Цдк это что

Цдк это что[Цдк это что]

Что из себя представляет процедура УЗИ с ЦДК?

УЗИ

29.09.2016

8.2 тыс.

5.5 тыс.

4 мин.

УЗИ с ЦДК — что это такое? Этот вопрос интересует многих, когда в назначении врача встречается такая запись, как УЗИ ЦДК. Это означает, что специалист назначил повести ультразвуковую диагностику с исследованием движения крови по сосудам при помощи метода Доплера.

Чаще всего эту процедуру проводят во время вынашивания ребенка, для того чтобы оценить работу плаценты, которая обеспечивает жизнедеятельность малышу.

В некоторых случаях женщинам такую диагностику проводят для того, чтобы выяснить, в каком органе малого таза произошло нарушение, и кровь в него не поступает.

Такая процедура совершенно ничем не отличается от простого ультразвукового исследования. Так что опасаться ее не стоит.

Используют такой метод диагностики для того, чтобы с точностью описать движение кровотока, его давление и скорость, а также оценить степень проходимости сосудов. Проводится процедура при помощи ультразвука, который посылают в сосуды, а в ответ получают обратный сигнал, на который и реагирует датчик.

Измерительный прибор фиксирует частоту колебаний, а также разницу между первоначальной и последующей величиной. Во время диагностики можно не только измерить скорость кровотока, но и определить его направление, посмотреть строение исследуемой области и проходимость сосудов. Для каждого сосуда выбирается определенная частота колебаний.

Это самый безопасный и совершенно безболезненный метод исследования. Процедуру можно проводить несколько раз, в зависимости от надобности.

На сегодняшний день такой метод позволяет объективно оценить ситуацию: посмотреть состояние сосудистых соединений в организме, установить причину того или иного недуга. Так, например, из-за недостаточного кровообращения может страдать плод во время беременности. А такое исследование поможет выявить это и назначить меры по устранению проблемы.

Приблизительно на сроке 30-34 недели все беременные проходят УЗИ планово. Именно в этот период очень важно понять, как справляется плацента со своими функциями. Если есть какие-то нарушения в кровотоке, то возможно, что малыш будет отставать в развитии или же начнутся преждевременные роды.

УЗИ с ЦДК — это совершенно стандартная процедура, которую не стоит опасаться.

  • 1. Назначение диагностики
  • 2. Немного о методе
  • 3. Подводя итоги

Несмотря на то что во время беременности прохождение такого исследования обязательно для всех на последнем сроке, иногда специалист делает назначение раньше или проводит его несколько раз.

Такое исследование может назначаться в том случае, если у человека наблюдаются те или иные проблемы с сосудами либо имеются заболевания, связанные с сосудистой системой организма. Наличие таких проблем выясняется из ряда симптомов и жалоб. Часто женщинам назначается такая диагностика щитовидки или молочной железы.

Специалисту приходится выяснять, какой именно сосуд дал сбой. А УЗИ дает понять, как будут дальше развиваться события, как будет протекать заболевание и будет ли ухудшаться общее состояние пациента.

Итак, исследования по методу Доплера назначают в следующих случаях:

  1. 1. Если во время беременности наблюдается сахарный диабет, повышенное давление, ВСД.
  2. 2. Задержка развития плода в утробе матери.
  3. 3. Резус-конфликт матери и ребенка.
  4. 4. Многоплодная беременность.
  5. 5. Поперечное положение малыша в утробе.
  6. 6. Обвитие.
  7. 7. Проблема с амниотической жидкостью.
  8. 8. Гестоз.
  9. 9. Развитие внутриутробных патологий.

Такую диагностику проводят, начиная с 23 недели беременности. Ранее она не представляет никакого информативного характера. Исследование поможет четко прояснить картину гипоксии. Если гипоксия имеет место, то в таком случае назначается исследование причины возникновения такого отклонения. Исследования дают понять, в каком месте произошла непроходимость и по какой причине.

После этого специалистом разрабатывается специальная схема ведения беременности.

Часто встречается УЗИ с ЦДК, которое назначают пациентам с вегето-сосудистой дистонией. Его назначают в случаях, если пациент имеет такие жалобы, как:

  • изменения вен на ногах;
  • отек ног;
  • изменение цвета кожного покрова;
  • болезненность при ходьбе;
  • покалывания;
  • постоянно холодные конечности;
  • долгое заживание ран.

Часто при помощи такой диагностики исследуют брюшную полость, грудной отдел, шею, голову. Исследование может проводиться планово и экстренно. Все зависит только от жалоб и состояние пациента.

ЦДК можно считать разновидностью классического УЗИ. Основано оно на методе исследования Доплера. Это совокупность обычного УЗИ в черно-белом цвете с применением цветного подсвечивания той или иной области. Цвет позволяет провести оценку кровотока и состояния сосудистой системы.

Черно-белое изображение имеет цветные вкрапления, которые как раз и указывают на скорость и направление кровотока во всех сосудах.

