Анализ на кариотип сдать

Анализ на кариотип сдать[Анализ на кариотип сдать]

Кому и зачем нужно делать анализ крови на кариотип?

Кариотип – это название типа хромосом, характерного для данного биологического вида, и его определение имеет большое значение в комплексном обследовании репродуктивной системы пары. Для определения требуется специальный молекулярный анализ, который даёт полную картину генетических особенностей данной пары, и уже на основании этой картины предлагаются варианты решения проблем. Этот анализ представляет собой исследование формы, числа и размера хромосом в образце клеток.

Наличие дополнительных хромосом или их частей, отсутствие хромосомы или части какой-либо из них могут быть причиной проблем с развитием функций органов и систем. Даже вполне здоровый человек может оказаться носителем хромосомных перестроек, хоть и не имеет видимых признаков их наличия. Из-за них могут быть проблемы с вынашиванием беременности, бесплодие, врождённые пороки развития эмбриона.

Зачем делать анализ крови на кариотип?

Сначала анализ крови помогает определить патологии в хромосомном наборе пары – транслокацию, мозаицизм, делецию, моносомию, трисомию, и т.д.

Этот хромосомный анализ делается для того, чтобы выяснить, какая причина врождённых заболеваний или дефектов ребёнка; является ли дефект хромосомы причиной бесплодия или выкидыша; присутствуют ли у плода аномальные хромосомы; являются ли хромосомы взрослого аномальными, и какое влияние они производят на его и будущего ребёнка здоровье; определить пол человека через наличие или отсутствие хромосомы Y (к примеру, если не ясен пол ребёнка); чтобы помочь в выборе подходящего лечения для некоторых видов опухолей.

Уже на ранних стадиях беременности видно те генетические изменения, которые свойственны плоду: синдрoмы Патау, Шeрeшeвскoгo-Тёрнeра, Дауна, Клайнфeльтeра, Эдвардса, Прадeра-Вилли, аутизм и другие серьёзные пороки развития.

Кому нужен хромосомный анализ?

По идее, каждой паре, желающей завести ребёнка, показан данный анализ, так как никто из нас не может ручаться за свои гены.

С возрастом человека увеличивается вероятность хромосомных изменений, так что, если мужу и жене больше 35 лет, им показан хромосомный анализ. В случае часто повторяющихся самопроизвольных абортов, остановок развития плода, неспособности к зачатию также делают такой анализ крови, обоим партнёрам. Когда уже есть ребёнок с проблемами в развитии, и планируется вторая беременность, мужу и жене обязательно нужно проверить кариотип. Ну и понятно, что если имеются родственники с генетическими изменениями набора хромосом, или человек постоянно подпадает под влияние вредных факторов (химические, физические, радиационные), сдать этот анализ нужно без вопросов.

Этот тип анализа помогает выявить:

  • ануеплоидии – то есть, изменение количества хромосом в сторону увеличения/уменьшения от нормы. Правда, их может быть сложно определить в случае низкоуровневого мозаицизма (когда в организме имеются клетки с изменённым набором хромосом в небольшом количестве наряду с нормальными клетками). Хотя, анеуплоидии занимают маленькую часть как в структуре генетической патологии в целом, так и среди причин врождённых пороков развития;
  • структурные аномалии хромосом – соединение в аномальной комбинации после разрыва. Исследования кариотипа могут в данном случае определить лишь большие аномалии, но такие изменения доступны методу флуоресцентной гибридизации и специальному микроматричному хромосомному анализу.

Особая подготовка не требуется, главное найти опытного генетика, который поможет всё понять, рассказать, взвесить риски, и принять правильное решение.

При классическом тесте (у которого 5 подвидов) из вены берут количество крови около 10-20 мл, и делают культивирование и закрепление клеток. Дальше хромосомы подвергаются окрашиванию, и исследованию методом светового микроскопирования. Если это случай пренатальной диагностики, анализ делают на клетках, полученных с плаценты или околоплодных вод. Иногда проводят исследование клеток костного мозга.

Также есть SKY (спектральное кариотипирование) – это совершенно новый, высокоэффективный метод исследования хромосом, который быстро и наглядно идентифицирует хромосомные нарушения, в случае, если установить происхождение хромосомного материала методами стандартного кариотипирования невозможно. Метод базирован на флуоресцентном 24-хцветном окрашивании целых хромосом.

SKY – отличный инструмент для маркерных хромосом, клинического хромосомного анализа транслокаций, сложных межхромосомных перестроек, и находит множественные хромосомные нарушения.

Метод анализа Fish (флуоресцентная гибридизация) – это ещё один современный эффективный способ исследования численных нарушений в хромосомах, и сложных нарушениях в кариотипе. В этом типе анализа основанием является специфическое связывание флуоресцентных меток и конкретных участков хромосом. Данный подход разрешает проверить большее количество клеток, чем при классическом кариотипировании, так как он, хоть и проводится на клетках крови, не требует их культивирования. Материалом для Fish-анализа могут служить клетки плода, эмбриона или сперматозоиды.

Иногда для получения более точной информации анализ крови на хромосомные заболевания делают в сочетании с другими генетическими тестами. Если анализ крови будет ненормальным, других членов семьи также могут попросить сдать этот анализ. Бывает, что вместо крови берут соскоб со щеки, но здесь уже может быть менее точный результат.

  • Автор: Анастасия
  • Распечатать

Определение кариотипа с аберрациями (100 клеток)

Артикул 00123

Анализ не принимается до 10 января

Цитогенетическое обследование позволяет:

  • Выявить такие случаи бесплодия или невынашивания беременности, когда шансы появления потомства у одного из супругов резко снижены или отсутствуют вовсе.
  • Выявить случаи значительного повышения нестабильности генома, когда специальное лечение (антиоксиданты и иммуномодуляторы) позволяет в какой-то степени снизить риск развития сбоев при зачатии.
Что такое цитогенетическое исследование?

Цитогенетическое обследование — анализ на выявление нарушений хромосомного набора человека.

Хромосомы представляют собой плотно упакованные нити ДНК, которая содержит информацию о геноме человека. Количество и структура хромосом строго специфична для каждого вида. У человека в ядрах соматических (не половых) клеток содержится в норме 46 хромосом (23 пары). Одна из пар — половые хромосомы — определяет пол человека. У женщины имеется 2 X хромосомы, такой кариотип обозначается как 46XX, у мужчины есть одна X и одна Y хромосома (кариотип 46XY). Неполовые хромосомы называются аутосомами.

Хромосомы в обычном состоянии клетки в ядре не видны, они становятся видны под микроскопом только на определенных фазах деления клеток. Для изучения кариотипа используются клетки в метафазе митоза.

Для проведения исследования у пациента берут кровь и выделяют из нее уже известные Вам лимфоциты. Для того, чтобы заставить их делиться нужна чужеродная стимуляция. Однако при кариотипировании используются специальные вещества (митогены), которые заставляют лимфоциты делиться независимо от их специфичности. В этом главное отличие от СКЛ. (Там никакие химические стимуляторы не применяются).

