
МРТ брюшной полости: что показывает, какие органы проверяют, как подготовиться?
В настоящее время самое информативное обследование брюшной полости и забрюшинного пространства – МРТ брюшной полости (магнитно-резонансная томография брюшной полости).
Процедуру можно проводить с контрастированием (введением гадолиния внутривенно) и без. Процедура помогает увидеть трехформатное изображение необходимых тканей.
Это дает возможность на начальных этапах выявить смертельно опасные патологии органов, которые расположены в брюшной полости человека.
МРТ, КТ, УЗИ – что выбрать?
Ответ на вопрос, какой из методов визуализации брюшной полости и забрюшинного пространства – МРТ, КТ или УЗИ – стоит выбрать пациенту, должен дать его лечащий врач, исходя из целей обследования и уже имеющихся данных.
Несмотря на то, что каждая из перечисленных процедур показывает внутренние органы, между методами исследования есть и существенное отличие.
Прежде всего, отличается способ воздействия на больного: в ходе МРТ-исследования на организм человека воздействуют электромагнитные волны, в ходе УЗИ – соответственно, ультразвуковые, в ходе КТ – рентгеновское излучение.
Видео:
То есть первые два метода практически безвредны для организма человека, а третий – компьютерная томография – несет серьезную лучевую нагрузку.
УЗИ актуально для диагностики болезней органов пищеварительной, мочевыделительной системы, прежде всего, женских половых органов, однако, к примеру, состояние желудка пронаблюдать при помощи УЗИ-аппарата практически невозможно.
Но самое главное, что патологические изменения в органах перечисленных систем УЗИ выявляет лишь на том этапе, когда эти изменения стали оказывать негативное воздействие на ткани.
Патологии же на начальных этапах их развития при помощи УЗИ заметить сложно, в этом случае предпочтительнее провести МРТ.
УЗИ-диагностику используют для визуализации крупных органов брюшной полости, прежде всего, желудка, почек, для установления места локализации кровотечений. УЗИ также незаменимо в акушерстве и гинекологии (к примеру, беременным в первом триместре ни МРТ, ни КТ делать нельзя).
Фото:
Определить причину недомоганий пациента и установить диагноз можно с помощью КТ. КТ – это быстрая процедура обследования брюшной полости, которая, как и МРТ, позволяет выявить новообразования, диагностировать заболевания на начальных этапах их развития.
КТ позволяет уточнить предположительный диагноз, поставленный по данным УЗИ.
Однако, как уже отмечалось, компьютерная томография имеет большое количество противопоказаний, так как несет очень большую лучевую нагрузку на организм: часто делать КТ нельзя.
Цели исследования
Что же показывает МРТ брюшной полости, для чего делают исследование?
МРТ брюшной полости и забрюшинного пространства при помощи сверхточного современного оборудования позволяет объективно оценить функционирование и структуру ЖКТ, а также таких крупных органов, как печень, почки и их протоки.
Сюда также входит поджелудочная железа и желчный, кровеносные сосуды и лимфоузлы живота.
Только с помощью МРТ органов брюшной полости можно подтвердить либо опровергнуть противоречивые данные, которые были получены в ходе УЗИ или КТ-исследований.
МРТ брюшной полости и забрюшинного пространства также необходимо в ходе диагностики и лечения, чтобы максимально точно определить местонахождение воспалительного процесса, появление новообразования.
Благодаря сверхточным томографам, посредством которых проводится исследование, можно отследить злокачественные новообразования диаметром всего в несколько миллиметров.
Прекрасные отзывы получает такое МРТ-исследование, как бесконтрастная холангиография, которая позволяет выявить мельчайшие камни в желчевыводящих путях, оценить состояние панкреатических протоков.
Хорошие отзывы получает и МРТ-метод бесконтрастной урографии – его используют для диагностики патологий мочевыводящих путей.
