
Томография легких при бронхите —
МРТ легких и бронхов считают одним из лучших способов изучения состояния тканей органов.
Легкие, бронхи в своих тканях содержат воздух, поэтому исследовать их достаточно сложно.
Магнитно-резонансная томография этих органов позволяет качественно оценить их состояние, выявить изменения, патологии.
Процедура изучения бронхов, легких таким способом безопасна для человека, поэтому отказываться от ее проведения не стоит.
Что диагностирует МРТ?
Бронхи, легкие сложно поддаются осмотру ввиду труднодоступности.
Среди известных методов исследования дыхательных органов МРТ считается наиболее информативным и надежным.
С помощью МРТ есть возможность обнаружить следующие проблемы:
- пневмонию;
- бронхит;
- новые образования в органах дыхательной системы;
- бронхиальную астму.
Воспаление легких – опасное заболевание. Природа появления пневмонии инфекционная. Причиной являются микроорганизмы, поражающие орган.
В легких образовывается жидкость, которая выделяется из сосудов. В процессе развития воспаления бронхи расширяются, при поражении легких в процесс иногда может быть вовлечена плевра. Бронхиальное дерево начинает работать со сбоями.
При пневмонии важно вовремя пройти МРТ. Во время процедуры данные обрабатываются и передают информацию о заболевании.
Даже в самом начале развития пневмонии заболевание можно обнаружить и назначить необходимое лечение.
Пневмония устойчива к лекарствам, поэтому диагностирование заболевания на ранних стадиях даст возможность не допустить появления осложнений.
Симптомы заболевания могут первое время не проявиться — температура тела останется нормальной, кашель отсутствует.
В группу риска входят люди, у которых иммунитет ослаблен длительным приемом антибактериальных средств. МРТ поможет определить наличие инфекции в органах дыхания.
Без характерных симптомов заболевание может протекать и в легких ребенка. Дети чаще всего не могут правильно охарактеризовать самочувствие, поэтому исследование с помощью магнитно-резонансной томографии — мера необходимая.
При заболевании бронхитом проходит воспаление в плевральной полости, в легких. Своевременное проведение МРТ даст возможность определить причины воспаления, назначить правильное лечение.
При бронхите можно наблюдать отечность бронхов, обильно выделяется слизь. При данном заболевании кашель выступает средством освобождения от слизи, поэтому необходимо выполнять процедуры, которые помогут мокроте легко выходить.
Если при прослушивании легких слышен свист, может возникнуть подозрение на появление в органах новообразования. Чтобы определить наличие и характер опухоли, рекомендуется пройти МРТ.
Для определения опухолей применяется специальное вещество, которое усиливает данные. Без этого средства обнаружить новообразование очень сложно.
Если вовремя не обнаружить опухоль, она может перерасти в злокачественное образование.
Современное оборудование дает возможность не только определить наличие опухоли, но и узнать ее месторасположение, размеры, структуру.
Бронхиальная астма является хроническим заболеванием, проявляется в повышенной реакции бронхов на внешнюю среду.
Если вовремя выявить бронхиальную астму и правильно назначить лечение, то у пациента не будет наблюдаться симптомов удушья, болезнь можно будет полностью контролировать.
Если у пациента наблюдается длительный кашель, приступы удушья, но диагноз бронхиальной астмы сомнительный, то обязательно стоит пройти магнитно-резонансную томографию.
Не только эти заболевания можно диагностировать с помощью МРТ легких и бронхов.
Если есть подозрения на патологические изменения органов, нарушения дыхания, стоит провести комплекс исследований. МРТ не оказывает на человеческий организм негативного воздействия, так как в основе работы устройства — магнитные волны.
Только доктор должен дать направление на прохождение МРТ, потому что в некоторых случаях подобное исследование проводится с осторожностью, например, во время беременности, лактации.
Как правильно подготовиться к МРТ?
Перед тем, как пройти магнитно-резонансную томографию, необходимо уведомить специалиста обо всех заболеваниях, имеющих место.
