
УЗИ лютеиновой железы (желтого тела)
Яичники – это главный репродуктивный орган у женщины, функция которого состоит в создании условий для зачатия. Каждый месяц в яичниках развиваются фолликулы. Фолликул — компонент яичника, включающий в себя яйцеклетку, окруженную слоем специальных клеток и парой слоев соединительной ткани. Для дальнейшего зачатия в яичнике образуется особая вспомогательная железа – желтое тело.
Что такое желтое тело на яичнике
Желтое тело – это специальный орган, который образуется на месте разорвавшегося фолликула сразу после созревания яйцеклетки. Во время овуляции железа существует недолго, и вырабатывает особые вещества, поступающие в кровь и лимфу. Сам процесс образования желтого тела готовит матку к закреплению плодного яйца на стенке.
Справка. Свое название этот орган получил из-за присутствия в нем компонента желтого цвета — лютеина
Стадии развития временной железы в яйцеклетке контролируются яичниками, иммунитетом и гипофизом головного мозга. Их можно разделить на 4 периода:
- Пролиферация – содержание лютеина в крови повышается, образовывая желтое тело в яйцеклетке. Фолликул лопается, и полость заполняется кровью, вызывая процесс активного деления клеток;
- Васкуляризация – развитие кровеносных сосудов в клетке, что обеспечивает кровоснабжение желтого тела;
- Активная фаза – стадия наивысшей активности железы, которая длится примерно 10 дней, и если беременность не наступает, идет на спад;
- Отмирание – железа изменяется, и на ее месте образуется рубец. Со временем он рассасывается. Период угасания сопровождается снижением уровня половых гормонов, то есть перед менструацией.
Как выглядит желтое тело на УЗИ
При ультразвуковом исследовании врач может сразу определить и сообщить пациентке о появлении желтого тела в яичнике. На экране оно выглядит как мягкое вытянутое образование шарообразной формы, представляет собой участок с элементами запекшейся крови и со следами внедрения фибропласты. Во внутреннем содержимом преобладает жидкость. Если обследование показывает ярко выраженное желтое тело, а менструация отсутствует, значит беременность уже могла наступить.
Важно! Если присутствует задержка месячных, и не просматривается наличие желтого тела, это может свидетельствовать о наличии какого-либо заболевания у женщины.
Размеры железы при обследовании играют немаловажную роль при постановке диагноза. Орган для успешной имплантации зародыша в матку должен иметь размеры, примерно равные 18 мм. Пределы от 10 до 30 мм также являются нормой.
Что показывает исследование
Для контроля над беременностью врач назначает УЗИ. Ультразвуковое исследование можно проводить двумя способами – трансабдоминально (через стенку живота) или трансвагинально (с помощью специального датчика, который вводится во влагалище). Проводить осмотр желтого тела без причины не имеет смысла. Исследование желтого тела показывает:
- Наличие или отсутствие беременности;
- Различные патологии, такие как лютеиновые кисты на яичниках;
- Размеры органа;
- Количество (их может быть больше одного);
- Примерный срок беременности.
Внимание! УЗИ не имеет смысл делать при менструации, оно малоэффективно и не даст никаких результатов.
Исследование лютеиновой железы и женской репродуктивной системы в целом не ограничивается одноразовым посещением кабинета УЗИ. Гинеколог может назначить несколько исследований в период одного менструального цикла. Первое следует делать сразу после менструации, второе после окончания овуляции, это примерно вторая неделя. Последнее УЗИ назначается на третьей неделе цикла.
Несмотря на то, что железа является временным органом, она несет важную функцию в репродуктивной системе каждой женщины. При выявлении беременности следует всегда следовать советам врача и проводить исследования, чтобы своевременно не допустить развитие всевозможных патологий.
Что такое желтое тело. УЗИ желтого тела.
Жёлтое тело яичника (лат. corpus luteum) — временная железа внутренней секреции в женском организме, образующаяся после овуляции и вырабатывающая гормон прогестерон. Название жёлтое тело получило благодаря жёлтому цвету своего содержимого.
