
Что такое пролактинома гипофиза?
Пролактинома гипофиза представляет собой активную опухоль передней доли органа.
Подобная опухоль в избыточной мере продуцирует гормон пролактин.
Характерным проявлением патологии является выработка молока, которая не имеет связи с рождением малыша.
При прогрессировании данной патологии у женщины проявляются сбои менструального цикла, а у мужчин отсутствует либидо.
Лечение пролактиномы подбирают в зависимости от степени развития патологического процесса.
Общие сведения о заболевании
Пролактиному относят к классу доброкачественных аденом, которые очень часто диагностируются из ряда опухолей гипофиза. Достаточно редко диагностируют злокачественные образования. Преимущественно это явление выявляется у девушек детородного возраста.
Пролактинома у мужчин может достигать значительных размеров в 1 см – это значительные габариты для опухоли подобного рода.
Пролактин у женщин в организме играет важную роль, он участвует в следующих процессах:
- Обеспечивает регулировку половых функций.
- Участвует в процессе синтезирования эстрогенов.
- Обеспечивает регуляцию нормального течения менструального цикла.
- Проявление овуляции.
При пролактиноме у женщин подавляется выработка женских гормонов эстрагенов. Это приводит к отсутствию овуляции и становится причиной бесплодия.
Избыток пролактина у мужчин приводит к проявлению следующих патологий:
- снижение полового влечения;
- гинекомастия;
- нарушение эректильной функции;
- отсутствие либидо.
Гормоны, безусловно, представляют собой сложные соединения, избыток или недостаток которых может стать причиной развития патологии.
Классификация образований
Пролактиномы разделяют в корреляции от их размеров и локализации в пределах гипофизарной ямки:
- Интраселлярная микропролактинома. Не выходит за границы турецкого седла и представляет собой аденому, секретирующую пролактин. Ее габариты не превышают 1 см.
- Экстрасселярные макропролактиномы. Диаметр подобных образование превышает 1 сантиметр, их границы выходят за зону турецкого седла.
При выборе лечения опухоли обязательно учитывают особенности течения патологии и общее состояние пациента. Многие лекарства, применяемые для устранения пролактином, в больших количествах содержат гормоны, потому подбирать их должен врач с особой осторожностью.
Именно от правильности выбора методики терапии во многом зависит исход лечения.
Рекомендуем узнать: Что такое болезнь Иценко-Кушинга
Основные причины развития заболевания
Несмотря на то, что опухоль гипофиза – достаточно распространенная патология, причины ее проявления окончательно медиками не изучены.
Некоторые специалисты уверяют, что предпосылки, обусловливающие проявление патологии. создаются на фоне следующих отклонений:
- множественные эндокринные неоплазии;
- серьезные генетические сбои;
- наследственные патологии, связанные с гормональным дисбалансом;
- избыточное продуцирование гормонов паращитовидной железы.
В научных трудах некоторых медиков описана закономерность наследственного проявления пролактиномы. Если опухоль гипофиза была обнаружена у одного из родителей, не исключено ее проявление у ребенка.
В настоящие время эндокринологи и специалисты в области генетики проводят работу по нахождению генов, формирующих предрасположенность к формированию опухоли.
Характерные признаки
Причиной возникновения симптомов пролактиномы могут быть такие факторы:
Симптомы пролактиномы могут проявляться с различной интенсивностью в зависимости от размеров опухоли.
При макропроактиномах проявляются следующие симптомы:
- уменьшение границ обзора;
- проявляются трудности в определении предметов, располагающихся по боковым границам;
- пациенты жалуются на двоение в глазах.
Подобная клиническая картина обусловлена сдавливанием глазных нервов. При отсутствии необходимого лечения исходом патологии является слепота.
Опухоль гипофиза больших размеров часто становится причиной проявления симптомов со стороны ЦНС:
- периодически проявляющиеся головные боли;
- депрессивные состояния;
- проявления тревоги;
- раздражительность.
Пациент с подобным диагнозом более остро и эмоционально реагирует на любые воздействия.
Проявления образования у женщин
Симптомы пролактиномы у женщин проявляются на ранних стадиях развития патологии. Характерным признаком является длительное отсутствие менструации, которое влечет за собой невозможность зачатия.
Высокий уровень пролактина в организме девушки обеспечивает нормальную выработку молока в период лактации.
Такие выделения из груди могут проявляться самопроизвольно или в надавливании на сосок – в обоих случаях это симптом патологии.
Свободный пролактин присутствует в увеличенных дозах в организме беременной и кормящей мамы – это норма.