Через несколько дней деления культура обрабатывается специальным веществом, которое останавливает процесс деления клеток именно на той стадии, когда видны хромосомы. Из клеток культуры готовятся специальные мазки на стеклах, которые будут использованы для исследования. Для получения дополнительной информации о структуре хромосом используется специальная окраска (G-бэндинг) в результате которой каждая хромосома приобретает специфическую поперечную исчерченность. Каждая такая полоска называется G-блоком.

Теперь хромосомы полностью готовы для анализа.

Первая стадия анализа называется кариологией. В большинстве центров, производящим генетическое исследование анализ ограничивается только этой стадией. Специалист генетик анализирует под микроскопом 12-15 клеток на предмет выявления количественных и структурных аберраций. К количественным аберрациям относятся изменения числа хромосом. Например, при синдроме Дауна имеется лишняя 21-я хромосома. Структурные аберрации представляют собой изменение самих хромосом (инверсия — поворот участка хромосомы на 180., делеция — выпадение участка хромосомы, транслокация — перенос части одной хромосомы на другую хромосому, и т. д.). Аберрации могут носить регулярный и нерегулярный характер. Регулярные аберрации обнаруживаются в большом проценте клеток или во всех клетках. Они возникают в момент зачатия или в первые дни после зачатия. Нерегулярные мутации чаще всего являются свидетельством дейстия на организм неблагоприятных факторов (радиация, химические вредности и пр.).

Этот анализ называется кариотипирование без аберраций.

Для выяснения следов действия вредных факторов на геном анализа 12-15 клеток бывает недостаточно (в большинстве случаев после такого анализа пациенты получают узенькую бумажку, в которой указано, что он мужчина, а она женщина).

Поэтому следующей стадией генетического обследования, которая очень важна для пациентов с бесплодием и невынашиванием беременности, является анализ на аберрации. Это расширенное генетическое обследование, при котором подробно анализируется 100 клеток, и расчитывается процент аномальных метафаз. Этот анализ хорошо выявляет возможные следы действия вредных факторов на геном человека. Из-за трудоемкости анализа (на исследование одного человека уходит целый рабочий день специалиста очень высокой квалификации) немногие медицинские центры делают анализ на аберрации.

Этот анализ называется кариотипирование с аберрациями.

Анализ сдается независимо от приёма пищи. Кариотипирование без аберраций и кариотипирование с аберрациями сдаются строго по записи.

  • По телефону 514-00-11
  • На нашем сайте
  • HLA-типирование 2 класса DRB1, DQA1, DQB1 (муж.)
  • Полиморфизм генов сосудистого тонуса. Предрасположенность к гипертоническим состояниям, нарушениям плацентарной функции, преэклампсии, инфаркту миокарда. Микроциркуляция, сосудистый тонус: (AGT), (ATGR2), (ATGR1), (ADD), (ACE), (CYP11B2)
  • Полиморфизм генов гемостаза 4 фактора — лейденская мутация (мутация фактора V), мутация гена протромбина, мутация MTHFR, мутация PAI-I
  • HLA-типирование 2 класса DRB1, DQA1, DQB1
  • Полиморфизмы генов системы гемостаза, полное обследование, 11 показателей

Теги: кариотип   цитогенетическое исследование   кариотипирование  

                   

Для экономии времени оформите заказ на анализ в Интернет-магазине! Оплачивая заказ онлайн, Вы получаете скидку 10% на весь оформленный заказ!

У Вас есть вопросы? Напишите нам или позвоните +7 (495) 514-00-11. По анализам Вы можете задать вопрос на нашем форуме и обратиться на консультацию к специалисту.

Кариотипы — это…. Где сдать анализ на кариотип?

Люди часто путают названия и не понимают различий между хромосомными синдромами и генными заболеваниями. Эти термины обозначают разные патологии. Из данной статьи вы узнаете, что такое кариотип, в чем заключается особенность хромосомных заболеваний.

Что означает термин «кариотип»?

Кариотипы – это некие сочетания хромосом. Цитогенетические исследования на предмет их количества и строения проводятся в любом возрасте, один раз в жизни. Что можно определить у хромосомы при исследовании:

  1. Форму и размеры.
  2. Длину плеча.
  3. Наличие дополнительных перетяжек.
  4. Расположение теломер.

Типы кариотипов

У всех видов живых организмов, в том числе и людей, существуют свои кариотипы. Это сочетание всех качеств хромосом, состав которых обеспечивает нормальную жизнедеятельность каждого конкретного индивидуума живого мира. Кариотип бывает:

  1. Видовой, то есть характерный только для данного вида.
  2. Индивидуальный – свойственный отдельной особи.

Нормальный кариотип человека

Заболевания, которые сопровождаются патологическими изменениями, называются хромосомными. Генетика изучает их особенности и строение. В норме хромосомы человека (кариотип) состоят из 46 штук. В этом составе есть два вида. Половые хромосомы содержатся в количестве 2 штук. Остальные 22 пары — неполовые, они носят название «аутосомы».

У женщин половые хромосомы представлены парой XX (две большие хромосомы), а у мужчин — XY (одна большая и одна маленькая). Исходя из этого, нормальный кариотип у прекрасной половины человечества имеет формулу 46XX, а у мужчин – 46XY. Любые отклонения от данных формул вызывают различные уродства, пороки развития, невынашивание плода, бесплодие и др.

Анализ кариотипа

Анализ кариотипа происходит на стадии деления клеток, когда изменяются их размеры. В этот период они доступны для распознавания. Исследование на кариотипы проводится благодаря способу специальной окраски и последующему изучению хромосом в световом микроскопе.

Данный метод позволяет увидеть размеры и формы, структуру тел, а также первичные или вторичные перетяжки и неоднородность участков. Для визуального описания изменений хромосом была разработана международная система обозначений.

Сначала указывается их количество (цифрами), затем отмечается их вид — половые или аутосомы, а следующая запись – это особенности (в основном длина плеча).

Все изображения в микроскопе фотографируются, чтобы зафиксировать изменения, и по совокупности всех кадров в итоге составляется полная картина. Очень важно сдать анализы на кариотипы, это поможет выявить различные патологии еще на ранних стадиях зарождения и развития эмбриона. Ведь это влияет на рождение здорового потомства.

Типы анализов на кариотип

Существуют 2 типа исследования на кариотип:

  1. Определение кариотипа в лейкоцитах. Данное исследование проводится взрослым людям на предмет нахождения или исключения хромосомной патологии. Ведь, если она подтвердится, то в будущих поколениях может появиться генетическое заболевание. Для такого анализа пациенту необходимо сдать кровь на кариотип.
  2. Пренатальное исследование. Этот анализ проводится внутриутробно, чтобы определить хромосомные патологии у плода. Очень важно для будущих родителей сделать данный анализ, проверить кариотип. Цена на него хоть и отпугивает, но необходимо изыскать средства и сделать исследование. При некоторых результатах анализа показано прерывание беременности, так как патология плода может быть несовместима с жизнью или в будущем принесет тяжелые, непоправимые последствия.

