
Компьютерная томография (КТ) с контрастом и без: в чем разница
13.07.2017
Компьютерная томография как один из диагностических методов имеет разветвленную классификацию в зависимости от того, какие органы или часть тела будут исследоваться. Также эта процедура делится на два вида: нативная и КТ с контрастом. В первом случае пациента обследуют с использованием только рентгеновского излучения, а во втором обследование проходит с применением специальных препаратов, которые повышают информативность за счет «подкрашивания» сосудов и мягких тканей.
В чем разница между обычным КТ и КТ с контрастом
Использование дополнительных средств (контрастных растворов) — не единственное, в чем разница между нативным и контрастным сканированием органов на томографе. Эти виды диагностики различаются и по лучевой нагрузке на организм пациента, и по подготовительным процедурам, и по результативности.
Как использование контрастного вещества влияет на ход и результаты диагностики в сравнении с нативным КТ — далее в таблице:
| Какие органы и структуры обследуются | Костные и мягкие — мышцы, головной и спинной мозг, позвоночник и скелетные кости, внутренние органы. | Преимущественно мягкие ткани и полые органы — мышцы, желудок и кишечник, печень, ткани головного и спинного мозга, кровеносные сосуды, органы грудной клетки и брюшной полости, опухоли. |
| Четкость изображения и детализация отдельных тканей | Высокая, изображения выглядят как черно-белые снимки с окрашенными в различные оттенки серого участками. | Высокая, на изображениях помимо участков, окрашенных в различные оттенки серого, есть четко очерченные элементы белого цвета — насыщенные контрастом ткани и органы. |
| Специальная подготовка | Не требуется. | Возможны аллергические реакции или проблемы с выведением контрастирующих веществ. |
| Осложнения | Отсутствуют. | Возможны аллергические реакции или проблемы с выведением контрастирующих веществ. |
| Противопоказания | Миеломная болезнь, тяжелая форма клаустрофобии, беременность. | Аллергия на контрастные препараты, сложные формы астмы и сахарного диабета, гипертиреоз, тяжелая степень почечной недостаточности, беременность. |
| Особые возможности метода | Получение четких изображений костных структур. | Получение четких изображений сосудов, опухолей (преимущественно злокачественных), обнаружение холестериновых бляшек, тромбов, аневризм сосудов. |
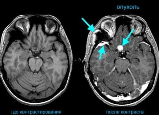
В сравнении с компьютерной томографией без контраста обследования со специальными препаратами помогают сделать более детализированные снимки. Нередко после проведения стандартного (нативного) КТ без контраста пациенту назначают повторное обследование, но уже с введением специальных растворов. Обычно это происходит, когда на снимках видны новообразования или признаки склеротических изменений в тканях.
Важно! Только введение контрастного вещества позволяет установить точные размеры и характеристики патологических очагов — аневризм, опухолей, тромбов и холестериновых отложений.
Виды обследований КТ с контрастированием
Обследование методом КТ с контрастированием делится на несколько разновидностей в зависимости от того, какие структуры и органы необходимо рассмотреть более внимательно, как вводится раствор и прочих моментов.
Прежде всего врачи рентгенологи различают два вида контрастного КТ:
- КТ-ангиография — применяется в диагностике кардиологических и сердечно-сосудистых патологий. С помощью такого обследования вен, артерий и аорты с контрастированием можно создать трехмерное изображение участка кровеносной системы и диагностировать такие заболевания, как аневризмы, тромбоз, предынфарктное состояние и инфаркт, атеросклероз и многое другое.
- КТ-перфузия — применяется в диагностике функциональных, опухолевых, инфекционных и травматических изменений в паренхиматозных органах: печени, головного и спинного мозга, пищеварительных желез и прочих. Этот вид обследования используют для выявления опухолей и изменений, вызванных нарушением кровообращения.
Существуют также несколько разновидностей обследования в зависимости от того, как вводится контрастирование при КТ. Наиболее распространенным считается внутривенное введение растворов. Его используют для ангиографического и перфузионного исследования. При обследовании желудочно-кишечного тракта применяют пероральное или трансректальное введение препаратов.
Внутривенное введение контрастирующих средств проводится двумя способами:
- Классическим — с помощью шприца или капельницы. Лекарство вводится однократно в полном объеме незадолго до начала процедуры КТ.
- Болюсно — с помощью катетера или специальной помпы. Лекарство подается в организм в течение длительного времени, в том числе перед началом процедуры и во время нее. Это позволяет поддерживать концентрацию контрастных веществ в определенных органах.
Врачи склонны использовать болюсное контрастирование при необходимости детально рассмотреть головной и спинной мозг, а также коронарные сосуды.
Контрастные растворы для КТ
Использовать универсальное средство для КТ, равно как и для других видов лучевой диагностики (МРТ и классической рентгенографии) невозможно — каждый тип ткани и каждый орган требует особого подхода. Чтобы исследование было действительно информативное, создано множество разновидностей контрастных растворов. Все они делятся на 2 группы:
- Положительные или позитивные — усиливающие поглощение рентгеновских лучей. К таким препаратам относят растворы с содержанием йода и бария. Применяются они для КТ гипофиза и головного мозга в целом, органов грудной клетки (ОГК), брюшной полости (ОБП), таза и костей.
- Отрицательные или негативные — ослабляющие поглощение рентгеновского излучения. К контрастным средствам этой группы относят газовые смеси и воздух. Такие вещества показаны к использованию при необходимости исследовать полые органы — кишечник, мочевой пузырь.
Это интересно! Позитивные контрастные растворы в свою очередь делятся на ионные и неионные. Врачи считают, что менее опасными для пациентов являются неионные препараты.
Различают и другие виды контраста в зависимости от характеристик, точнее, от типа основы, в которой растворен действующий компонент (йод или барий):
- Водорастворимые препараты. Применяются для диагностики заболеваний лимфатической системы и кровеносных сосудов, а также системы мочевыделения, так как выводится контраст на водной основе преимущественно почками.
- Жирорастворимые препараты. Применяются для обследования структур позвоночного столба (всех его отделов), дыхательной системы (преимущественно бронхов), спинного и головного мозга, а также гипофиза с контрастом. Выводятся такие медикаменты почками.
- Растворимые в спиртах препараты. Применяются они при необходимости обследовать канал, в котором расположен спинной мозг, а также внутричерепные каналы. Кроме того используют его и в диагностике заболеваний гепатобилиарного тракта. Из организма спирторастворимые средства выводятся через почки и частично через кишечник.
