
Как делается МРТ легких, что показывают полученные томографом изображения?
МРТ легких что показывает плеврит, опухоли и патологии сосудов, является очень точной методикой диагностики. Ведь человек живёт благодаря тому, что дышит. За дыхание в теле отвечает целая система органов, однако, главнейшим звеном этой цепи являются легкие. Любые повреждения или аномалии в легких могут привести к нарушению дыхания, что ведет за собой кислородное голодание, в результате чего организм слабеет, чахнет и гибнет. Именно поэтому важно следить за состоянием легких и регулярно проходить флюорографическое обследование. Широко распространены флюорография и рентгенография. Но стоит понимать, что это простейшие формы диагностики, которые не показывают целый ряд изменений и заболеваний.
Техническая сторона магнитно-резонансной томографии
Наиболее информативным и качественным способом изучения легких человека является МРТ. Это самый рациональный способ, который показывает точную информацию не только о состоянии самих легких, но и соединительных тканях, сосудах и процессах, происходящих в органах. К тому же с помощью томографии получить результат можно максимально быстро.
Магнитное поле томографа воздействует на атомы водорода, которые колеблясь, создают магнитные радиоволны. Эти волны способны сканировать органы человека, находящиеся в глубинах тела, и показывать их сложную структуру и строение.
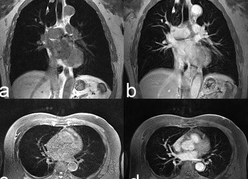
Легкие человека – для изучения и детального обследования очень сложны, ввиду того, что в легочных тканях содержится воздух, а это значительно затрудняет визуализацию сосудов. МРТ легких – показывает картинку двух проекций сбоку и спереди, что не позволяет «протий мимо» структурных клеточных изменений, патологических образований. Диагностика дает информацию в сагиттальной и фронтальной областях, что позволяет понять, с чем столкнулся пациент и врач, как это лечить и контролировать.
Обследование легких не всегда может ограничиться одним органом, зачастую просматривают еще и бронхи. Методика МРТ бронхов и легких основывается на выявлении патологий, определении границ и форм воспалительных процессов, новообразований, их степени развития, взаимодействии с соседними органами, работе сосудов. За счет такой диагностики можно не просто выявлять причину, но и фиксировать изменения в тканях и спинном мозге, диагностируя состояние плевральных полостей, лимфатических узлов.
Магнитно-резонансную или компьютерную томографию выбрать?
Для исследования лёгких довольно часто назначают и компьютерную томографию. Однако, утверждать, что у какого-то метода есть преимущество или он больше показывает – сложно, так как у них разные цели. КТ или МРТ диагностика легких нужна сможет определить лишь лечащий врач, так как именно он понимает, картина какой диагностики ему требуется. При компьютерной томографии отчетливо видны костные структуры. А мягкие ткани и сосудистая система легких будет детализирована магнитно-резонансной томографией.
Принцип действия самих томографов отличается, как и способ получения информации, это подтверждает приведенная ниже сравнительная таблица.
|
КТ |
МРТ |
|
Диагностика через рентгеновские лучи, с помощью которых поступает информация о физическом состоянии исследуемого органа. |
Диагностика посредством магнитных полей и радиоволн, с помощью которых поступает информация о химическом строении и состоянии тканей. |
|
Средний ценовой сегмент |
Дорогостоящая процедура |
Если врач назначает исследование, стоит делать именно то, что указывает доктор, не ссылаясь на дороговизну МРТ или КТ легких либо их доступность.
Кому и при каком диагнозе назначают обследование на томографе?
Итак, процедура исследования дыхательной системы сложна, но позволяет хорошо рассмотреть и тщательно изучить состояние сосудистой системы легких, ткани органов дыхания, увидеть новообразования, уточнить их форму и природу, показывает информацию о параметрах опухолей. Она показывает все аномальные отклонения.
Обычно в назначении указаны исследования МРТ легких что показывают подозрения или наличие у пациента:
- плеврита;
- злокачественных и доброкачественных опухолей;
- объёмных новообразований разных степеней;
- кистозного фиброза;
- внутригрудных узлов;
- патологий сосудов легких;
- онкологии;
- туберкулеза;
- исследование проводится и перед операцией на грудной клетке.
