Что показывает мрт поджелудочной железы

Что показывает мрт поджелудочной железы[Что показывает мрт поджелудочной железы]

Что такое магнитно-резонансная томография поджелудочной железы, и что она показывает?

Поджелудочная железа и печень являются одними из паренхиматозных органов, расположенных в области брюшины, которые довольно сложно поддаются обследованию, поэтому выявление патологий рутинными методиками и ультразвуковым исследованием возможно лишь на поздних стадиях. Современные медицинские специалисты в большинстве случаев,  назначают в качестве обследования – компьютерную томографию на поджелудочную железу, но даже столь усовершенствованный диагностический способ в некоторых ситуациях является не достаточно информативным, поэтому приходится прибегать к методу МРТ печени, а также и поджелудочной железы. В данном обзоре подробнее рассмотрим, что представляет собой МРТ на поджелудочную  железу и что оно показывает, какие показания предшествуют его назначению. А также, какие имеет противопоказания и другие методы обследования паренхиматозных органов.

Что показывает МРТ

МРТ поджелудочной открывает широкие возможности и позволяет довольно точно определить следующие состояния паренхиматозного органа:

  • Внешняя форма и размеры;
  • Развитие любого новообразования;
  • Структурную плотность органа;
  • В каком состоянии находятся внутрипанкриатические протоки;
  • Васкуляризационные особенности поджелудочной.

Точность исследования на магнитном томографе дает возможность обнаружения даже самых мельчайших патологических нарушений в области поджелудочной железы. Повысить степень эффективности при обследовании паренхиматозных органов поможет контрастирование. Это введение особого препарата, который способен в несколько раз увеличить интенсивность магнитных сигналов во время проведения томографии поджелудочной железы.

МРТ с контрастом, позволит правильно оценить всю клиническую картину развития патологии, даже при выявлении самых незначительных нарушений в структуре исследуемого органа, а также позволит увидеть процессы по формированию сосудистой системы в любом образовании железы.

Показания к назначению МРТ

Исследование на МРТ назначается для установки структурных особенностей и работоспособности поджелудочной железы не только с панкреа титом, но и в других случаях, когда неясен точный диагноз, а также при проявлении симптоматики неясной этиологии в области брюшины.

Проведение МРТ назначается при:

  • первичной диагностике;
  • динамическом наблюдении и оценивания структуры поджелудочной во время течения хронического панкреатита;
  • наличии любого новообразования в области брюшины, выявленного при проведении ультразвукового обследования;
  • кистозном поражении поджелудочной железы;
  • гнойных затеках в области около панкреатической клетчатки;
  • регулярно-появляющихся болей в зоне эпигастрия, без видимой причины;
  • необходимости выявления и постановки диагноза, при недостающей информации во время проведения других диагностических процедур.

А также для дифференцировки некротических и жидкостных образований в области поджелудочной железы и забрюшинного пространства.

МРТ при панкреатите и других патологических изменений в брюшной области, является абсолютно безопасным методом исследования. Поэтому его даже  можно применять для проведения контроля над состоянием поджелудочной железы, после проведения хирургического вмешательства, а также для оценки эффективности проводимой терапии.

Подготовка к мрт на поджелудочную железу

Резонансная диагностика поджелудочной железы обычно планируется заранее, так как требует определенной подготовки. В большинстве случаев, начинают делать мрт на поджелудочную железу в утреннее время суток. Перед самой процедурой рекомендуется:

  • В течение трех дней соблюдать специальную диету, исключающую вероятность газообразования в области кишечника, а именно запрещается употреблять в пищу: сладости, сок, хлебобулочные изделия, бобы, капусту.
  • За день до диагностики не употреблять спиртосодержащие напитки.
  • При утреннем проведении мрт-диагностики рекомендуется ничего не есть с утра, то есть проводить процедуру натощак.
  • Перед входом в кабинет диагностики необходимо убрать с тела все имеющиеся металлические украшения.
  • Оповестить врача о возможной непереносимости контрастного препарата, если ранее он уже вводился.

