
Рак шейки матки на мрт
Рак шейки матки – довольно распространенное заболевание женской репродуктивной сферы. Риск развития данного злокачественного новообразования особенно велик у женщин, имеющих эрозию шейки матки, а это, по данным статистики, каждая вторая (!).
Конечно, совсем необязательно эрозия перерастет в рак, однако, риск развития событий по такому сценарию существует. Воспалительный процесс в шейке матки и цервикальном канале (эрозия) и особенно следующая ее стадия – дисплазия шейки матки – это благоприятные условия для перерождения клеток. Поэтому при любых подозрительных симптомах следует немедленно обратиться к врачу и установить состояние тканей в этой области.
Поводом для диагностики является:
- Скудные, нерегулярные, мажущие кровяные выделения из влагалища;
- Увеличение количества белей, появление в них кровяных прожилок;
- Неясные, не связанные с менструальным циклом боли в нижней части живота;
- Кровомазание после полового акта и т.п.
Эрозия шейки матки – это заболевание, которые может диагностироваться при вагинальном осмотре гинекологом, так как эту область можно хорошо рассмотреть в зеркалах. Однако последующие, более сложные, стадии заболевания определяются при помощи целой совокупности методов. К ним относятся мазок на цитологию, кольпоскопия, биопсия с шейки матки, трансвагинальное УЗИ и т.п. Разночтения и неясности возможны при любом из них. Магнитно-резонансная томография – метод диагностики, который может заменить все вышеперечисленные методы и предоставить врачу исчерпывающую информацию о состоянии всех типов тканей и структур в исследуемой области. Мрт органов малого таза – это универсальная, безопасная и высокоинформативная методика обследования при любых злокачественных новообразованиях женской репродуктивной сферы, а также многих других заболеваний. Кроме этого, уже обнаруженный рак шейки матки может дать осложнения на соседние органы и системы (яичники, почки, мочевой пузырь, кишечник). Для их обнаружения и оценки ущерба может использоваться еще целый арсенал диагностических процедур: цистоскопия, ректороманоскопия, урография, ирригоскопия и т.п.
Метод магнитно-резонансного сканирования позволит не только определить наличие злокачественного новообразования, но также даст информацию о том, на какой стадии находится опухоль, какие изменения она вызвала в тканях, имеются ли прорастания опухоли в близлежащие ткани (прямую кишку или мочевой пузырь), имеются ли метастазы и где, в каком количестве.
Для успешного лечения рака шейки матки ответы на эти вопросы очень важны, так как они позволяют врачу принять решение о методе лечения, степени и глубины оперативного вмешательства при планировании удаления опухоли и т.п. На поздней стадии рака опухоль из шейки матки может прорастать не только в мягкие ткани органов малого таза (матку, мочевой пузырь, кишечник), но и может поразить брюшину, кости таза, позвоночник, лимфатические узлы.
Для оценки степени повреждений врач-диагност применяет метод введения контрастного вещества. Препараты вводятся внутривенно в кровеносную систему и разносятся с током крови, проникая в том числе и в опухоли и метастазы, на снимках они имеют яркое подсвечивание, позволяя оценить их наличие, количество, расположение, границы.
Таким образом, при помощи современной мрт-диагностики можно существенно ускорить сроки постановки диагноза, ведь снимки с визуализацией всех изменений будут на руках у врача всего спустя час после сканирования. В диагностике и лечении злокачественных опухолей время подчас имеет решающее значение и вы можете избавить себя от необходимости хождения по врачам и кабинетам в попытках выяснить верный диагноз.
Метод мрт хорош еще и тем, что является универсальным и удобным. В диагностическом центре «Мы и дети» используется аппарат открытого типа, что позволяет проводить процедуру с комфортом тем пациентам, для которых она представляет трудности при использовании классической замкнутой камеры.
Противопоказаний к мрт органов малого таза у женщин также немного. К ним относятся:
- Беременность в 1 триместре;
- Наличие в организме медицинских неснимаемых изделий из ферромагнитных сплавов;
- Индивидуальная непереносимость компонентов контрастного вещества;
Подготовка к мрт органов малого таза
Для того, чтобы улучшить визуализацию и получить максимум от диагностической процедуры, перед обследованием необходимо выполнить ряд несложных манипуляций:
- Назначить процедуру на «спокойную» фазу цикла, то есть 7-10 день цикла, у женщин в менопаузе обследование можно проводить в любой день цикла.
