
Гиперхромная анемия
Гиперхромная анемия (малокровие), является заболеванием, при котором происходит понижение числа эритроцитов и снижение гемоглобина в единичном объеме крови. Одновременно дает сбой и система органов кровообращения (сердца и сосудов).
Врач: Шишкина Ольга ✓ Статья проверена доктором
Причины
В современной медицине выделяется две разновидности этого вида анемии: мегалобластый и немегалобластый. От того, какой вид диагностируется, причины будут различные. Мегалобластый вид характеризуется нарушением процессов выработки ДНК и РНК.
Причины гиперхромной анемии (мегалобластный тип):
- Присутствие синдрома МДС. Иными словами, это такая разновидность болезни костного мозга, которая возникает из-за мутаций стволовой клетки крови.
- Может развиться вследствие применения некоторых медикаментов, например, Зидовудина, Азатиоприна и т.д.
- CПИД.
Немегалобластая разновидность анемии представляет собой заболевание, при котором производство ДНК происходит в обычном режиме и отсутствуют мегалобласты в костном мозге. Эта анемия может возникнуть вследствие:
- Заболеваний печени;
- Различных опухолей;
- Зависимости от алкоголя;
- Заболеваниях щитовидной железы.
Посмотрите видео
Клинические проявления
Основные симптомы гиперхромной анемии:
- У заболевшего человека изменяется его внешность, наблюдается бледность, кожа лица приобретает желтоватый цвет, рано пробивается седина.
- При двигательной активности быстро наступает слабость, и наваливается усталость.
- У пациента наблюдаются нервные нарушения, сбои в работе пищеварительной системы. При анализах выявляются нарушения в тканях, вырабатывающих кровяные тельца.
- Нередко больные обращают внимание на боль и жжение на конце языка.
- Слизистая при развитии заболевания меняет свой цвет, наблюдается ее бледный вид и желтый оттенок.
- Может наблюдаться течение крови из десен и красные точки на щеках.
- Особое внимание следует обратить на язык больного. Иногда он становиться глянцевым. На нем могут появиться болезненные яркие пятна красного цвета. Если они сливаются между собой, то весь язык приобретает яркий красный цвет, а при движении он болит. В дальнейшем больной теряет возможность ощущать вкус.
https://feedmed.ru/bolezni/krovi-krovetvoreniya/giperhromnaya-anemiya.html
Если болезнь проявляется в острой фазе, то признаки более серьезные.
Это может быть сильнейшая интоксикация или кровотечение во внутренних органах.
Анемия (острая фаза) проявляется следующими признаками:
- Кожные покровы выглядят бледными.
- Учащенное биение сердца.
- Пониженное артериальное давление.
- Изменение сосудов.
- Возможные внутренние кровотечения.
- Повышенная интоксикация всех органов.
- Необоснованное раздражение, нервное состояние.
- Ослабление зрения, головокружение.
- Слабость волос и ломкие ногти.
Видео
Макроцитарная анемия — одна из разновидностей гиперхромной. Эта форма болезни может передаваться генетическим путем, от родителей к наследникам.
Заболевание может распространиться на тех людей, которые ведут нездоровый образ жизни, страдают заболеваниями печени, не сбалансировано питаются или имеют пристрастие к алкоголю.
Эта форма анемии не затрагивает нервную систему и органы ЖКТ. Есть и другие причины для ее развития:
- Организму не хватает витаминов В, С, и, особенно, В12, меди и фолиевой кислоты;
- Рак печени;
- Заболевания щитовидки;
- Беременность, когда весь женский организм перестраивается;
- При приеме лекарств, которые влияют на работу печени;
При перечисленных состояниях развитие анемии будет вторичным фактором, и ее лечение следует проводить в комплексе с терапией основного заболевания.
Важно выявить первичную причину, из-за которой развилась болезнь. Например, если причиной является беременность, и есть надежда, что после родов состав крови войдет в норму, то все мероприятия будут направлены на поддержание нормального состояния пациентки.
Если есть подозрение на лейкоз, то мероприятия будут производиться совершенно другие. Признаки возникновения анемии приблизительно одинаковые для всех видов.
Но макроцитарная гиперхромная анемия несколько отличается от других, имеет следующую симптоматику:
- Бледные губы и чувство жжения на языке;
- Болезненное чувство в животе;
- Светлый цвет ногтей;
- Появление бессонницы, головокружений, быстрой утомляемости;
- Учащенная работа сердца;
- Желтеющая кожа.
