Изменения в печени

Изменения в печени[Изменения в печени]

Симптомы диффузии паренхимы и что с этим делать

Очень часто в клинике можно услышать такое словосочетание  — диффузные изменения в печени. Большинство пациентов, пришедших на ультразвуковое обследование, не знают, что такое диффузные изменения печени, поэтому небезосновательно тревожатся таким диагнозом. Это значит, что патология  может спровоцировать серьезные заболевания, да и сама по себе является симптомов уже существующего недуга.

Диффузные изменения паренхимы печени нельзя выделить как самостоятельное заболевание, поскольку это состояние является симптомом ряда патологий, поражающих печень. В основном диффузные изменения имеют тенденцию к увеличению паренхимы. Характер таких изменений весьма разнообразен. Они могут быть склеротического, фиброзного, дистрофического или гипертрофического характера, однако подобные изменения всегда указывают на одно – поражение печени серьезным недугом. Чтобы определить, какой именно недуг привел к этой патологии и что означают диффузные изменения в печени, нужно пройти тщательное обследование у врача.

Признаки и причины

Диффузные изменения структуры печени  возникают вследствие различных недугов. Наиболее ощутимые негативные последствия приносят хронические недуги, в ходе которых печень длительное время подвергается деструктивным изменениям. Среди причин, которые поражают этот орган, отметим такие:

  1. гепатит  различного типа;
  2. цирротическое поражение;
  3. ожирение;
  4. колебания массы тела;
  5. злоупотребление алкоголем;
  6. длительный прием медикаментов;
  7. аутоиммунные патологии.

Подобные заболевания печени и нарушения ее работы встречаются у людей обоего пола в любом возрасте, поэтому изменение структуры печени грозит всем людям, страдающим вышеперечисленными патологиями. Например, у детей чаще всего умеренные диффузные изменения печени могут появиться после перенесенной желтухи или лечения лекарствами, а вот взрослые более подвержены циррозу или жировому поражению органа. В ряде случаев причины диффузных изменений паренхимы печени установить не удается. Поэтому врачи здесь подозревают влияние экологии на человека, а также возможен и наследственный фактор. В любом случае диффузные изменения в печени требуют тщательной и грамотной диагностики.

Очень долго проявлений диффузных изменений можно не наблюдать. Печень не дает о себе знать характерными симптомами – болью и тяжестью в правом подреберье, поэтому большая часть пациентов и вовсе не подозревает о том, что происходит с тканью органа.

Уже при выраженных нарушениях печень дает ожидаемую симптоматику, которая проявляется болью в правой стороне, тошнотой, постоянной тяжестью. При тяжелых поражениях (цирроз,  гепатит) этот орган дает более явные признаки диффузных изменений в печени:

  1. пожелтение кожи и склер;
  2. постоянные болевые ощущения с правой стороны;
  3. боль, отдающую в правое плечо.

Формы

Диффузные изменения классифицируются по нескольким признакам. В зависимости от объема поражений органа различают очаговую форму, локальную и тотальную. При   очаговой форме структурные изменения происходят в небольшом участке, он может быть отграничен здоровой паренхимой и патология остановится в своем развитии. При локальной форме диффузных поражений объем значительно больше – нарушения наблюдаются на значительном участке, а могут охватить и полностью одну из долей органа. Наиболее тяжелая форма – тотальная, когда поражена вся печень и не остается здоровой паренхимы.

Диагностика

Диагностировать изменение структуры печени можно эхоскопически при помощи ультразвукового обследования пациента,  а также путем биопсии. На узи можно определить размеры органа и установить отклонение от нормы, рассмотреть неровности в его структуре. По получении результатов исследования врач поставит предварительный диагноз и назначит препараты для лечения патологии.

Умеренно диффузные изменения встречаются чаще всего – это нарушение возникает в результате неправильного питания, после перенесенного ОРВИ, при отравлении. У большинства людей они проходят сами собой, если человек после перенесенного заболевания правильно восстанавливается.

Эхопризнаки диффузных изменений в печени могут быть и более угрожающими – ярко выраженными. В данном случае они провоцируются тяжелыми патологиями – гепатитом, хроническим панкреатитом, холециститом. Неправильное строение желчных протоков, общего печеночного протока, их узость, также может стать причиной диффузных изменений.

Кроме ультразвукового обследования лечащий врач назначает и дополнительные диагностические мероприятия, которые помогут прояснить картину патологии. Это значит, что одного только ультразвука может быть недостаточно. В качестве дополнительных исследований назначают:

  1. компьютерная томография;
  2. рентгенографическое обследование;
  3. анализ крови;
  4. анализ на антитела к гепатитам.

Изменения эхоструктуры на начальном этапе могут не потребовать лечения – достаточно будет лишь откорректировать питание и привычки больного. Протоковые изменения в печени в ряде случаев могут быть вариантом нормы, чаще всего это диагностируется у детей. При правильно организованном уходе за ребенком эхографические признаки диффузных нарушений через некоторое время исчезают.

Гепатозы

Диффузные изменения в ткани печени могут быть вызваны и невоспалительными патологиями, которые объединены в одну общую группу и носят название гепатозы. Вызываются они либо вредными внешними факторами, либо провоцируются наследственностью. Характерная особенность гепатозов – нарушение метаболизма в органе и дистрофия его клеток, а также отсутствие воспалительных процессов. Как и большинство патологий органа, гепатозы проявляются диспептическими расстройствами, желтухой и неспособностью выполнять свои функции. Диагностировать гепатозы можно также при помощи узи или мрт.

Среди всех гепатозов уверенное первенство держит жировая дистрофия – ее признаки обнаруживают в каждом четвертом результате биопсии, а у людей с излишней массой тела жировое поражение органа встречается почти в ста процентах случаев.

Меньше всего врачи сталкиваются с нарушением обмена билирубина – это редкая наследственная патология, лечения от которой и сегодня не существует.

Среди причин гепатоза можно назвать:

  • токсическое воздействие на орган;
  • злоупотребление алкоголем;
  • лишний вес;
  • патологии щитовидной железы;
  • сахарный диабет.

Эти заболевания ведут к некрозу гепатоцитов печени, что сразу же ведет к замещению гепатоцитов клетками жира, причем они могут откладываться как в самой паренхиме, так и за ее пределами.

Наследственные гепатозы чаще всего связаны с нарушением метаболизма билирубина или желчных кислот. Ведущую роль в данном случае будет играть дефицит продуцирования ферментов. Такие нарушения встречаются не часто – в среднем в 3 процентах случаев всех гепатозов.

Лечение

Лечение диффузных изменений в печени должно быть направлено в первую очередь на устранение причины, вызвавшей нарушения. Методика лечения выбирается в зависимости оттого, какая патология диагностирована у конкретного пациента. В случае, если причины экзогенного характера, то достаточно лишь устранить незначительные диффузные изменения в печени – перейти к рациональному питанию, перестать употреблять алкоголь, заняться спортом. Уже после устранения этих причин начнется медленное восстановление паренхимы. Дополнительно могут быть назначены гепатопротекторы – их состав благоприятно воздействует на гепатоциты.

При серьезных патологиях врачи назначают специальные препараты – гепатопротекторы, которые помогут защитить клетки органа от неблагоприятного внешнего воздействия. Гепатопротектор – хорошее средство для лечения патологий, однако могут понадобиться и противовоспалительные препараты, и витамины, и соблюдение специальной диеты. К лечению органа нужно подойти очень серьезно.

Если диффузные изменения в печени консервативным путем вылечить нельзя, то больного оперируют. Это является необходимостью при опухолях, кистах, метастазах, портальной гипертензии.

Важно помнить, что расстройства в работе появляются уже при серьезном поражении органа, поэтому лечение народными средствами применять нельзя – оно только усугубит течение заболевания и можно пропустить драгоценное время для медикаментозной терапии.

Профилактика

Чтобы у человека не появилось изменение паренхимы, чрезвычайно важна профилактика  заболеваний, которые вызывают подобные патологические отклонения. При этом вовсе не нужно принимать горы таблеток или пить другие лекарства – достаточно лишь выполнять простые правила:

  1. правильно питаться, балансировать рациона по основным показателям – белкам, жирам и углеводам;
  2. исключать сублимированные продукты, не пользоваться консервантами и загустителями, отказаться от фаст-фуда и жирной пищи;
  3. пить достаточное количество воды;
  4. питаться дробно и часто;
  5. заниматься спортом, гулять ежедневно на свежем воздухе;
  6. максимально исключить алкоголь, отказаться от табакокурения;
  7. при появлении первых негативных симптомов со стороны желудочно-кишечного тракта вовремя обращаться в клинику за лечением, чтобы устранить все возможные причины патологии.