- Нерастворимые контрастные препараты, представленные сульфатом бария. Применяется для исследования просвета кишечника. Выведение происходит также через кишечник.
Врач подбирает вид препарата и способ его введения задолго до непосредственной подготовки к КТ с контрастом. При этом он учитывает такие факторы, как назначение диагностики, индивидуальные особенности пациента (для установления вероятности аллергии на лекарство).
Показания к контрастной компьютерной томографии
Обычно компьютерная томография с контрастом назначается пациентам с симптомами, определить природу которых другими методами невозможно, или результаты лабораторной и иной диагностики оказались неоднозначными. Основная цель такого исследования — четкое разграничение здоровых и аномальных тканей в следующих частях человеческого организма:
- в брюшной полости — органы ЖКТ, почки и надпочечники, печени, пищеварительных желез и т.д.;
- в грудной клетке — бронхолегочная система, сердце, сосуды, пищевод;
- в любой части позвоночника;
- в тазовой области — мочеполовая система, прямая кишка, половые железы;
- в области шеи — сосуды, гортань и голосовые связки;
- в черепной коробке и голове — головной мозг, органы зрения и слуха, пазухи носа, челюсти и зубы;
- в кровеносной системе в любой части тела.
Особую ценность имеет то, что показывает КТ с применением контраста воспалительные и гнойные процессы, кисты на внутренних органах. Диагностируются с помощью этого метода мальформации сосудов, тромбоз и склероз, патологии аорты (аневризма, расслоение и стеноз). Показано обследование с внутривенным контрастированием и при подозрении на опухоли в костях, тканях мозга, внутренних органах, лимфатической системе.
Важно! В отдельных случаях врачи совмещают КТ с контрастом и КТ в классическом его виде. При этом первым всегда используется обычное КТ.
Подготовка к КТ с контрастированием
Степень сложности подготовительных процедур перед КТ с контрастом зависит от способа введения препаратов. Стандартная подготовка к КТ такого вида состоит в соблюдении следующих пунктов:
- Не есть за 8 часов до процедуры.
- Не пить за 2-3 часа до процедуры.
- Снять с тела пирсинг в день обследования.
Соблюдения перечисленных мер будет достаточно для получения достоверных результатов исследования мягких тканей и скелета, спинного мозга и гипофиза с контрастом. Если же планируется диагностика состояния ЖКТ, при котором вводимым перорально или ректально средством является раствор бария, пациенту придется 2-3 дня соблюдать диету:
- не принимать алкоголь;
- не пить газированные напитки и квас;
- отказаться от капусты и бобовых;
- не питаться молочными и кисломолочными продуктами.
За 8-12 часов до обследования рекомендуют принять лекарства против газообразования и слабительные, чтобы полностью очистить кишечник.
Как проходит процедура
В день обследования пациенту рекомендуют в кабинет рентген диагностики взять удобную одежду из хлопка, на которой не будет металлических деталей. За 10-40 минут до начала процедуры ему вводят контраст. Такие временные отличия обусловлены тем, что интересующий врача орган может находиться в центре или на периферии — в первые контраст попадает быстро, а во вторые проникает в несколько раз дольше. Затем пациента укладывают на стол томографа, фиксируют и запускают установку.
Обследование длится не дольше 45 минут и не наносит вред организму человека. По его окончанию обследуемый может вернуться к нормальному образу жизни.
Совет! Врачи рекомендуют всячески способствовать выведению контрастных препаратов из организма. Рекомендуется в первые сутки пить больше жидкости, больше двигаться. Если есть проблемы с почками, вывести препарат быстрее помогут специальные препараты. Их должен назначить лечащий врач.
Опасно ли КТ с контрастом?
При отсутствии противопоказаний к КТ и контрасту обследование не опасно для человека. В редких случаях у пациентов возникают аллергические реакции. Которые легко снимаются антигистаминами или проходят самостоятельно после выведения контраста. Что касается лучевой нагрузки, то современные препараты оказывают на организм человека влияние чуть большее, чем обычная бытовая техника. Тем не менее следует помнить, что проходить обследование чаще двух раз в год не рекомендуется. Решать, как часто можно делать КТ, может только лечащий врач.
Для чего проводится КТ с контрастированием
Компьютерная томография – метод, с помощью которого можно создать послойное изображение изучаемой зоны, предоставляющее точную информацию о состоянии различных органов пациента. В некоторых случаях рекомендовано КТ с контрастированием.
Зачем нужно контрастное вещество при КТ?
Компьютерная томография с контрастом предполагает его введение в организм. Данное вещество улучшает видимость исследуемой области благодаря тому, что благодаря ему рентгеновские лучи поглощаются в большем количестве.
Использование контраста при КТ эффективно:
- если требуется отделить петли кишечника от остальных органов;
- при изучении органов дыхательной системы;
- при обследовании печени;
- при проведении диагностики артерий или вен, выявлении аневризм, в том числе аорты (КТ-ангиография).
Как правило, данный вид исследования назначают в тех случаях, когда иными способами поставить точный диагноз не получается, или он неоднозначен. Главной целью является четкое отделение здоровых тканей от тех, которые характеризуются патологическими изменениями в следующих частях тела:
- брюшная полость – почки, органы пищеварения и так далее (исходя из зоны интереса, врач принимает решение, что назначить: МРТ или КТ);
- область груди – органы дыхания, сердце, сосуды, пищевод;
- область таза – мочеполовая система, кишечник;
- шея – гортань, голосовые связки, система сосудов;
- область черепа – мозг, глаза, органы слуха, нос, зубы;
- кровеносная система.
Основное преимущество КТ с контрастным веществом – это раннее диагностирование воспалительных процессов, кист, тромбов, склероза, опухолей.
Противопоказания к контрастной томографии
Перечислим противопоказания:
- аллергия на составляющие контрастного усилителя;
- обягощенные формы СД, почечной недостаточности, астмы;
- гипертиреоз;
- беременность.
Подготовка к КТ с контрастом и проведение исследования
От того, как планируется вводить вещество, зависит подготовка к этой процедуре. Исходя из анамнеза, лечащий врач информирует пациента о том, можно ли есть перед КТ, употреблять напитки и предупреждает об остальных ограничениях.