Обязательно нужно уточнить, на какие препараты может возникнуть аллергическая реакция. Больным, страдающим клаустрофобией, доктор назначает седативные средства.
Успокоительные препараты на основе растительных компонентов могут быть назначены и тем, кто нервничает перед прохождением МРТ.
Перед началом обследования пациент должен освободиться от своей одежды, надеть хлопчатобумажную рубашку.
Если в наличии очки, слуховые аппараты, заколки из металла, украшения, часы, протезы, прочие предметы, их обязательно нужно снять на время исследования.
Беременные женщины обязательно должны предупредить о своем положении радиолога.
Исследование органов дыхания таким пациенткам проводится только в исключительных случаях. При этом анализируются все факторы, ведь польза должна превышать риски.
Обязательно стоит предупредить доктора о наличии в своем организме медицинского электронного прибора. При проведении МРТ такие элементы будут оказывать влияние на процедуру.
Если предметы внутри человека не являются медицинскими или специально помещенными, об этом также стоит предупредить. В этом случае пациент перед МРТ проходит рентгенологическое исследование.
У процедуры есть и противопоказания.
МРТ легких, бронхов не назначается пациентам, если у них:
- стадия декомпенсации хронических заболеваний;
- пациент проявляет неадекватную психическую реакцию на проведение процедуры;
- в организме человека есть встроенный кардиостимулятор, кохлеарный имплантат, медицинские приборы внутри сосудов.
Преимущества МРТ перед другими методами исследования
Для диагностирования заболеваний органов дыхания доктора все чаще прибегают к магнитно-резонансной томографии.
Данный вид исследования обладает рядом преимуществ:
- для человека этот вид исследования является безвредным;
- при исследовании можно реконструировать, создавать 3D-моделирование органов;
- органы дыхания при МРТ можно посмотреть под любым удобным углом, создать любую их проекцию; срезы имеют повышенную контрастность;
- качество изображения можно настроить с помощью программы;
- изображение органов дыхания получается по протонной плотности;
- при МРТ можно определить скорость движения крови;
- при исследовании есть возможность изучить процессы метаболизма в организме.
Если доктор назначил прохождение МРТ, то не стоит пренебрегать назначением.
Возможно, стоимость процедуры не будет низкой, но качество исследования оправдает затраты. МРТ не оказывает негативного влияния на человека.
В то же время исследование поможет своевременно выявить тяжелые заболевания, которые на начальной стадии вылечить будет гораздо проще и не допустить осложнений.
Использованные источники: moydiagnos.ru
Компьютерная томография легких и бронхов
Компьютерная томография (КТ) – это метод получения послойного изображения с помощью рентгеновского излучения и последующей компьютерной обработки данных. Исследование позволяет диагностировать патологические изменения в легочной ткани, средостении и воздухоносных путях. По сравнению с традиционной рентгенографией дает значительно меньшую нагрузку облучением.
Виды компьютерной томографии
Пошаговая. Появилась в 70-х годах прошлого столетия. Томограф имел всего лишь 1 детектор, один слой (срез изображения) получался за 1 его полный оборот.
Веерная. Аппараты имели уже несколько детекторов, что существенно сокращало время получения изображения 1 слоя.
В настоящее время пошаговая и веерная КТ практически не используются.
Спиральная (СКТ). В данном случае рентгеновская трубка и детекторы двигаются по спирали, что еще более сокращает время исследования и улучшает качество получаемого изображения.
Многослойная (МСКТ). Томографы имеют множество детекторов, вращается лишь рентгеновская трубка. Благодаря такой конструкции прибора, срезы изображений делаются с шагом в 0,5 мм. В настоящее время являются самыми быстрыми аппаратами, позволяющими следить за происходящими в организме процессами в режиме реального времени. МСКТ часто используется для диагностики заболеваний у тяжелых пациентов, если они не могут длительное время находиться в одном положении.
Благодаря высокой разрешающей способности современной КТ, появилась возможность проводить так называемую виртуальную бронхоскопию – исследование в деталях трахеобронхиального дерева в трехмерном изображении.
