Мрт печени с контрастом

Исследование МРТ с контрастом печени
16-03-2014, 14:27 16 778 строение печени человека Магниторезонансная томография внутренних органов брюшной полости позволяет определить изменения в форме, плотности и функционировании с помощью безвредного для человека магнитного воздействия на ткани организма. Индукция постоянного магнитного поля, генерируемого постоянными магнитами или электромагнитными катушками, может достигать довольно больших величин – до 3 и более Тл (Тесла). Вредного воздействия магнитного постоянного и переменного полей на клетки организма не обнаружено, поэтому, считается, что исследования МРТ не влияют ни на нормальное состояние пациента ни на динамику развития болезни.МРТ применяется исключительно с целью диагностики и наблюдения за динамикой лечебного процесса, с целью выработки определенной тактики лечения и принятия решения об оперативном вмешательстве. Очень эффективно применение томографов в онкологии, особенно МРТ с контрастом печени.Печень – один из важнейших органов человека. Кроме участия в процессах пищеварения и кровообращения она выполняет очень ответственную функцию очистки организма от агрессивных веществ, токсинов, аллергенов, избыточных гормонов, продуктов распада алкоголя. Можно сказать, что печень постоянно находится на переднем крае сражения с патогенными веществами, поэтому и страдает в первую очередь.Заболевания печени очень опасны для общего состояния организма. При тяжелых поражениях и нарушении функциональности печени неизбежно страдают другие органы, некоторые болезни на современном этапе развития медицины неизлечимы, но многие можно победить, если своевременно обнаружить и начать лечение.В общем случае печень исследуется по методу магниторезонансной панкреатохолангиографии, показывающей внешние и внутренние желчные протоки и панкреатические протоки. С помощью этой методики легко обнаруживаются различного рода новообразования или подтверждается их отсутствие. Параллельно с ним используется и другой метод – холецистохолангиография с помощью МРТ. Он исследует состояние желчного пузыря и протоков.Но для более точного определения наличия новообразований применяется МРТ печени с контрастированием. Усиление контраста изображения позволяет выделить зоны опухолей с определением их точных границ, размеров и наличия метастазов. Отличие процессов обмена в здоровых и пораженных раком тканях определяется отличием структуры клеток, которая проявляется в различных реакциях на магниторезонансное возбуждение.
подготовка к проведению МРТ печени с контрастом Информативность МРТ зависит от определения различия в структуре ткани. Возбуждение атомов водорода магнитным полем переменной частоты может изменяться при наличии в клетках некоторых веществ, являющихся естественными активаторами атомов, и усиливают интенсивность отклика именно атомов, содержащихся в клетках организма. Этим действием они отличаются от веществ, использующихся для контрастирования при рентгенографии.Эти вещества, например, соли бария, при облучении рентгеновскими лучами видны хорошо сами по себе, и определение пораженных участков осуществляется путем осмотра прилегающих к контрастному фону областей.Иной механизм действия усилителей контраста при МРТ. Они проникают вместе с кровотоком в мельчайшие капилляры и активируют все клетки, как больные, так и здоровые. Их реакция отклика на магнитное поле переменной частоты различна, поэтому и изображение на дисплее томографа будет сильно отличаться. МРТ с контрастом печени, как и иных органов, очень сильно зависит от интенсивности кровообращения в исследуемой области.Печень отличается высокой насыщенностью кровеносными сосудами, поэтому и МРТ печени с контрастом показывает очень четкую картину изменений. С его помощью можно выявлять;
- Патологические изменения плотности и однородности тканей;
- Изменения формы и размера печени;
- Зоны токсического поражения;
- Закупорки и сужения внутрипеченочных протоков;
- Новообразования и метастазы;
- Травматические поражения.