При пневмонии зачастую тоже назначают томографию, особенно когда болезнь затягивается. На рентгеновском снимке можно увидеть затемнения в легких, но это в запущенных случаях. Для определения опухоли или новообразования на ранней стадии, для различения опухолевых и воспалительных процессов используется МРТ. Именно оно способно показывать мельчайшие патологии, застаревшее воспаление, степень проникновения опухолей в другие органы, любые воспалительные поражения легочной ткани. По состоянию самочувствия пациента, по его анализам врачом принимается решение, что назначить МРТ или рентген, в каждом конкретном случае направление будет сугубо индивидуальным.
Существуют ли противопоказания?
Несмотря на все преимущества процедуры и точность, с которой она показывает органы, существуют и противопоказания для МРТ легких. Не допускаются до обследования:
- пациенты с осколками и пулями в теле;
- вживленными механизмами, замещающими суставы;
- металлическими протезами;
- кардиостимуляторами;
- хирургическими клипсами и скобами.
Пирсинг, татуировки и украшения, которые невозможно снять, тоже будут являться причиной отказа для проведения томографии. Невозможно провести исследование тем, кто находится на искусственном жизнеобеспечении: вентиляция легких, искусственная почка, встроенные слуховые аппараты.
Для тех, кто боится замкнутого пространства, подвержен судорогам или неадекватным состояниям, до процедуры предлагают принять успокоительные препараты либо вводят наркоз. Нет ограничений по весу пациентов, так до 130 кг используют закрытый аппарат, свыше 130 кг – томограф открытого типа.
Как проходит диагностика?
Огромным плюсом томографии является то, что нет доказательств вреда от магнитного поля, которое сканирует человека. Метод, показывает структуру легких очень детально, но не предполагает введение посторонних предметов, проколов кожи, внедрения чипов тоже не будет. МРТ легких при необходимости могут проходить беременные и кормящие – ведь нет никакого радиационного воздействия.
Каких-то специальных мер для подготовки прохождения исследования на резонансном томографе не существует. Важно перед процедурой указать на аллергические реакции, сердечно-сосудистые заболевания, астму и склонность к судорожным явлениям.
Метод исследования совершенно безболезненный и занимает в среднем около 20 минут. Однако есть нюанс: все это время пациент обязан лежать без движения, тогда картинка будет показана более четко и качественно.
МРТ легких: что показывает диагностический метод исследования органов дыхания
Главная » МРТ » Магниторезонансная томография легких: что показывает диагностическая методика
Уже давно известно о том, что магниторезонансная томография относится к категории самых эффективных и информативных диагностических методик. Такая методика позволяет осуществить диагностику легких, которые необходимы человеку для осуществления качественного газообмена между окружающей средой и организмом. При возникновении различных заболеваний, в том числе и органов дыхания, назначается к проведению диагностика МРТ. Посредством данного метода специалист может выявить все патологии и отклонения в легких. Более подробно о том, как выполняется диагностика легких и бронхов с помощью МРТ, узнаем далее.
МРТ легких: что показывает диагностика
В материале узнаем также, делают ли МРТ бронхов и легких. Диагностическая процедура МРТ представляет собой информативный метод, отображающий структурные изменения, а также позволяющий выявить патологические новообразования в легких и бронхах. Магниторезонансная томография позволяет получить снимки в виде срезов диагностируемых органов, по которым можно выявить признаки отклонений и патологий.
Для исследования легких и бронхов применяются контрастирующие вещества. Обычно в качестве такого вещества применяют магневист, который обладает большей плотностью, по отношению к остальным, а также хорошо переносится организмом. Методическое диагностирование МРТ легких показывает следующие патологии и отклонения:
- выявляет наличие патологических инфильтратов;
- определяет формы и границы очагов воспалений;
- позволяет определить вид новообразования;
- определяет степень врастания опухолей в ткани соседних органов;
- выдает результаты исследования в трехмерном изображении.
На основании полученных результатов у специалиста имеется возможность смоделировать развитие патологий в легких, а также диагностировать нарушения в ткани. Диагностирование легких при помощи МРТ осуществляют по назначению лечащего врача, если возникают соответствующие показания. Показана диагностика МРТ легких при наличии следующих факторов:
- Если лечащий специалист поставил диагноз – плеврит.
- При диагностировании увеличения внутригрудных узлов.
- При обнаружении или подозрении на объемные образования в средостении.
- При планировании проведения оперативного вмешательства.
- Для выполнения контроля состояния пациента, а также динамикой изменений после операции.
