Что показывает мрт

Что показывает мрт[Что показывает мрт]

МРТ всего тела: что показывает полное МРТ обследование организма.

23.07.2017

В медицине существует не так много процедур, которые с полной уверенностью можно назвать абсолютно безопасными для человека. К их числу относится и обследование внутренних органов МРТ. В отличие от рентген-диагностики, магнитно-резонансную томографию разрешается использовать для пациентов разных возрастов, включая детский, а также для беременных женщин. Этот способ диагностирования — один из лучших для исследования всего организма за одну процедуру. Особенно это ценится в случае, когда необходим полномасштабный онкопоиск с обследованием всех внутренних органов, тканей и систем.

Для чего делают МРТ всего тела

Оснований для проведения магнитно-резонансного обследования организма достаточно много, ведь в результате будет отражено функциональное состояние, строение (вплоть до клеточного уровня) тканей и органов каждой системы организма. Стандартная магнитная томография всего тела, как следует из ее названия, включает в себя обследование следующих органов и систем:

  • нервной системы, в том числе головного и спинного мозга, периферических нервов и органов, отвечающих за восприятие окружающего мира (слуха, зрения, памяти и осязания);
  • пищеварительной системы, включая пищевод, желудок, кишечник, пищеварительные железы и органы гепатобилиарного тракта;
  • мочевыделительной системы, в том числе почек, мочеточников, мочевого пузыря, уретры;
  • половой системы у женщин и мужчин;
  • органов дыхания, включая полость и придаточные пазухи носа, носоглотку, трахеи, бронхи и легкие;
  • сердечно-сосудистой системы, включая сердце, перикард, коронарные и периферические сосуды;
  • желез внутренней секреции, включая гипофиз, надпочечники, яичники и тестикулы, поджелудочную железу и щитовидку;
  • лимфатической системы;
  • мягких тканей, включая мышцы, жировую клетчатку, кожу;
  • скелетных костей, суставов, хрящей, связок и позвоночника.

Воздействуя на атомы водорода, которые присутствуют в каждой клетке человеческого тела, врачи выявляют практически все известные в медицине болезни. В результате комплексного обследования МРТ способно обнаружить:

  • нарушение целостности тканей и органов — переломы, разрывы и т.д.;
  • воспалительные очаги;
  • врожденные аномалии;
  • гнойные очаги;
  • скопления жидкости;
  • склеротические очаги;
  • приобретенные аномалии органов и систем.

Наиболее ценное преимущество, которым обладает полное МРТ обследование всего организма — скрининг онкологических заболеваний. Он также известен как профилактический онкопоиск. Только с его помощью можно выявить опухоли на ранних стадиях, до прорастания патологических очагов в окружающие ткани.

Полезно знать! До внедрения полного МРТ всего тела обнаружить причину многих системных заболеваний, а также определить точную локализацию опухолей и метастаз было невозможно.

Показания к проведению комплексного МРТ

Обследование организма полностью — недоступная для многих диагностическая процедура. Прежде всего, это обусловлено высокой стоимостью обследования. Однако в ряде случаев без нее нельзя обойтись. К ним относятся:

  • многочисленные возрастные патологические изменения, которые в большинстве случаев протекают скрыто, но влияют на общее самочувствие;
  • обнаружение опухоли на 2 и 3 стадии с высоким риском метастазирования;
  • присутствие множественных, возникших в разное время патологий внутренних органов, которые могут быть взаимосвязаны;
  • обширные травмы (преимущественно полученные в катастрофах, при пожарах и т.д., которые влекут за собой риск повреждения нескольких органов и систем);
  • невозможность установить диагноз при наличии у пациента жалоб на общее самочувствие.

Также показана процедура магнитно-резонансной томографии всего организма при предрасположенности к онкологии. Так называемый онкопоиск, если делать его хотя бы раз в год, позволит вовремя обнаружить патологические очаги и начать лечение.

Важно! В отдельных случаях МРТ внутренних органов должна дополняться другими диагностическими процедурами, чтобы диагноз был 100% верным.

Когда не стоит проводить комплексное МРТ

Далеко не всегда врачи советуют обследовать организм полностью с помощью МРТ. Этот метод неэффективен, когда:

  • пациент недавно пережил хирургическое, лучевое или медикаментозное лечение опухоли — онкопоиск в этом случае может принять остаточные (послеоперационные) изменения за рецидивирующую патологию;
  • есть подозрение на психические или нервные расстройства — МРТ не способно выявить такие состояния, как шизофрения, анорексия и т.д.;
  • проблема состоит только в изменении состояния лимфатической системы — даже если у пациента увеличены лимфоузлы, метод не может дифференцировать банальное воспаление и рак этих структурных единиц человеческого организма;
  • метастазами поражены кости черепа, ребра, лопаточные кости, легкие.

