Как определить рассеянный склероз по мрт

Диагностика рассеянного склероза на МРТ — точно и своевременно
Рассеянный склероз — малоприятный недуг, и прогнозы его не всегда вселяют оптимизм. Более всего он нехорош тем, что почти ничем не проявляет себя на ранних этапах. В таких случаях важна своевременная диагностика, а лучше всего виден рассеянный склероз на МРТ.
В последнее десятилетие, как сообщает статистика, отмечается значительно большее количество случаев РС, чем в прошлом. Это связано с возросшим уровнем диагностики, благодаря чему патологические процессы удается выявить на ранних стадиях, и главную роль в этом играет МРТ.
МРТ-диагностика
Магнитно-резонансная томография одновременно является и самой дорогой, и самой лучшей диагностической процедурой, позволяющей в полной мере рассмотреть всю картину развития болезни.
В чем суть процедуры? МРТ основана на эффекте ядерного резонанса в магнитном поле. Если объяснять простыми словами — при включении мощного магнитного поля атомы водорода в тканях организма выстраиваются в одну линию. Этот эффект позволяет увидеть на снимке, как распределяются атомы водорода в тканях, то есть визуализировать жидкость внутри организма.
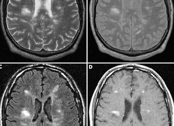
Томографы, основанные на ядерно-магнитном резонансе, имеют два режима работы — Т1 (низкоинтенсивный), на котором распределение жидкости отображается в виде темных пятен, и Т2 (высокоинтенсивный), где жидкость, наоборот, визуализируется ярко.
Чем это поможет при диагностике РС?
Что даст визуализация жидкости при рассеянном склерозе? Напомним, что это заболевание не имеет ничего общего со старческим склерозом. «Рассеянный» в данном случае означает, что патологические изменения возникают в самых разных местах, а «склероз» — замену паренхимы соединительной тканью. Причина, по которой он возникает, до сегодняшнего дня остается неизвестной.
РС — аутоиммунное заболевание. Это означает, что организм подвергается атаке своей собственной иммунной системы, и мишенью его становится в данном случае нервная система, а конкретно — миелиновые оболочки нервных путей. Как известно, большая часть нервов имеет строение, подобное проводам: осевое нервное волокно оплетено несколькими слоями миелина, выполняющего изолирующую и питающую функцию.
Миелин имеет жировой состав, поэтому в норме вода не может проникнуть внутрь. Однако последствия его воспаления в результате атаки иммунной системы и заживления в виде рубца (так называемые бляшки) позволяют жидкостям проникать в пораженные места, что на снимке МРТ выглядит темными или светлыми пятнами, в зависимости от выбора режима.
Также для более яркого отображения пораженного участка пациенту могут ввести вещество, проникающее в пораженную область и повышающее ее контрастность на снимках. В настоящее время для контрастной диагностики рассеянного склероза предпочитают вводить препараты на основе редкоземельного металла гадолиния, хорошо реагирующего на магнитное поле.
Высокое разрешение томографа, дающего картинку в трех проекциях, позволяет увидеть даже самые маленькие бляшки, то есть предупредить болезнь еще в зародыше. Между прочим, у пяти пациентов из ста, кому поставлен диагноз «рассеянный склероз», по результатам такого обследования ничего не обнаруживается.
Также МРТ головного мозга помогает дифференцировать рассеянный склероз от других заболеваний со сходной симптоматикой:
- синдрома Шегрена,
- волчанки,
- энцефаломиелита,
- миелоза,
- дефицита цианокобаламина.
Это не опасно?
Напротив, МРТ-диагностика относится к практически безопасным диагностическим процедурам. В процессе исследования не используются ни рентгеновские, ни какие-либо другие ионизирующие лучи. Магнитное поле же не наносит ровным счетом никакого вреда. Хотя такое исследование строго противопоказано тем, у кого в теле имеются импланты, которые могут среагировать на магнитное поле (например кардиостимуляторы или искусственные суставы).
Как выглядит рассеянный склероз на снимке?
Признаки рассеянного склероза на МРТ хорошо видны специалисту. Для получения ясной картины на томографе делают снимок головного и спинного мозга в трех проекциях. Сами миелиновые оболочки нервов имеют вид своеобразных «муфточек», но видны они только под микроскопом. Однако на снимках МРТ при рассеянном склерозе видны бляшки в виде темных (на Т1-снимках) и светлых (на Т2-снимках) пятен. К тому же при достаточно обширном воспалении наблюдаются отеки, которые имеют свойство сливаться друг с другом, достигая в диаметре нескольких сантиметров.