Врачи определяют первопричину макроцитарной анемии и назначают лечение в комплексе.
Для лечения этого вида анемии медицина применяет метод переливания крови, уколы фолиевой кислоты и витамина В12 и назначается диета с продуктами, богатыми животными белками.
Диагностика
Чтобы поставить правильный диагноз при подозрении на гиперхромную анемию, необходимо пройти некоторые этапы:
- Специалист определяет вид заболевания, то есть, устанавливает причину, по которой снижается уровень гемоглобина и эритроцитов в единице крови.
- Устанавливаются причины, которые привели к болезни.
- Производятся лабораторные анализы крови, делается их расшифровка.
Лабораторные исследования заключаются в прохождении некоторых процедур:
- Из пальца берется общий анализ крови для определения гемоглобина.
- Проводится полный анализ крови. Он производится для определения показателя цвета, с помощью которого определяется состояние костного мозга.
- Из вены кровь берется на биохимический анализ для определения содержания железа и других компонентов.
- Производятся анализы, которые дают представление о состоянии желудочно-кишечного тракта.
- У женщин проводят гинекологические исследования.
- Делают анализы на выявление изменений в кровеносных путях.
Медикаментозное лечение
В начале выявляют причины, которые спровоцировали болезнь, применяют разработанные медикаментозные схемы, которые будут направлены на их устранение.
Если анемия вызвана недостатком железа, то назначаются таблетки или инъекции.
Традиционно, в комплекс лекарственных средств включаются витамины, в том числе группы В, минералы, фолиевая кислота, препараты с повышенным содержанием железа: Гемореф, Актиферрин, Мальтофер, Ферум Лек.
Эти препараты применяются от 1 до 3 месяцев в зависимости от вида заболевания, эффективности препарата и восприятия его больным.
Если положение пациента серьезное или не удалось подобрать эффективный препарат, то больного госпитализируют. В стационаре проводят интенсивную терапию при помощи инъекций.
Результаты могут наступить уже через несколько дней. У больного появится бодрость, ясность ума, исчезнет слабость.
Это поведение — путь к выздоровлению от серьезной болезни – гиперхромного вида анемии.
ПОДЕЛИСЬ И РАССКАЖИ ДРУЗЬЯМ
Гиперхромная анемия
Основная особенность такого типа малокровия заключается в резком снижении эритроцитов на фоне небольшого снижения гемоглобина, что говорит о большом содержании гемоглобина в каждом отдельном красном кровяном тельце. За счет этого эритроциты получают очень яркий цвет.
Причины
Есть определенные виды гиперхромной анемии, при этом каждый отличается своими причинами возникновения:
Мегалобластная. В данном случае анемия развивается в результате нарушения ДНК и РНК. Такой тип малокровия может возникнуть в результате сильно ослабленного иммунитета, в том числе ВИЧ, или же после приема определенных лекарственных препаратов.
Немегалобластная. В этот раз нарушения в ДНК не наблюдаются. Мегалобласты не развиваются, поэтому не достигают головного мозга. Развиваться такая анемия может в результате нарушения работы печени, а также при алкоголизме.
Малокровие не может взяться ниоткуда. Причины гиперхромной анемии следующие:
- Организм получает недостаточное количество витаминов, в частности группы В.
- Во время менструации наблюдаются обильные кровопотери.
- Ослабленный иммунитет или сбои в его работе.
- Поражение организма различными вирусами и инфекциями.
- Прием сильных лекарственных препаратов.
- Проблемы с печенью.
- Неправильное питание.
- Алкоголизм.
Что такое гиперхромная макроцитарная анемия?
Возникает гипохромная и гиперхромная анемия в результате сильного недостатка определенных витаминов, дестабилизации работы печени, неправильного рациона, а также ведения неправильного образа жизни. Макроцитарная гиперхромная анемия проявляется после генетических мутаций, а также при воздействии наследственного фактора. Этот недуг провоцирует увеличение эритроцитов, которые не могут транспортировать по кровеносной системе кислород. Так как такая форма малокровия носит наследственный характер, то анемия может передаваться детям от их родителей. Клинически этот недуг выглядит следующим образом:
- В крови наблюдается сниженный уровень гемоглобина, что является основной причиной постоянной слабости.
- Большой размер эритроцитов способствует их быстрому распаду, и как результат приводит к сбоям в работе системы кроветворения.
Помимо генетического фактора, такая форма анемии может возникнуть у следующих представителей населения:
- у людей с проблемами печени;
- алкоголиков;
- людей, которые неправильно питаются.
