
МРТ органов брюшной полости с контрастированием
Магнитно-резонансная томография – это один из самых информативных методов диагностики, позволяющий дать максимально точную оценку состоянию внутренних органов и мягких тканей исследуемой области, а также выявить патологический процесс на разных стадиях своего развития. Данный вид обследования осуществляется посредством влияния на организм сильных электромагнитных волн, которые генерируются томографом и являются абсолютно безвредными для человеческого тела.
МРТ органов брюшной полости помогает детально исследовать такие анатомические структуры, как почки и надпочечники, печень, желчный пузырь, поджелудочную железу, а также мышцы, лимфоузлы и подкожно-жировую клетчатку. Исследование широко применяется специалистами разного профиля (терапевты, нефрологи, онкологи и т.д.). Процедуру можно проходить как по назначению лечащего врача, так и самостоятельно, по желанию.
Существует несколько вариантов проведения МРТ брюшной полости: с контрастом и без контраста. Красящие вещества используют для повышения визуализации определенных структур. Из контрастных препаратов предпочтение чаще всего отдается Омнискану и Гадовисту, которые имеют в своем составе гадолиний.
После внутривенного введения, действующее вещество проникает в ткани, пораженные заболеванием, и делает их на снимке ярче. Дозировка применяемого препарата прямо пропорционально зависит от веса пациента. Контраст, который используется в ходе процедуры, практически безвреден для организма и довольно редко дает аллергические реакции.
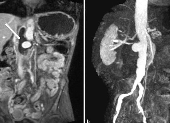
Внутривенное введение гадолиния помогает облегчить диагностику тяжелых клинических случаев
Показания к проведению исследования
Лечащий врач может выдать направление на магнитно-резонансную томографию органов брюшной полости при подозрении на такие патологии, как:
- Аномалии развития внутренних органов.
- Доброкачественные и злокачественные опухоли и их метастазы.
- Патологии сосудов (аневризмы, стенозы, тромбоэмболии, нарушение оттока крови в полой или воротной вене и др.).
- Портальная и билиарная гипертензия.
- Внутреннее кровотечение неясной локализации.
- Посттравматические патологии.
- Инородные тела исследуемой области.
- Воспалительные, ишемические или деструктивные изменения внутренних органов (эмпиема желчного пузыря, карбункул почки, цирроз печени и др.).
Противопоказания к проведению исследования
Данный вид диагностики запрещено проводить в следующих ситуациях. Наличие металлических инородных тел внутри организма (инсулиновая помпа, кардиостимулятор, сосудистые клипсы, травматологические штифты и т.д.).
Полное МРТ всего тела
Томограф по своей сути является сильным магнитом, который может смещать нефиксированные в твердых тканях предметы и причинять вред организму, а также нарушать работу электроприборов и искажать качество получаемого изображения.
Значительное повышение массы тела пациента (для каждого аппарата это значение индивидуально). Клаустрофобия: альтернативой является проведение исследование в томографах открытого типа. МРТ брюшной полости с контрастированием имеет дополнительные ограничения: беременность и период грудного вскармливания, отягощенный аллергологический анамнез, тяжелая почечная и печеночная недостаточность (удлиняется время выведение препарата из организма, что может привести к развитию осложнений).
Подготовка и методика проведения процедуры
Чтобы подготовиться к исследованию достаточно соблюдать несколько простых правил:
- За пару суток до начала процедуры отказаться от продуктов, усиливающих перистальтику кишечника и способствующих повышенному газообразованию (бобовые, кисломолочные продукты, газированные напитки).
- Не принимать пищу минимум за 9 часов до диагностики.
- При наличии метеоризма выпить Эспумизан или Мотилиум.
- За полчаса до исследования принять спазмолитик (Но-шпа, Спазмалгон и т.д.).
- Непосредственно перед процедурой снять все металлические изделия, выложить мобильные телефоны и магнитные карты.
Следование инструкциям поможет получить качественное изображение
Подготовка к МРТ брюшной полости с контрастом также включает консультацию лечащего врача и получение от него разрешения на процедуру. При введении контрастного вещества в кровеносную систему происходит окрашивание сосудов и скопление его в тканях, при этом на степень накопления и быстроту выведения вещества влияет кровоснабжение и скорость обмена веществ.