Магнитно-резонансная томография также является обязательной для определения точного месторасположения злокачественного новообразования, несмотря на то, что основным методом диагностики онкологических заболеваний желудочно-кишечного тракта МРТ и не является (первичной является УЗИ-диагностика).
Показания и противопоказания
Важнейшими показаниями к проведению МРТ брюшной полости являются:
- различной природы травмы брюшной полости и забрюшинного пространства;
- увеличение в размерах того или иного органа брюшной полости (прежде всего, печенки и селезенки);
-
панкреатит;
- асцит;
- механическая желтуха;
- очаговые воспаления в брюшной полости и забрюшинном пространстве;
- патологии сосудов брюшной полости и забрюшинного пространства;
- различной природы новообразования.
Однако, как и любое аппаратное исследование, томография брюшной полости имеет свои противопоказания и ограничения. Какие же факторы исключают возможность проведения МРТ?
В перечень противопоказаний входит:
- электроприборы в организме;
- беременность и лактация;
- возраст от 0 до 6 лет;
- аллергия;
- болезни почек в запущенных стадиях;
- боязнь замкнутого пространства, сильный болевой синдром;
- вес более 130 кг.
Наличие в организме таких электроприборов, как кардиостимулятора, стентов в венах, кохлеарных имплантов делает проведение МРТ невозможным.
При этом пациентам с нейростимуляторами, металлическими пластинками и протезами конечностей обследование делать можно, однако перед процедурой о том, что в организме есть тот или иной прибор, нужно сообщить доктору.
В первом триместре беременности – период наиболее интенсивного развития органов плода – никакой из видов магнитно-резонансной томографии делать женщинам нельзя.
Обследование можно проводить, начиная со второго триместра беременности, однако только по рекомендации лечащего врача (если есть возможность, на период беременности лучше от МРТ все же воздержаться либо отдать предпочтение УЗИ) и без использования контрастного вещества.
Категорически нельзя проводить обследование ребенка дошкольного возраста с использованием контрастного вещества.
Однако магнитно-резонансную томографию без контраста можно делать даже детям младшего возраста.
Нельзя проводить МРТ забрюшинного пространства и брюшной полости с контрастом пациентам, у которых уже происходили аллергические реакции на гадолиний.
В этом случае лечащим врачом может быть рекомендовано МРТ без контраста либо альтернативные методы исследования: УЗИ, КТ.
Заболевания почек являются противопоказанием к проведению магнитно-резонансной томографии с контрастом, однако МРТ забрюшинного пространства и брюшной полости даже при наличии почечной недостаточности делать можно.
Так как исследование длится не менее получаса, спокойно пролежать такой промежуток времени может оказаться невозможным для пациентов с клаустрофобией, а также с сильными болями.
В этой ситуации решением проблемы может стать прием седативных (в первом случае) либо обезболивающих препаратов (во втором случае).
Также пациент с боязнью замкнутого пространства может самостоятельно поискать клинику, в которой имеются томографы открытого типа.
Ввиду того, что в эксплуатации томографов есть весовые ограничения, обследовать пациентов, масса тела которых превышает 130 кг, нельзя.
Особенности проведения процедуры
Перед тем, как отправляться на МРТ, следует знать, как подготовиться к процедуре.
Подготовка к МРТ брюшной полости не сложна, однако готовиться, чтобы снимки внутренних органов получились максимально четкими, все же придется. Есть определенные правила, которые обязательно следует выполнить перед МРТ.
Во-первых, перед началом томографии следует предоставить врачу результаты всех исследований больного органа, которые проводились раньше (это могут быть, к примеру, снимки с УЗИ, КТ).
Важным также является наличие направления от лечащего врача.
Во-вторых, перед исследованием брюшной полости следует ограничить себя в питании.
За день перед МРТ не нужно есть «тяжелые» продукты, содержащие грубую клетчатку, а также пищу, которая вызывает газообразование: белокочанную капусту, бобовые. Питание должно быть максимально сбалансировано.
В-третьих, накануне процедуры необходимо выпить «Эспумизан», чтобы уменьшить газообразование.