- . За сутки до обследования воздержаться от употребления продуктов, провоцирующих избыточное газообразование в кишечнике.
- За 40-60 минут до обследования принять спазмолитики.
- Мочевой пузырь должен быть умеренно наполнен.
Возможности современной диагностики таковы, что позволяют на самых ранних стадиях определять опасные заболевания с высокой степенью вероятности, что является залогом полного излечения без тяжелых последствий для здоровья. Спешите и вы воспользоваться возможностями, которые дает сегодня магнитно-резонансная томография в диагностическом центре “Мы и дети”.
Исследование на МРТ яичников и матки, придатков
1-07-2014, 12:35 36 717 Высокая информативность современного способа исследования МРТ яичников и матки имеет весомое значение в диагностировании гинекологических заболеваний женщин разных возрастных категорий, ведь именно от женщины, состояния ее здоровья зависит семейное благополучие: и атмосфера в доме, здоровье и настрой всех домочадцев.
строение матки и яичников
Женщинам необходимо проходить периодическое медицинское обследование не только при наличии уже имеющихся проблем, но и в качестве профилактики. На приеме лечащий врач подберет способ диагностического исследования индивидуально для каждой пациентки из множества существующих методов:
- Кольпоскопия (используется для осмотра шейки матки и выявления измененных патологическим процессом участков, как, например, при ретроцервикальном эндометриозе, поражающем заднюю поверхность шейки и ее перешеек)
- Гистероскопия (диагностирует внутриматочную патологию, в т. ч. аденомиоз матки, отсутствие лечения, которого может привести к росту опухолей и бесплодию)
- Лапароскопия (внутренний осмотр брюшных органов с использованием эндоскопа, способного диагностировать трубное бесплодие, врожденные аномалии, миому матки и др.)
- Ультразвуковое исследование (бывает двух способов: абдоминальное (через брюшную стенку) и влагалищное исследование)
УЗИ позволяет диагностировать анатомическое строение матки, изучить аномалии ее развития (двурогую матку), установить размеры яичников и толщину разрастания эндометрия в разные периоды менструального цикла и т. д.
- Гистеросальпингография (рентгенологический метод диагностики)
Проводиться с использованием контраста, вводимого в полость матки для выявления структурных изменений, исследования проходимости маточных труб, определения состояния поверхности рубца на матке, обнаружения спаечного процесса и др.
- Компьютерная томография (способ рентгенологического обследования, позволяющий получить многочисленные снимки срезов объекта исследования, выполненные в разных проекциях)
Метод КТ томографии наиболее полезен для диагностирования костных тканей, опухолевых образований, разного рода патологий. Компьютерная томография предоставляет возможность проведения дифференциальной диагностики при кисте яичника и других новообразованиях
- Магнитно-резонансная томография (процедура диагностического обследования, основанная на воздействии магнитных волн)
В процессе исследования МРТ яичников и матки изменяется электромагнитная энергия вещества разных фрагментов изучаемых органов (тканей). Это повышает результативность диагностики.Каждая отдельная форма диагностики имеет свои функциональные особенности, достоинства и недостатки, показания и противопоказания. В настоящее время наиболее результативным способом обследования считается МРТ яичников и матки — методика, выявляющая любые заболевания данной анатомической области исследования, патологические изменения и аномальные образования.Большое преимущество МРТ матки и яичников перед другими методами исследования заключается в следующем:
- Неинвазивность (проведение процедуры сканирования без проникновения через кожу и слизистую оболочку как, например, при проведении хирургической операции, биопсии, инъекциях и т.д.)
