
Гипоэхогенное неоднородное образование щитовидной железы что это такое |
Если рассматривать щитовидную железу с помощью УЗИ, по внешнему виду гипоэхогенное образование щитовидной железы напоминает мутноватую структуру, и отличается от соседних тканей темными жидкостными пятнами. Природа жидкостных структур щитовидки может быть определена как киста либо узел скопления жидкости по неоднородной структуре.
Что качается кисты, то она формирует полостные стенки, которые постепенно заполняются коллоидной жидкостью. В норме секреторность фолликулов железы содержит высокое количество тиреоглобулина, а также ферменты цитохромоксидазы. Под воздействием гормональных нарушений железа видоизменяется, жидкость плохо выводится из фолликула, скопляясь в нем и образуя уплотнения в виде мешочков.
Если у пациента не выявлено никаких патологий щитовидной железы, эхоструктура выражается как однородная.
В зависимости от визуализации диагностической картины, узлы щитовидки могут быть:
- гипоэхогенными (отличаются выраженной затемненной неоднородной тканевой структурой); гиперэхогенными (снижена коллоидность тканей); изоэхогенными (здоровые по плотности ткани с измененными характеристиками); анэхогенными (сформировавшиеся кисты с разрастающимся вглубь тканей эпителием).
Эхоплотность узлов имеет место быть в случае образования кист, узлов, опухолей.
Как диагностируются гипоэхогенные образования
Для выявления гипоэхогенного узла необходимо провести специальные процедуры, среди которых:
- осмотр уэндокринолога, включающий пальпацию железы (важен для составления и анализа детального анамнеза); магнитно-резонансная томография (необходима для подтверждения либо опровержения наличия образования в случае невозможности установки диагноза по результатам анализов); компьютерная томография (дает возможность установить характер и объемы узла); радиоизотопное сканирование (определяет гормональную активность органа); гистология (необходима для диагностики неоднородного коллоида после биопсии); анализ крови на гормоны (определяется уровень Т3 общ, Т4 св., Т3 св., Т4 общ, аТТГ).
Детальный анализ исследования щитовидной железы позволяет установить патологию и подобрать оптимальный метод лечения. Характерной особенностью всех болезней железы является пониженная эхогенность.
Причины образования узлов
Жидкостные щитовидные структуры образуются под воздействием:
- стрессов; воспалительных процессов в тканях органа; гормональных сбоев; неблагоприятных экологических факторов.
Если вы заметили резкие скачки веса, общую слабость, тяжесть при глотании, ощущение кома в горле, гипергидроз, болевые ощущения в области шеи, это повод обратиться к врачу. Выше перечисленные симптомы наблюдаются уже при выраженной патологии. Начальная стадия заболевания протекает бессимптомно. Стоит отметить, что эхогенность щитовидной железы не всегда свидетельствует о наличии онкологического заболевания, поэтому не стоит лишний раз паниковать до полного выяснения ее причин.
Согласно статистике, гипоэхогенное образование диагностируется у 4-6 % населения во всем мире. Организм женщин более склонен к образованию кист, нежели мужчин. Патологии щитовидки коварны тем, что длительное время никак не проявляются, их сложно выявить невооруженным глазом, а когда удается это сделать, заболевание прогрессирует и сложнее поддается лечению.
Неоднородная эхогенность имеет незначительные размеры, практически незаметна, протекает медленно и бессимптомно. Ее удается выявить только по результатам УЗИ. Далее в процессе консультации и дополнительных анализов удается установить ее форму, характеристику, прогноз. Запущенные стадии практически не поддаются лечению.
Возможная динамика осложнений
Особенность кист в том, что они могут внезапно появляться и под действием определенных факторов так же быстро исчезать, оставляя осложнении в виде воспаление тканей щитовидки и нагноения. Этим и характеризуется коварность выявления эхоструктуры. Кисты размерами от 1 см часто сдавливают находящиеся рядом кровеносные сосуды и органы, что плохо сказывается на самочувствии человека, ухудшая его и без того плохое состояние.
Эхоструктура щитовидки может быть повышена при таких заболеваниях как тиреоидит, карцинома либо аденома. В случае подтверждения какого-либо из этих заболеваний, у пациента наблюдается ярко выраженная симптоматика в виде:
- увеличения лимфоузлов; повышения температуры до 39-40 градусов; рвота на фоне сильной интоксикации; учащающаяся боль в области новообразования.
Методы лечения гипоэхогенных образований
Жидкостные включения больше 4 мм лечению не подлежат. В эндокринологической практике маленькие кисты не рассматриваются как образование, а считаются видоизмененным на фоне гормонального дисбаланса фолликулом. При соблюдении рекомендаций доктора, полноценном богатом на йод питании такие кисты способны саморассываться. Все, что нужно, — это время от времени наблюдать за их состоянием.
Для лечения незначительных образовавшихся узлов используются лекарственные препараты на основе йода и тиреоидных гормонов. Во время их приема необходим постоянный контроль уровня ТТГ в крови, а также УЗИ тканевой структуры железы.
Лечение йодсодержащими препаратами назначается лишь после результатов анализа на наличие антител к тканям щитовидки. В случае осложненного воспалительного процесса эндокринолог выписывает антибиотики, совместимые с лекарствами, содержащими в своем составе йод.
Оперативное вмешательство применяется в случае наличия значительных по величине новообразований, передавливающих соседние органы.
Целостность органа во время лечения сохраняется (кроме случаев оперативного вмешательства). Чтобы как можно меньше травмировать железу, при лечении гипоэхогенных образований используется метод склеротерапии, во время которого содержимое кисты высасывается тонкой иглой, после чего стенки органа склерозируются спиртом.
Гипоэхогенное образование щитовидной железы что это такое
Гипоэхогенное образование щитовидной железы: что это такое?
Термин «гипоэхогенный узел щитовидной железы» используется при трактовке данных, полученных в ходе УЗИ, – процедуры, базирующейся на принципе, что структуры разной плотности по-разному проводят ультразвуковые волны.
Такие новообразования имеют пониженную плотность по сравнению с другими тканями органа и выглядят на мониторе как темные пятна.
Их наличие – не основание для постановки диагноза, но повод для дальнейшего обследования. В зависимости от особенностей случая они могут быть как признаком заболевания, так и вариантом нормы.
Эхогенность: понятие и виды
Эхогенностью называют способность тканей проводить ультразвуковые волны. Она определяется плотностью исследуемого вещества.
Различают четыре ее вида:
Нормальная (изоэхогенность) – характеризует здоровый орган, на картинке выглядит как однородный серый цвет. Пониженная (гипоэхогенность) – отражает наличие единичных или множественных образований в тканях органа (киста, злокачественная или доброкачественная опухоль). Выглядит на картинке как затемненное пятно с четкими или расплывчатыми границами. Гипоэхогенные включения щитовидной железы не трактуются однозначно и требуют дополнительных анализов. Повышенная (гиперэхогенность) – отклонение от нормы, связанное с разрастанием соединительной ткани или отложением солей кальция. Это более светлые участки, чем другие. Отсутствующая (анаэхогенность) – ткани не отражают ультразвук, что выглядит на экране как черный цвет. Анэхогенный участок щитовидной железы – киста, ложная киста, аденома. Для точного диагноза требуются дополнительные исследования.
Важно! Результаты УЗИ не позволяют поставить точный диагноз, но служат отправной точкой для дальнейшего обследования пациента.
Гипоэхогенное образование щитовидной железы что это такое
Гипоэхогенный узел щитовидной железы: что это такое
При трактовке результатов ультразвукового исследования структуры с пониженной плотностью могут пониматься как:
- киста с жидким содержимым; доброкачественная опухоль; сосудистое включение; фиброзно-кистозная аденома; злокачественная опухоль.
Все виды новообразований развиваются на начальных этапах бессимптомно и диагностируются случайно, например, в ходе плановых осмотров. У женщин они возникают гораздо чаще, чем у мужчин.
Бытует мнение, что гипоэхогенный узел щитовидной железы – это рак. Оно неверно: наличие новообразование само по себе не позволяет поставить однозначный диагноз – онкологическое заболевание.
Для этого необходимы дополнительные исследования, например, взятие крови из вены, позволяющее выявить содержание гормонов щитовидки.
Если анализ не показывает отклонений от нормы, УЗИ нужно повторить по истечении полугода.
Мелкие кисты и сосудистые образования рассасываются самостоятельно, а потому в большинстве случаев не подлежат лечению, необходимо лишь наблюдение врача.
Повторное исследование покажет, что темное пятно уменьшилось в размерах или исчезло.
Если УЗИ через шестимесячный интервал показывает неоднородное образование в щитовидной железе, увеличившееся в размерах и имеющее расплывчатые очертания, необходима биопсия.
По результатам изучения элемента ткани становится понятно, имеет ли место онкологический процесс. Другие методы исследования органа – цитология, КТ и МРТ, рентгеноскопия и т. д.
Гипоэхогенные образования щитовидной железы: основные симптомы
Узловые структуры в щитовидке – узлы и кисты, долгое время развиваются бессимптомно, не привлекая внимания пациента.
По мере разрастания новообразования появляется воздействие на близлежащие органы и ткани, приводящее к появлению внешних признаков:
- ощущения «комка в горле»; трудностей при проглатывании пищи и слюны; изменения тембра голоса; затрудненного дыхания; дискомфорта и боли.
Гипоэхогенные узлы щитовидной железы ведут к изменениям в организме в целом, а потому проявления патологии имеют общий характер:
- резкий набор или потеря веса; эмоциональная нестабильность, частая смена настроения; мышечные боли; постоянное чувство усталости, сонливость; сбои в работе ЖКТ; сухость кожи и волос.
Риск возникновения новообразований возрастает при беременности, когда щитовидка активно работает и может возникать гипотиреоз – недостаток йода в организме.
Гипоэхогенное узловое образование щитовидной железы, обусловленное кистой, может нагнаиваться.
Тогда у больного наблюдается жар, интоксикация организма, боли в месте расположения пораженного органа. Требуется немедленное обращение к врачу.
Гипоэхогенные участки щитовидной железы опасны тем, что могут перерождаться в злокачественные образования.
Пациент должен находиться под постоянным наблюдением врача и не реже, чем раз в полгода, проходить ультразвуковое исследование. Рак, выявленный на ранней стадии, поддается излечению.
Лечение гипоэхогенных включений
Методы терапии новообразований зависят от окончательного диагноза, изменений в ткани, наличия сопутствующих болезней и общего состояния организма.
Мелкие гипоэхогенные включения щитовидной железы, диаметр которых не превышает 1 см, не подлежат лечению.
Они считаются фолликулами, возникающими на фоне гормонального дисбаланса в организме. Все, что необходимо для пациента, – регулярное наблюдение за состоянием включений.
Более крупные новообразования предполагают специальную терапию. Врач назначает больному диету с добавлением йодированной соли.
Прописываются препараты, содержащие йод и тиреоидные гормоны. На период их приема необходим постоянный контроль уровня ТТГ в крови и регулярные УЗИ тканевой структуры пораженного органа.
Если гипоэхогенный неоднородный узел щитовидной железы сопровождается воспалительным процессом, врач прописывает обезболивающие средства и противовоспалительные препараты.
Их прием сочетается с использованием медикаментов на основе йода.
Оперативное вмешательство обязательно в случаях, если консервативное лечение не принесло результатов, если обнаружены злокачественные опухоли или кисты крупных размеров, сдавливающие соседние органы.
Гипоэхогенные включения в щитовидной железе удаляются особым методом, позволяющим не травмировать соседние ткани, – склеротерапией.
Суть его заключается в том, что содержимое кисты высасывается тонкой иглой, после чего полость узла заполняется склерозирующим раствором.
Если гипоэхогенный узел щитовидной железы – это злокачественное образование, может быть показано полное удаление опухоли, полная или частичная резекция органа.
Последствие такое операции – пожизненная заместительная терапия, подразумевающая прием кальцинатов и других препаратов.
Источники:
Http://proschitovidku. ru/diagnostica/uzi/rasshifrovka/gipoexogennoe-obrazovanie
Http://proshchitovidku. ru/gipoexogennoe-obrazovanie-shhitovidnoj-zhelezy-chto-eto-takoe/
Гипоэхогенное неоднородное образование
Гипоэхогенное образование – это не диагноз, а описание структуры, которая имеет более низкую плотность, чем окружающие ее ткани. Это «образование» может быть как проявлением патологии, так и встречаться в норме – все зависит от того, какой это орган.
Оглавление:
Как обнаруживают гипоэхогенное образование
Принцип ультразвукового исследования (УЗИ) заключается в том, что ультразвуковой датчик генерирует звуковые колебания высокой частоты и посылает их к исследуемым тканям.
Этот же датчик и принимает отраженные от органов частоты, преобразуя их на экране в картинку. Отраженный ультразвук – подобие эхо в природе. Поэтому УЗИ еще называется эхографией.
Оценка ультразвуковых данных весьма субъективна, зависит от:
- частоты ультразвуковых волн, генерируемых аппаратом: чем частота выше, тем лучше четкость картинки на экране, чем ниже, тем глубже его проникновение в ткани
- анатомических особенностей пациента (например, сердце будет трудно увидеть при эмфиземе легких)
- квалификации сонолога
- наличия информации о симптомах пациента, его хронических болезнях: это поможет сонологу не пропустить тот орган (органы), в которых может быть потенциальная патология.
Во время исследования оценивают не только расположение и размеры органа, но и его структуру. Она оценивается с помощью понятия «акустическая плотность».
Этот термин описывает скорость продвижения ультразвуковой волны в осматриваемой ткани (органе). Акустическая плотность (эхогенность) для каждого органа своя.
Например, в печени звук идет со скоростью 1570 м/с, а в жировой клетчатке – с 1476 м/с. Это видно на экране с помощью различных оттенков. Сонолог знает, какой должна быть эхогенность для каждого органа, должна ли она быть однородной в норме, или нет.
Что означает словосочетание «образование со сниженной эхо-плотностью (или гипоэхогенное)»? Этот термин говорит о том, что в цельном органе (или полости) имеется участок со сниженной акустической плотностью. Он выглядит как более темная (по сравнению с окружающей тканью) структура.