И, наконец, в-четвертых, за 6 часов до исследования нельзя ничего кушать (пить можно).
Непосредственно перед процедурой в кабинете МРТ больного просят переодеться в больничную рубашку и снять все имеющиеся украшения (последнее лучше сделать еще дома).
После этого пациенту предлагают расположиться на выдвижном столе томографа и фиксируют его верхние и нижние конечности ремнями – чтобы обеспечить неподвижное состояние.
Если магнитно-резонансная томография будет проведена с контрастом, то медицинская сестра вводит в вену катетер, в который будет поступать контрастное вещество и физраствор, и просит больного максимально расслабиться.
Когда все приготовления окончены, стол въезжает в томограф и происходит сканирование. По завершении процедуры томограф выезжает, а пациент может быть свободен и возвращаться к привычной жизни. Восстановительного периода после МРТ не требуется.
Расшифровка полученных в ходе исследования снимков занимает в разных клиниках разное количество времени.
В некоторых медицинских учреждениях расшифровка и заключение врача-радиолога выдается больному или его лечащему врачу уже через час после исследования, в других клиниках расшифровка может проводиться сутки.
В особо сложных случаях расшифровка снимков и заключение радиолога делаются несколько дней.
Таким образом, МРТ хоть и не является основным методом исследования забрюшинного пространства и брюшной полости, она является обязательным этапом в диагностике важнейших заболеваний.
МРТ брюшной полости
Магнитно-резонансное обследование органов, находящихся в брюшной полости, всегда проводится на высококлассном, сверхмощном оборудовании, которое редко задействуется для проведения томографии иных направлений. Целесообразность использования именно таких аппаратов обусловлена тем, что в брюшине располагаются органы и системы различной плотности и структуры. Поэтому МРТ брюшной полости используется в небольшом числе случаев – при подозрении на онкологические проблемы, для локализации и максимально детального рассмотрения той или иной патологии, для уточнения результатов, которые дали иные обследования (УЗИ или компьютерная томография).
Необходимость назначения МРТ внутренних органов брюшины определяет лечащий врач. Исследование включает в себя томографию:
- печени с протоками;
- поджелудочной железы;
- селезенки;
- лимфатической и сосудистой системы;
- мягких тканей живота и брюшной стенки.
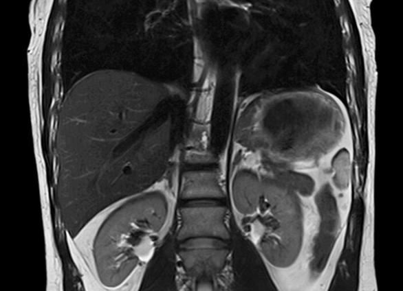
Снимок МРТ брюшной полости
Часто МРТ брюшной полости проводят в комплексе с процедурой обследования органов и полостей забрюшинного пространства. В этом случае затрагиваются также почки с надпочечниками, благодаря чему с высокой степенью точности проводится выявление опухолевых и иных образований, вторичных опухолей, а также патологических состояний, аномалий и травматических последствий для всей брюшной полости и забрюшинного пространства.
Предмет уточнения
Магнитно-резонансная томография брюшной полости проводится при необходимости уточнения основных патологий, состояний и заболеваний органов этой области организма человека:
- травматических повреждений;
- очагов и границ воспалительных процессов;
- аномалий развития и роста;
- патологических изменений в тканях;
- скопления жидкости в полости;
- патологий сосудистой системы;
- наличия желтухи;
- наличия панкреатита;
- возникновения онкологических образований.
Помимо перечисленных случаев, МРТ органов брюшной полости используется для планирования оперативного вмешательства, для послеоперационного обследования, а также для корректировки лечебной стратегии и контроля над результатами медикаментозной и хирургической терапии.