Благодаря этому, на получаемых срезах детально видны очаги патологических новообразований, области ишемии, склероза и воспаления в органах.
Исследование начинается с того, что человека укладывают на специальный передвижной стол, который заезжает в томограф. Магнитное поле, генерируемое оборудованием, возбуждает атомы водорода в теле человека, после чего радиоволны излучаются ядрами клеток и проецируют изображение на экран монитора. По окончании данного процесса клетки возвращаются к своему начальному состоянию без каких-либо изменений. Компьютер обрабатывает полученную информацию от органов и сосудов и создает трехмерное изображение высокого качества.
Во время исследования необходимо лежать неподвижно, чтобы не снизить качество получаемой картинки и не затруднить дальнейшую диагностику. Процедура длится от 30 до 60 минут. После завершения диагностики пациентам выдаются результаты на пленке, диске или другом электронном носителе информации. Для получения заключения специалиста необходимо подождать какое-то время, пока рентгенолог не опишет выявленные изменения и не вынесет свой вердикт.
Плюсы и минусы магнитно-резонансной томографии
К преимуществам данного вида диагностики относят:
- Неинвазивность и безболезненность. В ходе исследования не повреждаются кожные покровы, поэтому процедура не причиняет пациенту дискомфорта.
- Малая вероятность развития аллергии на контраст. Гадолиний является гипоаллергенным, в отличие от йода, который может применяться для проведения КТ и рентгена.
- Высокая информативность. Во время сканирования тела томограф выполняет множество срезов с высокой частотой и в разных плоскостях, что делает возможно детально изучить изображение и сформировать модель исследуемой области в режиме 3Д.
- Безвредность для организма. В ходе МРТ человек подвергается воздействию магнитных волн, а не агрессивных рентгеновских лучей. Благодаря этому исследование может проводиться неограниченное количество раз, например, для оценки степени прогрессирования заболевания или эффективности получаемой терапии.
Срезы МРТ могут быть отображены в нескольких проекциях
Недостатком проведения МРТ органов брюшной полости гораздо меньше. Во-первых, это невозможность детально исследовать костные структуры. Данное исследование хорошо визуализирует исключительно мягкие ткани. Во-вторых, невозможность провести процедуру при наличии металлических устройств в организме. В-третьих, наличие некоторых ограничений для применения контрастного вещества.
МРТ брюшной полости с контрастированием, бесспорно, один из самых надежных методов диагностики. Процедура может выполняться как в плановом порядке, так и в ургентных случаях. Огромные возможности современных томографов помогают обнаружить проблему на самых ранних стадиях, что помогает вовремя начать мероприятия по ее устранению, тем самым увеличивая вероятность положительного исхода.
Контрастное МРТ брюшной полости не требует особенной подготовки
| МРТ органов брюшной полости | 5800 | 5300 | 4190 | 4400 | Записаться |
| МР-ангиография брюшного отдела аорты c контрастированием (без учета стоимости контрастного вещества) | 6500 | 6000 | 4990 | 5600 | Записаться |
| МРТ органов брюшной полости и забрюшинного пространства (с МР-холангиографией) | 7500 | 7000 | 5690 | 6600 | Записаться |
При выполнении МРТ брюшной полости цена всегда выше, чем у стандартных исследований, поскольку длительность исследования больше и необходимо провести синхронизацию сканирования и дыхания. Узнать подробную информацию о стоимости услуг, показаниях и противопоказаниях, а также о подготовке к МРТ брюшной полости с контрастом вы сможете у наших специалистов. Для записи на диагностику с предварительной бесплатной консультацией, пожалуйста, позвоните позвоните по телефону: +7(812)414-98-53. Для записи на обследование с 25% скидкой воспользуйтесь формой онлайн-записи.
Альтернативные способы диагностики – плюсы и минусы
Существуют различные методики выявления заболеваний и нарушений пищеварительной системы. Некоторые из них неинвазивны, но менее безопасны, другие – безопасны, но менее точны. Рассмотрим плюсы и минусы способов диагностики, альтернативных МРТ брюшной полости с контрастом.
