
Агенезия мозолистого тела головного мозга: причины, лечение, последствия
Агенезия мозолистого тела – это врожденная патология головного мозга. Она начинает развиваться еще во внутриутробном периоде под воздействием генетических факторов. Это очень редкое заболевание, поражающее сплетение нервов головного мозга, которые соединяют полушария. Этот участок мозга называют мозолистым телом. Он имеет плоскую форму и располагается под корой мозга.
Что это за болезнь
Если у ребенка агенезия мозолистого тела, то спаек, которые должны соединять левое полушарие с правым, практически нет. Патологический процесс поражает одного из двух тысяч детей и развивается в результате наследственной предрасположенности или необъяснимых генных мутаций.
Точные причины нарушений определить чаще всего нельзя. Патология характеризуется двумя клиническими синдромами:
- Первый случай более легкий. Больной сохраняет интеллектуальные способности и двигательную активность. Агенезию в этом случае можно выявить по наличию сбоев передачи импульсов от одного полушария к другому. Например, если больной является левшой, то он не может понять, что находится в его левой руке.
- Второй случай, кроме агенезии, сопровождается другими пороками развития органа, наблюдаются серьезные нарушения в передвижении нейронов и водянка головного мозга. Больной при этом ощущает приступы судорог, его умственное развитие замедляется.
При нормальном формировании всех структур головного мозга мозолистое тело будет плотным сплетением, состоящим из нервных волокон, предназначенных для объединения полушарий и обеспечения передачи информации между ними. Формирование этого участка происходит на 3-4 месяце беременности. Образование мозолистого тела завершается на шестой неделе.
Агенезия мозолистого тела может быть разной степени тяжести. Этот участок органа может полностью отсутствовать, быть частично или неправильно сформирован или недостаточно развит.
Чаще всего выяснить, почему этот недуг поразил ребенка, нельзя. Но специалистам удалось выделить ряд факторов, которые повышают риск развития подобных нарушений во внутриутробном периоде. Это может произойти:
- в результате процесса спонтанной мутации;
- при генетической предрасположенности к болезни;
- под воздействием перестройки хромосом;
- из-за употребления токсических медикаментов в период вынашивания ребенка;
- из-за недостатка питательных веществ во время беременности;
- в случае травмы беременной или заражения вирусными инфекциями;
- из-за нарушения обмена веществ в организме женщины;
- из-за употребления алкогольных напитков и курения во время вынашивания плода.
Так как точные причины выявить нельзя, то можно обезопасить ребенка от этой патологии путем устранения провоцирующих факторов.
Как проявляется патологический процесс
При агенезии мозолистого тела могут быть разные симптомы. Все зависит от того, какие нарушения возникли во внутриутробном периоде, и насколько плохо развит головной мозг. Если данная аномалия присутствует у ребенка, то это будет иметь следующие проявления:
- Происходят атрофические процессы в слуховых и зрительных нервах.
- В месте соединения полушарий мозга образуются кистообразные полости и опухоли.
- Наблюдается недостаточное развитие тканей мозга.
- Повышается склонность к судорожным приступам, которые очень тяжело переносятся.
- Есть нарушения в виде лицевого дизморфизма.
- Органы зрения недостаточно развиты.
- В полушариях мозга возникают кисты.
- В глазном дне есть патологические нарушения.
- Психомоторное развитие замедляется.
- В коре головного мозга образуются аномальные щели.
- Могут возникать липомы. Это доброкачественные новообразования, состоящие из жировых клеток.
- Желудочно-кишечный тракт неправильно развит, и в нем могут быть новообразования.
- Рано наступает половое созревание.
- Тонус мышц на низком уровне.
- Нарушена координация движений.
Кроме этих признаков, о наличии агенезии может свидетельствовать синдром Айкарди, когда головной мозг и органы зрения аномально развиты. Это довольно редкое заболевание. При агенезии могут также наблюдаться поражения кожного покрова и костной ткани. Подобная клиническая картина крайне негативно отражается на состоянии и развитии ребенка и отличается довольно низкими шансами на благоприятный исход.
Как ставят диагноз
Агенезия мозолистого тела достаточно сложная в процессе диагностики. Большую часть случаев определяют еще во время беременности на последнем триместре. Для постановки диагноза используют такие методики:
- Эхографию. Процедура заключается в изучении структуры органа с помощью ультразвуковых волн. Но она позволяет выявить проблему не во всех случаях. Если наблюдаются частичные аномалии развития, то заметить их с помощью этого исследования достаточно трудно.
- Ультразвуковое исследование.
- Магнитно-резонансную томографию.
Выявить агенезию трудно из-за того, что она очень часто развивается в сочетании с другими генетическими нарушениями. Чтобы точно определить наличие агенезии, проводят кариотипирование. Это исследование, в ходе которого анализируют кариотип (признаки набора хромосом) клеток человека. В дополнение к этой методике используют магнитно-резонансную томографию и ультразвуковой анализ.
Применение этих диагностических процедур позволяет точно определить состояние головного мозга ребенка.
Лечится ли эта аномалия?
На сегодняшний день терапевтических процедур, которые помогли бы вылечить ребенка от агенезии мозолистого тела, нет. Применяются лишь коррекционные методики, которые подбирают в индивидуальном порядке в зависимости от степени нарушений и общего состояния организма больного.
С помощью лечения могут лишь облегчить симптоматику патологии. Но большинство специалистов утверждают, что все общепринятые методики не дают никакого результата. В основном практикуется применение сильнодействующих препаратов. Облегчить состояние больного пытаются с помощью:
- Бензидиазепинов. Это психоактивные вещества, которые обладают снотворными, седативными, миорелаксическими и противосудорожными свойствами.
- Фенобарбитала. Это барбитурат противоэпилептического действия. Он снижает частоту приступов, если есть инфантильные спазмы.
- Кортикостероидных гормонов. Таких, как Преднизолон, Дексаметазон. Их обычно сочетают с антиэпилептическими средствами.
- Нейролептиков. С помощью которых устраняют психотические расстройства.
- Диазепама. Он помогает уменьшить поведенческие расстройства.
- Ноотропов, которые оказывают специфическое воздействие на психические функции головного мозга. Обычно применяют лечение Пирацетамом или Семаксом. Они способствуют улучшению питания тканей головного мозга, что положительно отражается на его функционировании.
- Нейропептидов. Чаще всего используют Церебролизин.
Также для облегчения состояния детей используют Аспаркам или Диакарб.
Кроме медикаментозных средств, иногда возникает необходимость в оперативном вмешательстве. Например, могут стимулировать блуждающий нерв. Но подобную терапию разрешено проводить только в ситуациях, когда в результате агенезии возникли серьезные сбои в работе жизненно важных органов. Эта процедура проводится, если другие виды оперативных вмешательств не принесут результата. В ходе лечения используют генератор электрических импульсов. Он посылает импульсы в нерв, который располагается в области шеи и связывает головной мозг с телом, а нерв передает их головному мозгу.
Генератор импульсов устанавливают под кожу в подключичной области. После этого делают разрез на шее и подключают электроды к блуждающему нерву. Частоту передачи импульсов определяет врач и регулирует их на каждом осмотре.
Благодаря процедуре уменьшается частота эпилептических приступов, и они легче переносятся. Но на каждого больного такое лечение действует по-разному.
Так как агенезия мозолистого тела головного мозга может привести к костно-мышечным нарушениям и вызывает сколиоз, то могут применяться физиотерапевтические методики и лечебная физкультура. Иногда могут проводить оперативное вмешательство.
Прогноз и последствия
На сегодняшний день проводятся исследования, которые в будущем, возможно, помогут определить причины патологии и найти эффективный способ лечения.
Прогноз при подобном диагнозе может быть разным в зависимости от общего состояния организма. Если к агенезии добавились другие нарушения в развитии, то последствия будут тяжелыми.
Более чем у восьмидесяти процентов детей, рожденных с этой аномалией, нет никаких сопутствующих патологий, могут наблюдаться лишь небольшие нарушения неврологического характера.
