
МРТ брюшной полости: какие органы проверяют, что показывает МРТ органов брюшной полости
МРТ органов, расположенных в брюшной и забрюшинной области, — современная диагностическая процедура, дающая возможность изучить функциональное состояние кровеносных сосудов, лимфоузлов и нервных окончаний в области брюшного пространства. Данная методика отличается высокой информативностью и предельной безопасностью для больного.
Оглавление: Краткая характеристика методики МРТ брюшной полости: какие органы проверяются? Кому назначают диагностирование? Кому процедура противопоказана? Подготовительные мероприятия Как проходит исследование? Преимущества методики
Краткая характеристика методики
Магнитно-резонансная томография позволяет оценить функционирование и строение брюшных органов, их форму, локацию и размеры. Также данная процедура помогает обнаружить патологические процессы на самых ранних стадиях, определить степень поражения близко расположенных органов.
Важно! Очень большое значение имеет МРТ в борьбе с онкологическими заболеваниями брюшины, поскольку позволяет выявить опухолевое новообразование на самых ранних этапах формирования, а также отследить динамику патологического процесса и эффективность проводимой терапии!
Диагностика осуществляется путем применения мощных магнитных полей. Этот метод дает более точные и достоверные результаты, нежели другие диагностические процедуры (например, рентгенография или же ультразвуковое исследование).
При этом магнитно-резонансная томография отличается максимальной безопасностью для здоровья больного, поскольку в ходе процедуры пациент не подвергается облучению даже в самых минимальных количествах!
В отличие от биопсии и других видов исследований области брюшной полости техника магнитно-резонансной томографии абсолютно неивазивна, безболезненна и не требует проведения вмешательств хирургического характера.
Важно! Магнитно-резонансная томография в обязательном порядке назначается при сомнительных и противоречивых результатах, полученных в ходе КТ и ультразвукового обследования.
МРТ брюшной полости: какие органы проверяются?
В ходе МРТ брюшной и забрюшинной области специалист исследует функциональное состояние следующих внутренних органов:
- желудок;
- печень;
- кишечник (толстый и тонкий);
- селезенка;
- сосуды;
- лимфатические узлы;
- желчевыводящие пути;
- поджелудочная железа.
Обратите внимание: при проведении данной диагностической процедуры исследованию подвергаются также почечные тканевые структуры, надпочечники и мочеполовая система, костные ткани поясничного и грудного отделов позвоночного столба, что позволяет получить полную клиническую картину.
При помощи этого метода диагностики можно обследовать состояние брюшного и забрюшинного пространства по следующим показателям:
- Форма, размер и расположение органов.
- Наличие процессов воспалительного происхождения.
- Структура ребер, грудной клетки, поясничного и грудного отдела позвоночного столба.
- Присутствие паразитов, их количество.
- Наличие опухолевых новообразований.
- Кровеносные сосуды и функционирование процессов кровообращения в области брюшного пространства.
- Патологические видоизменения нервных тканевых структур, ответственных за нормальное функционирование мочеполовой и пищеварительной системы, опорно-двигательного аппарата.
- Травматические повреждения.
- Наличие процессов инфекционного генеза.
Важно! Если общее МРТ брюшной полости показало наличие изменений патологического характера, далее осуществляется сканирование непосредственно больного органа!
Кому назначают диагностирование?
Доктора рекомендуют проведение МРТ брюшной полости и области забрюшинного пространства при наличии у пациента следующих клинических показаний:
- панкреатит;
- гепатит;
- увеличение размеров селезенки, печени;
- асцит;
- травматические повреждения органов;
- воспалительные процессы;
- опухолевые новообразования злокачественного или же доброкачественного происхождения;
- сосудистые патологии органов, локализованных в брюшной полости;
- аномалии органов брюшной полости;
- нарушения в деятельности желудочно-кишечного тракта;
- холециститы, которые протекают как в острой, так и в хронической форме;
- цирроз печени;
- заболевания паразитарного характера;
- кистозные новообразования;
- подозрения на гнойные осложнения;
- воспаления лимфатических узлов;
- гемобластозы;
- тромбозы и сосудистые аневризмы;
- внутренние кровотечения и кровоизлияния;
- перманентные болевые ощущения, локализованные в области живота;
- камневые отложения и скопления в области почек;
- нефрит;
- нарушение процессов кровоснабжения в области внутренних органов;
- жировая дистрофия;
- камнеобразование в желчном пузыре.
Кроме того, данная процедура проводится для оценки результативности лечения, при выявлении опухолевых новообразований злокачественной этиологии, выявленных в районе брюшины!
Обратите внимание: процедура МРТ часто проводится в ходе подготовки больного к хирургическим манипуляциям с целью выявления точного расположения сосудов, лимфоузлов и внутренних органов.
Кому процедура противопоказана?
Несмотря на свою предельную безопасность, в определенных случаях доктора не рекомендуют своим пациентам обследование методом МРТ.
К основным противопоказаниям для проведения данной процедуры специалисты относят следующие факторы:
- повышенная склонность к аллергическим реакциям;
- тяжелые почечные патологии;
- весовая категория пациента, более 130 килограмм;
- клаустрофобия (непереносимость, боязнь замкнутого пространства);
- индивидуальная непереносимость и повышенная чувствительность к веществам, входящим в состав контрастирующих препаратов;
- расстройства психического характера, в период своего обострения;
- сахарный диабет, протекающий в тяжелой форме;
- патологии щитовидной железы, с явной тенденцией к быстрому прогрессированию;
- эпилепсия;
- судорожный синдром.