Эндоскопические методы, такие как колоноскопия, фиброгастроскопия и ректоскопия имеют высокую эффективность в обследовании внутренней поверхности крупных полых органов, однако совершенно неинформативны для обследования общего состояния органов, пространства вокруг них, сосудов, нервов. Все эндоскопические методы сами по себе являются малоприятными инвазивными процедурами, которые вызывают дискомфорт и неприятные ощущения у пациентов. Кроме того, они требуют тщательной подготовки для их проведения и иногда выполняются под наркозом.
Лучевые методы диагностики
Рентгенография является достаточно дешевым видом диагностики, однако у нее скорее больше минусов, чем плюсов: она отражает состояние только полых органов (при использовании контрастирования) и не позволяет выявить такие мягкотканные образования как грыжи или участки воспаления. Кроме того, изображение рентгенограммы имеет свойство отражать наложенное изображение одних органов на другие, что вызывает большие сложности в расшифровке результатов такого обследования – корректно расшифровать сможет только очень подготовленный специалист высшей категории. Также рентгенография – не самый безопасный вид диагностики. В процессе исследования организм подвергается действию ионизирующего излучения, соответственно существуют ограничения по количеству проводимых сеансов.
Менее безопасным способом является УЗИ (ультразвуковая диагностика), однако одновременно этот способ является наименее точным и скорее субъективным, так как его результаты зачастую зависят от мощности и современности оборудования, а также от специализации врача.
Более дорогостоящим и наиболее информативным из всех перечисленных методов (за исключением МРТ), пожалуй, является рентгеновская компьютерная томография – обследование проводится с помощью рентгеновских лучей, которые проходят сквозь тело, передавая объемное изображение на монитор. Принцип КТ строится на создании серии снимков, полученных с разных ракурсов, которые с помощью программного обеспечения обрабатываются и формируются в трехмерное изображение. При правильной настройке аппарата толщина среза в снимке может составлять до 1 мм, что делает рентгеновскую компьютерную томографию одним из наиболее точных методов. Этот метод замечательно отражает картину заболеваний, но не так эффективен как МР-диагностика в случае комплексного обследования или при обследовании одинаковых по рентгеновской плотности тканей и структур.
МРТ и КТ органов брюшной полости – что лучше?
При сравнении МР-томографа и КТ абсолютное лидерство можно отдать первой. Она более универсальная и, кроме того, более безопасна. Оба вида диагностики дают достаточно полную картину заболеваний, однако методы у каждого из них разные и разный уровень воздействия. МР-томография совершенно безопасна для пациентов любого возраста, КТ излучает, хоть и небольшую, дозу рентгеновского излучения. Первая – универсальна для выявления любого рода заболеваний, поражений и опухолей, вторая – имеет более узкую специализацию исследования. Таким образом, в большинстве ситуаций, когда симптомы пациента не дают понимания о природе заболевания, наиболее точным и подходящим способом диагностирования является МРТ, а при наличии соответствующих показаний – контрастное МРТ брюшной полости.
МРТ брюшной полости с контрастом выполняется в тех случаях, когда диагноз требует максимально возможной визуализации проблемного участка. Такой метод позволяет создавать послойные снимки брюшной полости, выполненные в разных проекциях. МР-томография брюшной полости с контрастным веществом является одним из ключевых инструментов в постановке диагнозов для гастроэнтерологов, терапевтов, онкологов и хирургов.
Таким образом, контрастное МРТ брюшной полости является самым точном и наиболее щадящим методом проверить систему органов пищеварения, а по точности диагностики – в разы превосходит другие. Кроме того, этот метод является неизвазивным и наиболее безопасным, как для взрослых, так и для детей. В его основе лежит использование безопасного физического явления – магнитного поля, что полностью исключает возможность вредного воздействия на организм и позволяет проводить процедуру неоднократно.