Диета

Люди, страдающие патологиями органа, должны лечить диффузные изменения не только таблетками, но и при помощи диеты. Не стоить думать, что диета никак не влияет на печень – это один из основных этапов лечения, которым пренебрегать ни в коем случае не стоит.

Больному необходимо отказаться от жирных и жареных блюд, исключить консервацию и тяжелые для переваривания блюда. В основе рациона – белки и растительная пища. В день нужно пить не менее двух литров воды. Диета при диффузном изменении в печени является необходимым условием для выздоровления.

Прогноз

Важная составляющая прогноз при заболевании печени – лечение патологии. От своевременного и качественного лечения во многом зависит исход заболевания. Обычно врачи не дают обнадеживающих прогнозов только при раке  – гепатокарциноме и ее тотальном поражении, а остальные нарушения в той или иной мере можно остановить. Вопрос о качестве жизни с диффузными изменениями индивидуален.

Если удается исправить диффузные изменения на ранней стадии, то больной может жить нормальной жизнью, придерживаясь принципов здорового образа жизни. При очаговых поражениях диета будет более строгой, понадобятся дополнительные препараты для поддержания функции органа.

При обнаружении локальных изменений, не поддающихся терапии, возможна операция по удалению части органа, после которой пациенты живут, но с существенными ограничениями по питанию, физической нагрузке и т.д.

Тотальные поражения органа при обширном жировом гепатозе, стремительно развивающихся гепатитах и циррозе вызывают наибольшую трудность в лечении. Сегодня помочь таким пациентам не удается, смерть наступает в результате интоксикации организма, внутренних кровотечений, развития тяжелых инфекционных осложнений.

Диффузные изменения печени: причины, лечение, диета

Диффузные изменения печени не являются самостоятельным заболеванием. Изменение характеризуется увеличением основной ткани печени — паренхимы. Увеличение паренхимы может быть склеротического, гипертрофического, фиброзного и дистрофического характера. Изменение ткани печени является симптомом ряда заболеваний. Для определения причины возникновения диффузного изменения печени и тяжести поражения органа необходимо пройти тщательное обследование.

Причины увеличения паренхимы

Основной причиной нарушения работы печени является наличия заболеваний, которые постепенно прогрессируют. Также среди основных причин приводящих к изменению печени специалисты выделяют:

  • ожирение, жировая дистрофия;
  • гепатиты различных типов;
  • цирроз печени;
  • резкое изменение массы тела;
  • алкоголизм;
  • постоянный прием лекарственных препаратов;
  • аутоиммунные заболевания.

Диффузным изменениям печени подвержены люди не зависимо от пола и возраста. Такое изменение может встречаться и у детей, здесь  оно может развиваться на фоне заболевания желтухой или некоторых заболеваний.

Плохая экологическая ситуация, неправильное питание, вредные привычки могут спровоцировать изменения в структуре печени. Также одним из факторов является наследственность. Определить причину, установить точный диагноз и назначить эффективное лечение можно после тщательного обследования пациента.

Симптомы диффузного изменения печени

На начальных стадиях изменения в печени проходят практически бессимптомно. В большинстве случаев человек не обращает внимание на легкую тошноту или несильные боли в правом боку. Часто диффузные изменения печени обнаруживают на УЗИ, при диагностике другого заболевания, например, если болит поджелудочная железа, симптомы могут быть похожи.

Симптомы в более тяжелых случаях проявляются следующим образом:

  1. постоянная боль с правой стороны под ребрами;
  2. желтый цвет склер;
  3. изменение цвета языка и кожи вокруг глаз до желтого цвета;
  4. боль правого плеча.

Диагностика изменения печени

Основным методом определения изменения печени является ультразвуковая диагностика органа. При обследовании печени этим методом точно можно определить ее размеры, степень отклонения от нормальных размеров, увидеть увеличенные лимфатические узлы, бугорки и неровности.

Результаты исследования помогут специалисту поставить точный диагноз и назначить лечение.

Дополнительно врач может назначить дополнительные исследования:

компьютерная томография;

  • развернутый анализ крови;
  • рентгенографическое обследование;
  • анализ крови на все типы гепатита.

При начальной стадии изменения структуры печени возможно профилактическое лечение, включающее в себя переход к правильному питанию, избавление от вредных привычек, занятие спортом.

Изменение средней степени имеет обратимый характер при соблюдении строгой диеты и приема медикаментов или лечение народными средствами. В тяжелых случаях вмешательство врача и длительное лечение просто необходимо.

Признаки изменения печени при различных заболеваниях

Различные признаки изменения печени обнаруженные на УЗИ свидетельствуют о наличии различных заболеваний вызвавших эти изменения. Диффузные изменения печени обычно характеризуются снижением эхогенности органа. Повышение ее уровня свидетельствует об образовании в печени уплотнений.

  1. Признаки жировой дистрофии

При данном заболевании в клетках печени накапливается большое количество липидов и снижается ее способность функционировать в нормальном режиме. Обычно жировая дистрофия является сопутствующим заболеванием при сахарном диабете, нарушении обмена веществ и ожирении.

Диффузные изменения печени при данном заболевании выражены следующими признаками:

  • увеличение размеров органа;
  • изменение его формы;
  • печень не деформируется при надавливании на нее датчиком;
  • виден четкий рисунок вен органа;
  • рисунок получаемый при диагностике грубый и плотный.

Проявление признаков при циррозе за УЗИ зависит от тяжести заболевания. При циррозе происходит увеличение и рост соединительной ткани печени. Для этого заболевания наиболее характерными признаками являются:

  • на начальных стадиях заболевания — печень увеличивается в размерах. При более поздних стадиях заболевания наблюдается уменьшение размера печени, вплоть до значительного сморщивания;
  • поверхность печени неровная;
  • степень эхогенности высокая.
  1. Патология печени при заболевании ребенка

У ребенка, как и у взрослого диффузные изменения печени могут быть обусловлены ожирением и возникновением цирроза. Также на ее состояния влияют генетические и врожденные заболевания, а именно:

  1. сердечная недостаточность вызванная врожденным пороком сердца;
  2. инфекции передаваемые от матери к ребенку в период вынашивания;
  3. опухоли с метастазами;
  4. опухоли печени;
  5. нарушения метаболических процессов в организме.

Лечение диффузных изменений печени

Лечение изменений и восстановления функции печени необходимо начинать с устранения причин вызвавших его. Способ лечения выбирается исходя из типа заболевания. Если изменение печени вызвано длительным употреблением алкоголя, приемом лекарства или ожирением, то достаточно устранить эти факторы. После этого начинается восстановления печени. Для этого применяются препараты содержащие гипопротекторы, восстанавливающие ткани органа.

В других случаях применяют оперативное или консервативное лечение. Оперативное вмешательство применяют при тяжелых случаях изменения печени:

  • опухоль печени;
  • киста печени;
  • метастазы;
  • портальная гипертензия.

В остальных случаях применяют медикаментозное лечение.

При любых заболеваниях вызвавших изменение структуры печени необходимо соблюдать строгую диету и отказаться от некоторых продуктов. Для больного главными продуктами на столе должны стать отварная рыба и мясо, нежирные молочные продукты, сухари, супы, овощи, каши, варенные яйца, а также не сладкий чай и компот.

При восстановлении печени пациенту не рекомендуется употреблять в пищу жирные бульоны, мясо и рыбу, копченные продукты, сладости, грибы и бобовые.

Следует учесть, что диета способна уменьшить проявления изменений печени, однако полностью восстановить ее функцию можно только при помощи медикаментов.

Лечение печени народными способами

Хороший эффект и облегчение у больного вызывает процедура чистки печени. В результате орган уменьшается, его структура становиться более однородной, уменьшается боль в правом боку. Делать чистку можно лишь при отсутствии каких-либо противопоказаний со стороны врача. Кстати, лечение травами поджелудочной железы и печени можно совместить, и это будет отличный комплекс.

Для чистки печени применяют овес, кукурузные рыльца, листья брусники, фенхеля, почки березы, шиповник, мята. Эти растения используют как совместно, так и по отдельности в виде отваров.