При желании обследоваться таким методом пациентам важно понимать, что показывает МРТ всего тела далеко не все изменения. В некоторых случаях приходится прибегать к дополнительным диагностическим процедурам, или вовсе заменять ими томографию внутренних органов.

Противопоказания к процедуре

Комплексная томография всего тела, как и другие ее разновидности, имеет стандартный набор противопоказаний. Так, на магнитно-резонансных томографах не проверяют людей с вживленными медицинскими устройствами:

  • слуховыми аппаратами;
  • нейростимуляторами;
  • инсулиновыми помпами;
  • кардиостимуляторами.

Не рекомендуется смотреть на МРТ весь организм у пациентов с установленными металлическими коронками, несъемными зубными протезами, пластинами, скобами и винтами, удерживающими скелетные кости. Не исследуют с использованием магнитного поля и прооперированных недавно пациентов, у которых для скрепления мягких тканей применялись металлические скобы (например, после операции на геморрой по методу Лонго).

Как готовиться к процедуре

Подготовка к диффузии МРТ всего тела или другим разновидностям диагностики подразумевает подготовку внутренних органов (находящихся главным образом в брюшной полости). Так как для воссоздания полной картины требуется осмотр кишечника, следует за 2-3 дня перейти на специальную диету, чтобы в нем не образовалось каловых завалов. За 8-10 часов до процедуры нужно принять слабительное, а за 6 часов до нее поставить очищающую клизму. Чтобы получить максимально четкие изображения органов малого таза, опорожнить мочевой пузырь желательно не позже, чем за час до проведения обследования.

Особой подготовки требуют пациенты с заболеваниями почек и клаустрофобией. В первом случае потребуется разрешение врача на проведение процедуры. Если планируется введение контраста, следует заранее обговорить с врачом возможность корректировки дозировок лекарственных средств. Что касается страдающих клаустрофобией людей, им показан прием успокоительного средства за час до обследования. Если пациент продолжает ощущать сильный страх, врач может принять решение о погружении его в медикаментозный сон.

Важно! Все возможные варианты развития событий следует обсудить с врачом лучевой диагностики или лечащим доктором до назначенной даты обследования!

Перед началом процедуры нужно снять с себя все металлические предметы, включая украшения, съемные протезы и прочие медицинские устройства.

Как проходит диагностика

Обследование всего тела на МРТ проходит достаточно быстро — за 30-60 минут в зависимости от целей исследования. Например, онкопоиск занимает больше времени, чем стандартная комплексная МРТ, так как врачу потребуются более детализированные снимки с более тонкими «срезами» внутренних органов.

Пациента переодевают в легкую тканевую рубаху и укладывают на стол томографа. Его руки и ноги фиксируют ремнями. То же могут сделать и с головой, если человеку сложно удерживать ее длительное время в одном и том же положении. Если врач назначил МРТ с контрастированием, препарат вводят в вену на локтевом сгибе за несколько минут до обследования.

Затем врач покидает комнату с установкой и включает томограф. Стол с находящимся на нем пациентом закатывается внутрь кольца томографа и совершает несколько продольных «прокатов». После окончания работы установки обследуемый может сразу облачиться в свою одежду и идти домой. Результаты комплексной диагностики станут известны через несколько часов, максимум через сутки. Их расшифровкой занимается врач рентгенолог. Иногда к этому процессу привлекаются узкие специалисты.

Магнитно-резонансная томография — самый безопасный способ узнать состояние всех органов и систем. Узнать, можно ли сделать МРТ всего организма у отдельного пациента, можно у его лечащего врача. При направлении на это обследование стоит провести предварительную диагностику более доступными в плане стоимости методами.

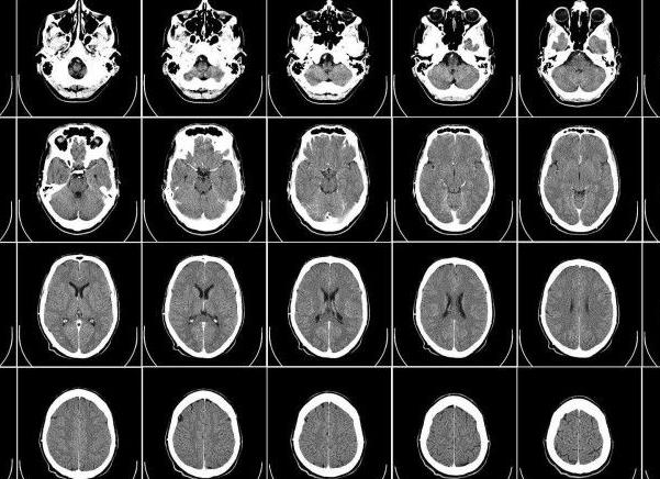
Что показывает МРТ головного мозга?