Кому необходимо сдавать анализ на кариотип?

Во многих странах исследование кариотипа является обязательным условием перед вступлением в брак. И это правильно, ведь у любого человека может возникнуть изменение строения хромосом, которое не влияет на его здоровье. Но это может проявиться только при планировании беременности.

Как и в случаях со сдачей любых других анализов, существуют относительные и абсолютные показания к определению. К первой группе относятся:

  1. Наличие генетической патологии у одного из супругов.
  2. Постоянные самопроизвольные выкидыши.
  3. Рождение ребенка с генетической патологией.
  4. Возраст будущей мамы или планирующей беременность женщины свыше 35 лет.
  5. Воздействие на организм различных патогенных факторов, таких как радиация, химические вещества и др.
  6. Нарушение полового развития.

Относительные показания к сдаче на кариотипы – это необязательные предрасположения. Анализы в таких случаях сдавать желательно.

Что можно выяснить при сдаче анализа на кариотип?

Пройдя это исследование, можно многое узнать о своем генетическом здоровье. Первое и самое приятное – это убеждение в том, что человек здоров. Любое изменение кариотипа говорит об отклонениях от нормы. Данный вид исследования поможет выяснить:

  1. Причины различных нарушений у детей, таких как задержка развития, нарушение интеллекта, преждевременное прекращение роста и др.
  2. Выяснить риски рождения потомства с генетическими заболеваниями.

Помимо этого данный анализ позволяет распознать различные хромосомные заболевания. Существуют ярко выраженные формулы, то есть кариотипы синдромов, таких как:

  1. Синдром Дауна. Данное заболевание сформировано еще внутри утробы матери 47 хромосомами. У 21 пары обнаруживается дополнительная единица, которая и отвечает за болезнь.
  2. Полисомия по Х-хромосоме.
  3. Синдром Патау.
  4. Различные пороки.
  5. Синдром кошачьего крика и др.

Кариотип с аномалиями обнаруживается примерно у 1% всех новорожденных. Эти нарушения ведут к умственной отсталости, различным патологиям и даже к летальному исходу. Случаи аномалий увеличиваются вместе с возрастом матери. Этот показатель влияет на риск развития у ребенка синдрома Дауна. У беременной в возрасте до 35 лет такой риск составляет 1:1000, до 40 лет -1:200, а после 45 – 1:19.

Где можно сделать анализ на кариотип?

Несмотря на то что данное исследование многим известно и достаточно распространено, некоторые задаются вопросом: где сдать кариотип и в каком месте берут этот анализ? Эта процедура достаточно трудоемкая и, соответственно, дорогостоящая, поэтому в районных поликлиниках она не проводится. Но в каждом большом городе есть учреждение, где сдается анализ на кариотип, достаточно лишь получить направление от лечащего врача. К таким организациям относятся:

  1. Центры планирования семьи.
  2. Медицинские генетические учреждения.
  3. Современные лаборатории, проводящие различные исследования.
  4. Центры материнства и детства.
  5. Частные клиники.

Для предотвращения неблагоприятного исхода беременности и выявления причины бесплодия нужно тщательным образом изучить хромосомный набор обоих супругов. Современное обнаружение нарушения кариотипа позволяет применить методы, благодаря которым можно родить здорового ребенка.

Одной из основных причин изменения кариотипа является «неправильный» сперматогенез. Некоторые сперматозоиды с нарушенным строением участвуют в оплодотворении яйцеклетки. Именно они могут стать причиной зарождения эмбриона с измененным кариотипом.

Помимо этого на появление нарушений влияет плохая экологическая обстановка, которая провоцирует мутацию хромосом. А они, в свою очередь, негативно воздействуют на изменение кариотипа человека.

Эти мутации передаются по наследству, поэтому не стоит рисковать здоровьем своего будущего ребенка и пренебрежительно относиться к анализам такого рода.

Источник:

Кариотип???? — кариотип что это такое

Смотрите также

  • Кариотип..Девочки,нужно срочно сдать кровь на кариотип!!подскажите,где в Краснодаре можно это сделать?кто вообще сталкивался?
  • кариотипы….Девочки,всем доброго времени суток. Подскажите,кто сталкивался с отклонениями в кариотипах. У меня кариотип норма 46ХХ. У мужа 46XY,9phgh (частичная инверсия гетерохроматина хромосомы 9). Генетик в предыдущей клинике не считает это паталогией. Новая репродуктолог , посмотрев…
  • КариотипыВсем доброго времени суток! Сдали с мужем кариотипы. Мой ХX (10), мужа XY qh- (14). Генетик меня не порадовала. Кто сталкивался? С нетерпением жду комментариев.
  • КариотипПришли наши кариотипы. Мой нормальный,  а у мужа 46xy 1qh+ 1qh+ 9qh.  Как сказал генетик, вариант нормального мужского кариотипа. Ну а с точки зрения невынашивания это может быть проблемой? Кто сталкивался? Поясните, пожалуйста, что значат…
  • КариотипВсем здраствуйте! Ми с мужем планируем Б вот уже 5 год. За это время было В и ЗБ на малом сроке. Куда только не обращались и какие анализы не сдавали. Лечащий Г направила на Кариотип….
  • КариотипЗдравствуйте девочки! Обращаюсь к вам за советом. У нас была 1 ЗБ. Сегодня получили результаты кариотипа. У меня все в норме, у мужа 46 ху gh+. Кто сталкивался  таким результатом? Читала в интернете отзывы врачей,…
  • Кариотип супруговДевочки, кто сдавал анализ на кариотип? генетик направила, я думала, что там распишут мне на 3 листа. а пришел результат лишь мне кариотип 46, ХХ,(нормальный женский кариотип), мужу 46ХУ (нормальный мужской кариотип). И больше ничего…
  • кариотипы супруговбыла сегодня у генетика. направили. пап понижен был, в итоге анализы все в норме, предложили сдать кариотипы, и узи обязательно, узи ладно, у них там сделают. кариотипы по желанию типа того(подумайте с муем сдавать или…
  • Вопрос про кариотипуДобрый вечер! Что-то я сегодня зачастила.) Девушки, как вы считаете и какое мнение у ваших врачей-необходимо ли делать кариотип мужу, если у него есть ребенок в первом браке? Дело в том, что гинеколог говорит, что…
  • обследование на кариотипДевушки, кто после ЗБ (нашли генетическое отклонение у плода) обследовался на кариотип? Где обследовались и сколько это стоило и на какие гены обследовались…в инвитро нашла полное генетическое обследование…но там аж на 80тыс….может прям на все…

Что такое кариотип

При дальнейшем делении такой зиготы все клетки эмбриона и развившегося из него организма окажутся с одинаково аномальным кариотипом.