- Безопасность (в ходе исследования матки и яичников на МРТ отсутствует вредное рентгеновское излучение, опасное для здоровья пациента)
- Уникальность метода МРТ, не знающего аналогов по информативности и точности полученных результатов
- Процедура МРТ матки и придатков позволяет провести визуальную оценку объекта исследования, исходя из преобразованных трехмерных изображений, выполненных в разных проекциях
- Дифференциации мягких тканей и разного рода патологий
- Возможность выявления локализации опухоли, ее размеров и процесса метастазирования на МРТ при раке шейки матки, яичников и других детородных органах
- Сохранность полученной информации на цифровых компьютерных носителях
Перед проведением магнитно-резонансной томографии матки пациент обязан сообщить рентгенологу о факте присутствия в организме инородных тел, так как многие имплантаты могут содержать в своем составе металл, а это является абсолютным противопоказанием к осуществлению обследования на томографе.На сегодняшний день многие медицинские устройства (например, внутриматочная спираль) изготавливаются их титана и других материалов, совместимых с МРТ. Поэтому, только врач будет принимать решение о возможности проведения данного вида обследования.Магнитно-резонансная томография с практически неограниченными возможностями в области функционального диагностирования способна выявлять разного рода заболевания, патологии, опухолевые образования.При подозрении врача на наличие у пациента онкологии, обязательно назначается МР томография. Так, диагностируя на МРТ рак шейки матки, врач проводит визуальный анализ распространенности злокачественной опухоли, изучает процесс метастазирования.В случае наличия метастаз на другие органы и ткани проводиться МРТ шейки матки с контрастом (специальным парамагнитным веществом), усиливающим диагностическую результативность данного обследования. Это необходимо сделать для того, что бы исключить возможность постановки ошибочного диагноза.Много заболеваний женских половых органов требуют точного диагностического обследования с использованием контрастного усиления. Но вот, проводить МРТ при миоме матки с контрастным веществом нет нужды, так как данное образование выявляется при первичном осмотре врача (матка увеличена в размерах).Диагностика придатков матки позволяет выявить рак яичников на МРТ, который может развиваться как на одном, так сразу и на двух яичниках. Женщинам старше 45 лет нужно обязательно раз в год проходить комплексное обследование.
Молодые женщины репродуктивного возраста так же не застрахованы от появления разного рода новообразований (доброкачественной опухоли – фибромиомы, кисты яичников). В процессе исследования на МРТ киста яичника визуализируется как заполненная жидкостью полость, которая может иметь размер от нескольких миллиметров до десятка сантиметров.
Эффективность МРТ при болезни Альцгеймера
КТ и МРТ головного мозга
Как делают, и как проходит УЗДГ при беременности
КТ и МРТ брюшной полости
Диагностика МРТ коленного сустава, связок, мениска
КТ и МРТ суставов
Как определить рак матки
Тело матки является наиболее частым объектом формирования злокачественной опухоли в репродуктивной системе женщины наряду с шеечным отделом. Рак матки подразумевает карциному эндометрия – внутреннего слоя маточного тела.
Выделяют две основные причины развития рака матки:
- формирование карциномы на фоне гиперплазии эндометрия при постоянной гиперэстрогении. Повышение продукции эстрогенов наблюдается в репродуктивном возрасте, поэтому рак матки такого типа чаще определяется у молодых женщин;
- рак эндометрия на почве его атрофии, диагностика которого превалирует у пациенток периода климакса.
Рак матки, развившийся на фоне гиперплазии эндометрия, определяют, как высокодифференцированный, хорошо поддающийся лечению и имеющий благоприятный прогноз. Злокачественная опухоль эндометрия при его атрофических процессах характеризуется низкодифференцированными клетками при диагностике и неблагоприятным прогнозом. Приблизительно у 80% пациенток при диагностике вида рака матки определяют аденокарциному – разновидность новообразования из желез эндометрия.
Диагностика рака матки подразумевает определение гистологической характеристики образования и стадии процесса с целью выбора тактики лечения и прогнозирования.
Диагностика осуществляется с помощью следующих методов:
- аспирационная биопсия эндометрия;
- раздельное диагностическое выскабливание;
- УЗИ органов малого таза, брюшной полости и области за брюшиной;
- определение в крови уровня онкомаркера СА-125;
- биохимия крови, клинические исследования крови и мочи, коагулограммы;
- гистероскопия;
- кольпоскопия;
- цистоскопия;
- лапароскопия;
- исследования кишечника (колоноскопия и ректороманоскопия);
- сцинтиография костей;
- рентген органов грудной клетки;
- МРТ и КТ.