В заключение МРТ вносятся данные о структурах мозга, в которых наиболее вероятно появление бляшек, а также полное описание зафиксированных во время обследования патологических структур. Чаще всего патология проявляется в области мозолистого тела и мозговых желудочков.
Бляшки различны по размеру (более мелкие свидетельствуют о том, что заболевание началось недавно), по форме (более круглая означает острый склероз, овальная — хронический). Когда применяются контрастные препараты, медик смотрит на интенсивность изменения цвета — она может сказать о том, рецидивирует ли заболевание (в случае неравномерного окрашивания). Таким образом, рассеянный склероз на МРТ можно диагностировать с довольно высокой точностью.
Критерии РС по Макдональду
Последний пересмотр так называемых критериев Макдональда состоялся в 2011 году. По Макдональду, необходимо наличие не менее двух очагов развития склероза, достаточно удаленных друг от друга. При этом МРТ-диагностику необходимо проводить как минимум дважды, и патологические изменения должны прогрессировать.
В случае постановки диагноза по Макдональду проводится дополнительное исследование изменений в цереброспинальной жидкости.
Критерии РС по Пати
В этом случае заболевание определяется как рассеянный склероз, когда очагов развития насчитывается не менее четырех, каждый из которых имеет размер от 3 миллиметров. Допускается и вариант с тремя очагами, но один из них должен находиться в так называемой перивентрикулярной области, то есть в районе мозговых желудочков.
Резюмируя
Для верной постановки диагноза нельзя ограничиваться одним МРТ-обследованием. Помните, что любой анализ — это только половина дела. Необходим грамотный специалист, способный должным образом интерпретировать ваши результаты диагностического исследования. Диагностика рассеянного склероза — сложная многоэтапная процедура, и для получения практических рекомендаций врача вам предстоит пройти не только через магнитно-резонансный томограф. Заключение МРТ — лишь очень мощное подспорье для доктора, но ничто не заменит врачебный опыт.
Проведение МРТ при рассеянном склерозе
МРТ, или магнитно-резонансная томография, — это современный способ исследования внутренних органов с помощью магнитного поля и радиоволн. Благодаря тому, что данная методика является безопасной, безболезненной и эффективной, она используется для определения многих опасных заболеваний. В том числе проводится диагностика и контроль развития рассеянного склероза с МРТ.
Симптомы и признаки рассеянного склероза
Вовремя проведенная процедура МРТ при рассеянном склерозе позволяет обнаружить патологии спинного и головного мозга, определить площадь пораженных областей и спрогнозировать дальнейшее течение заболевания. Обращению к врачу предшествуют неврологические симптомы, которые легко принять за временное недомогание или предвестники других болезней:
- ощущение онемения или покалывания в конечностях;
- периодические головокружения;
- постоянная усталость;
- нарушения координации;
- расстройства сна;
- внезапные приступы слабости;
- помутнение или размытие зрения;
- нарушения речи;
- боли в различных частях тела, похожие на мышечные спазмы.
Совокупность подобных признаков рассеянного склероза требует проведения МРТ головного мозга. Предварительно необходимо проконсультироваться с неврологом, который определит, насколько необходима в данном случае магниторезонансная КТ, и критерии рассеянного склероза, проявляющиеся у пациента. Врачи выделяют несколько критериев РС:
- показатели Фазекас — наличие не менее 3 очагов поражения;
- критерии Макдональда — соотношение количества очагов поражения с количеством обострений заболевания;
- критерии Пати — наличие не менее 4 высокоинтенсивных участков диаметром от 3 мм.
Каждый из них помогает определить интенсивность развития заболевания и степень его распространения.
Виден ли на МРТ рассеянный склероз?
Принцип действия магнитно-резонансного томографа основан на определении количества жидкости в клетках организма. Магнитное поле, создаваемое прибором, воздействует на протоны водорода. Сигналы, полученные в результате смещения протонов, позволяют получать изображение органов и тканей, на котором хорошо видны поврежденные участки.