Проведение магнитно-резонансной томографии с применением контрастных веществ категорически противопоказано будущим мамочкам, женщинам, кормящим грудью, пациентам, страдающим, почечной недостаточностью, а также малышам, не достигшим еще шестилетнего возраста!
Важно! В период первого триместра беременности противопоказана любая разновидность магнитно-резонансной томографии!
Наличие в организме больного кардиостимулятора, имплантов, протезов (металлических) также считается противопоказанием к данному виду исследования. Дело в том, что в ходе процедуры происходит образование мощного магнитного поля, что может привести к повреждению приборов и металлических деталей.
Обратите внимание: большая часть противопоказаний к назначению МРТ брюшных органов является относительной, целесообразность прохождения данного вида обследования определяется специалистом индивидуально, для каждого отдельного клинического случая!
Подготовительные мероприятия
Проведение МРТ брюшной и забрюшинной полости не требует длительных, специальных подготовительных действий. Однако, для того чтобы диагностика была предельно информативной, все же необходимо соблюдать некоторые правила:
- В день исследования воздерживаться от употребления пищи.
- За сутки до МРТ убрать из привычного рациона кисломолочку, ржаные хлебобулочные изделия и газировку, сырые овощи и фрукты.
- В целях предупреждения повышенного газообразования, за несколько часов до МРТ принять активированный уголь.
- Перед самым проведением обследования следует освободить кишечник и опорожнить мочевой пузырь. В некоторых случаях, для этих целей может понадобиться заблаговременно, принять препараты мочегонного и слабительного действия.
- Не стоит пользоваться кремами, средствами для волос и декоративной косметикой.
- За полчаса до проведения процедуры выпить средство спазмолитического воздействия (при отсутствии противопоказаний).
Обратите внимание: отправляясь на процедуру МРТ, следует надеть удобную одежду, свободного кроя и снять со своего тела все металлические украшения и аксессуары (включая пиргсинг, протезы, слуховой аппарат и т. д.)!
Маленьким деткам и людям, страдающим фобией замкнутого пространства, может быть рекомендовано употребление успокоительных препаратов.
Как проходит исследование?
В ходе проведения магнитно-резонансной томографии крайне важно, чтобы пациент находился в неподвижном состоянии. Поэтому, процедура начинается с того, что больной ложится на стол, так называемого выдвижного томографа, после чего его руки и ноги фиксируются при помощи специальных раменей.
В том случае, если планируется проведение контрастной томографии, то через катетер в область локтевой вены пациента вводится специальное контрастное вещество, а также физиологический раствор.
После этого, начинается сам процесс сканирования. Процедура магнитно-резонансной томографии абсолютно безболезненна и не доставляет пациенту каких-либо неприятных ощущений, за исключением возможного психологического дискомфорта, обусловленного необходимостью находиться в замкнутом пространстве.
Впрочем, большинство капсул для проведения магнитно-резонансной томографии оснащено специальными датчиками для разговора с доктором. Сам процесс обследования длится, как правило, около получаса. После окончания процедуры пациент может покинуть клинику и вернуться к своей привычной жизни. После проведения МРТ никакого восстановительного периода не требуется, а вероятность проявления любых нежелательных реакций сведена к нулевым показателям!
Результаты диагностики, в большинстве случаев, бывают готовы уже буквально в течение 2-х часов. Получив результаты на руки, больной направляется к своему лечащему врачу узкого профиля, который на их основании уже ставит диагноз и назначает оптимальный терапевтический курс!
Преимущества методики
Магнитно-резонансная томография характеризуется наличием следующих преимуществ:
- высокая информативность;
- выявление опухолевых новообразований злокачественной этиологии на ранних стадиях возникновения;
- отсутствие восстановительного периода;
- минимальный спектр противопоказаний и ограничений возрастного характера;
- проведение диагностики будущим мамам, начиная со второго триместра беременности;
- сохранение результатов исследования на электронных носителях;
- безболезненность и быстрое проведение;
- оперативное получение результатов;
- максимальная безопасность для здоровья больного;
- отсутствие нежелательных реакций;
- минимальная подготовка и нет нужды в госпитализации пациента;
- быстрый возврат к привычному ритму жизни.
МРТ брюшно-забрюшинного пространства — информативная и, главное, предельно безопасная диагностическая процедура, назначаемая при заболеваниях желудочно-кишечного тракта, почечных и печеночных патологиях. Данный метод диагностики отличается точными результатами, безболезненностью и не подвергает здоровье пациента рискам, сопряженным с воздействием рентгенографического облучения!
Совинская Елена, врач, медицинский обозреватель
7,706 просмотров всего, 2 просмотров сегодня
(57 голос., средний: 4,09 из 5) Загрузка…
Зачем органы брюшной полости и забрюшинного пространства смотрят на МРТ?
Одним из наиболее часто применяемых и информативных методик диагностики органов области брюшины остается МРТ. С его помощью можно посмотреть не только сами органы, но и сосуды и лимфоузлами, оценить их положение, размеры, форму, степень развития патологического процесса, а также место его распространения, проникновение в соседние органы.
МРТ органов брюшной полости, а также забрюшинного пространства дает возможность врачу действовать «с опережением», обгоняя развитие патологии, то есть не ждать осложнений от болезни, а лечить ее до того, как последствия станут гораздо тяжелее. Так, к примеру, после проведения операции в брюшной полости или химиотерапии МРТ дает возможность контролировать размер опухоли, находить метастазы и новые очаги. Пациентам же стоит знать, какие именно органы обследуются при помощи такой методики.