Что такое участки со сниженной плотностью
Повторим еще раз, что значит «структура с уменьшенной эхо-плотностью». Это какой-то участок, в котором ультразвук движется медленнее, чем в окружающем пространстве.
Такие характеристики имеет жидкостная структура. Чаще всего (но не всегда) это киста, то есть полость, имеющая тонкие стенки из ткани, похожей на слизистую оболочку, которая заполнена жидкостью.
Почему сонолог не пишет «киста»? Потому, что данный диагноз может быть поставлен только по данным такого исследования, при котором исследователю будет видно данный участок не опосредованно (как при УЗИ), а прямо. Это может быть только биопсия (она дает практически 99% гарантию), или исследование, проводимое с помощью видеоэндоскопической техники (лапароскопия, бронхоскопия, цистоскопия).
Вернемся к образованию. После указания, что в каком-то исследуемом органе найден такой участок с жидкостью, врач должен указать и другие его характеристики: форму его и контуры.
Так, округлое образование говорит о том, что это может быть:
- киста
- некоторые виды опухоли
- паразитарной кистой (эхинококковой)
- в молочной железе во время лактации – галактоцеле
- в яичнике ближе к средине цикла – нормальный фолликул.
Если же оно описывается как структура с неровными контурами, это свидетельствует о том, что жидкостное образование может быть:
- кистой
- аденозом молочной железы
- опухолью
- фиброаденомой грудной железы.
Описание УЗ-структуры щитовидной железы
Если в описании УЗИ щитовидной железы имеется слово «структура со сниженной акустической плотностью», этого не нужно сразу пугаться. Этим термином применительно к данному органу могут обозначаться:
- киста
- жидкостная структура
- сосудистое образование
- только в 5% случаев – онкологическая патология.
В этом случае ваши действия должны быть такими:
- консультация эндокринолога
- кровь из вены на такие гормоны, как ТТГ, антитела к тиреоглобулину, трийодтиронин и T4.
Если отклонений в уровне гормонов не выявлено, вам необходимо еще раз сделать УЗИ щитовидной железы через 6 месяцев. В случае, если гипоэхогенное образование снова определяется, расположено оно там же, имеет размер такой же или больше на 1 см, необходимо исследование такого узла с помощью биопсии. Особенно это важно, если описанная структура имеет размытые контуры или неоднородную структуру.
Какие отклонения в структуре матки
Обнаружение узла со сниженной эхогенностью в матке обычно говорит о том, что в органе развилась опухоль. Она может быть как злокачественной, так и доброкачественной.
- Карцинома обычно описывается как структура с нечеткой формой. При этом отмечается увеличение M-эхо и расширение полости матки. Структура эндометрия описывается как неоднородная.
- Если на УЗИ описывается гипоэхогенная зона, которая имеет внутреннюю эхоструктуру, это обычно – воспаление матки.
- Миома матки, локализующаяся в ее стенке, будет тоже выглядеть как гипоэхогенный участок.
- Участок со сниженной эхогенностью обнаруживается возле плодного яйца – признак того, что под зародышем скопилась кровь, что говорит о начавшемся выкидыше.
Отклонение произошло в структуре грудной железы
Если при ультразвуковой маммографии было обнаружена структура молочной железы, в которой эхо-плотность снижена, это может свидетельствовать о таких патологиях:
- карцинома железы: гипоэхогенна, имеет нечеткий и неровный контур, акустическую тень, является неоднородной по структуре. Не все признаки должны обязательно встречаться, а кроме того, есть состояния с похожим описанием. Чтобы четко рассмотреть образование, необходимо помнить, на какой день цикла делать УЗИ молочных желез
- аденоз имеет похожие признаки: гипоэхогенность, нечеткие контуры и границы, зачастую – неправильная форма
- типичная киста: снижена эхогенность, четкий контур, округлая форма
- атипичная киста с подозрением на ее озлокачествление: довольно толстые стенки образования, разрастания внутри него, кальцинаты
- фиброаденома: имеет четкий и ровный контур; очень похожа на злокачественную опухоль с ограниченным ростом.
Подготовка к УЗИ молочных желез не нужна, поэтому при обнаружении такой патологии вы можете пройти повторное исследование в следующем месяце, и если оно показывает то же самое, нужно проводить биопсию.
Патология структуры яичника
Подобный участок в яичнике со сниженной эхогенностью может быть:
- фолликулом
- сосудистым образованием
- лютеиновым телом
- кистой
- очень редко – раком (чаще он имеет другое описание).
Если структуру нашли в почке
Если участок с низкой плотностью для ультразвука найден в почке, это может быть или киста, или опухоль. Первая чаще всего имеет четкие границы и однородную структуру, тогда как вторая – наоборот. О недоброкачественном процессе также будут говорить увеличенные забрюшинные лимфоузлы. При проведении дополнительной допплерографии кровоток в образовании не будет определяться.
Чтобы отдифференцировать одну патологию от другой, мало только сделать УЗИ почек (прочитайте также информацию, как готовиться к УЗИ почек). Необходимо проведение компьютерной томографии, ангиографии. При необходимости производят биопсию под контролем УЗИ.
Патология поджелудочной железы
Приведем основные состояния, при которых в поджелудочной железе может определяться подобная структура со сниженной акустической плотностью:
- метастазы в ткань: образование занимает не всю ткань поджелудочной; оно гипоэхогенно, у него размытые границы
- киста: ровный контур и однородность (без включений) образования
- несколько участков гипоэхогенной структуры говорят или о геморрагическом панкреатите, или о фибролипоматозном процессе в железе
- рак железы: у образования есть тонкие периферические выросты, до него железа увеличена, есть смещение крупных сосудов, питающих саму железу. Если сделать не просто УЗИ поджелудочной железы, но и допплерографию, кровоток в этой структуре определяться не будет.
Нарушение структуры печеночной ткани
Обнаружение участка со сниженной эхогенностью в печени говорит о возможном развитии такой патологии:
- Это оставшиеся участки нормальной ткани на фоне жировой инфильтрации органа. Их особенности: обнаружение в области возле воротной вены или ложа желчного пузыря, у них чаще всего треугольная или овальная форма.
- Узлы при циррозе: гипоэхогенны, округлые, могут быть бугристыми по периферии.
- Кисты с кровоизлияниями: контуры ровные, есть внутренние эхосигналы.
- Тромбоз внутрипеченочного участка воротной вены: эхо-структура рыхлая, форма – овальная, округлая или удлиненная.
- Абсцессы: есть участки разной эхогенности, часто содержатся газовые пузырьки, края неровные, мембрана – эхогенная.
- Узловая гиперплазия – это не норма УЗИ печени. Участок гипоэхогенный, форма округлая, контуры ровные. Есть эхогенные выросты, которые тянутся к периферии.
- Аденома: однородная, с ровными границами, внутри могут определяться небольшие сигналы.
- Рак печени: неоднородное образование, в нем могут определяться участки кровоизлияния, кальцификаты. Изменены также локальные лимфоузлы, может определяться асцит.
- Метастазы: неровные границы, иногда может быть гипоэхогенный контур. Ткань печени не изменена.
Таким образом, гипоэхогенное образование может оказаться какой угодно патологией. В основном, это киста или опухоль, но могут быть и другие состояния: как требующие оперативного лечения, так и те, которые излечиваются медикаментозно. Чтобы сонолог мог составить четкую картину найденной патологии, человек должен тщательно подготовиться к исследованию, учитывая все нюансы.
На видео: очаговые новообразования почки на УЗИ.
Самое популярное
• Подготовка к УЗИ брюшной полости, что входит
• УЗИ скрининг 1 триместра — часто задаваемые вопросы
• 2 скрининг при беременности
• Подготовка к УЗИ почек, подготовка к исследованию
• Как делают УЗИ кишечника
• Стоит ли бояться перед УЗИ почек
• Что такое трансвагинальное УЗИ
• Что это такое желтое тело в яичнике
• Что вы не знаете о фолликулометрии
• Расшифровка КТГ плода
• Фетометрия плода по неделям (таблица)
• УЗИ щитовидной железы, норма (таблица)
• На каком сроке УЗИ показывает беременность
• Как делают дуплексное сканирование сосудов головы и шеи
• Что такое анэхогенное образование
• Что такое гипоэхогенное образование
• М-эхо матки, норма
• Размеры печени в норме у взрослых на УЗИ
• УЗИ молочных желез на какой день цикла делают
• УЗИ желудка, подготовка и прохождение
• Как проверить кишечник на УЗИ
• ТрУЗИ предстательной железы как делают
• КТГ 8 баллов — что это значит?
• УЗДГ при беременности — что это такое?
• УЗИ сосудов головы и шеи, как делают
Рекламодателям | От авторов сайта | Карта сайта
Источник: https://uzilab.ru/primenenie-ultrazvuka/gipoehogennoe-obrazovanie.html
Что нужно знать про гипоэхогенное образование
Под гипоэхогенным образованием подразумевают, что в органе присутствуют узлы, обладающие пониженной плотностью, нежели чем ткани, которые находятся рядом с этой структурой. Данное образование может являться как определенным заболеванием, так и вполне нормальным явлением. Именно поэтому многие хотят знать, что такое гипоэхогенное образование, а также каким образом его можно обнаружить.
Определение при помощи УЗИ гипоэхогенного образования
УЗИ внутренних органов основывается на свойстве отражения звуковых волн определенной частоты от тканей, имеющих высокую плотность. Однако ткани, имеющие внутри жидкость, обладают таким свойством в меньшей степени. Прибор посылает на определенный орган звуковое колебание, которое возвращается, когда отражается от тканей. Полученные данные устройство преобразует в изображение, которое выводится на дисплей. После этого врач-сонолог осуществляет оценку полученной визуальной информации. Но следует учитывать, что оценка является всегда субъективной, поскольку зависит от используемой частоты ультразвука, качества оборудования, особенностей пациента и квалификации специалиста.
Если заранее есть данные о симптомах и хронических патологиях у пациента, что может стать причиной для обследования органов, которые проверяются и на присутствие в них гипоэхогенных образований.
Гипоэхогенные узлы обычно являются кистозными образованиями. Из этого следует, что в органе, возможно, произошло формирование полости, которая имеет тонкие стенки и заполнена жидкостью. Но чтобы такой диагноз подтвердить, осуществляют дополнительно биопсию.
Очень важными факторам являются форма и размеры узла. В случае если гипоэхогенный участок имеет округлые контуры, значит, в исследованном органе могут присутствовать некоторые виды опухолей. Затемненные зоны, выявляемые в ходе исследования, иногда являются нормой и свидетельствуют о доброкачественном образовании, например в груди во время лактации. Гипоэхогенное образование может находиться в различных органах: поджелудочной железе, печени, почках, матке, яичниках, молочной железе и др.
Узлы щитовидной железы (видео)
Гипоэхогенные образования в поджелудочной железе, почках и печени
Во время УЗИ поджелудочной железы можно обнаружить ткани, которые имеют низкую плотность. Это дает возможность диагностировать разные патологии.
Если на мониторе наблюдается затемненная эхоструктура и размытые границы образования, то это указывает на то, что в органе есть раковые метастазы. В случае если на дисплее при исследовании поджелудочной железы образование является однородным, имеет четкую округлую форму и ровный контур, это свидетельствует о наличии кисты.
При раковой опухоли можно увидеть тонкие отростки, которые идут по краям образования. Поджелудочная железа на картинке увеличена при этом в размерах, а большие сосуды смещены и деформированы. Посредством допплеровского исследования можно данный диагноз подтвердить, если в этих зонах не получится обнаружить нормального кровотока.
Очень важными факторам являются форма и размеры узла
Если гипоэхогенные участки были найдены в тканях почек, то это говорит об опухоли либо же кисте. Когда происходит образование опухоли, то часто в районе паха и брюшины осуществляется воспаление лимфоузлов. При выполнении допплеровского исследования в гипоэхогенном узле может быть выявлено отсутствие внутри кровотока.
Если произошло образование кисты, то это можно определить по однородной структуре и четким границам, тогда как опухоль на мониторе обозначена рваными нечеткими контурами. Для лечения почек и точной диагностики возможного заболевания только УЗИ недостаточно. Для этого производят комплексное клиническое обследование, в которое входит анализ крови, биопсия, компьютерная томография и ангиография.
Обнаруженный в печени гипоэхогенный узел говорит о возникновении кисты, опухоли и других патологий. Чтобы обследование печени было максимально точным, пациенту нужно определенным образом подготовиться к исследованию. Гипоэхогенные узлы обычно указывают на наличие следующих патологий:
- при ожирении остались здоровые участки тканей;
- цирроз печени;
- воспаления;
- на участке воротной вены сформировался тромб;
- метастазы от карциномы;
- опухоли, аденомы, кисты.
Матка и яичники
Выявление в матке во время УЗИ гипоэхогенных образований свидетельствует обычно о развитии опухоли. Но она может при этом быть как злокачественного, так и доброкачественного характера. Поэтому определить ее принадлежность можно лишь благодаря дифференциальной диагностике. Например, на наличие миомы (доброкачественное образование) указывает затемненный участок, который можно увидеть на стенке матки. Отличительной эхоструктурой обладает гипоэхогенное образование в случае воспаления матки.
Если же гипоэхогенная зона имеет нечеткую форму, то это может свидетельствовать о карциноме. Во время этого можно наблюдать расширенную полость матки и присутствие боковой тени. Если образования были выявлены рядом с плодным яйцом и имеют низкую плотность, то это является предвестником начавшегося выкидыша.
Это свидетельствует о том, что под плодом происходит скопление крови, и в этом случае необходимо немедленное вмешательство врачей.
В случае если гипоэхогенные зоны были обнаружены в яичниках, то это является следствием присутствия лютеинового тела, сосудистого образования или кисты. Очень редко в яичниках образования, имеющие низкую плотность, возникают при раковых образованиях. При УЗИ яичников важную роль имеет репродуктивная способность женщины и ее возраст. Для всех женщин, которые могут родить и зачать малыша, неоднородная структура является нормой. И, наоборот, структура выравнивается во время менопаузы.
Тело человека (видео)
Гипоэхогенные зоны в молочной железе
Для выявления гипоэхогенного участка в груди с максимальной точностью врачу-сонологу при осуществлении УЗИ надо учитывать следующие факторы:
- уровень однородности окраски;
- состояние участков, находящихся рядом с гипоэхогенным образованием;
- форму и контур;
- присутствие боковых теней;
- формирование кровеносных сосудов в тканях груди.