КТ с использованием контрастных веществ. Рекомендована для получения четкого изображения кровеносных сосудов легочной ткани и бронхов. Для этого перед началом сеанса компьютерной томографии вводятся рентгеноконтрастные препараты. Они могут вводиться однократно внутривенно или болюсно, когда средство поступает дозированными небольшими порциями в течение достаточно длительного промежутка времени.
Позитронно-эмиссионная компьютерная томография. Комбинированный метод исследования, позволяющий объединить данные, полученные в результате КТ и позитронно-эмиссионной томографии, в одну общую картину. Это помогает диагностировать различные виды онкологических заболеваний и характер распространения отдаленных метастазов.
Что показывает компьютерная томография
В основе метода сложные математические расчеты, основанные на обработке разности ослабления рентгеновского излучения различными по плотности тканями. В результате получается цифровое изображение легких, бронхов и других органов грудной клетки, где костные образования выглядят белыми, а полости, заполненные воздухом, черными. Различные оттенки серого указывают на неодинаковую плотность исследуемых тканей. Таким образом формируется изображение одного послойного среза.
Благодаря тому, что современные аппараты делают срезы изображения с шагом менее 1 миллиметра, появляется возможность детально просмотреть все структуры легких и бронхов, а также выявить многие патологические изменения.
Таким образом на компьютерной томографии можно увидеть:
- опухоль в несколько миллиметров;
- туберкулезный очаг;
- бронхоэктаз;
- аномалии строения;
- тромбы;
- сужения сосудов;
- инородные тела;
- абсцессы и прочие патологические изменения легочной ткани.
Показания и противопоказания
Основные показания к проведению компьютерной томографии легких и бронхов:
- беременность;
- боязнь закрытого пространства;
- избыточная масса тела (для разных томографов предельно допустимый вес может колебаться в пределах 130-200 кг).
Детям КТ, как и другие виды рентгенологического обследования, делают только тогда, когда польза значительно превышает возможный причиняемый вред. Это же касается и кормящих матерей (если КТ необходима, то на сутки ребенка переводят на искусственное вскармливание).
Дополнительные противопоказания – аллергия или непереносимость вещества, используемого при контрастной компьютерной томографии.
Как проводится процедура
Особой подготовки проведение КТ не требует. В случае введения контрастного вещества следует не принимать пищу в течение 6-8 часов, так как возможно появление чувства тошноты. При сильном волнении показаны успокоительные средства, а иногда и медикаментозный сон (наркоз).
В кабинете компьютерной томографии следует раздеться до пояса, снять с себя все металлические украшения и лечь на кушетку аппарата. Затем медработник вводит внутривенно средство для контраста, если оно необходимо. После этого кушетка задвигается под арку томографа, а медицинский персонал уходит в соседнюю комнату со смотровым окном, через которое наблюдает за пациентом.
Во время проведения исследования нужно лежать неподвижно столько, сколько скажет медработник, осуществляющий процедуру. При этом работающий томограф может издавать щелчки, потрескивания и различный шум, так как передвигается рентгеновская трубка, а датчики считывают информацию. Вставать с кушетки можно только после получения соответствующей команды медперсонала.
Сама процедура абсолютно безболезненная, длится около 4-20 минут. После ее окончания врач-рентгенолог изучает полученные снимки и выдает соответствующее заключение. Как правило, время обработки результатов занимает до 1 часа.
Кто направляет на КТ легких
Чаще всего направляют на компьютерную томографию легких врачи следующих специальностей:
- терапевт, педиатр, семейный врач;
- травматолог;
- торакальный хирург;
- онколог;
- пульмонолог;
- фтизиатр.
Специалист клиники «Московский доктор» рассказывает о КТ грудной клетки:
Использованные источники: myfamilydoctor.ru
КТ легких
Кому назначают КТ сканирование?
КТ лёгких часто используют при первичной постановке диагноза, иногда на основе его данных могут уточнить давно поставленный диагноз или скорректировать неэффективную схему лечения заболеваний бронхов. Врач назначает томографию этого органа в том случае, если у него возникли подозрения о развитии патологических процессов в этой части тела.