Исследование кариотипа — анализ числа, формы и размеров хромосом с использованием специального окрашивания. Нормальные кариотипы человека — 46,XX (женский) и 46,XY (мужской).

К сожалению, с помощью исследования кариотипа можно определить лишь большие структурные аномалии, от 5 миллионовнуклеотидов.

Кариотип — это совокупность признаков полного набора хромосом соматических клеток организма на стадии метафазы (III фаза деления клетки) – их количество, размер, форма, особенности строения.

Анализ на кариотип следует сдавать по таким причинам:

Чаще всего это исследование проводят у детей для выявления заболеваний, обусловленных нарушениями в хромосомах и у супругов при бесплодии или привычном невынашивании беременности. Выявление хромосомных перестроек в этом случае позволяет установить причину бесплодия и прогнозировать риск рождения в данной семье детей с хромосомной патологией.

Кариотип родителей и будущего малыша

Таким образом, большое число хромосом упаковывается в маленький объём и помещается в относительно небольшом объёме ядра клетки.

Расположение хромосом, видимое в микроскопе, фотографируют и из нескольких фотографий собирают систематизированный кариотип — нумерованный набор хромосомных пар гомологичных хромосом.

Нарушения нормального кариотипа у человека возникают на ранних стадиях развития организма.

Однако, нарушения кариотипа могут возникнуть и на ранних стадиях дробления зиготы. Развившийся из такой зиготы организм содержит несколько линий клеток (клеточных клонов) с разными кариотипами. Такое многообразие кариотипов во всём организме или только в некоторых его органах называют мозаицизмом.

Что еще нужно знать о кариотипе?

Ниже приведена таблица, в которой представлены заболевания, обусловленные нарушениями в кариотипе. Вы можете записаться на онлайн консультацию к врачу-генетику, либо задать любые вопросы касаемые исследований, выполняемых в нашей лаборатории.

Анализ кариотипа —Это процедура, призванная выявить отклонения структуры строения и числа хромосом, имеющих возможность стать причиной бесплодия или наследственных болезней у будущего ребенка.

Структурные аномалии хромосом — разрывы хромосом с последующим соединением в аномальной комбинации.

Выяснить, являются ли хромосомы у взрослого человека аномальными, как это влияет на его здоровье и как это может повлиять на здоровье его будущего ребенка.

Хромосомный микроматрисный анализ всего генома обеспечивает более высокое разрешение (в 100-1000 раз) по сравнению с другими генетическими исследованиями, таких как анализ кариотипа.

Кроме того, этот метод позволяет точно определить гены, которые находятся в области перестройки и выяснить связь между этими генами и заболеванием. Анализ позволяет установить нарушения в генах с известной клинической значимостью.

Это позволяет диагностировать все известные микроделеционные синдромы и синдромы связанные с аутосомно-доминантными заболеваниями (в случае делеции генов).

Метод полностью заменяет кариотип и дает возможность определить контаминацию образца материнским материалом, что исключает риск ложноотрицательных результатов..

В некоторых случаях, по результатам расширенного ХМА может быть рекомендовано обследование родителей. Есть 46 хромосом, которые могут быть сгруппированы как 22 парные и 1 пара половых хромосом.

Размер, форма и структура нормальные для каждой хромосомы. Такой кариотип обозначается как 46XX (для женщин) и 46XY (для мужчин).

Молекулярное кариотипирование обладает высокой разрешающей способностью и, в зависимости от специфики заболевания может быть назначен один из видов молекулярного каритоипирования. Стандартное молекулярное кариотипирование прозволяет в одном исследовании определить наличие любого из всех возможных микроделеционных синдромов, а это несколько сотен заболеваний.

Результаты исследования кариотипа готовы, как правило через 1-2 недели и могут выглядеть следующим образом:

Это может быть полезно для диагностики не только микроделеционных/микродупликационных синдромов но и диагностики моногенных заболеваний.

Если хромосомных изменений не обнаружено, то могут потребоваться и другие виды исследований — например секвенирование экзома или другие методы.

Кариотипом иногда также называют и визуальное представление полного хромосомного набора (кариограммы). Для процедуры определения кариотипа могут быть использованы любые популяции делящихся клеток.

R-окрашивание — используется акридиновый оранжевый и подобные красители, при этом окрашиваются участки хромосом, нечувствительные к G-окрашиванию.

C-окрашивание — применяется для анализа центромерных районов хромосом, содержащих конститутивный гетерохроматин и вариабельной дистальной части Y-хромосомы.

Кариотипирование является методом цитогенетического исследования и заключается в изучении хромосом человека.

Кариотип – это набор хромосом человека с полным описанием всех их признаков (размер, количество, форма и прочее). Процедуру исследования кариотипов супругов необходимо провести еще на этапе планирования беременности.

Так как для анализа на определение кариотипа используются кровяные клетки, необходимо исключить влияние различных факторов, которые осложняют их рост, что делает анализ неинформативным.

Затем проводится анализ окрашенных мазков, во время которого определяется общее количество хромосом и структура каждой.

Подготовка к анализу

Для анализа обычно требуется не более 12-15 лимфоцитов, данное количество клеток позволяет выявить количественное и качественное несоответствие хромосом, а, следовательно, наследственное заболевание. Анализ в норме выглядит как 46ХХ или 46ХУ. Но если выявлена какая-либо генетическая патология, например выявление третьей лишней 21 хромосомы у женщины, то результат будет выглядеть как 46ХХ21+.

При выполнении этого анализа все участки хромосом исследуются с максимальной точностью. В зависимости от симптомов заболевания может быть назначен один и з видов анализа кариотипа. В большинстве случаев структурные аномалии хромосом представляют собой микроделеции и микродупликации невидимые под микроскопом.

Кариотип и кариотипирование

Рано или поздно благополучные семейные пары задумываются о детях. И, если большинство с легкостью беременеет  и рожает здоровых деток, то многих женщин преследуют неудачи – замершая беременность, бесплодие, выкидыши или рождение ребенка с генетическими отклонениями.

Но своевременное обращение к врачу – генетику поможет определить, с какими возможными трудностями при зачатии столкнетесь вы и ваш супруг.

Кстати говоря, если у нас к врачу-генетику обращаются почти исключительно по направлению врача-гинеколога или репродуктолога, то в развитых странах  анализ на генетическую совместимость сдают зачастую еще до вступления в брак.

Так чем же может помочь врач-генетик? Он может составить карту и анализирует нормальность вашего хромосомного набора. На основе этого анализа, врач-генетик может дать прогноз, насколько вероятно у вас зачатие ребенка с генетическими отклонениями.

Что такое кариотип?

Кариотип это хромосомный набор, принадлежащий определённому человеку, зафиксированный и выстроенный по размеру, форме и числу для хромосомного анализа.

Вообще хромосомный набор человека  содержат всю генетическую информацию о нем – о цвете глаз, волос и кожи, росте, уровне интеллекта,  склонности к определённым заболеваниям, наличию генетических заболеваний.