Органы брюшной полости и забрюшинного пространства
В обследуемой полости находятся:
- печень, а также желчевыводящие пути;
- поджелудочная;
- желудок и, разумеется, кишечник;
- селезенка;
- стенки живота, лимфатические узлы, там же располагаются и мягкие ткани брюшной полости.
МРТ органов забрюшинного пространства обследует:
- надпочечники с почками;
- паранефральную клетчатку.
Показания к проведению исследования
Чтобы врач решил назначить пациенту томографию забрюшинного пространства, а также обследование брюшной полости, требуется ряд показаний. К ним относятся следующие варианты:
- Врожденные пороки развития различных органов, любые аномалии.
- Получение различных травм внутренних органов.
- Те случаи, когда в брюшной полости или забрюшинном пространстве найдены инородные тела неметаллической природы.
- Если по какой-либо причине нарушается кровоснабжение внутренних органов (ишемия, инфаркты).
- Если в полости развивается воспалительный процесс или инфильтрат. Причиной могут служить как абсцессы, оперативные вмешательства, так и процесс образования спаек и рубцов.
- Если врач подозревает первичное или вторичное появление опухолей.
- Если диагностируется жировая дистрофия.
- Те случаи, когда пациенту поставлен цирроз печени.
- Показанием служат и разнообразные объемные образования, не относящиеся к опухолям. Это могут быть абсцессы, различные кисты, а также гематомы.
- Если специалисты выявляют у пациента какие-либо поражения лимфатической системы (к примеру, метастазы).
- В случае развития механической желтухи.
- Если диагностирована острая или хроническая форма панкреатита.
- Показанием становится и гепатомегалия, а также холелитиаз.
- Процедура обязательно проводится и в случае диффузных поражений паренхиматозных органов или портальной гипертензии.
- То же самое делается и при развитии цирротических процессов.
Стоит помнить, что МРТ не применяется для того, чтобы увидеть камни, как в почках, так и в мочеточниках. Дело в том, что камни представляют собой отложения кальциевых солей и лишены жидкости, поэтому не видны при исследовании.
Сама процедура проводится с помощью специальных аппаратов (так называемых высокопольных томографов). Раньше пациенту приходилось не дышать, чтобы получить достоверные результаты. Сейчас, с развитием технологий, ученым удалось создать оборудование, способное работать в такт с дыханием пациента. От него требуется лишь лежать неподвижно в течение получаса.
Кому нельзя делать МРТ?
Данная процедура строго запрещена тем людям, у которых имеются:
- различные кохлеарные импланты;
- клипсы в головном мозге;
- стенты (это специальные металлические спиральки);
- сердечные клапаны, а также инфузионные помпы;
- кардиостимуляторы и другие электронные импланты;
- металлические протезы;
- стимуляторы нервов;
- любые штифты, пластины, скобы, стенты или винты, имеющие в своем составе металл;
- металлические осколки или пули в теле пациента;
- не будут проводить данное обследование и тем пациентам, чья масса тела превышает 130 кг.
Кохлеарный имплант
Подготовка к обследованию
Чтобы МРТ органов забрюшинного пространства, а также брюшной полости выдало наилучшие результаты, пациенту нужно выполнять нехитрые правила.
За день до назначенной даты проведения МРТ нельзя ничего есть. Это особенно важно в тех случаях, когда планируется процедура с контрастом. Перед МРТ стоит уведомить специалистов, нет ли у пациента бронхиальной астмы или аллергических реакций на вещество для контраста. Вводить его нежелательно в тех случаях, когда человек страдает от хронических проблем с почками, соматических болезней. Нежелательно проводить МРТ и в случае беременности (особенно если оно выпадает на первый триместр).
Нужно надеть специальную одежду для МРТ или остаться в свободной одежде. Необходимо снять все металлические штучки и предметы с металлом в составе (часы, кредитки, ювелирные украшения, любые булавочки, молнии, пуговицы и кнопки, шпильки, слуховые аппараты, зубные протезы, очки, любой пирсинг и все содержимое карманов, что содержит металл, то есть ручки, скрепки, ножи и т.п.).
Чтобы исключить риск повышенного газообразования врач может посоветовать выпить активированный уголь. Кроме того, следует за день до МРТ убрать из меню любые газированные напитки, черный хлеб, грубую клетчатку и кисломолочные продукты. Примерно за полчаса до исследования специалист может разрешить принять препарат из ряда спазмолитиков.
Перед тем, как отправиться на процедуру, нужно убрать подальше любые кремы, декоративную косметику, лак для волос. Прямо перед МРТ рекомендуется посетить уборную.
Что покажет МРТ?
Итак, человеку назначено МРТ забрюшинного пространства или брюшной полости. Что показывает аппарат?
Изображение органов при МРТ
Если в полости исследуется печень, то врач подозревает очаговые поражения. Процедура дает возможность выявить гемангиомы, различные опухоли, аденомы, гиперплазию. При условии использования контрастного вещества можно разглядеть даже очаговые патологии печени (кисты, метастазы). Если исследуются именно эти органы, пациенту придется пару дней пожить на диете, лишенной углеводов.
Если исследуется желчный пузырь и протоки, то показываются различные поражения органов, аномалии, холангит и другие заболевания.
Если обследуется поджелудочная железа, именно МРТ будет наиболее эффективным способом диагностики. Процедура помогает диагностировать кисты, доброкачественные и злокачественные опухоли, острый или же хронический панкреатит. Как и в случае с печенью, здесь человеку тоже придется на два-три дня отказаться от углеводов.