Показания
- Эта рентгеновская диагностика применяется для выявления причин сбоев в работе вилочковой железы.
- Томография лёгких незаменима при развитии воспалительных процессов в плевральной области, особенно если этот процесс сопровождается скоплением жидкости.
- Рекомендовано делать томографию тем, у кого ткани и сегменты лёгких изменили структуру, но причины этого явления ещё неясны.
- Компьютерная томография лёгких назначается при любых патологиях сердечной сумки.
- Используется при туберкулёзе, когда болезнь выявлена давно и необходим контроль её течения.
- Её стоит делать всем, у кого обнаружено увеличение грудных лимфоузлов.
- Эта рентгеновская процедура показана людям, которые испытывают боли в груди, рёбрах, в области бронхов.
- Назначается при подозрениях на любые новообразования в плевре или в области бронхов.
- Эту процедуру рекомендовано периодически делать если уже установлено бронхоэктатическое заболевание.
- Часто назначается при попадании в дыхательные пути инородных предметов.
- Компьютерная томография лёгких часто применяется при травмах грудной части тела.
- Также эта рентгеновская диагностика пользуется спросом при наличии опухолей пищевода или фистулы, которая расположена между системой дыхания и пищеварения.
- Мультиспиральная КТ популярна для выявления нарушений целостности сосудов бронхов, лёгочной артерии или аорты.
Противопоказания
Как при любой процедуре, которая выполняется с помощью рентгеновского оборудования, во время КТ человек получает некоторую дозу облучения. Стоит отметить, что эта доза облучения не так велика, как у обычного рентгена, но все же эту норму облучения нельзя считать абсолютно безвредной для человека. Ввиду наличия этого облучения этот метод противопоказан:
- Беременным женщинам на любом сроке, а также мамам в лактационный период.
- Детям до трёх лет противопоказан категорически, в возрасте от 3 до 14 лет проводится только при наличии серьёзных показаний.
- Очень полным людям, которые могут не поместиться в узкий тоннель аппарата.
- Тем, кто страдает расстройствами психики или клаустрофобией.
- Если КТ проводится с контрастом, то делать его можно только при отсутствии аллергии на йод.
- Также при томографии с контрастом стоит отказаться от процедуры людям, которые имеют хронические болезни щитовидной железы, сердца или печени.
- Противопоказана диагностика с контрастом тем, у кого есть сахарный диабет и почечная недостаточность.
Список диагностируемых заболеваний методом КТ
- Информативна при туберкулёзе, пневмонии и плеврите.
- Выявит рак лёгких или метастазы, которые распространились на него при раковых болезнях соседних органов.
- Подтвердит или опровергнет наличие плеврального выпота.
- Часто определяет лёгочную эмболию, а также аневризму аорты.
- Показывает любые патологии средостения и эмфизему.
Как проходит процедура?
Эта процедура длится всего несколько минут. Если же делать обследование сегментов лёгких с контрастом, то она займёт гораздо больше времени. Сняв с себя одежду до пояса, пациент занимает лежачее положение на кушетке, которая помещается в арку аппарата. Так как небольшая доза облучения может во время сканирования распространиться за пределы тоннеля томографа, диагност выходит в соседнее помещение, вести с ним диалог можно при помощи микрофона. Во время сканирования больной не должен совершать ни малейшего движения, это позволит рентгенологу подробно рассмотреть все сегменты лёгких. Этот вид сканирования не принесёт человеку ни боли, ни дискомфорта, во время процедуры можно услышать лёгкое потрескивание аппарата.
Подготовка к сканированию
Этот тип диагностики не подразумевает специальной подготовки, больному достаточно снять с себя все металлические предметы и предупредить врача о наличии хронических заболеваний. Если же сегменты и сосуды лёгких оцениваются с применением контрастирующего вещества, то стоит соблюдать голодовку в последние шесть – семь часов перед процедурой. Это необходимо для того, чтобы не возникло чувство тошноты.