Выявление в матке во время УЗИ гипоэхогенных образований свидетельствует обычно о развитии опухоли
Если ткани молочной железы имеют зоны, в которых плотность является пониженной, то это может говорить о наличии в груди злокачественного новообразования. Так, например если видно темное пятно, имеющее неровные контуры, то это с большой вероятностью карцинома. У этого опасного образования есть акустическая тень, и она по своей структуре является неоднородной. Однако следует учитывать, что подобные признаки возникают довольно часто и в других случаях. Обычную кисту, как правило, выявляют по ее округлой форме, а также четким контурам. Подозрение на наличие раковой опухоли обычно складывается в результате того, что выявляют образования, обладающие толстыми стенками и разрастаниями внутри исследуемой полости.
При ультразвуковой диагностике груди у женщин следует принимать во внимание регулярность менструального цикла и, особенно это касается дня, когда осуществляется УЗИ. При этом подготовку к обследованию выполнять нет необходимости, поскольку его осуществляют сразу же после обращения человека в диагностический центр. При выявлении участков с гипоэхогенностью нужно будет повторно произвести УЗИ уже через месяц.
Источник: https://bolitgrud.net/2017/04/chto-nuzhno-znat-pro-gipoehogennoe-obrazovanie/
Гипоэхогенное образование в матке: причины и обследование с помощью УЗИ
Для незнающего человека слова «гипоэхогенное образование» звучат как диагноз, однако это не так. Под этим понятием могут скрываться различные диагнозы, от кисты до рака эндометрия.
Что подразумевается под гипоэхогенным образованием?
Гипоэхогенное образование в матке
Всем знакома процедура УЗИ, которая заключается в направлении звуковых волн высокой частоты на определенный орган. Звук отражается от тканей, и на мониторе у специалиста появляется картинка. Эту процедуру называют еще эхографией, так как аппарат работает на принципе эхо.
Каждый орган в теле человека обладает своей эхогенностью и однородностью (или разнородностью) структуры, опытный врач знает эти различия и понимает, есть ли патология.
Гипоэхогенное образование в матке («гипо» – пониженный, нижний) – это участок ткани с меньшей эхогенностью, чем остальные ткани матки.
В этом месте ультразвук движется медленнее, врач видит это на экране как затемнение. Чаще всего такой структурой обладают сосудистые образования, наполненные жидкостями, то есть таким образованием может быть киста или опухоль. Однако специалист УЗИ не напишет в бланке «киста», так как для более точной постановки диагноза необходимо дальнейшее обследование, такое как биопсия.
Если врач заметил на экране темное образование, которое он определяет, как гипоэхогенное образование, он должен подробно описать этот участок: его размеры, контуры. Все это поможет гинекологу определиться с диагнозом и назначить лечение. Стоит помнить, что гипоэхогенное образование – это не всегда приговор и страшный диагноз. УЗИ имеет свои погрешности и недостатки.
Качество изображения зависит от многих факторов, которые влияют на результат:
- Опыт специалиста. Человеческий фактор играет свою роль, врач тоже может ошибиться.
- Подготовка к обследованию. Перед процедурой вас предупредят о том, как нужно готовиться. Вероятнее всего медсестра попросит сходить в туалет и опорожнить мочевой пузырь, а также поинтересуется фазой цикла.
- Аппарат УЗИ. Бывают устаревшие аппараты, однако такое встретишь нечасто. Чем выше скорость звуковых волн, чем четче картинка.
- Особенности пациента. Должно учитываться все: наличие заболеваний, анатомические особенности, патологии, фаза цикла, наличие или отсутствие беременности и т.д.
Возможные причины возникновения образования
После того, как специалист УЗИ опишет образование, а гинеколог проведет все необходимые анализы, может быть поставлен диагноз и назначено лечение:
- Карцинома матки. Другое название этого заболевания – рак тела матки или рак эндометрия. Обычно женщина приходит к врачу с кровотечением, которое не проходит даже после окончания месячных, врач отправляет пациентку на УЗИ, где обнаруживается неоднородное образование с различными кистозными включениями и прочие патологии. Основной метод лечения – хирургический, если нет противопоказаний к оперативному вмешательству. Применяется также лучевая терапия. Прогноз зависит от того, на какой стадии обнаружилась болезнь.
- Карцинома шейки матки. Это злокачественная опухоль в области шейки матки, которая ближе всех расположена к влагалищу. Причиной развития рака является вирус папилломы человека, однако наличие ВПЧ в организме не означает, что женщина обязательно заболеет онкологией, есть и другие факторы риска, такие как беспорядочные половые связи, частые роды, курение, слабый иммунитет. Довольно часто подобные опухоли встречаются у беременных, поэтому каждая беременная женщина должна пройти тщательное обследование на ранних сроках.
- Кисты. Кистой называют доброкачественное образование, которое не приводит к возникновению рака и не влияет на репродуктивную функцию. С этим понятием сталкивается почти каждая женщина. Кисты могут развиться по самым разным причинам: гормональные нарушения, травмы при абортах и родах, заболевания половых органов. Удалению подлежат только крупные кисты. Для этого применяют пункцию, прижигание, лазерное удаление, радиоволны.
- Внутренний эндометриоз. Слизистая оболочка разрастается в мышечную ткань, что и вызывает патологию. Эта болезнь чаще встречается у женщин старше 35 лет. Она сопровождается кровянистыми выделениями, болями в животе и пояснице, бесплодием. Есть несколько стадий болезни, от одного или нескольких очагов поражения до полного срастания органов, прямой кишки, влагалища. Лечение может быть как медикаментозным, так и оперативным. При небольшом количестве очагов врач прописывает гормональные таблетки, которые также повышают шансы на беременность.
Гипоэхогенное образование во время беременности и после родов
Образование патологии при беременности
Беременных женщин особенно беспокоят различные патологии, обнаруженные во время УЗИ. Это легко объяснить тем, что женщина беспокоится не только за себя, но и за ребенка.
Во время беременности может быть обнаружено гипоэхогенное образование в полости матки. Это может быть функциональная киста, которая не нанесет вреда, или же сгусток крови, который является угрозой для беременности. Источником сгустка могут быть небольшие сосуды, поврежденные во время имплантации плодного яйца. Если гематома будет расти, она может спровоцировать выкидыш, поэтому рекомендуется регулярный УЗИ контроль. В процессе обследования и наблюдения станет видно, насколько давно образовался сгусток, прогрессирует ли он, насколько он опасен по размерам и местоположению для плода.
Только врач-гинеколог может оценить опасность ситуации, какой вид кисты обнаружился и какое лечение будет наиболее продуктивным.
В случае опасности женщине предложат лечь на сохранение в больницу, где за ней будет постоянно наблюдать медперсонал и проводиться сохраняющая терапия. В некоторых случаях бывает необходимо прервать беременность.
Больше информации о ВПЧ и раке шейки матки можно узнать из видео.
Гипоэхогенные образования после родов (особенно, если женщина родила недавно) могут быть связаны с недостаточным сокращением матки. В этом случае матка имеет увеличенные размеры и плохо опорожняется. Часто это сопряжено с воспалением. Врач может посоветовать кормить грудью, так как в процессе лактации вырабатывается окситоцин, вызывающий сокращения матки. При сильном воспалении могут быть назначены антибиотики и спазмолитики, чтобы избежать спазма шейки матки.
После абортов и родов может возникнуть гематометра матки, то есть скопление крови в каком-либо участке матки.
Она может сопровождаться сильными болями внизу живота и резким прекращением кровотечения, стандартного после родов и аборта. Именно УЗИ позволяет выявить эту патологию. Лечение заключается в приеме сокращающих препаратов, которые удаляют из полости матки все лишнее. Если терапия не помогает, жидкость отсасывают зондом. Эту процедуру нельзя проводить при сильном воспалении, поэтому сначала рекомендуется пропить курс противовоспалительных препаратов.
Особенности УЗИ матки
Обследования матки с помощью УЗИ
Как уже говорилось выше, не всегда результат УЗИ бывает достоверным. Как и любая медицинская процедура, УЗИ требует подготовки и имеет свои особенности. Даже если врач написал в заключении «гипоэхогенное образование», гинеколог скорее всего посоветует вам сделать еще одно УЗИ у другого специалиста на другом аппарате, чтобы подтвердить наличие этого образования.
УЗИ может быть различным:
- Без внутреннего введения аппарата (через живот)
- С введением аппарата внутрь влагалища, через прямую кишку у девственниц или же в редких случаях с введением тонкого зонда прямо в полость матки.
- Иногда врач сочетает несколько методов.
Медсестра обязательно предупредит Вас о том, как нужно подготовиться к обследованию, чтобы результаты были наиболее точными:
- При обследовании без внутреннего введения рекомендуют попить, чтобы наполнить мочевой пузырь, это поможет специалисту увидеть патологию.
- При внутреннем введении наоборот, нужно опорожнить мочевой пузырь и за сутки очистить кишечник. Все эти процедуры снижают риск ошибок во время обследования.
При трансвагинальном обследовании используется также специальная насадка (или презерватив). Это лучший способ оценить состояние шейки матки. Точность результата зависит также от фазы цикла. Наиболее точные результаты получаются в начале цикла, когда эндометрий утончается и не мешает рассмотреть все патологии, полипы и кисты.
Если же процедура УЗИ срочная, но фаза цикла неподходящая, пациентку могут попросить повторить обследование после начала месячных (на 5-7 день).
Не стоит бояться какого-либо облучения. УЗИ – абсолютно безопасный метод, его можно проводить так часто, как это необходимо. Это доступная процедура, пройти которую можно в любом медицинском центре.
Результат УЗИ может назначаться врачом для подтверждения диагноза, в случае появления тревожных симптомов (боли, кровотечение, выделения), в качестве профилактики или для проверки эффективности лечения. После родов женщине назначается УЗИ, чтобы проверить сокращения матки, наличие сгустков и состояние шва после кесарева сечения.
Добавить комментарий Отменить ответ
В продолжение статьи
Мы в соц. сетях
Комментарии
- ГРАНТ – 25.09.2017
- Татьяна – 25.09.2017
- Илона – 24.09.2017
- Лара – 22.09.2017
- Татьяна – 22.09.2017
- Мила – 21.09.2017
Темы вопросов
Анализы
УЗИ / МРТ
Новые вопросы и ответы
Copyright © 2017 · diagnozlab.com | Все права защищены. г. Москва, ул. Трофимова, д. 33 | Контакты | Карта сайта
Содержание данной страницы исключительно ознакомительного и информационного характера и не может и не являет собой публичную оферту, которая определяется ст. №437 ГК РФ. Предоставленная информация существует с ознакомительной целью и не заменяет обследование и консультацию у врача. Имеются противопоказания и возможны побочные эффекты, проконсультируйтесь с профильным специалистом
Источник: https://diagnozlab.com/analysis/cancer/gipoehogennoe-obrazovanie-v-matke-prichiny-i-obsledovanie-s-pomoshhyu-uzi.html
О чем свидетельствует гипоэхогенное образование в области яичников
Женщина, которая интересуется, что такое гипоэхогенное образование в яичнике, должна знать, что посторонним включением обычно является киста или злокачественная опухоль. Чаще всего речь идет о доброкачественной кисте.
Термин «гипоэхогенность» широко применяется при ультразвуковой диагностике. О том, что он означает, и стоит ли волноваться, если в придатке было обнаружено образование со сниженной эхогенностью, пойдет речь в этой статье.
Что такое «гипоэхоенность»
При УЗИ с помощью датчика звуковые волны отправляются в область органа, а затем отражаются от него, т. е. преобразуются в эхо. Исходя из акустической плотности (эхогенности), врач-диагност делает выводы о структуре исследуемого объекта.
Поставить правильный диагноз только по УЗИ проблематично, т. к. образование может не иметь специфических внешних признаков. Округлыми гипоэхогенными включениями в придатках являются:
Гипоэхогенное образование в яичнике: особенности
В 25% случаев гипоэхогенное включение – это опухоль придатка, которая может быть функциональной или «шоколадной» кистой, зрелой тератомой или цистаденомой. Определить тип образования бывает сложно. Для точной диагностики требуется сбор анамнеза и проведение дополнительных обследований.
Если киста имеет доброкачественный характер, то для лечения применяются гормональные и другие медикаменты. После терапии опухоль, как правило, исчезает. Злокачественные образования остаются в области малого таза и продолжают отслеживаться на УЗИ как посторонние гипоэхогенные включения.
Врач-диагност оценивает внешний вид опухоли и ее внутреннюю структуру. По строению она может быть однородной, неоднородной или содержать отдельные гиперэхогенные элементы.
Часто однородные тела являются карциномами, а неоднородные – диффузными формами рака. Аденома придатка предполагается тогда, когда в гипоэхогенной опухоли обнаруживаются вкрапления с высокой степенью эхогенности.
Лечение патологии
Женщину, у которой было обнаружено гипоэхогенное образование в яичнике, наверняка тревожит, что это такое, однако для точной диагностики нередко требуется проведение дополнительных обследований.
Гипоэхогенные образования почти не склонны к стремительному росту, но обратиться к гинекологу необходимо сразу после проведения УЗИ, поскольку промедление иногда приводит к злокачественной трансформации опухоли. Лечение патологии сводится к устранению причины, повлекшей ее развитие, и ликвидации постороннего включения (медикаментозной или хирургической).
При доброкачественной кисте возникают проблемы с менструальным циклом, головные боли, тошнота, рвота, болезненность внизу живота (в том числе во время интимной близости). Иногда повышается температура тела. Если патология развилась в результате гормональных отклонений, то рекомендуются гормональные препараты, на фоне лечения которыми образование регрессирует и через 3-5 месяцев окончательно исчезает. Дополнительно назначаются витаминно-минеральные комплексы и иммуностимуляторы. Тогда, когда эффект от консервативной терапии отсутствует, проводится хирургическое вмешательство (чаще путем лапароскопии).
При истинных опухолях, на усмотрение врача, выполняется радикальная операция, т. е. образование иссекается вместе с органом. Такой подход применяется в запущенных случаях, или когда женщина не планирует беременность. Чтобы избежать неприятных последствий, нужно проходить плановые осмотры у гинеколога, а по необходимости – обратиться к нему в срочном порядке.