Во время лечения в стационарных условиях также может назначаться диагностика поджелудочной железы на МРТ, но рекомендации по подготовке к мрт могут быть несколько другими, о том, как правильно подготовиться и где лучше сделать мрт на поджелудочную  железу проконсультирует лечащий врач. Иногда для получения более четкой картины, специалист может назначить очистительную клизму, либо выведение каловых масс через зонд, чтобы исследование прошло хорошо, без помех.

Только правильная подготовка  к диагностике, поможет получить более достоверную информацию и точную клиническую картину.

Последовательность проведения

МРТ диагностика печени и поджелудочной железы проводится в специально оборудованном помещении с томографом.

Больному необходимо лечь на специализированный диагностический стол, который затем задвигается в лабиринт томографа.

Если есть необходимость применения контрастного вещества, то его введение пациенту производится внутривенным способом, посредством установки катетера, присоединенного к специальному прибору, подающему контраст под определенным давлением. В большинстве случаев применяется контрастное вещество, в основу которого входит гадолиний.

Наибольшей эффективностью обладают следующие препараты, применяющиеся для мрт поджелудочной железы:

  • Магневиста;
  • Примовиста;
  • Гадовиста;
  • Прохэнса.

В составе всех этих веществ находятся различные соединения гадолиния. Другие препараты, разработанные на основе йода, не подходят для проведения МРТ. Такие препараты разработаны для проведения мультиспиральной компьютерной томографии, которая проводится на основе рентгенологического исследования. Мультиспиральная томография, или мскт поджелудочной железы назначается в случае, если к проведению МРТ имеются определенные противопоказания.

Когда не рекомендуется делать МРТ

Мрт поджелудочной железы имеет определенные противопоказания, при наличии которых применять подобное диагностирование не рекомендуется, а именно это:

  • Наличие металлических деталей в организме, это могут быть скобы для скрепления переломов, опыленные коронки на зубах, либо металлический мост и др.
  • Встроенные в тело пациента приборов автономного действия, таких как водитель ритмичности сердечного биения.
  • Наличие различных металлических протезов.
  • Первый триместр беременности.
  • Наличие клаустрофобии, то есть боязни закрытого пространства.
  • Масса тела, превышающая 150 кг, т.к. диагностический стол томографа рассчитан на меньшую нагрузку.

Если имеются аллергические проявления на введение контрастного вещества, мрт поджелудочной железы можно провести и без этого, но и эффективность обследования будет не столь высокой.

При наличии вышеописанных противопоказаний на МРТ, специалисты рекомендуют обследоваться при помощи таких диагностических методов, как мскт, или кт.

Что такое КТ и когда его назначают

КТ, или компьютерная томография – это один из диагностических способов визуализации работоспособности паренхиматозных органов.

Показания, по наличию которых назначается компьютерная диагностика:

  • развитие аномальных процессов в области паренхиматозных органов;
  • появление опухолевидных новообразований с различной этиологией;
  • при формировании камней в панкреатических протоках ;
  • посттравматическое состояние;
  • острый панкреатит;
  • хронический панкреатит;
  • обследование забрюшинной области.

Кроме всего прочего КТ диагностика может назначаться перед проведением хирургического вмешательства. А также огромное значение имеет КТ при раке поджелудочной железы, так как дает большую информативность по расположению региональных метастаз в области близлежащих органов и тканей.

Как делают КТ

На КТ диагностику необходимо приходить в удобном одеянии, не имеющем металлических деталей. Перед тем как войти в диагностический кабинет, нужно убрать с себя все украшения и съемные протезы. Если обследование проводится без применения метода контрастирования, то заранее готовиться к процедуре не обязательно. А если имеется необходимость усиления эффективности обследования и применения контраста, то перед диагностикой необходимо соблюдать диетический режим, предусматривающий исключение возникновения газообразования в области кишечника.