Чаще всего при агенезии начинают развиваться различные патологические процессы и нарушения, поэтому надеяться на то, что исход будет благоприятным, нельзя.
Дети с агенезией страдают от нарушений интеллектуальных способностей, неврологических симптомов, медленно развиваются и имеют другие проблемы со здоровьем, которые не позволяют им прожить долгую жизнь.
Лечение больному назначают в зависимости от симптомов, сопровождающих аномалию, но оно не приносит существенных результатов. Поэтому агенезию относят к врожденным аномалиям, которые приводят к множеству нарушений и имеют весьма неблагоприятный прогноз.
Агенезия мозолистого тела относится к патологиям, о которых науке мало что известно. Специалистам неизвестны причины развития подобных аномалий во внутриутробном периоде, они не располагают информацией, которая помогла бы продлить жизнь ребенку. Известны лишь факторы, позволяющие повысить риск развития патологии у плода.
Есть вероятность, что в дальнейшем будут открыты терапевтические методики, способствующие не только облегчению течения заболевания, но и воздействующие на устранение основной причины.
Очень редко нарушение развивается изолировано и обеспечивает больному хороший прогноз. При этом наблюдается положительный рост и развитие детей, у которых патология сопровождается лишь небольшими неврологическими нарушениями. Если сочетаются несколько врожденных пороков развития, то надеяться на то, что ребенок проживет долгую жизнь, нельзя. Последствия и выбор терапевтических методик зависит от того, насколько сильно поражена центральная нервная система.
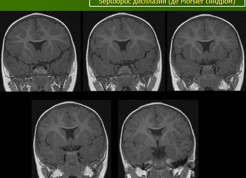
Ru: Что такое агенезия прозрачной перегородки
Синдромальные формы септо-оптической дисплазии. Помимо перечисленного, заболевание может проявляться с синдромом Айкарди. У этой патологии есть два клинических синдрома.
Эта патология развивается в одном случае из двух тысяч зачатий и может быть вызвана наследственностью или спонтанными необъяснимыми генными мутациями. Около 80% детей не имеет никаких нарушений в развитии или же наблюдаются незначительные неврологические проблемы. В случаях, когда нарушение не сопряжено с возникновением других патологий в развитии прогнозы благоприятные.
Эта патология может вызывать нарушения в костно-мышечной системе и являться причиной возникновения сколиоза, поэтому специалисты назначают физиотерапию и лечебную физкультуру.
Лечение направлено на то, чтобы сводить к минимуму проявления заболевания.
Это генетическое заболевание встречается крайне редко и характеризуется аномалией развития мозга и органов зрения.
В таких случаях больные страдают от тяжелых судорожных припадков, а также отстают в умственном развитии.
У пациентов этой группы имелась тенденция к манифестации состояния в виде судорог и/или глазной симптоматики.
Они имели нормальный размер желудочков мозга, остаток прозрачной перегородки и нормально выглядящую зрительную лучистость (пучок Грациоле). Из этого можно сделать вывод, что эффективных мер по профилактике агенезии мозолистого тела не существует. Форма мозолистого тела—плоская и широкая. Мозолистым телом называют сплетения нервов головного мозга, соединяющих правое и левое полушария. Очки с линзами из специального поликарбонатного оптического пластика защищают глаза пациентов и прописываются для постоянного ношения.
Были у окулиста сегодня, небольшую дисплазию нашли, но говорят, что может это от недоношенности и гипоксии. Эктопия задней доли гипофиза ( posterior pituitary ectopia – PPE )- это эктопия группы клеток, функция которых такая же нормальная как у задней доли гипофиза. У более чем 93% пациентов с гипоплазией зрительного нерва описан дефицит гормона роста (6,9,13,30).
Сколько дней отведено пациентам?
До 1 года отклонения не были заметны. Врач высшей квалификационной категории. В этом случае все меры направлены на следствие, но никак не воздействуют на причину. На сегодняшний день медики не располагают достаточными знаниями о причинах ее возникновения в каждом конкретном случае, выявлены лишь факторы, способные послужить толчком к развитию данной патологии. В наше время агенезию тщательно изучают, но добиться ощутимых результатов пока не удалось.
У нас девочка хоть и недоношенная, но развивается вроде неплохо. Конечно, такой диагноз насторожил и растроил, потому что она уже родная и так хочется чтобы не было непоправимого. Спасибо большое за ответы!
Прозрачная перегородка головного мозга
Человеческий мозг – настолько сложный орган, что до сих пор не изучен досконально. Современная наука продолжает активно изучать особенности его строения и функционирования. В человеческом головном мозге существует множество отделов, каждый из которых выполняет определенную функцию, однако все эти отделы неразрывно связаны между собой.
Оглавление:
Нередко после прохождения магнитно-резонансной терапии в заключении можно прочитать множество непонятных терминов, в которых разобраться сможет разве что опытный специалист. Одним из таких терминов является «киста прозрачной перегородки головного мозга».
Данный диагноз не является редким. Примерно у 25% пациентов, прошедших МРТ, можно увидеть подобную запись в результатах обследования. Что же это за диагноз такой?
Головной мозг человека покрыт тремя слоями мозговых оболочек: твердой, паутинной (арахноидальной) и мягкой оболочкой. Под арахноидальной оболочкой расположены жидкостные пространства, в которых циркулирует ликвор (жидкая среда, окружающая мозг). Прозрачная перегородка мозга состоит из двух тонких пластинок мозгового вещества, которые разделены при помощи щелевидной полости, расположенной между передней частью и сводом мозолистого тела мозга. Киста прозрачной перегородки – вид арахноидальной кисты, когда жидкость скапливается между пластинками прозрачной перегородки мозга.
Причины возникновения кист прозрачной перегородки головного мозга
По происхождению такие кисты делят на врожденные (первичные) и приобретенные (вторичные). Причиной приобретенных кист могут стать различные перенесенные заболевания, воспалительные процессы в оболочке мозга, травмы, сотрясения и кровоизлияния.
Локализируется киста прозрачной перегородки в определенной части головного мозга, в самом безопасном месте.
Когда пациент получает на руки результаты магнитно-резонансной терапии с результатом «арахноидальная киста прозрачной перегородки мозга», ему следует обратиться за консультацией к нейрохирургу или неврологу.
Симптомы кисты прозрачной перегородки
Следует знать, что киста прозрачной перегородки головного мозга – это не патология, а аномалия развития. В подавляющем большинстве случаев киста – это вариант нормальной анатомии головного мозга, которая не представляет существенной опасности для пациента. Протекает подобная киста бессимптомно и специального лечения не требует.
Но если киста имеет не врожденный характер, а приобретенный, и вызвана различными заболеваниями или травмами, она может иметь такие симптомы, как головная боль, ощущение сдавливания головы, шум в ушах, нарушение слуха и другие признаки.
Основная опасность подобной кисты – возможность ее неконтролируемого роста, в результате чего она начинает давить на какой-либо отдел головного мозга, затрудняя его полноценную работу.
Именно поэтому киста требует регулярного наблюдения при помощи МРТ-исследования. Врач будет рекомендовать пациенту периодически проходить магнитно-резонансную терапию каждые 6-12 месяцев.
Лечение кисты прозрачной перегородки
Если по результатам очередного контрольного исследования выяснится, что киста увеличивается в размерах, это означает, что поврежденный фактор продолжает свое негативное воздействие на мозг, поэтому это является толчком к поиску причины, которая способствовала возникновению и росту кисты.
МРТ способно дать информацию только о расположении и размерах кисты, а вот установить причину ее возникновения может помочь тщательное обследование пациента на предмет аутоиммунных заболеваний, инфекционных процессов, нарушения кровообращения. Пациенту проводят исследование сердца на ЭКГ и ЭХО-КГ, исследование кровотока по сосудам мозга на УЗДГ, анализ крови на свертываемость и уровень холестерина, мониторинг артериального давления, анализы на различные инфекции и т.д.