Стандартная схема:
- прекратить прием пищи за 8 часов до сканирования;
- не употреблять жидкость за 2 часа;
- снять все металлические предметы.
При соблюдении этих мер можно пройти обследование мягких тканей, скелета, спинного мозга, гипофиза с введением контрастного вещества. Если же пациенту назначена диагностика ЖКТ с инфузией раствора бария, необходимо готовиться следующим образом:
- исключить алкогольные напитки;
- не пить воду с газами, соки, квас;
- не употреблять кисломолочную продукцию;
- примерно за 10 часов принять ветрогонные и слабительные лекарственные средства.
На КТ с контрастным усилением нужно взять комфортную одежду без металлических элементов. За несколько минут до старта вводится вещество. Затем пациента кладут на стол-транспортер, фиксируют, затем запускают установку. Процедура занимает около 45 минут.
Как вводится контрастное вещество?
Усилитель вводят:
- в вену;
- перорально;
- прицельно в изучаемую зону.
Внутривенная форма – самая распространенная. Вещество, распределяясь по сосудам, достигает органов и делает томограммы четче, выделяя сосудистую сетку. Внутривенное контрастирование выполняют при сканировании паренхиматозных, полых органов, для обнаружения опухолей и выяснения, злокачественны ли они. Такая методика позволяет изучить сосудистые патологии. Внутривенный контраст назнаается при проведении большинства видов КТ.
Как правило, контраст вводится ассистентом перед началом скрининга. Реже предварительно делают нативную томографию, затем аппарат останавливают, вводится раствор, процедура возобновляется.
Усилитель можно вводить болюсно с инжектором, если процедура предусматривает медленное, капельное наполнение. При болюсном методе предварительно устанавливают катетер, подсоединенный к инжектору, а автомат вводит раствор по запланированной схеме.
Чаще всего введение раствора осуществляют в зону локтевого сгиба, реже – в другую вену конечности, иногда используют подключичные сосуды.
Некоторые разновидности КТ предусматривают пероральное поступление препарата. Обычно так проводят диагностику ЖКТ.
В полости вводят жирорастворимые соединения повышенной вязкости, чтобы контрастировать патологические структуры. При некоторых исследованиях полых органов вводят водорастворимый препарат.
Можно ли сделать КТ без контраста?
Чаще всего пациенты опасаются введения контраста и реакции на него. Бывают ситуации, в которых контрастирование противопоказано. Обычно, если доктор настаивает на использовании усилителя, означает, что КТ без контраста – неинформативно.
Что используется в качестве контраста?
По способности поглощать рентген-лучи они бывают:
- положительными – барий, йод, поглощающие излучение в большей степени, чем человеческие ткани;
- отрицательными – газы, слабо поглощающие рентгеновские лучи. Они эффективны тогда, когда необходимо создать прозрачный фон для опухолей. Вводятся в полые органы.
Контрастные вещества, рекомендуемые для КТ, классифицируются еще по одному признаку:
- водорастворимые – для органов малого таза, сосудов;
- жирорастворимые – для спинного мозга, бронхов, позвоночника;
- спирторастворимые – для спинномозговых, внутричерепных каналов;
- нерастворимые – для ЖКТ.
Побочные эффекты контрастирования проявляются редко и быстро проходят. Среди них:
- аллергия;
- бронхоспазм;
- тошнота, вплоть до рвоты;
- потеря сознания;
- рост артериального давления.
Чтобы избежать появления негативных последствий, перед началом обследования органов следует проинформировать рентгенолога об особенностях организма, а также вероятной аллергии на вещество, которое будет вводиться.
Достоинства и недостатки метода
Перечислим основные достоинства метода:
- наглядная визуализация костных тканей и полых органов (в отличие от МРТ);
- получение четких изображений опухолей, сосудов, что позволяет лучше выявлять тромбы, холестериновые бляшки, аневризмы;
- способность получения информации об органах всего тела одновременно;
- высокая скорость исследования и расшифровки результатов;
- безболезненность и неинвазивность;
- хорошая переносимость контрастного усилителя (после КТ не нужно ничего делать для выведения вещества из организма)
- отсутствие ограничений для владельцев несъемных металлических имплантов;
- отличная информативность;
- сниженная чувствительность датчиков сканирующего кольца к движению (повышает эффективность диагностики патологий легких, сердца);
- контрастное КТ – основной метод диагностического исследования органических поражений спинного и головного мозга (наряду с МРТ)
Среди недостатков томографии выделим следующие:
- ограниченная визуализация мягких тканей;
- невозможность оценки функционирования органов;
- последствия, связанные с лучевой нагрузкой.
Что позволяет выявить?
Контрастирование при осуществлении КТ позволяет показать полностью органы, ткани, выявить патологические образования. Чтобы четче отделить здоровые объекты от пораженных, применяется контраст.
Возможные побочные реакции
Йодсодержащие препараты – аллергены, поэтому часто возникает аллергия на вводимые препараты. Перед обследованием рекомендуется выполнить аллергопробу на переносимость.
Щитовидной железе для синтезирования гормонов нужен йод, поэтому при гипертиреозе противопоказано введение содержащих его препаратов. Не каждое заболевание щитовидной железы – йодзависимое, поэтому на предмет возможности контрастирования необходимо проконсультироваться с эндокринологом.
Йодсодержащие препараты – нефротоксичны, что безопасно при стабильной работе почек (они быстро выводятся, не оказывая вреда). Почечная недостаточность характеризуется замедлением выведения вещества, оно дольше пребывает в почечной ткани, вызывая ее поражение, вплоть до некроза. Запрещено исследование при хронических заболеваниях, сопровождающихся нефропатией, например, сахарном диабете.
КТ запрещена беременным женщинам. Если скрининг запланирован на время лактации, ребенок временно переходит на искусственное вскармливание.
Компьютерную томографию, как рентгенологическую форму исследования, рекомендуют проводить не чаще раза в год. КТ допускается выполнять чаще, но при этом следует учитывать суммарную дозу радиации.
Для чего проводится КТ с контрастированием Ссылка на основную публикацию
Кт почек без контраста что показывает — Все про почки
Многие годы пытаетесь вылечить ПОЧКИ?