МРТ печени с контрастированием Для проведения полноценной процедуры исследования требуется определенная подготовка больного к МРТ печени с контрастом. Сам процесс исследования длится от 30 до 40 минут, при котором, согласно разработанному протоколу, осматривается определенная зона при задержке дыхания. Это этап длится 30 -45 секунд и дискомфорта пациента не вызывает.Главным требованием при подготовке к МРТ является воздержание от приема еды за 5-6 часов до начала работы. При использовании контрастирующих усилителей подготовка требуется более сложная, включающая внутривенное одноразовое или постепенное введение специальных веществ. МРТ при раке печени с контрастированием использует только капельное введение этих веществ. Именно при таком способе контрастирующие вещества поступают в кровь, а, следовательно, и в пораженную зону медленно, и позволяют выявлять все очаги болезни, которые в последующем могут быть затенены большими по объему структурами.В качестве контрастирующего состава применяют растворы, содержащие гадолиний – редкоземельный элемент из лантаноидной группы периодической системы. Он в обычном состоянии достаточно токсичен, можно сказать, даже ядовит. Но на практике применяются хелатные комплексные вещества, содержащие незначительное количество ионов гадолиния. Эти ионы имеют до 7 неспаренных электронов и очень активно воздействуют на электромагнитные свойства клеток, которые и определяют силу реакции на возбуждение магнитными полями.
Противопоказаний для применения контрастирования при МРТ печени не очень много. Не рекомендуется этот метод на ранних сроках беременности, при наличии металлических имплантатов в организме и при аллергии на гадолиний или иные составляющие хелатных растворов.
МРТ с контрастом головного мозга человека
КТ и МРТ головного мозга
Диагностика КТ и МРТ при шейном остеохондрозе
КТ и МРТ позвоночника
Сканирование МРТ лицевого отдела черепа
Место МРТ с контрастированием в диагностике заболеваний печени
Установленным фактом является неблагоприятный прогноз злокачественных опухолей печени, которые выявляются на стадии клинических проявлений. Как правило, к этому времени опухоль уже распространяется на окружающие ткани и органы. МРТ печени с контрастом показывает опухоль на ранних стадиях развития и позволяет принять соответствующие меры, которые часто могут полностью остановить заболевание.
Метод основан на физическом явлении ядерно-магнитного резонанса. Регистрируя отклик разных тканей, помещенных в постоянное магнитное поле высокой частоты, на экране монитора томографа появляется изображение внутренних органов и патологических процессов в них.
Магнитно-резонансный томограф
Как проводится к МРТ исследованию?
МРТ исследование проводится с помощью специального аппарата – магнитно резонансного томографа. Устройство оборудовано кушеткой, на которую укладывают пациента, затем ее же помещают вовнутрь капсулы, в которой и создается электромагнитное поле высокой частоты.
Делая последовательные срезы (снимки органа с шагом в пять миллиметров), аппарат показывает детальные снимки, похожие на рентгеновские, в горизонтальной и вертикальной (сагиттальной) плоскостях.
Во время процедуры пациента просят оставаться неподвижным. Время выполнения исследования занимает около тридцати – сорока минут.
Контрастное вещество
Перед тем как поместить пациента внутрь аппарата ему внутривенно проводят введение контрастного вещества.
В настоящее время в качестве контраста используют вещества на основе гадолиния. Гадолиний является редкоземельным элементом лантаноидов. Сам по себе гадолиний – токсичное вещество, но его хилатные соединения, которые применяются в контрастных препаратах, инертны и выводятся в неизмененном виде почками. Самыми распространенными препаратами являются Магневист, Омнискан, Примовист, но существует и много других препаратов.
Эффективность контрастных веществ основана на способности распространяться по сосудам, что показывает детальную структуру печени и патологические процессы в ней.
В зависимости от выбранного метода контрастные вещества могут вводиться болюсно (внутривенно струйно, сразу вся доза) или с помощью инфузомата (капельная инфузия с заданной скоростью). Необходимый объем контраста рассчитывается по формуле, в зависимости от веса пациента.
Внутривенно-струйное введение контраста
После процедуры контрастные вещества выводятся полностью в неизмененном виде почками. В течение первых суток организм покидает 95% вещества.
Что необходимо сделать перед процедурой?
Подготовка к МРТ – исследованию достаточно проста и не требует специальных процедур. За сутки до исследования нельзя есть продукты, которые усиливают образование газов в кишечнике. К ним относятся хлеб, овощи, молочные продукты. В день перед исследованием нельзя есть и пить в течение пяти – шести часов до процедуры.