В некоторых случаях может быть назначено медикаментозное лечение кисты прозрачной перегородки при помощи рассасывающих и ноотропных лекарственных средств.
Примерно больше половины подобных кист вообще не нуждаются в каком бы то ни было лечении, однако может назначаться непосредственно лечение того заболевания, которое спровоцировало появление кисты.
Видео с YouTube по теме статьи:
Информация является обобщенной и предоставляется в ознакомительных целях. При первых признаках болезни обратитесь к врачу. Самолечение опасно для здоровья!
Печень – это самый тяжелый орган в нашем теле. Ее средний вес составляет 1,5 кг.
Самая высокая температура тела была зафиксирована у Уилли Джонса (США), который поступил в больницу с температурой 46,5°C.
Вес человеческого мозга составляет около 2% от всей массы тела, однако потребляет он около 20% кислорода, поступающего в кровь. Этот факт делает человеческий мозг чрезвычайно восприимчивым к повреждениям, вызванным нехваткой кислорода.
Человеческие кости крепче бетона в четыре раза.
Согласно исследованиям ВОЗ ежедневный получасовой разговор по мобильному телефону увеличивает вероятность развития опухоли мозга на 40%.
Во время чихания наш организм полностью прекращает работать. Даже сердце останавливается.
Самое редкое заболевание – болезнь Куру. Болеют ей только представители племени фор в Новой Гвинее. Больной умирает от смеха. Считается, что причиной возникновения болезни является поедание человеческого мозга.
Даже если сердце человека не бьется, то он все равно может жить в течение долгого промежутка времени, что и продемонстрировал нам норвежский рыбак Ян Ревсдал. Его «мотор» остановился на 4 часа после того как рыбак заблудился и заснул в снегу.
В Великобритании есть закон, согласно которому хирург может отказаться делать пациенту операцию, если он курит или имеет избыточный вес. Человек должен отказаться от вредных привычек, и тогда, возможно, ему не потребуется оперативное вмешательство.
Упав с осла, вы с большей вероятностью свернете себе шею, чем упав с лошади. Только не пытайтесь опровергнуть это утверждение.
Кровь человека «бегает» по сосудам под огромным давлением и при нарушении их целостности способна выстрелить на расстояние до 10 метров.
Человек, принимающий антидепрессанты, в большинстве случаев снова будет страдать депрессией. Если же человек справился с подавленностью своими силами, он имеет все шансы навсегда забыть про это состояние.
Люди, которые привыкли регулярно завтракать, гораздо реже страдают ожирением.
Во время работы наш мозг затрачивает количество энергии, равное лампочке мощностью в 10 Ватт. Так что образ лампочки над головой в момент возникновения интересной мысли не так уж далек от истины.
Если улыбаться всего два раза в день – можно понизить кровяное давление и снизить риск возникновения инфарктов и инсультов.
Вред повышенного уровня «плохого» холестерина для организма очевиден. Уже доказано, что такое состояние приводит к атеросклерозу и, следовательно, повышает риск.
Источник: https://www.neboleem.net/kista-prozrachnoj-peregorodki.php
Особенности развития агенезии прозрачной перегородки головного мозга у плода и последствия для ребенка
Прозрачная перегородка представляет собой две тонкие пластины, которые располагаются между передней частью и мозолистым телом. Отсутствие полости прозрачной перегородки называют агенезией.
Причины развития патологии
Агенезия прозрачной перегородки головного мозга — редкие и аномальные заболевания ЦНС
Каждая оболочка головного мозга выполняет определенную функцию. Прозрачная перегородка является мозговым веществом и состоит из двух пластин.
Агенезия – одна из составляющих большинства врожденных пороков головного мозга. Отсутствие перегородки обусловлено неправильным формированием или недоразвитием мозолистого тела.
Агенезия полости прозрачной перегородки относят к аномалиям центральной нервной системы и встречается довольно редко. Характеризуется данная патология полным или частичным отсутствием полости прозрачной перегородки. Данная аномалия достаточно не изучена. Развивается порок уже на второй недели после зачатия.
Предрасполагающие факторы к развитию агенезии:
- Наследственность
- Мутации
- Внутриутробные инфекции
- Недостаточное поступление питательных веществ к плоду
Также на развитие патологии влияют токсические вещества и лекарственные препараты, которые женщина принимала в период беременности. Способствовать врожденным аномалиям головного мозга может употребление таких препаратов, как Триметадион, Фенитоин, Изотретиноин и некоторые другие. Эти лекарственные средства, применяемые в первом триместре беременности, оказывают влияние на формирование головного мозга и могут привести к дефектам развития.
Если будущая мама употребляла алкоголь, то у ребенка развивается фатальный алкогольный синдром. Это также предрасполагает к врожденной патологии. Инфекции матери или полученные травмы нанедели беременности могут привести к нарушениям в развитии мозга плода.
Чаще всего такая патология наследуется или возникает при спонтанных мутациях.
Агенезия прозрачной перегородки не возникает изолированно. Обычно патология является частью различных церебральных аномалий: агенезия мозолистого тела, порэнцефалия, гидранэнцефалия, септо-оптическая дисплазия, голопрозэнцефалия и др.
Клинические проявления
Признаки патологии проявляются в первые годы жизни малыша
Симптомы в тяжелой форме выявляются в детском возрасте в течение первых двух лет жизни. При рождении дети с агенезией выглядят здоровыми и развиваются нормально до трех месяцев. На данном этапе развития появляются первые признаки патологии.
При агенезии наблюдаются следующие симптомы:
- Появление порэнцефалии
- Микроэнцефалия
- Недостаточное формирование извилины
- Синдром Айкарди
- Атрофия зрительных и слуховых нервов
Также на фоне патологии может наблюдаться раннее половое созревание, приступы и припадки. Проявляться патология может по-разному. При частичной агенезии указанные признаки могут не наблюдаться у ребенка и не влиять на развитие, однако нужно будет регулярно наблюдаться у невролога. Иногда агенезия может протекать без клинических проявлений на протяжении нескольких лет.
Диагностика
Патологию у ребенка можно выявить еще при беременности
Диагностируется патология во 2-3 триместре беременности. В пренатальный период выявить аномалии головного мозга довольно сложно, так как плод может принять такое положение, что не позволит четко рассмотреть все структуры мозга. Определить аномалию можно на УЗИ с 18 недели беременности, не раньше. После рождения для подтверждения диагноза назначают энцефалографию, УЗИ, КТ, МРТ.
Исследовать структуры полости черепа у детей с рождения при возможной агенезии можно с помощью нейросонографии. Проводится процедура через открытый родничок. Благодаря нейросонографии можно исследовать структуры мозга. С помощью УЗИ можно обнаружить патологию в головном мозге даже в том случае, если она не сопровождается симптомами. Благодаря компьютерной томографии можно детально оценить состояние и выявить возможные нарушения в головном мозге, а также выявить возможные образования.
При подозрении на агенезию прозрачной перегородки и мозолистого тела выполняют МРТ.
Данный метод дополняет нейросонографию и позволяет выявить отсутствие перегородки, изменение структуры желудочков головного мозга. Магнитно-резонансная томография помогает определить характер поражения, отсутствие прозрачной перегородки и другие патологии, которые невозможно определить на УЗИ. Если агенезия частичная, то выявить патологию еще труднее.
Лечение и прогноз
Не существует определенных методик лечения для коррекции агенезии мозолистого тела и на его фоне отсутствие прозрачной перегородки. В основном лечение заключается в устранении серьезных симптомов, проявляющиеся при агенезии у ребенка, или в уменьшении их проявления. Из медикаментозных препаратов назначают антиэпилептические средства, бензодиазепины, кортикостероидные гормоны. Однако даже консервативное лечение может не принести положительных результатов.