Рассеянный склероз на МРТ можно определить благодаря тому, что это заболевание связано с повреждением клеток нервной системы. Одной из первых страдает миелиновая оболочка — защитный слой аксонов, который предотвращает попадание к ним воды. Волокна с поврежденным защитным слоем содержат больше жидкости, чем должны, что на томографии всегда отображается в виде яркого белого пятна или затемнения (в зависимости от вида диагностики).
Аналогичным образом работает и МРТ спинного мозга: при рассеянном склерозе ткани накапливают жидкость, которая препятствует взаимодействию между нейронами и нарушает работу нервной системы. Поэтому МРТ-диагностика эффективна даже на начальных стадиях заболеваний ЦНС. Проекция головного или спинного мозга продемонстрирует состояние нервных клеток и позволит врачу поставить точный диагноз.
Как проводится лабораторная МРТ-диагностика при PC?
Лечение неврологических болезней или неврологических симптомов должно назначаться только после тщательного обследования. Даже такая высокотехнологичная процедура, как МРТ-диагностика рассеянного склероза, не всегда оказывается действенной: по статистике в 5% случаев она не диагностирует патологий у пациентов с РС. Это значит, что процедуру необходимо провести повторно минимум через 3 месяца.
В других случаях может быть поставлен диагноз рассеянный склероз при полном отсутствии внешних проявлений. Это связано с тем, что повреждения клеток ЦНС могут находиться в незадействованных участках мозга, а также появляться в связи с естественным старением организма. Поэтому для получения более точного результата рекомендуется проводить повторные анализы и пользоваться различными видами МРТ.
Среди современных технологий магнитно-резонансной томографии наиболее часто применяются:
- Т1-взвешенное сканирование;
- Т2-взвешенное сканирование.
Т1-взвешенное сканирование проводится с помощью контрастного вещества гадолиния. Оно вводится в вену пациенту непосредственно перед проведением МРТ головного мозга. Его молекулы слишком крупные, чтобы проникнуть сквозь гематоэнцефалический барьер — защитный слой клеток, который окружает кровеносные сосуды в мозге. Но если барьер нарушен, то гадолиний подсвечивает эти области на снимках. Таким способом определяются недавно возникшие и стабильно растущие поражения нервных клеток.
Современные врачи ставят принцип контрастирования под сомнения. Исследования показывают, что некоторое количество контрастного вещества сохраняется в клетках мозга после проведения диагностической процедуры. Вопрос о вреде подобных остаточных явлений пока остается открытым.
Т2-взвешенное исследование позволяет врачу-радиологу при расшифровке снимков оценить масштаб распространения заболевания и площадь пораженных тканей, а неврологу — спрогнозировать развитие заболевания с высокой степенью точности. Поэтому данный метод используется чаще предыдущего.
Корковая магнитная стимуляция
Наряду с МРТ в современной медицине используются и другие методы магнитного воздействия, например, транскраниальная стимуляция. Принцип действия данной процедуры основан на влиянии коротких магнитных импульсов на кору головного мозга с последующим наблюдением за реакцией пациента. Эта диагностика безболезненна и эффективна для выявления неврологических болезней и неврологических симптомов.
Что показывает диагностика?
После получения снимков их расшифровкой занимаются невролог и радиолог, проводивший исследование. Признаками, типичными для РС, являются:
- очаги поражения белого вещества (можно увидеть в нескольких проекциях);
- распространение очагов и увеличение их размеров (выявляется только при повторных исследованиях);
- отек вокруг зоны поражения;
- наличие очагов в разных участках ЦНС.
Отдельно может проводиться гиппокампальная компьютерная МРТ склероза гиппокампа, поскольку этот участок мозга влияет на формирование эмоций и памяти. Изменения белого вещества в этой области свидетельствуют о развитии шизофрении и поражении лимбических участков головной коры.
Результаты МРТ при рассеянном склерозе
Рассеянный склероз при МРТ-диагностике распознается с большой долей вероятности, тогда как другие методы не могут дать настолько точного результата. Клиническая картина, полученная после процедуры, позволяет оценить:
- наличие и форму бляшек;
- общее состояние головного мозга, а также его отделов;
- костное вместилище мозга;
- оболочки мозга, пространства между ними.
Эта информация помогает врачу быстро поставить диагноз и тем самым продлить человеку жизнь.
Кт определяет рассеянный склероз или нет
В силу различных причин иммунная система может давать сбой. Иногда лейкоциты, находящиеся в постоянном контакте почти со всеми клетками человеческого тела и защищающие организм от болезнетворных бактерий, вирусов и паразитарных клеток, начинают атаковать собственные миелиновые оболочки нейронов.