Подобное проявление может стать причиной развития мастопатии.
Среди перечня симптомов, характерных для развития опухоли в женском организме, можно выделить следующие:
- вывод минеральных соединений из костных тканей;
- формирование остеопороза;
- перемена структуры костных тканей;
- задержка жидкости в организме,
- проявление отеков преимущественно на нижних конечностях;
- увеличение массы тела;
- проявление угревой сыпи;
- усиление роста волос по всему телу;
- выпадение волос на голове.
Рекомендуем узнать: Оперативное удаление аденомы гипофиза
При избытке пролактина у женщин чаще проявляются микропролактиномы – опухоли достигают небольших размеров. Избыток гормона пролактина у женщин приводит к андрогенизации.
Признаки развития опухоли у мужчин
Симптомы пролактиномы у мужчин зависят от объемов, которых достигла опухоль гипофиза. Чаще всего у представителей мужского пола диагностируют макропролактиномы.
Влияние избытка пролактина у мужчин проявляется в изменении выработки мужских половых гормонов, это влечет проявление следующих характерных симптомов:
- нарушение эрекции;
- снижение активности сперматозоидов;
- развитие бесплодия;
- увеличение груди в размерах;
- атрофия яичек;
- развитие остеопороза;
- проявление мышечной слабости;
- реже проявляется галакторея – выделение специфической жидкости из сосков мужчины.
Высокий уровень этого гормона у мужчин часто свидетельствует о наличии многих заболеваний.
Не исключена возможность повышения концентрации гормона в результате травм и хирургических вмешательств в организм мужчины.
Выявление пролактиномы
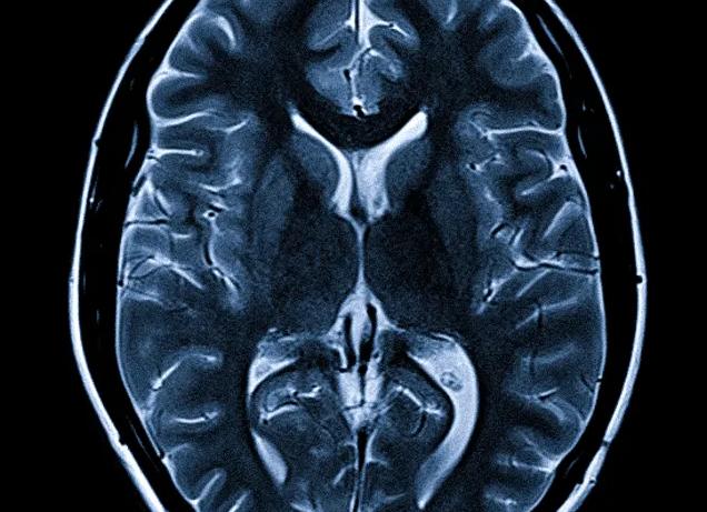
МРТ гипофиза при повышенном пролактине является наиболее информативным методом обследования.
Методика обследования головного мозга подразумевает изучение функционирования гипофиза. Для этого в организм пациента вводится специальное контрастное вещество.
Сканирование позволяет выявить формирование следующих образований на начальных этапах их развития:
- наличие аденомы и ее локализацию;
- опухоли, находящиеся в мягкотканных формированиях;
- позволяет выявить наличие образований в кавернозном синусе.
Компьютерная томография головного мозга – не менее информативный метод, позволяющий визуализировать костные структуры. Эта методика позволяет просмотреть область нахождения гипофиза.
Среди списка используемых методик, применяемых для выявления пролактиномы, выделяют:
- МРТ головного мозга;
- компьютерную томографию;
- исследование концентрации пролактина в сыворотке крови;
- тест с применением тиролиберина.
При наличии у пациента жалоб на ухудшение зрения обязательна консультация окулиста. Поскольку при пролактиноме не исключено развитие остеопороза, необходима периодическая оценка плотности костных формирований.
Следует заметить, что из ряда особых причин, приводящих к повышению уровня пролактина, выделяют:
- гипотиреоз;
- травмы грудной клетки;
- почечная недостаточность;
- гипофункция печени;
- прием лекарственных средств, воздействующих на продуцирование гормона;
- нарушение функционирования гипоталамуса.
При проявлении симптомов избытка пролактина крайне важно своевременно посетить специалиста.
Безусловно, в норме этот гормон должен присутствовать в организме у обоих полов, но в небольших количествах. Его избыток крайне опасен.
Лечение
Лечение пролактиномы часто подразумевает медикаментозное воздействие на организм человека. Схему лечения и дозировку препарата, обусловливающего понижение концентрации пролактина в крови, подбирает специалист эндокринолог.