Основное отличие такой формы малокровия от других анемий заключается в том, что макроцитарная гиперхромная анемия не влияет на работу пищеварительной системы, а также не воздействует на нервную систему.
Лечение гиперхромной анемии
Примечательно, что средства для лечения гиперхромной анемии могут принимать пациентами на протяжении длительного времени или до конца их жизни. Зависит это от тяжести недуга, а также других нарушений в организме, которые проявились в результате протекания анемии.
Если анализы показывают небольшие отклонения от нормы, то средства, применяемые при гиперхромных анемиях могут и не назначаться. Достаточно будет просто нормализировать свой рацион и добавить в него необходимые продукты, от которых витамин, применяемый при гиперхромной анемии, позволит привести уровень всех веществ в норму. Витамины могут быть представлены и в качестве медикаментов, что позволит значительно быстрее компенсировать дефицит.
Стоит отметить, что при гиперхромной анемии применяют препараты строго под наблюдением специалиста. Он же и назначает необходимые лекарства, а также производит регулярное исследование крови. Правильное лечение позволит уже через два месяца устранить часть симптомов и нормализовать состояние пациента. В отличие от нервной системы, которая будет восстанавливаться довольно долго, пищеварительная система придет в норму очень быстро.
Если диагноз был установлен правильно, при этом используется правильное средство при гиперхромной анемии, то пациент сможет наблюдать минимальные улучшения уже спустя неделю курса. Если же улучшений не наблюдается, то специалист может применить кардинальные меры – переливание крови. Также при возможности устраняется причина развития малокровия.
Если у пациента диагностируют миелодиспластический синдром, то лечение может не принести никакого результата, а все препараты при гиперхромной анемии не смогут продемонстрировать свою эффективность. Помимо этого возникает большой риск развития такого недуга, как лейкоз острой формы. В данном случае требуется оперативное вмешательство. Пациенту делают переливание крови, а также назначают специальные препараты лечения гиперхромной анемии, которые способствуют ускоренному делению клеток крови.
Последствия и профилактика
Для того чтобы минимизировать вероятность проявления такой формы малокровия, необходимо обеспечить правильное питание и вести здоровый образ жизни. Продукты, которые в своей основе содержат необходимые для организма витамины и минералы – залог хорошего здоровья и отсутствия болезней. Чтобы обеспечить нормальное усвоение железа, не нужно злоупотреблять кофеином. Помимо этого можно отметить и другие профилактические меры:
- регулярные медицинские обследования;
- минимизировать контакт с химическими веществами;
- больше времени проводить на свежем воздухе;
- вести здоровый образ жизни и заниматься спортом.
Независимо от того, гиперхромная анемия связана с наследственным фактором или полученным при жизни, при своевременном лечении недуга, в большинстве случаев, можно избежать серьезных последствий. В противном случае осложнений не избежать. Очень сильно страдает нервная система человека. Проявляется сильная раздражительность, снижается уровень памяти и мыслительных процессов. Помимо этого, недуг привод к кислородному голоданию, которое негативным образом отражается на головном мозге и всех его отделах.
Гиперхромная анемия — виды, симптомы, лечение
При повышенном объёме эритроцитов, когда увеличивается и степень насыщения крови гемоглобином (цветовой показатель больше 1,1), развивается патология, определяющаяся в медицине, как гиперхромная макроцитарная анемия. Данная патология отмечается при проблемах с функциями органов кроветворения, причиной которых могут быть различные заболевания.
Гиперхромная анемия
Как повреждается механизм кроветворения
Малокровие развивается несколькими путями. Во-первых, как итог нарушений в создании нормальных эритроцитов и синтеза гемоглобина. Так происходит, если в организме недостаёт железа, витамина B12, фолиевой кислоты или из-за патологий красного костного мозга. Причина анемии может скрываться в переизбытке аскорбиновой кислоты, которая блокирует выработку B12, необходимого для производства крови.
Во-вторых, малокровие возникает из-за потерь красных кровяных клеток при острых кровотечениях во время травм или оперативных вмешательств. Хотя если кровотечения хронически, то причиной анемии, скорее будет, недостаток железа.
И третий механизм, приводящий к анемии, — быстрое, меньше 120 суток, разрушение красных кровяных телец. Иногда разрушению эритроцитов предшествует приём значительных доз уксуса.
Типы анемии
Виды гиперхромной анемии
Специалисты определяют первопричины возникновения патологии и её клиническую картину в зависимости от вида.
