития данного образования. Через несколько месяцев необходимо снова провести ультразвуковое исследование.

В случае обнаружения субэпендиамальной кисты пациент тоже не нуждается в специфической терапии. Ткани мозга со временем придут в нормальное состояние – необходимо лишь наблюдаться у врача. Течение таких образований считается благоприятным, однако не исключены достаточно серьезные последствия в том случае, если кистозная полость увеличивается и повышается давление жидкости.

Если у новорожденного была обнаружена крупная киста головного мозга, она может изменять расположение окружающих тканей, сдавливая их. Данная патология проявляется у ребенка в виде судорожных припадков, которые имеют прогрессирующий характер. Могут нарастать неврологические симптомы, наблюдается ухудшение общего состояния. Помимо этого, данный процесс иногда усугубляется геморрагическим инсультом.

Особо пристального внимания требуется арахноидальная киста – в данном случае требуются радикальные меры. Ребенок, имеющий такой порок развития мозга, нуждается в постоянном наблюдении у невролога. По показаниям назначается оперативное вмешательство. Киста у новорожденного ребенка может быть удалена одним из следующих методов – эндоскопическая, микронейрохирургическая либо шунтирующая операция.

Киста головного мозга – довольно опасный диагноз, который требует консультации у грамотного специалиста. Некоторые виды кист не нуждаются в особом лечении, другие же могут потребовать оперативного вмешательства. Поэтому так важно вовремя диагностировать данное заболевание и принять решение относительно методов терапии.

Опасная патология — киста головного мозга

Киста в головном мозге – это патологический процесс, который считается довольно опасным. В случае постановки диагноза пациент обязуется выполнять все предписания врача. Это позволит избежать отрицательных последствий недуга. Если наблюдается ухудшение состояния, то врач принимает решение по проведении оперативного лечения.

Код по МКБ10

Киста мозга – это патологическое образование, которое объединяет все доброкачественные опухоли, сосредоточенные в структурах головного мозга. В нейрохирургической Согласно МКБ 10 данный недуг относится к нейрохирургическим внутримозговым поражениям. Может быть такой код по МКБ10:G93, G93.0.

Причин

Что такое киста головного мозга, разобрались, теперь необходимо определить, что влияет на ее развитие. Чтобы врач смог назначить лечение, вначале нужно понять причины, которые повлияли на развитие патологического процесса. В пространстве, которое находится между височной и теменной долей, сосредоточена жидкость. В дальнейшем она заменяет отмершие участки. Если жидкость сосредоточена в большом объеме, то на эти оболочки сказывается большое давление. Это и приводит к развитию кисты, которая дает о себе знать сильной головной болью.

Чаще всего на развитие заболевания оказывают влияние такие причины:

  • унаследованные аномалии;
  • травмы головы;
  • инфекционные процессы;
  • постинсультные осложнения;
  • процессы, при которых формируется кистозная ткань;
  • нарушение внутримозговой циркуляции лимфы.

Если определить основные причины развития кисты не удалось, то она ее размеры будут увеличиваться.

Симптоматика

Если была диагностирована киста в головном мозгу, то клиническая картина может принимать как общий, так и нестандартный характер. При патологии симптоматика определяется с учетом причины, которая повлияла на ее развитие. Также клиническая картина определяется интенсивностью роста и развитием опухоли, а также влиянием, которое она оказывает на структуры мозга. Определяют следующие симптомы кисты головного мозга:

  • постукивание, распирающая боль в голове;
  • головные боли, постоянное головокружение;
  • снижение слуха;
  • звон в ушах при сохранении слуховой деятельности;
  • нарушение зрения, в результате чего двоится в глазах, образы размыты и присутствуют пятна;
  • галлюцинации;
  • паралич конечностей;
  • приступы эпилепсии;
  • непроизвольное дергание рук, ног;
  • временная утрата сознания;
  • плохой сон;
  • ощущение тошноты, рвота;

При кисте головного мозга симптомы не ярко выражены, а вот само новообразование можно диагностировать только при тщательном обследовании.

