
Как выглядят здоровые легкие на флюорографии
Для того чтобы узнать, как выглядит здоровая флюорография, необходимо понимать, в чем заключается метод, и каким образом ее проводят. Флюорографией называется скрининговое исследование рентгенодиагностики. Каждый человек обязан проходить подобное обследование один раз в 12 месяцев для предупреждения ухудшения эпидемиологической ситуации в стране относительно увеличения количества заболеваемости туберкулезом. Но предупредить и выявить можно не только данное заболевание, но и начальные стадии злокачественных новообразований, менее серьезные патологии, которые при своевременном лечении не представляют угрозы. Вовремя проведенная флюорография — залог успешного лечения.
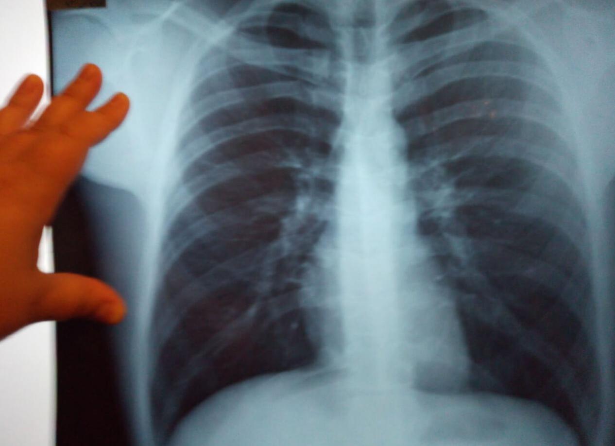
Как выглядит здоровая флюорография, знает далеко не каждый человек. Нормальное и видоизмененное затемнение невозможно дифференцировать без соответствующих знаний. Многие болезни могут спровоцировать пятна, которые выглядят как черные и белые следы на снимке, поэтому самостоятельно определить, какие именно изменения произошли, невозможно. Между рентгенографией и флюорографией существует определенная разница — во втором случае изображение получают с помощью флуоресцентного экрана.
Как выглядит здоровая флюорография: норма
Многим людям интересно, как выглядят здоровые легкие на флюорографии. Дождаться диагноза врача бывает достаточно сложно, а нервное перенапряжение часто приводит к повышению артериального давления, ненужным волнениям.
Итак, как выглядит здоровая флюорография:
- легочные поля имеются с двух сторон клетки грудины;
- по центру снимка расположена сердечная тень и непосредственно грудина;
- ключица показана вверху;
- под полями видны купола диафрагмы;
- а над легкими можно увидеть линейные затемнения ребер.
Благодаря тому, как выглядит фото, рентгенолог может определить, здоровая флюорография у пациента или нет. Врач определяет мягкие ткани, соответствующую систему костей и суставов, а также синусы, непосредственно диафрагму и средостение. Не всегда отсутствие отклонений от нормы свидетельствует о полностью здоровых легких. Воспаления до 2 мм, мелкие просветления и затемнения вследствие наличия инфильтратов, скопление жидкости менее 250 мл, утолщение стенок до 1 мм — выявить все это флюорография не может, поэтому проводятся дополнительные диагностические исследования. Теперь понятно, как выглядит здоровая флюорография — в ней не должны присутствовать дополнительные тени, просветления и всевозможные дополнительные ткани.
Как выглядит здоровая флюорография: современная диагностика
За качество снимков отвечает аппаратура, на которой они были выполнены. Ранее диагностика рентгеном проводилась старыми комплексными аппаратами «РУМ». Приходилось регулировать силу тока, время экспозиции рентген-лучей, напряжение. При этом результаты на одинаковой установке у одного и того же человека могли быть разными. Эффективность обследования считалась невысокой.
Применение современного оборудования позволило точно увидеть, как выглядит здоровая флюорография без погрешностей и ошибок со стороны медицинского оборудования.
testpuls.ru
как выглядят здоровые легкие на рентгене фото
Рентген органов грудной клетки у здорового человека может обнаружить в легких дополнительные тени, которых не следует пугаться. В норме наблюдаются различные изменения легочного рисунка (усиление, сгущение и деформация), а также патология корней. Не будем пугать читателей, а объясним рентгеновские симптомы здоровых легких.
Как выглядит снимок легких здорового человека
Снимок легких здорового человека выглядит типично:
- Легочные поля, расположенные с обеих сторон грудной клетки.
- Сердечная тень и грудина – в центре рентгенограммы.
- Ключица – в верхней части.
- Купола диафрагмы – снизу под легочными полями.
- Линейные тени ребер над проекцией легких.
Снимок органов грудной клетки здорового человека с описанием структур
На фото врач-рентгенолог оценивает следующие структуры:
- Мягкие ткани.
- Костно-суставная система.
- Диафрагма.
- Средостение.
- Реберно-диафрагмальные синусы.
Эти структуры по-разному выглядят на рентгенограммах в негативном и позитивном вариантах.
Следует понимать, что отсутствие на снимках легких патологических теней еще не означает, что человек здоров. При каких патологиях не наблюдаются изменения на снимках легких:
- воспалительные очаги до 2 мм в диаметре не визуализируются на рентгеновском снимке, так как метод имеет предел разрешения;
- небольшие просветления;
- мелкие затемнения при инфильтративных изменениях в бронхах;
- скопление жидкости в реберно-диафрагмальном синусе до 250 мл;
- утолщение бронхиальных стенок в толщине менее 1 мм;
- незначительные фокусные утолщения ткани.
Чего не должно быть на рентгенограмме при здоровых легких
Нормальная цифровая рентгенограмма легких в позитивном отображении
Флюорография является скрининговым методом рентгенодиагностики. Согласно приказу Министерства здравоохранения ее выполнение обязательно для каждого человека один раз в год. С помощью флюорографии врачи обнаруживают на ранних стадиях такие заболевания, как туберкулез и рак. Конечно, рентгеновский снимок легких более информативный, но он характеризуется значительным лучевым обследованием человека, поэтому не может применяться для массового обследования населения.
Простой человек не понимает, как выглядят чистые легкие, поэтому не сможет дифференцировать нормальные и патологические тени. Множество заболеваний формируют затемнения на снимке, поэтому на них появляются «разводы» и «белые тени».
Рентген, проходя через грудную клетку, от некоторых тканей отражается, а другими поглощается. Вследствие этого на рентгенограммах формируются темные, белые и серые тени. Их сочетание между собой и обуславливает нормальную рентгеновскую картину.
Некоторая разница в отображение теней возникает из-за технических особенностей метода рентгенографии и флюорографии. При флюорографическом обследовании изображение получается с флуоресцентного экрана.
Рентген, проникая через ткани, засвечивает рентгеновскую пленку. Так формируется рентгеновский снимок.
Чего не должно быть на флюорограмме в норме:
- затемнений;
- просветлений;
- дополнительных теней.
На рисунке приведена нормальная рентгенограмма легких. Запомните ее вид. Если на снимке обнаружите дополнительные пятна, которые отличаются от вышеприведенного фото, скорее всего, такая картина будет отражать патологический процесс.
Как влияет на рентген-снимок отсеивающая решетка
Схема влияния отсеивающей решетки рентген-аппарата на качество снимков
Отсеивающая решетка рентген-аппарата влияет на качество снимков. Когда рентгенограммы выполняются на одном оборудовании, они имеют схожие цвета анатомических структур, поэтому врачу-рентгенологу легко выявлять патологические затемнения.
Тем не менее на одном рентген-аппарате снимки органов грудной клетки могут отличаться в зависимости от положения пациента. На вышеприведенном фото рентгенограммы выполнены одному и тому же человеку в положении стоя (а) и лежа (б).