Показания для МР-диагностики брюшного пространства с введением контрастного вещества
Проведение обследования проводится с целью выявления патологических процессов внутренних органов назначается как по направлению врача, так и по собственной инициативе пациента. Решение о введении контрастного вещества может быть принято как лечащим врачом, так и врачом-диагностом во время сеанса МРТ-исследования. Среди наиболее распространенных показаний:
- симптомы, свидетельствующие о заболевании органов брюшной полости (особенно в случаях, когда другие виды обследования не выявили патологии);
- гепатит, цирроз печени;
- кисты внутренних органов брюшной полости;
- онкологические заболевания (первичные опухоли и метастазы);
- уточнение результатов других исследований или контроль за протеканием лечения.
МР-томография брюшной полости не имеет возрастных противопоказаний. Однако детям в возрасте до 6-7 лет достаточно проблематично проведение такой процедуры в связи с необходимостью нахождения в неподвижном состоянии достаточно продолжительное время. В случае острой необходимости проведения такой процедуры, совсем маленьким пациентам применяется анестезия для обеспечения неподвижности ребенка и минимизации психологических стрессов в связи с нахождением в замкнутом пространстве. Весь сеанс проводится под наблюдением детского врача-анестезиолога, который внимательно контролирует количество введенного препарата и следит за всеми жизненно важные показатели пациента в течение всего сеанса.
Как проводится МР-томография брюшной полости с контрастом
Процедура проходит следующим образом: пациенту внутривенно вводят контрастное вещество, которое в свою очередь начинает накапливаться в тканях и распространяться по органам. Принцип диагностики заключается в том, что контраст целенаправленно проникает в те участки, в которых образовались аномальные изменения, при этом, не нарушая состав околоклеточной жидкости. После исследования рекомендуется пить больше жидкости, что будет способствовать наиболее быстрому выведению контрастного вещества из организма, хоть это требование чаще распространяется на КТ с контрастом, так как объем введения контрастного вещества намного больше. При МРТ объем введенного контраста составляет 15-20 мл, при КТ – 70-100 мл.
В процессе диагностики обследуются следующие органы:
- желчный пузырь и его протоки;
- печень;
- поджелудочная железа;
- селезенка
- почки (в том числе надпочечники, мочеточники и паранефральная клетчатка)
- сосудистая система
- нервы
- лимфатическая система
- мягкие ткани поясничной зоны.
Желудок и кишечник обследуются в ряде случаев с использованием наполнения их простой водой. Однако для проведения таких обследований необходимы четкие показания лечащего врача.
Важно понимать, что некоторые заболевания распространяют свою зону повреждения на несколько органов одновременно. Прежде всего, это относится к онкологическим заболеваниям и воспалительным процессам в брюшной полости. В таких случаях пациентам назначаются комплексные программы диагностики. Определить объем и зону обследования поможет лечащий врач или специалист центра МРТ перед проведением сеанса. Это поможет сократить время обследования и уменьшить стоимость.
Подготовка к МРТ брюшной полости с контрастом
Перед проведением исследования рекомендуется за 8-12 часов отказаться еды, повышающей газообразование, а за 3-4 часа – воздержаться от еды и воды.
В день проведения МР-диагностики можно употреблять только легкую быстро усваиваемую пищу, за 4 часа до сеанса закончить употреблять жидкость.
Кроме того, для диагностики отдельных органов существуют дополнительные рекомендации. Так, например, при обследовании иногда рекомендуется разгрузить органы, придерживаясь углеводной пищи в течение нескольких дней. Подробную информацию о подготовке к МРТ брюшной полости с контрастом уточняйте у специалистов нашего центра.
Противопоказания для проведения МРТ брюшной полости с контрастом
Противопоказания для обследования органов брюшной полости схожи с общими противопоказаниями для любых других частей тела.
- Наличие кардиостимуляторов, электронных имплантов среднего уха, больших металлических имплантов, клипс в сосудах головного мозга и других металлических устройств в теле или на теле;
- Наличие татуировок, содержащих мелкие частицы металла в красителе;
- Почечная недостаточность;
- Тяжелые психические заболевания или клаустрофобия (болезнь замкнутых пространств);
- Масса тела, превышающая 120 кг;
- Тяжелое состояние больного, не позволяющее долгое время оставаться в неподвижном состоянии (в этом случае возможно диагностика под анестезией);
- Введение контрастного вещества запрещено за всех стадиях беременности, а также в период лактации.