- При развивающихся опухолях плевры.
МРТ легких и бронхов позволяет не только выявить возникновение опухолей, но еще и дать четкую картину разграничения и отличия опухолевых процессов от прочих видов воспалительных патологий. Именно посредством такой возможности данный вид обследования позволяет получить большие перспективы в будущем.
Почему лучше пройти МРТ легких
Главная ценность такой диагностики, как МРТ, заключается в том, что при помощи данного метода можно с точностью до миллиметра выявить различные новообразования. При своевременном обнаружении патологий удается проводить и предупреждать дальнейшее развитие рака.
Важно знать! После появления исследования при помощи магнитных полей, эффективность выявления рака легких значительно повысилась.
На основании получаемых снимков в идее срезов, врач определяет величину опухолей, форму, а также точное место расположения. Немаловажно, так как для выбора эффективной терапии необходимо знать, с чем необходимо бороться. При наличии максимально-точных сведений о недуге, можно не только назначить правильное лечение, но еще и подать надежды пациенту на успешное исцеление.
При магнитно-резонансном диагностировании удается выявить такую патологию, как туберкулез легких. Этот вид заболевания является достаточно распространенным, поэтому очень важно выявлять признаки недуга на ранних стадиях, чтобы иметь возможность успешного выздоровления. Если туберкулез будет диагностирован на поздних сроках развития, то оказать помощь больному будет невозможно. Это опасное заболевание, которое приводит в большинстве случаев к смертельному исходу.
Что лучше выбрать: МРТ или КТ
У пациентов часто возникает вопрос о том при исследовании легких, что лучше выбрать: МРТ или КТ. Чтобы дать ответ на вопрос, что лучше: МРТ или КТ легких, требуется понимать, что эти две методики обладают различным принципом действия. Эти принципы действия обусловлены следующим:
- При компьютерной томографии используется рентгеновское излучение, посредством которого предоставляется возможность получения максимального количества информации о физическом состоянии диагностируемых органов. Обычно КТ применяется при следующих показаниях: поражение грудной клетки и таза, боли в животе и в основании черепа.
- МРТ основывается на создании магнитного поля, которое способствует возбуждению атомов и ионов водорода. Движение атомов водорода улавливают высокочастотные датчики, которые передают сигнал на компьютер. Компьютер составляет изображение, на основании которого и делается соответствующее заключение. Посредством данного способа исследования получается не физическое, а химическое построение изображения.
Когда специалист назначает пройти КТ, то на рентгеновском снимке будут видны сами ткани, поэтому появляется возможность определения рентгеновской плотности, которая изменяется по мере обострения патологии. Магниторезонансной томографией можно оценить получаемые изображения визуальным способом. Очень часто данные методики являются взаимозаменяемыми, поэтому могут применяться параллельно.
Важно знать! Достаточно часто, если выявить патологию с помощью КТ не удается, то назначается прохождение МРТ.
К применению МРТ прибегают при возникновении таких случаев:
- Если пациент имеет склонность к возникновению аллергических реакций при введении контраста. При МРТ контраст также применяется, но является не обязательным. С его помощью удается повысить четкость изображения.
- При диагностировании опухолевых процессов, инсультов, воспалений, а также рассеянного склероза.
- При возникновении потребности выполнения диагностики позвоночника и спинного мозга.
- Для возможности изучения внутричерепных нервных окончаний.
- Посредством МРТ удается осуществить более точное исследование мышечных тканей, связок и суставных поверхностей.
- Использование солей гадолиния позволяет провести детальный анализ и выявить наличие опухолей.
Важно знать! Рентгенография и КТ относятся категории вредных диагностических процедур, так как в основе их принципа действия лежит рентгеновское излучение. МРТ является полностью безопасным и безвредным методом исследования.
Прежде чем проводить МРТ, требуется убедиться в отсутствии у пациента противопоказаний. Это такие противопоказания, как клаустрофобия, наличие металла и электронных устройств, беременность в первом триместре, а также вес пациента более 120 кг.
КТ применяется при возникновении следующих случаев:
- При подозрениях на присутствие острых внутричерепных гематом и прочих травм мозга.
- Для проведения диагностики нарушений в кровотоке.
- Если недуги связаны с нарушением в височных костях, пазухах носа и костных структурах.
- КТ более информативна, если возникает потребность исследовать зубы, лицевые кости, щитовидку.