Мозг человека – сложнейший орган, с ограниченными возможностями для изучения и диагностики патологий. Одним из наиболее эффективных и демонстративных методов исследования мозга является магнитно-резонансная томография. Этот вид диагностических мероприятий назначается наиболее часто для первичного определения нарушений функциональности органа.

Показания к назначению

МРТ головного мозга и головы является ключевым исследованием в серии диагностических мероприятий, определяющих причины нарушения функций главного органа человека. Этот метод диагностики назначается для первичного определения диагноза, а также для уточнения вердикта, отслеживания течения терапии, используется как инструмент при подготовке к оперативным вмешательствам.

Для проведения исследования существуют прямые показания, когда пациенту необходимо пройти диагностику. МРТ головного мозга назначают при таких симптомах или состояниях:

  • Сильные головные боли, часто возникающие внезапно или с определенной периодичностью, при этом причины их появления не были выяснены иными методами исследований.
  • При подозрении на развитие опухоли, а также в тех случаях, когда новообразование было ранее диагностировано, и необходимо отследить его развитие.
  • МРТ головного мозга следует систематически проводить пациентам с эпилепсией на любом этапе развития или формы болезни (разовые приступы, хроническое течение).
  • Резкое снижение остроты или внезапная потеря слуха, зрения при невыясненных причинах, нарушения координации движений.
  • Контроль состояния пациента после инсультов или инфарктов миокарда, а также в прединсультном, прединфарктном периоде.
  • Потеря сознания, обмороки, судороги, проблемы с концентрацией внимания, внезапное нарушение речи и памяти.
  • Менингит любой формы и стадии развития, остеохондроз позвоночника в шейном отделе.
  • Черепно-мозговые травмы, инфекционное поражение, воспалительные процессы.
  • Для контроля состояния пациентов страдающих болезнью Паркинсона, Альцгеймера, рассеянным склерозом
  • Провести МРТ головного мозга стоит больным с ЛОР-патологиями (синуситы, риниты, отиты и пр.) для определения причин возникновения и тактики лечения патологии.
  • Для исследования состояния сосудов шеи, головного мозга (закупорки, аневризмы, атеросклеротические бляшки и т.д.).
  • Диагностика перед хирургическими вмешательствами на головном мозге, сосудах. Сканирование в послеоперационный период.

Противопоказания

МРТ головного мозга является безопасной процедурой, не несущей угрозы здоровью пациента. Но противопоказания к проведению есть:

  • Категорически запрещено диагностирование, если в теле пациента присутствуют металлические предметы. К ним относятся – имплантированный кардиостимулятор или другие имплантаты, протез из металла, татуировки, при нанесении которых использовались краски с натуральными пигментами из окислов металлов, инсулиновый насос и пр.
  • При беременности в первом триместре. Врачи советуют отказаться от МРТ на любом сроке беременности, если нет угрозы для жизни матери или ребенка.
  • Противопоказано при патологиях гипофиза, сердечно-сосудистой недостаточностью.
  • МРТ с контрастом не назначают людям, страдающим аллергией, и детям до 6 лет.
  • Патологии кровообращения в мозге являются абсолютным противопоказанием к проведению исследования методом магнитного резонанса.
  • Детям младше 6 лет МРТ головного мозга проводят только при веских показаниях.
  • Не проводят данный вид диагностики пациентам с искусственными сердечными клапанами.
  • Рекомендуется избегать данного вида диагностики людям с боязнью замкнутых пространств (относительное противопоказание).

Методики проведения диагностики

При проведении МРТ головного мозга используются различные методики, выбор каждой из них обусловлен исследуемой областью или показаниями. Общее обзорное исследование позволяет получить разветвленное изображение всего органа, его отдельных частей, отследить кровоток и перемещение внутримозговой жидкости.

При исследовании инсультных состояний применяется функциональная методика, позволяющая визуально, на экране монитора, увидеть своеобразную карту участков мозга ответственных за определенные функции – центры речи, зрения и прочие.

При проведении МРТ головного мозга оператор может попросить пациента провести определенные тесты, стимулирующие кровоток к определенным центрам для выявления вероятных нарушений в их функциональности.

При подозрении на новообразования применяется контрастирование. МРТ головного мозга с контрастом позволяет определить природу опухоли – доброкачественность или злокачественность, выявить величину новообразования, очаги поражений, воспалений, аномалий развития врожденного или приобретенного характера. Также контрастные вещества вводятся для исследования кровеносных сосудов.

МРТ сосудов мозга

Диагностика сосудов головного мозга посредством магнитно-резонансной томографии проходит в режиме ангиографии. Исследование применяется в тех случаях, когда необходимо визуализировать причины нарушений кровотока. Симптомами патологий сосудов часто являются обмороки, головокружения, нарушения координации, предобморочные состояния, потеря сознания и пр.