При проблеме с печенью необходимо включить в рацион пациента пищу богатую витаминами группы В. Большое количество этого витамина содержится в абрикосовых косточках. Достаточно съедать в день до 10 ядер, чтобы обеспечить организм дневной нормой витамина В.

Хорошим средством для восстановления печени является мед настоянный в тыкве. Для его получения необходимо взять небольшую тыкву, вынуть из нее семечки и мякоть и наполнить медом. Поставить на три недели в темное место. Через три недели мед необходимо слить в стеклянную емкость и поставить в холодильник. Принимать мед необходимо трижды в день по чайной ложке.

При лечении народными средствами необходимо запастись терпением и не прерывать лечение. Для восстановления функции печени может понадобиться не один курс приема средств. Однако положительный результат будет гарантированно уже после завершения первого курса лечения народными средствами.

Как лечить диффузные изменения печени

Если вам диагностировали диффузные изменения печени, первый вопрос, который вы задаете: это страшно? Большинство врачей единодушны во мнении, что приятного здесь, конечно, мало, но все же это не приговор. По своей сути такие изменения показывают ту или иную степень изношенности печеночной паренхимы – основной ткани органа. На начальной стадии состояние можно контролировать с помощью корректировок питания и образа жизни. Более серьезные изменения требуют ряда дополнительных диагностических исследований. Важно понимать, что диффузные изменения — не диагноз, а симптоматика. Чем быстрее будет установлена причина дисфункции, тем лучше. А потому не пренебрегайте рекомендациями лечащего врача провести ряд тестов на предмет этимологии изменений. Диффузии могут быть набухающими, склеротическими, иногда – гипертрофическими или наоборот, дистрофическими. В любом случае, своевременно выявленная причина их возникновения – залог правильного лечения.

Вам понадобится

  • — Диагностические исследования;
  • — изменение пищевых привычек и образа жизни;
  • — отвары лекарственных растений;
  • — БАДы;
  • — гепатопротекторы.

Инструкция

Если на ультразвуковом исследовании у вас диагностировали диффузные изменения печени и врач, изучив анамнез, пришел к выводу, что их этимология вызвана злоупотреблением алкогольными напитками, постарайтесь хотя бы немного снизить частоту возлияний. Надо ли говорить, что такие изменения – это даже не первый звоночек, а почти «колокольный звон», сигналящий о возможном развитии цирроза печени, который является одним из самых частых осложнений хронического алкоголизма. Да, советовать – значительно легче, чем сократить частоту и объем употребляемых алкогольных напитков. Вам решать. Но помочь своей печени остановить диффузные изменения можете только этим. Какой смысл в их лечении, если без постепенного избавления от данного пристрастия благодатная почва для разрушения печени остается. Тоже самое относится к людям, имеющим выраженную никотиновую зависимость. Пары веществ, содержащихся даже в самых лучших сигаретах, разрушают печень не меньше, чем алкоголь. Подумайте, что для вас важнее, потом попробуйте принять верное решение. Вторая по частоте причина изменений ткани печени – ожирение. И в этом случае не тяните с определением глубины поражения печеночной паренхимы. Лечение врач направит, прежде всего, на основной недуг. Когда он будет взят под контроль, диффузные изменения замедлят развитие или вовсе пройдут. Жировая ткань не только скрывает красоту вашего тела, но и покрывает «панцирем» внутренние органы, в частности – печень. Лечить диффузные изменения без устранения причины – тоже мало толку. Возможно, ваш индекс массы тела находится в норме, вместе с тем доктор определил, что у вас печеночная диффузия. Подумайте, очень может быть, что ваш образ жизни не предполагает более-менее сбалансированного питания? Или едите в разное время, иногда пропуская приемы пищи, иногда – «за троих»? Или в меню продукция кулинарий, не всегда обеспечивающих качество? Или часты перекусы всевозможными снеками? Вариантов дисбаланса рациона множество, почти все они могут привести к диффузным изменениям. В этом случае врач в качестве лечения назначит диету, богатую полноценными белками и клетчаткой. К примеру, для укрепления клеток печени хорошо зарекомендовали себя БАДы на основе экстракта артишоков, масло и мука из семян расторопши, цикорий. Вам стоит отказаться от привычного образа жизни, и клетки паренхимы непременно восстановятся, а при следующем обследовании от проблемы не останется и следа. При исследовании печени обязательно предупредите врача, если принимаете какие-нибудь сильнодействующие фармакологические препараты. Так вы поможете точней определиться с природой диффузных печеночных изменений. К сожалению, бывают ситуации, при которых терапия основного заболевания является чуть ли не единственной, бросить ее или поменять нельзя. Тогда для уменьшения диффузных изменений врач пропишет поддерживающее лечение – например, прием отвара овса или кукурузных рылец, незаменимых при восстановлении печени. Обязательно пройдите ряд уточняющих исследований. Печеночные изменения могут сигнализировать и о проблемах с другими внутренними органами. Довольно часто диффузии паренхимы или, скажем, стенок протоков печени могут свидетельствовать о болезнях почек, поджелудочной железы, селезенки, желчного пузыря. К примеру, при весьма распространенном затруднении оттока желчи в пузыре начинается длительный вялотекущий воспалительный процесс. Он может протекать без явной симптоматики, пока однажды проблема не даст о себе знать сильной болью в правом подреберье. Но даже если этого не случится, практически с первых дней дискинезии клетки печени претерпевают заметные изменения, которые через какое-то время оборачиваются диффузиями. Вот почему нельзя игнорировать направление к гастроэнтерологу (или гепатологу). Укрепляйте здоровье. Повторим, вспомогательным лечением печеночных диффузий практически всегда является диета, отказ от вредных привычек, хотя бы умеренное занятие спортом. Если последнее вызывает скептическую усмешку, попробуйте каждый вечер проходить несколько остановок пешком. (Да, не все из нас готовы купить спортивную форму и записаться в тренажерный зал, но уж на такую-то мелочь может уговорить себя каждый!) Сдайте клинический анализ крови. Иногда его бывает достаточно, чтобы диагностировать наличие в организме воспалительного процесса — более чем распространенной причины печеночных диффузий. Пропейте курс соответствующих препаратов. Своевременная диагностика воспалений способна уберечь от серьезных проблем с печенью в будущем. При рекомендации врачом курсового приема гепатопротекторов, послушайте его. Даже если покажется, что такая длительная терапия вам ни к чему, все же доверьтесь мнению профессионала.

Обратите внимание

Проблемы с печенью часто возникают при злоупотреблении алкоголем.

Полезный совет

Если обнаружены печеночные диффузии, не отказывайтесь от уточняющей диагностики.

Диффузный зоб щитовидной железы сопровождается и характеризуется увеличением размеров органа и повышением его функций. Это обусловлено тем, что вырабатывается достаточно большое количество тиреоидных гормонов, которые непосредственно влияют на работу всех внутренних органов и систем человеческого организма.

Основными симптомами заболевания являются учащение сердцебиения, быстрая утомляемость, общая слабость организма, повышенная нервная возбудимость, нарушения или отсутствие сна и т.д. Многие люди на начальной стадии болезни могут терять вес при достаточно хорошем аппетите. Диффузный зоб очень часто называют Базедовой болезнью, которая сопровождается пучеглазием и существенным увеличением шеи. Также явный признак нарушения эндокринной системы — это повышенная потливость при минимальных физических нагрузках.

Точные причины развития заболевания не установлены до сих пор. Но, как правило, диффузный зоб может появиться при систематических стрессовых ситуациях, после инфекционных заболеваний верхних дыхательных путей (ангина), при чрезмерном пребывании под прямыми солнечными лучами и т.д. Также приводит к увеличению зоба низкий уровень экологической безопасности, пониженное содержание йода в продуктах и питьевой воде, употребление некачественных продуктов (особенно, с содержанием канцерогенов).

Конечно же, если у вас обнаружили диффузный зоб, необходимо выбрать оптимальный комплекс лечения, который зависит от стадии заболевания и от индивидуальных особенностей организма пациента. Прежде всего, это правильно подобранная диета. Следует отметить, что при нарушениях эндокринной системы необходимо повысить ценность суточного рациона питания (до 3700 Ккал). Большую часть составляют углеводы. Нельзя обойтись и без витаминов (тиамин, ретинол), которые необходимы для активизации процессов метаболизма углеводов. Целесообразно включать в рацион большое количество морепродуктов (морская капуста, креветки, крабы), так как в них содержится много йода, недостаток которого и является одной из основных причин появления зоба.