Из кортикостероидных гормонов используют преимущественно Преднизолон и Дексаметазон. Пациентам с врожденной патологией назначают Фенобарбитал. Это средство относится к противосудорожным. Бензодиазепины являются психоактивными веществами, которые воздействую на центральную нервную систему, и оказывают седативное, снотворное, анксиолитическое действие.
Полезное видео — УЗИ головного мозга у новорожденного.
Два передние желудочки мозга разделяются прозрачной перегородкой. С её помощью мозолистое тело прикрепляется к своду черепа. При отсутствии перегородки столб лежит на дне переднего желудочка. По размеру он больше, чем вместе взятых 2 передних желудочка.
Последствия агенезии перегородки связывают с неврологическими расстройствами, умственной отсталостью, неспособностью к обучению.
У некоторых пациентов с агенезией перегородки не наблюдалась предрасположенность к умственным расстройствам и неврологическим нарушениям.
Если аномалия развивается самостоятельно и не сопровождается другими патологиями, то прогноз в большинстве случаев благоприятный. Дети с такой патологией развиваются практически нормально или имеют некоторые проблемы в неврологическом развитии. Однако в случае развития различных аномалий головного мозга прогноз неблагоприятный.
Добавить комментарий Отменить ответ
В продолжение статьи
Мы в соц. сетях
Комментарии
- ГРАНТ – 25.09.2017
- Татьяна – 25.09.2017
- Илона – 24.09.2017
- Лара – 22.09.2017
- Татьяна – 22.09.2017
- Мила – 21.09.2017
Темы вопросов
Анализы
УЗИ / МРТ
Новые вопросы и ответы
Copyright © 2017 · diagnozlab.com | Все права защищены. г. Москва, ул. Трофимова, д. 33 | Контакты | Карта сайта
Содержание данной страницы исключительно ознакомительного и информационного характера и не может и не являет собой публичную оферту, которая определяется ст. №437 ГК РФ. Предоставленная информация существует с ознакомительной целью и не заменяет обследование и консультацию у врача. Имеются противопоказания и возможны побочные эффекты, проконсультируйтесь с профильным специалистом
Источник: https://diagnozlab.com/analysis/immunolog/antiphospholipid/ageneziya-prozrachnoj-peregorodki-golovnogo-mozga.html
Мозг человека – невероятно сложный орган, который, несмотря на многие годы исследований, до конца не изучен. Огромное количество отделов, находящихся в этом органе, отвечают за осуществление разных функций организма. Они тесно друг с другом связаны, поэтому сбой в работе одного отдела может повлечь за собой нарушение в другом. Одно из весьма распространенных заболеваний, которое определяется у четверти пациентов, прошедших МРТ мозга – это киста прозрачной перегородки головного мозга. Что она собой представляет?
Данное заболевание – врожденный порок развития. Он представляет собой образование в межжелудочковой перегородке, которое располагается между слоями мозговой оболочки. Прозрачная перегородка головного мозга – это мозговая ткань, которая имеет вид двух тонких пластин. Между этими пластинами находится полость в виде щели – она расположена между мозолистым телом и передней частью мозга. Киста прозрачной перегородки – это скопление жидкости в щелевидной полости. Место, где расположена эта область, в результате определенных причин изолируется и там начинает накапливаться жидкость из-за градиента давления. После того, как данная полость достигнет определенных размеров, происходит сдавливание окружающих тканей. Может произойти сдавление венозных сосудов, повышение внутричерепного давления. Если это не предотвратить, передавленные сосуды вызывают изменения в ткани мозга, а это становится причиной усугубления симптомов и повышения их количества.
Распространенность заболевания
Данное заболевание – одно из самых распространенных: у новорожденных детей находят кисту перегородки в 60% случаев, а при недоношенности – у всех детей. Со временем она проходит, но у многих остается и если заболевание протекает бессимптомно, человек даже не догадывается о наличии данного недуга.
Часто кисту находят совершенно случайно: специалисты ее не относят к патологии и протекает она совершенно без каких-либо симптомов. Но в некоторых случаях киста увеличивается и достигает таких размеров, когда появляется определенная симптоматика: боли в голове, раздражительность, шум в ушах, потеря памяти, ухудшение слуха.
Виды образований
Выделяют такие разновидности образований головного мозга данного типа:
- арахноидальная киста;
- ретроцеребеллярная киста;
- прочие ликворные кисты.
Киста прозрачной перегородки большинством специалистов относится к определенному виду арахноидальных кист. В зависимости от расположения киста может быть передних отделов межжелудочковой перегородки, либо простираться до мозжечка и мозолистого тела.
По происхождению киста может быть приобретенной или врожденной. Приобретенное заболевание появляется в результате воспалительных процессов в мозговой оболочке, травм, кровоизлияний или сотрясений. Место возникновения данного типа кист – самая безопасная часть мозга. Однако при выявлении такого заболевания желательно, чтобы пациент получил консультацию нейрохирурга и невролога.
Симптомы заболевания
Если киста прозрачной перегородки врожденная, то это вариант нормы и протекает он без каких-либо симптомов. Соответственно, никакого лечения не требуется. Но в том случае, когда киста появилась в результате воспаления, травмы или какого-то заболевания, возможны частые головные боли, ощущение сдавливания в голове, шум в ушах и прочие признаки.
Особенность такого диагноза – возможный бесконтрольный рост кисты. Это может создать давление на какой-либо отдел мозга и нарушить его нормальную работу. В данном случае требуется постоянный контроль образования с помощью магниторезонансного томографа. Врачи рекомендуют проходить такое исследование раз в полгода или раз в год.
Как правило, локализация кисты довольно типична и не вызывает каких-либо затруднений при диагностике. Иногда обнаруживают полости гигантских размеров, в таких случаях требуется проведение нормализации этой области хирургическим путем, чтобы можно было судить о причинах возникновения данной аномалии и ее точной локализации.
Помимо МРТ достаточно информативным считается метод исследования компьютерная томография мозга. Врачом могут быть назначены дополнительные диагностические процедуры: ЭКГ, УЗИ мозга, анализ крови и контроль давления.
Если на одном из последующих МРТ выражен рост образования, это говорит о том, что негативное воздействие на головной мозг продолжается. В данном случае врач должен найти причину роста кисты. При помощи МРТ выявить причину не удастся: необходимо провести ряд дополнительных исследований. Надо выявить возможный воспалительный процесс, нарушения в работе системы кровообращения или наличие аутоиммунных заболеваний. В выявлении причины данной аномалии помогают исследование крови на холестерин, сердца при помощи ЭХО-КГ и ЭКГ, а также исследуют кровоток в сосудах мозга на УЗДГ. Обязательно проверяют свертываемость крови и наличие инфекций.
Лечение кисты
К лечению приступают сразу же после выявления причины роста кисты. Чаще всего лечение консервативное и заключается оно в приеме лекарственных препаратов. Применяют лекарства ноотропного воздействия, а также рассасывающие препараты. В половине случаев собственно киста не требует лечения, врачи назначают препараты для лечения того недуга, который провоцирует ее рост. Кроме этого применяются препараты, которые улучшают отток жидкости из данной полости мозга, и лекарства, снижающие внутричерепное давление. Применяются диуретики (например, маннит) и стимулирующие мозговое кровообращение препараты (стугерон, актовегин).
Если данные методы не приводят к необходимым результатам, рекомендуется оперативное вмешательство. Операция состоит в следующем: в желудочек, который граничит с кистой, вводят зонд и с его помощью в стенках образования создают отверстия, через которые жидкость уходит в полость желудочков мозга, в результате чего полость кисты становится меньше. Эффективность такой операции доказана для кист однокамерного строения. Почти в 80% случаев такое лечение приводит к хорошим результатам. Однако, в отдельных случаях сомкнутые после дренирования стенки кисты могут снова перекрыть созданное отверстие. В данном случае показана повторная операция, при которой в область желудочков и кисты вводится специальная трубка, которая служит для дренирования и предотвращает последующее скопление жидкости в указанных полостях.