Образование жёлтого тела из гранулёзных клеток фолликула яичника происходит в лютеиновую фазу менструального или эстерального цикла после выхода яйцеклетки из фолликула. Образование железы происходит под влиянием лютеинизирующего гормона, секретируемого клетками передней доли гипофиза. Во второй половине менструального цикла жёлтое тело вырабатывает небольшое количество эстрогена и прогестерон, гормон жёлтого тела.
Под воздействием прогестерона слизистая оболочка матки (эндометрий) подготавливается к возможной беременности и имплантации оплодотворённой яйцеклетки. Если оплодотворение не произошло, через несколько дней железа начинает уменьшаться в размерах, перерождается в рубцовую ткань и вырабатывает всё меньшее количество прогестерона, что в итоге ведёт к началу менструации. Участок рубцово-перерождённой ткани называется «беловатым телом» (corpus albicans), которое впоследствии исчезает. Большое количество беловатых тел придаёт яичнику характерную рубцовую структуру поверхности.
Если оплодотворение произошло, под влиянием хорионического гормона жёлтое тело (теперь оно называется corpus luteum graviditatis) остаётся активным в течение 10-12 недель, вырабатывая необходимый для развития и сохранения беременности прогестерон, который стимулирует рост эндометрия и предотвращает выход новых яйцеклеток и менструацию. Жёлтое тело сохраняется до тех пор, пока плацента не будет в состоянии самостоятельно вырабатывать эстроген и прогестерон.
На протяжении одного месяца гормональный фон женщины очень меняется. Это объясняется подготовкой ее организма к возможному зачатию, а если оно не происходит, гормональный фон возвращается к исходному состоянию. Каждый месяц происходит разрыв созревшего фолликула с выходом яйцеклетки, а из клеток самого фолликула формируется временная эндокринная железа, именуемая желтым телом. Роль желтого тела заключается в выработке прогестерона, который способствует продвижению оплодотворенного зародыша в матку и его имплантацию. Если зачатие не произошло, то происходит инволюция желтого тела через 12-14 дней.
На УЗИ признаки желтого тела – это неоднородный, округлый, мягкотканный мешочек в области яичника. Если у женщины задержка менструации, а на УЗИ желтое тело не визуализируется, то возможной причиной задержки может быть заболевание со стороны эндокринной или репродуктивной системы. Даже при наступившей беременности отсутствие визуализации желтого тела на УЗИ говорит об угрозе прерывания беременности на фоне недостаточного уровня прогестерона. Размеры желтого тела 18 мм являются оптимальными для того, чтобы произошло оплодотворение, и зародыш имплантировался в матку и хорошо развивался. Если УЗИ показало желтое тело более 23 мм, овуляция отсутствует и продолжается рост фолликула, то его называют фолликулярной кистой. Фолликулярная киста может рассосаться во время менструации или на протяжении последующих 2-3 циклов. Если на УЗИ обнаружили желтое тело более 30 мм при отсутствии беременности, то его называют кистой желтого тела.
Желтое тело – размеры на УЗИ
-
размер желтого тела на УЗИ 18-23 мм говорит о наступившей фазе овуляции и готовности к оплодотворению;
-
размер желтого тела на УЗИ от 20 до 30 мм при беременности говорит о нормальном ее протекании, а при ее отсутствии о наличии фолликулярной кисты;
-
если во время ультразвукового исследования обнаруживают анэхогенное образование округлой формы, размером более 40 мм, в том месте, где должно быть желтое тело, то принято говорить о кисте желтого тела.
Допплерометрические признаки гипофункции желтого тела обнаруживают на 13-14 неделе беременности, когда завершается формирование плаценты, и она начинает выполнять функцию желтого тела по выработке прогестерона. Киста желтого тела – УЗИ
Как уже было сказано, желтое тело беременности при ультразвуковом исследовании определяется до 14 недели, а затем происходит его инволюция. В редких случаях угасания функции и гипотрофии желтого тела может не произойти, а происходит его дальнейшее увеличение и образование кисты желтого тела, которая в диаметре может превышать 40 мм. Данное образование не оказывает отрицательного влияния на протекание и исход беременности, но при чрезмерном росте возможно сдавление кисты с последующим ее разрывом.