МРТ снимок с патологическими изменениями в брюшной полости
Обследование конкретных органов
Чаще всего такое обследование, которое предлагает томография брюшной полости, проводится для печени. Это самая крупная железа человеческого организма, которая может страдать от:
- желтухи различного происхождения;
- патологических изменений;
- поражений паренхимы и внутрипеченочных желчных протоков;
- объемных образований.
Для подтверждения наличия в печени опухолей различного характера пациентам назначается магнитно-резонансная томография с контрастом (препарат на базе солей гадолиния).
Обследование поджелудочной железы в рамках МРТ брюшной полости с высокой четкостью показывает очаговые поражения органа, определяет, какие участки поражены, обнаруживает следующие заболевания:
- панкреатит в острой или хронической форме;
- кистозные образования;
- злокачественные образования;
- доброкачественные образования;
- метастазы.
Основная функция селезенки – участие в обмене веществ с выполнением функции защиты, фильтрации и кроветворения. Этот орган редко поражается первичными новообразованиями, однако часто страдает от:
- травматического воздействия;
- последствий заболеваний других органов;
- врожденных патологий.
К прохождению диагностики всех этих органов требуется подготовка – желательно избегать употребления в пищу продуктов, стимулирующих газообразование (или принять перед томографией соответствующее лекарство), не есть как минимум 6-8 часов перед процедурой.
Дополнительный метод
При подозрении на заболевания поджелудочной железы и патологии печеночных желчных протоков назначают дополнительные вид МРТ брюшной полости, который называется МР-холангиография. Данный метод показывает в деталях:
- воспаления и поражения печени;
- воспалительные процессы поджелудочной железы, патологии ее протоков, наличие опухолей и иных изменений;
- патологическое состояние и аномалии желчных протоков.
Выполняется данное дополнение к МРТ органов брюшной полости всегда с контрастом, поэтому чтобы убедиться, что холангиография не нанесет вред пациенту, перед процедурой ему предлагается пройти медицинское обследование и выявить наличие или отсутствие аллергии на препарат контраста. Часто именно из-за опасности развития аллергической реакции этот метод применяется только при наличии серьезных хронических недугов, дегенеративных заболеваний желчных протоков и иных проблемах аналогичного характера.
Снимок МР-холангиографии
Показана холангиография как дополнение к МРТ брюшной полости при:
- сужении желчевыводящих протоков;
- перенесенных травмах;
- наличии дегенеративных изменений желчных протоков;
- необходимости обнаружения аномалий в строении желчевыводящей системы;
- подозрениях на инфекционное воспаление желчных протоков;
- необходимости подтверждения онкологии;
- полипах.
А также при подготовке к операции, после проведения хирургического вмешательства и для контроля над эффективностью назначенного лечения.
Цена вопроса
Стоимость МРТ брюшной полости определяется тем, входит ли в список процедур МР холангиография или только непосредственно томография, а также требуется ли введение контраста. Средняя цена по Москве на полный комплекс процедур составляет 8.600-9.500 рублей (без введения контрастного вещества), исследование отдельных органов колеблется в пределах 4.700-5.700 рублей, с контрастом цена возрастает на 2.500-3.000 рублей. Не менее 10.000-13.000 рублей будет стоить комплексная процедура диагностики брюшной полости и забрюшинного пространства (плюс 10% с контрастом).
В специализированных медицинских учреждениях МРТ брюшной полости проводится как для отдельных органов, так и для всего комплекса. Все, что требуется от будущего клиента – пройти под руководством лечащего врача обследование, чтобы получить назначение на конкретную процедуру. Очень важно выбрать хорошую клинику, оснащенную качественным современным оборудованием, впрочем, в век Интернета с возможностью заранее почитать отзывы об учреждении выбор не будет слишком сложным.
Магнитно-резонансная томография брюшной полости и забрюшинного пространства
Краткое содержание статьи:
- Показания к проведению исследования
- Основные противопоказания
- Какие органы исследуют с помощью МРТ
- Что может показать сканирование брюшной полости
- Как правильно подготовиться к исследованию
- Как проходит процедура: описание метода
- Расшифровка результатов диагностики
- Сколько стоит данная процедура?