Внимание! Основную группу риска гиперхромной анемии составляют мужчины и женщины после сорока лет.
Уровень эритроцитов при гиперхромной анемии
Общая симптоматика
Данный недуг определяется характерными признаками и симптомами:
- Бледность кожного покрова, ускоренно седеют волосы, порой кожный покров становится с желтоватым оттенком, утончается.
- Быстрая утомляемость, слабость плохая концентрация внимания.
- Слизистая меняет свой внешний вид, бледнеет или желтеет.
- Головокружение.
- Одышка — при более выраженных формах, сердцебиение.
Клинические проявления анемии
Особое внимание следует обращать именно на язык, поскольку он становится блестящим и с гладкой поверхностью (это симптоматика недостатка В12 и фолиевой кислоты). Затем на данном органе начнут возникать красные пятна, что характеризуются болезненностью. Спустя некоторое время пятен становится настолько много, что они сливаются воедино. Таким образом, язык кажется ярко-красным. При движении языком может возникнуть болевой синдром. У больного атрофируются вкусовые качества. Именно эта симптоматика характерна для пернициозной гипертонии.
Это важно! Нужно исключить из рациона питания острую пищу, поскольку ее употребление будет крайне болезненным.
Проявление анемии на ногтях
Иногда малокровие никак не выражается, поэтому его случайно обнаруживают во время лабораторных анализов крови у тех, кто ни на что не жаловался. Вышеприведённая симптоматика характерна для большинства анемий, но у различных типов малокровия наблюдаются отличия в зависимости от причины возникновения. Например, чувствительность нарушается из-за недостатка витамина В12, а желтуха возникает при гемолитической анемии.
Факторы-провокаторы гиперхромной анемии
Состояние гиперхромного малокровия может быть выявлено в нескольких случаях:
- Дефицит витамина В12.
- Недостаток фолиевой кислоты.
- Миелодиспластический синдром.
Обратите внимание! Чаще всего гиперхромная анемия диагностируется при недостатке В12.
Роль фолиевой кислоты в организме
В зависимости от недостатка тех или иных веществ диагностируется вид гиперхромной анемии.
В12-дефицитная анемия
Она встречается реже, чем железодефицитная анемия. В Нидерландах, Скандинавии, Северной Америке более частотна, чем на юге, востоке Европы и Дальнем Востоке. Этим типом малокровия болеют люди сорока-пятидесяти лет. Часто его симптоматика стёрта, так как в рамка антианемической терапии врачи назначают Цианокобаламин, который после первого укола уже нормализует выработку витамина В12.
Причиной возникновения этого вида анемии являются болезни ЖКТ, снижающие выработки вещества:
- длительное неполноценное питание, вегетарианцы;
- атрофический гастрит провоцирует гиперхромию. Объясняется он проблемами с продукцией гастромукопротеина – он нужен для усвоения витамина. Следовательно, развивается пернициозная анемия;
- резекция желудка или его удаление;
- ожоги желудочной слизистой;
- недуги, связанные с тонким и толстым кишечниками, приводят к нарушениям всасывающих функций стенок органов;
- инфекционные патологии кишечника;
- глистное поражение.
- хронический панкреатит и синдром Золлингера-Эллисона;
- целиакия, опухоли и т.д.
Причины гиперхромной анемии
Симптоматика данного вида анемии имеет свои особенности:
- Общие проявления анемии (мы их описали выше).
- Гастроэнтерологический синдром (похудение, тяжесть и боли в эпигастрии, болезненность в языке (язык Гюнтера), запоры, поносы.
- Неврологический синдром (онемение, боли в ногах и руках, «ватные ноги», снижение обоняния, слуха, зрения). Характерен только для В12-дефицитной анемии.
Проявление дефицита В12
Фолиеводефицитная анемия
Если говорить о гиперхромной анемии, что развивается на фоне недостатка фолиевой кислоты, то она объясняется следующими причинами:
- регулярное употребление алкоголя, что приводит к поражению печеночных клеток;
- вирусы гепатита;
- беременность и несоблюдение рациона питания.
При малокровии данного типа неврологический синдром не наблюдается, но больные жалуются на общие проявления анемического синдрома в дополнение к нему возникают и гастроэнтерологические проблемы. Разграничение В12-анемии и недостаточности фолиевой кислоты происходит по результатам анализов крови после приёма Цианокобаламином: в первом случае через 4-5 дней лечения «ретикулоцитарный криз» отсутствует, его появление диагностирует фолиеводефицитную анемию и адекватность назначенного лечения.