Терапия медикаментами применяется, если гипоэхогенное образование в яичнике маленькое и доброкачественное. Даже безобидные кисты, которые влияют на работу организма из-за диаметра, подлежат оперативному удалению.
Женщинам репродуктивного возраста важно следить за состоянием здоровья, поскольку иссечение опухоли вместе с придатком, которое выполняется по необходимости, приводит к снижению фертильности.
Причины появления и лечение пиовара яичников
Что означает появление желтого тела в левом яичнике во время беременности
Что еще почитать?
Добавить комментарий Отменить ответ
Отправляя сообщение, вы даете согласие на сбор и обработку персональных данных. См. текст Соглашения
Источник: https://oyaichnikah.ru/diagnostika/gipoehkhogennost.html
Как и где определить гипоэхогенные образования
Гипоэхогенное образование — это медицинское понятие, которое описывает структуру ткани обследуемого органа, характеризующуюся более низкой плотностью во время ультразвукового исследования. Низкая плотность участка ткани означает наличие жидкостной структуры внутри органа. На ультразвуковом изображении такой участок определяется более темным цветом по сравнению с окружающими тканями. Он может указывать как на наличие в этом месте патологии, так и на нормальное физиологическое состояние исследуемого органа. Все зависит от множества факторов, которые способны повлиять на трактовку полученного результата.
Как определяют гипоэхогенное образование с помощью УЗИ
Ультразвуковое исследование внутренних органов человека строится на способности звукового колебания высокой частоты отражаться от плотных тканей. Жидкостные структуры не имеют такой способности. Это действие сравнимо с принципом работы эхо в природе. Специальный датчик посылает направленную звуковую волну на определенный орган, которая отражается от его тканей и возвращается назад. Датчик преобразует полученную информацию в ультразвуковое изображение и выводит его на монитор компьютера. Оценивает полученные данные врач-сонолог. Однако важно понимать, что эта оценка всегда субъективна и не может носить окончательный диагностический характер. Она зависит от многих факторов:
- качество оборудования;
- частота УЗ-волн;
- уровень квалификации врача-сонолога;
- анатомические и физиологические особенности исследуемого пациента;
- день проведения диагностики.
Если заранее имеется информация о хронических заболеваниях пациента и симптомах, которые послужили поводом для клинического обследования, то исследуемые органы тщательно проверяются на наличие гипоэхогенных участков и, соответственно, потенциальных патологий. Оценивается так же структура, размер и расположение органа.
Участки с низкой эхоплотностью чаще всего оказываются кистозными образованиями. Это значит, что внутри органа образовалась полость с тонкими стенками, напоминающими слизистую оболочку. Внутри она заполнена жидкостью. Однако для подтверждения точного диагноза назначается проведение биопсии.
Ультразвуковое исследование внутренних органов человека строится на способности звукового колебания высокой частоты отражаться от плотных тканей
Помимо биопсии лечащий врач может назначить дополнительное диагностическое исследование лапароскопическими и другими методами.
Важное значение имеет размер и контур гипоэхогенной зоны. Если оно имеет округлую форму, то это предполагает наличие в исследуемом органе некоторых видов опухолей или паразитарной кисты. В некоторых случаях темные участки являются нормой. В период лактации в молочной железе так может выглядеть галактоцеле — доброкачественное образование внутри железы, полость которой заполнена молоком. При УЗ-исследовании яичника в середине менструального цикла созревший фолликул выглядит как темное круглое пятно на снимке.
Неровный контур затемнения может говорить о развитии злокачественных опухолей, карценомы, кисты, фиброаденомы, аденоза груди и других патологиях.
Узлы щитовидной железы (видео)
Щитовидная железа
Если при УЗ-исследовании щитовидной выявились такие участки, то важно рассмотреть все возможные их показатели и параметры. Ни один показатель УЗИ не может считаться достоверным, если его рассматривают отдельно от остальных. Так, гипоэхогенные узлы щитовидной железы могут одинаково наблюдаться как при злокачественных опухолях, так и при доброкачественных. Поэтому требуется комплексный подход к исследованию, включающий все ультразвуковые характеристики образования с развернутой трактовкой, биохимические анализы крови, биопсию тканей и т. д.
Врачи выделяют ряд наиболее распространенных заболеваний, при которых в процессе УЗ-исследования просматриваются затемненные пятна:
- злокачественные опухоли;
- аденомы;
- узловой, диффузный, эндемический, спорадический зоб;
- заболевания иммунной системы с осложнениями на щитовидной железе.
При появлении следующих симптомов рекомендуется не откладывать визит к врачу-эндокринологу и пройти полное обследование:
- непрекращающаяся дрожь в руках;
- слабость в утреннее и вечернее время;
- мигрени;
- нарушения памяти, расстройства мыслительной деятельности;
- депрессивные состояния, агрессия;
- резкое увеличение веса без видимой причины;
- нарушение теплообмена, что выражается в чрезмерной потливости;
- нарушение менструального цикла;
- диагностировано бесплодие.
Даже один имеющийся симптом из вышеприведенных является веской причиной, для того чтобы пройти УЗ-обследование щитовидной железы.
Причинами образования гипоэхогенных узлов могут стать такие факторы, как длительный стресс, дисбаланс гормональной системы, начало воспалительного процесса в тканях железы, экологически неблагоприятная ситуация, плохое питание.
Если во время УЗ-диагностики патологий не выявлено или все показатели находятся в пределах нормы, то начинать лечение нет необходимости. При обнаружении жидкостных затемнений в тканях щитовидной железы назначают дополнительные мероприятия дифференциальной диагностики. На основании данных УЗИ и полного клинического обследования врач назначит схему лечения.
Молочная железа
Для того чтобы максимально точно определить гипоэхогенный участок в тканях молочной железы, специалисту необходимо учитывать следующие факторы:
- форму и контур;
- степень однородности окраски на изображении;
- наличие боковых теней;
- в каком состоянии находятся близлежащие участки;
- образование сосудов в тканях железы.
Участки со сниженной эхоплотностью в тканях груди могут свидетельствовать о таких потенциальных патологиях, как злокачественные опухоли. Так, карцинома просматривается в виде темного пятна с неровным контуром. Она неоднородна по своей структуре, имеется акустическая тень. Но сочетание подобных признаков может быть присуще и другим состояниям. Типичную кисту распознают благодаря четким контурам и округлой форме. Если существует подозрение на злокачественное образование, то важно помнить, что оно имеет довольно толстые стенки и разрастания внутри полости.
Во время ультразвуковой диагностики молочной железы необходимо учитывать регулярность менструального цикла, особенно день, в который проводилось обследование. Специальная подготовка к УЗ-обследованию не требуется, его проводят сразу при обращении пациента в диагностический центр. Если гипоэхогенные образования были обнаружены, необходимо пройти повторное обследование через месяц. При одинаковых результатах назначают биопсию.
Участки со сниженной эхоплотностью в тканях груди могут свидетельствовать о таких потенциальных патологиях, как злокачественные опухоли
Матка и яичники
Если во время УЗИ в матке обнаруживаются гипоэхогенные узлы, то чаще всего это указывает на развитие потенциальной опухоли. Однако ее характер (доброкачественная или злокачественная) можно определить только с помощью дифференциальной диагностики. Так, затемненный участок на стенке матки часто указывает на наличие миомы. Если просматривается гипоэхогенная зона с собственной эхоструктурой, то это определяет воспалительный процесс в матке.
В случае нечеткой формы образования речь может идти о карциноме. При этом отмечается наличие боковой тени и расширенная полость матки. Предвестниками начавшегося выкидыша являются участки с низкой плотностью, обнаруженные возле плодного яйца. Это говорит о том, что под плодом скапливается кровь, и ситуация требует экстренного вмешательства врачей.
Гипоэхогенные участки в яичниках указывают на наличие кисты, сосудистого образования, фолликула, лютеинового тела. Раковые опухоли в яичниках определяются участками с низкой плотностью очень редко. Для специалиста УЗ-диагностики большое значение имеет возраст женщины и ее репродуктивная способность. Неоднородная эхоструктура считается нормой для всех женщин, способных зачать и родить ребенка. И, наоборот, в период менопаузы структура выравнивается.
Образование в молочной железе (видео)
Печень, почки и поджелудочная железа
Когда речь идет о гипоэхогенном образовании в области печени, то это может указывать на разные патологии: опухоли, кисты и др. Для того чтобы максимально точно сложилась ультразвуковая картина состояния печени, пациент должен правильно подготовиться к обследованию. Наиболее часто встречаются следующие патологии, на которые указывают гипоэхогенные участки:
- узлы, образующиеся при циррозе печени;
- остатки здоровых участков ткани на фоне общего ожирения;
- образование тромба на участке воротной вены;
- воспаления;
- кисты, аденомы, опухоли;
- карцинома и ее метастазы.
Гипоэхогенные зоны могут быть найдены при обследовании тканей почек. Их наличие свидетельствует об образовании кисты или опухоли. Кисту можно отличить по четким границам и однородной структуре, опухоль же имеет рваные нечеткие контуры. Если развивается злокачественная патология, то часто ее сопровождает воспаление лимфоузлов в области брюшины и паха. Если дополнительно провести допплеровское исследование, то обнаружится, что ток крови внутри этого образования отсутствует.
Для того чтобы точно поставить диагноз и начать лечение почек, одного исследования ультразвуком недостаточно. Назначают комплексное клиническое обследование пациента, которое включает ангиографию, компьютерную томографию, анализ крови, биопсию.
Ультразвуковые исследования поджелудочной железы могут указать на участки тканей, плотность которых явно снижена. Это позволяет выявить такие патологии, как:
- Раковые метастазы. Их определяют по размытым границам образования. Сама эхоструктура затемнена на картинке.
- Киста. Имеет ровный контур и четкую округлую форму, структура полностью однородна.
- Раковая опухоль. По краям образования имеются тонкие отростки. Ультразвуковая картинка сопровождается такими симптомами, как увеличение поджелудочной железы в размере, деформация и смещение крупных кровеносных сосудов внутри нее. Допплеровское исследование может подтвердить предполагаемый диагноз, так как нормальный ток крови в этих местах будет отсутствовать.
Брюшная полость и селезенка
С помощью ультразвука успешно проводятся исследования всех органов желудочно-кишечного тракта. Если кишечник болен, то его стенки утолщаются. На фоне прилегающей жировой ткани они определяются ультразвуковой волной как гипоэхогенные зоны. Среди заболеваний, которые характеризуют структуры с низкой плотностью на УЗ, выделяют:
- паховую грыжу;
- различные кровотечения внутри брюшной полости;
- воспалительные процессы;
- болезнь Крона (язвы, которые поражают обширные участки желудочно-кишечного тракта);
- воспаление лимфатических узлов;
- рак слепой кишки;
- метастазы, которые начали проникать в забрюшинные лимфатические узлы.
Этот перечень заболеваний далеко не полный. Поэтому очень важно провести качественную диагностику, при необходимости дополнить ее другими методами.
Селезенка выглядит на УЗИ как однородная структура. Но слишком большое количество кровеносных сосудов внутри этого органа создает необходимость использовать контрастные вещества для получения более точного диагноза. Наиболее часто с помощью ультразвуковых гипоэхогенных образований в селезенке обнаруживают обширные гематомы, которые образуются вследствие ее разрыва; инфаркт; лимфома; сосудистые образования, которые имеют доброкачественную природу; метастазы, прорастающие в селезенку из других онкологически пораженных органов (почек, яичников, молочной железы и других).
Источник: https://bolitgrud.com/2017/04/kak-i-gde-opredelit-gipoehogennyie-obrazovaniya
Так ли страшно гипоэхогенное включение
Образование, обозначенное гипоэхогенным, — это не что иное, как довольно низкоплотная структура (по сравнению с окружающими ее тканями). В зависимости от места локализации, указанное образование может быть и вариантом нормы, и серьезной патологией.
Что это такое
Уменьшенной эхо-плотностью наделено жидкостное образование. Зачастую оно представляет собой кисту, однако нельзя сразу поставить точный диагноз. Только по результатам биопсии, лапароскопии, цистоскопии и иных исследований можно делать окончательные выводы о наличии или отсутствии кист.
Диагностировав жидкостную структуру в каком-либо органе, в заключении УЗИ врачу необходимо упомянуть контуры, форму и размеры данного новообразования.
Например, включение округлой формы может являться:
- кистой;
- одной из разновидностей опухоли;
- эхинококковой (паразитарной) кистой;
- галактоцеле (при условии его выявления в грудной железе кормящей матери);
- нормальным фолликулом (при обнаружении его в яичнике в середине менструального цикла).
Когда включение имеет неоднородные границы, его можно обозначить следующим образом:
Следует отметить, что последний вариант (фиброаденома) считается предраковым состоянием организма.
Изменения в щитовидной железе
Выявленное темное пятно на снимке УЗИ является включением с уменьшенной акустической плотностью. Этого не стоит пугаться, поскольку заключение врача-сонолога – только результат обследования, но не диагноз. Обнаруженным участком в щитовидной железе могут быть:
- киста или иное жидкостное образование;
- узловые образования;
- онкологические отклонения (лишь у 5 % пациентов).
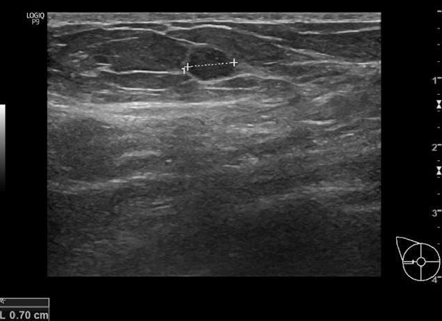
После обследования необходимо получить консультацию врача-эндокринолога, а также сдать кровь на некоторые гормоны. При результатах анализа в пределах нормы следует выполнить ультразвуковое исследование щитовидной железы через полгода.
В случае если повторное УЗИ также выявит гипоэхогенное образование щитовидной железы, расположенное на прежнем месте и не сильно увеличившееся в размерах (на 1 см), потребуется сделать биопсию. Также не стоит игнорировать неоднородную структуру и плохо очерченные границы гипоэхогенных узлов.