Перед началом обследования пациенту необходимо лечь на диагностический стол, специалист закрепляет при помощи специально-установленных ремешков тело пациента, чтобы обеспечить неподвижность, необходимую для исследования. Для того  чтобы результаты были максимально точными, специалист может в определенный момент также попросить задержать дыхание. Продолжительность всей процедуры может занять 10-15 минут.

Что выбрать МРТ или КТ

Оба диагностических метода имеют практически одинаковые показания к их проведению, но более точную клиническую картину в любом случае, покажет только метод МРТ диагностики.

Многие задаются вопросом, зачем и для чего стоит переплачивать за обследование, если компьютерная томография также показывает высокий уровень информативности? На самом деле МРТ диагностика дает более четкое описание клинической картины и позволяет максимально точно определить место локализации патологии. Тем более при наличии показаний на развития раковой опухоли предпочтительнее выбрать именно магнитную диагностику, так как она определяет онкологические новообразования раковой природы на любой стадии их развития.

Из всего вышесказанного следует, что МРТ диагностика имеет высокий потенциал в выявлении различных патологических изменений в области рассматриваемых органов, которые не диагностируются другими способами.

МРТ поджелудочной железы: диагностика, с контрастом, что показывает

Врачи достаточно часто назначают пациентам МРТ поджелудочной железы. Неинвазивный метод диагностических исследований — это способ, при котором нет прямого воздействия на кожу пациента разными инструментами. Одним из таких методов на сегодня является магнитно-резонансная томография поджелудочной железы.

Кому назначают МРТ поджелудочной железы

Диагностика поджелудочной железы с помощью данного метода определена интенсивной тканевой контрастностью, позволяет рассмотреть саму структуру ткани и ее протоки. Магнитно-резонансная томография — надежный метод обследования, не влияет на пациентов радиационным и ионизирующим излучением, может назначаться как взрослым, так и детям.

Кому показано такое исследование? Проведение МРТ поджелудочной железы назначают в следующих случаях:

  1. Острая, ноющая боль в правой области живота.
  2. Нарушение перистальтики пищеварительного тракта (кишечные колики, вздутие живота, диарея).
  3. Наличие у пациентов острого и хронического панкреатита и его осложнений.
  4. Присутствие в панкреатическом протоке конкрементов.
  5. Аномальные явления в поджелудочной железе.
  6. При изменении массы тела по непонятным причинам.
  7. Доброкачественные и злокачественные образования железы.

Для поджелудочной железы магнитно-резонансную томографию проводят как с использованием контраста, так и без него, что удобно для пациентов с аллергией на препараты йода, а также с хронической почечной недостаточностью.

Отличие методик МРТ, компьютерной томографии и ультразвукового исследования.

При назначении компьютерной томографии поджелудочной железы пациентам необходимо внутривенно вводить препараты, содержащие йод. Без использования этого средства удается получить малое количество информации.

Подобный метод проводится при использовании рентгеновского ионизирующего излучения.

Ультразвуковое исследование — более распространенный и недорогой способ при постановке диагноза заболеваний поджелудочной железы. Только по данным УЗИ не стоит ставить диагноз, особенно если врач не слишком опытный. Качеству исследования может помешать чрезмерный вес и состояние метеоризма у пациента.

  Что такое и как делают КТ поджелудочной железы

Методика проведения МРТ и подготовка к процедуре

МРТ поджелудочной железы проводят 2 способами — с введением контрастного вещества и без него. Если назначено для железы МРТ с контрастом, пациенту перед исследованием вводят в вену йодосодержащее вещество, что позволяет получить более полную картину. Контрастирование применяется при выявлении злокачественных и доброкачественных образований.

За сутки до процедуры пациенты должны придерживаться диеты. Исключить спиртное, жареное, острое, жирное и соленое. Перед проведением томографии нельзя есть и пить чай или кофе (за 8 часов до процедуры).

До начала исследования необходимо с себя снять все металлические предметы и украшения.