То есть на мониторе можно увидеть следующее:

  • направление и скорость крови;
  • проходимость и сопротивление;
  • размеры сосудов.

Это позволит специалисту оценить состояние человека исходя из полученных во время УЗИ данных.

Во время исследования можно обнаружить:

  • утолщение стенок сосудов;
  • наличие тромбов;
  • патологическое строение сосуда;
  • сосудистую аневризму.

После того как пациент пройдет такое исследование, специалист может дать оценку всем процессам, протекающим в организме.

При помощи данного метода диагностики можно без труда отличить доброкачественную опухоль от злокачественной и найти методы решения этой проблемы, а также оценить прогноз разрастания новообразования.

Благодаря такому исследованию можно обнаружить наличие каменной болезни внутренних органов. Так, ЦДК может показать даже скрытые камни, например, в желчном пузыре.

Процедура поможет поставить более точный диагноз и назначить методы лечения. Чем раньше будет проведена диагностика и начато лечение, тем больше шансов на то, что болезнь не будет прогрессировать, а ее лечение будет эффективным.

Такое УЗИ не несет никакой угрозы для здоровья человека. Оно совершенно безопасно и не может повлиять на ухудшение самочувствия. Беременным исследование назначается только во втором триместре беременности, так как именно в это время оно более информативно. УЗИ не может навредить ребенку, поэтому его можно проводить несколько раз по мере необходимости.

Как узнать о самочувствии наших сосудов с помощью допплерографии

У небеременных пациентов метод используется для уточнения характера и степени нарушения кровообращения в любых не очень мелких сосудах.

По ощущениям для пациента и характеру подготовки УЗ допплерография не отличается от обычного ультразвукового исследования.

Что представляет метод допплерография

Для получения информации о скорости и характере кровотока, давлении, направлении движения крови в сосуде и степени его проходимости используется такой же ультразвук, как при проведении «обычного» УЗИ.

Только испускает его и принимает обратно особый датчик, работающий на основе допплеровского эффекта.

Данное физическое явление заключается в том, что частота отраженного от движущихся объектов (клеток крови) ультразвука сильно изменяется по сравнению с частотой испускаемого датчиком ультразвука.

Прибор регистрирует не саму частоту колебаний, а разницу между начальной и отраженной частотой.

Причем обработка сигналов не только позволяет вычислить эту скорость, но и увидеть направление кровотока (от датчика или к нему), оценить анатомию и проходимость сосуда.

Для сосудов разной локализации используются датчики с разной частотой излучаемого звука.

Ультразвуковая допплерография (УЗДГ) – синонимы названия данного исследования (то есть «Мне сделали допплер» или «Я прошел УЗДГ» — равнозначные утверждения).

Метод безопасен и безболезнен для человека, может проводиться сколь угодно часто, но только по показаниям, устанавливаемым специалистом.

Любопытный факт: в природе данный эффект для определения скорости движущегося объекта используют летучие мыши и дельфины.

Показания к исследованию следующие

Для чего нужна допплерография?

 Для оценки кровотока в огромном количестве различных сосудов человека. Врач назначает данное исследование, если на основании жалоб и характера развития болезни предполагает, что у пациента имеет место сосудистая патология.

В этом случае лечащему врачу необходимо сориентироваться, какой именно сосуд пострадал, насколько он поражен (это определяет терапию), как это будет влиять на здоровье, какие могут возникнуть осложнения.

Так, например, допплер плода проводится в таких случаях:

  • мать страдает сахарным диабетом, гипертонией, анемией или системными заболеваниями
  • размеры ребенка не соответствуют его гестационному возрасту
  • мать имеет отрицательный резус, ребенок – положительный
  • развивается несколько плодов
  • косое или поперечное положение ребенка в матке
  • обвитие шеи младенца пуповиной
  • мало- или многоводие
  • гестоз
  • хромосомные болезни плода.

Такая УЗДГ при беременности (то есть ультразвуковая допплерография) позволяет с 23 недели узнать, страдает ли малыш от недостатка кислорода.

Исследование коленных суставов как способ диагностики

Если этот факт подтверждается, выясняют, где находится патология (в сосудах матки или плаценты), насколько выражена гипоксия плода.

Исходя из этого, выбирается тактика ведения беременности – от более частых прогулок на свежем воздухе до госпитализации и досрочного родоразрешения.

УЗДГ сосудов нижних конечностей назначается, если имеются такие жалобы:

  • видны измененные вены на ногах
  • ноги (ступни и голени) отекают к вечеру
  • изменился цвет одной или двух ног
  • больно ходить, после стояния становится легче
  • ощущения «мурашек»
  • ноги быстро замерзают
  • плохо заживают раны на ногах.

Допплерография – это метод исследования не только вышеуказанных сосудов, но и сосудов грудного и брюшного отделов аорты и их ветвей, головы, шеи, артерий и вен верхней конечности.

Исследование может выполняться как планово у «скомпрометированной» категории пациентов (диабетиков, гипертоников, курильщиков), так и при возникновении жалоб.