Виды кист

С учетом локализации опухоли различают определенные их виды. Для каждой из них характерны свои признаки и особенности развития.

Арахноидальные

Этот вид опухоли сосредоточен в оболочках мозга. Может быть локализована на любом месте. Состоит из никаких подвидов новообразования. Арахноидальная киста головного мозга у взрослых и у детей может быть унаследованной и вторичной. Первый тип развивается в результате аномалий, происходящих во внутриутробном развитии. А вот вторичные кисты – это результата перенесенных недугов. Повлиять на ее развитие могут такие причины:

  • реабилитационный период после операции на мозг;
  • воспаление внутримозговых оболочек;
  • болезнь Марфана.

Опухоль прозрачной перегородки

Этот вариант арахноидальной кисты также может иметь унаследованной или приобретённый характер. Врожденная киста не оказывает отрицательное влияние на работу мозга. А вот вторичная киста в голове у взрослого требует наблюдение специалиста, так как ее габариты могут увеличиваться.

Лакунарная

Лакунарная кисла головного мозга – это следующих подпит арахноидального нароста. Она может быть сосредоточена в пустотах, которые формируются между оболочками мозга.

Церебральная

Церебральная киста головного, которая имеет по международной классификации болезней код G93.0, представляет собой доброкачественное образование. Может быть сосредоточено в любой доле головного мозга, но чаще всего формируется именно в лобной части головы, а также в затылочной. Возникает киста после инсульта, энцефалита и трепанации черепа.

Ретроцеребеллярная

Этот тип новообразования может находиться в любой части головы, где происходит отмирание тканей. Отмершее мозговое вещество заменяется ликворной жидкостью. Ретроцеребеллярная киста отличается от арахноидальной тем, что ее рост происходит довольно активнее. Таким образом, она несет в себе особую опасность для здоровья, а иногда и для жизни.

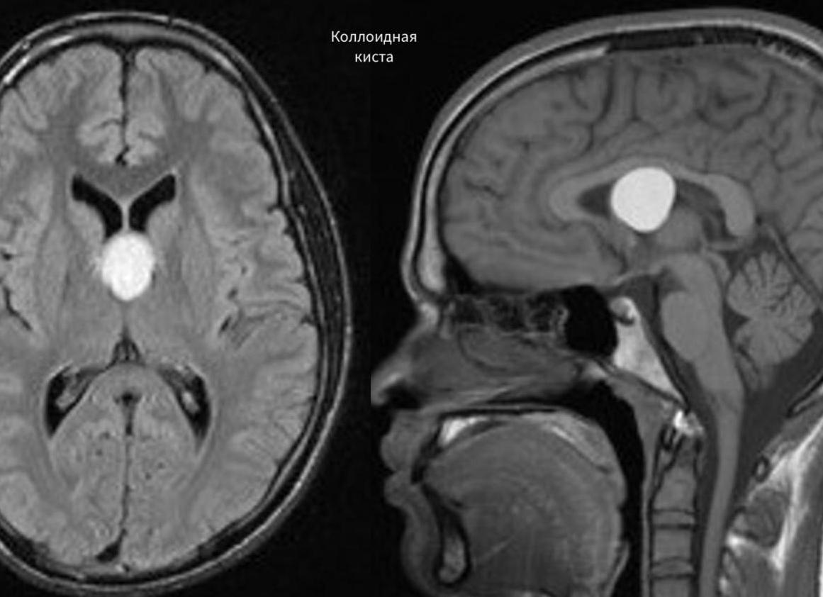
Коллоидальная

Участков сосредоточения этого нароста остается третий желудочек головного мозга. Коллоидальная киста головного мозга представлена в виде полости, которая заполнена густой жидкостью желеобразной консистенции. Такой тип кисты носит унаследованный характер.

Пинеальная

Эта киста формируется на шишковидной железе. Та, в свою очередь, выполняет ряж важных функций, среди которых:

  • выработка мелатонина;
  • определение биоритмов человека;
  • нивелирование гормонов роста в подростковом возрасте;
  • регулирование полового созревания.