Чтобы удалить диффузный зоб 1 степени, нужно обратиться к специалисту. Как правило, для лечения применяется терапия с использованием тиреостатиков, йодовая терапия и хирургическое вмешательство с последующей реабилитацией. Тут необходимо учитывать сложность и течение заболевания. При терапевтических методах используются препараты с содержанием йода и тиреостатики. Первая группа препаратов назначается, как правило, на курс 2-3 недели, после чего нужно сделать перерыв. Вторая группа применяется на протяжении длительного времени, так как целью лечения является не только уменьшение зоба, но и устранение всех признаков.

Существуют и народные средства, которые позволяют избавиться от неприятных симптомов и самого заболевания или отклонения в работе щитовидной железы. Первым рецептом является прием по чайной ложке порошка из морской капусты в течение месяца. Также можно употреблять мякоть фейхоа, смешанную с сахарным песком в равных долях, натощак по 2-3 столовые ложки. Эффективным способом является лапчатка, из которой можно приготовить настойку. Для этого возьмите 1-2 чайные ложки сушеной травы и залейте половиной литра кипятка. Употребляйте приготовленный настой в течение дня, разделив на равные порции (по половине стакана).

Целесообразно для более быстрого и эффективного лечения соблюдать здоровый образ жизни, не исключать физические нагрузки, необходимые для нормального функционирования организма человека. Гораздо проще предотвратить заболевание, нежели его в дальнейшем лечить и устранять негативные последствия, которые могут наложить отпечаток и на другие органы и системы человеческого организма.

Видео по теме

Источники:

  • Что такое диффузный зоб
  • если у тебя зоб

Миокард — это поперечнополосатая сердечная мышца, выполняющая функцию сокращения сердца и перекачивания крови по организму. Поражения, затрагивающие ее мышечные клетки, называются диффузными изменениями миокарда.

Диффузные изменения миокарда различаются по природе происхождения, симптоматике и качественному изменению клеток. ЭКГ (электрокардиограмма) в данном случае будет показывать повсеместное возникновение патологии. Диффузные изменения миокарда могут развиваться при миокардите, дистрофии миокарда, миокардиосклерозе, тяжелых физических нагрузках, нарушении водно-солевого обмена, приеме некоторых лекарственных средств.

Диффузные изменения в сердечной мышце при дистрофии не имеют связи с воспалительными поражениями. В данном случае они развиваются в результате сбоев химических и биофизических процессов, ответственных за работу сердечной мышцы. Подобные поражения мышечных клеток являются обратимыми. Умеренно выраженные диффузные изменения миокарда могут проходить бессимптомно и выявляются только на ЭКГ. Серьезные расстройства сопровождаются неприятными ощущениями в области сердца, одышкой, утомляемостью.

Дистрофия миокарда – это сопутствующее заболевание (к авитаминозу, миастении, миопатии, гипоксемии). В данном случае необходимо выявлять и устранять основную проблему.

Диффузные изменения миокарда могут развиться как осложнение после инфекционных заболеваний (дифтерия, ревматизм, грипп, тиф, туберкулез и др). При этом наблюдается воспаление сердечной мышцы, морфологическое изменение ее клеток, которое называется «миокардит». Некоторые виды миокардита протекают без симптомов, в других случаях наблюдается слабость, перебои или усиление сердцебиения, боли в области сердца.

Терапия миокардитов основана на выявлении и устранении фактора, вызвавшего воспаление. После этого проводится лечение, направленное на устранение последствий и нормализацию работы сердца.

Поражения сердечной мышцы могут быть вызваны миокардиосклерозом. При этом заболевании соединительная ткань начинает замещать мышечные клетки сердца, а это приводит к изменению его клапанов. Симптомами этого заболевания является одышка, тахикардия, ночной кашель, слабость, отеки ног, скопление жидкости в брюшной полости и в легких.

Лечение миокардиосклероза заключается в устранении основного заболевания, ставшего причиной этой патологии сердца. Усилия терапии также направляют на сохранение оставшихся волокон миокарда и улучшение их состояния. Принимают меры по ликвидации сердечной недостаточности, больной должен соблюдать специальную диету и ограничивать физические нагрузки.

Заключение по данным УЗИ «диффузные изменения поджелудочной железы» не является диагнозом. Это всего-навсего отклонения от нормы, вызванные какими-либо воздействиями на поджелудочную железу.

Заключение «диффузные изменения в поджелудочной железе», как правило, означает, что у пациента имеются равномерно распределенные (диффузные) изменения при отсутствии более серьезных патологий — камней, опухолей, кист. Подобные изменения при ультразвуковом исследовании могут быть выявлены во многих органах. Во время проведения УЗИ на мониторе видно, что здоровая поджелудочная железа в норме имеет однородную структуру, а при появлении различных заболеваний обнаруживается ее уменьшение, увеличение, пониженная или повышенная плотность, очаговые изменения. Врач обязательно проверяет состояние других органов пищеварения, поскольку основное заболевание может скрываться в желчевыводящих путях или в печени. В поджелудочной железе в данном случае обнаруживаются реактивные изменения (реакция на болезнь другого органа).

Поставить точный диагноз на основании одного заключения нельзя. Чтобы уточнить, почему поджелудочная диффузно изменена, потребуются дополнительные исследования. К ним относится биохимический анализ крови, по нему делают вывод о функциях печени и поджелудочной железы. Необходимо сделать общий анализ крови, с помощью которого выявляют признаки воспалительных процессов. Для уточнения состояния общего выводного протока поджелудочной железы и желчевыводящих путей выполняется эндоскопическое исследование двенадцатиперстной кишки. Этот метод диагностики позволяет рассмотреть слизистую оболочку этого органа. Данные всех исследований должен проанализировать гастроэнтеролог или терапевт, после этого устанавливается окончательный диагноз.

При выполнении УЗИ поджелудочной железы могут выявляться следующие диффузные изменения: диффузное снижение плотности ткани, эхогенность снижена при нормальных размерах поджелудочной железы. Подобные нарушения могут свидетельствовать о развившемся хроническом панкреатите, который развивается при нарушениях переваривания жирной пищи. Диффузное повышение эхогенности поджелудочной железы нормальных размеров может говорить о липоматозе этого органа — частичном замещении тканей жиром. Подобное заболевание иногда развивается у пожилых людей с сахарным диабетом.

Диффузные изменения поджелудочной железы с увеличением плотности и усилением эхогенности при уменьшенных или нормальных размерах этого органа характерны для фиброза – замещения ткани органа соединительной тканью. Фиброз развивается в результате воспалительных процессов или при нарушениях метаболизма. Диффузное понижение плотности, снижение эхогенности с одновременным увеличением поджелудочной железы характерно для острого панкреатита. Болезнь развивается при нарушениях оттока пищеварительного сока, в этом случае он начинает переваривать ткани поджелудочной железы, она становится отечной и увеличивается в объемах.

Пневмосклероз является заболеванием, в результате которого в легких начинает образовываться соединительная ткань, вызывающая деформацию бронхов, изменение структуры легких и их уменьшение, что сказывается на способности человека дышать. Пневмосклероз может возникнуть у любого человека, однако чаще всего данное заболевание встречается у мужчин.

Перед назначением лечения врач должен произвести дифференциальную диагностику заболевания, которая осуществляется путем назначения различных исследований, основывающихся на жалобах больного. Пневмосклероз проявляется одышкой, которая сопровождается частым сухим кашлем. Появление проблем с дыханием при выполнении физических нагрузок – первый этап в развитии заболевания. Впоследствии болезнь проявляется и в состоянии покоя и может сопровождаться болями в груди и общей слабостью пациента. Чтобы не получить пневмосклероз, следует избегать заболеваний дыхательной системы, переохлаждений, а также вовремя лечить пневмонию, простудные заболевания и бронхиты.

Пневмосклероз приводит к эмфиземе и вызывает легочную недостаточность. В бронхах начинают происходить воспалительные процессы, а потому у больных со временем начинается отделение мокроты. При застое мокроты развивается хроническая пневмония и бронхоэктазии. Диагностика заболевания проводится как правило при помощи рентгенологического исследования.