Расшифровка результатов
В результате сканирования получается последовательная серия снимков, представляющая все сегменты лёгких, каждый снимок – это определённый срез ткани в разных плоскостях. При оценке полученных изображений диагност обращает внимание на плотность лёгочных сегментов, а также на наличие или отсутствие в тканях органа саркоидных гранулём. Если заболевание находится в активной стадии, то эти гранулёмы превращаются в тело стекловидного характера, при этом нарушена вентиляция лёгких. Компьютерная томография лёгких, если применяется контраст, способна определить чёткие границы раковой опухоли. Обычно участок злокачественного новообразования не принимает участия в процессе дыхания, на нём также может быть нарушено кровообращение.
Заключение с результатами исследования обычно выдаётся на руки пациенту в течение часа после процедуры, послойные подробные снимки органа анализирует врач-рентгенолог. С данным заключением пациент отправляется к тому врачу, который выдал направление на томографию, а им может быть терапевт или пульмонолог. При подозрении на сложные заболевания, например, при туберкулёзе, медик может назначить дополнительные методы диагностики. Но чаще результатов томографического сканирования вполне хватает для постановки достоверного диагноза и выбора соответствующей программы лечения.
Использованные источники: simptomer.ru
ЗАБОЛЕВАНИЯ БРОНХОВ
ВВЕДЕНИЕ в клиническую практику спиральной технологии сканирования существенно изменило подход к изучению дыхательных путей при КТ. Именно поэтому в настоящее время не существует единого подхода к изучению патологических изменений бронхов. Конкретный протокол определяется типом сканирующего устройства и характером предполагаемой патологии. Условно можно выделить три клинические ситуации, при которых особое внимание должно быть уделено изучению бронхиального дерева:
1. Предполагаемое заболевание бронхов у больных с нормальной рентгенограммой грудной клетки. Эти состояния включают кровохарканье неясной этиологии, а также скрининг рака легкого у больных с метастазами в головной мозг или надпочечники;
2. Ателектаз, выявляемый при рентгенографии органов грудной полости. К этой же группе относятся пациенты с затяжной пневмонией, причиной которой может быть бронхостеноз различной этиологии, и пациенты с патологическим образованием в корне легкого;
3. Воспалительные заболевания бронхов, к которым относятся бронхоэктазы и бронхиолиты.
В каждой из этих клинических ситуаций необходимо применять отдельный протокол сканирования. Общее правило исследования крупных бронхов в области корня легкого заключается в выборе толщины слоя (величины коллимации), равной диаметру изучаемых бронхов. На практике это означает, что исследование долевых и сегментарных бронхов необходимо проводить при толщине слоя 3-5 мм. Последовательная технология сканирования позволяет выполнять лишь прилегающие томографические срезы, толщина которых обычно составляет 5 мм. Спиральное сканирование создает условия для уменьшения толщины слоя до 3 мм. Вне зависимости от величины коллимации, использование спирального сканирования определяет необходимость частичного наложения томографических срезов. Интервал реконструкции обычно составляет 2/3 от величины коллимации.
Условно бронхиальное дерево можно представить как набор взаимосвязанных трубок различного диаметра, расположенных под различными углами к плоскости сканирования. Оценка бронхов только по аксиальным томограммам может быть затруднена, особенно если используются относительно толстые срезы. Искажение изображения за счет частичного объемного эффекта создает реальные условия пропуска патологии даже в достаточно крупных бронхах. В связи с этим, особое значение в диагностике патологии крупных бронхов приобретают различные технологии преобразований при спиральной КТ. Наиболее эффективными и информативными из них являются простейшие многоплоскостные реформации, как прямолинейные, так и криволинейные. Дополнительно можно использовать изображение оттененных поверхностей (SSD) и проекции минимальной интенсивности (minIP). Программы для виртуальной бронхоскопии исключительно эффективны для оценки стенозов крупных бронхов, в частности, после трансплантации легких или сердца и легких. Однако эти программы пока еще мало распространены в практическом здравоохранении.