Пациент ложится на передвижной стол, который перемещается внутрь кольца томографа. Существуют аппараты МРТ, при которых обследуют не полностью тело человека, а только отдельную часть организма. При проведении обследования нельзя шевелиться, иначе показания будут не совсем точными. Процедура занимает по времени от 10 до 30 минут. Томограф издает шум, который повторяется при исследовании несколько раз. Чтобы пациенты не испытывали дискомфорт, им предлагают специальные наушники.

Противопоказания к проведению МРТ

Противопоказания к проведению МРТ делятся на абсолютные и относительные. При абсолютном запрете процедуру нельзя проводить и необходимо выбрать другой метод, а относительном — можно выполнить, но с ограничением.

Абсолютные противопоказания — это присутствие имплантатов из металла, ферромагнитные клипсы в сосудах мозга, искусственные суставы, кардиостимуляторы, протезы, установленные на сердце и др.

  Симптомы проблем с поджелудочной железой у ребенка

Относительные противопоказания — это чрезмерно избыточный вес, наличие электронного инсулинового насоса, боязнь замкнутого пространства, беременность первый триместр, татуировки, нарисованные краской с добавлением металла, психические расстройства, сердечная недостаточность, плохое самочувствие пациента.

МРТ поджелудочной железы с контрастом

Иногда пациентам назначают МРТ поджелудочной железы с контрастом. Когда у больного при магнитно-резонансном обследовании обнаружили опухоль, ему могут предложить ввести контрастное вещество. Контрастность нужна для четкого выявления контуров образований и степени внедрения опухоли в соседние структуры. В состав контрастного вещества входит редкий металл гадолиний, аллергия на него почти отсутствует. За сутки данное вещество полностью выводится из организма.

При проведении процедуры с контрастом выявляются еще противопоказания:

  1. Аллергия на вводимый препарат.
  2. Гемолитическая анемия.
  3. Беременность (запрещено на любом сроке).
  4. Хроническая почечная недостаточность.

Что показывает магнитно-резонансная томография органа:

  • острые и хронические воспалительные изменения;
  • аномальные процессы;
  • доброкачественные и злокачественные опухоли.

Выявить аномалию в поджелудочной можно без назначения контрастного средства, что удобно для пациентов, страдающих почечной недостаточностью и аллергией на препараты с йодом.

При проведении МРТ железы специалист получает данные, есть ли необходимость хирургического вмешательства, что особо важно при планировании лечения, связанного с сохранением органа. МРТ поджелудочной железы — один из незаменимых методов исследований в послеоперационном периоде для предотвращения рецидива онкологического заболевания. Магнитный метод исследования точен на 98%. После обследования можно получить следующие данные:

  1. Размер воспаления, будет выявлено 3 значения.
  2. Форма новообразования: если круглая, значит, она доброкачественная.
  3. Контур образования может быть четким, неровным и срезанным, что важно при выявлении злокачественной опухоли.
  4. Воздействие образований на ближайшие органы и ткани, метастазы проникают к прилегающим органам поджелудочной железы.

  Как лечить поджелудочную железу народными средствами в домашних условиях

Данный метод исследования дорогостоящий, и не каждая больница может позволить себе такой аппарат.

МРТ поджелудочной железы

Поджелудочная железа – орган паренхиматозного типа, расположенный довольно глубоко в брюшной полости. Рутинные методы диагностики не всегда способны дать о ней достаточное количество информации для постановки правильного диагноза. Для определения ее заболеваний все чаще используется магнитно-резонансная томография. Этот метод зарекомендовал себя, как наиболее информативный и безопасный для пациентов.

Магнитно-резонансная томография основана на возможности различных новообразований, развивающихся в паренхиматозных органах, с разной интенсивностью отражать магнитные волны. Естественно, качество снимков, которые будут выводиться на экран компьютера, обеспечивающего обработку изображений, будет зависеть от мощности используемого томографа. Чем мощнее аппарат, тем выше качество изображения и надежнее исследование.

Улучшить качество изображения можно также, применив специальные контрастные вещества. Контрастирование в комплексе с МРТ позволяет не только визуализировать самые мелкие изменения в органе, но и оценить состояние сосудов, которые его питают.