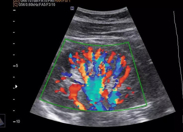
Что такое ЦДК

Цветовое допплеровское картирование (ЦДК) – это один из подвидов УЗИ, основанного на эффекте Допплера. Оно также «работает» с оценкой кровотока в сосудах.

В основе данного исследования – совмещение обычного черно-белого УЗИ и допплеровской оценки кровотока.

В режиме ЦДК врач видит на мониторе черно-белое изображение, в определенной (исследуемой) части которого отображаются в цвете данные скорости движения структур.

Так, оттенки красного цвета будут кодировать скорость течения крови, направленного к датчику (чем светлее, тем меньше скорость), оттенки голубого цвета – скорость кровотока, направленного от датчика. Рядом выводится шкала, на которой обозначено, какой именно скорости соответствует тот или иной оттенок. То есть, синим цветом обозначены не вены, а красным – не артерии.

Цветовое допплеровское картирование визуализирует и анализирует:

  • направление,
  • характер,
  • скорость кровотока;
  • проходимость,
  • сопротивление,
  • диаметр сосуда.

Диагностирует:

  • степень утолщения сосудистой стенки
  • пристеночные тромбы или атеросклеротические бляшки (может их отличить)
  • патологическую извитость сосуда
  • аневризму сосуда.

Это исследование помогает не только обнаружить конкретно сосудистую патологию. На основании полученных в результате данных можно отличить доброкачественный процесс от злокачественного, выяснить склонность опухоли к росту, отличить некоторые образования.

Исследование позволяет отличить также некоторые объемные образования. Так, с помощью картирования можно отличить камень, припаянный к стенке желчного пузыря, от его полипа (в последнем будет определен кровоток, тогда как в камне его нет).

Допплеровское картирование, проведенное по отношению к сосудам брюшной полости, помогает в диагностике тех болей в брюшной полости, которые возникают из-за недостаточного кровоснабжение кишечника (другим методом эту патологию не определить).

УЗИ допплерометрия отличается от ЦДК тем, что здесь нет цветового обозначения скоростей кровотока. Это исследование – та же допплерография, только оценивается кровоток на мониторе, запись не фиксируется графически.

Подготовка к допплеровскому исследованию

Зависит от того, какие сосуды требуется оценить. Так, для исследования сосудов и верхних, и нижних конечностей, головы или органов мошонки готовиться к процедуре не нужно.

Допплерография во время беременности проводится также без предварительной подготовки.

 Желательно только проходить исследование через пару часов после еды, так как недавнее поступление питательных веществ к малышу несколько изменяет картину реального кровотока.Кому и как делают уз-исследование молочных желез

Только допплерография брюшной аорты проводится после предварительной подготовки. Для получения правильных результатов ее исследования нужно в течение двух дней до процедуры исключить из питания такие продукты:

  • черный хлеб
  • капусту
  • газированные напитки
  • горох
  • фасоль
  • кисломолочные продукты
  • алкоголь.

За три часа до исследования нужно выпить 3-4 капсулы «Эспумизана», пакетик «Смекты» или несколько таблеток активированного угля. УЗДГ аорты и ее ветвей проводится натощак.

Как проводится исследование

  • Дуплексное сканирование сосудов головы и шеи проводится в лежачем или сидячем положении.
  • Голова пациента поворачивается так, чтобы хорошо открыть область исследуемых сосудов.
  • На шею наносят гель, по которому двигается датчик.
  • Допплер других участков тоже делается через кожу, на которую наносят специальный гель. В полости (интравагинально, трансректально) допплерографический датчик не вводится.

Какие показатели важны для оценки кровотока

Расшифровка допплерографии проводится по ряду показателей, которые оцениваются в артериальных и венозных сосудах, а затем сравниваются с нормативными именно для этого сосуда.

Кроме этого, врач знает, как должен проходить данный сосуд в норме, где у него есть изгибы, где он впадает в более крупный сосуд. Расположение и извитость артерий у конкретного человека сравнивается с нормальными показателями.

Оцениваются такие параметры артериального кровотока:

  1. Скорость кровотока. Для каждого сосуда есть свои нормы скорости.
  2. Отношение систоло-диастолическое. Это соотношение максимальной и минимальной скорости кровотока. Первая бывает в сосуде во время систолы – вторая – в диастолу.
  3. Пульсационный индекс (PI) – отношение разности максимальной и минимальной скоростей к средней скорости в сосуде.
  4. Индекс сопротивления (RI) получается, если разницу между систолической и диастолической скоростями разделить на систолическую скорость.
  5. Толщина сосудистой стенки (этот параметр обозначается как толщина комплекса интима-медиа). Почти во всех сосудах норма этого показателя – 0,9-1,1 мм.
  6. Диаметр сосуда. Сравнивается с нормативными показателями.