Обратите внимание на сердечную тень и интенсивность отражения легочных полей (они отличаются по цвету). Купола диафрагмы также расположены на разных уровнях.
Рентген-картина нормальных легких формируется способностью рентгеновских лучей по-разному проходить через одни и те же ткани при разной степени их физического утолщения.
На качество рентген-снимков влияет также диагностическая аппаратура. В советские времена рентгенодиагностика проводилась на комплексе «РУМ». В таком оборудовании режимы рентгенографии выставлялись вручную с помощью регуляторов. Напряжение, силу тока и время экспозиции рентгеновских лучей регулировали рентгенолаборанты. На снимках легких, выполненных у одного человека, можно было наблюдать различие в интенсивности теней и их жесткости.
Появление современных диагностических комплексов позволило избавиться от этой проблемы. Теперь параметры экспозиции регулируются автоматически.
Источник: x-raydoctor.ru
Рентген снимок здоровых и чистых легких
Множество снимков для представления, как выглядят здоровые легкие. Смотрите в нашей статье.
Рентгеновский метод для диагностики и профилактики бронхолегочных заболеваний является не только общедоступным и простым, но и точным. Около 80% всех болезней, патологий легкого диагностируются рентгенографией.
Рентгенография дает такой снимок, на котором определяются даже самые ранние стадии заболеваний дыхательной системы. Именно поэтому флюорография – ежегодный обязательный метод профилактической диагностики туберкулеза, опухолевых процессов и других патологий.
Рентген легких здорового человека дает возможность врачу оценить мягкие и костные ткани, структуры границ. При отсутствии каких-либо негативных изменений в легких нормальный снимок здорового пациента будет выглядеть как на фото сверху. Снимок больного человека будет отличаться наличием затемнений, утолщений, просветлений, которых нет на снимке здорового.
Рентген здоровых легких будет расшифрован с учетом возраста и пола пациента. Рентгенолог подробно расскажет, как выглядят нормальные легкие:
- отсутствие видимых очаговых, инфильтративных теней;
- нормальные размеры корней;
- отсутствие измененных контуров диафрагмы и диафрагмально-реберных синусов;
- сердечная тень обычной формы;
- мягкие ткани без изменений.
Здоровые легкие на рентгене и при патологии отличаются незначительными изменениями, которые покажет рентген. Смещения, усиления легочного рисунка, увеличение теней – все это прямые признаки наличия заболеваний легкого, начала патологических процессов, требующих медицинского вмешательства. Только квалифицированный специалист может дать правильную оценку полученным результатам исследований. Обычный человек без медицинского образования не отличит снимок здоровых легких от больных.
Рентген легких курильщика отличается от снимков здорового человека. У курильщика сгущается легочной рисунок и наблюдаются бронхоэктазы (полостные образования в бронхах).
Снимок легких покажет:
- относительное положение органа среди прочих структур организма;
- число легочных долей;
- формы, размеры, контуры легких;
- интенсивность легочного рисунка.
Чистые легкие не имеют ряд признаков, которые выявляет рентген. Флюорография способна по этим признакам определять ранние стадии туберкулеза и других заболеваний.
Затемненный участки могут указывать на пневмонию, туберкулез, новообразования. Легочные пятна классифицируются специалистами следующим образом:
- Частичное затемнение – патологии, заболевания поражают часть легкого, диагностируются плеврит, пневмония, ателектаз.
- Распространенное затемнение – легочное поле практически полностью изменено, признаки отеков легких, выпотного плеврита, полисигментарных пневмоний.
- Ограниченное затемнение – темный очаг небольшого размера, опухолевый и туберкулезный признак.
Туберкулез на рентген-снимке
Рентгенография не способна дать оценку следующим изменениям:
- небольшой очаг воспаления менее 2 мм диаметром,
- небольшой участок просветления,
- маленькие утолщения размером меньше 1 мм,
- маленькое затемнение с инфильтративным изменением бронхов,
- маленькое фокусное утолщение ткани легкого.
В целом, рентгенография дает достоверную картину состояния бронхолегочной системы. Точная и профессиональная расшифровка рентгеновских снимков легкого спасает многие жизни, давая возможность диагностировать ранние стадии болезней и вовремя назначать эффективное лечение.
Источник: rentgen.online
Как выглядят лёгкие здорового человека на снимке
Чтобы сохранять уверенность в здоровом состоянии дыхательной системы, рекомендуется периодически проходить обследование лёгких. Детальное изучение специалистами полученных при рентгене или флюорографии результатов помогает выявлять патологические процессы на ранних стадиях, и своевременно принимать адекватные терапевтические меры. Снимок лёгких здорового человека имеет определённые особенности, и демонстрирует показатели, относящиеся к медицинской норме.
Какие патологии выявляет обзорная рентгенография
В процессе проведения процедуры у пациента могут быть выявлены различные нарушения. Обзорная рентгенография выявляет отклонения от нормы при развитии:
- Воспаления лёгких (пневмонии).
- Туберкулёза.
- Различных форм бронхита.
- Бронхиальной астмы.
- Пневмосклероза.
- Эмфиземы.
- Лёгочного отёка.
- Плеврита, пневмоторакса.
- Дыхательной недостаточности.
- Онкологических процессов.
Также рентгенографию назначают при прохождении медикаментозной терапии с целью отслеживания эффективности проводимого лечения, для выявления газов, инфильтратов, жидкостей, кист, посторонних предметов в дыхательных путях.
Выполняя описание снимка, врач-рентгенолог внимательным образом изучает состояние костно-суставной системы, мягких тканей, средостения (анатомического пространства, ограниченного грудиной и позвоночным столбом), диафрагмы (мышечной структуры, разделяющей грудную и брюшную полости, обеспечивающей расширение лёгких во время дыхания), рёберно-диафрагмальных синусов.
Также рассмотрению подлежат форма грудной клетки (бочкообразная, воронкообразная или цилиндрическая), объём лёгких, особенности их корней. Специалист обращает внимание на наличие деформаций лёгочного рисунка, очаговых или инфильтративных теневых образований (кости на снимке приобретают белый цвет, лёгочная ткань и образования в ней становятся серыми, а естественные пустоты имеют чёрную окраску).
Во время анализа полученного изображения доктор учитывает проекцию, в которой проводилось обследование (боковую, заднюю или переднюю). При этом в расчёт обязательно берутся погрешности, допускаемые в каждой из них.
Расшифровка снимков лёгких является сложной процедурой, требующей глубоких медицинских знаний. В некоторых случаях, связанных с серьёзными нарушениями в органах дыхания, пациенту назначается прохождение дополнительного обследования.
Как выглядит снимок здоровых лёгких
Рентгеновский снимок лёгких здорового человека обладает следующими характеристиками:
- полученное изображение является однородным, не имеет затемнений;
- лёгкие расположены в правильной позиции, имеют 5 хорошо различимых долей (их величина определяется возрастом пациента);
- в структуре лёгочной ткани отсутствуют видимые волокна;
- корни правого и левого лёгкого обладают чёткой структурой, их размеры не выходят за пределы нормы;
- мягкие ткани однородные, в них нет рубцов, опухолевидных образований, «карманов» с газом, жидкостью.
Флюорография здорового человека демонстрирует хорошо обозначенные лёгочные поля и купола диафрагмы под ними. В верхней части снимка хорошо просматриваются ключицы, в центре – грудина и тень от сердечной мышцы, над проекцией лёгких видны линейные тени рёбер.
Тень, образованная сердцем, имеет важное диагностическое значение. В случае её отклонения от нормальных показателей пациент направляется для прохождения обследования у кардиолога.