В результате нарушается проводимость нервного импульса.
В начале заболевания симптомы могут проявляться по-разному. В зависимости от форм течения и фазы рассеянного склероза его признаки могут носить умеренный или ярко выраженный характер.
Установить точный диагноз на начальном этапе развития РС бывает непросто, симптоматика схожа с симптомами других заболеваний, поэтому больному необходимо пройти полное обследование.
Человека должны насторожить такие проявления рассеянного склероза, как:
- нарушение зрения;
- двоение в глазах;
- головокружение;
- слабость в руках и ногах;
- быстрая утомляемость;
- недержание мочи;
- снижение или потеря чувствительности кожных покровов;
- эпилептические припадки;
- нервный тик;
- деменция;
- боли, появляющиеся при наклоне головы вперед;
- нарушение координации движений.
Именно по этой причине людям в возрасте от 15 до 55 лет при наличии тех или иных признаков заболевания необходимо обратиться за консультацией к специалистам.
Выявить рассеянный склероз на ранних стадиях достаточно сложно, но с помощью современных методов диагностики вполне возможно. МРТ – это один из немногочисленных видов обследования, который помогает врачам диагностировать заболевание и назначать соответствующее лечение, экономя драгоценное время.
Симптомы и признаки заболевания
Одновременно с демиелинизацией происходит гибель нервных клеток. Рассеянный склероз характеризуется хроническим прогрессирующим течением, приводящим пациентов к инвалидности.
Причины аутоиммунных заболеваний до конца не изучены, нет единого возбудителя или повреждающего фактора, вызывающего эти процессы.
При анализе МРТ-снимков можно сделать вывод о наличии у пациента рассеянного склероза при обнаружении следующих признаков:
- поражение специфичных областей: спинной мозг, ствол мозга, мозжечок, большие полушария, зрительный нерв, мозолистое тело и т.п.;
- область перифокального отека вокруг зон поражения мозгового вещества;
- очаги вытягиваются вдоль волокон лучистого венца (Corona Radiata);
- по краю очагов рассеянного склероза контрастное вещество накапливается в виде «колец», что показывает степень активности демиелинизирующего процесса;
- в серии МРТ-снимков со временем очагов становится больше (признак диссеминации в пространстве) и они увеличиваются в размерах (признак диссеминации во времени).
Признаки рассеянного склероза на МРТ головного мозга определяет специалист, он же выдает заключение по результатам исследования.
Симптомы и признаки заболевания
Распознать наличие рассеянного склероза на ранних стадиях довольно сложно, так как симптоматика еще слабо выражена. Однако в случае с его быстропрогрессирующими формами признаки могут проявиться уже в первые недели развития.
При обнаружении неврологических проявлений болезни необходимо перестать ставить себе диагнозы и отправиться к врачу, так как они могут быть свойственны другим патологическим процессам.
Среди основных признаков можно выделить следующие:
- Общая слабость;
- Ухудшение зрения на одном глазном яблоке или на обоих сразу;
- Парезы (ослабление) конечностей;
- Резкая потеря чувствительности в определенном участке тела;
- Головокружение;
- Проблемы с мочеиспускательной системой;
- Эпилептические припадки;
- Быстрая утомляемость;
- Раздвоенное изображение перед глазами;
- Проблемы с мелкой моторикой;
- Сбои в координации движений;
- Импотенция;
- Ощущение прохождения тока по всему телу при резком сгибе головы;
- Непроизвольное дерганье века;
- Нарушение когнитивных функций.
Что показывает диагностика?
Без проведения магнитно-резонансной томографии ставить окончательный диагноз «рассеянный склероз» не рекомендуют. За больным устанавливают динамическое наблюдение и назначают соответствующую терапию.
Диагностика позволяет определить характер течения заболевания и получить данные об эффективности подобранного лечения.
С помощью МРТ при рассеянном склерозе выявляют распределение очагов демиелинизации в пространстве и определяют их возраст. Исследование проводят в трех плоскостях при толщине срезов 1-3мм.
Сканирование рекомендуют проводить на аппаратах с силой магнитного поля более 0. 5 Тл, сочетая исследования в аксиальной (поперечный срез) и сагиттальной плоскостях (вид сбоку) – для МРТ головного мозга.