Наличие патологического образования в непосредственной близости от крупного бронха, как правило, требует выполнения спиральной КТ-ангиографии. Несмотря на то, что большинство таких образований является бронхогенным раком, существует немало других причин сдавления крупных бронхов. Среди них следует выделить увеличение лимфатических узлов различной этиологии и аневризматические расширения прилежащих сосудов. Дифференциальная их диагностика достаточно сложна и основана на точном понимании сложных взаимоотношений собственно бронхиальных ветвей, артерий, вен и лимфатических узлов.
Изучение патологических процессов мелких бронхов, в частности бронхоэктазов и бронхиоли-тов, основано на применении высокоразрешающей КТ. В последние годы появились исследования, свидетельствующие о высокой эффективности тонкослойной спиральной КТ с последующими преобразованиями изображений в программе minIP.
БРОНХИ
Бронхиальное дерево представляет собой непрерывную трубчатую структуру, в которой каждый бронх разделяется на две дочерние ветви меньшего диаметра. Основная функция бронхиального дерева заключается в проведении воздуха из верхних дыхательных путей в респираторные отделы легких, где осуществляется газообмен. Всего насчитывается до 24 генераций бронхов, от главных до терминальных бронхиол.
В компьютерной томографии принято условное разделение бронхиального дерева на две составные части: крупные бронхи (large airways) и мелкие бронхи (small airways). Такое разделение исходит из предположения, что анатомическое строение и функциональное предназначение крупных и мелких бронхов существенно различается. Основная сложность заключается в определении точной границы между двумя частями бронхиального дерева. Морфологи, физиологи, пульмонологи, бронхологи и торакальные хирурги имеют свои собственные представления о том, что такое «крупные» или «мелкие» бронхи и используют эти термины для обозначения различных патологических проявлений. В этом смысле для врача рентгенолога имеют значение не только морфологические и физиологические различия в строении бронхиального дерева, но и возможность оценить эти различия при КТ в норме и патологии.
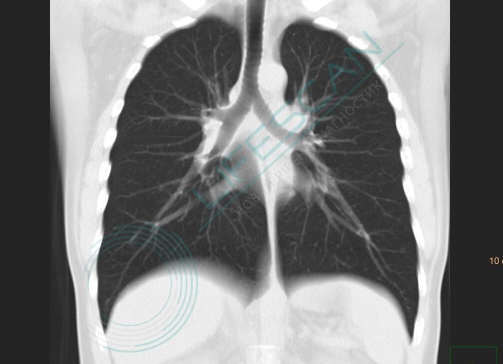
Рис. Нормальная анатомия легких и бронхиального дерева (легочное окно)
1 —Т рахея
2 — Правый главный бронх
3 — Бронх верхней доли правого легкого
4 — Промежуточный бронх
5 — Бронх средней доли
6 —Бронх нижней доли правого легкого
7 —Левый главный бронх
8 — Бронх верхней доли левого легкого
9 —Бронх нижней доли левого легкого
10 — Верхняя доля правого легкого
11 — Средняя доля правого легкого
12 — Нижняя доля правого легкого
13 — Верхняя доля левого легкого
14 — Нижняя доля левого легкого
ПБ-1. Верхушечный сегментарный бронх верхней доли правого легкого
ПБ-2. Задний сегментарный бронх верхней доли правого легкого
ПБ-3. Передний сегментарный бронх верхней доли правого легкого
ПБ-4. Медиальный сегментарный бронх средней доли правого легкого
ПБ-5. Латеральный сегментарный бронх средней доли правого легкого
ПБ-6. Верхушечный сегментарный бронх нижней доли правого легкого
ПБ-7. Медиальный сегментарный бронх нижней доли правого легкого
ПБ-8. Передний сегментарный бронх нижней доли правого легкого
ПБ-9. Наружный сегментарный бронх нижней доли правого легкого
ПБ-10. Задний сегментарный бронх нижней доли правого легкого
ЛБ-1. Верхушечный сегментарный бронх верхней доли левого легкого
ЛБ-2. Задний сегментарный бронх верхней доли левого легкого
ЛБ-(1,2). Верхушечно-задний сегментарный бронх верхней доли левого легкого ЛБ-3. Передний сегментарный бронх верхней доли левого легкого
ЛБ-4. Верхний сегментарный бронх верхней доли левого легкого
ЛБ-яз. Язычковый сегментарный бронх верхней доли левого легкого