Чего не показывают рентген и флюорография
При прохождении рентгенограммы или флюорографии не всегда обнаруживается наличие незначительных патологических образований –очагов поражения, имеющих в диаметре менее 2 мм, уплотнений в стенках величиной до 1 мм. Также не визуализируется жидкость в синусе, если её объём меньше чем 250 мл. Эта особенность связывается с техническими характеристиками рентгенологической аппаратуры.
В случае необходимости более детализированное изображение тканей лёгочной системы удаётся получить благодаря применению КТ и МРТ (компьютерной томографии и магнитно-резонансной томографии).
Что должно отсутствовать на снимке здорового человека
Рентген лёгких здорового человека демонстрирует отсутствие на снимке лишних затемнений, просветлений, дополнительных теней. Для опытного врача, проводящего рентген или флюорографию, не существуют случайные цвета или смазанные краски. Профессиональный рентгенолог легко «читает» значение каждого тёмного и светлого фрагмента, и способен пояснить, с чем может быть связано их появление.
Затемнения, указывающие на наличие патологических процессов в органах дыхания, могут быть:
- частичными;
- ограниченными;
- распространёнными.
Частичные и ограниченные затемнения обнаруживаются в отдельных участках лёгочной ткани. Они представлены своеобразными, чётко очерченными тёмными очагами. Распространённые затемнения принято относить к категории самых опасных аномалий. Эти патологические процессы охватывают всю площадь лёгких.
Выявление нетипичных тёмных областей на снимке часто указывает на наличие уплотнений. Последние могут возникать на фоне протекания онкологических процессов, пневмонии, плеврита. Аномальные тени, которые выглядят как точки, появляются у пациентов, недавно перенёсших бронхит. Кольцевидные говорят о наличии в лёгких полостей, наполненных воздухом (этот синдром часто сопровождает внелёгочные процессы – деформацию рёбер, повышенное газообразование в кишечнике, плевральной полости).
Помимо затемнений, на снимке здорового человека должны отсутствовать аномальные явления в виде спаек, наслоений, фиброзов, склерозов, тяжистостей, лучистостей.
Чем отличаются снимок некурящего и курящего пациента
Снимки лёгких у активных курильщиков имеют существенные отличия от изображений, полученных при рентгенологическом обследовании некурящих людей. Многие специалисты сравнивают их с грязным «мешком», становящимся всё более тёмным по мере накапливания вредного табачного «стажа».
Отличительной особенностью снимков лёгких курящего пациента становится:
- наличие размытых контуров лёгочных корней, их извитости и деформации;
- образование усиленного рисунка лёгких;
- присутствие дополнительных теней.
Рентгенологическая картина дополняется множественными пористыми структурами, связанными с дефектами бронхов и протекающими в них воспалительными изменениями. Помимо этого, на снимке обнаруживаются просветления в лёгочных полях, причиной которых становится повышенная компенсаторная воздушность лёгких. Первой этот патологический процесс затрагивает нижнюю треть данной области, постепенно продвигаясь в направлении вверх.
Постоянное негативное воздействие никотина и токсинов провоцирует трансформацию альволярных стенок, в результате чего на изображении удаётся отчётливо рассмотреть их потемневшие очертания. Нарушения газообмена приводят к повреждениям и в тканях сердечной мышцы (традиционно у курильщиков наблюдается увеличение объёма сердца).
Источник: pulmono.ru
Рентгенограмма легких – норма и патология (на цифровом рентгеновском снимке)
Рентгенограмма легких – суммационное изображение мягких тканей грудной клетки. На пути прохождения рентгеновских лучей некоторые структуры поглощают, а другие отражают излучение. Такая игра отображается на рентгеновской пленке или цифровом носителе.
Врач-рентгенолог читает рентгеновский снимок, состоящий из комплекса теней белого и серого цветов. Их сочетание между собой формирует изображение, которое специалист расшифровывает и делает описание.
Наши специалисты готовы бесплатно расшифровать рентгенограммы читателей. Предлагаем также внимательно разобраться самостоятельно с комплексом рентгеновских затемнений и просветлений.
Рентгеновские снимки легких (органов грудной клетки) анализируются по схеме «ПоЧиФоРа и ИнРиКоС». Как расшифровать эти термины:
- По – положение;
- Чи – число;
- Фо – форма;
- Ра – размеры;
- Ин – интенсивность;
- Ри – рисунок;
- Ко—контуры;
- С – смещаемость.
Данному алгоритму учат студентов медицинских университетов, готовящихся стать врачами-рентгенологами.
Рассмотрим для примера рентгеновский снимок легких в норме:
На нем визуализируется множество затемнений и просветлений (белого и черного цвета), которые могут запугать читателей. На самом деле эта рентгенограмма расшифровывается просто (см. следующий снимок)
На рентгенограмме подписаны все анатомические структуры, чтобы читателям было легко разобраться. Предлагаем запомнить интенсивность легочных полей. Норма не предполагает наличия патологических затемнений (белого цвета) и просветлений (темного цвета), которых нет на изображении.
Если «набить глаз», научитесь четко отличать норму от патологии.
Рентген здоровых легких описывать следует по классическому стандарту. Вначале вносятся записи о патологических рентгеновских синдромах, затем легочные поля, корни, купола диафрагмы, реберно-диафрагмальные синусы, сердечная тень и мягкие ткани.
Классический алгоритм описания здоровых легких:
- В легочных полях без видимых очаговых и инфильтративных теней;
- Корни не расширены, структурны;
- Контуры диафрагмы и реберно-диафрагмальные синусы без особенностей;
- Сердечная тень обычной конфигурации;
- Мягкие ткани без особенностей.
Вышеприведенная рентгенограмма подпадает под данное описание.
Надеемся, ответили читателям, как читать рентгеновские снимки легких в норме, поэтому переходим к следующему пункту о рентгеновских синдромах при патологии.
Рентгенограмма органов грудной клетки при пневмонии – патология
Рентгенограмма легких при пневмонии является классическим проявлением патологии. Приводим пример снимка при воспалительных изменениях легочной ткани (пневмония), чтобы читатели понимали, чем отличается норма от патологии.
Предлагаем ознакомиться с нижеприведенными снимками при пневмонии и в норме. Ответьте на вопрос, где рентгенограмма нормальная, а какая патологическая. Определите, на какой рентгенограмме пневмония.
Подскажем, что затемнение небольшое и локализовано над диафрагмой.
Рентген здоровых легких – классика рентгенологии, так как рентгенология ориентирована на выявление туберкулеза, рака и пневмонии.
На представленной рентгенограмме лёгких визуализируется инфильтративная тень в наддиафрагмальной зоне слева. Корни тяжисты. Реберно-диафрагмальные синусы не завуалированы. Сердечная тень классической конфигурации. Патологии в мягких тканях не прослеживается.
Заключение: Рентген признаки левосторонней сегментарной пневмонии. Рекомендована рентгенография органов грудной клетки в левой боковой проекции для установки локализации затемнения.
Цифровая рентгенограмма – что это такое и как ее читать
Цифровая рентгенограмма является продуктом современных разработок в рентгенологии. На эпохе зарождения рентгенодиагностики, чтобы получить изображение после прохождения рентгеновских лучей через анатомические структуры организма, нужно было использовать фиксаторы, проявители для создания фото негатива. Процесс напоминает проявление пленки фотографами.
Современные технологии позволили избавиться от этой трудоемкой процедуры. На замену пленке пришли цифровые исследования. Они предполагают использование специальных датчиков, которые регистрируют интенсивность лучей на выходе из объекта исследования и передают информацию на программное обеспечение. Оно анализирует сигналы и выдает на экран цифровое изображение. Его анализирует врач-рентгенолог. При чтении снимка специалист получает возможности для увеличения или уменьшения изображения, преобразования негатива в позитив и множество других функций.