Справка! Если анемия развивается на фоне недостатка фолиевой кислоты, то не исключено, что ее придется принимать на протяжении оставшейся жизни.
Лечение недостатка витамина В12 и фолиевой кислоты
Если у человека диагностирована легкая форма недуга, то ее можно быстро компенсировать корректировкой рациона питания. Для этого его обогащают мясопродуктами. Особое внимание следует обратить на печень, именно в ней содержится наибольшее количество полезных веществ, что улучшают состояние больного при анемии.
При дефицитных состояниях В12 необходим прием Цианокобаламина – специальный препарат, синтетического характера. По мере тяжести течения недуга, врач определяет дозировки. Если диагностируется неврологические симптомы, то Цианокобаламин назначается инъекционно по 1000 мкг ежедневно внутримышечно в течение 10 дней, после чего, переходят на стандартную дозу – по 500 мкг в сутки. При отсутствии нарушении со стороны нервной системы дозировка — 500 мкг/день ежедневно. Длительность приёма от месяца до полутора. Если речь о поддерживающей терапии, то такая же доза принимается раз в неделю в течение жизни.
Лечение недостатка фолиевой кислоты происходит таблетками по 5 мг 3 раза в день в течение месяца — полутора. Поддерживающая терапия не предусмотрена.
Если одновременно диагностированы два вида анемии. При обеих формах анемий и недейственности консервативной терапии по жизненным показателям делают трансфузию концентрата определенного вида эритроцитов (например, для выведения из анемической комы).
После курса терапии пациента отправляют на анализ крови, чтобы подтвердить присутствие ретикулоцитоза. Также необходимо наблюдение нервной системы, которая восстанавливается дольше всего.
Эффективность терапии проверяется через неделю применения. То есть, если спустя семь дней, после применения синтетических препаратов не произошло улучшение самочувствия больного, то курс считается не действующим либо была произведена неправильная диагностика.
Диагностика анемий
Это важно! Если анемия находится в тяжелой стадии, то человеку потребуется переливание эритроцитарной массы.
Дифференциация анемии происходит по показателям применения витамина В12, если после курса лечения им не было отмечено никаких положительных результатов, то причиной гиперхромной анемии является недостаток фолиевой кислоты.
Миелодиспластический синдром
Гиперхромная анемия может проявляться в комплексе с миелодиспластическим синдромом, в который входит группа заболеваний, характеризующаяся дефицитом одного или нескольких видов кровяных клеток (цитопения), нарушением их производства и возможностью трансформации в острый лейкоз. Одна из причин возникновения патологии — проведение лучевых облучений, химиотерапии, сильнодействующее лечение опухолевидных образований костного мозга, лейкоз. Кроме того, возникновению МДС способствует профессиональные особенности (воздействие бензола), алкоголь, курение, склонность к спонтанным кровотечениям.
Таким образом, кроветворение подвергается сильному токсическому воздействию. Помимо тяжелой симптоматики основного недуга, у пациента возникает дополнительно:
- Сильная одышка даже при отсутствии физической нагрузки.
- Чрезмерная утомляемость.
- Постоянные головокружения, возникновение тахикардии.
Точный диагноз устанавливается только после полноценного обследования крови, так как МДС может быть вторичным и возникнуть как следствие какой-либо тяжелого хронического или острого заболевания. В общем виде МДС характерна цитопения — снижение уровня гемоглобина, нейтрофилов, тромбоцитов. В зависимости от недостатка тех или иных элементов крови и устанавливается диагноз.
Наиболее частые симптомы анемии
Поскольку данный синдром часто возникает у пожилых людей, ему сопутствуют различные заболевания — сердца (инфаркты, ИБС, проблемы с клапанами), поражения, печени, легких, почек и опухолевидные образования.
Если больной своевременно обратился к специалисту с последующим компетентным назначением лечения, то можно избежать осложнений недуга и проявления тяжких последствий в виде комы. Стоит отметить, что терапия будет сложной, поскольку больной должен находиться под бдительным наблюдением специалиста, соблюдать назначенную схему приема лекарственных средств. Но в целом при диагностике бессимптомной цитопении врачи занимают выжидательную позицию: если нет тревожащих признаков, то пациент проходит регулярное обследование.
При миелодиспластическом синдроме лечебная терапия проводится курсами, поскольку длительного эффекта не наблюдается. Таким образом, можно продлевать ремиссию и сохранять нормальное самочувствие пациента. Для полного восстановления и выздоровления терапии будет не достаточно, поэтому потребуется пересадка костного мозга.