Категорически запрещено выполнение исследования в присутствии металлических предметов. Перед входом в помещение, где расположен магнитный томограф, необходимо снять все металлические предметы (серьги, цепочки, ремни, часы, заколки и так далее), а также оставить в раздевалке верхнюю одежду, телефон, ключи, кредитные карты. В некоторых лечебных учреждениях пациентов переодевают в одноразовую одежду.
Перед МРТ необходимо снять все металлические предметы
Если на теле остается собственная одежда, не стоит забывать, что металлические детали могут быть даже на нижнем белье, например, косточки бюстгальтера или металлические украшения (подвески) на одежде.
Подготовка к МРТ с введением контраста включает в себя тест на повышенную чувствительность (аллергическую реакцию) к гадолинию и другим компонентам препарата. Как правило, эта процедура заключается в нанесении препарата на кожу тыльной стороны запястья. Через несколько часов оценивается результат: если на коже нет изменений, то проводить исследование можно.
Такая подготовка может и не проводиться, если пациент ранее выполнял процедуру МРТ с контрастом, и она прошла успешно.
Показания для магнитно-резонансной томографии печени с контрастом
- Выявление и дифференциация опухолей и метастазов в печени.
- Осмотр состояния сосудов органа.
- Подтверждение диффузных изменений печени (гемахромотоз, жировой гепатоз, цирроз, гемосидероз).
- Оценка состояния печени перед трансплантацией.
- Оценка динамики лечения онкологических процессов.
- Выявление врожденных дефектов органа.
Противопоказания к МРТ исследованию с контрастом
- Наличие металлических и электронных протезов и имплантов в теле человека. Исключение составляют титановые элементы, которые не реагируют на магнитное поле.
- Аппарат Елизарова.
- Кардиостимуляторы.
- Металлические клипсы на сосудах головного мозга.
- Протез внутреннего уха.
- Татуировки с взвесью железа и даже с применением титановых частиц.
- Ранние сроки беременности (первый триместр).
- Вес пациента больше ста тридцати килограмм (ограничен размером томографа).
- Психические заболевания.
- Другие причины, при которых пациент не может оставаться в неподвижном состоянии на протяжении всего исследования.
- Аллергические реакции и повышенная чувствительность к гадолинию и другим компонентам контрастного вещества.
- Значительное снижение клубочковой фильтрации почек (затрудняет выведение гадолиния).
- Выраженные формы клаустрофобии.
Мужчина страдает клаустрофобией
Перед тем, как поместить пациента в аппарат, врач МРТ обязательно выяснит все возможные противопоказания.
Заключение
МРТ исследование занимает ведущее место в диагностике патологии многих органов и систем, имея неоспоримые преимущества перед другими методами: оно практически безвредно и позволяет проводить процедуру беременным женщинам и маленьким детям.
Также плюсом является возможность неоднократно выполнить процедуру в течение короткого временного промежутка, так как это не несет лучевой нагрузки.
К отрицательным моментам можно отнести относительную длительность исследования, ее стоимость, а также ограничения по противопоказаниям. Других минусов у исследования нет.
Диагностика печени методом магнитно-резонансной томографии с контрастом
МРТ – это магнитно-резонансная томография, которая позволяет диагностировать органы брюшной полости безопасным методом. С помощью МРТ можно определить форму, плотность органа, и отследить его функционирование. Техника МРТ основана на воздействии сильного магнитного поля, которое сканирует исследуемый орган. В отличие от КТ (компьютерной томографии), Магнитно-резонансная томография практически не имеет противопоказаний, и ее проведение не приносит вреда пациенту. Однако при возникновении первых симптомов боли или дискомфорта в правом подреберье, больному назначается УЗИ. Стоит учесть, что результаты УЗИ могут быть не достаточно информативными, и при подозрении тяжелого заболевания, назначается к проведению КТ или МРТ печени с контрастом.
Когда необходима магнитно-резонансная томография печени?
Печень играет важную роль в организме человека. Основная функция органа – выработка желчи, которая необходима для процесса пищеварения. Однако это не единственная работа для печени – орган выполняет также очистительные работы, избавляя кровеносную систему и весь организм в целом от ядовитых веществ, распада спирта и аллергических раздражителей. Кроме того, орган принимает активное участие в поддержке нормы гормонального фона. Таким образом, имея здоровую печень, человек чувствует себя комфортно, но в силу различных факторов, функциональность органа нарушается. К примеру, это может быть наследственность, а именно – печеночные заболевания, от которых страдали кровные родственники. Также существенное влияние оказывает нездоровая пища, в совокупности с нерегулярным режимом питания.