Цена допплерографии зависит от того, какие сосуды нужно осмотреть. Так, цена УЗДГ органов мошонки составляет 1200-2000 рублей, допплер сосудов нижних или верхних конечностей – 1200-2100 рублей. Сканирование сосудов головы стоит – 1600-4000 рублей. УЗДГ глазных сосудов – 350-2040 рублей. Допплерография плода – 1000-2500 рублей.

Таким образом, допплерография – это информативный метод диагностики патологии огромного количества сосудов человека. Проводится данное исследование как обычное УЗИ, является безопасным и безболезненным. Именно этой диагностике зачастую нет альтернативы.

Поделитесь информацией с друзьями:

ВНИМАНИЕ! Информация на сайте является справочной или популярной, носит лишь ознакомительный характер. Правильное лечение и назначение лекарственных средств может проводиться только квалифицированным специалистом с учетом проведенной диагностики и истории болезни.

Удачной диагностики и лечения, здоровья и прекрасного самочувствия! Ваш uzilab.ru.

27.02.2015

УзиЛаб

УЗИ молочных желез с ЦДК: что это такое и как работает, стоимость, отзывы

Доброкачественные и злокачественные новообразования занимают ведущее место среди всех патологий молочных желез. Наиболее эффективным и достоверным методом диагностики для женщин репродуктивного возраста считается УЗИ молочных желез с ЦДК.

Сонографическое исследование в режиме допплеровского картирования позволяет выявить мелкие (более 1 см) опухоли и провести дифференциальную диагностику между доброкачественным процессом и раком.

УЗИ молочной железы с ЦДК – что это?

Любая эхография (УЗИ) основана на способностях тканей и органов человека отражать высокочастотные ультразвуковые волны, исходящие от специального датчика аппарата. Трансдьюсер преобразовывает сигнал в серошкальное изображение и выводит на обычный экран, что позволяет врачу-диагносту оценить состояние внутренних органов.

Что это – УЗИ молочных желез с ЦДК? Режим ЦДК (цветовое допплеровское картирование) направлен на изучение состояния кровеносных сосудов, оценку скорости кровотока в них. Во время включения этой функции серое изображение органа или образования, богатого сосудами, окрашивается в разные цвета (синий, красный, зеленый и т.д.). Метод работает на способности форменных элементов крови отражать ультразвук (эффект Допплера).

Показания к назначению

Показания к назначению УЗД в режиме допплеровского картирования:

  • наличие пальпируемых уплотнений и болезненности в груди;
  • появление патологических выделений из сосков;
  • подозрение на появление новообразований, рецидив рака;
  • увеличение регионарных для молочных желез лимфатических узлов (под- и надключичные, подмышечные);
  • изменение соска (втягивание, появление «лимонной корочки») и внешнего вида одной или обеих желез;
  • в качестве скринингового обследования при наследственной предрасположенности к раку молочных желез у женщин до 45 лет;
  • выявление генитального, экстрагенитального эндометриоза, миомы матки, дисплазии шейки;
  • контроль эффективности гормональной терапии;
  • до и после пластической операции (коррекция, имплантация).

Мужчин могут направить на ультрасонографию грудных (молочных) желез при подозрении на гинекомастию, при выявлении опухоли в ткани яичек, во время длительного гормонального лечения (подробнее про УЗИ молочной железы у мужчин).

Подготовка к УЗИ молочных желез с ЦДК

Особой подготовки к исследованию нет. При себе необходимо иметь одноразовую пеленку, салфетки для того чтобы убрать гель. Нет необходимости каким-нибудь образом обрабатывать грудь (спиртом или другим антисептиком).

Также с собой следует взять направление, амбулаторную карточку или историю болезни, предыдущие заключения УЗИ молочных желез, если таковы имеются. Обследование абсолютно безболезненно и безвредно.

На какой день цикла делают УЗИ молочных желез

Такие требования связаны с тем, молочные железы, как и матка, претерпевают ряд изменений под влиянием гормонов гипоталамо-гипофизарной системы. В первую половину в них лучше визуализируются протоки, дольки и сосуды. После овуляции же грудь набухает, млечные пути расширяются, усиливается кровоснабжение. Такие изменения могут значительно затруднить диагностику.

Если женщина пришла на исследование во второй половине цикла, врач, вероятно, проведет исследование. Однако при подозрении на кисты, опухоли или галактоцеле (расширение внутридольковых протоков) он может назначить повторную процедуру сразу после окончания менструаций.

Как проводится исследование

Для выполнения ультразвукового обследования молочных железы женщина обнажается по пояс, после чего ровно ложится на кушетку, по левую сторону от аппарата. Процедура начинается с осмотра левой груди, на которую наносят специальный прозрачный гель (убирает воздушную прослойку между преобразователем и кожей).

Изначально датчик ставится на пери — и субареолярную зоны (вокруг и над соском), где врач в нескольких позициях сканирует грудь. После осмотра сосковой зоны датчик начинают перемещать от периферии к центру по часовой стрелке. Таким образом оценивается практически вся площадь органа.