Для того чтобы во время диагностики определить рак матки при онкологической настороженности, требуется проведение биопсии, ультразвукового исследования, выскабливания и анализа крови на онкомаркеры. Как правило, этих анализов достаточно для верификации диагноза. С целью диагностики стадийности и поиска метастаз проводят рентгенологические, видеоскопические исследования, КТ и МРТ.
МРТ при диагностике рака матки является более информативным способом, по сравнению с КТ. Глубина проникновения опухоли и переход ее на шейку матки более четко визуализируются на магнитно-резонансной томографии. В отношении определения наличия метастаз в брюшной полости и забрюшинного пространства, лимфатических узлах МРТ и КТ, как методы диагностики, имеют одинаковую информативность.
После выполнения диагностических мероприятий врачи определяют прогноз. Ведущим фактором, который определяет прогноз, является стадия злокачественного процесса. На ранних стадиях прогрессирование процесса наблюдается у 25% пациенток, а остальные имеют значительные шансы на полное выздоровление.
К неблагоприятным прогностическим признакам при диагностике относят:
- возраст пациентки старше 60 лет;
- низкодифференцированный рак матки, наличие анеуплоидии клеток (изменение числа хромосом), что определяют после гистологического исследования биоптата;
- инвазия новообразования в миометрий более чем на 50% его толщины;
- наличие распространения на шейку матки или перешеек;
- в случае определения опухолевых эмболов в венах и лимфатических сосудах матки;
- диагностирование метастаз в яичниках и регионарных лимфоузлах;
- распространение раковых клеток по брюшине;
- незначительное количество рецепторов к эстрогенам и прогестерону в тканях опухоли, что определяют иммуногистохимическим путем при исследовании биоптата;
- присутствие раковых клеток в смыве из брюшной полости;
- активная экспрессия онкогенов, например, СА-125.
При гистологическом исследовании биоптата внутреннего слоя определяют тип образования, что крайне важно для оценки прогноза при диагностике. Так, светлоклеточная аденокарцинома и папиллярная серозная карцинома являются самыми агрессивными гистотипами рака матки. Частота метастазирования на ранних стадиях высока, пятилетняя выживаемость характеризуется низким уровнем.
Важным аспектом в диагностике является определение возможности женщины к последующей беременности и родам. После выполнения УЗИ, МРТ с контрастом, иммуногистохимии определяют необходимые характеристики опухоли, актуальные, с точки зрения репродуктивных функций. Благоприятными к будущему деторождению признаками при диагностике являются:
- отсутствие признаков врастания рака в миометрий;
- большое количество рецепторов к эстрогену и прогестерону в тканях эндометрия, что определяют на иммуногистохимии.
В целом пациентки с 1А и В стадией высокодифференцированного рака матки имеют значительный шанс на успех в аспекте осуществления репродуктивной функции.
Клиническая диагностика
Выявление рака матки не является по факту сложной задачей. Проблемой диагностики рака на ранних стадиях считается отсутствие настороженности врачей.
Основными симптомами, подозрительными на рак матки, являются кровотечения как межменструального характера, так и чрезмерно обильные менструации. Женщины в менопаузе жалуются на появление кровянистых выделений из половых путей.
С такими признаками практически каждая женщина обращается к врачу в ближайшее время. Адекватная диагностика позволяет определить рак матки на ранней стадии.
Основной причиной формирования карциномы тела матки является повышение продукции женского полового гормона эстрогена, что ведет к гиперплазии эндометрия. Такая патология является благоприятным фоном для развития рака. Пациентки отмечают кровянистые или коричневые выделения, мазню, возникающие в середине менструального цикла, перед месячными. Кроме того, описываются обильные и длительные менструальноподобные кровотечения, нерегулярный цикл. Это обусловлено избыточной толщиной эндометрия. Напротив, пациентки в периоде менопаузы, имеющие истощение яичников и атрофию эндометрия, также подвержены высокому риску развития рака матки. При наличии ожирения, патологий печени, хронических интоксикаций, эстрогены из других источников или их химические аналоги связываются с рецепторами в матке и провоцируют рост новообразования.