Обзорная ангиография визуализирует в режиме реального времени движение крови по сосудам, позволяет уточнить функциональные показатели – скорость движения крови, спазмы, просвет сосудов. Также обзору доступны патологии кровеносной системы – тромбы, сужения вен, расслоение стенок сосудов, органические поражения, закупорки и прочие патологии.

Показаниями к проведению ангиографии является:

  • Сосудистая мальформация (взаимопроникновение сосудов).
  • Аневризмы сосудов.
  • Атеросклеротические отложения.
  • Сосудистые васкулиты.
  • Предоперационные исследования для выявления картины расположения сосудов.

Виды исследований сосудов мозга

Нарушение кровоснабжения мозга ведет к различным патологическим последствиям всего организма и влияет на многие функции человека, поэтому сосуды исследуются тщательно и несколькими методами:

  • Артериография (диагностика артерий).
  • Венография (визуализация и исследование венозной системы).
  • Ангиография (исследование вен и артерий).

Исследования венозной системы мозга показано пациентам с черепно-мозговыми травмами (свежими, застарелыми), инсультом, тромбозом, аномалиями расположения и развития вен. Артериография проводится с введением специальных составов — контрастных веществ, такой шаг визуализирует мельчайшие капилляры и ведущие артерии. На мониторе, в полной мере, заметны любые изменения и дефекты сосудов, атеросклеротические поражения, новообразования в тканях мозга.

Общая ангиография показана при невыясненных поражениях сосудов для первичной диагностики. Рекомендуется в пред- и послеоперационные периоды для оценки состояния и расположения сосудистой системы, а также проводится для контроля за ходом терапии для коррекции назначений.

Что покажет МРТ

До недавнего времени получить не слишком информативную визуализацию органов можно было только при помощи рентгенографии, кардинальные изменения в возможностях диагностики изменились с появлением МРТ головного мозга. Где можно провести исследование? Практически все крупные диагностические клиники в государственном и частном секторе медицины располагают аппаратами для проведения исследований по нескольким методам.

Сделать магнитно-резонансное сканирование доступно как по цене, так и по географии. Любой областной медицинский центр располагает необходимой технической оснащенностью, а иногда несколькими аппаратами с расширенными возможностями или улучшенными базовыми характеристиками.

МРТ головного мозга. Что показывает исследование:

  • Структурные изменения, нарушения мозговых тканей, сосудов.
  • Выявляет признаки инсульта.
  • Определяет наличие гематом, тромбов, кровоизлияний, контузионных деформаций с точным местом их расположения.
  • Констатирует угрозы рассеянного склероза, продемонстрирует расположение и величину атеросклеротических бляшек.
  • Мальформацию, разрывы, аневризмы сосудов.
  • Выявит возможные воспалителения в тканях или сосудах мозга.
  • В режиме ангиографии специалист определит показатели кровотока, сосудистые изменения и пр.

Обзорное МРТ головного мозга дает врачу возможность определить, насколько структура органа пациента отличается от нормы. Визуализация подтверждает или опровергает подозрения в нарушениях функциональности, активности мозга, демонстрирует изменения после черепно-мозговых травм. Сегодня уже не актуален вопрос, где сделать МРТ головного мозга, связи с наличием аппаратов почти во всех клиниках и стационарах. Более актуальным становится выбор опытного специалиста для прочтения результатов.

Роль МРТ в диагностике

Точный и верный вердикт врача, работающего с большими массивами данных исследований МРТ, определяет болезнь и методы ее лечения, что значительно облегчает пациенту путь к быстрому выздоровлению. Томография эффективна не только для диагностики заболеваний, но и является незаменимым инструментом при подготовке к операциям на мозге и сосудах. В послеоперационном периоде дает специалисту информативную картину произошедших изменений и динамику выздоровления, восстановления функций.

Сегодня доступность МРТ головного мозга в Москве и во всех регионах РФ дало возможность врачам работать эффективнее и точнее, что положительно сказывается на здоровье пациентов, играет большую роль в профилактике множества заболеваний. Выявление предпосылок к микроинсультам, часто не заметным для больного, стало доступной опцией с появлением магнитно-резонансного сканирования мозга. Это позволяет принять превентивные меры и не допустить патологического развития событий, избежать пагубных последствий.

МРТ головного мозга в Москве и других городах России в руках опытного врача помогает быстро, с точность до миллиметра определить размер, месторасположение опухоли, гематомы, полученной вследствие черепно-мозговой травмы, выявить аневризмы или тромбы в русле сосуда. Осмотр мозга после сотрясения – простой способ увидеть масштабы поражения и избежать осложнений.

Сканирование мозга у детей

МРТ головного мозга ребенку рекомендуется делать после достижения им шестилетнего возраста. Специалисты после серии исследований, пришли к выводу, что радиоволны не наносят вреда не только взрослому, но и детскому организму. Если есть показания к исследованиям в более раннем возрасте, то диагностика данным методом допустима с младенческого возраста.