Источник: mrt-uzi.com
neosensys.com
Как выглядят лёгкие курильщика и здорового человека
Статьи › Легкие человека который курит и здоров
Такими их показывают социальные фото и видео, где показательно сравнивают лёгкие курильщика и здорового человека. При этом все негативные последствия от курения переживают на себе легкие курильщика.
Легкие курильщика — пугалка или реальность, и чем они отличаются от легких тех, кто не курит?
Здоровые ткани легких — розовые, с дольчатым рисунком в виде пирамидок. Этот рисунок образован вторичными дольками, участками легочной паренхимы (функциональной частью легочной ткани). Дольки отделены друг от друга перегородками из соединительной ткани, в которых проходят вены и мелкие лимфатические сосуды.
Посмотрите на рентген снимки легких здорового человека, чистые легкие на рентгене.
Рентгеновский метод для диагностики и профилактики бронхолегочных заболеваний является не только общедоступным и простым, но и точным. Около 80% всех болезней, патологий легкого диагностируются рентгенографией. Рентгенография дает такой снимок, на котором определяются даже самые ранние стадии заболеваний дыхательной системы.
Снимок флюорографии здорового человека. Если простой обыватель увидит на снимке то, что он когда-то видел в учебнике биологии, и сможет на глаз попытаться определить, нет ли бросающихся в глаза проблем, то врачу достаточно бегло взглянуть на снимок, чтобы оценить все состояние дыхательных органов пациента.
Как в действительности отличаются легкие курильщика и здорового человека, какие признаки того, что человек курит сигареты, может выявить рентгенография легких. Флюорография обнаруживает не курение, а его последствия для лёгких.
Рентген легких курильщика отличается от снимков здорового человека. У курильщика сгущается легочной рисунок и наблюдаются бронхоэктазы (полостные образования в бронхах). Если показать эти два варианта рентгенограмм пациенту без медицинского образования, даже он увидит разницу.
Как выглядят легкие курильщика и можно ли по флюорографии установить факт курения — эти два вопроса волнуют многих курильщиков. Чаще всего первый вопрос — о возможности рентгенодиагностики — задают взрослые люди, обеспокоенные своим здоровьем, а вопрос о флюорографии интересует молодежь — не «запалят» ли их врачи на факте курения.
Заметными последствиями курения становится уплотнение тканей легкого. Под действием дыма никотин и токсины трансформируются стенки альвеол, на снимке они приобретают черные очертания. На легких появляются мелкие белые участки, образованные расширенными областями бронхов (бронхоэктазии).
Установлено, что изменения в легких и дыхательных путях незаметно происходят даже после первой выкуренной сигареты. Поэтому курильщикам — людям, находящимся в зоне повышенного риска по части легочных заболеваний, настоятельно рекомендуется проходить флюорографию легких ежегодно.
Оставить отзыв
mostalony.ru
Легкие курильщика. Как выглядит рентгеновский снимок легких в норме.
Флюорография легких – исследование органов грудной клетки с помощью рентгеновских лучей, проникающих через легочную ткань и переносящих на пленку посредством флюоресцирующих микроскопических частиц рисунок легких.
Проводят подобное исследование лицам, достигшим 18 лет. Периодичность его проведения – не чаще 1 раза в год. Это правило касается только проведения флюорографии здоровых легких, когда дообследование не требуется.
Считается, что флюорография легких – не достаточно информативное обследование, но полученные с ее помощью данные позволяют выявить изменения в строении легочной ткани и стать поводом для дальнейшего более подробного обследования.
Органы грудной клетки по-разному поглощают излучение, поэтому снимок выглядит неоднородным. Сердце, бронхи и бронхиолы выглядят светлыми пятнами, если легкие здоровые, флюорография отобразит легочную ткань однородной и равномерной. А вот если в легких воспаление, на флюорографии, в зависимости от характера изменений воспаленной ткани, будут видны либо затемнения – плотность легочной ткани повышена, либо будут замечены высветленные участки – воздушность ткани достаточно высока.
Флюорография легких курильщика
Установлено, что изменения в легких и дыхательных путях незаметно происходят даже после первой выкуренной сигареты. Поэтому курильщикам – людям, находящимся в зоне повышенного риска по части легочных заболеваний, настоятельно рекомендуется проходить флюорографию легких ежегодно.
Не всегда флюорография легких курильщика сможет показать развитие патологического процесса на ранней его стадии – в большинстве случаев он начинается не с легких, а с бронхиального дерева, но, тем не менее, подобное исследование позволяет выявить опухоли и уплотнения в легочной ткани, появившуюся в полостях легких жидкость, утолщение стенок бронхов.
Переоценить важность прохождения такого обследования курильщиком сложно: своевременно обнаруженное с помощью флюорографии воспаление легких, дает возможность назначить как можно раньше необходимое лечение и избежать серьезных последствий.
Расшифровка флюорограммы после прохождения флюорографии легких
Результаты флюорографии готовят обычно несколько дней, после этого полученную флюорограмму рассматривает рентгенолог и в том случае если была проведена флюорография здоровых легких, на дальнейшее обследование пациента не отправляют. В противном случае, если рентгенолог обнаружил изменения легочной ткани, человека могут отправить для уточнения диагноза на рентгенографию или в противотуберкулезный диспансер.
Легкие курильщика — пугалка или реальность, и чем они отличаются от легких тех, кто не курит? Здоровые ткани легких — розовые, с дольчатым рисунком в виде пирамидок.
Этот рисунок образован вторичными дольками, участками легочной паренхимы (функциональной частью легочной ткани). Дольки отделены друг от друга перегородками из соединительной ткани, в которых проходят вены и мелкие лимфатические сосуды.
Именно в этой соединительной ткани откладывается сажа (копоть), мельчайшие частички разнообразной пыли. Перегородки из-за этого становятся заметными, они словно очерчены черным карандашом. Выраженность налета из сажи неодинакова в популяции.
У жителей мегаполисов или местности с печным отоплением, у водителей дизельного транспорта копоти в легких больше, чем у тех, кто живет в небольших городах с централизованным отоплением. Младенцы рождаются с чистыми, розовыми легкими, но со временем копоть неизбежно появляется.
Легкие курильщика, особенно курильщика со стажем, на вскрытии выглядят типично. Черным налетом сажи покрываются не только соединительные перегородки, но и пропитывается ткань легких в массиве.
Сажа также скапливается в просветах бронхов и бронхиол. Анатомический препарат легких курильщика очень нагляден: можно увидеть, насколько сложна работа легких, вынужденных отфильтровывать постоянно поступающие довольно крупные части разнообразных вредных веществ.
Интересно, что очень многие не верят в то, что легкие курильщиков покрыты буквально слоем сажи. Другие приводят в качестве аргумента факт наличия частичек копоти в легких некурящих. Однако достаточно посмотреть на фотографии из бюро судебно-медицинской экспертизы, чтобы убедиться в реальности копченых легких курильщиков.
Почему так происходит, или откуда берутся такие легкие
Что же становится причиной такого загрязнения легких у курильщиков?
Вообще, проблема чистоты вдыхаемого воздуха — проблема глобального масштаба, имеющая антропогенное происхождение.
Благодаря деятельности человека в воздухе в воздухе постоянно присутствуют взвешенные частицы и аэрозоли (то есть те же частицы, но осажденные на капельках влаги).
Подсчитано, что годовой состав этих частиц весит примерно 100 миллионов тонн — примерно по 14 граммов на человека, если исходить из общего числа проживающих на Земле в 7 миллиардов человек. Однако если учесть, что многие жители Земли далеки от цивилизации или живут в местностях, где промышленные выбросы минимальны, то в среднем на каждого потенциального «вдыхателя» пылевых и прочих частиц приходится гораздо большее их количество.