Видео — Дефицит витамина В12
Последствия
Крайне важно своевременно начать лечение анемии, чтобы исключить дальнейшие осложнения со здоровьем. Когда диагноз гиперхромная анемия ставится ребенку, то высока вероятность, того, что при отсутствии лечения малыш будет заметно отставать в развитии от своих сверстников. На фоне патологии у ребенка могут развиваться различные заболевания, объясняется это потерей аппетита и заметным снижением функций иммунной системы.
Мегалобластные (гиперхромные) анемии
Для беременной заболевание не менее опасно, поскольку при отсутствии своевременной помощи может спровоцировать преждевременные роды, а в лучшем случае – маловесие новорожденного. Для предотвращения таких последствий женщине необходимо консультироваться с ведущим врачом.
Среди общих последствий отмечается недостаток кислорода в крови, кардиомиопатия, тахикардия, сердечная недостаточность. Очень важно вовремя пролечить анемию, поскольку сердечная недостаточность может закончиться смертельным исходом.
Гиперхромия, гиперхромная анемия: что это, изменения в анализе крови, причины, как лечить
Содержание:
При микроскопическом изучении морфологии эритроцитов врач не только обращает внимание на размеры и форму кровяных телец, но и отмечает степень окрашивания красных клеток крови. Насыщенная окраска, закрывающая срединное просветление, которое должно быть в норме (нормохромия), в лабораторном деле носит название – гиперхромия. Гиперхромия, как правило, свидетельствует о том, что у человека развивается (или уже набрала полную силу) гиперхромная анемия. Скорее всего, она будет макроцитарной или даже мегалобластной, что в принципе, одно и то же, и что также увидит врач, разглядывая препарат (неестественно увеличенные эритроциты). И все же для окончательного уточнения диагноза понадобятся еще и другие лабораторные (и не только) методы исследования.
Гиперхромия → гиперхромная анемия
Возможно, к тому времени, пока врач начнет изучать мазок, об избыточном насыщении гемоглобином красных клеток крови и изменении их окраски в результате этого уже «сообщит» цветовой показатель (ЦП).
При гиперхромии цветовой показатель окажется выше 1,1 — предельных для нормы значений (нормохромия: ЦП — 0,85 – 1,05). Не останутся в стороне и эритроцитарные индексы (MCH, MCHC), посчитанные гематологическим анализатором.
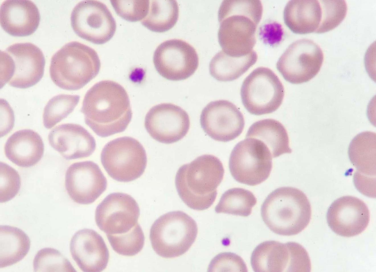
Гиперхромия является ведущим лабораторным признаком гиперхромных анемий и чаще всего сочетается с макроцитозом (гиперхромная макроцитарная анемия). В первую очередь в категорию подобных состояний попадают авитаминоз В12 и дефицит фолатов (фолиевой кислоты — витамина B9). Это типичные представители гиперхромных макроцитарных (мегалобластных) анемий. Почему мегалобластных? Потому что клетки значительно увеличены в размерах и представлены мегалобластами и мегалоцитами, а их диаметр (>10мкм) куда больше макроцитов (клетки с диаметром 7-8 микрон – нормоциты, больше 8 микрон – макроциты, меньше 7 мкм — микроциты), то есть, мегалобластная, значит, макроцитарная, но макроцитарная — не всегда значит мегалобластная. Как-то так.