При появлении таких симптомов следует обратиться к врачу и пройти обследование КТ, УЗИ или МРТ печени:
- регулярные боли в области правого подреберья;
- чрезмерное потоотделение;
- дискомфорт после употребления пищи;
- необоснованное чувство сытости;
- хроническая слабость и усталость;
- частые одышки;
- отвращение к пищевым продуктам
Если возникает как минимум один-два вышеописанных признака, следует сделать УЗИ, а затем, при необходимости, МРТ печени без контраста или с контрастированием. В большинстве случаев МРТ или КТ назначается после того, как печень диагностирована методом УЗИ, и в связи с результатами УЗИ потребовалось больше информативности, касаемо клинической картины патологии. Можно после УЗИ сделать и КТ вместо магнитно-резонансной томографии, если у пациента боязнь замкнутого пространства, но КТ имеет значительно больше противопоказаний.
Магнитно-резонансная томография
МРТ печени без контрастов допускается к проведению даже детям (за исключением грудничков), ввиду ее абсолютной безопасности. Также исследование, в ходе которого не используется контраст, показано даже для тяжелобольных пациентов. В отличие от КТ, методика магнитно-резонансной томографии не предусматривает радиационного облучения. Поэтому, выбирая между исследованиями МРТ или КТ для печени, решение склоняется в пользу магнитно-резонансной томографии.
Что показывает МРТ печени без контраста:
- аномалии в развитии органа;
- наличие или отсутствие пороков печени;
- наличие или отсутствие онкологических опухолей;
- выявление пораженных сосудов и артерий
МРТ является уникальным диагностическим методом, с помощью которого можно отличить характер новообразования. К примеру, если во время УЗИ был обнаружено плотное образование неизвестного происхождения, в результатах на экране оно будет помечено темным цветом. В таком случае УЗИ не окажет полной информативности, так как в виде образования могут быть как каменные конкременты, так и опухоли различной этиологии. Для уточнения диагноза необходимо обследование МРТ или КТ печени.
МРТ печени с контрастированием
Контраст в ходе проведения МРТ оказывает усиливающий эффект для диагностики. Контраст вводится пациенту внутривенно, после чего, спустя некоторое время, активизируются все клетки организма до мельчайших капилляров. Примечательно, что МРТ печени без контрастов показывает лишь больные клетки. Стоит отметить, что в ходе проведения МРТ печени с контрастами, качество изображения результатов также зависит от функциональности кровеносной системы пациента в той области, которая подлежит исследованию. Однако при диагностике печенки, картина, как правило, четкая, по причине обилия кровеносных сосудов, расположенных в полости органа.
Что показывает МРТ печени с контрастом:
- плотность и однородность деформированных тканей при патологиях;
- характер опухоли;
- форму и размер органа;
- наличие метастаз и их точное месторасположение;
- поражения механического характера (следствие травм и операций);
- места сосудистых повреждений и закупорок;
- области поражения токсинами
Важно знать, что МРТ печени с контрастом показывает высокую результативность, при условии интенсивного кровоснабжения. Таким образом, чем выше насыщенность кровотока, тем ярче визуализирован контраст.
Как подготовиться к МРТ печени с применением контрастов?
- исключить употребление газообразующей пищи за день до того, как будет введен контраст;
- в течение нескольких дней перед контрастированием убрать из рациона продукты с углеводами;
- перед запланированным МРТ печени с контрастированием следует воздержаться от приема пищи и жидкостей;
- предоставить врачу все результаты предыдущих исследований, в т. ч. КТ и УЗИ;
Следует учесть, что МРТ печени с контрастом с высоким разрешением осуществляется довольно долгое время, в среднем – 1 час. Объяснение данному процессу – ожидание, когда примовист (контраст) начнет действовать. Затем значительное время требуется на обработку результатов.