Опухоль лобной пазухи

Киста основной пазухи головного мозга – патологическое образование, которое сосредоточено во фронтальном синусе. Для опухоли характерно наличие стенки, а заполнена она секреторным содержимым.

Эпидермоидная или дермоидная

Эпидермоидная киста носит врожденный характер. Он формируется во время формирования плода из клеток кожи, которые случайным образом проникли в черепную полость и остались там. Дерматоидная киста головного мозга сосредоточена прямо в середине черепной коробки. Размеры ее могут быть самыми различными. При такой кисте головного мозга ее удаление происходит быстро. Дело в том, что ее тело прекрасно отделено от мозгового вещества.

Опухоль сосудистого сплетения

Этому типу нароста часто подвергаются новорожденные дети. Формируется она ещё у малыша, находящегося во внутри утроба. Сплетения сосудов производят мозговую жидкость. Они насыщает спинной и головной мозг полезными веществами. Если на 8-9 месяцах беременности отсутствуют отклонения, то такие новообразования уходят самостоятельно.

Если у ребенка после того, как он появился на свет, была диагностирована сосудистая киста, то это может быть результатом перенесенного матерью во время беременности инфекционного процесса. Эти кисты могут самостоятельно рассосаться через 1-2 года. Но несмотря на это, ребенок должен все время находиться под контролем врачей. У взрослого человека такая патология также имеет место быть, но она не доставляет им никаких неудобств.

Порэнцефалическая

Опухоли этого типа сосредотачиваются на любом участке мозгового вещества на том месте, где имеются неживые ткани. Порэнцефалическая киста, сосредоточенная в мозжечке, является самой опасной и приводит к развитию таких последствий, как гидроцефалия. Лечить ее необходимо незамедлительно. Киста мозжечка головного мозга также является видами ретроцеребеллярных новообразований.

Диагностика

Что делать, если у вас имеются подозрения на наличие опухоли головного мозга? Нужно немедленно отправиться к доктору. Лечение кисты головного мозга врач может составить только после того, как проведет полную диагностику. Для этих целей пациента отправляют на МРТ (магнитно-резонансная томография). Если больной сможет сделать МРТ, то удается определить четкие границы опухоли, понять ее размеры, а также степень влияния на близлежащие ткани.

Наличие подобных наростов не всегда стоит связывать с онкологией. Как правило, опухоли на начальной стадии развития благополучно поддаются терапии. МРТ головного мозга необходимо проводить регулярно, чтобы следить за динамикой заболевания.

Лечение медикаментами

Лечить кисту головного мозга реально при помощи таких лекарств:

  1. Лекарства для рассасывания спайки: Карипаин, Лонгидаз.
  2. Препараты для нормализации кровообращения и снижения уровня холестерина.
  3. Лекарства для нормализации АД и свертываемости крови.
  4. Препараты для повышения иммунитета.
  5. Антиоксиданты.

Оперативный путь

Как лечить кисту, чтобы избавиться от нее навсегда? Чаще всего для этого задействуют оперативное лечение.

Радикальные операции

Суть этого метода лечения головного мозга в том, что вскрывают черепную коробку и полностью удаляют нарост с его оболочкой. Таким образом, удается комплексно устранить все патологические изменения без возможности повтора. Этот метод терапии очень эффективный, но при этом самый травматичный.

Шунтирование

В кости черепа выполняется маленький прокол. Затем взять дренажную трубку, ввести в тело опухоли. Таким образом, удается откачать ее содержимое. Способ характеризуется своей низкой травматичностью. Но есть у шунтирования обратная сторона медали: повышенную вероятность занесения инфекции.

Эндоскопия

Этот метод один из самых малотравматичных. Через прокол в череп вводят эндоскоп, оснащенный видеокамерой. Производят удаление кисты головного мозга, а ее стенки со временем подвергаютсясаморазрушению Минус методики в том, что у него есть противопоказание: нельзя задействовать для всех типов кист головного мозга.

Как быть с армией

Берут ли в армию с кистой? Этот вопрос сегодня очень популярен. Если поставлен диагноз, влияющий на качество жизни и имеющий такие признаки кисты, как головокружение, боль в голове, нарушение зрения, то пациенту дают категорию В и от армии он освобождается. Когда нарост не влияет на качество жизни, то существует возможность прохождения службы.