Изменения структуры матки
Структура с пониженной эхо-плотностью (гипоэхогенная) в указанном органе зачастую является опухолевидным образованием. Причем оно является как добро-, так и злокачественным.
Гипоэхогенное образование обнаруженное при УЗИ матки описывается по-разному, в зависимости от своих размеров, формы, места локализации и структуры. Такой участок может быть:
- воспалением;
- миомой (произрастает в стенке матки);
- прогрессирующим выкидышем (область с пониженной эхогенностью локализована около плодного яйца, происходит скопление крови).
Рак матки характеризуется размытыми границами новообразования, расширением полости органа и увеличением толщины эндометрия. При этом структура последнего довольно неравномерна.
Деформация структуры молочных желез
Гипоэхогенное образование в молочной железе – нередкое явление. Возникшая область может служить признаком следующих патологий:
- Рак. Включение неоднородное, отбрасывает акустическую тень, контуры размыты. При диагностике имеет значение день цикла.
- Аденоз. Признаки похожи, часто бывает неправильной формы.
- Доброкачественная киста. Форма округлая, контуры явные, эхогенность понижена.
- Атипичное новообразование. Стенки утолщены, имеют место разрастания внутрь и отложения солей кальция. Не исключено озлокачествление.
- Фиброаденома. Контуры явные, очерчены ровно.
Никакой специальной подготовки к УЗИ молочных желез делать не нужно, но нужно знать на какой день делать УЗИ молочных желез. Если обнаружены гипоэхогенные образования, возможно повторное УЗИ через месяц. В случае если результаты не изменятся, необходима биопсия.
Изменения в структуре селезенки
Эхогенность на УЗИ селезенки однородна и чуть выше, чем у печени, но это является вариантом нормы. Гипоэхогенное включение в данном случае представляет собой:
- Интрапаренхимальную гематому в острой форме. Является следствием травмы живота, происходит при разрыве органа.
- Доброкачественное сосудистое образование (гемангиому).
- Лимфому селезенки.
- Инфаркты органа.
- Различные метастазы (остеосаркомы, саркомы и пр.).
По мнению специалистов, в селезенке кистозные образования дермоидной, солитерной и эхинококковой природы обладают смешанной эхоструктурой.
Патология в яичниках
Обычно гипоэхогенное образование при УЗИ яичников может являться:
- кистой;
- неразорвавшимся фолликулом;
- лютеиновым телом;
- карциномой (редкое явление).
Если пациентка находится в репродуктивном возрасте, неоднородная структура органа является нормой. Во время менопаузы все с точностью до наоборот.
Чтобы своевременно диагностировать гипоэхогенное образование в яичнике, а также иные патологии органа, необходимо проводить его УЗИ ежегодно.
Патологии в почках
В почках область с низкой плотностью является либо кистой, либо опухолевидным образованием. Одинаковую, равномерную структуру и ровно очерченный контур имеет только киста. Характеристики опухоли полностью противоположны, а положение осложнено увеличенными забрюшинными лимфатическими узлами. Выявить кровоток при исследовании доплером не получится.
Для того чтобы точно определить характер новообразования, недостаточно лишь сделать ультразвукового исследования почек. Потребуется также ангиография, компьютерная томография, возможно проведение биопсии.
Изменения в поджелудочной железе
Акустическая плотность какого-либо участка понижается при наличии следующих патологий:
- Метастазы. Образование гипоэхогенно, имеет неявный контур, занимает часть ткани органа.
- Киста. Границы четкие и ровные, структура однородная.
- Геморрагический панкреатит или фибролипоматозный процесс в органе.
- Карцинома. Орган увеличен, питающие его сосуды смещены.
При подозрении на рак, помимо ультразвукового исследования поджелудочной, следует провести обследование доплером. Если у пациента развилась карцинома, кровоток в новообразовании не определится.
Изменения в печеночной ткани
Нередко выявляют гипоэхогенное образование в печени. Оно может свидетельствовать о таких возникших патологиях:
- Узлы. Проявляются при циррозе, имеют округлую форму, возможна бугристая структура по краям.
- Кисты. Наблюдается кровоизлияние, границы ровные и четкие.
- Тромбоз. Поражена внутрипеченочная область воротной вены. Образование овальной, круглой или удлиненной формы, его структура неоднородная (рыхлая).
- Абсцессы. Наблюдаются области разной эхогенности, имеют место пузырьки газа. Контуры расплывчатые.
- Узловая гиперплазия. Округлая форма, четкие и ровные границы. К периферии отходят эхогенные выросты. Не является нормой УЗИ печени.
- Аденома. Контур четкий, по структуре однородна. Внутри включения выявляются сигналы.
- Карцинома. Неоднородная, имеет области кровоизлияния, отложения солей кальция. Локальные лимфоузлы деформированы, не исключен асцит.
- Метастазы. Границы варьируются, гипоэхогенные. Ткань органа не деформирована.
Важно: Гипоэхогенная область может возникнуть в любом органе человека. Чаще встречаются опухолевидные образования и киста, однако не исключены и иные патологии. Некоторые из них устраняет медикаментозная терапия, для избавления от других потребуется хирургическое вмешательство. Чтобы получить максимально точные результаты и конкретизировать состояние, пациенту необходимо грамотно подготовиться к процедуре ультразвукового исследования.
Источник: https://uzikab.ru/pro-uzi/gipoekhogennoe-obrazovanie.html
Негомогенное образование что это
Оглавление:
Как обнаруживают гипоэхогенное образование
- частоты ультразвуковых волн, генерируемых аппаратом: чем частота выше, тем лучше четкость картинки на экране, чем ниже, тем глубже его проникновение в ткани
- анатомических особенностей пациента (например, сердце будет трудно увидеть при эмфиземе легких)
- квалификации сонолога
- наличия информации о симптомах пациента, его хронических болезнях: это поможет сонологу не пропустить тот орган (органы), в которых может быть потенциальная патология.
Что такое участки со сниженной плотностью
- киста
- некоторые виды опухоли
- паразитарной кистой (эхинококковой)
- в молочной железе во время лактации – галактоцеле
- в яичнике ближе к средине цикла – нормальный фолликул.
- кистой
- аденозом молочной железы
- опухолью
- фиброаденомой грудной железы.
Описание УЗ-структуры щитовидной железы
- киста
- жидкостная структура
- сосудистое образование
- только в 5% случаев – онкологическая патология.
- консультация эндокринолога
- кровь из вены на такие гормоны, как ТТГ, антитела к тиреоглобулину, трийодтиронин и T4.
Какие отклонения в структуре матки
- Карцинома обычно описывается как структура с нечеткой формой. При этом отмечается увеличение M-эхо и расширение полости матки. Структура эндометрия описывается как неоднородная.
- Если на УЗИ описывается гипоэхогенная зона, которая имеет внутреннюю эхоструктуру, это обычно – воспаление матки.
- Миома матки, локализующаяся в ее стенке, будет тоже выглядеть как гипоэхогенный участок.
- Участок со сниженной эхогенностью обнаруживается возле плодного яйца – признак того, что под зародышем скопилась кровь, что говорит о начавшемся выкидыше.
Отклонение произошло в структуре грудной железы
- карцинома железы: гипоэхогенна, имеет нечеткий и неровный контур, акустическую тень, является неоднородной по структуре. Не все признаки должны обязательно встречаться, а кроме того, есть состояния с похожим описанием. Чтобы четко рассмотреть образование, необходимо помнить, на какой день цикла делать УЗИ молочных желез
- аденоз имеет похожие признаки: гипоэхогенность, нечеткие контуры и границы, зачастую – неправильная форма
- типичная киста: снижена эхогенность, четкий контур, округлая форма
- атипичная киста с подозрением на ее озлокачествление: довольно толстые стенки образования, разрастания внутри него, кальцинаты
- фиброаденома: имеет четкий и ровный контур; очень похожа на злокачественную опухоль с ограниченным ростом.
Патология структуры яичника
- фолликулом
- сосудистым образованием
- лютеиновым телом
- кистой
- очень редко – раком (чаще он имеет другое описание).
Если структуру нашли в почке
Патология поджелудочной железы
- метастазы в ткань: образование занимает не всю ткань поджелудочной; оно гипоэхогенно, у него размытые границы
- киста: ровный контур и однородность (без включений) образования
- несколько участков гипоэхогенной структуры говорят или о геморрагическом панкреатите, или о фибролипоматозном процессе в железе
- рак железы: у образования есть тонкие периферические выросты, до него железа увеличена, есть смещение крупных сосудов, питающих саму железу. Если сделать не просто УЗИ поджелудочной железы, но и допплерографию, кровоток в этой структуре определяться не будет.
Нарушение структуры печеночной ткани
- Это оставшиеся участки нормальной ткани на фоне жировой инфильтрации органа. Их особенности: обнаружение в области возле воротной вены или ложа желчного пузыря, у них чаще всего треугольная или овальная форма.
- Узлы при циррозе: гипоэхогенны, округлые, могут быть бугристыми по периферии.
- Кисты с кровоизлияниями: контуры ровные, есть внутренние эхосигналы.
- Тромбоз внутрипеченочного участка воротной вены: эхо-структура рыхлая, форма – овальная, округлая или удлиненная.
- Абсцессы: есть участки разной эхогенности, часто содержатся газовые пузырьки, края неровные, мембрана – эхогенная.
- Узловая гиперплазия – это не норма УЗИ печени. Участок гипоэхогенный, форма округлая, контуры ровные. Есть эхогенные выросты, которые тянутся к периферии.
- Аденома: однородная, с ровными границами, внутри могут определяться небольшие сигналы.
- Рак печени: неоднородное образование, в нем могут определяться участки кровоизлияния, кальцификаты. Изменены также локальные лимфоузлы, может определяться асцит.
- Метастазы: неровные границы, иногда может быть гипоэхогенный контур. Ткань печени не изменена.
Самое популярное
Эхогенное образование — что это такое, причины возникновения, симптоматика и лечение
На сегодняшний день одним из самых распространенных методов диагностики состояния организма считается УЗИ. Положительными сторонами этого метода является отсутствие какой-либо специальной подготовки к его проведению, безвредность и полная доступность. При исследовании различных органов часто можно услышать такой термин, как эхогенное образование и что это такое знает, к сожалению не каждый пациент.
Эхогенное образование: описание
Что такое эхогенное образование
Современная медицина определяет «эхогенность» как термин, который используется при проведении ультразвуковых исследований для определения степени проводимости тканями ультразвуковых волн.
Например, кости обладают свойством полностью отражать ультразвук благодаря своей повышенной плотности. Кроме этого, полное отражение ультразвука наблюдается в той области, где проходит граница между органами и тканями и присутствует большое количество воздуха.
Сильное отражение ультразвука чаще всего свойственно плотным тканям, а те, которые содержат в себе большое количество жидкости, обычно проводят этот сигнал и усиливают его.
Все эти отражение ультразвука отображаются на экране монитора, а скопления воздуха окрашиваются в белый цвет.
Специалисты говорят о том, что плотные ткани отличаются повышенной эхогенностью, а органы с большим содержанием воды имеют более низкую степень.
В щитовидной железе
Эхогенное образование в щитовидной железе: причины и симптомы
На определение эхогенности щитовидной железы оказывает влияние на качество отражения ультразвука от исследуемой ткани. В основе диагностического исследования лежит акустическая плотность щитовидной железы и чаще всего выделяется это свойство как определенная степень почернения на экране монитора аппарата.
Гипоэхогенные узлы в щитовидной железе представляют собой обычные узлы, присутствие которых может свидетельствовать о прогрессировании в железе злокачественных новообразований либо о возникновении структур с жидким содержимым. В том случае, если специалистом определяется пониженная эхогенность, то можно говорить об образовании кист различного характера в щитовидной железе.
Именно УЗИ с определением эхогенных включений позволяет определить качественный состав клеток этого органа и тем самым ответить на вопрос о том, является ли выявленное новообразование злокачественным.
Диагностирование пониженной эхогенности щитовидной железы требует дополнительного проведения такого исследования, как анализ крови с определением уровня гормонов.
В том случае, если проведенные исследования крови будут иметь нормальные результаты, то пациент просто ставится специалистом на учет, и он находится под постоянным контролем. При диагностировании различных отклонений от нормативных показателей больному назначается соответствующее лечение.
Причины пониженной эхогенности щитовидной железы могут быть следующие:
- недостаточное поступление в организм йода
- образование диффузного токсического зоба в щитовидной железе
- тиреоидит иммунного характера
В некоторых случаях при проведении диагностического исследования специалистом выявляется пониженная эхогенность щитовидной железы. Причиной такого состояния органа могут быть начало активного процесса разрушения щитовидной железы. Развитие такого патологического процесса может начаться в результате снижения количества жидкости, быстром разрастании соединительной ткани и при начале ее кальцинирования.
Определение специалистом зон повышенной эхогенности не является поводом для постановки неутешительного диагноза. В такой ситуации обычно назначается исследование крови на уровень гормонов и по его результатам определяют степень функционирования щитовидной железы.
Эхогенные образования в щитовидной железе жидкостной структуры, то есть кисты могут возникать по следующим причинам:
- частые стрессы и нервные напряжения
- прогрессирование воспалительных процессов в тканях органа
- изменение гормонального фона организма
- воздействие на организм неблагоприятных экологических факторов
При прогрессировании патологи в организме человека может наблюдаться определенная симптоматика:
- проблемы с весом
- повышенная слабость всего организма
- трудности во время глотания
- чувство кома и сдавленности в горле
- появление болевого синдрома в области шеи
При такой симптоматике следует обязательно показаться специалисту, поскольку для ранних стадий развития патологии свойственно отсутствие каких-либо ярко выраженных признаков.
В яичниках
Эхогенные образования в яичниках
При прогрессировании в женском организме различных гормональных изменений и нарушений функционирования яичников может наблюдаться появление таких эхогенных образований, как кисты. Чаще всего специалисты диагностируют фолликулярную кисту, причиной появления которой становится изменение гормонального фона женского организма.
Под воздействием половых гормонов происходит нарушение работы яичников и результатом этого становится отсутствие овуляции, то есть нарушается процесс выхода яйцеклетки из яичника.