Глава Института нефрологии: «Вы будете поражены, насколько просто можно вылечить почки просто принимая каждый день…
Читать далее »
Диагностика заболеваний при помощи КТ и МРТ мочевыделительной системы, важная процедура, которая позволяет выявить все скрытые патологии органов, особенно при использовании передового оборудования современной медицины. Во многих ведущих клиниках используют новейшие аппараты для компьютерной томографии и магнитно-резонансной томографии для исследования мочевого пузыря.
Показания для диагностики
В наши дни достаточно большое количество заболеваний требует доскональной диагностики и применения компьютерной томографии.
НАШИ ЧИТАТЕЛИ РЕКОМЕНДУЮТ!
Для лечения почек наши читатели успешно используют Ренон Дуо. Видя, такую популярность этого средства мы решили предложить его и вашему вниманию. Подробнее здесь…
6 основными симптомами к показанию применения КТ мочевыделительной системы являются:
- Нарушение в оттоке мочи или слишком частые позывы.
- Дисфункция мышц мочевого пузыря (недержание), особенно в ночное время суток.
- Возникновение болезненных ощущений в процессе опорожнения мочевого пузыря.
- Болевой синдром в паховой области.
- Визуальные изменения мочи.
- Наличие в моче кровяных телец.
Заболевания, при которых применяют КТ и МРТ
Особую опасность представляет гематурия (наличие крови в моче), поэтому важно выяснить природу и область поражения заболеванием. МРТ мочевыделительной системы позволяет получить наиболее точный снимок органов пациента, пораженных аномалией. Такие заболевания как инфицирование мочевыводящих путей, нефрит, венерические заболевания, цистит, требуют высокоточной картинки.
Мочекаменная болезнь, чаще всего диагностируется при комплексном обследовании с применением КТ и МРТ томографии. Если в мочевыделительной системе обнаружили камень, то для выявления причины его появления назначают исследование мочевого пузыря. Прогрессирование заболевания несет в себе опасные осложнения и причиняет не просто дискомфорт, а мешает пациенту нормально существовать. Закупорка мочеточника может стать причиной острой почечной недостаточности и появления болезненных почечных колик у пациента. В таком случае, специалист выбирает КТ томографию без контрастного усиления. Данный метод диагностики применяют и в случае спорных ситуаций, когда не выявлена причина появление некоторых симптомов и перед хирургической операцией для уточнения локации камня.
Важно помнить, что при появлении любого вышеописанного симптома, следует обратиться к своему лечащему врачу, заболевания мочевыделительной системы крайне опасные при хроническом их протекании.
При подозрении врача, наличия новообразований в органах пациента, назначают МРТ мочевого пузыря с применением контраста. Данный метод является высокоточным и позволяет показать полностью область поражения раком почки, сканируются образования свыше 1 мм, но наиболее точно, получается, визуализировать образования свыше 3 мм. Такое преимущество используется ведущими онкологами мира для раннего диагностирования рака, что в десятки раз увеличивает положительный прогноз.
Многие образования не поддаются обычному ультразвуковому исследованию, ввиду их анэхогенности (не способности отражать звук). С применение контраста, введением специального вещества, окрашивающего пораженные области в определенный цвет, и мрт мочевого пузыря, возможно, получить не только срез почки, но и строго очерченные края опухоли. Введение контраста помогает проверить полностью кровоток в мочевыделительной системе пациента диагностировать появление метостаз в области расположенной рядом с новообразованием.
Подготовка к томографии
Особенной подготовки методы сканирования КТ и МРТ не требуют, надо лишь соблюсти некоторые рекомендации. В течение нескольких дней перед процедурой не следует употреблять различные продукты, которые могут привести к повышенному газообразованию. Непосредственно перед обследованием делают клизму, для очищения кишечника, но при этом опорожнять полностью мочевой пузырь не рекомендуют.
МСКТ почек
При нечеткой клинической картине, и наиболее сложных и тяжелых случаях заболеваний у пациента назначается мультиспиральная компьютерная томография (МСКТ мочевого пузыря).
Данный метод построен на спиральном обследовании пациента. Сканирование проводится в 3D режиме. Большое количество датчиков передают ряд сигналов и строят несколько сотен картинок, которые потом объединяются в небольшой клип. Картинки выполняются послойно с шагом в 1 мм. Процедура проводится как с контрастом, так и без него.
Время проведения процедуры методом МСКТ зависит от сложности случая, но занимает до получаса. При этом получение пациентом вредного облучения максимально минимизировано, по сравнению с другими методами томографии.
Часто метод МСКТ сканирования применяют для диагностики почек:
- Новообразования в почках различной природы.
- Исследование появления почечных колик.
- Диагностика органа после хирургического вмешательства.
- Обследование врожденных патологий мочевого пузыря.
- Исследование размеров и плотности камней в почках.
- Диагностика кровообращения в мочеполовой системе.
Метод МСКТ имеет свои противопоказания и разрешения:
- Вес пациента не должен превышать 120 кг.
- Пациент не может усидеть на месте в силу различных расстройств.
- Беременность.
- Протекание заболеваний в острой форме.
- Возраст менее 14 лет.
- Контраст не разрешен при почечной недостаточности, так как ухудшен выход красящего вещества.
- Аллергические реакции на компоненты контраста.
Особой подготовки метод обследования мочевого пузыря не требует. Рекомендуется не есть за пару часов до процедуры и иметь свободную одежду. Томограф представляет собой стол (передвижной) и кольцо томографа. Процедура проводится лежа, в положении на спине, руки над головой. Лежать требуется ровно и без движения, и исполнять команды врача. Специалист постоянно находится на связи с пациентом.
Методики компьютерной томографии, МРТ, МСКТ взаимозаменяемы и равнозначны, отличия лишь в интенсивности облучения и точности получения изображения. Но в современной диагностике почек и всей мочеполовой системе они стали неотъемлемой частью.
Как проводится исследование почек с помощью рентгена
8 Июнь, 2017 Vrach
Рентгенография широко применяется в нефрологии и урологии. Различные методики, которые основаны на использовании рентгеновского излучения, помогают в постановке диагноза, ведь они позволяют детально изучить состояние органов. Рентген почек несет лучевую нагрузку, а вводимое в организм контрастное вещество способно вызвать аллергические реакции, поэтому без веских оснований обследование делать не рекомендуется.