Более подробную информацию о противопоказаниях, пожалуйста, уточняйте у специалистов центра МРТ «СИМЕД».
Что показывает МРТ брюшной полости: ответы специалиста
Делаем МРТ брюшной полости
Магнитно-резонансная томография – информативная методика, позволяющая обследовать все органы брюшины без вреда для здоровья. В ее основе лежит взаимодействие магнитного поля и радиочастотных импульсов. Каждое исследование включает оценку специалистом на основе полученных результатов состояние лимфатических узлов, кровеносных сосудов и забрюшинного пространства.
Зачем назначают МРТ
Обычно данный метод позволяет подтвердить или опровергнуть поставленный ранее диагноз путем рентгена и компьютерной томографии. Врач получает снимки исследуемой зоны брюшной полости и забрюшинного пространства в разных плоскостях. Они позволяют с высокой долей точности определить стадию развития болезни, степень поражения мягких тканей органов, особенности расположения проблемных участков в организме больного.
Что показывает МРТ органов брюшной полости:
- расположение кровеносных сосудов, лимфатических узлов и их вероятную патологию;
- злокачественные новообразования (опухоли) или доброкачественные скопления клеток и их локализацию;
- наличие повреждений мягких тканей;
- исследование подтверждает факт и показывает источник кровотечения в брюшине, если есть внешние признаки данного явления.
Какие органы исследуются на МРТ
Брюшная полость занимает значительную часть человеческого тела. В ней находится множество жизненно важных органов, заболевание каждого из которых может нести в себе серьезную угрозу здоровью.
В брюшине находятся:
- печень, желчный пузырь и протоки;
- мочеполовая система, мочевыводящие пути;
- желудок и поджелудочная железа;
- двенадцатиперстная кишка;
- кишечник (толстый и тонкий);
- поджелудочная железа;
- лимфатические и кровеносные сосуды;
- селезенка;
- мягкие ткани.
В организме человека печень выполняет функцию барьера токсических веществ. Это своеобразный фильтр, предотвращающий отравление (по кровотоку очень быстро распространяются вредоносные элементы, попавшие в него извне). Поэтому этому органу уделяется максимальное внимание в процессе диагностики. Магнитно-резонансная томография хорошо показывает изменения в тканях печени. Далее исследуются надпочечники, почки и клетчатка паранефрального пространства.
Что нужно сделать до исследования
МРТ брюшной полости обязательно проводится с предварительной подготовкой, ни один пункт из которой нельзя игнорировать. Только в этом случае исследование показывает высокоточные результаты, что взаимосвязано с эффективностью дальнейшего лечения. Перед проведением МРТ необходимо:
- Примерно за сутки отказаться от употребления продуктов, которые могут вызвать неестественное повышенное газообразование в кишечнике (очень важно в случае, если назначается магнитно-резонансная томография данного органа или желудка) – бобовые, черный хлеб, молоко.
- Принять активированный уголь.
- При спазме используют анальгетики.
По отзывам людей, проходивших данное исследование, абсолютно никаких болевых ощущений пациент не испытывает. Единственное, что может его беспокоить, – страх и тревожность перед томографом.
МРТ с контрастом: особенности
Данный тип исследования особенно не отличается от традиционного. Томография с контрастом позволяет получить более четкую картинку. Перед диагностикой в кровь пациента внутривенно вводится специальное вещество, абсолютно безопасное для жизни и здоровья обследуемого. В течение нескольких часов оно полностью выводится естественным путем из организма.
МРТ с контрастом показывает наличие доброкачественного или злокачественного новообразования в брюшной полости, а также его размер, стадию развития, локализацию и степень поражения органа. По отзывам пациентов, никаких негативных последствий для здоровья или побочных эффектов после проведения исследования не наблюдалось.