Чаще всего такие кисты самостоятельно исчезают без проведения кого-либо лечения, и лишь в редких случаях для их устранения требуется поведение медикаментозной терапии. Не таким уж и редким явлением становится такое анэхогенное включение, как эндометриоидная киста.
Основным ее отличием от других новообразований считается:
- наличие более твердой оболочки
- неоднородная структура новообразования
- имеет постоянный размер либо постепенно увеличивается на протяжении нескольких циклов
Больше информации о кисте яичников можно узнать из видео.
При диагностировании эндометриоза специалисты могут выявлять как одиночные эндометриоидные кисты, так и их большое количество.
В более тяжелых случаях в организме женщины могут диагностироваться одиночные и многокамерные серозные кисты.
В некоторых ситуациях они могут выступать в виде самостоятельных новообразований, а иногда является проявлением опухолей злокачественного характера.
В печени
Эхогенные образования в печени: диагностика и причины
Диагностирование участков со сниженной эхогенностью в печени может свидетельствовать о следующих патологиях:
- образование узлов в печени при таком патологическом состоянии, как цирроз
- появление кист с кровоизлияниями
- наличие участков с разной степенью эхогенности и содержанием газовых пузырьков свидетельствует о развитие абсцесса
В печени эхогенные образования могут возникать в результате:
- онкологии печени
- формирования метастаз
- тромбоза внутрипеченочного участка
- аденомы
Появление эхогенных образований в области печение может говорить о прогрессировании в организме совершенно любой патологии. Чаще всего специалистами диагностируется образование узлов либо кист, однако, возможно и развитие более сложных состояний. Лечение в каждом случае назначается индивидуально и может проходить как с применением медикаментозной терапии, так и оперативного вмешательства.
В груди
Эхогенное образование в груди: виды патологий
Каждой женщине рекомендуется хотя бы раз в год проходить обследование молочной железы и как можно чаще делать это самостоятельно в домашних условиях. В том случае, если женщину начинают беспокоить нарушение симметричности грудей, размер и их форма, то следует как можно скорее посетить специалиста.
Не совсем приятным сигналом может стать и повышена плотность молочных желез в сочетании с появлением болезненных ощущений. В такой ситуации при посещении врача женщине будет предложено пройти ультразвуковое исследование и на основе полученных результатов будет сделан соответствующий вывод.
В зависимости от плотности эхогенных образований молочной железы выделяют следующие виды патологий:
- Не так уж и редко у женщин диагностируются гипоэхогенные образования в молочной железе в виде доброкачественных опухолей либо кистозных образований. Причиной их возникновения обычно служит изменение гормонального фона женского организма. Для таких образований в молочной железе свойственно скопление жидкости и при постепенном увеличении их размеров специалистами назначается дополнительное проведение биопсии либо гистологии.
- Одним из опасных эхогенных образований в тканях груди является киста, которая обычно выявляется во время ультразвукового обследования. Для определения ее опасность проводится дополнительное исследование в виде пункции и цитологического исследования.
- Эхогенные образования в молочной железе обычно появляются в виде узлов повышенной плотности, которые имеют прочные стенки и жидкое содержимое. При описании простых кист применяется термин «однородная эхогенная структура», а в более сложных случаях специалист может говорить о наличии в полости молочной железы гиперэхогенного включения. При любом из этих описаний присутствует опасность того, что в выявленном образовании могут быть раковые клетки. Особую угрозу представляют собой эхогенные образования, имеющие неровные контуры и различные виды включений и деформаций.
Сделать заключение о безопасности любого образования сможет только врач — маммолог на основе результатом проведенного ультразвукового исследования и дополнительных анализов.
В цервикальном канале
Эхогенное образование в цервикальном канале: причины, симптомы и лечение
У женщин цервикальный канал представлен в виде части шейки матки, которая соединяет между собой полость детородного органа и влагалище. Внутренняя полость цервикального канала выстлана клетками цилиндрического эпителия, в котором присутствуют различные углубления в виде желез.
В том случае, если развивается закупорка таких желез, то появляются такие эхогенные образования, как кисты. Причиной их возникновения является нарушение процесса оттока субстрата и при накоплении его в большом количестве и в результате происходит растяжение стенок протока.
Чаще всего такое патологическое явление наблюдается:
- при прогрессировании воспалительных процессов в шеечном канале
- после проведения процедуры прижигания эрозии шейки матки
Киста представляет собой доброкачественное образование, внутри которой скапливается жидкость.
При развитии такого образования женщина может обратить внимание на следующие симптомы:
- сбои менструального цикла
- появление болезненных ощущений в нижней области живота
- развитие воспалительного процесса в придатках
Киста, местом локализации которой становится цервикальный канал, считается одним из распространенных заболеваний женщин репродуктивного возраста.
При проведении ультразвукового исследования шейки матки киста обнаруживается как гипоэхогенное образование.
Обычно такие кисты не оказывают существенного влияния на течение беременности и довольно часто исчезают после рождения ребенка без какого-либо специального лечения.
На шейке матки могут возникать кисты двух видов:
В том случае, если такие эхогенные образования не вызывают у женщины никакого беспокойства и дискомфорта, то обычно никакого лечения не проводится. Такие кисты обычно не провоцируют развитие каких-либо осложнений, не являются угрозой для состояния здоровья и могут самостоятельно рассасываться. Лишь в тех случаях, когда кисты представляют собой образования больших размеров, которые продолжают расти и деформировать шейку матки, специалистом проводится их вскрытие и удаление содержимого.
В любом случае выбор того или иного метода лечения определяется специалистом на основе результатов ультразвукового исследования и других видов процедур.
Лечение таких эхогенных образований в цервикальном канале обычно проводится следующими методами:
- резекция с применением лазера выполняется в том случае, когда киста располагается рядом с шейкой матки и хорошо просматривается зеркалами
- радиоволновая хирургия назначается в том случае, если новообразование находится рядом с наружной частью цервикального канала
- к методу криотерапии прибегают в том случае, когда необходимо удалить глубоко расположенные кисты
Эхогенное образование во время беременности
Самыми распространенными кистозными образованиями, которые выявляются во время беременности, являются кисты желтого тела. На ранних сроках беременности основной задачей желтого тела является выработка прогестерона, который помогает процессу децидуализации эндометрия. Желтое тело располагается в толще яичника и представляет собой эхогенное образование 2-3 см.
В большинстве случаев развитие кист в организме беременной женщины не сопровождается проявлением какой-либо симптоматики и их редко удается диагностировать во время проведения обычного гинекологического осмотра.
Чаще всего такие кисты не требуют какого-либо вмешательства, поскольку к середине второго триместра беременности они подвергаются инволюции. Эхогенное образование может обнаруживаться и в полости матки, что совершенно не служит поводом для постановки какого-либо анализа. В такой ситуации специалистом проводится сбор анамнеза женщины, изучаются ее жалобы и назначаются необходимые дополнительные обследования.
Чаще всего причиной появления эхогенного образования в матке является ранний срок беременности и проявляется это в задержке менструации и положительном тесте на беременность.
В том случае, если причиной выявленного эхогенного образования является беременность, то женщине рекомендуется пройти ультразвуковое исследование и сдать анализ крови на определение содержания хорионического гонадотропина.
На сегодняшний день ультразвуковое исследование является одним из самых информативных и достоверных методов исследования, который позволяет выявить эхогенные образования в различных органах и тканях. В любом случае диагностирование таких образований еще не является свидетельством того, что в организме человека развивается такая опасная патология, как рак. Только опытный специалист на основе полученных результатов исследования способен поставить окончательный диагноз и назначить эффективное лечение патологии.
Добавить комментарий Отменить ответ
В продолжение статьи
Мы в соц. сетях
Комментарии
- ГРАНТ – 25.09.2017
- Татьяна – 25.09.2017
- Илона – 24.09.2017
- Лара – 22.09.2017
- Татьяна – 22.09.2017
- Мила – 21.09.2017
Темы вопросов
Анализы
УЗИ / МРТ
Новые вопросы и ответы
Источник: https://diagnozlab.com/analysis/cancer/ehogennoe-obrazovanie-chto-eto-takoe.html
Гипоэхогенное образование
Инструментальная диагностика методом ультразвукового сканирования (УЗИ), которое также называется ультрасонографией, может выявлять во внутренних органах и полостях участки с различной акустической плотностью – гиперэхогенное или гипоэхогенное образование.
Что означает гипоэхогенное образование?
Локальное гипоэхогенное образование в том или ином органе, в отличие от гиперэхогенного, является результатом более низкой эхогенности тканей – в сравнении с параметрами акустической плотности здоровых тканей органа. То есть данный участок слабо отражает направленный на него ультразвуковой сигнал (в частотных диапазонах 2-5, 5-10 илиМГц). И это свидетельство того, что данное образование – с точки зрения его структуры – либо содержит жидкость, либо имеет полость.
Гипоэхогенное образование на экране визуализируются в виде серых, темно-серых и практически черных зон (при гиперэхогенности зоны светлые, часто – белые). Для расшифровки ультразвукового изображения существует шкала шести категорий серого Gray Scale Imaging, где каждый пиксель полученного на мониторе изображения гипоэхогенного образования – в зависимости от силы ультразвукового сигнала, возвращающегося на датчики – представляет собой конкретный оттенок серого.
Расшифрованные узи-диагностами (сонографами) результаты ультразвукового обследования изучаются врачами конкретного профиля (эндокринологом, гастроэнтерологом, урологом, нефрологом, онкологом и др.), сопоставляются с показателями сданных пациентами анализов и результатами прочих исследований.
Во многих случаях требуется дифференциальная диагностика, для чего, кроме УЗИ, используются другие аппаратные методы визуализации патологии (ангиография, цветная допплерография, КТ, МРТ и т.д.), а также проводится гистологическое исследование биоптатов.
Причины гипоэхогенного образования
Как показатель ультрасонографии, гипоэхогенное образование может иметь любую локализацию. Причины гипоэхогенного образования также разные и полностью зависят от этиологии и патогенеза тех заболеваний, которые развиваются у пациентов.
Например, гипоэхогенное образование в поджелудочной железе считается диагностическим критерием выявления таких патологий, как кисты, геморрагический панкреатит, муцинозная цистоаденома (которая склонна к малигнизации), аденокарцинома головки поджелудочной железы, метастазы при злокачественных опухолях других органов.
Гипоэхогенное образование в печени и желчном пузыре
Здоровые печеночные ткани умеренно гиперэхогенны, и гипоэхогенное образование в печени может быть при циррозных очагах; очаговом стеатозе; кистах (в том числе при Echinococcus multilocularis); билиарном абсцессе; гепатоцеллюлярной аденоме; очаговой паренхиматозной гиперплазии; гепатоме и холангиоцеллюлярной аденокарциноме небольших размеров.
Гипоэхогенные образования визуализируются также в случаях распространения в печень диффузных метастазов рака поджелудочной железы, яичников, молочных желез, яичка, желудочно-кишечного тракта.
В УЗИ-диагностике патологий желчного пузыря особое значение имеет строение его стенок, так как при отсутствии повреждений органа они визуализируется в виде трех слоев: внешнего и внутреннего гиперэхогенных и среднего гипоэхогенного.
Среди причин, вызывающих гипоэхогенное образование в желчном пузыре, следует назвать полипы, аденокарциному (с интактным внешним слоем пузыря), лимфомы (опухоли лимфоузов), ангиосаркому.
Гипоэхогенные образования селезенки
В норме эхогенность селезенки однородна, хотя чуть выше, чем печени. Но из-за высокой васкуляризации УЗИ селезенки проводится с контрастным веществом, которое накапливается в паренхиме и дает возможность (в конце паренхиматозной фазы) визуализировать очаговые поражения и гипоэхогенные образования селезенки.
К числу таких образований относят:
- острую интрапаренхимальную гематому при разрыве селезенки (вследствие травмы живота);
- гемангиомы (доброкачественные сосудистые образования) при спленомегалии;
- инфаркты селезенки (инфильтративные или гематологические);
- лимфому селезенки;
- метастазы различного происхождения (чаще всего саркомы мягких тканей, остеосаркомы, рака почки, молочной железы или яичников).
Как отмечают специалисты, эхинококковые, солитерные и дермоидные кистозные образования селезенки могут иметь эхоструктуру смешанного характера.
Гипоэхогенное образование в почке, надпочечниках и мочевом пузыре
Гипоэхогенное образование в почке может быть выявлено при включениях в паренхиму кистозных образований (в том числе недоброкачественных), гематомах (на начальных стадиях), пиогенных паранефральных абсцессах (на стадии некроза) или кавернозном туберкулезе почки.
По словам эндокринологов, обнаружить гипоэхогенное образование надпочечника – задача непростая, и УЗИ, к сожалению, справляется с ней не всегда. Например, верификация диагноза аденомы при первичном альдостеронизме, а также патологической пролиферации клеток коры надпочечников при гиперкортицизме (болезни Иценко-Кушинга) базируется на симптомах. УЗИ безошибочно обнаруживает достаточно крупную феохромоцитому, а также лимфому, карциному и метастазы. Так что, обследовать надпочечники целесообразнее всего с помощью КТ и МРТ.
При развитии доброкачественной лейомиомы, переходно-клеточного рака мочевого пузыря или феохромоцитомы (параганглиомы) мочевого пузыря, которая сопровождается артериальной гипертензией и гематурией, при обследовании на УЗИ визуализируется гипоэхогенное образование в мочевом пузыре.
Гипоэхогенное образование в брюшной полости и малом тазу
Патологии, локализованные в брюшной полости, в частности, в кишечном отделе ЖКТ, беспрепятственно исследуются ультразвуком: больной пустой кишечник имеет утолщенные гипоэхогенные стенки, контрастирующие с окружающей гиперэхогенной жировой тканью.
В далеко не полном списке причин, вызывающих визуализируемое при УЗИ гипоэхогенное образование в брюшной полости, значатся:
- грыжа, выпирающая в паховый канал;
- интраабдоминальные гематомы (травматические или связанные с коагулопатиями);
- серозная и гнойная флегмона брюшины или забрюшинного пространства;
- абсцесс терминального отдела подвздошной кишки при трансмуральном илеите (болезни Крона);
- воспаление мезентериальных лимфоузлов (лимфатических узлов брыжейки);
- B-клеточная неходжкинская лимфома или лимфома Беркитта;
- метастазирование в висцеральные лимфатические узлы брюшной полости;
- карцинома слепой кишки и др.