Характеристика метода
Во время рентгеновского исследования сквозь тело проходят особые лучи – короткие волны, которые задерживаются на твердых или окрашенных контрастом тканях и позволяют переносить их изображение на снимок. Результат виден врачу на пленке и на экране. При высокой дозировке рентгеновское излучение опасно для организма и вызывает в нем мутации и другие нарушения, но в диагностических целях применяются только лучи с низкой энергией. Они дают минимальную нагрузку и без злоупотребления безвредны, хотя противопоказания все-таки имеют.
Для изучения состояния почек более целесообразно проводить рентген с контрастным веществом. Методика заключается во введении в сосуды специального йодсодержащего вещества, которое окрашивает мелкие сосуды почек и делает их визуализацию намного лучше. Снимки осуществляются через определенный промежуток времени, когда концентрация препарата в тканях будет максимальной.
Виды рентгенографии
Существует несколько видов рентгеновского исследования почек. Врач подбирает тот метод, который будет целесообразен в каждом индивидуальном случае. Выбор зависит от формы болезни, стадии, симптомов. Основные виды рентгенографии в нефрологии следующие:
- Обзорный снимок. Самый легкий и недорогой метод, не предполагает введения контраста. Помогает оценить форму и контуры почек, состояние позвоночника (пояснично-крестцового отдела), ребер, тазовых костей.
- Рентгенография с контрастированием. Позволяет более детально рассмотреть канальцы, лоханки и чашечки органа, камни при нефролитиазе (даже малого размера), кисты и опухоли, аномалии строения.
Последний вид исследования, в свою очередь, подразделяется на подвиды:
- Внутривенная урография. После введения в вену контраста на основе йода через 5-6 минут выполняется серия рентгеновских снимков (урограмм). Через определенное время повторяют снимки для оценки скорости выведения контраста из выделительной системы.
- Экскреторная урография. Помогает проанализировать функцию почек, а также сделать снимки высокой четкости посредством медленного введения контраста.
- Ретроградная урография. Требуется для изучения проходимости мочеточников, лоханок почки. Контрастное вещество в этом случае вводят не в вену, а в уретру через катетер.
- Чрескожная урография. Контрастирование осуществляют путем введения препарата непосредственно в лоханку, далее выполняется серия снимков.
- Почечная ангиография. После ввода контраста в почечную часть аорты под местным обезболиванием проводят рентгеновское исследование для поиска опухолей, тромбов, сосудистых аномалий.
Что покажет обследование?
Обычно рентген почек назначается для уточнения диагноза после выполнения УЗИ. Также исследование может быть показано для детализации результатов КТ. Показанием служит подозрение на одно или несколько почечных заболеваний, таких как:
- мочекаменная болезнь;
- гидронефроз;
- почечная гипертензия;
- поликистоз;
- аномалии развития и строения;
- травмирование органа;
- инфекционные заболевания;
- пиелонефрит;
- гломерулонефрит;
- интерстициальный нефрит;
- нефроптоз;
- туберкулез почки;
- кисты, прочие доброкачественные опухоли;
- злокачественные образования.
Обязательно выполняется такое обследование для оценки состояния лоханок почки после дробления камней, а также при сильном ушибе и другой травме в области поясницы (для исключения разрыва органов). Также рентгенографию делают как контрольный метод диагностики после проведенной операции.
Симптомы, при которых будет показано выполнение диагностики:
- ноющие и другие хронические боли в пояснице;
- почечная колика;
- кровь в моче;
- выход конкрементов;
- признаки песка в моче;
- слизь в урине;
- отеки лица, тела, конечностей;
- неприятный, резкий запах мочи;
- боли при мочеиспускании;
- плохие анализы мочи и крови.
Когда нельзя делать рентген?
Строгих ограничений по возрасту для прохождения диагностики нет. Использование излучения противопоказано беременным, кормящим (можно выполнять только с отказом от кормления на определенный срок). Детям исследование проводят только по строгим показаниям. Не рекомендуется осуществлять методику только на первой неделе жизни ребенка.
Рентгенография с контрастированием противопоказана при:
- аллергии на контрастное вещество (Урографин и другие);
- тяжелой почечной недостаточности;
- декомпенсированных патологиях почек, сердца, печени;
- нарушениях свертываемости крови;
- болезнях щитовидной железы.
У некоторых людей возможно появление признаков непереносимости контрастного препарата – наблюдается отек, зуд, гиперемия кожи в месте введения. Изредка наблюдаются более серьезные реакции – отек Квинке, анафилактический шок. У аллергиков во избежание таких последствий следует проводить пробу с препаратом еще до выполнения исследования.
Как подготовиться к рентгенографии?
Подготовка помогает сделать диагностику более информативной. Диета перед рентгеном – важная часть подготовки, она направлена на уменьшение метеоризма. За 3 суток до исследования нужно отказаться от пищи, повышающей газообразование (черный хлеб, яблоки, капуста, бобовые).
Вечером накануне диагностики ужин должен быть легким. Утром следует опорожнить кишечник и сделать клизму. При необходимости, возможен прием слабительных, препаратов от газообразования. О постоянном приеме любых лекарств следует известить врача еще на стадии подготовки к рентгену. Есть до процедуры нельзя 10 часов, пить 2 часа. Грудным детям разрешено давать питье в небольших количествах.
Порядок выполнения процедуры
Тест на чувствительность к контрасту делают так: в одно плечо вводят немного препарата, во второе плечо столько же физраствора. Через полчаса оценивают реакцию, при наличии сильного покраснения исследование противопоказано. Обзорную рентгенографию осуществляют без выполнения пробы, ее длительность составляет несколько минут. Урографию делают в течение 20-50 минут в зависимости от показаний.
Контраст вводят в вену, уретру, другими способами. Человек после процедуры остается сидеть до 10 минут. Снимки делают в разных положениях – стоя, сидя, лежа. Малышам может быть рекомендовано обследование под наркозом. При нормальной работе почек рентген покажет правильную форму и структуру органа, равномерное заполнение их отделов контрастом, его своевременное выведение. При наличии отклонений назначается необходимое лечение или операция.
Магнитно-резонансная томография почек (в дальнейшем МРТ) относится к высокочастотным методам диагностики, его считают безопасным способом исследования органов. Специальный прибор (томограф) подвергает область почек воздействию безопасного магнитного поля и радиоволн.
Протоны в ядрах атомов водорода временно смещаются, потом возвращаются в исходное положение. Энергия, которая выделяется в этот момент, управляется датчиками, специальной программой преобразуется в трёхмерное изображение. Картинка позволяет медику оценить состояние почек пациента, строение парного органа и близлежащих тканей.