Профилактика
Как таковых профилактических мер, предупреждающих появление кисты прозрачной перегородки мозга, не существует. Необходимо избегать травм, инфекций, способных спровоцировать данное образование. Если киста обнаружена, требуется регулярно консультироваться с неврологом, каждые 6 месяцев или год в зависимости от динамики заболевания. Также нужен мониторинг кисты с помощью КТ или МРТ.
Если пациент перенес операцию по удалению ликвора из такого образования, каждые 4 или 6 месяцев необходимо посещать нейрохирурга и невролога. Для предотвращения приобретенного заболевания избегайте травмоопасных видов спорта, вовремя обращайтесь в лечебное учреждение при подозрении на воспалительные процессы, вовремя начинайте лечение воспалительных заболеваний.
Источник: https://headache.su/prozrachnaya-peregorodka-golovnogo-mozga.html
Киста прозрачной перегородки головного мозга: лечение и вероятные осложнения
Киста – одна из форм патологических процессов, которая проявляется в виде развития кист в различных типах тканей. Такие образования могут возникать в разных органах человеческого организма, поражать оболочки, железы внутренней секреции. Кроме этого, кистозный процесс может возникать в прозрачной перегородке мозга.
Описание и причины болезни
Прозрачная перегородка, находящаяся в головном мозгу, представляет собой свободное пространство, заполненное спинномозговой жидкостью. Ее передняя доля располагается в непосредственной близости от мозолистого тела – одного из мозговых отделов. Задняя часть перегородки ограничивается столбами мозгового свода.
Киста прозрачной перегородки головного мозга
Наличие такой перегородки является аномалией. В норме, перегородка закрывается в возрасте до 6 месяцев, что связано с увеличением в размерах мозговых структур. Сохранение свободного пространства отмечается только в 15% случаев. Точная причина, по которой перегородка не закрывается полностью в процессе развития, неизвестна, однако считается, что провоцирующим фактором выступает острая интоксикация при вынашивании, в том числе отравления алкоголем.
Киста в данной области, в медицине также называемая кистой Верге, является аномальным явлением, при котором жидкость накапливается в свободной области между оболочками перегородки. Распространенной формой болезни является врожденная киста прозрачной перегородки головного мозга. Также отклонение может быть приобретенным в процессе жизнедеятельности после рождения.
Основная причина развития заключается в том, что спинномозговая жидкость, которая называется ликвором, из-за влияния определенных факторов не может свободно циркулировать внутри перегородочной полости. Из-за этого происходит постепенный рост новообразования, а скапливающаяся жидкость начинает оказывать давление.
Факторы, влияющие на развитие болезни:
- травмы черепа
- инфекционные поражения
- острые и хронические сердечные патологии
- ухудшение мозгового кровотока
Таким образом, киста далеко не всегда является приобретенной болезнью, а чаще является врожденным отклонением в развитии эмбриона.
Признаки
Для многих заболеваний, сопровождающихся образованием кист, является характерным длительное отсутствие симптомов. Длительный период времени киста может никак себя не проявлять. Во многих случаях она не провоцирует ощутимые симптомы в течение многих лет, и обнаруживается совершенно случайно при проведении томографии.
Еще одной особенностью описанной болезни является то, что киста может рассасываться самостоятельно, без специальной терапии. Существенное влияние на течение болезни оказывают разновидности кист. При врожденной патологии симптомы, как правило, полностью отсутствуют. Болезнь же, которая возникла в процессе жизнедеятельности из-за травм или других патогенных воздействий, с большой вероятностью будет сопровождаться увеличением размеров кисты, ввиду чего она отличается тяжелым течением, а также множеством возможных осложнений.
Возможные симптомы кисты прозрачной перегородки:
Приобретенная форма кистозной патологии склонна к постоянному увеличению в размерах. Из-за этого характер симптомов постепенно отягощается, проявления болезни становятся более интенсивными и регулярными. При таком нарушении необходима специализированная медпомощь.
Лечебные мероприятия
Вопрос о том, как лечить кисту прозрачной перегородки достаточно актуален, что связано с высокой распространенностью такой патологии. Для начала крайне важно произвести диагностику, необходимую для определения степени тяжести, вида кисты, возможных осложнений.
В диагностических целях проводятся такие процедуры:
- компьютерная томография
- анализ крови (позволяет определить наличие инфекции)
- диагностика сердечно-сосудистой системы (измерение давления, кардиограмма, замеры ЧСС)
Если томография подтверждает наличие кисты Верге, необходимо вспомогательное исследование. Оно позволяет выяснить точное место локализации воспаления, изучить состояние окружающих тканей. Для лечения крайне важно определить провоцирующие факторы, способствующие разрастанию кисты.
Лечение заключается в выполнении следующих задач:
- улучшение протока спинномозговой жидкости
- контроль за состоянием пациента
- нормализация кровотока в головном мозгу
Если киста Верге не провоцирует у больного никаких ухудшений в здоровье, терапия не осуществляется. Обязательным остается регулярный осмотр, необходимый для того, чтобы следить за размером кисты, и своевременно начинать лечение при появлении каких-либо патологических изменений.
При увеличении полости Верге специалист выбирает оптимальный способ лечения. Консервативный вариант терапии заключается в приеме специальных препаратов, которые способствуют улучшению циркуляции ликвора, улучшению кровообращения, устранению воспалительных процессов. В качестве симптоматических средств могут использоваться обезболивающие средства, лекарства от высокого внутричерепного давления.
При бесконтрольном разрастании воспаления, и если лечение медикаментами не является эффективным, необходимо хирургическое лечение. Оперативное вмешательство производится посредством дренирования кистозных оболочек, что позволяет устранить избыточную жидкость, снизить давление.
Операция характеризуется высокой эффективностью, однако в дальнейшем пациенту также нужно регулярно проводить исследования мозга, так как может произойти повторное накопление ликвора.
Киста, которая возникает в прозрачной перегородке, может являться последствием негативного воздействия на головной мозг или же врожденных генетических нарушений. Лечение требуется только если киста влияет на состояние больного, провоцируя ряд патологических проявлений.
Внимание, горящее ПРЕДЛОЖЕНИЕ!
Добавить комментарий Отменить ответ
Новые статьи
Новые статьи
Свежие комментарии
- Владимир к записи Какие витамины пить при авитаминозе: симптомы и последствия заболевания, основные методы лечения
- Ирина к записи Сироп при сухом кашле у детей: лучшие лекарственные средства, особенности применения, противопоказания
- Даниил к записи Можно ли есть бананы при поносе? Польза или вред организму
- Катя к записи От чего бывает инфаркт: выясняем факторы, вызвавшие приступ
- Даниил к записи Витамины Алфавит для детей: инструкция, виды и польза
Адрес редакции
Адрес: г. Москва, Верхняя Сыромятническая улица, д. 2, оф. 48
Источник: https://vselekari.com/bolezni/novoobrazovanija/kista-prozrachnoj-peregorodki-golovnogo-mozga.html
Насколько опасна киста прозрачной перегородки головного мозга?
Новообразования в структурах головного мозга требуют контроля и адекватного лечения, поскольку их наличие нарушает работу центральной нервной системы и создает риск летального исхода. Полости, заполненные жидкостью, также относят к разряду новообразований, которые имеют тенденцию к разрастанию и способны приобретать как доброкачественный, так и злокачественный характер. Киста прозрачной перегородки головного мозга – аномальное явление, развитие которого начинается еще на ранних стадиях формирования плода.
Описание патологии
Прозрачная перегородка головного мозга представляет собой мозговую ткань в виде двух тонких пластин. Между ними располагается полость, по форме напоминающую щель. Ее назначение состоит в разграничении сфер мозолистого тела и передней части головного мозга. Роль перегородки в общей работе органа до конца не выяснена. Тем не менее, известно, что отсутствие данного элемента свидетельствует о различных пороках развития мозга.
При нормальном состоянии между пластинами, формирующими прозрачную перегородку, содержится ликвор. Если в этой полости происходит скопление жидкости, то речь идет о формировании кисты или полости Верге.