По окончании обследования левой железы, врач переходит на правую. Иногда для лучшего доступа пациентку просят повернуться на левый бок, после чего по предыдущему алгоритму оценивают состояние железистой ткани молочный железы, ее капсулу, протоки, васкуляризацию  (кровоснабжение) и окружающие структуры. Возможно проведение УЗИ в положении сидя.

Как часто можно делать

Несмотря на то, что ультрасонография признана безопасным методом функциональной диагностики, исследование следует делать по врачебным показаниями. Часто процедура назначается в качестве контроля лечения воспалительного процесса, до, во время и после проведения пункционной биопсии кисты.

Результаты УЗИ молочной железы с применением ЦДК

Следует понимать, что в норме у девочек препубертатного периода и женщин климактерического возраста в структуре молочных желез преобладает жировая ткань. Это обусловлено влиянием гормонального фона. Большая часть груди женщин с активной репродуктивной функцией представлена железистым компонентом (дольки и протоки).

Возможные патологии молочных желез и их УЗ-признаки:

  1. Галактоцеле (расширение части внутридолькового протока). Часто наблюдается после травм, грудного кормления. На экране в толще дольки определяется расширенное гипоэхогенное жидкостное образование.
  2. Фиброаденома (доброкачественная опухоль из соединительной и железистой ткани) визуализируется в виде округлого или овального образования, с четкими контурами. Имеет однородную структуру, пониженную или несколько повышенную эхогенность; характерен периферический тип кровотока (когда сосуды при ЦДК окружают опухоль).
  3. Мастит (острое воспаление железы). Врач обнаруживает диффузное изменение эхогенности тканей груди, расширение большого количество протоков, усиление кровотока и отек кожи, подкожно жировой клетчатки.
  4. Рак молочных желез. Это могут быть единичные или множественные образования различных размеров, неправильной формы, с бугристыми контурами, неоднородной структуры. Нередко в них выявляются кальцификаты (мелкие гиперэхогенные точечки) и смешанный тип кровотока. Зачастую обнаруживаются измененные лимфоузлы.

Кроме того, выявляют кисты, липомы, аденомы, возрастные инволютивные изменения.

Полезное видео

Каковы преимущества метода, рассказывает специалист в этом видео.

Преимущества УЗИ с ЦДК

УЗД молочных желез является методом выбора для диагностики патологии этой области у женщин репродуктивного возраста. Обследование имеет ряд преимуществ:

  • отсутствие необходимости в подготовке;
  • относительно низкая стоимость;
  • возможность выполнения в амбулаторных условиях, «у постели больного»;
  • высокая информативность, безвредность и безболезненность.

Возможные противопоказания

К ультрасонографии груди нет противопоказаний. Исключение составляет распространенное гнойничковое поражение кожи этой области, что встречается крайне редко.

Обследование при беременности и грудном вскармливании

УЗИ является безвредным даже во время беременности и в период лактации. Особой подготовки от женщин не требуется, показания – прежние. На момент кормления грудью эхография может быть назначена при появлении сильной болезненности и патологических выделений из сосков, покраснении кожи, резком прекращении выделения молока.

Сколько стоит

Цена УЗД молочных желез с ЦДК в Москве варьирует от 1000 до 3500 рублей (подробнее о том, где проходить процедуру). В стоимость входит самое исследование, предоставление одноразовой пеленки, салфеток для снятия геля, заключение врача.

Отзывы

Отзывы об исследовании в основном положительные:

«Процедура прошла быстро и безболезненно. К счастью, все оказалось в норме, хотя обращалась с жалобами на боль в груди.»

Кристина, 37 лет

«На первом же УЗИ выявили небольшую фиброаденому, пока что врачи просто наблюдают. Порадовала быстрота и высокая точность обследования.»

Мария, 42 года

УЗИ молочной железы с ЦДК что это

Что такое анэхогенное образование

На обычном ультразвуковом исследовании можно увидеть определенную область и ткань молочной железы, но нельзя просмотреть все процессы и движения жидкостей в реальном времени.

Этого нельзя сказать о ЦДК, так как данная методика позволяет отследить движение крови, увидеть состояние сосудов и создать цветовую картинку сосудов молочной железы.

На основании доплеровского эффекта этот ультразвук способен посылать и получать обратно определенный датчик.

Данный измерительный прибор способен отмечать не частоту колебаний, а разницу между отражаемой частотой и изначальной.

Самое интересное заключается в том, что данная методика способна не только определить саму скорость кровотока, но и пронаблюдать за его направлением, а также распознать строение этих сосудов и их проходимость.

Учитывая то, где локализуется сосуд, применяют датчики с соответствующей частотой звука.

Данный метод является безопасным и безболезненным для любого человека, и процедуру можно проводить неоднократно в зависимости от назначений специалистов.

Немного отвлечемся от основной темы и обратим внимание на один очень любопытный и интересный факт. В живой природе подобным способом определения скорости движущегося объекта пользуются дельфины и даже летучие мыши.