При УЗИ органов малого таза и матки образования с низкой акустической плотностью выявляются у женщин – при наличии миомы, аденомы, кисты или эндометриоза матки; функциональной или дермоидной кист придатков. А гипоэхогенное образование в яичнике бывает при геморрагической кисте, а также тубоовариальном абсцессе (гнойном воспалении в фаллопиевых трубах и яичниках), фолликулярной лимфоме и карциноме.
У мужчин патологиями с таким диагностическим показателем являются рак яичка, лимфоцеле яичка, варикоцеле канатика, а в ходе проведения УЗИ простаты у пациентов с доброкачественной аденомой или раком данной железы визуализируется гипоэхогенное образование предстательной железы.
Гипоэхогенное образование в подключичной области
Выявленное во время УЗИ гипоэхогенное образование в подключичной области может быть признаком:
- доброкачественных новообразований и злокачественных лимфом переднего средостения;
- хронического лимфолейкоза;
- поражений периферических лимфатических узлов метастазами рака щитовидной железы, гортани, пищевода, молочных желе, легких;
- остеосарком торакальной локализации;
- кисты и эхинококкоза легких;
- тимомы или карциномы тимуса (вилочковой железы).
Гипоэхогенность структур в данной области отмечается клиницистами у пациентов с гиперплазией или кистой паращитовидных желез, гиперпаратиреозом или узелковым аденоматозом.
Виды гипоэхогенных образований
Кроме анатомо-топографической характеристики возникшего образования, ультрасонография выявляет его форму (округлую, овальную, неправильную), размер по ширине (кранио-каудальный) и глубину относительно наружной стенки органа или полости.
По этому параметру основные виды гипоэхогенного образования включают:
- округлое гипоэхогенное образование или гипоэхогенное овальное образование (это различные кисты, варикоцеле, аденомы, опухоли надпочечников метастатической этиологии);
- гипоэхогенное узловое образование (свойственное гемангиомам, узловой билиарной гипертрофии, миомам матки, узелковому аденоматозу и др.);
- гипоэхогенное очаговое образование (характерное для цирроза и очаговой жировой инфильтрации печени, гематом и инфаркта селезенки и т.д.).
В заключении проведенного УЗИ отмечаются особенности контуров изображения:
- гипоэхогенное образование с ровными контурами (кисты, узловая гипертрофия печени, опухоли молочной железы);
- гипоэхогенное образование с неровными контурами (многие опухоли, большинство метастазов);
- гипоэхогенное образование с четким контуром (кисты, аденомы, абсцессы, имеющие на ультразвуковом изображении гиперэхогенный ободок);
- гипоэхогенное образование с нечеткими контурами (кавернозные гемангионы печени, рак щитовидной железы, метастазы в ткани органов любой локализации).
Далее оценивается гомогенность/гетерогенность образования, то есть его внутренняя структура:
- гипоэхогенное однородное образование (карциномы);
- гипоэхогенное неоднородное образование (крупные аденомы, рак печени, диффузные формы карцином и др.);
- гипоэхогенное образование с гиперэхогенными включениями (почечно-клеточный рак, аденома яичника, рак предстательной железы).
В обязательном порядке дается описание состояния окружающих тканей, дистальных акустических эффектов (усиление, ослабление, акустическая тень) и особенность латеральных теней (симметричность, асимметричность, отсутствие).
Кроме того, отмечается наличие/отсутствие васкуляризации (то есть кровеносных сосудов) в образованиях узлового характера с определением таких видов, как: гипоэхогенное образование без кровотока (аваскулярное) и гипоэхогенное образование с кровотоком.
Образования, имеющие кровеносные сосуды, разделяю на:
- гипоэхогенное образование с перинодулярным кровотоком (подтип с перинодулярной, т.е. окружающей узел васкуляризацией);
- гипоэхогенное образование с сочетанным кровотоком (сосуды имеются возле образования и внутри него);
- гипоэхогенное образование с интранодулярным кровотоком (наличие васкуляризации зафиксировано только внутри образования).
Как показывает клиническая практика, гипоэхогенное образование с интранодулярным кровотоком может указывать на его злокачественный характер.
И, наконец, принимается во внимание наличие в структуре образования соединений кальция. И гипоэхогенное образование с кальцинатами (кальцинозом) характерно для инкапсулированного хронического абсцесса печени при амебиазе, рака печени, новообразований в щитовидной и предстательной железе, злокачественных опухолей молочной железы и др.
К кому обратиться?
Лечение
Пациенты могут спросить врача, какое лечение гипоэхогенного образования необходимо, и какие лекарства для этого назначаются… Но лечат не обнаруженные с помощью ультразвука аномальные участки, а заболевания, повлекшие патологическое изменение плотности ткани, слабо отражающей ультразвуковые волны.
Медицинский эксперт-редактор
Портнов Алексей Александрович
Образование: Киевский Национальный Медицинский Университет им. А.А. Богомольца, специальность — «Лечебное дело»
Поделись в социальных сетях
Портал о человеке и его здоровой жизни iLive.
ВНИМАНИЕ! САМОЛЕЧЕНИЕ МОЖЕТ БЫТЬ ВРЕДНЫМ ДЛЯ ВАШЕГО ЗДОРОВЬЯ!
Информация, опубликованная на портале, предназначена только для ознакомления.
Обязательно проконсультируйтесь с квалифицированным специалистом, чтобы не нанести вред своему здоровью!
При использовании материалов портала ссылка на сайт обязательна. Все права защищены.
Источник: https://ilive.com.ua/health/gipoehogennoe-obrazovanie_116331i15957.html
что такое ан-, гипо- и гиперэхогенное образование?а также:эхопозитивное и эхонегативное?чем отличаются и в чём сходства
• Гипоэхогенное образование – участок органа или ткани, имеющее низкую акустическую плотность. Чаще всего гипоэхогенными образованиями являются различные жидкостные структуры (кисты, сосуды и т. д.) . При проведении УЗИ на экране аппарата они выглядят более темными, по сравнению с окружающими тканями.
• Гиперэхогенное образование — участок органа или ткани, имеющее высокую акустическую плотность. Чаще всего гиперэхогенными образованиями являются кости, камни в почках и желчном пузыре, жир При проведении УЗИ на экране аппарата они выглядят более светлыми по сравнению с окружающими тканями.
• Гомогенное/негомогенное образование – однородное /неоднородное по структуре образование.
• Акустическая тень – располагается в виде темной дорожки за участком органа с высокой акустической плотностью, например, камнями в желчном пузыре или почках.
• Затухание сигнала — наблюдается в виде постепенного снижение яркости изображения органа или ткани по мере прохождения вглубь луча ультразвука. Наблюдается, например, при циррозе печени.
Источник: https://otvet.mail.ru/question/
Ультразвуковая диагностика: общее понятие и режимы УЗИ
Понятие
УЗИ — ультразвуковое исследование, для которого применяется ультразвук. Ультразвук — это воздушные колебания от 20 кГц до 1000 МГц, не слышимые человеческим ухом. В ультразвуковой диагностике применяется более узкий спект частот: от 1 до 25 МГц.
Ультразвук среди звуков.
Популярность УЗИ объясняется его низкой стоимостью, высокой информативностью, безопасностью и возможностью многократных повторных исследований в случае необходимости.
Ультразвуковой датчик излучает всего 0.1% времени, а весь остальной период получает отраженный (как эхо) органами и тканями ультразвук, на основе которого компьютер формирует изображение на мониторе. Чем выше частота передатчика (и меньше длина волны), тем выше разрешение (то есть лучше качество изображения). С другой стороны, чем ниже частота, тем глубже проникает ультразвуковое излучение. Диапазон оптимальных частот для ультразвуковой диагностики составляет 1-10 МГц.
Эффект Допплера (Доплера) — изменение частоты волны, отраженной от движущегося объекта. Если объект приближается к датчику, отраженная частота выше начальной, и наоборот. Зная начальную и конечную частоту ультразвука, с помощью эффекта Допплера стало возможным определять скорость кровотока.
Режимы работы аппаратов УЗИ
В ультразвуковой диагностике используется обычно 3 режима работы аппарата УЗИ: одномерный, двухмерный, допплеровский.
- Одномерный режим УЗИ (M-режим, от слова motion — движение): ультразвуковой луч проникает внутрь тканей в одной точке и отражается. На мониторе по вертикальной оси откладывается расстояние до различных исследуемых структур, а по горизонтальной оси — время. М-режим используется для измерения полостей, кист, камер сердца, просвета крупных сосудов, толщины стенок и т. д. Качество и точность измерений в этом режиме значительно выше, чем при использовании других режимов.
ЭхоКГ (эхокардиография) в M-режиме.
- качественной оценки кровотока — определение характера тока крови: ламинарный (равномерный поток) или турбулентный (множественные завихрения).
- количественной оценки кровотока — определение скоростей крови в сосуде.
На мониторе УЗИ-сигнал отображается в виде графика, где по горизонтали откладывается время, а по вертикали — скорость потока. Монитор делится на две части с помощью изолинии. Выше изолинии отображаются графики частиц, которые движутся по направлению К датчику, а ниже — частицы, движущиеся ОТ датчика. Такой допплеровский режим может быть постоянно-волновым (ПВД) или импульсно-волновым (ИВД). С помощью импульсно-волнового режима специалист УЗИ-диагностики может оценить потоки крови на заданной глубине, а при использовании постоянно-волнового режима можно выяснить характер потока на протяжении всего ультразвукового луча, с большими скоростями и на большей глубине.
Разновидностью допплеровского режима УЗИ является цветное допплеровское исследование (цветное допплеровское картирование). Характер кровотокока (ламинарный или турбулентный) закодированы разными цветами, интенсивность которых определяется скоростью потока крови. Цветное допплеровское исследование упрощает диагностику и значительно уменьшает риск ошибки, особенно при пороках сердца, ведь цветное раскрашивание кровотока очень наглядно.
Технические новинки
В последние годы появились новые возможности для УЗИ-диагностики, особенно кровеносных сосудов.
ТКАНЕВАЯ ГАРМОНИЧЕСКАЯ ВИЗУАЛИЗАЦИЯ
Другое название — вторичная гармоническая визуализация.
Изображение на мониторе формируется не путем получения отраженного ультразвука, с помощью его гармоник (обертонов, кратных исходной частоте, например, 8 МГц при первоначальной частоте 4 МГц). При правильном использовании и обработке гармоник получается улучшенное соотношение сигнала к шумам, что делает изображение более качественным и контрастным. Можно дополнительно использовать ультразвуковые контрастные препараты.
ЭНЕРГЕТИЧЕСКАЯ ДОППЛЕРОГРАФИЯ (АНГИОРЕЖИМ)
Другое название — энергетический допплеровский режим.
Данная методика использует энергетическую амплитуду отраженного частотного спектра и не учитывает частотный сдвиг. Ангиорежим не дает информации о направлении и скорости кровотока, но является высокочувствительным для просмотра медленного кровотока, просвета мелких сосудов и кровоснабжения ткани органов. Энергетический допплеровский режим меньше зависит от угла расположения датчика УЗИ-аппарата, но и менее точен при количественной оценке стеноза по сравнению постоянно-волновым цветовым допплером.
ТЕХНОЛОГИЯ SieScape TM
Современные процессы с повышенной производительностью позволяют в реальном времени вычислять и формировать ультразвуковые изображения длиной до 60 см путем медленного перемещения датчика вдоль желаемой области. В итоге специалист получает панорамные изображения без разрывов картинки даже вдоль изогнутой поверхности кожи с точностью измерения расстояний до 1-3%.
Ограниченность применения УЗИ
Лечащие врачи иногда переоценивают значимость ультразвукового исследования. Нужно напомнить: врач ультразвуковой диагностики дает заключение, а диагноз выставляет лечащий врач на основе всей совокупности данных осмотра, анализов и исследований.
УЗИ — достаточно субъективная методика, поэтому одни и те же данные могут трактоваться разными врачами по-разному. Нет смысла переценивать прилагаемые к протоколу исследования снимки, поскольку изображение напрямую зависит от настроек аппарата УЗИ и принтера, угла сечения и т.д. Важна и квалификация врача, поскольку различные акустические помехи и артефакты способны дать картину тех заболеваний, которых у больного нет.
От чего зависит точность и достоверность УЗИ?
- от самого аппарата УЗИ, программного обеспечения, набора датчиков, размера монитора;
- анатомических особенностей пациента, сопутствующих заболеваний (например, при болезнях легких или смещении органов средостения не всегда удается получить качественную картину сердца на ЭхоКГ — эхокардиографии);
- наличии информации о пациенте (внимание специалиста распределяется неравномерно, а выявление небольших отклонений определяется нередко случайными факторами, которые к тому же могут по-разному трактоваться);
- качества оформления протокола (в нем следует указывать не только абсолютные цифры, но и относительные — по сравнению с нормой).
Как повысить точность УЗИ-диагностики?
В ряде случаев при ультразвуковом исследовании возможны ошибки, которые чаще всего обусловлены недостаточной квалификацией медперсонала. Может сказываться и качество аппаратуры. Каким образом можно повысить точность УЗИ-диагностики?
- Пациент должен прийти подготовленным. В ряде случаев специальной подготовки не требуется, например, на УЗИ органов мошонки, полового члена, щитовидной железы, молочных желез, подкожно-жировой клетчатки, периферических лимфоузлов, слюнных желез, плевры, опорно-двигательного аппарата (мышц, суставов), сосудов головного мозга и шеи, сосудов рук и ног.
В большинстве других случаев для УЗИ нужна подготовка, в том числе для УЗИ брюшной полости. Например, УЗИ почек выполняется при заполненном мочевом пузыре.
УЗИ в гинекологии и УЗИ молочных желез в зависимости от цели исследования может выполняться в разные фазы менструального цикла.
Терминология УЗИ
Что такое акустическая плотность? Акустическая плотность — понятие, определяемое скоростью распространения звука в среде. Например, скорость звука в печени 1570 м/с, в жировой ткани — 1476 м/с. Эти ткани имеют отличающуюся акустическую плотность (печень акустически плотнее, чем жировая ткань).