Это патологическое явление представляет собой полостное образование, подобное капсуле, внутри которого содержится жидкость. Стенки кисты достаточно плотные. Когда ее размеры достигнут определенных показателей, капсула станет оказывать давление на окружающие ткани, что спровоцирует сдавливание сосудов и повышение внутричерепного давления.
Киста прозрачной перегородки головного мозга диагностируется у 60% новорожденных. Если ребенок рождается недоношенным, подобная аномалия присутствует у него обязательно.
Часто отклонение никак не проявляется, поэтому обнаруживают кисту случайно, в ходе комплексных обследований. Но иногда рост новообразования провоцирует частые боли в области головы, потерю памяти, нарушение зрительных функций. Согласно статистике, киста рассасывается самостоятельно в 85% случаев.
Непосредственной опасности здоровью кистозное образование не представляет. Тем не менее при его неконтролируемом разрастании могут произойти необратимые изменения в структурах головного мозга, что отражается на состоянии человека и функционировании его организма в целом.
О причинах появления кисты в головном мозге расскажет руководитель отделения нейрохирургии Ростовской клинической больницы Карен Айрапетов:
Киста прозрачной перегородки мозга может быть как врожденной, сформировавшейся у плода в процессе внутриутробного развития, так и приобретенной, что может быть связано с полученными травмами, сотрясениями, воспалительными процессами.
Обычно максимальные размеры кисты не превышают 4 мм, хотя не исключен риск неконтролируемого разрастания новообразования.
Медики не считают описанное новообразование серьезной патологией, которая угрожает жизни пациента, а причисляют его к разряду аномалий развития.
Причины, которые способствуют формированию кисты
Появление полостей между мозговыми тканями может быть вызвано такими факторами:
- Черепно-мозговые травмы;
- Воспалительные процессы, распространяющиеся на оболочки головного мозга;
- Перенесенные заболевания инфекционного характера (в особенности менингококковая инфекция);
- Сотрясения и травмы мозга;
- Кровоизлияния в мозг.
У грудничка наличие кисты часто связано с внутриутробным инфицированием.
Иногда аномалия прозрачной перегородки мозга сочетается с рядом отклонений в функционировании нервной системы. К ним следует отнести:
Симптомы аномалии
У пациентов с полостью Верге выраженные симптомы проявляются в том случае, если кистозное новообразование прогрессирует. В этом случае у больного наблюдаются:
- Регулярно возникающие головные боли, интенсивность которых увеличивается при беге или прыжках;
- Шум или звон в ушах, который не исчезает в ночное время суток;
- Чувство сдавленности в отделе головы, в котором находится киста;
- Нарушение слуха;
- Повышение артериального давления;
- Ухудшение зрения и памяти.
При постоянном росте кисты возникает риск развития таких последствий, как:
- Образование спаек в мозге, которые способны сдавливать питающие мозг сосуды;
- Инсульт. Это состояние вызвано повышением давления в черепно-мозговой коробке, что нарушает кровообращение и процесс циркуляции спинномозговой жидкости;
- Гидроцефалия. Подобная патология возникает при нарушениях циркуляции и оттока ликвора.
Наличие кисты требует регулярного наблюдения: даже если новообразование не имеет тенденции к дальнейшему развитию, во избежание его разрастания и последующего сдавливания мозговых структур необходимо проходить периодические обследования.
Способы диагностики и лечения
Аномалия может быть диагностирована с помощью таких мероприятий, как:
- МРТ и КТ. С помощью томографии достоверно определяют, каковы размеры кисты и насколько патогенной она является;
- УЗИ сосудов мозга;
- Анализ крови для обнаружения инфекций;
- ЭКГ.
Для контроля за состоянием кисты следует проходить диагностику ежегодно.
Лечение требуется только в том случае, если появляются характерные признаки прогрессирования аномального процесса, подтвержденные результатами диагностических мероприятий.
Вначале пациенту назначают прием медикаментозных средств. Это:
- Стимуляторы кровообращения в области мозга;
- Диуретики;
- Ноотропные препараты.
Цель консервативного лечения заключается в стимуляции оттока жидкости из полости кисты и снижении уровня внутричерепного давления.
В том случае, если лекарственные средства не улучшают состояние пациента, специалисты прибегают к методике хирургического лечения. Задачей операции является обеспечение оттока спинномозговой жидкости, скопившейся в полости кистозного новообразования. Оперативное вмешательство осуществляется посредством введения зонда в полость, с помощью которого в ней создают отверстие. Через него отводится ликвор.
Специалисты отмечают, что подобная операция эффективна в том случае, если киста является однокамерной. Если она состоит из нескольких слоев, то существует вероятность рецидива даже после оперативного вмешательства. При таких условиях в полость кисты устанавливают дренажи, с помощью которых происходит постоянный отток спинномозговой жидкости.
После проведения операции больному следует каждые 4-6 месяцев посещать невролога, а также периодически проходить процедуры МРТ либо КТ.
Специфических мероприятий по профилактике образования кисты не существует. Все, что можно сделать — проходить регулярные обследования, не допускать ситуаций, которые могут вызвать сотрясение мозга или черепно-мозговые травмы. Также необходимо своевременно лечить воспалительные и
Новообразование не считают самостоятельным заболеванием. Хотя киста прозрачной перегородки головного мозга в большинстве случаев не представляет опасности для здоровья и жизни человека, следить за ее состоянием необходимо регулярно. Связано это склонностью новообразования к разрастанию, что приводит к сдавливанию окружающих структур и, как следствие, к развитию дегенеративных процессов.
Источник: https://golovnayabol.com/mozg/kista-prozrachnoj-peregorodki.html
Человеческий мозг – это главный функционирующий орган, который, даже несмотря на многочисленные открытия, так и остается самым загадочным органом человеческого организма. Мозг имеет множество отделов, каждый из которых отвечает за свои определенные функции, однако, их взаимосвязь бесспорна.
Поэтому если один из отделов нарушается, сбои происходят и в других. Одна из распространенных патологий, которая может привести к данным негативным последствиям – киста прозрачной перегородки головного мозга.
Образование кисты происходит между пластинами мозгового вещества и проявляется в виде скопления жидкости. Зачастую специалисты утверждают, что данное образование относится к арахноидальному типу. В большинстве случае киста прозрачной перегородки – это аномалия развития, которая чаще всего не приводит к серьёзным последствиям для здоровья человека.
Причины развития
На сегодняшний день выделяют 2 основных типа данных аномалий:
- Врожденная киста. Развивается еще в утробе матери. Прозрачная перегородка мозга у плода относится к одному из критериев оценки закладки и степени развития головного мозга у еще не рожденного малыша
- Приобретенная киста. Является следствием травмы мозга, воспалительных процессов, перенесенных патологий, кровоизлияний и сотрясений
Чаще всего данная аномалия имеет приобретенный характер, то есть приходиться в период внутриутробного развития. Согласно статистике данные случаи регистрируются у 60% новорожденных. Однако в процессе развития малыша данные аномалия начинает рассасываться примерно в 85% случаев.
Симптоматика заболевания
Проявление симптоматики зависит от того, какой тип кисты локализуется в головном мозге. Врожденная киста является нормальной анатомией мозга. Зачастую ее симптоматика отсутствует и не требует какой-либо терапии. Приобретенная киста уже представляет опасность для человека и характеризуется выраженной симптоматикой.
Во втором случае симптомы выражаются следующим образом:
- Шум в ушах
- Острые головные боли, которые не купируются анальгетиками
- Нарушение слуховой и зрительной функциональности
- Ощущения сдавливания головы
- Головокружение, тошнота и рвота
При проявлении следующей симптоматической картины, необходимо немедленно пройти обследование и исключить возможный рост кисты. В случае если пациент будет затягивать с обследованием, а образование будет расти, это приведет к еще более выраженным симптомам, а в худшем случае и к летальному исходу.