- При наличии синуситов и отитов, чтобы убедиться в тяжести форм протекания данных недугов.
- При остеопорозе, грыжах, дегенеративных изменениях спины, а также дистрофии и искривлении позвоночника, лучше отдать предпочтение КТ.
- При исследовании легочных тканей и фиброзов, лучше отдать предпочтение КТ.
Подведение итогов
МРТ диагностика способна определить разнообразные недуги в легких и бронхах. Кроме того, процедура позволяет не только обнаружить воспаление, но еще и проследить за процессом функционирования данных органов. О том, что лучше пройти МРТ или рентген при пневмонии, решает непосредственно только лечащий врач на основании соответствующих показаний.
КТ проводится при необходимости обследования больных с признаками кистозного фиброза, а для повторного изучения уже используется метод МРТ. Ответить на вопрос о том, что лучше КТ или МРТ легких, можно следующим образом: у компьютерной томографии пространственное разрешение намного выше, но при исследовании бронхов отдать предпочтение следует магниторезонансной томографии, особенно при возникновении потребности оценивания вентиляции легких и правильности их функционирования.
В завершении стоит подчеркнуть, что МРТ позволяет определить загрязнение легочной ткани, выявляя наличие мельчайших частичек угля и оксида кремния. Существенное отличие КТ и МРТ обусловлено их стоимостью, так как последний вариант в несколько раз дороже первого. Это связано с безопасностью и высокой информативностью методики.
Метки: МРТ внутренних органов
Что показывает МРТ легких и бронхов
МРТ лёгких помогает поставить точный диагноз при заболеваниях дыхательных органов. Этот способ обследования позволяет выявить нарушения работы дыхательной системы, а также тип поражения. Такой метод диагностики используется в том случае, если не удаётся поставить диагноз другими способами. Кроме того, МРТ рекомендуется отдельным группам пациентов, которым запрещено проходить рентген. В исключительных случаях магнитно-резонансная томография запрещена, тогда на помощь врачу приходит УЗИ и КТ. Процедура проводится в диагностических центрах, но отличается высокой ценой.
Показания
Магнитно-резонансную томографию назначают при многих заболеваниях. Эта процедура помогает дифференцировать симптоматику, показывает подробное строение внутренних органов и определяется степень их поражения. Благодаря процедуре можно контролировать эффективность физиотерапевтического лечения. МРТ поможет определиться и с правильностью проведения лечения любых бронхиальных патологий.
МРТ лёгких и бронхов назначают более чем в 80% случаев, когда имеются подозрения на серьёзные патологии. Основными показаниями к магнитно-резонансной томографии считаются:
- туберкулёз бронхов;
- бронхит, вызванный пылью;
- бронхиолит;
- бронхит инфекционного характера;
- бронхит эозинофильного типа;
- атопическая бронхиальная астма.
Томографию лёгких проводят и при иных патологиях, когда диагностирование очень затруднено. Нередко такое обследование назначают при бронхопневмонии, гиперреактивности бронхов, диффузионном бронхите, отёке бронхов и многих схожих патологиях. Патологии мелких систем дыхательных органов можно обнаружить при помощи МРТ, но диагностика будет более точной, если больной дополнительно проходит УЗИ и рентген грудной клетки.
Детям МРТ лёгких и бронхов часто назначают, если есть подозрение на неправильное строение этих органов или тяжёлые заболевания. Показаниями для проведения обследования детям считается бронхит инфекционного происхождения, туберкулёз бронхов и так называемый пылевой бронхит.
Компьютерная томография способна показать морфологию более чётко, чем МРТ. Но последнюю процедуру используют для оценки функциональных изменений органов, а также степени их вентиляции.
Противопоказания
Магнитно-резонансную томографию можно делать не во всех случаях, есть ряд противопоказаний, к которым относятся:
- различные инфекции в острой стадии;
- последние триместры беременности;
- наличие кардиостимуляторов и прочих протезов важных органов.
В этом случае больным может быть назначена компьютерная томография или УЗИ грудной клетки. Эти методы диагностики считаются менее точными, по сравнению с магнитно-резонансной томографией, они не могут точно классифицировать все осложнения бронхитов. Но если при проведении КТ и УЗИ данные относительно совпадают, то можно быть уверенным в диагнозе.
К противопоказаниям относятся и некоторые психические расстройства у людей. Нельзя делать МРТ в острой стадии шизофрении или при боязни замкнутого пространства.