Особенностью проведения процедуры является неподвижное положение тела на протяжении довольно длительного времени (не менее 25 минут), но чаще требуется около 40 минут, ребенку трудно выдержать однообразие и статичное положение. На помощь приходят родители, ведя переговоры со своим чадом по каналу связи, а в некоторых случаях привлекают врача-анестезиолога.

В случае погружения ребенка в искусственный сон требуется серия предварительных консультаций с анестезиологом и его обязательное присутствие на процедуре диагностики МРТ. Исследования мозга с использованием контрастных веществ не наносят вред детскому организму, но необходимо учитывать вероятность аллергических реакций, по этой причине предварительно проводят серию аллерготестов на вещества контраста, применяемые при МРТ головного мозга.

Адреса диагностических центров, государственных медицинских учреждений, где можно пройти магнитно-резонансное сканирование может подсказать лечащий врач. Чаще всего специалист дает направление в тот центр, диагносты которого вызывают его доверие и устраивают уровнем профессиональной компетенции.

Расшифровка результатов

Расшифровка полученных результатов проводится сразу после прохождения процедуры. Врачу-радиологу для этого обычно достаточно 30 минут. Снимки, вместе с расшифровкой отдаются пациенту для дальнейшей передачи лечащему врачу.

Что содержится в сопроводительном описании:

  • Скорость и характер движения крови (кровоток).
  • Движение спинномозговой жидкости (основные характеристики, если нет особых указаний).
  • Активность мозговой коры (определяется тестированием).
  • Степень диффузии мозговых тканей.
  • Подтверждение или опровержение подозрений на заболевание, по поводу которого обратился пациент.

По итогам исследования могут быть установлены или опровергнуты следующие диагнозы:

  • Ишемия мозга.
  • Наличие новообразований, их расположение, размер, характер.
  • Кистозные образования.
  • Гипоксия, рассеянный склероз, эпилепсия.
  • Патологии развития структур мозга и пр.

Сканирование мозга посредством магнитно-резонансной томографии позволяет определить функциональные нарушения, особенности кровотока, структурные изменения, признаки начала целого ряда заболеваний. Достоинствами метода являются высокая информативность, безболезненность, отсутствие подготовительного и восстановительного периодов, возможность проводить исследование так часто, как это необходимо.

Полезная информация

Технически и медицински насыщенным городом, где сконцентрировано наибольшее количество хорошо оборудованных клиник, является столица. Здесь предлагается широкий спектр методик проведения МРТ головного мозга. В Москве адреса центров, предлагающих магнитно-резонансную томографию, насчитывают более 250 клиник. Стоимость процедуры варьируется от 1300 до 13500 рублей.

ТОП-5 клиник с высоким рейтингом, согласно отзывам пациентов:

  • «Европейский диагностический центр МРТ», адрес: улица Нагатинская, строение 25, дом 1.
  • «МРТ-Бирюлево», адрес: проезд Загорьевский, строение 1.
  • «Московский центр МРТ», адрес: улица Нижегородская, строение 32.
  • «Лечебно-диагностический центр», адрес: проспект им. Вернадского, строение 5, корпус 1.
  • «МРТ-24», адрес: улица Орджоникидзе, строение 10.

МРТ головного мозга – лучший метод получения полной информации о состоянии органа. Благодаря этой диагностической процедуре специалисты получили полный доступ к оценке функциональности каждой зоны мозга, а пациенты избавлены от необходимости проходить рентген или травмирующие пункции.

Что может показать МРТ позвоночника?

МРТ, или магнито-резонансная томография, применяется для изучения организма с целью обнаруженсия многих опасных заболеваний. Такое обследование безвредно для человека и не приносит никаких побочных явлений. В свою очередь МРТ позвоночника дает полную картину всего, что происходит в этом органе. А так как позвоночник – это основа всего тела, то можно с уверенностью сказать, что МРТ позвоночника способно показать все процессы, происходящие в человеческом организме.

Ультразвук и рентген не могут дать той полной картины, которая видна опытному специалисту на МРТ-снимках. В некоторых случаях врач добавляет внутривенно контрастное вещество. Оно не приносит вреда человеку С помощью МРТ врач обследует или весь позвоночник, или же его часть.

Как делается МРТ позвоночника?

Процесс обследования позвоночника при помощи магнито-резонансного томографа полностью безболезненный и не вызывает никаких побочных явлений в организме исследуемого пациента. Человек помещается внутри томографа в зоне воздействия магнитных катушек. В таком положении он должен находиться не менее получаса, причем неподвижно. И это – наверное, единственное неудобство, с которым приходится сталкиваться пациентам при таком виде диагностики. Существуют различные нюансы к исследованию позвоночника, знать которые может только врач. В ходе обследования он настраивает томограф, делает иные коррективы. Они необходимы, чтобы снимок был наиболее репрезентативным и показал все, что происходит в организме человека.