Особые случаи и специфика проведения томографии
Пациенты, у которых ранее был поставлен диагноз наличия злокачественного образования в брюшной полости (независимо от степени его развития), получают направление на МРТ достаточно часто. Это позволяет лечащему доктору наблюдать общую динамику развития опухоли и своевременно принимать меры. Если в процессе диагностики брюшной полости обнаруживают метастазы, запланированную ранее хирургическую операцию отменяют.
Также при необходимости внимательного изучения состояния желчного пузыря, наряду с МРТ проводится дополнительное исследование – холангиография. Иногда это единственная возможность установить правильный диагноз. На видео можно увидеть, как проводится исследование брюшной полости: это неинвазивная процедура, занимающая не более получаса. По отзывам врачей, МРТ достаточно точно показывает динамику роста опухолей органов брюшины, что в некоторых случаях помогает начать своевременное лечение, предотвращая образование и распространение метастаз.
Вконтакте
Одноклассники
Мой мир
МРТ брюшной полости
МРТ брюшной полости – один из наиболее информативных методов, обеспечивающий быструю и безболезненную диагностику всех органов, находящихся не только в брюшине, но и забрюшинном пространстве. Благодаря возможностям, связанным с особенностями процедуры, врачам удается получить полную картину состояния здоровья исследуемой области в различных плоскостях.
Какие внутренние органы можно обследовать при помощи МРТ?
Принцип работы магнитно-резонансного томографа заключается в воздействии электромагнитного поля на атомы водорода, находящиеся в клетках различных органов. Из чего следует, что полые органы брюшной полости, такие как желудок и кишечник, МРТ (магнитно-резонансная томография) визуализировать неспособна.
Но остальные органы брюшной полости и забрюшинного пространства (ОБП и ЗП) при МРТ просматриваются отлично не только во всевозможных плоскостях, но и на разной глубине. В процессе процедуры изучаются особенности строения и наличие патологических изменений в печени, поджелудочной железе, желчном пузыре, селезенке, органах малого таза и мочевыводящей системы – почек, надпочечников, мочеточников.
Кроме этого, МРТ органов брюшной полости и забрюшинного пространства позволяет исследовать поджелудочные и желчевыводящие протоки, кровеносные сосуды, нервные волокна и лимфатические узлы, расположенные на изучаемом участке. Большой объем полученной информации обеспечивает быстрое распознавание патологических процессов и их воздействие на близлежащие ткани либо органы.
Когда рекомендовано пройти МРТ?
Процедуру назначают во многих случаях, потому что показывает МРТ брюшной полости практически все патологии, известные на текущий момент медицине. К ним относятся воспалительные, инфекционные, деструктивные, дистрофические, онкологические процессы, а также аномалии развития органов как врожденные, так и приобретенные. Магнитно-резонансная томография полости брюшины дает возможность оценить размер просвета сосудов и протоков печени, желчного пузыря и поджелудочной железы.
Соответственно МРТ органов забрюшинного пространства визуализирует почки, мочевыводящие пути и расположенные в данной области сосуды и нервные образования. Так как диагностика электромагнитными полями совсем недешевая, в большинстве случаев изначально при наличии признаков заболеваний назначаются другие менее затратные методы, например, УЗИ или рентген.
И лишь когда эти процедуры не дали информации для постановки диагноза либо требуется уточнить достоверность полученных материалов исследования, появляется потребность в МРТ. Процедура часто становится необходимой перед выполнением оперативного вмешательства, например, для точного определения границ и характера новообразований. Также МРТ брюшной полости позволяет проверять ход послеоперационного и терапевтического процесса.
Расположение внутренних органов брюшной полости
Для онкологических больных диагностика, такая, как МРТ, является оптимальным вариантом, не дающим дополнительной лучевой нагрузки, чем выгодно отличается от КТ (компьютерной томографии). А вот определить наличие и тип конкрементов (камней) в желчном пузыре, почках, их протоках и мочеточниках с ее помощью невозможно, так как соли кальция не имеют атомов водорода и не визуализируются при МРТ.
Для пациентов, имеющим почечную недостаточность либо аллергию на урографин и его аналоги, не позволяющие провести урографию с применением контрастирования, МРТ считается чуть ли единственным способом обследования.