Последствия

Если больному вовремя не установить диагноз и не назначить терапию, то это приведет к росту кисты головного мозга, последствия которого могут угрожать не только здоровью, но и жизни.

Итак, чем опасна киста головного мозга:

  • нарушение двигательной активности;
  • нарушение слуховой деятельности и зрения;
  • обильное сосредоточение в желудочках головного мозга патогенной жидкости;
  • энцефалит;
  • смерть.

Кистообразное поражение головного мозга – это довольно распространенный патологический процесс, требующий незамедлительную терапию. Главное, это вовремя понять тип кисты, область ее сосредоточения, а также грамотно обозначить симптомы и лечение. Задача пациента состоит в четком выполнении всех предписаний врача.

Киста головного мозга: что это такое, симптомы и лечение

Киста головного мозга является частым и весьма серьезным заболеванием. Оно требует своевременного выявления, а также правильного лечения. Подобные новообразования в голове имеют вид пузыря, наполненного жидкостью. При этом патология может быть как врожденная, так и приобретенная и может появиться в любой части органа. Зачастую такое образование поражает паутинную оболочку мозга, за счет её наибольшей уязвимости к травмам, а также воспалениям. Однако она не может перерождаться в раковую опухоль.

В зависимости от того, в какой части будет находиться патология, она может либо протекать бессимптомно, либо являться причиной сильных болей в голове (к примеру, при наличии опухоли височной доли, которая стала причиной кистозно атрофических изменений). При выявлении такой аномалии пациент должен соблюдать все рекомендации своего лечащего врача, проходить нужные обследования головного мозга, а если будет необходимо, то и дать согласие на хирургическое удаление подобного новообразования.

Киста головного мозга очень часто появляется из-за кровоизлияния мозга. Оно может произойти в результате травмы или определенных процессов в организме. Дело в том, что в результате кровоизлияния мозга нарушается нормальная работа органа, а также процесс обмена веществ. Это в свою очередь провоцирует скопление жидкости, для вывода отмерших тканей, но из-за невозможности её вывода, она начинает скапливаться в определённых зонах мозга и давить на определенные его участки.

Клиническая картина

Сразу стоит отметить, что любой признак, который имеет такое кистозное образование, зависит непосредственно от его размера. При этом у кисты головного мозга есть симптомы и лечение только их, не позволит избавиться от самой причины.

Чем больше будет киста, тем более сильные негативные воздействия она будет оказывать на оболочки органа, за счет чего у человека проявляются следующие симптомы:

  • Нарушения четкости зрения, а также потеря слуха;
  • Появление сильных головных болей, не проходящих после приема лекарств;
  • Появление бессонницы;
  • Проблемы с координацией;
  • Шум в ушах;
  • Чувство пульсации внутри головы;
  • Развитие психических расстройств;
  • Ухудшение чувствительности кожи к раздражителям.

Кроме того, насколько объемным будет образование, настолько сильными будет проявление симптомов. На них также влияет еще и то место, где патология локализуется. Дело в том, что каждый участок мозга человека отвечает за определенные функции организма. Поэтому, к примеру, при наличии кисты гиппокампа, будет больше всего нарушаться координация и ориентация в пространстве (похожие симптомы имеет интраселярная патология).

А если это киста в височной области, то её проявлениями будет наличие психических расстройств, а также судорог. При этом пока новообразования будут иметь небольшой размер, они не будут оказывать значительного воздействия на зоны коры головного мозга. За счет этого заболевание протекает бессимптомно в первое время.

Самой серьезной патологией у детей такого типа является мультикистоз головного мозга. Его важно обнаружить на ранней стадии. Для этого используется МРТ головного мозга с контрастом, компьютерная томография мозга, а также позитронно эмиссионная томография. Это позволит своевременно выявить наличие у новорожденного такого заболевания и осуществить вовремя его лечение. При этом проведение магнитно резонансной томографии головного мозга у новорожденных является очень трудным исследованием, так как заставить ребенка определенное время не двигаться практически невозможно.