Нормальный кариотип  (хромосомный набор) содержит 46 хромосом или 23 пары хромосом. Одна пара называется половыми хромосомами.  У женщин это 2 Х хромосомы, у мужчин – 1 Х и 1 Y хромосомы.

Заболевания, вызванные изменениями в хромосомном наборе человека, называются хромосомными или геномными патологиями.

Зачем определять кариотип?

Чем более поврежден кариотип супругов, тем больше вероятность того, что зачатый ребенок будет иметь генетические нарушения.  В большинстве случаев, природа сама не допускает рождения детей с генетическими нарушениями и организм мамы сам изгоняет из себя плод на ранних неделях беременности.  А мама получает диагноз “привычная невынашиваемость”.

Но с некоторыми заболеваниями из-за хромосомных отклонений детки все же рождаются. Например, синдром Дауна, синдром Патау, синдром Клайнфельтера, синдром Тернера — Шерешевского, синдром Эдвардса, синдром кошачьего крика, синдром Прадера-Вилли  — все эти заболевания вызваны нарушениями в хромосомном наборе.

При многих геномных заболеваниях дети умирают до года. У тех деток, кто сумел выжить, наблюдаются различные пороки развития, умственная отсталость, и т.д.

Как проводится кариотипирование

Кариотипирование – это анализ на определение кариотипа. Кариотипирование довольно сложная и долгая процедура.

Сначала у пациента забирается материал для анализа. Это может быть кровь, костный мозг или кожа.  Затем из забранного материала выделяют подходящие клетки.  Выделенные клетки некоторое время размножают в специальной среде.

Далее, на определенном этапе жизни клеток, их деление останавливают, окрашивают специальным красителем, который подкрашивает хромосомы. Врач-генетик фотографирует хромосомы и составляет их карту, располагая их по парам. Затем проводится анализ кариотипа.

Для описания кариотипа используются следующие характеристики:

  • Число хромосом в кариотипе;
  • Размер хромосом;
  • Длина плеч;
  • Позиция центромер;
  • Паттерны окрашивания;
  • Дефекты хромосом.

Когда необходимо делать кариотипирование?

Если вы с супругом не смогли зачать ребенка в течение года регулярного занятия сексом,  или у вас было несколько выкидышей подряд, или УЗИ плода показало на возможные генетические отклонения у ребенка – необходимо сделать кариотипирование.

Конечно, “сломанные” хромосомы не починить. Но так вы будете обладать полной информацией о своем здоровье, здоровье своего супруга и о возможных хромосомных заболеваниях у своих детей. И сможете принять то решение, которое будет верным для вас, учитывая советы врача-генетика и врача-репродуктолога.

Причины повреждения хромосом

Кроме генетических, изначально присутствующих изменений в хромосомах, возможно повреждение генетического материала в течение жизни.

Во-первых, если вы и ваш муж старше 35 лет, то приготовьтесь к тому, что генетический материал, которые несут ваши и его половые клетки, может быть нарушен. Скорее всего, это связано с процессами старения в организме и вредными привычками, которые были или есть у супругов.

Во-вторых, работа с некоторыми химическими веществами и воздействие излучения приводят к повреждению генетического материала, который несут половые клетки.

В-третьих, близкородственные связи, инцест увеличивают вероятность того, что у ребенка будут генетические отклонения.

Кариотип. Анализ набора хромосом и его информативность :

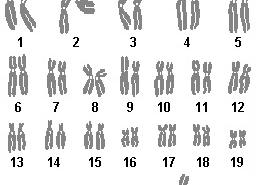
Кариограмма, или визуальное представление всего набора хромосом, известна под определением кариотип. Анализ его представляет собой обследование формы, размера, числа хромосом в определенном образце клеток организма.

Исследование кариотипа

В 1924 году известным цитологом Г.А. Левитским был введен в оборот термин «кариотип», под которым подразумевается совокупность признаков всего набора хромосом. Она присуща клеткам определенного биологического вида (это так называемый видовой кариотип), определенного организма (известный как индивидуальный кариотип), а также клона клеток.

Исследование кариотипа проводится с помощью метода световой микроскопии. Основной целью анализа является выявление патологии хромосом.

Чаще всего набор хромосом исследуется в детском возрасте для выявления заболеваний, связанных с нарушениями в кариотипе. Появление дополнительных хромосом или их фрагментов, отсутствие одной из них могут привести к проблемам с развитием органов и выполнением функций систем организма.

https://www.youtube.com/watch?v=OW74laPE_R0

При планировании беременности, невынашивании беременности, бесплодии также исследуется кариотип. Анализ у супругов позволяет выявить хромосомные перестройки, что дает возможность установить причину бесплодия у мужчины или женщины и прогнозировать вероятный риск рождения детей с патологиями хромосом.

Осмотр в световом микроскопе хромосом вне процесса деления клетки достаточно труден. Для лучшего определения их структуры используются специальные красители. Они позволяют выявлять неоднородные (гетерогенные) участки хромосом и анализировать их — определять кариотип.

Читайте также:  Норма ТТГ у мужчин по возрасту (точная таблица)

Хромосомы на стадии метафазы в световом микроскопе представляют собой молекулы ДНК, которые как бы упакованы с помощью особых белков в сверхспирализованные плотные палочковидные структуры.

Благодаря такому расположению в небольшой объем входит значительное число хромосом, которое помещается в сравнительно небольшом объеме ядра клетки. Расположение всей их совокупности фотографируют и из нескольких снимков получают систематизированный кариотип.

При этом изображения ориентируют вертикально, а их нумерация идет в порядке убывания размеров. Все это проводится достаточно аккуратно, так как каждая из хромосом имеет свой уникальный рисунок. Пару половых хромосом помещают в самом конце снимка, где изображен набор хромосом.

Анализ кариотипа

В современных условиях наблюдается интенсивное развитие методик дородового диагностирования хромосомных аберраций, их применение позволяет предупредить рождение ребенка с тяжелыми патологиями.

Анализ на кариотип супругов имеет огромное значение в системном обследовании их репродуктивной системы. Он рекомендуется всем парам независимо от их возрастных категорий и позволяет прогнозировать наследование генетически определяющих (детерминированных) заболеваний, проводится с целью профилактики появления в семье больного потомства.

Каждому виду организма присуще свое определенное количество хромосом. Их совокупность у человека составляет 46 хромосом. Они сгруппированы как 22 парные, из которых одна пара — половых хромосом. При их нормальной структуре кариотип у женщин обозначается как 46XX и у мужчин — 46XY.

Проводить анализ на кариотип рекомендуется только в специализированных центрах репродукции. Здесь пациенты обязательно получают полную квалифицированную консультацию и имеют возможность пройти дополнительные исследования.

Современные лаборатории центров репродуктивных технологий в процессе комплексного обследования выявляют у каждого из супругов кариотип. Анализ проводится на качественном уровне. Процедура включает в себя забор крови или иного биологического материала, который незамедлительно поступает в работу.