При наличии жалоб на кровянистые выделения, врач назначает скрининг, который включает УЗИ-диагностику, пайпель-биопсию.
УЗИ
С помощью ультразвукового исследования матки при диагностике рака можно определить толщину внутреннего слоя, что позволяет сделать вывод о наличии гиперплазии. Диагностика гиперплазии является поводом для проведения дальнейшего исследования. Критериями для выполнения следующей ступени обследования на рак являются:
- толщина эндометрия в 1 фазу цикла у женщин репродуктивного возраста определяется более 6 мм;
- у пациенток в менопаузе толщина внутреннего слоя матки превышает 4 мм.
Толщина эндометрия у пациенток в молодом возрасте может определяться как повышенная, и это не всегда означает патологию. При длинных циклах, выполнении УЗИ-диагностики в конце 1 фазы слой может быть увеличен в размерах, но не быть гиперплазирован. У пациенток зрелого возраста эндометрий априори не должен быть увеличен в размерах.
Информативность УЗИ при диагностике рака матки у молодых женщин имеет низкий уровень, поэтому решающее значение метод приобретает у пациенток в менопаузе.
Как правило, женщинам у которых отмечают гиперплазию, определяют уровень половых гормонов, онкомаркера СА-125 и назначают дальнейшую диагностику в виде пайпель-биопсии и гистероскопии с выскабливанием. В группе пациенток этапа менопаузы показатели информативности УЗИ-диагностики приближаются к 100%.
При диагностике стадии рака матки на УЗИ определяют следующие признаки:
- при первой стадии отмечается толщина внутреннего слоя от 7 до 13 мм, границы его четкие, контуры определяют ровные, отмечается однородная гиперэхогенная структура срединного М-эхо или неоднородность за счет наличия включений округлой формы, гиперэхогенных, с размытыми, но ровными контурами, размером 8-14 мм;
- при диагностике 2 стадии отмечается инвазия клеток в миометрий, при пятимиллиметровой инвазии толщина эндометрия определяется в пределах 14 – 23 мм, границы между слоями нечеткие, структура опухоли может быть однородной и гиперэхогенной или неоднородной гипоэхогенной;
- третья стадия определяется как наличие очага в полости матки с неопределяемыми границами, размытыми контурами, характеризуется отсутствие слоистости, толщина внутреннего слоя составляет 18-34 мм, а его структура чаще неоднородная гиперэхогенная за счет включений;
- опухоль активно кровоснабжается, что определяет допплеровское сканирование при УЗИ-диагностике.
Настораживающие данные УЗИ-диагностики и допплера являются поводом для цитологического исследования биоптата, проведения раздельного выскабливания и гистероскопии.
Биопсия и иммуногистохимия
Диагностика рака матки невозможна без проведения гистероскопии и выскабливания, проведения прицельной пайпель-биопсии. Только при микроскопическом исследовании материала специалисты определяют рак. Но проводится не только оценка структуры тканей и клеток под микроскопом. Выполняют ряд тестов, которые при диагностике могут определить агрессивность новообразования и помочь в выборе тактики лечения.
При диагностике рака эндометрия первостепенное значение имеет определение чувствительности опухоли к гормонам. Известно, что гиперплазия развивается на фоне повышения синтеза эстрогенов, а это означает, что в тканях матки присутствуют рецепторы к гормону – структуры в клетках, благодаря которым эстроген может оказывать свое пролиферирующее действие. При лечении рака маточного тела специалисты используют вещества, блокирующие эти рецепторы, что останавливает рост опухоли. Если такие рецепторы есть, то шансы на выздоровление увеличиваются в разы. Диагностика такого вида рака характерна для молодых женщин и имеет благоприятный прогноз.
Если в тканях образования не определяют рецепторы к половым гормонам, лечение будет иметь более агрессивный характер, а шансы на выздоровление снижаются. Данный тип диагностируют у пожилых женщин.