МР-томограмма поджелудочной железы
Обследование селезенки назначается довольно часто, так как ее проблемы появляются благодаря патологиям в других органах. МРТ дает возможность посмотреть на форму со структурой и размеры органа, выявить кисты, аномалии, инфаркты, абсцессы и иные объемные образования, злокачественные новообразования или же пороки. Перед обследованием придется посидеть на меню без углеводов.
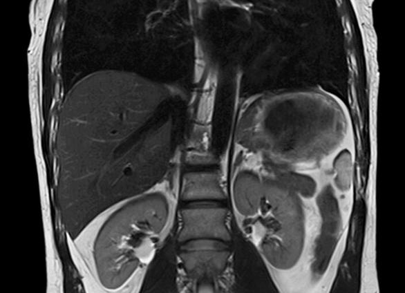
МРТ почек с надпочечниками и забрюшинным пространством помогает выявить как злокачественные, так и доброкачественные патологии. Назначается обследование и при травмах, для уточнения других диагнозов, в частности, подозрения на опухоль почки или выделительной системы. Требуется оно и при заболевании лимфатических узлов, изменениях в клетчатке и выявлении иных патологий.
Как проводится МРТ?
Процедура переносится пациентом достаточно легко. Необходимо сохранять неподвижность в течение тридцати или сорока минут. Если исследование делается детям, врач дает им специальный препарат, чтобы они могли пролежать спокойно необходимое время (иначе им будет сложно выдержать всю процедуру). Время от времени специалист будет говорить пациенту задержать дыхание.
Процедура МРТ
Если МРТ проводится с контрастным веществом, то его введут в вену прямо перед процедурой. Чтобы пациент непроизвольно не дергался и не нервничал, можно попросить зафиксировать ноги, руки и тело. Чаще всего применяется закрытая капсула, освещенная светом, вентиляцией и динамиком для разговора с врачом. Однако для пациентов, страдающих от клаустрофобии, производители разработали открытые капсулы.
Что делать после обследования?
После проведения МРТ все результаты необходимо передать лечащему врачу пациента, который, исходя из полученных результатов, направит человека на дальнейшее лечение. Обычно результат получается уже через два часа после исследования. С ним пациент уже отправится к врачам более узкого профиля или сразу же получит необходимые назначения.
Заключение
Таким образом, МРТ брюшной полости, а также забрюшинного пространства дает возможность полноценно обследовать пациента и начать лечение прежде, чем патологии успеют нанести непоправимый вред его здоровью. Нужно иметь в виду, что для проведения процедуры лучше иметь с собой не только свою карту, но и выписки (если была операция), заключения других врачей, результаты УЗИ и иных исследований. Все это потребуется специалисту, проводящему МРТ, чтобы наилучшим образом спланировать обследование.
Что показывает мрт брюшной полости и забрюшинного пространства
Обновление: Декабрь 2018
Магнитно-резонансная томография брюшной полости и забрюшинного пространства — самый детальный и достоверный метод исследования внутренних органов. Наибольшую значимость МРТ имеет в обследовании паренхиматозных органов:
- Печени;
- Поджелудочной железы;
- Почек;
- Надпочечников;
- Селезенки;
- Лимфатических узлов.
Виды диагностики:
- обзорное МРТ — общее состояние;
- с контрастированием — дифференциальная диагностика новообразований;
- магнитно-резонансная ангиография (МРА) — аневризмы, васкулиты, ишемии, стеноз артерий, расслоение аорты, предоперационное планирование стентирования сосудов.
Для диагностики заболеваний полых органов (желудка, тонкого и толстого кишечника) МРТ не подходит.
Показания
Если другие методы исследования дали сомнительные результаты (КТ, УЗИ, рентген и пр.) или их выполнение невозможно, то томография позволяет дифференцировать различные состояния и болезни:
- Диагностика заболеваний печени и желчевыводящих путей;
- Желтуха любой этиологии;
- Внутренние кровотечения;
- Необъяснимая боль в животе;
- Увеличение печени и селезенки неизвестного генеза;
- Ишемические изменения в тканях;
- Полипы в желчном;
- Желчнокаменная болезнь и ее осложнения (камни в желчном пузыре);
- Камни в почках, песок в почках;
- Заболеваний поджелудочной железы (острый и хронический панкреатит);
- Врожденные аномалии органов или сосудов;
- Подозрение на опухоли печени, рак поджелудочной железы, почек, надпочечников, внеорганные образования;
- Дифференциальная диагностика объемных образований во внутренних органах, выявленных другими методами исследования;
- Оценка состояния селезенки при заболеваниях крови;
- Травмы живота;
- Выявление поражение лимфоузлов забрюшинного пространства;
- Доброкачественные образования — кисты, аденомы, полипы;
- Предоперационная подготовка;
- Послеоперационный контроль или выявление осложнений;
- Контроль эффективности лечения.
Обзорная МРТ брюшной полости оценивает структуру, размеры, расположение, форму, кровоснабжение органов, расположенных в ней.
Результаты
Что показывает МРТ брюшной полости и забрюшинного пространства? При обзорной томографии сканируются все внутренние органы, расположенные в брюшной полости и забрюшинно. Томография позволяет определить:
- строение органов, их размеры и расположение;
- аномалии развития;
- различные патологические изменения (воспаление, дистрофия, кистозное преобразование);
- доброкачественные новообразования
- первичные злокачественные опухоли и метастатическое поражение;
- нарушения кровообращения;
- поражение крупных сосудов (аорты, нижней полой вены);
- камни в желчного пузыре и почках.