Информативность кариотипа

Носителем хромосомных перестроек, без особых видимых признаков их наличия, может быть и здоровый человек. Возможные видоизменения провоцируют такие проблемы, как невынашивание беременности, бесплодие, врожденные пороки и аномалии развития плода.

Анализ крови на кариотип выявляет патологические видоизменения в хромосомном наборе пары:

  • трисомия (увеличение набора хромосом на одну);
  • моносомия (потеря аутосомы);
  • делеция (отсутствие частей хромосом);
  • транслокация (обмен какими-либо фрагментами разных хромосом);
  • мозаицизм (наличие в тканях генетически различающихся клеток) и другие.

Выявление подобных изменений помогает диагностировать вероятность развития пороков у будущего потомства.

У плода при необходимости можно также определить кариотип. Анализ с высокой точностью указывает на генетические изменения, вызывающие различные заболевания (аутизм, синдром Дауна, а также синдромы Патау, Эдвардса, Клайнфельтера, Прадера-Вилли) и другие пороки. При их выявлении предлагаются дальнейшие пути решения выявленной проблемы.

Анализ кариотипа проводится для:

  • определения причин врожденных дефектов или заболеваний ребенка;
  • выявления аномальных хромосомных изменений у взрослого человека и их влияния на здоровье будущего ребенка;
  • определения дефекта хромосом, способных стать причиной самопроизвольного выкидыша или бесплодия;
  • выявления аномальных хромосом у плода;
  • выбора грамотного лечебного курса некоторых видов опухолей;
  • определения пола человека, чаще при гермафродитизме.

С помощью кариотипирования можно установить причинные факторы внутриутробной гибели плода, если имели место хромосомные проблемы.

Показания к проведению анализа

Для полноценного вынашивания и рождения здоровых детей проведение процедуры кариотипирования необходимо каждой паре. Поскольку с возрастными изменениями возможны хромосомные изменения, анализ в обязательном порядке рекомендуется женщинам, планирующим беременность после 35 лет. Это позволяет предупредить самопроизвольные аборты, остановку развития плода и неспособность к зачатию.

Если супруги уже имеют ребенка с проблемами в развитии, то перед планированием следующей беременности генетическое обследование настоятельно рекомендуется.

Анализ кариотипа также необходим для лиц, имеющих родственников с генетическими изменениями совокупности хромосом, для лиц, которые в процессе своей профессиональной деятельности постоянно подвергаются воздействию вредных факторов (физических, радиационных, химических).

Что делать при отклонениях

При обнаружении хромосомных аберраций или генных мутаций в период планирования беременности у одного из супругов генетик объясняет паре причины ее репродуктивных проблем и составляет индивидуальный план действий для достижения поставленной цели.

При предположении высокого риска потенциальных врожденных пороков и патологий у будущего малыша рекомендуется исследовать кариотипплода. Такое диагностирование возможно и в ранние сроки беременности. Оно предупреждает рождение ребенка с серьезными пороками развития, нередко несовместимыми с жизнью.

Поговорим про анализ крови на кариотип

Генетическая диагностика занимает особое положение в современной медицине. Она позволяет максимально четко определить врожденные пороки развития и предрасположенность к ним. Анализ на кариотип — один из самых востребованных методов такой диагностики.

Что это такое

Понятие это было введено советским ученым Григорием Левитским в начале двадцатого столетия. Оно включает совокупность всех признаков набора хромосом, присущие клеткам конкретного биологического вида, а в данном случае человеческого организма.

В норме кариотип человека определяется 46 хромосомами, организованными в 23 пары. В каждой паре одна из них передается от матери, а другая от отца.

Дополнительные подробности в видео

Если в этой структуре происходит сбой (не хватает одной хромосомы или появляется лишняя), у ребенка возникают аномалии развития.

Анализ крови

Исследование позволяет выявить аномалии в числе и структуре хромосом, которые могли привести к возникновению наследственных заболеваний, рождению у супругов ребенка с отклонениями в развитии, стать причиной бесплодия (как женского, так и мужского).

Много полезной информации на данную тему

Кариотипирование — процедура длительная и сложная, поэтому ее целесообразно проводить только в специализированных лабораториях, репродуктивных центрах, институтах генетики.

Как проводится диагностика

Материалом для исследования могут выступать любые делящиеся клетки, полученные из эпидермиса, костного мозга, через плаценту (при развитии плода в утробе матери), но чаще из крови (лимфоциты).

  • У пациента производят забор венозной крови, которую помещают в пробирку и отправляют в лабораторию на исследование.
  • Из полученного материала отделяют лимфоциты, помещают их в пробирку и добавляют вещество (митогены), заставляющее их активно делиться.
  • Затем добавляют другое вещество (колхицин), останавливающее клеточное деление на этапе метафазы.
  • Полученные результаты фиксируют, окрашивают специальным раствором (красителем) и фотографируют. Вся процедура осуществляется под микроскопом.
  • Из набора полученных фотографий формируется кариотип или нумерованный набор гомологичных хромосом. Расположив их по парам, специалист проводит их анализ.

Подготовка к исследованию

Диагностика не требует специальной подготовки. При этом пациенту нужно понимать, что процедура осуществляется в жизни всего 1 раз, поскольку кариотип со временем не меняется. Поэтому специалисты советуют придерживаться некоторых правил перед сдачей анализа:

  • Кровь не рекомендуется сдавать натощак в отличие от многих других видов исследования.
  • За 3-4 недели исключается прием антибиотиков.
  • Обязательно хорошо выспитесь накануне исследования, исключите влияние стрессовых ситуаций.

Показания для назначения процедуры

Генетическую диагностику можно проводить при наличии определенных медицинских показаний или без таковых (по желанию супругов).

Показания для проведения диагностики:

  • Неудачная беременность у женщин, повторяющиеся несколько раз подряд без видимых на то причин (замирание плода, выкидыш).
  • Подозрение на бесплодие отца или матери (обоих супругов не зависимо от пола).
  • Внутриутробная гибель плода.
  • Рождение ребенка с серьезными наследственными болезнями, аномалиями развития.

Что может определить кариотип?

Результаты исследования могут показать:

  • Риск рождения ребенка с патологиями в развитии (при исследовании кариотипа супругов).
  • Причину врожденной детской аномалии (умственная отсталость, ЗПР).
  • Распознавание хромосомных заболеваний плода (синдром дауна, Патау и другие).

С помощью кариотипирования можно четко проследить структуру хромосомного набора и выявить:

  • Разворот хромосомного участка (инверсия).
  • Потерю участка хромосомы или делецию.
  • Наличие лишней 3 хромосомы в паре (трисомия), что встречается при синдроме Дауна.
  • Удвоение фрагмента в цепочке (моносомия).
  • Перемещение участков в структуре хромосом (рокировка).

Что не может показать?