Киста желтого тела может образоваться и при отсутствии беременности. Так, через 12-14 суток после овуляции, при отсутствии оплодотворения, должна произойти инволюция желтого тела, но если оно продолжает расти на месте лопнувшего фолликула, то также приводит к образованию кисты желтого тела. В таких случаях киста желтого тела может протекать бессимптомно и оказаться диагностической находкой при плановом ультразвуковом исследовании.
Как видим, обнаруженное при ультразвуковом исследовании органов малого таза у женщин, желтое тело является важным диагностическим критерием репродуктивной функции организма (либо способности к зачатию, либо протеканию беременности в первом триместре, оценке угрозы прерывания).
Как выглядит жёлтое тело на УЗИ
Многие пациентки слышали термин «желтое тело яичника», однако далеко не все представляют себе природу этого образования. На самом деле это очень важный временный орган, возникающий и исчезающий каждый менструальный цикл.
Что такое желтое тело?
В нормальном месячном цикле здоровой женщины выделяют три фазы:
- Фолликулиновая. В этот период растет слизистая оболочка матки и созревает фолликул. По достижении фолликулом размеров 18-20 мм под влиянием ряда гормонов происходит разрыв его оболочки, и созревшая яйцеклетка выходит в брюшную полость — происходит овуляция.
- Овуляция происходит обычно в середине менструального цикла и является своего рода границей между фолликулиновой и лютеиновой фазами.
- Лютеиновая фаза или фаза желтого тела. Все изменения в матке, яичниках да и в организме в целом в эту фазу цикла максимально направлены на поддержание и сохранение возможной беременности. Ведущий гормон этого периода цикла – это прогестерон. Основные функции прогестерона: подготовка матки к внедрению зародыша и сохранение дальнейшей беременности. Его выработкой и занимается желтое тело. Желтое тело возникает после овуляции на месте бывшего фолликула, прорастает густой сетью капилляров и активно выделяет прогестерон. Чаще всего в цикле существует одно желтое тело: в правом или левом яичнике. Однако иногда при одновременной овуляции в обоих яичниках возникают два желтых тела. Если яйцеклетка встретила сперматозоид и произошло оплодотворение, это образование в яичнике будет называться желтое тело беременности. Оно поддерживает основные уровни прогестерона примерно до 16 недель беременности, пока не сформируется плацента. Если беременность не наступила, желтое тело постепенно уменьшается в размерах, деградирует и с началом менструации превращается в небольшой рубец — белое тело яичника.
Как проводится УЗИ?
УЗИ или ультразвуковая диагностика широко применяется в гинекологии и акушерстве. Плановое УЗИ ОМТ (органов малого таза) рекомендуют делать 1 раз в год. УЗИ матки и придатков можно выполнять трансабдоминальным (датчик ставится на переднюю брюшную стенку низа живота) или трансвагинальным (датчик вводится во влагалище) способами. Последний метод позволяет получить более качественные изображения и более прост в применении.
Специальной подготовки к исследованию не требуется, однако при трансабдоминальном доступе перед процедурой нужно не мочиться несколько часов. Это необходимо для создания специального акустического окна, через которое ультразвуковая волна проникает к органам малого таза. Для траснвагинального УЗИ необходим специальный презерватив или насадка, которые надеваются на датчик, обеспечивая безопасность исследования.
Для визуализации желтого тела УЗИ следует проводить во второй половине цикла. Однако иногда желтое тело можно увидеть и вне лютеиновой фазы. Эта ситуация носит название персистенция (постоянное пребывание) желтого тела. Временное образование не исчезает с началом менструации, а сохраняется весь последующий цикл, выделяя гормоны. Такое образование легко принять за опухоль яичника, оно требует обязательного контроля в динамике и УЗИ с цветовым допплеровским картированием. Персистенция желтого тела часто бывает при гормональных нарушениях, нерегулярном менструальном цикле и легко подтверждается несколькими исследованиями в динамике.
