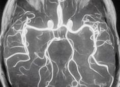
Магнитно резонансная ангиография

Магнитно-резонансная ангиография – инновационный метод исследования сосудов
Одной из тенденций общей медицины за последние годы является увеличение числа пациентов с заболеваниями сосудистой системы. Людей с диагнозами атеросклероз, аневризма или тромбоз встречается все больше. Постановке диагностического заключения предшествует процедура ангиографии. Что это за метод обследования, и чего ждать пациенту, которому его назначили?