Что может обнаружить томограф?

Магнитно резонансный томограф может быть очень полезным для диагностических мероприятий при обнаружении многих патологий.

В частности, врач может:

  • увидеть строение позвонков, оценит их анатомическую структуру и степень их возможного поражения;
  • обнаружить аномалии строения и развития позвонков, в том числе те, которые трудно поддаются
  • обнаружению и лечению;
  • оценить состояние межпозвонковых дисков, степень их поражения и предрасположенность к формированию
  • грыж межпозвонковых дисков;
  • обнаружить артроз суставов позвоночника;
  • при травмах обнаружить и оценить степень компрессии нервных корешков и всего мозга;
  • обнаружить опухоли спинного мозга и степень их злокачественности, что дает возможность начать лечение уже на самой ранней стадии;
  • точно обнаружить место травмы позвоночника, что облегчает дальнейшие диагностические действия;
  • обнаружить воспалительные явления в мягких тканях;
  • хорошо показывает нервы, что дает возможность определить у больного наличие опасных патологий.
  • обнаружить воспалительные заболевания спинномозговых оболочек разной степени интенсивности.

Что видно на таком МРТ?

Многих пациентов интересует, что показывает МРТ позвоночника. С помощью этого современного метода исследования можно точно диагностировать у больного такие болезни:

  • Разные степени развития остеохондроза.
  • Грыжи и протрузии межпозвонкового диска.
  • Деформации позвоночника, такие часто встречающиеся, как кифоз, сколиоз и лордоз. Причем с помощью
  • МРТ можно наиболее точно обнаружить степень искривления позвоночника, угол такой деформации, что обеспечивает наиболее точный подход к лечению.
  • Спондилолистез.
  • Вывихи и подвывихи позвонкового столба.
  • Опухоли позвоночника и спинного мозга разной степени злокачественности и места локализации.
  • Травмы позвоночника, даже самые незначительные.
  • Сосудистые мальформации.
  • Инфекционное поражение спинного мозга и позвоночника (в том числе вызванное туберкулезным или сифилитическим процессом).
  • Демиелинизирующие патологии.

Как виден позвоночник на МРТ?

Показанный на МРТ результат отличается превосходным качеством, поэтому врач может без труда увидеть практически все мельчайшие подробности. Кости и хрящевые ткани видны в самом лучшем качестве, в естественном темном цвете. Спинной мозг визуализируется как объект более светлого цвета.

На МРТ видны в виде смещений, аномального расположения и изменения цвета такие аномалии, как:

  • спондилез деформирующий и остеохондроз (такие патологии видны как объекты темного цвета);
  • грыжи и протрузии (визуализируются как соответствующие области смещения и изменения цвета);
  • опухоли и метастазы;
  • травмы (переломы, вывихи,смещения) показаны как соответствующие смещения твердых и мягких тканей позвоночника, спинномозгового канала, оболочек и самого спинного мозга;
  • болезнь Клипеля-Файля (визуализируется как укорочение шейного отдела позвоночника и шейных позвонков);
  • демиелинизирующие энцефаломиелиты заметны на снимках как соответствующие области с измененным цветом;
  • нарушения кровообращения (видны разрушенные сосуды и области спинного мозга, страдающие от данных патологий);
  • сосудистые мальформации (на снимках также выглядят как области с нарушенными кровеносными сосудами, с вкраплениями посторонних и неестественных для них объектов);
  • поражения и повреждения нервов;
  • сужение канала позвоночника видно как соответствующее поражение;
  • переходные позвонки визуализируются на снимке довольно четко;
  • достаточно четко визуализируются и аномалии развития тел позвонков;
  • достаточно четко визуализируются травматические повреждения костей;
  • опухоли визуализируются как посторонние объекты с патологической структурой и цветом.

Когда не делают МРТ?

Если не соблюдать правила проведения такой диагностики позвоночника, то в дальнейшем можно иметь дело с многими проблемами и осложнениями.

В первую очередь, это касается наличия у человека всевозможных имплантов, а также металлических приборов в теле.

Если кормящей женщине делают исследование с применением контраста, то в течение двух суток она должна отказаться от грудного вскармливания. Это делается для того, чтобы контрастное вещество не навредило ребенку.

При высоком весе пациента иногда провести МРТ позвоночника будет невозможно. И еще одно противопоказание: как правило, МРТ не применяют при открытых повреждениях позвоночника. МРТ позвоночника делается с особой осторожностью при повышенном риске клаустрофобии (боязни замкнутого пространства). Если у пациента диагностируются психические патологии в стадии декомпенсации, это также может быть поводом к отказу в диагностике.

Когда применяют контрастное вещество?