эритроциты в крови у здорового человека и при гиперхромной макроцитарной анемии
Таким образом, при морфологическом исследовании образцов крови, взятых от больных с гиперхромной макроцитарной анемией, можно обнаружить:
- Красные клетки крови (о них, собственно, и речь), насыщенные хромопротеином (гемоглобином) настолько, что он (Hb) стирает центральное просветление – гиперхромия (гиперхромазия);
- Диаметр эритроцитов превышает 10 микрон (макроциты и мегалоциты);
- Заметны фрагменты красных кровяных телец (шизоцитоз), анизоцитоз (о чем при автоматической обработке пробы свидетельствуют показатели: средний объем эритроцитов – MCV, ширина распределения по объему – RDW, гистограмма), а также изменение формы эритроцитов (пойкилоцитоз);
- Нередко можно встретить красные клетки, не потерявшие ядерные субстанции (тельца Жолли, кольца Кебота, полихроматофильные элементы);
- Содержание молодых форм эритроцитов – ретикулоцитов, поначалу остается в рамках нормы, однако по мере прогрессирования процесса все больше нарушается дифференцировка и их количество намечает тенденцию к снижению;
- При морфологическом изучении нельзя обойти вниманием изменения со стороны белой крови: уменьшение лейкоцитов (нейтрофилов, моноцитов, эозинофилов), отсутствие базофилов, но некоторое повышение лимфоцитов. В иных случаях в кровь приходят молодые предшественники белых клеток крови – миелоциты и юные (сдвиг лейкоцитарной формулы влево);
- В тромбоцитарном звене также (в умеренной степени) могут присутствовать неестественные явления (тромбоциты приобретают гигантские размеры, но общее их количество – снижено).
Всю эту ситуацию (и гиперхромию, и макроцитоз, и сдвиг лейкоцитарной формулы) создает мегалобластический тип кроветворения в костном мозге, который является общим признаком всех анемий подобного рода (связанных с нарушением образования ДНК). Анемии эти могут передаваться по наследству или приобретаться в процессе жизни.
Все начинается в костном мозге
Гиперхромная макроцитарная анемия является следствием мегалобластического типа кроветворения. Что все это значит – можно показать на примере В12-дефицитной анемии. Итак:
- В костном мозге (КМ) отмечается высокая клеточность (по причине присутствия огромного количества элементов, содержащих ядро), мегалобластическое кроветворение и неэффективный эритропоэз;
- Деление клеток, которые в будущем должны стать полноценными эритроцитами на этой стадии (см. выше) нарушается, они, в значительной степени меняя свои размеры (становятся мегалобластами), изменяют и структуру (нежно-сетчатое ядро, созревает, как и цитоплазма, разновременно);
- В популяции созревающих мегалобластов, в зависимости от активности кроветворного процесса в КМ, отмечается заметная изменчивость: одни клетки более зрелые, другие – менее. И если на этом этапе в костном мозге подавляющее большинство будущих красных кровяных телец представлено промиелобластами или базофильными клетками, то специалисты говорят о «синем» КМ;
- Отличительной чертой этих огромных клеток является раннее насыщение их цитоплазмы при нетронутом нежном ядре хроматопротеином (гемоглобинезация цитоплазмы – так вот откуда берет начало гиперхромия?);
- Вместе с тем, в ядрах происходят заметные дегенеративные процессы (митозы, распад клеточного ядра), что придает им уродливость и, соответственно, неполноценность – такие клетки долго не живут, большинство из них так и не добираются до зрелого состояния («умирают» на месте «рождения» в «младенчестве»);
- Из оставшихся предшественников эритроцитов образуются мегалоциты (жизнь их также коротка) и макроциты (которые впоследствии станут определяющим лабораторным признаком гиперхромной макроцитарной анемии);
- Следует отметить, что нарушение клеточного деления оставляет синтез красного пигмента на нормальном уровне, от этого страдает только сам процесс образования красных клеток крови (разрушение ядер, распад мегалобластов — усиленный, неэффектиный эритропоэз);
- Дефицит витамина В12 приводит к тому, что появляются изменения и со стороны белой крови (нарушение синтеза ДНК идет синхронно во всех клетках). Предшественники «взрослых» лейкоцитов (промиелоциты, миелоциты, юные и палочки), а также зрелые сегментоядерные меняют свои размеры, в иных случаях нарушения касаются и тромбоцитарного звена, что объясняет изменение картины крови у больных, страдающих гиперхромной макроцитарной анемией.
Кстати, изменения в периферической крови и в костном мозге при фолиеводефицитной анемии аналогичны таковым при авитаминозе В12, ведь в синтезе пуриновых оснований, без которых в правильном направлении не идет построение ДНК, фолиевая кислота тесно «сотрудничает» с витамином B12.
Очень кратко о причинах и симптомах
Понятие «анемия» никак не отражает какую-то форму болезни, это всего лишь клинический синдром, указывающий на постоянный недостаток кислорода в организме. Между тем, анемия провоцирует еще более тяжелую патологию, которую впоследствии трудно будет игнорировать, например ишемическую болезнь сердца (ИБС) и сердечную недостаточность.