Проведение магнитно-резонансной томографии с контрастированием
Перед началом исследования, пациент должен устранить предметы металлического состава. Одежда для процедуры должна быть подобрана из натуральных тканей, но лучше выбрать одноразовую одежду. На момент проведения МРТ печени с контрастом с высокими разрешениями, пациент плотно зафиксирован на процедурном столе, что обеспечивает неподвижность больного. Затем стол с пациентом двигается в кольцо аппаратуры, где находится в закрытом пространстве. Не следует беспокоиться о безопасности – в аппарате светло и поступает воздух. Однако при возникновении страха замкнутого пространства, можно связаться со специалистом с помощью микрофона, закрепленного в кольце.
Стоит помнить, что МРТ печени с контрастированием показывает правильный результат только при условии соблюдения всех указаний врача!
МРТ печени с примовистом
Перед закреплением пациента на столе аппарата, ему внутривенной инъекцией вводят контраст. Современная магнитно-резонансная томография с контрастированием проводится с применением препаратов, в состав которых входит гедолиний. Данное вещество является токсичным, но при диагностической процедуре с контрастированием его соединения не вредны, и как результат – примовист (контраст) полностью покидает организм. Согласно научным исследованиям, примовист выводится из организма уже через день после проведения исследования. Таким образом, вышеупомянутая диагностическая процедура печени, в ходе которой вводится примовист, в дальнейшем не приносит побочных действий.
Примовист – самый распространенный контраст для проведения томографической диагностики, но также широко распространены препараты Омнискан и Магневист. Эффективность воздействия вещества зависит от способностей организма к распространению жидкости по сосудам.
Контраст вводится двумя способами:
- Единовременно вводится вся дозировка с помощью инъекции;
- Примовист вводится путем капельницы с любой необходимой скоростью.
Противопоказания к МРТ с контрастированием:
- клаустрофобия;
- первые месяцы беременности;
- наличие металлических имплантантов;
- механические повреждения глаза в прошлом;
- наличие кардиостимуляторов и нейростимуляторов;
- наличие кровоостанавливающих клипсов в головном мозге
Магнитно-резонансная томография с контрастированием допускается, если у пациента в организме пребывают элементы из медицинского металла (внутриматочная спираль и т.д.).
МРТ печени с контрастом – что показывает, как делают
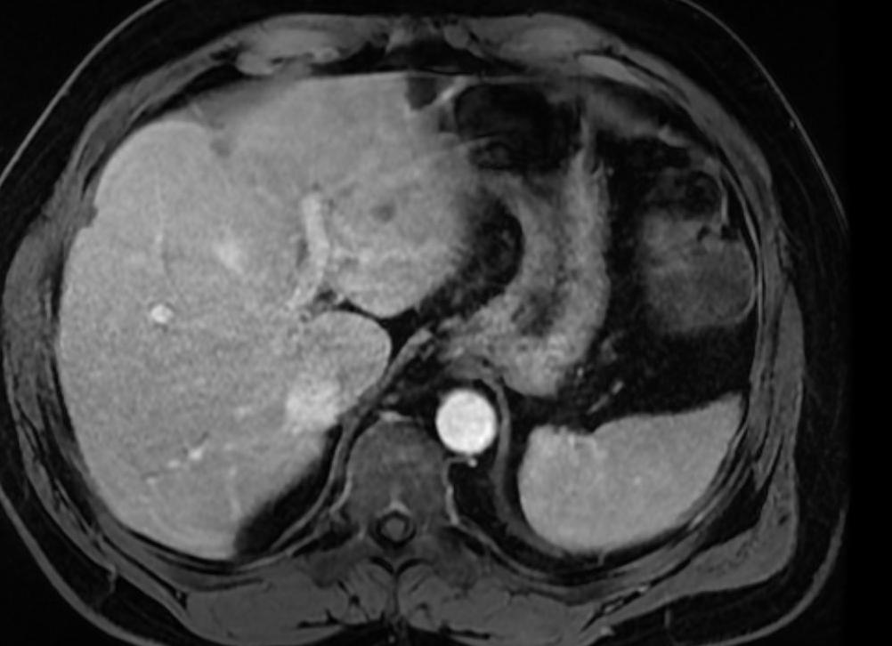
Печень – одно из крупнейших жизненно важных образований в человеческом организме. От полноценного функционирования этой пищеварительной железы зависят все метаболические процессы – обмен углеводов, белков и жиров, секреция желчи и гормонов, детоксикация и депонирование большого объема крови. Для оценки состояния печени применяют самые разные диагностические методики, среди которых особое место занимает магнитно-резонансная томография. МРТ печени помогает вовремя выявить серьезные патологии органа и получить многогранную картину любого заболевания.