ЛБ-5. Нижний сегментарный бронх верхней доли левого легкого
ЛБ-6. Верхушечный сегментарный бронх нижней доли левого легкого
ЛБ-8. Передний сегментарный бронх нижней доли левого легкого
ЛБ-9. Наружный сегментарный бронх нижней доли левого легкого
ЛБ-10. Задний сегментарный бронх нижней доли левого легкого
Основой для анатомического разделения бронхов на крупные и мелкие являются различия в их диаметре и строении стенок. Крупные бронхи имеют внутренний диаметр более 2 мм и потому значительная их часть доступна для осмотра с помощью бронхоскопа. Стенки таких бронхов содержат хрящи. В главных бронхах хрящевой скелет представлен правильно расположенными крупными незамкнутыми кольцами гиалинового хряща. По мере уменьшения диаметра бронхов хрящи превращаются в гиалиновые пластинки неправильной формы. В последующем гиалиновый хрящ замещается на эластический и исчезает на уровне шестой-двенадцатой генерации бронхов. Последующие генерации бронхов лишены хрящевого каркаса и относятся к категории мелких бронхов или бронхиол. Отдельные эластические хрящи могут встречаться и в бронхах менее 1 мм в диаметре, поэтому строгого анатомического разделения крупных и мелких бронхов не существует.
Стенки крупных бронхов состоят из нескольких слоев. Снаружи бронхи покрыты рыхлой соединительнотканной оболочкой — адвентицией, глубже располагается фиброзный слой, мышечная оболочка, подслизистый слой и слизистая оболочка. В фиброзном слое, помимо хрящевых колец и пластинок, имеется выраженная сеть эластических полуколец. В мышечном слое заложены слизистые железы. Подслизистый слой крупных бронхов выражен слабо, имеет рыхлое строение, вследствие чего слизистая оболочка может собираться в продольные складки. В подслизистом слое находятся сосудистые и нервные образования, лимфатические сосуды и слизистые железы.
Изображение крупных бронхов при КТ зависит от их расположения по отношению к плоскости сканирования. Бронх в поперечном сечении представляет собой кольцевидное образование с тонкими стенками и воздухом внутри. В продольном сечении бронхи изображаются в виде двух параллельных линий, между которыми заключена полоска воздуха. Реже бронхи имеют цилиндрическую или веретенообразную форму. В продольном сечении обычно изображаются верхнедолевой и среднедолевой бронхи, а также бронхи 2-6 сегментов. Промежуточный, нижнедолевой и сегментарные бронхи базальной пирамиды изображаются в поперечном сечении. Плотность воздуха существенно ниже плотности легочной ткани, поэтому при КТ возможно детально оценить состояние бронхов диаметром свыше 1 мм без искусственного их контрастирования.
Изучение бронхиального дерева целесообразно проводить на обычных примыкающих томографических срезах при толщине слоя и шаге стола 8 — 10 мм. Для более детальной оценки отдельных крупных бронхов толщину слоя и расстояние между ними уменьшают до 3-5 мм. Эффективной методикой для уточнения изменений в отдельных бронхах является высокоразрешающая КТ. Стенки и просветы бронхов, особенно сегментарных и субсегментарных, а также перибронхиальные изменения в легочной ткани изображаются в этом случае более четко.
Точность КТ в распознавании патологических изменений крупных бронхов равна точности бронхографии, поэтому показания к применению этой специальной рентгенологической методики в настоящее время значительно сужены. Преимущества КТ заключаются не только в возможности бес-контрастного исследования бронхов, но и в более точной по сравнению с рентгенографией и бронхоскопией оценке перибронхиальных изменений. Следует учесть, что при КТ невозможно оценить состояние слизистой бронхиального дерева, поэтому в решении этих вопросов бронхоскопия является более информативным исследованием.