Что такое гипоэхогенные (эхонегативные) образования на УЗИ? Гипоэхогенное образование (с низкой эхогенностью) — участок ткани или органа с низкой акустической плотностью. Обычно гипоэхогенными образованиями являются различные структуры с жидкостью (кисты, сосуды и т.п.). На мониторе аппарата УЗИ они выглядят более темными по сравнению с окружающими тканями.
Что такое гиперэхогенные (эхопозитивные) образования? Это участок органа или ткани с высокой акустической плотностью (высокой скоростью звука в этой среде). Обычно гиперэхогенными образованиями являются кости, камни в почках и камни желчном пузыре. На УЗИ на экране аппарата они выглядят более светлыми по сравнению с окружающими тканями.
Анэхогенное образование (частица а- означает отрицание) вообще не поглощает ультразвуковые волны.
Что такое гомогенное образование? Гомогенность — однородность, то есть гомогенное образование однородно по своей структуре.
Чем больше разница скоростей звука в двух соседних средах, тем больше ультразвука будет отражаться на их границе. Если скорости звука в соседних тканях отличаются очень сильно (кость — 3360 м/с, газ — 331 м/с), на границе разных сред происходит полное отражение, а позади его идет акустическая тень. Акустическая тень образуется после сильно отражающих структур как темная (гипо- или анэхогенная) дорожка за светлым (с высокой акустической плотностью) участком органа, например, за кальцинированными структурами — костью, камнями в почках или в желчном пузыре. По этой же причине между датчиком ультразвукового аппарата и кожей должен находиться гель.
Материал был полезен? Поделитесь ссылкой:
Напишите свой комментарий:
Работает на WordPress. Дизайн от Cordobo (с изменениями).
Источник: https://www.happydoctor.ru/uzi
Щитовидная железа неоднородная гипоэхогенная — Про щитовидку
НАШИ ЧИТАТЕЛИ РЕКОМЕНДУЮТ!
Для лечения щитовидки наши читатели успешно используют Монастырский чай. Видя, такую популярность этого средства мы решили предложить его и вашему вниманию. Подробнее здесь…
Что это такое — гипоэхогенный узел щитовидной железы? Во время ультразвукового просмотра состояния мягких тканей врач ориентируется на шкалу эхогенности: контраст от белого до черного цвета. Здоровые ткани имеют равномерную окраску серого цвета. Гипоэхогенными считаются те зоны, которые имеют более темный оттенок.
Возможные патологии
В большинстве случаев гипоэхогенное очаговое образование щитовидной железы свидетельствует о наличии патологии, в 5% ситуаций это оказывается злокачественная опухоль. Чаще всего причиной аномалии являются воспалительные процессы или доброкачественные образования. Темный оттенок имеют уплотнения и кисты. В некоторых случаях диффузные изменения щитовидки сопровождаются накоплением солей кальция.
Важно. Киста выделяется как гипоэхогенный узел щитовидной железы с четкими контурами. Это пузырь, заполненный жидкостью. Увеличение железистой ткани может быть как четко обозначенным, так и иметь неоднородную структуру.
Сопутствующие симптомы
Особое беспокойство у человека возникает в том случае, если обнаружение отклонений на УЗИ является далеко не единственным признаком наличия проблем со здоровьем. Зачастую именно сопутствующие симптомы становятся провоцирующим фактором для посещения больницы и проведения диагностики.
Гипоэхогенные узлы на щитовидной железе могут сопровождаться такими симптомами:
- одышка;
- тахикардия;
- першение в горле;
- слабость;
- потеря аппетита;
- снижение веса;
- тошнота;
- ощущение комка в горле;
- отечность;
- повышение температуры;
- визуальное увеличение щитовидной железы.
Крупные образования становятся реальной угрозой для человека, так как они препятствуют нормальному дыханию и приему пищи. К тому же не исключена вероятность развития обширного воспаления.
На заметку. Сюда же добавляется эстетический фактор, что особенно актуально для женщин, ведь именно у них отмечается наибольшая склонность к развитию заболеваний щитовидной железы.
Причины появления
В большинстве случаев (95%) УЗИ выявляет гипоэхогенный аваскулярный узел щитовидной железы. Это доброкачественное образование, но все равно его нельзя игнорировать. Спровоцировать появление подобной проблемы способны такие причины:
- наследственная предрасположенность;
- нехватка йода в организме;
- неправильное питание;
- стресс и нервное напряжение;
- патологии кровоснабжения железы и соседних тканей, сосудистый спазм;
- воспаление, инфекция;
- местное снижение иммунитета;
- некоторые лекарственные препараты;
- влияние хронических заболеваний;
- радиационное воздействие;
- неблагоприятная экологическая обстановка.
Наличие прочих проблем с эндокринной системой, даже если болезнь была устранена ранее, может повлиять на рост новообразований. Не исключается вероятность запуска аутоиммунных процессов в связи с наличием врожденных отклонений или сбоев защитных механизмов организма.
Важно. Наиболее опасен генетический фактор, а также влияние радиации, так как они способны спровоцировать перерождение клеток и развитие онкологии.
На ранних этапах остановить этот процесс вполне возможно, но позднее обращение за помощью чревато неоперабельностью образования и появлением метастаз, что рано или поздно приводит к гибели пациента.
Для определения типа новообразования и возможных рисков для пациента необходимо пройти ряд вспомогательных исследований. Диагностика состоит из таких процедур:
- анализы крови;
- анализ мочи;
- биопсия и дальнейшее цитологическое исследование;
- сцинтиграфия;
- КТ.
Если был обнаружен гипоэхогенный узел щитовидной железы с нечеткими контурами, необходимо выяснить природу его происхождения и точную локализацию. Если это рак, важно исключить вероятность распространения метастаз на здоровые ткани и органы.
Лечение гипоэхогенных узлов щитовидной железы напрямую зависит от особенностей патологии.
При доброкачественном образовании небольшого размера врач назначает регулярное наблюдение, а также прием лекарственных препаратов и минеральных добавок.
Помните. В первую очередь используются гормональные и противовоспалительные средства, а также препараты йода. В каждом конкретном случае назначают разные лекарства для лечения, это делает только врач.
Если узел отличается крупными размерами (более 1-3 см), обязательно нужно снизить его давление на соседние ткани. Например, для устранения кисты используется малоинвазивный метод, когда посредством пункции из капсулы откачивают ее содержимое, а затем выполняют склерозирование. Побочные эффекты могут выражаться в повторном образовании кисты, воспалении и нагноении. Не исключается риск перерождения узла в онкологию.
Другой вариант лечения — удаление пораженного участка, доли или всей железы. Это необходимо при обширных поражениях, а также при выявлении рака. Параллельно назначается заместительная гормональная терапия.
Важно. В случае наличия противопоказаний используются методы лучевой и химической терапии.
Своевременное выявление патологии и лечение позволяют избежать ряда осложнений и продлевают жизнь пациента на десятилетия.
Что расскажет УЗИ щитовидной железы?
Что расскажет УЗИ щитовидной железы?
Ну ладно, это было лирическое отступление. Давайте поговорим о самой процедуре УЗИ щитовидной железы. Я расскажу, как выглядит норма и патология в протоколах УЗИ.
Норма и патология УЗИ щитовидной железы
Для начала объясню, что может сказать вам и вашему врачу процедура УЗИ. УЗИ как метод способно показать только структуру щитовидной железы, т. е. строение, анатомию органа. Сведений о функции «щитовидки», т. е. как она работает, этот метод не несет. Чтобы это узнать, нужно сдавать анализы на гормоны, о которых вы можете прочитать в статье «Анализ крови на гормоны щитовидной железы: что нужно сдать».
Я думаю, что рассказывать об устройстве и принципе работы УЗИ аппарата нет надобности, поскольку знаний о вашем состоянии это не даст. Поэтому пропустим это пункт моего повествования.
Норма УЗИ щитовидной железы
На УЗИ оценивается не только внутреннее строение органа, но и размеры щитовидной железы. Согласно правилам делают три замера железы: длина, ширина и толщина. Но бывает, что встречаются протоколы всего с двумя размерами — это грубая ошибка, и вы поймете почему, но чуть позже.
Сначала замеряют одну долю, потом вторую и перешеек. На самом деле, размеры перешейка не имеют клинической ценности, поэтому на него можно не обращать внимания. Далее врач должен провести расчет объема каждой доли и суммарный объем всей железы. Это пункт очень часто опускается и не делается. А ведь это принципиально важно, потому что размеры щитовидной железы оценивают именно по общему объему.
Если у вас это не сделано, то вы можете рассчитать объем вручную по формуле ниже:
V щитовидной железы = V правой доли + V левой доли
V одной доли = длина*ширина*высота*0,479
где 0,479 — коэффициент эллипсоидности. В итоге мы получаем объем одной доли щитовидной железы, которая измеряется в кубических сантиметрах или миллилитрах.
В норме у взрослых женщин объем щитовидной железы не превышает 18 кубических сантиметров, а у взрослых мужчин — не более 25 кубических сантиметров. Для детей данная формула не используется, расчет ведется другими способами, которые мне, как взрослому эндокринологу, неизвестны.
Но теперь вам нет необходимости считать свой объем вручную, потому что имеются калькуляторы расчета, которые сделают автоматически это быстрее и точнее.
Итак, с размерами разобрались. Но это еще не все, потому что не всегда нормальные размеры щитовидной железы говорят об отсутствии патологии. Структура ткани железы может нам сказать многое. В норме ткань щитовидной железы однородная, изоэхогенная, без очаговых образований, кровоток умеренный.
Таким образом, если у вас нормальные размеры щитовидной железы и нормальная структура, то это говорит, что вероятность патологии низкая, но она не исключается полностью. Чтобы полностью убедиться в нормальной работе железы, нужен анализ на ТТГ (о чем я говорила раньше).
Патология на УЗИ щитовидной железы
Прежде всего обращает на себя внимание размер щитовидной железы. Если размер, а точнее, объем щитовидной железы больше, чем числа, указанные выше, то это состояние называется зобом. Таким образом, любое увеличение щитовидной железы называется ЗОБ. Только зоб может быть разным в зависимости от функциональной активности железы и особенностей анатомии. Например, токсический зоб, эндемический зоб или узловой зоб и т.д.
Если вы успели заметить, у размеров щитовидной железы нет нижней границы. Это означает, что, казалось бы, маленькая железа может прекрасно справляться со своей функцией. И наоборот, маленькая железа может быть признаком атрофического заболевания щитовидной железы, в то время как увеличение щитовидной железы по УЗИ всегда будет означать какую-то патологию.
Далее смотрят на структуру, т. е. на строение щитовидной железы. При патологии она всегда будет неоднородная. Неоднородность может проявляться за счет соединительнотканных тяжей, как при аутоиммунном тиреоидите, за счет кистозных образований, узловых образований, различных включений и кальцинатов.
При аутоиммунном тиреоидите классической картиной на УЗИ будет наличие чередования нормальной ткани с соединительной тканью, наподобие «булыжной мостовой». Для кисты характерно наличие анэхогенного образования с плотной, четкой капсулой. Для коллоидного узлового зоба характерно выявление узловых образований изоэхогенной или гиперэхогенной структуры с четкой зоной Халло. Мелкие округлые образования, не превышающие 1 см в диаметре, как правило, не имеют клинического значения.
Признаками рака щитовидной железы являются гипоэхогенные образования без четких контуров, прорастающие в капсулу железы. Косвенными признаками рака щитовидной железы при узловом зобе являются наличие дополнительных включений внутри узла, кальцинаты и повышенный кровоток.
Оценивая кровоток можно косвенно судить о функции железы. При диффузном токсическом зобе кровоток равномерно усилен, «пылающая» железа. Сниженный кровоток чаще характерен для гипотиреоза и аутоиммунного тиреоидита. Увеличение кровотока около или внутри узла может косвенно указывать на онкологическое образование или функциональную автономию.
Как бы хорошо ни делали УЗИ щитовидной железы, оценить общее состояние и работу органа невозможно без анализов на гормоны. Только имея комплексное представление о строении железы и особенностях ее работы, можно поставить диагноз и назначить лечение. Поэтому если вы сделали УЗИ щитовидной железы и хотите посетить врача, то сдайте сразу и анализ на ТТГ, чтобы на посещение врача не потратить время впустую.
Клиническая картина гипоэхогенных образований
Если рассматривать щитовидную железу с помощью УЗИ, по внешнему виду гипоэхогенное образование щитовидной железы напоминает мутноватую структуру, и отличается от соседних тканей темными жидкостными пятнами. Природа жидкостных структур щитовидки может быть определена как киста либо узел скопления жидкости по неоднородной структуре. Что качается кисты, то она формирует полостные стенки, которые постепенно заполняются коллоидной жидкостью. В норме секреторность фолликулов железы содержит высокое количество тиреоглобулина, а также ферменты цитохромоксидазы. Под воздействием гормональных нарушений железа видоизменяется, жидкость плохо выводится из фолликула, скопляясь в нем и образуя уплотнения в виде мешочков.
- гипоэхогенными (отличаются выраженной затемненной неоднородной тканевой структурой);
- гиперэхогенными (снижена коллоидность тканей);
- изоэхогенными (здоровые по плотности ткани с измененными характеристиками);
- анэхогенными (сформировавшиеся кисты с разрастающимся вглубь тканей эпителием).
Как диагностируются гипоэхогенные образования
- осмотр у эндокринолога, включающий пальпацию железы (важен для составления и анализа детального анамнеза);
- магнитно-резонансная томография (необходима для подтверждения либо опровержения наличия образования в случае невозможности установки диагноза по результатам анализов);
- компьютерная томография (дает возможность установить характер и объемы узла);
- радиоизотопное сканирование (определяет гормональную активность органа);
- гистология (необходима для диагностики неоднородного коллоида после биопсии);
- анализ крови на гормоны (определяется уровень Т3 общ, Т4 св., Т3 св., Т4 общ, аТТГ).
Причины образования узлов
- стрессов;
- воспалительных процессов в тканях органа;
- гормональных сбоев;
- неблагоприятных экологических факторов.
Прогноз
Возможная динамика осложнений
- увеличения лимфоузлов;
- повышения температуры до 39-40 градусов;
- рвота на фоне сильной интоксикации;
- учащающаяся боль в области новообразования.