При лечении патологии у женщин также целесообразно посетить гинеколога, врач может внести свои коррективы в методику терапии.
Часто для устранения патологии применяют препараты, имеющие следующие названия:
- Бромокриптин;
- Леводопа;
- Каберголин;
- Ципрогептадин.
При правильном употреблении препарат Бромокрептин приводит к снижению концентрации гормона пролактина в организме пациента на 80% спустя 1 неделю с момента начала употребления.
Каберголин имеет пролонгированное действие. Концентрация гормона снижается уже после принятия 1-2 доз.
Желаемый исход лечения – уменьшение размеров опухоли и нормализация выработки пролактина в организме.
По мере проявления эффективности терапии у женщин отмечается улучшение самочувствия, оно выражается в проявлении следующих симптомов:
- нормализация менструального цикла;
- восстановление способности к зачатию;
- учение зрения;
- нормализация общего самочувствия, исчезновение головных болей.
Результативность терапии у мужчин проявляется в следующем:
- повышение концентрации тестостерона;
- усиление роста волос на лице;
- возвращение либидо;
- улучшение сперматограммы.
Исход заболевания во многом зависит от особенностей течения заболевания. Небольшие опухоли хорошо поддаются медикаментозному лечению, в то время как значительные образования часто приходится удалять посредством хирургического вмешательства. Важно заметить, что опухоль после оперативного вмешательства имеет особенность рецидивировать.
МРТ-исследование гипофиза при повышенном пролактине! — блог Моя БэТэшка
Девочки, всем здравствуйте! Вот у меня делема быть или не быть, делать МРТ-исследование «турецкого седла» или не делать! Дело в том, что опять выросла функциональная киста после перенесенной лапоры в октябре 09 года. Сдала кровь на пролактин. Результат 34, 1 при норме до 19, 5. Врач (честно признаюсь платный… Что не очень внушает доверия) направила на МРТ-исследование «турецкого седла». Сказала, что это нужно для исключения опухоли на гипофизе. Так же она добавила, что скорее всего опухоли нет, иначе показатели были бы 3000, 5000, 7000… Вот у меня возникает вопрос, если при гиперпролактинемии (опухоль более 1 см) показатели 5000 и более, то увидят ли на моем снимке что-либо при показателе 34, 1. Каков размер будет? С лупой будут выискивать? Проблема еще в том, что на это исследование в данный момент свободных денег (а это почти 3000р) нет. К тому же на бланке направления обязательно разборчивыми буквами указан врач, который направил (короче, видимо она с этого процент имеет). Вот я и думаю, а надо ли оно мне? Всем заранее спасибо!!!
0 1414 0 0 15
МРТ гипофиза при нормальном и повышенном пролактине: отзывы
Вырабатывается гормон пролактин передней долей гипофиза, где располагается железа. Вещество влияет на выработку грудного молока у женщин после рождения ребенка, отвечает за поведенческие реакции. Соединение контролирует концентрацию другого гормона – прогестерона. Анаболические свойства вещества способствует образованию белка. Нарастающая патология способствует целому каскаду расстройств.
Высока зависимость отклонения уровня этого вещества от нормы у женщин. Малейшие отклонения вызывают серьезные эндокринные дефекты. Заподозрить патологию гипофиза помогают некоторые клинические симптомы, выявляемые эндокринологом.
Метаболические расстройства выявляет функциональное МРТ, позволяющее определить патологию обмена веществ.
Рано диагностировать гипер- или гипопролактинемию помогает анализ крови на гормоны. Морфологические причины нозологии выявляет магнитно-резонансная и компьютерная томография головного мозга.
Гормон гипофиза пролактин – что это такое
Зависимое влияние на гипофиз головного мозга оказывает гипоталамус. Между данными звеньями эндокринной системы существует обратная взаимосвязь. МРТ снимок мозга не покажет функциональные, биохимические расстройства. Если внутри гипофиза воспаление, опухоль, возникают колебания гормонального статуса.
Пролактин – белковое вещество, выделяемое в кровь. Практические исследования установили влияние соединения на синтез белков, лактацию. Повышенный уровень пролактина приводит к обильному выделению секрета молочных желез. Женщина с гиперпролактинемией не может забеременеть из-за нарушения образования прогестерона.
Первым признаком гормонального дисбаланса являются патологические результаты лабораторных исследований. Появление подозрительных цифр требует МРТ гипофиза, повышенный пролактин, при котором является показанием к сканированию. Направление выдает гинеколог, онколог, эндокринолог.