Принцип работы оборудования
Принцип работы МРТ-аппарата основан на формировании магнитного поля, насыщенного радиочастотными импульсами. Еще в 1946 году ученые Стэндфордского и Гарвардского университетов открыли феномен ядерного магнитного резонанса. Суть его заключается в том, что вещества, содержащие в своей структуре молекулы водорода, при помещении их в радиус действия магнита способны поглощать и отражать радиочастотные импульсы.
Эффект наблюдается лишь в том случае, когда частота испускаемых магнитом импульсов совпадает с частотой вращения ядер вещества. Именно такие импульсы генерирует аппарат МРТ и посылает их в зону, подлежащую диагностике.
Как известно, тело человека состоит преимущественно из воды – атомов кислорода и водорода. Под действием магнитного поля водород приобретает способность воспринимать и отражать радиоимпульсы. Отраженный молекулами водорода сигнал поступает на специальные датчики и фиксируется программой. На основе полученной информации медицинская программа высчитывает точное соотношение молекул и диагностических точек, создает детальное изображение печени в целом и ее отдельных сегментов.
Результаты программа выдает в виде снимков послойных срезов. Горизонтальные визуализированные срезы печени выполняются толщиной около 1 см, для более детального изучения тканей срезы делают еще более тонкими – около 5 мм.
Возможности и преимущества методики
Что показывает МРТ печени:
- Общее состояние железы, ее конфигурацию, размеры, тканевую структуру;
- Состояние желчевыводящих протоков – наличие сужений, закупорок, стриктур;
- Наличие воспалительных или гнойных процессов, их обширность и степень запущенности;
- Наличие новообразований в виде злокачественных или доброкачественных опухолей, кист и абсцессов;
- Преобладание жировой ткани в паренхиме, что может стать признаком липодистрофии печени;
- Камни больших и малых габаритов в печеночных протоках;
- Зоны травматизации после механического воздействия или химического поражения;
- Аномалии анатомического строения железы.
Достоинства метода:
- Безопасность. МРТ не предполагает использование вредного рентгеновского излучения и не влияет на здоровье обследуемого;
- Высокая чувствительность. Изображение, формируемое МРТ-агрегатом, отличается повышенной контрастностью и высоким разрешением. Обследованию не мешает физический фон, который создает опорно-двигательный аппарат;
- Детализированность. Магнитный томограф способен исследовать объекты и частицы размером в несколько миллиметров. Это позволяет рассмотреть внутреннюю структуру органов в мельчайших подробностях и выявить корень патологии;
- Многофункциональность. Позволяет исследовать не только физические параметры органов, но и следить за скоростью движения биологических жидкостей, кислотно-щелочным равновесием в тканях.
При помощи магнитно-резонансной томографии диагност получает изображение в любой проекции – сагиттальной, аксиальной, фронтальной. Это помогает всесторонне изучить анатомическое образование даже в участках, недоступных для других методик.
Благодаря особой четкости и детализированности при помощи МРТ патологии выявляются на первоначальных стадиях, что позволяет предотвратить дальнейшее прогрессирование и принять лечебные меры как можно раньше.
МРТ часто путают с другим диагностическим методом – КТ (компьютерной томографией). Обе методики выдают послойные анатомические снимки, но принципы работы аппаратов отличаются в корне. МРТ работает на основе безопасного магнитного поля, а в КТ применяется опасное рентгеновское излучение.
Диагностикой и лечением заболеваний гепатобилиарной системы (куда, помимо печени, входят желчный пузырь и его протоки) занимается врач-гепатолог. Он получает первичную информацию о пациенте, собирает жалобы и анамнез, проводит пальпацию, направляет больного на лабораторные анализы и магнитно-резонансную томографию. Направление на диагностику также можно получить от терапевта, гастроэнтеролога, хирурга, инфекциониста, эндокринолога.