Также если у пациента выявлена киста головного мозга, но отсутствуют симптомы и размеры новообразования не изменяются, то оно никак не влияет на работу органа и качество жизни человека. В таких случаях назначаются регулярная диагностика, для которой используется позитронно эмиссионная компьютерная томография, а также МРТ головного мозга с контрастированием (в некоторых случаях, для более точной картинки, назначается мультиспиральная компьютерная томография). Это позволит заметить начало роста патологии и иметь возможность оперативного её лечения.

Причины заболевания

Для начала нужно понять, что такое киста, чем опасна и по каким причинам вообще такие новообразования появляются. Сама аномалия является полостью в голове, которая заполнена жидкостью. При этом патология может развиваться не только у взрослых, но и у детей. Киста мозга возникает за счет различных воспалительных процессов в оболочке (менингиты), вещества (энцефалиты), а также за счет кровоизлияния мозга, полученных травм или перенесенных заболеваний.

Развивается киста головного мозга постепенно и может расти в течение многих лет. При этом такие новообразования не относятся не разряду онкологических. Главной проблемой таких патологий является их бессимптомный период развития, а также при достижении определенных размеров, сдавливание участков мозга, что приводит к нарушению их работы.

Всего же причинами развития могут быть следующие факторы:

  • Наличие врожденных нарушений в голове, связанных с аномальным развитием еще во внутриутробный период;
  • Воспаление мозга или его ушиб;
  • Наличие инфекции паразитического типа (эхинококкоз головного мозга, образующий вокруг себя кистозное образование);
  • Развитие аневризмы мозга, а также любые нарушения кровообращения. Самыми сильными факторами этого плана считаются наличие кровоизлияния мозга.

Важно! Если не была выявлена основная причина образование ликвора, из-за чего развивается киста в головном мозге, она будет дальше увеличиваться в размерах.

Виды кистозных опухолей

Стоит понимать, что если под корой головного мозга образована киста, то она может иметь большое количество разновидностей. Поэтому для того, чтобы понять, как лечить кисту головного мозга, необходимо установить конкретный вид образования, который развился у пациента.

Первичные типы патологий появляются в основном за счет проблем развития плода внутри утробы. Если же говорить про приобретенное образование, то такая киста головного мозга появляется за счет появления определенных условий, таких, как эхинококкоз головного мозга или же наличие кровоизлияния мозга. При этом такие аномалии не могут переродиться в злокачественные.

Важно! Для выявления патологий у новорожденных используется НСГ (Нейросонография) головного мозга, которое позволяет с помощью ультразвука провести безвредную диагностику.

  1. Арахноидальная киста. Подобная аномалия головного мозга строение имеет в виде полости, наполненной жидкостью, находится на поверхности, но между слоями оболочек. Бывает как врожденной, так и приобретенной, которой предшествовала травма или различные воспалительные процессы. В качестве диагностики патологии используется КТ головного мозга, позитронно эмиссионная томография, а также МРТ головного мозга с контрастом. Если образование начнет увеличиться, это приведет к сдавливанию различных частей органа. Такой процесс будет сопровождаться тошнотой, рвотой, судорогами и в тяжелых случаях галлюцинациями. Если не осуществлять должного лечения при такой кисте головного мозга последствия могут быть очень серьезными, вплоть до летального исхода из-за разрыва образования.
  2. Ретроцеребеллярная киста. Это также полсть, внутри которой находится жидкость, однако локализуется такое образование в толщи органа, за счет чего оно тяжело поддается лечению. Так, это может быть развитие кисты лобной доли, а также аномалия в правой или левой височной доле. Диагностика заболевания проводится при использовании таких средства, как КТ головного мозга, МРТ головного мозга с контрастированием, а также позитронно эмиссионная томография. Причиной появления такой патологии могут быть: инсульт, чмт (черепно-мозговая травма), операция, наличие воспалительного процесса или проблем с кровообращением.
  3. Субарахноидальная киста. Выявляется такая патология, когда назначают МРТ головного мозга с контрастом и зачастую является врожденным образованием. Такая патология может выражаться судорогами, пульсацией внутри головы, а также чувством неустойчивости. Зачастую причиной является прошедшие кровоизлияния мозга.
  4. Шишковидная киста. Ею является полость, внутри которой находится жидкость. Патология локализуется в шишковидной железе, чем сильно влияет на работу эндокринной системы. Главной причиной образования является закупорка протока, через который выводится мелатонин. У детей может стать причиной развития гидроцефалии симптомы которой проявляются уже в первые месяцы их жизни. Кистовидная перестройка шишковидной железы со временем может стать причиной различных психических и эмоциональных расстройств.
  5. Киста коллоидная. Представляет собой доброкачественную опухоль, содержащую внутри себя коллоидную (желатинообразную) жидкость. Такая патология очень медленно растет, однако последствиями отсутствия лечения становятся атрофические изменения головного мозга.