Диагностика
Первоначальная диагностика при подозрении на развитие кисты является магнитно-резонансная томография. После прохождения МРТ, специалист устанавливает ее размер и локализацию. Далее, если врач устанавливает негативный процесс роста образования, пациент направляется на дополнительное обследование, с целью установления причины развития патологии.
Для этой цели дополнительно используются:
- Ультразвуковая доплерография
- Электрокардиография сердца
- Диагностика артериального давления
- Анализы крови на холестерин, инфекционные процессы, свертываемость
Постановка диагноза производиться после того как была продиагностирована полость прозрачной перегородки головного мозга, норма которой должна составлять до 12 мм в ширине. Если присутствует превышение, то это может указывать на наличие патологии в мозге.
Лечебные мероприятия
Главная опасность для человека может представлять тот случай, когда киста начинает постепенно разрастаться, тем самым сдавливая мозговую структуру, что в дальнейшем может привести к серьёзным последствиям. Чтобы исключить данный негативный процесс, рекомендуется раз в полгода проходить медицинское обследование.
Лечение же может назначаться в двух вариантах:
- Консервативное. Сюда включатся ноотропные препараты, средства для рассасывания образования и осмотические диуретики
- Хирургическое. Данный метод используется довольно редко, как правило, в тяжелых случаях. Метод основывается на введении медицинского зонда в желудочек, где производится надрез полости и затем вводится дренажирующая трубка, которая препятствует дальнейшему разрастанию кисты
Возможные последствия
Последствия кисты прозрачной перегородки головного мозга, зависят от характера патологии (врожденная или приобретенная), а также от тенденции ее к росту. Приобретенный тип приводит к таким неблагоприятным последствиям как:
- Гидроцефалия. Основную опасность связывают с травмированием оболочек мозга, вследствие роста образования. Спайки мягких тканей, препятствующие свободной циркуляции ликвора, приводят к ухудшению оттока жидкости
- Инсульт. Постоянно растущее патологическое образование постепенно приводит к нарушению кровотока к головному мозгу и циркуляции ликвора, тем самым увеличивая внутричерепное давление. При прогрессирующем росте происходит разрыв артерии и кровоизлияние
Как можно увидеть отсутствие лечения приобретенной формы может спровоцировать довольно опасные для жизни человека последствия. Поэтому только своевременная диагностика и лечение позволит полностью избежать каких-либо негативных последствий для жизни.
Источник: https://umozg.ru/struktura/prozrachnaya-peregorodka-golovnogo-mozga.html
Прозрачная перегородка
Головной мозг покрывают три слоя мозговых оболочек: паутинная, твердая и мягкая. Под паутинной оболочкой находятся пространства, наполненные жидкостью, где циркулирует жидкая среда. Прозрачная перегородка в своем строении имеет тонкие пластины, которые отделяются щелевидной полостью и расположена между сводом и передней частью.
Прозрачная перегородка, врожденная и приобретенная
Киста, прозрачная перегородка которой, по происхождению разделяется на врожденные и приобретенные. Приобретенные кисты, возникают чаще всего после воспалительных процессов в головном мозге, перенесенных травм и сотрясений на головной мозг.
Врожденная киста прозрачной перегородки, характеризуется скоплением жидкости между листками мягкой мозговой оболочки между перегородками желудочек.
Что такое прозрачная перегородка?
Киста прозрачной перегородки – это доброкачественное образование в головном мозге. Этот отдел представлен из двух перегородок мозгового вещества, именно там находится щелевая полость, куда собирается ликвор. Полость кисты разделяется из-за давления и постепенно собирается жидкость.
Симптомы кисты прозрачной перегородки
По мере увеличения размеров, киста создает дискомфорт в близи лежащим тканям, придавливаются сосуды и жидкость из спинного мозга стекает из желудочек, поэтому повышается внутричерепное давление. Больной жалуется на сильные головные боли, которые в основном продолжительные в виде приступа.
Часто появляется шум в ушах и ухудшается слуховая функция. При появлении вышеперечисленных беспокойств, необходимо срочно обратиться к врачу.
Для уточнения диагноза, нужно пройти исследование головного мозга с целью обследования прозрачной перегородки.
Самым достоверным и современным методом является – ядерно-магнитный резонанс.
Обязательно, нужно больному проконсультироваться у нейрохирурга.
Бывают случаи, когда киста не меняется в размере, не вызывая дискомфорт человеку. Тогда это образование просто периодически наблюдают чтоб выяснить ее природу.
Лечение кисты прозрачной перегородки
Когда опухоль начинает беспокоить и ухудшается общее состояние, то следует обратиться за медицинской помощью.
Если она прогрессирующе увеличивается в размерах, необходимо консервативное лечение с целью улучшения оттока ликвора из полости и понизить внутричерепное давление с помощью: осмотических, слабительных препаратов, которые нормализуют внутримозговое кровообращение.
Положительная динамика наблюдается у пациентов после эндоскопической операции, которая стала все чаще практиковаться в последние десятилетия.
Иногда применяют оперативное лечение, если нет изменений в положительную динамику от консервативного лечения. Операция проводится по принципу: в полость желудочка вводится зонд, с помощью которого на стенках кисты появляются широкие пространства.
По этим отверстиям сбрасывается жидкость к полостям желудочков мозга и тогда полость кисты спадает. Пациенты должны систематически посещать врача.
Если при обследовании обнаруживается, что прозрачная перегородка, только индивидуализированная и комплексная, лечение даст положительный результат.
Источник: https://epi-lepsy.ru/kakoy-mozg-u-cheloveka/prozrachnaya-peregorodka.html
Киста прозрачной перегородки головного мозга
1. Анатомо-физиологические аспекты 2. Особенности эмбриональной закладки 3. Норма или патология 4. Клиническая картина 5. Диагностика 6. Лечение
Вся жизнь человека зависит от нервной системы. Восприятие любой информации, ее переработка, движения, эмоции – результат деятельности головного мозга. Определяется она не только работой совокупности нейронов. Полноценность выполняемых функций возможна лишь при слаженном механизме деятельности нервных клеток с синапсами, глиальными элементами, церебральными сосудами, оболочками. При этом функциональная нагрузка некоторых образований головного мозга до конца не определена. К одной из таких структур относится прозрачная перегородка (septum pellucidum). Последствия ее патологии могут быть как бессимптомными, так и клинически выраженными.
Анатомо-физиологические аспекты
Прозрачную перегородку относят к промежуточной форме древней коры мозга. Она представляет собой образование из двух пластинок мозговой ткани, параллельных друг другу. Располагается прозрачная перегородка под мозолистым телом и разделяет два передних желудочка мозга между собой, являясь их внутренней стенкой. Гистологическая структура образования – это вещество проводящих путей и элементы глии.
Значение septum pellucidum не сводится исключительно к структурной функции. Однако ее роль в общей работе мозга до конца не выяснена. Известно, что отсутствие закладки этого анатомического образования, определяемое при проведении МРТ, ассоциировано с рядом врожденных пороков развития головного мозга. Аплазия перегородки повышает вероятность развития:
- нарушений познавательных функций;
- патологии памяти;
- пространственной дезориентации;
- снижения контроля над произвольными движениями.
Особенности эмбриональной закладки
Наличие septum pellucidum свойственно исключительно высшим приматам. На 12 неделе гестации между листками образования начинает формироваться полость, размер которой не превышаетмм (ее еще называют V желудочком). Внутри находится церебро-спинальная жидкость, хотя прямое соединение с субарахноидальным пространством отсутствует. После 6 месяца внутриутробного развития полость прозрачной перегородки начинает облитерироваться. Точные сроки полного закрытия полости не определены. Обнаружить ее можно у детей 2-3 месяцев. Однако бывает, что полость остается незакрытой на протяжении всей жизни.
Полость прозрачной перегородки у ребенка размером более 12 мм может говорить о патологии ликвородинамической системы.