- Общая информация
- Классификация
- Показания и противопоказания
- Преимущества исследования
- Как подготовиться: советы пациентам
- Как проводится процедура МРТ
- Результаты исследований
Общая информация
МРТ позволяет рассмотреть строение тканей, чем больше в них жидкости, тем лучше получается изображение. По этой причине кости на МРТ видны хуже, чем паренхиматозные органы. Объекты, которые не состоят из мягких тканей, например, камни в почках, рассмотреть невозможно, они не меняют свою структуру во время проведения манипуляций. На фоне такого положения вещей, мочекаменную болезнь не диагностируют посредством МРТ, для выявления патологии применяют КТ почек.
Пациент во время процедуры не ощущает никакого дискомфорта, все изменения полностью обратимы. Магнитное и радиоизлучение не опасно для человека. В целости и сохранности находятся все органы и системы в теле пациента. Поэтому МРТ может быть использовано для дам, вынашивающих ребёнка и маленьких деток.
Классификация
Процедура может проводиться в обычном порядке или с применением контрастного вещества (для повышения информативности процедуры). Специальный медикамент вводят внутривенно, оно проходит по сосудам, быстро накапливается в тканях, спустя некоторое время полностью выводится из организма пациента почками.
МРТ с применением контраста позволяет получить точную информацию о расположении, строении парного органа, проходимости сосудов. Также манипуляции позволяют оценить расположение, строение опухолей, степень поражения близлежащих органов. Контрастирование в период беременности делать не рекомендуется.
НАШИ ЧИТАТЕЛИ РЕКОМЕНДУЮТ!
Что такое пиелоэктазия почек, как распознать и лечить патологию? У нас есть ответ!
О том, как выполнять упражнения Кегеля для женщин в домашних условиях при недержании мочи узнайте из этой статьи.
Показания и противопоказания
МРТ почек проводят во многих случаях. Процедура помогает поставить правильный диагноз, проследить изменение состояния пациента во время лечения. МРТ показано в тех случаях, когда имеются симптомы аномалий почек, выводящей системы, имеются подозрения на онкологические заболевания парного органа, надпочечников. Также процедура показана после травматического повреждения поясничной области.
При патологиях почек пациента зачастую беспокоят отёки, нарушения мочеиспускания, повышение артериального давления и температуры тела. Лабораторные исследования могут указывать на течение воспалительного процесса, изменение показателей урины.
МРТ парного органа и надпочечников позволяет выявить следующие патологии:
- исследование позволяет обнаружить травматические повреждения почек, надпочечников, близлежащих органов;
- течение воспалительных процессов в паренхиме, выводящих каналах, наличие абсцессов;
- МРТ может выявить аномалии развития или строения парного органа;
- наличие поликистоза и кистозных образований разного размера и происхождения;
- злокачественные опухоли в почках, надпочечниках, наличие метастазов в другие органы;
- паразитарные инвазии в почках пациента;
- нарушения кровотока в органах мочевыделительной системы.
Каждая процедура имеет плюсы и минусы, МРТ не исключение, манипуляции имеют небольшой перечень противопоказаний:
- наличие имплантатов в среднем ухе пациента (электронные или ферримагнитные);
- протезы клапанов сердца у больного;
- наличие осколочных ранений, большие металлические имплантаты;
- превышение допустимо массы тела (110 кг);
- кардиостимуляторы, брекет-системы, несъёмные зубные протезы;
- клаустрофобия;
- течение беременности (1 триместр), на поздних сроках томограмма делается только после консультации с медиком.
Преимущества исследования
Почему МРТ считают безопасным, эффективным методом в отношении диагностики, слежения за лечением почек? Процедура считается самым информативным диагностическим мероприятием, которое помогает выявить онкологические образования на ранних стадиях развития. С помощью этой методики медикам удаётся отследить малейшие изменения в метаболизме тканей на клеточном уровне. Ранняя диагностика увеличивает вероятность благополучного исхода для больного.
К плюсам МРТ можно отнести:
- подготовка к манипуляциям занимает немного времени;
- возможность проведения процедуры в тех случаях, когда другие исследования запрещены;
- МРТ показывает медику на имеющуюся проблему, позволяет отследить эффективность назначенной терапии;
- на достоверность результатов не влияют отвлекающие сигналы: дыхание пациента, пульсация артерий, биение сердца, наличие жировой ткани;
- медикам не нужно брать ткань на цитологическое исследование, сводя к минимуму риск заражения;
- метод позволяет осуществить раннюю диагностику онкологических заболеваний;
- получение ошибочных результатов сведены к минимуму. Изображения обрабатывает компьютер, в результате медик получает достоверную картину.
Учитывая преимущество данного метода диагностики, его часто применяют во всех областях медицинской практики. Единственный минус исследования – его недоступность в некоторых населённых пунктах. Томограф – дорогостоящий аппарат, стоимость самой процедуры может составлять около 6000 рублей, что на сегодняшний день для некоторых граждан большая сумма. Дополнительное препятствие – аппарат имеется в наличии не во всех медицинских учреждениях, что заставляет пациента искать клинику, оборудованную томографом.
Как подготовиться: советы пациентам
Специальной подготовки к диагностическим манипуляциям не требуется. МРТ длится от десяти до тридцати минут. Пациенту рекомендуется надеть синтетическое бельё, всю одежду придётся снять.
Категорически запрещено иметь при себе во время процедуры:
- металлические предметы, в том числе украшения, часы, ключи;
- кредитные карты;
- слуховые аппараты.
Обычно выдача результатов возможна спустя два часа после проведения МРТ, конкретная продолжительность оценки полученных снимков зависит от загруженности томографа. Помните: МРТ с контрастированием используется в запущенных случаях, стоимость лекарственного продукта не включена в цену самой процедуры.
Важные аспекты, которые нужно знать каждому пациенту:
- до процедуры разрешается принимать любые медикаменты, продукты питания. Не желательно употреблять алкогольные напитки. Если процедура проходит с использованием контрастного вещества, то имеются ограничения (конкретные пункты указывает врач);
- при наличии фобии перед замкнутым пространством сообщите о проблеме медику. Врач может назначить специальные медикаменты, купирующие неприятные ощущения. Другой вариант: некоторым пациентам разрешают общаться с близким человеком, который находится рядом во время процедуры, уменьшая эмоциональное напряжение;
- важно снять все предметы, которые могут пострадать от контакта с электромагнитным полем или вывести из строя дорогостоящий аппарат (мобильные телефоны, кредитные карты, зубные протезы);
- перед началом процедуры вам выдадут специальную одежду (одноразовую), можете остаться в белье из натуральных тканей (важно, чтобы нижнее бельё не включало различных металлических изделий, бусин и других потенциально опасных мелких предметов).