Лечение диффузного пневмосклероза основывается на избавлении от заболеваний, которые спровоцировали его появление. Обычно используется консервативная медикаментозная терапия. В некоторых случаях возможно применение методов народной медицины. Для лечения врачи назначают отхаркивающие муколитические препараты, которые разжижают мокроту и способствуют ее выводу из организма. Для избавления от симптома одышки могут помочь бронхоспазмолитические лекарства. При недостатке кровообращения в легких назначаются препараты из группы сердечных гликозидов, а для избавления от симптомов аллергической реакции выписываются лекарства из группы глюкокортикоидов. Если заболевание возникает в результате пневмонии или бронхитов, врачам следует провести антибактериальную терапию с применением антибиотиков.

Лечение может включать в себя занятия лечебной физкультурой. Некоторые специалисты назначают физиотерапевтические процедуры с применением массажа грудной клетки. Также улучшают состояние больного регулярные закаливания. При этом пациенту необходимо отказаться от употребления алкоголя и курения. Хирургическое вмешательство назначается в случае перехода заболевания на позднюю стадию при появлении нагноений в легких и формировании фиброзов и циррозов тканей.

Для лечения народными средствами специалисты рекомендуют употреблять в пищу свеклу, которая имеет в своем составе большое количество витаминов и минеральных солей, способных положительным образом сказаться на заживлении тканей бронхов. Также от пневмосклероза можно вылечится раствором молока и шалфея. В 1 стакан молока добавляется столовая ложка шалфея, после чего полученная смесь доводится до кипения на медленном огне. После этого отвар остужается, процеживается и снова доводится до кипения. Приготовленную смесь необходимо употреблять перед сном. Также позитивно на заживлении бронхов сказывается употребление меда.

При заболеваниях органов пищеварительной системы большинство людей приходят на прием к терапевту или гастроэнтерологу. Меж тем, если речь идет о печени и желчном пузыре, помощь может оказать врач более узкой специализации — гепатолог.

Название «гепатолог» происходит от латинского hepar, что значит «печень». В область работа врача-гепатолога входит диагностика, лечение и профилактика заболеваний печени и желчной системы. Существуют и детские гепатологи, ориентирующиеся в особенностях строения и развития желчного пузыря и печени в раннем возрасте. Наиболее часто к гепатологу обращаются люди, больные гепатитом. Гепатиты представляют собой воспалительное заболевание печени, вызванное инфекцией, длительной алкогольной интоксикацией или приемом лекарств, пищевым или химическим отравлением, заражением паразитами. Основными признаками гепатита являются пожелтение кожи и склер глаз, светлый цвет стула и потемнение мочи. Однако многие заболевания печени имеют схожие с гепатитом симптомы. Именно врач-гепатолог на основании знаний в области токсикологии, анатомии внутренних органов, фармакологии и физиологии способен дифференцировать болезни, характеризующиеся кожным зудом, нарушениями сна и утомляемостью, друг от друга.

Среди других болезней, с которыми пациенты обращаются к гепатологу, также: цирроз печени, токсоплазмоз, болезнь легионеров, камни в желчном пузыре, энтеровирусные гепатиты, гемохроматоз, синдром Жильбера, лептоспироз, астено-вегетативное расстройство и другие.

Если в процессе диагностики заболевания обнаружены злокачественные опухоли печени и желчной системы, врач-гепатолог перенаправляет больного на лечение к онкологу. Болезни, при которых диагностируется общее расстройство работы пищеварительной системы, являются основанием для перенаправления пациента к врачу-гастроэнтерологу.

При первичной диагностике у гепатолога вас попросят сдать общий анализ крови и мочи и биохимический анализ крови. Также возможно ультразвуковое и радиологическое исследования печени и желчного пузыря.

Последующие виды диагностики в зависимости от симптомов заболевания могут также включать: анализ кала на стеркобилин; анализ крови для определения уровня эритроцитов и ретикулоцитов; компьютерную томографию печени, магнитно-резонансную томография печени и желчного пузыря; анализы крови на наличие герпеса, вируса Эпштейна-Барра, цитомегаловируса; биопсию печени; электроэнцефалографию. А в случае подозрения на вирусный гепатит группы E у больного исследуется моча и кровь на уровень гемоглобина в их составе.

Для своевременного выявления и лечения заболеваний печени и желчного пузыря к врачу-гепатологу необходимо обратиться в случае возникновения следующих симптомов: кровоточивость десен, боли в животе, ухудшение концентрации внимания, сонливость и быстрая утомляемость, светлый цвет кала, потемнение мочи, желтый цвет кожных покровов и склер глаз, боль в суставах, тошнота, помутнение в глазах, повышение температуры и увеличение объемов живота.

Распечатать

Как лечить диффузные изменения печени

Статьи медицинского характера на Сайте предоставляются исключительно в качестве справочных материалов и не считаются достаточной консультацией, диагностикой или назначенным врачом методом лечения. Контент Сайта не заменяет профессиональную медицинскую консультацию, осмотр врача, диагностику или лечение. Информация на Сайте не предназначена для самостоятельной постановки диагноза, назначения медикаментозного или иного лечения. При любых обстоятельствах Администрация или авторы указанных материалов не несут ответственности за любые убытки, возникшие у Пользователей в результате использования таких материалов.

Признаки диффузно очаговых изменений печени

Видя в своей истории болезни запись «диффузные изменения печени», больной человек сразу пугается, потому что не представляет себе, что это такое и чем может ему грозить.

В действительности же, если речь идет о диффузных изменениях паренхимы печени, то это не говорит о наличии какого-то конкретного заболевания.

Что такое диффузные изменения?

Сначала нужно выяснить, что означают диффузные изменения печени у больного человека, какие у них признаки, чем вызываются и как проводить лечение.

Паренхима – это то, из чего состоит печень, ее основная ткань. Паренхима пронизана множеством кровеносных капилляров.

По ней идут желчные сосуды, которые поставляют желчь из печени в желчный пузырь.

Определить, что случилось что-то нехорошее можно, фиксируя эхопризнаки диффузных изменений печени.

Диффузия – это взаимопроникновение различных частиц в случае их взаимодействия между собой. Диффузия происходит постоянно, в том числе и в человеческом организме.

Однако под воздействием разных отрицательных факторов происходят диффузные изменения паренхимы печени, когда гепатоциты начинают работать неправильно, и в органе начинается наращивание соединительной и жировой ткани.

Здоровые клетки при этом постепенно отмирают, а структура печеночной ткани принимает неоднородный состав. В этом случае говорят о диффузных изменениях ткани печени.

Зафиксировать этот процесс можно на УЗИ. В нормальном состоянии паренхима имеет слабоэхогенное строение.

В том случае, если были установлены эхографические признаки диффузных изменений печени, то лекарства врач назначать сразу не будет.

Необходимо провести дальнейшее обследование эхоструктуры желчного пузыря, желчевыводящих протоков и других пищеварительных органов, чтобы понять, насколько они затронуты воспалительными процессами.

Диффузные изменения печени и поджелудочной железы могут быть незначительные и выраженные.

В последнем случае отмечается сильное поражение печени и замена здоровых гепатоцитов на жировую или соединительную ткань.

Если при ультразвуковом исследовании наблюдается неоднородность состава паренхимы, то тогда говорят о диффузно-очаговых изменениях печени.

Умеренные диффузные изменения печени зачастую бывают и после перенесенного острого респираторного вирусного или бактериального заболевания.

Поэтому лечащий врач всегда спрашивает больного о перенесенных им недавно болезнях.

Признаки и первопричины диффузных изменений

Довольно часто случается ситуация, когда человек совершенно не ощущает никаких признаков диффузных изменений – проявление болезни полностью «смазано».

Однако неправильная работа организма при печеночной недостаточности может сопровождаться такими признаками, как:

чувство тяжести и тошноты после принятия пищи;видимый невооруженным глазом рост печени в размерах;постоянный неприятный «металлический» привкус во рту, особенно сильный по утрам;моча становится темного цвета, кал, наоборот, обесцвечивается;ничем не спровоцированные кожные высыпания, зуд;слабость, раздражительность, головокружение, общее состояние недомогания;принятие кожными покровами желтушного цвета, может пожелтеть даже язык.

Основной же симптом того, что у человека происходят диффузные изменения паренхимы печени – это резко выраженные болевые ощущения в правом подвзошье.

Эти грозные признаки являются поводом для немедленного визита к врачу, который назначит проведение необходимых исследований и сдачу анализов.

Диффузные изменения структуры печени могут свидетельствовать о:

циррозе;гепатитах A, B и C;склерозирующем холангите;доброкачественных и злокачественных опухолях;паразитарных инфекциях.