Как подсчитали эксперты ВОЗ, 70% населения, городских жителей развивающихся стран, дышит загрязненным воздухом. Среди общего количества загрязняющих воздух частиц примерно половина появились в воздухе в результате неполного сгорания топлива. Топливо — это углеводороды, при сгорании которых и образуется сажа.
Размер частичек сажи колеблется от 0, 01 до 10 микрон, в среднем — около 1 микрона. При этом легкие человека способны отфильтровать и удалить частицы размером от 5 микрон и крупнее. То есть большая часть сажевых частиц остается в тканях легких.
Табачный дым — типичный аэрозоль, в составе которого продукты неполного сгорания всех компонентов сигареты — от табака до бумаги и клея. Образование копоти и сажи при сгорании неизбежны, а учитывая, что эти продукты сгорания не распыляются в воздухе, а концентрируются непосредственно возле дыхательных путей курильщика, то очевидно, что они в большом, а главное постоянном объеме поступают непосредственно в просвет бронхиального дерева.
В норме — даже в условиях мегаполиса — легкие справляются со своими фильтрующими функциями за счет активной работы ресничек — особого мерцательного эпителия в виде тончайших волосков на поверхности бокаловидных клеток.
Реснички являются частью защитного барьера, предупреждающего попадание потенциально опасных и раздражающих частиц в альвеолы. Они находятся в постоянном движении, причем направлено оно изнутри кнаружи, то есть в направлении из легких во внешнюю среду.
Патогенные агенты (грязь, пыль, микроорганизмы и. т. п.) попадают на слизь, окружающую реснички, прилипают к ней и по ходу движения ресничек выносятся наружу. Та самая слизь (мокрота) откашливаемая во время болезни — большей частью продукт работы бокаловидных клеток и ресничек.
Но реснички весьма чувствительны к повреждающим факторам — и механическим и химическим, которых немало в дыме сигарет. Хроническое же их повреждение дымом приводит к тому, что клетки мерцательного эпителия постепенно замещаются базальными клетками, слизи обращается все больше, а выкашлять ее — труднее, формируется хронический бронхит.
Как выглядят легкие курильщика и можно ли по флюорографии установить факт курения — эти два вопроса волнуют многих курильщиков. Чаще всего первый вопрос — о возможности рентгенодиагностики — задают взрослые люди, обеспокоенные своим здоровьем, а вопрос о флюорографии интересует молодежь — не «запалят» ли их врачи на факте курения.
На рентгенограмме (пленке с рентгенографическим изображением) увидеть патологии легких и бронхов легче: легочный рисунок (изображение сосудов и интерстициальной ткани) при воспалительных, инфекционных, опухолевых процессах выглядит достаточно типично: рак,легкие,эмфизема,ХОБЛ снимок вполне может показать.
Чтобы диагностика была максимально полной, необходимо проведение R-исследования в двух проекциях, а иногда, по показаниям, назначается углубленное исследование (МРТ, КТ, бронхоскопия).
Где и как проверить свои легкие
Тревожащие признаки требуют диагностики. За первичным обследование и направлением на углубленное исследование нужно обратиться к терапевту, который даст направление на рентгенологическое исследование и консультацию пульмонолога.
Для проверки могут быть проведены не только R-исследования, но назначены биохимический и клинический анализ крови, мокроты, бронхоскопия, компьютерная томография.
Интересно, что многие зарубежные врачи и исследователи проблем заболеваний легких (в том числе связанных с курением) считают, что пристальная диагностика «просто так», без особых на то показаний, приводит к гипердиагностике, избыточному медицинскому вмешательству и во многих случаях оказывается попросту вредной.
Адаптационные и восстановительные способности человеческого организма небеспредельны, но если отказаться от курения, в том числе пассивного, то можно восстановить функции многих систем до практически первоначального уровня.
Понятно, что на окончательное восстановление потребуются немалые годы, но минимальные — впрочем, вполне выраженные его признаки — можно заметить практически сразу после отказа от сигарет.
Реснички легких восстанавливаются через три-пять дней. Соответственно, в течение этого времени возобновится очищающая функция легких.
1. Что нужно сделать по дому и что можно в домашних условиях
Начало работы по очистке дыхательной системы — создание такого режима и окружающей обстановки, при которых работа легочной системы осуществляется в наиболее благоприятных для нее условиях.
По совету врача (и только!) можно начать принимать лекарственные препараты, средства фитотерапии, помогающие репаративным процессам в легких.
Спорт и дыхательная гимнастика — не только способ простимулировать обменные и восстановительные процессы в тканях и системах, но и возможность поддержать свою физическую форму, залог бодрости и хорошего настроения. А они всегда пригодятся тем, кто бросает курить.
2. Очистка дыхательной системы
Легкие способны восстановиться сами, но им нужно помочь: с примерно со вторых-третьих суток после последней сигареты начинается очищение легких и длится оно может до года: примерно через год легкие человека, бросившего курить станут работать так, что он сможет перенести физическую нагрузку без тяжелейшей одышки и удушающего кашля.
Всего пять шагов — несложных, доступных — станут подспорьем в эти месяцы. Вот они.
2.1. Бросить курить . Сразу и навсегда. Не бывает «почти не курю» — достаточно крохотной дозы никотина, чтобы организм ответил соответствующими реакциями и симптомами.
2.2. Регулярное проветривание квартиры и офиса . Свежий воздух оказывает благотворное влияние на работу легких. Не нужно бояться кашля, усилившего на свежем воздухе после отказа от курения: кашель в данном случае не зло, а признак того, что легкие работают, очищаются. С кашлевыми толчками уносится «мусор», осаждавшийся в легких.
2.3. Влажная уборка дома и на работе — ежедневно . Меньше пыли — меньше раздражающих веществ и инфекционных агентов, осаждающихся на ней — ниже риск заболеваний, быстрее проходит кашель. Особенно важны этот и предыдущий пункты в помещениях с офисной техникой: там пыль и положительно заряженные ионы скапливаются в потрясающе вредных количествах.
2.4. В движении жизнь! А в движении на свежем воздухе — здоровое долголетие. Парк, сквер, берег пруда, лесок на даче, тихий дворик у школы или детского сада — даже в мегаполисе есть островки живой природы, где насыщение кислородом и отрицательными ионами максимально. Прогулка пешим шагом, простейшие упражнения из утренней гимнастики — не так много и нужно.
2.5. Никаких контактов с курящей компанией. Мало того, что это может спровоцировать возврат к курению, но пассивное курение еще и опасно!
3. Питание
Питание должно отвечать возрастным и физиологическим особенностям организма.Полноценный рацион, с оптимальным по возрасту, полу, массе тела содержанием основных нутриентов (белков, жиров, углеводов), витаминов, минеральных веществ — подспорье восстанавливающемуся организму и легким.
В ежедневном рационе должны присутствовать чеснок (как мощный детоксант, стимулятор очистительных и восстановительных процессов), фрукты — яблоки и цитрусовые, которые богаты аскорбиновой кислотой, а она в свою очередь помогает восстановиться соединительной ткани легких.
Нужно выпивать не менее 1,5 до 2 литров жидкости в день (в зависимости от климата, сезона и с учетом имеющихся хронических заболеваний). Следует помнить, что речь о жидкости свободной, то есть чистой воде, а не о кофе в перерыве, какао за завтраком и супе в обед. Помощь воды при чистке неоценима — она в прямом смысле вымывает токсины и продукты распада погибших клеток.