Анэхогенной называют структуру, которая поглощает и отражает ультразвук. Нередко она проявляется в виде кисты, представляющей собой новообразование, имеющее округлую форму и утолщенные стенки.

Внутри нароста формируется жидкость. Иногда она может содержать в себе примеси крови.

Внутренняя часть новообразования обладает не только полной анэхогенностью, но и сетчатой структурой, перегородками неверной формы. Присутствуют при этом и гиперэхогенные включения.

Хрупкое женское здоровье постоянно подвергается атакам вредоносных бактерий, стрессам, страдает из-за плохой экологии. Что такое анэхогенное образование, и как оно может повлиять на организм женщины?

Одно из самых неблагоприятных последствий всех отрицательных воздействий на организм – появление темных пятен на УЗИ.

Даже если женщина полностью здорова, она не застрахована от появления кист в матке и фолликулах или рядом с ними, а если иммунитет ослаблен постоянными стрессами и перенесенным заболеванием, то новообразование может появиться еще быстрее.

Часто опухоли образуются внутри железы или рядом с ней во время беременности, когда женщина наиболее уязвима. Потому очень важно следить за состоянием организма, своевременно обращаться к специалисту для профилактики недугов и постоянного, систематического контроля за новообразованиями и признаками болезни, которые могут быть выявлены при ультразвуковой диагностике.

Одной из проблем, которые можно заметить с помощью диагностики такого вида, является аваскулярное анэхогенное образование.

Причины, которые способствуют развитию патологии

Врачи давно выяснили, что такое васкуляризация. Это разрастание дополнительных кровеносных рамификаций в щитовидке, которые очень быстро формируются из тканей с дефицитом сосудов. Метаболизм в этой зоне становится сильнее, и это приводит к увеличению органа.

Этому способствуют следующие причины:

  • стремительное увеличение органа в период полового созревания;
  • инфекции и вирусы с появлением осложнений;
  • заболевания соматического характера;
  • гипертрофия органа;
  • длительное медикаментозное воздействие на организм;
  • частые стрессы;
  • появление зоба щитовидки узлового вида;
  • новообразования злокачественной формы.

Также врачи считают, что сосуды могут разрастаться из-за травм различной природы и аномалий кровеносных сосудов.

Виды васкуляризации

Врачи выделяют две формы заболевания.

  • Повышенная васкуляризация – это ускорение работы органа, которое приводит к увеличению количества вырабатываемых гормонов. При этом у человека начинает проявляться гиперфункция, а количество гормонов ТТГ и Т4 увеличивается в два или три раза.
  • Пониженная васкуляризация – это снижение работы щитовидки, которое способствует уменьшению уровня вырабатываемых железой гормонов. Это приводит к тому, что в организме человека начинается гормональное «голодание».

Для здоровья человека опасна как повышенная, так и пониженная васкуляризация. Эти две формы заболевания способны спровоцировать появление различных болезней, которые несут опасность для организма.

ПОДРОБНЕЕ ПРО:  Жидкость в брюшной полости: причины и лечение

Симптомы васкуляризации

Распознать заболевание несложно, так как признаки васкуляризации выражены и легко определяются. Но это не значит, что вы сможете самостоятельно поставить себе диагноз, для этого необходимо обратиться к врачу.

Васкуляризацию можно распознать по следующим симптомам:

  • частые ознобы;
  • легкие боли и дискомфорт в суставах и мышцах;
  • сильная ломкость ногтей и волос;
  • снижение или увеличение массы тела, не связанное с питанием;
  • сонливость и быстрая утомляемость;
  • нарушение половых функций;
  • резкое падение или увеличение артериального давления;
  • частые простуды.

Кроме перечисленных симптомов, у заболевших людей снижается память и нарушается внимание. Это приводит к рассеянности и забывчивости, а также к нарушению концентрации внимания.

При обнаружении одного или нескольких симптомов следует обратиться к доктору для уточнения диагноза с помощью анализов и обследований.

Когда назначают диагностику

Все имеющиеся показания к проведению УЗИ матки и придатков можно условно разбить на три группы. Это:

  1. Диагностика болезней;
  2. Планирование и подтверждение беременности;
  3. Ведение беременности и родоразрешение.

Показаниями из первой группы принято считать:

  • Болезненные ощущения при половом акте;
  • Кровянистые выделения на протяжении менструального цикла;
  • Предменструальный синдром;
  • Нарушения менструального цикла;
  • Болезненные ощущения, резь и чувство жжения при мочеиспускании;
  • Тянущая боль внизу живота;
  • Выделения в виде слизи или гноя.

Проведение процедуры назначается тогда, когда доктор подозревает наличие у женщины воспалительных процессов в пределах репродуктивной системы. Кроме того, диагностика необходима в том случае, если подозревается появление новообразований.

В случае с подтверждением зародившейся беременности также необходим контроль при помощи ультразвука. Он позволит выявить, какая беременность имеет место быть: маточная или эктопическая.