Как правило, МРТ позвоночника является вполне информативным способом диагностики многих патологий. Использование же контрастного вещества необходимо в случаях, когда нужно получить детальный результат диагностики при подозрении на опухолевые процессы в тканях позвоночника и спинном мозге. Также этот способ диагностики применяется для оценки степени поражения позвоночника и спинного мозга злокачественным процессом.

При таком способе диагностики пациенту внутривенно вводится контрастное вещество. Как правило, им является препарат гадолиния. Контрастирование позволяет обнаружить наличие опухоли на самом раннем этапе ее формирования, определить ее границы и степень поражения соседних тканей.

При введении такого препарата врач очень тщательно рассчитывает дозировку и темп его введения. При этом можно практически полностью исключить возможные осложнения в ходе диагностики. Введение контрастного вещества полностью синхронизировано со всеми этапами диагностики.

Заключение

МРТ позвоночника является высокоинформативным способом диагностики многих заболеваний человека. Результаты диагностики выдаются достаточно быстро: во многих клиниках для этого необходимо ожидать несколько часов. Они передаются лечащему врачу, однако могут записываться на цифровые хранители информации и выдаваться на руки пациенту.

Если врач настаивает на необходимости прохождения МРТ, не нужно отказываться. В некоторых случаях пациенту могут быть рекомендованы другие способы диагностики – в частности, рентгенография, компьютерная томография, а также общие клинические исследования крови.

МРТ всего тела

С развитием медицины у пациентов появилась возможность не только диагностировать заболевания, которые уже явно дали о себе знать, но и те, что протекают скрыто. В некоторых случаях сделать полное обследование всего организма требуется, когда имеющиеся клинические данные не позволяют определить точное место поражения. Кроме того, оно может проводиться для выявления заболеваний на доклинической стадии.

Актуальным в таких случаях оказывается МРТ всего тела. Обычно его назначение преследует такие цели:

  • профилактическое обследование;
  • первичная диагностика опухолей у пациентов повышенной группы риска;
  • у диагностированных опухолей выявление возможных метастазов;
  • при наличии нескольких патологических очагов в разных частях тела контроль за проводимым лечением.

Наиболее ценное преимущество, которым обладает полное МРТ всего тела — скрининг онкологических заболеваний. Он также известен как профилактический онкопоиск. Только с его помощью можно выявить опухоли на ранних стадиях, до прорастания патологических очагов в окружающие ткани.

Что показывает?

Сравнительно недавно многие пациенты активно интересовались тем, можно ли сделать МРТ всего организма? Ведь до внедрения полного МРТ сразу всего организма обнаружить причину многих системных заболеваний, а также определить точную локализацию опухолей и метастаз было невозможно. Теперь это стало реальным и поэтому пациенты интересуются тем, что показывает МРТ всего тела?

В результате комплексного обследования МРТ способно обнаружить:

  • нарушение целостности тканей и органов (переломы, разрывы);
  • очаги воспаления;
  • аномалии развития;
  • гнойные и склеротические очаги;
  • скопления жидкости;
  • приобретенные аномалии органов и систем.

Комплексное МРТ внутренних органов незаменимо при следующих состояниях. Выпячивание стенки аорты и сосудов головного мозга, которые в большинстве случаев не дают о себе знать до тех пор, пока не разорвутся (в 3 случаях из 4 наступает летальный исход). Ранняя же диагностика и своевременное лечение позволяют снизить уровень смертности от данной патологии практически на 5%.

Онкопатологии мочевыделительной системы: часто образования в почках развиваются без выраженной симптоматики и дают о себе знать только тогда, когда стадия уже слишком запущенная. На благоприятный прогноз можно рассчитывать только при обнаружении новообразований на ранней стадии.

Перелом с компрессией тел сегментов позвоночника и нервных окончаний — такие состояния возникают на фоне развивающегося остеопороза и часто протекают в скрытой форме. Онкопатологии органов малого таза: карцинома яичников также довольно часто протекает без выраженной симптоматики и выявляется уже на поздних стадиях, когда жизнь пациентки уже невозможно спасти.

Патологии поджелудочной железы: МРТ позволяет диагностировать как воспалительные процессы в этом органе, так и злокачественные новообразования. Поражения гепатобилиарной системы: высокопольные аппараты МРТ позволяют определить даже незначительные изменения в структуре печени, а также они хорошо выявляют конкременты и другие аномалии желчного пузыря и его протоков.

При диагностировании заболеваний коронарных артерий или онкопатологии легких МРТ всего тела уступает по эффективности КТ или МСКТ.

При карциноме простаты и заболеваниях толстого кишечника МРТ не относится к эффективным методам диагностики патологии на ранних стадиях

Поскольку МРТ всего тела подразумевает исследование органов брюшной полости и малого таза, то подготовка включает такие шаги. За 2–3 дня до обследования следует придерживаться бесшлаковой диеты, которая освободит кишечник от каловых масс и защитит от повышенного газообразования. Кроме того, накануне диагностики нужно будет сделать очистительную клизму и последний раз покушать перед МРТ внутренних органов не позднее чем за 5 часов.