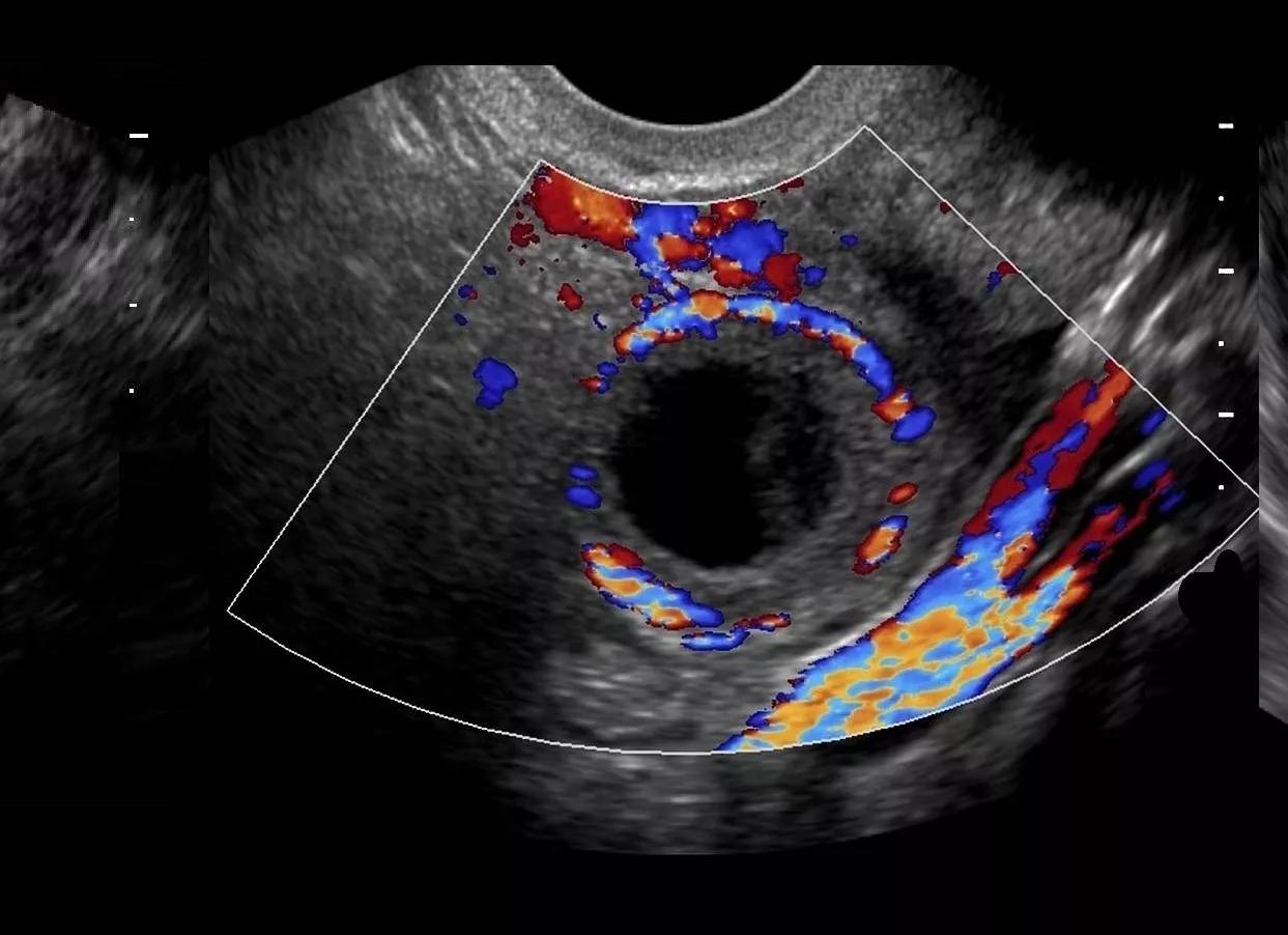
Как выглядит желтое тело на УЗИ?
В подавляющем большинстве случаев само желтое тело яичника не является основной целью поиска на УЗИ. Чаще всего оно бывает случайной находкой, а в случае диагностики нарушений цикла или бесплодия — показателем свершившейся овуляции. Желтое тело на УЗИ дает достаточно интересную и многообразную картину:
- Неправильной формы, с толстым краем и даже валиком.
- С неровным «фестончатым» краем.
- Находится в яичнике на месте бывшего фолликула. Иногда частично представляет собой сгусток крови, образовавшийся после разрыва фолликула.
- Внутренняя его структура на УЗИ крайне разнообразна, может включать кистозные полости и даже кровоизлияния.