4. Лекарственные средства
Прием лекарства без назначения врача чреват развитием побочных эффектов. Но можно обсудить с лечащим врачом назначение оротата калия — он стимулирует метаболизм и обменно-восстановительные процессы; витаминов А, группы В, С, Е и минералов — калия, цинка, селена, которые поддерживают обмен веществ.
При сильном кашле (что не редкость после отказа от курения) врач может посоветовать ингаляции и растирания области легких средствами, улучшающими работу легких: «Хлорофиллипт», «Лазолван», «Беродуал», «Сальгим», «Доктор МОМ», бальзам «Золотая звезда» и другие. Оптимальным будет использование небулайзера.
5. Народная медицина
Прежде чем употреблять травы внутрь, нужно получить консультацию врача — народная медицина не настолько безопасна, как принято думать.
Можно также делать лечебные ингаляции с отварами трав. Лучше всего брать растения, обладающие выраженным ароматом и стимулирующие работу легких: мяту, эвкалипт, хвойные иголки и зеленые шишки, полынь.
Картинки в тему
«Фомам неверующим» картинки не доказательство — у них всегда найдется масса контраргументов. Но фото с сайтов и блогов практикующих патологоанатомов и судебных экспертов — не из разряда баек, а, увы, печальные свидетельства людской никотиновой глупости.
Все курильщики прекрасно знают, что в результате негативной привычки сильно страдает легочная система. Но очень немногие осознают уровень вреда, ведь легкие «спрятаны» в теле и с виду вроде все замечательно. Но если бы курящие люди увидели, как выглядят легкие курильщика и здорового человека, они бы ужаснулись.
Легочная система любителя подымить и приверженца здорового образа жизни различаются между собой, как день и ночь. Давайте совершим экскурсию в человеческое тело и наглядно убедимся в этом.
Очистить легкие курильщика — задача сложная, но посильная каждому
Патологоанатомы с легкостью определяют при вскрытии человека, баловался ли он при жизни сигаретами или нет. Взгляните сами на фото легких курильщика и здорового человека и сравните:
Сравнение легких курильщика и здорового человека
Здоровые легочные органы имеют чистый и приятный розовый оттенок с идеальным дольчатым рисунком, похожим на скопление небольших пирамидок . А легкие курильщика неприятны и отталкивающие. Визуально они похожи на куски подгорелого, закопченного мяса.
Легкие не только заметно отличаются по внешнему виду. Легочная ткань увлекающегося табаком человека обладает отличительными, характерными особенностями:
- Легочные сосуды ярко выражены и затенены.
- Своеобразный рисунок легких – с большим количеством слущенных элементов.
- Заметны разрастания лимфоузлов по причине накапливания в легочных отделах лимфатической жидкости, кальцитов и пыли.
- Корневая область легочных органов деформируется, так как соединительная ткань густо и активно разрастается. Это ведет к резкому расширению сосудов.
- В бронхах отчетливо заметны приобретенные из-за курения дефекты в виде полостных образований. Органы курильщика больше походят на решето.
- Если у здорового человека корни легких прямые, то у заядлых курильщиков они меняют свою форму и становятся извитыми и кривоватыми.
- В нижней части органов заметны явные просветленные участки – это выраженный признак легочной недостаточности. Чем он обширнее, тем дольше стаж у курильщика.
Такие отличия видны не только на изъятых из тела органах. Все деформации, изменения дыхательной системы врачам помогают определить и иные исследования:
- рентгенограмма, один из самых результативных анализов легких;
- флюорография, этот метод обследования менее информативный, но и его достаточно, чтобы выявить начало серьезных патологий.
Курение приносит непоправимый вред не только легким. От никотина страдает костная реберная ткань, диафрагма. Развитие злокачественных опухолей, туберкулеза, бронхоэктазов, хронического бронхита – это лишь малая часть болезней, которые становятся постоянными спутниками курящих .
К чему приводит курение
Действительно ли на легких курильщиков есть сажа
Далеко не все верят, что легочные органы любителей сигарет полностью покрыты слоем копоти. Люди склонны относить эту истину в разряд страшилок. Взгляните на реальные фото легких курящего человека, полученные после изъятия их из тела умершего:
Легкие, изъятые из тела умершего курильщика со стажем
Но даже это не убеждает упрямцев в том, что курение вредно. Как аргумент, приводятся факты о том, что даже и у некурящих личностей также отмечаются следы копоти на легких. Действительно, сажа откладывается со временем и у здоровых людей, особенно в следующих случаях:
- у жителей крупных мегаполисов;
- у работников, занятых на вредном производстве;
- у деревенских поселенцев в домах, обогревающихся печками;
- у водителей, занимающихся управлением дизельного транспорта.
По статистическим данным специалистов ВОЗ 80% обитателей крупных и средних городов дышит «тяжелым», загрязненным воздухом. Размер сажевых частичек, поглощаемых при дыхании, в среднем равен 0,01-10 микрон. Здоровые человеческие легкие могут отфильтровать и вывести из организма сажу размером до 5 микрон. Более крупные частички остаются в легочной системе.
Механика процесса загрязнения
Пирамидальный рисунок, который отчетливо виден на здоровых легких, образуется вторичными легочными дольками. Это области паренхимы (функциональная тканевая часть легких). Дольки разделены между собой перегородками чувствительной соединительной ткани. Эти перегородочки пронизаны лимфатическими мелкими сосудами и венами.
Именно в соединительной легочной ткани и происходит отложение копоти. В процессе накопления сажи перегородки становятся ярко выраженными, они будто очерчиваются черным фломастером.
У заядлых курильщиков сажа, попадающая в дыхательную систему, не только пропитывает соединительные перегородки, но и «оккупирует» всю легочную ткань . Копоть откладывается в просветах бронхиол, малых и крупных бронхов. Это главная особенность поражения легких никотином.
Из чего состоит сигарета
Как курение убивает легкие
Легочная система здорового и некурящего человека в состоянии самостоятельно справиться с нагрузками в виде поступающей пыли. Реснитчатая эпителиальная ткань регулярно очищает органы дыхания изнутри, «выталкивая» копоть, грязевые и пылевые частички наружу. Человек избавляется от них при помощи влажного откашливания.
Но с курением дела обстоят гораздо серьезнее. Никотиновый дым – это сильно концентрированная смесь, коктейль, состоящий из продуктов сгорания химически активных веществ и смол. Когда тяжелая взвесь проникает в легкие, она травмирует нежные реснички эпителия.
Что такое никотин
Эпителиальная реснитчатая ткань, выстилающая легочные органы изнутри, слипается и постепенно утрачивает свои очищающие функции. Сажа получает «зеленый свет», проникает вглубь органов и оседает уже на их глубинных частях.
Под влиянием хронического воспаления и травматизации реснитчатого эпителия бронхиальные стенки курильщиков расширяются, утрачивая эластичность.
В результате постоянного расширения бронхов в них формируются полости, где скапливается все шлаки, токсины, пыль, смолы, патогенная микрофлора. Резко падает иммунитет, а затем любитель сигарет «знакомится» с различными опасными патологиями.
Что ожидает курильщика
Это лишь начало деградации легких курильщиков. Следующим шагом становится:
- Полная гибель клеточек легочной функциональной ткани.
- Функциональная ткань постепенно замещается тканью соединительной.
- Процесс замещения вскоре переходит на альвеолярные стенки, отвечающие за газообмен.
- Постепенно альвеолы утрачивают эластичность и перестают нормально функционировать. У курильщика начинается дыхательная недостаточность.
Самый главный вред от никотина основан на опасном воздействии табачного дыма. Он содержит в себе ядовитые канцерогены, которые могут вызвать рост злокачественных клеток, спровоцировав рак. Остановить прогрессирование ракового заболевания легких практически невозможно. А вот очистить легочные органы вполне реально.