Узнайте о свойствах корня шиповника и о применении натурального продукта для лечения почек.
О признаках цистита у женщин и о лечении заболевания антибиотиками написано на этой странице.
Перейдите по ссылке https://vseopochkah.com/bolezni/nefroptoz/opushenie-pochki.html и прочтите о том, чем опасно опущение почки и как лечить патологию.
Как проводится процедура МРТ
Процесс достаточно интересный, некоторых пациентов пугают звуковые сигналы, которые издаёт томограф. Не пугайтесь, аппарат полностью безопасен для здоровья и жизни человека.
Процедура МРТ включает несколько этапов:
- медик предложит вам расположиться на специальной кушетке, которая двигается, перемещая нужный участок тела больного по центру магнита. Современные аппараты для проведения МРТ широкие и большие, поэтому почти всё тело будет находиться в томографе;
- в ходе исследования постарайтесь не шевелиться, немаловажную роль играет ровное дыхание. Прерывистый захват воздуха может исказить клиническую картину, так же как и лишние телодвижения;
- в ходе исследования томограф издаёт повторяющиеся специфические звуки, специальные наушники должны сгладить неприятные ощущения;
- томограф оснащён микрофоном, через который вы сможете в любой момент обратиться к доктору за помощью или просто для отвлечения (если имеется боязнь замкнутого пространства). Обязательно сообщите медперсоналу об имеющихся проблемах или дискомфорте;
- через встроенный микрофон, вы можете общаться с близким человеком для снятия напряжения.
После процедуры пациенту разрешено вести обычный образ жизни, никаких рекомендаций нет (исключение – наличие серьёзных заболеваний, требующих серьёзного лечения).
Результаты исследований
В норме длина почек здорового человека не больше 12 см и не меньше 10 см, ширина – варьируется в пределах 4–5 см, высота – 4,5 см. Толщина почечной паренхимы варьируется в зависимости от возраста пациента: молодые люди (1,5–2,5), лица, старше 60 лет (нормой считается толщина не менее 1,1 см). Поверхность здоровой почки в большинстве случаев ровная, контур может быть волнистым.
Любые отклонения от нормы должны заинтересовать медика, специалист должен выяснить причину патологического состояния, назначить необходимый курс терапии. Самостоятельно заметить различные патологии невозможно, только человек, имеющий медицинское образование в силах выявить «неполадки» в работе парного органа. К таким специалистам относят уролога, нефролога, радиолога.
Подробнее о том, что такое магнитно — резонансная томография почек узнайте из следующего ролика:
КТ с контрастированием йодом – виды контрастов, название, как делают усиление
Контрастные вещества, основой которых является йод, применяются для тщательного обследования сосудов, обнаружения злокачественных и доброкачественных новообразований, когда диагностика без применения контраста не дает желаемый результат.
К примеру, ответ на вопрос – для чего нужен контраст, дает томография надпочечников, которые сложно будет различить при помощи нативного исследования, а применив контрастное усиление, их становится видно.
Введение йодсодержащего препарата осуществляется тремя методами:
- Пероральным путем;
- Через кровеносную систему (внутривенно);
- Ректально (через прямую кишку).
Зачем нужно контрастирование при компьютерной томографии
Назначение контрастного вещества основывается на точном разделении здоровых и патологических областей организма человека, дифференцировании органов при помощи более сильного сигнала, получаемого от кровеносной системы. Предварительный анализ на креатинин перед КТ необходим для исключения почечной патологии. Выведение препарата осуществляется мочевыделительной системой.
На снимке области накопления контраста высвечивается белым цветом, что дает возможность четко увидеть отдельные секторы исследуемой зоны, поставить правильный диагноз.
Подготовка к введению контрастного препарата
Перед проведением компьютерного исследования с контрастным усилением потребуется определенная подготовка.
Во-первых, процедура делается натощак.
Во-вторых, необходимо соблюдать диету – отказаться от жирной, острой еды, убрать из рациона мучные и копченые изделия. Каши, легкие супы отлично подойдут. Жидкости нужно пить, как можно больше.
В-третьих, нельзя употреблять алкогольные напитки за 2-3 недели до обследования.
От табакокурения также нужно будет отказаться, минимум, за сутки.
Если имеется аллергия на йод, то необходимо сообщить перед началом проведения КТ с контрастным веществом врачу лучевой диагностики.
Название, виды контрастных веществ для КТ
Вещества, применяемые при контрастном усилении, можно разделить на две основные группы:
- Газообразные формы (воздух, который содержится в помоещении или инетрный газ);
- Препараты на основе йода.
Первый способ чаще применяется при сканировании полых органов с целью выявить симптомы и признаки заболеваний после растяжения стенок воздухом. Применяется этот тип крайне редко.
Второй метод больше подойдет для обследования сосудов и обнаружения злокачественных и доброкачественных новообразований. Препараты, содержащие йод, делятся на неионные и ионные.
Неионная форма – вещества нового поколения — ультравист, юнигексол, омнипак, йоверсол, йопромид. Ионный состав – более устаревшая форма. К представителям данного вида можно отнести урографин, метризоат, диатризоат, иоксаглат.
Контрастные препараты с йодом, без йода
Препараты для усиления при проведении компьютерной диагностики можно разделить на йодсодержащие – состоящие из солей йода и вещества без присутствия йода, основным элементом которых является сульфат бария. Последние не растворимы в воде, их контакт с тканями организма минимален.
Первую группу делят на водорастворимые, предназначенные для парентерального использования (болюсная форма усиления, ангиография) и жирорастворимые, имеющие большую вязкость, применяющиеся при гистеросальпинографии, сиалографии.
По составу йодсодержащие препараты делятся на ионные и неионные. Предпочтение отдается второй группе по причине минимальной частоты возникновения побочных эффектов.
Местами, куда вводятся контрастные препараты, являются периферическая (локтевой сгиб) и подключичная вена (при помощи центрального катетера). Для ввода используют автоматический инжектор или делают инъекцию вручную, но первый способ предпочтительнее.