В настоящее время принято выделять несколько МРТ-проявлений рассеянного склероза в виде синдромов:
- Хронической воспалительной демиелинизации.
- Острой воспалительной демиелинизации.
- Мультифокально-дегенеративной лейкоэнцефалопатии.
- Мультифокально-диффузной лейкоэнцефалопатии.
Наиболее информативны для МРТ спинного мозга при рассеянном склерозе корональные (вид спереди) и сагиттальные срезы на томографах с силой поля 1-2Тл.
Исследование проводят в горизонтальном положении, головой к магниту, без предварительной подготовки, соблюдая рекомендации радиологов.
Режимы сканирования
| Взвешенные последовательности | Время эхо (ТЕ) | Время повторения (ТR) |
| Т1 | 15-30мс | 300-500мс |
| Т2 | 60-120мс | 1600-2500мс |
Обязательно используют методику турбо-спин-эхо, последовательность FLAIR (Т2 с подавлением сигнала от жидкости), а также трехмерную ангиографию – 3D TOF.
По показаниям дополнительно проводят трехмерные градиентные последовательности с тонкими срезами, диффузионно-взвешенные (DWI).
Во время сканирования используют пульсовые последовательности с различными интервалами — «инверсию восстановления» (IR) и «спиновое эхо» (SE).
Патологические изменения при МРТ проявляются по-разному, в зависимости от типа пульсовой последовательности:
- очаги демиелинизации при режиме IR выглядят черными;
- очаги демиелинизации при режиме SE выглядят белыми.
Нормальное белое вещество мозга визуализируется:
- на Т1 взвешенных изображениях светлым;
- на Т2 ВИ – темным.
Очаги демиелинизации за счет увеличения содержания воды имеют сигнал:
- пониженной интенсивности на Т1-ВИ;
- повышенной на Т2-взвешенных изображениях.
Особенно показана МРТ переноса намагниченности в ситуациях, когда имеются более двух атак заболевания, но клинически выявляют лишь один очаг в центральной нервной системе.
Визуализация нескольких очагов в белом веществе головного мозга в этом случае помогает поставить точный диагноз.
Сомнение могут вызвать гигантские, похожие на опухоль участки, сопровождающиеся масс-эффектом (повреждающий эффект окружающих тканей от образования).
Магнитно-резонансную томографию используют для контроля эффективности лечения РС — очаги демиелинизации изменяются в размерах с разной скоростью.
Лечение неврологических болезней или неврологических симптомов должно назначаться только после тщательного обследования. Даже такая высокотехнологичная процедура, как МРТ-диагностика рассеянного склероза, не всегда оказывается действенной: по статистике в 5% случаев она не диагностирует патологий у пациентов с РС.
Это значит, что процедуру необходимо провести повторно минимум через 3 месяца.
В других случаях может быть поставлен диагноз рассеянный склероз при полном отсутствии внешних проявлений. Это связано с тем, что повреждения клеток ЦНС могут находиться в незадействованных участках мозга, а также появляться в связи с естественным старением организма.
Поэтому для получения более точного результата рекомендуется проводить повторные анализы и пользоваться различными видами МРТ.
- Т1-взвешенное сканирование;
- Т2-взвешенное сканирование.
- очаги поражения белого вещества (можно увидеть в нескольких проекциях);
- распространение очагов и увеличение их размеров (выявляется только при повторных исследованиях);
- отек вокруг зоны поражения;
- наличие очагов в разных участках ЦНС.
Отдельно может проводиться гиппокампальная компьютерная МРТ склероза гиппокампа, поскольку этот участок мозга влияет на формирование эмоций и памяти.
Изменения белого вещества в этой области свидетельствуют о развитии шизофрении и поражении лимбических участков головной коры.
Заболевание, вследствие многоплановости симптомов, необходимо дифференцировать с большим количеством других недугов. Для него не существует характерного симптома и данных, которые однозначно указывали бы на диагноз.
Имеются не характерные для РС проявления, заставляющие усомниться в заключении. К ним может относиться афазия, паркинсонизм, припадки эпилептического типа и даже кома.
В таких случаях нужно исключить все остальные болезни.