Какие функции выполняет поджелудочная железа?

Основная функция поджелудочной железы – обеспечение пищеварительного тракта различными ферментами, необходимыми для нормального переваривания и усвоения пищи. Наиболее значимыми из них являются трипсин, химотрипсин, липаза панкреатического типа и амилаза.

Вторая функция, являющаяся не менее важной, это обеспечение организма гормонами, участвующими в обмене глюкозы и гликогена. Именно благодаря образованиям поджелудочной железы, называемым островками Лангерганса, происходит синтез инсулина и глюкагона. При избытке или недостатке этих гормонов развиваются тяжелые патологии обмена веществ, самое известное из которых – сахарный диабет.

Показания к проведению МРТ поджелудочной железы

Многие заболевания органа протекают бессимптомно или с минимальными жалобами со стороны пациента. Это существенно затрудняет диагностику, особенно если речь об опухоли. Чаще всего МРТ поджелудочной железы проводится при предъявлении следующих жалоб:

  • болезненность в области желудка и самой железы, носящая опоясывающий характер;
  • проблемы с пищеварением хронического типа;
  • подозрения на наличие опухоли или кисты;
  • наличие хронического панкреатита любой формы;
  • диагностированная ранее гипертензия внутри желчных протоков для исключения их обструкционного перекрытия.

Поскольку МРТ не несет лучевой нагрузки, её также часто используют, чтобы наблюдать за эффективностью лечения и корректировать при необходимости подобранную терапию.

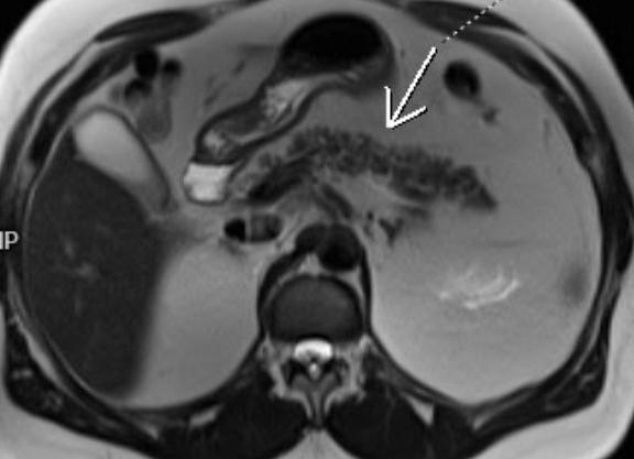
Что показывает МРТ поджелудочной железы?

Исследование может показать мельчайшие изменения в структуре органа. Наиболее ценными считаются данные, полученные в случае, если у пациента во время проведения МРТ обнаружено объемное образование поджелудочной железы.

По результатам снимков определяют:

  • положение и внутреннее строение органа;
  • размеры головки, тела и хвоста железы;
  • состояние парапанкреатической клетчатки;
  • структуру паренхимы, присутствие патологических образований;
  • плотность тканей патологии, что позволит отличить опухоль от кистозного образования;
  • форму и размеры патологии, это поможет дифференцировать опухоль, ровные контуры и округлые формы говорят о доброкачественности образования;
  • прорастание опухоли в окружающие ткани;
  • метастазирование из других органов;
  • состояние протоков, располагающихся внутри железы;
  • присутствие в протоках камней;
  • состояние сосудов, обеспечивающих питание органа и прочее.

Когда показано МРТ поджелудочной железы с контрастом?

Контрастирование применяют в основном когда необходимо подтвердить наличие в органе объемных новообразований. Раковые клетки задерживают контраст на более длительное время, тем самым обеспечивая улучшенную визуализацию опухоли.

Контрастирование при МРТ поджелудочной железы может использоваться также для диагностики патологий сосудов, питающих орган.

Подготовка к обследованию

МРТ поджелудочной железы требует минимальной подготовки. В первую очередь пациенту рекомендуется проходить обследование на пустой желудок. Если обследование утреннее, то завтрак передвигают на более позднее время. Если обследование днем, то запрет на прием пищи накладывается за 5 часов до исследования минимум.