Наиболее рационально использовать МРТ в качестве уточняющего метода исследования.
Что показывает МРТ с контрастом?
Кисты, гемангиомы, злокачественные опухоли на обычных МРТ снимках очень похожи между собой. Контрастирование применяется для отличия этих объемных образований. По особенностям заполнения их контрастом можно точно установить их природу.
Интенсивность сигнала
МР-снимки черно-белые, однако органы на них выглядят по-разному. Одни структуры на них — темно-серые или даже черные, другие — светлее, третьи — очень яркие – почти белые.
В норме каждый орган дает сигнал определенной интенсивности. Например, здоровая печень на снимках темнее селезенки, но светлее мышц. Здоровые и патологические ткани также отличаются интенсивностью сигнала.
Когда в заключении пишут, что сигнал от органа или его части гипоинтенсивный – значит на снимке это отображается более темным, чем в норме, цветом. Гиперинтенсивный сигнал – дает яркий светлый цвет на снимке. Когда цвет очага практически не отличается от нормального – говорят, что такой сигнал изоинтенсивный.
Как будут выглядеть органы на снимках зависит еще и от режима исследования.
МРТ внутренних органов брюшной полости проводится в нескольких режимах: оценивают Т1- взвешенные изображения (Т1-ВИ) и Т2 –взвешенные изображения (Т2-ВИ).
На Т1-взвешенных снимках лучше визуализируются старые кровоизлияния, жировая ткань. Пространства, заполненные жидкостью, в этом режиме выглядят темными.
На Т2- взвешенных снимках, наоборот, лучше видна вода. Ткани с большим содержанием воды выглядят более яркими по сравнению с остальными. В этом режиме хорошо видна свободная жидкости в брюшной полости, жидкость в желчном пузыре и желчных протоках, отек или любые другие жидкостные образования. Кровь, кости, воздух на Т2-ВИ выглядят темными. Жир в этом режиме темнее, чем в Т1, но все равно достаточно яркий, и иногда перекрывает сигнал от других структур, что препятствует точной диагностике. Чтобы снизить сигнал от жировой ткани применяют специальный режим SPIR или STIR.
Патологические изменения в большинстве случаев сопровождаются отеком тканей, т.е. увеличением содержания в них воды. Поэтому на снимках они выглядят яркими в T2 — режиме и темными в Т1-режиме.
Печень
В норме печень имеет гомогенную (однородную) структуру и на МР-изображениях проявляется сигналом средней интенсивности.
При многих заболеваниях ее структура нарушается и становится неоднородной. Эти изменения бывают диффузными и очаговыми.
Диффузные изменения
Диффузными называются изменения, которые захватывают весь орган (отек, воспаление, жировое перерождение, фиброзная трансформация). Диффузными изменениями сопровождаются гепатит, цирроз, гемохроматозы, стеатогепатоз.
Гепатит – воспаление печени, вызванное вирусами, воздействием токсических веществ и лекарственных препаратов, аутоиммунными процессами и др. МРТ признаки гепатита:
- диффузное повышение интенсивности сигнала на Т2-ВИ (из-за отека тканей),
- гепатомегалия (увеличение размеров).
Цирроз – хроническое прогрессирующее заболевания, возникающее в результате замещения печеночной паренхимы фиброзной тканью. Происходит структурная перестройка печени, нарушается ее дольчатое строение и образуются ложные дольки (узлы регенерации). МРТ признаки цирроза:
- Увеличение или уменьшение размеров,
- Неоднородность структуры,
- Спленомегалия (увеличение селезенки),
- Узлы регенерации на Т2-ВИ – гипоинтенсивные (темные), и гиперинтенсивные (светлые) на Т1-ВИ
- Расширение портальной вены,
- Свободная жидкость в брюшной полости (асцит).
Стеатогепатит – жировое перерождение печени. Развивается на фоне алкоголизма, при длительном приеме некоторых лекарств, при нарушениях обмена веществ, ожирении и т.д. МРТ признаки стеатогепатита:
- Гепатомегалия,
- Диффузное увеличение интенсивности сигнала на Т1-ВИ.
Очаговые изменения
Данное понятие подразумевает наличие одного или нескольких патологических участков. К очаговым изменениям относят кисты, гемангиомы, узловую форму печеночноклеточного рака, метастазы.
На МР-изображениях очаговые изменения схожи между собой. При сканировании они дают гипоинтенсивный сигнал на Т1-ВИ (в виде темных участков) и гиперинтенсивный признак на Т2-ВИ (в виде светлых очагов). Для дифференциальной диагностики требуется введение контраста.
МР – признаки очаговых изменений печени:
| Гемангиомы |
|
| Аденокарцинома (печеночно-клеточный рак) |
|
| Метастазы |
|
| Кисты |
|
В норме желчный пузырь имеет грушевидную форму с четкими контурами и однородным содержимым. Горизонтальный размер — менее 5см. Толщина стенки 1-3 мм. Ширина общего желчного протока менее 8 мм.
Наиболее полное представление о состоянии желчного пузыря дает бесконтрастная магнитно-резонансная холангиопанкреатография. МР-холангиография позволяет выявить камни в желчном пузыре и желчевыводящих путях, диагностировать стриктуры (сужения) желчных протоков, аномалии их развития.
На МР-изображениях свободная желчь имеет гиперинтенсивный признак, а камни отображаются в виде темных пятен (дефект заполнения).