МРТ брюшной полости и забрюшинного пространства покажет все патологические изменения, возникающие в данной области. Поэтому врачи в большинстве случаев для уточнения установленного диагноза и избегания ошибок либо неточностей при назначении терапевтических методов рекомендуют пройти это обследование.
Итак, диагностирование показано:
- при аномальном развитии – увеличении либо уменьшении, изменении формы и структуры;
- обнаружении воспалительных процессов (для уточнения их локализации);
- сосудистых заболеваниях – аневризмы, тромбозы;
- тканевых патологиях – дистрофия, цирроз, фиброз, некроз;
- при повреждении области живота – травмах, ушибах, разрыве органов;
- скоплении жидкости в брюшной полости – асците;
- доброкачественных новообразованиях – кистах, гиперплазиях, липомах, аденомах;
- злокачественных процессах (для определения первичных очагов и метастазов).
Злокачественное новообразование в поджелудочной железе на снимке МРТ
МРТ внутренних органов брюшной полости выявляет онкологические очаги на ранних стадиях, что дает возможность вовремя начать лечение, увеличивая шансы на благоприятный прогноз.
Чтобы МРТ внутренних органов, расположенных в брюшной полости и забрюшинном пространстве, дала максимально точные изображения обследуемых участков, пациенту необходимо заранее готовиться к процедуре. В подготовительный процесс входит диета, способствующая снижению газообразования и брожения, очищение кишечника и прием необходимых по показаниям препаратов.
Диета для снижения метеоризма
Чтобы свести к минимуму процесс газообразования в желудке и кишечнике необходимо за 3–4 дня до планируемого исследования начать придерживаться следующих правил питания. Во-первых, необходимо исключить продукты, вызывающие процесс образования газов, и, во-вторых, следует перейти на режим дробного питания. К запрещенной пище, способствующей возникновению метеоризма, относятся:
Подготовка к МРТ органов брюшной полости
- сырые овощи и фрукты, бобовые;
- сдоба, сладости и черный хлеб;
- жирные виды мяса, рыбы, сыров;
- соленья, копчености, острая, жареная пища;
- кисломолочная продукция (исключение творог);
- газированные напитки и вода, алкоголь;
- крепкие наваристые супы и бульоны.
Данную пищу необходимо по возможности полностью исключить из рациона либо свести ее употребление к минимуму, ну это только в крайних случаях и по разрешению лечащего врача. Свое меню на время подготовки к компьютерной диагностике магнитным полем нужно составить:
- из нежирных сортов мяса, рыбы, отварных либо приготовленных на пару;
- овощных отваров, некрепких мясных бульонов и супов из них;
- обезжиренного кефира или молока – не более 2 стаканов в день;
- слабого чая, киселей, компотов и негазированной воды;
- яиц отварных – не более 1 штуки в день;
- нежирных видов сыра и творога.
Продукты, рекомендованные для снижения метеоризма
Процесс газообразования уменьшается не только благодаря правильному питанию, также подготовка подразумевает дробное питание, заключающееся в частых, не менее 5–6 раз, но небольших приемах пищи. Если пациент придет на процедуру недостаточно качественно подготовленным, тогда зачастую случается, что показывает МРТ забрюшинного пространства и брюшной полости недостоверную картину из-за присутствующих газов.
При метеоризме, в газах, скапливающихся в кишечнике, водород составляет около 47%, что обязательно будет визуализировано при проведении диагностики. Врач, описывающий снимки, в результате не сможет дать окончательной интерпретации, и придется проводить дорогостоящую МРТ повторно.
Очищение кишечника
Накануне перед МРТ следует опорожнить кишечник, и оптимально это сделать вечером. В случае склонности пациента к запорам можно воспользоваться любыми слабительными средствами начиная от народных методов и заканчивая лекарственными препаратами. Для очистки толстой кишки подойдет подсолнечное масло, настойка крушины, сены, сульфат магния, или же препараты Гутталакс, Сенаде и другие. В случае неэффективности принятых средств, утром перед процедурой нужно поставить очистительную клизму либо микроклизму.