За двое суток до исследования рекомендуется отказаться от продуктов, которые приводят к газообразованию (хлеб, газировка, сладкое, соки, бобовые и др.).

Перед процедурой обязательно снимают все металлические украшения и предупреждают врача об аллергических реакциях на контраст, если он уже применялся ранее.

Необходимо сообщить врачу о наличии имплантированных электронных устройств или металлических протезов, так как это может стать противопоказанием к проведению исследования. Если пациент пользуется слуховым аппаратом, его снимают перед процедурой.

Порядок проведения

МРТ поджелудочной железы – диагностическое мероприятие, которое проводится в специально оборудованном помещении, где находится томограф. Пациента укладывают на подвижный стол, который в дальнейшем окажется внутри аппарата.

Если сканирование проходит без контрастирования, то стол задвигается в аппарат, и процедура начинается. Во время процедуры пациентам нельзя двигаться, так как при движении снимки смазываются. Все, что должен делать пациент – это неподвижно лежать в томографе 20-30 минут.

Если принято решение проводить процедуру с контрастированием, то перед исследованием пациенту делают аллергическую пробу. Она необходима, чтобы исключить непредвиденные реакции организма на вводимое вещество. Если аллергия не выявлена, то контраст вводится внутривенно, а затем процедура идет по стандартному плану.

В ходе процедуры некоторые пациенты испытывают приступ клаустрофобии. Справиться с ним можно, разговаривая с врачом через микрофон, вмонтированный в томограф. Обычно даже при приступе клаустрофобии исследование не прерывают, но, если у пациента начинается паника, возможна его остановка.

Что лучше МРТ или КТ поджелудочной железы?

Сегодня, если речь идет о выборе между МРТ и КТ, то предпочтение отдается первому методу. Это связано с более высокой разрешительной способностью метода и меньшим количеством противопоказаний.

При магнитно-резонансной, в отличие от компьютерной томографии, не происходит облучения организма рентгеновскими лучами. Часто этот фактор является приоритетным при выборе методики обследования.

Важно также то, что МРТ позволяет диагностировать даже совсем маленькие опухоли поджелудочной железы (от 2 мм) и их метастазы. КТ подобной разрешительной способностью не обладает, давая возможность определить наличие опухоли только на более поздних стадиях.

Что лучше МРТ или УЗИ поджелудочной железы?

УЗИ поджелудочной железы – это одно из рутинных исследований, которые проводятся всем пациентам с жалобами на работу этого органа.

Разрешительная способности УЗИ в отношении визуализации поджелудочной не слишком велика. Это связано с глубоким расположением органа. С помощью УЗИ можно диагностировать крупные новообразования, определить наличие проблем с протоками, но получить более конкретную информацию можно только с помощью томографии.

Часто врачи назначают пациентам оба этих метода обследования, так как данные с УЗИ могут дополнить картину, полученную в результате проведения МРТ-исследования.

МРТ поджелудочной железы: что показывает, как подготовится?

Определить наличие воспалительных процессов и новообразований в поджелудочной железе сегодня можно несколькими передовыми способами, среди которых и магнитно-резонансная томография.

Во многих случаях она может оказать неоценимую помощь, поскольку помогает определить наличие патологии практически на любой стадии ее прогрессирования. Кроме того, МРТ способна заменить компьютерную томографию, УЗИ-исследование и рентген с более высокой точностью результатов.

Как работает методика?

Точность проведенной диагностики при помощи магнитно-резонансной томографии достигает 97 процентов. Суть методики состоит в отслеживании контрастности, которая и указывает на возможные изменения.

Что показывает МРТ поджелудочной железы?

Метод магнитно-резонансной томографии позволяет определить размер и форму поджелудочной железы, плотность тканей, возможное наличие патологических образований (в том числе камней), а также проходимость протоков. В частности, с помощью МРТ также возможно установить:

  • локализации внутри поджелудочной железы;
  • размеры составляющих органа;
  • состояние клетчатки;
  • размеры и типы новообразований (при их наличии);
  • состояние капилляров внутри железы;
  • наличие метастаз.