Для подтверждения беременности женщине обычно нужно пройти УЗИ и сдать анализ на определение уровня ХГЧ в крови. При разрешении предыдущей беременности при помощи кесарева сечения ультразвук позволит изучить состояние маточного рубца.

Для чего надо проводить ЦДК? Для того чтобы грамотно и точно дать оценку кровотока во всех имеющихся у человека сосудах. Специалист назначает это исследование в том случае, если у больного имеются некоторые сосудистые патологии.

Их наличие определяется не только из жалоб пациента, но и на основании характеристики по развитию той или иной болезни. Например пациенткам проводят ЦДК молочных желез или щитовидной железы.

Ведущему специалисту нужно как можно быстрее выяснить, какой именно сосуд является пострадавшим у его пациента и как он поражен. Затем ему нужно узнать, как УЗИ будет влиять на общее здоровье и самочувствие пациента и могут ли появиться какие-либо осложнения, причем выяснить точно, какими они будут.

Доплерография сосудов плода назначается в следующих случаях:

  • если беременная женщина страдает такими заболеваниями, как сахарный диабет, гипертензия, вегетососудистая дистония и всевозможные системные виды заболеваний;
  • в случае если размер самого плода не соответствует своему гестационному возрасту;
  • если у беременной резус отрицательный, а у самого плода — положительный;
  • в случае если в утробе матери находится сразу несколько плодов;
  • если расположение плода поперечное;
  • если шея плода обвита пуповиной матери;
  • маловодие или же многоводие беременной;
  • гестоз;
  • всевозможные хромосомные заболевания самого плода.

Подобное ультразвуковое исследование с Доплером разрешается проводить начиная с 23-й недели беременности. Это позволит более точно узнать, страдает ли будущий младенец кислородной недостаточностью.

Если же факт нехватки кислорода подтверждается специалистом, то тогда начинают выяснять, где именно и в каком месте находится имеющаяся патология и как ярко выражена гипоксия самого плода.

Исходя из данного фактора специалист выбирает правильную и наиболее подходящую тактику ведения всей беременности.

УЗДГ ног. Что касается данного исследования нижних конечностей, то его назначают только в случаях, следующих жалоб:

ПОДРОБНЕЕ ПРО:  Ультразвуковая терапия — показания и противопоказания

  • ярко выражены всевозможные изменения вен на нижних конечностях;
  • отечность ног ближе к вечеру, а именно ступней и голеней;
  • изменение цвета одной или обеих конечностей;
  • достаточно тяжело и больно передвигаться, ходить становится легче только после маленькой передышки;
  • часто появляется ощущение мурашек в ногах;
  • способность нижних конечностей достаточно быстро замерзать;
  • очень плохое и медленное затягивание ран на ногах.

Доплерография способна исследовать не только вышеперечисленные сосуды, но также и сосуды брюшного и грудного отделов и даже шеи, головы, все имеющиеся артерии и, конечно же, вены всех верхних конечностей человека.

Данное исследование можно проводить и планово, и исключительно исходя из жалоб пациента.

При обращении к врачу с характерными жалобами обследованию подвергается щитовидная железа. Васкуляризация легко определяется при проведении ультразвуковой диагностики органа.

Она позволяет обнаружить образовавшиеся сосуды и установить их количество. УЗИ проводят методом сканирования щитовидки доплером.

При этом врач определяет эхогенность тканей, контуры органа и его размер.

Анализ крови на количество гормонов, которые вырабатываются щитовидкой, поможет определить болезнь. Если их содержание в крови будет превышать норму в два или три раза, то это будет говорить о наличии отклонений в работе железы.

Наиболее информативно использовать оба метода обнаружения болезни, поэтому часто врачи их используют совместно.

Как проводится лечение

Если у пациентки все в порядке со здоровьем, киста имеет небольшой размер, не приносит неудобств, то лечение анэхогенного образования может и не потребоваться. При прогрессировании же болезни врачи часто прибегают к оперативному вмешательству.

Васкуляризация тканей щитовидки диагностируется и лечится эндокринологом. Он использует для терапии болезни препараты, в которых содержится йод и калий йодид.

Эти препараты можно использовать только при увеличении железы без осложнений. Если при обследовании врач обнаружит узлы, то лечение будет проводиться при помощи тиреоидных гормонов.

Если медикаментозное и гормональное лечение не приносит желаемых результатов, узлы продолжают увеличивать и разрастаться, то требуется хирургическое вмешательство.

Во время операции возможно частичное или полное удаление железы. Это приводит к тому, что пациенту придется употреблять всю жизнь гормональные препараты для поддержания необходимого количества их в организме.

Также необходимо регулярно посещать врача и контролировать уровень гормонов в организме.

Если в карточке будут написаны медицинские термины «гиперваскуляризация» или «васкуляризация», не стоит пугаться. Заболевание хорошо лечится с помощью современных медикаментозных и гормональных препаратов, а также проведением частичного или полного удаления органа.

Васкуляризацию лучше определить на начальных этапах развития, это поможет быстрее вылечить орган и избежать осложнений, связанных со сбоем в выработке необходимого количества гормонов.