Метод окажется информативен в следующих клинических случаях:
- Инфекции и воспаления, которые потенциально могут задеть клетки и ткани печени;
- Появление желтушности кожных покровов и белков глаз неясной этиологии;
- Подозрение на закупорку желчных протоков;
- Болевой синдром, затрагивающий зону правого подреберья;
- Подозрения на жировое перерождение печени или цирроз;
- Атипичное строение гепатобилиарной системы;
- Нарушения кровообращения железы;
- Обнаруженное при пальпации увеличение печени;
- Наличие предпосылок для формирования абсцессов, признаки опухолей и очагов метастаз;
- Для оценки эффективности проведенного лечения;
- Перед трансплантацией, если печень рассматривается в качестве донорского органа;
- После трансплантации, когда необходимо оценить, насколько прижился трансплантат.
МРТ печени назначают после серьезных травм и ушибов органов брюшной полости. Посредством методики оценивают степень повреждения, исключают кровотечения, разрывы, исследуют текущее состояние органа.
Противопоказания
Среди ряда преимуществ у МРТ есть один существенный недостаток – магнитное поле способно притягивать элементы, содержащие металл. Поэтому пациентам, у которых в тело вживлены металлизированные предметы, перед обследованием придется их удалить или выбрать альтернативную систему диагностики.
Какие предметы служат абсолютным противопоказанием:
- Кардиостимуляторы;
- Импланты среднего уха, выполненные из металлических сплавов;
- Аппараты Илизарова;
- Любые ферромагнитные имплантаты опорно-двигательного аппарата.
Относительные противопоказания:
- Стимуляторы нервной системы;
- Инсулиновые насосы;
- Имплантаты внутреннего уха, изготовленные из неметаллического сырья;
- Протезы сердечных клапанов;
- Кровоостанавливающие клипсы, установленные в сосудистую сетку;
- Наличие на теле татуировок, выполненных красками на основе титановых соединений.
При относительных противопоказаниях исследование проводить можно, но врач должен рассмотреть вопрос о сокращении времени процедуры.
С осторожностью МРТ проводят следующим категориям больных:
- Лицам с клаустрофобией – если сеанс проводится в аппарате замкнутого типа, у человека может возникнуть панический приступ, что воспрепятствует полноценной диагностике;
- Лицам с декомпенсированной сердечной недостаточностью – изменения магнитного поля могут подстраиваться под сердечный ритм и менять его частоту;
- Первые три месяца беременности – данных о влиянии магнитных импульсов на плод недостаточно, чтобы судить о безопасности методики;
- Неадекватным пациентам и лицам с психическими отклонениями – исследование нельзя будет провести в полном объеме, результаты будут недостоверными.
Детям, не достигшим 5 лет, может потребоваться введение наркоза. Гиперактивные маленькие пациенты не способны длительно находиться в неподвижном положении, поэтому картина состояния здоровья может быть смазана.
Окончательное решение о том, можно ли больному проходить МРТ, принимает врач-диагност.
Как проходит процедура
МРТ-агрегат находится в специально оборудованной комнате с окошком. Через окошко медицинские работники могут наблюдать за самочувствием больного и примут меры, если оно ухудшится. Для общения с больным предусмотрен микрофон и встроенная видеокамера.
Сканирование проводят на аппаратах двух типов:
- В форме цилиндра с выдвижной платформой, на которую укладывают пациента;
- С открытым контуром в виде стола и расположенного над ним сканера.
Существуют устройства мобильного типа, которые функционируют в небольших клиниках или используются для выездных исследований.
Описание сеанса:
- С клиентом проводят предварительную беседу, рассказывают об особенностях процедуры, подтверждают отсутствие противопоказаний;
- Все металлические предметы, украшения, мобильные телефоны, диски, пластиковые карты необходимо оставить за пределами диагностической комнаты;
- Если на пациенте удобная одежда без металлизированных деталей, переодевание не требуется. В остальных случаях следует надеть одноразовый набор;
- Обследуемого укладывают на платформу на спину, конечности фиксируют;
- На голову надевают наушники, которые будут подавлять шумы и устранять звуковой дискомфорт;
- Закрытые аппараты автоматически перемещаются под цилиндр, открытые остаются неподвижными;
- Специалист лучевой диагностики покидает комнату и начинает сканирование печени. Больной в течение всего исследования должен сохранять максимальную неподвижность. При малейшем ухудшении самочувствия и возникновении неприятных ощущений следует нажать на тревожную кнопку и вызвать медработника;
- Когда томография печени будет окончена, врач оповестит об этом пациента и поможет подняться с платформы.