Проведение процедуры
Перед прохождением МРТ бронхов и лёгких врач может попросить снять одежду с металлическими деталями и украшения. Специалист может попросить надеть на себя специальный медицинский костюм или футболку со штанами, без лишней фурнитуры. Такая предосторожность объясняется тем, что определённые виды металлов могут сильно искажать изображение или вообще становиться опасными при нахождении поблизости от сканера.
Больного размещают на узеньком столе, который затем медленно перемещается в глубину томографа. Под голову больного допустимо подложить небольшую подушечку.
Определённые виды исследования требуют введение контрастного вещества. Перед проведением сканирования контрастный состав вводится в вену предплечья или кисти. При подкрашивании удаётся лучше рассмотреть некоторые проблемные зоны.
Врач, который проводит исследование, наблюдает за больным из смежного кабинета. Чаще всего процедура проходит от получаса до часа, но в некоторых случаях может немного затянуться. Всё зависит от области обследования и некоторых других факторов.
Если во время процедуры у больного наблюдается головокружение или иные расстройства, то исследование прекращают.
Диагностика разных заболеваний
Органы дыхания являются одной из самых труднодоступных областей для диагностики. Для выявления патологий применяются различные методы исследования, но магнитно-резонансная томография является самым высокоточным. МРТ лёгких показывает такие заболевания на самой ранней стадии:
- Воспаление лёгких. Это заболевание вызывается бактериями и вирусами, которые создают очаги воспаления, которые наполнены экссудатом. Благодаря этому нарушается работа всего бронхиального дерева и в воспалительный процесс может вовлекаться плевра. МРТ помогает выявить недуг на самой начальной стадии и назначить адекватное лечение.
- Бронхит разной формы. Эта болезнь характеризуется сильным отёком бронхов и обильным выделением слизи. Магнитно-резонансная томография применяется при подозрении на развитие тяжёлых осложнений.
- Онкологические новообразования. При подозрении на онкологию больному назначают МРТ с введением контрастного вещества. Это необходимо для того, чтобы точно выявить локализацию опухоли. Современные медицинские сканеры дают возможность не только определить расположение опухоли, но также выявить её структуру и размер.
- Бронхиальная астма. Больной может направляться на обследование, если этиология заболевания не совсем ясна.
Пациент может направляться на магнитно-резонансную томографию и в других случаях, например, при травмах грудной клетки. Это необходимо для того, чтобы определиться с дальнейшим лечением.
МРТ проводится специально обученным врачом-томографом, который по результатам исследования пишет заключение на специальном бланке.
Результаты
Оценить снимок можно непосредственно после проведения обследования. Доктор без труда ставит диагноз по результатам магнитно-резонансной томографии. В заключении отмечается не только обнаруженная патология, но и фиксируется степень повреждения лёгочной и бронхиальной ткани, а также иные важные моменты. Если обнаружена раковая опухоль, то специалист указывает, можно ли её удалить.
Злокачественная опухоль определяется по наличию более плотных участков ткани. Если же на снимке обнаружено несколько подобных участков, то можно говорить о том, что опухоль уже дала метастазы. МРТ может показать каверны при туберкулёзе лёгких и кистозные образования при поражении паразитами. По результатам исследования можно выявить воспаление плевры и жидкость, которая собралась в плевральной области.
При помощи МРТ можно выявить и специфические патологии, которыми страдают рабочие некоторых профессий. Так, на снимке хорошо будут видны частицы угольной пыли и оксида кремния.
Магнитно-резонансная томография – это относительно новый метод исследования, который позволяет поставить точный диагноз. Процедуру можно проводить не во всех случаях, она имеет ряд противопоказаний. Из-за высокой стоимости многие люди не могут позволить эту процедуру, в этом случае прибегают к недорогому УЗИ. Не стоит забывать, что магнитно-резонансная томография имеет ряд противопоказаний, которые стоит учитывать при назначении обследования.
МРТ легких: в каких случаях применяется?
На сегодняшний МРТ представляет собой томографический метод получения трехмерного изображения тканей и органов, благодаря физическому явлению — ядерно-магнитному резонансу.
Такая эффективность методики заключается в поглощении электромагнитных волн атомами водорода, благодаря действию магнитного поля высокой напряженности.
МРТ легких – это высокоинформативная диагностика, позволяющая выявить воспалительные очаги в легочной и лимфоидной тканях, провести диагностику лимфоузлов. Благодаря данному методу диагностики, существует возможность получения полной информации для определения опухоли, ее размера и структуры.