Поджелудочная железа
В норме поджелудочная железа имеет четкие контуры, дольчатое строение. На МРТ в Т2 режиме она дает гипоинтенсивный сигнал и на снимках выглядит темнее, чем печень. Панкреатический и общий желчный протоки отображаются белым цветом (гиперинтенсивные).
МРТ поджелудочной железы позволяет диагностировать:
- Оценка поражения паренхиматозной ткани железы, которые были обнаружены на УЗИ;
- Острый и хронический панкреатит, если КТ не показал точную картину;
- Дифференциация хронического панкреатита и новообразований;
- Панкреонекроз;
- Обнаружение камней внутри панкреатического протока;
- Кисты поджелудочной железы, их характеристика;
- Обнаружение холедохолитиаза (скрытая причина острого панкреатита);
- Доброкачественные опухоли;
- Злокачественные новообразования, их стадии, характеристика;
- Обнаружение эндокринных опухолей.
Признаки острого панкреатита:
- Диффузное снижение интенсивности сигнала в Т1 и повышение в Т2 режиме из-за отека паренхимы и окружающей клетчатки,
- Скопление жидкости в забрюшинном пространстве,
- Жировой некроз.
Признаки панкреонекроза:
На фоне воспалительных изменений в паренхиме поджелудочной железы отмечаются участки некроза, проявляющиеся гиперинтенсивным признаком в Т1 режиме (выглядят как черные пятна на сером фоне железы).
Признаки хронического панкреатита:
- Неоднородная структура железы с участками фиброза и кальциноза, жировой дистрофии, которая на снимках проявляется разной интенсивностью сигналов.
- Наличие множественных кист.
Наибольшая ценность МРТ поджелудочной железы заключается в дифференциальной диагностике кистозных и опухолевых образований.
Поджелудочная железа подвержена развитию таких опухолевых процессов, как аденокарцинома и цистаденокарцинома, инсулинома (нейроэндокринная опухоль), лимфома, метастазы.
Признаки аденокарциномы (рака) поджелудочной железы:
- Периферическое контрастирование вокруг гипоинтенсивного центра (на снимке опухоль имеет вид темного очага, окруженного светлым кольцом),
- Признаки сопутствующего панкреатита,
- Типичное расположение в области головки рядом с общим желчным протоком,
- Расширение вирсунгова протока – главного протока поджелудочной железы.
Признаки цистаденомы:
- кистозная многокамерная опухоль с узлами и перегородками разной толщины,
- экспансивный рост – опухоль не прорастает окружающие ткани, а раздвигает их.
Инсулинома — опухоль из β-клеток поджелудочной железы, которая в избытке вырабатывает гормон инсулин. Главный симптом болезни — выраженное снижение уровня сахара в крови с развитием гипогликемического состояния.
Метастазы:
- очаги диаметром 1,5-2 см с четкими границами,
- неоднородная структура,
- Расширение общего желчного и вирсунгова протоков,
- сочетание с метастатическим поражением других органов.
Подготовка за 2 дня: безуглеводная диета, выпить Эспумизан, женщинам с помощью теста убедится, что нет беременности. Последний прием пищи за 6 часов до процедуры. Не пить за 4 часа. За полчаса выпить Но-шпу, сходить в туалет, снять все металлические предметы.
Более подробно см. Подготовка к МРТ брюшной полости и противопоказания.
Почки и надпочечники
МРТ почек позволяет диагностировать следующие заболевания:
- аномалии развития,
- абсцессы почек,
- поликистоз (кисты в почках)
- гидронефроз,
- камни в почках,
- воспалительные заболевания (пиелонефрит, гломерулонефрит, туберкулез),
- оценка опухоли (к примеру, карцинома или переходно-клеточный рак),
- оценка при ксантогранулематозном пиелонефрите,
- оценка доброкачественных опухолей (к примеру, онкоцитома и ангиомиолипома);
Однако наибольшую ценность МР-исследование представляет в дифференциальной диагностике опухолей и кистозных образований почек.
МРТ позволяет выявить новообразования менее 2 см в диаметре, обнаружить метастазы в лимфатические узлы и опухолевые тромбы в сосудах почки.
Патология надпочечников часто выявляется случайно при выполнении МРТ забрюшинного пространства. Чаще всего удается диагностировать:
- доброкачественные;
- злокачественные опухоли, метастазы;
- произвести оценку причин гормонального дисбаланса.
Признаки доброкачественного новообразования надпочечников:
- округлая форма,
- ровный, четкий контур,
- структура однородная.
Признаки злокачественной опухоли надпочечников:
- неправильная форма,
- контур неровный, размытый,
- гетерогенная структура (отмечаются участки с различной интенсивностью сигнала)
Селезенка
При исследовании селезенки можно выявить следующие изменения:
- Аспления – отсутствие органа,
- Эктопия селезенки – нетипичное расположение,
- Наличие добавочной дольки.
- Спленомегалия – увеличение размеров селезенки,
- Гепатоспленомегалия – одновременное увеличение печени и селезенки,
- Гемохроматоз – заболевание, обусловленное избыточным отложением в тканях железосодержащих пигментов,
- Кисты – образования округлой формы, контуры четкие, структура однородная.
- Гематомы – скопление крови под капсулой или в паренхиме, возникает обычно после закрытых травм живота. В первые двое суток гематома дает гиперинтенсивный признакна Т2-ВИ и изоинтенсивный – на Т1-ВИ. После вторых суток отмечается усиление сигнала на Т1-ВИ.
- Инфаркт селезенки – некроз участка селезеночной ткани из-за нарушения кровоснабжения в результате тромбоза или эмболии. На МР-снимках выглядит как гипоитенсивный участок.