Усомниться в вердикте и осуществить скрупулезный дифференциальный диагноз необходимо, если:
- в случае жалоб на высокую степень утомляемости и мышечную ригидность невозможно выявить объективные неврологические симптомы;
- идентифицируется один очаг поражения. Особенно при нахождении его в черепной ямке сзади;
- симптоматика спинального типа развивается с самого начала болезни у пациента в возрасте до 35-ти лет без дисфункции тазовых органов;
- отмечается оптимальный состав ЦСЖ либо наоборот серьезное увеличение числа клеток;
- главным признаком становятся болезненные ощущения, которые не могут быть основным признаком РС;
- выявляется уменьшение или усугубление сухожильных рефлексов. Последние могут выпадать лишь на поздних этапах заболевания по причине внезапного увеличения тонуса мышц.
Диагноз РС должен быть подвергнут сомнению, если спустя 5 лет после формирования признаков, заставляющих предположить недуг:
- нет нарушений в движении глаз;
- нет расстройств сенсорики или в области таза;
- нет улучшений у людей младше 40 лет;
- нет, минимум, 2 очагов с симптомами.
В любом из представленных случаев необходимо осуществление скрупулезного анализа. Это поможет исключить какое-либо другое заболевание.
Наиболее важно это на первых этапах, потому что нет критериев, которые позволили бы со 100%-ной уверенностью остановиться на диагнозе РС при первичной атаке.
Диагностика заболевания должна базироваться на многоплановом анализе клинических данных, сведений МРТ мозга, ВП, которые отражают характер и «степень рассеянности процесса».
В самых сложных ситуациях понадобится обследование ЦСЖ.
Диагностика рассеянного склероза заключается в дифференцировании его среди прочих патологических процессов, так как не существует определенного теста для его обнаружения.
С этой целью пациенту придется пройти множество различных обследований, среди которых можно выделить наиболее основные:
- Люмбальная пункция;
- Определение степени вызванных потенциалов;
- Протонная магнитно-резонансная спектроскопия (ПМРС);
- Анализ крови для определения наличия сторонних патологических процессов;
- Томография (компьютерная и магнитно-резонансная);
- Суперпозиционное электромагнитное сканирование (СПЭМС).
Прохождение всех тестов займет не один день, поэтому придется набраться терпения и готовиться к предстоящим процедурам. В любом случае их проведение потребуется, чтобы точно поставить такой диагноз или опровергнуть его.
КТ и МРТ
КТ и МРТ при рассеянном склерозе назначается регулярно для оценки течения патологии и определения эффективности терапии. В диагностических целях их также используют, так как эти аппараты позволяют с точностью рассмотреть очаги демиелинизации в спинном и головном мозге.
Такие виды томографии крайне чувствительны и показывают наличие патологии с точностью в 95% процентов. При отсутствии очагов поражения вовремя КТ или МРТ врач отсеивает рассеянный склероз из списка возможных патологий.
Во время исследования часто используются контрастное вещество. В таком случае повышается качество изображения определенных тканей и врачу будет проще поставить диагноз, потому как оно скапливается преимущественно в очагах демиелинизации.
Такое явление свидетельствует об острой стадии болезни. Именно поэтому склероз на МРТ и КТ находят чаще всего.
Вызванные потенциалы
Диагностировать РС нужно комплексно, поэтому без проведения исследования вызванных соматосенсорных, звуковых и зрительных потенциалов не обойтись.
Для этой цели к голове больного подключаются специальные провода от электроэнцефалографа. Служит этот аппарат для фиксирования реакции головного мозга на раздражители.
Если она будет незначительная, то врач заподозрит наличие поражения нервных мозговых тканей.
Протонная магнитно-резонансная спектроскопия предназначена для определения этапа развития РС. Суть этого аппаратного обследования заключается в визуализации некоторых метаболитов в мозговых тканях.
Если врач уже поставил диагноз рассеянный склероз, то ПМРС применяют для оценки количества N-ацетиласпартата, так как при наличии этой болезни его концентрация значительно уменьшается.
В диагностических целях этот метод также используется, потому как он позволит выявить патологическое отклонение на ранних стадиях. Проводят его обычно в комплексе с КТ и МРТ для точной постановки диагноза.
Суперпозиционный электромагнитный сканер является инновационным способом исследования, но для определения наличия РС его стали использовать совсем недавно.
Основным отличием СПЭМС от других методов обследования является возможность распознать заболевание на ранних этапах развития, когда оно фактически не проявляется.
С помощью этого аппарата можно узнать степень активности мозговых тканей, а именно:
- Функциональность ферментов и нейромедиаторов;
- Степень демиелинизации и скорость разрастания очагов;
- Плотность ионных каналов.