Прием медицинских препаратов
За день до обследования нужно начать принимать адсорбенты – Активированный или Белый уголь, Мезим, Энтеросгель – это поможет снизить газообразование и брожение. За полчаса до начала процедуры следует принять препарат спазмолитического действия – Но-шпу (1–2 таблетки). В случае когда пациент постоянно принимает определенные лекарственные средства нужно заранее проконсультироваться с врачом, так как перед исследованием 4-6 часов нельзя пить жидкость и 6–8 часов нельзя ничего есть. При необходимости провести МРТ в экстренном порядке, процедуру делают без подготовки.
МРТ с контрастным усилением
Когда требуется качественная визуализация опухолевых очагов, участков с нарушением кровообращения (ишемии), воспалительных и фиброзных процессов, назначается МРТ с контрастом. Внутренние органы, расположенные в брюшной полости, в большинстве ситуаций исследуют таким способом. При этом вводится внутривенно один из препаратов, созданных на основе солей гадолиния, таких как Гадовист, Магневист, Омнискан и другие.
При попадании контраста в кровеносные сосуды, происходит их окрашивание и накопление в различных тканях органов. При этом скорость накопления и выведения вещества напрямую зависят от тканевого кровоснабжения и интенсивности метаболизма. Перед такой процедурой обязательно проводится тест на чувствительность пациента к используемому препарату во избежание появления аллергических реакций. Введение контрастного вещества противопоказано пациентам с почечной недостаточностью, а также беременным и кормящим женщинам.
МРТ с контрастом в разные временные промежутки
Диагностический процесс
Процедура абсолютно безболезненная и безвредная, существуют всего лишь два фактора, способные сделать процесс немного некомфортным. Это шум работающего аппарата и требование максимальной неподвижности пациента. Но и в первом, и во втором случае проблема решаема – для снижения шумового эффекта выдаются наушники и обследуемого фиксируют специальными ремнями и валиками. После того как пациент расположился на аппаратном столе-кушетке и его зафиксировали, кушетка заезжает в тоннель томографа и начинается сканирование.
Для людей, страдающих клаустрофобией, рекомендуется проведение процедуры на томографах с открытым контуром – это позволяет им комфортно пройти столь неприятное, в связи с боязнью, обследование. Об этом говорят многочисленные отзывы таких пациентов. В аппарате есть двухсторонняя связь, по которой диагност может комментировать ход исследования, тем самым держа пациента в курсе, а обследуемый, в свою очередь, может в любой момент попросить прервать процедуру, если у него вдруг начнется паника.
Также можно взять с собой на диагностику кого-то из близких, чтобы они находились в диагностическом кабинете, обеспечивая моральную поддержку пациенту. Обследование длится от 30 до 60 минут, а если же процедура проводится с применением контраста, то процесс затягивается почти в два раза. По окончании пациент может подождать пару часов и ему выдадут на руки результаты диагностирования, расшифрованные и описанные врачом в виде снимков и записи на цифровых носителях.
Отзывы
Валерия, 36 лет: Проходила МРТ живота – по сравнению с МРТ головы звук намного тише и легче переносится. Обязательно нужно избавиться от железных предметов, а от себя лично замечу, что капроновые колготки одевать не стоило, так как они при процедуре мне жгли. И, несмотря на то что в любой клинике можно пройти обследование и без направления, только плати, но с ним гораздо лучше – у врача сужается область поиска.
Иван, 47 лет: Был на МРТ, и в первый раз в жизни узнал, что такое клаустрофобия на собственном опыте – дышать стало трудно и шевелиться нельзя. Еле дотерпел положенное время. Хорошо хоть в руках была кнопочка, которую сказали нажать, если вдруг станет плохо – это был своеобразные утешитель и гарант на протяжении всей процедуры.
Марина, 39 лет: Назначили на днях проверить брюшную полость. Обследовалась – ничего страшного нет. Шум, конечно, был, но потерпеть можно, особенно в наушниках. Мне попался открытый томограф и ничего похожего на панику, как пугали заранее знакомые, не было. Во время процедуры я даже отлично расслабилась и отдохнула, а может и заснула на немного.