Лечение и диагностика

Стоит отметить, что лечение кисты головного мозга начинается с проведения полного обследования. Для этого, используется ПЭТ (позитронно эмиссионная томография), МСКТ (мультиспиральная компьютерная томография) и КТ головного мозга. В качестве дополнительного средства диагностики назначают МРТ. Это позволяет выявить не только размеры, природу, но и локализацию образования.

ПЭТ 1 ПЭТ 2 мультиспиральная компьютерная томография КТ + МРТ

Важно! Поражено данной патологией может быть любое из полушарий.

Для того чтобы бороться с кистой необходимо сначала найти причину, из-за которой она появилась. Чтобы это выяснить, необходимо провести определенные исследования образований, что позволит понять, что же спровоцировало развитие патологии. Для этого используются такие методы диагностики, как:

  • Доплеровское исследование, во время которого выясняется, не сужены ли сосуды;
  • Обследование сердца, для выявления сердечной недостаточности;
  • Анализ крови, чтобы проверить уровень холестерина, а также её свертываемость;
  • Мониторинг артериального давления.

Гидроцефалия

Исходя из того, какие были выявлены причины, происходит назначение самого лечения. Опасность представляют собой состояния, когда присутствует:

  • Гидроцефалия;
  • Стремительный рост патологии;
  • Циклические судорожные припадки.

Традиционные варианты лечения заключаются в использовании определенных медикаментозных препаратов, которые направляются на устранение причин возникающих болей. Так, это могут быть средства, рассасывающие спайки, к которым относится карипаин, а также лонгидаза. А для восстановления нормального кровообращения используют препараты, снижающие уровень холестерина и нормализующие артериальное давление.

Стоит знать! Если возникает вопрос, можно ли заниматься спортом при подобной патологии – ответ да, но только в том случае, если образование спровоцировал не эхинококкоз головного мозга, оно не показывает динамики роста, а также отсутствуют серьезные нарушения, такие, как атрофия.

Хирургическое лечение

Применение радикальных способов лечения обусловлено большим размером образования, которое вызывает расстройства функционирования органа и боль такой силы, что терпеть её не в мочь.

В качестве лечения используется:

  • Шунтирование. Данный метод заключается в удалении образования через дренажную трубку. За счет вывода через неё содержимого полости, со временем стенки кисты начнут спадать, после чего и вовсе зарастать. Здесь важно понимать, что такая процедура может занести инфекцию. К тому же при таком лечение высок шанс рецидива;
  • Эндоскопия. Данная операция позволяет удалить аномалию за счет проколов. Процедура наносит минимальный травматизм, однако не применяется, если у человека слабое зрение. К тому же её можно использовать не для всех видов образований;
  • Трепанация черепа. Является наиболее эффективным способом лечения, во время которого необходимо снять часть черепной кости, после чего непосредственно удалить образование. Однако при таком лечении большой шанс нанести травму органу.

Шунтирование Эндоскопия Трепанация

При своевременном лечении патологии, можно предотвратить её развитие и появление нарушений работы органа различного характера. Поэтому важно вовремя обратиться в специализированную клинику, имеющую современное оборудование и квалифицированных специалистов.


Смотрите также