СПЭМС придумали отечественные ученые и сегодня его используют фактически всегда при диагностике рассеянного склероза. Однако, его нужно использовать совокупно с другими методами обследования. В ином случае точно поставить диагноз не получится.
Люмбальная пункция
Пункция (прокол) проводится в области поясницы для изъятия на анализ ликвора. В его результатах особое внимание нужно уделить индексу глобулина, так как при РС он часто повышен.
Иногда можно также заметить высокий уровень олигоклональных полос. Такие итоги проведенного анализа говорят об аутоиммунном сбое, который свойственен рассеянному склерозу.
Многие пациенты боятся этой процедуры, так как любое неверное движение может спровоцировать ужасные последствия, например, разрыв спинномозгового канала.
Однако происходит это в крайне редких случаях, поэтому бояться люмбальной пункции не стоит. Среди прочих побочных явлений можно выделить головную боль, которую врач сможет быстро устранить.
Анализы крови
Проводят анализ крови вместе с другими методами обследования и лишь после полного завершения диагностики, врач сможет точно поставить диагноз. Лечение будет составлено на основании полученных данных о форме и типе течения рассеянного склероза.
Диагностировать РС не так и просто и в некоторых случаях потребуется наблюдаться у невропатолога длительное время. Особенно это касается ранних этапов развития.
Расстраиваться или радоваться промежуточному результату не стоит, так как лишь совокупность методов исследования сможет помочь врачу поставить точный диагноз.
МРТ-диагностика при рассеянном склерозе
Рассеянный склероз (международное название sclerosis disseminatus) ─ хроническое заболевание нервной системы, сопровождающееся очаговой демиелинизацией в белом веществе спинного и головного мозга.Болезнь обычно имеет волнообразное течение с периодами обострений и ремиссии. Как правило, со временем эпизоды затихания заболевания становятся все более непродолжительными, неполными, а затем исчезают вовсе.
РС обычно дебютирует в молодом возрасте
Эта патология сложна в диагностике, так как симптомы, особенно на ранних стадиях, непостоянны и неспецифичны.
Основные диагностические мероприятия включают проведение специальных диагностических тестов нейрофизиологических (нейропсихологических), изучения вызванных потенциалов и спинномозговой жидкости.
У пациентов возникает вопрос, можно ли по МРТ определить рассеянный склероз? Данный метод исследования до сих пор остается одним из самых чувствительных при постановке диагноза, к нему часто обращаются врачи-специалисты при необходимости подтверждения диагноза и проведения дифференциальной диагностики.
С помощью МРТ-исследования стало возможным визуализировать очаги (бляшки) рассеянного склероза, этот метод диагностики помогает лучше оценить динамику процесса и определить дальнейший прогноз. Причем данный вид исследования может показать очаги поражения даже в таких локализациях, где они еще не определяются клинически.
Еще большей эффективностью обладает МРТ с контрастированием. Контраст накапливается в очагах поражения и позволяет выявить даже самые мелкие из них.
Данная статья посвящена подробному описанию того, как выявить специфичные изменения при рассеянном склерозе, и как они выглядят на МРТ.
Что происходит при данной патологии?
При рассеянном склерозе мишенью для аутоиммунного воздействия становятся миелиновые волокна, располагающиеся на отростках нервных клеток. Именно миелиновая оболочка нейронных отростков обеспечивает высокую скорость передачи нервных импульсов.
Миелиновые оболочки, разрушаясь, оголяют отростки нейронов, передача импульса при этом существенно замедляется. В конце концов, не получая достаточного количества питательных веществ нервное волокно отмирает, а его место занимают клетки нейроглии.
При РС происходит разрушение миелина с последующим образованием соединительной ткани
Очаги рассеянного склероза
Как следствие рассеянного склероза (и некоторых других заболеваний нервной системы) развивается глиоз ─ замещение погибших нейронов клетками нейроглии, обеспечивающих в норме вспомогательные функции нервной ткани. Именно эти участки можно увидеть с помощью таких методов обследования, как магнитно-резонансная томография. Нейроглия не может быть полноценной заменой нейронов, она обеспечивает лишь нормальную регуляцию метаболических процессов. В результате, появление очагов глиоза постепенно сказывается на работе всей нервной системы, появляются следующие клинические признаки:
- Скачки артериального давления.
- Головные боли, трудно поддающиеся стандартному лечению.