Чтобы определить наличие рецепторов, используют такой метод, как иммуногистохимия. Выполняют биопсию эндометрия и исследуют полученный кусочек ткани с помощью специальных реактивов.
Помимо выявления рецепторов в тканях матки, определяют пролиферативную активность опухоли – ее склонность к интенсивному росту. Диагностика способности раковых клеток активно размножаться осуществляется с помощью поиска антигена Ki-67. Он отражает способность новообразования к агрессивному росту, инвазии в миометрий, метастазированию и во многом определяет тактику лечения.
Онкомаркер СА-125
Диагностика рака, а также период после лечения сопровождаются определением в крови уровня онкомаркеров. Карцинома матки подразумевает анализ содержания в крови СА-125. Это белковое вещество синтезируется эпителиальными клетками. Так как железы эндометрия состоят из эпителиальных клеток, специалисты определяют уровень маркера для оценки эффективности проводимого лечения.
В норме содержание в крови онкомаркера СА-125 у женщин не превышает 35 Ед/мл. Незначительные превышения (не более 100 Ед/мл) свидетельствуют о доброкачественных или воспалительных процессах.
О раке матки можно думать, когда определяют значительные превышения уровня маркера в крови. Следует отметить, что при диагностике этот показатель имеет низкую информативность. Его количество в крови у больной служит отправной точкой для оценки динамики лечения.
СА-125 может быть повышен не только при злокачественных процессах в организме женщины. Его превышение определяют в следующих случаях:
- беременность;
- киста яичника;
- эндометриоз;
- воспалительные заболевания репродуктивного тракта;
- перитонит;
- плеврит;
- болезни печени и поджелудочной железы.
Помимо рака матки, уровень маркера повышен при диагностике:
- рака яичников;
- рака молочной железы;
- злокачественных эпителиальных опухолях печени, поджелудочной железы, кишечника, желудка, легких.
При диагностике 1 стадии уровень СА-125 определяют, как повышенный, только у 50% пациенток. В целом при любой стадии рака количество маркера увеличено только у 80% больных. После проведения операции у пациенток определяют количество маркера в крови для того, чтобы оценить эффективность лечения, риск метастазирования и вероятность рецидива. СА-125 оценивают в динамике. При снижении показателя в течение первых 3 месяцев после операции или другого типа лечения, шансы на выживание увеличиваются в разы. При приближении показателя к нулю говорят о полной ремиссии. При росте уровня маркера даже в пределах нормы со временем говорят о доклиническом проявлении рецидива. Если при диагностике рецидива рака матки на фоне ремиссии определяют повышение СА-125, требуется более детальное исследование. Выполняют КТ, МРТ, рентгенологические, сцинтиографические, видеоскопические исследования для поиска метастаз.
После лечения рака матки пациентка подвергается дальнейшему наблюдению в виде выполнения ряда методов диагностики. Определяют несколько показателей, позволяющих оценить, распространяется рак дальше или нет. Наблюдение включает:
- каждые 3 месяца в течение 3 лет женщину осматривает гинеколог, далее, каждые полгода на протяжении 2 лет;
- проводится цитология мазков из шейки матки или культи влагалища с частотой по вышеуказанной схеме;
- рентген грудной клетки один раз в год для диагностики отдаленных метастазов рака матки;
- определение уровня СА-125 перед каждым посещением гинеколога.
Диагностика рецидива и поиск метастаз, а также сомнительные результаты УЗИ, цитологии, гистологии считаются поводом для более расширенного исследования, обязательно включающего мультиспиральную КТ и МРТ с контрастом.
Читайте также: Рак ин ситу шейки матки
Потологии и болезни которые можно выявить методом МРТ матки.
МРТ матки – высокоточная методика, с помощью которой выявляют гинекологические заболевания. Благодаря инновационной технике томографа специалистам удается распознать патологическое развитие любого происхождения. Сканер магнитно-резонансного томографа обладает способностью дифференцирования доброкачественных и злокачественных образований, а также определяет их стадию, разновидность и возможную вовлеченность в другие ткани и органы (метастазирование при раке). МРТ матки при полипах позволяет выявить возможную малигнизацию новообразований и в целом контролировать динамику их роста. Помимо детальной диагностики патологий малого таза у женщин, показатели результатов МРТ являются решающим фактором в выборе лечения (консервативная терапия или хирургическое вмешательство). Кроме того, исследование проводится с целью проверки послеоперационных изменений.