Высокочувствительный аппарат позволяет отличить доброкачественные новообразования от злокачественных, а также определить стадию развития болезни.

На каком томографе лучше проходить исследование?

Аппараты для проведения исследования бывают двух основных видов: открытые и закрытые. Для выявления патологических изменений в поджелудочной железе применяется закрытый томограф с мощностью не более полутора тесла.

Такое оборудование обладает высокой точностью и может выявить даже незначительные аномалии, поэтому выбрать для диагностики следует именно его.

Аппараты мощностью менее 1 тесла не используют для диагностики поджелудочной железы. В данном случае этот вид малоэффективен.

Показания к проведению МРТ

Направление на проведение магнитно-резонансной томографии получают как пациенты, имеющие установленный диагноз, так и больные с неясной клинической картиной. Таким образом, МРТ может быть показано при:

  • устойчивых болях в области желудка;
  • болях опоясывающего типа в области живота;
  • выявленных при помощи УЗИ опухолей и отклонений в поджелудочной железе, печени и желудке;
  • наличии гнойных образований;
  • аномалии в общем строении органа;
  • устойчивых нарушениях работы желудочно-кишечного тракта.

Аппаратное исследование также проводят непосредственно перед хирургическими операциями. Контроль результатов после их проведения также является показанием. Наблюдение при помощи МРТ полезно делать для отслеживания эффективности любой назначенной терапии.

Противопоказания

Магнитно-резонансная томография считается вредной процедурой и назначается с большой периодизацией. Она не проводится при наличии в теле каких-либо металлических тел и механизмов, в том числе:

  • аппарата Илизарова;
  • кардиостимулятора;
  • клипс и имплантов в области черепа;
  • несъемных металлических коронок и протезов.

Среди относительных противопоказаний:

  • наличие психических расстройств (может быть купировано при помощи соответствующих медикаментов);
  • повышенная масса тела (более двухсот килограммов);
  • наличие инсулиновой помпы;
  • беременность.

Как правило, процедуры не проводятся при критическом и тяжелом состоянии пациента.

Когда показано МРТ поджелудочной железы с контрастом?

Магнитно-резонансная томография с контрастом необходима пациентам с неясной клинической картиной. Она позволяет наиболее точно установить тип новообразования (при наличии последнего), вид, характер и стадию развития болезни.

Благодаря высокой точности проводимого исследования, возможно отслеживание изменений структуры и размеров даже на несколько миллиметров. Новые результаты МРТ с контрастированием могут быть сравнены с предыдущими на любом этапе диагностического обследования и лечения.

Подготовка к процедуре МРТ

Аппарат для проведения диагностики обладает высокой чувствительностью и не терпит серьезных погрешностей. Поэтому перед проведением процедур необходима безболезненная подготовка к МРТ поджелудочной железы, не требующая кардинальных изменений в привычном образе жизни пациента.

Так, в первую очередь больному назначают специальную диету, исключающую возможность появления большого количества скопления газов в кишечнике. Как правило, она начинается за трое суток до посещения кабинета врача. Щадящее питание исключает:

  • алкогольные напитки;
  • любые бобовые культуры;
  • крепкий чай и кофе;
  • фастфуд, соленое, копченое и жареное;
  • газированные напитки;
  • сдобу и кондитерские изделия;
  • некоторые зерновые культуры;
  • свежее молоко;
  • капусту и корнеплоды.

В зависимости от индивидуальных особенностей пациента могут быть исключены и другие продукты питания. Готовиться могут помочь и медикаменты, снижающие газообразование.

Подготовка к обследованию не ограничивается диетой. Так, необходимо предпринять и другие меры. Для этого пациенту необходимо:

  • временно отказаться от приема лекарственных препаратов (в индивидуальном порядке);
  • отказаться от приема пищи в день проведения МРТ;
  • уведомить врача о возможном наличии татуировок, протезов и прочих инородных тел в организме;
  • удалить все украшения с тела (при наличии);
  • надеть одежду и белье исключительно из натуральных тканей без твердых вставок;
  • сообщить о наличии аллергии.