В связи с этим причинам анемического синдрома уделяется столь пристальное внимание, поэтому вернемся к состояниям, которых характеризует такой лабораторный показатель, как гиперхромия:
- Авитаминоз В12 формируется от недостатка поступления цианокобаламина с продуктами питания, нарушения всасывания в кишечнике, конкурентного поглощения столь ценного вещества паразитирующими в организме гельминтами, нарушениях функции поджелудочной железы, в результате других заболеваний ЖКТ и воздействия токсических веществ. Какая-то часть в числе всех В12-дефицитных состояний передается по наследству;
- Что касается фолиеводефицитной анемии, то большей степени рискуют вегетарианцы, люди в возрасте, страдающие алкоголизмом люди всех возрастов, а также женщины в период беременности;
- Мегалобластная анемия с гиперхромией имеет место при нарушении активности ферментов, обеспечивающих продукцию пуриновых и пиримидиновых оснований, что нарушает синтез ДНК и РНК;
- Причиной гиперхромии (и макроцитоза) могут стать тяжелые поражения печени, влекущие значительные витаминные нарушения, ведь там (в печени) запасаются многие витамины, в том числе В12 и В9, которые являются участниками синтеза пуриновых и пиримидиновых оснований;
- Появление такого лабораторного признака в красных кровяных тельцах, как гиперхромия, не исключается при миелодиспластическом синдроме или отдельных видах гемолитических анемий, однако данный признак в подобных случаях не является стабильным показателем, все зависит от стадии процесса и его формы.
И еще: возможно, появлению этого лабораторного симптома (гиперхромия) может способствовать кислородное голодание при очень активном курении, поэтому не исключено, что организм курильщика, испытывающий постоянную гипоксию, отреагирует подобным образом на не очень удобные для него условия. Ведь известно, что в крови людей, использующих табачный дым в качестве лекарства от стресса (во всяком случае, они это так объясняют), гемоглобин находится в более высоких концентрациях, нежели у тех, которые не имеют этой вредной привычки. Хотя здесь речь идет скорее об эпизодической гиперхромии, но не о гиперхромной анемии.
Что касается симптоматики, мегалобластные (макроцитарные) гиперхромные анемии имеют:
- общие для всех подобных состояний симптомы (слабость, головные боли, бледность, тахикардия);
- и частные — специфические (жжение языка, неуверенность походки).
При В12-дефицитной страдает кровь, желудочно-кишечный тракт и нервная система (триада синдромов), хотя для фолиеводефицитного состояния изменения со стороны нервной системы не характерны.
Между тем, чаще всего медицина имеет дело с комбинированным вариантом: В12-фолиеводефицитная анемия, симптомы которой, впрочем, как причины и диагностика, уже подробно описаны в соответствующей публикации (В12-дефицитная и фолиеводефицитная анемия).
Как лечить гиперхромию?
Лечение отдельно гиперхромии, конечно, не предусмотрено. Лечат авитаминоз В12, фолиеводефицитное состояние или (что чаще бывает) – В12-фолиеводефицитную анемию.
Лечение фолиеводефицитной анемии состоит в назначении препаратов витамина В9 (витамин В9 — это и есть фолиевая кислота). Однако следует проявлять осторожность, если нет уверенности, что это именно фолиеводефицитная анемия, потому что применение в подобных случаях витамина В9 может обернуться неприятностями. Болезнь, не связанная с дефицитом фолатов, не только не отступит, а еще больше начнет проявлять себя. В этих ситуациях более оправдано назначение цианокобаламина.
Лечение самого авитаминоза В12 стоит на трех принципах:
- Дать организму цианокобаламина вволю;
- Постоянно, не переставая, пополнять запасы недостающего витамина;
- Всеми силами стараться предотвратить развитие анемии, иначе потом с ней тяжело будет справиться.
Вот и все, что вкратце можно сказать о лечении двух гиперхромных макроцитарных анемий (или одного – сочетанного варианта). Кстати, более подробную информацию можно найти на одной из страниц нашего сайта в той же публикации, о которой сообщалось выше (В12-дефицитная и фолиеводефицитная анемия).
И напоследок касательно терапии. Чтобы от лечения пошел прок, пациент не должен забывать о потребностях своего организма в отношении витаминов и обогащать свой рацион продуктами, их содержащими.
Вывести все публикации с меткой:
Перейти в раздел:
- Заболевания крови, анализы, лимфатическая система
Шаг 1: оплатите консультацию с помощью формы → Шаг 2: после оплаты задайте свой вопрос в форму ниже ↓ Шаг 3: Вы можете дополнительно отблагодарить специалиста еще одним платежом на произвольную сумму ↑