Восстановление легких курильщика
Регенерирующие и адапционные возможности человеческого тела мощные, но не беспредельные. Если рак еще не затронул легкие курильщика, у человека есть высокий шанс вернуть дыхательную систему в здоровое состояние .
Главное, что нужно сделать в первую очередь – забыть о сигаретах и не выступать даже в роли пассивного курильщика.
На полное и окончательное восстановление потребуется много времени – реабилитация занимает долгие годы. Но первый эффект бывший курильщик замечает уже спустя 3-5 суток. За это время восстанавливается реснички легочной ткани, и дыхательная система начинает интенсивно очищаться.
Шаги к здоровью
Начало работы по восстановлению органов дыхания заключается в создании благотворного стабилизационного режима. Нормализация окружающей обстановки – важный шаг на пути к здоровым, чистым легким. Что нужно сделать:
- Навсегда забыть о сигаретах. Это самое сложное, но необходимое. Ведь даже пассивное вдыхание сигаретного дыма способно свести «на нет» все усилия.
- Каждодневные прогулки. Даже в дождь, снег и ветер: подходящими станут скверы, парки, уютные зеленые участки вблизи речек. Даже в шумных мегаполисах обязательно отыщется тихий, зеленый дворик, где можно неспешно прогуляться.
- Регулярно и тщательно проветривать комнату. Свежий воздух оздоровительно воздействует на легкие. Будьте готовы к тому, что резко усилится кашель. Это нормальная физиологическая реакция, признак самоочищения легочных органов.
- Ежедневно проводить влажную уборку. Чем меньше пыли в воздухе, тем лучше для восстанавливающихся легких. «Влажное» условие особенно необходимо выполнять в комнатах, где есть кондиционер и работающая офисная техника.
Обязательно займитесь спортом, пусть не самым активным и дыхательной гимнастикой. Физические упражнения отлично стимулируют восстановительные и обменные процессы легочной системы. На что еще следует обратить внимание:
Рацион . Тщательно скорректируйте меню. Питание человека, который занимается очищением легких, должно быть грамотно сбалансированным, полноценным, с включением в меню продуктов, богатых на витамины и минеральные вещества.
Ежедневно употребляйте чеснок и хрен. Это натуральные мощные детоксиканты. Пряные овощи стимулируют восстановительные функции и помогает организму очищаться.
Поможет вывести из организма шлаки и пыль обилие жидкости. В этом периоде очень важно много пить (до 2-2,5 л чистой воды в день). Не забывайте о фруктах, овощах и зелени. Хорошо помогают очистить дыхательную систему следующие продукты:
- зеленый чай;
- куриный бульон;
- овсяная жидкая каша;
- теплое молоко с добавлением меда.
Медикаменты . Лекарственные препараты можно принимать только по рекомендации и с одобрения врача. Это специальные средства фитотерапии, которые помогают регенерационным процессам, происходящим в легких.
Хотите узнать, ради чего такие усилия? Взгляните, как выглядят легкие курильщика, фото до и после отказа от курения:
Сравните: слева легкие человека спустя год после расставания с сигаретами
Если мучает слишком сильный кашель – а он обязательно посетит бывшего любителя сигарет, можно использовать препараты, улучшающие функциональность легких (Сальгим, Хлорофиллит, Беродуал или Лазолван). Такие лекарства оптимально вводить в организм с помощью небулайзера.
Народная аптека . В борьбе за чистоту легких помогут отвары и настои из лекарственных растений: донника, шалфея, эвкалипта, смородиновых и березовых листьев, мяты, сосновых молодых шишек и хвои.
Обязательно предварительно проконсультируйтесь у врача и получите от него разрешение на использование народных рецептов. Некоторые растения обладают опасными побочными эффектами и подходят далеко не каждому.
Эти травы также можно использовать и в виде паровых ингаляций. Для ингалирования лучше подходят растения с ярко выраженным ароматом: мята, эвкалипт, шишки сосны, хвоя, можжевельник, туя. Восстановлению реснитчатого эпителия легких способствует отвар из равных частей трехцветной фиалки и душицы.
Как долго длится восстановление
Следует запастись терпением, чтобы полностью очистить легкие от копоти, смол и сажи. Чем больше стаж курения, тем дольше придется ждать восстановления дыхательной системы.
В среднем для полного очищения и регенерации легочных органов требуется 8-10 месяцев с момента выкуривания последней сигареты.
Будет лучше, если после полного отказа от курения человек полностью обследует свои легкие. Эти исследования и анализы помогут своевременно выявить начавшиеся патологические процессы в дыхательной системе и купировать их развитие.
Наберитесь терпения и выдержки. Ведь впереди бывшего курильщика ждет здоровая жизнь с чистыми легкими! Будьте здоровы!
При диагнозе пневмония рентген — единственный вариант выявить тяжелое заболевание. С его помощью также контролируют процесс посттерапевтической динамики.
В зависимости от расположения средоточия поражения органа и площади распространения патологии различают несколько морфологических форм воспалительных изменений: смешанную, очаговую, долевую, атипичную, интерстициальную, тотальную, сливную, крупозную. При этом рентгеносимеотика каждой из них различна.
Эффективность рентгенодиагностики при воспалении легких
Рентген считается стандартным методом диагностики, аналогов которому пока нет. Отсутствие кабинета флюорографии в сельских амбулаториях, районных участковых или фельдшерско-акушерских пунктах вынуждает врачей лечить пациентов «вслепую», что в большинстве случаев заканчивается ухудшением состояния или летальным исходом.
Воспаление легких иногда путают с туберкулезом, инфарктом легкого или саркаидозом — без рентгенологического исследования очень трудно поставить правильный диагноз.
Пневмонию в легких могут провоцировать бактерии, грибы или вирусы, поэтому антибиотики не всегда эффективны. Неоднократное сравнение того, как на рентгене выглядит пневмония после назначения определенных лекарственных препаратов, поможет выявить причину патологии и скорректировать лечение.
Рентгенодиагностика должна назначаться своевременно, при первых признаках, указывающих на воспаление легких или проявлений клинической симптоматики. Если исследование ничего не выявило, но у пациента продолжает наблюдаться кашель или хрипы, то врач, опираясь на вероятностный метод, диагностирует бронхит или ОРВИ.
Показания и противопоказания
Показаниями к проведению обследования является:
- кашель с обильным отделением мокроты;
- озноб, лихорадка, высокая температура тела;
- одышка;
- герпетическая инфекция на щеках и возле крыльев носа;
- увеличение лейкоцитов в крови.
При постановке диагноза «крупозная» или «очаговая» пневмония рентген снимки должны быть сделаны повторно для изучения динамики «плохих» затемнений.
Строгих противопоказаний для рентгена при пневмонии нет. Особенным ограничением является первый триместр беременности. Перед направлением на снимок врач учитывает пользу и вред от воздействия аппарата на будущего ребенка, а персонал рентген-кабинета максимально снижает уровень воздействия на женщину и плод, закрывая живот свинцовыми фартуками и сокращая время облучения.
Дополнением к рентгенографии врач может назначить:
- рентгеноскопию легких и межреберного пространства, что позволит оценить уровень подвижности ткани;
- линейную томографию, которая поможет избавиться от наложения затемнений структур грудной клетки;
- компьютерную томографию для мониторинга распространения изменений на весь орган.
Если у пациента подозревается пневмония, чтобы не спутать воспалительное заболевание с другими патологиями, рентген-расшифровка проводится специальным доктором. При воспалительном процессе наблюдается затемнение, контуры которого размытые и нечеткие в одном из участков легкого. Это обусловлено инфильтрацией ткани, пропитанной лейкоцитами, другими клеточными элементами и плазмой крови.