Что визуализируется на МРТ матки?
Видно ли на МРТ рак матки? Данный вопрос является самым популярным, и на него следует дать положительный ответ. Магнитно-резонансная томография способна не только обнаруживать опухоли, но и четко разграничить образования, а также дать полный объем информации о выявленной патологии.
Что показывает МРТ матки?
- опухолевые образования и их характер;
- размер, контур и внутреннюю структуру новообразований;
- кистозные образования;
- некроз тканей и кровоизлияния;
- первоначальный очаг и причину патологии;
- общую картину органов малого таза;
- лимфатические узлы на предмет увеличения;
- зоны распространения раковых метастазов
Какие заболевания можно выявить при МРТ матки?
Чаще всего при МРТ выявляются такие болезни:
-
Эндометриоз. Патология является самым распространенным гинекологическим заболеванием и характеризуется разрастанием клеток эндометрия (внутренний слой маточных стенок). Болезнь имеет свои подвиды: генитальный (наружный и внутренний) и экстрагенитальный. При наличии внутреннего эндометриоза утолщение не выходит за пределы маточных стенок, при внешнем – происходит разрастание в сторону шейки матки, влагалища, маточных труб, яичников, а затем продвигается в брюшную полость. Этот процесс уже указывает на экстрагенитальную форму болезни. На МРТ выявляются такие признаки эндометриоза: наличие патологических включений в миометрии и утолщение маточной полости. Таким образом, МРТ при эндометриозе матки показывает увеличенные размеры органа, соответствующие периоду беременности, сроком до 10 недель. МРТ позволяет составить полную и точную клиническую картину заболевания и выявить: геморрагические включения (даже минимальные), определить характер образования, вычислить место локализации и взаимосвязь с близлежащими органами и тканями.
- Аденомиоз. Суть заболевания аналогична эндометриозу, но аденомиоз – это ограниченная патология, которая не распространяется за пределы матки. Аденомиоз имеет свою классификацию и бывает диффузным, фокальным и кистозным. Данной аномалии больше подвержены женщины, находящиеся в репродуктивном возрасте, которым было проведено хирургическое вмешательство (выскабливание, кесарево сечение, операции на матке). Признаки аденомиоза на МРТ матки: разрастание утолщенных клеток в миометрии, увеличение диаметра матки, наличие кист с гемораггической жидкостью (при кистозной разновидности). Патология имеет четыре степени, последняя из которых характеризуется поликистозом, при этом все кисты наполнены кровью. МРТ при аденомиозе матки позволяет вычислить характер разрастающейся ткани, степень заболевания, а также проверить органы на наличие кист и спаечных процессов.
- Полипы. Данная аномалия представляет собой округлое образование, которое по форме напоминает гриб (имеет тело и ножку). Полип имеет доброкачественный характер, однако аденоматозный вид патологии состоит из атипичных клеток, в результате чего возрастает риск трансформации в онкологическую опухоль. Если тело полипа имеет длинную ножку, то обнаружить образование можно в ходе гинекологического осмотра. Но в любом случае понадобится МРТ опухолей матки, чтобы точно установить структуру и характер патологии, после чего приступить к консервативному или оперативному лечению.
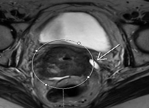
- Рак матки. Исследование гинекологических заболеваний на МРТ и рак матки – тесно взаимосвязанные понятия. Главным признаком рака матки на МРТ является наличие плоскоклеточных карцином полиповидного или инфильтративного характера. При наличии онкологического образования врач направляет пациентку на МРТ для определения стадии рака и с целью проверки на наличие областей метастазирования. После результатов исследования специалист оценивает возможности операции (при аномальном разрастании в область таза опухоль считается не операбельной). В других случаях назначается ее удаление, вместе с частичным иссечением задействованных и аномальный процесс органов.