МРТ органов брюшной полости – это исследование для безопасного получения информации о функционировании и структуре ЖКТ и гепатобилиарной системы. Диагностика допустима к проведению маленькому ребенку, женщине в период беременности и людям с противопоказаниями к другим вариантам обследования. Магнитно-резонансная томография брюшной полости и забрюшинного пространства проводится с применением контрастного вещества или без.
Запись на МРТ и КТ в клиники Москвы и Московской области: +7 (499) 519-32-37
МРТ сканирование брюшной полости с контрастом превосходит УЗИ диагностику, компьютерную томографию и рентгенографию с целью сканирования органов малого таза и выявления онкологических заболеваний. Расшифровка данных МРТ внутренних органов брюшной полости показывает запущенные заболевания, но не всегда можно определить скрытые патологии на начальной стадии.
Показания к проведению исследования
Общие показания к МРТ брюшной полости и забрюшинного пространства:
- инфекционные заболевания мягких тканей;
- онкологические процессы;
- кровотечение в малом тазу;
- желчекаменные заболевания;
- неспецифическое и специфическое воспаление;
- сосудистые аномалии;
- морфологические изменения;
- контроль состояние после хирургического лечения.
Основные противопоказания
МРТ сосудов брюшной полости и органов таза нельзя проводить при наличии в организме электронных приборов или имплантов. Стандартное обследование может проводиться пациентам до 150 килограмм и женщинам при беременности, за исключением первого триместра. Пациенты с весом больше допустимого и клаустрофобией проходят диагностику с использованием открытого томографа.
Что препятствует проведению томографии:
- стимуляторы;
- металлические эндопротезы;
- штучные клапаны сердца, помпы;
- клипсы в головном мозге;
- пластины и штифты.
Какие органы исследуют с помощью МРТ
Диагностика включает проверку:
• желудка – для выявления доброкачественных и злокачественных процессов, оценки анатомии органа, состояния лимфоузлов и определения степени рака;
• мочевыводящих путей и почек – для выявления причины гематурии, мочекаменной болезни, оценки состояния после травмы, при специфическом или неспецифическом воспалении;
• селезенки, печени и поджелудочной железы – для выявления диффузных патологий, осмотра тканей при травме, опухоли и кистозном образовании;
• сосудов – для определения аномалии строения, диагностики аневризмы, окклюзии и стенозов;
• лимфоузлов – для выявления воспаления, лимфом и метастазов;
• желчного пузыря и протоков (МР-холангиогафия)– для диагностики холецистита, холангита, желчнокаменного заболевания, опухолевых новообразований, постхолецистэктомического синдрома.
Что может показать сканирование брюшной полости
Результаты МРТ могут указать на такие заболевания:
- скопление жидкости, абсцесс;
- раковая опухоль и киста;
- изменение размера печени;
- камни в протоках и желчном пузыре;
- патология лимфатических узлов, их срастание;
- нарушение кровотока в полой вене;
- отторжение импланта;
- инсулинома, аневризма.
В отличие от КТ и УЗИ, МРТ внутренних органов показано в первую очередь для дифференциальной диагностики новообразований разной локализации. Обследование с контрастированием дает возможность с точностью описать степень распространения патологии в мягких тканях. Но в тоже время, МРТ уступает МСКТ, КТ и УЗИ при обследовании полых органов, включая желудок.
Как правильно подготовиться к исследованию
Подготовка к исследованию МРТ брюшной полости с контрастированием заключается в профилактике возможных последствий при внутривенном введении препарата. Для обследования применяется гадолиний, который редко приводит к побочным реакциям, но не рекомендуется его использование при тяжелых системных заболеваниях. Перед процедурой врач собирает информацию о наличии в анамнезе аллергии и бронхиальной астмы.