Продолжительность сканирования составляет от 30 минут до 1,5 часа – все зависит от сложности каждого отдельного случая. После сбора всех диагностических данных доктор приступает к обработке и составлению заключения. Заключение выдается в письменной форме на фирменном бланке, заверенном печатью. Дополнительно пациент может получить на руки снимки срезов и компьютерный диск с результатами в цифровом виде.
Составление заключения занимает не более получаса. В тяжелых случаях, когда для постановки диагноза требуется консультация нескольких специалистов, процесс может затянуться. Не обязательно дожидаться результатов в клинике – документы можно забрать на следующий день.
Как делают МРТ печени с контрастом
Контраст – это жидкий препарат с особым составом, который позволяет детально рассмотреть на снимке те участки печени, которые без контрастирования увидеть невозможно.
Контрастирование показано тогда, когда есть необходимость пронаблюдать за течением болезни в динамике, диагностировать опухоли, которые на снимке сливаются с паренхимой.
В качестве контраста используют препараты на основе бария, марганца, оксида железа, гадолиния. Для здоровья человека они не представляют угрозы. Опасность заключается только в том, что указанные компоненты могут вызывать аллергические реакции в виде кожных высыпаний или диспепсических явлений.
МРТ на печень с контрастным веществом проводится по той же схеме, что и без контраста. Но существуют и некоторые особенности:
- На первом этапе сканирование проводят в чистом виде без контрастного компонента;
- Затем вводится контраст посредством внутривенной инъекции – используют весь объем вещества сразу или при помощи капельной инфузии;
- Врач делает серию контрастных снимков и извлекает инъектор.
Для печени характерна высокая насыщенность кровеносными сосудами, куда в первую очередь поступает контрастное вещество. Оно проникает в самые мелкие капилляры, вступая во взаимодействие как с больными, так и со здоровыми клетками. На выходе получаются очень четкие снимки срезов, позволяющие определить:
- Закупорку или патологическое сужение вен, артерий и протоков;
- Опухоли и метастазы;
- Травматические поражения тканей;
- Отклонения от нормы показателей тканевой плотности и однородности.
Контрастный препарат выводится из организма естественным путем через почки – 95% состава покидает кровеносную систему в первые сутки после исследования.
Рекомендованные меры по подготовке
Подготовка к МРТ печени без контрастного препарата особых мер не требует. Но пациентам нужно знать, что исследование проводят только натощак – на протяжении 5 часов минимум придется отказаться от пищи. В большинстве случаев обследование назначают на утреннее время, поэтому в этом плане трудностей возникнуть не должно.
Отказ от еды имеет важное диагностическое значение – во время голодания желчный пузырь и печеночные протоки максимально заполняются желчью, изображения на МРТ получаются более четкими.
Если больной склонен к повышенному газообразованию в кишечнике, врач может посоветовать диету. В меню должны отсутствовать продукты, вызывающие брожение, – бобовые, черный хлеб, картофель, капуста, дрожжевые изделия.
Для улучшения пищеварения можно накануне принять ферментные препараты (Мезим, Фестал) или сорбенты (Энтеросгель, Смекта, Полисорб, активированный уголь).
Перед походом к диагносту следует заранее снять все металлические украшения – серьги, кольца, цепочки, пирсинг, заколки. На одежде не должно быть молний, крючков, пряжек, застежек из сплавов, способных повлиять на качество изображения.
Особо тревожным больным может понадобиться прием успокоительных фармпрепаратов. Но все беспокойства по поводу томографии печени беспочвенны – сеанс проходит абсолютно безболезненно и никакими физическими ощущениями не сопровождается. В редких случаях может возникнуть небольшое покалывание в конечностях из-за неподвижности или болезненность в области вены, куда вводился контраст.
В целом процедура хорошо переносится больными, а ее информативность редко подлежит сомнениям из-за минимальных погрешностей и высокой технологичности оборудования.
Комментарии 0