При содержании пациента в стационаре может быть проведена очистительная клизма, которая поможет подготовиться в кратчайшие сроки. Важно, чтобы за одни-двое суток до диагностики больной не проходил никаких дополнительных процедур, требующих введения контрастных веществ.

Методика проведения

Процедура диагностики проводится в помещении, специально оборудованном аппаратом. Перед началом пациента просят снять верхнюю одежду, после чего укладывают на специальную площадку и фиксируют на ней тело.

В случае необходимости проводится и введение контрастного препарата на металлической основе (Магневист, Примовист, Гадовист), который полностью выводится из организма в течение двух суток.

Врачи во время диагностирования находятся в специальном помещении, откуда и управляют томографом и дают указания пациенту при помощи громкой связи. Диагностика может занять от двадцати до сорока минут.

В течение этого времени от пациента требуется сохранение полной неподвижности. Обработка полученных снимков дополнительно занимает еще около трех часов, после чего ставится окончательный диагноз.

Результат исследования

Во время процедуры делается две серии снимков: до введения контрастного компонента и после него. При обнаружении новообразований получается картина с увеличением органа или его части, может быть получен четкий контур и структура.

При панкреатите, в первую очередь, может быть обнаружено увеличение поджелудочной железы вследствие появления отека, а также неравномерность структуры. Таким же образом контрастность способна показывать и отмершую ткань при панкреонекрозе.

При диффузных изменениях МРТ может показать равномерное увеличение плотности тканей железы. При этом размер и форма органа, как правило, не меняется.

В чем преимущество МРТ перед рентгенологическими видами обследования?

МРТ обладает следующими преимуществами перед стандартной рентгенографией, компьютерной томографией, ультразвуковым и другими методами исследований:

  • точность МРТ (в том числе с контрастированием) значительно более высока;
  • с помощью диагностики этого типа можно выявить нарушения, которые невозможно обнаружить с использованием других методов;
  • эффективность обследования тела и хвоста железы составляет более девяноста пяти процентов, что значительно выше точности других типов исследований;
  • МРТ позволяет выявить нарушения не только внутри самой поджелудочной железы, но и в забрюшной области;
  • процедура является безопасной для врачей и пациентов, хорошо переносится.

КТ брюшной полости

Таким образом, МРТ можно считать предпочтительней рентгенографии.

Средние цены по городам

Магнитно-резонансная томография является платной дорогостоящей процедурой. Наиболее высокая стоимость обследования с хорошим аппаратом в Москве. Там она составляет 10–12 тысяч рублей. В Санкт-Петербурге такая процедура обойдется пациентам в 5–7 тысяч рублей. В региональных диагностических центрах встречаются следующие цены:

  • в Южном Федеральном округе – 4–5 тысяч рублей;
  • в Дальневосточном Федеральном округе – 6–7 тысяч;
  • в Сибири – 4–5 тысяч;
  • на Урале – 4–5 тысяч;
  • в Приволжском Федеральном округе – 4–6 тысяч;
  • на Северном Кавказе – 4–5 тысяч.

Стоимость процедур может зависеть от аппарата и различаться в частных и государственных медицинских учреждениях. Чтобы сделать МРТ, необходимо получить направление лечащего врача.


Смотрите также

  • Двусторонний хронический периаднексит что это такое
  • Мрт диагностика что это такое
  • Что такое трансабдоминальное узи малого таза
  • Норма билирубина в крови у грудного ребенка
  • Почему появляется киста на яичнике
  • Микрофлора смешанная с преобладанием палочковой
  • Подготовка пациента к узи
  • Признаки гепатита с у мужчин на первой стадии
  • Узи обучение сосудов
  • Эозинофилы высокие у ребенка
  • Маммография или мрт молочных желез что лучше