В данной статье, расскажем более подробно для чего необходимо МРТ легких и что оно показывает.
МРТ диагностика легких
Чаще всего, МРТ исследование легких и бронхов используется при необходимости выявления очагов злокачественных процессов, диагностики состояния лимфатических узлов, а также плеврального пространства.
Специалисты отмечают особую ценность в использовании МРТ технологии, которая позволяет максимально точно визуализировать тканевые и сосудистые структуры органа, определить его размеры и при необходимости дифференцировать тип опухоли.
Тем не менее, специалисты в области пульмонологии не всегда отдают предпочтение данному методу исследования. Связано это с тем, что МРТ не способно отображать нарушения в альвеолярной вентиляции, а также выявить диффузные изменения в тканях бронхов.
Очень долгое время диагностика легких при помощи МРТ была не доступна, в связи с высокой стоимостью процедуры. Однако прогресс в области медицины не стоит на месте, внедряются новые технологии, более качественные методики и высокоточное оборудование, исследование становится более доступным. Поэтому сейчас МРТ легких дает максимально точную информацию об их состоянии, и на сегодня данный метод не имеет аналогов.
Врачи-онкологи давно отметили необходимость проведения диагностики при подозрениях на онкологические очаги или новообразования в легких. Помимо этого, МРТ позволяет обнаружить точную локализацию опухолей или метастаз, предотвратить сосудистую недостаточность, которая не редко является причиной гибели пациента.
МРТ легких: показания к проведению диагностики
Проведение диагностики легких с использованием МРТ метода применяются в следующих случаях:
- попадание инородных предметов;
- хронический нагноительный процесс в бронхах (бронхоэктатическая патология);
- при подозрении на новообразования различной этиологии;
- при синдроме скопления жидкости в плевральной полости;
- когда наблюдаются изменения в составе тканей легких;
- острые приступы бронхиальной астмы;
- длительный кашель неизвестного происхождения;
- синдром апноэ.
Проведение данной диагностики не заменим при подозрении на туберкулез легких. Согласно медицинской статистики, более 60% пациентов с таким инфекционным заболеванием дыхательной системы не доживают до конца курса терапии.
Подобные симптомы и патологии могут развиваться и у детей, что вызывает необходимость проведения МРТ исследования. Многие родители бояться назначения подобной диагностики, считая, что существуют определенные риски. Зачастую, по незнанию, метод МРТ отождествляют с компьютерной томографией (КТ), которая действительно основана на применении рентгеновского излучения. Но магнитно-резонансная томография — кардинально иной метод диагностики, не включающий использования ионизирующей радиации. По этой причине, МРТ может применяться в исследовании даже самых маленьких пациентов.
Как подготовиться к процедуре МРТ
Перед посещением центра для проведения МРТ легких никакой специальной подготовки не требуется. Также не нужно придерживаться диет или исключать применения необходимых препаратов. Одежда пациента в момент диагностики не должна содержать металлических элементов, необходимо снять все украшения и аксессуары. В обязательном порядке необходимо сообщить специалисту о наличии железных коронок или стоматологических штифтов, а также металлических предметов в теле.
При наличии в теле имплантатов или предметов из метала, например, кардиостимулятора или искусственных суставов проводить МРТ запрещается, в данном случае вред от процедуры крайне высок, в плоть до летального исхода пациента.
Проведение МРТ процедуры
Диагностика на аппарате МРТ имеет ряд преимуществ, в первую очередь способность метода производить изображение во всех возможных проекциях, выстраивать 3D изображение на основе данных и позволять изучать отдельные системы без окружающих тканей. Такие данные позволяют максимально точно определить общее состояние органов дыхания. При необходимости МРТ процедура может сопровождаться с использованием контрастного вещества. Все специалисты находятся в специальном помещении, за стеклом, где при помощи компьютерных технологий и фиксируют результаты диагностики.
Исследование легких и бронхов на магнитно-резонансном томографе успешно заменяет ряд других процедур, более сложных и труднопереносимых. Одной из таких процедур является бронхоскопия, которую при помощи метода томографии возможно выполнить виртуально.
Тем не менее, применять данную методику при обследовании заболеваний легких возможно не во всех случаях. Поэтому назначить прохождение МРТ легких может только лечащий врач, взвесив все за и против.