Для этого нужно прислушиваться к организму и следить за любыми изменениями, посещать врача не менее двух раз в год, сдавать анализы и проходить обследования.

Будьте здоровы!

Результаты УЗИ молочной железы с применением ЦДК

Чтобы расшифровать результат, необходимо иметь глубокие знания в области исследований, поэтому человеку не имеющего медицинского образования сделать это будет невозможно. Лечащий врач, должен хорошо просмотреть систему кровообращения и исследовать участки на наличие новообразований.

Это можно смотреть по красным и синим участкам, которые обозначают направление, характер и скорость течения жидкости.С помощью УЗИ с ЦДК в молочной железе можно отличить доброкачественное новообразование от злокачественного. Изображение на экране отображается в В-режиме.

В чем суть процедуры

Комплекс подготовительных действий перед диагностикой будет зависеть от того, какая часть тела человека будет обследоваться. Если процедура назначена на УЗИ конечностей, то особых указаний не будет.

Пациенту просто рекомендуется не употреблять алкогольные и табачные изделия и не есть продукты, ускоряющие движение крови в сосудах.

УЗИ органов малого таза выполняется лёжа на спине на кушетке. В кабинете приглушённый свет для лучшей визуализации картинки на экране.

Процедура немного различается в зависимости от выбранного способа обследования. В настоящее время существуют 4 разновидности ультразвукового исследования женских репродуктивных органов:

  • трансабдоминальное,
  • трансвагинальное,
  • трансректальное,
  • внутриматочное.

При проведении УЗИ трансабдоминальным способом ультразвуковой датчик располагают на передней брюшной стенке. Исследование осуществляется с использованием специального геля, который улучшает проведение ультразвука.

Этот метод активно используется во втором и третьем триместрах беременности, у женщин, не ведущих половую жизнь, а также для выявления грубой гинекологической патологии.

Трансвагинальное УЗИ получает необходимую информацию с помощью датчика, введённого во влагалище. Это процедура безболезненная, но женщина при проведении ее может почувствовать дискомфорт.

Для уменьшения неприятных ощущений пациентке рекомендуется расслабиться. Трансвагинальное ультразвуковое исследование используют для диагностики внематочной беременности, на малом сроке вынашивания плода, при полипах эндометрия, эндометриозе и другой гинекологической патологии.

Не стоит бояться передачи инфекции, так как при обследовании используется презерватив.

В трудных диагностических ситуациях используют трансректальное и внутриматочное УЗИ.

Когда показано проведение УЗИ

Один из видов допплеровской диагностики сосудистых нарушений в органах выделения назначается при симптомах почечных патологий и общих проявлениях, указывающих на вероятность поражения сосудов почек. К симптомам, что могут стать поводом для проведения УЗ исследований, относятся:

  • боли в поясничной и нижней брюшной области;
  • изменения объема, режима и частоты мочеиспусканий, болезненность при этом физиологическом процессе;
  • наличие стойких отеков тканей лица, обширная отечность другой локализации;
  • стабильная гипертензия в молодом возрасте, или устойчивая к действию гипотензивных препаратов;
  • данные лабораторных исследований мочи или крови, свидетельствующие о наличии нефротического или уремического синдрома.

Цветное допплеровское картирование – очень распространенный вид диагностики на данный момент. Пациенту может быть назначена эта процедура при подозрении на множество разных болезней. Крайне часто этот вид обследования проходят беременные.

Когда может быть назначена допплерография при беременности?

  • Если развитие малыша в утробе не укладывается в сроки
  • При наличии повышенного давления или сахарного диабета у матери, которые могут привести к нарушению кровообращения плода
  • В случаях, когда пуповина обвила шею ребенка. Это может грозить неправильным развитием плода и даже его смертью
  • Если пациентка беременна сразу несколькими малышами
  • При резус конфликте между матерью и ребенком
  • Когда наблюдает либо излишнее, либо, наоборот, недостаточное количество амниотической жидкости в утробе матери, которое может нарушить развитие плода

Когда может быть назначено УЗИ щитовидной железы с ЦДК?

  • У пациента наблюдается повышенная нервозность
  • Есть трудности с проглатыванием
  • Наличие сильной боли в области головы и шеи
  • Жалобы на плохой сон
  • Снижение массы дела без обоснованной причины
  • В случаях, когда длительное время держится температура, что может свидетельствовать о наличии воспалительных процессов

Когда может быть назначено УЗИ с ЦДК конечностей?

  • Судороги
  • Ощущение постоянного холода в конечностях
  • Сильное выделение вен
  • Отеки
  • Появление болезненных ощущений и синяков

УЗИ с ЦДК относится к ряду безопасных для организма человека процедур, поэтому она доступна практически всем и не имеет прямых противопоказаний.

Однако, отказаться от этой процедуры стоит людям, недавно делавшим колоноскопию и лицам с незажившими ранами и ожогами в области проведения обследования.


Смотрите также