Таким образом, медлить с лечением и думать, что «все само рассосется», ни в коем случае нельзя. Причины, которые приводят к диффузным изменениям, в целом, известны всем.

неправильный рацион питания (жирная, соленая, острая пища);злоупотребление алкогольными напитками;наличие лишнего веса;сахарный диабет по 2 типу;глистные инвазии;нарушения гормонального фона организма, приводящие к неправильному обмену веществ в нем;дисфункции щитовидной железы;постоянный прием медикаментозных средств (антибиотиков).

Наиболее часто встречающейся причиной диффузных изменений паренхимы печени и поджелудочной железы является пьянство.

При нормальной работе печень человека, эта уникальная биохимическая лаборатория, может нейтрализовать практически все токсины, поступающие в организм при отравлении, употреблении лекарств и курении.

Однако в тех случаях, когда в организм попадает «ударная» доза отравляющих веществ, она не справляется со своей работой, особенно, если токсины поступают регулярно, в течение нескольких месяцев и даже лет.

Кроме алкогольных напитков, причиной диффузных изменений печени и поджелудочной железы могут стать так называемые энергетики.

Они еще быстрее водки приводят к дисфункции внутренних органов из-за огромного количества отравляющих веществ.

Даже употребление энергетика 1 раз в неделю через год может привести к сбоям в работе этого органа.

Неумеренное желание похудеть, проба самых разных, зачастую взаимоисключающих диет, является второй по частоте причиной печеночных заболеваний.

Длительные периоды голодания, постановка клизм, прием мочегонных чаев приводят к перерождению гепацитов.

При этом люди, вроде бы старающиеся правильно питаться, с удивлением констатируют у себя признаки диффузных изменений.

Фасциолез и провоцирующий развитие этого паразитарного заболевания печеночный сосальщик, приводят к болезням паренхимы.

Поскольку это заболевание является трудно диагностируемым, паразит может обитать в печени человека десятки лет, приводя, в конце концов, к диффузным изменениям ее тканей.

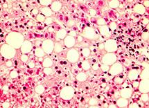
Гепатозы и их диагностика

Все эти негативные факторы являются причиной сбоев в работе гепатоцитов. У них фиксируются так называемые дистрофические изменения, которые приводят к замещению здоровых тканей.

При жировой инфильтрации сначала отдельные участки, а потом, при запущенных заболеваниях, практически вся паренхима заменяется тканью по типу жировой.

Врачи при этом говорят, что у больного констатируются диффузные изменения печени по типу гепатоза.

Гепатозы – это общее название болезней печени, которые характеризуются тем, что здоровая ее ткань заменяется жировой и соединительной.

Сначала она еще может восполнять гибель здоровых клеток, но затем, из-за избытка токсинов, поступающих в организм, в печень начинают проникать жировые клетки, которые она не смогла уничтожить.

И вот уже их становится больше, чем здоровых, гепатоциты гибнут, печень становится больше за счет роста жировых клеток и начинает работать со сбоями. Жировые клетки при этом могут перерождаться в злокачественные.

Если гепатозы не лечить, то в запущенном состоянии болезнь может перейти в следующую стадию – фиброз, а за ней и в цирроз.

Наиболее распространенными являются диффузные изменения печени по типу стеатоза. Стеатоз – это подвид гепатоза, характерный тем, что паренхима заменяется именно жировой, а не соединительной тканью.

Стеатоз диагностируется в том случае, если более 10% здоровой ткани печени превратилось в жировую.

Диффузный стеатоз считается коварным заболеванием – в течение очень длительного времени он ничем себя не проявляет, человек не испытывает никаких признаков болезни.

При этом печень постепенно меняет свою структуру, жировых отложений в ней становится все больше и больше.

Диффузные изменения печени по типу жирового гепатоза могут сочетаться с другими заболеваниями органов пищеварительной системы.

Поэтому гепатолог или гастроэнтеролог при обращении к нему больного с признаками, указывающими на печеночную недостаточность, назначает следующие диагностические меры:

общий, биохимический и серологический анализ крови, мочи и кала, а также анализ на онкомаркеры (если нужно);УЗИ-диагностику печени и других внутренних органов;пункционную биопсию печени, чтобы выяснить степень поражения этого органа жировыми клетками;рентгенографическое исследование печени и, при необходимости, желчного пузыря;компьютерную и магнитно-резонансную томографию;ангиографию.

При необходимости врач может попросить сделать еще какие-либо анализы или пройти обследование.

К этому надо быть готовым, потому что болезни такого рода очень коварны, и диагностировать их не так легко.

Лечение возникшей проблемы

Учитывая вышеизложенное, ответ на вопрос – как лечить диффузные изменения печени, будет состоять в необходимости постановки правильного диагноза, потому что диффузные изменения не являются самостоятельной болезнью, это лишь признак многочисленных заболеваний, которые могут диагностироваться впоследствии у больного.

Если жировыми отложениями поражен небольшой участок печени, то прогноз обычно благоприятный.

Лечение диффузных изменений, в случае, если они вызваны глистной инвазией, заключается в назначении соответствующих антигельминтных средств.

Если причиной печеночной недостаточности была вирусная или бактериальная инфекция, то врач назначит в качестве лечения противовирусные лекарства или антибиотики.

Кроме этого, можно принимать гепапротекторы – лекарства, в которых содержатся необходимые печени минеральные вещества, помогающие ее нормальному функционированию.

Лечение стеатозов чаще всего состоит в приеме веществ, препятствующих отложению жировых соединений в паренхиме.

Кроме них, врач обычно назначает к приему следующие препараты:

витамины группы B;липоевую и фолиевую кислоты;липамид и метионин;различные гепапротекторы («Эссенциале форте», «Карсил», «Гепатрал»);глибутид, стимулирующий процесс синтеза гликогенов.

Иногда лечение включает в себя стероидные препараты, помогающие нормализовать общий гормональный фон организма.

При условии соблюдения больным всех рекомендаций и назначений, стеатоз может войти в стадию ремиссии в течение 2-3 недель.

Поскольку обычно причиной гепатозов бывает неумеренное употребление спиртного, соблюдение диеты при диффузном изменении печени, правильное питание и соблюдение нормального образа жизни считаются основным залогом выздоровления больного человека.

Если диагностировано диффузное изменение структуры печени, категорически запрещается:

курить, пить спиртосодержащие, газированные и энергетические напитки;есть жареную, жирную, острую и соленую еду;употреблять приправы, маринады, специи;есть свежую выпечку, кондитерские изделия с кремом, любой шоколад;есть овощи с большим содержанием клетчатки – редис, щавель, ревень.

От того, насколько больной придерживается правильного лечения, обязательно включающего в себя, при всех заболеваниях ЖКТ, диету, зависит, благоприятным ли будет прогноз течения заболевания.

Поскольку печень обладает огромными резервами самовосстановления, умеренные изменения паренхимы корректируются специальной диетой и правильным образом жизни.

При печеночной недостаточности, в качестве диетического лечения, назначают так называемый стол № 5п – в остром течении болезни, и стол № 5 на стадии выздоровления.

При диагностировании незначительных отклонений в составе печени лечение может состоять, в том числе, и в приеме средств народной медицины.

Хорошо помогает корень имбиря. Его нужно измельчить и принимать по ½ ч. л. 3 раза в день в течение 2-х недель.

Стоит также отметить, что подобные изменения печени протекают практически бессимптомно. В редких случаях возникает слабая боль в правом подреберье, тяжесть, в некоторых случаях боль чувствуется в правом предплечье, кожа вокруг глаз и склеры желтеют.

Диффузные изменения паренхимы печени, которые фиксируются ультразвуковым методом исследования, могут возникать не только при первичной болезни печени, но и вследствие некоторых патологических внепеченочных изменений. Так, к примеру, амилоидоз печени вполне возможен при сахарном диабете. При этом эхографическая картина будет демонстрировать увеличение размеров печени за счет всех ее долей, увеличение эхогенности ткани печени с затуханием в глубоких отделах, проявление неоднородности структуры в качестве увеличения зернистости изображения и небольшое сглаживание рисунка сосудов.

Диффузные изменения печени и поджелудочной железы

Печень, также как и поджелудочная железа, является непарным органом, который не имеет полости и состоит из ткани.

Органы пищеварения объединены протоками, поэтому в большинстве случаев, нарушение работы одного органа, отражается на работе другого.