Каждое контрастное средство на основе йода отличается своим главным параметром – «силой», которая отражает количественный показатель действующего вещества. К примеру, ультравист-300, который содержит йод в количестве 300 мг на 100 мл средства менее «сильный», чем ультравист-370 содержащий 370 мг йода и требующий увеличения доз для более четкого сканирования.
Состав контрастного препарата для компьютерного сканирования
Для примера рассмотрим препараты: ультравист, относящийся к неионным йодсодержащим средствам и урографин – ионизированная форма.
Ультравист: действующее вещество – йопромид (заменяющий йод); вспомогательные вещества – трометамол, натрия кальция эдетат, хлористоводородная кислота, вода для инъекций.
Урографин: действующие вещества – меглумина амидотризоат, натрия амидотризоата; вспомогательные вещества – натрия кальция эдетат, натрия гидроксид, вода для инъекций.
Как делают внутривенное контрастирование при компьютерном сканировании – фазы усиления
Введение контраста при болюсном способе происходит внутривенно под высоким давлением и с большой скоростью (около 5 мл/с), что позволяет видеть состояние вены – какую нагрузку она сможет перенести и изменять скорость ввода, ориентируясь на состояние человека, качество диагностики.
Предварительно необходимо установить катетер с широким просветом – с канюлей розового, зеленого, серого цвета, что является обязательным элементом. В изделиях с узким просветом скорость потока вводимого вещества будет очень большой, может порваться сосуд.
КТ с контрастом требует точного определения дозы вводимого элемента для качественного обследования. Средства с содержанием йода в количестве 370 мг подчиняются следующему условию: 1 мл контраста соответствует 1 кг веса. Есть ряд исключений из правила:
- При сканировании сосудов головы и шеи достаточно будет использовать 40-50 мл контрастного вещества;
- Исследование живота и таза позволяет использовать 60-80 мл (возможно больше, в соответствии с весом);
- При томографии грудной клетки (для исключения ТЭЛА) применяется 50-70 мл;
- Обследование конечностей – 50-60 мл.
При описании насколько опасно КТ с контрастом, следует оценить дозу введения препарата, длительность процедуры, вероятность аллергических реакций.
Такие количественные показатели дают возможность получать качественную визуализацию артериальных сосудов на ранней стадии исследования, определить причины накопления контраста внутри области поражения.
Фазы усиления
Количество времени, которое проходит после введения контраста, разделяется на определенные фазы контрастного усиления при проведении КТ.
Первая стадия контрастирования – фаза легочной артерии. Осуществляется при визуальном отображении контраста в правых отделах сердца. Современные томографы оснащены возможностью наблюдать за различными артериальными сосудами любой части тела.
При запуске опции, томограф начинает сканировать на установленном уровне через определенное расстояние, фиксируя коррекцию плотности рентгеновского излучения по сравнению с первоначальным уровнем сосуда. После введения контрастного вещества в поверхностные вены руки маршрут его движения выглядит следующим образом:
- Контраст вместе с кровью сперва приходит в верхнюю полую вену;
- Далее следует правое предсердие;
- Правый желудочек;
- Легочный ствол.
Если нужно получить визуализацию легочного ствола (предполагается тромбоз или эмболия), важно начать сканирование раньше – как только появились первые признаки усиления правой области сердца. ROI в этом случае можно зафиксировать на правый желудочек или правое предсердие.
Ранняя артериальная фаза контрастирования (КТ-ангиография) позволяет отображать артериальные сосуды, увидеть, как изменился их просвет, внутрипросветные тромбы, аневризмы.
Чтобы получить данную фазу исследования, скрининг начинается при визуализации усилителя в аорте (уровень дуги) либо этим местом должен быть левый желудочек.
Артериально-паренхиматозная фаза исследования выдает данные о глобальных патологиях, дает информацию о просветах сосудов, оценивает уровень васкуляризации внутренних органов.
Очень точно можно определить плотность опухолей почки, так как накопление контраста внутри мягкой ткани, находящейся в составе новообразования, при компьютерной томографии происходит с большой скоростью.
Есть возможность изменение плотности опухолей других органов – при условии существования в них развитой сети капиляров.
Дальше следует фаза портальной вены, действие которой начинается, примерно, через 40 секунд после окончания введения контраста. Отображаются вены – их усиление не настолько сильное, как в артериях, во время артериальной фазы, но, увеличение параметров плотности крови позволяет фиксировать просвет, существование изменений ( тромбы атеросклероз).
Спустя 10 минут после окончания введения контрастного вещества, наступает экскреторная фаза – отображается чашечная система почек, мочеточники, лоханки, мочевой пузырь. Косвенно оценивается функция почек – наличие или отсутствие затруднений отхода мочи по мочеточнику.
Проблемы оттока мочи визуализируются во время нативного обследования – при расширении чашечно-лоханочной системы. Получить полное отображение мочевыводящих путей можно только в период экскреторной фазы.
При накоплении контраста в мочевыводящих путях камни большой плотности различить будет проблематично, наличие конкрементов в мочеточниках и почках лучше отслеживать на нативных снимках.
Что показывает КТ с контрастом ребенку
Маленькие дети чаще подвергаются КТ с контрастом головного мозга. Причинами могут быть постродовые травмы или же травмирование черепа в более старшем возрасте.
Показывать сканирование может следующие патологии:
- Врожденные патологии дыхательных органов;
- Переломы костей свода;
- Внутричерепные кровоизлияния;
- Гематомы, черепно-мозговые травмы;
- Выявление сосудистых заболеваний, опухолей мозга;
- Нарушения опорно-двигательного аппарата.
Где купить контрастное вещество для КТ в СПб
Купить контрастное вещество для компьютерной томографии можно во многих частных клиниках и медицинских центрах СПб. Препараты доступны в аптеках. Но правильнее и безопаснее будет, если обратиться в многопрофильный центр, где профессиональные специалисты-рентгенологи оказывают весь спектр услуг, ответят на интересующие вопросы, проконсультируют в области фармакологии (на предмет плюсов и минусов интересующего контрастного препарата), а также могут сделать МСКТ с контрастным усилением.
Подобные центры выдают после окончания процедуры заключение, с которым можно обратиться лечащему врачу, назначить лечение, не теряя времени.