Несмотря на углубленность анализа, некоторые отклонения от нормы он распознать не сможет, а именно:

  • Положение каких-либо отдельных генов в цепочке ДНК.
  • Точное число генов в хромосомах.
  • Незначительные генные мутации из-за которых возникла патология плода.

Результаты анализа

Нормой результатов является:

  • * 46, XY, что соответствует нормальному мужскому кариотипу.
  • * 46, XX, что соответствует нормальному женскому кариотипу.

Такие значения относятся и к исследованию детей в соответствии с полом ребенка. Любые другие варианты специалист фиксирует согласно форме международной цитогенетической номенклатуре и делает расшифровку опираясь на принятые значения, например: 47, ХХ,+21; 47, XY,+21 (развивающиеся болезнь Дауна у плода — Трисомия по 21-й хромосоме), 47, ХХ,+13; 47, XY,+13 (синдром Патау у плода) и т.д.

Где сделать анализ?

Кариотипирование — дорогостоящий и трудоемкий процесс. В районных клиниках сдать кровь на этот анализ не получится ввиду отсутствия специалистов особого профиля и оборудования. Провести диагностику можно в центрах планирования семью, генетических институтах, широкопрофильных лабораториях, центрах матери и ребенка, некоторых современных клиниках.

  • В Москве услугу предоставляют: Инвитро, Семейная клиника Доктор Анна, ВитроКлиник, Центр молекулярной диагностики CMD, лаборатория ЦИР, Центр охраны здоровья матери и ребенка имени В.И. Кулакова, Центр медицины плода и другие.
  • В Санкт Петербурге услгу предоставляют: Центр репродукции Генезис, Клиника Мать и дитя, Клиника репродуктивных технологий ЭмбриЛайф, Клиника матери и ребенка, Инвитро, Клиника Ава-Петер и другие.

Цена и срок изготовления анализа

Кариотипирование относится к дорогостоящим методам диагностики. Примерная стоимость:

  • Исследование кариотипа одного пациента (кровь с гепарином) — 4500-7500 рублей.
  • Сдать анализ крови на кариотип с фотографиями хромосом — 5000-8000 рублей.
  • Кариотипирование с выявлением аберраций (кровь с гепарином) более информативный анализ, но стоимость его дороже — от 5500-6000 рублей.
  • Кариотипирование с выявлением аберраций с фотографиями хромосом — примерно от 6000 рублей.

Срок изготовления анализа нужно уточнять в том месте, где будет проводиться диагностика. Обычно он составляет от 14 до 28 дней (без учета дня взятия материала).

Анализ крови на кариотип является важной современной диагностической процедурой. Она позволяет точно оценить количество и структуру хромосом в организме человека. Это поможет выяснить причины врожденных аномалий у плода и генетических наследственных заболеваний.

Читайте также:  Лютеинизирующий гормон норма у женщин

Анализы > Исследование кариотипа

Данная информация не может использоваться при самолечении! Обязательно необходима консультация со специалистом!

Что такое кариотип?Кариотипом называется совокупность всех свойств хромосом соматических клеток организма – их количество, форма, особенности строения, размеры. Соматическими клетками называются клетки, из которых состоят все органы и ткани. Исключение составляют половые клетки – сперматозоиды и яйцеклетки.Исследование кариотипа называется кариотипированием. Это цитогенетический метод диагностики, направленный на выявление отклонений в числе и структуре хромосом. Подобные отклонения могут приводить к наследственным заболеваниям, бесплодию и рождению у обследуемого человека детей с тяжелейшими врожденными аномалиями. Клиническое значение исследования заключается в возможном выявлении хромосомной патологии.

Кто назначает исследование кариотипа, где его проходят?

Направить на исследование могут врачи-педиатры, неонатологи, акушеры-гинекологи, но направление на исследование выписывает медицинский генетик. Сдать кровь на этот анализ можно в лабораториях при центрах планирования семьи, у детей кровь могут взять в роддоме сразу после рождения.

Показания для кариотипирования

Исследование кариотипа назначают взрослым и детям. У взрослых чаще всего его используют при обследовании семейных пар для диагностики бесплодия. Показаниями со стороны мужчин является патология спермы – олигозооспермия, тератозооспермия, азооспермия необструктивная.

Со стороны женщин показаний к кариотипированию гораздо больше: аменорея, привычное невынашивание беременности, частые выкидыши и случаи мертворождения в анамнезе.

Рекомендуется пройти обследование семейным парам, у которых есть дети с генетической патологией, например, с синдромом Дауна, или с тяжелыми врожденными пороками развития (незаращением межжелудочковой перегородки, синдактилией, «заячьей» губой и др.). В обязательном порядке кариотипирование выполняют парам при направлении их на ЭКО.

Детям это исследование назначают при выявлении пороков развития, при выраженной умственной отсталости, при задержке психического и полового развития. Новорожденным детям определение кариотипа проводят при невозможности установить пол путем осмотра, такая ситуация отмечается при ложном гермафродитизме.

Как готовиться к исследованию?

В отличие от подготовки к другим анализам крови, на кариотип кровь сдавать следует в состоянии полной сытости, а не натощак.

За месяц до исследования рекомендуется воздержаться от применения антибактериальных препаратов. Предварительно пациент должен проконсультироваться у медицинского генетика и заполнить специальную анкету.

На анализ берут 5–10 мл венозной крови.

Кариотип в норме и при патологии – интерпретация результатов

Существует два варианта нормального кариотипа: женский – 46, XX, мужской – 46, XY. Цифры обозначают количество соматических хромосом, а буквы – половые хромосомы.Различают несколько вариантов патологии кариотипа: трисомии (полисомии) – появление одной или нескольких лишних хромосомы, моносомии – утрата одной хромосомы.

К патологии относят изменения и в структуре хромосом: делеция – выпадение участка хромосомы, дупликация – повторение участка, инверсия – разворот участка на 180 градусов и транслокация – перенос участка в другое место.

Примерами патологического кариотипа являются: 48,XXXY или 47,XXY – полисомия по Х-хромосоме или синдром Клайнфельтера, 45X0 – синдром Шерешевского – Тернера или моносомия по Х-хромосоме.

Встречаются трисомии по соматическим хромосомам: 47,ХХ или 47,ХY по 21-й паре – синдром Дауна, 47,ХХ или 47,ХY по 18-й паре – синдром Эдвардса. Пример делеции – 46,XX, 5р-, при которой отсутствует короткое плечо у 5-ой хромосомы (синдром кошачьего крика).

Кариотип супругов и планирование беременности

вторник, апреля 30, 2013 — 11:29

Вступая в брак, все мечтают о счастливой долгой жизни в окружении любимых детей. Однако счастье стать родителями, к сожалению, доступно не всем. Причин возникновения бесплодия великое множество, и генетические нарушения занимают среди них далеко не последнее место. Поэтому в развитых странах определение кариотипа супругов является обязательной процедурой для желающих заключить брачный союз.

Как мы помним из биологии, кариотипом называют описание хромосом в соматических клетках (их число, форму, размер и особенности строения).