Подготовка к МРТ брюшной полости без контраста заключается в соблюдении специальной диеты за несколько дней до процедуры. Пациент не должен кушать продукты, повышающие газообразование. При склонности к скоплению газов, врач назначит препарат Эспумизан перед обследованием. Последний прием пищи должен быть за 12 часов до процедуры.
В день исследования пациент должен убрать с тела все предметы, которые будут препятствовать работе аппарата. Это касается ювелирных изделий, различных украшений, съемных зубных протезов, пирсинга, слуховых аппаратов.
Как проходит процедура: описание метода
Для обследования используются традиционные закрытые томографы. Они представляют собой большую трубку в виде цилиндра. Пациент ложится на стол, который перемещается внутрь аппарата.
Томографы открытого типа используются для обследования людей с большим весом, более 150 кг и людей с боязнью закрытого пространства. Во время сканирования брюшной полости важно находиться в томографе полностью неподвижно. Перед процедурой врач назначает препарат для уменьшения моторики.
Диагностика с использованием контрастного вещества проводится дольше, среднее время процедуры – 30-40 минут. Препарат вводится внутривенно или перорально в процессе сканирования.
Справка! Для пациента эта процедура абсолютно безболезненна, можно ощущать лишь легкое тепло в области исследования.
Расшифровка результатов диагностики
Расшифровку результатов проводит рентгенолог после обследования. Оценка снимков проводится не более часа, при сложных клинических случаях срок увеличивается. На основании изображений врач делает заключение о выявленных нарушениях. Специалист расписывает состояние внутренних органов и сосудов, отклонения их расположения и формы. Заключение содержит информацию о выявленных заболеваниях.
Об отклонении будут свидетельствовать обнаруженные опухоли, аневризмы сосудов, скопление экссудата. Обследование может показать кровотечение, инфекционное поражение мягких тканей, сужение и закупорку сосудов. Сканирование с применением контрастного вещества позволяет более подробно описать степень закупорки мочеточников и желчных каналов.
Показатели нормы при МРТ внутренних органов
О нормальном состоянии свидетельствуют такие показатели:
- отсутствуют признаки инфекционного и воспалительного процесса;
- все органы расположены на своем анатомическом вместе без нарушения размеров;
- новообразования, отёки, скопление экссудата отсутствуют;
- сосуды имеют правильную форму и наполненность;
- поджелудочная железа и желчный пузырь имеют нормальные протоки без камней.
Сколько стоит данная процедура?
Средние цены на услугу в клиниках Москвы:
- МРТ брюшной полости – 9000 рублей;
- забрюшинного пространства – 8000 рублей;
- МР-холангиография желчевыводящих путей – 7000 рублей;
- сканирование с контрастным веществом – 7500 рублей.
Направить на обследование может врач-гастроэнтеролог, уролог, онколог, хирург, травматолог.
Что лучше КТ или МРТ брюшной полости?
Аппараты для проведения МРТ и КТ отличаются по принципу воздействия на организм человека. В первом случае используется магнитное поле, компьютерная томография предполагает рентгеновское облучение. Методы диагностики имеют практически одинаковую информативность, но с некоторыми отличиями. Компьютерная томография лучшие визуализирует отклонения твердых тканей, МР томограф эффективен для исследования мягких структур и выявления в них различных патологических процессов.
Рассматривая варианты диагностики патологий брюшной полости, выбрать какой метод лучше, сложнее, учитывая различную плотность и конфигурацию внутренних органов. Для выбора методики врач изначально точно определяет, что именно он хочет рассмотреть на снимках.
С одинаковой информативностью методики исследуют почки, поджелудочную железу, желчные протоки, печень. В плане безопасности на первом месте стоит магнитно-резонансная томография. Она проводится, когда КТ сканирование противопоказано (детский возраст, период беременности).
Компьютерная томография лучше покажет участки хронического кровотечения, потому она назначается при острых травмах в области живота. МРТ отлично справляется с определением опухолей доброкачественного и злокачественного происхождения. Часто эти методики назначаются в комплексе, и дополняются другими вариантами диагностики.