Диффузные изменения печени и поджелудочной железы могут возникнуть из-за нарушения метаболизма, заболеваний сосудов, инфекционных заболеваний в острой или хронической форме.

Нарушение работы печени можно заподозрить по желтизне глазных белков, кожи, темной моче, калу светлого цвета. При неправильной работе печени может возникнуть зуд кожи, так как в кровь попадает большое количество желчи.

Изменение тканей поджелудочной происходит по разным причинам: отечность, панкреатит, липоматозм (замещение тканей органа жиром), разрастание и рубцевание ткани вследствие воспалительного процесса или нарушения обмена веществ.

Диффузные изменения печени и почек

Диффузные изменения печени и почек является многосторонним понятием и не считается основным диагнозом. Данное заключение ставится по результатам проведенного ультразвукового исследования.

При некоторых заболеваниях изменяется структура органа, кроме того, к таким изменениям могут привести врожденные или приобретенные патологии,

При диффузных изменениях возможно утолщение паренхимы, увеличение или уменьшение синусов, накопление жидкости в лоханке, гнойный воспаления, тромбоз.

В некоторых случаях изменения тканей почек может быть связано с наличием камней в почках.

Диффузные изменения печени и селезенки

Диффузные изменения печени и селезенки затрагивают орган полностью.

Селезенка отвечает за нормальное кровообращение, обогащенный кровоток, при заболеваниях или нарушении функции органа появляется слабость, снижение аппетита, нарушение сна.

При увеличении селезенки из-за нарушений в работе появляется болезненность, чувство давления. Слишком увеличенный в размерах орган может сильно выступать и давить на прилегающие органы. Нередко заболевания селезенки человек путает с нарушением функции поджелудочной железы.

Селезенка дает сбой, как правило, из-за неправильного или неполноценного питания, в результате чего в кровь не попадает нужное количество питательных веществ и микроэлементов и орган самостоятельно восполняет недостаток веществ. Но в таких условиях работа селезенки довольно быстро нарушается, в результате чего начинаются изменения ткани и структуры органа.

Диффузные изменения паренхимы печени

Ткань печени имеет однородную структуру со слабой плотностью. При диффузных изменениях паренхимы в печени во время ультразвукового исследования в тканях печени просматриваются кровеносные сосуды с желчными протоками, плотность которых повышена.

Диффузные изменения печени указывают на полное изменение ткани печени, которые могут быть связаны как с серьезными патологиями, так и с незначительными функциональными нарушениями в работе органа.

Степень отека паренхимы печени зависит от выраженности воспалительного процесса. При диффузных изменениях могут наблюдаться следующие заболевания: ожирение, цирроз печени, сахарный диабет, алкоголизм, опухоли, хронический гепатит, кистозные образования.

Также не исключаются паразиты или вирусная инфекция, неправильное питание.

Начавшиеся диффузные изменения печени могут спровоцировать головную боль, тошноту, слабость, горечь во рту, частую смену настроения, раздражительность.

Диффузные изменения структуры печени

Диффузные изменения печени выявляются на УЗИ. Изменение структуры может начаться не только в результате первичных заболеваний печени, но и при патологиях, не связанных с органом. К примеру, при сахарном диабете может возникнуть нарушение белкового обмена и появится отложения в печени.

В этом случае доли печени увеличиваются в размере, также повышается плотность органа, в более глубоких слоях структура органа теряет однородность.

Неоднородная структура может просматриваться как небольшие или крупные участки разной плотности с патологическими продуктами обмена (белки, углеводы).

Диффузные изменения тканей печени

При любых негативных влияниях на печень происходят изменения в диффузной ткани органа. Такие изменения могут спровоцировать алкогольная зависимость, курение, лекарства, наследственные аномалии, а также вирусы и бактерии.

Нередко диффузные изменения печени выявляются в сочетании с заболеваниями поджелудочной, поскольку у этих органов связаны протоки.

Диффузно неоднородные изменения структуры печени

Диффузные изменения печени, при которых появляется неоднородность ткани, могут быть связаны с непроходимостью протоков желчного пузыря, разрастанием либо уменьшением соединительной ткани, скоплением в клетках печени каких-либо веществ.

При неоднородности печени, как правило, диагностируют цирроз, кальцинаты, обструкцию вен печени, гепатит, нарушение метаболизма (при ожирении или сахарном диабете).

Довольно часто при неоднородной структуре тканей возникают бугорки, уменьшается или увеличивается соединительная ткань, не исключается дистрофия клеток печени, протоков желчи.

Причины изменения ткани могут быть связаны, как уже говорилось, с неполноценным, нездоровым питанием, злоупотреблением спиртным и пр.

Большинство патологических состояний печени выявляются на ультразвуковом исследовании.

Для назначения лечения требуется установление основного диагноза, который стал причиной диффузных изменений печени.

Печень является уникальным органом человека, имеющим способность самовосстанавливаться, но необратимые последствия приводят к серьезным нарушениям в работе органа.

Диффузно дистрофические изменения печени

Диффузные изменения печени происходят в результате отрицательного воздействия на организм из-за неправильного питания, заболеваний или других нарушений нормальной работы органов и систем.

Дистрофические изменения приводят к сильному подавлению печеночной функции. Причиной таких изменений становятся острые или хронические заболевания органа.

В большинстве случаев дистрофические изменения диффузной ткани происходят из-за вируса гепатита. В некоторых случаях к таким поражениям приводят отравления (грибами, нитратами и т.д.), применение галотана, атофана.

Также к такому рода изменениям может привести цирроз печени, нецелесообразное применение диуретиков, снотворных или успокоительных средств.

Диффузные изменения стенок протоков печени

Печень состоит из долек, в центре которых проходят вены и желчные протоки. Протоки необходимы для сбора выработанной желчи, они проходят через всю печень и имеют замкнутые концы.

Диффузные изменения печени затрагивают весь орган, включая стенки протоков печени. Изменения стенок протоков происходят в основном по тем же причинам, что и в остальной ткани органа (вирусы, бактерии, нездоровая пища и пр.).

Диффузные изменения печени при хроническом холецистите

Диффузные изменения печени при хроническом холецистите возникают довольно часто.

При хроническом холецистите в желчном пузыре наблюдается длительный воспалительный процесс, временами с обострениями. Заболевание всегда является вторичным, которое развивается в результате дискинезии желчевыводящих путей или врожденных патологий. От холецистита чаще страдают женщины (в пять раз), особенно со светлыми волосами и склонные к полноте.

Диффузные изменения печени при гепатомегалии

Гепатомегалия – это патологическое увеличение печени. Самой распространенной причиной данного состояния является отравление токсинами или ядовитыми веществами. Диффузные изменения печени в этом случае поражают полностью все ткани, при этом орган легко прощупывается под ребрами (при здоровой печени прощупать орган крайне тяжело).

Кроме того, при надавливании чувствуется боль, что также указывает на нарушение работы печени. Гепатомегалию не считают самостоятельным заболеванием, специалисты относят данное состояние к симптому, который указывает на необходимость срочно лечить печень.

Печень осуществляет разрушение и обезвреживание токсических и ядовитых веществ, который попадают в организм. Проходя сквозь печень, токсины выводятся из организма нейтрализованными.

Диффузные реактивные изменения печени

Диффузные изменения печени иногда носят реактивный характер, другими словами, при нарушении работы печени наблюдается реакция поджелудочной, которая выражается реактивным панкреатитом.

Такое заключение при ультразвуковом исследовании позволяет с большой долей вероятности исключить новообразования, опухоли, камни и пр. Также ультразвук показывает очаговые поражения плотности ткани.

Диффузные изменения не являются диагнозом, они указывают только на необходимость дополнительного обследования.

Диффузно очаговые изменения печени

Диффузные изменения печени поражают весь орган. Во время УЗИ врач диагностирует изменение ткани по всей поверхности печени.При очаговых поражениях органа изменения затрагивают отдельные участки печени, другими словами, УЗИ выявляет на нормальной ткани печени очаги изменения.

При диффузно-очаговых изменениях врач выявляет на пораженной ткани печени отдельные очаги, которые имеют отличие от диффузных. Такого рода изменения встречаются при гепатите сопровождающегося метастазированием или абсцессом.

Диффузные изменения печени у ребенка

Диффузные изменения печени могут произойти в результате врожденных патологий (недоразвитости). Также причиной может стать заболевание гепатитом во время беременности (обычно в таких случаях назначается прерывание беременности).