Возможны приобретенные причины формирования полости перегородки. Такое возможно под действием ряда патологических факторов. В этом случае говорят о кисте septum pellucidum, которая рассматривается как доброкачественное новообразование мозговой оболочки. Основные причины ее развития:
- Хроническая гипоксия мозга;
- Воспалительные процессы церебральных оболочек;
- Травмы головы;
- Нейроинфекции.
Последствия этих заболеваний могут выразиться в появлении кисты прозрачной перегородки. О полости septum pellucidum говорят при врожденных особенностях строения мозга и при отсутствии указаний на патологические процессы головного мозга в анамнезе.
Термин «киста прозрачной перегородки головного мозга» используют для определения приобретенных изменений.
Иногда можно встретить термин «киста полости septum pellucidum». Он в корне не верен. Киста – это и есть полость в тканях, но сформированная под действием патологических процессов.
Норма или патология
Закрытия щели между листками septum pellucidum не происходит примерно у 10% населения. Чаще всего такие изменения выявляется как находка при проведении нейровизуализационных исследований (КТ и МРТ). При отсутствии неврологического дефицита эти кисты не являются патологическими и рассматриваются, как анатомическая особенность строения мозга. Однако иногда врожденная киста прозрачной перегородки сочетается с рядом аномалий нервной системы. Наиболее частыми из них являются:
- Сосудистые мальформации;
- Аномалия Арнольда-Киари;
- Арахноидальные кисты других локализаций;
- Гипоплазия зрительных нервов;
- Гидроцефалия;
- Гетеротопией нейронов.
Обнаружение V желудочка мозга на УЗИ при беременности не является патологией и говорит о нормальном развитии плода.
Киста прозрачной перегородки рассматривается как патологическое образование, которое может проявляться клинически. Чаще всего симптомы формируют большие по размеру образования, имеющие несколько камер. Дополнительные причины, обуславливающие клиническую картину, сводятся к проявлениям основного заболевания, приведшим к развитию новообразования.
Клиническая картина
Врожденная полость прозрачной перегородки, как правило, не имеет тенденции к росту. Патологические симптомы таких образований отсутствуют.
Приобретенные кисты также в большинстве случаев клинически не проявляются. Однако их увеличение в размерах может спровоцировать такие симптомы, как:
- Головные боли,
- Головокружения
- Снижение слуха
- Падение остроты зрения
- Ухудшение памяти
При активном росте кисты прозрачной перегородки головного мозга возможно нарушение ликвородинамики, формировании гипертензионно-гидроцефального синдрома и усугубление вышеописанных проявлений.
Диагностика
Врожденные полости septum pellucidum выявляются, как правило, на первом году жизни при проведении нейросонографии. Такие состояния, как правило, не требуют дополнительного контроля и считаются одним из вариантов строения головного мозга.
Приобретенная киста прозрачной перегородки, особенно если она имеет клинические проявления, нуждается в систематическом динамическом наблюдении раз в 6-12 месяцев. С целью мониторинга состояния образования используют:
- Нейровизуализацию (КТ, МРТ);
- УЗДГ сосудов головы и шеи
- Суточный контроль уровня артериального давления;
- Общеклинические анализы;
- Консультацию офтальмолога, нейрохирурга.
Лечение
Подавляющее большинство кист septum pellucidum лечения не требуют. Рекомендуется регулярное обследование у невролога с целью уточнения динамики состояния кисты.
Если образование увеличивается в размерах, назначают консервативную терапию. Чаще всего прибегают к препаратам, улучшающим церебральную циркуляцию, снижающим внутричерепное давление и обеспечивающим адекватную трофику нервной ткани.
При отсутствии эффективности медикаментозного лечения, а также при агрессивном росте кисты принимается решение относительно оперативного вмешательства с целью улучшения ликворооттока. Данный вид операции результативен при однокамерности кисты. Вероятность рецидивов многослойных образований достаточно велика.
Тактика лечения кисты прозрачной перегородки определяется индивидуально квалифицированными врачами.
Мер специфической профилактики не разработано. С целью предупреждения роста кисты пациентам рекомендуется избегать черепно-мозговых травм, инфекционно-воспалительных процессов и проходить МРТ головы каждые полгода.
Киста прозрачной перегородки представляет собой неоднородную по генезу и клиническим проявлениям анатомическую особенность развития мозга. В большинстве случаев состояние не требует лечения, но нуждается в регулярном динамическом наблюдении. Своевременное выявление образования и соблюдение рекомендаций компетентных специалистов позволят предупредить тяжелые последствия заболевания.
Рекомендуем
Комментарии ( 0 )
Написать комментарий
Заболевания
Желаете перейти к следующей статье «Ликворная (арахноидальная) киста головного мозга: симптомы, лечение и перспективы для пациента»?
Копирование материалов возможно только с указанием активной ссылки на первоисточник.
Источник: https://mozgius.ru/bolezni/kisty/kista-prozrachnoj-peregorodki.html
Аномалии развития ликворной системы
Аномалии развития ликворной системы могут встречаться самостоятельно или сочетаться с другими пороками развития головного мозга. Для их распознавания применяется пневмоэнцефалография.
Рис. 62. Сочетание уродства развития черепа и мозга у ребенка 3 лет. Врожденная сагиттальная грыжа в комбинации с агенезией мозолистого тела и уродством развития желудочковой системы. Пневмоэнцефалограммы. Боковые желудочки гидроцефальны, деформированы; III желудочек сливается с обширной полостью кисты прозрачной перегородки — V желудочком, поднимающимся выше крыши боковых желудочков. Позади III желудочка на боковой рентгенограмме видна полость — cavum Verge— VI желудочек. IV желудочек расширен и расположен в правой половине задней черепной ямы.
К уродствам и аномалиям развития ликворной системы относятся агенезия прозрачной перегородки, агенезия мозолистого тела, добавочные желудочки (V и VI — полость Верге), патологические сообщения между желудочками вследствие недоразвития их стенок, наличие лишь, одного общего срединно расположенного ликворного резервуара, отъединение отдельных частей желудочков и многие другие. Агенезия прозрачной перегородки характеризуется отсутствием ее тени на снимке передних рогов боковых желудочков, благодаря чему боковые желудочки имеют общий резервуар. Размеры и форма боковых и III желудочков при этой аномалии мало изменяются. На боковой рентгенограмме в передней части боковых желудочков можно видеть более просветленный участок, соответствующий дефекту прозрачной перегородки (рис. 61). Киста прозрачной перегородки (или так называемый V желудочек) может быть закрытой и открытой. В первом варианте на пневмограммах она имеет вид утолщенной прозрачной перегородки, имеющей форму линзы, что может вызывать подозрения и об опухоли ее. В случае сообщения кисты с боковыми желудочками воздух при пневмоэнцефалографии выполняет кисту — V желудочек. На передних пневмограммах имеются контрастированные газом полости боковых желудочков, между которыми по средней линии располагается удлиненная, заполненная воздухом полость V желудочка, располагающаяся над III желудочком (рис. 62). Шестой желудочек (или полость Верге) находится у задних отделов III желудочка и может быть обнаружен на боковых пневмограммах в случае заполнения газом. Агенезия мозолистого тела имеет характерную пневмографическую картину. На снимке передних рогов боковых желудочков отмечается косое расположение верхних стенок боковых желудочков, причем верхненаружные углы желудочков стоят высоко и значительно раздвинуты в стороны. Если агенезия мозолистого тела более выражена с одной стороны, то деформация верхней стенки бокового желудочка более выражена на стороне преобладающих анатомических изменений (см. рис. 62).
Обычно агенезия мозолистого тела сочетается с кистой прозрачной перегородки или другими пороками развития мозга и ликворной системы. Аномалии развития желудочковой системы редко выражаются клинически и обычно являются случайной находкой при пневмоэнцефалографии. Обнаружение сопутствующих черепно-мозговым грыжам пороков развития головного мозга имеет важное значение, так как некоторые из них могут быть устранены при хирургическом вмешательстве по поводу основного заболевания.