- Опухоли селезенки.
Противопоказания к проведению МРТ
- Наличие кардиостимулятора и других электронных устройств, имплантированных в тело (инсулиновая помпа),
- Наличие в организме металлических предметов, способных к намагничиванию,
- Первый триместр беременности,
- Клаустрофобия,
- Масса тела более 120 кг,
- Заболевания, при которых больной не может длительно находится в неподвижном состоянии,
- Тяжелые соматические болезни, требующие постоянного контроля за жизненными функциями (ИВЛ).
Подготовка к исследованию
Перед выполнением МРТ органов живота требуется несложная предварительная подготовка.
В течение 2 дней накануне исследования необходимо придерживаться низкоуглеводной диеты, отказаться от продуктов, стимулирующих повышенное газообразование в кишечнике.
Томография проводится натощак. Если обследование назначено на вторую половину дня, разрешается легкий завтрак, однако после него должно пройти не менее 5 часов.
Несоблюдение этих рекомендаций снижает качество обследования из-за возникающих артефактов, которые дает кишечник с его содержимым.
Непосредственно перед сканированием необходимо снять с себя все металлические предметы, оставить в раздевалке телефон, часы и другую электронную технику.
Автор: Селезнева Валентина Анатольевна врач-терапевт
МРТ обследование брюшной полости: увидеть невидимое
За последние десятилетия магнитно резонансная томография брюшной полости стала ведущим из методов диагностики заболеваний брюшной полости, а так же забрюшинного пространства. Данное исследование с большой достоверностью дает требуемые ответы на клинические вопросы, а внедрение контрастирования и ангиографии увеличивает значимость исследования в разы.
МРТ брюшной полости и забрюшинного пространства заключается диагностике патологии органокомплекса и тканей данной анатомической зоны с целью максимально достоверной локализацией патологии, определение его распространения, специфики и степени инвазии.
В данной анатомической области расположены: печень с желчным пузырем и желчевыводящими протоками, поджелудочная железа, селезенка, кишечник, почки, надпочечники, лимфатические сосуды и узлы, магистральные сосуды, мягкие ткани, клетчатка.
Причинами назначения магнитно резонансной томографии брюшной полости служат
- опухолевые образования в данной области, их динамическое наблюдение, а так же подозрение на их наличие
- объемные неопухолевые процессы органов (аденомы, абсцессы, кисты)
- поиск метастаз и диагностика степени распространения
- комбинированные и сочетанные травмы
- ВПР, а так же подозрение на их наличие
- воспалительные процессы
- ишемические проявления со стороны паренхиматозных органов данной анатомической области
- признаки портальной гипертензии, цирроз печени
- определение камней в желчном пузыре, внутрипеченочных и внепеченочных протоках
- острый панкреатит, а так же динамический контроль хронического панкреатита
- ишемические проявления со стороны паренхиматозных органов
На снимке — псевдотуморозная форма хронического панкреатита
Кроме перечисленных показаний, томография брюшной полости может назначаться при сомнительных результатах уже проведенного обследования, при патологии, не выявленной при лучевых методах исследования, и как контроль проведенного лечения. Особую актуальность при этом имеет МРТ брюшной полости с контрастированием.
Противопоказания для проведения магнитно резонансной томографии брюшной полости
Присутствие неудаляеемых на момент проведения процедуры металлических имплантантов (стенты, кардиостимуляторы, инородные предметы, металлические протезы и ортопедические конструкции)
- беременность (в частности,1 и 3триместр)
- тяжелые психические, а также соматические заболевания
- вес, превышающий допустимые значения согласно инструкции используемого аппарата.
- МРТ брюшной полости с контрастированием.
Магнитно-резонансная томография проводится в виде обзорного обследования, ангиографии сосудов, а так же с введением контрастного вещества. МРТ брюшной полости с контрастом ( использованием контрастных веществ) используется преимущественно в онкологической практике.
Данный метод позволяет не только обнаружить опухоль, метастатические очаги, но и достоверно определить их границы. Для исследования используются вещества на основе гадолиния. На практике применяются хелатные комплексы данного металла. Они безопасны, токсические эффекты минимальны, а случаи аллергических реакций крайне редки.
Объем вводимого контраста вводится из расчета 0,2 мг на килограмм массы тела обследуемого. Контраст может вводиться двумя способами: одномоментное внутривенное введение контраста перед началом исследования и постепенное болюсное введение во время выполнения исследования. Последний способ (динамическое сканирование) позволяет в режиме реального времени оценить процессы происходящие в организме, а так же распространение контраста.
Введение контрастного вещества происходит с помощью шприца
Использование контраста имеет свои противопоказания: беременность, тяжелая печеночная и почечная недостаточность, непереносимость контрастного вещества (гадолиния). После окончания процедуры МРТ, пациенту рекомендуется употребить около двух литров жидкости с целью выведения контраста из организма.
Подготовка к проведению исследования
- Пищевая пауза должна составлять минимально 6-8 часов перед проведением процедуры исследования, а при применении контрастных веществ — 12 часов.
- Питье необходимо ограничить за несколько часов до проведения процедуры (3-4).
- За 4 дня до планируемого проведения МРТ желательно перейти на низко углеводную диету, ограничить продукты, способствующие газообразованию (такие, как сырые фрукты, овощи, газированные напитки, дрожжевые сорта хлеба, кисломолочные продукты).
- Если имеется склонность к метеоризму, необходимо применение энтеросорбентов в течении двух дней до исследования.
- За полчаса до проведения процедуры исследования, необходимо принять любой спазмолитик согласно инструкции.