Изменения в печени у ребенка могут начаться на фоне лечения антибиотиками, которые являются крайне токсичными препаратами, а организм малыша недостаточно крепкий и сформировавшийся.

Диффузные изменения печени у новорожденного

Диффузные изменения печени у новорожденных часто возникают в результате врожденных аномалий.

Также на печень новорожденного могут повлиять заболевания матери во время беременности, лекарственные препараты (особенно антибиотики).

При обнаружении диффузных изменений печени у новорожденного, в первую очередь, следует провести дополнительное обследование (анализ крови, мочи), при необходимости назначается биохимический анализ крови, биопсия, лапароскопия.

Поставленный на УЗИ диагноз диффузные изменения печени, вызывает множество вопросов, ведь в МКБ-10 (международная классификация болезней) нет такого диагноза. Однако это означает лишь то, что возникло изменение структуры органа, причем это могут быть как функциональные колебания, так и патологическое нарушение функционирования. В 80—90% случаев адекватное и своевременное лечение обеспечивает полное выздоровление. Но диагностирование такого процесса требует дальнейшей тщательной диагностики для установления причины поражения.

Что означает?

Медицина не выносит диффузные заболевания печени как отдельный диагноз. Изменения паренхимы органа является симптомом другого заболевания, а не самостоятельной патологией. Диффузия — связь молекул между собой. Вследствие внешнего воздействия, она может нарушаться. Таким образом, повреждается однородность и в ткани формируются аномалии. Если паренхима органа изменена, это свидетельствует о необходимости дальнейшей диагностики с целью выявления основного заболевания.

Разновидности патологии

Относительно характера поражения ткани, выделяют такие патологии:

фиброз;гипертрофия;склероз;дистрофические изменения;набухание.

В зависимости от выраженности процесса, выделяют:

Незначительные изменения. Орган справляется с функцией дезинтоксикации, что в итоге приводит к летальному исходу.Умеренно диффузное преобразование. Неоднородность из-за интоксикации, вредных привычек. Также, гепатотропное действие оказывают вирусы.Выраженные тотальные изменения. Сопровождаются отеком паренхимы, патологию вызывает сахарный диабет, поражение органа по типу жирового гепатоза, рак.

Необходимо также отметить еще некоторые виды патологии. Диффузные реактивные изменения печени — нарушение функционирования, сопровождаемое панкреатитом и реакцией поджелудочной железы. Диффузно очаговые изменения печени, поражающие некоторые участки органа, которые чередуются с перестроенной тканью, например, при гепатите с метастазами.

Причины диффузных изменений печени

Долгий прием антибиотиков провоцирует патологические изменения в печени.

К факторам, провоцирующим патологический процесс, относят:

застойный холецистит;вредные привычки;долгий прием антибиотиков и других лекарств;вирусные заболевания;цирроз;критическое снижение веса;наследственность;секундарное поражение (метастазы).

Диффузионные перестройки включают изменения внутрипеченочных протоков, которые возникают из-за вирусного или бактериального поражения органа, неправильного питания. В ряде случаев поражаются и другие органы брюшной полости. Диффузные изменения печени и поджелудочной железы вызывают нарушение обмена веществ, острые и хронические инфекции, сосудистые заболевания.

Особенности протекания у детей

У новорожденных наиболее частые причины поражения — врожденная патология и болезни матери. При обнаружении гепатита у беременных рекомендуется искусственное прерывание беременности. Нарушение функционирования печени у ребенка возникает из-за антибактериальных препаратов и прочих медикаментов. Лекарства весьма токсичны для детского организма.

Диагностика диффузных изменений

Клинические анализы помогут показать общую картину заболевания.

Признаки диффузных изменений печени выявляются при таких исследованиях:

общий анализ крови;биохимическое исследование;ОАМ, копрограмма;УЗИ печени;рентген органа;биопсия печени;при необходимости — онкомаркеры;КТ, МРТ.

Основной метод диагностики — ультразвуковое исследование, которое отличается рядом преимуществ: малоинвазивность, простота выполнения процедуры, доступность. Часто, лишь этого достаточно для установления этиологии и степени выраженности процесса. На УЗИ выявляются различные эхографические признаки, соответствующие основному заболеванию.

Перестройка при жировом гепатозе

Возможно обнаружить с помощью УЗИ, если изменения ткани наблюдаются в более чем 1/3 органа. Для гепатоза печени характерно диффузное повышение эхогенности, но иногда оно остается нормальной. Также наблюдается увеличение печени, округление краев. Диффузные изменения паренхимы печени, такие как жировая инфильтрация лучше распознается при выполнении компьютерной или магнитно-резонансной томографии. Без своевременного лечения патология перетекает в цирроз.

УЗИ-диагностика цирроза

УЗИ-диагностика поможет определить диффузные изменения в органе.

Диффузные изменения в печени определяются диаметрально противоположными процессами: часть клеток печени увеличивается, а часть атрофируется. Потому эхоскопически структура паренхимы мозаична, диффузно неоднородная, эхогенность повышена. Вначале печень увеличена, но в конце заболевания, наоборот, уменьшается. Неоднородная структура печени объясняется образованием узлов. Выявляется уплотнение стенки воротной вены, коллатерали.

Распознавание очаговых образований

Метод не подходит для дифференциальной диагностики онкологических заболеваний, однако, специфичны эхопризнаки простых кист. Киста выглядит как анэхогенное образование с тонкой стенкой без взвесей или перегородок. Симптомы сложных кист наблюдаются при абсцессах, опухолях, кровоизлияних.

Одним из симптомов, которые можно выявить во время УЗИ брюшной полости является пневмобилия. Это небольшие пузырьки воздуха в просвете желчных путей, которые имеют вид гиперэхогенных включений. При осмотре пузырьки газа могут смещаться. Подобное может наблюдаться в случае холедохолитиаза, изменения желчного пузыря — воспалении, деструкции стенки — кальцинатов внутри кисты или кальцинированной гематомы.

Преобразование печени при гепатитах

Эхо признаки при таких заболеваниях неспецифические, при помощи УЗИ нельзя верифицировать диагноз. Усиленный эхосигнал выявляет увеличение органа, изменения структуры при этом разнятся, диагностируются протоковые изменения в печени. После методики необходимо провести лабораторные анализы, чтобы установить болезнь. Ультразвуковое исследование в такой ситуации дает понимание эхоструктуры печени, ее однородности, диффузного или очагового изменения.

Лечение патологии

Во время лечения рекомендована соблюдать диетическое питание № 5.

Лечить поражение печени начинают с диеты № 5. Она заключается в ограничении жиров, а значит, исключения из рациона острых, жаренных, консервированных, копченых продуктов и пищи с высокой жирностью. Также диета предполагает употребление фруктов, овощей (сырых, тушенных, варенных), меда, яиц, молочных продуктов с 0% жирности, мяса кролика и индейки. Лечение народными средствами заключается в употреблении фиточаев. Лечение зависит от причины возникновения патологического процесса. Схемы медикаментозной терапии представлены в таблице.

Данные диагностических процедур Лечение
Невыраженные преобразования Препараты, способствующие регенерации органа: «Гепабене», «Эссенциале»
Растительные средства: порошок из корня хрена или имбиря, настойка лопуха, гомеопатические лекарства с женьшенем
Умеренные диффузные изменения печени Антибактериальные медикаменты, витаминные комплексы и лекарства, предотвращающие аллергические реакции
Вирусная трансформация Противовирусные медикаменты, витамины, при тяжелом течении — гормоны, аминогликозиды
Изменения структуры глистной этиологии Антипаразитарные лекарства, витамины, гепатопротекторы
Народные средства: настой на основе коры дуба и крушины, ромашки, тысячелистника, полыни, бессмертника; семечки тыквы, перемешанные с медом
Перестройка в связи с камнями желчного пузыря Желчегонные или оперативное вмешательство (холецистэктомия)

Профилактика и прогноз

Патология чаще возникает в связи с неправильным образом жизни пациента. Потому, правильное питание, наличие физической активности, соблюдение гигиенических норм, профилактические визиты к врачу и своевременное лечение болезней помогают предотвратить диффузные изменения структуры печени. Прогноз дальнейшего течения определяется заболеванием, которое послужило этиологическим фактором, общим состоянием больного. В ряде случаев отказ от вредных привычек и изменение режима дня обеспечивает благоприятный прогноз.


Смотрите также

Комментарии 0