- Кровоток при ЦДК по периферии очень активный. Это неудивительно, ведь временный орган должен хорошо кровоснабжаться для нормальной его работы.
Размеры желтого тела
Диаметры и кровоток желтого тела абсолютно не говорят о его гормональной функции и не отражает уровень прогестерона. Обычно пациентки, особенно беременные женщины, обеспокоены малыми размерами или кистозной деформацией желтого тела.
На УЗИ оно может быть большим или маленьким по сравнению со средними нормами, но главным критерием работы желтого тела является уровень прогестерона в лютеиновой фазе или первом триместре беременности. Недостаточность желтого тела – скорее лабораторный диагноз, чем ультразвуковой.
За свою относительно недолгую жизнь желтое тело проходит три основные фазы:
- Формирования. Эта фаза приходится примерно на 15-18 дни цикла. Желтое тело имеет размеры немного меньшие, чем у овулировавшего фолликула, то есть около 15-20 мм.
- Стадия расцвета занимает 19-23 дни менструального цикла. В этот период желтое тело слегка увеличивается в размерах, появляется толстый гиперэхогенный валик и иногда формируются небольшие кистозные полости. Средние размеры его составляют 25-27 мм.
- Период угасания или деградации приходится на 24-28 дни цикла и заканчивается с началом менструации. В этот период желтое тело уменьшается до 10-15 мм, сосуды в нем исчезают, кистозные полости спадаются.
Желтое тело при беременности
Как уже упоминалось выше, желтое тело является основным «прогестероновым» органом до 15-16 недель беременности.
При нормально протекающей беременности размеры желтого тела обычно соответствуют таковым в период «расцвета». Кровоток по границам желтого тела очень активен, его ткани имеют крайне разнообразное строение, вплоть до формирования кистозных полостей и собственно кист желтого тела.
При нормальных уровнях прогестерона и отсутствии угрозы прерывания беременности любое строение желтого тела является абсолютной нормой!
Киста желтого тела
Иногда в структуре желтого тела появляются большие (до 7-8 см) полости, заполненные серозной жидкостью или сгустками крови. Эти полости хорошо заметны на УЗИ и называются кистами желтого тела.
Повторим, что киста желтого тела при беременности является нормой при физиологическом ее течении. Более того, любые кисты и образования яичников не рекомендуют оперировать до 16-18 недель беременности, чтобы не повредить прогестерон-секретирующий орган.
Обычно кисты желтого тела не доставляют хлопот пациенткам и часто самостоятельно проходят за несколько менструальных циклов. Иногда пациентки жалуются на боли в правой или левой нижне-боковой области живота, нерегулярный менструальный цикл или ациклические кровянистые выделения. В редких случаях могут возникнуть следующие осложнения:
- Разрыв кисты желтого тела яичника. Это может происходить самопроизвольно, без видимых причин. Чаще разрыв провоцирующим фактором является травма, бурный половой акт, избыточная физическая нагрузка. Учитывая богатое кровоснабжение желтого тела, это опасно обильным кровотечением в брюшную полость.
- Перекрут кисты желтого тела яичника. Это осложнение чаще происходит с кистами больших размеров и подвижном яичнике по таким же причинам. В этой ситуации «перекрученный» фрагмент кисты плохо кровоснабжается, дает выраженный болевой синдром и может привести к перитониту – воспалению в брюшной полости.
На УЗИ киста желтого тела смотрится достаточно «устрашающе», хотя для жизни и здоровья женщины абсолютно не опасна. Поскольку полость кисты заполнена свернувшейся кровью и нитями фибрина, структура ее крайне разнообразна и требует тщательной диагностики. Такие кисты даже опытные врачи часто путают со злокачественными опухолями яичника. Любые образования яичника требуют постоянного контроля, пересмотра на экспертных аппаратах УЗИ, а женщине рекомендуют сдать кровь на маркеры рака яичников.
Именно поэтому недопустима самостоятельная расшифровка результатов УЗИ, а также равнодушное и недобросовестное отношение к рекомендациям по наблюдению за любым образованием яичника.
≫ Больше информации по теме: https://uziotvet.ru/reproduktivnaya-sistema/zheltoe-telo-na-uzi/