Для получения четкого изображения при МРТ органов малого таза на томограммах мочевой пузырь должен быть частично наполненным. При почечной недостаточности пациент должен предварительно сдать ряд анализов и проконсультироваться с нефрологом. Перед началом процедуры нужно снять с себя все металлические предметы, включая украшения, съемные протезы и прочие медицинские устройства.

В отличие от классического рентгена или компьютерной томографии (КТ), МРТ работает без ионизирующего излучения. В ее основе лежит активизации ядер протонов водорода, которых достаточно много в различных тканях человеческого организма, путем воздействия на них искусственного магнитного поля.

Изучение магнитных свойств различных соединений позволяет визуализировать разнообразные участки тела. Магнитно-резонансная томография с высокой точностью дифференцирует различные структуры мягких тканей. На снимках предоставляются «срезы» человеческого тела, составляющие всего несколько микрон в толщину.

Вредно ли делать МРТ?

Во время сканирования пациента находится внутри томографической конструкции. На него действует постоянное магнитное поле, а также для получения большей информации на определенные участки тела осуществляют воздействие кратковременных импульсов. Прибор фиксирует реакцию атомов водорода, находящихся в организме человека, на такое воздействие и визуализирует это. Вся процедура может занимать 60-90 минут.

Иногда, в зависимости от целей проведения процедуры, перед магнитно-резонансной томографией в кровоток пациента вводится контрастное вещество для улучшения визуализации. Сразу после внутривенного введения больной может почувствовать тепло и покалывание в теле. Если в ходе резонансного сканирования всего организма контрастный препарат не применяют, то цена исследования, как правило, несколько снижается.

МРТ исследования всего тела, сделанные на высокопольном аппарате закрытого типа, дают более качественные изображения, чем на низкопольных аппаратах, и весь процесс занимает меньше времени.

Результаты МРТ представляют собой четкие послойные снимки и/или трехмерные изображения, которые можно рассмотреть всесторонне

Не бояться сделать МРТ всего тела можно по таким причинам:

  • Диагностическая манипуляция не требует открытого вмешательства в организм пациента и проводится без воздействия лучевой нагрузки.
  • МРТ может показать различные сосудистые аномалии, патологии костной ткани (переломы, первичные образования и метастазирование) и других систем организма.
  • В ходе данной диагностики удается выявить злокачественные образования в различных органах, которые на начальной стадии не дают о себе знать.
  • МРТ показывает даже незначительные морфологические изменения в тканях, которые на ранней стадии могут давать онкопатологии или инфекционные процессы.
  • Если на предмет опухолей, скопления гноя или других образований обследуются мягкие ткани, то МРТ оказывается более информативной, чем компьютерная томография.

Возможности МРТ ограничены в таких случаях:

  • по снимкам сложно различить состояние лимфоузлов (они увеличены под воздействием иммунной системы или из-за метастазирования);
  • на снимках плохо различаются рецидивы опухолей от нормальных структурных изменений в тканях в послеоперационный период;
  • МРТ не позволяет рассмотреть метастазы в костной ткани черепа, в костях плечевого пояса, с трудом различаются мелкие новообразования в легочной ткани и толстой кишке.

Стоит отметить, что магнитно-резонансная томография не позволяет выявлять или предотвращать абсолютно все болезни и патологические процессы.

Общее впечатление от процедуры в отзывах пациентов, которые ее проходили — информативно, но дорого.

Ольга, 38 лет: Нам довелось столкнуться с этой процедурой, когда у моей мамы во время КТ головы обнаружили множественные метастазы в головном мозге. Врачи после комплексного обследования не смогли установить, где находится сам рак, поэтому назначили МРТ всего тела. Эта процедура выявила еще некоторые проблемы в общем состоянии мамы, но очаг так и не нашелся. Хотя нам говорили, что в 99% случаях первичную онкопатологию находят всегда, но мы попали в тот неудачный 1%.

Кристина, 29 лет: Я наверно слишком мнительная, но в профилактических целях решила сделать МРТ всего тела. В расшифровке результатов все оказалось в порядке. Я слышала, что за границей многие ежегодно для самоуспокоения делают МРТ и, таким образом, проверяют свои организмы. Я бы наверно тоже так делала, если это удовольствие не было таким дорогим.

МРТ всего тела является ценным диагностическим методом многих заболеваний. Она особенно уместна в тех случаях, когда патология имеет скрытую форму или когда необходимо исключить метастазы. Если в ходе магнитно-резонансной томографии всего тела были обнаружены морфологические изменения какого-то конкретного органа или участка, то можно будет прицельно провести дополнительное обследование.


Смотрите также