МРТ сканирование мозга при нормальном пролактине
Томография головного мозга может быть первым звеном верификации изменений гипоталамо-гипофизарной области. Начальные изменения концентрации гормонов могут не привести к патологической симптоматике. МР-томография выявляет аденому гипофиза, синдром пустого турецкого седла, ряд сопутствующей патологии, при которых изначально абсолютная норма пролактина.
Случайная находка постепенно подтверждается лабораторными анализами – увеличивается концентрация гормонов при росте аденомы, сужении размеров турецкого седла – места расположения гипофиза. Проблемы вызывают обызвествления спинки органа у пожилых людей, молодых девушек.
Магнитно-резонансная томография гипофиза при гиперпролактинемии
Гормональное исследование крови – первичный способ выявления эндокринного дисбаланса. Женщин направляют на томографию гинекологи. Предварительно потребуется осмотр, сдача мазков, исследование флоры, свойств внутривлагалищного секрета.
Главным критерием назначения магнитно-резонансной томографии мозга является двукратно повышенный пролактин в лабораторных анализах свыше 540 международных единиц на литр. Исследования проводятся с интервалом несколько недель.
Рациональность исследования КТ головного мозга ниже, но не всегда есть возможности выполнения МР-томографии. Дополнительное КТ-контрастирование удается определить обызвествления, синдром пустого турецкого седла, кальцинированную аденому. Разработаны уникальные протоколы компьютерной томографии гипоталамуса, гипофиза, передней черепной ямки, позволяющие заподозрить аномальные изменения области. Начальные изменения гипофизарных тканей показывают МР-томограммы. Незаменима ценность метода при онкологической диагностике.
МРТ гипофиза при повышенном пролактине обладает высокой степенью специфичности, достоверности. Позволяет выявить микроаденомы, верифицировать размеры, контуры, детали структуры. Когда исследование обнаруживает доброкачественную опухоль, проводят динамический контроль передней черепной ямки через 6 месяцев на предмет увеличения размеров образования.
Если обнаружена повышенная концентрация пролактина лабораторными анализами, требуется дифференцировка между физиологическими и патологическими состояниями. В первом случае концентрация вещества не повышается свыше 400 мЕд на литр вначале, а во второй пробе – приходит к норме.
Гиперпролактинемия – что показывает МРТ:
- Болезни гипоталамуса;
- Новообразования гипофиза;
- Пустое турецкое седло;
- Первичный гипотиреоз (уменьшение выработки гормонов щитовидкой);
- Психотравмирующие ситуации;
- Сахарный диабет.
МРТ гипофиза при повышенном пролактине – самое информативное обследование. Редкий отзыв клиента является негативным. Большинство людей положительно отзываются о томографии передней черепной ямки.
Отзывы клиентов о сканировании гипоталамо-гипофизарной области
Брагинская Е.А., 34 года, Солнечногорск, Россия
Незначительно повышен пролактин (585). Решила сделать МРТ без контраста, так как от ценника последнего вида «обомлела». Доктора говорят, что гормон чувствительный к изменению организма, поэтому может нормализоваться через 2 месяца. Результаты изменяются после курения, секса, алкоголя. Ничего не нашли при нативном сканировании. Эндокринолог выписала свечи от воспаления, так как кокки были обнаружены в мазке. После этого гормоны нормализовать через 6 месяцев. Исследование хорошее, но только денег, когда не находят ничего, думаешь, про пустую выброску денег.
Каминская А.С., 63 года, Иваново, Россия
Делала МРТ гипофиза с контрастом бесплатно по рекомендации платного эндокринолога. Обнаружили увеличение пролактина, несколько раз пересдавали анализы. Очередь ждала 2 месяца. Микроаденому нашли. Я потом подумала, что зря ждала месяцы. Лучше было бы раньше, поэтому советую денег не жалеть. Небольшая опухоль радикально удаляется хирургически. Запущенный рак нельзя вылечить. Рада, что у меня только микроаденома. Готовлюсь к операции.
Житейская мудрость показывает, что молодые жалеют денег не здоровье. Только когда «клюнет», готовы все отдать, но бывает поздно. Для себя решила, что при необходимости буду делать магнитно-резонансную томографию сразу, не важно, платно или бесплатно. Совет – подберите себе хороших врачей и полностью доверяйте специалистам. Делайте, что скажут, чтобы не было неправильных мыслей.
МРТ-исследование гипофиза при повышенном пролактине! — блог Моя БэТэшка
0 1412 0 0 15