Пневмония фото рентген:
Для определения степени поражения и назначения соответствующего лечения необходимо заключение врача с использованием специально разработанного алгоритма анализа. Изучив качественные особенности снимка грудной клетки , специалист сможет подробно описать рентген легких при пневмонии фото которого будет свидетельствовать:
- об очаговой форме (затемнение наблюдается на небольшом участке);
- о сегментарной форме (пятна захватывают один или несколько сегментов легочной ткани);
- о крупозной или долевой форме (затемнение наблюдается в долях);
- о наиболее тяжелой форме — тотальной (затемнение затронуло все легкое целиком).
На площадь и район затемнения влияет стадия заболевания. В апогее воспалительного процесса пораженный участок легкого характеризуется незначительным снижением воздушности. Если в этот период сделать рентген легких фото будет выглядеть слегка затуманенным, будто покрытым дымкой.
Постепенно бактериальные токсины повышают проницаемость капиллярных стенок, и происходит более глубокая инфильтрация легкого, что проявляется на рентгене как затемненный участок интенсивно-темного цвета с размытыми контурами.
В идеальной клинической картине при наблюдении тенденции к улучшению состояния здоровья пациента область затемнения становится неоднородной, а ее размеры уменьшаются до тех пор, пока совсем не исчезнут. На практике рентген после пневмонии покажет следы воспаления: спайки, склеротические участки, соединительные тяжи и деформированный рисунок легочной ткани.
О том, стоит ли делать рентген ребенку, читайте . О том, чем различаются рентген и флюорография, можно узнать .
Расшифровка рентгенограммы
Расшифровка рентгена — непростая задача, требующая от специалиста опыта и внимательности, поскольку при проведении рентгенодиагностики исследованию поддаются костная основа (лопатки, ребра, грудина, позвоночник) и все органы, находящиеся в грудной клетке (плевра, легкие, сердце, щитовидная и вилочковая железы, сосудистый пучок).
Негативными фактороми в изображении, на котором проявляется пневмония, является плоскостность и невозможность без двухпроекционного исследования сделать окончательное заключение. Достичь эффекта объемной картины можно, просветив орган спереди и сбоку, чтобы адекватно оценить этиологию затемнения, исключив вероятность принять очаги воспаления за скопление воздуха или уплотнение тканей.
Расшифровка снимка начинается с оценки качества и правильности положения пациента во время исследования. Специалист всегда обращает внимание на размеры легких, их форму, структуру ткани и состояние воздушности. В тяжелых формах пневмонии, когда воспаление затрагивает плевру, вместо затемнения можно заметить светлую оболочку вокруг легкого и между долями.
Признаки воспаления легких оценивают поэтапно. Первый этап — определение участков затемнения , которые в зависимости от пораженной площади могут быть мелкими (меньше 3 мм), средними (3-7 мм), крупными (8-12 мм) и тотальными. Форма теней может быть неправильной, круглой, овальной, веретенообразной, кольцевидной. Интенсивность тени имеет большое значение: чем она выше, тем воспаление активнее.
Немаловажной является оценка корней легкого, кровеносных и лимфатических сосудов, плевральных синусов и диафрагмы. В итоговом заключении обязательно указывается структура очагов воспаления (однородная или неоднородная).
Здоровые легкие фото рентген:
Легкие здорового человека существенно отличаются от легких больного пневмонией, а их рентгеновский снимок можно описать следующим образом:
- отсутствие инфильтративных и очаговых теней в легочных полях;
- стандартную конфигурацию сердечной тени;
- мягкие ткани, реберно-диафрагмальные синусы и контуры диафрагмы без особенностей;
- корни и купола диафрагмы не расширены.
Чтобы быть уверенным в здоровом состоянии дыхательной системы, рекомендуется периодически делать рентген легких. При малейших подозрениях на развитие заболевания, данный вид обследования поможет выявить патологический процесс. Медики утверждают, что рентген позволяет определить наличие многих недугов, поражающих легочную систему, включая онкологические болезни. Специалисты для постановки диагноза должны знать, как выглядят органы в болезненном состоянии, и как – в здоровом.
Снимок легочной системы в болезненном либо здоровом состоянии, отображает идентичные структуры. На любом рентгеновском снимке можно увидеть:
- Легочные поля, располагающиеся по обе стороны от позвоночника.
- В центральной части – тень от главного органа – сердечка.
- Вверху — будет просматриваться ключица.
- В нижней зоне – верх диафрагмы.
- На изображении должна прослеживаться тень от ребер.
Взяв в руки снимок легких здорового пациента, врач сразу определяет состояние костей, тканей, других важных элементов, диафрагмы. Рентген в здоровом состоянии легких показан на фото.
Медицинские нюансы
Опытные специалисты утверждают, что, если рентгеновский снимок не выявил значительных патологических изменений в структуре органа, это еще не значит, что нет скрытых заболеваний.
Зачастую, медики пропускают такие данные на снимке, считая их незначительными:
- Мелкие воспалительные очаги, диаметром менее 2 мм.
- Небольшие, едва заметные осветленные линии.
- Утолщение стенок до 1 мм.
- Небольшие затемненные участки.
- Миниатюрные фокусные утолщения ткани в легких.
- Наличие жидкости в объеме менее 200 мл.
К сожалению, эти симптомы могут говорить о начале развития какого-нибудь опасного для жизни пациента недуга. Учитывая данный факт, врач должен знать, как выглядит рентген легких при пневмонии, туберкулёзе, воспалении у курильщика и человека, не злоупотребляющего пагубными привычками.
Как прочитать снимок здорового органа
Зная, как выглядят здоровые легкие на рентгене, врач должен знать, как сделать расшифровку и описание снимка.
Традиционный протокол описания здорового органа на рентгене должен включать в себя следующие пункты:
- Ясность и четкость легочных полей.
- Структурность и не расширенность корневой системы.
- Наличие четких контуров диафрагмы.
- В центральной части снимка обязательно четко должна прослеживаться тень от сердца.
- Мягкие ткани не должны выделяться наличием патологических процессов.
Патология на снимке
Если курильщик пришел на обследование, специалист должен знать, как выглядит рак легких на рентгене. Ведь зачастую, пациенты, курящие много лет подряд, подвергаются развитию онкологических заболеваний. Не менее редкой патологией, диагностируемой в процессе рентгенологического обследования, является пневмония. К сожалению, данному недугу подвергаются и взрослые пациенты, и дети. Пневмония на снимке проявляется небольшими очаговыми затемнениями, которые обязан распознавать специалист.
Как выглядит туберкулез легких на рентгене? Выявить это опасное заболевание должен уметь любой медик, работающий в рентген-кабинете. Туберкулез характеризуется на снимке очагами воспаления в верхней части легочных долей. В запущенной форме, на поверхности органа отмечаются множественные затемнённые участки, которые свидетельствуют о прогрессивности заболевания.
Еще одним опасным заболеванием, которое диагностируют с помощью рентгена, является онкология или рак. Как выглядят метастазы в легких на рентгене? Рак проявляется в виде сетчатых образований, располагающихся от корневой системы. Чем более запущенная форма болезни, тем усиленней и выраженней рисунок метастаз на снимке. На фото мы видим снимок легких с метастазами.
В заключении
Чтобы понимать, как выглядит снимок легких при воспалении, пневмонии, туберкулезе и других заболеваниях, специалист должен знать, как выглядит изображение здоровых легких.
Обычно, это чистый снимок, на котором не проявляются затемнения, просветы и другие нетипичные признаки. Если рентген легких содержит в себе любое отклонения от нормы, рекомендуется направить пациента на дополнительный осмотр.
Вконтакте
mexamoll.ru