- Нарушения координации движений, головокружения, может быть неустойчивость.
- Немотивированная общая слабость и повышенная утомляемость.
- Ухудшение запоминания, плохая сообразительность.
- Возможно появление судорожных припадков.
Лечение глиоза заключается, прежде всего в борьбе с патологией, ставшей его причиной ─ в данном случае, с рассеянным склерозом.
Визуализация поражения при рассеянном склерозе
Обычно рассеянный склероз на МРТ (большая часть очагов демиелинизации) располагается в белом веществе нервной системы: вблизи боковых желудочков, стволе головного мозга, семиовальном центре, височных долях и мозжечке. В меньшей степени поражаются отделы нервной системы, находящиеся на границе белого и серого, а также в сером веществе.
Существует несколько режимов визуализации очагов рассеянного склероза на МРТ-снимках.
На одном из таких (T1), участки демиелинизации выглядят темнее здорового мозгового вещества и показывают хронические очаги.
Т2-режим позволяет оценить объем поражения, в нем области демиелинизации выглядят белыми.
Очаги демиелинизации на томограмме головного мозга
Для подтверждения диагноза рассеянного склероза наиболее эффективно МРТ-исследование с внутривенным введением контрастного вещества (Магневист, Омнискан).
В норме данные препараты не проходят гематоэнцефалического барьера, но при нарушении его целостности (как при этой патологии), контрастные вещества окрашивают очаги демиелинизации и делают их видимыми для исследователя. При введении контраста можно получить информацию даже об очень мелких очагах, недоступных для других методик. По уровню накопления контрастных веществ можно судить об активности заболевания, возможно отличить участки активного воспаления от участков затухания, а также от областей без активности.
Признаки заболевания на МРТ
- поражение специфичных областей: спинной мозг, ствол мозга, мозжечок, большие полушария, зрительный нерв, мозолистое тело и т.п.;
- область перифокального отека вокруг зон поражения мозгового вещества;
- очаги вытягиваются вдоль волокон лучистого венца (Corona Radiata);
- по краю очагов рассеянного склероза контрастное вещество накапливается в виде «колец», что показывает степень активности демиелинизирующего процесса;
- в серии МРТ-снимков со временем очагов становится больше (признак диссеминации в пространстве) и они увеличиваются в размерах (признак диссеминации во времени).
Признаки рассеянного склероза на МРТ головного мозга определяет специалист, он же выдает заключение по результатам исследования. Во избежание ошибок, не стоит пытаться трактовать томограммы самостоятельно, их стоит принести вместе с другими медицинскими документами (а также предыдущими исследованиями) своему лечащему врачу-неврологу, он всегда поможет интерпретировать новые изменения и подкорректировать стратегию лечения.
Подготовка к процедуре
Пройти МРТ можно как в государственном медицинском учреждении, так и в частном медицинском центре.
Обычно для прохождения процедуры необходимо захватить с собой:
- Паспорт.
- Направление на исследование от лечащего доктора (в частной клинике ─ не обязательно).
- Результаты или описания предыдущих исследований (для того, чтобы оценить, сколько было очагов и как они выглядели ранее, это позволит установить динамику процесса).
Перед исследованием нужно сообщить врачам о том, какие препараты применяются постоянно, а также имеются ли аллергические реакции (на что и как проявляются).
Особой подготовки к МРТ-обследованию не требуется, важно только, чтобы в зону действия аппарата не попали металлические предметы (серьги, цепочки, ремень, часы необходимо снять).
МРТ позволяет выявить в головном и спинном мозге изменения характерные для рассеянного склероза
Противопоказана МРТ-диагностика может быть при следующих состояниях:
- наличии металлосодержащих трансплантатов: кардиостимулятора, металлических сосудистых клипс, имплантатов, установленных в среднее ухо;
- беременности, послеродовом периоде, лактации (при кормлении грудью из-за введения контрастного вещества);
- повышенной чувствительности к компонентам контрастного вещества, аллергические реакции в анамнезе.
Метод МРТ в диагностике рассеянного склероза считается результативнее, если сравнивать его с компьютерной томографией. Также он отличается высокой чувствительностью и практически полным отсутствием побочных эффектов.
К минусам МРТ-диагностики относится большая продолжительность процедуры по времени, невозможностью применения у пациентов, страдающих клаустрофобией. Кроме того, существенным ограничением также остается высокая стоимость проведения исследования.
Комментарии 0