Подготовка к обследованию брюшной полости
Техника проведения МРТ брюшной полости
Метод основан на особенностях взаимодействия электромагнитного поля с атомами водорода. Под действием этого поля атомы водорода в тканях человека возбуждаются и излучают радиоволны, которые и формируют изображение на компьютере, обрабатывающем данную информацию.
После прекращения действия электромагнитного поля атомы возвращаются к исходному состоянию, что не вызывает каких-либо повреждений тканей. Сама процедура исследования проходит в аппарате, представляющем собой цилиндрическую трубку, внутри которой на подвижном столе располагается пациент. Имеются так же аппараты с открытым контуром, что позволяет проводить исследование у пациентов с ожирением и клаустрофобией. Однако эти аппараты имеют меньшую мощность, а их применение весьма ограничено.
Длительность томографии брюшной полости 30-40 минут без использования контраста, при контрастировании — около часа.
Перед проведением исследования необходимо снять все имеющиеся металлические предметы. Нательное белье должно быть из натуральных материалов, либо выдается одноразовое белье для прохождения обследования. Все это время обследуемый должен лежать на столе и ритмично дышать, не совершая глубоких дыхательных движений и других телодвижений, а так же задерживать дыхание при соответствующих просьбах рентгенолога.
Во время процедуры обследуемый находится в помещении один, но связь с врачом, проводящим исследование, осуществляется по средством микрофона в течение всего времени обследования. МРТ органов брюшной полости безболезненна, однако иногда появляются тепловые ощущения в исследуемой области. Это нормальный вариант ответа на действие магнитного поля, кроме этого никаких вмешательств не требуется.
Диагностические возможности и результаты томографии брюшной полости
После проведения томографии, выдается заключение, содержащее детальное описание обнаруженной патологии. Результат обычно готов в течении нескольких часов либо на следующий день, в зависимости от объема исследования и тяжести случая. Помимо письменного заключения, возможно получить запись результатов МРТ брюшной полости на дисковый накопитель.
Томография печени и желчевыводящей системы
МРТ помогает достоверно обнаружить диффузные изменения (гепатоз, цирроз, жировая дегенерация) и очаговую патологию (аденомы, узловая гиперплазия, кисты, гемангиомы, опухоли,и, в частности — печеночно-клеточную карциному).
Размеры определяемы с помощью данного вида исследования — более 1 см. В комплексе со стандартным МРТ исследованием для более достоверной диагностики патологии желчных путей, желчного пузыря используется халангиопанкреатография. Она позволяет выявить наличие конкрементов и образований в просвете желчных протоков и в желчном пузыре, а так же достоверно диагностирует аномалии и приобретенные стриктуры желчных протоков. Использование контраста наиболее полезно при поиске и дифференциальной диагностике между собой метастаз, кист и гемангиом.
МРТ поджелудочной железы
Помогает выявить очаговые образования (кисты, опухоли, метастазы) и изменения при воспалительных заболеваниях железы (острый и хронический панкреатит), а так же диффузные изменения, увеличение органа.
Кистозное образование поджелудочной железы
Исследование селезенки
Позволяет выявить объемные образования различного генеза, изменение внутренней архитектоники органа (инфаркт), нетипичное расположение, врожденные особенности развития (добавочная селезенка).
Инфаркт селезенки на снимке
МРТ забрюшинного пространства
Является основным методом диагностики трудно определяемых образований паранефральной клетчатки, метастатических поражений лимфоузлов, сосудистых аномалий, вне органных опухолей, а также воспалительных изменений.
Исследование почек и надпочечников
Диагностически значимо при новообразованиях (доброкачественных и злокачественных), кистоподобных и других объемных образованиях и их дифференциальной диагностике, при врожденных особенностях развития.
Опухоли почек
Метод так же используется в том случае, если невозможно провести экскреторную урографию (аллергия на йодсодержащие препараты, которые используются для проведения данного инструментального исследования). Однако такая диагностика не позволяет диагностировать абслоютно все виды конкрементов в почках и мочевыводящих путях. В данной ситуации информативнее проведение УЗИ.
Для диагностики заболеваний надпочечников МРТ является главным методом обследования, потому что при УЗИ визуализация их затруднительна, особенно при поражении новообразованиями небольшого размера.
Аденома (стрелка) правого надпочечника. Аденома имеет вид небольшого гиподенсного образования с гомогенной структурой на снимке
Магнитно-резонансная томография имеет ряд преимуществ по сравнению с остальными способами диагностики :
- метод неинвазивный, имеет минимальные перечень противопоказаний
- по сравнению с рентгенологическими методами, она более безопаснее, потому что в основе его радиочастотный диапазон электромагнитных волн, а не на лучевое излучение
- произвольное направление срезов при исследовании, что позволяет воссоздать истинную трехмерную картину исследуемой зоны
- более детально позволяет оценить основную массу патологии, включая ту, которая плохо диагностируется другими методами исследования
- возможно проведение исследования с контрастом у лиц, имеющих аллергические реакции на йодсодержащие контрастные вещества
- при соблюдении всех требований и правил проведения исследования, метод не представляет никакого вреда для пациента
- не исключается многократное повторение процедуры при показаниях для этого ангиография, холангиопанкреатография, а так же использование контраста расширяют диагностические возможности данного метода.
При всех преимуществах, МРТ брюшной полости не является единственным исключающим способом диагностики и в сомнительных ситуациях необходимо дообследование по средством других инструментальных методов исследования (УЗИ, экскреторной урографии, КТ), а так же лабораторных методов.