Человек может быть обладателем участков перестроенных хромосом, даже не подозревая об этом.

Проблема всплывет только при попытке зачатия, ведь дефект хромосом в разы повышает риск замершей беременности, выкидыша или рождения ребенка с генетическими болезнями.

Конечно, изменение к лучшему кариотипа супругов невозможно. Но, зная о причинах бесплодия либо прерывания беременности, можно найти пути разрешения данной проблемы. К примеру, обратиться к программе искусственного оплодотворения. Причем, принимая во внимание высокий риск рождения нездорового потомства, всегда есть возможность воспользоваться донорским биоматериалом (яйцеклетки или сперма).

Кариотипирование

Кариотипирование, исследование кариотипа или цитогенетическй анализ — процедура, призванная выявить отклонения структуры строения и числа хромосом, имеющих возможность стать причиной бесплодия или наследственных болезней у будущего ребенка.

Любому организму присущ определенный набор хромосом, называемый кариотипом. Отличительная особенность кариотипа человека – 46 хромосом(44 аутосомы — 22 пары, которые имеют одинаковое строение в женском, и мужском организме, и пара хромосом половых).

Женщины являются обладательницами двух X хромосом (кариотип 46ХХ), мужчинам присущи: одна Х хромосома и одна Y хромосома (кариотип 46ХY).

Каждая из хромосом несет в себе гены, ответственные за наследственность, а кариотипирование, в свою очередь, позволяет обнаружить наследственные болезни, которые напрямую связанны с изменением кариотипа (сбои в хромосомном наборе, форма хромосом, дефекты отдельных генов).

К этим заболеваниям относят синдромы: Дауна, Патау, Эдвардса; синдром «кошачьего крика». Такие болезни обнаруживаются у людей, получивших в наследство кариотип 47, имеющий в своем наборе одну лишнюю хромосому.

Сегодня применяют два основных метода исследования кариотипа:

1. Анализ хромосом клеток крови обратившихся (цитогенетическое обследование);

2. Пренатальное кариотипирование (анализ хромосом плода).

Цитогенетическое обследование позволяет выявлять такие случаи бесплодия либо невынашивания беременности, когда шанс появления потомства резко снижен у одного из супругов, а иногда и вовсе отсутствует.

Кроме того, есть возможность обнаружить случаи значимого повышения нестабильности генома, и тогда специальное лечение антиоксидантами и иммуномодуляторами в некоторой степени снизит риски развития сбоев зачатия.

Пренатальное исследование кариотипа (кариотипирование) делает возможным определение хромосомной патологии плода на наиболее ранних сроках беременности.

И это весьма актуально, ведь неутешительные цифры медицинской статистики говорят, что из 350 новорожденных младенцев мужского пола, у одного обязательно обнаруживается кариотип 47XX или кариотип 47XY, влекущие за собой все сопутствующие заболевания.

Не стоит думать, что новорожденные девочки не страдают от генетических заболеваний. Синдром Тернера, который обуславливает кариотип 45 Х, как и иные заболевания, встречается также достаточно часто.

Существуют международные стандарты – рекомендации исследования хромосом в нижеследующих случаях:

  • хромосомная патология в семье или роду;
  • невынашивание беременности;
  • возраст беременной старше 35 лет (на 30 родов — 1 случай генетической патологии);
  • оценка мутагенных воздействий (химических, радиационных или иных).

Цитогенетическое обследование будущих родителей

Для проведения анализа хромосомного набора у пациентов берут кровь, выделяя лимфоциты. Затем их стимулируют в пробирке, заставляя делиться, а спустя несколько дней культуру обрабатывают специальным веществом, останавливающим деления клеток на стадии, когда уже видны хромосомы.

Из полученных в культуре клеток готовят мазки на стекла, которые затем используют для исследования. Получение дополнительной информации о возможном изменении кариотипа, дает использование специальной окраски, в результате которой все хромосомы получают специфическую поперечную исчерченность.

Когда кариотип и идиограмма(систематизирование изображение набора хромосом) получены, начинается процедура анализа. Генетик исследует под микроскопом 11 или 13 клеток, чтобы выявить изменение кариотипа (хромосомного набора), пытаясь обнаружить количественные и структурные несоответствия.

К примеру, при синдроме Тернера, проявляющимся низким ростом, особенностями строения лица и женским бесплодием, выявляется кариотип 45Х, т.е. в наличии одна Х-хромосома а не две, как в норме. При синдроме Клайнфельтера, характеризующимся мужским бесплодием, наоборот существует лишняя Х-хромосома, что будет выражено кариотипом 47 ХХ.

Кроме того, выявляются структурные нарушения самих хромосом, таких как: инверсия – поворот участка хромосом на 180°; делеция – выпадение участков хромосом, транслокация – перенос фрагментов одних хромосом на другие хромосомы и др.

Пренатальная диагностика

Данный комплекс процедур — внутриутробное обследование ребенка до его рождения, направленный на выявление наследственных заболеваний или пороков развития. Существует несколько видов этого исследования.

1. Неинвазивные методы. Они совершенно безопасны и подразумевают ультразвуковое исследование плода и выявление определенных биохимических маркеров из крови беременной женщины.

2. Инвазивные методы, которые предполагают контролируемое «вторжение» в матку, с целью забора материала для исследования. Так можно с точностью определить изменение кариотипа плода и предупредить о возможных сопутствующих патологиях (синдромы Дауна, Эдварса и др.)

К инвазивным процедурам относят: биопсию хориона, амниоцентез, плацентоцентез, кордоцентез. Для чего с целью исследования производят забор клеток хориона либо плаценты, околоплодных вод или крови, взятой из пуповины плода.

Выполнение инвазивных процедур имеет риски возникновения осложнений, поэтому их проводят только по строгим показаниям:

  • возрастной ценз (женщины старше 35);
  • уже рождавшиеся в семье дети с изменением кариотипа или пороками развития;
  • носительство родителями хромосомных перестроек;
  • изменение уровня биохимических маркеров (PPAP, ХГЧ, АФП);
  • обнаружение патологий во время УЗИ плода.

Инвазивную диагностику проводят и в случае существования для плода высокого риска развития генного заболевания или определения пола младенца при болезнях, наследование которых сопряжено с полом (к примеру, гемофилия, которую мать способна передать только сыновьям).

Все инвазивные процедуры проводятся только опытными специалистами в дневном стационаре и под контролем УЗИ. После манипуляций беременная еще пару часов будет находиться под наблюдением.

В целях профилактики возможных осложнений женщине назначают некоторые лекарственные средства.

Полученные клетки плода анализируются молекулярными методами с целью выявления изменения кариотипа и выявления конкретных генных заболеваний.

Сегодня, таким методом имеется возможность диагностики 300 из 5 тыс. известных наследственных заболеваний, таких, как: гемофилия, фенилкетонурия, муковисцидоз, мышечная дистрофия Дюшенна и другие.

__________________________________________


Смотрите также